УЗИ при гидроцеле мошонки
Добавил пользователь Владимир З. Обновлено: 22.11.2025
Появление в клинике ультразвуковых приборов нового поколения, оснащенных высокочастотными датчиками, разработка новых методологических приемов сделали возможной визуализацию анатомических структур мошонки, что еще 15-20 лет назад считалось мало реальным. Однако на сегодня практические врачи отделений (кабинетов) ультразвуковой диагностики недостаточно осведомлены в вопросах ультразвуковой диагностики и дифференциальной диагностики заболеваний органов мошонки, о чем свидетельствует, в том числе, и почта нашего журнала. В настоящей статье мы попытались восполнить этот пробел.
Мошонка представляет собой кожномышечное образование (рис. 1)*, разделенное на две половины, в каждой из которых находится яичко, придаток яичка, мошоночный отдел семенного канатика. Стенка мошонки состоит из 7 слоев, которые называют также оболочками яичка. Это: кожа; мясистая оболочка, образующая срединную перегородку; наружная семенная фасция; фасция мышцы, поднимающей яичко; мышца, поднимающая яичко; внутренняя семенная фасция и влагалищная оболочка яичка, состоящая из париетального и висцерального листков.

Рис. 1. Схематическое изображение нормальной анатомии органов мошонки.
1 - извитые канальцы;
2 - прямые канальцы;
3 - галерова сеть;
4 - гайморово тело;
5 - выносящие канальцы;
6 - головка придатка;
7 - тело придатка;
8 - хвост придатка;
9 - отклоняющиеся проточки;
10 - семявыносящий проток.
Яичко - парный железистый орган эллипсоидной формы, несколько уплощенный с боков. Длина его в среднем составляет 4,2-5 см, ширина - 3-3,5 см, толщина - 2-2,5 см. В яичке различают переходящие одна в другую латеральную и медиальную поверхности, задний и передний края, верхний и нижний полюса. Яичко подвешено на семенном канатике (левое ниже правого) таким образом, что оно наклонено верхним концом вперед, а латеральной поверхностью несколько кзади. Семенной канатик прикрепляется сзади и сверху. В проекции задненижнего края расположена мошоночная связка, фиксирующая яичко вместе с хвостом придатка к мошонке. Яичко покрыто фиброзной белочной оболочкой, образующей по задней поверхности клиновидное утолщение - средостение яичка. От последнего веером расходятся фиброзные перегородки, которые соединяются с внутренней поверхностью белочной оболочки и разделяют паренхиму на дольки. В каждой дольке располагается по 2-3 семенных канальца. Семенные канальцы содержат семяобразующие элементы, из которых развиваются сперматозоиды. Придаток располагается вертикально вдоль заднебокового отдела яичка. Различают верхнюю утолщенную часть его (головку), среднюю (тело) и нижнюю, несколько расширенную (хвост). Придаток яичка служит резервуаром для накопления спермы. В области верхнего полюса яичка, головки и хвоста придатка встречаются различные рудиментарные образования: привесок яичка, привесок придатка, отклоняющиеся протоки.
Кровоснабжаются органы мошонки следующими парными сосудами: яичковой артерией, артерией семявыносящего протока, кремастерной артерией, передней и задней мошоночными артериями, промежностной артерией. Яичковая артерия является ветвью брюшной аорты, причем правая может быть ветвью правой почечной артерии. Другие артерии - ветви внутренней и наружной подвздошных артерий. Перечисленные сосуды широко анастомозируют между собой, обеспечивая хорошее кровоснабжение мошонки. Венозный отток осуществляется венами двух типов: венами, отходящими от глубоко расположенных участков яичка, и венами, дренирующими поверхностные зоны органа. Оба типа вен, сливаясь, формируют вне яичка гроздевидное сплетение, образующее яичковую вену, которая справа впадает в нижнюю полую вену, а слева - в левую почечную вену. Вена семявыносящего протока и вена мышцы, поднимающей яичко, берут начало от одноименных венозных сплетений. Все три сплетения объединены коммуникантными венами.
При ультразвуковом исследовании применяются высокочастотные (7,5 Мгц и более) конвексные и линейные датчики. Во время эхографии пациент лежит на спине и рукой фиксирует половой член к передней стенке живота. Трансдюсер устанавливается перпендикулярно по отношению к исследуемой области, и последовательно получают томограммы в поперечной, продольной и косых плоскостях правой и левой половины мошонки.
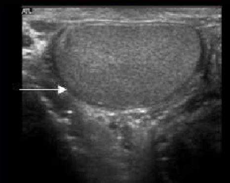
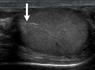
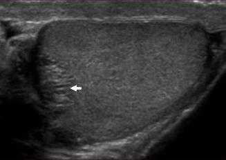
Размеры обоих яичек (они могут незначительно различаться), а также выявляемых патологических образований измеряются в трех взаимно перпендикулярных плоскостях. Неизмененное яичко (рис. 2) имеет овальную форму, четкий, ровный контур, паренхима однородная, средней эхогенности. Белочная оболочка и висцеральный ли сток влагалищной оболочки визуализируются как тонкая непрерывная полоска высокой эхогенности, расположенная по краю яичка. Средостение (рис. 3) имеет вид гиперэхогенной тонкой полосы или клина в верхних отделах органа. Привесок яичка может визуализироваться в виде выступа или бугорка диаметром 2-3 мм у верхнего полюса яичка. Яичко окружает небольшое количество серозной жидкости, определяемое в виде тонкой гипоэхогенной зоны шириной 1-3 мм. Придаток яичка (рис. 4) располагается у верхнего полюса по задней поверхности яичка. Структура его однородна и по эхогенности аналогична паренхиме яичка. При отсутствии патологических изменений в придатке определяется лишь его головка, размер которой составляет 10-15 мм.
Водянка яичка (гидроцеле)
Гидроцеле - это скопление жидкости между влагалищными оболочками яичка. Является самостоятельной патологией либо сопутствует некоторым заболеваниям: опухоли придатка или яичка, гидатиде, воспалительному процессу и пр. Симптомы представлены увеличением мошонки на стороне поражения (или с обеих сторон при двусторонней водянке яичек), чувством распирания. Диагностика включает УЗИ мошонки, ПЦР- анализы на венерические инфекции, спермограмму, тесты на онкомаркеры рака яичка. Операцию выполняют при значительном гидроцеле, ухудшающем качество жизни и влияющем на сперматогенез. При вторичной патологии проводят терапию основного заболевания.
МКБ-10
Общие сведения
Гидроцеле (от греч. «гидро» - вода, «целе» - выпячивание) - распространенная урологическая патология, которая встречается у мужчин любого возраста. У детей до года несообщающееся с перитонеальной полостью скопление жидкости считается вариантом нормы, к 12-24 месячному возрасту состояние нормализуется, только у 6% мальчиков гидроцеле остается клинически значимым. Молодые мужчины сталкиваются с приобретенной водянкой в 2-4% случаев, в 10% поражение билатеральное, в 30% причина не может быть установлена. У пациентов старшего возраста чаще регистрируют гидроцеле как осложнение после операций на органах малого таза или на фоне экстрагенитальной патологии, связанной с массивными отеками.
Причины гидроцеле
Причины зависят от типа патологии. Врожденная водянка яичка развивается на фоне незаращения влагалищного отростка брюшины в процессе эмбриогенеза. Приобретенное гидроцеле обусловлено дисбалансом между продукцией и реабсорбцией жидкости. Реактивная водянка сопровождает ряд патологических процессов. В эндемичных районах усиленную экссудацию провоцирует инфекционное заболевание - филяриатоз, при котором поражаются лимфатические структуры. Фактором риска онкоурологи называют проведение лучевой терапии. Основные причины гидроцеле включают:
- Воспалительный процесс. Орхит, орхоэпидидимит специфической (включая туберкулез) или неспецифической этиологии сопровождаются реактивной водянкой. Хроническое воспаление приводит к нарушению крово- и лимфообращения, пропотеванию жидкости и ее накоплению между оболочками яичка. Латентно протекающие ИППП (хламидиоз, трихомониаз, гонорея) поддерживают воспалительный процесс.
- Посттравматическое состояние. В результате травм, ожогов и укусов нарушается целостность кровеносных и лимфатических сосудов, что препятствует естественному оттоку жидкости. Состояние усугубляет присоединение вторичной бактериальной микрофлоры. Оперативные вмешательства на органах мошонки, особенно выполненные по поводу варикоцеле и паховой грыжи, сдавление с ограничением кровотока на фоне перекрута яичка, также рассматриваются как причины гидроцеле.
- Опухолевую патологию. Злокачественное новообразование герминативных клеток яичка или его придатков на запущенной стадии из-за сдавления сосудов способствует выпотеванию жидкости. Иногда только асимметричное увеличение размеров мошонки вынуждает мужчину записаться на консультацию к урологу.
- Заболевания, связанные с депонированием жидкости. Сердечно-сосудистая недостаточность, хроническая болезнь почек, сопровождаемая ХПН в стадии декомпенсации, печеночная недостаточность вызывают скопление жидкости не только в оболочках яичек, но и во всех серозных полостях. При этих состояниях гидроцеле вторично.
Патогенез
Точный механизм образования идиопатической водянки яичка у взрослых остается дискутабельным. Возможными патогенетическими механизмами формирования гидроцеле являются усиленная секреция мезотелием серозной жидкости, повреждения или врожденные пороки развития лимфатических путей, нарушения микроциркуляции и неадекватная абсорбция.
Физиологическая водянка у детей обусловлена возрастными анатомическими особенностями строения - незаращенное отверстие перитонеального листка после опущения яичек в мошонку приводит к образованию полости, где скапливается жидкость. Патологию усугубляет несовершенство лимфатического аппарата. Если размеры отверстия большие, в него может выпадать часть кишечника (грыжа). Любое повышение внутрибрюшного давления (при сильном плаче, запорах) препятствует облитерации дефекта и нормализации состояния.
Классификация
В практической урологии и андрологии гидроцеле классифицируется по ряду признаков. По локализации водянка яичка может быть односторонней и двусторонней. По МКБ-10 различают осумкованное (отграниченное), инфицированное, неуточненное (идиопатическое) гидроцеле и др. Если полость содержит более 200 мл жидкости - водянка яичка считается большой, при гигантском увеличении размеров водяночной кисты объем накопления может достигать 3 000 мл. Гидроцеле бывает острым (экссудация или транссудация происходит быстро) или хроническим (жидкость скапливается медленно). По возникновению выделяют следующие разновидности водянки яичка:
- Физиологическая. Присутствует с рождения, со временем отверстие листка брюшины облитерируется, лимфатический аппарат совершенствуется, жидкость рассасывается.
- Врожденная. Может быть сообщающейся, если остается просвет между брюшиной и ее влагалищным отростком, или несообщающейся, когда общего канала с брюшной полостью нет, а экссудат продуцируют непосредственно клетки влагалищного отростка.
- Приобретенная. Выделяют идиопатическую (первичную) приобретенную водянку в случаях с неустановленной причиной, и симптоматическую (вторичную), которая появляется в процессе жизни и имеет связь с патогенетическим фактором.
У некоторых пациентов по результатам ультразвукового исследования обнаруживается, что водяночную кисту делят на камеры одна или несколько перегородок. Эта особенность характерна для длительно существующих гидроцеле. Иногда отмечают кальцифицирование, такая форма вызывает подозрения на туберкулезную этиологию или неопластический процесс.
Симптомы гидроцеле
Симптомы заболевания связаны с объемом накопленной жидкости, при ее небольшом количестве клинические признаки отсутствуют. При значимом скоплении мошонка асимметрично увеличена, кожа натянута (несообщающееся гидроцеле), обычной окраски. При пальпации анатомическая структура однородная, безболезненная, есть трудности в определении контуров яичка. При объеме экссудата более 300-500 мл появляются тянущие боли, чувство дискомфорта, которое усиливается во время физической активности.
Мочеиспускание и эректильная функция при всех формах патологии могут нарушаться по мере увеличения объема. Для сообщающейся водянки типично уменьшение размеров после сна. Многокамерное гидроцеле при вовлечении пахового канала напоминает песочные часы. Клинические проявления реактивного гидроцеле зависят от основного заболевания. При перекруте сосудистого и нервного пучка тестикулы развивается внезапная нестерпимая боль, покраснение кожи, увеличение размера мошонки.
Реактивная водянка при орхите обусловлена воспалительным выпотом, общая симптоматика включает боль, гиперемию кожи, отек яичка, резкую болезненность. При заболеваниях, связанных с задержкой жидкости, выраженные болевые ощущения отсутствуют. Опухоли яичка и придатка в большинстве наблюдений протекают бессимптомно, скопившаяся водная среда мешает пропальпировать новообразование. На поздних стадиях увеличиваются регионарные лимфоузлы.
Осложнения
Осложнения включают нарушение процесса сперматогенеза из-за компрессии тканей яичка жидкостью и расстройства кровообращения. В запущенных случаях при длительно существующем гидроцеле большого объема развивается атрофия яичек. Периодическая травматизация во время езды на велосипеде, при беге, во время сексуального контакта может осложниться орхитом, размножением вторичной микрофлоры (инфицированное гидроцеле).
Из-за нарушения микроциркуляции кожа мошонки становится сухой, отмечается тенденция к развитию дерматита. Сексуальная функция и мочевыделение страдают при гигантском гидроцеле, иногда у мужчины пенис утопает в толще мошонки (скрытый половой член). Поскольку запущенное гидроцеле в 20-30% снижает фертильность, специалисты в области андрологии считают приоритетным раннее выявление и лечение данного заболевания.
Диагностика
Предварительный диагноз гидроцеле устанавливают при физикальном осмотре, однако обязательной частью обследования являются визуализационные методики, применяемые для выявления возможной скрытой основной патологии. В некоторых случаях требуется консультация фтизиоуролога для исключения туберкулезной этиологии процесса или хирурга для подтверждения пахово-мошоночной грыжи. Алгоритм обследования включает:
- Инструментальную диагностику. УЗИ мошонки - приоритетный способ визуализации причины и оценки гидроцеле. На сонограммах видны размеры яичка, его контуры, присутствие опухолевой массы при неоплазиях. В процессе исследования обращают внимание на состояние и положение придатков яичка, изменения тазовых лимфоузлов. КТ и МРТ показаны при реактивной водянке на фоне опухоли.
- Лабораторные анализы. Для неосложненного гидроцеле результаты ОАК и ОАМ неспецифичны, однако эти тесты информативны при выявлении причины вторичной водянки. На фоне воспаления или опухоли отмечается повышение СОЭ и лейкоцитоз. ПЦР-анализ на ИППП применяют для диагностики латентных вензаболеваний. Оценка данных спермограммы учитывается при принятии решения о необходимости операции. Анализы на онкомаркеры (ХГЧ, АФП) назначают для исключения неопластического процесса, скрывающегося за реактивной водянкой.
Дифференциальную диагностику гидроцеле проводят с паховой грыжей, гематоцеле и опухолью яичка, для различения перечисленных патологий используют данные УЗИ. Перекрут, травму, острый орхоэпидидимит от гидроцеле отличает выраженный болевой синдром. При туберкулезе яичка определяются положительные результаты специальных тестов, диагноз окончательно подтверждает морфологическое исследование.
Лечение гидроцеле
Бессимптомная водянка с небольшим объемом жидкости, не влияющая на фертильность, предполагает наблюдение в динамике. У детей изолированная водянка яичка без других пороков развития мочеполовой системы не требует вмешательства до 2-3 лет, поскольку может разрешиться самостоятельно. Реактивное гидроцеле часто исчезает или уменьшается после адекватной терапии основного заболевания. Выраженное депонирование жидкости между париетальным и висцеральном листками брюшины является показанием к оперативному лечению. Применяются:
- Классические вмешательства. Операции Винкельмана и Бергмана включают рассечение мошонки, выведение водяночной кисты в рану и ее пункцию. По способу Винкельмана оболочки яичка выворачивают и сшивают так, чтобы жидкости негде было скапливаться, и она всасывалась в окружающие ткани. По методике Бергмана влагалищную оболочку иссекают, а при операции Лорда гофрируют, что считается менее травматичным, поскольку яичко не отделяют от оболочек и не выводят в рану.
- Малоинвазивные методики. К ним относят склеротерапию, использование плазменного скальпеля (плазмокоагуляция влагалищной оболочки тестикулы), ультразвуковую диссекцию, лазерное рассечение тканей и пр. Эффективность данных методов сопоставима с открытыми операциями, а реабилитационный период и процент осложнений ниже. При воспалительной и опухолевой патологии, которая способствовала появлению гидроцеле, перечисленные способы неприменимы.
- Аспирация водяночной кисты. Этот метод имеет большой процент рецидивов и послеоперационных осложнений в виде гематомы и воспаления. Поэтому в настоящее время пункция гидроцеле проводится только пациентам с тяжелой сопутствующей патологией в качестве паллиативной помощи при значительном объеме жидкости.
Прогнозы и профилактика
Прогноз гидроцеле у детей в 90% благоприятный, пациенты полностью реабилитируются после операции. Исход приобретенной водянки яичка зависит от этиологического фактора. Количество послеоперационных рецидивов составляет 1-5%. Профилактические мероприятия подразумевают использование защиты органов мошонки при занятиях травматичными видами спорта, своевременное лечение воспалительных заболеваний, приверженность моногамным отношениям.
3. Лечение гидроцеле с применением плазменного скальпеля. Автореферат диссертации/ Ефременков Д.С. - 2005.
Варикоцеле - симптомы и лечение
Что такое варикоцеле? Причины возникновения, диагностику и методы лечения разберем в статье доктора Рыжкова Алексея Игоревича, уролога со стажем в 15 лет.
Над статьей доктора Рыжкова Алексея Игоревича работали литературный редактор Елена Бережная , научный редактор Сергей Федосов
Определение болезни. Причины заболевания
Варикоцеле представляет собой варикозное расширение вен в мошонке, по которым кровь должна оттекать от яичка. В 96% случаев этот процесс наблюдается в левой половине мошонки, значительно реже — с обеих сторон, и очень редко — в правой половине. [1] Изменения вен яичка аналогичны происходящим при варикозном расширении вен на ногах — вены увеличиваются в диаметре, приобретают характерную извитость.
Варикоцеле — весьма распространённое состояние, наблюдается у 11,7% взрослых мужчин. [2] Предпосылки для развития варикоцеле закладываются с рождения, но появляется оно в подростковом возрасте, именно в этот период яички увеличиваются в размере и начинают активно функционировать.
Причина варикоцеле заключается во врождённых особенностях строения сосудистой системы организма, приводящих к высокому давлению в венозных сосудах, собирающих кровь от яичка. Именно поэтому варикоцеле чаще возникает слева, так как вена левого яичка впадает в левую почечную вену под прямым углом, способствуя созданию неблагоприятных условий для оттока венозной крови от яичка. Вена правого яичка впадает под острым углом в нижнюю полую вену, что значительно реже нарушает ток венозной крови.

Чаще всего (76% случаев) повышается давление в левой почечной вене, так как она сдавливается между аортой и артерией, отходящей от аорты к кишечнику. Данное состояние называется аорто-мезентериальный пинцет. Эта аномалия часто наблюдается у высоких и худых мужчин, что объясняет более частое наличие у них варикоцеле. [3]

Значительно реже (в 17% случаев) варикоцеле возникает, когда повышается давление в левой общей подвздошной вене вследствие её сдавления между правой общей подвздошной артерией и позвоночником. Данное состояние называется синдром Мейя-Тернера.
Ещё одна причина возникновения варикоцеле — врождённая слабость сосудистой стенки, даже когда отсутствует высокое давление в крупных венозных сосудах, происходит прогрессирующее нарушение венозного оттока от яичка. Тогда варикоцеле часто сочетается с другими заболеваниями вен: варикозная болезнь ног, геморрой.
Изредка варикоцеле бывает вторичным, т.е. возникает не в пубертатном, а в более зрелом возрасте (чаще после 40 лет). В этом случае нужно исключать опухолевые заболевания почки, которые могут сопровождаться формированием опухолевого тромба, нарушающего отток венозной крови в почечной или нижней полой вене и за счёт этого приводящие к формированию варикоцеле. В 9% случаев наблюдается сочетание двух этих механизмов формирования варикоцеле.
Определенную роль в возникновении данных сосудистых аномалий играет наследственность. Варикоцеле у отца повышает вероятность наличия этого заболевания у сына в 4-8 раз. [4]
При обнаружении схожих симптомов проконсультируйтесь у врача. Не занимайтесь самолечением - это опасно для вашего здоровья!
Симптомы варикоцеле
Как правило, варикоцеле протекает бессимптомно и выявляется случайно при обследовании у уролога.
Болевые ощущения в мошонке наблюдаются у 2-11% мужчин с варикоцеле. [5]
Боль при варикоцеле может иметь различную интенсивность: от лёгкого дискомфорта до сильной боли. Характерно, что боль возникает или усиливается на фоне физической нагрузки, особенно продолжительной. Это связано с дополнительным обратным сбросом венозной крови в вены мошонки при повышении давления в брюшной полости. Как правило, боль снижается и проходит, если пациент принимает горизонтальное положение.
При варикоцеле размеры мошонки могут увеличиваться, заболевание может приводить к деформации ее контура, что может стать существенным косметическим дефектом для молодых мужчин.
Патогенез варикоцеле
Увеличение сопротивления венозному оттоку приводит к тому, что яичковые вены расширяются, разрушается клапанный аппарат и происходит обратный ток венозной крови по ним. В этой ситуации сосудистая система яичка и семенного канатика переполняется венозной кровью, приводя к снижению артериального притока к яичку и нарушению его кровоснабжения. При значительном нарушении кровотока яичко уменьшается в размерах (гипотрофия), менее значимые изменения нарушают его функцию: первоначально это нарушение продукции сперматозоидов, а в последующем снижается выработка половых гормонов.
Важным моментом является то, что на фоне скопления в мошонке тёплой венозной крови происходит повышение её температуры. Общеизвестно, что яички у мужчин неслучайно вынесены наружу, это необходимо для адекватного протекания сперматогенеза. Мошонка в данном случае выполняет функцию термостата, приближая и отдаляя яички от тела, она поддерживает их температуру на оптимальном уровне 34-35℃. Многочисленными исследованиями с использованием теплометрии было доказано, что температура мошонки на фоне варикоцеле поднимается до 36-37℃, что негативно сказывается на сперматогенезе.
Многие пациенты задаются вопросом, почему при варикоцеле, выявленном с одной стороны (преимущественно слева), страдают оба яичка. Это объясняется тем, что из-за варикоцеле происходит повышение температуры всей мошонки, при этом нарушается сперматогенез в соседнем яичке.
Еще один механизм негативного влияния варикоцеле на яички связан со сбросом в яичко большого количества гормонов надпочечников, концентрация которых в почечной вене велика за счёт впадения в нее надпочечниковых вен. Гормоны надпочечников обладают негативным влиянием на сперматогенез, а их высокая концентрация в венах яичка при варикоцеле была доказана в ряде исследований.
Классификация и стадии развития варикоцеле
Сегодня используется классификация Всемирной Организации Здравоохранения, предложенная в 1997 г. и включающая 4 степени:
- III степень - расширенные венозные сплетения выпячиваются сквозь кожу мошонки и легко прощупываются;
- II степень - расширенные вены в мошонке не видны, но легко прощупываются;
- I степень - расширенные вены не видны и не прощупываются, за исключением их расширения при ман`вре Вальсальвы (проба с натуживанием, приводящая к повышению давления внутри брюшной полости и сбросу венозной крови в мошонку);
- Субклиническая степень - нет признаков варикоцеле при осмотре, но оно выявляется при ультразвуковом исследовании в допплеровском режиме.
Кроме этого, варикоцеле подразделяют на три гемодинамических типа, согласно рассмотренным ранее причинам:
- Реносперматический тип - отмечается обратный ток венозной крови из почечной вены в вены яичка;
- Илеосперматический тип - имеется обратный ток венозной крови из подвздошных сосудов в вены яичка;
- Смешанный тип (комбинация реносперматического и илеосперматического типа варикоцеле).

Осложнения варикоцеле
Возможные осложнения варикоцеле включают в себя:
- ;
- гипотрофию яичка;
- мужской гипогонадизм.
Под бесплодием понимают отсутствие беременности на протяжении более 1 года у пары, регулярно живущей половой жизнью без использования средств контрацепции. Бесплодие — самое частое патологическое состояние, наблюдаемое у мужчин с варикоцеле, а в структуре причин мужского бесплодия варикоцеле находится на первом месте.
Наибольшую информацию о степени влияния варикоцеле на способность к зачатию даёт исследование спермы (спермограмма). Изменения спермограммы при варикоцеле варьируют в широких пределах: от полного отсутствия сперматозоидов (азооспермия), наблюдаемого в редких случаях, до умеренных нарушений подвижности сперматозоидов (астенозооспермии). Кроме этого, варикоцеле может быть причиной положительного MAR-теста (тест на иммунное бесплодие). Многочисленные исследования продемонстрировали, что излечение варикоцеле приводит к значительному увеличению шансов на зачатие, что подтверждает роль варикоцеле в возникновении бесплодия.
О гипотрофии яичка говорят в тех случаях, когда яичко уменьшено в объёме более чем на 10% по сравнению с противоположным. Данные о частоте этого состояния у мужчин с варикоцеле варьируют в широких пределах от 10 до 77%. [6] [7] Причиной гипотрофии является нарушение кровоснабжения яичка на фоне варикоцеле. В большинстве, хотя и не во всех случаях, излечение варикоцеле приводит к восстановлению нормального объёма яичка.
Мужской гипогонадизм представляет собой снижение уровня мужских половых гормонов, в первую очередь тестостерона, до уровня ниже нормальных значений. Симптомы данного состояния весьма разнообразны. Это и сексуальные расстройства в виде нарушений эрекции, утраты сексуального желания, и психоэмоциональные изменения в виде снижения работоспособности, концентрации, а также уменьшение количества мышечной массы, увеличение количества жировой ткани и др.
В норме у мужчин тестостерон начинает снижаться примерно с 30 лет по 1-2% в год. При наличии варикоцеле, как было показано в ряде исследований, этот процесс может протекать значительно быстрее, и, в целом, мужчины с варикоцеле имеют более низкий уровень тестостерона по отношению к здоровым мужчинам. Причина этого состояния, с большой вероятностью, также связана с нарушением кровоснабжения в яичке в результате варикоцеле, что приводит к снижению активности ферментов, участвующих в синтезе тестостерона, и закономерно снижает его концентрацию. Излечение варикоцеле позволяет надеяться на повышение концентрации тестостерона в крови.
Диагностика варикоцеле
Постановка диагноза варикоцеле производится на основании осмотра пациента, но диагноз должен обязательно подтверждаться ультразвуковым исследованием с допплерографией сосудов мошонки.
Ультразвуковое исследование позволяет определить наличие варикозных вен лозовидного сплетения мошонки и оценить их диаметр. Расширение вен лозовидного сплетения на ширину 2,5 мм или более позволяет поставить пациенту диагноз варикоцеле. Кроме этого, при УЗИ обязательно оценивают состояние яичка и его размеры, чтобы установить возможность гипотрофии.
Ультразвуковое исследование нужно дополнять допплерографией. Этот режим позволяет оценить направление тока крови по венам. В норме кровь по венам должна оттекать от яичка, если же имеет место обратный ток крови к яичку в покое или во время пробы Вальсальвы, можно констатировать наличие у пациента варикоцеле.
Лечение варикоцеле
Лечение варикоцеле только оперативное, никакие другие методы лечения, включая коррекцию образа жизни и приём лекарственных препаратов, не являются эффективными.
Хирургическое лечение варикоцеле показано при наличии:
- боли в мошонке;
- гипотрофии яичка;
- мужском бесплодии.
За всю историю лечения варикоцеле было предложено более 300 различных оперативных пособий.
Сегодня используются четыре вида операций:
- операция Иваниссевича;
- лапароскопическая венэктомия;
- рентгенэндоваскулярная окклюзия яичковой вены.
- микрохирургическая субингвинальная варикоцелэктомия
Все представленные методы лечения направлены на блокирование обратного тока венозной крови за счёт максимально эффективного пересечения яичковых вен на разных уровнях.
Операция Иваниссевича — наиболее простой и наименее эффективный способ лечения варикоцеле. Выполняется разрез в подвздошной области слева, в забрюшинном пространстве находится яичковая вена, представленная одним или двумя-тремя стволами, перевязывается и пересекается. Преимущества операции — в простоте исполнения; недостатки — высокая травматичность, плохой косметический результат (разрез 5-7 см) и очень большая частота осложнений, например, рецидив варикоцеле (повторное возникновение варикоцеле) — 29% и гидроцеле (водянка, скопление большого количества жидкости между оболочками мошонки, увеличивающее её объём и требующее оперативного лечения) — 5-10%. [8]
Лапароскопическая венэктомия отличается от операции Иваниссевича тем, что для доступа к яичковой вене используется эндоскопическая техника. На передней поверхности живота делаются небольшие разрезы (3 по 1,5 см), через которые в брюшную полость вводится камера и эндоскопические инструменты, с помощью которых находится, выделяется, клипируется и пересекается яичковая вена. К преимуществам данной методики следует отнести лучший по отношению к операции Иваниссевича косметический эффект. К недостаткам — достаточно высокий риск развития рецидива (7%) и гидроцеле (5,8%), а также возможность развития тяжёлых осложнений, связанных с проникновением в брюшную полость (травма кишечника, крупных сосудов и нервов, лёгочная эмболия, перитонит, послеоперационная боль в правом плече (из-за диафрагмального растяжения во время пневмоперитонеума). [8]
Эндоваскулярная эмболизация яичковой вены — операция, выполняемая не урологами, а сосудистыми хирургами. Под местной анестезией выполняется небольшой разрез на бедре, осуществляется доступ в венозную систему. После чего в вену вводится катетер и проводится сначала в почечную, а затем в яичковую вену. На всём протяжении яичковой вены расставляются препятствия току крову в виде спиралей. Преимущества данной методики заключаются в малой травматичности, выполнении процедуры под местной анестезией и отсутствии риска такого осложнения, как гидроцеле. Дело в том, что причиной гидроцеле является случайная перевязка лимфатических сосудов, по которым движется межтканевая жидкость. Данная операция выполняется из просвета вены, что исключает повреждение лимфатических сосудов и, соответственно, развитие гидроцеле. К недостаткам следует отнести лучевую нагрузку (операция выполняется под рентгенологическим контролем), большую частоту неудачных интервенций — 9-27%, т.е. ситуаций, когда хирургу в силу анатомических особенностей не удаеёся дойти до яичковой вены, высокую частоту рецидивов — 10% и других осложнений — 11% (гематомы, перфорации, кровотечения). Сегодня эта методика не используется как метод первичного лечения варикоцеле, она может применяться при рецидиве, когда другие операции не принесли результата.

Микрохирургическая субингвинальная варикоцелэктомия (операция Мармара) — «золотой стандарт» хирургического лечения варикоцеле. При данной методике разрез 2-2,5 см делается на уровне чуть выше основания полового члена. Осуществляется доступ к семенному канатику, который выделяется из окружающих тканей и выводится в рану. Далее под оптическим увеличением вскрывается семенной канатник и разделяются его сосуды, при этом вены перевязываются, а артерия и лимфатические сосуды должны быть сохранены.

К преимуществам методики относится малая травматичность, хороший косметический результат, низкая вероятность рецидива — 1% и гидроцеле — 0,4%. К недостаткам — сложность выполнения, требующая длительного обучения, и зависимость результата от опыта хирурга (требуется выполнять не менее 100 таких операций в год для обеспечения оптимального результата), а также нарушение артериального кровоснабжения яичка в случае повреждения яичковой артерии, что наблюдается крайне редко (менее 0,01% случаев). [8]
Прогноз. Профилактика
Большинство врачей придерживаются мнения, согласно которому варикоцеле является прогрессирующим заболеванием, постепенно всё более значимо нарушающим функционирование яичек. Этим, в частности, можно объяснить высокую частоту вторичного бесплодия у мужчин с варикцоцеле. В таком случае мужчина с варикоцеле добивается беременности у партнерши в молодом возрасте (до 25 лет), а в последующем, когда пара планирует второго ребенка, возникают трудности, что, вероятно, связано с прогрессирующим нарушением сперматогенеза на фоне варикоцеле. В более позднем возрасте, после 40 лет, варикоцеле распространяет свое влияние на продукцию яичком мужских половых гормонов — функцию гораздо менее чувствительную к негативным факторам, чем сперматогенез. Это может приводить к снижению уровня тестостерона в крови.
Варикоцеле, в подавляющем большинстве случаев, — состояние, предопределённое с рождения, поэтому у нас нет эффективных методов его профилактики. А единственный метод предотвращения прогрессирования заболевания — это его хирургическое устранение.
УЗИ яичек при водянке яичка

УЗИ яичек играет важную роль в определении формы, размера и плотности яичек, дифференциальной диагностике интра- и экстратестикулярных аномалий, вызывающих увеличение мошонки. Большинство экстратестикулярных образований (т.е аномалий, расположенных вне яичка) являются доброкачественными, в то время как интратестикулярные аномалии чаще всего носят злокачественный характер. Ультразвуковое исследование является высокочувствительным (100%), безболезненным, неинвазивным и безвредным методом обследования мошонки.
Перед ультразвуковым исследованием яичек врач подробно расспросит вас об истории заболевания и проведет физикальный осмотр области мошонки и паха, после чего приступит к выполнению УЗИ яичек.
Как выполняется УЗИ яичек при водянке яичка?
УЗИ яичек при водянке яичка проводится в положении лежа на спине. Исследование выполняется в специальном кабинете, где установлено оборудование для УЗИ. В кабинете поддерживается высокая температура для предотвращения подтягивания яичек к животу и обеспечения хорошей визуализации содержимого мошонки. Под мошонку подкладывается полотенце для удобства проведения УЗИ. Половой член аккуратно отодвигается в сторону и прикрывается полотенцем. Теплый гель наносится на кожу мошонки для лучшего проведения ультразвуковых волн.

Оборудование для проведения УЗИ яичек
Для оптимальной визуализации содержимого мошонки используется линейный датчик высокого разрешения (7,5 MHz или выше). Датчик посылает ультразвуковые волны определенной длины, и в зависимости от плотности исследуемых структур отраженные от них волны будут иметь различный характер, или эхогенность. Отраженные волны воспринимаются датчиком, преобразуются и отображаются на мониторе в виде ультразвукового изображения.
Ультразвуковая анатомия мошонки и яичка
Оба яичка обследуются во время УЗИ как в продольной, так и поперечной плоскостях. Начальное изображение должно захватывать оба яичка, что позволит сравнить между собой их размер и гомогенность, выявить несимметричность, если таковая есть. Далее каждое яичко обследуется в поперечной плоскости от верхнего конца до нижнего. Во время обследования доктор может сохранять изображения и распечатывать их после окончания процедуры. Также врач осмотрит яички и в продольном направлении.

В норме яичко определяется как гомогенная структура овальной формы, эхогенность которой сравнима с эхогенностью щитовидной железы.

На первой картинке визуализируется гомогенная структура яичка в продольной плоскости. Текстура яичка такая же, как у щитовидной железы, представленной на втором изображении.
Белочная оболочка яичка на УЗИ представляет собой плотную полоску вокруг яичка. Яичко окружено влагалищной оболочкой, на УЗИ выглядящей как гипоэхогенное кольцо вокруг яичка. Висцеральная пластинка влагалищной оболочки прилежит к яичку и отделена от париетального листка тонким слоем серозной жидкости.
На данном изображении представлен срез яичка в поперечной плоскости. Яичко визуализируется как гомогенное образование, окруженное гипоэхогенным кольцом фиброзной ткани. Это кольцо является влагалищной оболочкой, содержащей между своими листками небольшое количество жидкости.

Как мы знаем, белочная оболочка по задней поверхности вдается в паренхиму яичка и формирует перегородку, которую можно увидеть при УЗИ. Перегородка яичка визуализируется в продольной плоскости яичка как эхогенная линейная полоска. Также во время исследования доктор может увидеть следующие структуры: сеть яичка, головку, тело и хвост придатка. Образовавшиеся в яичках сперматозоиды через сеть яичка попадают в выносящие канальцы, которые формируют головку придатка яичка. Сеть яичка выглядит как гипоэхогенная или разделенная перегородками кистозная область около головки придатка. Головка придатка на УЗИ визуализируется как образование треугольной формы с закругленными краями такой же эхогенности, что и яичко. Также в процессе обследования должны визуализироваться тело и хвост придатка. Однако хвост придатка очень маленький и локализуется кзади, что не всегда позволяет увидеть его при УЗИ.
На данном изображении яичка в продольной плоскости визуализируется перегородка яичка в виде эхогенного образования.

На ультразвуковом изображении в продольной плоскости визуализируется сеть яичка в виде гипоэхогенной области разделенной перегородками.

На первом изображении видна головка придатка яичка. По сравнению с яичком придаток изоэхогенный или чуть более эхогенный.

Семенной канатик осматривают в направлении от пахового канала к мошонке.
Мошонка и ее структуры кровоснабжаются через три основных сосуда - артерия семявыносящего протока, яичковая и кремастерная артерии. УЗИ с доплером позволяет увидеть кровоснабжение яичка и его придатка и оценить скорость и объем кровотока в тестикулярных сосудах. УЗИ с доплером помогает диагностировать ишемию на ранней стадии.
На рисунке справа показано нормальное кровоснабжение яичка.

УЗИ яичек при водянке яичка
Гидроцеле - скопление жидкости между листками влагалищной оболочки. Серозная жидкость может накапливаться внутри влагалищной оболочки по разным причинам, которые включают инфекции, травмы, нарушение закрытия влагалищного отростка и др.
УЗИ яичек при водянке яичка дает возможность диагностировать гидроцеле в виде анэхогенного образования внутри мошонки.
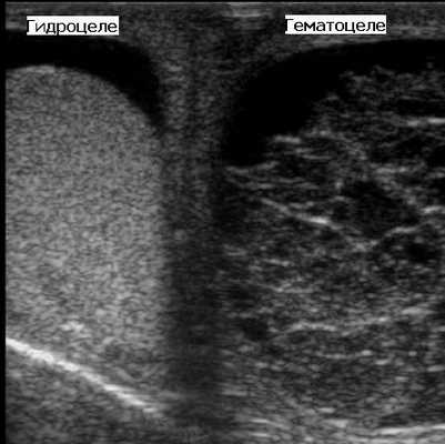
На ультразвуковом изображении слева визуализируется нормальное яичко, окруженное влагалищной оболочкой. Справа яичко окружено гидроцеле - между париетальным и висцеральным листками находится большое количество жидкости.

Гидроцеле может быть настолько большого размера, что при пальпации врач не может определить нахождение яичек. В этом случае УЗИ помогает определить локализацию яичка.

Гидроцеле заполнено серозной жидкостью, именно поэтому при УЗИ оно имеет анэхогенную структуру. Если в полость гидроцеле попадает кровь, такое патологическое состояние носит название гематоцеле. Гематоцеле может возникать в результате травмы мошонки, перекрута, опухолевой инвазии. Пиоцеле - это скопление гноя в полости гидроцеле из-за присоединения инфекции. При УЗИ пиоцеле и гематоцеле - это эхогенные образования, в полости которых со временем могут появляться перегородки, уровни жидкости.
На рисунке слева показано гидроцеле, заполненное серозной жидкостью. А справа визуализируется гематоцеле с большим количеством перегородок.

Нередко УЗИ яичек при водянке яичка помогает не только подтвердить факт наличия гидроцеле, но и установить причину его развития.
Орхит и эпидидимит - воспаление яичка или его придатка, нередко вызывают формирование реактивного гидроцеле. Кроме увеличения мошонки орхит или эпидидимит может сопровождаться болезненностью мошонки, а также температурой, ознобом дизурией и др. При эпидидимите придаток яичка увеличен в размере и имеет гипоэхогенную структуру. Доплер-УЗИ выявляет усиленный кровоток в области придатка. При орхите яичко на УЗ-изображении имеет гетерогенную структуру.

На рисунках виден увеличенный гипоэхогенный придаток яичка с усиленным кровотоком и небольшого размера реактивное гидроцеле.
На данном рисунке представлено яичко, имеющее негомогенную структуру, и гидроцеле небольшого размера. Такие результаты УЗИ помогают поставить диагноз орхита, сопровождающегося формированием реактивного гидроцеле.

Перекрут яичка - неотложное урологическое состояние, требующее немедленного хирургического лечения. Перекрут яичка сопровождается возникновением острой боли в области мошонки, ее увеличением, тошнотой и рвотой. Так как яичко свободно лежит в мошонке оно легко закручивается вокруг своей оси, что приводит к перекручиванию семенного канатика и нарушению тока крови по его сосудам.
Во время ультразвукового исследования с доплером при перекруте яичка определяется нарушенное кровоснабжение яичка, сопровождающееся формированием реактивного гидроцеле, как показано на рисунке.
Водянка яичка у мальчика
Водянка яичка у мальчиков - скопление серозной жидкости, продуцируемой влагалищной оболочкой яичка, между ее листками. Водянка яичка у мальчиков сопровождается увеличением размеров мошонки с одной или двух сторон, иногда - затруднением мочеиспускания. Диагностика водянки яичка у мальчиков проводится детским хирургом ли урологом, включает осмотр и пальпацию мошонки, диафаноскопию, УЗИ мошонки. При водянке яичка у мальчиков может использоваться выжидательная тактика, проводиться пункция гидроцеле или хирургическое лечение.
Причины водянки яичка у мальчиков
Врожденная водянка яичка у мальчиков обусловлена эмбриологическими нарушениями. Приблизительно на 28 неделе внутриутробного развития яичко по паховому каналу опускается в мошонку, вместе с ним в мошонку перемещается и влагалищный отросток брюшины. В дальнейшем происходит облитерация проксимальной части отростка брюшины, а из дистальной формируется влагалищная оболочка яичка.
Незаращению влагалищного отростка и формированию водянки яичка у мальчиков до 3-х лет способствует патологическое течение беременности у матери (угроза выкидыша), родовая травма, недоношенность, крипторхизм, гипоспадия, а также состояния, сопровождающиеся постоянным повышением внутрибрюшного давления - дефекты брюшной стенки, асцит, вентрикулоперитонеальные шунты, перитонеальный диализ и др.
У мальчиков старше 3-х лет водянка яичка обычно является вторичной. Реактивное гидроцеле связано с нарушением процессов фильтрации и реабсорбции жидкости, продуцируемой влагалищной оболочкой яичка. К таким нарушениям могут приводить перекрут яичка, травмы области мошонки, воспалительные заболевания (орхит, эпидидимит и др.), опухоли яичка и его придатка.
В редких случаях острая водянка яичка у мальчиков может являться осложнением ОРВИ, гриппа, паротита и других детских инфекций. Кроме этого, приобретенная водянка яичка у мальчиков может развиться как послеоперационное осложнение после грыжесечения или операции при варикоцеле (варикоцелэктомии).
Классификация водянки яичка у мальчиков
Таким образом, рассмотренные выше причины позволяют выделить первичную идиопатическую (врожденную) и вторичную реактивную (приобретенную) водянку яичка у мальчиков.
С учетом давления жидкости в полости гидроцеле различают напряженную и ненапряженную водянку яичка у мальчиков. Напряженное гидроцеле - практически всегда несообщающееся; в этом случае жидкость в водяночной полости находится под давлением, так как, накапливаясь, не может покинуть мошонку. При ненапряженной водянке яичка у мальчиков давление в полости не повышено: чаще всего это бывает при сообщающемся варианте гидроцеле.
Врожденная водянка яичка у ребенка до 1-1,5 лет расценивается как физиологическая; чаще она проходит самостоятельно без какого-либо вмешательства. Характер течения водянки яичка у мальчиков может быть острым или рецидивирующим, хроническим. В зависимости от локализации встречается одно- и двусторонняя водянка яичка у мальчиков.
Симптомы водянки яичка у мальчиков
Обычно признаки водянки яичка у мальчиков обнаруживают родители во время проведения гигиенических процедур. Иногда гидроцеле выявляет детский хирург во время профилактического осмотра ребенка.
При водянке яичка у мальчиков отмечается увеличение мошонки в размерах с одной или обеих сторон. В случае сообщающегося гидроцеле увеличение мошонки носит преходящий характер; при изолированном - увеличение мошонки происходит постепенно. Размеры мошонки при водянке яичка у мальчиков могут достигать гусиного яйца, а в запущенных случаях - детской головки.
Сообщающаяся водянка яичка у мальчиков может иметь различную величину и напряжение в течение дня: наибольшей величины опухоль мошонки достигает днем, когда ребенок двигается; ночью, в положении лежа опухоль может исчезать вследствие опорожнения содержимого водяночного мешка в брюшную полость.
Водянка яичка у мальчиков, как правило, протекает безболезненно и без признаков воспаления. При вторичном инфицировании гидроцеле может появиться болезненность, покраснение мошонки, озноб, температура, рвота. При большом объеме скопившейся жидкости у детей может затрудняться мочеиспускание и развиваться острая задержка мочи. Старшие дети отмечают неприятные распирающие ощущения, тяжесть в паховой области и дискомфорт при ходьбе.
У мальчиков, имеющих широкий незаращенный влагалищный отросток брюшины, наряду с водянкой яичка могут развиваться косые паховые или пахово-мошоночные грыжи.
Диагностика водянки яичка у мальчиков
При обнаружении у мальчика припухлости в области мошонки родители должны незамедлительно обратиться к детскому хирургу или детскому урологу. На консультации специалист проведет осмотр и пальпацию мошонки.
Неинвазивным тестом диагностики водянки яичка у мальчиков служит диафаноскопия мошонки - исследование тканей в проходящем свете (трансиллюминация). В процессе диафаноскопии в мошонке может быть обнаружена не только жидкость, равномерно пропускающая свет, но также сальник или часть кишки при сопутствующей пахово-мошоночной грыже, которые будут задерживать свет.
С помощью УЗИ мошонки и паховых каналов подтверждается диагноз водянки яичка у мальчиков, исключается более серьезная патология (рак яичка, воспаление или перекрут яичка или его придатка). Кроме этого, УЗИ мошонки является высокочувствительным методом в определении вида водянки яичка у мальчиков (сообщающейся или несообщающейся). В дополнение к основному исследованию целесообразно проведение УЗДГ сосудов мошонки.
Дифференциальная диагностика проводится между водянкой яичка и мальчиков и другими заболеваниями органов мошонки: перекрутом яичка, ущемленной грыжей, сперматоцеле, кистой придатка яичка.
Лечение водянки яичка у мальчиков
У детей до 1 года при врожденной ненапряженной водянке яичка в педиатрии принято придерживаться выжидательной тактики и динамического наблюдения. В большинстве случаев такое гидроцеле не требует врачебного вмешательства и проходит самостоятельно по мере облитерации брюшинного отростка.
При реактивной водянке яичка у мальчиков необходимо лечение основного заболевания. Напряженная водянка яичка у мальчиков требует проведения пункции гидроцеле и удаления жидкости из оболочек яичек. Однако в этом случае высока вероятность повторного накопления жидкости в мошонке и необходимости проведения повторных пункций.
Оперативное лечение врожденного гидроцеле рекомендуется проводить в возрасте 1,5 - 2 лет; посттравматического - через 3-6 мес. после травмы. Хирургическое лечение у мальчиков до 2-х летнего возраста показано при сочетании водянки яичка с паховой грыжей; рецидивирующем быстро нарастающем напряженном гидроцеле; инфицировании гидроцеле.
Прогноз и профилактика водянки яичка у мальчиков
Физиологическая водянка яичка у мальчиков не опасна и у 80% детей проходит самостоятельно в течение первого года жизни. Соблюдение сроков хирургического лечения и технически грамотное выполнение операции позволяет радикально избавиться от гидроцеле и избежать осложнений.
Хроническое гидроцеле в будущем может вызывать нарушение сперматогенеза и мужское бесплодие, поскольку яички крайне чувствительны к малейшему изменению окружающей температуры и могут нормально функционировать лишь в небольшом температурном диапазоне. Кроме того, напряженное гидроцеле может привести к нарушению кровообращения в яичке и его последующей атрофии. При водянке яичка у мальчиков может произойти сдавление или ущемление сопутствующей грыжи.
Профилактика водянки яичка у мальчиков заключается, главным образом, в предотвращении воспалительных заболеваний и травм органов мошонки. Необходим регулярный осмотр родителями половых органов мальчика и незамедлительное обращение к педиатру и детскому хирургу при обнаружении припухлости в области мошонки. Мальчики с врожденной водянкой яичка должны наблюдаться детским урологом-андрологом.
Читайте также:
- Синдром Доллингера-Бильшовского (Dollinger-Bielschowsky)
- Ценность инсуфляции контраста в кишку. Пальцевое исследование прямой кишки
- Исследование проходимости носа. Методы оценки проходимости носа
- Ингибиторы синтеза ранних белков вирусов. Ингибиторы синтеза нуклеиновых кислот вирусов.
- Цветная дуплексная ультрасонография. Техника дуплексной ультрасонографии
