КТ, МРТ при периневральной опухолевой инвазии жевательного пространства по нижнечелюстному нерву
Добавил пользователь Евгений Кузнецов Обновлено: 01.11.2025
Магнитно-резонансная томография активно используется в медицине как передовой, наиболее точный и информативный метод диагностики. Часто он рекомендуется при оценке текущего состояния нервной системы - как центральной, так и периферической.
В процессе обследования на томографе создаются виртуальные срезы диагностической области. При этом удается сформировать объемную модель, на которой будут отлично видны признаки любых типов патологии.
Важное отличие от другой распространенной диагностической методики - компьютерной томографии, заключается в том, что на организм не оказывается никакого вредного излучения.
Это позволяет проводить обследование столько раз, сколько это потребуется для отслеживания успешности прохождения восстановительного процесса, эффективности использования определенного метода лечения.
Особенности использования МРТ при диагностике тройничного нерва
Когда у человека возникают признаки проблемы с тройничным нервом, магнитно-резонансная томография становится одним из наиболее информативных методов. Обследование пациента на томографе позволяет быстро определить наличие воспаления, область ее локализации и другие особенности.
Также важное преимущество заключается в том, что врачам удается не только отыскать само воспаление, но также сделать выводы о первопричинах его возникновения.
Среди наиболее распространенных причин:
- Новообразования разного размера и типа.
- Протекание в организме пациента инфекционного процесса.
- Травмирование, затрагивающее область нахождения тройничного нерва.
- Распространение сосудистых нарушений.
- Иммунные заболевания.
Современная магнитно-резонансная томография отлично показывает себя в том случае, когда нужно провести диагностику состояния артерий и вен, которые прилегают к тройничному нерву.
Магнитно-резонансная томография подойдет при поиске разных видов патологии. МРТ можно использоваться в качестве дополнительного метода анализа состояния пациента неврологом.
Для постановки правильного диагноза также используются средства для проверки рефлексов, сбора анамнеза и различных сопутствующих анализов.
Особенность расположения тройничного нерва
Важная особенность тройничного нерва заключается в том, что он располагается с обеих сторон головы. Основное ядро этой структуры расположено в стволе головного мозга.
Сам нерв отличается большой протяженностью и на каждой области его расположения могут появиться различные факторы, которые стимулируют появление сильных болей и других распространенных проблем.
Различается несколько основных областей тройничного нерва:
- Глазная.
- Верхнечелюстная.
- Нижнечелюстная.
Важно быстро выявить первые признаки патологии, провести диагностику и приступить к правильному лечению.
Наш оператор перезвонит вам в течении 20 мин
Главные симптомы развития воспалительного процесса
У многих пациентов проявляются различные заболевания, которые поражают область тройничного нерва. Среди распространенных есть такие, как неврит и невралгия.
Невралгия диагностируется у пациентов достаточно часто. В особую категорию риска попадают женщины в возрастной группе от 40 до 60 лет. Часто процесс развивается на фоне сосудистых нарушений, проблем с эндокринной системой.
Причинами невралгии также могут стать заболевания десен и зубов, поражение организма вирусом, различные типы новообразований.
Есть несколько основных симптомов, по которым можно сделать вывод о развитии в организме пациента невралгии. К ним относятся такие, как:
- Сильная боль в разных областях локализации нерва.
- Значительное расширение зрачков.
- Увеличение выделения слюны и слез.
- Проблемы с чувствительностью - слишком сильная выраженность или притупление.
Также невралгия проявляет себя выраженным парезом. При нем ткани лица начинают краснеть.
Невриты относятся ко второй по распространенности категории заболеваний. Чаще всего они возникают из-за сильного травмирования, локального протекания воспалительного процесса, появления опухолей во внутричерепном пространстве.
К наиболее полным распространенным признакам того, что пациент болеет невритом относятся такие, как:
- Сильная боль разного характера - сверлящего, ноющего, стреляющего.
- Неприятные ощущения на коже - это могут быть мурашки, жжение, покалывание.
- Ухудшение степени чувствительности.
- Возникновение локального атрофического процесса, который затрагивает кожу и слизистые оболочки в организме пациента.
Если неврит затрагивает нижнечелюстной нерв, состояние характеризуется сильными спазмами, параличом. Иногда человек не может зевать или нормально жевать.
Очень важно быстро определить, что у человека начинает развиваться воспалительный процесс, устранить его с использованием стандартных методов. Таким образом, МРТ удается использовать как часть комплексного обследования пациента.
Может ли МРТ использоваться при диагностике воспаления тройничного нерва
Магнитно-резонансная томография хорошо показывает себя при диагностировании различных вариантов поражения нервов в организме человека. Использование МРТ позволяет получить качественную визуализацию.
Очень важно то, что МРТ помогает не только установить распространение воспалительного процесса, но и сделать вывод о том, по какой причине он начал развиваться. Существует сразу несколько основных патологий, которые удается определить с применением МР-диагностики:
- Деформации позвоночника. Негативно сказывается на состоянии тройничного нерва сильная деформация, сосредоточенная в области шейного отдела позвоночника. Именно она обычно сопровождается поражением нервных волокон.
- Черепно-мозговые травмы. Они могут быть разными - от перелома черепа до ушиба мозга.
- Опухолевый процесс. Воспаление может стимулироваться разными основными видами новообразований, как доброкачественного, так и злокачественного характера.
- Патологии кровеносных сосудов. Таким образом, происходит значительное ухудшение состояния кровообращения.
- Развитие вазоневрального конфликта. Затрагивается не только сам нерв, но и располагающиеся рядом с ним вены и нервы.
Также применение магнитно-резонансной томографии становится оптимальным вариантом диагностики в том случае, если у человека есть различные анатомические особенности. К ним относятся такие, как врожденные деформации, изменения носоглотки или гайморовых пазух.
Особенности проведения МРТ при воспалении тройничного нерва
Процесс обследования на магнитно-резонансном томографе максимально прост. Если у пациента есть признаки распространения воспалительного процесса, невролог собирает анамнез и говорит о том, какой вариант диагностики стоит проводить в конкретном случае.
Это может быть стандартное МР-сканирование или использование дополнительного контрастного усиления.
Человеку во время обследования нужно просто лечь на кушетку, которая будет помещена внутрь трубы томографа. Таки образом, человек попадает внутрь сильного магнитного поля.
На протяжении всего времени прохождения магнитно-резонансной томографии, потребуется сохранять неподвижность. Длительность будет отличаться в зависимости от того, нужно ли использовать дополнительное контрастное усиление.
При введении контраста длительность сеанса МРТ становится в полтора-два раза больше. При этом используются полностью безопасные вещества. Они выводятся из организма естественным путем.
По итогам проведения обследования, пациенту выдается подробное заключение с указанием всех выявленных проблем. Именно это заключение вместе со снимками будет использоваться вашим неврологом или другими врачами для назначения определенного метода лечения.

Какие контрастные вещества используют в МРТ
Рассмотрим, что входит в состав вещества, применяемого в качестве средства для контрастного усиления.…

Шишка на шее - опасно или нет
Появление на шее уплотнения в виде шишки обусловлено разными факторами. Развитие шишки провоцирует простуда,…

Вертеброгенный болевой синдром
Кто испытывает постоянные боли в спине и суставах, знает, как боль сковывает движения, обычные действия…
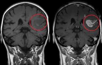
Инвазия опухоли: механизмы и последствия
Каждый пациент на приёме у врача больше всего боится, что у него заподозрят или, что хуже, найдут новообразование. Однако мало кто знает о механизме развития опухоли и за счет чего конкретно данный диагноз является настолько страшным. В этой статье мы разберёмся, что именно делает онкологические заболевания такими опасными для жизни.
Строение тканей с точки зрения формирования опухолевого процесса
Чтобы разобраться в механизме образования и развития опухоли, необходимо иметь представление о принципе строения тканей в организме. Большинство тканей, независимо от места их расположения, имеют сходный план строения:
- Базальная мембрана — это неклеточная структура, отграничивающая ткани друг от друга;
- Ростковый слой — группа активно делящихся клеток, расположенных на базальной мембране, которые обеспечивают обновление ткани. Именно изменение генетического материала клеток росткового слоя влечёт за собой развития опухоли;
- Слой созревающих клеток — клетки ростового слоя, которые постепенно продвигаются в верхние слои в процессе дифференцировки (приобретения формы и свойств, характерных для данной ткани);
- Поверхностный слой — группа клеток, которая и обеспечивает выполнение тканью определённой функции.
Между ростковым и поверхностным могут располагаться дополнительные слои в зависимости от конкретного вида ткани. Но принцип строения всегда один и тот же: клетки, способные делиться, находятся на базальной мембране. В процессе созревания они перемещаются в верхние слои, утрачивая способность к делению и приобретая специфические свойства.
Доброкачественные и злокачественные опухоли: в чем разница?
Исходя из того, клетки какого слоя подверглись мутации, выделяют два типа неоплазий — доброкачественные и злокачественные. Их отличия заключаются в том, что первый тип формируется из высоко дифференцированных клеток созревающего слоя. При доброкачественных опухолях клетки не будут сильно отличаться от здоровых клеток данной ткани. Такая неоплазия считается неагрессивной и растет медленно, а также не даёт метастазы. Патогенное действие доброкачественного новообразования заключается главным образом в сдавлении окружающих её тканей. Иногда такие опухоли полностью или частично закрывают просвет какого-либо полого органа.
Злокачественные новообразования возникают из-за мутаций клеток низкодифференцированного росткового слоя. Опухолевый рост происходит стремительно, из-за чего новообразование нуждается в активном питании. Эта потребность удовлетворяется за счет собственных ресурсов организма: новообразование обкрадывает своего носителя. Именно злокачественные неоплазии принято называть «раком». К доброкачественным образованиям этот термин не относится. При злокачественных опухолях происходит инвазия раковых клеток.
В процессе развития рака выделяют 4 стадии:
- Стадия предопухоли. В этот период наблюдается изменение клеток росткового слоя: они могут увеличиваться в размерах и приобретать нетипичные формы.
- Стадия неинвазивной опухоли. Ещё одно название этой стадии — «рак на месте» (или «рак in situ»). Клетки росткового слоя всё также созревают и продвигаются наверх, хотя теперь их структура и свойства изменены. Поэтому в стадии неинвазивной опухоли мы будем видеть изменения не только в самом глубоком слое.
- Стадия инвазивного роста — прорастание через базальную мембрану.
- Стадия метастазирования.

Что такое инвазия опухоли?
Данный термин происходит от латинского слова «invasio», что переводится как «нашествие» или «нападение». Инвазия — это процесс распространения раковых клеток посредством прорастания опухоли через базальную мембрану.
Инвазия обуславливает способность опухолей давать метастазы — вторичные очаги онкологического процесса вдали от материнской опухоли, возникшие из-за миграции раковых клеток. Обязательное условие метастазирования — наличие у опухоли собственной капиллярной сети. Она формируется, когда количество неопластических клеток достигает 103 (1-2 мм).
- Разрыв межклеточных связей, соединяющих раковые клетки между собой;
- Прикрепление клеток опухоли к базальной мембране;
- Разрушение базальной мембраны лизирующими (расщепляющими) ферментами;
- Миграция клеток в соседние ткани и органы.
Раковые клетки, находящиеся в процессе инвазии, более устойчивы к облучению и химеотерапии, чем стационарные. Во многом это связано с временной утратой мигрирующими клетками способности к делению. Также движущиеся опухолевые клетки проявляют повышенную активность антиапоптотических генов (гены, препятствующие запрограммированной смерти клетки — апоптозу). И, поскольку химиотерапевтические препараты направлены на стимуляцию апопоза, их устойчивость к лечению возрастает.
Инвазивный рост опухоли не только способствует её распространению по всему организму, но и обеспечивает раковым клеткам интенсивное питание. Поэтому можно сказать, что инвазия является фактором «укоренения» новообразования.
Факторы, определяющие степень инвазивности опухоли
Чтобы злокачественная опухоль проросла сквозь базальную мембрану, необходимо наличие следующих факторов:
- Быстрое деление и давление. Механическое воздействие опухолевой массы на базальную мембрану способствует её разрушению и, как следствие, инвазии раковых клеток;
- Подвижность клеток. Клетки новообразования способны к миграции, причем их движение не является хаотичным. Они движутся в направлении большей концентрации кислорода, питательных веществ, а также в сторону более нейтрального показателя кислотности (рН);
- Межклеточные связи. Чем прочнее эти контакты, тем меньше шансов, что опухоль начнет инвазивный рост. У злокачественных клеток связи слабые, поэтому клетки легко отрываются от новообразования и попадают в кровоток или в лимфатическую систему;
- Действие лизосомальных ферментов. Злокачественная опухоль вырабатывает вещества, способные разрушать здоровые клетки и межклеточное вещество, что будет способствовать инвазии;
- Иммунная система человека. В организме существует собственная противоопухолевая защита, которую обеспечивает наш иммунитет. Её активность у каждого человека индивидуальна. Она зависит от генетической предрасположенности и состояния всего организма в конкретный момент. Так, при заболеваниях, сопровождающихся угнетением иммунной системы (например, при ВИЧ), пациенты могут погибать от онкологических заболеваний, возникших из-за отсутствия противоопухолевой активности.
Инвазия раковых клеток в сосуды
Вслед за прорастанием в базальную мембрану наступает интравазальная (внутрисосудистая) инвазия опухоли. Чаще раковые клетки мигрируют в артерии. Это связано с тем, что стенки артерий более упругие и эластичные, в то время как у вен они тонкие и легко спадаются в опухолях. Однако раковые клетки могут быть занесены в вены из лимфатических сосудов.

Способствует интравазации также «неполноценность» сосудов, снабжающих злокачественное новообразование. Их базальная мембрана имеет щели, дефекты и истончения, что позволяет раковым клеткам с лёгкостью ее преодолеть. Такая структура обусловлена снижением продукции компонентов базальной мембраны или повышенной активностью разрушающих ее протеаз.
Циркуляция раковых клеток в системе кровотока и экстравазация
При попадании в кровоток опухолевая клетка покрывается фибрином и тромбоцитами, формируя микротромбоэмбол с опухолевой «сердцевиной». Не все они переживают движение в кровяном русле. Разрушение раковых клеток может быть обусловлено иммунными механизмами, а также турбулентностью кровяного потока и механическим повреждением во время циркуляции. Но около 80% деформированных клеток всё-таки сохраняют способность к размножению.
Экстарвазация представляет собой выход опухолевых клеток из сосудов для формирования метастатического очага. В этом процессе задействованы те же ферменты, что и в инвазии через базальную мембрану.
Что показывает МРТ височно-нижнечелюстного сустава
МРТ височно-нижнечелюстного сустава (МРТ ВНЧС) - это современная аппаратная диагностика патологий парного сустава челюстно-лицевого скелета, соединяющего нижнюю челюсть с основанием черепа. Данный метод сканирования основан на воздействии на ткани электромагнитного поля (эффект ядерного магнитного резонанса). В ответ на действие радиочастотных импульсов в сильном магнитном поле атомы водорода в клетках тканей начинают совершать колебательные движения
МРТ височно-нижнечелюстного сустава (МРТ ВНЧС) - это современная аппаратная диагностика патологий парного сустава челюстно-лицевого скелета, соединяющего нижнюю челюсть с основанием черепа. Данный метод сканирования основан на воздействии на ткани электромагнитного поля (эффект ядерного магнитного резонанса). В ответ на действие радиочастотных импульсов в сильном магнитном поле атомы водорода в клетках тканей начинают совершать колебательные движения. Эти импульсы передаются компьютеру магнитно-резонансного томографа и преобразуются в черно-белые изображения в 3D формате. 3D формат значит, что сустав визуализируется в объемном виде, и его можно рассмотреть с различных сторон. Такие высококачественные снимки предоставляют исчерпывающую информацию о состоянии всех суставных структур, их функционировании, наличии патологических процессов и особенностях анатомического строения.
Преимущества
По своей информативности МРТ височно-нижнечелюстного сустава во много раз превосходит УЗИ и рентгенографию и имеет ряд диагностических преимуществ:
- Возможность выявлять любые заболевания височно-нижнечелюстного сустава на самых ранних стадиях развития. Это свойство наиболее применимо для диагностики опухолевых процессов. МРТ может обнаружить образование размером до 1 мм, что дает самые высокие шансы на эффективное лечение и выздоровление.
- Качественная визуализация на снимках хрящей и мягкотканных структур.
- Возможность проводить сканирование в динамике. За один сеанс делают снимки, когда пациент открывает и закрывает рот.
- Неинвазивность метода. МРТ является абсолютно атравматичным видом диагностики, не требующим никаких хирургических вмешательств в организм пациента.
- Безболезненность процедуры.
- Безопасность. За счет использования в работе полностью безвредного магнитного поля, не оказывающего облучения на пациента, МРТ ВНЧС может применяться многократно без пагубных последствий для организма.
- Имеет минимальные побочные явления и противопоказания, и не требуется восстановительного периода после проведения обследования.
Все эти достоинства методики делают магнитно-резонансную томографию челюстного сустава приоритетным способом диагностики состояний височно-нижнечелюстного сустава.
Показания к МРТ височно-нижнечелюстного сустава

Сведение об исследовании
- Продолжительность: 20-40 минут
- Требование к подготовке: Нет
- Назначение врача: Не требуется
- Применение контраста: По назначению врача
- Противопоказания и ограничения: Есть
- Рекомендуемая мощность аппарата: от 1.5 Тесла
- Время выдачи результатов: 30-40 минут
- Что входит в стоимость: заключение + запись снимков
МРТ нижнечелюстного сустава имеет довольно широкий спектр показаний. Обычно томографию назначает врач-стоматолог, травматолог или челюстно-лицевой хирург, однако при необходимости пациент может прийти на нее самостоятельно. Основными показаниями к исследованию являются:
- жалобы на болевые ощущения в суставе при движениях рта;
- чувство онемения области подбородка и щек;
- чувство щелчка или скрежет зубами при открывании рта;
- отек одной из половины лица (обычно бывает на стороне пораженного сустава); врожденные и приобретенные вывихи височно-нижнечелюстного сустава и другие его травматические повреждения;
- нарушения прикуса;
- воспалительные и аутоиммунные поражения сустава - артрит, артроз, подагра; нарушение нормальных функций суставов лица - закладывание в ушах, нарушение речи, сложности при жевании;
- предоперационная подготовка к хирургическому лечению травмы сустава;
- планируемая операция на лице;
- подготовка к протезированию в стоматологии;
- для оценки эффективности проводимого оперативного лечения.
Что покажет МРТ височно-нижнечелюстного сустава
МРТ височно-нижнечелюстного сустава позволяет с высокой точностью оценить: костную структуру сустава, хрящевые элементы, связочный аппарат и околосуставные мягкие ткани. С помощью томографии врачи могут вовремя диагностировать следующие патологии:
- врожденный вывих сустава;
- костные и суставные изменения травматического генеза;
- смещение суставных дисков;
- эрозию суставного хряща;
- мышечно-суставную дисфункцию;
- артриты и артрозы, а также воспалительные заболевания мягких тканей лица;
- анкилоз сустава;
- доброкачественные образования сустава;
- рак нижней челюсти.
МРТ височно-нижнечелюстного сустава с контрастированием
Для получения более четких снимков и более подробной информации о состоянии сустава иногда проводят МРТ височно-нижнечелюстного сочленения с контрастированием. Для этого в вену пациента перед сканированием вводится контрастный препарат на основе солей гадолиния. Он распространяется по системе кровотока и усиливает сигналы от тканей, что делает их визуализацию максимально точной. Такая методика томографии позволяет выявлять патологические очаги размером всего в несколько миллиметров, поэтому наиболее часто МРТ челюстного сустава с контрастом применяется для диагностики опухолевых процессов.
Подготовка
МРТ височно-нижнечелюстного сустава проводится без предварительной подготовки пациента, что очень удобно и позволяет пройти обследование даже ночью. При планировании томографии с контрастом рекомендуется за 2 часа до процедуры не принимать пищу для лучшей переносимости контрастного препарата.
Также пациенту необходимо будет оставить снаружи МРТ кабинета все металлические предметы одежды, украшения и мобильные устройства.
Процедура томографии
Процедура МР-сканирования височно-нижнечелюстного сустава проводится стандартно. Пациента в положении лежа на передвижной кушетке помещают в сканирующую зону аппарата. Если проводится МРТ с контрастом, то пациенту предварительно внутривенно вводится контрастное вещество. Важным условием для получения четких качественных снимков является полная неподвижность обследуемого. Отличительной особенностью данного исследования является проведение нескольких серий снимков: сначала с закрытым ртом, затем с полуоткрытым и широко открытым ртом. При возникновении дискомфорта или паники пациент в любую секунду может связаться с доктором при помощи тревожной кнопки.
Сколько длится томография
Продолжительность магнитно-резонансной томографии височно-нижнечелюстного сустава обычно составляет 20-40 минут. После проведения серии снимков процедура завершается, и врачи приступают к расшифровке результатов. Обычно МРТ снимки и заключение врача-рентгенолога готовы уже в день обследования и отдаются пациенту на руки для дальнейшей консультации специалиста и назначения необходимого лечения.
Противопоказания
Магнитно-резонансная томография височно-нижнечелюстного сустава противопоказана людям, имеющим:
- инородные металлические тела;
- кардиостимуляторы и слуховые аппараты не совместимые с МРТ;
- импланты в теле, изготовленные из никеля или стали;
- психические расстройства, не позволяющие пациенту сохранять спокойствие и неподвижность в ходе исследования.
Также к относительным противопоказаниям к МРТ обследованию относят беременность первого триместра. Магнитно-резонансная томография считается безопасной процедурой как для плода, так и для здоровья матери. Избегать ее в первом триместре рекомендуется из-за возможного волнения пациентки внутри закрытого томографа.
При проведении МРТ височно-нижнечелюстного сустава с контрастированием ограничением для исследования могут послужить почечная патология с нарушением выводящей функции почек и аллергические реакции на гадолиний в анамнезе.
Чтобы сделать качественную МРТ, пациенту нужно обратить внимание на несколько аспектов при записи на МРТ:
Спросить какой установлен шаг сканирования. На открытом аппарате он не должен быть более 3,5 мм. На закрытом томографе он не должен превышать 3,5 мм. Шаг исследования всегда можно проверить на МРТ снимках или в заключении врача в графе описания параметров обследования. Если он не совпадает с заявленным, требуйте повторной бесплатной диагностики.
Уточнить опыт и квалификацию врача-рентгенолога, который будет описывать Ваши снимки. От его знаний во многом зависит точность интерпретации полученных изображений. Помните, МРТ аппарат никогда не ошибается, ошибаются люди, которые работают с его данными.
Всегда требуйте запись МРТ исследования не на пленку, а на электронный носитель (диск или флешку). Порой для пациента изображения на рентгенологической пленке кажутся более наглядными, но их информационная ценность в разы ниже, чем у электронных сканов, которые врач может модифицировать любим образом при валидации и постановке диагноза.
Если обследование делают с целью выявления опухолевого образования, его нужно проводить с контрастом, поскольку на нативных изображениях не всегда видны мелкие образования, и не возможно судить в полной мере о злокачественности или доброкачественности опухоли.
Невралгия тройничного нерва
Невралгия тройничного нерва (тригеминальная невралгия) - это очень распространенное заболевание. Оно проявляется сильными болями, а также сопутствующими нарушениями работы мимических и жевательных мышц, а также вегетативными проблемами. Поскольку оба тройничных нерва охватывают практически все лицо, боль может возникнуть в любой области.

Общая информация
Тройничный нерв состоит из чувствительных и двигательных волокон. Он берет начало в структурах головного мозга и делится на три ветви:
- глазная: отвечает за глаз, лоб и верхнее веко;
- верхнечелюстная: иннервирует область от нижнего века до верхней губы;
- нижнечелюстная: захватывает подбородок, нижнюю челюсть, губы и десны.
При невралгии поражается одна или несколько ветвей тройничного нерва, что и определяет основные симптомы патологии. Наиболее подвержены заболеванию люди после 45 лет, а женщины болеют чаще мужчин.
Причины возникновения
Причины невралгии тройничного нерва могут иметь разную природу:
- сдавление тригеминального нерва целиком или его ветвей на фоне:
- увеличения артерий или вен головного мозга (аневризмы, атеросклероз, инсульты, повышенное внутричерепное давление на фоне остеохондроза, врожденные особенности развития);
- опухолей головного мозга или тканей лица в непосредственной близости от нервных волокон;
- врожденные аномалии строения костей, суженные отверстия, через проходят ветви нерва;
- травмы черепа, лицевой области: переломы костей, посттравматические рубцы мягких тканей;
- разрастание рубцовой ткани после перенесенной травмы, операции, воспаления;
Риск развития тригеминальной невралгии значительно повышается:
- в возрасте старше 50 лет;
- на фоне психических расстройств;
- при регулярных переохлаждениях;
- при недостаточном поступлении в организм питательных веществ и витаминов (анорексия, булимия, нарушение всасывания и т.п.);
- при регулярном переутомлении, стрессах;
- при глистных инвазиях и других гельминтозах;
- при острых инфекциях: малярии, сифилисе, ботулизме и т.п.;
- при хроническом воспалении в полости рта (кариес, гингивит, абсцессы и т.п.);
- на фоне аутоиммунных поражений;
- при чрезмерной подверженности аллергии;
- при метаболических нарушениях.
Симптомы
Главным характерным признаком невралгии тройничного нерва является приступообразная боль. Она наступает внезапно и по своей интенсивности и скорости распространения напоминает удар электрическим током. Обычно интенсивное болевое ощущение вынуждает пациента замереть на месте в ожидании облегчения. Приступ может длиться от нескольких секунд до 2-3 минут, после чего наступает период затишья. Следующая волна боли может прийти в течение нескольких часов, дней, недель или месяцев.
Со временем длительность каждого приступа невралгии увеличивается, а периоды затишья сокращаются вплоть до развития непрерывной ноющей боли.
Провоцирующим фактором выступает раздражение триггерных точек:
- губы;
- крылья носа;
- область бровей;
- средняя часть подбородка;
- щеки;
- область наружного слухового прохода;
- ротовая полость;
- височно-нижнечелюстной сустав.
Человек нередко провоцирует приступ при выполнении гигиенических процедур (расчесывание волос, уход за полостью рта), при жевании, смехе, разговоре, зевоте и т.п.
В зависимости от места поражения боль захватывает:
- верхнюю половину головы, висок, глазницу или нос, если затронута глазная ветвь нерва;
- щеки, губы, верхнюю челюсть - при поражении верхнечелюстной ветви;
- подбородок, нижнюю челюсть, а также зону впереди уха - при невралгии нижнечелюстной ветки.
Если поражение затронуло все три ветки или сам нерв до его разделения, боль распространяется на соответствующую половину лица целиком.
Болевые ощущения сопровождаются другим нарушениями чувствительности: онемением, чувством покалывания или ползанья мурашек. С пораженной стороны может отмечаться гиперакузия (повышенная слуховая чувствительность).
Поскольку тройничный нерв содержит не только чувствительные, но и двигательные пути передачи импульсов, при невралгии наблюдается соответствующая симптоматика:
- подергивание мимической мускулатуры;
- спазмы мускулатуры век, жевательных мышц;
Третья группа проявлений невралгии - это трофические нарушения. Они связаны с резким ухудшением кровообращения и оттока лимфы. Кожа становится сухой, начинает шелушиться, появляются морщины. Наблюдается локальное поседение и даже выпадение волос в пораженной области. Страдает не только волосистая часть головы, но и брови с ресницами. Нарушение кровоснабжения десен приводят к развитию пародонтоза. В момент приступа пациент отмечает слезотечение и слюнотечение, отечность тканей лица.
Постоянные спазмы мышечных волокон с больной стороны приводят к асимметрии лица: сужению глазной щели, опущению верхнего века и брови, перемещению уголка рта вверх со здоровой стороны или опущение с больной.
Сам пациент постепенно становится нервным и раздражительным, нередко ограничивает себя в еде, поскольку жевание может стать причинной очередного приступа.
Диагностика
Диагностикой невралгии тройничного нерва занимается врач невролог. Во время первого визита он тщательно опрашивает пациента, чтобы выяснить:
- жалобы: характер боли, ее интенсивность и локализация, условия и частота возникновения приступов, их длительность;
- анамнез заболевания: когда впервые появились болевые приступы, как они менялись с течением времени и т.п.;
- анамнез жизни: уточняется наличие хронических заболеваний, перенесенных травм и операций, особое внимание уделяется стоматологическим заболеваниям и вмешательствам.
Базовый осмотр включает в себя оценку состояния кожи и мышц, выявление асимметрии и других характерных признаков, проверку качества рефлексов и кожной чувствительности.
Для подтверждения диагноза проводятся:
- МРТ головного и спинного мозга с контрастом или без: позволяет выявить опухоли, последствия травм, сосудистые нарушения; иногда исследование заменяется компьютерной томографией (КТ), но она не столь информативна;
- электронейрография: исследование скорости проведения нервного импульса по волокнам; позволяет выявить сам факт поражения нерва, оценить уровень дефекта и его особенности;
- электронейромиография: исследуется не только скорость прохождения импульса по нервному пучку, но и реакцию мышечных волокон на него; позволяет оценить поражение нерва, а также определить порог чувствительности триггерных зон;
- электроэнцефалография (ЭЭГ): оценка биоэлектрической активности мозга.
![Невралгия тройничного нерва]()
Экспертное мнение врача
Врач-невролог, остеопат, мануальный терапевт
Лабораторная диагностика включает лишь общие исследования, позволяющие исключить другие причины болевых приступов, а также оценить состояние организма в целом (обычно назначается общий анализ крови и мочи, а также стандартный набор биохимических исследований крови). При подозрении на инфекционную природу заболевания проводятся тесты на выявления конкретных возбудителей или антител к ним.
Дополнительно назначаются консультации профильных специалистов: ЛОРа (при наличии признаков патологии носоглотки), нейрохирурга (при признаках опухоли или травмы), стоматолога.
![Невралгия тройничного нерва]()
Лечение невралгии тройничного нерва
- на устранение причины повреждения;
- на облегчение состояния пациента;
- на стимуляцию восстановления структур нерва;
- на уменьшение возбудимости триггерных зон.
Правильно подобранное лечение позволяет снизить частоту, интенсивность и длительность болевых волн, и в идеале добиться стойкой ремиссии.
Медикаментозное лечение
Тригеминальная невралгия требует комплексного лечения с использованием препаратов нескольких групп:
- противосудорожные (карбамазепин и аналоги): снижают возбудимость нервных волокон;
- миорелаксанты (баклофен, мидокалм): уменьшают мышечные спазмы, улучшают кровообращение, снижают болевые ощущения;
- витамины группы В (нейромультивит, мильгамма): стимулируют восстановление нервных волокон, оказывают антидепрессивное действие;
- антигистаминные (димедрол): усиливают действие противосудорожных средств;
- седативные и антидепрессанты (глицин, аминазин): стабилизируют эмоциональное состояние пациента.
При сильных болях могут быть назначены наркотические анальгетики. Раньше активно использовались лекарственные блокады (обкалывание проблемной зоны анестетиками), но сегодня этот способ лечения почти не используется. Он способствует дополнительному повреждению нервных волокон.
В обязательном порядке проводится лечение первопричины заболевания: устранение стоматологических проблем, прием препаратов для улучшения мозгового кровообращения и т.п.
Физиотерапия и другие немедикаментозные методики
Немедикаментозные методы хорошо дополняют лекарственную терапию и способствуют стабилизации состояния пациентов. В зависимости от состояния и сопутствующих заболеваний могут быть назначены:
- ультрафиолетовое облучение: тормозит прохождение импульсов по нервным волокнам, оказывая обезболивающее действие;
- лазерная терапия: снижает болевые ощущения;
- УВЧ-терапия: улучшает микроциркуляцию и предотвращает атрофию мышц;
- электрофорез с анальгетиками или спазмолитиками для облегчения болевого синдрома и расслабления мускулатуры;
- диадинамические токи: снижают проводимость нервных волокон, значительно увеличивают интервалы между приступами;
- массаж лица, головы, шейно-воротниковой зоны: улучшает кровообращение и отток лимфы, улучшая питание тканей; должен проводиться с осторожностью, чтобы не задеть триггерные зоны и не спровоцировать приступ; курс проводится только в период ремиссии;
- иглорефлексотерапия: способствует снятию болевого синдрома.
Хирургическое лечение
Помощь хирургов незаменима, когда требуется устранить сдавление нерва. При наличии показаний проводятся:
- удаление опухолей;
- смещение или удаление расширенных сосудов, давящих на нерв (микрососудистая декомпрессия);
- расширение костных каналов, в которых проходят ветви нерва.
Ряд операций направлен на снижение проводимости нервного волокна:
- воздействие гамма-ножом или кибер-ножом;
- баллонная компрессия тригеминального узла: сдавливание узла с помощью наполненного воздухом баллона, установленного в непосредственной близости от него, с последующей гибелью нервных волокон; операция часто приводит к частичной потере чувствительности и уменьшению движения мускулатуры;
- резекция тригеминального узла: проводится редко ввиду сложности и большого количества осложнений.
Осложнения
Без лечения тригеминальная невралгия постепенно прогрессирует. Со временем в одном из отделов мозга формируется патологический болевой очаг. В результате боль захватывает все лицо, провоцируется любым незначительным раздражителем и даже воспоминанием о приступе, а впоследствии приобретает постоянный характер. Вегетативно-трофические расстройства прогрессируют:
- формируется необратимая атрофия лицевой мускулатуры;
- зубы расшатываются и начинают выпадать на фоне запущенного пародонтоза;
- облысение увеличивается.
Ввиду постоянных болей у пациента нарушается сон и развивается выраженная депрессия. В тяжелых случаях больные могут покончить жизнь самоубийством.
Профилактика
Профилактика невралгии тройничного нерва - это комплекс несложных мер, значительно снижающих риск развития патологии. Врачи рекомендуют:
- регулярно проходить профилактические осмотры;
- при первых признаках заболевания обращаться за помощью (чем раньше будет начато лечение, тем больше будет его эффект);
- правильно питаться, получать необходимое количество витаминов, минералов, ненасыщенных жирных кислот;
- регулярно заниматься легкими видами спорта, гимнастикой;
- полноценно высыпаться и отдыхать;
- минимизировать стрессы и физическую перегрузку;
- не допускать переохлаждений и закаляться;
- отказаться от вредных привычек.
Лечение в клинике «Энергия здоровья»
Если Вас или Вашего родственника беспокоят сильные боли в той или иной части лица, неврологи клиники «Энергия здоровья» придут на помощь. Мы проведем полноценную диагностику для выявления причин патологии и назначим комплексное лечение. К Вашим услугам:
- современные медикаментозные схемы для снижения частоты и интенсивности приступов;
- физиотерапевтические процедуры: магнитотерапия, лазерная терапия, электрофорез, фонофорез и т.п.;
- деликатный лечебный массаж;
- иглорефлексотерапия;
- помощь психолога при необходимости.
Преимущества клиники «Энергия здоровья»
Клиника «Энергия здоровья» - это многопрофильный медицинский центр, где каждому пациенту досутпны:
- скрининговые диагностические программы, направленные на ранее выявление заболеваний и патологий;
- прицельную диагностику с использованием современной аппаратуры и лабораторных анализов;
- консультации опытных специалистов, в том числе зарубежных;
- современное и эффективное комплексное лечение;
- необходимые справки и выписки;
- документы и назначения для санаторно-курортного лечения.
Невралгия тройничного нерва - это серьезная патология, которая может серьезно нарушить привычный образ жизни человека. Не позволяйте боли и страху завладеть Вашими мыслями, пройдите лечение в «Энергии здоровья».
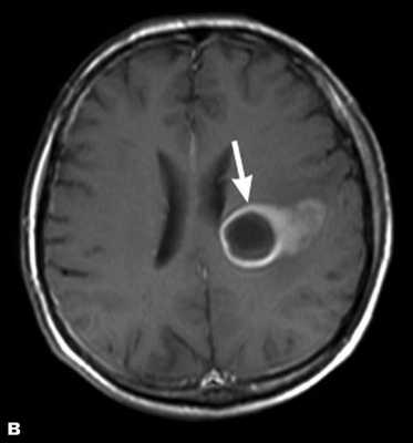
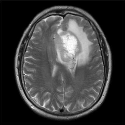
Доброкачественная и злокачественная опухоли на МРТ: как их различать?
В настоящее время МРТ является одним из наиболее эффективных методов диагностики и оценки опухолей любого характера, размера и локализации.
Есть два важных момента, на которые обязательно стоит обратить внимание при планировании МРТ диагностики и последующего лечения, независимо от того, доброкачественная опухоль или злокачественная.
![]()
- При подозрении на опухоль проводится МРТ с контрастом. Врач-рентгенолог может предложить контрастирование, даже если оно не было запланировано лечащим врачом, поскольку такая необходимость может возникнуть во время проведения МР-томографии. Отказываться от контраста не стоит, поскольку он позволяет дать более точную характеристику опухоли, а это крайне важно для дальнейшей постановки диагноза и выбора терапии.
- МРТ не может предоставить абсолютно всех сведений, касающихся опухоли, поэтому для ее гистологической верификации может понадобится биопсия, выполняемая после МРТ.
В зависимости от гистологической верификации разного типа опухоли на МРТ выглядят по-разному.
Доброкачественная опухоль на МРТ

Доброкачественные опухоли чаще всего характеризуются однородной структурой, из-за экспансивного роста имеют четкие, ровные контуры, вокруг таких новообразований отсутствует перифокальный отек. Кроме того, доброкачественные образования не накапливают или слабо накапливают контрастирующий препарат.
Злокачественная опухоль на МРТ

Злокачественные опухоли характеризуются инвазивностью, то есть врастанием в здоровые ткани, поэтому контуры таких образований нечеткие и неровные, а потому достоверно определять границы таких опухолей довольно сложно. Кроме того, структура злокачественной опухоли часто бывает неоднородна за счет распада (некроза), кровоизлияния и коллоидной дегенерации. Вокруг злокачественной опухоли, как правило, выявляется выраженный перифокальный отек, который может приводить к смещению срединных структур головного мозга и появлению аксиальной дислокации. Также могут быть выявлены признаки метастазирования.
Независимо от проведенной МРТ, выявившей опухоль с признаками доброкачественности или злокачественности, может потребоваться гистологическая верификация (биопсия), которая подразумевает извлечение небольшого кусочка ткани исследуемой области под контролем МРТ, КТ или УЗИ.
Читайте также:
- Факультативные анаэробные споронеобразующие грамположительные палочки. Общие признаки факультативно-анаэробных бактерий. Особенности факультативно-анаэробных грамположительных бактерий.
- Случай успешного лечения пупочной грыжи и контактного дерматита у младенца
- Абсцесс головного мозга
- Синдром Дуранда-Дзунина (Durand-Zunin)
- Кишечная непроходимость



