КТ, МРТ при поражении слизистой оболочки полости рта
Добавил пользователь Евгений Кузнецов Обновлено: 01.02.2026
Злокачественные опухоли полости рта составляют около 6% от всех онкозаболеваний в целом. По гистологическому строению (типу образующих опухоль клеток) выделяют следующие типы:
- Опухоль из клеток эпителия — рак
- Опухоль из клеток соединительной ткани — саркома
- Меланома
Каждый из типов включает в себя несколько разновидностей.
Также отдельно выделяют несколько групп предраковых заболеваний. Предраковые заболевания полости рта делятся на:
- Облигатные — с высокой частотой озлокачествления. К ним относится болезнь Боуэна, бородавчатый предрак, ограниченный гиперкератоз, хейлит Манганотти.
- Факультативные — с меньшей частотой озлокачествеления. В данную группу входят веррукозная форма лейкоплакии, папилломатоз, эрозивноязвенная и гиперкератотические формы системной красной волчанки и красного плоского лишая, постлучевой стоматит и постлучевой хейлит, кератоакантома.
Среди злокачественных опухолей полости рта чаще всего встречается рак.
Рак полости рта, в свою очередь, подразделяется следующим образом.
- Интраэпителиальная карцинома (Carcinoma in situ, рак in situ) характеризуется отсутствием прорастания в базальную мембрану, несмотря на злокачественность новообразования.
- Плоскоклеточный рак — встречается наиболее часто.

Причины и факторы риска
Причины развития злокачественных новообразования полости рта можно условно разделить на местные и общие факторы повышения риска.
К общим факторам относят возраст, наличие в анамнезе различных вредностей (воздействие радиации и т.п.), наследственная предрасположенность.
Местными факторами называют локальные факторы, влияющие на ротовую полость. К ним относятся — жевание насвая (табако- и наркосодежащих смесей), курение, привычка употреблять внутрь обжигающе горячие напитки, хроническая травматизация слизистой (обломком зуба, деформированным зубным протезом), а также наличие предраковых заболеваний. Отдельно следует выделить фактор риска выявления заболевания на поздних стадиях — отсутствие ежегодных осмотров стоматолога.
Именно пренебрежение профилактическими визитами к доктору препятствует диагностике рака на ранних, поддающихся лечению, стадиях и выявлению и лечению.
Локализация
Рак полости рта принято классифицировать по локализации. Это связано с тем, что обсуждаемая зона включает большое количество анатомических образований, отличающихся существенным разнообразием.
При выборе тактики лечения и вида операции значимую роль играет именно положение опухоли во рту. Разные участки ротовой полости по-разному иннервированы, по-разному кровоснабжаются, имеют разную функциональную значимость, поэтому перспективы лечения абсолютно одинаковых опухолей, расположенных в различных местах, могут существенно отличаться.
По локализации рак полости рта принято подразделять на:
- Рак щек
- Рак дна полости рта
- Рак в зоне альвеолярного отростка
- Рак неба
- Рак десны
Рак слизистой оболочки щек
Рак слизистой оболочки щек занимает второе по частоте место (после рака языка) в структуре рака полости рта. Существенное влияние на повышение риска оказывают местные факторы, химические и физические агенты, вызывающие хроническую травматизацию слизистой оболочки. В большей степени, чем при раке других зон, актуален такой предрасполагающий фактор как хроническая травматизация зубными протезами, острыми краями поврежденных зубов.
Рак дна полости рта
Данный вид опухоли составляет 10-15% всех раков полости рта. Дно ротовой полости образовано структурами между языком и подъязычной костью. Слизистая, выстилающая дно полости рта, имеет развитую подслизистую основу, состоящую из рыхлой соединительной ткани и клетчатки. Данная область богато кровоснабжается. Всё это создаёт благоприятные условия для роста опухоли, ее распространения и метастазирования.
Рак языка
Рак языка — наиболее распространенная разновидность рака полости рта. Язык — подвижный орган с большим количество нервных окончаний (рецепторов). Благодаря этому пациенты, как правило, обращают внимание на возникшее новообразование, и имеют возможность своевременно обратиться за помощью. Развитая сеть кровеносных и лимфатических сосудов способствует раннему метастазированию опухоли, в первую очередь — в периферические лимфоузлы.

Рак в зоне альвеолярного отростка
Рак в данной области развивается или из клеток слизистой оболочки, или из эпителиальных островков Малассе. Эпителиальные островки Малассе — это остатки эпителиальных клеток в толще периодонта. В норме данные клетки никак себя не проявляют, но при неблагоприятных условиях могут стать источником опухоли. Отличительная особенность этих опухолей -относительно раннее возникновение симптомов, зубы в зоне роста опухоли подвергаются ее воздействию, у пациента появляются жалобы на боли.
Рак неба
Рак неба встречается редко. Разделяют твердое и мягкое небо, поэтому гистологические типы опухоли мягкого и твердого неба различны. Для твердого неба более характерны цилиндромы и аденокарциномы, мягкое небо в большей степени подвержено плоскоклеточному раку.
Метастазы
Метастатическая природа опухолей полости рта — большая редкость. Описаны случаи опухолей легких, почек, молочной и щитовидной желез, метастазировавших в ротовую полость. Также метастазировать в полость рта могут саркомы. Чаще появление признаков онкопатологии в полости рта может быть вызвано прорастанием опухоли из соседних анатомических зон. Уточнению диагноза помогает исследование тканей опухоли — гистологическое исследование.
Симптомы рака полости рта
Проявления заболевания зависят от характера опухоли и от зоны расположения. Как правило, пораженная область представляет собой или локальное изъязвление, или уплотнение (выпуклость, узел). Пациент чувствует боль и дискомфорт в соответствующей зоне. К тревожным признакам надо отнести следующие:
- Длительно существующая, незаживающая язва во рту.
Ротовая полость богата кровеносными сосудами, эпителий слизистой хорошо кровоснабжен и в норме при травматизации происходит быстрое его заживление. Любое повреждение слизистой рта заживает быстрее, чем аналогичное повреждение на
коже руки или ноги. Поэтому, если во рту есть язва и она по неясным причинам не затягивается длительное время — следует обратиться за медицинской помощью. - Бугорки, «шарики» под слизистой, независимо от той области рта, где они возникли.
Уплотнение под слизистой может быть симптомом как неонкологической патологии (например, кисты одной из мелких желез), так и признаком рака. Отличить одно от другого может только специалист. Уплотнение, возникшее изначально как киста, при отсутствии лечения в дальнейшем может подвергнуться озлокачествлению. - Нарушение глотания, жевания, неприятные ощущения у корня языка — все это повод заподозрить рак соответствующей области.
- Зубная боль и кровоточивость конкретного участка десны могут быть признаками рака. И, хотя аналогичные симптомы вызываются и куда менее грозными недугами, консультация стоматолога необходима. Таким образом, любое нарушение анатомической целостности или функциональных возможностей органов данной зоны несет в себе потенциальную угрозу, и это повод показаться врачу.
Стадии заболевания
I стадия характеризуется наличием опухоли до 1-2 см в диаметре, не выходящей за пределы пораженной зоны (щеки, десны, неба, дна полости рта), ограниченной слизистой оболочкой. В регионарных лимфоузлах метастазы не определяются.
II стадия — поражение такого же или большего диаметра, не выходящее за пределы какого-либо одного отдела полости рта, но распространяющееся в подслизистый слой. В регионарных лимфатических узлах — единичные метастазы.
III стадия — опухоль прорастает в подлежащие ткани, но не глубже периоста челюсти, или распространилась на соседние отделы полости рта. В регионарных лимфатических узлах — множественные метастазы размерами до 2 см в диаметре.
IV стадия — поражение распространяется на несколько отделов полости рта и глубоко инфильтрирует подлежащие ткани, в регионарных лимфатических узлах — неподвижные или распадающиеся метастазы, также характерно наличие отдаленных метастазов.

Классификация по стадиям периодически подлежит пересмотру, можно встретить подразделение стадий на подвиды — А и В. В настоящее время классификация по стадиям используется все реже, более актуальна классификация TNM. Ее принцип заключается в том, что данной кодировкой обозначаются характеристики самой опухоли, состояние ближайших к ней (регионарных) лимфоузлов, наличие или отсутствие отдаленных
метастазов.
В диагнозе онколог указывает гистологический тип рака, так как разные типы клеток отличаются по темпам роста, тенденции к метастазированию, чувствительности к лечению. Все типы классификаций служат одной цели — правильно оценить степень распространения болезни, степень повреждения и выработать верную тактику помощи.
Лечение
Для проведения оптимального лечения важны следующие факторы:
- Своевременное обращение. Фактор запущенности заболевания играет огромную роль.
Даже сейчас, когда врачи научились достаточно успешно бороться с болезнью и на поздних стадиях, окончательный прогноз в большинстве случаев определяется тем, как быстро пациент обратился к онкологу. - Качественная диагностика. Существует множество методов исследования, позволяющих более точно установить диагноз. В онкологии широко применяются УЗИ, МРТ, КТ, ПЭТ-КТ, а также гистологические исследования.
- Хороший контакт пациента и лечащего доктора. Умение врача объяснить больному суть происходящего, поддержать его и верно выстроить совместную работу, а также умение пациента быть дисциплинированным, доверять специалисту и не затягивать с
выполнением назначенных исследований или лечебных процедур.
При раке полости рта применяются как хирургическое лечение, так и химиотерапия, и лучевая терапия (включая брахитерапию).
Хирургическое лечение
Операция — классика лечебной тактики в онкологии вообще и в онкологии полости рта в том числе. Сложность применения хирургии ротовой полости в том, что в ряде случаев технически сложно удалить опухоль и не повредить жизненно важные анатомические образования.
Врач учитывает следующие важные моменты:
- Область рта богато кровоснабжается, и это риск активного кровотечения.
- Органы и ткани области рта подвижны, и возможность этого смещения друг относительно друга определяет такие важные функции как речь, глотание и т.п.
- Анатомические образования данной зоны имеют мелкий размер и тесно прилежат друг к другу. В данной области мало балластных, функционально незначимых тканей, на каждый сантиметр приходятся важнейшие сосуды, нервы, органы. Это усложняет процесс операции. Отсутствие достаточного количества тканей делает более сложным закрытие дефекта, образовавшегося после удаления опухоли.
Как и в случае радикального оперативного лечения опухолей других зон, при операциях на полости рта стремятся соблюсти следующие условия:
- Удаление опухоли должно происходить в пределах здоровых тканей, срез проходит не на границе здоровой и больной ткани, а по здоровой ткани, то есть, опухоль иссекается как бы с запасом. При близком положении органов это составляет проблему.
- При иссечении опухоли учитывается важность дальнейшего восстановления целостности покрова, а также, по возможности, сохранение функции.
- Иссекая опухоль, в большинстве случаев, удаляют и периферические лимфоузлы. Это связано с тем, что ближайшие к опухоли лимфатические узлы являются ловушкой для метастазов, и в них зачастую могут содержаться клетки опухоли.
В классической онкологии хирургическое лечение было методом выбора, операции применялись, как правило, сразу после установления диагноза. В настоящее время подход немного изменился, стал более дифференцированным. Иногда операции предшествуют химиотерапия и (или) лучевая терапия.
Химиотерапия
Особенность опухолевых клеток — быстрый рост и деление. Именно на этом основан метод химиотерапии. В организм вводят специальные токсичные для клеток вещества, подавляющие их рост. Химиотерапия влияет на весь организм, но при этом большинство клеток малочувствительны к веществу, а для клеток опухоли химиопрепарат губителен.
Химиотерапия применяется как дополнение к операции, перед ней или после нее, как самостоятельный метод, и в комплексе с лучевой терапией.
Целесообразность применения химиотерапии определяется гистологическим типом опухоли. Разновидность препарата выбирается с учетом чувствительности конкретного новообразования к различным видам соответствующих лекарств.
Недостаток химиотерапии — ее побочные эффекты. В организме есть ряд здоровых клеток, которые часто обновляются, соответственно, быстро делятся. Это клетки слизистой желудочно-кишечного тракта, клетки крови и другие. Препараты химиотерапии влияют на них. Меняется формула крови, гибнут клетки выстилки желудка и кишечника. Результатом становятся тошнота, расстройство стула, слабость, снижение иммунитета. Данные явления временны, и, как правило, преодолимы, однако, применение химиотерапии требует постоянного врачебного наблюдения.

Лучевая терапия
Метод основан на повреждающем действии рентгеновского излучения на клетки, прежде всего на активно делящиеся клетки, каковыми являются клетки злокачественных опухолей. Лучевая терапия может применяться и как самостоятельный способ лечения, и в комплексе с оперативными методами и химиотерапией. Перед началом курса проводится разметка, определяющая направление воздействия и обеспечивающая максимальное воздействие на саму опухоль и минимальное — на окружающие ткани.
Брахитерапия — подвид современной лучевой терапии, когда источник излучения вводится непосредственно в пораженную область. Брахитерапия позволяет воздействовать на опухоль максимальными дозами излучения и уменьшить повреждающие влияние на здоровые ткани.
Прогноз и выживаемость
Прогноз заболевания зависит от стадии, локализации, своевременного оказания помощи. На ранних стадиях при условии адекватного лечения, заболевание практически всегда удается победить. Когда обращение к врачу было не своевременным, прогноз несколько хуже, процент излечившихся пациентов ниже. В оценке прогноза важно наличие или отсутствие отдаленных метастазов. Несмотря на огромный прогресс в онкологии, отдаленные метастазы резко снижают 5-летнюю выживаемость, это существенная проблема для специалиста. Помимо этого, прогноз зависит от гистологического типа опухоли, т.к. скорость роста у разных типов опухолей может существенно различаться. Возраст пациента, локализация опухоли, наличие у больного сопутствующих заболеваний, выбранная тактика лечения — все эти факторы существенно влияют на прогноз.
Профилактика
Профилактика рака полости рта включает в себя меры, направленные на поддержание общего физического здоровья с целью повышения противоопухолевого иммунитета. К ним относятся соблюдение режима труда и отдыха, своевременное лечение хронических заболеваний, гигиена.
Необходимо исключить повреждающие факторы, снизить риски — отказаться от курения, обжигающих напитков, контролировать состояние протезов.
При регулярном посещении стоматолога и самоосмотрах полости рта шанс на распознание болезни на ранних стадиях и ее успешное излечение существенно выше.
Таким образом, задача любого человека — забота о своей полости рта и регулярные визиты к стоматологу.
Алгоритм обследования пациентов со злокачественными опухолями полости рта и ротоглотки
Актуальность проблемы. Злокачественные опухоли полости рта и ротоглотки составляют по данным разных авторов около 2-5% от всех злокачественных новообразований и число новых случаев растет. Морфологически 90% таких опухолей приходится на плоскоклеточный рак (ПКР). Соотношение мужчин и женщин - 3:1. Средний возраст больных - 60 лет [1,2].
Несмотря на визуальную локализацию, диагностика злокачественных опухолей орофарингеальной зоны представляет определенные трудности. Оценка распространенности опухолевого процесса в полости рта производится при визуальном осмотре и пальпаторном исследовании, которое не позволяет оценить распространенность опухолевого инфильтрата за пределы видимых изменений слизистой [3]. Для оценки размера первичной опухоли, ее местного распространения в мышечную ткань и на слизистую оболочку, а также в шейные лимфатические узлы, клиническое обследование бывает недостаточным, т.к. часто недооценивается объем опухоли, особенно в случае поздней стадии заболевания ввиду склонности таких опухолей к распространению по подслизистой основе. В большинстве случаев сложно оценить поражение костных структур, протяженность поражения по нижней челюсти [4,5,6]. Изучение возможностей мультиспиральной компьютерной томографии (МСКТ), МСКТ с болюсным внутривенным контрастированием и магнитно-резонансной томографии (МРТ) при диагностике новообразований орофарингеальной зоны необходимо для долечебного стадирования опухолевого процесса, создания концепции консервативного (химиолучевого) лечения, а также дальнейшего планирования тактики и объема оперативного вмешательства. Также существует потребность в доработке и усовершенствовании алгоритма обследования пациентов с данной патологией.
Цель исследования. Оценить возможности МСКТ с внутривенным контрастированием и МРТ в выявлении и долечебном стадировании рака полости рта и ротоглотки. Усовершенствовать алгоритм лучевого обследования больных с опухолевым поражением орофарингеальной зоны.
Материалы и методы. МСКТ-исследования полости рта и ротоглотки проводились на аппарате Bright Speed 16 (General Electric). Сканирование выполнялось в спиральном режиме с толщиной томографического среза 2,5 мм, с шагом томографирования 2,5 мм до и поcле внутривенного болюсного введения контрастного вещества. Контрастное усиление достигалось путем введения 100 мл неионного контрастного вещества при скорости введения 3 мм/сек, время задержки сканирования 40 секунд. Зона сканирования включала в себя область от основания черепа до яремной вырезки. Сырые данные повторно реконструировали с шагом реконструкции 1.25 мм. В последующем выполнялось построение многоплоскостных реформаций изображений (МРR) на рабочей станции. МРТ проводилась на аппарате «Excelart Vantage» 1,5 Т (Toshiba). Исследования дна полости рта методом МРТ проводилось в режимах Т1-ВИ, Т2-ВИ, STIR в сагиттальной, коронарной и трансверзальной проекциях с толщиной среза 5 мм с использованием шейной катушки. В исследовании участвовали 50 пациентов (45 мужчин, 5 женщин) в возрасте от 41 до 73 лет. Результаты во всех случаях сопоставлялись с данными, полученными при патогистологических и интраоперационных исследованиях.
Результаты. Из 50 пациентов у 12 человек (24%) опухоль располагалась в области языка, у 15 пациентов (30%) в области дна полости рта, на миндалинах у 16 человек (32%), мягком небе - 5 человек (10%), слизистая щеки - 1 пациент (2%), альвеолярный отросток - 1человек (2%). По распространенности опухолевого процесса 29 пациентов были с Т3 стадией (58%), 7 пациентов с Т4 (14%), 12 пациентов с Т2 (24%), 2-с Т1(4%). По степени поражения лимфатических узлов 14 человек с N1(28%) стадией, 10 - с N2(20%), у 2 человек - N3 стадия (5%). В 2 случаях (4%) было выявлено поражение нижней челюсти.
Анализ результатов МСКТ и МРТ у больных с установленным диагнозом рака орофарингеальной зоны включал оценку размеров опухоли, распространенности опухолевого процесса по мышцам и костным структурам, переход за среднюю линию, степень инфильтрации межмышечной и подкожной клетчатки, поражение лимфатических узлов. Было установлено, что МСКТ - семиотика плоскоклеточного рака полости рта и ротоглотки соответствует МРТ-семиотике и включает в себя прямые и косвенные признаки. Прямыми признаками злокачественной опухоли являлись объемное разрастание патологической ткани, истончение жирового слоя или полная облитерация жировых пространств, инфильтрация мышечной ткани и костная деструкция. Косвенными признаками были структурная неоднородность ткани (при наличии некроза), изменение показателей плотности после введения контрастного вещества при МСКТ - исследовании и изменение сигнала при МРТ.
С помощью КТ сложно было выявлять опухоли малых размеров (Т1стадия) и их границы в результате низкой контрастности, а также новообразования с поверхностным распространением (рис. 1). Вместе с тем, 72,0% обследованных больных имели Т3, Т4 стадии опухолевого процесса и после болюсного введения контрастного вещества контрастность опухоли повышалась. С увеличением размера опухоли отмечалась неоднородность усиления из-за наличия некроза (рис. 2). Жировые пространства подъязычной области в нормальном состоянии представляют собой симметричную зону низкой плотности между челюстно-подъязычной и подбородочно-подъязычной мышцами. Облитерация жировых пространств подъязычной области служила основным показателем опухолевого поражения при выявлении небольших образований дна полости рта (рис. 3,4).

Рис.1. Пациент Ж., 58 лет. МСКТ ротоглотки в аксиальной проекции: А - нативное исследование, В - с внутривенным болюсным контрастированием. Небольшая инфильтративная опухоль ротоглотки (левой небной миндалины Т1 стадии). Границы опухоли не дифференцируются, накопление контраста слабое (показатели плотности в нативной фазе исследования 45 ед.Н, после внутривенного болюсного усиления - 56 ед.Н). Определяется смещение левой стенки ротоглотки, сглаженность контура (стрелки)
Рис. 2. Пациент К., 65 лет. МСКТ полости рта с внутривенным болюсным контрастированием в аксиальной проекции. Опухоль передних отделов дна полости рта Т4 стадии. Выявляется опухолевое образование размерами 4,5х3,5 см (стрелки) неоднородной структуры. Отмечается инвазия опухоли в нижнюю челюсть
Рис.3. Пациент Ч.,54 года. МСКТ в аксиальной проекции с внутривенным болюсным контрастированием. Небольшая опухоль дна полости рта с переходом за среднюю линию (стрелки). Инфильтрация жировых пространств дна полости рта
Рис.4. Пациент П., 48 лет. МСКТ полости рта с внутривенным болюсным контрастированием. В передних отделах дна полости рта центрально и слева дифференцируется участок низкой плотности размерами 0,8х0,4 см (стрелки). Накопление контраста слабое, показатели плотности 65-67 ед.Н. Границы опухоли четко не определяются, при этом распространения за среднюю линию не обнаружено. Отмечается облитерация жировой клетчатки подъязычной области слева. Справа жировые прослойки дифференцированы, мышцы не изменены. Лимфатические узлы шеи не увеличены
Сложно было выявлять опухоли малых размеров (Т1,Т2 стадии), расположенные в передних отделах дна полости рта из-за расположенных рядом костных тканей, зубов, наличия пломбировочного материала вследствие выраженных артефактов от плотных структур. В ряде случаев визуализацию облегчало наличие язвенного дефекта в структуре опухоли (рис. 5). При всех опухолях Т3, Т4 стадии определялось повышение плотности после введения контрастного вещества, их края четко визуализировались относительно окружающих тканей. Во всех случаях Т3, Т4 стадии удавалось определить размер опухоли и оценить инфильтрацию и распространение в соседние зоны, а также за среднюю линию (рис. 6).
Особенностью МРТ являлась высокая контрастность мягких тканей. Плотные костные ткани или зубоврачебный материал не создавали артефактов, что давало возможность получать четкое изображение опухоли полости рта, определять распространение в мягкие ткани, глубокие отделы орофарингеальной зоны, в область неба. На Т1-ВИ все опухоли имели ту же интенсивность сигнала, как у окружающих мышц или слабее (рис.7).
Рис. 5. Пациент З.,61 год. МСКТ ротоглотки в аксиальной проекции с внутривенным болюсным контрастированием. Опухоль Т2 стадии левой боковой поверхности языка в средней трети. Щелевидная язва, окруженная ободком повышенной плотности (стрелки)
Рис.6. Пациент З., 73года. МСКТ полости рта, ротоглотки в аксиальной проекции с внутривенным болюсным контрастированием. В области корня языка и средней трети визуализируется опухолевый узел размерами 6,4х4,5 см без признаков некроза, с инфильтрацией жировых пространств справа (стрелки). Опухоль накапливает контраст, повышая плотность до 80 ед.Н
Рис.7. Пациент С., 55 лет. МРТ ротоглотки в сагиттальной проекции в режиме Т1-ВИ. Опухоль дна полости рта с переходом на нижнюю поверхность языка (стрелки)
После введения контрастного вещества все опухоли показывали усиление сигнала. При локализации опухолевого процесса в области языка (12 пациентов) границы опухоли визуализировались более четко. В режиме Т2-ВИ опухолевые узлы проявлялись более высокой интенсивностью сигнала, чем у окружающих мышц (рис. 8).
Сложно было с помощью МРТ визуализировать опухоли любых размеров с поверхностным распространением, не выходящие за пределы слизистой оболочки. Опухоли малых размеров (Т1 стадия) в 2 наблюдениях были однородны, не имели центральной зоны некроза и сливались с мышцами. С увеличением размера опухолевого узла отмечалась неоднородность структуры. В наших исследованиях удалось выявить небольшие опухоли Т1 и Т2 стадий, локализованные в области языка и дна полости рта. В 9 наблюдениях опухоли Т2 стадии, не накапливающие контраст при МСКТ исследовании, хорошо визуализировались при МРТ в режимах Т2-ВИ, STIR, проявляясь сигналом высокой интенсивности. Можно было четко видеть границы опухоли и оценить ее размеры (рис. 9,10).
Рис. 8. Пациент П., 76 лет. МРТ полости рта в сагиттальной проекции в режиме Т2-ВИ. Опухоль языка, высокая интенсивность сигнала на фоне окружающих мышц (стрелки)

Рис. 9. Пациент А., 66 лет. МРТ дна полости рта в сагиттальной проекции в режиме Т2-ВИ. Опухоль дна полости рта размерами 2,0х1,8 см с распространением на основание языка Т1N0M0 (стрелки). Границы опухоли четко визуализируются, структура однородная
Не возникало сложностей в выявлении опухолевых узлов Т3, Т4 стадий, имевших все отмеченные выше признаки в различных сочетаниях в 36 исследованиях (рис. 11). Из 50 обследованных с помощью МСКТ и МРТ пациентов у 26 (52,0%) были выявлены метастазы в лимфатических узлах шеи. Поражались преимущественно лимфатические узлы I-II уровня. Признаками метастаза плоскоклеточного рака в лимфатических узлах были: увеличение размера лимфатического узла более 1,0 см, изменение формы лимфатического узла с бобовидной на округлую, структурные нарушения в узле, нечеткость наружных контуров узла, уплотнение окружающей жировой ткани на КТ или изменение сигнала на МРТ.

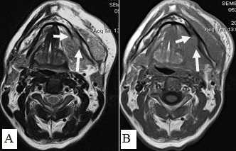
Рис. 10. А. Пациент Е., 52 года. МРТ полости рта, ротоглотки в аксиальной проекции, Т1-ВИ. Опухоль языка небольших размеров, границы визуализируются с трудом за счет перифокального отека (стрелки); В. Тот же пациент. МРТ в аксиальной проекции, Т2 с подавлением сигнала от жировой ткани. Визуализируются границы опухолевого узла, размеры опухоли языка четко определяются (стрелки)

Рис. 11: А. МРТ полости рта, ротоглотки в аксиальной проекции. Рецидив опухоли языка размерами 6,0х6,5 см с распространением на дно полости рта, правую боковую стенку ротоглотки (стрелки). Выявляется переход за среднюю линию; В. Тот же больной. МРТ полости рта, ротоглотки в коронарной проекции. Опухолевый узел показан стрелками. Просвет ротоглотки сужен, деформирован. Опухоль имеет низкий сигнал на Т1-ВИ, аналогичный сигналу от окружающих мышц, при этом размеры опухолевого узла, его объемные характеристики позволяют четко отграничить от интактных тканей. Также отмечается структурная неоднородность патологического образования за счет некроза
Большинство пораженных метастазами лимфатических узлов имели размеры более 1,0 см, округлую форму (рис. 12). Внутривенное контрастирование при оценке изменений в лимфатическом узле являлось обязательным условием для уточнения внутренней структуры и выявления зон некроза. В результате гипоксии и распада ткани формируется центральная зона некроза, не накапливающая контрастный препарат при внутривенном болюсном усилении. При этом отмечается повышение плотности в периферических отделах лимфатического узла (рис. 13).
Рис. 12. Пациент П., 68 лет. МРТ полости рта, ротоглотки в коронарной проекции. Выявляется увеличенный подчелюстной лимфатический узел округлой формы, неоднородной структуры (стрелки)
Рис. 13. Пациентка К.,64 года. МСКТ ротоглотки, шеи в аксиальной проекции с внутривенным болюсным контрастированием. Рак языка с метастазами в лимфатические узлы средней яремной группы. Отмечается контрастирование пораженных лимфатических узлов по периферии, низкой плотности центральная зона некроза (стрелки). Билатеральное поражение
Рис. 14. Пациент К., 56 лет. МСКТ полости рта в аксиальной проекции в костном режиме. Выявленная в мягкотканном режиме опухоль дна полости рта слева прилежит к слизистой оболочке альвеолярного края нижней челюсти. В костном режиме выявляется очаг деструкции кортикального слоя нижней челюсти слева
Клиническая оценка инвазии опухоли в нижнюю челюсть проводилась на основании клинических симптомов и признаков, а также выполняли пальпацию двумя руками для оценки степени подвижности опухоли относительно нижней челюсти. При этом результаты клинического осмотра всегда требовали корреляции с данными визуализирующих исследований. От степени распространения опухоли зависит объем резекции в соответствии с онкологическими требованиями.
В наших исследованиях у 4 пациентов (3,0%) с первично установленным диагнозом опухолевого поражения полости рта выявлена деструкция нижней челюсти. Очаги лизиса были представлены на КТ-изображениях в виде участков нарушения целости или эрозий кортикального слоя. Признаком поражения костного мозга при КТ была замена низкой плотности нормальной жировой ткани на плотность мягких тканей (рис. 14).
При МРТ-исследованиях оценка инфильтрации костной ткани проводилась по следующим показателям: отсутствие типичного гипоинтенсивного сигнала от кортикального слоя на Т1-ВИ и Т2-ВИ, появление сигнала высокой или средней интенсивности на Т1-ВИ и Т2-ВИ, соответствующего опухолевой ткани, появление гипоинтенсивного сигнала на Т1, гиперинтенсивного сигнала на Т2 или Т2 с подавлением сигнала от жировой ткани, что демонстрировало поражение костного мозга (рис. 15).

Рис. 15. Пациент С.,52 г. МРТ полости рта в аксиальной проекции в режиме Т2-ВИ (А) и Т1-ВИ (В). Рак дна полости рта с распространением на нижнюю челюсть, инфильтрацией мягких тканей щечной, подбородочной области слева. Выявляется деструкция кортикального слоя нижней челюсти слева, поражение костного мозга (стрелки)
Выводы. МСКТ и МРТ являются высокоэффективными методами в обнаружении опухолей полости рта и ротоглотки, а также в оценке степени распространения опухолевого процесса. Алгоритм лучевого обследования пациентов с опухолевым процессом данной локализации должен включать обязательное МСКТ-исследование с внутривенным болюсным контрастированием. МРТ следует рассматривать как метод выбора у пациентов с опухолями малых размеров, в случаях низкой контрастности опухоли на МСКТ-изображениях, а также при наличии выраженных артефактов от зубоврачебного материала, костей. Использование предложенного алгоритма обследования позволяет получать всю необходимую информацию за короткое время одного исследования, не удлиняя период обследования онкологического больного.
Список использованных источников:
1. Аксель Е.М. Злокачественные новообразования в странах СНГ// Матер. III съезда онкологов и радиологов СНГ. - Минск, 2004. - Ч. 1. - С. 210-211.
2. Чиссов В.И., Старинский В.В., Петрова Г.В. Злокачественные новообразования в России в 2007 году. - М. - 2009. - 244 с.
3. Lenz M., Greess H., Baum U., Dobritz M., Kersting-Sommerhoff B. Oropharynx, oral cavity, floor of the mouth: CT and MRI// Eur J Radiol. 2000 Mar;33(3):203-15.
4. Mukherji S.K., Isaacs D.L., Creager A., Shockley W., Weissler M., Armao D. CT detection of mandibular invasion by squamous cell carcinoma of the oral cavity// Am J Roentgenol. 2001 Jul;177(1):237-43.
5. Lenz M., Hermans R. Imaging of the oropharynx and oral cavity. Part II: pathology// Eur. Radiol. 1996;6:536-49.
6. Yuasa K., Kawazu T., Nagata T et al. Computed tomography and ultrasonography of metastatic cervical lymph nodes in oral squamous cell carcinoma// Ultrasound Q. 2010; 26(1):45-51.
Подписано в печать: 07.05.2013
МРТ языка что показывает

Магнитно-резонансная томография - неинвазивный и безопасный вид инструментальной диагностики, с помощью которого оценивают состояние и характер кровоснабжения мягких тканей полости рта. МРТ языка назначают индивидуально, при травмах, признаках заболевания органа, в рамках комплексного обследования горла, гортани, височно-нижнечелюстных суставов, лицевой области.

Магнитно-резонансная томография шеи и полости рта (фронтальная и сагиттальная плоскости)
Метод магнитно-резонансного сканирования основан на применении индукционного поля, влияющего на расположение атомов водорода в молекулах воды. Ткани, насыщенные жидкостью, обеспечивают сигнал большей интенсивности, томография плотных структур менее результативна. МРТ эффективна в диагностике патологических состояний подкожно-жировой клетчатки, мышц, связок, лимфатической, кровеносной, нервной систем.
Заболевания языка и полости рта
Патологические состояния начального отдела пищеварительной системы приводят к нарушению функциональности включенных анатомических образований и влияют на общее самочувствие. Заболевания полости рта сопровождаются характерными симптомами:
- нарушения речи, проблемы с артикуляцией;
- уменьшение подвижности языка;
- боль, локализованная или разлитая, может усиливаться при приеме пищи, разговоре;
- наличие отека, деформации в области морфологических элементов ротовой полости;
- гиперемия слизистых оболочек;
- асимметрия лица;
- спазмы жевательной мускулатуры и мышц языка;
- обильное слюноотделение или сухость слизистых оболочек.
МРТ языка и полости рта позволяет диагностировать воспалительные, дистрофические, дегенеративные, неопластические заболевания. Наиболее часто встречаются:
- доброкачественные новообразования;
- стоматиты, гингивиты, периодонтиты, глоссит и другие воспалительные явления;
- сиалолитиаз (слюнокаменная болезнь);
- злокачественные опухоли;
- врожденные аномалии строения;
- дисфункции слюнных желез;
- травмы челюстей, мягкотканных элементов зоны интереса.
Причинами патологических изменений являются внешние факторы (вирусные, грибковые инфекции, механические повреждения, химические и термические ожоги и пр.) и процессы, протекающие в организме (нарушение обмена веществ, гормональный дисбаланс, иммунный сбой и др.) Своевременная диагностика позволяет назначить результативное лечение и избежать серьезных осложнений.

Киста слюнной железы на МРТ полости рта (аксиальная проекция)
Делают ли МРТ полости рта?
Магнитно-резонансную томографию используют в стоматологии, онкологии, челюстно-лицевой хирургии. МРТ полости рта и языка назначают для уточнения локализации, размеров патологического очага, определения характера заболевания. Метод позволяет визуализировать состояние анатомических структур в зоне интереса, показывает малейшие изменения сканируемых тканей.
Наиболее информативно сканирование при подозрении на рак языка. Послойные изображения показывают небольшие новообразования (от 3 мм), что помогает диагностировать онкологический процесс на ранних стадиях.
Перед операцией сканирование проводят для определения локализации и размеров патологического участка. В период восстановления контрольные процедуры позволяют отслеживать процессы реабилитации. МР-сканирование помогает своевременно диагностировать развитие осложнений, корректировать медикаментозное лечение.

Магнитно-резонансная томография полости рта, снимок сделан в сагиттальной плоскости
МРТ языка назначают с целью уточнения диагноза при недостаточной результативности других видов аппаратных исследований. Ограничениями к магнитно-резонансному сканированию служат:
- наличие у пациента металлических коронок, штифтов, имплантатов;
- вживленные электромагнитные устройства (кардиостимулятор, инсулиновая помпа и пр.)
Нативную МРТ не назначают в первом триместре беременности. Использование контраста для будущих мам запрещено, вне зависимости от срока. Детям в возрасте до 12 лет сканирование с усилением проводят в условиях стационара.
МРТ языка и полости рта: что показывает?
Результатом магнитно-резонансной томографии служит серия послойных изображений изучаемой области, сделанных с шагом от 1 мм. Подробные фото показывают изменение формы, размера, расположения элементов полости рта, наличие инородных тел, нарушения целостности и структуры тканей.
МРТ отражает состояние корня, тела, кончика языка. Чаще магнитно-резонансную томографию применяют в диагностике злокачественных новообразований, которые на Т1-взвешенных изображениях имеют неоднородную низкую интенсивность сигнала. Сканирование показывает первичные опухоли, собственные и проникающие метастазы.
При травмах метод позволяет увидеть нарушение целостности мышц, связок, разрывы кровеносных сосудов, гематомы.
На снимках видны изменения, вызванные воспалительными процессами: отечность тканей, скопление жидкости, расширение периодонтальной щели. По результатам диагностической процедуры врач определяет абсцессы, флегмоны мягких тканей в зоне исследования.

Шваннома языка на МРТ (стрелка указывает на новообразование в мягких тканях органа), аксиальная и фронтальная проекции.
Послойные изображения визуализируют состояние слюнных желез и протоков, показывают наличие конкрементов при сиалолитиазе. На томограммах видны расположение и размеры доброкачественных образований (полипов, ретикулярных кист и пр.).
Контрастную магнитно-резонансную томографию используют в диагностике рака языка, для оценки характера кровоснабжения полости рта. Заполняя сосудистое русло и межклеточное пространство, раствор гадолиния помогает увидеть малейшие патологические изменения внутренних структур.
Как делают МРТ рта?
При обследовании на закрытом томографе пациент ложится на передвижной стол, который закатывают в широкую замкнутую трубу, где установлен индуктор магнитного поля. Во время МРТ ротовой полости и языка больной должен сохранять первоначальную позу, для чего применяют специальные крепления и валики. Закрытый аппарат с напряженностью магнитного поля от 1,5 Тл позволяет сократить время исследования. Полученные изображения отличаются высоким качеством.
Для защиты от шума работающего томографа используют наушники. Врач-рентгенолог и лаборанты располагаются за перегородкой. Связь с пациентом осуществляют с помощью переговорного устройства.
Продолжительность нативного сканирования составляет 15-20 минут. При использовании контрастного усиления время процедуры увеличивается до получаса. После серии обычных снимков исследование приостанавливают, пациенту внутривенно вводят раствор гадолиния. Для инъекции используют катетер, соединенный с автоматическим инжектором (болюсное усиление).
Сканирование делают в аксиальной, сагиттальной и фронтальной проекциях. На основании полученных фото врач при необходимости реконструирует трехмерную модель изучаемой области. Объемное изображение позволяет уточнить локализацию патологического процесса и оценить взаимодействие очага с окружающими тканями.
Расшифровка фотоснимка МРТ языка
Протокол исследования включает описание строения анатомических образований сканируемой области, оценку состояния изучаемых структур.
Расшифровку результатов МРТ языка и ротовой полости проводит врач-рентгенолог. В заключении описывают:
- наличие травматических повреждений в зоне интереса;
- дефекты строения структур полости рта;
- характер кровоснабжения рассматриваемой области, изменение состояния стенок, наполненности сосудов;
- структуру мягких тканей;
- состояние слизистой оболочки;
- наличие новообразований;
- присутствие инородных тел, кальцинатов.
Изображение слюнных желез на МРТ
Описательная часть заключения заканчивается предположительным диагнозом. При необходимости клиницист назначает дополнительные обследования (КТ, клинические анализы, биопсию и др.). Окончательный диагноз лечащий врач ставит на основании результатов всех проведенных процедур.
Медицинская клиника “Магнит” в Санкт-Петербурге проводит МРТ языка и полости рта на современном томографе Siemens мощностью 1,5 Тл. Записаться на обследование можно с помощью формы обратной связи на сайте или по нашему телефону.
Рак языка и полости рта - симптомы и лечение
Что такое рак языка и полости рта? Причины возникновения, диагностику и методы лечения разберем в статье доктора Опря Анны Николаевны, онколога со стажем в 12 лет.
Над статьей доктора Опря Анны Николаевны работали литературный редактор Юлия Липовская , научный редактор Татьяна Остринская и шеф-редактор Маргарита Тихонова

Определение болезни. Причины заболевания
Рак языка и полости рта (сancer of the tongue and mouth) — это злокачественная опухоль, развивающаяся на слизистой оболочке передних 2/3 языка, дна полости рта, щёк, нёба и дёсен. Опухоль на корне языка относится уже к группе злокачественных новообразований ротоглотки.
Синонимы: карцинома слизистой оболочки полости рта.
Чаще всего рак слизистой оболочки полости рта проявляется в виде безболезненной незаживающей язвы или уплотнения. Из-за этого опухоль часто путают с травмой слизистой оболочки и не обращают на неё внимания, считая, что всё пройдёт самостоятельно. По статистике, 65 % пациентов обращаются к врачу только на III-IV стадии рака [1] .
Распространённость
97 % злокачественных опухолей полости рта представлены плоскоклеточным ороговевающим раком, происходящим из эпителиальных клеток, которые покрывают слизистую оболочку ротовой полости [3] [17] . В 3 % рак полости рта представлен злокачественными опухолями малых слюнных желёз. Кроме карциномы (рака), есть и другие злокачественные опухоли полости рта: саркома, меланома и лимфома.
Наиболее часто, примерно в 52 % случаев, рак полости рта локализуется на подвижной части языка. Дно полости рта поражается в 20 % случаев, слизистая оболочка щёк — в 7 % случаев. Поражение остальных отделов полости рта встречается реже: частота рака твёрдого нёба — 4 %, альвеолярного отростка нижней и верхней челюсти челюсти — 6 и 4 %, мягкого нёба — 5 %, передних нёбных дужек — 2 % [26] .
Мужчины болеют примерно в 3,5 раза чаще женщин. Средний возраст заболевших составляет 61 год [1] .
Причины рака языка и полости рта
Алкоголь и табак. 75 % всех злокачественных опухолей слизистой оболочки полости рта связаны с употреблением алкоголя и табака, в том числе бездымного (т. е. жевательного) [18] . По данным исследования, курение более 40 сигарет в день в 7 раз повышает риск развития рака полости рта, а потребление более 800 г крепких спиртных напитков в неделю — в 6 раз. У мужчин, которые курят более 40 сигарет в день и выпивают более 800 г крепких спиртных напитков в неделю, риск развития рака полости рта выше в 38 раз по сравнению с некурящими и непьющими людьми [19] . Жевание ореха бетеля, характерное для жителей стран Восточной Азии и Индии, также относится к факторам риска развития рака полости рта [3] [20] .
Хроническое воспаление. При пародонтите риск развития рака полости рта повышается в 2-5 раз. Считается, что это связано с различиями в составе микробиоты (совокупности микроорганизмов) полости рта [3] [5] .
Хронические травмы слизистой оболочки от острых краёв зубов или пломб, неправильно подобранных протезов или имплантов. Также травма может появиться из-за поведенческих привычек, например прикусывания слизистой оболочки [4] .
Эпителиальные поражения полости рта, которые могут стать злокачественными:
- — вероятность озлокачествления от 0 до 12,5 %, по данным разных авторов; — вероятность перехода в рак 2-3 % в год;
- эритроплакия — встречается крайне редко, однако риск озлокачествления доходит до 85 %;
- подслизистый фиброз — злокачественный потенциал 9 % [7][10][11][14] .
Вирус папилломы человека (ВПЧ). Это распространённый вирус, который не причиняет вреда большинству людей и проходит самостоятельно. В то же время он может вызвать изменения, приводящие к раку. Более 90 % опухолей, связанных с ВПЧ, вызваны 16-м типом вируса [6] . ВПЧ-ассоциированный рак более характерен для злокачественных поражений ротоглотки.
Пищевые привычки. К таким привычкам относится недостаток микронутриентов (особенно витамина А) из-за низкого потребления фруктов и овощей, а также употреблением слишком горячей и пряной пищи [8] [12] . Пищевые привычки вызывают рак полости рта в 10-15 % случаев.
Некоторые наследственные заболевания: пигментная ксеродерма, синдром Ли — Фраумени, системная красная волчанка, склеродермия и атаксия-телеангиэктазия. При этих болезнях риск развития рака, в том числе полости рта, выше из-за нарушения механизмов восстановления ДНК [12] .
Кислоты, щёлочи и другие химические вещества в виде паров и аэрозолей, например на химическом предприятии. Они повышают риск развития злокачественных новообразований языка и полости рта.
При обнаружении схожих симптомов проконсультируйтесь у врача. Не занимайтесь самолечением - это опасно для вашего здоровья!
Симптомы рака языка и полости рта
Слизистую оболочку полости рта можно осмотреть самостоятельного. Это позволяет выявить рак на ранних стадиях без дополнительной диагностики.
Рак слизистой оболочки полости рта имеет три формы роста:
- Экзофитный — больший компонент опухоли растёт над слизистой оболочкой, выглядит как бляшкообразный, грибовидный нарост с чёткими границами.
- Эндофитный — опухоль распространяется вглубь без чётких границ, выглядит как язва или уплотнение.
- Смешанная форма.
![Экзофитный и эндофитный рост опухоли [24, 27]](https://probolezny.ru/media/bolezny/rak-yazyka/ekzofitnyy-i-endofitnyy-rost-opuholi-24-27_s_NduxucM.jpg)
Возможные симптомы рака слизистой оболочки полости рта:
- Непроходящее красное, розовато-красное или белое пятно, язва или узловое образование на слизистой оболочке каменистой плотности. При контакте, например при чистке зубов, эти изменения могут кровоточить.
- Постоянная боль в горле, боль при глотании, не связанная с простудой. Жжение и болезненность в поражённой области. Редко может беспокоить боль в ухе.
- Нарушение подвижности языка, если опухоль располагается в этой области, и связанное с этим изменение речи.
- Проблемы с глотанием, попёрхивание, если опухоль находится рядом с корнем языка.
- Увеличение лимфоузлов на шее.
- Необъяснимые кровотечения из языка вне травм и прикусывания.
- Онемение во рту, которое не проходит (встречается нечасто).
Перечисленные симптомы могут быть вызваны и другими заболеваниями, поэтому нужно проконсультироваться с врачом.
Как заявляет Всемирная организация здравоохранения (ВОЗ), если поражение в полости рта не проходит в течение двух недель после того, как устранили местные причины раздражения, нужно сделать биопсию [5] .
Патогенез рака языка и полости рта
Рак слизистой оболочки полости рта возникает из-за мутаций ДНК, влияющих на несколько различных генов. Часто мутации возникают спонтанно, в то же время факторы риска изменяют соотношение между мутагенными сигналами и врождёнными защитными механизмами.
Есть гены, которые регулируют клеточный цикл от момента её образования путём деления материнской клетки до собственного деления или гибели:
- Протоонкогены — это нормальные гены клеток, которые отвечают за размножение. В зрелых клетках они, как правило, неактивны, но под воздействием разных факторов могут активироваться и превратиться в онкогены, которые вызывают бесконтрольное деление клеток.
- Антионкогены — гены, которые подавляют размножение клеток.
Если соотношение этих генов нарушается, клетки начинают бесконтрольно делиться, что приводит к образованию злокачественного новообразования [13] [15] .
Когда генетические поломки накапливаются, клетки становятся автономными и проникают через базальную мембрану эпителия. Затем опухолевые клетки с током крови и лимфы перемещаются в другие ткани и органы, т. е. дают метастазы. Для рака языка на первом этапе наиболее характерно поражение лимфоузлов шеи, на втором этапе — метастазирование в отдалённые органы (лёгкие и печень, редко кости и др.).
Особенности развития рака полости рта в зависимости от причин
Различные вещества повреждают различные гены. По сути, под раком слизистой оболочки полости рта подразумевают разнородную группу плоскоклеточного рака, развившегося в одной анатомической области по разным причинам. Изучение генетики злокачественных опухолей полости рта позволит предсказывать поведение опухоли и осуществлять таргетную терапию, которая воздействует только на клетки опухоли без повреждения здоровых клеток организма.
Отличительной особенностью опухолей, связанных с курением, является высокая мутационная нагрузка. Это значит, что на ткани регулярно воздействует большое количество канцерогенов, включая специфические для табака нитрозамины, полициклические ароматические углеводороды и летучие органические соединения. Кроме этого, из-за воздействия табачного дыма на организм в целом могут появиться множественные очаги поражения в пределах пищевода, желудка, печени и поджелудочной железы, реже в двенадцатиперстной кишке.
В хроническом воспалении наибольшую роль оказывают бактерии Fusobacterium nucleatum и Porphyromonas gingivalis. Они способствуют тому, что клетка, пройдя весь свой цикл, не умирает, как это должно происходить в норме, а продолжает размножаться [3] [15] .
ВПЧ интегрирует свой геном ДНК в ядро клетки-хозяина, и клетки начинают вырабатывать онкопротеины E6 и E7. В результате нарушается процесс запрограммированной гибели клеток, который необходим для восстановления ДНК хозяина. Клетки, которые вырабатывают E6, становятся генетически нестабильными. Белок E7 нарушает клеточный цикл и приводит к размножению клеток и их злокачественной трансформации [6] .
Классификация и стадии развития рака языка и полости рта
Осложнения рака языка и полости рта
Образование в области языка может нарушать его подвижность. Если у человека не будет двигаться язык, он не сможет нормально сформировать пищевой комок и проглотить его.
Если опухоль распространяется на область височно-нижнечелюстного сустава, человеку труднее открывать рот и сложнее пережёвывать пищу. В запущенных формах человек вообще не может открыть рот, даже чтобы выпить воду. В этом случае потребуется установить гастростому (искусственный вход в полость желудка через переднюю брюшную стенку).
При распространённом процессе, который затрагивает надгортанник, слюна вместо пищевода будет попадать в трахею и приведёт к пневмонии. В этом случае может потребоваться трехеостома (искусственно созданное отверстие в трахее, которое позволяет пациенту дышать).
Злокачественная опухоль способна как прорастать в кровеносные сосуды, так и образовывать новые сосуды. Поэтому при распаде большой опухоли может возникнуть кровотечение.
Неспецифические осложнения рака слизистой оболочки полости рта:
- — отсутствие аппетита. Это состояние часто сопровождает хронические заболевания на поздней стадии. Важно понимать, что отсутствие аппетита может быть вызвано не только самой опухолью, но и сопутствующими состояниями: изменением вкуса, наличием тошноты, сухостью в полости рта, расстройством пищеварения, усталостью, депрессией и хроническим болевым синдромом. Сопутствующие состояния могут быть связаны как с самим раком так и с его лечением. Для коррекции анорексии важно понимать, почему она возникла. Например, если причина в депрессии, то нужна будет помощь психолога или психиатра [21] . — общее похудание и истощение. Основная роль в развитии кахексии принадлежит полипептидам и цитокинам. Они запускают в организме различные изменения, приводящие к гиперметаболизму (повышенному расходу энергии в состоянии покоя), который характерен для онкологического процесса. При кахесии, кроме общего истощения, иногда наблюдается депрессия и расстройство пищеварения, вызванное снижением сократительной активности мышц желудка. — низкий уровень гемоглобина (меньше 120 г/л) или его снижение более чем на 20 г/л от исходного значения. Может быть обусловлена как наличием самой опухоли, так и её лечением [22] .
В запущенном периоде опухоль разрушает окружающие ткани: преддверие рта, кости, кожу и мышцы с последующим некрозом (омертвением) тканей.
Диагностика рака языка и полости рта
При обнаружении незаживающей язвы или уплотнения на слизистой оболочке полости рта нужно обратиться к стоматологу, парадонтологу, специалисту по патологии слизистой оболочки полости рта или оториноларингологу. Если жалобы беспокоят белее двух недель, лучше сразу идти к онкологу, который специализируется на опухолях головы и шеи.
Осмотр
Диагностика начинается с клинического осмотра полости рта, который состоит из визуального осмотра и пальпации (прощупывания). Тщательное клиническое обследование позволяет выявить до 99 % случаев рака языка и полости рта [23] .
Инструментальная диагностика
- Фиброларингоскопия (ФЛС). Это обследование гортани и глотки с помощью гибкого эндоскопа с видеокамерой на конце. Обычно проводится, если опухоль распространяется на корень языка. Но, в зависимости от выраженности рвотного рефлекса у пациента и его анатомических особенностей, опытный ЛОР-онколог в большинстве случаев может рассмотреть опухоль и без ФЛС.
- Биопсия. При этом исследовании берут небольшие образцы ткани опухоли, чтобы установить её морфологическую структуру. Биопсию нужно проводить при всех подозрительных поражениях. Это наиболее информативный метод диагностики рака любой локализации.
- УЗИ языка. Позволяет определить, насколько глубоко проникла опухоль. Если есть техническая возможность, это исследование нужно выполнять всем пациентам со злокачественными новообразованиями языка.
- КТ и/или МРТ поражённой области с внутривенным контрастированием. Выполняется, чтобы оценить первичную распространённость опухоли, глубину её проникновения, наличие инвазии в кости нижней или верхней челюсти, основание черепа или в окружающие мягкие ткани. Если нет противопоказаний, МРТ рекомендуется при планировании лучевой или химиолучевой терапии.
- УЗИ лимфоузлов шеи с пункцией изменённых лимфоузлов. Исследование показывает, затрагивает ли опухолевый процесс регионарные лимфоузлы.
- УЗИ органов брюшной полости и забрюшинного пространства. Позволяет исключить метастазы в этих областях.
- Рентгенография органов грудной клетки или КТ. Проводится, чтобы выявить отдалённые метастазы и заболевания, которые могут повлиять на тактику лечения: туберкулёз, саркоидоз, пневмонию, рак лёгкого и т. д.
- ПЭТ/КТ с флудезоксиглюкозой. В некоторых случаях это исследование рекомендуется пациентам с III-IV стадиями, чтобы исключить отдалённые метастазы. Также оно может проводиться по индивидуальным показаниям [17][18] .
Лабораторная диагностика
Иммуногистохимическое исследование белка p16. Повышение его уровня указывает на предраковые изменения, связанные с ВПЧ-инфекцией. Этот анализ позволяет выявить рак на ранней стадии [16] .
Дифференциальная диагностика
Рак полости рта нужно отличать от доброкачественных опухолей языка (фибромы, миомы, липомы, гемангиомы, лимфангиомы), одной из форм первичного сифилиса, туберкулёзной язвы, лейкоплакии и эритроплакии.
![Лейкоплакия языка [29]](https://probolezny.ru/media/bolezny/rak-yazyka/lyaykoplakiya-yazyka-29_s.jpg)
Лечение рака языка и полости рта
Основным методом лечения рака слизистой оболочки полости рта остаётся хирургический. Также может применяться лекарственное лечение, лучевая терапия или их комбинация.
Первичный рак рекомендуется удалять единым блоком вместе с лимфоузлами на шее. Это позволяет снизить риск рецидива. Объём лимфодиссекции зависит от размеров опухоли и наличия метастазов в лимфоузлах шеи.
При наличии неблагоприятных факторов прогноза после операции назначается лучевая или химиолучевая терапия. К таким факторам относят:
- III-IV стадию;
- метастазы в одном или нескольких лимфоузлах;
- прорастание опухоли за капсулу лимфоузла;
- периневральную инвазию (распространение опухолевых клеток на нервы);
- опухолевые эмболы в лимфатических сосудах.
Если есть абсолютные противопоказания к оперативному вмешательству или пациент отказывается от операции:
- при I и II стадиях рекомендуется провести дистанционную лучевую терапию или брахитерапию в самостоятельном варианте , при которой источник излучения располагается как можно ближе к опухоли или непосредственно в ней;
- при III и IV стадиях выполняется химиолучевое лечение.
Лечение опухоли, которую нельзя удалить хирургическим путём
Хирургическое лечение не целесообразно в следующих случаях:
- стадия Т4b (опухоль прорастает в крылонёбную ямку, боковую стенку глотки или основание черепа; или затрагивает внутреннюю сонную артерию);
- опухоль распространилась из регионарных лимфоузлов на кожу, такое встречается при запущённых формах;
- опухоль распространилась на структуры средостения, предпозвоночную фасцию или шейные позвонки.
При изначально неоперабельном процессе выбор метода лечения зависит от общего состояния пациента [17] . Может проводиться один из вариантов лечения:
- Химиолучевая терапия или индукционная полихимиотерапия с последующим проведением дистанционной лучевой или химиолучевой терапии. Далее решается вопрос о хирургическом лечении.
- Дистанционная лучевая терапия +/- конкурентная химиотерапия (в зависимости от общего состояния).
- Паллиативная дистанционная лучевая терапия, или монохимиотерапия, или паллиативная помощь [24] .
Прогноз. Профилактика
Прогноз заболевания определяется стадией. Общая 5-летняя выживаемость составляет 85 % для I стадии, 75 % для II стадии, 60 % для III стадии, 30 % для IV стадии. При распространённых стадиях прогноз неблагоприятный [25] .
Профилактика рака языка и полости рта
Чтобы предотвратить развитие рака слизистой полости рта, необходимо:
- отказаться от вредных привычек: курения, приёма алкоголя, жевания бетеля;
- устранить причины, травмирующие слизистую оболочку полости рта: острые края зубов или пломб, неправильно подобранные зубные протезы или импланты;
- соблюдать гигиену полости рта;
- регулярно самостоятельно осматривать ротовую полость;
- проходить профилактические осмотры у стоматолога, своевременно лечить периодонтит.
Когда канцерогенный процесс уже начался, основой вторичной профилактики является своевременное обследование и раннее лечение предраковых заболеваний полости рта и рака на ранних стадиях.
Несмотря на то, что всё больше людей узнают о раке полости рта, процент пациентов, которые обращаются за медицинской помощью с запущенным заболеванием, за последние 40 лет существенно не изменился.
Рак языка и полости рта может возникнуть у любого человека, но чаще он развивается под воздействием факторов риска. Большинство этих факторов возможно устранить, поэтому рак полости рта можно рассматривать как заболевание, которое можно предотвратить [3] [5] .
Читайте также:
