КТ, МРТ при посттрансплантационной лимфопролиферативной болезни головы и шеи
Добавил пользователь Евгений Кузнецов Обновлено: 15.12.2025
Компьютерная томография основана на ионизирующем рентгеновском излучении. Сканирование на томографе с возможностью построения 3D-реконструкций внутренних органов, сосудов и костей — высокоточный метод обследования, предпочтительный в ряде сложных ситуаций: после инсультов, при пневмониях, подозрении на онкологию. Однако такое обследование нельзя проходить часто.
В этой статье мы разберем, в чем заключается вред рентгеновского излучения и как уменьшить его влияние, если норма допустимого была превышена.
Чем вредно ионизирующее (рентгеновское) облучение?
По данным актуальных исследований библиотек РИНЦ и PubMed, а также в соответствии с действующими нормами радиационной безопасности населения РФ (НРБ), не рекомендуется облучается более чем на 15-20 мЗв в год. На новых КТ-аппаратах (МСКТ), в зависимости от исследуемых зон, это около 5-8 сканирований. На аппаратах старого образца из-за меньшего количества чувствительных датчиков, срезов и большего времени сканирования лучевая нагрузка выше.
После КТ радиоактивные элементы не сохраняются и не накапливаются в организме человека. X-ray лучи сканируют только зону интереса, и это длится 30-45 секунд.
Организм человека содержит необходимые ему химические элементы — водород, железо, калий и др. Распад этих элементов — тоже в своем роде является радиоактивным процессом, который происходит ежесекундно, на протяжении всей жизни человека. Некоторое количество радиации человек получает из атмосферы, воды, от природных радионуклидов. Это называется естественным радиационным фоном.
Доза радиации, полученная пациентом в рамках медицинских обследований не велика — это справедливо как для рентгена, так и для КТ. Однако организм каждого человека по-разному реагирует на воздействие x-ray излучения: если одни пациенты сравнительно легко переносят лучевую нагрузку, равную 50 мЗв, то для других аналогичной по воздействию будет нагрузка 15 мЗв.
Поскольку норма относительна, а порог, при котором негативного воздействия гарантированно не произойдет, отсутствует, принято считать, все виды исследований с применением ионизирующего излучения потенциально вредны. Организм взрослого человека более резистентен к радиации, а дети более чувствительны. Однако у некоторых пациентов имеются отягчающие факторы в анамнезе или индивидуальные особенности организма.
Например, по одним данным считается, что у годовалого ребенка, которому проводится КТ брюшной полости, пожизненный риск онкологии возрастает на 0,18%. Однако если ту же процедуру проходит взрослый или пожилой человек, то этот риск будет существенно ниже. Считается, что регулярное дозированное рентгеновское облучение даже полезно, поскольку организм адаптируется к лучевой нагрузке, и его защитные силы возрастают.
По данным другого исследования, проводимого на когортной группе детей в период с 1996 по 2010 гг. в США, «ежегодно по стране 4 миллиона детских компьютерных томографов головы, живота / таза, грудной клетки или позвоночника вызовут 4870 случаев рака. Этот процент уменьшится, если сократить количество исследований, доза облучения в которых превышает 20 мВз».*
*“The use of computed tomography in pediatrics and the associated radiation exposure and estimated cancer risk”, 2013 (Diana L Miglioretti , Eric Johnson, Andrew Williams, Robert T Greenlee)
Избыток радиации может стать спусковым механизмом для онкологии, дегенеративных нейрозаболеваний (болезнь Альцгеймера, болезнь Паркинсона). Беременным женщинам (даже если факт беременности еще не подтвержден, но существует вероятность вынашивания плода на данный момент) противопоказано дополнительное радиационное воздействие, то есть делать КТ в этот период можно только по жизненным показаниям, из-за риска тератогенного воздействия ионизирующего излучения на формирующийся плод.
Большинство медиков сегодня склоняются к мнению, что польза целесообразной компьютерной томографии несомненно превышает вред, однако уровень лучевого воздействия на организм, даже с целью медицинской диагностики, следует сводить к минимуму. Например, для наблюдения изменений легочных лимфоузлов или камней в почках диагностические изображения могут быть получены при дозе на 50-75 % ниже, чем при использовании стандартных протоколов. То есть в некоторых случаях могут быть применены низкодозные КТ-протоколы.
Что показывает КТ головы?
Компьютерная томография относится к передовым и высокоинформативным методам обследования при заболеваниях и неочевидных патологических процессах самого широкого спектра. За открытие этого метода и развитие технологии сканирования изобретатели Аллан Кормак и Годфри Хаунсфилд в 1979 году получили Нобелевскую премию в области физиологии и медицины, а их разработка помогла существенно повысить процент выявляемости опасных заболеваний (онкология, инсульты, патологии сосудов).
В чем особенность КТ? Что показывает обследование? Разберем в этой статье.
КТ головы - что это за обследование?
В отличие от рентгена и УЗИ, технология визуализации при КТ головы предполагает серию срезовых изображений (сканов) в высоком разрешении. Кольцо томографа (гентри), сквозь которое движется процедурный стол, оснащено рядами чувствительных датчиков, которые всего за несколько секунд перемещаются по спиральной траектории и регистрируют ответ от органов и тканей в различных плоскостях. На выходе получается объемное, а не плоскостное изображение с возможностью построения 3D-модели сканируемого участка тела (реконструкции).
Томография основана на принципе, что разные по плотности органы и ткани по-разному поглощают x-ray лучи. Врач может исследовать ткани любой морфологии: костно-хрящевые структуры, мягкие ткани, сосуды. На КТ с контрастом выявляют даже очень небольшие новообразования — на томограммах они отличаются от здоровых тканей, поскольку иначе впитывают контрастный препарат, а толщина одного посрезового скана всего 1 мм, так что пропустить уплотнение практически невозможно.
При КТ головы, в зависимости от целей и задач исследования, оценивают структуры головного мозга, лицевые кости черепа, височные кости, сосуды головы и шеи, шейный отдел позвоночника, основание черепа, челюсти.
Когда рекомендуется сделать КТ головы?
В каких ситуациях рекомендуется сделать КТ головы?
- Черепно-мозговые травмы. КТ покажет переломы, гематомы, вывихи суставов, кровоизлияния.
- После инсульта или при подозрении на острое нарушение мозгового кровообращения. При геморрагическом инсульте важно исключить кровоизлияние в головной мозг, диагностику проходят сразу. Последствия ишемического инсульта лучше оценивать через 4-5 часов, поскольку признаки данного вида ОНМК визуализируются позже.
- При подозрении на опухоли и метастазы головного мозга. Новообразования могут сдавливать нервные окончания и сосуды, их компрессия может быть причиной хронической боли и нарушений со стороны ЦНС, зрения.
- Перед операциями и хирургическими вмешательствами. КТ головы назначается перед удалением опухолей и кист, реконструктивными операциями при травмах и переломах костей черепа, удалением грыж и кист шейного отдела позвоночника, некоторыми видами операций на лицевых костях черепа (перед септопластикой, ринопластикой, остеотомией).
- После хирургических вмешательств и химиотерапии. Контрольная КТ необходима для мониторинга результатов лечения.
- При подозрении на сосудистые заболевания, мальформации, тромбоз сосудов головного мозга. Закупорка артерий может быть причиной ишемии, атрофических изменений, плохого самочувствия.
- Инородные предметы. КТ головы покажет инородные тела в сканируемой области и травматические изменения. Обследование можно проходить пациентам с внутренними металлическими конструкциями, имплантами.
- При частых отитах. ЛОР-врач может назначить исследование височной кости, околоносовых пазух.
- Перед эстетическими операциями (ринопластика, септопластика, операция Оливари).
- При нарушении работы слюнных желез. КТ шеи назначается в рамках обследования при слюннокаменной болезни (сиалолитиазе).
КТ головы без контраста
Компьютерная томография головы без контраста после травм, ударов по голове и ДТП покажет посттравматические изменения и деформации, кровотечения, гематомы.
Обследование назначается при выраженных признаках острого нарушения мозгового кровообращения, причем внутренние кровоизлияния на КТ видны лучше, чем на МРТ.
КТ лицевой части черепа и носа рекомендуют ЛОР-врачи, если пациента беспокоят фронтиты, гаймориты, этмоидиты, мастоидиты, а также после переломов носа. Компьютерная томография позволяет в высоком разрешении исследовать придаточные пазухи носа, барабанную полость, слуховые косточки. Перед проведением таких операций как септопластика (исправление искривленной носовой перегородки при затрудненном дыхании), а также ринопластика или риносептопластика, КТ - «золотой стандарт» оценки костно-хрящевых структур и анатомии носа.
КТ верхнего (шейного) отдела позвоночника назначается, чтобы исключить патологическое разрастание костной ткани - остеофиты, поскольку от их наличия или отсутствия зависит тактика нейрохирургической операции и ее исход.
Одним словом, КТ без контраста лучше всего подходит для исследования костей черепа, а также назначается после инсультов.
КТ головы с контрастом
Также назначается при инсультах (в зависимости от показаний). Преимущество контрастирования заключается в более точной оценке мягких тканей и сосудистого русла.
Опухоли головного мозга значительно лучше визуализируются с контрастом, чем без него. В зонах локализации злокачественных новообразований кровообращение более или, напротив, менее интенсивное, что влияет на распределение и накопление контрастного препарата, то есть на «окрашивание» опухолей на КТ-сканах.
Доброкачественные опухоли на КТ с контрастом однородны. Для онкологии характерно чередование очагов более и менее высокой плотности, признаки некроза. Опухоли описаны в медицинских классификациях и обладают своими признаками. Например, доброкачественная гемангиома обладает округлой формой и высокой плотностью (около 50).
К злокачественным опухолям головного мозга и костей черепа, выявляемым на КТ, относятся: астроцитомы, глиомы, остеомы. К наиболее распространенным доброкачественным новообразованиям, выявляемым на КТ с контрастом, относятся гемангиомы и кисты.
Иными словами, при исследовании мягких тканей, сосудов, а также при онкологической настороженности, предпочтение отдается КТ с контрастом.
КТ сосудов головы и шеи (ангиография)
Обследование сосудов (артерий и вен) с контрастом называется «ангиография». КТ-ангиография показывает аневризмы, мальформации, каверномы (опухоли сосудов).
Сужение просвета или закупорка сосудов головного мозга атеросклеротической бляшкой, опухолью, тромбом или в связи со стенозом — угрожающие жизни и здоровью состояния. Из-за этих патологий нарушается питание головного мозга, развивается гипоксия. Пациента при этом могут беспокоить головокружения, обморочные состояния, головные боли. Однако некоторые заболевания проходят бессимптомно. Поэтому очень важно проверять сосуды на предмет повреждений, патологического сужения или расширения. И лучше всего с этой задачей справляется КТ-ангиография.
Таким образом, нарушение проходимости сосудов и анатомии сосудистого русла наиболее достоверно визуализируются при контрастировании. Однако КТ не поможет оценить скорость кровотока — для этого, как правило, назначается допплерография или другие методы исследования. Если у пациента есть противопоказания к КТ с контрастом, в качестве альтернативы лечащий врач рекомендует сделать МРТ, или наоборот — в большинстве случаев, эти методы взаимозаменяемы.
КТ ангиография брахиоцефальных артерий — один из наиболее подробных методов исследования сосудов головы и шеи, который позволяет получить сведения о форме, строении и диаметре артерий, непосредственно питающих головной мозг. Рекомендуется регулярно проходить пациентам с атеросклерозом.
Что лучше: КТ или МРТ головы?
Чтобы выбрать наиболее целесообразный в Вашем случае метод обследования, проконсультируйтесь с лечащим врачом. При компьютерной томографии применяется ионизирующее излучение, поэтому обследование не рекомендуется проходить часто. Суммарная доза эффективного рентгенологического облучения не должна превышать 15-20 мЗв слвокупно в течение года. Компьютерная томография противопоказана беременным женщинам, поскольку имеется риск тератогенного воздействия на формирующийся эмбрион или плод.
В свою очередь МРТ нельзя проводить пациентам с металлоконструкциями, а также имплантами и несъемными медицинскими приборами, содержащими металлы, вступающие во взаимодействие с электромагнитным полем. Однако данный вид обследования безопасен, а проходить его можно неограниченное количество раз в год.
Чаще всего МРТ проходят для обследования мягких тканей и органов, а КТ для оценки костно-хрящевых структур после травм и последствий инсультов.
Текст подготовил
Котов Максим Анатольевич, главный врач центра КТ «Ами», кандидат медицинских наук, доцент. Стаж 20 лет
- Campbell B., De Silva D., Macleod M., Coutts S., Schwamm L., Davis S., Donnan G. Ischaemic stroke, 2019.
- Bouchez L., Sztajzel R., Vargas M. CT imaging selection in acute stroke, 2016.
- Kamalian S., Lev M., Stroke Imaging, 2019.
- Котов М.А. Возможности компьютерной томографии в прогнозировании летального исхода инсульта / Дневник казанской медицинской школы. — 2017. — №. 2. — С. 76-80.
- Котов М.А. Показатели и значение интракраниального анатомического резерва, у пациентов с острым нарушением мозгового кровообращения / Журнал научных статей Здоровье и образование в XXI веке.Т. 18, № 2., 2016. — С. 229-233.
- Котов М.А. Лучевые предикторы исходов ишемического инсульта / Дневник казанской медицинской школы. - 2018. - №. 2. - С. 86-89.
- Котов М.А. Предикторы раннего летального исхода острого нарушения мозгового кровообращения, выявляемые при компьютерной томографии / Материалы VIII Научно-практической конференции Поленовские чтения, Российский нейрохирургический журнал им. проф. А.Л. Поленова, специальный выпуск. — 2018, -Т.Х, С. 129.
- Котов М.А. Возможности компьютерной томографии в оценке риска развития острого нарушения мозгового кровообращения / Вестник Северо-Западного государственного медицинского университета им. И.И. Мечникова. 2017. Т. 9. № 4. — С. 35-38.
- Kotov M.A. Brain dislocation morphometry at neurology and neurosurgery from the standpoint of evidence-based medicine / Global Science and Innovation // Materials of the V international scientific conference. - Chicago, 2015. - Р. 207-212.
Мы перезвоним, подберём удобное для записи время и ответим на вопросы.
Оператор обрабатывает входящие заявки с 8:00 до 22:00
Нажимая на кнопку, вы даете согласие на обработку персональных данных в соответствии с Федеральным законом от 27.07.2006 г. № 152-ФЗ «О персональных данных».
Если вы оставили ее с 8:00 до 22:00, мы перезвоним вам для уточнения деталей в течение 15 минут.
КТ и МРТ диагностика лимфомы лимфоузлов
- Стадия I: Поражение лимфатических узлов одной группы или одного экстранодального органа.
- Стадия II: Поражение лимфатических узлов 2 и более групп или одного экстранодального органа и более одной группы лимфатических узлов по одну сторону диафрагмы.
- Стадия III: Поражение лимфатических узлов по обе стороны диафрагмы, с поражением или без поражения селезенки или экстранодального органа.
- Стадия IV: Диссеминированное поражение одного и более экстранодального органа с поражением или без поражения лимфатических узлов.
Клинические проявления
Типичные симптомы лимфомы лимфоузлов:
- Множественные, обычно двусторонние безболезненные объемные образования в области шеи
- Потливость по ночам
- Повышение температуры тела
- Потеря веса
- Иногда лимфома имеет симптомы кожного заболевания
- Зуд
Какой метод диагностики лимфомы лимфоузлов выбрать: МРТ, КТ, УЗИ, ангиографию
Методы выбора
Для чего проводят УЗИ шеи при лимфоме лимфоузлов
- Увеличение размеров и количества лимфатических узлов
- Обычно имеют сферическую форму
- Очень низкая эхогенность
- Часто отсутствует эхо-сигнал от ворот
- Четко очерченные края
- При дуплексном УЗИ выявляется значительное повышение васкуляризации с наличием разветвленной сосудистой сети в узлах
- Высокий индекс резистентности внутри лимфатических узлов (ИР <0,8).
Информативна ли МСКТ лимфоузлов с контрастом при лимфоме шеи
- Пораженные лимфатические узлы имеют плотность, идентичную мышцам
- Склонны к образованию конгломератов
- Лимфатические узлы обычно имеют гомогенную плотность
- При лимфоме Ходжкина может быть снижена плотность в центре узлов, что свидетельствует о некрозе
- Минимальное усиление после введения контрастного вещества
- Иногда при неходжкинской лимфоме наблюдается интенсивное усиление
- Кальцинаты обычно не образуются до окончания терапии.
Что покажут снимки МРТ шеи с контрастом при лимфоме лимфоузлов
- Пораженные лимфатические узлы изоинтенсивны по отношению к мышцам на Т1 -взвешенном изображении и гиперинтенсивны - на Т2-взвешенном изображении и в последовательности STIR
- Как и при КТ, обычно наблюдается гомогенное усиление после введения контрастного вещества
- В случае некроза в центре узла при лимфоме Ходжкина выявляется высокая интенсивность сигнала на Т2-взвешенном изображении и очень низкая — на Т1 -взвешенном изображении
- Наблюдается высокая интенсивность сигнала от пораженных узлов на Т2-взвешенном изображении после введения USPIO.
Отличительные признаки лимфомы
- Увеличение количества и размеров лимфатических узлов
- Соотношение продольного размера к поперечному
- Часто двусторонние конгломераты лимфатических узлов
- При лимфоме Ходжкина обычно имеют равномерную плотность и интенсивность сигнала
- При неходжкинских лимфомах в центре некоторых лимфатических узлов наблюдается некроз
- лимфома Ходжкина и неходжкинские лимфомы невозможно отличить друг от друга только на основании данных методов визуализации
- В случае неходжкинских лимфом чаще происходит генерализация процесса, в то время как лимфома Ходжкина носит более локализованный характер.
Что хотел бы знать лечащий врач
- Наличие экстранодального поражения
- Какие группы лимфатических узлов поражены?
- Изменения сосудов и нервов.
Какие патологии имеют симптомы, схожие с лимфомой лимфоузлов
Саркоидоз
- В некоторых случаях наблюдается диффузное увеличение шейных лимфатических узлов
- Обычно сочетается с увеличением лимфатических узлов средостения и корней легких
- В ряде случаев образуются крупные кальцинаты
Метастазы
- Пораженные узлы расположены в зоне лимфооттока от основной опухоли
- В центре крупных лимфатических узлов обычно выявляется зона некроза
Шейный лимфаденит
- Проявления инфекционного заболевания
- Болезненная припухлость лимфатических узлов
- Возможно образование полости в центре узлов
Лечение
- Лимфома имеет лечение, которое зависит от стадии процесса, клеточного типа поражения и возраста пациента
- При неходжкинских лимфомах или лимфоме Ходжкина низкой степени злокачественности в группе благоприятного прогноза обычно достаточно только лучевой терапии
- В группе промежуточного прогноза или при неходжкинских лимфомах высокой степени злокачественности применяют химио- и лучевую терапию
- При лимфоме Ходжкина в группе неблагоприятного прогноза показана комбинированная химиотерапия
- В случае рецидива лимфомы Ходжкина требуется пересадка костного мозга или стволовых клеток.
Врачи каких специальностей диагностируют и лечат лимфому лимфоузлов
- Радиолог (лучевая терапия)
- Гематолог (контроль показателей крови, подбор лечения)
Прогноз лимфомы
- Излечение наступает в 50-90% случаев, в зависимости от группы прогноза
Неходжкинские лимфомы низкой степени злокачественности:
- Медленное прогрессирование
- Обычно наступает генерализованная стадия, которая не поддается лечению
- Продолжительность жизни - 2-10 лет
- При локализованной стадии излечение наступает в 50% случаев.
Неходжкинские лимфомы высокой степени злокачественности:
- Быстрое прогрессирование
- Локализованный процесс в 10-15% случаев, генерализованный - в 85-90% случаев
- В отсутствие лечения - продолжительность жизни небольшая
- При адекватной терапии примерно в 50% случаев наступает излечение.
Лимфома 4 стадии имеет неблагоприятный прогноз, если уровень ЛДГ и микроглобулинапривышен в 1,5 раза.
Возможные осложнения и последствия лимфомы
- Повышен риск развития вторичных опухолей, развивающихся после применения химио- и лучевой терапии.
- Выпадение волос
- Кардиомиопатия
- Увеличение масся тела
- Бесплодие у мужчин
Осложнения лучевой терапии:
- Гипотериоз
- Сухость во рту
- Лучевой пневмонит
- Лучевой колит
- Лучевой цистит
Осложнения вследствие заболевания
- Сдавление рядом прилегающий тканей за счет увеличенных лимфоузлов
- Поражение костного мозга, спинного и головного мозга, печени, костей
- Интоксикация вследствие распада опухолевых клеток
- Инфекционные осложнения

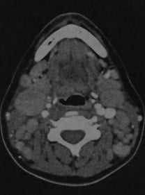
Лимфома шеи у женщины с хроническим лимфолейкозом. КТ с контрастированием: выраженное увеличение размеров и количества шейных лимфатических узлов, особенно в переднем и боковом треугольниках шеи. Плотность лимфатических узлов соответствует окружающим мышцам или выше.

Неходжкинская лимфома. КТ с контрастированием: множественные лимфатические узлы под нижней челюстью и около яремной вены, а также позади грудино-ключично-сосцевидной мышцы. Узлы имеют овальную или округлую форму, повышенную плотность по сравнению с окружающими мышцами, после введения контраста наблюдается гомогенное усиление.
Поражение легких при лимфоме

Лимфома (лимфоролиферативный процесс) — это группа онкологических процессов с поражением лимфоцитов (клеток иммунной системы), которые сопровождаются изменениями в лимфатических узлах и сосудах. При этом может происходить метастазирование — миграция злокачественных клеток в соседние органы и ткани с образованием вторичных очагов рака. Увеличенные узлы при лимфоме (> 1 см в поперечнике) — плотные и абсолютно безболезненные, поэтому выявляемость заболевания на ранней стадии сравнительно низкая. В этой статье мы расскажем, какие бывают лимфомы, о симптомах, которые должны насторожить, о визуализации патологических изменений на КТ.
Лимфома легких — что это?
Лимфатическая система легких напоминает ветвистое дерево — ее сосуды пронизывают грудную клетку по всей длине и отвечают за лимфоток. Здесь расположено 13 разновидностей лимфотических узлов, классифицируемых по 5 группам:
1.Надключичные лимфатические узлы;
2.Верхние медиальные лимфатические узлы (паратрахеальные, преваскулярные, превертебральные);
3.Аортальные лимфатические узлы;
4.Нижние медиастинальные лимфатические узлы;
5.Корневые, долевые, (суб)сегментарные лимфатические узлы.
В узлах фильтруется лимфа и происходит созревание лимфоцитов. Лимфомы возникают в лимфатических узлах.
Поскольку лимфатическая система представляет собой обширную сеть сосудов, капилляров и полостей, то злокачественные клетки могут распространиться по всему телу, образовав множественные диссеминированные метастазы.

Диагностика лимфомы легких
Обычно медицинские специалисты отдают предпочтение МРТ, поскольку отсутствует лучевая нагрузка однако в случае с обследованием воздушной ткани легочной паренхимы, которая в норме практически не содержит жидкость, наиболее подробные результаты обследования и детализированное изображение можно получить с помощью КТ легких. Если лимфома выявлена на МРТ, и у врача есть подозрение, что раковые клетки мигрировали в костную ткань, то пациенту будет рекомендовано дополнительное обследование костей. В ходе компьютерной томографии исследуют ткани разной морфологии, попадающие в зону интереса: кости, внутренние органы, сосуды. Для диагностики последних необходимо дополнительное контрастирование.
Симптомы лимфомы лёгких
Основным симптомом, по которому проще всего заподозрить лимфому легких, является увеличение лимфоузлов, локализованных в области ключиц, шеи, средостения, между ребрами. Некоторые узлы спрятаны в самой грудной клетки и не пальпируются. В таком случае лимфома дает о себе знать только тогда, когда увеличивается в размере и начинает давить на соседние органы, что вызывает дискомфорт.
Важно понимать, что увеличение лимфоузлов не является специфическим признаком злокачественной лимфомы. Оно наблюдается после антибактериальной терапии и при любом инфекционно-воспалительном заболевании — педикулезе, ОРВИ, инфекциях ротоглотки и гортани (включая заболевания стоматологического характера), при болезни кошачьих царапин (лимфоузлы увеличиваются в ответ на повреждение кожи или укус, но не сразу, а в течение последующих 3-20 дней).
Обычно лимфоузлы, увеличенные из-за воспалений, при пальпации болят и вызывают дискомфорт. При лимфоме узлы безболезненные.
Некоторые вирусы способны менять нормальную структуру ДНК лимфоцитов таким образом, что клетки превращаются в злокачественные. Так вирус Эпштейна-Барр (ВЭБ) или ВИЧ-инфекции в анамнезе существенно повышает риск развитие лимфом.
К ранним симптомам лимфомы легких относится:
- Усталость, общая слабость;
- Высокая температура (около 38 градусов), лихорадка;
- Гипергидроз (преимущественно в ночное время).
В течение первых четырех недель проявляются и другие симптомы лимфомы лёгких:
- Увеличение лимфоузлов;
- Потеря аппетита и веса;
- Дисфагия (затрудненное глотание);
- Боль и дискомфорт в грудной клетке.
У некоторых пациентов наблюдается кожный зуд. Если лимфома сдавливает органы дыхания или происходит их поражение агрессивными раковыми клетками, возможны затрудненное дыхание, кашель, одышка.
Диагностировать лимфому самостоятельно невозможно, необходимо медицинское исследование внутренних органов и тканей лимфатической системы методом КТ или МРТ.

Лимфома легких — это рак?
Не всегда. Однако к лимфомам относятся преимущественно злокачественные новообразования лимфатической системы, которые формируются из-за бесконтрольного накопления патологически измененных лимфоцитов. Исключением могут быть индолентные лимфомы. Они не требуют лечения, однако наблюдать их тоже важно. Если при этом у пациента проявляется вышеописанная симптоматика (температура, лихорадка, боль в грудной клетке), то обследование и лечение таких лимфом должно проводиться обязательно.
Злокачественные клетки-лимфоциты обладают формой, отличной от «правильных» клеток, и представляют собой фатальный «сбой» в работе организма. У таких клеток возникают совсем другие функции - они производят огромное количество белков и токсинов, при этом не уничтожаются клетками иммунной системы как враждебные.
Лимфомы не всегда являются первичным очагом онкологии. Патологически увеличенный узел или их группа (диссеминированная или локализованная в одном месте) часто бывает следствием метастатических процессов. Это происходит в связи с тем, что лимфатический узел выполняет функцию фильтра и накапливает в себе злокачественные клетки, отделившиеся от первично пораженного органа. В таком случае важно не только выявить лимфому, но и первичный очаг. Увеличение лимфоузлов легких может указывать на рак легких, молочной железы, средостения, желудка, то есть органов, расположенных в непосредственной близости.
Уточнить диагноз относительно доброкачественного или злокачественного новообразования можно по результатам биопсии (гистологического исследования образца ткани). Также пациент сдает клинический и биохимический анализы крови.На КТ легких врачи выявляют новообразование, могут оценить его размер, распространенность увеличенных лимфоузлов, однако сделать точный вывод о разновидности опухоли без анализов не представляется возможным.
Какие бывают лимфомы?
Первично лимфомы принято делить на две большие группы:
- Лимфомы Ходжкина / лимфогранулематоз (болезнь Ходжкина, ходжинские лимфомы),
- Неходжскинские лимфомы (лимфосаркомы, НХЛ).
По данным НМИЦ онкологии им. Н.Н. Блохина, в России заболеваемость неходжкинскими лимфомами в 1,5-3 раза превышает заболеваемость лимфогранулематозом.
Разница между этими лимфомами становится ясна после морфологического исследования образца ткани (биопсии). При болезни Ходжкина в пораженных лимфоузлах обнаруживаются крупные мутировавшие клетки Березовского — Штернберга — Рида. Ходжкинские лимфомы отличаются более агрессивным течением с ярко выраженной симптоматикой, но они легко поддаются лечению.
Пораженные Ходжкинской болезнью лимфоузлы чаще всего расположены над ключицами, в области шеи, подмышечных впадин, средостения.
Неходжкинские лимфомы помимо B-лимфоцитов, поражают еще и T-лимфоциты. Заболевание обычно протекает без выраженной симптоматики и тяжело лечится. Но сначала необходимо правильно определить разновидность неходжкинской лимфомы — актуальная классификация состоит из 30 наименований, включая:
- хронический лимфолейкоз;
- Т-клеточный лейкоз;
- фолликулярная лимфома;
- диффузная В-крупноклеточная лимфома;
- грибовидный микоз Сезари и др.
4 стадии лимфомы легких
Стадии течения заболевания определяют по распространенности лимфом и объему пораженной ткани:
- 1 стадия: в патологический процесс вовлечен 1 лимфоузел или 1 группа лимфатических узлов;
- 2 стадия: в патологический процесс вовлечены 2 и более групп узлов, расположенных по одну сторону от диафрагмы;
- 3 стадия: поражены лимфоузлы с обеих сторон, в патологический процесс вовлечено несколько групп.
- 4 стадия: помимо тканей лимфатической системы болезнь поражает внутренние органы (легкие, сердце и др.)
При этом симптомы лимфомы могут быть выраженными уже на первой стадии, а могут не ощущаться пациентом практически до четвертой.
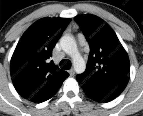
Лимфома легких на КТ
Признаки лимфомы легких особенно выражены на четвертой стадии заболевания, когда болезнь поражает дыхательный орган. На КТ при этом будут видны увеличенные лимфоузлы, формирующие цепочки, конгломераты. При этом у пациента может также наблюдаться отек легких. Однако высокая разрешающая способность КТ позволяет выявить лимфому на ранней, первой стадии.
На КТ лимфомы, как и любые уплотнения, визуализируются сравнительно более светлым цветом. В норме воздушная легочная паренхима практически однородного темного цвета. Иногда таких уплотнений несколько и они диссеминированны. Контуры лимфомы четкие и ровные. Вокруг патологических очагов обнаруживаются участки «матового стекла».
Диагностика лимфаденита на снимках МРТ и КТ шеи
Причины увеличения шейный лимфоузлов у взрослых и детей
- Лимфаденит шейный широко распространенное заболевание у детей
- В 50% случаев возникает в возрасте до 5 лет, 90% - в возрасте до 10 лет
- У взрослых встречается реже.
Острый шейный лимфаденит:
- Основные возбудители - стрептококки и стафилококки (40-80%), а также анаэробы
- Обычно развивается вследствие очагового воспалительного процесса в полости носа, рта, в ушах, глотке или коже.
Подострый и хронический шейный лимфаденит:
- Вызван туберкулезом, атипичными микобактериями, токсоплазмозом или болезнью кошачьих царапин
- Редкий вариант с неустановленной этиологией, наиболее распространенный в Азии: болезнь Кикучи-Фуджимото (гистиоцитарный некротизирующий лимфаденит).
Симптомы шейного лимфаденита зависят от его стадии
- Чаще всего наблюдается припухлость мягких тканей верхней и центральной передней части шеи и поднижнечелюстной области
- Поражение, как правило, одностороннее
- Боль в области шеи
- Ограничение подвижности шеи
- Наличие в анамнезе инфекционных процессов зубов или верхних дыхательных путей
- Лимфатические узлы увеличены, болезненны при пальпации.
- Более длительная и выраженная припухлость лимфатических узлов, которая не проходит самостоятельно
- Острые проявления отсутствуют
- Субфебрильная температура
- Общая слабость.
- Болеют преимущественно женщины в возрасте 10-30 лет
- Лейкопения
- У 50% заболевших - субфебрильная температура, сонливость, диарея
- Возможны тошнота и рвота
- В 20% случаев наблюдается двустороннее увеличение лимфатических узлов.
- Шейный лимфаденит у детей и взрослых : в хронической фазе у ребенка температура не повышается в отличии от взрослого. А вот в острой фазе температура достигает 38 градусов.
Какой метод диагностики увеличенных лимфоузлов выбрать: МРТ, КТ, УЗИ
Для чего проводят УЗИ шеи при лимфадените
- Пораженные лимфатические узлы удлинены (соотношение продольного размера к поперечному значительно больше 2)
- Корковый слой узла несколько гипоэхогенный
- Эхо-сигнал от ворот
- Четкие контуры
- Обильная васкуляризация за счет сосудов ворот.
Хронический лимфаденит: Признаки, сходные с острым лимфаденитом, но без увеличения васкуляризации.
Что покажет МСКТ шеи при увеличенных лимфоузлах
- Увеличенные овальные лимфатические узлы в зоне лимфооттока от очага инфекции
- После введения контрастного вещества, как правило, наблюдается гомогенное усиление
- Образование полости в центре узла приводит к появлению не накапливающей контраст зоны пониженной плотности в центре и кольца усиления по периферии
- Возможна имбибиция окружающей клетчатки и утолщение кожи
- Обычно односторонний процесс
- Образование полости в центре узла часто встречается при нетуберкулезной микобактериальной инфекции.
В каких случаях проводят МРТ шеи при лимфадените
- Пораженные лимфатические узлы имеют низкую интенсивность сигнала на Т1-взвешенном изображении и высокую - на Т2-взвешенном изображении
- Равномерное усиление после ведения гадолиния
- Центральная полость имеет низкую интенсивность сигнала на Т1-взвешенном изображении после введения гадолиния.
Отличительные признаки лимфаденита
- Увеличенные, удлиненные лимфатические узлы с соотношением продольного размера к поперечному значительно больше двух
- Гомогенное усиление после введения контрастного вещества
- Возможно образование полости в центре лимфатического узла
- При острой бактериальной инфекции поражение обычно одностороннее
- Плотность окружающей жировой ткани часто повышена
- Нетуберкулезный микобактериальный лимфаденит часто сочетается с воспалительным процессом в поднижнечелюстных или околоушных слюнных железах.
- Образование полостей в лимфатических узлах
- Размеры лимфатических узлов
- Группы пораженных лимфатических узлов
- Наличие перифокальной реакции
- Изменения соседних структур.
Какие заболевания имеют симптомы, схожие с шейным лимфаденитом
Реактивный лимфаденит
- Наиболее часто развивается при вирусных инфекциях верхних дыхательных путей
- Обычно безболезненное увеличение лимфатических узлов без образования полостей в них
Инфекционный мононуклеоз
- Генерализованное увеличение лимфатических узлов с повышением температуры тела и болью в горле
Лимфома, метастазы
- Безболезненное увеличение лимфатических узлов
- Возможно образование полостей в лимфатических узлах
- Системные проявления (повышение температуры тела, потливость по ночам, потеря веса)
Лечение шейного лимфаденита
- Парентеральная антибактериальная терапия (пенициллин, цефалоспорины II и III поколения)
- Вскрытие и дренирование абсцессов
- Лечение основного заболевания.
- Лечение основного заболевания (например, противотуберкулезные препараты, пириметамин при токсоплазмозе)
- Комбинированная антибактериальная терапия при наличии атипичных микобактерий
- Локальная лимфаденэктомия, в ряде случаев с удалением пораженных слюнных желез
- Укрепление иммунитета.
Болезнь Кикучи-Фуджимото: Обычно спонтанное выздоровление.
Врачи каких специальностей диагностируют и лечат шейный лимфаденит
- Терапевт (первичное обращение пациента)
- Хирург (дренирование абсцесса
Прогноз
- Быстрое, полное выздоровление на фоне антибактериальной терапии
- Важно устранить входные ворота инфекции (например, удалить больной зуб).
- Зависит от микроорганизма, ставшего причиной лимфаденита
- При инфекции, вызванной атипичными микобактериями, прогноз хороший после хирургического удаления пораженных лимфатических узлов.
Возможные осложнения и последствия

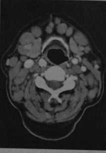
Лимфаденит шейный. КТ в горизонтальной проекции: увеличенные лимфатические узлы с образованием центральных полостей. Края лимфатических узлов нечеткие, кзади от левой яремной вены и медиальнее грудино-ключично-сосцевидной У мышцы определяется кольцо усиления.
Читайте также:
