КТ, МРТ при варикозном расширении вен глазницы
Добавил пользователь Евгений Кузнецов Обновлено: 21.11.2025
Нарушения зрения развиваются медленно или стремительно. Длительное медленно прогрессирующее развитие нарушений зрения характерно для близорукости и дальнозоркости, а резкое - для нарушения проходимости центральной артерии сетчатки, гемофтальма, приступа глаукомы. Внезапные нарушения зрения зачастую оказываются необратимыми, поэтому требуют обязательной доскональной диагностики и срочного вмешательства. Рассмотрим на примере, как визуализируются изменения орбит при МРТ-диагностике.
1. Отслойка сетчатки.
Наиболее частые причины отслойки сетчатки - травма, её истончение (у людей с сильной близорукостью), офтальмологическая операция в анамнезе (к примеру, экстракция катаракты), образования сосудистой оболочки глаза, дегенерация стекловидного тела и диабетическая ретинопатия.
2. Синдром Толоза-Ханта (болезненная офтальмоплегия, синдром верхней глазничной щели)
Характеризуется вовлечением в процесс всех структур, проходящих через верхнюю глазничную щель (артерия, вена, отводящий нерв, блоковый нерв и глазодвигательный нерв, первая ветвь тройничного нерва), и прилегающего к ней кавернозного синуса. Субъективные проявления cиндрома Толоза-Ханта: болезненность в области орбиты, двоение в глазах, экзофтальм и хемоз.
Тот же пациент, исследование в динамике через 4,5 года
Исследование в 2008 году Исследование в 2013 году
3. Миозит.
Возникновение данного заболевания, зачастую, связано с простудным фактором. Проявляется острой болью в глазах и глазницах, особенно при тех движениях глазного яблока, в которых участвуют пораженные мышцы. Далее развивается экзофтальм, диплопия.

Для более детального изучения выявляемой патологии возможно проведение внутривенного контрастирования (введения контрастного вещества):

На изображении слева-снимок без контрастного препарата, на изображении справа - с контрастированием.
4. Дакриоаденит.
Это острое, либо хроническое заболевание слезной железы воспалительного характера. Инфекции чаще приводят к острому дакриоадениту. Лимфолейкозы и алейкемические лимфаденозы, туберкулезная и, реже, сифилитическая инфекции могут вызывать хронический дакриоаденит.

5. Объемные образования орбит.
В орбитах с обеих сторон, более выражено справа, определяются множественные дополнительные образования. Образования интимно прилежат к стенкам глазниц, мышцам глаза. Часть из них - расположены изолированно в орбитальной клетчатке без достоверных признаков прилежания к структурам глазниц.

6. Опухоль слезного мешка.

7. Ретинит, вызванный цитомегаловирусом.
Аксиальное Т1-взвешенное изображение с контрастным усилением: асимметричное утолщение сосудистой оболочки глаза справа (стрелка) по сравнению с левой стороной.
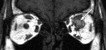
8. Каротидная кавернозная фистула.
На аксиальной Т1-взвешенной МР-томограмме визуализируется расширение правой и левой верхних глазничных вен (стрелки).
9. Тромбоз верхней глазничной вены.
Корональная Т1-взвешенная МР-томограмма демонстрирует гиперинтенсивный сигнал в проекции расширенной левой верхней глазничной вены (стрелка), свидетельствующий о тромбозе. Маленькая стрелка указывает на смещенный влево зрительный нерв.

МРТ-диагностика, зачастую, незаменима в диагностике патологии орбит благодаря превосходной дифференцировке тканей.
Понимание изменений, выявляемых при диагностике нетравмированных орбит, таких как воспаление, инфекции сетчатки и сосудистой оболочки имеет решающее значение для постановки диагноза и выбора оптимального метода лечения, чтобы избежать потери зрения и других потенциально разрушительных последствий.
Что показывает МРТ глазных орбит и зрительного нерва
МРТ глаза — процедура, которая позволит вам вовремя выявить какие-либо заболевания глазных обрит и своевременно их пресечь.
Сегодня современная медицина располагает большим количеством методов диагностики патологии глаза. Среди них - ультразвуковое исследование, компьютерная томография, рентгенография и другие. Однако в случае с рядом заболеваний ни один из этих методов не способен в полной мере провести комплексную диагностику и выявить причину возникших симптомов. Некоторые патологии возможно выявить только с помощью МРТ глазных орбит и зрительных нервов.
Преимущество этого вида исследования заключается в возможности увидеть орган в нескольких проекциях, и с помощью специального программного обеспечения сформировать трехмерное изображение исследуемой зоны. Это делает МРТ самым современным и высокотехнологичным методом. Ранее ни один и способов обследования не позволял в таком объеме и с таким высоким качеством визуализации выявлять различные заболевания, в том числе сложнейшие патологии.

Глазницы - это полости, ограниченные костями черепа. В них расположены глазные яблоки. Полость глазных впадин сообщается с расположенными рядом носовыми, черепными и другими полостями с помощью нервов и сосудов. Именно поэтому глазные заболевания зачастую сопровождаются воспалительными процессами в других зонах, расположенных в непосредственной близости к глазным.
По этой же причине травмы и воспаления этого участка наиболее опасны, так как расположены достаточно близко к мозговым оболочкам и венам. Отсюда можно сделать вывод, что своевременная МРТ орбиты глаз позволяет не только выявить возможные патологии структур глазницы, но и предотвратить начало заболевания в других органах, расположенных на голове человека.
Для чего делают МРТ глазных орбит?
Глазница представляет собой соединение различных структур, среди которых и сосуды, и нервы, и мышцы, а также другие составляющие. Благодаря МР-диагностике возможно оценить однородность и целостность этих структур, выявить опухоли, структурные нарушения тканей, травмы, тромбозы, разрывы, аневризмы и любые воспалительные процессы.
- глазного яблока
- зрительных нервов
- слезных желез
- глазных мышц
- жировой клетчатки
- ретробульбарной зоны

Малейшие нарушения в функционировании зрительного нерва, чаще всего, приводят к резкому падению зрения. В этом случае требуется максимально оперативная и наиболее точная диагностика, которая позволит быстро выявить причину, принять срочные меры для лечения заболевания и прекращения снижения зрения. В большинстве случаев от того, насколько быстро будет выявлена природа заболевания, зависит эффективность лечения и возможность полного восстановления зрения.
МРТ орбиты глаза позволяет наиболее быстро получить точные данные о состоянии глазницы и ее составляющих, определить наличие заболеваний, патологий, масштаб и степень распространения. Процедура проводится быстро, без облучения и какого-либо дискомфорта для пациента.
МР-томография может проводиться как по инициативе пациента, так и по назначению лечащего врача. При необходимости перед проведением сеанса вам будет предоставлена бесплатная консультация врача-рентгенолога с целью наиболее точного определения зоны и методики исследования.
Показания к проведению МРТ глаза
Магнитно-резонансная томография орбит глаза делается в первую очередь при подозрении на наличие новообразование. Обследование позволяет точно определить их местонахождение, а также спланировать хирургическое вмешательство, если это необходимо.
МРТ зрительного нерва - что показывает:
- воспаление орбит и придаточных пазух носа;
- нарушения зрительного пути;
- воспаление зрительных нервов;
- травмы глаза;
- подозрение на наличие инородного тела;
- демиелинизирующие заболевания (рассеянный склероз, поперечный миелит, болезнь Девика, миелинолиз среднего моста);
- повышенное внутричерепное давление;
- нарушение кровотока
- тиреоид-ассоциированная орбитопатия;
- некоторые случаи глаукомы;
- подтверждение результатов, полученных с помощью других методов диагностики.
Для получения максимально точного изображения диагностируемой области, важно перед началом обследования отказаться от макияжа, использования лака для волос, так как некоторые виды косметики содержат частицы металла, которые могут исказить результат. Дополнительно в некоторых случаях МРТ глазниц делается с использованием контрастного вещества, что позволяет получить более качественные и детальные снимки.

Как проводится МРТ глазных орбит и зрительного нерва?
МРТ глаза - абсолютно безболезненная и безопасная процедура, которая не требует предварительной подготовки и осуществляется в течение 20-30 минут. Результаты этого обследования врач-рентгенолог сразу в процессе диагностики. В некоторых случаях в процессе МР-томографии специалистом, осуществляющим диагностику, может быть принято решение о проведении дополнительного исследования для наиболее точной постановки диагноза, например, МРТ с контрастом. Контрастное вещество подсвечивает систему сосудов, что позволяет наиболее четче визуализировать обследуемую зону. Продолжительность сеанса МРТ с контрастом увеличивается до 60-90 минут.
Нередко при определенных показаниях проводится обследование одновременно нескольких зон - это позволяет уменьшить количество дополнительных обследований и наиболее быстро выявить имеющуюся патологию. Такой процедурой является МРТ головного мозга и глазных орбит. Назначается она при наличии головных болей неясного характера, резком снижении зрения, полученных травмах, подозрениях на тромбозы, аневризмы и новообразования. После завершения томографии уже в течение часа вы получите результаты с экспертным заключением и рекомендациями, которые лягут в основу для постановки диагноза вашим лечащим врачом. Результаты могут быть получены как в распечатанном, так и электронном виде, и на диске. В случае если у вас нет возможности ожидать результаты в течение часа, они могут быть направлены вам по электронной почте.
Что выбрать: КТ или МРТ глаз
Помимо МРТ глазных орбит, для диагностики органов зрения часто делают компьютерную томографию. КТ - это метод рентгеновского исследования, при котором пучок рентгеновских лучей проходит через ткани тела в разных направлениях постепенно. Компьютерно-томографический метод исследования покажет многослойные срезы в аксиальной, коронарной, сагиттальной проекции.
При диагностике орбиты глаза толщина слоев колеблются от менее 1 мм до 3 мм. Современное диагностическое КТ оборудование покажет диагностируемую область в трех измерениях. Компьютерная томография проводится быстро - процедура занимает всего несколько секунд. Возможно использование контрастного вещества для получения более детального изображения.
МРТ глазных орбит, что показывает - и что используется при диагностике орбит глаза, как дополнение к УЗИ и КТ. По сравнению с компьютерной томографией, МРТ дает более широкие возможности дифференциации тканей и делается во всех плоскостях. В то же время данный метод обследования безвреден, что очень важно. При его проведении не используется вредное рентгеновское излучение. Поэтому магнитно-резонансная томография может назначаться детям и беременным женщинам при отсутствии противопоказаний. МРТ глаза занимает примерно 20 минут или больше, в зависимости от типа проверки.
Если говорить об эффективности диагностического метода, то процедура МРТ орбит - это более безопасное обследование, которое эффективнее, чем КТ, при оценке костных стенок и кальцификатов. Важная область применения МРТ - нейроофтальмология. Данный метод исследования можно использовать для визуализации, например, демиелинизирующих изменений в головном мозге и нервных окончаниях, также он покажет другие повреждения зрительного пути, включая гиперпластические изменения.
Современные технологии позволяют расширить возможности диагностики с помощью ангиографии и функционального МРТ исследования. Это дает возможность с помощью томографа выявить практически любую патологию зрительных органов быстро, безопасно, с высокой точностью.
Противопоказания к магнитно-резонансной томографии
Метод МР-диагностики современен, уникален и высокотехнологичен, однако и у него есть некоторые противопоказания, большая часть которых связана с взаимодействием металлов и магнита. Главным и абсолютным противопоказанием является наличие металлических элементов, как на теле человека, так и внутри его организма.
Пациенты с кардиостимуляторами, кровоостанавливающими клипсами, встроенными слуховыми аппаратами, инсулиновыми помпами, имплантами, протезами, пластинами, брекетами, зубными коронками и другими металлическими деталями не допускаются в процедуре. Однако есть некоторые металлы, например, титан, которые не нагреваются при взаимодействии с магнитами, поэтому при наличии титановых металлических элементов, пациенты допускаются к томографии.

В любом случае, если у вас есть какие-либо металлосодержащие элементы, прежде всего, вам необходимо проконсультироваться с врачом. Также к особой группе пациентов, которым необходим предварительный допуск к процедуре, являются люди с наличием татуировок на теле. На протяжении многих лет для изготовления татуировок во многих салонах использовались краски с мелкими частицами металла. Если вы относитесь к такой категории, очень важно предварительно уточнить состав краски на вашем теле, и только в случае отсутствия металла в ней записаться на прохождение МРТ глаза.
Также МР-диагностика противопоказана беременным в первом триместре и женщинам в период лактации. На остальных сроках беременности проведение МРТ орбит и зрительного нерва возможно при наличии соответствующих показаний врача. Исключением является только введение контрастного вещества - эта процедура запрещена на всех сроках.
Особенно внимательно необходимо отнестись к диагностике пациентов, страдающих психическими заболеваниями, болеющих клаустрофобией и тех, кто в силу своего тяжелого диагноза не может долгое время находиться в неподвижном состоянии.
Что показывает МРТ нижних конечностей
Магнитно-резонансная томография является самым точным методом диагностики состояния мягких тканей в современной медицине. Она часто используется в ортопедии и травматологии, сосудистой хирургии, онкологии, спортивной, восстановительной медицине и дает возможность повысить эффективность диагностики и лечения.
Какие заболевания покажет МРТ ног
МРТ нижних конечностей позволяет оценить состояние всех мягких тканей в области ног: мышц, кожи, связочного аппарата, суставов, хрящей, сосудисто-нервных пучков, костной ткани, лимфатических узлов. К преимуществам данного исследования относятся:
- высокая точность;
- неинвазивность;
- безвредность для пациента;
- безболезненность;
- определение патологии на ранних стадиях.
Травмы
С помощью МРТ диагностируют переломы, вывихи, ущемление мягких тканей между костями или их отломками, растяжения мышц, сухожилий, частичный или полный разрыв связок. Видны структуры, которые находятся внутри суставов.
Не всегда заживление после получения травмы проходит быстро. Бывают случаи неправильного сращения кости, формирования ложного сустава, ущемление нерва рубцами. Разобраться, почему не восстановились функции нижней конечности в полном объеме, помогает МРТ.

МРТ голеностопного сустава в корональной плоскости.
Отмечается поперечный стресс-перелом дистальных отделов малоберцовой кости.
Опухоли
Встречаются довольно безобидные небольшие липомы (доброкачественная опухоль из жировых клеток), гемангиомы (опухоль из кровеносных сосудов). Они имеют вид округлых образований на поверхности кожи или в глубине тканей ноги. Их несложно удалить через небольшой разрез.
Злокачественные опухоли могут развиться из любой ткани - жировой, мышечной, хрящевой, соединительной ткани, нервов, кровеносных сосудов. Их можно увидеть на МРТ по своему специфическому строению и усиленному кровоснабжению. Уточняют размеры, расположение, отношение с другими тканями и органами, наличие метастазов при помощи МРТ с применением контраста.
Сосудистая патология в области ног
Что показывает МРТ сосудов нижних конечностей:
- Поражение крупных сосудов бывает при атеросклерозе. На МРТ видны неровные контуры бедренной, подколенной артерий. Изъеденные сосудистые стенки связаны с отложением атеросклеротических бляшек. В зависимости от степени стеноза и протяженности выбирают лечение: при начальных стадиях консервативное, если просвет сильно сужен, приходится оперировать и заменять сосуды на искусственные. Это позволит восстановить нормальное кровоснабжение всех нижележащих отделов ноги, не допустить тяжелых осложнений - атрофии, гангрены, инвалидности.
- Мелкие сосуды поражаются при сахарном диабете. Проявляется это как диабетическая стопа. Из-за ухудшения питания развиваются сначала поверхностные дефекты кожи, которые быстро распространяются вглубь. Развивается некроз подкожной клетчатки, мышц, сухожилий, костей. При плохом исходе процесс заканчивается гангреной пальцев, стопы, ампутацией. При диабете ткани плохо заживают, поэтому процесс необходимо лечить как можно раньше.
- Возможны воспалительные изменения стенок артерий иммунного, инфекционного характера.
- Врожденные аномалии развития сосудов - аневризмы, мальформации. Их лучше видно при контрастном МРТ.
Воспалительные явления
Воспалительный процесс в суставах наблюдается при ревматизме, ревматоидном артрите, подагре, инфекционных артритах. При этом суставы опухают, болят, кожа над ними горячая, красная, отечная. На снимках МРТ специалист видит выпот внутри сустава, утолщение синовиальной оболочки, усиленный МР-сигнал от окружающих сустав мягких тканей из-за их отека.
Миозиты возможны при переохлаждении, перенапряжении, вирусных инфекциях. Человека мучают боли, возможно сдавление нервов между пучками отечных мышц. Например, при грушевидном синдроме сдавливается седалищный нерв.
Видны изменения при воспалении в костях - остеомиелит.
Повреждения нервов
Возможны защемления, сдавления, разрыв нервных путей после полученных травм. В тех местах, где нервы проходят в узких замкнутых пространствах, развивается туннельный синдром: нерв сдавливается, отчего человек все время испытывает сильные боли.
Сканирование выявляет воспаление, опухоль нерва, дегенеративные процессы.
Когда назначают МРТ нижних конечностей?
Показания для проведения исследования определяет врач. МРТ ноги помогает разобраться в причинах болезни, уточнить локализацию, распространенность патологического процесса. Обязательно МРТ проводят до операции и после нее, для контроля за развитием онкологии, при негативных последствиях травм.
Чаще всего на МРТ направляют при таких жалобах:
- Человек чувствует боль в ногах. Для поражения крупных сосудов характерна перемежающаяся хромота. Человек может пройти несколько шагов, после чего появляется боль. Вынужден остановиться, а когда боль проходит, все повторяется. Боли, вызванные поражением нервной ткани, особенно сильные, жгучие, стреляющие. Болезненные ощущения могут беспокоить в области суставов: одного или сразу нескольких. Мышечные боли связаны с неудобным вынужденным положением при работе, перегрузках у спортсменов, вирусными заболеваниями.
- Нарушение движений: уменьшается объем или развивается гипермобильность в суставе. Чаще всего затруднено вставание, ходьба по лестнице. Движения сопровождаются щелчками, хрустом, заклиниванием. Возможна гипотрофия мышечной ткани. Из-за денервации, обменных, наследственных нарушений мышцы уменьшаются в объеме, слабеют, уменьшается процент мышечной массы по отношению к жировой и соединительной ткани. Проблема может быть с суставами, мышечной тканью или двигательными нервами. МРТ выявляет причину ограничения движений.
- Чувствительные нарушения проявляются при повреждении чувствительных нервных волокон: человек отмечает парестезии - покалывание, онемение, ползание мурашек по коже, нарушается температурная, болевая чувствительность. МРТ помогает показать, какой нерв поврежден, на каком уровне, характер изменений в нервной ткани (воспаление, отек, сдавление, ишемия, опухоль, травма).
- Травмы. Вовремя выявленные изменения в мягких тканях, которые произошли в результате механического воздействия, намного уменьшают период выздоровления. На МРТ можно контролировать процесс образования костной мозоли, нет ли ущемления нервов, сосудов, мышц. Кроме костных изменений, которые легко выявить на рентгене, довольно часто присутствуют растяжения или разрыв связок, сухожилий, капсулы сустава. Эти проблемы не видны при других исследованиях, кроме МРТ. Если их выявить сразу после травмы, подключаются физиотерапевтические, консервативные, иногда хирургические методы восстановления. В результате выше процент полного восстановления.
- Изменения, которые видны на коже, заставляют предполагать заболевание ног. МРТ подтверждает или опровергает эти предположения. На коже могут быть трофические язвы из-за нарушения кровообращения в нижних конечностях или иннервации. При болезнях вен, суставов кожа отекает, возможны побледнение, покраснение кожных покровов. Язвы характерны на стопах для диабета, на МРТ можно измерить глубину распространения процесса, определить наличие некротических изменений.
Если врач предполагает опухоли, болезни сосудов ног, следует сделать контрастную МРТ, так как при введении контрастного вещества сосуды лучше визуализируются. Вместе с ними хорошо выделяется и опухолевый очаг из-за усиленного кровоснабжения. На снимках также визуализируется наличие метастазов, их расположение, размеры.
Пациенту могут назначить МРТ нижних конечностей полностью или определенного участка:
- МРТ тазобедренного сустава покажет дисплазию в этой области, синдром грушевидной мышцы. Исследование показывает степень сдавления нерва между мышечными волокнами и связкой. При переломе шейки бедра у пожилых людей выявляет гематомы, повреждения мягких тканей.
- МРТ тканей бедра делают при травмах этой области, опухолях, выявляет фибросаркому.
- МРТ коленного сустава помогает оценить состояние всех внутрисуставных структур: связок, менисков. Определяет степень дегенерации сустава или повреждения при травме. МРТ обязательно делают перед вмешательством на колене. Это помогает выбрать, какие структуры подлежат восстановлению, а какие требуют замены на искусственные или аутотрансплантаты.
- МРТ голени обнаруживает опухоли, изменения сосудов в этой области, контузию и воспаление мышц.
- МРТ голеностопного сустава и стопы позволяет хорошо рассмотреть эту область, так как рентген часто не выявляет проблему (не позволяют оценить состояние окружающих мягких тканей). На МРТ стопы хорошо просматриваются сухожилия, связки, суставы предплюсны и т.д. Можно видеть толщину и состояние хрящей, наличие выпота внутри суставов, крови, отек тканей, опухоли. Диагностируют пяточную шпору, болезнь Севера, подошвенный фасциит, плоскостопие, врожденные аномалии развития, нарушение кровоснабжения, опухоли, воспалительные, дегенеративные процессы, инородные тела в этой области, диабетическую стопу.

МРТ плечевого сустава в корональной плоскости. Отмечается вколоченный перелом хирургической шейки плечевой кости.
Как проходит МРТ мягких тканей конечностей?
Специальной подготовки к МРТ ног не требуется. Перед использованием контрастного препарата за 6 - 8 часов не рекомендован прием пищи, чтобы не возникла тошнота. Противопоказаниями к проведению процедуры являются беременность, кормление ребенка грудью, аллергия на гадолиний, тяжелая патология почек, гемолитическая анемия.
Перед тем, как делают МРТ ног, врач тщательно расспрашивает пациента о наличии металлических имплантатов или медицинских клипс внутри организма. Металл внутри тела является наиболее частым и серьезным противопоказанием к проведению МРТ. Под действием сильного магнитного поля металлический предмет может сдвинуться и травмировать мягкие ткани и сосуды, а электронные приборы типа кардиостимулятора, помпы для введения инсулина испортятся.
У закрытого томографа есть ограничения по весу (120 - 150 кг) и по окружности (150 см). Если человек по этим параметрам не подходит (большой вес или объем талии), ему назначается диагностика на томографе открытого типа.
Пациента обследуют в лежачем положении, сканируют область ног. Результаты в виде серии снимков, сделанных через определенные промежутки и под нужным углом, поступают в компьютер для обработки.
Расшифровка МРТ нижних конечностей
Расшифровывает снимки томографии нижних конечностей специалист лучевой диагностики. На это может уйти от 1 до 3 часов в зависимости от сложности патологического процесса. Результаты записываются на диск и другие электронные носители информации. Для более точной оценки снимков и видео рекомендуют брать с собой результаты исследований:
- предшествующих МРТ мягких тканей конечностей;
- ангиографии сосудов нижних конечностей;
- рентгеновских снимков или КТ;
- УЗИ тканей нижних конечностей с допплерографией.
МРТ или КТ ног?
Метод обследования выбирает врач, учитывая диагноз, противопоказания. КТ предпочтительнее, если есть необходимость выявить изменения костной ткани: остеофиты, переломы, трещины, образование ложного сустава, аномалии развития, формы, строения костей, остеомиелит, опухоли костей голени и бедра, стопы. КТ может назначаться в случае наличия металлических элементов в теле, которые нельзя извлечь.
МРТ мягких тканей делают, чтобы оценить состояние сухожилий, мышц, хрящей, нарушения в кровотоке и иннервации. МРТ выбирают для диагностики тех пациентов, которым нельзя подвергаться рентгеновскому облучению (беременные, дети).
Сколько по времени делается МРТ ноги?
Время обследования от 20 минут (без контраста), МРТ с контрастом может занять примерно 40 минут. Стоимость процедуры отличается в разных центрах, зависит от области обследования, использования контрастного вещества. Пациент может испытывать дискомфорт от шума томографа, поэтому выдают беруши или наушники. Связь с врачом поддерживается на протяжении всего сеанса. Можно сообщить врачу об ухудшении самочувствия. Для получения изображения хорошего качества необходимо лежать неподвижно.
МРТ является одним из самых востребованных, точных, ранних методов диагностики.

МРТ голеностопного сустава в сагиттальной плоскости. Отмечается полный разрыв пяточного сухожилия с признаками повреждения паратенона, реактивного паратендинита.
МРТ и КТ в офтальмологии
Отделение микрохирургии №1
Зав. отделением Воронович Т.Ф.,
врачи-офтальмологи Кардаш О.Н. Сивашко А.С.
Сегодня обсудим тему "МРТ КТ в офтальмологии" - когда необходима данная диагностика?
Применение МРТ в наше время постоянно увеличивается. Что же такое МРТ?
Откройте любой медицинский справочник, и ответ будет однозначным. Магнитно-резонансная томография (МРТ) - метод получения диагностических изображений, основанный на использовании явления ядерно-магнитного резонанса. Главное в этом определении то, что этот метод не имеет никакого отношения к заряженным радиоактивным частицам и другим потенциально опасным для здоровья вещам. Поэтому весь мир, пользуется термином МРТ. При МРТ не используются проникающие излучения, вредные для здоровья. И вот почему. Задача во время исследования - создать такие условия, при которых само тело пациента станет источником крайне слабых радиосигналов. Такие радиосигналы существуют без всякой дополнительной аппаратуры и условий, так как это один из индикаторов правильности протекания жизненных процессов в нашем организме. При МРТ мы лишь изолируем одного пациента - один источник - от всех остальных источников радиосигналов, чтобы максимально ослабить влияние помех. Затем с помощью аппаратного обеспечения томографа хаотичные сигналы упорядочиваются так, чтобы принимать их только из определенной области тела. Для этого нужно мощное, но безвредное для человека магнитное поле. Затем, используя очень чувствительные антенны и приемники, радиосигнал, принимается, обрабатывается сверхскоростным компьютером и получается изображение. Оно отражает распределение радиосигналов клеток человеческого тела в различных плоскостях и соотношениях. Такое изображение в медицине принято называть томограммой. Это самый важный этап.
Нормальные клетки органов и тканей, не пораженных болезненным процессом, имеют один уровень сигнала. «Больные» клетки - это всегда другой, измененный сигнал в той или иной степени. На изображении измененные патологическим процессом участки тканей и органов выглядят иначе, чем здоровые. Это и есть основа медицинского диагностического изображения. Распознать детальные изменения - дело опыта врача-исследователя, производное качества аппаратуры. Томограммы, полученные с его помощью, содержат огромный объем информации. Вот только найти и оценить эту информацию томограф не сможет. Это - работа человека, врача.
Итак, Вы - пациент. Как же Вам поступить? Чтобы помочь врачу быть максимально полезным, Вам стоит придерживаться простых и понятных правил:
1. Сначала пройдите первичный осмотр Вашего лечащего врача, консультации назначенных им специалистов, анализы и т.д. Дайте Вашему лечащему врачу оценить полученную на этом этапе информацию, «сузить» круг дальнейшего поиска.
2. Если Вам назначена МРТ, это еще не говорит о каких-то глобальных проблемах в Вашем здоровье. Возможно, МРТ - один из немногих способов получить информацию о состоянии Вашего заболевания, либо просто его исключить.
3. Строго и точно выполняйте требования и рекомендации специалистов МРТ. Они выработаны длительным опытом напряженной работы множества людей, объединенных единственной целью - помочь Вам.
Томограммы содержат огромный объем информации о строении органов и тканей в определенной анатомической зоне. Структура, взаимоотношение органов между собой, их размеры, конфигурация - вот те основные моменты, которые мы оцениваем в ходе исследования. Магнитно-резонансный томограф устроен таким образом, что в ходе одного сеанса невозможно обследовать все зоны интереса. Значит, одной из важнейших задач для врача, направляющего своего пациента на МРТ, является точное указание той анатомической области, в которой предстоит выполнить исследование. Кроме этого, существует большое разнообразие специальных программ и методик исследований. Каждая из таких программ подготовлена для выявления характерных признаков определенной группы патологических изменений. Поэтому провести МР-исследование по всем программам сразу - крайне длительная и очень дорогостоящая процедура. Как и другие медицинские исследования, МРТ служит для выявления тех заболеваний, которые невозможно выявить иным способом. Либо другой способ неприемлем в силу, например, противопоказаний. Значит, лечащий доктор, направляющий пациента на МРТ, должен формулировать конкретную цель такого направления. Возможности современной магнитно-резонансной томографии позволяют диагностировать заболевания даже таких сложных и тонких систем, как глаза.
МРТ глазных орбит и зрительных нервов производится при наличии ряда показаний, основными из которых являются:
- воспалительные заболевания глаза, глазницы и окружающих структур, целлюлит , абсцесс орбиты;
- инородные тела и травмы, попадание инородных тел в глаз или ретробульбарное пространство
- патология формы глазного яблока
- подозрения на наличие опухолей: опухоли глаза (меланома глаза и др.), слезных желез, опухоли глазницы: менингиомы, глиома зрительного нерва, отдаленные метастазы в глазницу, доброкачественные ретробульбарные опухоли (дермоиды); идиопатическая воспалительная псевдоопухоль
- атрофия зрительного нерва или иные заболевания дегенеративного характера (при застойных дисках зрительных нервов);(демиелинизирующее заболевание)
- кровоизлияния или закупорка кровеносных сосудов; сосудистые заболевания; каротидно-кавернозные соустья (ККС), тромбоз верхней глазничной вены, варикоз глазницы, артерии и вены глазницы
- отслойка сетчатки
- поражение стенок глазниц: мукоцеле, костный гиперостоз и бластные повреждения
- тиреоидная орбитопатия;
Что можно увидеть на снимках МРТ глаза
Методика МРТ глазных орбит отличается максимальной информативностью при минимальной нагрузке на организм. От иных методов диагностики она отличается отсутствием какой-либо лучевой или ионизирующей нагрузки. Это особенно важно, учитывая не только сложность структуры глаза, но и близость головного мозга. Кроме того, это исследование не требует никакого инвазивного вмешательства.
При МРТ орбит и зрительного нерва не используются никакие катетеры, зонды и прочие механические приспособления. Исследование заключается в помещении пациента в камеру магнитно-резонансного томографа и пребывание там, в неподвижном состоянии на протяжении от 30 (обычное) до 60 (контрастное исследование) минут. Для проведения МРТ глазных орбит и зрительных нервов никакой предварительной подготовки пациента не требуется.
Единственным исключением является контрастная МРТ. В этом случае перед началом диагностики в вену вводится специальное вещество, которое усиливает четкость изображения кровеносной сети. Контраст применяется при подозрениях на наличие опухолей или исследованиях состояния сосудов.
Для опухолей это актуально потому, что в зоне новообразований образуется очень разветвленная сосудистая структура, отличающаяся от кровеносной сети окружающих областей. Даже опухоли очень маленького размера четко визуализируются на начальных этапах возникновения.
Особенность МРТ орбиты глаза состоит в том, что при исследовании можно увидеть в различных проекциях или объемном моделировании все содержимое, находящееся в глазнице. Отдельно выделяются глазные яблоки, зрительные нервы, мышцы глаз и зона ретробульбарного пространства.
В этой зоне находятся многочисленные сосуды, нервы, мышцы и жировая клетчатка. При исследовании выявляется степень целостности этих образований, воспалительные процессы, наличие опухолей различного характера, повреждения сосудов вследствие аневризм, тромбозов, разрывов, дегенеративные изменения.
Очень информативна магнитно-резонансная томография глазного нерва при травматических или химических поражениях зоны глаза. Главный зрительный нерв является основным и единственным путем передачи информации от глаза к головному мозгу. Его повреждения вызывают перебои в передаче этих данных и значительное ухудшение зрения при здоровых глазах. Значение своевременного обнаружения невритов или атрофии зрительного нерва нельзя преувеличить.
Своевременное обнаружение начала заболевания при МРТ зрительного нерва позволяет начать эффективное лечение, которое не только остановит патологический процесс, но может и в значительной степени восстановить зрение. Зрительный нерв - это сложнейшее образование, состоящее более чем из миллиона нервных волокон. Нарушение состояния даже небольшой части из них приводит к возникновению лавинообразного процесса ухудшения зрения.
В каких же ситуациях МРТ может быть максимально эффективным методом диагностики? Это головной и спинной мозг. До самого последнего времени исследования структуры и функции головного и спинного мозга были наименее разработанной частью медицинской диагностики. Только в начале 70-х годов ХХ века с изобретением рентгеновской компьютерной томографии (КТ) эта задача получила свое первое решение. Говоря о МРТ диагностике нельзя обойти стороной КТ исследование, которое довольно широко применяется в офтальмологии.
КТ орбиты глаза и глазного нерва
Компьютерная томография орбиты глаза, как правило, назначается для визуализации состояния костных систем в случаях подозрения на онкологические заболевания. Но стоит отметить, что при КТ орбит глаза отлично визуализируются различные изменения, происходящие в мягких тканях. Основная разница исследований КТ и МРТ заключается в том, что метод МР-томографии позволяет гораздо лучше визуализировать обогащенные водой и водными растворами мягкие ткани, кровеносные сосуды, лимфотоки и нервные ткани, хрящевидные образования. А костные структуры видны на МРТ хуже, чем на КТ.
Компьютерная же томография глазницы отлично диагностирует наличие новых кровоизлияний или кровотечений при травмах. Выявление новообразований, их измерение и определение расположения, проникновения опухолей в область глаза, диагностика КТ глаза и глазного яблока стоит наравне с МРТ, в особенности при диагностике с применением контрастирующего вещества.
Методом компьютерной томографии сетчатки глаза можно отлично исследовать всевозможные отслоения в сетчатке глаза, любое проникновение жидкости в область соединения сетчатки и сосудистой оболочки. Чем раньше пациент сможет обнаружить такие отклонения, что предоставляет исследование КТ, тем своевременнее и эффективней будет лечение, которое также даст возможность предотвратить появление необратимых процессов гибели элементов сетчатой оболочки.
КТ по цене немного дешевле, чем МРТ, но ее основное отличие — это то, что там присутствует рентген-облучение, пусть и не в значительной степени, что не позволяет ее проводить слишком часто. В любом случае выбор диагностики должен сделать ваш лечащий врач.
Примечание: какая-либо специальная подготовка больных для проведения рентгеновской компьютерной томографии и магнитно-резонансной томографии головного мозга не требуется.
Показания и противопоказания (ограничения) к проведению рентгеновской компьютерной и магнитно-резонансной томографий
Данный перечень не является исчерпывающим. Абсолютность показаний и противопоказаний в любом случае определяется врачом, проводящим исследование и врачом, направляющим на исследование.
I. Ограничения к проведению исследований рентгеновской компьютерной томографии и магнитно-резонансной томографии
1. ОБЩИЕ
- Масса тела больше 150 кг для КТ и 110 кг для МРТ;
- Неадекватное поведение больного;
- Кардиостимуляторы;
- Импланты внутреннего и среднего уха
- Металлические (намагничиваемые) клипсы и стенты
- Металлические инородные тела, импланты и послеоперационные конструкции
- Первый и третий триместры беременности
- Клаустрофобия
- Беременность
- Непереносимость препаратов содержащих йод (для исследований с контрастным усилением);
Для оптимизации МРТ и КТ диагностики НЕОБХОДИМО направление офтальмолога с предварительным диагнозом, целью и задачами исследования.
При обращении для оценки динамики ранее выявленного заболевания, либо для уточнения данных других методов диагностики (УЗИ, КТ, МРТ, ангиография, сцинтиография, ПЭТ и др) НЕОБХОДИМО принести с собой результаты (снимки, заключения, CD) вышеперечисленных методик. Крайне желательно ПРИНЕСТИ имеющиеся клинические выписки (амбулаторная карта).
Вы прочитали очень краткий обзор, посвященный огромной отрасли современной диагностики - магнитно-резонансной томографии. Информация, изложенная здесь, поверхностно касается различных аспектов применения МРТ. Как и у каждого диагностического метода, у МРТ существуют свои показания к применению, а также строго оговоренные противопоказания. МРТ не может разрешить все диагностические проблемы. Этот метод в чем-то несовершенен, малоизучен. Но уже сейчас мы можем сказать о нем самое главное: МРТ наиболее информативна и безопасна во многих сложных случаях.
Своевременное обнаружение начала заболевания при МРТ диагностике позволяет начать эффективное лечение, которое может не только остановить патологический процесс, но в значительной степени восстановить зрение.
Что такое томография глаза

Томография глаза - это неинвазивное исследование, которое стало возможным с применением высокоточного диагностического оборудования. Оптическая корегентная томография (ОКТ) позволяет в мельчайших деталях рассмотреть структуру зрительного аппарата - глазное дно, роговицу, сетчатку, хрусталик, зрительный нерв.
Особенности методики
Томография глаза отличается от других видов диагностики (УЗИ, МРТ, КТ). Во время исследования на монитор выводится трехмерное изображение высокого качества. Толщина слоев исследуемых участков органа достигает микрометра - 1/1000 мм. Максимальную визуализацию обеспечивают две функции аппаратуры - сканирование и увеличение (по принципу микроскопа).
При использовании ОКТ офтальмологи могут определить патологические изменения на начальной стадии, когда у пациента еще нет выраженных признаков болезни. Разрешительная способность оборудования сделала возможным выявлять микроскопические нарушения в сетчатке глаза, что было недоступно при офтальмоскопии.
Преимущества томографии глаза
Бесконтактное исследование имеет неоспоримые выгоды для пациента:
- точность в обнаружении и локализации изменений;
- простота в проведении, отсутствие подготовительного периода;
- нет возрастных ограничений;
- быстрое получение результатов;
- абсолютная безопасность без негативных последствий.
Томографию проводят не только с диагностической целью. Метод используют для контроля лечения офтальмологических больных.
Недостатки методики
Среди пациентов можно услышать мнение, что во время исследования человек получают облучение, что в последствие негативно отразится на зрении. Это заблуждение. При ОКТ используется инфракрасное излучение, которое не вредит зрительному аппарату.
Бесконтактная диагностика не информативна при плохой прозрачности тканей, например, при заболеваниях конъюнктивы.
Что показывает КТ глаза
Корегентная томография позволяет детализировать и послойно просмотреть строение органа. Во время исследования обнаруживаются воспалительные процессы, отеки, структурные повреждения, разрывы, кровоизлияния, наследственные заболевания.

Методика визуализирует участки, которые ранее были недоступны для осмотра. Так выявляют дегенеративные изменения сетчатки, а также болезни, затрагивающие желтое пятно (место на сетчатке глаза, отвечающее за остроту зрения). Во время исследования можно рассмотреть диск зрительного нерва, атрофию. С помощью аппаратуры врач оценивает качественные характеристики тканей, динамику прогрессирования болезни.
Показания к проведению диагностики
Томографию глаза назначают пациентам, жалующимся на ухудшение зрения, людям, входящим в группу риска (наследственность, травмы органа зрения, возраст). Диагностику рекомендуют при постоянном ощущении инородного тела в глазу, колющих, режущих болях, усиленном слезотечении, нагноении.
ОКТ показана при подозрении на такие заболевания:
- аномалии преломляющей способности глаза (рефракции);
- отслойка сетчатки, дистрофия;
- воспаление зрительного нерва;
- глаукома;
- заболевания роговицы, хрусталика;
- диабетическая ретинопатия;
- болезни слезных желез, век, которые не поддаются медикаментозному лечению.
Диагностическую процедуру назначают при рубцевании фиброзной ткани, тромбозе центральной вены сетчатки, кистозном макулярном отеке, доброкачественных, злокачественных опухолях. Методика незаменима для выявления возрастной макулодистрофии, своевременное обнаружение которой позволяет сохранить пациентам центральное зрение.
Корегентную томографию проводят перед лазерной коррекцией зрения, операцией по замене хрусталика.
Противопоказания
Абсолютным противопоказанием к проведению диагностики является наличие в организме кардиостимулятора, острое психическое расстройство.
Затруднения вызывает невозможность пациента зафиксировать взгляд в одной точке.
Временное ограничение к исследованию − острые воспалительные процессы органа зрения, сопровождающиеся выраженными отеками.
ОКТ нельзя делать сразу после контактной офтальмоскопии, визуального обследования передней камеры (гониоскопия).
- закапывание глазных капель, расширяющих зрачки;
- сканирование сетчатки;
- оцифровывание снимка (автоматическое);
- выведение данных на монитор.
Методика безболезненна и безопасна для младенцев, беременных женщин, пожилых людей, пациентов с хроническими соматическими заболеваниями.
Цена на обследование
Стоимость томографии глаз зависит от того какой участок зрительного аппарата нужно исследовать. Цена диагностики передних отделов от 1500 руб. Если пациенту делают ОТК с дополнительной функцией ангиографии (исследование кровеносных сосудов с применением контрастного вещества) - от 3500 руб. Точную стоимость рассчитывает офтальмолог с учетом целей диагностики.
Читайте также:
