КТ, МРТ при злокачественной смешанной опухоли околоушной железы
Добавил пользователь Евгений Кузнецов Обновлено: 22.11.2025
Категории МКБ: Доброкачественное новообразование большой слюнной железы неуточненное (D11.9), Доброкачественное новообразование других больших слюнных желез (D11.7), Доброкачественное новообразование околоушной слюнной железы (D11.0)
Общая информация
Краткое описание
Рекомендовано
Экспертным советом
РГП на ПХВ «Республиканский центр
развития здравоохранения»
Министерства здравоохранения
и социального развития
Республики Казахстан
от «6» ноября 2015 года
Протокол №15
Определение [3] (УД - С):
Опухоль - это патологический процесс, который возникает в результате пролиферации собственных клеток организма, отличается своей биологической сущностью и является реакцией организма на различные повреждающие факторы внешнего и внутреннего характера.
Доброкачественная опухоль - это новообразование, характеризующееся медленным ростом, отсутствием метастазирования и рецидивирования после полного удаления.
Название протокола: Доброкачественное новообразование больших слюнных желез.
Код протокола:
Код(ы) МКБ-10:
D11.0 Доброкачественные образования околоушной слюнной железы
D11.7 Доброкачественные образования других больших слюнных желез
D11.9 Доброкачественные образования большой слюнной железы неуточненное.
Сокращения, используемые в протоколе:
ОАК - общий анализ крови
ОАМ - общий анализ мочи
AЛT - аланинаминотрансфераза
ACT - аспартатаминотрансфераза
ЭКГ - электрокардиограмма
УЗИ - ультразвуковое исследование
КТ - компьютерная томография
МРТ - магнитно -резонансная томография
МСКТ - мультиспиральная компьютерная томография
Дата разработки протокола: 2015 г.
Категория пациентов: дети и взрослые.
Пользователи протокола: врачи челюстно-лицевые хирурги (взрослые и детские).
Оценка на степень доказательности приводимых рекомендаций.
Шкала уровня доказательности:
| А | Высококачественный мета-анализ, систематический обзор РКИ или крупное РКИ с очень низкой вероятностью (++) систематической ошибки результаты которых могут быть распространены на соответствующую популяцию. |
| В | Высококачественный (++) систематический обзор когортных или исследований случай-контроль или Высококачественное (++) когортных или исследований случай-контроль с очень низким риском систематической ошибки или РКИ с невысоким (+) риском систематической ошибки, результаты которых могут быть распространены на соответствующую популяцию. |
| С | Когортное или исследование случай-контроль или контролируемое исследование без рандомизации с невысоким риском систематической ошибки (+). Результаты, которых могут быть распространены на соответствующую популяцию или РКИ с очень низким или невысоким риском систематической ошибки (++ или +), результаты которых не могут быть непосредственно распространены на соответствующую популяцию. |
| D | Описание серии случаев или неконтролируемое исследование или мнение экспертов. |
| GPP | Наилучшая фармацевтическая практика. |

Автоматизация клиники: быстро и недорого!
- Подключено 300 клиник из 4 стран
- 800 RUB / 4500 KZT / 27 BYN - 1 рабочее место в месяц

Автоматизация клиники: быстро и недорого!
- Подключено 300 клиник из 4 стран
- 1 место - 800 RUB / 4500 KZT / 27 BYN в месяц
Мне интересно! Свяжитесь со мной
Классификация
Клиническая классификация [1] (УД - А):
Международная гистологическая классификация опухолей полости рта и ротоглотки ВОЗ, раздел «Слюнные железы»:
I. Опухоли, исходящие из железистого эпителия.
Аденомы:
· Племорфная аденома.
· Миоэпителиома (миоэпителиальная аденома).
· Базально-клеточная аденома.
· Опухоль Уортина (аденолимфома).
· Онкоцитома (онкоцитарная аденома).
· Каналикулярная аденома.
· Аденома сальных желез.
Протоковая папиллома:
· Инвертированная протоковая папиллома.
· Внутрипротоковая папиллома.
· Сиаладенома апилярная.
Цистаденома:
· Папиллярная цистаденома.
· Муцинозная цистаденома.
II. Неэпителиальные опухоли.
Диагностика
Перечень основных и дополнительных диагностических мероприятий [4,6,7,8] (УД - С):
Основные (обязательные) диагностические обследования на амбулаторном уровне:
· УЗИ слюнной железы;
Дополнительные диагностические обследования, проводимые на амбулаторном уровне:
· ОАК.
· МРТ слюнной железы.
Минимальный перечень обследования, который необходимо провести при направлении на плановую госпитализацию: согласно внутреннему регламенту стационара с учетом действующего приказа уполномоченного органа в области здравоохранения.
Основные (обязательные) диагностические обследования, проводимые на стационарном уровне:
· ОАК;
· Определение группы крови по системе АВО стандартными сыворотками;
· Определение резус фактора крови;
· Гистологическое исследование.
Дополнительные диагностические обследования, проводимые на стационарном уровне:
· УЗИ слюнных желез;
· МРТ слюнных желез;
· Цитологическое исследование.
Диагностические мероприятия, проводимые на этапе скорой неотложной помощи: нет.
Диагностические критерии постановки диагноза:
Жалобы и анамнез:
Жалобы:
· на наличие безболезненного образования в области слюнной железы;
· деформация лица;
· косметический дефект;
Анамнез:
· медленный безболезненный рост в течение нескольких месяцев или лет.
Физикальное обследование:
· асимметрия лица за счет образования в области околоушной или поднижнечелюстной слюнной железы;
· при локализации опухоли в области подъязычной слюнной железы отмечается смещение языка в противоположную сторону;
· смещение миндалины в сторону глотки при локализации опухоли в области глоточного отростка околоушной слюнной железы;
Пальпация:
· образование безболезненное, бугристое, плотно-эластической консистенции;
· имеет четкие границы;
· подвижность опухоли зависит от глубины ее залегания.
Лабораторные исследования:
· ОАК - без изменений;
Инструментальные исследования:
· УЗИ слюнной железы при аденоме: образование размерами от 10,0 до 66,0 мм, овальной или округлой формы, с четкими контурами и неоднородной, гипоэхогенной структурой;
· УЗИ слюнной железы при липоме: образование размерами от 15,0 до 50,0 мм, овоидной формы, с типичной полосатой «перистой» эхогенностью структуры;
· МРТ или КТ: наличие образования в области слюнной железы с четкими, ровными контурами, повышенной плотности;
· Цитологическое исследование: отсутствие атипичных клеток, наличие клеток, характерных для доброкачественной опухоли;
· Цитограмма аденом характеризуется однородностью эпителиального компонента, пролиферирующий эпителий имеет некоторый полиморфизм ядер, без атипии;
· Гистологическое исследование материала: ткань образования построена из двух типов клеток: 1. Эпителиоцитов, формирующих железистые структуры. 2. Миоэпителиальных клеток, образующих строму. Типичной является хондроидная строма напоминающая гиалиновый хрящ.
Показания для консультации специалистов:
· консультация врача общей практики - при наличии сопутствующей патологии;
· консультация анестезиолога - с целью обеспечения общего обезболивания по показаниям;
· консультация врача лучевой диагностики - с целью интерпретации рентгенограммы, ультразвуковой эхограммы и компьютерной или магнитно-резонансной томограммы;
· консультация врача-онколога - при необходимости с целью исключения злокачественной опухоли.
Дифференциальный диагноз
Дифференциальный диагноз [5]:
| № | Нозология | Основные клинические дифференциально-диагностические критерии |
| 1 | Доброкачественное образование слюнной железы | Опухоль растет медленно, безболезненно. При пальпации образование безболезненное, бугристое, мягко-эластической или плотной консистенции, имеет четкие границы, подвижность опухоли зависит от глубины залегания. Из устья протока выделяется прозрачная слюна. Увеличения регионарных лимфоузлов не наблюдается. При пункции - клетки, характерные для доброкачественного процесса. Данные УЗИ исследования и магнитно-резонансной томографии свидетельствуют о наличии образования с четкими границами, отсутствии метастазов в регионарные лимфоузлы. |
| 2 | Злокачественное образование слюнной железы. | Быстрый рост образования, сопровождается болями. При расположении опухоли в области околоушной слюнной железы могут наблюдаться признаки поражения лицевого нерва (парез или паралич мимических мышц). Опухоль плотной консистенции, мелкобугристая поверхность, границы нечеткие, подвижность ограничена. Могут отмечаться кровянистые выделения из выводных протоков слюнных желез, метастазы. Пункция - при цитологическом исследовании обнаруживаются атипичные клетки. На магнитно-резонансных и компьютерных томограммах определяется образование с нечеткими границами, имеющее инфильтрирующий рост, могут быть обнаружены метастазы в регионарные лимфоузлы. |
| 3 | Слюннокаменная болезнь | При рентгенологическом исследовании, сиалографии, УЗИ, КТ (МСКТ) обнаруживается слюнной камень в железе или в протоке. При бимануальной пальпации иногда определяется в протоке камень. |
| 4 | Сиаладенит (острый, хронический) | На УЗИ обнаруживается увеличение железы воспалительного характера, данных за наличие опухоли нет. |
| 5 | Неспецифический лимфаденит околоушной или поднижнечелюстной областей. | При клинико-рентгенологическом и ультразвуковом исследовании изменений в железе нет. |
Лечение
Цели лечения:
· удаление опухоли околоушной слюнной железы с сохранением железы и ветвей лицевого нерва,
· при опухоли поднижнечелюстной слюнной железы - удаление образования вместе с железой.
· восстановление эстетического вида лица;
· восстановление функций челюстно-лицевой области.
Тактика лечения [1,2,6,9,10] (УД - С):
· Направление на госпитализацию и оперативное лечение в стационаре в плановом порядке.
· Оперативное лечение в стационаре.
· Медикаментозное лечение.
· Другие виды лечения.
· Дальнейшее ведение.
Немедикаментозное лечение:
· Режим больного - в ранний послеоперационный период - полупостельный с последующим переходом на общий.
· При оперативном вмешательстве стол №1 с переходом на стол №15.
· У детей до 3-х лет стол №16.
Хирургическое вмешательство [1,2,6,9,10] (УД - С):
1. удаление образования;
2. удаление образования с частичной сиаладенэктомией;
3. удаление образования с полной сиаладенэктомией;
Медикаментозное лечение, оказываемое на стационарном уровне:
| № | Препарат, формы выпуска | Дозирование | Длительность и цель применения |
| Антибиотикопрофилактика (один из нижеперечисленных препаратов) | |||
| 1 | Цефазолин (УД - В) | 1 г в/в, в/м (детям из расчета 50-100 мг/кг) | 1 раз за 30-60 минут до разреза кожных покровов; при хирургических операциях продолжительностью 2 часа и более - дополнительно 0,5-1 г во время операции с целью снижения риска развития послеоперационной раневой инфекции. |
| При аллергии на β-лактамные антибиотики | |||
| 3 | Линкомицин(УД - В) | ||
Другие виды лечения:
· ежедневная обработка раны растворами антисептиков;
· ирригация полости рта антисептическими растворами.
Индикаторы эффективности лечения:
· отсутствие новообразования в слюнной железе;
· восстановление функций слюнных желез;
Дальнейшее ведение:
· миогимнастика челюстно-лицевой области;
Препараты (действующие вещества), применяющиеся при лечении
| Ибупрофен (Ibuprofen) |
| Кетопрофен (Ketoprofen) |
| Линкомицин (Lincomycin) |
| Парацетамол (Paracetamol) |
| Трамадол (Tramadol) |
| Тримеперидин (Trimeperidine) |
| Цефазолин (Cefazolin) |
| Этамзилат (Etamsylate) |
Госпитализация
Показания для госпитализации:
Показания для экстренной госпитализации: нет.
Показания для плановой госпитализации:
· наличие опухоли в области слюнной железы, приводящей к деформации челюстно-лицевой области;
· нарушение эстетического вида лица;
· нарушение функции приема пищи.
Информация
Источники и литература
- Протоколы заседаний Экспертного совета РЦРЗ МЗСР РК, 2015
- Список использованной литературы: 1. Афанасьев В.В. Слюнные железы. Болезни и травмы: руководство для врачей. - М.: ГЭОТАР - Медиа, 2012. - 296с. 2. Кулаков А.А. Хирургическая стоматология и челюстно-лицевая хирургия. Национальное руководство / под ред. А.А. Кулакова, Т.Г. Робустовой, А.И. Неробеева. - М.: ГЭОТАР-Медиа, 2010. - 928 с. 3. Робустова Т.Г. Хирургическая стоматология: Учебник М.: Медицина, 2003. — 504 с., 3-е издание. 4. Муковозов И.Н. Дифференциальная диагностика хирургических заболеваний челюстно-лицевой области. МЕДпресс 2001. - 224 c. 5. Щипский А.В., . Афанасьев В.В. Диагностика хронических заболеваний слюнных желез с помощью дифференциально-диагностического алгоритма //Практическое руководство. - ГОУВУНМТ, 2001.- 535с. 6. Bialek E.J., Jakubowski W., Zajkowski P., Szopinski K.T., Osmolski A. US of the major salivary glands: anatomy and spatial relationships, pathologic conditions and pitfalls // Radiographics. - 2006. - N 26 (3).- P. 745-763. 7. Hayashi M., Ohshima T., Ohshima M. et al. Profiling of radicular cyst and odontogenic keratocyst cytokine prodaction suggests common growth mechanisms. J. Endod. 2008 Jan; 34(1): 14-21. 8. Kurdekar RS, Prakash J, Rana AS, Kalra P. - Non-syndromic odontogenic keratocysts: A rare case report. Natl J Maxillofac Surg. 2013 Jan;4(1):90-3. 9. Ochsenius G., Escobar E., Godoy L. et al. Odontogenic Cysts: Analysis of 2.994 cases of Chile. Med. Oral. Pathol. Oral. Cir Bucal. 2007; 12: E85-91. 10. Stoelinga P.J.W. The treatment of odontogenic keratocysts by excision of the overlying, attached mucosa, enucleation, and treatment of the bony defect with Carnoy solution. Oral. Pathol. Oral. Cir Bucal. 2008; 11. Cystic lesions of the jaws in edentulous patients: analysis of 27 cases. Lipa Bodner, Esther Manor, Michael Glazer, Peter A. Brennan. British Journal of Oral and Maxillofacial Surgery, Vol. 49, Issue 8, p643-646 November 12 2010. 12. Ariyan S, Martin J, Lal A. Cheng D, Borah GL, Chung KC, Conly J, Havlik R, Lee WP, McGrath MH, Pribaz J, Young VL. Antibiotic prophylaxis for preventing surgical-site infection in plastic surgery: an evidence-based consensus conference statement from the American Association of Plastic Surgeons. Plast Reconstr Surg.2015 Jun; 135(6) 13. Л.С. Страчунский, Ю.Б. Белоусов, С.Н. Козлов Практическое руководство по антиинфекционной антибиотикотерапии.
Информация
Список разработчиков протокола с указанием квалификационных данных:
1. Батыров Тулеубай Уралбаевич - главный внештатный челюстно-лицевой хирург МЗСР РК, врач челюстно-лицевой хирург высшей категории, профессор, кандидат медицинских наук, заведующий кафедрой стоматологии и челюстно-лицевой хирургии АО «Медицинский университет Астана».
2. Мирзакулова Улмекен Рахимовна - доктор медицинских наук, заведующая кафедрой хирургической стоматологии . РГКП на ПХВ «Казахского национального медицинского университета имени С.Д. Асфендиярова», врач высшей категории.
3. Садвокасова Лязат Мендыбаевна - кандидат медицинских наук, доцент кафедры Государственного медицинского университета г. Семей, врач-стоматолог и челюстно-лицевой хирург высшей категории.
4. Дырда Владимир Петрович - кандидат медицинских наук, заведующий челюстно-лицевого отделения КГП «Областная челюстно-лицевая больница г. Караганда, врач-стоматолог высшей категории, челюстно - лицевой хирург.
5. Табаров Адлет Берикболович - клинический фармаколог, РГП на ПХВ "Больница медицинского центра Управление делами Президента Республики Казахстан", начальник отдела инновационного менеджмента.Указание на отсутствие конфликта интересов: нет.
Рецензент: Жаналина Бахыт Секербековна - Главный внештатный челюстно- лицевой хирург Актюбинской области, врач высшей категории, профессор, заведующая кафедрой детской стоматологии и челюстно-лицевой хирургии РГКП на ПХВ «Западно-Казахстанского медицинского университета имени М.Оспанова».
Условия пересмотра протокола: Пересмотр протокола через 3 года и/или при появлении новых методов диагностики/ лечения с более высоким уровнем доказательности.
Как выявить рак слюнных желез на снимках КТ и МРТ
Чем меньше слюнная железа, тем больше вероятность того, что опухоль злокачественная:
- В 50-80% случаев возникает в подъязычной железе и малых слюнных железах (40% - мукоэпидермоидный рак, 40% - аденокистозный рак, 5% - ацинарноклеточный рак);
- В 40-50% случаев рак слюнных желез возникает в поднижнечелюстной железе (преимущественно аденокистозный рак).
- В 20-25% случаев это рак околоушной слюнной железы (60% - мукоэпидермоидный рак, 15% - ацинарноклеточный рак, 5% - аденокистозный рак).
Мукоэпидермоидный рак: Развивается из эпителия протоков
- Преимущественно медленно растущая опухоль низкой степени злокачественности
- В ряде случаев встречаются быстро растущие опухоли высокой степени злокачественности, рано дающие метастазы в лимфатические узлы
Аденокарцинома: Медленно растущая опухоль.
Аденокистозный рак: Медленно растущая опухоль, часто с периневральным распространением.
Ацинарноклеточный рак. Образуется из клеток слюнных протоков
- Возрастной пик: 40-50 лет
- Женщины болеют в 2 раза чаще
- Медленный рост
- Двустороннее поражение в 3% случаев.
Плоскоклеточный рак: Встречается редко
- Обычно развивается на фоне хронического сиаладенита
- Быстрый рост
- У женщин встречается в 2 раза чаще
- Возрастной пик: после 60 лет.
-Стадия Т1: Опухоль размерами 2 см и меньше, не выходит за пределы железы.
- Стадия Т2: Опухоль размерами 2-4 см, не выходит за пределы железы.
- Стадия ТЗ: Опухоль размерами более 4 см и/или выходит за пределы железы.
- Стадия Т4а: Опухоль распространяется на кожу, нижнюю челюсть, наружный слуховой проход и лицевой нерв.
- Стадия Т4b Опухоль распространяется на основание черепа, крыло- видный отросток и внутреннюю сонную артерию.
Клинические проявления
Рак слюнных желез имеет такие симптомы:
- Уплотнение и припухлость слюнной железы, скорость роста непостоянна
- Опухоль обычно болезненная (в большинстве случаев ацинарнокле- точного рака опухоль безболезненная)
- Часто наблюдается неврит лицевого нерва (мукоэпидермоидный рак, аденокарцинома, плоскоклеточный рак)
- Возможны нарушения функции черепных нервов (третья ветвь тройничного нерва, особенно при наличии ацинарноклеточного рака).
Диагностика рака слюнных желез на снимках КТ и МРТ
Метод выбора
Что покажут снимки КТ слюнных желез при раке
- Опухоль низкой степени злокачественности:
- четкие границы
- Обычно гомогенная опухоль с умеренным усилением после введения контраста.
- Опухоль высокой степени злокачественности:
- Инвазивный рост
- Размытые границы
- Неоднородное усиление после введения контраста.
В каких случаях проводят МРТ слюнных желез при раке
- Опухоль высокой степени злокачественности имеет неоднородную интенсивность сигнала на Т2- и Т1-взвешенном изображении с неравномерным усилением после введения гадолиния
- Кисты и очаги некроза имеют высокую интенсивность сигнала на Т2-взвешенном изображении (особенно при мукоэпидермоидном и плоскоклеточном раке)
- Распространение опухоли лучше определяется на Т1-взвешенном изображении без контрастирования.
Отличительные признаки
- Наиболее важный критерий - инвазивный рост
- Неоднородное контрастное усиление
- Опухоль низкой степени злокачественности, как правило, хорошо отграничена от окружающей железистой ткани
- Ацинарноклеточный рак обычно окружен капсулой
- Мукоэпидермоидный рак может содержать кальцинаты и кисты
- Для подтверждения диагноза необходимо гистологическое исследование.
Что хотел бы знать лечащий врач
- Наличие метастазов в лимфатические узлы
- Отдаленные метастазы
- Опухоль ограничена паренхимой железы или распространяется за ее пределы
- Периневральное распространение (вдоль лицевого нерва до шило- сосцевидного отверстия).
Какие заболевания имеют симптомы, схожие с раком слюнных желез
Полиморфная аденома
- Опухоль с четкими границами, обычно овальной формы, может содержать участки некроза и обызвествления
- Внимание: в 5% случаев наблюдается злокачественная трансформация с быстрым ростом опухоли
Опухоль Уортина
- Возможно двустороннее поражение
- Четко отграниченное кистозное/солидное образование с узловыми разрастаниями на стенке кисты
- Обычно расположено в задненижней части железы
Лимфома
- Четко очерченный участок усиления при поражении лимфатических узлов внутри околоушной железы
- Диффузное усиление при поражении паренхимы
Метастазы
- Метастазы в лимфатические узлы около или внутри околоушной железы наблюдаются при злокачественных опухолях ЛОР-органов или злокачественной меланоме
- Часто множественные, с некрозом в центре
- Если опухоль имеет четкие границы, выполняют резекцию железы
- В случае ацинарноклеточного и недифференцированного рака, как правило, показана паротидэктомия с удалением всего лицевого нерва или его ветвей с последующей лучевой терапией
- При наличии метастазов необходимо фасциально-футлярное иссечение клетчатки шеи
- В неоперабельных случаях применяют лучевую терапию.
Врачи каких специальностей диагностируют и лечат рак слюнных желез
- Невропатолог (осмотр больного при поражении ЧМН)
- Стоматолог (осмотр и санация полости рта)
- Челюстно-лицевой хирург ( резекция железы)
- Онколог (подбор тактики лечения)
Прогноз
Рак слюнных желез (кроме околоушной) имеет относительно благоприятный прогноз.
Выживаемость зависит от стадии опухоли:
- 5-летняя выживаемость составляет 90% при опухоли низкой степени злокачественности, 40% - при опухоли высокой степени злокачественности
- Частота рецидивов - 15%.
- 10-летняя выживаемость составляет около 65%
- Ранний неврит лицевого нерва
- К моменту постановки диагноза, как правило, уже имеется распространенное поражение регионарных лимфатических узлов и отдаленные метастазы.
- Гематогенное метастазирование в легкие и кости, а также метастазирование в регионарные лимфатические узлы.
Возможные осложнения и последствия
- Часто инфильтрирует занижнечелюстную вену, на поздних стадиях прорастает крыловидные мышцы и внутреннюю сонную артерию.
- Метастазы в регионарные лимфатические узлы встречается редко
- Гематогенное метастазирование в легкие и кости.
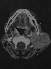
![Снимки МРТ и КТ. Рак слюнных желез]()
Рак околоушной железы. КТ в горизонтальной плоскости: в левой околоушной железе визуализируется крупное сблидное образование с выраженным усилением.
Опухоли слюнных желёз
Опухоли слюнных желез - различные по своему морфологическому строению новообразования малых и больших слюнных желез. Доброкачественные опухоли слюнных желез развиваются медленно и практически не дают клинических проявлений; злокачественные новообразования отличаются быстрым ростом и метастазированием, вызывают боли, изъязвление кожи над опухолью, паралич лицевой мускулатуры. Диагностика опухолей слюнных желез включает УЗИ, сиалографию, сиалосцинтиграфию, биопсию слюнных желез с цитологическим и морфологическим исследованием. Опухоли слюнных желез подлежат лечению хирургическим путем или комбинированному лечению.
Общие сведения
Опухоли слюнных желез - доброкачественные, промежуточные и злокачественные новообразования, исходящие из малых или больших (околоушных, подчелюстных, подъязычных) слюнных желез или вторично поражающие их. Среди опухолевых процессов различных органов на долю опухолей слюнных желез приходится 0,5-1,5%. Опухоли слюнных желез могут развиваться в любом возрасте, однако наиболее часто возникают в возрасте 40-60 лет, в два раза чаще у женщин. Склонность опухолей слюнных желез к малигнизации, местному рецидивированию и метастазированию обусловливают интерес к ним не только со стороны хирургической стоматологии, но и онкологии.
Причины опухолей слюнных желез
Как и в случае с новообразованиями других локализаций, рассматривается этиологическая роль генных мутаций, гормональных факторов, неблагополучных воздействий внешней среды (чрезмерного ультрафиолетового облучения, частых рентгенологических исследований области головы и шеи, предшествующей терапии радиоактивным йодом по поводу гипертиреоза и пр.), курения. Высказывается мнение о возможных алиментарных факторах риска (высоком содержании холестерина в пище, недостатке витаминов, свежих овощей и фруктов в рационе и пр.).
Принято считать, что к группам профессионального риска по развитию злокачественных опухолей слюнных желез относятся работники деревообрабатывающей, металлургической, химической промышленности, парикмахерских и салонов красоты; производств, связанных с воздействием цементной пыли, керосина, компонентов никеля, свинца, хрома, кремния, асбеста и пр.
На основании клинико-морфологических показателей все опухоли слюнных желез делятся на три группы: доброкачественные, местно-деструирующие и злокачественные. Группу доброкачественных опухолей слюнных желез составляют эпителиальные (аденолимфомы, аденомы, смешанные опухоли) и неэпителиальные (хондромы, гемангиомы, невриномы, фибромы, липомы) соединительнотканные новообразования.
Местнодеструирующие (промежуточные) опухоли слюнных желез представлены цилиндромами, ацинозноклеточными и мукоэпителиальными опухолями. К числу злокачественных опухолей слюнных желез относятся эпителиальные (карциномы), неэпителиальные (саркомы), малигнизированные и метастатические (вторичные).
Для стадирования рака больших слюнных желез используется следующая классификация по системе TNM.
- Т0 - опухоль слюнной железы не выявляется
- Т1 - опухоль диаметром до 2 см не распространяется за пределы слюнной железы
- Т2 - опухоль диаметром до 4 см не распространяется за пределы слюнной железы
- ТЗ - опухоль диаметром от 4 до 6 см не распространяется за пределы слюнной железы либо распространяется за пределы слюнной железы без поражения лицевого нерва
- Т4 - опухоль слюнной железы диаметром более 6 см либо меньшего размера, но с распространением на основание черепа, лицевой нерв.
- N0 - отсутствие метастазов в регионарные лимфоузлы
- N1 - метастатическое поражение одного лимфоузла диаметром до 3 см
- N2 - метастатическое поражение одного или нескольких лимфоузлов диаметром 3-6 см
- N3 - метастатическое поражение одного или нескольких лимфоузлов диаметром более 6 см
- М0 - отсутствие отдаленных метастазов
- M1 - наличие отдаленных метастазов.
Симптомы опухолей слюнных желез
Доброкачественные опухоли слюнных желез
Наиболее частым представителем этой группы является смешанная опухоль слюнной железы или полиморфная аденома. Ее типичной локализацией служат околоушная, реже - подъязычная или поднижнечелюстная железа, малые слюнные железы щечной области. Опухоль растет медленно (многие годы), при этом может достигать значительных размеров и вызывать асимметрию лица. Полиморфная аденома не причиняет болевых ощущений, не вызывает пареза лицевого нерва. После удаления смешанная опухоль слюнной железы может рецидивировать; в 6% случаев возможна малигнизация.
Мономорфная аденома - доброкачественная эпителиальная опухоль слюнной железы; чаще развивается в выводных протоках желез. Клиническое течение аналогично полиморфной аденоме; диагноз обычно устанавливается после гистологического исследования удаленного новообразования. Характерной особенностью аденолимфомы является преимущественное поражение околоушной слюнной железы с непременным развитием ее реактивного воспаления.
Доброкачественные соединительнотканные опухоли слюнных желез встречаются реже эпителиальных. В детском возрасте среди них преобладают ангиомы (лимфангиомы, гемангиомы); невриномы и липомы могут возникать в любом возрасте. Неврогенные опухоли чаще возникают в околоушной слюнной железе, исходя из ветвей лицевого нерва. По клинико-морфологическим признакам ничем не отличаются от аналогичных опухолей других локализаций. Опухоли, прилежащие к глоточному отростку околоушной слюнной железы, могут вызывать дисфагию, оталгию, тризм.
Промежуточные опухоли слюнных желез
Цилиндромы, мукоэпидермоидные (мукоэпителиальные) и ацинозноклеточные опухоли слюнных желез характеризуются инфильтративным, местно-деструирующим ростом, поэтому относятся к новообразованиям промежуточного типа. Цилиндромы поражают преимущественно малые слюнные железы; другие опухоли - околоушные железы.
Обычно развиваются медленно, однако при определенных условиях приобретают все черты злокачественных опухолей - быстрый инвазивный рост, склонность к рецидивам, метастазирование в легкие и кости.
Злокачественные опухоли слюнных желез
Могут возникать как первично, так и в результате малигнизации доброкачественных и промежуточных опухолей слюнных желез.
Карциномы и саркомы слюнных желез быстро увеличиваются в размерах, инфильтрируют окружающие мягкие ткани (кожу, слизистую оболочку, мышцы). Кожа над опухолью может быть гиперемирована и изъязвлена. Характерными признаками являются боли, парез лицевого нерва, контрактуры жевательных мышц, увеличение регионарных лимфоузлов, наличие отдаленных метастазов.
Основу диагностики опухолей слюнных желез составляет комплекс клинических и инструментальных данных. При первичном осмотре пациента стоматологом или онкологом производится анализ жалоб, осмотр лица и полости рта, пальпация слюнных желез и лимфатических узлов. При этом особое внимание обращается на локализацию, форму, консистенцию, размеры, контуры, болезненность опухоли слюнных желез, амплитуду открывания рта, заинтересованность лицевого нерва.
Для распознавания опухолевых и неопухолевых поражений слюнных желез проводится дополнительная инструментальная диагностика - рентгенография черепа, УЗИ слюнных желез, сиалография, сиалосцинтиграфия. Наиболее достоверным методом верификации доброкачественных, промежуточных и злокачественных опухолей слюнных желез является морфологическая диагностика - пункция и цитологическое исследование мазка, биопсия слюнных желез и гистологическое исследование материала.
С целью уточнения стадии злокачественного процесса могут потребоваться КТ слюнных желез, УЗИ лимфатических узлов, рентгенография органов грудной клетки и др. Дифференциальная диагностика опухолей слюнных желез проводится с лимфаденитом, кистами слюнных желез, сиалолитиазом.
Лечение опухолей слюнных желез
Доброкачественные опухоли слюнных желез подлежат обязательному удалению. Объем оперативного вмешательства определяется локализацией новообразования и может включать энуклеацию опухоли, субтотальную резекцию или экстирпацию железы вместе с опухолью. При этом обязательно проведение интраоперационного гистологического исследования для решения вопроса о характере образования и адекватности объема операции.
Удаление опухолей околоушных слюнных желез связано с опасностью повреждения лицевого нерва, поэтому требует тщательного визуального контроля. Послеоперационными осложнениями могут служить парез или паралич мимических мышц, образование послеоперационных слюнных свищей.
При раке слюнных желез в большинстве случаев показано комбинированное лечение - предоперационная лучевая терапия с последующим хирургическим лечением в объеме субтотальной резекции или экстирпации слюнных желез с лимфаденэктомией и фасциально-футлярным иссечением клетчатки шеи. Химиотерапия при злокачественных опухолях слюнных желез не находит широкого применения ввиду своей малой эффективности.
Хирургическое лечение доброкачественных опухолей слюнных желез дает хорошие отдаленные результаты. Частота рецидивов составляет от 1,5 до 35%. Течение злокачественных опухолей слюнных желез неблагоприятное. Полное излечение достигается в 20-25% случаев; рецидивы возникают у 45% пациентов; метастазы выявляются почти в половине случаев. Наиболее агрессивное течение отмечается при раке подчелюстных желез.
Рак слюнной железы
Слюнные железы вырабатывают слюну — жидкость, находящуюся в ротовой полости и выполняющую некоторые важные функции: смачивание слизистой оболочки, пищи, облегчение артикуляции, глотания, защиту от болезнетворных бактерий и пр. Выделяют две группы слюнных желез:
- Большие: подъязычные, околоушные, подчелюстные.
- Малые имеют микроскопическое строение, разбросаны по всей ротовой полости — всего их насчитывается несколько сотен.
Рак может развиваться во всех этих железах. Чаще всего (в 7 из 10 случаев) доброкачественные и злокачественные опухоли возникают в околоушных слюнных железах. Примерно 1-2 опухоли из десяти приходятся на подчелюстные слюнные железы, в 50% случаев они имеют злокачественный характер. В редких случаев рак развивается в подъязычной или мелких слюнных железах.
Причины рака слюнной железы и группы риска
Нормальная клетка слюнной железы становится раковой, когда в ней происходит определенный набор мутаций. К развитию злокачественных опухолей приводят мутации в онкогенах (гены, которые активируют размножение клеток) или генах-супрессорах опухолей (подавляют размножение клеток, «чинят» поврежденную ДНК, запускают запрограммированную клеточную смерть — апоптоз). В каждом конкретном случае судить о причинах произошедших в клетках мутаций очень сложно. Нельзя сказать, почему именно они произошли.
Выделяют некоторые факторы риска, повышающие вероятность развития злокачественной опухоли:
- Чем старше человек, тем больше накапливается изменений в его генах, тем выше вероятность развития различных типов рака.
- У мужчин рак слюнной железы бывает чаще, чем у женщин.
- Облучение головы. Например, это может быть ранее перенесенный курс лучевой терапии, воздействие ионизирующих излучений на рабочем месте.
- Есть данные о том, что риск рака слюнных желез повышен у людей, которые имеют определенные профессиональные вредности: контакт с асбестом, пылью сплавов никеля, работа на предприятиях, которые занимаются производством резины, деревообработкой.
Роль наследственности на данный момент считается незначительной. Большинство больных не имеют отягощенного семейного анамнеза (близких родственников, у которых был диагностирован тот же тип рака). Не доказана роль алкоголя и табака. Известно, что эти вредные привычки в целом повышают риск развития рака головы и шеи, но связь со злокачественными опухолями слюнных желез не обнаружена.
Опасен ли мобильный телефон? Во время одного исследования ученые обнаружили, что у активных пользователей сотовых телефонов чаще встречаются опухоли околоушной слюнной железы (как правило, доброкачественные). Но другие исследования такой взаимосвязи не выявили.
Симптомы заболевания
Доброкачественные и злокачественные опухоли слюнных желез проявляются сходными симптомами. Одно из главных отличий в том, что рак растет намного быстрее и чаще приводит к ряду симптомов, связанных с прорастанием в окружающие ткани, сдавлением нервов.
![]()
Нужно посетить врача, если вас стали беспокоить следующие симптомы:
- Появилось уплотнение или отек во рту, в области щеки, челюсти, шеи.
- Вы заметили, что ваше лицо стало асимметричным.
- Беспокоит боль во рту, в области шеи, уха, щеки, челюсти. Она долго не проходит.
- Онемение части лица.
- Слабость в мимических мышцах, из-за этого половина лица может быть «опущена», что становится особенно заметно при оскаливании зубов, нахмуривании бровей.
- Не получается широко открыть рот.
- Затруднение глотания.
Методы диагностики
Во время первичного приема врач-онколог беседует с пациентом, расспрашивает его, пытаясь выяснить факторы риска, проводит осмотр. Доктор ощупывает опухоль на лице и шейные лимфатические узлы, оценивает чувствительность лица и работу мимических мышц. После этого больной может быть направлен на дополнительную консультацию к ЛОР-врачу.
Компьютерная томография и магнитно-резонансная томография помогают оценить размеры, форму и расположение опухоли, обнаружить очаги в лимфатических узлах и других органах. В настоящее время золотым стандартом в поиске отдаленных метастазов является ПЭТ-сканирование. Если опухоль находится рядом с челюстью, проводят рентгенографию. Рентгенографическое исследование грудной клетки помогает обнаружить метастазы в легких, оценить состояние легких и сердца перед хирургическим лечением.
Самый точный метод диагностики рака слюнных желез — биопсия. Во время этой процедуры врач получает фрагмент патологически измененной ткани и отправляет в лабораторию для цитологического, гистологического исследования.
![]()
Чаще всего проводят тонкоигольную аспирационую биопсию. Опухолевую ткань получают с помощью полой иглы, напоминающей ту, что используют для инъекций. Если не удается получить нужное количество ткани, врач проводит инцизионную биопсию: делает разрез и удаляет часть опухоли.
Если в образце обнаружены опухолевые клетки, диагноз рака практически не вызывает сомнений.
Классификация: типы рака слюнной железы
Слюнные железы состоят из разных типов клеток, любые из них могут дать начало злокачественной опухоли. Поэтому тут встречаются разные типы рака:
- Мукоэпидермоидный рак слюнной железы — наиболее распространенная разновидность. Чаще всего он встречается в околоушных слюнных железах, реже — в подчелюстных и мелких. Эти опухоли редко бывают агрессивными.
- Аденоидная кистозная карцинома характеризуется очень медленным ростом и редким метастазированием. Однако, от этой злокачественной опухоли бывает очень сложно избавиться: она может рецидивировать спустя длительное время после лечения.
- Аденокарциномой называют злокачественную опухоль, которая развивается из железистых клеток. В слюнных железах могут возникать разные виды аденокарцином: ациноклеточный рак, полиморфная аденокарцинома низкой степени злокачественности, базальноклеточная аденокарцинома, светлоклеточный рак, цистаденокарцинома и др.
- К редким типам злокачественных раковых опухолей слюнных желез относят: плоскоклеточный рак, эпителиально-миоэпителиальную карциному, анапластическую мелкоклеточную карциному, недифференцированные карциномы.
Стадии заболевания
Рак слюнных желез, как и другие злокачественные опухоли, классифицируют по стадиям в соответствии с общепринятой системой TNM. Буква T в аббревиатуре обозначает характеристики первичной опухоли: размеры и степень ее прорастания в окружающие ткани, N — распространение в лимфатические узлы, M — наличие отдаленных метастазов. В зависимости от этих показателей, в течении рака слюнной железы выделяют следующие стадии:
- Стадия 0 — это «рак на месте» (карцинома in situ). Опухоль находится в пределах слоя клеток, которые образуют слюнную железу, и не прорастает в соседние ткани.
- Стадия I — опухоль, которая находится в пределах слюнной железы и имеет размеры не более 2 см.
- Стадия II — опухоль достигает размеров более 2 см, но не более 4 см.
- Стадия III — опухоль, которая достигает размеров более 4 см и/или распространяется в окружающие ткани, либо опухоль любого размера, которая проросла в окружающие ткани, распространилась в один шейный лимфатический узел на той же стороне, причем, очаг в лимфоузле не более 3 см и не распространяется за его пределы.
- Стадия IV включает подстадии IVA, IVB или IVC. Первые две характеризуются разной степенью распространения злокачественной опухоли в анатомические структуры головы, шеи, в лимфатические узлы. Если диагностирована стадия IVC, это означает, что имеются отдаленные метастазы.
![]()
Помимо стадий, выделяют три степени злокачественности рака слюнных желез:
- I степень — низкая степень злокачественности. Такие опухоли называют высокодифференцированными. Опухолевая ткань максимально похожа на нормальную ткань слюнных желез. Она медленно растет, и прогноз для таких пациентов наиболее благоприятен.
- II степень — это умеренно дифференцированные опухоли. Опухолевая ткань более существенно отличается от нормальной. Такой рак более агрессивен и отличается более плохим прогнозом.
- III степень — низкодифференцированные опухоли. Раковые клетки практически полностью утрачивают черты нормальных. Такие опухоли ведут себя наиболее агрессивно.
Определение степени злокачественности помогает врачу спрогнозировать, как будет вести себя рак, и правильно спланировать лечение.
Лечением пациента занимается команда врачей, в которую могут входить: клинический онколог, ЛОР-врач, онколог-хирург, челюстно-лицевой хирург, химиотерапевт, радиотерапевт и др. Программа лечения определяется стадией рака, гистологическим типом опухоли, ее локализацией (какая железа поражена), возрастом, общим состоянием и сопутствующими заболеваниями пациента.
![]()
Хирургия
Если опухоль не сильно проросла в окружающие ткани, то она является резектабельной, то есть ее можно удалить хирургическим путем. Задача хирурга — иссечь опухоль с захватом окружающих тканей так, чтобы на линии разреза не осталось раковых клеток, то есть обеспечить негативный край резекции. Если опухолевые клетки распространились в лимфатические узлы, или по данным биопсии диагностирован агрессивный рак, лимфоузлы также удаляют.
При раке околоушной слюнной железы хирургическое вмешательство представляет определенные сложности, потому что через железу проходит лицевой нерв, который контролирует работу мимических мышц. Если опухоль затрагивает только поверхностную долю железы, можно удалить ее отдельно — выполнить поверхностную паротидэктомию. При этом нет риска повредить лицевой нерв. В некоторых случаях приходится удалять всю железу, а если опухоль проросла в лицевой нерв — то и его.
При раке подъязычной и поднижнечелюстной железы хирург удаляет саму железу и часть тканей, расположенных вокруг нее, в том числе, возможно, костную ткань. В некоторых случаях приходится иссекать нервы, которые контролируют чувствительность, движения в нижней части лица, в языке, чувство вкуса.
При раке мелких желез удаляют пораженную железу и часть окружающих тканей. Объем операции зависит от размеров и расположения опухоли.
Лучевая терапия
Показания к применению лучевой терапии при злокачественных опухолях слюнных желез:
- Для борьбы со злокачественными опухолями, которые не могут быть удалены хирургическим путем в силу своего расположения или размеров. Иногда облучение дополняют курсами химиотерапии.
- После хирургического лечения. Такую лучевую терапию называют адъювантной, иногда ее сочетают с химиотерапией. Облучение после операции помогает уничтожить оставшиеся раковые клетки и предотвратить рецидив.
- При запущенном раке. В данном случае лучевая терапия направлена на борьбу с болью, нарушением глотания, кровотечением и другими симптомами.
Обычно облучение проводят пять дней в неделю в течение 6-7 недель. Если лучевую терапию применяют в паллиативных целях, курс будет короче.
Химиотерапия
Химиотерапию применяют при злокачественных новообразованиях слюнных желез довольно редко. Противоопухолевые препараты могут уменьшить размеры опухоли, но не способны полностью ее уничтожить. Чаще всего их назначают при запущенном раке в качестве паллиативного лечения или в дополнение к лучевой терапии.
В зависимости от типа и других характеристик рака, врач может назначить комбинации разных химиопрепаратов: карбоплатина, цисплатина, 4-фторурацила, доксорубицина, паклитаксела, циклофосфамида, винорелбина, доцетаксела, метотрексата.
Химиотерапию при раке всегда проводят циклами. Пациенту вводят препарат, потом делают «передышку» в течение нескольких дней. Курс лечения может состоять из нескольких циклов.![]()
Реабилитация
После лечения могут сохраняться некоторые проблемы, связанные с повреждением нервов: нарушение функции мимической мускулатуры лица, расстройства речи, глотания, косметические дефекты. Некоторые побочные эффекты химиопрепаратов и лучевой терапии проходят после завершения терапии, а другие сохраняются в течение длительного времени. В таких случаях показаны курсы реабилитации. Врач составляет программу восстановительного лечения индивидуально, в зависимости от тяжести и характера расстройств.
Осложнения и рецидивы
Даже если лечение завершилось успешно, и по результатам обследования в организме пациента не обнаруживаются признаки присутствия раковых клеток, в будущем может произойти рецидив. Поэтому нужно регулярно наблюдаться у врача-онколога, приходить на осмотры, проходить различные исследования и сдавать анализы.
Обычно доктор назначает осмотры раз в несколько месяцев в течение нескольких лет, затем — реже.
- Если произошел рецидив рака, варианты лечения могут быть разными:
- Если опухоль может быть удалена, выполняют хирургическое вмешательство с последующим курсом лучевой терапии.
- Если опухоль не получается удалить хирургически, врач назначает лучевую терапию в сочетании с химиотерапией.
- Если имеются отдаленные метастазы, основным методов лечения становится химиотерапия. Лучевую терапию и хирургическое лечение можно использовать для борьбы с некоторыми симптомами.
При запущенном раке с метастазами достижение ремиссии становится крайне маловероятным. В таком случае лечение будет направлено на замедление прогрессирования рака, борьбу с симптомами, продление жизни больного.
Врачи «Евроонко» берутся за лечение рака на любой стадии. Для нас не существует безнадежных пациентов. Всегда можно помочь, и мы знаем, как это правильно сделать, у нас есть все необходимые технологии, препараты последнего поколения.
Прогноз жизни при разных стадиях рака и профилактика
Прогноз для онкологических больных принято измерять показателем пятилетней выживаемости. Это процент пациентов, которые остались живы в течение пяти лет после того, как у них была диагностирована злокачественная опухоль.
Пятилетняя выживаемость на разных стадиях при злокачественных опухолях слюнных желез составляет:
- Локализованный рак (не распространился за пределы слюнной железы — 0, I и II стадии) — 93%.
- Рак, распространившийся в окружающие ткани и лимфатические узлы (стадии III, IVA и IVB) — 67%.
- Рак с метастазами (стадия IVC) — 34%.
Злокачественные опухоли в слюнных железах бывают разными, поэтому важно понимать, что это средние цифры, они зависят от типа рака и степени его агрессивности. Кроме того, эти цифры рассчитаны на основании данных о пациентах, у которых заболевание было диагностировано 5 лет назад и раньше. Но онкология развивается, возможности врачей постоянно растут. Поэтому больные, которые проходят лечение сейчас, могут иметь лучший прогноз.
Специальных методов профилактики не существует. Нужно в целом вести здоровый образ жизни, своевременно обращать внимание на подозрительные симптомы и обращаться к врачу.
Рак слюнных желез
![Рак слюнных желез]()
Рак слюнных желез - это опасная для жизни опухоль органов, производящих слюну - жидкость, которая смазывает пищу и запускает процесс ее переваривания, а также предотвращает инфекции рта и горла.
Такие новообразования называют злокачественными, поскольку их клетки бесконтрольно размножаются, прорастают в окружающие ткани и поражают органы, находящиеся далеко от основного очага заболевания.
Как развивается рак слюнной железы?
Онкология начинается с появления в организме всего лишь одной измененной клетки, отличающейся от здоровых. Она становится такой из-за различных заболеваний и воздействия некоторых химических веществ, размножается, создает множество своих копий и создает опухоль. Большинство таких клеток выявляет и уничтожает иммунитет, но некоторым из них удается избежать внимания нашей естественной защиты или противостоять ей.
Кроме того, у них есть особые свойства - они способны перемещаться по телу с помощью кровеносной и лимфатической Лимфатическая система дополняет сердечно-сосудистую. Циркулирующая в ней лимфа - межклеточная жидкость - омывает все клетки организма и доставляет в них необходимые вещества, забирая отходы. В лимфатических узлах, выполняющих роль «фильтров», опасные вещества обезвреживаются и выводятся из организма. систем. Кровь и лимфа переносят их в другие органы, где они закрепляются и создают метастазы - дополнительные очаги заболевания.
Такие новообразования постепенно увеличиваются, разрушают все расположенные рядом с ними ткани и нарушают их работу.Что такое слюнные железы и как их поражает рак?
Эти важнейшие органы производят слюну - жидкость, которая не просто увлажняет наши слизистые, но и содержит ферменты - белки, запускающие процесс переваривания пищи. Кроме того, в них есть особые вещества, помогающие предотвращать развитие инфекций во рту и в горле.
На каждой из сторон нашего лица есть по 3 набора крупных желез:- Самые большие: околоушные - находятся перед ушами. В них развивается до 7 из 10 опухолей, большая часть которых является доброкачественными, то есть не раковыми - они не прорастают в ближайшие ткани и не создают метастазов - дополнительных очагов заболевания в других тканях.
- Подчелюстные - расположены под нижней челюстью. Они выделяют слюну под язык. В них возникает примерно 1-2 из 10 новообразований, около половины из которых относится к злокачественным Злокачественными называют опухоли, клетки которых бесконтрольно размножаются, разрушают окружающие ткани и создают метастазы - дополнительные новообразования в других органах, расположенных далеко от основного очага заболевания .
- Самые маленькие: подъязычные - находятся под полостью рта с двух сторон от языка. В них онкология начинается довольно редко.
- Кроме вышеперечисленных, есть несколько сотен небольших слюнных желез, рассмотреть которые можно только под микроскопом. Они находятся под слизистой оболочкой губ и языка, в нёбе, внутри щек, носа и гортани. Опухоли в них встречаются не часто, но подавляющая их часть относится к раковым.
![Слюнные железы1.jpg]()
Типы опухолей слюнных желёз
Почти все возникающие в данных органах новообразования - доброкачественные, то есть не имеют отношения к онкологии, не распространяются на другие части тела. Большинство из них лечатся хирургически и крайне редко представляют опасность для жизни - как правило, их перерождение происходит при длительном отсутствии терапии или повторном разрастании после частичного удаления. Механизм и принципы такого превращения врачам на сегодняшний день не известны.
Меньшая часть опухолей относится к злокачественным, способным разрушать ткани, в которые прорастают, и создавать метастазы - дополнительные очаги заболевания в других органах:
- Наиболее распространенный их вид - мукоэпидермоидный рак, чаще всего начинающийся в околоушных железах. Как правило, он медленно растет и хорошо поддается лечению.
- Аденоидная кистозная карцинома: обычно развивается не быстро, но способна рецидивировать - возникать повторно после проведенной терапии, в том числе через много лет. Прогнозы выздоровления в немалой степени зависят от размеров опухоли - чем она меньше, тем лучше перспективы.
- Множество подвидов аденокарциномы: образуются в клетках железы, выделяющих различные вещества. Медленно растут, но появляются в более молодом возрасте, чем другие типы онкологии.
Редкие виды злокачественных опухолей:
- Плоскоклеточный рак: встречается в основном у пожилых мужчин. Прогнозы у его обладателей неблагоприятны.
- Эпителиально-миоэпителиальная карцинома: обычно медленно увеличивается, но может рецидивировать - возвращаться после проведенного лечения, и распространяться на другие части тела.
- Анапластическая мелкоклеточная карцинома: чаще всего развивается в малых слюнных железах, быстро разрастается, а ее клетки похожи на те, из которых состоят нервы.
- Недифференцированные карциномы: часто быстро распространяются и плохо поддаются терапии, а перспективы у пациентов с подобным диагнозом, как правило, плохие.
Помимо вышеперечисленных, в данных органах могут развиваться другие виды онкологии:
- Неходжкинские лимфомы: образуются в клетках иммунной системы желез, ведут себя и лечатся не так, как как прочие виды опухолей. : возникают в клетках кровеносных сосудов, мышц и соединительной ткани.
- Вторичный рак: начинается в иных органах и распространяется на слюнные железы.
Причины развития рака слюнных желез
Врачам и ученым не известны точные причины возникновения данного заболевания - они знают только о факторах, способных привести к наступлению этого события.
- К ним относят воздействие радиации, в том числе полученной на рабочем месте или в результате лучевой терапии при лечении других видов опухолей.
- Возраст: чем старше человек, тем выше его риски.
- Пол: этот тип опасных новообразований у мужчин встречается чаще, чем у женщин.
- Семейный анамнез: кровные родственники тех, у кого уже есть подобный диагноз, имеют больше шансов стать пациентом онколога.
Некоторые исследования показали, что спровоцировать развитие рака могут частый контакт с кремнеземом и асбестом, вредные привычки - алкоголь и курение, диета с низким содержанием овощей и высоким - животных жиров. Кроме того, по не полностью подтвержденным данным, чаще заболевают работники деревообрабатывающих и резиновых производств, а также люди, взаимодействующие с определенными металлами, в том числе с пылью никелевого сплава. Эту информацию нельзя назвать абсолютно точной, поскольку опасные опухоли слюнных желез встречаются довольно редко, что затрудняет их изучение.
![Признаки и симптомы рака слюнных желез]()
Признаки и симптомы рака слюнных желез
Симптомы заболевания часто бывают вызваны повреждением важных нервов и других структур, которые проходят через слюнные железы или рядом с ними. К возможным признакам рака относят:
- Шишки, опухоли или припухлости во рту, щеке, челюсти или шее.
- Онемение части лица.
- Не проходящая боль во рту, щеке, челюсти, ухе или шее.
- Слабость мышц на одной стороне лица.
- Незаживающие язвы во рту.
- Болевые ощущения при попытке широко открыть рот.
- Отток жидкости из уха.
- Изменение размеров либо формы левой или правой сторон лица и шеи.
- На поздних стадиях заболевания нередко появляются проблемы с глотанием.
Многие из вышеперечисленных симптомов могут быть вызваны доброкачественными опухолями - не опасными для жизни и не распространяющимися по организму, либо другими состояниями. Тем не менее, при появлении любых из них необходимо как можно раньше обратиться к врачу, который определит причину такого состояния и назначит лечение.
Диагностика рака слюнных желез
Обследование - очень важный момент для любого пациента, поскольку в его ходе врачи не просто обнаруживают заболевание. Они выясняют, насколько далеко измененные клетки успели распространиться по организму, какие ткани повредили, и какое лечение лучше всего подходит каждому конкретному человеку.
Специалисты «Лапино-2» проводят полную диагностику и любое лечение рака слюнных желез без очередей и задержек.
У нас есть целая команда профессионалов своего дела с огромным опытом в области выявления и борьбы с онкологией.
Мы качественно выполняем все необходимые исследования и анализируем их результаты, а нашим пациентам не приходится терять время на посещение различных медицинских организаций и пересдачу анализов.Обследование начинается с опроса о самочувствии, симптомах, времени их появления, а также факторах риска - наличии больных раком родственников или работе на опасных производствах. Затем проводится тщательный осмотр рта, лица, шеи и челюсти, после чего назначается целый ряд исследований:
- Рентген: позволяет увидеть повреждения челюсти, зубов и легких.
- Компьютерная томография, КТ - создание четкого изображения внутренних тканей для оценки размеров, формы и расположения опухоли, а также поиска измененных клеток в лимфатических узлах.
- Магнитно-резонансная томография, МРТ - получение подробной «картинки» тканей с помощью радиоволн и сильных магнитов. Метод помогает определять местонахождение и точные габариты новообразования, и выявлять поражение лимфоузлов или других органов.
- Позитронно-эмиссионная томография, ПЭТ: используется для обнаружения скоплений раковых клеток во всем организме. Перед исследованием человек принимает специальное вещество - радиоактивный сахар, который накапливается в измененных клетках. При ПЭТ-сканировании не создается очень четкого изображения тканей, получаемого в ходе КТ или МРТ, но благодаря ему специалист может заметить все очаги онкологии в теле. Данная процедура обычно назначается при подозрении на присутствие метастазов - дополнительных опухолей в других тканях, расположенных далеко от слюнных желез.
- Симптомы и результаты обследования могут убедительно говорить о наличии заболевания, но фактический диагноз ставится только по результатам биопсии - забора небольшого количества измененной ткани. Как правило, пробы собираются с помощью тонкой иглы, которую вводят непосредственно в новообразование после предварительного обезболивания. Если данный метод не позволяет получить достаточное количество клеток, хирург делает небольшой разрез скальпелем и удаляет крошечную область опухоли. Материал передается в лабораторию, где специалист тщательно изучает клетки и определяет, являются ли они онкологическими. К сожалению, даже биопсия не всегда может дать четкий ответ, есть ли у пациента рак. В таких случаях доктор может провести операцию по полному удалению подозрительного очага и подтвердить либо опровергнуть правильность своих выводов после вмешательства.
- Анализы крови, мочи и кала: назначаются не для выявления опасных для жизни новообразований, а для оценки состояния организма пациента и качества работы его органов.
Во время лабораторного исследования обязательно устанавливается степень дифференцировки опухоли - отличие ее клеток от здоровых. Такие данные позволяют специалистам представлять возможную скорость развития новообразования и сложность его лечения:
G1 - высокодифференцированная: ее клетки очень похожи на здоровые, они медленно растут и хорошо поддаются терапии.
G2 - среднедифференцированная: они заметно отличаются от нормальных.
G3 - низкодифференцированная: клетки не похожи на здоровые, быстро размножаются, распространяются по телу и плохо реагируют на лечение.Стадии рака слюнных желез
После выявления рака врачи определяют его стадию - выясняют, насколько далеко измененные клетки распространились по организму и какие ткани успели повредить. Такая информация необходима специалистам для понимания примерных прогнозов пациента и составления индивидуального плана лечения, лучше всего подходящего в каждом конкретном случае.
Стадирование проводится по международной системе TNM, каждая буква которой имеет свое значение:
- «Т» описывает размеры основной опухоли и ее разрастание в ближайшие к ней ткани;
- с помощью «N» указывают количество пострадавших от онкологии лимфатических узлов;
- «М» используется для указания наличия (М1) или отсутствия (М0) метастазов - дополнительных очагов заболевания в других органах, расположенных далеко от слюнных желез.
0 стадия, карцинома in situ: измененные клетки присутствуют только в ткани, выстилающей слюнные протоки, по которым секрет желез выходит в ротовую полость.
I стадия: размеры опухоли не превышают 2 сантиметров.
II стадия: новообразование диаметром от 2 до 4см. Другие органы здоровы.
III стадия: опухоль крупнее 4см и/или она успела повредить расположенные рядом с ней мягкие ткани; либо очаг любого размера, а его клетки повредили 1 лимфатический узел, находящийся на той же стороне головы или шеи.
IVА стадия:- новообразование любого размера проросло в ближайшие структуры - кость челюсти, кожу, слуховой проход или лицевой нерв, и повредило 1 лимфоузел, увеличившийся не более чем до 3см;
- либо в 1 или нескольких лимфатических узлов обнаружены опухоли размером до 6см.
- от онкологии пострадал 1 или несколько лимфоузлов, размер которых превышает 6см, либо новообразование вышло за их пределы;
- или заболевание распространилось на другие структуры, такие как основание черепа и другие ближайшие кости, либо разрослось вокруг сонной артерии - сосуда, который обеспечивает приток крови к мозгу.
IVС стадия: опухоль любого размера создала метастазы - дополнительные очаги заболевания в органах или тканях, расположенных далеко от слюнных желез - например, в легких.
![Лучевая терапия]()
Лечение рака слюнных желез
Борьба с опасной для жизни опухолью - задача не из легких. Для ее решения необходимо участие множества различных специалистов: онколога, хирурга, химиотерапевта, радиолога и других. Крайне важно, чтобы все они работали сообща и своевременно обменивались информацией, поскольку только такой подход позволяет учесть все особенности пациента.
В онкологическом центре «Лапино-2» есть целая команда профессионалов своего дела с огромным опытом в области диагностики и терапии любого типа рака.
Наши врачи - кандидаты и доктора медицинских наук, постоянно совершенствующие свои знания и навыки.
Мы используем только самое современное оборудование и оригинальные препараты, дающие предсказуемый результат.
Специалисты нашей клиники предлагают каждому пациенту индивидуальное лечение и составляют четкий план, следуя которому можно получить лучший результат из возможных.Для борьбы с данным типом новообразований применяется несколько методов.
Часто основным из них становится хирургия. С помощью операции можно полностью удалить опухоли, которые не успели серьезно повредить ближайшие структуры. Успех процедуры в немалой степени определяется опытом и навыками врача, в том числе потому, что рядом со слюнными железами проходят нервы, отвечающие за движения языка, контроль лицевых мышц и вкусовые ощущения. В ходе процедуры орган и окружающие его здоровые ткани изымаются для того, чтобы в организме не осталось ни одной измененной клетки. В некоторых случаях приходится удалять и лимфоузлы.Лучевая терапия - уничтожение раковых клеток с помощью радиации.
Метод может применяться:Химиотерапия - уничтожение неправильных клеток специальными препаратами, которые вводятся в сосуды или принимаются как обычные таблетки. Они попадают в кровь и вместе в ней распространяются по всему телу, благодаря чему работают против всех очагов заболевания. Чаще всего такие лекарства назначаются для пациентов с метастазами - дополнительными новообразованиями в отдаленных органах. «Химия» может уменьшить опухоль, но самостоятельно вылечить данный тип рака не способна. Некоторые вещества повышают эффективность лучевой терапии и упрощают разрушение измененных клеток радиацией. Такая терапия назначается курсами, после которых обязательно следует период отдыха, позволяющего организму восстанавливаться. Как правило, подобные циклы длятся от 3 до 4 недель. Для борьбы с онкологией слюнных желез обычно используют такие препараты, как Цисплатин, Карбоплатин, Доксорубицин, 5-фторурацил, Циклофосфамид, Паклитаксел, Доцетаксел, Винорелбин и Метотрексат.
Прогнозы и выживаемость при раке слюнных желез
Прогнозы каждого пациента индивидуальны - на них влияет большое количество факторов: возраст, общее состояние здоровья, тип рака, его стадия и ответ на лечение.
Врачи представляют примерные прогнозы, ориентируясь на данные «пятилетней выживаемости» - показателя, который ничего не говорит о шансах конкретного человека. Он представляет из себя статистические данные - количество людей, оставшихся в живых в течение 5 или больше лет с даты выявления заболевания.
Для рака слюнных желез эта цифра составляет:
- на локализованных этапах, пока опухолевые клетки не успели выйти за пределы железы он равен примерно 95%;
- на региональных, при распространении новообразования на ближайшие органы или лимфоузлы - около 69%;
- при возникновении в организме метастазов - дополнительных очагов заболевания в тканях, находящихся далеко от слюнных желез, например, в легких - 44%.
Важно отметить, что вышеуказанные числа относятся только к той стадии, на которой заболевание удалось обнаружить впервые. Они не применимы при рецидиве - повторном развитии новообразования, а также его разрастании после проведенного лечения.
Кроме того, показатель не учитывает важнейшие моменты, которые очень сильно влияют на прогноз: возраст, общее состояние здоровья человека и его ответ на терапию.
Читайте также:
- Прямая лимфография. Измерение тонуса сфинктера прямой кишки. Сфинктеротонометрия.
- Динамика нарушений нозогнозии. Активность патологического процесса
- Изменение бронхиального секрета при воспалении.
- Отек Квинке (ангионевротический отек): причины, симптомы и лечение
- Десквамативный глоссит. Срединный ромбовидный глоссит. Волосатый язык.










