КТ при радиационном нефрите
Добавил пользователь Alex Обновлено: 03.11.2025
При визуализации картина при пиелонефрите или абсцессе почки схожа с картиной при опухоли, поэтому результаты анамнеза, осмотра и других клинических данных помогают радиологу в постановке правильного диагноза. В представленном случае визуализируются гиподенсные образования в обоих почках. Если диагноз базировать только, исходя из данных изображения, то напрашивается следующий дифференциальный ряд: пиелонефрит, лимфома или метастаз.
Данный пациент поступил с жалобами на боль в боку и с анамнезом воспалительного поражения мочевыводящих путей, также у пациента отрицательный онкологический анамнез, поэтому диагноз — пиелонефрит.
На КТ спустя 4 месяца визуализируются нормальные почки. На первом изображении патологическая картина обусловлена мультифокальным пиелонефритом.

Абсцесс почки является осложнением острого пиелонефрита. Обычно у данных пациентов лихорадка, боль и в анамнезе инфекция мочевыводящих путей. 
На КТ абсцесс визуализируется, как неспецифическое однородное гиподенсное образование или комплекс кистозных образований.

Почечный абсцесс также может визализироваться, как образование с утолщённой стенкой неравномерно контрастирующееся с прорастанием в околопочечную клетчатку. 
У пациентов с атипичной клинической картиной и кистозно-комплексного образование с прорастанием в околопочечную клетчатку в дифференциальный ряд следует включить почечно-клеточный рак.

Этот пациент типичный поступил с болью в правом боку и изменениями в лабораторных данных, характерные для инфекции мочевыводящих путей. 
На ультразвуковом изображении визуализируется гипоэхогенный очаг с гиперэхогенным включением, что соответствует на жидкостное включение. 
Диагноз — абсцесс.

Ксантогранулематозный пиелонефрит. 
Ксантогранулематозный пиелонефрит (КП) — это агрессивная форма интерстициального нефрита, включающая гнойно-деструктивный и пролиферативный процессы в почке с образованием гранулематозной ткани. Часто патология ассоциирована с мочекаменной болезнью, что приводит к дополнительной дилатации чашки. В таких ситуациях почка чаще диффузно увеличена, реже сегментарно.

Увеличение почек присутствует во всех случаях ксантогранулематозного пиелонефрита и при макроскопическом исследовании выявляются включения жира. Ниже представлен ещё один случай ксантогранулематозного пиелонефрита. У пациента деструкция правой почки, множественные конкременты и пролиферация фиброзной и жировой ткани. Данная КТ очень напоминает липосаркому.
КТ-дифференциальный диагноз при образованиях почки.
Большинство образований почки встречаются в практике, как случайные находки, из которых часть является почечно-клеточная карцинома. Задачей диагностики является дифференцировка доброкачественного и злокачественного образования почки, хотя во многих случаях это не представляется возможным.
В данной статье рассмотрены радиологические находки характерные для доброкачественных и злокачественных образований почки.

Алгоритм анализа при выявлении образования почки:
- определить кистозное образование или нет?
 - если данное образование не кистозное — определите есть ли макроскопические включения жира, что в большей степени соответствует ангиомиолипоме.
 - исключить рак почки, маскирующийся под инфаркт или инфекционное поражение, у пациентов с различными клиническими проявлениями.
 - исключить лимфому или метастатическое поражение почек. Метастазирование в почки (менее 1%) и поражение почек при лимфоме (0,3%) — это редкость и свидетельствует о тотальном распространении заболевания.
 
Вы еще много раз столкнетесь с тем, что после выполнения данного алгоритма вы не придете к окончательному диагнозу, а на первом месте дифференциального ряда — почечно-клеточная карцинома.
Затем оцените КТ и МРТ-изображения и ответьте на вопрос, что больше соответствует доброкачественному образования почки, а что злокачественному выделив из этой группы признаки низкодифференцируемой опухоли и высокодифференцируемой почечно-клеточной карциномы.

КТ
Гиперденсное образование на бесконтрасном КТ.
Образование с плотностью выше 70HU на нативном (бесконтрастном) КТ-изображении является геморрагическая киста. Геморрагические кисты также могут быть с плотностью ниже, чем 70HU, но в данном случае должен осуществлен контроль за образованиями на пост-контрастных изображениях. Если на пост-контрастных изображениях отсутствует контрастное усиление, то, следственно, подтверждается кистозное происхождение образование.
Макроскопическое включение жира в образовании почки плотностью 20HU явный признак ангиомиолипомы. Тонкие срезы лучше при исследовании плотности. К сожалению 5% ангиомиолипом макроскопический жир не содержат. КТ-картина данных ангиомиолипом неотличимо схожа с почечно-клеточной карциномой. Как ни странно, но почечно-клеточная карцинома в некоторых случаях также содержит жир. При включениях жира и кальцификатов в образование почки дифференциальный диагноз должен склонятся в сторону почечно-клеточной карциномы.
Сомнительное усиление на 10-20HU псевдо-усиление в кисте, как результат увеличения жесткости излучения. МРТ в данных случаях является отличным методом в дифференциальном диагнозе. Сомнительное усиление также характерно для папиллярной карциномы почки, для которой характерно слабое усиление и которая менее агрессивная опухоль, чем светлоклеточная карцинома.
Гомогенное усиление, а также ослабление (> 40 HU) на нативных снимках в большей степени характерны для ангиомиолипомы с малым содержанием жира, хотя почечно-клеточную карциному нельзя также исключать.
Сильное усиление визуализируется при светло-клеточной карциноме, ангиомиолипомах с малым содержанием жира и онкоцитомах. Светло-клеточная карцинома встречается чаще, чем онкоцитома и ангиомиолипома с малым содержанием жира, поэтому диагноз карциномы ставится чаще в особенности в тех случаях, когда образование гетерогенное и больших размеров.
Нефрит

Воспалительный процесс в почках может иметь вялотекущий характер и практически не проявлять себя, но чаще о патологии свидетельствует целый набор характерных симптомов. Болезнь получила название «нефрит», различные виды которого сегодня детально изучены и описаны в медицинской литературе. Воспаление может затронуть ткани одной или обеих почек, что уточняется в процессе диагностики. Практический опыт лечения болезни «нефрит» позволяет рассчитывать на стойкие и продолжительные результаты. Особенно если пациент своевременно обратится за медицинской помощью и будет строго выполнять предписания специалиста.
Виды нефритов
В зависимости от локализации воспалительного процесса различают:
- Гломерулонефрит - воспаление в области почечных клубочков. Заболевание носит аутоиммунный характер.
 - Пиелонефрит, или нефрит почек - поражение почечной ткани и лоханок.
 - Наследственный нефрит - заболевание, первые симптомы которого обнаруживаются в детском возрасте.
 - Интерстициальный нефрит - воспаление в области почечных канальцев, вследствие чего нарушается проводящая функция почек.
 - Лучевой нефрит - воспалительный процесс вследствие облучения организма или прохождения курса лучевого лечения.
 
Комплексная диагностика организма пациента позволяет точно выявить участок локализации воспаления и принять меры по замедлению его распространения и постепенному угасанию.
Причины

Основная причина заболевания - проникновение инфекции в ткани почек и мочевыводящих путей извне или из другого органа, где наблюдается воспалительный процесс на той или иной стадии. Запустить инфекционный процесс могут:
- Недавно перенесенные инфекционные заболевания, полностью уничтожить возбудителей которых не удалось.
 - Регулярное переохлаждение организма.
 - Сбои в работе иммунной системы, ее угнетенное состояние вследствие оперативного вмешательства или тяжелого заболевания.
 - Нарушение процесса кровоснабжения почек.
 - Застой мочи, химическая среда которых благоприятна для развития патогенных микроорганизмов.
 
В зависимости от длительности течения и характера заболевания различают острый и хронический нефрит. Первый тип заболевания чаще возникает вследствие приема «агрессивных» лечебных препаратов: антибиотиков, противовоспалительных средств, иммунодепрессантов и мочегонных составов, анальгетиков и лекарств, подавляющих возбудителей вирусных и бактериальных заболеваний. Негативная реакция почек на принимаемое средство становится основной причиной воспаления, особенно у пожилых пациентов и лиц с застойными явлениями в организме.
Хронический нефрит возникает вследствие длительного течения острой стадии заболевания и отсутствия грамотного лечения. Ситуацию ухудшает неконтролируемый прием лекарственных средств и наличие в организме очагов онкологических заболеваний. Если точно установить причину воспаления почек не представляется возможным, пациенту ставится диагноз «идиопатический нефрит», а курс лечения разрабатывается в строго индивидуальном порядке.
Симптомы нефрита

На воспалительный процесс в почках с высокой долей вероятности указывают следующие признаки:
- повышение температуры тела до 40⁰С;
 - ломота в мышцах и боль в пояснице;
 - отечность лица и конечностей;
 - потемнение мочи;
 - снижение количества мочеиспусканий в течение суток.
 
В группе риска - дети и молодые мужчины, воспалительный процесс у которых развивается достаточно быстро и часто приобретает опасный характер.
Возможные осложнения
При отсутствии своевременного лечения нефрит может дать следующие побочные эффекты:
- почечную эклампсию;
 - заражение крови;
 - уремию;
 - острую почечную недостаточность;
 - нагноение тканей почек.
 
Быстрое течение заболевания на фоне побочных эффектов может привести к необратимым последствиям в организме и вызвать летальный исход.
Диагностика
Схожесть симптомов нефрита с признаками гриппа и ОРВИ заставляет специалистов прибегнуть к методам дифференцированной диагностики. Подтвердить предположение врачей по поводу воспаления в области почек могут следующие способы диагностики нефрита:
- и биохимический анализ крови;  
 - бактериологический посев мочи; , исследование по Зимницкому и Нечипоренко; с эффектом контрастной подсветки (допплерометрии); , мониторинг артериального давления;
 - иммунологические исследования;
 - радиоизотопный метод диагностики воспалительных заболеваний.
 
В редких случаях, если результаты анализов вызывают сомнения, принимается решение о биопсии тканей почек. Часто к осмотру привлекают сторонних специалистов других областей медицины: ЛОР-врача, гинеколога, стоматолога, инфекциониста и т.д. Их участие в обследовании позволяет точно назвать причину заболевания и выявить источник инфекции, скрытый внутри организма.
Лечение

- Прием препаратов для устранения причин воспаления. Хороший эффект дает курс антибиотиков, противовирусных препаратов, процедуры гемосорбции и плазмафореза для уничтожения возбудителя заболевания в крови пациента.
 - Блокирование путей развития воспалительного процесса и его распространения по организму. Эффект достигается благодаря приему гормональных препаратов, антигистаминных составов, лекарственных средств для активизации кровообращения в тканях почек.
 - Симптоматическое лечение, позволяющее облегчить состояние пациента. В курс включают водно-электролитные капельницы, проводится контроль суточного мочевыделения, кишечный или гемодиализ, позволяющий вывести из организма продукты обмена веществ.
 
Обязательным условием успешного лечения является диета при нефрите, основные требования которой - сокращение количества соли в рационе и ограничение объема жидкости до уровня 700-800 мл в зависимости от веса тела пациента. Лечение проходит под строгим наблюдением врача, а его содержание корректируется по мере изменения показателей мониторинга и появления признаков выздоровления.
Диагностика и лечение нефрита в Москве
Клиника АО «Медицина» приглашает пациентов с подозрением на нефрит для прохождения комплексного обследования и курса лечения. Все необходимые услуги можно получить на базе центра, что избавит больного от необходимости записываться на анализы и подолгу ждать своей очереди. Каждому пациенту гарантирована конфиденциальность, внимательное и радушное отношение, возможность пройти осмотр и получить консультации других профильных специалистов, а также качество и безопасность предлагаемых лечебных процедур. Записаться на первичный прием можно по указанному телефону или через сайт клиники, оформив соответствующую заявку.
Вопросы и ответы
Какие симптомы указывают на развитие нефрита?
О воспалительном процессе в почках свидетельствует повышение температуры тела до 40⁰С, озноб и головная боль, неприятные ощущения в мышцах и ломота. Перечисленные симптомы напоминают грипп и острую стадию инфекционных заболеваний. Предположение о патологии в почках врач может сделать на основании потемнения мочи и снижения частоты мочеиспускания, а также болевых ощущениях в области почек.
Как проводится диагностика нефрита?
При подозрении на воспаление почек пациент направляется на комплексное обследование. Обязательным является анализ мочи по различным параметрам, общий и биохимический анализ крови. Уточнить состояние почек позволяет ультразвуковое и радиоизотопное исследование, а также биопсия тканей в предположительной области воспаления. Основная цель диагностических мероприятий — выявить причины и пути распространения инфекции внутри организма.
Существуют ли методы профилактики воспалительных заболеваний почек?
Полностью избежать риска воспалительного процесса можно при условии своевременного лечения заболеваний внутренних органов и инфекционных процессов, заботы о своем здоровье, ношения одежды по сезону и исключения случаев возможного переохлаждения. При первых признаках недомогания следует как можно раньше обратиться за квалифицированной медицинской помощью и полностью отказаться от любых попыток самолечения.
Доза облучения при КТ

Компьютерную томографию проводят с использованием ионизирующих потоков. Особенностью процедуры является лучевая нагрузка на организм пациента. Метод применяют в диагностике состояния центральной нервной, костно-мышечной системы, заболеваний внутренних органов. Разовая доза облучения при КТ головного мозга, позвоночника, грудной клетки, брюшной полости и других анатомических зон не наносит ощутимого вреда здоровью пациента.

Органы малого таза (мужского) на томограммах (аксиальная проекция)
Компьютерная томография является одним из наиболее информативных способов сканирования. Внутренние структуры частично поглощают рентгеновские лучи, что дает возможность получить данные о плотности и однородности сканируемых анатомических образований. В результате диагностической процедуры аппарат выдает серию послойных фотографий, выполненных на заданной глубине. Ширина шага томографа начинается от 1 мм.
Сканирование проводят в аксиальной плоскости. С помощью компьютерной программы врач достраивает фронтальную и сагиттальную проекции. Для уточнения локализации, размеров пораженного участка и определения взаимного расположения анатомических структур реконструируют трехмерное изображение изучаемой области.
Доза облучения при нативной процедуре
Сканирование проводят с помощью томографа - сложного устройства, которое просвечивает заданную зону узким пучком рентгеновских лучей. Специальные датчики фиксируют степень рассеивания потока, полученную информацию оцифровывают и транслируют на монитор компьютера.
Интенсивность лучевой нагрузки во время КТ зависит от ряда факторов:
- зоны исследования;
 - настроек аппарата;
 - площади сканирования;
 - типа оборудования;
 - продолжительности сеанса и пр.
 
Современные аппараты позволяют сократить время сканирования. Томограф состоит из гентри, транспортера, программного оборудования. Сканирующая система представлена рентгеновскими трубками и датчиками, закрепленными в кольцевой части.

КТ грудной клетки
Во время мультиспиральной компьютерной томографии (МСКТ) стол с пациентом перемещается в горизонтальной плоскости через гентри. Излучатели и детекторы вращаются вокруг транспортера, обеспечивая спиральное сканирование рассматриваемой области.
За полный оборот томограф делает фотографии нескольких (2, 8, 16 и более) срезов. МСКТ позволяет получить необходимое количество снимков за меньший промежуток времени, что помогает снизить лучевую нагрузку.
В медицине для рентгенологических исследований ввели понятие эффективной дозы. Под данной величиной подразумевают меру риска появления негативных последствий облучения тела человека, отдельных органов и тканей. Дозу радиации измеряют в миллизивертах (мЗв). В среднем за одно нативное обследование пациент получает от 1 до 15 мЗв. Допустимая нагрузка составляет:
- до 50 мЗв в год для медицинского персонала кабинетов лучевой диагностики и терапии;
 - до 20 мЗв для больных, проходящих компьютерную томографию.
 
Эффективные дозы рентгеновского излучения прописаны в СанПиН. Расчет средних чисел проводят с помощью формул, которые учитывают возраст, антропометрические данные пациента, особенности зоны исследования и физико-технические характеристики оборудования.
Облучение при КТ головного мозга
Компьютерная томография визуализирует состояние костей черепа, показывает изменение строения церебральных структур. Метод используют при травмах головы, воспалительных процессах, ишемических и геморрагических инсультах.
Нативное исследование внутричерепного пространства занимает 5-15 минут. Доза облучения, которую получает пациент при КТ головного мозга, составляет 1-2 мЗв. Уровень радиоактивного воздействия зависит от напряжения и силы тока в рентгеновской трубке, количества сканируемых срезов за полный круг гентри, ширины шага и пр. Нагрузка при компьютерной томографии головы соответствует естественной дозе радиации, получаемой человеком за 2-5 лет.
Во время КТ пациенту следует соблюдать неподвижность и выполнять рекомендации врача. При изменении положения тела возможно появление дефектов на томограммах. Искажение картины сканирования приводит к необходимости проведения повторных сканирований.

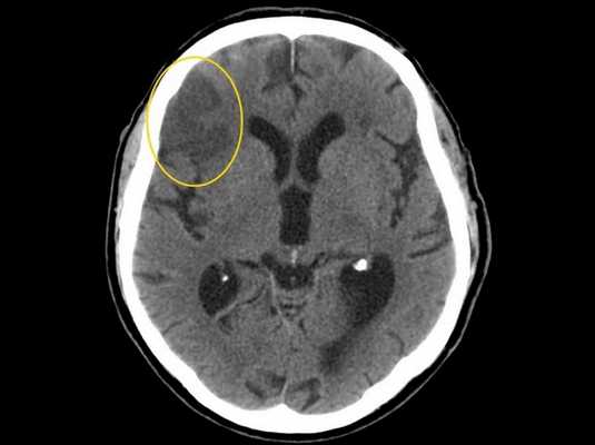
Ишемический инсульт головного мозга (зона поражения выделена желтым) на снимке КТ
С учетом прописанных в СанПиНе норм в год пациент может проходить не более 2 обследований.
Облучение при КТ грудной клетки
В результате диагностической процедуры определяют состояние костных, хрящевых элементов анатомической зоны, визуализируют строение органов средостения. В зону исследования входят:
- грудной отдел позвоночника;
 - ребра;
 - грудина;
 - легкие;
 - грудино-ключичные сочленения;
 - плевральная полость;
 - перикард;
 - лимфатические узлы;
 - трахея;
 - бронхи;
 - пищевод.
 
С помощью компьютерной томографии грудной клетки диагностируют патологии сердечно-сосудистой, дыхательной, пищеварительной систем, опорно-двигательного аппарата. Продолжительность нативной процедуры не превышает 15 минут. Доза облучения составит от 2 до 5 мЗв. Не рекомендуют делать КТ легких и средостения чаще 1 раза в год. Исключение составляют хронические патологии, при которых необходимость контроля состояния органов грудной клетки превышает возможные риски развития побочных эффектов.
Облучение при КТ брюшной полости
Компьютерную томографию живота проводят с целью дифференциальной диагностики патологий внутренних органов. Чаще назначают комплексное обследование. В результате КТ брюшной полости оценивают состояние:
- печени;
 - желчного пузыря с протоками;
 - поджелудочной железы;
 - селезенки.
 
Исследование забрюшинного пространства визуализирует строение:
- почек;
 - мочеточников (верхнего отдела);
 - надпочечников.
 
Бесконтрастное сканирование занимает до 15 минут. Уровень лучевой нагрузки во время сеанса составляет 5-7 мЗв. При сканировании забрюшинного пространства, области малого таза доза радиации возрастает до 10 мЗв. Рекомендовано проходить комплексную компьютерную томографию живота не более 1 раза в год (за исключением ряда патологий).

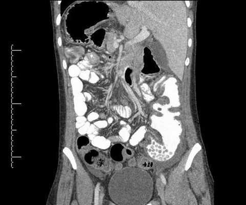
МСКТ брюшной полости (достроена фронтальная проекция)
Доза облучения при КТ с контрастированием
Усиление при компьютерной томографии позволяет повысить качество визуализации мягкотканных анатомических образований. В диагностике сосудистых патологий применяют КТ-ангиографию, для которой использование контраста является обязательным.
Суть процедуры заключается во внутривенном введении йодсодержащего раствора. Вещество активно поглощает рентгеновские лучи и обеспечивает четкую визуализацию кровеносной сети в зоне интереса.
Алгоритм проведения КТ с контрастом:
- Пациент располагается на столе томографа, после инструктажа врач производит несколько нативных фото.
 - В исследовании делают перерыв, больному внутривенно вводят йодсодержащий раствор.
 - Продолжают сканирование через 10-15 минут, по мере насыщения контрастом сосудистого русла.
 
КТ с усилением предполагает получение большего количества снимков. Продолжительность процедуры увеличивается до получаса. При этом возрастает лучевая нагрузка на организм пациента.
При контрастной компьютерной томографии различных частей тела эффективная доза радиации составляет:
- голова - до 4 мЗв;
 - грудь - до 10 мЗв;
 - живот - до 14 мЗв;
 - органы малого таза - до 9 мЗв.
 
При использовании усиления воздействие рентгена на организм пациента увеличивается в 2 раза.
Насколько опасна для человека процедура КТ
Компьютерная томография противопоказана женщинам в период беременности и пациентам с тяжелыми рентген-зависимыми заболеваниями. Ионизирующие потоки обладают тератогенным действием и на любом сроке гестации могут вызвать отклонения в развитии плода. В ряде случаев, например при лучевой болезни, КТ провоцирует развитие патологии.

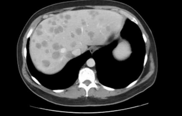
Метастазы в печени на снимке МСКТ
Для защиты пациента и уменьшения действия радиоактивных потоков используют защитные фартуки и пластины. Расчет эффективной дозы происходит автоматически, с помощью специальных устройств, встроенных в томограф. Показатели вносят в протокол исследования.
При подозрении на превышение допустимых норм лучевой нагрузки врач заменит КТ альтернативными видами аппаратной диагностики (УЗИ, МРТ и др.).
Высокий радиационный фон (более 150 мЗв в год) окружающей среды увеличивает риск возникновения:
- дегенеративных изменений головного мозга (болезнь Альцгеймера и пр.);
 - злокачественных новообразований;
 - лейкозов и пр.
 
Степень воздействия радиации зависит от индивидуальных особенностей человека:
- возраста;
 - пола;
 - веса;
 - соотношения мышечной и жировой массы;
 - условий жизни и пр.
 
Взрослые люди обладают большей резистентностью к ионизирующему облучению, чем дети. С первых дней жизни человек подвергается воздействию радиационного поля. Дозированная нагрузка способствует адаптации организма к облучению и усиливает работу защитных факторов.
Под действием ионизирующих потоков возрастает выработка свободных радикалов, повышается интенсивность окислительных процессов. При низкой антиоксидантной защите возникает риск повреждения клеточных элементов.
В организме человека активность окислительных реакций стабилизируется с помощью биохимических процессов. При соблюдении норм лучевой нагрузки компьютерная томография не наносит ущерба здоровью пациента. Для полного восстановления после обследования достаточно 3-4 недель.
Что помогает очистить организм после КТ
Восстановиться после процедуры помогают естественные меры профилактики оксидантного стресса:
- сбалансированное питание с высоким содержанием витаминов А, Е, С;
 - физическая активность;
 - соблюдение режима сна и отдыха;
 - ежедневное пребывание на свежем воздухе не менее 1-2 часов;
 - соблюдение питьевого режима.
 
Перед обследованием желательно избегать стрессовых ситуаций и переутомления.
Повысить антиоксидантную защиту помогают следующие продукты:
- черника;
 - свекла;
 - виноград;
 - крупы (гречневая, овсяная);
 - цитрусовые (апельсин, грейпфрут);
 - шпинат;
 - красный перец;
 - орехи;
 - морепродукты;
 - специи (куркума, корица).
 
Здоровый образ жизни помогает снизить скорость окислительных реакций и повышает сопротивляемость организма воздействию радиации.

КТ почек

КТ почек назначают для уточнения диагноза, оценки эффективности проводимой терапии и в других случаях. Обследование показывает состояние почек, надпочечников, забрюшинного пространства. Послойные срезы сканируемых зон выявляют малейшие патологические изменения.
На компьютерную томографию почек направляют:
при подозрении на наличие камней или опухоли;
после травм живота и спины;
при врожденных пороках развития органов мочевыделительной системы;
если анализы мочи показали воспалительный или инфекционный процесс;
при подготовке к биопсии тканей;
после удаления или трансплантации органа.
Медицинский центр «Магнит» в СПб приглашает вас сделать КТ почек на современном мультиспиральном томографе. Наш адрес 6-ая Красноармейская улица, дом 7. С ценами на услуги ознакомьтесь на сайте.
Что покажет КТ почек
Компьютерная томография почек показывает:
внешний вид почек и надпочечников;
почечные кисты - их наличие, количество, сколько их, где расположены;
злокачественные новообразования - КТ почек покажет их размеры, характер, наличие некрозов, метастазов, кровоизлияний;
находящиеся в почках и мочевыводящих путях соли, камни, кристаллы;
абсцессы и иные патологии инфекционного характера;
последствия травм - повреждения сосудов, разрывы фиброзной капсулы, паренхимы;
увеличение забрюшинных лимфоузлов;
врожденные аномалии - КТ почек показывает неправильное расположение, сращение почек в единое целое, отсутствие одного из двух органов и другие отклонения;
Мультиспиральная томография (МСКТ) почек помогает обнаружить очаги сосудистых опухолей (ангиом), закупорку мочевыводящих каналов, чрезмерное скопление жидкости в тканях.
КТ почек с контрастированием
КТ почек с усилением отличается более высоким качеством изображения. Обследование покажет:
разрастание соединительной ткани;
отложения солей в чашечно-лоханочной системе;
В медицинском центре «Магнит» в СПб КТ почек с контрастированием полностью автоматизировано. Контрастное вещество для МСКТ вводится в вену путем болюсной инъекции по запрограммированной врачом схеме.
Для КТ почек с контрастированием используют препарат с йодом, поэтому не исключены побочные эффекты в виде сыпи, металлического привкуса во рту и прилива тепла в месте болюсного введения контрастного вещества. В редких случаях понижается давление или затрудняется дыхание. О любом дискомфорте во время КТ области почек необходимо сообщить врачу.
Также стоит предупредить специалиста о наличии сахарного диабета. Принимаемые лекарства могут плохо сочетаться с контрастным веществом.
Подготовка к КТ почек
При стандартной КТ почек подготовка не нужна. Надо лишь убедиться в отсутствии у женщины беременности, так как рентгенологические исследования (в том числе обычная и мультиспиральная томография почек) противопоказаны.
Если планируется КТ почек с болюсным контрастированием, то подготовка необходима:
2. За несколько дней до КТ почек с контрастированием желательно начать соблюдать диету, исключив газообразующие продукты - бобовые, газированные напитки, яблоки, виноград. Это уменьшит метеоризм и сделает фото более информативными.
3. Важный момент подготовки - отказ от пищи и напитков за 4 часа до МСКТ или КТ области почек с контрастированием. Чтобы не было тошноты, можно съесть что-нибудь легкое перед самым выходом из дома.
На КТ почек надо прийти в удобной одежде без металлических вставок или иных предметов из металла в зоне сканирования.
Процедура компьютерной томографии почек
КТ почек делают в положении на спине. Во время диагностики главная задача пациента - не шевелиться и следовать указаниям специалиста. Если подразумевается контрастирование, процедура выполняется два раза. Сначала КТ просматривает почки в нативном состоянии , потом исследование повторяют с усилителем.
КТ почек проводится так:
передвижной стол с пациентом заводят в камеру аппарата для мультиспиральной компьютерной томографии почек;
сканирующая система вращается вокруг стола и делает серию снимков под разными углами;
в вену вводят препарат для КТ с контрастированием почек;
после распределения вещества по тканям продолжают сканирование.
Фото, описание и заключение выдаются через два часа после КТ почек. Вы можете прийти в центр «Магнит» в СПб и в любой другой день, во сколько вам будет удобно. Также мы отправляем информацию на электронные адреса.
КТ или МРТ почек - что лучше
МРТ и КТ создают послойные изображения, по которым врач может точно поставить диагноз и назначить лечение. Но принципы работы аппаратуры, показания и противопоказания у этих видов исследования различаются.
Информативность
КТ области почек применяет рентгеновские лучи, а магнитно-резонансная томография основана на использовании магнитного поля. Оба метода покажут:
размеры, строение и положение органов;
Компьютерная томография почек более информативна при мочекаменной болезни, так как МРТ плохо видит содержащие кальций структуры. При помощи КТ почек специалист оценивает диаметр, местоположение плотных образований в почечных лоханках и мочеточниках, определяет тактику неинвазивного дробления или хирургического удаления камней.
Магнитный резонанс дает больше сведений о виде и происхождении кист, тогда как КТ почек только визуализирует подобные объекты без выявления вероятных причин их развития.
Безопасность МРТ и КТ почек
Ввиду использования рентгеновского излучения у КТ (компьютерной томографии) почек есть определенные ограничения:
обследование противопоказано беременным женщинам и маленьким детям;
делать МСКТ или обычную томографию почек можно не чаще, чем раз в шесть месяцев;
за один сеанс рекомендовано обследовать одну область.
При отсутствии противопоказаний магнитно-резонансное обследование безвредно для пациента:
процедуру можно повторять чаще;
в отличие от МСКТ и КТ почек МРТ разрешена будущим мамам и детям любого возраста;
если необходимо, за одно посещение изучают несколько зон или даже все тело человека.
МРТ и КТ почек - противопоказания
КТ почек запрещена:
в период беременности;
при тяжелой форме сахарного диабета;
при хронической почечной недостаточности
при заболеваниях щитовидной железы с повышением продукции ее гормонов ;
если масса тела пациента превышает 150 кг (конструктивные особенности аппаратуры).
КТ почек с контрастным веществом противопоказана при непереносимости йода и морепродуктов, почечной и тяжелой печеночной недостаточности.
Препятствиями для проведения МРТ являются:
наличие металлических протезов (кроме титановых);
вес пациента более 120 кг.
Для усиления снимков МРТ применяют препарат на основе гадолиния. В отличие от йода это вещество практически не вызывает аллергических реакций. Но при почечной и печеночной недостаточности обследование с контрастированием также не делают.
Нельзя однозначно ответить, какой метод лучше. В каждом конкретном случае выбор между магнитным резонансом и КТ почек стоит перед врачом, который должен учитывать показания, противопоказания, возможности и ограничения каждой из технологий.
Что касается стоимости, то МРТ обойдется дороже, чем КТ почек, цена на это обследование в СПб в центре «Магнит» указана в прайс-листе.
Читайте также:
- Изменения вокруг очага ушиба головного мозга. Реактивные изменения при ушибе мозга
 - Инфекции вызванные Rickettsia prowazekii, Coxiella burnetii: клиника, диагностика
 - Анатомия: Височно-нижнечелюстной сустав (строение, связки, движения)
 - Значение эхокардиографии. Практическая ценность эхокардиографии при инфаркте миокарда
 - Аэрация здания через крышу. Фонари вентиляции кровли
 
