Лечение четвертой формы дистального прикуса. Эпидемиология мезиального прикуса.
Добавил пользователь Евгений Кузнецов Обновлено: 11.12.2025
По данным исследований у большинства людей наблюдается неправильный прикус. При этом большая часть даже не знает о наличии проблемы, а к ортодонту приходят только с проблемой «неровных зубов». Но неправильный прикус не всегда сопровождается нарушением эстетики зубного ряда. Прикус или окклюзия — это положение зубов и челюстей при смыкании. Физиологичный или нормальный прикус — это когда зубы в зубном ряду имеют плотные контакты, жевательные поверхности зубов-антагонистов (зубов на противоположной челюсти) равномерно смыкаются друг с другом, верхние резцы перекрывают нижние на 1/3.
Неправильный прикус может принимать 2 формы: зубную и скелетную.
При зубной форме прикуса патологическое смыкание формируется из-за неправильного расположения зубов, их аномального размера, недостатка или сверхкомплектности, а также неправильного развития зубоальвеолярного отростка — той части полости рта, откуда растут зубы. При таком прикусе, челюсти пациента, как правило, имеют правильный физиологичный размер и расположение.
Неправильный прикус может быть сочетанием скелетных и зубных аномалий, а также один тип может быть следствием другого: из-за неправильного положения челюстей криво растут зубы, и наоборот, неправильное положение зубов приводит к вынужденному положению челюстей и закреплению прикуса в скелетную форму.
Причины неправильного прикуса
Неправильный прикус обычно является результатом совокупности причин. Для всех видов неправильной окклюзии существует ряд общих факторов возникновения.
- Генетическая предрасположенность — передача зубочелюстных аномалий от родителей.
- Частое или постоянное ротовое дыхание, если нормальное дыхание носом затруднено или невозможно из-за ЛОР-заболеваний (ринит, синусит, искривление перегородки). При дыхании ртом язык, челюсти и губы находятся в нефизиологичном положении и постоянном напряжении, что влияет на рост челюсти, альвеолярного отростка и положение зубов.
- Вредные привычки детского возраста, мешающие адекватному росту зубов, костей, положению позвоночника. К ним относятся: долгое сосание пустышки, пальца или посторонних предметов, привычка трогать растущий зуб языком или руками, неправильная осанка в положении сидя.
- Недостаток кальция и других питательных веществ при внутриутробном развитии и в детском возрасте негативно сказывается на росте костей.
- Неправильное искусственное вскармливание из бутылочки с широким отверстием. Если младенец не напрягает мышцы при кормлении (как это происходит при грудном вскармливании), то рост челюстей не стимулируется.
- Проблемы зубов при молочном и сменном прикусе. К ним относятся все факторы, нарушающие физиологичное смыкание: сверхкомплектность или неполное количество зубов, ранее выпадение или разрушение зуба, непропорционально большие или маленькие зубы, недостаток места в зубном ряду.
- Неправильное протезирование — фактор нарушения прикуса у взрослых.
Последствия неправильного прикуса
Главным негативным последствием неправильного прикуса является неравномерное распределение нагрузки на зубы. Зубы, которые нормально смыкаются, принимают на себя всю жевательную работу, отчего быстрее изнашиваются и разрушаются.
Именно неправильно распределенная нагрузка становится причиной кариеса, заболеваний и кровоточивости десен, подвижности в области задействованных в жевании зубов.
Неравномерная нагрузка влияет на височно-нижнечелюстной сустав — при жевании он движется неравномерно, суставная головка смещается, что приводит к болям, щелчкам, «заклиниванию».
При неправильном смыкании зубы стираются друг о друга или травмируют слизистую.
Неправильный прикус не просто ведет к потере зубов, но и усложняет их восстановление: для имплантации и коронки нужно создание места.
Кроме того, неправильный прикус обычно сопровождается неровными, некрасивыми зубными рядами, что мешает чувствовать себя уверенно.
Виды прикусов
Зубы смыкаются в трех плоскостях: вертикальной (по высоте зубных коронок), саггитальной (по длине зубных рядов и челюстей относительно друг друга), транвезиальной (по боковому соотношению зубов и челюстей). В зависимости от нарушения нормы смыкания в каждой плоскости выделяют различные виды прикуса.
Дистальный прикус
Дистальный прикус — это нарушение смыкания зубов в саггитальной плоскости, при котором верхняя челюсть или зубной ряд значительно выступает вперед относительно нижней. Для нарушения окклюзии в саггитальной плоскости (дистальной или мезиальной) характерно наличие саггитальной щели — расстояния между верхними и нижними резцами.
Распространенные причины: раннее искусственное вскармливание. Младенцы рождаются с дистальным прикусом, и нижняя челюсть догоняет в росте верхнюю за счет активной работы при кормлении. Неправильное искусственное вскармливание лишает мышцы естественной нагрузки и рост замедляется.
Характерные последствия: дисфункция ВНЧС, разрушение зубов из-за неравномерной нагрузки.


Мезиальный прикус
При мезиальном прикусе нижний зубной ряд, наоборот, выступает вперед относительно верхнего. Для него характерно (но необязательно) обратное резцовое перекрытие, то есть перекрытие верхних резцов нижними. Мезиальную окклюзию можно определить по массивной, выступающей нижней челюсти, западающей верхней губе.
Распространенные причины: аномалии роста челюстей (наследственность, заболевания), сверхкомплектные или очень большие зубы в нижнем зубном ряду.
Характерные последствия: дисфункция ВНЧС, нарушения эстетики.


Открытый прикус
Нарушение смыкания в вертикальной плоскости, при котором отдельные зубы или отделы верхней и нижней челюстей не смыкаются друг с другом.
Распространенные причины: привычка подолгу держать что-то во рту (соска, карандаш, палец), особенно во время роста зубов.
Характерные последствия: проблемы ЖКТ из-за нетщательного пережевывания пищи, разрушение зубов, которые участвуют в жевании.


Глубокий прикус
Глубокая окклюзия тоже относится к смыканию в вертикальной плоскости. Но в отличие от открытого прикуса, характеризуется слишком низким положением передних верхних зубов, в котором они закрывают нижние резцы более чем на половину или полностью. Глубокий прикус часто является следствием дистального.
Распространенные причины: дыхание ртом, вредные привычки, долгое отсутствие нижних зубов.
Характерные последствия: травмы слизистой из-за касания зубами.
Перекрестный прикус
Такой прикус можно определить по неестественным перекрытиям зубных рядов в разных отделах: верхние зубы «прячутся» за нижние или, наоборот, полностью перекрывают нижние в боковых отделах (там, где должны смыкаться жевательными поверхностями). Бывает, что не отдел, а один или два зуба могут занимать неправильную позицию, это называется перекрестным соотношением в области одного зуба.
Распространенные причины: вынужденное положение при смыкании (когда отдельные зубы мешают всему зубному ряду нормально сомкнуться)
Характерные последствия: стираемость зубов, дисфункция ВНЧС.


Лечение разных видов неправильного прикуса
В современной ортодонтии зубная форма любого вида неправильного прикуса поддается лечению на ортодонтических системах: брекетах, элайнерах, съёмных техниках (если лечение до постоянного прикуса),
Современные самолигирующие брекеты Damon Q при грамотно составленном плане лечения выравнивают любой прикус. Для ускорения лечения мы в «Конфиденции» рекомендуем индивидуализированную систему Insignia — с ней можно спрогнозировать результат лечения и исключить ошибки.
Если речь о скелетных формах прикуса, то не все они поддаются лечению только с помощью ортодонтических аппаратов. Иногда, чтобы скорректировать размер или положение челюсти, требуется сотрудничество ортодонта и ортогнатического хирурга. Наша клиника сотрудничает с проверенными специалистами и составляет совместный план лечения пациентов со сложными скелетными патологиями.
Любой вид прикуса можно вылечить безопасно и со стабильным результатом. Отказ от своевременного лечения ведет к усложнению и увеличению стоимости лечения в будущем.
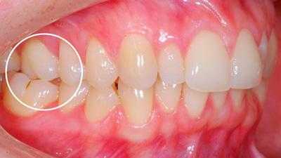
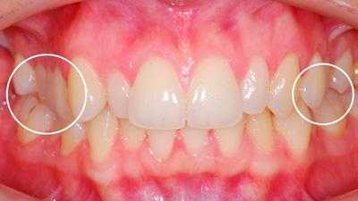
Мезиальный прикус
Мезиальный прикус - аномалия окклюзии, характеризующаяся выдвижением вперед нижнего зубного ряда по отношению к верхнему при сомкнутом положении челюстей. Внешними проявлениями мезиального прикуса служат массивный, выступающий подбородок, вогнутый профиль лица, западающая верхняя губа; ротовые признаки включают мезиальную окклюзию моляров и клыков, прямую или обратную резцовую окклюзию; функциональные изменения - нарушения жевания и речи. Диагностике мезиального прикуса помогают данные антропометрических измерений, телерентгенографии, ортопантомографии, анализа диагностических моделей, рентгенографии ВНЧС. Коррекция мезиального прикуса включает миофункциональную гимнастику, массаж альвеолярного отростка, ортодонтическое лечение.
Общие сведения
Мезиальный прикус - разновидность неправильного прикуса, обусловленная сдвигом нижней челюсти вперед по отношению к верхней. Наряду с дистальным прикусом (прогнатией), мезиальная окклюзия зубных рядов относится к аномалиям прикуса в сагиттальном направлении. Распространенность мезиального прикуса в популяции колеблется от 1 до 12%. В числе прочих зубочелюстных аномалий удельный вес мезиального прикуса составляет 2-6%. В стоматологии мезиальный прикус также обозначается понятиями «III класс смыкания по Энглю», «прогения», «прогенический прикус», «нижняя прогнатия», «антериальный прикус» и др. Мезиальный прикус может сочетаться с открытым и перекрестным прикусом.
Причины мезиального прикуса
Мезиальный прикус формируется под влиянием генетических, врожденных и приобретенных факторов. Генетические формы мезиального прикуса связаны с наследственными особенностями строения лицевого черепа и регистрируются в 20-40% случаев аномалии. В период антенатального онтогенеза к мезиальному прикусу могут привести заболевания беременной, родовые травмы новорожденного, гипоплазия межчелюстной кости и др. В числе факторов, способствующих формированию мезиального прикуса, большую роль играют сопутствующие аномалии зубов и полости рта: сверхкомплектные зубы на нижней челюсти, частичная и множественная адентия в области верхней челюсти, микродентия верхних зубов или микродентия нижних зубов, короткая уздечка языка, макроглоссия.
Среди причинно значимых постнатальных факторов следует отметить искусственное вскармливание ребенка, заболевания раннего возраста (рахит), ротовое дыхание вследствие ЛОР-патологии (искривления носовой перегородки, гипертрофии небных миндалин) и др. Отдельную группу причин составляют различные поведенческие факторы, способствующие возникновению мезиального прикуса: сосание верхней губы, пальцев и различных предметов; сон с опущенной на грудь головой; привычка подкладывать кулак или кисть руки под подбородок в положении сидя. К развитию мезиального прикуса могут приводить нарушения в сроках и последовательности прорезывания зубов, а именно - ретенция верхних зубов и раннее прорезывание зубов нижней челюсти.
Недоразвитию верхней челюсти и формированию мезиального прикуса в отдельных случаях может способствовать остеомиелит челюстей, последствия коррекции нёбной расщелины, опухоли челюстей, акромегалия.
Классификация мезиального прикуса
С учетом размеров и положения челюстей выделяют следующие виды мезиального прикуса:
1. Мезиальный прикус, обусловленный нижней макрогнатией:
- при нормальных размерах верхней челюсти
- при недоразвитии или дистальном положении верхней челюсти
2. Мезиальный прикус, обусловленный нижней прогнатией:
- при увеличении базального отдела нижней челюсти
- при увеличении подбородочного отдела нижней челюсти
3. Мезиальный прикус, обусловленный верхней микрогнатией.
4. Мезиальный прикус, обусловленный верхней ретрогнатией.
5. Мезиальный прикус, обусловленный сочетанием:
- верхней микрогнатии и нижней макрогнатии;
- верхней ретрогнатии и нижней прогнатии;
- верхней микрогнатии и нижней прогнатии;
- верхней ретрогнатии и нижней макрогнатии.
Первый и второй варианты мезиального прикуса в ортодонтии расцениваются как истинная прогения; третий и четвертый вариант - как ложная прогения, при которых нижняя челюсть имеет нормальные размеры, а мезиальный прикус обусловлен недоразвитием верхней челюсти или ее ретропозицией.
С учетом нарушения окклюзии в сагиттальном направлении и величины и нижнечелюстного угла выделяют три степени мезиального прикуса:
- I степень - сагиттальная щель между передними зубами до 2 мм; нарушение соотношения между первыми молярами в сагиттальном направлении до 5 мм; нижнечелюстной угол до 131°.
- II степень - сагиттальная щель между передними зубами до 10 мм; нарушение соотношения между первыми молярами в сагиттальном направлении до 10 мм; нижнечелюстной угол до 133°.
- III степень - сагиттальная щель между передними зубами больше 10 мм; нарушение соотношения между первыми молярами в сагиттальном направлении 11-18 мм; нижнечелюстной угол до 145°.
Также различают зубоальвеолярную и гнатическую форму мезиального прикуса: в первом случае возможно произвольное смещение нижней челюсти назад до достижения правильной окклюзии боковых зубов; при второй форме смещение невыполнимо.
Симптомы мезиального прикуса
При мезиальном прикусе может отмечаться сочетание тех или иных лицевых и внутриротовых признаков, а также обусловленных ими различных функциональных нарушений. Внешне мезиальный прикус проявляется выдвижением подбородка и нижней губы вперед, западением верхней губы, нередко - зиянием ротовой щели. При этом средняя треть лица в профиль выглядит запавшей, вогнутой. В целом выражение лица пациента с мезиальным прикусом характеризуется как «сердитое».
Внутриротовые признаки мезиального прикуса характеризуются обратным резцовым перекрытием или прямой окклюзией зубов в переднем отделе; наличием мезиальной ступеньки при смыкании жевательных зубов. Возможен оральный наклон зубов на нижней челюсти, образование диастем и трем, наличие дистопированных зубов. Скученное положение зубов на нижней челюсти может обусловливать отложение зубного камня, развитие гингивита и пришеечного кариеса.
Функциональные нарушения при мезиальном прикусе могут включать дефекты речи (межзубный сигматизм - разновидность механической дислалии), затруднения откусывания и пережевывания пищи, дисфункцию ВНЧС. Неправильное распределение жевательной нагрузки в области передних зубов сопровождается перегрузкой тканей пародонта, развитием пародонтоза и ранней потерей зубов. Мезиальный прикус может препятствовать проведению протезирования и дентальной имплантации.
Диагностика
Для распознавания мезиального прикуса, правильной оценки его вида и степени необходима консультация ортодонта. Обследование пациента начинается с осмотра лица в фас и профиль, снятия антропометрических показателей, визуальной оценки окклюзии в полости рта, проведения функциональной пробы, позволяющей отличить истинную прогению от ложной.
Степень выраженности мезиального прикуса оценивается по результатам определения прикуса с помощью прикусных валиков, изучения диагностических моделей, ортопантомографиии, телерентгенографии в боковой проекции, рентгенографии и томографии ВНЧС. Для выявления функциональных нарушений производится электромиография жевательных и височных мышц; консультация логопеда и отоларинголога.
Лечение мезиального прикуса
В дошкольном возрасте, когда челюсти ребенка находятся в процессе роста, для коррекции мезиального прикуса назначается миофункциональная гимнастика и массаж альвеолярного отростка верхней челюсти; при необходимости проводится пластика уздечки языка. Для отучения ребенка от вредных оральных привычек рекомендуется использование вестибулярных пластинок. Ортодонтическое лечение на данном этапе по показаниям может проводиться с помощью аппарата Брюкля, каппы Бынина. Существует мнение, что наилучшие результаты лечения мезиального прикуса в период молочного и раннего сменного прикуса достигаются в случае использования лицевой маски.
В период сменного прикуса лечение мезиальной окклюзии проводится с использованием активаторов Андрезена-Гойпля, Кламмта, Френкеля, аппаратов Вундерера или Персина. С установлением постоянного прикуса для коррекции аномальной окклюзии применяется несъемная ортодонтическая техника - брекет-системы. Одновременно с ортодонтическим этапом проводятся логопедические занятия по коррекции дислалии.
Протетическое лечение мезиального прикуса может включать избирательное пришлифовывание зубов, съемное или несъемное протезирование для нормализации окклюзионных контактов. Иногда при чрезмерном развитии нижней челюсти возникает необходимость предварительного хирургического лечения - удаления зубов, остеотомии ветви нижней челюсти.
Прогноз и профилактика
Наилучшие результаты коррекции мезиального прикуса достигаются при начале лечения в период молочного или сменного прикуса. Несмотря на все сложности, коррекция эстетических и функциональных нарушений возможна даже во взрослом возрасте. Однако в этом случае увеличиваются сроки лечения, нередко требуется поэтапное лечение с участием стоматологов-хирургов, ортодонтов, ортопедов.
Важную роль с точки зрения профилактики мезиального прикуса играет нормальное течение беременности и родов, грудное вскармливание, отучение ребенка от вредных привычек, правильное положение во время сна. Необходимо своевременное лечение заболеваний, замедляющих или нарушающих рост челюстных костей, коррекция аномалий отдельных зубов.
Перекрестный прикус
Перекрестный прикус - патология смыкания зубных рядов, обусловленная несоответствием их размеров и формы в поперечном направлении. Перекрестный прикус проявляется ярко выраженной асимметрией лица, дефектами речи, прикусыванием слизистой оболочки щек, нарушением функции жевания, болями в области ВНЧС. Диагностике перекрестного прикуса способствуют клинические данные, функциональные пробы, изготовление и изучение диагностических моделей челюстей, ТРГ с рентгеноцефалометрическим анализом, ортопантомография, рентгенография ВНЧС. Лечение перекрестного прикуса проводится с помощью различных, индивидуально подобранных съемных и несъемных ортодонтических приспособлений.

Перекрестный прикус - разновидность неправильного прикуса, характеризующаяся пересечением (перекрещиванием) зубных рядов при смыкании челюстей. Распространенность перекрестного прикуса в стоматологии колеблется от 0,4-2% в детском и подростковом возрасте до 3% среди взрослых. Перекрестный прикус относится к трансверзальным аномалиям окклюзии. Для характеристики перекрестного прикуса также используются термины «косой», «латеральный» прикус, латеродевиация, латерогения, латерогнатия, латеропозиция и др. Несмотря на то, что перекрестный прикус встречается в популяции реже, чем дистальный, мезиальный, глубокий или открытый, он относится к числу наиболее тяжелых нарушений окклюзии, требующих длительного активного ортодонтического лечения и продолжительного ретенционного периода.
Причины перекрестного прикуса
Предпосылки формирования перекрестного прикуса могут носить врожденный и приобретенный характер. К факторам врожденного порядка относятся наследственная обусловленность, неправильная закладка зубных зачатков, нарушения развития челюстей и височно-нижнечелюстного сустава, расщелины нёба, макроглоссия, родовые травмы и пр.
Чаще перекрестный прикус развивается под влиянием факторов, действующих в постнатальном периоде. Это может быть связано с нарушением прорезывания зубов (ретенцией, изменением последовательности); бруксизмом; нарушением жевательной функции при преждевременной потере зубов, множественном кариесе. Нередко перекрестный прикус является следствием неправильных стереотипов поведения: вредных привычек (подпирание щеки кулаком, сосание пальцев, закусывание губы), нарушения позы сна (сон на одном боку с подложенной под щеку рукой). Причинами перекрестного прикуса могут являться заболевания, связанные с нарушением минерального обмена (рахит), затруднением носового дыхания (ринит, аденоиды, гайморит), гемиатрофия лица, полиомиелит, остеомиелит челюстей, анкилоз ВНЧС, артрит ВНЧС и др.
Обосновано мнение, что неправильный прикус у детей (в т. ч. перекрестный прикус) может являться следствием диспластических изменений опорно-двигательного аппарата (нарушений осанки, сколиоза). Формирование перекрестного прикуса возможно при несоблюдении реабилитационных мероприятий после уранопластики, травм лицевого скелета.
Классификация перекрестного прикуса
В ортодонтии предложены различные варианты классификации перекрестного прикуса. Так, согласно одной из них авторы выделяют зубоальвеолярный (с локализацией изменений в пределах зубных дуг и альвеолярного отростка), гнатический (с локализацией изменений в пределах зубных дуг и челюстей) и суставной перекрестный прикус (связанный с изменением положения нижней челюсти).
Наиболее распространенной в клинической практике является классификация, выделяющая следующие формы перекрестного прикуса:
- Буккальный перекрестный прикус может быть со смещением или без смещения нижней челюсти, односторонним или двусторонним. В основе буккального прикуса лежит сужение верхнего зубного ряда и/или челюсти, расширение нижнего зубного ряда и/или челюсти с одной или двух сторон. При смыкании зубных рядов характеризуется перекрыванием щечных бугров верхних зубов щечными буграми нижних.
- Лингвальный перекрестный прикус (одно- и двусторонний) обусловлен расширением верхнего зубного ряда и/или челюсти, сужением нижнего зубного ряда и/или челюсти также с одной или обеих сторон. При смыкании зубных рядов характеризуется перекрыванием щечных бугров нижних зубов небными буграми верхних зубов.
- Буккально-лингвальный перекрестный прикус сочетает в себе признаки первых двух.
Симптомы перекрестного прикуса
Каждая форма перекрестного прикуса имеет свои специфические клинические проявления и признаки. Общим для указанной аномалии прикуса является нарушение симметричности и, следовательно, эстетики лица. При этом подбородок пациента с перекрестным прикусом сдвинут в сторону, верхняя губа на этой же стороне западает, противоположная сторона нижней части лица уплощена.
Внутриротовые признаки перекрестного прикуса могут включать расширение или сужение одного зубного ряда, смещение нижней челюсти, нарушение контакта боковых зубов, перекрещивание зубных рядов при смыкании челюстей, несовпадение расположения уздечек нижней и верхней губы.
При различных формах перекрестного прикуса вследствие уменьшения количества окклюзионных контактов нарушается функция жевания; при этом часто отмечается прикусывание слизистой оболочки щек. Неправильная речевая артикуляция (дислалия) касается, главным образом, язычных фонем.
При перекрестном прикусе часто появляется хруст и болезненность при открывании рта, блокирование нижней челюсти - развивается дисфункция ВНЧС; в дальнейшем велик риск развития деформирующего артроза ВНЧС. Неравномерное распределение жевательного давления способствует поражению тканей пародонта - возникновению пародонтита и пародонтоза.
Диагностика перекрестного прикуса
Постановке ортодонтического диагноза предшествует полное клиническое, функциональное и инструментальное обследование. При первичной консультации ортодонт производит осмотр лица и полости рта, осуществляет пальпацию и аускультацию ВНЧС, выполняет необходимые функциональные пробы, сопоставляет объективные данные с жалобами и анамнестическими сведениями.
Дальнейший алгоритм предполагает определение конструктивного прикуса, изготовление и анализ диагностических моделей челюстей, изучение ортопантомограмм и прямых телерентгенограмм головы. Для выявления смещения нижней челюсти при перекрестном прикусе требуется выполнение рентгенографии ВНЧС.
В ходе обследования устанавливается разновидность и форма перекрестного прикуса, его этиология, сопутствующие нарушения, что влияет на объем и последовательность реализации лечебных мероприятий.
В комплексной диагностике нарушений, связанных с перекрестным прикусом, могут участвовать такие специалисты, как логопед, невролог, оториноларинголог, педиатр и др.
Лечение перекрестного прикуса
Ортодонтическое лечение перекрестного прикуса направлено на нормализацию взаимоотношений зубных рядов в трансверзальной плоскости.
В период временного прикуса ребенку рекомендуется жевание твердой пищи, выполнение миогимнастики, пришлифовывание бугров и режущих краев зубов, в случае ранней потери молочных моляров - съемное протезирование.
В позднем временном и смешанном прикусе широко применяется аппаратурное лечение с помощью аппаратов функционального действия (бионатора Янсона, регулятора функций Френкеля, активатора Кламмта, активатора Андрезена-Гойпля и др.), а также внеротовых систем (головной шапочки с подбородочной пращой и резиновой тягой).
С формированием постоянного прикуса лечение осуществляется несъемными ортодонтическими аппаратами механического действия: аппаратом Энгля, коронками Катца, брекет-системами с последующим ношением ретейнеров. По ортодонтическим показаниям при перекрестном прикусе дополнительно проводится хирургическое лечение - удаление отдельных зубов, компактостеотомия.
При начале лечения в период временного прикуса нормализации окклюзионных взаимоотношений удается достичь с помощью консервативных мероприятий. Резко выраженная асимметрия лица при позднем начале лечения перекрестного прикуса в ряде случаев может быть устранена только хирургическим путем.
Профилактика перекрестного прикуса предполагает систематическое посещение стоматолога, искоренение вредных привычек, контроль за правильностью осанки и положением ребенка во время сна, нормализацию носового дыхания и пр. Выявлять и устранять заболевания и аномалии зубов целесообразно в детском возрасте: это способствует правильному формированию зубных дуг, предупреждению формирования перекрестного прикуса, асимметрии лицевого скелета, патологии пародонта и височно-нижнечелюстного сустава.
Исправление мезиального прикуса
Мезиальный прикус признается исследователями и практикующими ортодонтами одной из самых редких и сложных в лечении зубных патологий.
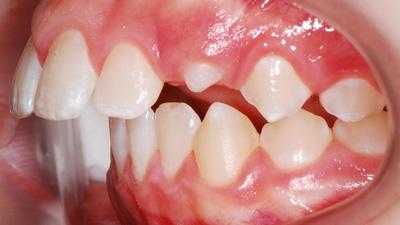
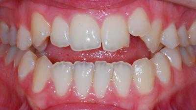
Мезиальная окклюзия или прогения — это вид неправильного прикуса, при котором нижняя челюсть выступает вперед относительно верхней. Нижние резцы перекрывают верхние или образуют обратную саггитальную щель — промежуток между передними и нижними передними зубами.
Обратное резцовое перекрытие
Обратное резцовое перекрытие на КЛКТ-снимке
Как определить мезиальный прикус?
- По лицу. Мезиальный прикус можно определить по строению лица даже без взгляда на улыбку. Профиль вогнутый — средняя треть лица немного западает назад, особенно относительно нижней трети. Подбородок выдается вперед и выглядит массивно и непропорционально лицу и верхней челюсти. При этом, нижняя губа выглядит толще, а верхняя западает. Выражение лица кажется сердитым.
- По осанке. Височно-нижнечелюстной сустав напрямую связан с позвоночником, поэтому его неправильное положение (в результате аномалий прикуса) влияет на положение и баланс всего тела. Для обладателей сложных форм мезиального прикуса характерно небольшое отклонение тела назад. Если провести прямую через все тело в профиль, то голова будет отклонена немного назад, а тазовые кости выдвинуты вперед.

Вогнутый профиль при мезиальном прикусе

Нарушение осанки при мезиальном прикусе


Виды мезиального прикуса
По форме:
- Зубоальвеолярная форма. Прикус как результат неправильного положения зубов.
- Гнатическая или скелетная форма — неправильный прикус, образованный патологией развития челюстей. Более сложная форма прикуса, иногда требующая хирургического вмешательства.
Часто клинические случаи мезиального прикуса сочетают в себе обе формы — и неправильно стоящие зубы, и аномальные размеры челюстей.
По причинам возникновения:
- Врожденные аномальные размеры челюстей: макрогнатия нижней челюсти — большая или вытянутая в длину нижняя челюсть; микрогнатия верхней челюсти — недоразвитая, маленькая верхняя челюсть.
- Прогнатия нижней челюсти — вынужденное положение, когда отдельные зубы мешают нормальному смыканию челюстей и росту челюстей. Такой прикус образуется у детей на молочных зубах из-за клыков, которые цепляются за нижние зубы и не дают нижней челюсти занять нормальное положение.
- Ретрогратия верхней челюсти — заднее положение верхней челюсти относительно пропорций лица. В отличие от микрогнатии, в данном случае челюсть имеет нормальный размер, но неправильное положение.
- Аномальные размеры зубов: макродентия — крупные зубы на нижней челюсти, микродентия — маленькие зубы на верхней челюсти.
Причины появления мезиального прикуса
На ранних этапах развития:
- Наследственность — врожденное неправильное строение черепа и лицевых костей. Передается генетически, иногда зависит от этнической принадлежности. Вероятность мезиального прикуса у монголоидной расы выше, чем у европеоидов.
- Болезни матери во время беременности, неблагоприятная внешняя среда, недостаток питательных веществ во время внутриутробного развития.
- Неправильное грудное вскармливание.
- Макроглоссия — увеличенный размер языка.
- Детские заболевания (рахит, нарушения работы эндокринной железы)
- Вредные привычки: сосание верхней губы, пальца.
- Короткая уздечка языка.
В период молочных и постоянных зубов:
- Нарушение стираемости молочных зубов, в результате чего зубы (чаще клыки) мешают нормальному смыканию верхних и нижних челюстей. Нижняя челюсть при смыкании соскальзывает и занимает вынужденное положение впереди.
- Позднее прорезывание или ранее выпадение зубов на верхней челюсти.
- Сверхкомплектные зубы на нижней челюсти.
- Неправильное положение тела: опускание головы на грудь во время сна, подпирание подбородка рукой в сидячем положении.
Последствия мезиального прикуса
В первую очередь, мезиальная окклюзия нарушает внешнюю эстетику. Непропорциональное лицо выдает неправильный прикус даже, если человек не улыбается. Выражение лица кажется суровым и сердитым.
Неправильное резцовое перекрытие и щель между передними зубами сильно затрудняет процесс жевания. Передние зубы стираются друг о друга, а вся жевательная нагрузка перераспределяется между несколькими зубами, которые быстрее разрушаются и больше подвержены кариесу из-за постоянной работы. При потере зубов в результате неправильного прикуса осложняется имплантация и протезирование — для адекватного восстановления зубов может не хватить места.
Если верхние резцы в результаты обратного перекрытия достают до слизистой нижней челюсти, то на месте контактов возникает хроническая травма. Она ведет к размножению бактерий, пародонтиту, рецессиям и повышению риска онкологии.
Неправильные зубные контакты или строение челюстей напрямую влияют на височно-нижнечелюстной сустав. Результатом неправильного положение сустава становятся щелчки, боли при открытии рта или пережевывании пищи, головные боли, дистрофия и заклинивание (застывание в одном положении) сустава.
Для составления полной клинической картины и плана лечения нужны качественные диагностические данные нескольких видов:
- Визуальный осмотр зубов и лица врачом ортодонтом. Обычно происходит на первой консультации. Врач оценивает положение, размеры и состояние зубов. При необходимости направляет к дополнительным специалистам.
- Оценка положения и размера челюстей по КЛКТ. Только 3D-снимок всего черепа даст врачу точное представление о том, как располагаются челюсти относительно друг друга, в каком состоянии находится височно-нижнечелюстной сустав. На основании этих данных составляется план перемещения зубов, оценивается необходимость хирургического вмешательства или дополнительного лечения дисфункции сустава.
- Оценка положения, соотношения и смыкания зубов с помощью слепков.
- Подробный фотопротокол для составления плана лечения и дальнейшего отслеживания динамики лечения.
Лечение
Методики лечения мезиального прикуса зависят от возраста пациента и формы прикуса (скелетной или альвеолярной). Ранее лечение, как правило, проходит быстрее и эффективнее, потому что челюсти, зубы и костная ткань альвеолярного отростка находятся в фазе роста.
Лечение в молочной и сменном прикусе
При диагностике мезиального прикуса у ребенка на молочном или сменном прикусе, в первую очередь, необходимо исключить факторы, которые усугубляют патологию:
- вредные привычки. Облегчить отучение от вредной привычки и адаптацию к правильному положению челюстей помогут специальные челюстные аппараты.
- неправильное глотание или ротовое дыхание. Для устранения проблем с дыханием потребуется консультация врача-ЛОР.
- вынужденное положение челюсти из-за мешающих бугорков или режущих краев отдельных зубов. В этом случае, зубы пришлифовываются в безопасном объеме для нормального смыкания.
Если нижняя челюсть смещена вперед незначительно, то для коррекции показан массаж альвеолярного отростка (места, откуда растут зубы) со стороны неба в переднем участке верхнего зубного ряда. Общее положение челюсти корректируется съемными аппаратами.
При глубоком резцовом перекрытии на сменном прикусе применяется аппарат Брюкля. Он перемещает верхние зубы вперед, а надкусочная пластина способствует разобщению прикуса на фронтальных зубах.
Развитию челюсти может дополнительно мешать давление губ, языка и щек на альвеолярные отростки и зубы. Регулятор функции Френкеля 3-го типа нормализует положение и соотношение зубов, языка и щек.


Аппарат Френкеля 3-го типа
Как показывают исследования, сдержать рост нижней челюсти невозможно, поэтому в молочном и сменном прикусе ортодонтическое лечение сосредоточено на стимуляции роста верхней челюсти. Для этого устанавливается частичная брекет-система «4+2» на постоянные резцы и первые моляры. Действие брекетов способствует расширению и удлинению верхней челюсти.
Частичная брекет-система при мезиальном прикусе"
Лечение в постоянном прикусе зубоальвеолярной формы
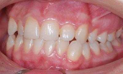
При зубоальвеолярной форме мезиальный прикус образуется за счет неправильного положения зубов. Для его исправления достаточно установки брекет-системы. Лечение проходит с обязательным использованием межчелюстных тяг — эластиков, которые помогают вытянуть нижний зубной ряд назад. При сильной аномалии удаляются нижние восьмые зубы (зубы мудрости), а к вытягиванию зубного ряда подключаются мини-винты. Мини-винты или микроимпланты —небольшие винтики, которые становятся абсолютной опорой.
Лечение в постоянном прикусе гнатической формы
Скелетная форма прикуса, то есть, закрепление прикуса на уровне костей черепа, требует дополнительного хирургического вмешательства. Ортогнатический хирург корректирует размеры и положения челюстей уже после установки брекетов и корректировки положения зубов. После операции врач-ортодонт детализирует положение зубов для идеальной улыбки.
Лечение мезиального прикуса в клинике «Конфиденция»
В клинике «Конфиденция» лечения прикуса начинается с детальной диагностики. Мы уделяем этому этапу большой значение, так как от грамотная диагностика дает четкие представления о причинах формирования мезиального прикуса, помогает спланировать правильное лечение.
Для создания 3D-снимков мы используем один из самых современных томографов — он позволяет создать снимки отличного качества при максимальной безопасности для здоровья пациента.
На диагностике и при каждом посещению мы ведет тщательный фотопротокол для отслеживания результатов и корректировки процессов лечения.
Наши ортодонты работают с самыми продвинутыми брекет-системами, в том числе, индивидуальными и лингвальными брекетами.

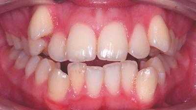
Лечение мезиального прикуса на брекетах с использованием межчелюстных тяг

Лечение мезиального прикуса: лингвальные брекеты на верхней челюсти, использование межчелюстных тяг
Аномалии прикуса
Прикус зубов - это взаимодействие зубов между собой в результате смыкания обеих челюстей.
Неправильное расположение зубов или недостаточное развитие одной из челюстей неизбежно ведут к нарушению прикуса зубов и образованию аномалий прикуса.
Виды аномалий прикуса зубов
В зависимости от характера дефектов в зубных рядах, размера и положения костей челюсти, особенностей взаимодействия зубов при смыкании челюстей выделяются разные виды аномалии прикуса:
Дистальный прикус - одна из часто встречающихся аномалий прикуса, для которой характерна недоразвитая нижняя челюсть или чрезмерно развитая верхняя. При наличии данной аномалии прикуса во время смыкания обеих челюстей верхние передние зубы оказываются существенно выдвинутыми вперед по отношению к нижним.

Мезиальный прикус - это аномалия прикуса, при которой верхняя является недоразвитой, а нижняя - чрезмерно развитой и, таким образом, нижняя челюсть существенно выступает вперед по отношению к верхней.

Открытый прикус - это патология прикуса, при которой часть зубов обеих челюстей (чаще всего передние зубы, реже - боковые) вообще не смыкаются, образуя между собой щель.

Глубокий прикус - это одна из наиболее распространенных аномалий прикуса, при которой во время смыкания челюстей резцы верхнего зубного ряда перекрывают резцы нижнего зубного ряда более чем на половину их длины, а нижние резцы при этом не опираются на зубные бугорки верхних.

Перекрестный прикус - это патология прикуса, для которой характерно слабое развитие одной из сторон любой челюсти.

Дистопия - это аномалия прикуса, при которой зубы располагаются не на своём месте в зубном ряду, смещаясь со своего нормального положения в сторону.
Диастема - это часто встречающаяся аномалия положения зубов, для которой характерно возникновение промежутка (щели) между центральными резцами шириной от 1 до 6 миллиметров (чаще всего наблюдается между резцами верхнего зубного ряда, но иногда и в нижнем зубном ряду).

Любые аномалии прикуса, как правило, формируются под влиянием следующих факторов:
- Генетическая предрасположенность (наследственность)
- Некоторые заболевания матери в период беременности
- Родовая травма
- Хронические болезни носа и горла в раннем возрасте
- Формирование преимущественно ротового дыхания
- Неправильное кормление (грудное и искусственное)
- Неправильное положение ребенка во время сна
- Злоупотребление вредными привычками в детстве (сосание пальца, воротника, игрушек и т.п.)
- Злоупотребление соской-пустышкой в раннем детском возрасте
- Рахит
- Некорректная осанка
- Удаление молочных зубов намного раньше срока их замены постоянными
- Неравномерное стирание молочных зубов
- Затянувшаяся смена молочных зубов коренными
Последствия аномалий прикуса
Далеко не каждый обладатель аномалии прикуса осознает, какие проблемы ему может принести неправильный прикус. Чаще всего человек постепенно приспосабливается к жизни с неправильным прикусом и кроме эстетических проблем его долгое время может ничего не беспокоить.
Однако нужно помнить, что рано или поздно проблемы со здоровьем из-за неправильного прикуса не заставят себя ждать.
Любые аномалии прикуса влекут за собой изменение функций зубочелюстной системы, нарушение речи, эстетические дефекты лица.
Чаще всего аномалии прикуса ведут к следующим серьезным последствиям:
- Нарушения жевательных функций зубов
- Высокий риск возникновения различных болезней пародонта (пародонтит, пародонтоз)
- Заболевания височно-нижнечелюстного сустава
- Стирание и полная потеря зубов
- Возникновение дефектов речи
- Риск регулярного травмирования щек, десен, языка
- Проблемы при имплантации и протезировании зубов
- Искажение формы лица
Аномалии прикуса могут проявляться как самостоятельно, так и комбинируя друг с другом.
Диагностика и лечение аномалий прикуса
Характер аномалий прикуса, причины их возникновения и возможные пути лечения определяются при детальном осмотре полости рта на приеме у врача-ортодонта. В случае необходимости в клинике может быть проведено рентгенологическое обследование костей челюсти.
Для исправления прикуса проводится специальное ортодонтическое лечение, во время которого при помощи специальных ортодонтических конструкций меняется положение зубов в зубном ряду, при этом нормализуется контакт верхнего и нижнего зубных рядов при смыкании челюстей.
В особо сложных случаях попутно с ортодонтическим лечением может быть осуществлено хирургическое вмешательство.
Если неправильный прикус привел к сильному стиранию или полной потере зуба, то ортодонты рекомендуют провести протезирование.
Ортодонтическое лечение аномалий прикуса сегодня возможно практически в любом возрасте пациента, однако ортодонты рекомендуют проводить его как можно раньше, желательно еще в детском возрасте, когда рост зубов и костей челюсти окончательно не завершен.

Метод лечения каппами очень хорошо себя зарекомендовал как эффективное средство в борьбе с аномалиями прикуса именно на уровне зубов. Преимущественно он применяется у взрослых пациентов, так как они лучше адаптируются к этому методу лечения по сравнению с брекетами. Применяется этот метод с 1996 года. Мы применяем его в России с 2000 года.
Читать полностью.
Аномалии прикуса можно и избежать, если в свое время внимательно наблюдать за формированием прикуса у ребенка и вовремя принимать меры профилактики, а также своевременно лечить зубы и ставить протезы, если настоящие зубы утрачены.
Читайте также:
