Лечение хронического миелолейкоза (ХМЛ) в стадиях акселерации и терминальной - препараты, схемы
Добавил пользователь Владимир З. Обновлено: 01.11.2025
алло-ТГСК — аллогенная трансплантация гемопоэтических стволовых клеток
БК — бластный криз
БМО — большой молекулярный ответ
БЦО — большой цитогенетический ответ
ИТК — ингибиторы тирозинкиназ
ЛСК — лейкозные стволовые клетки
МОБ — минимальная остаточная (резидуальная) болезнь
ПМО — полный молекулярный ответ
ПЦО — полный цитогенетический ответ
ПЦР-РВ — полимеразная цепная реакция в реальном времени
СЦИ — стандартное цитогенетическое исследование
ФА — фаза акселерации
ХМЛ — хронический миелолейкоз
ХФ — хроническая фаза
Новая эра в лечении хронического миелолейкоза (ХМЛ) характеризуется изменением целей терапии: от возможности продления жизни больных при постоянном приеме ингибиторов тирозинкиназ (ИТК) до использования принципа ранней индукции полной молекулярной ремиссии и в дальнейшем сохранения этой ремиссии без поддерживающей терапии.
Внедрение высокотехнологичных и дорогостоящих методов терапии ХМЛ (ИТК первого—второго поколения) диктует необходимость совершенствования организационных подходов с целью получения наибольшей эффективности лечения, а также рационального расходования выделенных средств. Для этого необходимо обеспечить выполнение современных протоколов ведения больных с применением цитогенетического и молекулярно-генетического мониторинга. Использование информационных технологий (Регистр больных ХМЛ) позволяет визуализировать своевременность мониторинга, контролировать эффективность терапии, а также является инструментом оказания консультативной поддержки врачам практического звена здравоохранения [10, 11]
Возможности терапии с применением ИТК: теория и практика. Одним из основных молекулярно-генетических процессов, происходящих в ранних стволовых клетках и способствующих развитию ХМЛ, является возникновение реципрокной транслокации t(9;22) и образование так называемой филадельфийской, или Ph'-, хромосомы [12, 13]. В результате на 22-й хромосоме образуется слитный ген BCR-ABL, кодирующий синтез онкопротеина (BCR-ABL-тирозинкиназа, или белок р210); его продукция при ХМЛ играет ключевую роль в лейкозной трансформации клеток. Белок p210 BCR-ABL обладает постоянной высокой тирозинкиназной активностью, которая приводит к активации сигнальных путей, способствующих увеличению пролиферативной активности клеток, ингибированию апоптоза; уменьшает зависимость клеток от внешних механизмов регуляции и снижает адгезию клеток.
По мере развития клинически доброкачественно протекающей хронической фазы (ХФ) ХМЛ накапливается большая масса лейкозных клеток с аномальным геном BCR-ABL. Повышенная пролиферативная активность, усиление процессов репликации ДНК, снижение интенсивности процессов репарации и накопление свободных радикалов служат основой повреждения ДНК, способствуют развитию геномной нестабильности и накоплению дополнительных генетических дефектов [14, 15]. Чем дольше существует Ph'-позитивный клон, тем выше вероятность возникновения новых множественных резистентных клонов, активации дополнительных онкогенных путей и прогрессии ХМЛ из ХФ в фазу акселерации (ФА) и бластного криза (БК) [16—19].
Поскольку механизм действия ИТК основан на блокировании онкопротеина р210 — продукта гена BCR-ABL, лейкозные стволовые клетки (ЛСК), содержащие ген BCR-ABL, не чувствительны к действию этих препаратов [25]. Персистирование лейкозного клона в виде минимальной остаточной (резидуальной) болезни (МОБ) — сохраняющегося клона, который может быть выявлен с помощью метода количественной полимеразной цепной реакции в реальном времени (ПЦР-РВ), — определяется у больных ХМЛ, получающих ИТК, на протяжении многих лет наблюдения. Так как риск развития рецидива без терапии ИТК велик, общепринятым в настоящее время является принцип постоянного приема ИТК.
Однако число больных ХМЛ, у которых МОБ не определяется, имеет тенденцию к увеличению по мере проведения терапии. Возникает вопрос: возможно ли добиться истощения клона ЛСК хотя бы у отдельных больных? Возможны ли прерывание приема ИТК и наблюдение таких пациентов без лечения при условии тщательного мониторинга МОБ методом ПЦР-РВ? Этот вопрос особенно важен для больных с длительно существующей токсичностью лечения, которая даже при низкой степени выраженности способна ухудшать качество жизни при многолетней терапии. В случае длительного лечения не исключается возможность развития новых побочных эффектов и снижения приверженности больных к терапии, т.е. соблюдения режима приема препаратов. Кроме того, ввиду высокой стоимости ИТК ежегодное увеличение числа больных ХМЛ постоянно повышает потребность в новых затратах для обеспечения пожизненной терапии, что представляет существенную социально-экономическую проблему.
Таким образом, ключевым вопросом в организации лечения больных ХМЛ является, с одной стороны, эффективная индукционная терапия, обеспечивающая быстрое снижение опухолевой массы, что связано со снижением риска прогрессии заболевания; с другой стороны, возможность безопасного прерывания терапии у больных со стабильным полным молекулярным ответом (ПМО).
Характеристика ответа в процессе терапии ХМЛ не только основана на оценке клинико-гематологических данных, но также неразрывно связана с так называемыми суррогатными маркерами, определяющими объем опухолевой массы [26—28]. Обязательными для оценки эффективности лечения ИТК является стандартное цитогенетическое исследование (СЦИ), при котором цитогенетический ответ определяется по проценту Ph'-положительных клеток при анализе не менее 20 метафаз [29]. Молекулярный ответ определяется в соответствии с уровнем относительной экспрессии гена BCR-ABL при молекулярно-генетическом исследовании методом ПЦР-РВ [28]. Уровень МОБ на разных сроках наблюдения позволяет прогнозировать дальнейшее течение заболевания.
Клинически значимым предиктором общей и безрецидивной выживаемости является достижение полного цитогенетического ответа (ПЦО) [30], под которым подразумевается отсутствие Ph'-положительных клеток при СЦИ. Большой молекулярный ответ (БМО), которому соответствует достижение относительной экспрессии гена BCR-ABL менее 0,1%, также является предиктором низкого риска прогрессии ХМЛ [31] и предполагает высокую вероятность получения в дальнейшем ПМО.
Под ПМО подразумевают отрицательные результаты ПЦР-РВ. Однако «полнота» молекулярного ответа и соответственно возможность выявления МОБ во многом зависят от чувствительности применяемого метода ПЦР-РВ и подходов, используемых в конкретной молекулярно-генетической лаборатории. Общепринятый порог чувствительности соответствует 10 -4 (так называемый МО 4 ), т.е. уровню транскрипта BCR-ABL ≤0,01%; все чаще используют и более чувствительные методы ПЦР — с чувствительностью до 10 -5 . Насколько важна глубина достигнутого молекулярного ответа для последующей возможности отмены терапии, в настоящее время не установлено. Однако обсуждать вопрос о безопасности наблюдения за больными ХМЛ без терапии возможно только при достижении стабильного ПМО и только в рамкахклинических исследований.
Недавно показано, что при использовании ИТК второго поколения у 27 больных с непереносимостью иматиниба стойкие ремиссии без поддерживающей терапии сохранялись в 68% случаев [33]. Однако продолжительность данного исследования пока недостаточна для окончательных выводов (медиана наблюдения 14 мес).
Таким образом, при достижении не определяемых с помощью ПЦР-РВ уровней МОБ у 39—68% больных существует вероятность сохранения ремиссии после отмены ИТК первого и второго поколений. Залогом безопасности прекращения терапии является проведение регулярного молекулярного мониторинга в рамках клинического исследования. Один из важнейших вопросов такого исследования — это выявление пациентов, которые могут больше всего выиграть при отмене терапии ИТК.
В настоящее время обсуждаются вопросы о том, какой уровень МОБ является предиктором длительного ответа без поддерживающей терапии и служит показанием к возобновлению терапии при увеличении количества BCR-ABL-транскрипта.
До широкого внедрения метода ПЦР-РВ и его стандартизации вопрос о прерывании лечения невозможно было даже обсуждать, поскольку ранняя отмена ИТК или неадекватная оценка глубины ответа ассоциировалась с ранними рецидивами. После проведения стандартизации метода в 11 молекулярно-генетических лабораториях Российской Федерации апробирование протокола ведения больных с ПМО без поддерживающей терапии вполне обосновано. Кроме того, ожидается, что для больных ХМЛ с ПМО, страдающих от побочных эффектов при длительной терапии, перерывы в лечении позволят улучшить качество жизни. Немаловажным является и вопрос рационального использования бюджетных средств при лечении дорогостоящими лекарственными средствами.
Стратегия и тактика терапии ХМЛ на протяжении прошедших 10 лет значительно изменилась. В первые годы терапии иматинибом (2000—2005 гг.) основным критерием эффективности лечения было получение ПЦО в качестве прогностически благоприятного маркера общей и безрецидивной выживаемости [34]. В связи с началом использования в клинической практике более активно действующих на лейкозный клон ИТК второго поколения (нилотиниб, дазатиниб) появилась возможность получать стабильные ПМО в более ранние сроки [8, 9], и суждение о прогностически значимой степени ответа на терапию при ХМЛ все чаще базируется на данных молекулярно-генетического исследования.
На разных сроках терапии ИТК возможно определить группу пациентов с оптимальным ответом на лечение и благоприятным прогнозом. В настоящее время одна из актуальных задач исследований при ХМЛ — выявление ранних предикторов эффективности терапии. В разрабатываемых в настоящее время разными исследовательскими группами рекомендациях по терапии ХМЛ рассматриваются более ранние сроки принятия решения по переключению на другие виды лечения при неэффективности терапии первой линии с целью получения максимального эффекта. Среди новых опубликованных рекомендаций по диагностике, мониторингу и терапии ХМЛ можно отметить рекомендации Европейского общества медицинской онкологии (ESMO) 2012 г., в которых первой точкой принятия решения о возможности изменения терапии является достижение уровня экспрессии BCR-ABL менее 10% по результатам ПЦР-РВ на сроке лечения 3 мес [35].
Новые рекомендации по диагностике и терапии ХМЛ в Российской Федерации также находятся в процессе разработки. Предварительные сроки оценки ответа можно на настоящий момент суммировать следующим образом. К 3-му месяцу терапии целевым является достижение уровня экспрессии BCR-ABL менее 10% по результатам ПЦР-РВ и/или получение большого цитогенетического ответа (БЦО), при котором определяется менее 35% Ph’-положительных метафаз. К 6-му месяцу оптимальный ответ на лечение характеризуют такие параметры, как экспрессия BCR-ABL менее 1% и/или достижение ПЦО. Через 12 мес терапии оптимальный ответ оценивается уже только на основании данных молекулярного мониторинга: экспрессия BCR-ABL менее 0,1% свидетельствует о минимальном риске прогрессии; при превышении этого уровня целесообразно обсудить вопрос о коррекции терапии.
Индивидуализация терапии при ХМЛ становится реальной в связи с возможностью выбора ИТК с наибольшей эффективностью и наилучшей переносимостью для каждого конкретного пациента, что важно для планирования многолетнего лечения. Выбор ИТК основан на оценке клинико-гематологических и молекулярно-генетических параметров ХМЛ как на момент установления диагноза, так и в процессе лечения.
Понимание возможностей лечения с использованием ИТК первого и второго поколений позволяет по-новому определить место аллогенной трансплантации гемопоэтических стволовых клеток (алло-ТГСК) как родственной, так и неродственной. Для большинства больных в хронической фазе ХМЛ, имеющих низкий и промежуточный риск прогрессии ХМЛ, этот метод по-прежнему остается терапией второго—третьего ряда и показан в случае недостаточного ответа. Для больных с высоким риском прогрессии ХМЛ, а также при выявлении прогностически неблагоприятных критериев эффективности терапии ИТК, при наличии HLA-совместимого донора процедура трансплантации гемопоэтических стволовых клеток должна быть обсуждена на самых ранних этапах лечения. Показанием к поиску донора служит отсутствие оптимального ответа и/или его потеря в течение первых 1—2 лет лечения. При ФА или БК ХМЛ лечение ИТК следует рассматривать только как индукционную терапию для достижения ремиссии перед выполнением алло-ТГСК.
При оценке различных факторов, влияющих на недостаточный ответ на терапию ИТК при ХМЛ, следует отметить, что большое значение имеет полнота соблюдения больным схемы назначенного лечения (так называемая приверженность к терапии) [36]. Так, установлено, что при приеме более 90% рекомендованной дозы иматиниба 6-летняя вероятность достижения БМО составляет 85% против 15% при снижении приверженности до
Выбор препарата первой линии — один из наиболее спорных вопросов в настоящее время ввиду появившегося выбора ИТК (иматиниб, нилотиниб, дазатиниб), а также их высокой эффективности. Единой консолидированной концепции, которую бы разделяли все ведущие мировые специалисты по лечению ХМЛ, на данный момент нет. Решение в значительной степени зависит от врача, выбирающего тактику лечения; обеспеченности препаратами; характера сопутствующей патологии у больного. По нашему мнению, наиболее значимым для каждого больного является стратегия лечения, направленная на достижение оптимального ответа и выбор препарата с наилучшей переносимостью для каждого конкретного больного.
В то же время для значительного числа пациентов без оптимального ответа при терапии иматинибом следует рассматривать вопрос о переходе на терапию ИТК второго поколения (нилотиниб, дазатиниб). При этом доступность лечения ИТК второго поколения в настоящее время ограничена и в значительной степени зависит от возможностей финансирования в каждом регионе. Это затрудняет выполнение в полной мере протоколов лечения ХМЛ. Временно`й фактор в принятии решения об изменении терапии является критичным для использования шанса получить максимальный эффект лечения. Поэтому возможность своевременного перехода на терапию ИТК второго поколения у больных ХМЛ с резистентностью и непереносимостью иматиниба, а также использование возможности выполнения алло-ТГСК являются жизненно важными. Соблюдение сроков мониторинга МОБ при ХМЛ в масштабах страны также не соответствует рекомендованным. Установлено, что почти у 1 /4 больных ХМЛ в течение последних 6—12 мес молекулярно-генетические исследования не выполнялись, и судить в полной мере о степени ремиссии у этих больных, а также прогнозировать ответ на лечение не представляется возможным. Проблему может решить внедрение ставших уже обыденными цитогенетических и молекулярно-генетических методов мониторинга в рамках государственных стандартов для оценки эффективности терапии при ХМЛ.
Накопленный к настоящему моменту объем знаний по современным принципам терапии ХМЛ и оценке эффективности лечения ИТК является основой для внедрения новых подходов к терапии больных, обеспечивающих не только снижение риска прогрессии заболевания, но и раннее достижение безопасного с точки зрения прогрессии заболевания уровня МОБ, позволяющего обсуждать программы ведения ремиссии без поддерживающего лечения. Оптимизация программ терапии позволит снизить риск нарастающего финансового бремени, обусловленного постоянным увеличением числа больных, которым требуется терапия ИТК. Использование информационных технологий (Регистр больных ХМЛ) позволит объективизировать полученные результаты и провести фармакоэкономический анализ различных режимов терапии.
Заключение
Новая эра в лечении ХМЛ не сводится просто к применению новых эффективных лекарственных средств с целенаправленным механизмом действия — ИТК. Современные принципы и перспективы лечения основаны на понимании новых целей терапии и возможности их реализации в ежедневной клинической практике гематолога. Использование всего арсенала имеющегося спектра ИТК первого и второго поколений способствует снижению риска прогрессии заболевания на самых ранних этапах. Молекулярный мониторинг позволяет уже на ранних сроках терапии (3, 6 и 12 мес) выделить группы больных с оптимальным ответом, у которых при достижении стабильного ПМО в дальнейшем будут возможны обсуждение прерывания приема ИТК и наблюдение без поддерживающей терапии. Индивидуализация терапии подразумевает как выбор ИТК с наилучшей переносимостью, так и обсуждение вопроса о своевременном выполнении алло-ТГСК у больных с признаками резистентности к ИТК первого и второго поколений. Повышению эффективности лечения способствует использование регистров (информационных технологий), которые позволяют структурировать процесс организации лечения и объективизировать потребность в ИТК. В создании национальной программы, позволяющей реализовать существующие возможности высокотехнологической терапии ХМЛ, заинтересованы все. Для Министерства здравоохранения Российской Федерации такая программа могла бы стать базисом для максимально эффективного использования выделенных средств, для пациентов и врачей — это возможность получения консультативной поддержки, для научных сотрудников — разработка и оценка эффективности новых оптимизированных программ лечения.
Хронический миелолейкоз - причины, симптомы, диагностика, лечение и прогноз
Сайт предоставляет справочную информацию. Адекватная диагностика и лечение болезни возможны под наблюдением добросовестного врача. У любых препаратов есть противопоказания. Необходима консультация специалиста, а также подробное изучение инструкции!
Хронический миелолейкоз - опухолевое заболевание крови. Характеризуется бесконтрольным ростом и размножением всех ростковых клеток крови, при этом молодые злокачественные клетки способны созревать до зрелых форм.

Хронический миелолейкоз (синоним - хронический миелоидный лейкоз) - опухолевое заболевание крови. Его развитие связано с изменениями в одной из хромосом и появлением химерного («сшитого» из разных фрагментов) гена, который нарушает кроветворение в красном костном мозге.
Во время хронического миелолейкоза в крови повышается содержание особой разновидности лейкоцитов - гранулоцитов. Они образуются в красном костном мозге в огромном количестве и выходят в кровь, не успевая до конца созреть. Одновременно содержание всех остальных видов лейкоцитов снижается.
- Клетки без гранул - это лимфоциты (выделяют антитела и обеспечивают иммунитет) и моноциты (являются фагоцитами - «пожирателями» чужеродных частиц).
- Клетки с гранулами (гранулоциты) - обеспечивают защиту организма, не связанную с иммунитетом: они поглощают чужеродные частицы и микроорганизмы, принимают участие в воспалении, аллергических реакциях.
- Каждое пятое опухолевое заболевание крови - это хронический миелолейкоз.
- Среди всех опухолей крови хронический миелолейкоз занимает в Северной Америке и Европе 3-е место, в Японии - 2-е место.
- Ежегодно во всем мире хронический миелолейкоз возникает у 1 из 100 000 человек.
- В течение последних 50 лет распространенность заболевания не изменилась.
- Чаще всего болезнь выявляется у людей в возрасте 30 - 40 лет.
- Мужчины и женщины заболевают примерно с одинаковой частотой.
Причины хронического миелолейкоза
Причины хромосомного нарушения, приводящего к хроническому миелолейкозу, до сих пор изучены недостаточно.

- Слабые дозы радиации. Их роль доказана только у 5% больных.
- Электромагнитные излучения, вирусы и некоторые химические вещества - их влияние не доказано окончательно.
- Применение некоторых лекарственных препаратов. Известны случаи возникновения хронического миелолейкоза при лечении цитостатиками (противоопухолевые препараты) в сочетании с лучевой терапией.
- Наследственные причины. Люди с хромосомными нарушениями (синдром Клайнфелтера, синдром Дауна) имеют повышенный риск хронического миелоидного лейкоза.
- Клетки размножаются неконтролируемо, как раковые.
- Для этих клеток перестают работать естественные механизмы гибели.
Фазы хронического миелолейкоза
- Хроническая фаза. В этой фазе находится большинство пациентов, которые обращаются к врачу (около 85%). Средняя продолжительность - 3 - 4 года (зависит от того, насколько своевременно и правильно начато лечение). Это стадия относительной стабильности. Пациента беспокоят минимальные симптомы, на которые он может не обращать внимания. Иногда врачи выявляют хроническую фазу миелолейкоза случайно, при проведении общего анализа крови.
- Фаза акселерации. Во время этой фазы патологический процесс активируется. Количество незрелых белых кровяных телец в крови начинает быстро нарастать. Фаза акселерации является как бы переходной от хронической к последней, третьей.
- Терминальная фаза. Финальная стадия болезни. Возникает при нарастании изменений в хромосомах. Красный костный мозг практически полностью замещается злокачественными клетками. Во время терминальной стадии пациент погибает.
Подпишитесь на Здоровьесберегающий видеоканал


Проявления хронического миелолейкоза
Симптомы хронической фазы:

- Вначале симптомы могут полностью отсутствовать, либо они выражены настолько слабо, что больной не придает им особого значения, списывает на постоянное переутомление. Заболевание выявляется случайно, во время очередной сдачи общего анализа крови.
- Нарушение общего состояния: слабость и недомогание, постепенная потеря веса, снижение аппетита, повышенная потливость по ночам.
- Признаки, обусловленные увеличением размеров селезенки: во время приема пищи больной быстро наедается, боли в левой части живота, наличие опухолевидного образования, которое можно прощупать.
- Признаки, связанные с нарушением функции тромбоцитов и белых кровяных телец: различные кровотечения либо, напротив, образование тромбов.
- Признаки, связанные с повышением количества тромбоцитов и, как следствие, повышением свертываемости крови: нарушение кровообращения в головном мозге (головные боли, головокружения, снижение памяти, внимания и пр.), инфаркт миокарда, нарушение зрения, одышка.
Симптомы фазы акселерации
В фазу акселерации признаки хронической стадии нарастают. Иногда именно в это время возникают первые признаки заболевания, которые и заставляют больного впервые посетить врача.
Симптомы терминальной стадии хронического миелолейкоза:
- Резкая слабость, значительное ухудшение общего самочувствия.
- Длительные ноющие боли в суставах и костях. Иногда они могут быть очень сильными. Это связано с разрастанием злокачественной ткани в красном костном мозге.
- Проливные поты.
- Периодическое беспричинное повышение температуры до 38 - 39⁰C, во время которого возникает сильный озноб.
- Снижение массы тела.
- Повышенная кровоточивость, появление кровоизлияний под кожей. Эти симптомы возникают в результате уменьшения количества тромбоцитов и снижением свертываемости крови.
- Быстрое увеличение размеров селезенки: живот увеличивается в размерах, появляется чувство тяжести, боли. Это происходит за счет роста опухолевой ткани в селезенке.
Диагностика заболевания
К какому врачу следует обращаться при наличии симптомов хронического миелолейкоза?

Лечением заболеваний крови опухолевой природы занимается врач-гематолог. Многие пациенты изначально обращаются к терапевту, который затем отправляет на консультацию к гематологу.
Осмотр в кабинете врача
- Расспрос пациента. Врач выясняет жалобы больного, уточняет время их возникновения, задает другие необходимые вопросы.
- Ощупывание лимфатических узлов: подчелюстных, шейных, подмышечных, надключичных и подключичных, локтевых, паховых, подколенных.
- Ощупывание живота для определения увеличения печени и селезенки. Печень ощупывают под правым ребром в положении лежа на спине. Селезенку - в левой части живота.
Когда врач может заподозрить у пациента хронический миелолейкоз?
- Общий анализ крови. В нем обнаруживают повышенное количество лейкоцитов и большое количество их незрелых форм.
- УЗИ живота. Выявляется увеличение размеров селезенки.
Как производится полное обследование при подозрении на хронический миелолейкоз?
| Название исследования | Описание | Что выявляет? |
| Общий анализ крови | Рутинное клиническое исследование, выполняется при подозрении на любые заболевания. Общий анализ крови помогает определить общее содержание лейкоцитов, их отдельных разновидностей, незрелых форм. Кровь для анализа берут из пальца или вены в утренние часы. |

- постепенное увеличение содержания лейкоцитов в крови за счет гранулоцитов;
- появление незрелых форм лейкоцитов;
- повышение количества тромбоцитов.
- содержание лейкоцитов в крови продолжает нарастать;
- доля незрелых белых кровяных телец возрастает до 10 - 19%;
- содержание тромбоцитов может быть повышенным или пониженным.
- количество незрелых лейкоцитов в крови увеличивается более 20%;
- снижение количества тромбоцитов;
- Пункция красного костного мозга проводится в специальном кабинете с соблюдением правил асептики и антисептики.
- Врач проводит местное обезболивание - обкалывает место пункции анестетиком.
- В кость вводят специальную иглу с ограничителем, чтобы она проникла на нужную глубину.
- Игла для пункции полая внутри, как иголка от шприца. В нее набирают небольшое количество ткани красного костного мозга, которую отправляют в лабораторию для исследования под микроскопом.
- грудина;
- крылья тазовых костей;
- пяточная кость;
- головка большеберцовой кости;
- позвонки (редко).



- витамин B12;
- ферменты лактатдегидрогеназа;
- транскобаламин;
- мочевая кислота.
Лабораторные показатели
- Лейкоциты: значительно повышено от 30,0·10 9 /л до 300,0-500,0 ·10 9 /л
- Сдвиг лейкоцитарной формулы влево: преобладают молодые формы лейкоцитов (промиелоциты, миелоциты, метамиелоциты, бластные клетки)
- Базофилы: повышено количество 1% и более
- Эозинофилы: повышен уровень, более 5%
- Тромбоциты: в норме или повышен
- Щелочная фосфатаза лейкоцитов снижена или отсутствует.
- При генетическом анализе крови выявляется аномальная хромосома (филадельфийская хромосома).
Симптомы
- Длительное время без симптомов (от 3 месяцев до 2 лет)
- Тяжесть в левом подреберье (из-за увеличения селезенки, чем выше уровень лейкоцитов, тем больше её размеры).
- Слабость
- Снижение работоспособности
- Потливость
- Потеря в весе
- инфаркт селезенки - острые боли в левом подреберье, температура 37,5 -38,5 °C, иногда тошнота и рвота, прикосновения к селезенке болезненны.
- Приапизм - болезненная, чрезмерно длительная эрекция.
- Снижается эффективность лекарств (цитостатиков)
- Развивается анемия
- Увеличивается процент бластных клеток в крови
- Ухудшается общее состояние
- Увеличивается селезенка
- Симптомы соответствую клинической картине при остром лейкозе (см. Острый лимфолейоз).
Как лечат миелолейкоз?
Цель лечения снизить рост опухолевых клеток и уменьшить размеры селезенки.
Лечение заболевания должно быть начато сразу после того, как установлен диагноз. От качества и своевременности терапии во многом зависит прогноз.
Лечение включает различные методы: химиотерапия, лучевая терапия, удаление селезенки, пересадка костного мозга.
Лечение лекарствами
- Классические препараты: Миелосан (Милеран, Бусульфан), Гидроксиуреа (Гидреа, Литалир), Цитозар, 6-меркаптопурни, альфа-интерферон.
- Новые препараты: Гливек, Спрайсел.
- гидроксиуреа;
- гидроксикарбамид;
- гидреа.
- расстройства пищеварения;
- аллергические реакции на коже (пятна, зуд);
- воспаление слизистой оболочки рта (редко);
- анемия и снижение свертываемости крови;
- нарушения работы почек и печени (редко).
- в фазу акселерации;
- в терминальную фазу;
- во время хронической фазы, если лечение интерфероном (см. ниже) не приносит эффекта.
- тошнота и рвота;
- жидкий стул;
- боли в мышцах и мышечные судороги.
- симптомы, напоминающие грипп;
- изменения в анализе крови: препарат обладает некоторой токсичностью в отношении крови;
- снижение массы тела;
- депрессия;
- неврозы;
- развитие аутоиммунных патологий.
Пересадка костного мозга

Пересадка костного мозга даёт возможность полностью выздороветь больным хроническим миелолейкозом. Эффективность пересадки выше в хронической фазе заболевания, в остальных фазах гораздо ниже.
Трансплантация красного костного мозга является наиболее эффективным методом лечения хронического миелоидного лейкоза. Более чем у половины пациентов, которым была произведена пересадка, наступает стойкое улучшение в течение 5 лет и дольше.
Чаще всего выздоровление происходит в том случае, когда красный костный мозг пересаживают больному моложе 50 лет в хроническую фазу заболевания.
Лучевая терапия

Проводится в случаи отсутствия эффекта от химиотерапии и при увеличенной селезенке после приема медикаментов (цитостатиков). Метод выбора при развитии локальной опухоли (гранулоцитарная саркома).
В какой фазе заболевания применяется лучевая терапия?
- Значительное разрастание опухолевой ткани в красном костном мозге.
- Рост опухолевых клеток в трубчатых костях 2.
- Сильное увеличение печени и селезенки.
Применяется гамма-терапия - облучение области селезенки гамма-лучами. Основная задача - уничтожить или прекратить рост злокачественных опухолевых клеток. Лучевую дозу и режим облучения определяет лечащий врач.
| К длинным трубчатым костям относят кости плеча, предплечья, пальцев, голени, бедра. В детстве эти кости целиком заполнены красным костным мозгом. У взрослого человека красный костный мозг сохраняется только в головках костей, а в теле кости он замещается на желтый костный мозг (жир). При хроническом миелоидном лейкозе желтый костный мозг может быть вытеснен опухолевой тканью. |
Удаление селезенки (спленэктомия)
Удаление селезенки используется редко по ограниченным показаниям (инфаркт селезенки, тромбоцитопения, выраженный дискомфорт в животе).
Операцию обычно проводят в терминальную фазу заболевания. Вместе с селезенкой из организма удаляют большое количество опухолевых клеток, тем самым облегчая течение заболевания. После операции обычно увеличивается эффективность медикаментозной терапии.
- Разрыв селезенки.
- Угроза разрыва селезенки.
- Значительное увеличение органа в размерах, что приводит к сильному дискомфорту.
Очистка крови от избыточного количества лейкоцитов (лейкаферез)
При высоких уровнях лейкоцитов (500,0 · 10 9 /л и выше), могут использовать лейкаферез для предотвращения осложнений (отек сетчатки, приапизм, микротромбозы ).
При развитии бластного криза, лечение будет таким же, как при острых лейкозах (см. острый лимфолейкоз).
Лейкоцитаферез - лечебная процедура, напоминающая плазмаферез (очищение крови). У пациента берут определенное количество крови и пропускают через центрифугу, в которой она очищается от опухолевых клеток.
В какой фазе заболевания проводят лейкоцитаферез?
Так же, как и лучевую терапию, лейкоцитаферез проводят во время развернутой стадии миелолейкоза. Нередко его применяют в тех случаях, когда отсутствует эффект от применения лекарственных средств. Иногда лейкоцитаферез дополняет медикаментозную терапию.
Хронический миелолейкоз
Хронический миелолейкоз - это злокачественное миелопролиферативное заболевание, характеризующееся преимущественным поражением гранулоцитарного ростка. Может долгое время протекать бессимптомно. Проявляется склонностью к субфебрилитету, ощущением полноты в животе, частыми инфекциями и увеличением селезенки. Наблюдаются анемия и изменение уровня тромбоцитов, сопровождающиеся слабостью, бледностью и повышенной кровоточивостью. На заключительной стадии развиваются лихорадка, лимфоаденопатия и кожная сыпь. Диагноз устанавливается с учетом анамнеза, клинической картины и данных лабораторных исследований. Лечение - химиотерапия, радиотерапия, пересадка костного мозга.
МКБ-10

Общие сведения
Хронический миелолейкоз - онкологическое заболевание, возникающее в результате хромосомной мутации с поражением полипотентных стволовых клеток и последующей неконтролируемой пролиферацией зрелых гранулоцитов. Составляет 15% от общего количества гемобластозов у взрослых и 9% от общего числа лейкозов во всех возрастных группах. Обычно развивается после 30 лет, пик заболеваемости хроническим миелолейкозом приходится на возраст 45-55 лет. Дети до 10 лет страдают исключительно редко.
Хронический миелолейкоз одинаково распространен у женщин и у мужчин. Из-за бессимптомного или малосимптомного течения может становиться случайной находкой при исследовании анализа крови, взятого в связи с другим заболеванием или во время профилактического осмотра. У части больных хронический миелолейкоз выявляется на заключительных стадиях, что ограничивает возможности терапии и ухудшает показатели выживаемости. Лечение проводят специалисты в области онкологии и гематологии.
Причины
Хронический миелолейкоз считается первым заболеванием, при котором достоверно установлена связь между развитием патологии и определенным генетическим нарушением. В 95% случаев подтвержденной причиной хронического миелолейкоза является хромосомная транслокация, известная как «филадельфийская хромосома». Суть транслокации заключается во взаимной замене участков 9 и 22 хромосом. В результате такой замены формируется устойчивая открытая рамка считывания. Образование рамки вызывает ускорение деления клеток и подавляет механизм восстановления ДНК, что увеличивает вероятность возникновения других генетических аномалий.
В числе возможных факторов, способствующих появлению филадельфийской хромосомы у больных хроническим миелолейкозом, называют ионизирующее облучение и контакт с некоторыми химическими соединениями.
Патогенез
Итогом мутации становится усиленная пролиферация полипотентных стволовых клеток. При хроническом миелолейкозе пролиферируют преимущественно зрелые гранулоциты, но аномальный клон включает в себя и другие клетки крови: эритроциты, моноциты, мегакариоциты, реже - В- и Т-лифоциты. Обычные гемопоэтические клетки при этом не исчезают и после подавления аномального клона могут служить основой для нормальной пролиферации кровяных клеток. Для хронического миелолейкоза характерно стадийное течение.
- При первой, хронической (неактивной) фазе отмечается постепенное усугубление патологических изменений при сохранении удовлетворительного общего состояния.
- Во второй фазе хронического миелолейкоза - фазе акселерации изменения становятся явными, развиваются прогрессирующие анемия и тромбоцитопения.
- Заключительной стадией хронического миелолейкоза является бластный криз, сопровождающийся быстрой экстрамедуллярной пролиферацией бластных клеток.
Источником бластов становятся лимфатические узлы, кости, кожа, ЦНС и т. д. В фазе бластного криза состояние больного хроническим миелолейкозом резко ухудшается, развиваются тяжелые осложнения, завершающиеся гибелью больного. У некоторых пациентов фаза акселерации отсутствует, хроническая фаза сразу сменяется бластным кризом.
Симптомы хронического миелолейкоза
Клиническая картина определяется стадией заболевания. Хроническая фаза в среднем продолжается 2-3 года, в некоторых случаях - до 10 лет. Для этой фазы хронического миелолейкоза характерно бессимптомное течение или постепенное появление «легких» симптомов: слабости, некоторого недомогания, снижения трудоспособности и чувства переполнения живота. При объективном осмотре больного хроническим миелолейкозом может обнаруживаться увеличение селезенки. По анализам крови выявляется повышение количества гранулоцитов до 50-200 тыс./мкл при бессимптомном течении заболевания и до 200-1000 тыс./мкл при «легких» признаках.
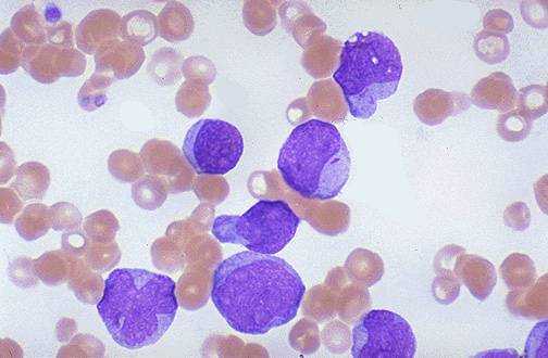
На начальных стадиях хронического миелолейкоза возможно некоторое снижение уровня гемоглобина. В последующем развивается нормохромная нормоцитарная анемия. При исследовании мазка крови пациентов с хроническим миелолейкозом отмечается преобладание молодых форм гранулоцитов: миелоцитов, промиелоцитов, миелобластов. Наблюдаются отклонения от нормального уровня зернистости в ту или иную сторону (обильная или очень скудная). Цитоплазма клеток незрелая, базофильная. Определяется анизоцитоз. При отсутствии лечения хроническая фаза переходит в фазу акселерации.
О начале фазы акселерации может свидетельствовать как изменение лабораторных показателей, так и ухудшение состояния пациентов. Возможно нарастание слабости, увеличение печени и прогрессирующее увеличение селезенки. У больных хроническим миелолейкозом выявляются клинические признаки анемии и тромбоцитопении или тробоцитоза: бледность, быстрая утомляемость, головокружения, петехии, кровоизлияния, повышенная кровоточивость. Несмотря на проводимое лечение, в крови пациентов с хроническим миелолейкозом постепенно увеличивается количество лейкоцитов. При этом отмечается возрастание уровня метамиелоцитов и миелоцитов, возможно появление единичных бластных клеток.
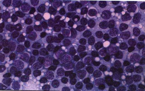
Бластный криз сопровождается резким ухудшением состояния больного хроническим миелолейкозом. Возникают новые хромосомные аномалии, моноклоновое новообразование трансформируется в поликлоновое. Отмечается нарастание клеточного атипизма при угнетении нормальных ростков кроветворения. Наблюдаются ярко выраженные анемия и тромбоцитопения. Суммарное количество бластов и промиелоцитов в периферической крови составляет более 30%, в костном мозге - более 50%. Пациенты с хроническим миелолейкозом теряют вес и аппетит. Возникают экстрамедуллярные очаги незрелых клеток (хлоромы). Развиваются кровотечения и тяжелые инфекционные осложнения.
Диагностика
Диагноз устанавливается на основании клинической картины и результатов лабораторных исследований. Первое подозрение на хронический миелолейкоз часто возникает при повышении уровня гранулоцитов в общем анализе крови, назначенном в порядке профилактического осмотра или обследования в связи с другим заболеванием. Для уточнения диагноза могут использоваться данные гистологического исследования материала, полученного при стернальной пункции костного мозга, однако окончательный диагноз «хронический миелолейкоз» выставляется при выявлении филадельфийской хромосомы при помощи ПЦР, флюоресцентной гибридизации или цитогенетического исследования.
Вопрос о возможности постановки диагноза хронический миелолейкоз при отсутствии филадельфийской хромосомы остается дискутабельным. Многие исследователи считают, что подобные случаи могут объясняться комплексными хромосомными нарушениями, из-за которых выявление данной транслокации становится затруднительным. В ряде случаев филадельфийскую хромосому можно обнаружить при использовании ПЦР с обратной транскрипцией. При отрицательных результатах исследования и нетипичном течении заболевания обычно говорят не о хроническом миелолейкозе, а о недифференцированном миелопролиферативном/миелодиспластическом расстройстве.
Лечение хронического миелолейкоза
Тактику лечения определяют в зависимости от фазы заболевания и выраженности клинических проявлений. В хронической фазе при бессимптомном течении и слабо выраженных лабораторных изменениях ограничиваются общеукрепляющими мероприятиями. Больным хроническим миелолейкозом рекомендуют соблюдать режим труда и отдыха, принимать пищу, богатую витаминами и т. д. Лечение может включать:
- Монохимиотерапию. При повышении уровня лейкоцитов используют бусульфан. После нормализации лабораторных показателей и уменьшения селезенки пациентам с хроническим миелолейкозом назначают поддерживающую терапию или курсовое лечение бусульфаном. При бластных кризах осуществляют лечение гидроксикарбамидом.
- Радиотерапию. Облучение обычно используют при лейкоцитозе в сочетании со спленомегалией. При снижении уровня лейкоцитов делают паузу продолжительностью не менее месяца, а затем переходят на поддерживающую терапию бусульфаном. Радиотерапию также назначают при хлоромах.
- Полихимиотерапию. В прогрессирующей фазе хронического миелолейкоза возможно использование одного химиопрепарата или полихимиотерапии. Применяют митобронитол, гексафосфамид или хлорэтиламиноурацил. Как и в хронической фазе, проводят интенсивную терапию до стабилизации лабораторных показателей, в последующем переходят на поддерживающие дозы. Курсы полиохимиотерапии при хроническом миелолейкозе повторяют 3-4 раза в год.
- Гемокоррекцию. При неэффективности терапии используют лейкоцитаферез. При выраженной тромбоцитопении, анемии выполняют переливания тромбоконцентрата и эритроцитарной массы.
- ТКМ.Пересадку костного мозга проводят в первой фазе хронического миелолейкоза. Продолжительной ремиссии удается достичь у 70% пациентов.
- Удаление селезенки. При наличии показаний осуществляют спленэктомию. Экстренная спленэктомия показана при разрыве или угрозе разрыва селезенки, плановая - при гемолитических кризах, «блуждающей» селезенке, рецидивирующих периспленитах и резко выраженной спленомегалии, сопровождающейся нарушением функций органов брюшной полости.
Прогноз
Прогноз при хроническом миелолейкозе зависит от множества факторов, определяющим из которых является момент начала лечения (в хронической фазе, фазе активации или в период бластного криза). В качестве неблагоприятных прогностических признаков хронического миелолейкоза рассматривают значительное увеличение печени и селезенки (печень выступает из-под края реберной дуги на 6 и более см, селезенка - на 15 и более см), лейкоцитоз свыше 100x10 9 /л, тромбоцитопению менее 150x10 9 /л, тромбоцитоз более 500х10 9 /л, повышение уровня бластных клеток в периферической крови до 1% и более, повышение суммарного уровня промиелоцитов и бластных клеток в периферической крови до 30% и более.
Вероятность неблагоприятного исхода при хроническом миелолейкозе возрастает по мере увеличения количества признаков. Причиной гибели становятся инфекционные осложнения или тяжелые геморрагии. Средняя продолжительность жизни пациентов с хроническим миелолейкозом составляет 2,5 года, однако при своевременном начале терапии и благоприятном течении заболевания этот показатель может увеличиваться до нескольких десятков лет.
Хронический лейкоз
Хронический лейкоз - это первичное опухолевое заболевание системы кроветворения, субстратом которого выступают зрелые и созревающие клетки миелоидного или лимфоидного ряда. Различные формы хронического лейкоза протекают с преобладанием интоксикационного (слабость, артралгии, оссалгии, анорексия, похудание), тромбогеморрагического (кровоточивость, тромбозы различной локализации), лимфопролиферативного синдромов (увеличение лимфоузов, спленомегалия и др.). Решающее значение в диагностике хронического лейкоза принадлежит исследованию ОАК, биоптатов костного мозга и лимфоузлов. Лечение хронических лейкозов проводится методами химиотерапии, лучевой терапии, иммунотерапии, возможна трансплантация костного мозга.


Хронический лейкоз - хронические лимфопролиферативные и миелопролиферативные заболевания, характеризующиеся избыточным увеличением количества кроветворных клеток, сохраняющих способность к дифференцировке. В отличие от острых лейкозов, при которых происходит пролиферация низкодифференцированных гемопоэтических клеток, при хронических лейкозах опухолевый субстрат представлен созревающими или зрелыми клетками. Для всех типов хронических лейкозов характерна длительная стадия доброкачественной моноклоновой опухоли.
Хронические лейкозы поражают преимущественно взрослых в возрасте 40-50 лет; мужчины болеют чаще. На долю хронического лимфоидного лейкоза приходится около 30% случаев, хронического миелоидного лейкоза - 20% всех форм лейкемии. Хронический лимфолейкоз в гематологии диагностируется в 2 раза чаще, чем хронический миелолейкоз. Лейкозы у детей протекают в хроническом варианте крайне редко - в 1-2% случаев.
Истинные причины, приводящие к развитию хронического лейкоза, неизвестны. В настоящее время наибольшее признание получила вирусно-генетическая теория гемобластозов. Согласно данной гипотезе, некоторые виды вирусов (в числе которых - вирус Эбштейна-Барр, ретровирусы и др.) способны проникать в незрелые кроветворные клетки и вызывать их беспрепятственное деление.
Не подвергается сомнению и роль наследственности в происхождении лейкозов, поскольку доподлинно известно, что заболевание нередко носит семейный характер. Кроме этого, хронический миелолейкоз в 95% случаев ассоциирован с аномалией 22-й хромосомы (филадельфийской или Рh-хромосомы), фрагмент длинного плеча которой транслоцирован на 9-ю хромосому.
Факторы риска
Наиболее значимыми предрасполагающими факторами к различным видам и формам хронических лейкозов выступают воздействия на организм:
- высоких доз радиации;
- рентгеновского облучения;
- производственных химических вредностей (лаков, красок и др.);
- лекарственных препаратов (солей золота, антибиотиков, цитостатиков);
- длительный стаж курения.
Риск развития хронического лимфоцитарного лейкоза повышается при длительном контакте с гербицидами и пестицидами, а хронического миелоидного лейкоза - при радиационном облучении.
В патогенезе хронического лимфолейкоза значимая роль принадлежит иммунологическим механизмам - об этом свидетельствует его частое сочетание с аутоиммунной гемолитической анемией и тромбоцитопенией, коллагенозами. Вместе с тем, у большинства больных хроническими лейкозами причинно значимых факторов выявить не удается.
Классификация
В зависимости от происхождения и клеточного субстрата опухоли хронические лейкозы делятся на:
- Лимфоцитарные: хронический лимфолейкоз, болезнь Сезари (лимфоматоз кожи), волосатоклеточный лейкоз, парапротеинемические гемобластозы (миеломная болезнь, макроглобулинемия Вальденстрема, болезни легких цепей, болезни тяжелых цепей).
- Миелоцитарные (гранулоцитарные): хронический миелолейкоз, эритремия, истинная полицитемия, хронический эритромиелоз и др.
- Моноцитарные: хронический моноцитарный лейкоз и гистиоцитозы.
В своем развитии опухолевый процесс при хроническом лейкозе проходит две стадии: моноклоновую (доброкачественную) и поликлоновую (злокачественную). Течение хронического лейкоза условно подразделяется на 3 стадии: начальную, развернутую и терминальную.

Симптомы хронического лейкоза
Хронический миелоидный лейкоз
В начальном периоде хронического миелолейкоза клинические проявления отсутствуют или неспецифичны, гематологические изменения выявляются случайно при исследовании крови. В доклиническом периоде возможно нарастание слабости, адинамии, потливости, субфебрилитета, болей в левом подреберье.
Переход хронического миелоидного лейкоза в развернутую стадию знаменуется прогрессирующей гиперплазией селезенки и печени, анорексией, похуданием, выраженными болями в костях и артралгиями. Характерно образование лейкемических инфильтратов на коже, слизистых полости рта (лейкемический периодонтит), ЖКТ. Геморрагический синдром проявляется гематурией, меноррагией, метроррагией, кровотечениями после экстракции зубов, кровавыми поносами. В случае присоединения вторичной инфекции (пневмонии, туберкулеза, сепсиса и др.) температурная кривая приобретает гектический характер.
Терминальная стадия хронического миелоидного лейкоза протекает с резким обострением всех симптомов и выраженной интоксикацией. В этот период может развиваться плохо поддающееся терапии и угрожающее жизни состояние - бластный криз, когда из-за резкого увеличения количества бластных клеток течение заболевания становится похожим на острый лейкоз. Для бластного криза характерна агрессивная симптоматика: лейкемиды кожи, тяжелые кровотечения, вторичные инфекции, высокая температура, возможен разрыв селезенки.
Хронический лимфолейкоз
Долгое время единственным признаком хронического лимфолейкоза может быть лимфоцитоз до 40-50%, незначительное увеличение одной-двух групп лимфоузлов. В развернутый период лимфаденит принимает генерализованную форму: увеличиваются не только периферические, но и медиастинальные, мезентериальные, забрюшинные узлы. Возникает сплено- и гепатомегалия; возможно сдавление холедоха увеличенными лимфатическими узлами с развитием желтухи, а также верхней полой вены с развитием отеков шеи, лица, рук (синдром ВПВ). Беспокоят упорные оссалгии, кожный зуд, рецидивирующие инфекции.
Тяжесть общего состояния больных хроническим лимфоидным лейкозом обусловлена прогрессированием интоксикации (слабость, потливость, лихорадка, анорексия) и анемического синдрома (головокружение, одышка, сердцебиение, обморочные состояния).
Терминальная стадия хронического лимфоидного лейкоза характеризуется присоединением геморрагического и иммунодефицитного синдромов. В этот период развивается тяжелая интоксикация, возникают кровоизлияния под кожу и слизистые, носовые, десневые, маточные кровотечения.
Осложнения
Иммунодефицит, обусловленный неспособностью функционально незрелых лейкоцитов выполнять свои защитные функции, проявляется синдромом инфекционных осложнений. У больных хроническим лимфолейкозом часты легочные инфекции (бронхиты, бактериальные пневмонии, туберкулезные плевриты), грибковые поражения кожи и слизистых, абсцессы и флегмоны мягких тканей, пиелонефриты, герпетическая инфекция, сепсис.
Нарастают дистрофические изменения внутренних органов, кахексия, почечная недостаточность. Летальный исход при хроническом лимфоидном лейкозе наступает от тяжелых инфекционно-септических осложнений, кровотечений, анемии, истощения. Возможна трансформация хронического лимфолейкоза в острый лейкоз или лимфосаркому (неходжкинскую лимфому).
Предполагаемый диагноз устанавливается на основании анализа гемограммы, с результатами которой пациент должен быть немедленно направлен к врачу-гематологу. Для подтверждения диагноза проводится:
- Общий анализ крови. Типичные для хронического миелоидного лейкоза изменения включают: анемию, присутствие единичных миелобластов и гранулоцитов на разной стадии дифференцировки; в период бластного криза количество бластных клеток увеличивается более чем на 20%. При хроническом лимфолейкозе определяющими гематологическими признаками выступают выраженный лейкоцитоз и лимфоцитоз, наличие лимфобластов и клеток Боткина-Гумпрехта.
- Пункции и биопсии. С целью определения морфологии опухолевого субстрата показано выполнение стернальной пункции, трепанобиопсии, биопсии лимфоузлов. В пунктате костного мозга при хроническом миелолейкозе увеличено количество миелокариоцитов за счет незрелых клеток гранулоцитарного ряда; в трепанобиоптате определяется замещение жировой ткани миелоидной. При хроническом лимфоидном лейкозе миелограмма характеризуется резким усилением лимфоцитарной метаплазии.
- Инструментальные исследования. Для оценки выраженности лимфопролиферативного синдрома применяются УЗИ лимфатических узлов, селезенки, рентгенография грудной клетки, лимфосцинтиграфия, МСКТ брюшной полости и ряд других.
Лечение хронического лейкоза
На ранней доклинической стадии лечение неэффективно, поэтому больные подлежат динамическому наблюдению. Общережимные мероприятия предполагают исключение физических перегрузок, стрессов, инсоляции, электропроцедур и теплолечения; полноценное витаминизированное питание, длительные прогулки на свежем воздухе.
В развернутом периоде миелолейкоза назначается химиотерапевтическое лечение (бусульфан, митобронитол, гидроксимочевина и др.), при выраженной спленомегалии проводится облучение селезенки. Подобная тактика, хоть и не приводит к полному излечению, но существенно тормозит прогрессирование болезни и позволяет отсрочить наступление бластного криза. Кроме медикаментозной терапии, при хроническом миелоцитарном лейкозе используются процедуры лейкафереза. В ряде случаев излечение достигается с помощью трансплантации костного мозга.
При переходе хронического миелолейкоза в терминальную стадию назначается высокодозная полихимиотерапия. В среднем после установления диагноза больные хроническим миелолейкозом живут 3-5 лет, в отдельных случаях - 10-15 лет. Также проводится цитостатическая терапия (хлорбутин, циклофосфамид), иногда в сочетании со стероидной терапией, облучением лимфоузлов, селезенки, кожи. При значительном увеличении селезенки выполняется спленэктомия. Применяется трансплантация стволовых клеток, однако ее эффективность еще требует подтверждения.

Продолжительность жизни больных хроническим лимфоидным лейкозом может составлять от 2-3 лет (при тяжелых, неуклонно прогрессирующих формах) до 20-25 лет (при относительно благоприятном течении).
Читайте также:

