Лечение рака легкого. Эндоскопическая терапия и рентгенотерапия рака легкого
Добавил пользователь Евгений Кузнецов Обновлено: 22.01.2026
Рак легких представляет собой группу злокачественных опухолей, произрастающих из клеток бронхов, слизистых бронхиальных желез и альвеол. Это одна из агрессивных форм рака, поскольку опухоль склонна к метастазированию и ранним рецидивам даже после радикального лечения.
Преимущество лечения рака легкого
Наша клиника обладает следующими возможностями лечения рака легких:
- Оперативное лечение. Наши операционные оснащены всем необходимым оборудованием, а также на вооружении нашей клиники имеется метод аргоноплазменной коагуляции. Это один из лучших современных методов температурной коагуляции, при котором высокочастотный ток воздействует на ткани организма через струю газа (аргона). В результате удается достичь остановки кровотечения, без операции удалить опухоль из просвета бронхов и трахеи и в целом данный метод оказывает положительное влияние на течение заболевания.
- Мы применяем оригинальные противоопухолевые препараты, в том числе новейшие разработки в области таргетной терапии и иммунотерапии.
- Персонифицированная терапия. Мы подбираем лечение с учетом молекулярно-генетических особенностей опухоли, что позволяет добиться максимальной эффективности терапии, снизив при этом нежелательные риски.
- Эффективная поддерживающая терапия. Наши специалисты владеют необходимыми компетенциями, которые помогут уменьшить проявление нежелательного воздействия противоопухолевого лечения на организм.
- Возможности паллиативного лечения. При нецелесообразности дальнейшего противоопухолевого лечения, наши специалисты разрабатывают программу паллиативной терапии.
- При необходимости, мы оказываем хосписную помощь на базе нашего стационара. Время пребывания пациентов в нем не ограничено.



Андрей Львович Пылёв
Главный врач сети «Евроонко», онколог, кандидат медицинских наук
Рак легких - самое распространенное онкологическое заболевание у мужчин. Из-за агрессивного течения злокачественную опухоль нередко выявляют на поздних стадиях, и бороться с ней сложно. В клиниках «Евроонко» применяются все современные виды лечения, оригинальные противоопухолевые препараты последних поколений. Мы готовы немедленно приступить к лечению, в том числе в экстренном порядке, в любое время суток.


Виды диагностики рака легких
Для постановки диагноза и определения стадии заболевания, необходимы специальные методы обследования:
- Рентгенография органов грудной клетки. Этот метод в большинстве случаев не позволяет непосредственно визуализировать опухоль в легких, тем не менее по косвенным признакам можно заподозрить ее наличие.
- Компьютерная томография легких. Это более информативный метод диагностики. Он позволяет обнаружить новообразования, даже когда они еще не привели к нарушению вентиляции пораженных сегментов легких. Кроме того, с помощью КТ выявляют и перибронхиальные новообразования.
- Бронхоскопия — осмотр бронхиального дерева с помощью специальной эндоскопической аппаратуры. Этот метод позволяет визуализировать эндобронхиально растущие новообразования и, при необходимости, взять материал для цитологического или морфологического исследования.
- Морфологическое заключение. В онкологии для постановки окончательного диагноза всегда необходимо заключение патоморфолога. Он исследует опухоль под микроскопом, определяет ее гистологические и молекулярно-генетические особенности. Эти данные влияют на выбор тактики лечения. Получить материал для такого исследования можно с помощью пункции через грудную стенку, при проведении бронхоскопии, во время операции или при помощи эндоскопического ультразвукового исследования, проводимого изнутри, который является самым безопасным методом на сегодняшний день.
- УЗИ, ПЭТ, сцинтиграфия и другие методы медицинской визуализации позволяют обнаружить отдаленные метастазы.
Специалисты «Евроонко» работают согласно международным протоколам лечения онкологических заболеваний.
Методы лечения рака легких
Для данной локализации актуально применение 3 основных методов: хирургическое вмешательство, лучевая терапия, химиотерапия.
Оперативное лечение рака легких
Хирургическая операция является ключевым методом лечения рака легких. Для того чтобы обеспечить радикальность удаления опухоли, необходимо соблюсти следующие условия:
- Удаление новообразования проводится единым блоком вместе с пораженным тканями, регионарными лимфатическими узлами и, при необходимости, окружающей клетчаткой.
- В краях отсечения не должно быть злокачественных клеток. Это проверяется во время срочного гистологического исследования.
Объем операции определяется размером рака легких и его локализацией. В целом проводят следующие виды операций:
- Лобэктомия — удаление доли легкого.
- Пневмонэктомия — удаление всего легкого, вместе с регионарными лимфоузлами и жировой клетчаткой на стороне поражения.
Такими методами удаляют периферический рак легкого, когда опухоль поражает бронхи мелких калибров и альвеолы. Это очень травматичные операции, при которых производится вскрытие грудной клетки.
Однако есть более щадящие варианты, например, проведение видеоассистированной торакоскопии, при которой все манипуляции проводятся через небольшие проколы в грудной стенке.
При центральном раке легких, когда новообразование локализуется в крупных бронхах, можно эндобронхиальным доступом применять эндоскопические операции, во время которых производится удаление опухоли и наложение межбронхиальных анастомозов.
При распространенном процессе, когда рак легких распространяется на другие органы и ткани грудной клетки, проводят обширные комбинированные вмешательства с резекцией пораженных органов.


Свяжитесь с нами, чтобы узнать подробности и записаться на прием к врачу-специалисту в наш онкологический центр.
или заполнив форму обратной связи


Лучевая терапия рака легких
Лучевая терапия рака легких проводится в составе комбинированного лечения. При этом могут преследоваться следующие цели:
- Полное удаление опухоли, т. е. радикальное лечение. Раньше лучевая терапия была основным методом терапии рака легких, но ее эффективность оставляла желать лучшего. В настоящее время в качестве самостоятельного лечения ее можно предложить в рамках терапии опухолей 1-2 стадии при категорическом отказе пациента от операции или невозможности ее проведения по тем или иным причинам. Низкая эффективность обусловлена тем, что в грудной полости располагаются жизненно важные органы, чувствительные к ионизирующему излучению, поэтому суммарная очаговая доза не превышает 60-70 Гр, а этого недостаточно для радикального уничтожения легочной опухоли.
- Уменьшение размеров опухоли перед ее хирургическим удалением — неоадъювантная лучевая терапия. Этот вид воздействия проводится для перевода опухоли из неоперабельного состояния в операбельное. При этом увеличиваются шансы на радикальное лечение.
- Послеоперационная лучевая терапия проводится с целью уничтожения оставшихся злокачественных клеток.
- Паллиативная лучевая терапия проводится для уменьшения объема опухолевой массы и минимизации патологических симптомов.
Особый интерес представляют современные методы лучевой терапии, например, комбинация дистацинонной лучевой терапии с эндобронхиальной. Это позволяет подвести максимальную дозу непосредственно к новообразованию, снизив негативное воздействие на жизненно важные органы. Еще одним перспективным методом лечения рака легких является стереотаксическая хирургия по типу «кибер-нож» или гамма-нож». Такие технологии позволяют подавать в одну точку мощнейшие дозы излучения, оставляя интактными окружающие ткани. Это неинвазивный метод лечения, но его эффективность сопоставима с хирургической операцией.
Прогноз при раке легких зависит от стадии заболевания на момент диагностики, а также от гистологического и молекулярно-генетического варианта опухоли. На начальных стадиях прогноз благоприятный, а в запущенных случаях, пятилетней выживаемости удается достичь приблизительно у 10-15% больных.
Химиотерапия рака легкого
Возможности химиотерапевтического лечения рака легкого зависят от гистологического варианта опухоли. Например, мелкоклеточный рак легких является химиочувствительным, и у таких пациентов удается добиться ремиссии приблизительно в 80% случаев, а полной ремиссии - у 40%. При этом средняя продолжительность жизни достигает 20 месяцев. В рамках терапии первой линии используются схемы на основе цисплатина и этопозида.
Немелкоклеточный рак легкого обладает меньшей чувствительностью к химиотерапии. В рамках терапии первой линии используются двухкомпонентные схемы на основе препаратов платины. При прогрессировании заболевания, переходят на схемы 2 и 3 линии, если пациент в состоянии перенести такую терапию. Следует отметить, что ее эффективность с каждым последующим режимом уменьшается.
Если состояние пациента оценивается менее, чем в 3 балла по шкале ВОЗ, назначается поддерживающая терапия.



Таргетная терапия рака легких
Таргетная терапия - это лечение особыми препаратами, действие которых направлено на молекулярные механизмы, обеспечивающие жизнедеятельность злокачественной опухоли. Сюда относят способность раковых клеток к бесконтрольному размножению, защиту от уничтожения иммунной системой и др.
Знания об этих механизмах позволяют создавать особые препараты, которые прицельно блокируют процессы жизнедеятельности опухоли, минимально воздействуя на организм. При раке легких применяют следующие виды таргетных препаратов:
- Блокаторы ангиогенеза — бевацизумаб, рамуцизумаб. Ангиогенез - это процесс образования новых кровеносных сосудов. Он крайне необходим злокачественной опухоли ввиду того, что она быстро растет, и ей нужно обеспечивать себя притоком крови. Если блокировать этот процесс, опухоль не сможет расти.
- Блокаторы эпидермального фактора роста — эрлотиниб, афатиниб, гефитиниб и др. Эпидермальный фактор роста в норме обеспечивает деление клеток, но у злокачественных клеток происходит сбой, и этот процесс становится слишком активным, провоцируя их бесконтрольное размножение.
- Блокаторы ALK - кризотиниб, церитиниб и др. ALK - это особый мутантный белок, который образуется при раке легких у некурящих или малокурящих людей. Его обнаруживают у 3-7% таких пациентов.
- Ингибиторы BRAF - еще одного белка, который обеспечивает бесконтрольное размножение клеток. При раке легкого применяется дабрафениб и траметиниб.
Как проводится лечение рака легкого
Схема лечения рака легкого определяется индивидуально для каждого пациента. При этом учитывается гистологический вариант опухоли, ее чувствительность к химиотерапии и таргетной терапии, стадия заболевания, общее состояние больного.
По возможности, лечение злокачественных легочных опухолей начинают с операции. Если новообразование нерезектабельно, проводят неоадъювантную химиотерапию или лучевую терапию и по ее результатам решают вопрос об операции. После удаления рака, может понадобиться адъювантная химия или лучевая терапия.
При рецидиве или прогрессировании заболевания, схему лечения меняют. Однако следует учитывать, что с каждым разом добиться ремиссии или регресса все сложнее. Если радикальное противоопухолевое лечение не показано, проводят поддерживающую паллиативную терапию. Она направлена на уменьшение симптомов заболевания и борьбу с его осложнениями. При легочной патологии, в первую очередь это касается терапии боли, восстановления (по возможности) функции дыхания, и лечение опухолевых плевритов и перикардитов. При необходимости, такие пациенты могут госпитализироваться в наше хосписное отделение, где им в круглосуточном режиме оказывается паллиативная помощь.


Лучевая терапия рака легкого
Рак лёгкого — одно из наиболее распространённых онкологических заболеваний не только в России, но и во всём мире. Лечение его требует сочетанного применения различных видов терапии, в том числе и лучевого лечения. В зависимости от гистологического подтипа рак лёгкого подразделяется на мелкоклеточный и немелкоклеточный, подходы к лечению этих подтипов отличаются.
Мелкоклеточный рак лёгкого
Мелкоклеточный рак лёгкого (МРЛ) характеризуется большей агрессивностью и злокачественностью течения, однако благодаря этим особенностям он является высокорадиочувствительным. Лучевая терапия широко применяется при лечении мелкоклеточного рака лёгкого — как в радикальном варианте, так и в адъювантном, и в паллиативном.
У больных ранними, I и IIA стадиями, возможно выполнение хирургического лечения; однако в случае выявления поражённых лимфоузлов средостения требуется проведение послеоперационной лучевой терапии на средостение после завершения химиотерапии или одновременно с ней.
Альтернативой хирургическому лечению может быть стереотаксическая лучевая терапия — подведение значительной суммарной дозы локально на опухоль за небольшое количество сеансов.

Химиолучевая терапия
При локализованных формах мелкоклеточного рака лёгкого общепризнанным стандартом является химиолучевая терапия. Лучевая терапия проводится на область первичного очага, корня легкого и средостения с подведением суммарной очаговой дозы 40-45 Гр.
Начало лучевой терапии должно быть максимально приближено к началу химиотерапии, то есть лучше всего начинать лучевую терапию либо на фоне проведения 1-2 курсов химиотерапии, либо после проведения оценки эффективности двух курсов химиотерапии. Рекомендации RUSSCO уточняют, что в первом случае лучевой метод лечения начинают с первой недели химиотерапевтического лечения («ранняя» лучевая терапия) или после третьей недели («поздняя» лучевая терапия), причём «ранний» вариант является более предпочтительным. Также возможно проведение лучевой терапии дважды в день с интервалом 4-6 часов между фракциями по 1,5 Гр до СОД 45 Гр.
Профилактическое облучение головного мозга
Отдельно хотелось бы остановиться на профилактическом облучении головного мозга (ПОМ). Особенностью МРЛ, проистекающей из его высокой агрессивностью, является частое метастазирование в головной мозг — до 70% случаев. ПОМ проводится у пациентов без выявленных по данным МРТ метастазов и с достигнутым контролем над первичной опухолью с целью предотвращения отсева опухолевых клеток и развития из них полноценных метастазов.
При ПОМ разовая суммарная доза обычно ниже, чем при облучении всего головного мозга при выявленном местатическом поражении, — 2 или 2,5 Гр (всего 15 и 10 фракций соответственно), хотя клинические рекомендации RUSSCO предусматривают и 3 Гр. Большие суммарные дозы приводят к большему числу осложнению, поэтому оптимальной СОД является 30 Гр.
Для назначения ПОМ необходимо выполнить МРТ головного мозга — даже если исследование, выполненное на этапе обследования до начала лечения, показало отсутствие метастатического поражения, невозможно полностью исключить вероятность отсева опухолевых клеток в дальнейшем. Предлучевая подготовка и последующее лечение будет проводиться в индивидуальной термопластической маске, которая, во-первых, обеспечит надежную фиксацию, и, во-вторых, будет нести на себе метки, по которым будет производиться укладка.
В качестве сопроводительной терапии может быть назначен дексаметазон в низких дозах с целью профилактики отёка. Также рекомендации NCCN предлагают применение препарата мемантин для сохранения когнитивных функций.
| Подробнее о лечении рака легких в «Евроонко»: | |
| Лечение рака легких | |
| Консультация онколога в «Евроонко» | от 5 100 руб |
| Скорая помощь для онкологических больных | от 12 100 руб |
| Консультация радиолога | 11 500 руб |
Немелкоклеточный рак лёгкого
Немелкоклеточный рак диагностируется в 85% случаев и имеет более медленное течение, нежели мелкоклеточный вариант. При ранних стадиях чаще всего применяется хирургический метод лечения. В отдельных случаях может быть проведена стереотаксическая гипофракционная радиотерапия, например, при высоком риске развития осложнений, тяжелой сопутствующей патологии, отказе пациента.
Рекомендации Ассоциации онкологов России предлагают короткий курс с РОД 7 — 12 Гр до СОД 56 — 48 Гр соответственно, рекомендации NCCN также предлагают режим с РОД 10 Гр до СОД 50 Гр.
При ранних стадиях послеоперационная лучевая терапия применяется только в случае, если операция была выполнена нерадикально; при выявлении пораженных регионарных лимфатических узлов лучевая терапия также может быть дополнена химиотерапией.
При местнораспространённых стадиях химиолучевая может быть назначена как предоперационно с целью уменьшения опухоли, так и в самостоятельном варианте.
При лечении немелкоклеточного рака лёгкого применяется высокая суммарная доза — 60 Гр на первичную опухоль, 40-45 Гр на регионарные лимфатические узлы, согласно рекомендациям Ассоциации онкологов России; в рекомендациях NCCN допускается увеличение СОД до 70 Гр при проведении радикального курса, пред- и послеоперационные курсы требуют меньших суммарных доз — 45-54 Гр и 50-54 Гр соответственно.

Что нужно знать пациенту
Несмотря на различное течение двух видов заболевания, принципы проведения лучевой терапии довольно схожи.
Данные обследований
Врачу-радиологу необходимо предоставить все данные обследований — как первоначальные, так и выполненные после химиотерапии. Последнее исследование должно быть как можно более свежим — его данные будут учтены не только при выработке тактики лечения, но и при непосредственном выборе объёмов облучения.
Предлучевая подготовка
Предлучевая топометрическая подготовка может быть выполнена с применением внутривенного контрастирования — это позволит точно определить объём первичной опухоли при планировании программы лечения. В этом случае перед топометрической подготовкой необходимо сдать биохимический анализ крови, установить периферический венозный катетер, который по завершению исследования будет удален, и далее в течение дня желательно употреблять больше жидкости. Обязательно уведомите врача, если есть аллергия на йод.
Фиксирующие приспособления
Чтобы положение тела было воспроизводимым от сеанса к сеансу, применяются фиксирующие приспособления — позиборд и подколенник. Они применяются как во время топометрической подготовки, так и во время сеанса лечения.
Для учёта движения опухоли лечение может проводиться под контролем дыхательных движений — на свободном дыхании или с задержкой на вдохе.
Побочные эффекты лучевой терапии
Проведение химиолучевой терапии связано с токсичностью, поэтому необходимо регулярно сдавать клинический анализ крови.
Одной из наиболее часто развивающихся лучевых реакций является эзофагит — реакция со стороны слизистой пищевода, приводящая к значительной болезненности при глотании и затруднению прохождения пищи и жидкости по пищеводу. Проговорите заранее с лечащим врачом, какие препараты следует принимать профилактически и какую диету соблюдать. Обязательно сообщайте врачу о появлении и нарастании симптомов.
Контрольное обследование рекомендуется проводить не раньше, чем через 1,5-2 месяца после завершения лучевого лечения — за этот срок полностью реализуется лечебный эффект, и его можно будет оценить достоверно.
Лечение рака легкого
Рак легких — одно из самых распространенных онкозаболеваний во всем мире. Ежегодно он уносит больше жизней, чем в совокупности рак кишечника, предстательной железы, молочных желез и яичников. Основной фактор риска — курение. Чем дольше человек курит и чем больше сигарет выкуривает ежедневно, тем выше у него риск возникновения злокачественной опухоли в легких. Расставаться с вредной привычкой не поздно ни в каком возрасте: в любом случае риски постепенно снизятся.
Причины рака легкого
В случае с большинством онкологических заболеваний корректнее говорить не о причинах, а о факторах риска. Они не приводят к раку со стопроцентной вероятностью, но повышают риск заболеть:
- Как мы уже упомянули, основной фактор риска рака легких — курение. Причем, не только активное, но и пассивное. Если рядом с вами постоянно кто-то курит, ваше здоровье в опасности.
- Некоторые люди на рабочем месте контактируют с такими веществами, как асбест, никель, хром, мышьяк. Эти канцерогены повышают риск рака легких.
У некоторых людей отягощенная наследственность. Риски повышены, если злокачественная опухоль в легких диагностирована у одного из родителей, родного брата или сестры. - В почве, скальных породах и воде содержится небольшое количество урана. Он распадается с образованием газа радона, который затем попадает в воздух. Иногда он скапливается в помещениях в опасных концентрациях.
Прогноз при раке легкого
Серьезность прогноза предстоящей жизни при диагностированном раке легкого для жизни очевидна. Обычно для оценки прогноза опухоли используется показатель пятилетней выживаемости, он зависит от вида опухоли, стадии заболевания и наличия (распространенности) метастазов.

На ранних стадиях заболевания (немелкоклеточный рак легкого в первой стадии) 5-летняя выживаемость при раке легких отмечается примерно у 60% пациентов; во II стадии — примерно у 40% пациентов, в IIIa стадии — около 15%. На поздних стадиях заболевания шансы достигнуть 5-летней выживаемости стремятся к нулю.
Мелкоклеточный рак легкого наиболее «злой» из известных видов опухолей легких, в зависимости от распространенности дающий от 1 до 5% 5-летней выживаемости. При этом наиболее чувствителен и к химио- и к лучевой терапии, поэтому рано начатое лечение существенно улучшает прогноз при мелкоклеточном раке легкого 1-3 стадии..
Успешное лечение немелкоклеточного рака легкого зависит от возможности проведения адекватного хирургического пособия. Своевременное применение современных схем полихимиотерапии в совокупности с таргетными препаратами увеличивает продолжительность жизни до 6-8 месяцев, а у 20-25% пациентов — свыше года.
Виды злокачественных опухолей легких
Выбор тех или иных методов лечения сильно зависит от того, какой тип рака легких обнаружен у пациента. Выделяют два основных типа, в зависимости от того, как раковые клетки выглядят под микроскопом:
- Чаще всего встречается немелкоклеточный рак легкого, который включает разные подтипы опухолей:плоскоклеточный рак, аденокарциному, крупноклеточный рак.
- Менее распространен мелкоклеточный рак легкого. Он встречается практически только у курильщиков.
К сожалению, психологический шок, вызываемый диагнозом онкологического заболевания вообще и рака легких в частности, лишает многих людей способности трезво оценивать ситуацию и доверять мало-, а то и совсем непроверенным методам народной медицины.
Вокруг лечения онкологии легких существует множество не имеющих под собой никакого основания мифов об эффективности лечения березовым грибом, настойками лопуха, календулы с ромашкой, мухоморов, водки с прополисом, вплоть до самых анекдотичных методов.
Современная доказательная медицина в обосновании лечения онкологии легких исходит из строго научного обоснования применения тех или иных протоколов. Основой выбора, осуществляемого лечащим врачом, служит морфологическая характеристика опухоли, ее распространенность, наличие или отсутствие метастазов, общее состояние больного.
Хорошо известно, что мелкоклеточный вариант заболевания лучше поддается лечением химиотерапии, а немелкоклеточные варианты предполагают оперативное лечение или комбинированные схемы, в зависимости от стадии и распространенности.
Помимо хирургического лечения при раке легкого могут использоваться различные программы лучевой терапии в сочетании с химиотерапией. Психологические сложности и душевные переживания, возникающие у пациента и родственников, помогут решить специалисты-психоонкологи.

Химиотерапия при раке легкого
В последнее время наиболее перспективными для лечения немелкоклеточного рака считаются таргетные препараты (небольшие молекулы и моноклональные антитела, целенаправленно действующие на определенные тканевые мишени — фактор роста эпителия и образования новых сосудов в злокачественной опухоли. Препараты этого ряда гефитиниб (Иресса) и эрлотиниб (Тарцева) используют в качестве терапии второй или третьей линии при некоторых видах рака легких, экспрессирующих определенный вид рецепторов - EGFR. В значительном количестве случаев химиотерапия позволяет не только добиться уменьшения размеров опухоли, предупреждения ее метастазирования и восстановления качества жизни, но и добиться стойкой долгосрочной ремиссии или выздоровления пациента.
- Условия клиники позволяют проводить как неоадъювантную, так и адъювантную химиотерапию любого уровня сложности и комплексности, как в условиях стационара, так и в амбулаторно в условиях дневного стационара.
- Выбор оптимального курса химиотерапии (в соответствии с точным диагнозом, гистологией опухоли, конкретной стадией болезни у конкретного пациента) проводится строго по международным протоколам, которые показали свою эффективность в рандомизированных двойных слепых контролируемых клинических исследованиях.
- Применяются препараты последнего поколения, обладающие наибольшей эффективностью и наименьшим токсическим эффектом, «под прикрытием» поддерживающей терапии, минимизирующей побочные действия химиопрепаратов на клетки крови и внутренние органы.
- По показаниям устанавливаются индивидуальные одноразовые помпы, позволяющие обеспечить равномерное введение препаратов в течение длительного периода времени, либо автоматические дозаторы. В ряде случаев устанавливается специальная инфузионная порт-система для химиотерапии.
- При развитии и рецидивировании опухолевого плеврита (канцероматозе плевры) в клинике возможно проведение паллиативных хирургических вмешательств (торакоцентез, облитерация грудной полости).
В сложных, сомнительных и противоречивых случаях возможно привлечение внешних консультантов — ведущих химиотерапевтов России, а также клиник Швейцарии и США. При необходимости мы проводим консилиумы с зарубежными коллегами, с целью получить «второе мнение» докторов из США и Европы.
Хирургическое лечение рака легкого
Немелкоклеточный рак легкого поддается хирургическому лечению, как правило, лучше, чем мелкоклеточный. В зависимости от размеров и расположения опухоли, врач может удалить ее, захватив некоторое количество здоровой ткани вокруг, или полностью удалить легкое. Обычно хирургическое вмешательство дополняют курсом адъювантной химиотерапии или лучевой терапии. Это помогает уничтожить оставшиеся раковые клетки и снизить вероятность рецидива.
В настоящее время хирурги все чаще применяют миниинвазивные вмешательства, когда на стенке грудной клетки делают прокол, и внутрь вводят гибкий тонкий торакоскоп, оборудованный источником света и видеокамерой.
Иногда при немелкоклеточном раке легкого прибегают к лечению радиочастотной аблацией. В опухоль вводят тонкую иглу и подают на нее электрический ток, который сжигает раковые клетки.
Мелкоклеточный рак значительно чаще по сравнению с немелкоклеточным является неоперабельным. Приходится прибегать к другим методам лечения.
Лучевая терапия при раке легкого
Лучевая терапия эффективна как при немелкоклеточном, так и при лечении мелкоклеточного рака легкого. Врач может назначить этот метод лечения с разными целями:
- Перед хирургическим лечением (неоадъювантная лучевая терапия). Это помогает сократить опухоль в размерах, хирургу становится проще ее удалить, а пациент лучше переносит вмешательство.
- После хирургического лечения (адъювантная лучевая терапия). Нужна для того, чтобы уничтожить опухолевые клетки, которые остались в организме после операции, и предотвратить рецидив.
- В качестве самостоятельного метода лечения для борьбы с симптомами запущенного рака легкого: болью, кровотечением и др.
Иногда курс лучевой терапии сочетают с химиотерапией. Такое лечение называется химиолучевой терапией.
Таргетная терапия при раке легкого
Чтобы бесконтрольно размножаться, выживать и защищаться от иммунной системы, раковые клетки используют некоторые молекулярно-генетические механизмы. Знания о них помогают создавать особые таргетные препараты. По сравнению с химиопрепаратами, они действуют более прицельно, блокируют лишь определенные вещества, которые находятся в раковых клетках.

При раке легкого применяют следующие таргетные препараты:
- Блокаторы ангиогенеза (роста новых сосудов в злокачественной опухоли): бевацизумаб (Авастин), рамуцирумаб (Цирамза).
- Блокаторы EGFR (белка-рецептора, который в норме активирует деление клеток, а в раковых клетках становится слишком активным и способствует их бесконтрольному размножению): эрлотиниб (Тарцева), афатиниб (Гилотриф), гефитиниб (Иресса).
- Блокаторы ALK (мутантного белка, который обычно возникает у некурящих людей и тех, которые курят понемногу): кризотиниб (КСАЛКОРИ), церитиниб (Зыкадия), алектиниб (Алеценса), бригатиниб (Алунбриг).
- Блокаторы BRAF (мутантный белок, который заставляет клетки бесконтрольно размножаться): дабрафениб (Тафинлар), траметиниб (Мекинист).

Раковое поражение плевры
Лечение пациентов с опухолевым плевритом начинается с плевроцентеза — эвакуации жидкости из плевральной полости, что сразу приводит к улучшению самочувствия, уменьшению одышки, болей и улучшению качества жизни больного. Исследование удаленной жидкости, проводимые непосредственно после плевроцентеза позволяет более точно установить причину опухолевого плеврита. Уточнить степень распространенности не только плеврита, но и специфических изменений, которые вызвали это состояние помогает целый арсенал современных методов исследования, доступный пациентам клиники (рентгенологическое исследование, компьютерная томография органов грудной полости, ультразвуковое исследование и пр.).
Через некоторое время после пункции в плевральной полости может снова скапливаться выпот. Если жидкость нужно повторно вывести менее чем через месяц после плевроцентеза, врач может установить внутриплевральную порт-систему - небольшую титановую емкость с силиконовой мембраной, которую помещают под кожу и соединяют катетером с плевральной полостью. В дальнейшем, для того чтобы вывести плевральный выпот, нужно всего лишь нащупать под кожей мембрану порт-системы и ввести в нее специальную иглу.
Также через внутриплевральную порт-систему можно вводить химиопрепараты. Внутриплевральная химиотерапия помогает уменьшить образование выпота. Она особенно эффективна у больных с мезотелиомой, раком легкого и молочной железы.
При необходимости возможно проведение видеоторакоскопии, которая позволяет исследовать плевральную полость через прокол в грудной стенке с помощью специального инструмента - торакоскопа произвести прицельную биопсию подозрительного участка ткани с последующим морфологическим исследованием, что в большинстве случаев позволяет установить точный диагноз.
Системная химиотерапия не только воздействует на саму раковую опухоль, но и при хорошей чувствительности к химиопрепаратам может привести к ликвидации плеврита у большинства пациентов.
Плевродез
При невозможности химиотерапии возможно проведение плевродеза в результате которого листки плевры спаиваются между собой за счет введения различных химических веществ с местным противоопухолевым действием.
Внутриплевральная терапия при раке может быть дополнена иммунотерапией LAK-клетками, рекомбинантным интерлейкином - 2 или их сочетанием.
Выбор в пользу того или иного варианта иммунотерапии или последовательности иммунотерапевтического воздействия проводится онкологом на основании результатов обследования пациента с учетом скорости накопления жидкости, общего состояния, чувствительности к химиопрепаратам, ранее проводимого лечения и т.д.). Плевроцентез проводится опытными специалистами при помощи специального устройства Pleurocan (США) и только под ультразвуковой навигацией, что обеспечивает безопасность, быстроту и точность вмешательства.
Лечение рака легких 4 стадии с метастазами
На 4 стадии рака легкого (распространенной по организму опухоли), возможно паллиативное или симптоматическое лечение в Москве. Паллиативное лечение — это вынужденный подход, при невозможности имеющимися на сегодняшний день средствами победить онкологию, оно направлено на уменьшение страданий, продление и улучшение качества жизни больных. Наши пациенты получают адекватное обезболивание, кислородотерапию, детоксикацию, при необходимости проводятся паллиативные операции (наложение трахеостомы, торакоцентез, плевродез и т.д.). При раковых пневмониях осуществляется все необходимое противовоспалительное лечение, при легочных кровотечениях — гемостатическая терапия.
Паллиативное лечение рака легкого
Отделение симптоматической и паллиативной терапии клиники располагает всеми необходимыми возможностями ухода за тяжелобольными пациентами, не способными себя обслужить, включая дополнительное наблюдение за пациентом силами патронажной сестры, медицинской сестры или врача-реаниматолога.

Используются современные европейские протоколы интенсифицированного лечения больных злокачественными заболеваниями легкого для уменьшения массы опухоли и торможения темпов ее роста. При необходимости производится эвакуация полостных выпотов, различные виды обезболивания, дезинтоксикационная, противорвотная терапия, общеукрепляющее лечение, многокомпонентная терапия, направленная на поддержку функционирования жизненно важных органов (сердца, печени, почек, легких), предпринимаются все меры, направленные на улучшение самочувствия и качества жизни больного.
Правильное лечение рака легких 4 степени с метастазами помогает продлить жизнь пациента, повысить её качество. В современной онкологии изменилось само понимание неизлечимых злокачественных опухолей. Такой диагноз воспринимается не как приговор, а как хроническое заболевание, при котором пациенту все еще можно помочь. В «Евроонко» для этого есть всё необходимое.
Этапы лечения на разных стадиях
Если подводить итог всему вышесказанному, то лечение злокачественных опухолей легких в зависимости от стадии будет выглядеть следующим образом:
- При раке стадии 0, когда опухоль не прорастает за пределы слизистой оболочки, обычно ограничиваются хирургическим вмешательством. Лучевая терапия и химиотерапия не требуется.
- На стадии 1 также зачастую ограничиваются хирургическим лечением. При высоком риске рецидива проводят адъювантную химиотерапию или лучевую терапию. Во время операции может быть удалена доля или меньшая часть легкого, а также некоторые лимфоузлы, которые находятся в средостении.
- На 2 стадии перед хирургическим вмешательством врач может назначить курс неоадъювантной химиотерапии или лучевой терапии. Объем операции может быть разным, вплоть до удаления всего легкого. После удаления опухоли всегда проводят курс химиотерапии, иногда — лучевой терапии.
- Лечение рака легкого 3 стадии начинают с химиотерапии и лучевой терапии. Затем, если опухоль может быть удалена, и состояние пациента позволяет, проводят операцию. В противном случае лучевая терапия и химиотерапия становятся основными методами лечения рака легких 3 степени..
- При немелкоклеточном раке легкого 4 стадии проводится паллиативная и симптоматическая терапия.
Врачи «Евроонко» знают, как помочь
Мы уверены, что помочь можно всегда, поэтому беремся за лечение пациентов с раком легкого на любой стадии:
Где лучше лечить рак легкого: в России или за границей?

Среди российских онкобольных, решивших лечиться за границей, наибольшей популярностью пользуются израильские, европейские, в меньшей степени (из-за высокой стоимости услуг) — американские клиники. Несомненно, за рубежом зачастую можно получить более качественную медицинскую помощь.
Но и в России есть клиники, где доступны практически те же процедуры, препараты, врачи работают по международным протоколам, у нас есть все необходимое. Здесь лечат не хуже, чем в известных европейских или израильских клиниках. Причем, для пациента это обходится дешевле.
Больных регулярно консультируют наши коллеги из-за рубежа. А в случаях, когда это действительно необходимо, мы помогаем нашим пациентам получить медицинские услуги за границей у ведущих специалистов.
Случай успешного радикального хирургического лечения ложно местно-распространённого рака лёгкого

Несмотря на достижения современных медицинских технологий в торакальной онкологии, рак лёгкого остаётся одной из основных причин смертности населения. Алгоритм и тактика лечения пациентов со злокачественными опухолями лёгких определяются на основании клинической стадии заболевания. Стадия устанавливается по результатами диагностических исследований: компьютерной (КТ) и позитронно-эмиссионной томографии (ПЭТ-КТ), радиоизотопных исследований и бронхоскопии.
Достаточно часто (13-30 %) течение рака лёгкого осложняется вторичным параканкрозным (расположенным вокруг опухоли ) воспалением, которое затрудняет своевременную диагностику и адекватное стадирование рака лёгкого. Нередко это приводит к гипердиагностике, то есть ошибочному медицинскому заключению о наличии у пациента осложнений, которые на самом деле отсутствуют. Применимо к раку лёгких, гипердиагностика возможна по характеристикам первичной опухоли и поражению лимфатических узлов (категории "T" и "N" в классификации TNM), что отодвигает хирургические методы лечения на второй план или вовсе исключает их из возможных опций лечения рака лёгкого.
Приводим клиническое наблюдение пациента с ложно местно-распространённой злокачественной опухолью лёгкого. Учёт характера новообразования в этом случае позволил провести пациенту успешное хирургическое лечение первым этапом.
31.07.2020 мужчина 57 лет обратился в Клиническую больницу № 2 АО ГК МЕДСИ с данными компьютерной томографии, где выявлено центральное новообразование в корне нижней доли левого лёгкого.
Жалобы
Пациент предъявлял жалобы на боль в груди (в проекции грудины и нижне-грудного отдела позвоночника), эпизоды повышения температуры тела до субфебрильных значений (до 38 °C) и постоянный кашель с выделением небольшого количества светлой мокроты.
Сначала болезненные ощущения трактовались как проявления гастроэзофагеальной рефлюксной болезни (ГЭРБ). Пациент получал лекарственную терапию, но без существенного эффекта.
Анамнез
У пациента длительный анамнез курения — 40 пачколет (т. е., 1 пачка в день в течение 40 лет или 2 пачки в день в течение 20 лет и т .д.). Считает себя больным с апреля 2020 года, когда появилась боль в груди и кашель. С этими симптомами больной обратился к терапевту в поликлинику по месту жительства. Жалобы были расценены как проявления гастро-эзофагеальной рефлюксной болезни (ГЭРБ). По результатам гастроскопии диагностированы признаки хронического гастрита и косвенные признаки ГЭРБ. Назначенное лечение не дало эффекта.
При дальнейшем дообследовании, по данным рентгенографии и компьютерной томографии органов грудной клетки выявлено новообразование в нижней доле левого лёгкого. После этого пациент был направлен на консультацию к торакальному онкологу.
- (терапия метформином и гликлазидом);
- мультифокальный атеросклероз с преимущественным поражением сосудов головного мозга. 27.12.2019 зафиксирована транзиторная ишемическая атака (острое кратковременное нарушение кровообращения головного мозга).
Обследование
При осмотре и физикальном обследовании обращало на себя внимание наличие экспираторных (при выдохе) свистящих хрипов по всем лёгочным полям (больше слева) и ослабление дыхания в нижних отделах слева.
Периферические лимфатические узлы шеи, подмышечных, над- и подключичных областей не увеличены в размерах или не пальпируются (не прощупываются).
Первым этапом пациенту была проведена фибробронхоскопия, по данным которой выявлено, что устье нижнедолевого бронха слева сужено за счёт подслизистого и перибронхиального распространения опухоли.
Выполнена многократная биопсия из устья нижнедолевого бронха слева. По данным гистологического исследования материала эндоскопической биопсии верифицирован диагноз немелкоклеточного рака лёгкого.
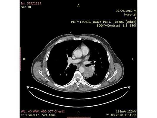
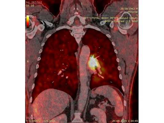
Чтобы провести первичное стадирование опухоли, пациенту проведена позитронно-эмиссионная томография в сочетании с компьютерной томографией (ПЭТ-КТ). По данным исследования, выявлена метаболически активная опухоль в корне левого лёгкого с бугристыми контурами размерами 41 х 43 мм. В толще опухоли проходят нижнедолевой бронх и бронх 6-го сегмента левого лёгкого, просветы бронхов значительно сужены. Нижняя доля левого лёгкого уменьшена в размерах за счёт того, что сегменты 6, 9 и 10 субтотально (частично) инфильтрированы и безвоздушны. Лимфатические узлы корня лёгкого и средостения не увеличены в размерах и не накапливают радиофармпрепарат (РФП), который был введён пациенту перед обследованием внутривенно. Других очаговых образований и очагов гиперметаболизма в организме не обнаружено.
При этом отмечено, что опухоль распространяется в средостение по нижней стенке левого главного бронха и широко прилежит к нижнегрудному отделу аорты (по заключению специалиста ПЭТ-КТ — имеется инвазия опухоли в ткани средостения и возможное врастание в стенку аорты). При самостоятельном пересмотре изображений отмечено, что "опухолевая" ткань, которая распространяется по нижней стенке левого главного бронха в средостение, не накапливает РФП (т. е. не является злокачественной), а стенка аорты в области "инвазии" опухоли имеет ровный чёткий контур и адвентициальную границу, что также свидетельствует об отсутствии онкологического процесса в этой области.
- эхокардиография;
- ультразвуковая допплерография (УЗДГ) артерий и вен нижних конечностей и брахиоцефальных артерий;
- спирометрия (измерение объёмных и скоростных показателей дыхания с целью диагностики и оценки функционального состояния лёгких).
По результатам исследований не выявлено существенных патологий, которые могли бы ограничить возможности хирургического вмешательства на лёгких.
На период обследования пациенту была рекомендована противовоспалительная (НПВС) и ингаляционная терапия, на фоне чего пациент отметил уменьшение болевого синдрома и выраженности кашля.
Диагноз
Основное заболевание: Центральный немелкоклеточный рак нижней доли левого лёгкого, сT2bN0M0, IIА стадия. (T2b — опухоль более 5 см, но менее 7 см в наибольшем измерении; N0 — нет метастазов в региональных лимфатических узлах; M0 — нет отдалённых метастазов).
- Сахарный диабет 2 типа, субкомпенсированный (среднетяжёлое течение болезни).
- Мультифокальный атеросклероз с преимущественным поражением сосудов головного мозга (транзиторная ишемическая атака от 27.12.2019). Код МКБ-10 — E11.9.







Интраоперационное фото: клипированные межрёберные артерии; аорта на тесёмочных держалках по краям зоны резекции адвентиции; культя главного бронха с провизорными швами при ушивании по Оверхольту


Лечение
Проведён онкологический консилиум (Клиническая больница № 2 АО ГК МЕДСИ). Решением консилиума рекомендовано первым этапом провести хирургическое лечение в объёме нижней лобэктомии (удаления доли органа) с циркулярной резекцией левого главного бронха (удалением сегмента бронха с восстановлением целостности бронхиального дерева) или пневмонэктомии слева (полного удаления лёгкого) после интраоперационной ревизии с систематической медиастинальной лимфодиссекцией (иссечением лимфатических узлов).
- боковая торакотомия (вскрытие грудной клетки) слева;
- пневмонэктомия с резекцией адвентиции (наружной оболочки) аорты, париетальной и медиастинальной плевры и мышечной стенки пищевода;
- медиастинальная лимфаденэктомия.
1. В положении на правом боку с раздельной вентиляцией лёгких выполнена боковая торакотомия слева. При ревизии:
- в плевральной полости выпота (скопления жидкости) нет;
- имеются единичные сращения в области верхней доли и 6 сегмента — разделены при помощи электрокоагуляции;
- очагового поражения париетальной и висцеральной плевры нет.
- в нижней доле имеется плотная большая опухоль, подрастающая к грудной аорте и врастающая в медиастинальную плевру и средостение;
- сосуды корня лёгкого в опухолевый процесс не вовлечены;
- определяются множественные неувеличенные в размерах лимфатические узлы.
Учитывая данные интраоперационной ревизии, диагноз скорректирован: центральный местно-распространённый немелкоклеточный рак нижней доли левого лёгкого с врастанием в адвентицию аорты и ткани средостения — cT4NxM0. Принято решение о выполнении пневмонэктомии (полного удаления лёгкого).
2. Выделены и взяты на держалки верхняя и нижняя лёгочные вены, выделен ствол лёгочной артерии, который также взят на держалку. Выполнено пробное пережатие лёгочной артерии — нарушений гемодинамики (движения крови по сосудам) и гемоксигенации (насыщения крови кислородом) нет.
3. Последовательно прошиты сшивающими аппаратами и пересечены нижняя и верхняя лёгочные вены и ствол лёгочной артерии. Выявлено, что опухоль подрастает к мышечной стенке пищевода, выполнена краевая резекция мышечной стенки пищевода на протяжении 2 см.
4. Острым путём отсечён левый главный бронх, при этом обнаружено, что опухоль распространяется перибронхиально. Культя левого главного бронха реампутирована (ампутирована повторно) в пределах визуально здоровой ткани стенки бронха, до 1,5-2 см от карины трахеи (гребня хряща между разделением двух главных бронхов). Центральная часть культи левого главного бронха ушита по Оверхольту.
5. Отступив по грудной стенке от края врастания опухоли в аорты на 2 см, рассечена и отсепарована (отделена хирургически) париетальная плевра и адвентиция аорты. Аорта мобилизована по типу "ручки чемодана" и взята на тесёмочные держалки выше и ниже места врастания опухоли.
6. Скелетизируя грудную стенку и аорту, с перевязкой левых межрёберных артерий, на участке рёбер 4, 5, 6 и 7 выполнена полуциркулярная резекция адвентиции аорты, мягких тканей грудной стенки с париетальной плеврой и тканей средостения.
7. Пневмонэктомия. Проверка аэростаза (герметичности) под уровнем жидкости — просачивания воздуха в области культи бронха нет.
8. Выполнена лимфодиссекция из области лёгочной связки, области бифуркации трахеи (места её разделения на главные бронхи), аортального окна, левого трахеобронхаильного угла и нижних паратрахеальных лимфатических узлов слева. Проверка гемостаза — сухо.
10. В плевральную полость заведён толстый силиконовый дренаж. Послойное ушивание раны, рёбра сведены тремя перикостальными швами. Наложена асептическая повязка.
- дренаж из плевральной полости удалён на первый послеоперационный день;
- из отделения реанимации и интенсивной терапии (ОРИТ) пациент переведён в госпитальное отделение с целью активизации.
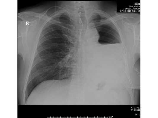
Проведена профилактическая стандартная антибактериальная терапия в течение пяти суток. По данным контрольной рентгенографии, отмечено смещение средостения в оперированную сторону.
- умеренно-дифференцированная аденокарцинома лёгкого (G2) с очаговой периневральной и лимфо-васкулярной инвазией (Pn1, LV1), выраженной фибропластической реакцией стромы, умеренной воспалительной инфильтрацией, фокусами некрозов.
- Размер опухоли — 6,0 х 4,5 х 3,5 см — pT2b.
- В 40 исследованных лимфатических узлах (4 группа — 5 шт., 5 группа — 4 шт., 7 группа — 10 шт., 9 группа — 1 шт., 10 группа — 2 шт., 11 группа и внутрилегочные — 18 шт.) метастазов опухоли не обнаружено — pN0.
- Края резекции без опухоли — R0.
- Область "подрастания" опухоли к адвентиции аорты и врастания опухоли в средостения была представлена фиброзной тканью с воспалительной инфильтрацией стромы.
Еженедельный амбулаторный контроль состояния пациента в течение трёх недель констатировал неосложнённый поздний послеоперационный период.
Проведён повторный онкологический консилиум Клинической больницы № 2 АО ГК МЕДСИ по результату первого этапа лечения: учитывая размеры опухоли, периневральную и лимфо-васкулярную инфильтрацию, степень дифференцировки опухоли и возраст пациента, рекомендовано проведение химиотерапии в адъювантном режиме по схеме Пеметрексед + Карбоплатин (4 курса). Первый курс химиотерапии проведён в штатном режиме на 28 послеоперационный день.
Заключение
Таким образом, принимая во внимание данные предоперационного обследования и заключение специалистов лучевой диагностики, можно было ложно определить "нехирургическую" стадию рака лёгкого и констатировать полную невозможность радикального хирургического лечения (инвазия в стенку аорты). Однако прицельный пересмотр данных ПЭТ-КТ и учёт клинической картины воспалительного синдрома ( температура тела до 38 °С ; кашель, купированный на фоне ингаляционной терапии; болевой синдром, купированный приёмом НПВС) позволили принять решение о возможности хирургического лечения. Интраоперационная ревизия на мгновение пошатнула уверенность в правильности стадирования онкологического процесса, однако патологоанатомическое исследование полностью подтвердило предоперационную трактовку клинической ситуации.
Данное клиническое наблюдение свидетельствует о важности учёта параканкрозного воспаления при раке лёгких, которое может вносить существенный вклад в ложную трактовку стадии заболевания. Каждый пациент с злокачественной опухолью лёгкого требует индивидуального подхода и оценки рисков и возможностей радикального хирургического лечения.
Лучевая терапия
при раке легких

Лучевая терапия это лечение, которое разрушает раковые клетки с помощью высокоэнергетических радиоактивных лучей. В настоящее время, благодаря развивающимся компьютерным технологиям и целевым машинам, успех лечения увеличивается, а побочные эффекты постепенно уменьшаются. Процедура может проводиться двумя способами, внешним или внутренним, но они имеют сходные эффекты. Лучевая терапия при раке легких назначается в качестве самостоятельного метода или в сочетании с химиотерапией. Сочетанный подход позволяет достичь лучших результатов.
О лучевой терапии рака легких
Лучевая терапия при мелкоклеточном раке легких
В 15 % случаев рака легких речь идет о мелкоклеточной форме заболевания, для которой характерен быстрый рост и раннее метастазирование. Пациенты обычно получают облучение опухоли вместе с химиотерапией, называемой радио-химиотерапией. Поскольку иногда метастазы образуются в головном мозге, многим больным назначается лучевая терапия головы на ранней стадии заболевания.
Только при небольших опухолях (менее 2 см) проводится операция. После хирургического вмешательства дополнительно назначается комбинированная лучевая химиотерапия. Облучение опухолевой области проводится одновременно с химиотерапией или после нее.
Лучевая терапия при немелкоклеточном раке легких
Пациенты с немелкоклеточным раком, у которых о проведении операции не может быть и речи, получают лучевую терапию. Возможна также комбинация облучения и химиотерапии, так называемая радио-химиотерапия.
На ранней стадии проводится особая форма лучевой терапии при онкологии легких - стереотаксическая, которая отличается:
небольшими дозами облучения;
воздействием на очаг в нескольких направлениях;
сохранением здоровых окружающих тканей.
У пациентов с прогрессирующим немелкоклеточным раком легких лучевая терапия используется для облегчения дискомфорта, вызванного симптомами заболевания. При локально ограниченном образовании проводится стереотаксическое облучение или радиочастотная абляция (разрушение опухолевой ткани с помощью электрической энергии) под компьютерным контролем томографии.


Как подготовиться к лучевой терапии
Многие пациенты сначала с беспокойством относятся к облучению: большие устройства, под которыми нельзя двигаться, неощутимое излучение, страх побочных эффектов - все это пугает.
У большинства больных беспокойство ослабевает в ходе лечения - преимущественно после первого сеанса. Чем лучше пациенты просвещены, тем быстрее адаптируются к новой ситуации. Поэтому рекомендуется попросить врача рассказать, как проходит лечение, какая техника используется, какие есть риски. Если страх слишком велик, то можно воспользоваться психологической поддержкой.
Перед первой процедурой облучения нужно пройти предварительные обследования:
компьютерная томография (КТ);
магнитно-резонансная томография (МРТ).
Полученные изображения передаются на калькулятор планирования. С помощью компьютерной программы врачи и радиологи вычисляют область облучения, определяют количество и размер лучевых полей. Перед фактическим облучением терапия сначала имитируется. Облучающим полем называется кусок кожи, через который лучи проникают в организм при чрескожной лучевой терапии. Поля облучения рисуются на коже водостойким карандашом или хной.
Процедура лучевой терапии при раке легких
Лежать при облучении нужно неподвижно, чтобы не «скользить»: здоровые ткани не должны затрагиваться. Пациент помещается на подвижную кушетку, после чего проводится корректировка оборудования. При необходимости используются ремни, подголовники или подлокотники. Чувствительные к радиации части тела покрываются экранирующим материалом.
Для чувствительных органов может быть достаточно отклонений от целевой области на несколько миллиметров, чтобы вызвать повреждение. Во избежание непроизвольных движений используется дополнительная фиксация. Перед облучением врачи и ассистенты еще раз внимательно проверяют, точно ли лучи ориентированы на опухоль.
требует долгой подготовки;
длится несколько минут;
не вызывает дискомфорта и боли.
Во время лечения персонал покидает комнату. Наблюдение за пациентом осуществляется через стеклянную панель. Также предусмотрен микрофон для обеспечения обратной связи больного с медицинскими работниками.
Лучевая терапия обычно проводится сеансами с ежедневным воздействием небольшой дозой радиации в течение 3-9 недель. Каждый сеанс занимает около 15 минут.
Второй метод облучения - брахитерапия, при которой используется излучение, имеющее диапазон от нескольких миллиметров до сантиметров. Поэтому опухоль нужно облучать с меньшего расстояния - при раке легких аппликаторы вводятся через трахею. При этом виде лучевой терапии аппликатор сначала помещается в полость тела, затем радионуклид вводится через шланг. Сегодня этот процесс происходит компьютеризировано.
Читайте также:
- Околомозговое скопление жидкости
- Вентиляционно-перфузионный коэффициент. Парциальное давление кислорода и двуокиси углерода
- Случай наблюдения и лечения глиобластомы у пожилой пациентки
- История сексологии. Истоки сексологии.
- Свойства туберкулезной палочки и передача возбудителя. Инфекционность туберкулеза.
