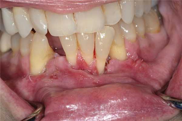
Ленточная кортикотомия челюсти. Перегрузки после ленточной кортикотомии
Добавил пользователь Евгений Кузнецов Обновлено: 11.12.2025
В задачу этих исследований входило изучение регенерации костной ткани при ленточной и решетчатой кортикотомии после наложения повышающей прикус пластмассовой каппы, т. е. в условиях функциональной перегрузки. Через 2 дня после операции трепанационное отверстие выполнено тромбическими массами. Среди них обнаруживаются костные отломки и участки некротизированных тканей. Между краем кости челюсти и кровяным свертком, выполняющим дефект, определяется зона геморрагического пропитывания.
В костномозговой ткани, окружающей трепанационный канал, выявляются очаговые кровоизлияния и лейкоцитарные инфильтраты. Вместе с тем в костной ткани этой серии опытов мы наблюдали пролиферативную реакцию с образованием клеток типа фибробластов, а также интенсивно выраженное набухание оссеина. Набухшие пучки коллагеновых волокон неравномерно утолщены, с явлениями глыбчатого распада.
В прилежащих к трепанационному отверстию тканях кровеносные сосуды расширены, резко переполнены кровью.
Мышечные волокна сохраняют присущую им структуру, но промежутки между отдельными мышечными пучками инфильтрированы лейкоцитами, единичными эритроцитами и плазменными белками.
Таким образом, как при ленточной, так и при решетчатой кортикотомии, проведенной с применением функциональной нагрузки, отмечается резко выраженная сосудистая реакция в окружающих мягких тканях, сопровождающаяся изменением волокнистых структур.
При исследовании гистологических препаратов верхней челюсти собак через 7 дней после обоих видов кортикотомии трепанационные отверстия полностью выполнены молодой грануляционной тканью, представленной круглыми и овальными клетками с гиперхромными ядрами, новообразованными кровеносными сосудами и нежными, окрашенными по Маллори неравномерно в голубой и синий цвет, коллагеновыми волокнами, а также тонкими аргирофильными фибриллами, расположенными преимущественно вокруг сосудов.
В грануляционной ткани, выполняющей дефект, много фибробластов различной степени зрелости, остеобластов округлой и овальной формы, плазматических клеток, а также эритроцитов, нейтрофильных лейкоцитов и лимфоцитов. Вместе с тем выявляется развитая сеть тонкостенных кровеносных сосудов, выстланных сочным эндотелием. Просветы сосудов расширены и выполнены эритроцитами, в некоторых участках выражен диапедез эритроцитов с образованием мелкоочаговых кровоизлияний. По краю трепанационного дефекта, на границе между грануляционной тканыо и предсуществующей костью, отмечается зона геморрагического пропитывания.
Края трепанационного канала неровные, на внутренней поверхности его явления резорбции костных отломков с образованием остеокластов. Значительное количество костных отломков, подвергающихся резорбции, обнаруживается и в грануляционной ткани, особенно при ленточной кортикотомии. Что касается костной ткани, прилежащей непосредственно к корням зубов, то изменения в ней при применении обоих видов кортикотомии и функциональной нагрузки выражаются в лакунарной резорбции кости (рис. 52). Резорбционные лакуны обнаруживаются как со стороны перицемента, так и внутри губчатого вещества, в том числе и на гребне лунки. В некоторых участках при этом наблюдается выраженная остеокластическая реакция. Следует подчеркнуть, что все эти явления более четко выражены при ленточной кортикотомии.

Рис. 52. Альвеолярный отросток челюсти собаки. Остеокластическая резорбция костной ткани со стороны перицемента.
В слизистой оболочке альвеолярного отростка в данной группе опытов отмечена интенсивная пролиферация многослойного плоского эпителия с образованием отдельных эпителиальных гнезд и сосочковых выростов. Пролиферирующие и врастающие в глубину подлежащих соединительнотканных слоев тяжи эпителиальных клеток в некоторых участках достигают грануляционной ткани, выполняющей костные дефекты. Это обнаруживается как при ленточной, так и при решетчатой кортикотомии.
У животных, челюсти которых были исследованы через 12 дней после проведенной ленточной кортикотомии, трепанационные отверстия выполнены зрелой грануляционной тканью, богатой коллагеновыми волокнами и кровеносными сосудами. Новообразованные сосуды различного строения и калибра, но преобладают тонкостенные, расширенные и переполненные кровью. Вместе с тем встречаются сосуды типа артериол с утолщенными

Рис. 53. Альвеолярный отросток челюсти собаки. Образование костных балочек в грануляционной ткани на 12-е сутки после ленточной кортикотомии при функциональной нагрузке.
стенками и суженными просветами. Клеточные элементы в основном представлены остеобластами и фибробластамн. Остеобластическая и остеокластическая реакция выражена по краю дефекта, но наиболее резко она выступает в области узур и костных секвестров, залегающих в грануляционной ткани.
В верхней части альвеолярного отростка со стороны дефекта наблюдается врастание в толщу грануляционной ткани мощных тяжей, остеобластов, которые в отдельных местах образуют балки, состоящие из остеоидного вещества (рис. 53). В некоторых участках отмечается скопление костных клеток вокруг сосудов, вследствие чего происходит формирование гаверсовой системы.
Через 12 дней после проведенной решетчатой кортикотомии с применением функциональной нагрузки, так же как и при ленточной, дефект полностью выполнен грануляционной тканью, в составе которой много молодых круглых, овальных и веретенообразных клеток. На препаратах, окрашенных по Маллори и Ван-Гизону, среди клеточных элементов выявляется большое количество волокнистых структур, представленных преимущественно коллагеновыми волокнами.
Среди клеточных элементов и волокнистых структур грануляционной ткани залегают многочисленные тонкостенные кровеносные сосуды, выполненные эритроцитами. Во многих участках вокруг сосудов четко выступает циркулярное расположение остеобластов. По краю дефекта выражена остеобластическая и остеокластическая реакция. В пограничной зоне между грануляционной тканью и костью наблюдается скопление эритроцитов. Образования костных балочек не отмечено.
Что касается костной ткани, прилежащей к корням зубов, то при обоих видах операции наблюдается дальнейшее усиление лакунарной резорбции с истончением костных балочек губчатой кости и образованием свободных пространств. Этот процесс более выражен при ленточной кортикотомии. К этому сроку остеокластическая реакция начинает стихать и образование лакун идет главным образом остеолитическим путем. Изменений со стороны корней и пародонта не обнаружено.
Сравнивая структуру грануляционной ткани, образовавшейся на 12-е сутки в дефектах при ленточной и решетчатой кортикотомии с применением функциональной нагрузки и состоянием окружающей кости, следует отметить, что при ленточной наблюдается образование костных балочек в зоне регенерации и значительная перестройка предсуществующей костной ткани в области верхушек зубов. В зоне регенерации при этом виде операции более интенсивно, чем при решетчатой, выявляется остеокластическая реакция. Несмотря на то что при решетчатой кортикотомии дефекты выполнены зрелой грануляционной тканью, богатой грубыми коллагеновыми волокнами, образование костных балочек не обнаруживается. Перестройка окружающей ткани по сравнению с ленточной коргикотомией выражена слабее.
При исследовании челюстей собак через 16 дней после ленточной кортикотомии дефекты в кости выполнены зрелой тканью. Среди клеточных и фибриллярных ее элементов выявляются вполне сформированные кровеносные сосуды, заполненные кровью. В местах разрушающихся костных отломков нередко обнаруживаются скопления солей кальция. В участках с наличием узур i^o краю дефектов и костных секвестров встречаются крупные многоядерные клетки — остеокласты, располагающиеся местами в виде гнезд. Обращает на себя внимание интенсивно выраженная пролиферация остеобластов в виде каймы по краю дефекта.
Наряду с этим в толще грануляционной ткани, выполняющей дефект, выявляются многочисленные костные балки, причем образование последних преобладает в верхней части альвеолярного отростка. Новообразованные балки, располагающиеся по ходу трепанационного канала, неравномерно утолщены, имеют направленность, совпадающую с направлением действующей силы (функционального давления). Клетки, образующие костные балки, крупные, ядра их имеют различную величину. Между балками залегает вполне сформированное интенсивно оксифильное остеоидное вещество. Отмечено дальнейшее рассасывание костной ткани, прилегающей непосредственно к корням зубов. В этих участках выявляются единичные многоядерные крупные клетки — остеокласты, края костного дефекта узурированы. Явлений рассасывания корней зуба не отмечено.
Через 16 сут после проведенной решетчатой кортикотомии с применением функциональной нагрузки на серии гистологических препаратов трепанационные отверстия, как правило, выполнены зрелой грануляционной тканью, чрезвычайно богатой коллагеновыми волокнами, содержащей большое количество сформированных кровеносных сосудов. Среди тканевых элементов грануляционной ткани выявляются скопления жировых клеток и образование полостей, заполненных зернистой белковой массой. В периферических отделах дефектов отмечена значительно выраженная пролиферация остеобластов. Последние в виде тяжей внедряются в толщу фиброзной ткани, выполняющей дефект. Вместе с тем в верхней части альвеолярного отростка среди тканевых элементов, заполняющих дефект, наблюдается образование костных балок, состоящих из костных клеток и остеоидного вещества, здесь же происходит формирование гаверсовой системы. Однако следует отметить, что остеогенез в грануляционной ткани, выполняющей трепанационные отверстия, выражен относительно слабо.
Сравнивая процессы регенерации тканей альвеолярного отростка челюстей через 16 сут после проведенной ленточной и решетчатой кортикотомии с применение^ функциональной нагрузки, следует отметить, что остеогенез и перестройка костной ткани альвеолярного отростка более интенсивно выражены при ленточной кортикотомии. В зависимости от топографического расположения трепанационного дефекта наблюдается различная степень зрелости новообразованной косиной ткани. Так, при решетчатой кортикотомии трепанационные отверстия, расположенные в нижней части альвеолярного отростка, выполнены зрелой грануляционной тканью, а в верхней части в послеоперационных дефектах наблюдается формирование костных балок.
Следовательно, на основании анализа морфологических данных можно отметить, что процессы регенерации в кости при решетчатой и ленточной кортикотомии без дополнительного функционального напряжения, создаваемого лечебно-накусочными протезами, протекает одинаково и заключается в появлении резорбции по краю дефекта, которая сменяется процессом развития новой кости, выявляемой в верхней части альвеолярного отростка на 16-е, в нижней на 25-е сутки. При усиленной функциональной нагрузке уже на 7-е сутки отмечается перестройка костной ткани, которая постепенно усиливается в последующие сроки и более выражена при ленточной кортикотомии, чем при решетчатой. На 12-е сутки при ленточной кортикотомии наблюдается появление костных балок, последние в дальнейшем приобретают функциональную ориентировку. Со стороны же цемента корней и дентина явлений резорбции и размягчения костной ткани не отмечено.
РЕАКЦИЯ КОСТИ ВЕРХНЕЙ ЧЕЛЮСТИ ПРИ КОРТИКОТОМИИ
Аппаратурно-хирургический метод устранения аномалий и вторичных деформаций зубочелюстной системы имеет давнюю историю. Еще в 1896 г. W. Talbot перед ортодонтическим лечением прогнатии удалял часть кости межзубных перегородок. Нечто подобное делал С. Skagsborg (1926). A. Bichelmayr (1931) три лечении прогнатии иссекал клиновидный участок альвеолы позади каждого переднего зуба. Декортикацию челюсти связывают с именем А. Я- Ката (1936).
Первая наша публикация о кортикотомии как о подготовительном этапе аппаратурного лечения вторичных деформаций окклюзионной поверхности зубных рядов появилась в 1968 г. Метод устранения вторичных деформаций окклюзионной поверхности ортодонтическими аппаратами с применением кортикотомии был назван нами аппаратурно-хирургическим. Кортикотомия может быть ленточной и решетчатой. Последняя предложена А. Т. Титовой в 1964 г.
Наибольшее распространение аппаратурно-хирургический метод получил в ортодонтии (Катц А. Я., 1936; Титова А. Т., 1964; Гаврилов Е. И., 1966; Погодина А. А., 1969; Ельчанинов Е. А., 1966; Шварцман М. С., Хорошилкина Ф. Я., 1969; Хайрулин А. Ф., 1968, и др.).
Целесообразность предварительного хирургического пособия перед ортодонтическим лечением аномалий и вторичных деформаций вряд ли оспаривается, хотя это и не исключает необходимости дальнейшего совершенствования метода. Неясным был вопрос о том, почему хирургическое пособие сокращает сроки ортодонтического лечения.
А. Т. Титова (1967) пыталась объяснить это реакцией кости на кортикотомию в виде размягчения и даже образованием очаговых некрозов. Свои опыты она ставила на кроликах. Мы считаем этих животных неудобными для опытов, поскольку кость верхней челюсти у них очень тонкая, даже отдаленно не напоминает кость человека. Это побудило нас провести опыты на собаках. Изучая реакцию кости на операционную травму, мы хотели получить ответа не только на вопрос о сроках и характере регенерации кости при различных видах кортикотомии, но и о причинах, вызывающих ускорение перестройки кости под воздействием аппаратов. Эти опыты в клинике поставил В. Н. Ралло.
Опыты проводили на беспородных собаках в возрасте от 17г до 4 лет, массой от 5 до 15 кг. Выбор этих животных был обусловлен тем, что некоторые особенности зубов собак в известной мере сближают их с зубами человека. Эксперименты состояли из четырех серий. В первой серии опытов проводилась ленточная, во второй — решетчатая кортикотомия альвеолярного отростка верхней челюсти собак. Животные находились под наблюдением 2,7,12,16,25,35,45,60 дней. В задачу этих двух серий опытов входило изучение морфологических изменений, имеющих место при регенерации костной ткани. В третьей и четвертой сериях опытов изучалась регенерация и перестройка костной ткани при ленточной и решетчатой кортикотомии при функциональной нагрузке. Последняя создавалась путем разобщения зубных рядов на пластмассовой каппе. Животные находились под наблюдением 2, 7, 12, 16 дней. Всего в эксперименте было использовано 24 собаки. Кортикотомия проводилась под морфинно-эфирным наркозом.
Экспериментальным исследованиям предшествовало изучение гистологического строения костной ткани верхней челюсти 4 здоровых собак.
сторон делали трапециевидные разрезы слизистой оболочки альвеолярного отростка. Вертикальные разрезы наносили с таким расчетом, чтобы линии будущей кортикотомии не совпадали с разрезом слизистой оболочки альвеолярного отростка. После отслойки слизисто-надкостничных лоскутов проводили кортикотомию. Кортикальную пластинку снимали между корнями зубов шаровидным бором № 2 до губчатого вещества в виде сплошных полос (ленточная) и в виде отверстий (решетчатая) кортикотомия. После этого рану зашивали.
Ё третьей и четвертой сериях опытов после операций для разобщения зубных рядов накладывали каппу из быстротвердеющей пластмассы. Ее фиксировали на передней группе зубов фосфат-цементом. Разобщение между верхними и нижними центральными зубами доводили до 1,5 см. Собак умерщвляли электротоком с предварительным введением морфина. Затем выпиливали костный блок, включающий операционную область. Материал фиксировали в 12—15% растворе нейтрального формалина. Декальцинацию проводили в 10% растворе трихлоруксусной кислоты. После декальцинации костный блок рассекали по вертикальной полости на три части, которые после проводки заливали в целлоидин. Гистологические срезы проводили в трех взаимно перпендикулярных плоскостях на различных уровнях блоков. Препараты окрашивали гематоксилин-эозином, пикрофуксином по Ван-Гизону, по Маллори и импрегнировали серебром по Футу.
Прогностичность аугментации вестибулярной костной пластинки при комплексном ортодонтическом лечении
Принципы традиционного ортодонтического лечения основываются на учете исходно имеющегося объема костной ткани, если же диапазон передвижения зубов превышает границы альвеолы, повышается риск развития осложнений в форме рецессий. Показатель отношения шансов развития рецессии у пациентов-подростков, проходящих ортодонтическое лечение, почти в 4,48 раз больше, нежели у пациентов, никогда не подвергавшихся ортодонтическим вмешательствам. По сути, проблема развития рецессии при ортодонтическом лечении вызвана недостаточностью костного объема относительно потребности в адаптации надлежащего положения зуба. Скученность зубов в условиях дефицитного размера челюсти провоцирует вестибулярный наклон единиц зубного ряда, что, в свою очередь, компрометирует состояние вестибулярной костной пластинки, уровня кровоснабжения и пародонтального статуса.

Наиболее чувствительными к риску развитию осложнений при ортодонтическом лечении являются резцы нижней челюсти. Для профилактики подобных нарушений, а также с целью оптимизации исхода ортодонтических вмешательств, рекомендовано использовать комбинированный хирургически-ортодонтический подход. Впервые техника ортодонтически-хирургических вмешательств была разработана Wilcko, и с тех пор было предложено много вариантов ее модификации, которые предполагали выполнение контролируемой хирургической травмы с целью активизации процесса передвижения зубов. Данные подходы предполагают проведение хирургической фазы лечения в форме преортодонтической хирургической пародонтальной аугментации, пьезоразреза, пародонтально-ускоренного вмешательства. Кроме ускорения процесса лечения таким образом также удается увеличить объем костной ткани, в границах которого возможно проводить передвижение зубов. Таким образом, хирургически оптимизированное ортодонтическое лечение (ХООЛ) направлено на выполнение двух задач: улучшить и увеличить биотип тканей пародонта (как мягких, так и твердых), а также ускорить процесс передвижения зубов путем реализации феномена локальной акселерации. Несмотря на то, что модификация биотипа тканей пародонта является первичной целью ХООЛ, перед проведением подобных манипуляций необходимо учитывать ряд анатомических ограничений и влияние этиологических факторов, ассоциированных с тонким биотипом тканей и нарушением кровоснабжения. Исторически сложилось так, что термин «регенерация» используется в случаях проведения процедуры аугментации вокруг зубов, и подразумевает реформирование пародонтальной связки, костной ткани и цемента. В данной статье, однако, авторы будут использовать термин «генерирование» вместо «регенерация» для того, чтобы описать процесс формирования альвеолярной костной ткани в участках, где она первично отсутствовала или же была слишком тонкой.
Цель данной статьи состоит в том, чтобы провести обзор различных факторов, которые потенциально могут влиять на прогнозированность формирования щечной костной пластинки в ходе выполнения процедуры ХООЛ. Кроме того, в данной статье мы также обсудим возможные модификации в протоколе ХООЛ для достижения наиболее эффективных результатов вмешательства. Основываясь на опыте авторов, все факторы, которые потенциально могут влиять на конечный результат регенеративных вмешательств в ходе проведения ортодонтического лечения, условно можно разделить на три основные категории: ассоциированные с пациентом, ассоциированные с самим ортодонтическим лечением, а также ассоциированные с хирургической фазой вмешательства и материалом, выбранным для аугментации. В данной статье мы уделим больше внимания именно пациент-ассоциированным факторам и факторам, связанным непосредственно с ортодонтическим лечением, в то время как факторы, связанные с хирургической фазой лечения и выбором материала для аугментации, будут обсуждены в наших последующих публикациях.
Пациент-ассоциированные факторы
Существует множество факторов, связанных со спецификой анатомии и морфологии челюстно-лицевых и дентоальвеолярных составляющих, которые не только влияют на геометрические размеры альвеолярной костной ткани, но могут в значительной мере компрометировать конечный результат реабилитации в случаях игнорирования их значения в ходе комплексного лечения. Вертикальный паттерн лица был идентифицирован как определяющий фактор альвеолярной морфологии симфиза нижней челюсти и положения нижних резцов при 1 и 3 классе соотношений. Кроме того, было отмечено, что пациенты с коротким типом лица и 3 классом соотношений характеризуются большей шириной альвеолярной костной ткани. При этом у пациентов с нормальной длиной лица и длинным типом лица при 3 классе соотношений отмечается физиологическая компенсация морфологии симфиза за счет удлинения, что в значительной мере влияет и на положение резцов. Такая форма компенсации связана не только с утоньшением альвеолярной костной ткани, но и с формой и положением подбородка (фото 1-6).
Фото 1. Выраженная структура симфиза, визуализированная на цефалограмме.

Фото 2. Визуализация объема костного трансплантата с учетом потенциального уровня его усадки, необходимого для реализации ХООЛ.

Фото 3. Вид после ушивания. Обратите внимание на достаточный объем преддверья полости рта.

Фото 4. Визуализация небольшой дигисценции лоскута в постоперационном периоде.

Фото 5. КЛКТ-срезы до начала ХООЛ. Наличие исходной дигисценции с вестибулярной стороны передних зубов нижней челюсти.
Фото 6. КЛКТ-срезы после проведения ХООЛ. Компромиссный результат регенеративного лечения, что очевидно связано с наличием исходной дигисценции, влиянием фактора наличия выраженной структуры симфиза и напряжения со стороны мышц в области подбородка.
В предыдущих публикациях уже был описан феномен влияния давления мышц на процесс резорбции костной ткани, который был особенно выражен после завершения роста челюстей. Пациенты, перенесшие гениопластику по типу «вперед-вверх», что, следовательно, привело к освобождению мышц, характеризовались увеличением толщины костной ткани над областью симфиза. Также существует специфическое соотношение между наклоном нижних резцов и морфологией альвеолярной костной ткани. Например, с наклоненными вперед нижними резцами и компенсируемым 2 классом соотношений отмечается достаточно тонкая вестибулярная костная пластинка. В таких условиях при вертикальном ортодонтическом перемещении зубов можно спровоцировать ятрогенное повреждение костной ткани, что снизит прогнозированность ортодонтических манипуляций как таковых.
Биотип пародонта
Анализ КЛКТ-срезов, полученных в ходе исследования трупного материала, подтвердил наличие взаимосвязи между биотипом десен и толщиной щечной костной пластинки. Необходимость учета биотипа при реализации ХООЛ обоснована ролью кровоснабжения костных и мягкотканых структур пародонта (фото 7-9).
Фото 7. КЛКТ-срезы до начала ХООЛ. Дефицит трабекулярной костной ткани во фронтальных участках нижней челюсти, что также свидетельствует о дефиците кровоснабжения.
Фото 8. КЛКТ-срезы через 11 месяцев после лечения. Визуализация минимального дополнительного объема костной ткани.
Фото 9. Визуализация области вмешательства во время операции. Дефицит костного кровоснабжения, предположенный по результатам КЛКТ, был подтверждён и клинически посредством отсутствия значительного кровотечения после выполнения процедуры кортикотомии.
Кровоснабжение костной ткани напрямую связано с параметром толщины кости и непосредственно влияет на конечный результат лечения. Что же касается кровоснабжения десен, то таковое обеспечивается как за счет основных сосудов супрапериостальной области, так и за счет сосудов альвеолярного отростка. Таким образом, если кровоснабжение десен является дефицитным ввиду тонкой структуры костной ткани, то в таких условиях повышается не только риск развития рецессии, но и риск осложнений, связанных с патологическим заживления ятрогенной травмы. Классические научные публикации свидетельствуют о том, что чем толще мягкотканый лоскут, тем больше он содержит кровеносных сосудов, следовательно - тем выше прогнозированность эффективности его применения для перекрытия участков обнаженной поверхности корней. Исходя из этого, результат формирования костной вестибулярной пластинки посредством аугментации при тонком биотипе тканей в ходе ХООЛ может быть достаточно ограниченным из-за дефицита кровоснабжения мягких тканей. Для профилактики подобных осложнений необходимо проводить комплексную реконструкцию тканей пародонта, которая позволит избежать обнажения установленного трансплантата.
Толщина альвеолярного отростка и положение зуба
Для успеха любых регенераторных манипуляций необходимо обеспечить достаточную клеточную миграцию, снабжение питательными веществами и соответствующим объемом кислорода. Все это зависит от интенсивности кровоснабжения, которая, в свою очередь, зависит от исходной анатомии альвеолярной костной ткани. Для оценки таковой необходимо провести анализ результатов КЛКТ-сканирования, который позволит верифицировать плотность и архитектуру трабекулярной и кортикальной составляющей. Ранее уже было предложено несколько вариантов классификаций альвеолярной кости и костных дигисценций, которые позволяли связать таковые с риском развития рецессии в ходе ортодонтического передвижения зубов. Классификации Richman и Evans предполагают, что наличие 1-2 мм толщины костной ткани позволяет в достаточной мере минимизировать риск развития подобных осложнений. Одна из классификаций предполагает дифференциацию костной ткани в корональном и корневом участках зуба с учетом запланированной его позиции, таким образом, аргументируя потребность в аугментации конкретных участков с целью максимизации постоперационного объема костной вестибулярной пластинки. Такой же подход может быть использован и для выбора определенных клинических случаев, подходящих для реализации алгоритма ХООЛ. С точки зрения перспективы регенерации, компактная костная ткань более негативно влияет на интенсивность кровоснабжения и исход утолщения костной пластинки по сравнению с мягкой трабекулярной структурой кости (фото 7-8). Крайне важно внимательно подходить к выбору случаев для реализации протокола ХООЛ, исходя из анатомии альвеолярной костной ткани для обеспечения максимальной прогнозированности комплексной реабилитации. По мнению авторов, в случаях наличия тонкого биотипа тканей модификации подхода ХООЛ предусматривают возможности использования мягкотканой аугментации с минимально инвазивным оперативным подходом, а в отдельных случаях - и пролиферативных агентов по типу фибрина, обогащенного тромбоцитами, или производных плазмы, обогащенных факторами роста, которые способствуют активизации процесса ангиогенеза.
Глубина преддверия полости рта
Распространенность развития осложнений в области мягких тканей при выполнении регенераторных манипуляций составляет в среднем от 0% до 45%. Выполнение регенераторных вмешательств, предусматривающих корональное позиционирование и первичное заживление операционного участка во фронтальной области нижней челюсти, является весьма сложным из-за влияния ряда анатомических факторов (фото 10-13). Таковые включают напряжение подбородочных мышц, глубину преддверья полости рта, которая влияет на возможность первичного заживления раны с учетом влияния натяжения со стороны губы и толщину тканей. При дефицитной глубине преддверья или чрезмерном напряжении мышц подбородка повышается риск развития мягкотканых дигисценций, открытия лоскута, потери биоматериала, инфицирования и обнажения костного материала или используемой мембраны/бесклеточного дермального матрикса. У пациентов с мелким преддверием полости рта можно проводить манипуляцию его углубления посредством свободного десневого трансплантата или инъекции ботокса.
Фото 10. Неглубокое преддверье полости рта: вид до выполнения ХООЛ.

Фото 11. Ушивание после выполнения фазы ХООЛ.

Фото 12. Вид через 2 недели после вмешательства: дигисценция лоскута из-за натяжения, спровоцированного фактором мелкого преддверия.

Фото 13. Конечный результат после ХООЛ: дефицит прикрепленных десен при достижение нормальной позиции зубов.

Факторы, ассоциированные с ортодонтическим лечением
Факторы, ассоциированные с ортодонтическим лечением, которые влияют на регенеративный исход ХООЛ, в первую очередь связаны со спецификой механики передвижения зубов относительно доступного объема костной ткани. Данные предварительных публикаций свидетельствуют о повышении риска развития рецессии в ходе ортодонтического лечения. Чаще всего это связано с ортодонтическим перемещением зубов в условиях дефицита костной ткани, или же в условиях тонкого биотипа пародонтальных тканей. С другой стороны, если ортодонтическое перемещение проводиться с учетом вышеупомянутых параметров, то конечная достигнутая позиция зубов, наоборот, способствует стабилизации костной ткани. Evans и коллеги ранее уже обсуждали разные типы биомеханики ортодонтического перемещения зубов, исходя из позиции таковых и доступного объема костной ткани. Исследователи также разработали классификацию положения зубов до начала лечения, исходя из критериев которой можно проводить прогноз риска развития тех или иных осложнений. С целью минимизации риска развития рецессий необходимо проводить анализ КЛКТ-срезов дентоальвеолярного комплекса, который бы включал проектирование процесса изменения положения зуба из имеющегося в желаемое. Таким образом, представляется возможным идентифицировать пациентов с факторами риска еще до фактического начала лечения, а также подобрать наиболее подходящий механизм ортодонтического передвижения, который бы позволил добиться стабильной позиции не только зуба, но и окружающей костной ткани в конечном результате. Исследования на животных подтвердили отсутствие факта ограничения движения зубов со стороны используемого аугментационного материала. С другой стороны, ортодонтическое передвижение зубов индуцирует интеграцию и ремоделирование установленного костного трансплантата. Не следует также забывать и о феномене региональной акселерации. Данный феномен способствует не только более быстрому передвижению зубов, но и более быстрому костному метаболизму. Одними из основных аспектов ортодонтического лечения остаются время, необходимое для достижения максимального уровня метаболизма костного биоматериала, и диапазон требуемого передвижения. Данные литературы свидетельствуют о том, что применение ортодонтической силы индуцирует реминерализацию костного матрикса, в структуре которого происходит передвижение зубов и ремоделирование костного заменителя. После выполнения кортикотомии развивается деминерализация альвеолы вокруг перемещаемого зуба, при этом коллагеновый матрикс костной ткани передвигается вместе с зубом. Поэтому крайне важно начать ортодонтического лечение на протяжении 2 недель после проведения аугментации для максимизации регенераторного потенциала феномена региональной акселерации. Перед операцией также важно получить информацию от ортодонта относительно необходимой степени передвижения зуба, необходимого для коррекции имеющихся нарушений прикуса. Диапазон необходимого передвижения и будет определят объем аугментации, требуемый для компенсации потенциального риска развития дигисценций.
Выводы
Уже более десяти лет подход ХООЛ используется в ходе лечения стоматологических пациентов со скученностью зубов и/или несоответствием размеров челюстных костей. Однако перед началом какого-либо ортодонтического лечения необходимо установить этиологию уже имеющихся у пациента рецессий десен. Кроме того, крайне важно оценить исходный объем костной ткани в границах которого будет проведено ортодонтическое перемещение. Если же диапазон необходимого перемещения превышает имеющиеся костные границы лунки - это можно расценивать как одно из показаний к реализации ХООЛ. Перед началом фазы аугментации необходимо оценить факт наличия/отсутствия тонкого биотипа пародонтальных тканей и других факторов, ассоциированных с развитием рецессий или дигисценций. Коррекция таковых до хирургического вмешательства способствует достижению более прогнозированного результата реабилитации. Врач также должен понимать основные принципы влияния напряжения мышц, морфологии симфиза нижний челюсти и мелкого преддверья полости рта на возможный исход лечения. Оценка соотношения необходимого диапазона перемещения зубов к имеющемуся объему костной ткани посредством анализа срезов КЛКТ является одним из наиболее важных этапов планирования процедуры ХООЛ. Еще одним фактором залога успешного лечения является реабилитация пациента с привлечением мультидисциплинарной команды специалистов, глубокое понимание ситуации со стороны которых позволит значительно повысить прогнозированность проводимой хирургически-ортодонтической реабилитации.
Авторы:
Stuart Beauchamp, DMD
Colin S. Richman, DMD
William Baldock, DMD
Brock J. Pumphrey, DMD
J. Kobi Stern, DMD, MSc
Ускорение ортодонтического лечения воздействием на пародонт
Нарушение окклюзии представляет огромную эстетическую и функциональную проблему для пациентов, а лечение таких аномалий является обширной темой для исследований. Ортодонтическое лечение, проводимое с кортикотомией, демонстрирует значительное сокращение время лечения по сравнению с обычными методиками. Также заметно достижение более высоких результатов, чем с использованием традиционных подходов. Проведение кортикотомии значительно влияет на состояние кости, поэтому применение хирургических лазеров для данной процедуры приводит к более эффективному и благоприятному исходу.

Цель данной статьи: описать клинический случай лечения пациента с малокклюзией ортодонтическими методами с ускорением терапии кортикотомией при помощи хирургического лазера, Waterlase MD (BIOLASE Technology).
Ортодонтическое перемещение зуба и время, необходимое на лечение
Ортодонотическое перемещение зуба представляет собой клеточно-активированный процесс, который в большей своей части затрагивает периодонтальную связку (ПС).
Ортодонтическая сила, будь то ретрактивная или экспансивная, вызывает сдавление периодонтальной связки в направлении перемещения и растяжение ее на противоположной стороне. Остеокласты на стороне сдавления рассасывают кость, а остеобласты на другой стороне приводят к ее образованию, таким образом, происходит перемещение зубов в определенном направлении. Спустя 4-5 недель после наложение ортодонтическое силы происходит начало гиалинизации периодонтальной связки, что приводит в остановке перемещения. Гистологические исследования ортодонтического лечения, проводимого с кортикотомией, показали, что гиалинизация преодолевается гораздо быстрее, чем в традиционных подходах.
Фото 1а. Фронтальный вид до лечения в состоянии покоя
Фото 1b. Фронтальный вид до лечения при отведении губ
Фото 1с. Вид слева до лечения в состоянии покоя
Фото 1d. Вид слева до лечения при отведении губ
Фото 1e. Вид справа до лечения в состоянии покоя
Фото 1f. Вид справа до лечения при отведении губ
Фото 1g. Вид нижней челюсти до лечения
Фото 1h. Вид верхней челюсти до лечения
Фото 1i. Вид до лечения слева

Фото 1j. Фронтальный вид до лечения

Завышенная ортодонтическая сила может вызывать резорбцию корней, некроз периодонтальной связки, повреждение альвеолы. Для того чтобы избежать таких осложнений начинают с наложения относительно небольшой нагрузки (150 г), особенно у взрослых пациентов, у которых окружающие ткани не такие эластичные, как у детей и подростков. И хотя вероятность резорбции корня минимизирована, даже при «идеальной силе» она возможна.
Для достижение удовлетворительного результата, как правило, требуется то двух до трех лет терапии. Попытки сократить это время обычно ограничиваются упругостью ПС. Многие пациенты не решаются начать ортодонтическое лечение именно из-за продолжительности, так как считают ношение брекетов неудобным и чувствуют себя в них неуверенно. Рецидив также возможен, особенно если не происходит правильного применения ретейнеров. По имеющейся информации рецидивов после оротодонтического лечения с применением кортикотомии не наблюдалось.
Ортодонтическое лечение с кортикотомией занимает промежуточное положение между традиционным лечением и ортогнатической хирургией и при этом сокращает время обычного лечения, при этом снижая риск отдаленного рецидива. Базовый принцип заключается в том, что горизонтальные и вертикальные насечки на кортикальном слое кости вокруг корней зубов могут облегчать перемещение зубов из-за снижения сопротивляемости основного вещества кости при экспансивных и ретрактивных движениях. В целом кортикальный слой может быть смоделирован до нужной формы.
Вдобавок, при тяжелых случаях малокклюзии, бимаксилярной протрузии, когда ортодонтическое лечение не может достигнуть желаемого результата, а пациент отказывается от ортогнатической операции, выходом может стать применение кортикотомии.
Кортикотомия и ортодонтия
Несколько авторов описывают преимущества кортикотомии в сокращении времени ортодонтического лечения.
Kole в 1959 описывал ортодонтическое лечение, ускоренное кортикотомией, как перемещение зуба без костного «блока». Kloe считал, что кортикотомия позволяет корням зубов перемещаться независимо друг друга в их альвеолярных отростках, потому что толстая кортикальная кость обычно выступает главной обструкцией таких перемещений. В своем клиническом опыте Kloe применял большую, чем обычно, ортодонтическую силу для того, чтобы достичь лучших результатов без хирургического вмешательства. Что удивительно, но в этих условиях повышенной нагрузки резорбция корней не превышала норму.
Фото 2а. День вмешательства. Вид слева после лазерной кортикотомии
Фото 2b. Вид справа после лазерной кортикотомии
Фото 3. Неделю спустя после вмешательства, фронтальный вид с отведенными губами
Недавние исследования Wilcko опровергли гипотезу перемещения без костного «блока», объясняя все местным акселерационным явлением (МАЯ) и временными остеопоротическими условиями в месте вмешательства. Это заявление подтверждается эффективностью процедуры, даже когда кортикотомия не углубляется в медуллярную кость и кость между вертикальными и горизонтальными насечками перфорируется для индукции кровотечения. Феномен МАЯ на нижней челюсти изучен на крысах, подтверждая, что МАЯ может наблюдаться не только на трубчатых костях, где этот феномен обычно изучался. Несколько позже Wilcko также провел сравнение применения обычной ортодонтической силы и повышенной.
Другие исследования показали, что ортодонтическое лечение, усиленное кортикотомией, является эффективным методом при бимаксилярной протрузии, лечение которой проводится или традиционными методами или передней сегментарной остеотомией. Если даже обычное ортодонтическое лечение может быть показано, оно не всегда эффективно и занимает длительное время. Передняя сегментарная остеотомия хоть и дает моментальный результат, может вызывать все осложнения, характерные для любого хирургического вмешательства. Обычно при таком диагнозе ортодонтическое лечение, ускоренное кортикотомией, проводится с применением якорных механизмов, таких как мини-шурупы.
Фото 4а. Фронтальный вид, 30 дней после начала лечения
Фото 4b. Фото слева, 30 дней после начала лечения
Фото 4с. Фото справа, 30 дней после начала лечения
Лазеры в челюстно-лицевой хирургии
Применение хирургических лазеров требует тщательной подготовке и исследованию конкретного пациента, а также оценке всех плюсов после применения данной техники, нежели традиционных инструментов. В таких процедурах, как кортикотомия при ортодонтическом лечении, применение лазеров обычно обеспечивает более бережное вмешательство и быстрое заживление ткани.
Лазеры со средней длинной волны, такие как Er:YAG, Er, Cr: YSGG показывают высокие результаты при применении их в стоматологии, а также обеспечивают хороший бактерицидный эффект, сравнимый с ирригацией 2,5% гипохлорита натрия.
Фото 5а. Фронтальный вид спустя 2,5 месяца лечения (90 дней)
Фото 5b. Фронтальный вид спустя 2,5 месяца лечения (90 дней)
При сравнении лазеров с обычными борами, на первое место выходит меньшое термическое воздействие на ткани. Это же касается и пульпы, которая практически не нагревается при использовании эрбий-лазера. Также выявлено меньшее время, требуемое на заживление кости. Кроме того, сами пациенты демонстрирует большую благосклонность к лазерной хирургии, так как она бесконтактна и больные не испытывают дискомфорта.
Фото 6а. Завершение лечения на 6 месяце (пациент теперь улыбается)
Фото 6b. Завершение лечения на 6 месяце (вид слева)
Фото 6с. Завершение лечения на 6 месяце (вид справа)
Фото 6d. Завершение лечения на 6 месяце (вид при отведенных губах)
Клинический случай
Диагностика и план лечения
В клинику обратился 39-летний мужчина с малокклюзией по III Классу. Анатомические характеристики на момент вмешательства: узкая верхняя челюсть, генерализованная скученность, воспаление пришеечной десны средней степени. Соотношение по клыкам III Класс, зубы 7 и 27 в перекрестном прикусе. До обращения два верхних первых моляра были удалены, поэтому в плане лечения также находилась дистализация вторых моляров для подготовки места для имплантации отсутствующих зубов. Пациент был проинформирован обо всех возможных вариантах лечения, в том числе в отказе от лечения. Для применения кортикотомии для ускорения ортодонтического лечения также получено согласие.
Клинический протокол
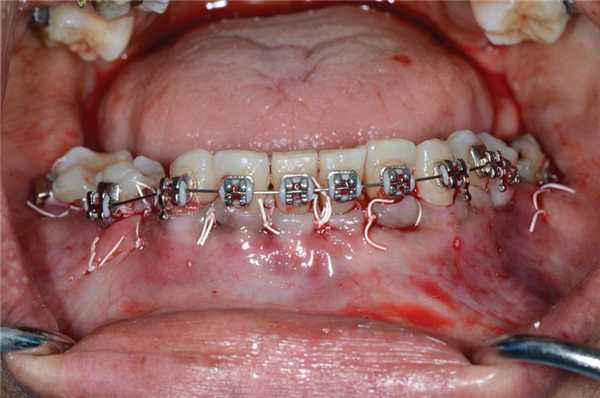
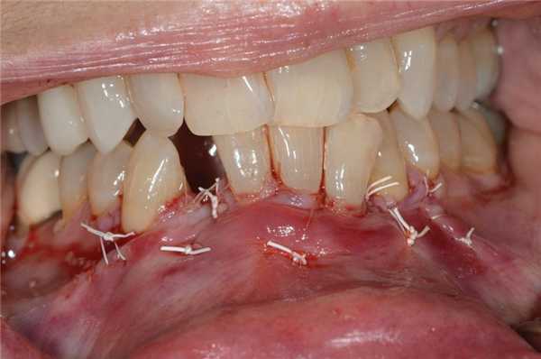
Под местной анестезией артикаина 4% с 1:100 000 эпинефрина (Septodont) на верхней челюсти проведена кортикотомия. Откинуты слизисто-надкостничные лоскуты с щечной и небной сторон на всю толщину. Для вмешательства использован Er Cr:YSGG лазер, Biolase MD (BIOLASE Technology) на 4,5W 15 волн в секунду с 33% воды и 66% воздуха. Кортикотомия проведена вертикальными насечками между всеми корнями зубов и соединением их в апикальной области. Для усиления эффекта МАЯ выполнены перфорации. Перед закрытием челюсть покрыта тонким слоем костного материала Puros (Zimmer Dental).
Фото 1a - 1j показывают состояние пациента до начала лечения. Сразу же после хирургического вмешательства фиксированы брекеты Clarity 3M Unitek с .018 круглой проволокой Ni-Ti Nitinol Heat Activated 3M Unitek. Фото 2а и 2b показывают полный лоскут с нанесенными насечками. Пациент назначен на осмотр через неделю (Фото 3) и затем для мониторинга примерно каждые 2 недели. Фото 4а - 4с демонстрируют значительное перемещение спустя всего 30 дней. Проволока сменена на .018x025 N с тепловой активацией на 94 день. Фото 5а и 5b показывают результат на 90 день. Фото 6а-6d : окончательный результат после снятия брекетов через 6 месяцев лечения. После снятия брекетов пациенту даны съемные типа Hawley ретейнеры на нижнюю и верхнюю челюсти (обратите внимание на отсутствие кровотечения). (Фото 2а и 2b).
После стабилизационного периода в 2 месяца осуществлена постановка имплантатов на места № 3 и 14. Окончательная реставрация была фиксирована через 7 месяцев после постановки имплантатов согласно плану лечения.
Результат
Ортодонтическое лечение было завершено через 5 месяцев. Общее время лечения вместе с постановкой имплантатов - 10 месяцев.
Никаких осложнений не наблюдалось ни во время, ни после лечения. Рецессия корней отсутствовала, глубина карманов не становилась больше 3 мм, рецессия десны не наступила. Фотографии наглядно демонстрируют состояние пациента до и после лечения. По мнению автора статьи, взрослые особенно оценивают такой вид ускоренного ортодонтического лечения.
Заключение
Кортикотомия при проведении оротодонтического лечения значительно сокращает время терапии. Учитывая нелюбовь пациентов к брекетам, это становится хорошей опцией в арсенале стоматолога. Кроме того применение лазерных технологий при вмешательстве значительно улучшает заживляющие способности кости. Так как в данном клиническом случае никаких осложнений не было замечено, требуется продолжение исследований для оценки отдаленных результатов.
Ускоренное перемещение зубов у взрослых при лечении на брекетах
Не смотря на прогресс в развитии систем перемещения зубов, скорости движения зубов внутри костной ткани остаются неизменными. На верхней челюсти - 0.8 мм в месяц, на нижней челюсти - 0.3 мм в месяц. Эти данные врачи используют при прогнозировании сроков ортодонтического лечения. Как показывает практика, ориентировочный срок лечения взрослого пациента - 2-3 года.
Можно ли ускорить процесс лечения?
В клинике Belgravia Dental Studio используется ультразвуковая подготовка костной ткани к перемещению зубов - кортикотомия. Она используется для облегчения перемещения зубов. С помощью ультразвукового аппарата «Piezo-surgery» происходит вмешательство в костную ткань на глубину 1-2 мм (минимальная травматизация). За счёт этого запускается феномен ускорения процессов, и нормальный обмен веществ ускоряется, костная ткань становится «послушной».
К тому же эта методика сокращает риски появления осложнений после ортодонтического лечения: рассасывание корней (резорбция), обнажение участка корня зуба (рецессия десны).
Что конкретно дает кортикотомия?
- перемещение зубов на расстояние в 2-3 раза больше;
- первый этап ортодонтического лечения - выравнивание положения зубов - происходит быстрее по сравнению с традиционным ортодонтическим лечением;
- снижается необходимость удаления постоянных зубов;
- улучшается состояние пародонта (тканей, окружающих зуб), снижается риск патологии пародонта в будущем;
- улучшаются окклюзионные контакты между верхними и нижними зубами;
- снижается риска рецидива (возвращения зубов в исходное положение).
Кому может быть рекомендована эта методика?
Эта методика рекомендована для лечения нарушения прикуса умеренной или тяжелой степени у взрослых. По степени травматизма это вмешательство сопоставимо с рядовой пародонтологической операцией. Многим взрослым пациентам требуется пародонтологическое лечение, так что кортикотомия становится частью последнего.
Читайте также:
