Лучевая диагностика приобретенных заболеваний семенных пузырьков
Добавил пользователь Евгений Кузнецов Обновлено: 13.12.2025
Врожденные аномалии почек встречаются с частотой 1 на 500 новорожденных, что составляет 20-30% от всех аномалий пренатального периода. Аномалии являются важным предрасполагающим фактором для дальнейшего развития почечной недостаточности, гидронефроза, гипертонии сердечно-сосудистых заболеваний. Обычно аномалии делят на нарушения количества, расположения, слияния, формы, кровоснабжения и собирательной системы оттока мочи. К этому делению надо добавит еще некоторые патологии, не попадающие под вышеперечисленную классификацию - врожденный поликистоз почек: аутосомно-рецессивный (тип 1 по Поттеру), диспластический (тип 2), аутосомно-доминантный с ранним началом (тип 3), обструктивная почечная дисплазия (тип 4), врожденный нефробластоматоз и врожденную обструктивную болезнь.
Многие из перечисленных аномалий входят в состав сложных синдромов.
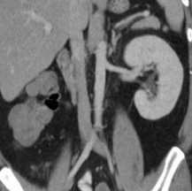
Под агенезией почки понимают ее одностороннее или двухстороннее отсутствие. Двухстороннее отсутствие почек относится к классическому синдрому Поттера, сочетается с другими аномалиями развития и несовместимо с жизнью. Встречается он с частотой 1 на 4000 новорожденных. Односторонняя агенезия отмечается с частотой 1 на 500 новорожденных. Чаще всего односторонняя агенезия является случайной находкой при лучевой диагностике , проводимой по разным причинам, в частности гипертензионном синдроме. Отсутствие почки может быть обнаружено уже при антенатальном УЗИ, отсутствует при этом и почечная артерия. При этом, как правило, отмечается компенсаторное увеличение контрлатеральной почки. Часто место отсутствующей почки занимает надпочечник, также увеличенный. Агенезию важно не спутать с эктопией, которая встречается намного чаще. Сочетание односторонней агенезии с аномалией протока Вольфа (эякуляторный проток) и кистой семенных пузырьков с той же стороны обозначают как синдром Циннера.

КТ, корональная реформация. Агенезия правой почки.
Гипоплазия (дисгенезия) -термин, под которым понимают уменьшение размеров почки, как нарушение развития ее части.
Морфологические аномалии включают подковообразную почку, почку в форме пирога и слияние почек с расположением на одной стороне или по средней линии.
Подковообразная почка встречается чаще других и представляет собой увеличение одного из полюсов почки, в 90% - нижнего. Нередко меняется и положение подковообразной почки, которая может быть смещена медиально или даже на противоположную сторону. Подковообразная почка видна при любом виде исследования - внутривенной урографии , УЗИ, КТ, МРТ почек или сцинтиграфии.
Слияние почек на одной стороне встречается с частотой 1 на 1000 новорожденных явным преобладанием мужчин. Некоторые авторы по форме и локализации выделяют 6 подтипов. Аномалия видна любым из лучевых методов, но при КТ лучше оценивается положение мочеточников и взаимотношение с соседними структурами.
Почка в форме пирога (дисковидная почка) встречается относительно редко. При этой аномалии верхний и нижний полюса почки слиты и обычно почка имеет 2 мочеточника. Сама эктопичная почка расположена впереди бифуркации аорты.

Внутривенная урография. Подковообразная левая почка.

МРТ почек. Аксиальная Т2-ВИ. Подковообразная почка.
Тазовое расположение почки встречается с частотой 1 на 3000, что делает этот вариант одним из наиболее распространенных почечных эктопий. Обычно протекает бессимптомно. Хорошо определяется любым лучевым методом

МРТ почек. Сагиттальная Т1-ВИ. Тазовое расположение почки.
Исключительно редко встречаются другие варианты аномального расположения почек - внутригрудной, поворот почки.
Нефроптоз - опущение почки при переходе из положения лежа в положение стоя на 5 см или 2 тела позвонка отмечается у 20% молодых худых женщин. Обычно он двухсторонний. Иногда сопровождается болевым синдромом, который, вероятно, вызван кратковременной обструкцией мочевых путей. УЗИ с ЦДК позволяет оценить почечный кровоток, на основании которого решается вопрос о лапароскопической нефропексии.
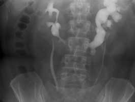
Удвоенная собирательная система - термин предполагает наличие двух чашечно-лоханочных систем с одним или двумя мочеточниками. Последние могут сливаться по пути к мочевому пузырю. Удвоение может быть одно- или двухсторонним. Удвоенная почка увеличена в размерах, иногда сочетается с аномалиями поворота и гидронефрозом. Экскреторная урография надежно визуализирует данную аномалию развития.

Экскреторная урография. Полное двухстроннее удвоение мочеточников.
При непереносимости йодных контрастных препаратов можно прибегнуть к МР-урографии. МР-урография не имеет никаких противопоказаний, кроме искусственного водителя сердечного ритма и тяжелой почечной недостаточности (уровень свободного креатинина крови >30).
Показания к МР урографии достаточно широкие:
- Обструктивная уропатия любого происхождения - камни в мочеточниках, опухоли, стриктуры (сужения) мочеточников при инфекциях
- Аномалии мочеточников
- Гидронефроз любого происхождения
Подготовка совсем простая - За 30 минут до исследования выпить 500-600 мл воды (примерно 3 стакана) и 1/4 таблетки мочегонного препарата (например, фуросемид). Существуют разные методики ее проведения, из которых наиболее простая следующая: поле от верхнего полюса почек до дна мочевого пузыря. Тонкие срезы в аксиальной и корональной плоскости с жироподавлением и последующей MIP-реконструкцией. Тип последовательности - глубоко Т2-ВИ. Задержка дыхания при необходимости. Рутинно контрастирование не применяется, только при сочетании с МРТ почек.
Аномалия почечных сосудов в виде дополнительной почечной артерии отмечается у 30% людей. Венозные аномалии, как расположение вены позади артерии или их удвоения встречаются исключительно редко.
Аутосомно-доминантный поликистоз почек встречается с частотой от 1 на 400 до 1 на 1000 человек и служит одной из причин почечной недостаточности. Обычно кисты обнаруживаются при УЗИ в возрасте старше 30 лет. Клинически проявляется болями в боку, гематурией, гипертензией и нарастающей почечной недостаточностью. Известно 3 генетических типа заболевания. Часто наблюдаются и другие врожденные аномалии - кисты печени, сосудистые аневризмы, дивертикулез толстой кишки и другие.
Множественные кисты почек видны при любом методе лучевого исследования. В отличие от АДПП аутосомно-рецессивный поликистоз почек встречается у детей и гораздо реже АДПП. При лучевой диагностике кисты более мелкие, вплоть до впечатления диффузного поражения.
Везикулит ( Сперматоцистит )
Везикулит - это воспаление семенных пузырьков. Поражает преимущественно мужчин в возрасте сексуальной активности. В изолированном состоянии болезнь протекает редко, в большинстве наблюдений сопутствует простатиту. Ведущие клинические признаки - примесь крови в сперме и болезненные эрекции. При длительном процессе регистрируют изменения в спермограмме. Для диагностики используют пальпаторный осмотр, ТРУЗИ, сок простаты и семенных пузырьков, ПЦР-анализы на ИППП, культуральные исследования. Лечение подразумевает назначение антибактериальных и противовоспалительных препаратов, физиотерапию.
МКБ-10

Общие сведения
Везикулит (сперматоцистит) - урологическое заболевание, проявляющееся воспалением семенных пузырьков - парного железистого органа мужской репродуктивной системы. По форме орган напоминает скрученную спираль длиной 5-7 см, шириной 2-4 см и толщиной 1-2 см. Основная функция данных анатомических структур - выработка части секрета для спермы. Сок семенных пузырьков содержит белки, фруктозу и витамин С, что обеспечивает питание, защиту и подвижность сперматозоидов. При несостоявшемся семяизвержении спермиофаги в везикулах утилизируют остатки семенной жидкости. Профилактика везикулита и последующего бесплодия является одной из важных задач современной андрологии.
Причины везикулита
В качестве предрасполагающих факторов рассматривают ослабление иммунных реакций любого генеза: переохлаждение, алкоголизм, прием некоторых лекарств и пр. Выделяют два вида везикулита: инфекционный и асептический. В первом случае к воспалению приводят представители кокковой флоры, кишечная палочка, возбудители ИППП. В эндемичных зонах хронический сперматоцистит может поддерживаться шистосомозом и туберкулезом. Для асептического везикулита первостепенными являются анатомические предпосылки и конгестивный застой крови в малом тазу. Основными причинами везикулитов являются:
- Сопутствующие заболевания. Инфекционный везикулит часто осложняет другие хронические или острые патологии урогенитального тракта мужчины - простатит, уретрит и эпидидимит. Иногда воспаление провоцирует патогенная микрофлора из экстрагенитально расположенных очагов (тонзиллит, кариес) или заболевание развивается на фоне вирусной инфекции.
- Конгестия. Все факторы, приводящие к застою крови в органах малого таза, при соответствующих условиях (иммуносупрессия, переохлаждение) могут осложниться асептическим везикулитом. Конгестия тазовых вен сопровождает хронические запоры, низкую двигательную активность, половые эксцессы. Спровоцировать венозный застой может слишком активная сексуальная жизнь (включая мастурбацию), искусственное пролонгирование полового акта, отсутствие регулярного семяизвержения.
- Травматизация. Травмирование везикул возможно при трансуретральной резекции, диагностических исследованиях (цистоуретроскопии), во время катетеризации. При бужировании по поводу стриктуры уретры нередко развивается воспаление, в которое вовлекаются ткани уретры, семенных пузырьков, простаты. Везикулит может возникнуть после пенильно-анальных контактов у гомосексуальной пары.
- Анатомическая предрасположенность. Причина асептического воспалительного процесса в семенном пузырьке - контакт тканей везикулы с мочой или спермой в результате врожденного или приобретенного рефлюкса, атрезии протока. В результате данных анатомических дефектов везикулит может проявиться даже у ребенка, его особенностями являются упорное течение, резистентность к антибактериальной терапии и одностороннее поражение.
Патогенез
При развитии инфекционного везикулита патогены (бактерии, вирусы, грибы) провоцируют воспаление везикул, отек и инфильтрация тканей затрудняют отток мочи. Постоянная задержка урины приводит к уретрально-семинальному рефлюксу и усугублению инфекционного процесса. Нарушение сократительной функции пузырьков по гипорефлекторному типу проявляется уменьшением количества производимого эякулята. Везикулы обильно кровоснабжаются, при воспалении сосуды утрачивают эластичность и рвутся, чему способствует повышение давления в полости малого таза во время семяизвержения.
При асептическом везикулите конгестия мочеполового венозного сплетения ведет к артериальной констрикции, венозному полнокровию и повышению сосудистой проницаемости. В результате этих процессов развивается ишемия всех органов малого таза, включая везикулы. Доказано, что при воспалении снижается уровень тестостерона и повышается уровень пролактина, что оказывает негативное влияние на секреторную активность везикул и фертильность.
При асептическом воспалении сократительная функция семенных пузырьков нарушается по гиперрефлекторному типу, следствием чего является раннее семяизвержение, спонтанные эрекции и ночные поллюции. При любом типе воспаления страдает сперматодинамика, может формироваться бесплодие. Асептический везикулит при активации вторичной микрофлоры принимает воспалительный характер. Последние исследования показали, что недостаточная выработка семеногелина I способствует возникновению везикулита, что связано с утратой естественных механизмов защиты против бактерий.
Классификация
Поражение везикул может быть односторонним и двусторонним, острым и хроническим. Урологи и андрологи используют классификацию, которая учитывает степень выраженности воспаления. Данные для определения этого показателя получают с помощью эндоскопического исследования - везикулоскопии. Выделяют следующие формы везикулита:
- Катаральная. Поверхностное воспаление характеризуется покраснением слизистой, экссудацией. Везикулы несколько увеличены в размерах, содержат негомогенную жидкость, в которой может присутствовать белок, эритроциты и лейкоциты.
- Глубокая. Характеризуется дальнейшим распространением воспалительного процесса со слизистой оболочки везикулы на нижерасположенные слои (подслизистый и мышечный). Семенные пузырьки увеличены, отечны, гиперемированы. В их содержимом определяется большое количество гноя.
- Распространенная (паравезикулит). В процесс вовлекаются соседние ткани, граничащие с семенными пузырьками. Предшествует эмпиеме везикул - осложнению, связанному с гнойным расплавлением этих анатомических структур.
Симптомы везикулита
Основными симптомами, свидетельствующими о развитии патологии, считаются появление спермы с прожилками крови (по типу смородинового желе) и спонтанные (без сексуального возбуждения) болезненные эрекции. Выраженность проявлений коррелирует с характером процесса, при остром воспалении симптомы выражены ярче, включают дискомфорт в промежности, внизу живота. Неприятные ощущения усиливаются во время дефекации и по мере наполнения мочевого пузыря.
У 90% мужчин везикулит сопровождается диспареунией - болезненными спазмами в промежности во время и после сексуального контакта с иррадиацией в пенис и яички. Сперматоцистит может проявляться в виде нарушений сексуальной функции: вялости эрекции, преждевременной эякуляции, снижения оргастических ощущений или трудностей в достижении кульминации. Нередко пациенты обращают внимание на визуальное изменение качества эякулята: количество спермы уменьшено, могут присутствовать сгустки, нетипичный запах.
При выраженном воспалительном процессе страдает общее самочувствие: появляется слабость, температурная реакция, головная и костно-суставная боль. В 70% случаев везикулит сопровождают дизурические расстройства: частые позывы на мочеиспускание, изменение качества струи мочи, чувство неполного опорожнения. Хронический везикулит чаще протекает бессимптомно и выявляется при обследовании, проводимом по поводу бесплодия.
Осложнения
В качестве осложнения острого везикулита рассматривают хронизацию процесса, при которой происходит атрофия семенных пузырьков и утрата их функций. Редко диагностируется абсцесс везикулы (эмпиема) - следствие неадекватной терапии или ее отсутствия у пациентов с иммуносупрессией. На фоне выраженного отека нарушается отток мочи, что проявляется ее хронической задержкой с развитием персистирующих инфекций нижних и верхних мочевых путей. При двустороннем поражении везикул снижается фертильность, развивается бесплодие.
Диагностика
Диагностика везикулита затруднена, поскольку аналогичные жалобы могут присутствовать при ряде нозологий. Тактику обследования определяет уролог или андролог. После оценки симптомов врач переходит к физикальному осмотру гениталий и пальцевому исследованию предстательной железы, везикул. При воспалении они имеют большие размеры и плотность, болезненны при пальпации. Обследование проводят по следующему алгоритму:
- Лабораторная диагностика. В общем анализе мочи и крови присутствуют воспалительные изменения. В секрете везикул и простаты выявляют повышенное количество лейкоцитов и бактерий, эритроциты. Биохимический анализ показывает сниженное количество фруктозы и витамина С. Степень выраженности изменений в спермограмме вариативна - от астеноспермии до олигоспермии с преобладанием дегенеративных типов сперматозоидов. Для уточнения типа возбудителя выполняют ПЦР-анализ на ИППП, бакпосев эякулята.
- Инструментальные исследования. К диагностике первой линии относят ТРУЗИ. Ультразвуковое сканирование показывает типичные признаки воспаления: увеличение и отек везикул, негомогенность их содержимого, усиленную васкуляризацию. Методика дает возможность одновременно оценить состояние предстательной железы. Диагноз подтверждает везикулоскопия, позволяющая визуализировать изменения в везикулах. МРТ и КТ малого таза производят при подозрении на сопутствующий опухолевый процесс или врожденные аномалии развития.
Дифференциальную диагностику проводят с первичными опухолями, кистой и туберкулезным поражением. Схожие проявления могут наблюдаться при вторичном метастазировании в везикулы новообразований малого таза, в первую очередь - инвазии рака предстательной железы. Для исключения злокачественной опухоли простаты с распространением на семенные пузырьки назначают анализ крови на уровень ПСА.
Лечение везикулита
Терапевтические мероприятия зависят от этиологического фактора, выраженности воспаления и сопутствующей патологии. При данных, свидетельствующих о гнойном воспалении, терапию начинают эмпирически, не дожидаясь результатов культурального исследования. Схема лечения включает препараты и физиотерапевтические воздействия, влияющие на все звенья патогенеза: воспаление, нарушение кровообращения, иммуносупрессию:
- Медикаментозная терапия. Назначают антибактериальные средства широкого спектра действия (при ИППП - с учетом возбудителя), иммуномодуляторы, ферменты. НПВС усиливают действие антибиотиков, уменьшают боль и нормализуют температурную реакцию. Для улучшения кровообращения используют флеботоники. При сопутствующих обструктивных расстройствах обосновано применение альфа-адреноблокаторов.
- Физиолечение. Физиотерапия способствует концентрации препаратов в зоне воспаления, уменьшает отек и выраженность болевого синдрома, улучшает микроциркуляцию. Применяют магнитно-лазерное воздействие, УВЧ, трансректальный электрофорез с антибиотиками и обезболивающими средствами. Одним из эффективных способов является трансуретральная или трансректальная микроволновая терапия или гипертермия.
- Санаторно-курортное лечение. Через 1-2 месяца после купирования острого состояния возможна реабилитация в санатории. Грязевые тампоны в прямую кишку, аппликации, массаж предстательной железы и микроклизмы с отварами трав способствуют полному восстановлению пациента. Прием минеральной воды внутрь усиливает диурез и ускоряет выведение патогенов из урогенитального тракта. Физическая активность и специальные упражнения устраняют конгестию органов таза.
Прогноз и профилактика
Прогноз везикулита при своевременном обращении и адекватной терапии благоприятный. У мужчин с частыми рецидивами воспаления на исход влияет причина заболевания. Прием цитостатиков, сахарный диабет и ВИЧ-инфекция утяжеляют прогноз. В запущенных случаях при развитии гнойных осложнений может быть выполнена органоуносящая операция, приводящая к инфертильности.
Превентивные меры включают своевременную санацию очагов инфекции в организме, исключение переохлаждений, нормализацию работы кишечника. Использование презерватива, занятия спортом и регулярный секс без длительной отсрочки семяизвержения помогают сохранить мужское здоровье. При любых симптомах неблагополучия со стороны органов урогенитального тракта следует незамедлительно записаться к урологу.
1. Воспалительные заболевания добавочных половых желез у мужчин, обусловленные урогенитальной скрытой инфекцией и осложненные бесплодием. Автореферат диссертации/ Калинина С.Н. - 2003.
2. Патогенетические механизмы развития хронического простато-везикулита у инфертильных мужчин. Автореферат диссертации/ Светлова Л.Н. - 2009.
3. Выявление заболеваний семенных пузырьков с использованием методов визуализации: обзор современной литературы/ Гаутам Дагур, Келли Уоррен и пр.// Интернациональный журнал биомедицины - 2016 - №14.
МРТ малого таза в диагностике заболеваний предстательной железы
В диагностике заболеваний предстательной железы роль МРТ особенно велика. В экономически развитых странах рак простаты в структуре онкологических заболеваний занимает одно из первых мест, поэтому интерес к методикам его раннего выявления особенно велик.
МРТ метод чаще всего используется для выявления и дифференциальной диагностики рака простаты, а также для диагностики других заболеваний предстательной железы и семенных пузырьков.
Рассмотрим некоторые заболевания предстательной железы и семенных пузырьков, выявляемые при МРТ исследовании малого таза:
1. Доброкачественная гиперплазия предстательной железы
Это аденоматозное увеличение переходной зоны предстательной железы. Как правило встречается у мужчин старше 50 лет, наиболее часто прогрессирует с течением времени. Клинически проявляется дизурическими явлениями, ослаблением струи мочи, хронической задержкой мочи.
Редко является причиной развития рака простаты.

а) Т2-tra б) Т2-sag
Хорошо визуализируется зональная анатомия простаты, выраженная гиперплазия переходной зоны неоднородной структуры, компрессия периферической зоны на этом фоне. Переходная зона вдается в просвет мочевого пузыря (б).
2. Рак предстательной железы.
Аденокарцинома - наиболее частая злокачественная опухоль простаты, возникающая обычно в периферической зоне. У мужчин это самая распространенная злокачественная опухоль.
Клинически на протяжении длительного времени характерно бессимптомное течение; пальпаторно, как правило, определяются только крупные, периферически расположенные опухоли. Задержка мочи, инфравезикальная обструкция - поздние осложнения аденокарциномы. Ухудшение общего состояния у пациентов возникает при метастатическом РПЖ.
Частота встречаемости увеличивается с возрастом. Скрининг, включающий определение уровня PSA и пальцевое ректальное исследование предстательной железы необходимо начинать с 50 лет.
а) Т2-аксиальное изображение б) Т2-корональное изображение.
Муж., 62 лет. Верифицированный рак простаты. В заднее-латеральных отделах периферической зоны левой доли железы (на границе центральной и апикальной частей простаты) визуализируется участок патологически пониженного МР-сигнала. Целостной капсулы железы сохранена (стадия Т2а).
Т2-ВИ, аксиальная плоскость. Са (саncer)-мелкий очаг патологически пониженного МР-сигнала.
Определяется участок патологически пониженного МР-сигнала в периферической зоне левой доли простаты (центральная часть железы). При этом визуализируется нарушение целостности капсулы предстательной железы (Т3а стадия).
а)Т2-cor б)Т2-tra в) Т1FS din+С
Определяется больших размеров опухоль правой доли предстательной железы с инвазией ее капсулы, распространением на парапростатическую клетчатку (стрелки). При внутривенном динамическом контрастировании (в) в артериальную фазу определяется выраженное, диффузно неоднородное усиление ткани опухоли.
а) Т2-аксиальное изображение б) Т2-корональное изображение
Определяется опухоль левой доли предстательное железы с признаками распространение на основание левого семенного пузырька (стрелки, б).
3. Острый простатит.
Острый простатит представляет собой острый воспалительный процесс в предстательной железе, характеризующийся признаками общей интоксикации, болями в промежности и паховой области, а также болезненными ощущениями при опорожнении мочевого пузыря и частыми позывами к мочеиспусканию (особенно в ночное время). Болевой синдром ведет к затруднению мочеиспускания, иногда до острой задержки мочи.
В отдельных случаях возможны беловатые или бесцветные гнойные выделения из уретры.

Муж., 45 лет. Острый простатит. На представленных томограммах в Т2-ВИ аксиальная плоскость (а) и Т2 с жироподавлением в корональной плоскости определяется увеличение в объеме периферической зоны, ее отечность.
4. Абсцесс простаты.
Причиной формирования абсцесса предстательной железы являются патогенные бактерии, вызвавшие развитие простатита, а в случае гематогенного абсцесса - бактерии, способствовавшие развитию основного очага инфекции в организме.
Выделяют следующие формы абсцесса предстательной железы:
- Первичная - при наличии инфекционного процесса за пределами мочеполовой системы;
- Вторичная - в виде осложнения простатита.
Для абсцесса предстательной железы характерны все симптомы простатита, но в большей степени выраженности. Общее состояние тяжелое, температура высокая с ознобом, тахикардия, обильное потоотделение. Характерна резкая, пульсирующая, односторонняя (т.к. абсцесс чаще поражает изолированно одну из сторон органа), иррадиирующая в прямую кишку боль. Болевой синдром приводит к затруднению дефекации и мочеиспускания, в том числе острой задержке мочи. В случае прорыва абсцесса отмечается помутнение мочи, либо наличие гноя в кале.
а) Т2-tra б) T1-tra+С в)DW
На Т2-аксиальном изображении (а) определятся неправильно округлой формы очаг повышенной интенсивности МР-сигнала в центральной зоне левой доли предстательной железы. При внутривенном контрастировании (б) отмечается периферическое усиление данного очага (капсулы), с неконтрастирующимися центральными отделами. На диффузионно-взвешенном изображении определяются признаки ограничения диффузии от данного полостного образования (абсцесс).
5. Агенезия семенного пузырька.
Рис. 35. Мужчина, 31 год с бесплодием. На Т2-аксиальном изображении определяется отсутствие левого семенного пузырька при наличии левого семявыносящего протока (стрелки).
6. Аутосомно-доминантный поликистоз почек и семенных пузырьков.
Наличие кист в семенных пузырьках при аутосомно-доминантном поликистозе почек имеет большую клиническую значимость. При УЗИ данная патология может быть ошибочно интерпретирована как кисты простаты.
Клиническая картина поликистоза может включать в себя гемоспермию.

На представленных Т2-ВИ с жироподавлением определяются билатеральные кисты семенных пузырьков (а, аксиальная плоскость) и увеличение почек за счет множественных кист (б, фронтальная плоскость).
Рис. 37. а)Т1-tra FS б) Т2-tra в) T1-tra+контраст
Мужчина, 31 год. Гематурия. Определяется полостное включение неправильно овальной формы в проекции левого семенного пузырька, имеющее сигнальные характеристики отличные от жидкости (гиперинтенсивный МР-сигнал в Т1-ВИ, а - признак кровоизлияния). При внутривенном контрастировании (с) не отмечается периферического усиления, что говорит об отсутствии инфицирования кисты.
7. Нагноившаяся киста левого семенного пузырька.
Рис. 38 а) Т1-tra+С б) Т1-cor+С
Мужчина, 78 лет. В проекции левого семенного пузырька определяется кистозное включение не бугристыми контурами и признаками периферического контрастирования капсулы (нагноившаяся киста-абсцесс).
8. Киста Мюллерова протока.
Киста Мюллерова протока чаще встречается у мальчков с гипоспадией и у интерсексуалов. Размеры значительно варьируют. Клинически зачастую никак себя не проявляют, но в некоторых случаях могут возникать неприятные ощущения в промежности, дизурия, гематурия, задержка мочи, инфекции мочевых путей, эпидидимит, олигоспермия.
Рис. 38. Мужчина, 72 лет с раком простаты. Больших размеров киста Мюллерова протока. Видно жидкостное включение между прямой кишкой и простатой по средней линии. Для такой кисты типична локализация по средней линии, что позволяет дифференцировать ее от кисты семенных пузырьков.
9. Везикулит.
Везикулит - это воспаление семенных пузырьков. Клинически характерно появление болей над лобком и в промежности, которые отдают в поясницу, пах или крестец. Боли усиливаются при дефекации и позывах на мочеиспускание. При дефекации бывает также выделение из уретры слизистого содержимого, иногда с прожилками крови - это секрет пузырьков. Кроме того, при везикулите становится болезненной эякуляция и в сперме появляются следы крови. Наблюдается расстройство эрекции. Страдает и общее состояние: характерны слабость, головная боль, повышенная утомляемость и температура. Часто обостряются и сопутствующие симптомы простатита.
Рис. 40 а)Т2-tra б) Т1-tra +контраст
Мужчина, 34 лет с гематоспермией. Преконтрастные Т2-ВИ (а) и постконтрастные Т1-ВИ изображения (б) в аксиальной плоскости демонстрируют диффузное утолщение стенок семенных пузырьков, неоднородность их внутренней структуры.
Современные возможности ультразвуковой диагностики новообразований предстательной железы

Идеальный инструмент для пренатальных исследований. Уникальное качество изображения и весь спектр диагностических программ для экспертной оценки здоровья женщины.
Введение
Рак предстательной железы - одна из наиболее распространенных форм злокачественных новообразований у мужчин [1]. Среди онкологических заболеваний ряда стран рак предстательной железы занимает 2.3 место после рака легких и желудка, а в США - 1-е место. В последние годы отмечается исключительно быстрый рост заболеваемости раком предстательной железы, достигающий в среднем 3% за год, что позволяет прогнозировать удвоение числа регистрируемых случаев к 2030 г. [2]. По результатам аутопсий и простатэктомий обнаруживается значительное превалирование клинически недиагностированных патологических изменений предстательной железы. По данным США, клинически неопределяемые очаги злокачественного перерождения предстательной железы выявляются у 15-30% мужчин старше 50 и у 80% мужчин старше 80 лет [3]. До последнего времени считалось, что "малый" рак предстательной железы (объем опухоли не превышает 1 см³) является клинически малозначимым, так как редко обладает инфильтрирующим ростом и не проявляется симптомами раковой интоксикации. Новые данные, полученные в результате обследования больных раком предстательной железы, показывают, что течение заболевания при небольших по размерам опухолях практически непредсказуемо и зависит, в основном, от их биологической активности [4]. Из-за отсутствия ранних симптомов злокачественные опухоли простаты распознаются, как правило, на стадии генерализации процесса. От 60 до 80% пациентов с раком предстательной железы при первичном обращении уже имеют отдаленные метастазы [5]. Диагностика рака предстательной железы в доклинической стадии приобрела особую актуальность в последние годы благодаря появлению реальных шансов на радикальное хирургическое лечение. Однако до настоящего времени, несмотря на бурное развитие новейших лучевых технологий, включающих спиральную компьютерную томографию (СКТ), магнитно-резонансную томографию (МРТ) и позитронно-эмиссионную томографию (ПЭТ), обладающих высокой чувствительностью и специфичностью, диагностика "малого" рака предстательной железы представляет определенные трудности.
Большинство диагностических программ базируется на сочетании трех методов: пальпации предстательной железы через прямую кишку, анализа крови на простатический специфический антиген и трансректальное ультразвуковое исследование (ТРУЗИ) с последующей биопсией и морфологической верификацией. Опухоли предстательной железы проявляются локальным уплотнением. Однако метод пальпации достаточно субъективен и зависит от опыта врача. Кроме того, опухоли небольшого размера, расположенные у передней поверхности и в срединной части предстательной железы, недоступны для исследования. C трудом определяется опухолевый узел размером менее 1,5-2 см³.
Простатический специфический антиген является органоспецифическим маркером, экспрессирующимся в ткани предстательной железы. К повышению уровня простатического специфического антигена, кроме рака предстательной железы, приводят воспалительные процессы, доброкачественная гиперплазия, а также урологические манипуляции, травмирующие железу [6]. Таким образом, обладая высокой органоспецифичностью, простатический специфический антиген не является специфически опухолевым маркером.
Определенные успехи в области раннего распознавания, дифференциальной диагностике и оценке местного распространения рака предстательной железы достигнуты в последние годы. Это связано с новыми техническими достижениями в разработке новейших ультразвуковых аппаратов, основанных на дигитальной технике получения изображения с высокой тканевой специфичностью, и принципиально новым направлением - цветовой ультразвуковой ангиографией, включающей цветовое и энергетическое доплеровское картирование, трехмерную (3D) реконструкцию сосудов [7,8].
В настоящее время ТРУЗИ получило широкое распространение в диагностике заболеваний предстательной железы. Благодаря внедрению специальных полостных датчиков появилась возможность получать качественные изображения продольных и поперечных срезов, на основании которых оценивают размеры и объем железы, состояние ее капсулы и внутренней эхоструктуры. УЗИ позволяет определять прорастание рака предстательной железы в окружающие органы или метастатические изменения в региональных лимфатических узлах, что имеет важное значение в определении стадии опухолевого процесса. Простое проведение диагностической процедуры, возможность многократного повторения, высокая информативность метода обеспечили ему приоритет среди других методов визуализации [9,10].
Известно, что наиболее ранними ультрасонографическими признаками злокачественного перерождения предстательной железы являются очаговые изменения ее эхоструктуры. В большинстве случаев локализованного рака предстательной железы наблюдается снижение акустической сопротивляемости и появление гипоэхогенных участков, расположенных преимущественно в периферических зонах предстательной железы. Характерным является отсутствие четких границ между различными по форме и размерам участками с измененной эхоструктурой и окружающей их паренхимой. Однако существует группа опухолей предстательной железы, составляющих, по мнению ряда авторов, до 30%, обладающих изоэхогенными свойствами или имеющих картину чередования гипоэхогенных и изоэхогенных участков различных размеров.
С другой стороны, выявление при ТРУЗИ гипоэхогенных узлов не является строго специфичным для рака. Аналогичные по характеру участки могут наблюдаться и при остром простатите, и при некоторых формах доброкачественной гиперплазии. Ультразвуковая ангиография в значительной степени расширила возможности диагностики заболеваний предстательной железы. Различия в васкуляризации при простатите и раке позволяют проводить дифференциальную диагностику между отдельными гипоэхогенными участками в железе. Для опухолевых сосудов характерно патологическое ветвление, различный их калибр, извитой ход и слепые карманы вместо концевых артериол. Отчетливая визуализация мелких сосудов предстательной железы и ее капсулы возможна при использовании методики энергетического картирования [11,12]. Наиболее перспективным методом в оценке сосудистого рисунка предстательной железы стала 3D-ангиография. 3D-реконструкция сосудов в режиме энергетического картирования позволяет оценить сосудистый рисунок предстательной железы в целом, выявлять зоны асимметрии сосудистого рисунка, степень васкуляризации очага, правильность хода сосудов и наличие патологических сосудистых сплетений [13].
Наш опыт обследования больных с заболеваниями предстательной железы показывает, что у пациентов с хроническим простатитом наблюдаются мелкие эхонегативные участки от 0,5 до 1,5 см в диаметре на фоне зон с повышенной акустической сопротивляемостью.
При отсутствии изменений акустической сопротивляемости другими ультрасонографическими критериями рака предстательной железы могут служить асимметричное увеличение размеров, деформация простаты, а также нарушение целостности ее капсулы. Значительно труднее как при трансабдоминальном, так и при трансректальном УЗИ выявляются опухоли, расположенные по передней поверхности железы, чем опухоли периферических зон.
Это в основном определяется тем, что паренхима центральной и транзиторных зон в норме обладает пониженной эхогенностью.
Поэтому в указанных отделах гипоэхогенные канцероматозные очаги могут не визуализироваться. Косвенными признаками опухолевого поражения предстательной железы являются изменения семенных пузырьков, которые отчетливо визуализируются при трансабдоминальном и трансректальном сканировании. Патологические процессы приводят к изменению формы, размеров, структуры семенных пузырьков и симметричности относительно срединной линии. При этом нарушается сократимость семенного пузырька с понижением его эхогенности, иногда в сочетании с кистозными изменениями.
Методом ТРУЗИ отчетливо определяются даже небольшие по размерам опухолевые очаги в периферических зонах. В ряде случаев они имеют признаки инфильтративного роста, с распространением на внутреннюю поверхность капсулы предстательной железы или ее прорастанием. Локальное утолщение капсулы и нечеткость наружного контура, как и патологические изменения семенных пузырьков, являются важными критериями в оценке стадии заболевания.
Цель настоящего исследования - определение возможностей 3D-реконструкции, энергетического картирования и 3D-ангиографии в диагностике рака предстательной железы.
Материалы и методы
Ультразвуковым методом с построением 3D-изображения и УЗ-ангиографии были обследованы 26 мужчин в возрасте 63-77 лет (средний возраст 70 лет), проходивших обследование по поводу дизурии, увеличения значений простатического специфического антигена, изменений, обнаруженных при ректальном исследовании, или в случае комбинации различных причин. Уровень простатического специфического антигена колебался от 2,5 до 153 ммоль/л (в среднем 22,4 ммоль/л). У 47% больных при пальцевом ректальном исследовании пальпировался узел. При ТРУЗИ в режиме серой шкалы у всех пациентов оценивались размеры, объем и контуры предстательной железы, целостность капсулы, размеры семенных пузырьков, размеры фокальных зон различной эхогенности, их локализация.
Трансабдоминальное и трансректальное УЗИ выполнялось на цифровом УЗ-сканере SA-8800 MT компании MEDISON. ТРУЗИ выполнялось конвексным внутриполостным датчиком с частотой 7,5 МГц. Первым этапом 3D-реконструкции являлся выбор зоны предстательной железы для объемной реконструкции, затем преобразователь автоматически делал серию последовательных сканов (от 50 до 256) в выбранном объеме. Для получения объемного изображения требовалось 15-30 с. На экране возникали изображения в трех ортогональных плоскостях - продольной, поперечной и фронтальной. Послойно рассекая исследуемый объем, получали томографическое изображение в плоскости, позволяющей наилучшим образом оценить анатомические детали. Для улучшения качества 3D-изображения использовали различные алгоритмы обработки и подбирали соответствующие режимы прозрачной, поверхностной, световой визуализации или их совмещение. Для оценки васкуляризации и сосудистого рисунка предстательной железы использовались методики УЗ-ангиографии: энергетическое картирование и 3D-реконструкция сосудов. С помощью 3D-реконструкции сосудов проводилась оценка симметричности сосудистого рисунка, степени васкуляризации, правильности хода сосудов, равномерности их распределения в выявленных зонах. Вся информация заносилась в память компьютера на жесткий диск, что позволяло оценивать двухмерное (2D) и 3D изображение без присутствия пациента.
Применение режима кинопамяти давало возможность просматривать 3D изображение под различными углами зрения в виде подвижного. У всех больных диагноз был подтвержден данными гистологического исследования.
Результаты исследований
Рак предстательной железы был выявлен у 20 (77%) из 26 обследованных пациентов, у 13 из них рак предстательной железы сочетался с доброкачественной гиперплазией предстательной железы, у 6 пациентов (23%) была диагностирована доброкачественная гиперплазия предстательной железы.
При диффузной форме доброкачественной гиперплазии предстательной железы с преимущественным ростом переходных зон железа приобретала шаровидную форму и состояла из двух, дифференцированных по эхогенности и внутренней эхоструктуре зон - переходной и периферической, разделенных узкой гиперэхогенной полоской - "хирургической капсулой". При этой форме роста аденомы при 3D-реконструкции сосудов выявлялась симметричность кровоснабжения при распределении сосудов в центральной и периферической частях железы. При значительном сдавлении периферической зоны степень ее васкуляризации снижалась.
В большинстве случаев (75% больных) опухолевый участок при ТРУЗИ был гипоэхогенным и локализовался в периферической зоне. У одного пациента определялся гипоэхогенный участок, захватывающий периферическую и центральную части. У двух пациентов, используя стандартные методики ТРУЗИ, нельзя было установить границу между нормальной и опухолевой тканью. В нашем исследовании прорастание опухолью стенки мочевого пузыря выявлено у трех пациентов (стадия Т4) (рис.1); прорастание рака предстательной железы в семенные пузырьки определялось у 4 больных (стадия Т3b) (рис.2); капсула прослеживалась на всем протяжении у 11 пациентов с раком предстательной железы (стадия Т2) (рис. 3а); у двух пациентов целостность капсулы была нарушена (стадия Т3а) (рис. 3б). Степень распространения опухоли определяла тактику лечения.
Рис. 1. Тотальное опухолевое поражение предстательной железы на фоне аденомы. Опухоль полностью изоэхогенна ткани аденомы. Поперечный срез предстательной железы.

Рис. 2. Прорастание рака предстательной железы в семенной пузырек. Определяется расширенный, гипоэхогенный семенной пузырек слева. Поперечный срез на уровне семенных пузырьков.

а) Подкапсульная опухоль в периферической части правой доли предстательной железы.

б) Гипоэхогенный участок в периферической части левой доли, нарушающий целостность капсулы.
При анализе результатов ТРУЗИ в режиме серой шкалы нельзя было однозначно трактовать фокальные изменения как злокачественные или доброкачественные. Гипоэхогенные участки, расположенные в периферической зоне, дифференцировали с простатитом, а участки в переходной зоне - с узлами доброкачественной гиперплазии предстательной железы. Поэтому во всех случаях в выявленных гипоэхогенных участках исследовали кровоток с помощью энергетического картирования и 3D-реконструкции сосудов. Использование 3D-реконструкции сосудов в режиме энергетического допплеровского картирования позволяет получить более богатую и насыщенную сосудами картину, чем при обычном двухмерном исследовании, и легче выявить зоны асимметрии васкуляризации. У всех пациентов при раке предстательной железы определялись патологически измененные сосуды в зоне гипоэхогенных участков опухоли (рис.4), которые в отличие от неизмененных сосудов были извиты, прерывисты, имели различный калибр, хаотично располагались в зоне опухоли. Степень васкуляризации опухоли была различной - от гиповаскулярной до гиперваскулярной.
Рис. 4. Патологические изменения в сосудах при раке предстательной железы, асимметрия васкуляризации долей в режиме энергетического картирования и с применением 3D-реконструкции.

а) Энергетическое картирование (в случае подкапсульной опухоли).

б) Энергетическое картирование + 3D реконструкция (в случае подкапсульной опухоли).

в) Энергетическое картирование (при прорастании капсулы).

г) Энергетическое картирование + 3D реконструкция (при прорастании капсулы).
В наших наблюдениях у 20 больных раком предстательной железы при двухмерном энергетическом картировании усиление васкуляризации гипоэхогенного участка отчетливо диагностировалось у 6 пациентов, а при 3D-реконструкции сосудов в режиме энергетического картирования у 10. У всех пациентов с раком предстательной железы при 3D-ангиографии определялась асимметрия васкуляризации.
Заключение
Использование ТРУЗИ в сочетании с УЗ-ангиографией и 3D волюметрической реконструкцией предстательной железы позволяет диагностировать рак предстательной железы на разных стадиях заболевания и обеспечивает получение объективной информации о пространственном расположении новобразования и прорастании стенки мочевого пузыря.
Использование при 3D-реконструкции предстательной железы различных режимов дают возможность трансформировать серую шкалу по уровням прозрачности, позволяя заглянуть внутрь объема; при этом увеличивается контрастность между гиперэхогенными и гипоэхогенными участками, что обеспечивает 3D морфологическую визуализацию гипоэхогенных зон и их протяженность.
При заболеваниях предстательной железы исследование ее васкуляризации имеет определяющее значение и повышает положительную предсказательную ценность ТРУЗИ в выявлении инфильтрирующих изоэхогенных опухолей и опухолей с нечеткими контурами.
Использование ТРУЗИ с 3D-реконструкцией значительно расширяет возможности ранней диагностики рака предстательной железы и позволяет судить о распространении опухоли за пределы капсулы или поражении семенных пузырьков, что имеет важное значение для точного установления стадии заболевания, определяющего тактику лечения.
Литература
УЗИ сканер WS80
Сперматоцеле: причины, последствия и методы лечения семенной кисты

Сперматоцеле (семенная киста) — это образование на яичке или его придатке, состоящее из фиброзной оболочки, наполненной жидким содержимым. Новообразование в начале болезни бывает небольшим, но может увеличиваться в размерах, причиняя боль и дискомфорт.

Разрастание, разрыв или нагноение кисты приводят к необратимым изменениям в половых органах. Возникает нарушение транспорта семенной жидкости, приводящее воспалению и бесплодию. В этом случае лечение будет более длительным, сложным и дорогостоящим, поэтому лечить сперматоцеле нужно на первых этапах развития заболевания.
Причины развития сперматоцеле
Сперматоцеле формируется при нарушении оттока семенной жидкости из придатка яичка. При этом в выводном протоке образуется полость со скопившейся молочно-белой или прозрачной жидкостью. Заболевание чаще бывает односторонним, но встречается и двухстороннее сперматоцеле.
В зависимости от причины развития заболевания существуют два типа кист семенных канатиков:
- Врожденное сперматоцеле - кисты, образующиеся при нарушении развития половой системы эмбриона. Возле придатка яичка остается полость, заполненная прозрачным жидким содержимым, в котором нет элементов спермы. Врождённые кисты маленькие, они не увеличиваются со временем и не влияют на половую функцию.
- Приобретённое сперматоцеле - семенные кисты, возникающие из-за воспалительных процессов в половых органах и травм. Травмированные или воспаленные семенные протоки не обеспечивают полноценного оттока спермы, которая скапливается, образуя кисту. Такое образование может иметь несколько камер и быстро увеличиваться в размерах. В его содержимом обнаруживаются элементы семенной жидкости. Приобретенное сперматоцеле считается более опасным состоянием и требует хирургического лечения
На фоне действия этиологического фактора нарушается дренажная функция протоков придатка яичка, наступает их обструкция, затрудняется полноценный отток секрета. Проток переполняется секретом, его стенки растягиваются и образуется киста.
Чем опасно сперматоцеле?
Киста придатка яичка, возникает при нарушении отхождения семенной жидкости и может привести к тяжелым осложнениям. Среди наиболее опасных осложнений выделяют разрыв и нагноение кисты. При длительном игнорировании этого состояния, киста увеличивается в размере. Случайное травмирование может закончиться разрывом кистозной оболочки и орхитом. Семенная киста может лопнуть, тогда ее содержимое вытекает в полость мошонки. Возникает отек, боль, повышение температуры. При присоединении инфекции ситуация становится критической. Воспаление переходит на другое яичко, вызывая и двусторонний орхит, ведущий к нарушению половой функции и бесплодию.
Опасно также и нагноение жидкости, находящееся внутри кисты. У больного повышается температура, возникает боль и отек в области мошонки. Без лечения гнойная киста также приводит к бесплодию и может вызвать заражение крови.
Симптомы заболевания
Клиническая картина сперматоцеле скудна и малоспецифична, так как заболевание часто протекает бессимптомно. Среди наиболее характерных признаков развития сперматоцеле можно назвать:
- постепенное увеличение размеров мошонки;
- боль в области гениталий, иррадиирующую в мягкие ткани бедер;
- гиперемию тканей и отек мошонки;
- болезненность в покое и при пальпации;
- общую слабость, слабо выраженный интоксикационный синдром и повышение температуры тела.
Мелкие кисты протекают бессимптомно и не приводят к бесплодию, выявляясь случайно при медицинском обследовании.
Большие кистозные образования пациенты часто обнаруживают сами. Сперматоцеле на ощупь напоминает опухоль или отек в виде яйца, внутри которого находится жидкость. Увеличиваясь, кисты сдавливают соседние органы, вызывая боль и приводя к нарушениям половой функции. Болезненность усиливается при половом возбуждении, долгом нахождении в сидячем положении, физических нагрузках и длительной ходьбе.
Диагностика сперматоцеле
Постановка диагноза проводится специалистом андрологом или урологом, путем проведения следующих диагностических мероприятий:
- Сбор и анализ анамнеза. Начинается визит к врачу с беседы, в ходе которой пациент должен максимально четко и откровенно описать свое состояние, жалобы и характерные симптомы. Также следует рассказать врачу о проблемах сексуального характера, если таковые имеются.
- Визуальный осмотр мошонки . Этот этап диагностики позволяет обнаружить изменение естественных контуров мошонки, возможно, ее формы, появление признаков дополнительного образования.
- Пальпация мошонки . При пальпации определяется безболезненное или болезненное эластичное дополнительное образование, плотно прилегающее к яичку.
- Общий анализ крови (ОАК) - по результатам лабораторного исследования крови пациента, определяется воспалительная реакция в острой стадии;
- Диафаноскопия - этот метод предполагает просвечивание тканей проходящим светом. Киста выглядит, как прозрачное образование светло-желтого цвета, полностью пропускающее световые лучи;
- УЗИ мошонки — важный метод, используемый на всех этапах диагностики и лечения сперматоцеле, а также для оценки динамики процесса лечения. УЗИ мошонки позволяет увидеть однородное образование, имеющее тонкую стенку с ровными и четкими контурами.
После обследования и определения размеров образования решается вопрос о целесообразности его удаления.
Лечение сперматоцеле
В любом случае необходима консультация уролога, андролога. Зачастую при первичном обращении, отсутствии жалоб, незначительном размере сперматоцеле доктор ограничивается выжидательной тактикой и при необходимости прибегает к консервативной терапии, используя анальгетики и противовоспалительные средства. В этом случае показано регулярное наблюдение.
При прогрессировании процесса, увеличении размеров кисты и ее воспалении показано микрохирургическое лечение — сперматоцелеэктомия (под местной анестезией) или аспирация содержимого кисты с последующей аспирацией и склеротерапией. Современные технологии позволяют проводить сперматоцелэктомию под местным наркозом с минимальной травматизацией тканей. Сперматоцелэктомия проводится амбулаторно и не требует помещения больного в клинику. Вмешательство проводится микрохирургическим методом с применением оптики. После операции не остается рубцов и шрамов.
На передней стороне мошонки делается небольшой разрез, через который яичко освобождают от кисты, удаляя ее вместе с оболочкой. Удаленное образование исследуют, чтобы исключить злокачественный процесс. После вмешательства кожу ушивают, накладывают повязку. Чтобы уменьшить отек, мошонку поддерживают при помощи суспензория. Окружающие ткани при операции не повреждаются, и практически не затрагиваются, поэтому вмешательство не влияет на половую функцию и не может что-то нарушить в организме.
В целом прогноз лечения сперматоцеле оценивается как благоприятный, так как при грамотной терапии полностью восстанавливается нарушенная детородная функция и половая активность органа. В некоторых случаях заболевание рецидивирует после проведенного лечения, поэтому для мужчин репродуктивного возраста есть свои ограничения, например, склеротерапия, целесообразность которой определяется только врачом-урологом с учетом многих факторов. Таким образом, проблема данного заболевания достаточно актуальна, но легко решаема и требует консультации специалиста.
Часто задаваемые вопросы, по теме лечения сперматоцеле
Мужчины, которым пришлось столкнуться с этим заболеванием, задают доктору большое количество вопросов и уточнений. Специалисты клиники Диана готовы ответить на самые распространенные из них:
Можно ли вылечить сперматоцеле таблетками?
К сожалению, препараты, позволяющие растворить кистозную оболочку и удалить жидкость и кисты, пока не изобретены. Лекарственные средства, используемые для лечения, носят симптоматический характер. Они улучшают состояние больного, но не избавляют от болезни.
Нужно ли делать операцию, если ничего не болит?
Если образование не мешает, не растет и не вызывает бесплодия, его удалять не обязательно. Достаточно просто регулярно наблюдаться у уролога. Однако, тут есть определённый риск - если из-за травмы или перенапряжения кистозная оболочка лопнет, лечение будет гораздо серьезнее простой сперматоцелэктомии.
Можно ли не резать, а проткнуть кисту, чтобы ее содержимое вытекло наружу?
Если не удалить кистозную оболочку, вероятность, что образование появится снова, очень высока. Это метод применяют, если есть показания к операции и киста достигла очень больших размеров. Содержимое сперматоцеле выкачивают, а в его полость вводят склерозирующий раствор, от которого стенки кисты слипаются. Это метод опасен попаданием препарата в придаток, приводящим к бесплодию. Такой способ применяют редко и только у мужчин, не планирующих иметь в дальнейшем детей.
Можно ли выяснить, откуда взялось сперматоцеле?
После операции содержимое кисты сдается на анализ. Если в скопившейся жидкости нет сперматозоидов, значит, киста у пациента была с рождения, а если они обнаружатся - новообразование появилось в зрелом возрасте из-за травмы или воспаления.
Существуют ли противопоказания к операции?
Да. Операция не может быть проведена, если у пациента выявляются серьезные нарушения свертываемости крови и тяжелые сопутствующие болезни.
Если ли какие-то ограничения после операции?
В послеоперационном периоде ограничивается физическая нагрузка и не разрешается половая жизнь, до полного заживления шва. В этот период нежелательно долго находиться за рулем, в течение недели принимать горячую ванну, посещать баню и сауну, купаться в водоемах.
Благодаря высокому уровню развития современной медицины, сперматоцеле не должно звучать для мужчины как приговор. После операции исчезают боль и застойные явления, что положительно сказывается на половой функции и показателях спермограммы. Само же хирургическое вмешательство не следует воспринимать как тяжелую операцию, ведь оно не сопровождается осложнениями и неприятными последствиями.
Читайте также:
- Диагностика фибромы полости рта. Удаление фибромы из полости рта
- Сбор полового анамнеза при мужском бесплодии. Оценка репродукции
- Развитие отечественной бронхоскопии. Литература для изучения бронхоскопии
- Дизлалия (нарушение артикуляции речи) вследствие нарушения слуха и ее коррекция
- Восстановление мышечного гликогена. Питательные вещества для мышц
