Лучевая диагностика тимолипомы на рентгене, КТ, МРТ
Добавил пользователь Евгений Кузнецов Обновлено: 01.11.2025
Лучевая диагностика и лечение миастении при опухолевом и неопухолевом поражении вилочковой железы (ВЖ) до настоящего времени представляют серьезную проблему. Учитывая прямую связь миастении с патологическими изменениями ВЖ, выявление миастенических расстройств должно служить косвенным признаком наличия изменений тимуса и являться показаниями к тщательному обследованию органов средостения.
Несмотря на широкое применение различных специальных методов диагностики, ошибки в выявлении новообразований ВЖ превышают 10-20%, что в свою очередь снижает возможности своевременного хирургического лечения. Вопросы диагностики характера поражения вилочковой железы весьма актуальны. Если при опухолевом поражении тимуса показания к операции приближаются практически к абсолютным и выполняются по онкологическим показаниям, то при неопухолевом поражении определенной группе пациентов операция не показана или целесообразна консервативная терапия.
Поражения вилочковой железы разнообразны по своему составу. У больных с миастенией наиболее часто встречается лимфоидная гиперплазия тимуса или тимома.
Тимомы относятся к наиболее частым новообразованиям средостения. Они одинаково часто встречаются у мужчин и женщин, составляют
3-7 % онкологических заболеваний и 10-25 % первичных новообразований средостения. Возраст заболевших в основном от 40 до 60 лет. В 65-70 % наблюдений тимома инкапсулирована, у 30-35 % больных отмечается инвазивный рост, причем наиболее характерно прорастание опухоли в прилежащую плевру или перикард. Отдаленные метастазы встречаются менее чем в 5 % наблюдений.
Разделение тимом на доброкачественные и злокачественные в определенной степени условно, а гистологическая характеристика для этого нередко является недостаточной. Ряд авторов считают, что отличия между доброкачественными и злокачественными тимомами не столько
морфологические, сколько клинические, и предлагают тимомы называть не злокачественными, а «инвазивными» или «метастазирующими».
Основным признаком злокачественной тимомы, кроме метастазирования, является наличие инвазии в органы и ткани грудной полости, т.е. выход за пределы капсулы опухоли. При отсутствии инфильтративного роста тимому следует считать доброкачественной, что, однако, не исключает возможности рецидивов опухоли. Опухоли с выраженной атипией эпителиальных клеток и инвазивным ростом расцениваются как рак вилочковой железы.
К настоящему времени принята классификация тимом, предложенная экспертами ВОЗ, под редакцией J. Rosai в 1999 г. и модифицированная
в 2004 г. В ней выделяют следующие типы тимом:
Тип А - веретеноклеточная; медуллярная;
Тип АВ - смешанная;
Тип В1 - богатая лимфоцитами; лимфоцитарная; преимущественно кортикальная; органоидная;
Тип В2 - кортикальная;
Тип В3 - эпителиальная; атипичная; сквамоидная; высокодифференцированный рак тимуса;
Тимомы типа А (медуллярноклеточные, темноклеточные или веретеноклеточные) составляют не более 5 % всех тимом, расцениваются как
доброкачественные и, за редким исключением гормонально-неактивные.
Тимомы типа АВ (смешанные, медуллярно- или темноклеточные с умеренным количеством лимфоцитов) составляют около 10 % тимом,
чаще доброкачественные и гормональнонеактивные. По клиническим проявлениям они неотличимы от тимом типа А.
Тимомы типа В (В1, В2, В3) составляют до 70-80 % тимом и представляют наиболее неоднородную группу, особенно в плане прогноза. Мультицентричный рост наблюдается у 20-30 %, а инвазивный - у 50 % больных. Для них характерны сдавление и прорастание органов средостения, паранеопластические аутоиммунные заболевания.
Рак тимуса - редкая опухоль (менее 5 % новообразований тимуса), отличается быстрым инвазивным характером роста и ранним проявлением имплантационных (по плевре и перикарду), лимфо- и гематогенных (в легких, печени, костях, реже в надпочечниках, головном мозгу) метастазов.
Для уточнения показаний к тимэктомии исключительно важное значение имеет лучевые методы исследования, позволяющие установить характер эволюции вилочковой железы (инволюция, гиперплазия, опухоль).
Первое обстоятельное описание рентгенологической картины новообразований вилочковой железы принадлежит Lenk (1929). Изучение основывалось на данных рентгеноскопии и рентгенографии органов грудной клетки. Отсутствие современных методов исследования было основной причиной того, что картина представленная этим известным ученым затем приведенная во многих отечественных и зарубежных руководствах, оказалась неточной. Количество ошибок при диагностике новообразований вилочковой железы в 50-е годы достигало 40%, в 60-е - 30%, в 70-е - 25%.
В дальнейшем предпринимались многочисленные попытки улучшить рентгенологическую диагностику заболеваний вилочковой железы. Большой вклад в улучшение визуализации вилочковой железы внесли методики пневмомедиастинографии, пневмомедиастинотомографии, ангиографические исследования сосудов средостения, в том числе, селективная флебография тимуса. Однако, уверенная диагностика структурных изменений вилочковой железы, стала возможна только с появлением цифровых компьютерных технологий. Из рентгенологических методов к ним относится мультиспиральная компьютерная томография.
Компьютерная томография
Изучение отечественных и зарубежных работ, посвященных методам диагностики генерализованной миастении, позволяют заключить, что установление диагноза “миастения” требует безотлагательного исследования состояния ВЖ особенно у больных в возрасте старше 30 лет. Следует уделять особое внимание тщательному радиологическому обследованию переднего средостения у пациентов с началом генерализованной миастении (ГМ) после 40-45 лет, поскольку именно у таких больных сочетание миастении и тимомы отмечается наиболее часто (40-70%).
Патологические изменения в ВЖ, согласно данным литературы, при миастении наблюдают у 90-100% больных.Анализ литературы не оставляет сомнений, что МСКТ является необходимым и часто достаточным
методом для исследования области ВЖ. А с учетом преимущественно бессимптомного течения тимом, лучевые методы играют ведущую роль в их обнаружении. При этом, по мнению ряда авторов, тимомы являются наиболее частыми образованиями средостения, диагностированными на начальной стадии при помощи МСКТ.
Высказывается мнение, что присоединение ГМ у больных с тимомами в некоторой степени благоприятствует успешному и своевременному лечению опухолевого процесса благодаря более раннему радиологическому исследованию переднего средостения. Более того, в ряде работ показано, что наличие ГМ является независимым прогностическим фактором, обусловливающим более благоприятный исход у пациентов с тимомой.
Известно, что с периода полового созревания до, приблизительно, 25-летнего возраста, ВЖ выглядит как четко очерченная треугольная или двудольчатая структура, окруженная медиастинальной жировой клетчаткой.
В типичных случаях ее границы плоские или слегка вогнутые по бокам. Границы также могут быть выпуклыми, что более характерно для
детского возраста. После 25 лет ВЖ при КТ средостения визуализируется в виде мягкотканных островков на фоне наличия выраженной жировой клетчатки. Скорость и степень инволюции железы варьируют у разных людей, поэтому тимус может определяться как отдельная структура до 40 лет. Информативность метода КТ в определении объемных образований ВЖ может снижаться за счет существенных изменений, которые развиваются в ткани тимуса с возрастом и значительных вариаций в размерах и весе ВЖ, в частности, у людей в возрасте 25-40 лет, когда железа может быть выражена и затрудняет диагностику тимом. В то же время у больных старше 50 лет обнаружить тимому легче, поскольку железа замещена жировой тканью. Однако ошибки при интерпретации данных КТ случаются во всех возрастных категориях. Гиперплазия ВЖ часто присутствует у пациентов моложе 25 лет, но из за высокой плотности паренхимы может быть скрытой. Изучение вариантов строения вилочковой железы на компьютерно-томографических изображениях позволяет уверенно диагностировать патологические процессы в ней.
Нормальная КТ-анатомия вилочковой железы
Тимус расположен в верхней части грудной клетки, непосредственно за грудиной (верхний отдел переднего средостения). Спереди к нему прилежит рукоятка и тело грудины до уровня IV реберного хряща; сзади — верхняя часть перикарда, покрывающего начальные отделы аорты и легочного ствола, дуга аорты, левая плечеголовная вена; с боков — медиастинальная плевра.
Считается, что наиболее часто тимус на аксиальных срезах ри компьютерной томографии имеет треугольную или двудольчатую форму.
При визуализации тимуса на компьютерных томограммах анализируют структуру ткани железы с помощью денситометрических измерений.
При проведении компьютерной томографии оценивают наличие вилочковой железы и положение в средостении: уровень и отношение к срединной линии, ее форму, линейные размеры, однородность структуры, четкость контуров, измеряют плотность нативно, а также в артериальную, венозную и отсроченную стадии. Аксиальные изображения КТ и комбинированные мультиплоскостные реконструкции могут быть использованы, чтобы идентифицировать инвазию опухоли в крупные кровеносные сосуды, перикард и легочную ткань. Если, опухоль имеет гладкие, четкие границы, однородную плотность, отсутствуют некрозы или кистозные изменения, видна жировая прослойка между опухолью и смежными структурами новообразование можно считать неинвазивным. Если, опухолевое новообразование имеет дольчатую или неправильную форму, нечеткие контуры, неоднородное усиление после внутривенного контрастирования, явное прорастание перикарда, легочной ткани, грудной стенки такую опухоль необходимо считать инвазивной.
При гиперплазии вилочковой железы форма железы не изменена, может быть двудольчатой или состоять из отдельных участков тимической ткани. Контур тимуса выпуклый, увеличена толщина. После контрастного усиления в отсроченную фазу отчетливо видна однородно накапливающая контраст гиперплазированная ткань тимуса.
Дифференциальная диагностика между гиперплазией и тимомой (рис.3-7) небольших размеров заключается в выявлении новообразования, локально выходящего за контур железы накапливающего контрастное вещество в разные фазы контрастирования отлично от неопухолевой ткани вилочковой железы.
Магнитно-резонансная томография в диагностике поражений вилочковой железы
Применение магнитно-резонансной томографии (МРТ) для исследования структур грудной клетки открыло новые перспективы в прижизненной диагностике многих заболеваний.
Пульсация сердца смещает средостение во время получения изображения, что снижает ценность МРТ. Поэтому синхронизация изображения с сердечным циклом улучшает визуализацию сердца и средостения.
Сосудистые структуры средостения хорошо визуализируются на МР-томограммах ввиду того, что сигнал от просвета сосудов практически отсутствует. Вилочковая железа внутри периваскулярного пространства легче выявляется на МР-томограммах, чем при КТ. Форма, размер, интенсивность сигнала зависит от возраста. У детей вилочковая железа имеет промежуточную интенсивность сигнала, равную интенсивности сигнала от мышц или лимфоузлов. У взрослых интенсивность сигнала от вилочковой железы выше вследствие жировой инволюции, хотя она у разных людей варьирует. Размеры железы у пациентов старше 30 лет, выявленные при МРТ, лучше коррелируют с операционными находками, чем выявленные при КТ. Это связано с лучшей визуализацией инволютивных изменений при МРТ. Хотя вилочковая железа обычно располагается кпереди от крупных сосудов, она может располагаться и ретровазально. Определение локализации вилочковой железы важно для выявления связи аберрантной железы с переднемедиастинальной тимусной тканью но идентификации интенсивности сигнала.
Естественной контрастности МР-томограмм как правило достаточно для получения необходимой диагностической информации. В отдельных случаях для повышения чувствительности и специфичности метода необходимо дополнительное контрастирование. Исследование внутренних органов, в том числе средостения, основываются на быстрой диффузии парамагнетиков из сосудистого русла в опухолевом очаге. В некротических очагах, где нет кровотока, усиление не наблюдается.
Получение хорошего изображения на МРТ вилочковой железы затрудняется дыхательными движениями. Современный подход к визуализации вилочковой железы предполагает исследование на задержанном дыхании. Контрастирование лучше позволяет дифференцировать солидную и кистозную опухоли. Это связано с тем, что кистозный компонент может содержать примеси белка и крови, искажающие сигнал как на Т1-зависимых, так и на Т2-зависимых изображениях. Полное отсутствие контрастирования доказывает мягкотканную природу образования.
Вилочковая железа на МР-изображениях
Форма и сигнал от вилочковой железы меняются с возрастом. Максимальный вес приходится на 12-19 лет, а затем начинается инволюция, представляющая собой замещение ее жировой тканью. Этот процесс отражается на МРТ, особенно, Т1-зависимых.
Нормальная ткань вилочковой железы достаточно хорошо узнаваема на стандартных МРТ по характерной форме, размеру и расположению. Критерии нормальной вилочковой железы включают отсутствие округлых мягкотканых образований > 7 мм; отсутствие выпуклого контура железы у лиц старше 19 лет, отсутствие дольчатости, отсутствие утолщения вилочковой железы (должен быть ≤ 1,3 см после возраста 20 лет)
Однако у подростков и в молодом возрасте она очень вариабельна по размерам и форме, кроме того, плотность ее на КТ и сигнал на МРТ могут быть схожими с опухолевыми поражениями, так как вилочковая железа еще полностью не заместилась жировой тканью. Следовательно, в некоторых случаях дифференциальная диагностика нормальной и опухолевой ткани может представлять сложности.
При гиперплазии отмечается повышение сигнала на противофазных изображениях с возвращением к норме после лечения.
Округлые, инкапсулированные и с четкими краями опухоли вилочковой железы обычно доброкачественные (тип А). Злокачественные варианты имеют неровный контур, кистозные и некротические компоненты, кальцинаты, а также сопровождаются лимфоаденопатией.
МР-заключение о наличии опухоли вилочковой железы обычно базируется на локальном увеличении железы, выявлении связи опухоли переднего средостения с железой. Интенсивность сигнала от опухоли чаще выше, чем от нормальной ткани железы. Большинство инкапсулированных опухолей дают гомогенный сигнал как на Т1, так и на Т2-изображениях. Инвазивные опухоли чаще негомогенные на Т2-зависимых изображениях.
Хорошая визуализация сосудов при МРТ с синхронизацией позволяет выявлять нечеткость их контуров при инвазии опухолью. Перикард на ЭКГ-синхронизированных изображениях выглядит как тонкая линия, низкой интенсивности толщиной менее 4 мм. При его инвазии возможно выявление прерывистости этой линии с замещением ее высокоинтенсивной опухолевой массой.
Кисты вилочковой железы обладают низкой интенсивностью сигнала на T1-зависимых изображениях и высокой на Т2-зависимых. Спонтанное кровотечение в кисту приводит к повышению сигнала на Т1-зависимых изображениях в связи с парамагнитным эффектом метгемоглобина.
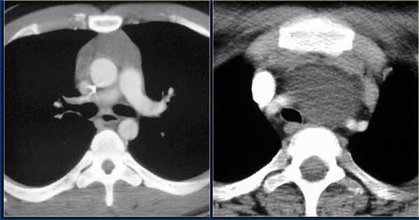
Тимолипомы на Т1-зависимых изображениях выглядят как массы с высокой интенсивностью сигнала, что является отражением их жировой природы. Линейные полосы низкой интенсивности сигнала представлены резидуальной фиброзной стромой или тканью вилочковой железы, проходящей через тимолипому.
Фибромы вилочковой железы распознаются довольно легко, так как они дают низкую интенсивность сигнала как на Т1-, так и на Т2-зависимых изображениях.
От правильного выбора тех или иных методов исследования в каждом конкретном случае часто зависит успех лучевой диагностики. Поскольку количество этих методов достаточно велико (рентгенодиагностика, КТ, МРТ, УЗИ, ПЭТ-КТ) в практической деятельности необходимо руководствоваться принципом получения максимума информации при использовании минимума диагностических средств. Этот принцип предполагает использование того метода, который дает наибольший диагностический эффект в наиболее короткий срок.
МРТ СПб технически позволяет выполнять МРТ средостения, однако эта задача стоит редко и предпочтение отдается КТ. Исследование средостения при МРТ в СПб мы проводим как исключение, так как методика исследования требует кардиосинхронизации. Использован наш опыт ГМПБ №2, и работы на аппарате с открытым МРТ.
Рентгенография, КТ и МРТ: в чем отличие?
В настоящее время основными методами лучевой диагностики являются рентгенография, компьютерная томография (КТ) и магнитно-резонансная томография (МРТ), которые только на первый взгляд весьма похожи по принципу действия. У многих наших пациентов возникает вопрос: «Чем отличается КТ от МРТ, и каковы их отличия от рентгенографии?»
Все вышеперечисленные методы позволяют быстро и безболезненно визуализировать органы и ткани исследуемой области. Тем не менее, существует ряд значимых отличий, которые могут оказаться решающими в случае выбора того или иного метода исследования. Мы рассмотрим их подробно, чтобы наши пациенты обладали полной информацией и могли оценить преимущества каждого из них.
Рентгенография

Принцип работы рентгеновского аппарата заключается в том, что рентгеновские лучи, проходя через разноплотную среду исследуемой области, по-разному ослабляются: более плотная костная ткань в значительной степени поглощает рентгеновское излучение, менее плотная подкожно-жировая клетчатка ослабляет его в небольшой степени, а воздух, содержащийся в околоносовых пазухах или легких, не задерживает совсем. Эти неравномерно ослабленные пучки рентгеновских лучей, попадая на светочувствительный слой пленки, формируют рентгенограмму — изображение, которое отображает все структуры исследуемой области, наслаивая их друг на друга. При этом получаемый снимок позволяет определить форму, размеры и строение исследуемой области, выявить или заподозрить структурные нарушения, а исследование в двух или нескольких проекциях позволяет определить локализацию выявленных изменений. Чаще всего рентгенография используется для исследования костей, легких, почек, кишечника.
C самого начала существования этот метод диагностики вызывал у пациентов множество вопросов по поводу воздействия рентгеновского излучения на организм. На сегодняшний день специалисты подтвердили вред рентгена и его способность влиять на развитие нежелательных процессов в организме. Тем не менее, этот метод лучевой диагностики продолжает пользоваться спросом, поскольку требует минимальных затрат.
Компьютерная томография

Это более современный вариант рентгенографии, сохранивший ее ключевые особенности: в основе получения изображения лежит рентгеновское излучение, которое, проходя через ткани пациента, по-разному (исходя из их плотности) поглощается и ослабляется ими. Однако важное отличие заключается в том, что компьютерная томография — это совокупность послойных рентгеновских снимков определенной толщины среза, из которых выстраивается объемная проекция, а не плоскость, как на рентгене. В этом (а также в высоком качестве изображения) заключается одно из основных преимуществ компьютерной томографии перед традиционным рентгеновским методом исследования.
Несмотря на более безопасную и эффективную работу современных аппаратов, часто проходить компьютерную томографию все же не рекомендуется из-за возможного воздействия на организм рентгеновского излучения. Тем не менее, компьютерная томография является ведущим методом диагностики заболеваний органов грудной клетки и легких, надпочечников и костно-суставной системы.
Магнитно-резонансная томография

В основе МРТ лежит явление магнитного резонанса, основанного на переизлучении радиоволн, взаимодействующих с атомами водорода, в избытке содержащимися в организме человека. Эти переизлученные электромагнитные волны улавливаются датчиком МР-томографа, усиливаются и в виде цифровых изображений появляются на экране монитора. Это безвредный и абсолютно безопасный для здоровья человека метод лучевой диагностики, так как в основе получения изображения отсутствует рентгеновское излучение, поэтому МРТ можно проходить неограниченное количество раз, с любым интервалом.
Существенное преимущество МР-томографии перед КТ заключается в том, что она не противопоказана беременным во II и III триместре и совершенно безопасна для детей. В МРТ исследуемая область сканируется в трех проекциях, что позволяет врачу-рентгенологу в полной мере оценить состояние тканей и органов исследуемой области, а высокая контрастность изображения и пространственное разрешение позволяют визуализировать серое и белое вещество головного мозга, оценивать состояние костного мозга и мягких тканей различной локализации. Кроме того, метод МРТ позволяет получать изображения сосудов головного мозга и сосудов шеи без введения контрастного препарата.
Конечно, как и многие другие методы исследования, МР-томография имеет ряд противопоказаний. Однако, если внимательно ознакомиться с ними, можно заметить, что в основном они связаны с наличием металлсодержащих имплантов (не обладающие магнитными свойствами устройства противопоказанием не являются), а также с выраженной клаустрофобией. Таким образом, в большинстве случаев МРТ может стать наиболее оптимальной и совершенно безопасной альтернативой компьютерной томографии и рентгенографии.
Так что же лучше?
вес магнита, установленного в томограф нашего центра, Siemens Symphony 1,5 Тл, составляет более 4-х тонн. Вес магнита самого мощного МРТ-аппарата на сегодняшний день - 45 тонн.
Лучевая диагностика тимолипомы на рентгене, КТ, МРТ
Звоните нам по телефону 8 (812) 241-10-46 с 7:00 до 00:00 или оставьте заявку на сайте в любое удобное время
Ваша заявка принята!
Благодарим за обращение.
В ближайшее время с вами свяжется наш специалист.
категории статей
МРТ вилочковой железы: какие заболевания и опухоли показывает
Расположение вилочковой железы в передне-верхнем средостении у детей не позволяет в норме наблюдать орган на рентгенограммах из-за проекции грудины. Только увеличение тимуса у детей приводит к появлению на снимке дополнительной тени, расположенной над сердечной тенью справа или слева.
Гиперплазия на МРТ головного мозга у грудничков визуализируется методами нейровизуализации из-за увеличенных размеров по сравнению с взрослыми.
Постепенно орган опускается ниже, уменьшается в размерах, что является нормой.

Томограмма вилочковой железы
Лучевая анатомия тимуса
Орган имеет два отдела - грудной и шейный. Верхняя часть достигает языка, но у большей части малышей структура отсутствует. Грудная часть железы разделяется на левую и правую долю. Близкое расположение приводит к наслоению паренхимы на рентгенограммах. Снимки показывают лишь дополнительное затемнение (плюс-тень) в передне-верхнем средостении.
Четко определить размеры помогает МРТ вилочковой железы. Гиперплазия приводит к расширению обеих долей, которые соединяются тонким перешейком.
Высокая реактивность тимуса ребенку необходима из-за формирования иммунитета, который адаптируется по возбудителей, с которыми организм встречается впервые. Анатомическая структура органа:
- Обилие паренхимы;
- Большое число лимфоцитов;
- Малое скопление жировой и соединительной ткани;
- Насыщение мозговой части гистиоцитами, плазматическими клетками, эозинофилами.
Во время полового созревания методы лучевой нейровизуализации показывают преимущественное разрастание междольковой ткани. Увеличение скопления жировых клеток начинает прослеживаться после 15 лет.
К 40 годам тимус приобретает «взрослое» строение:
- Регрессия соединительной ткани;
- Снижение узких тяжей;
- Разрастание жировых тканей.
После сорока лет формируется инволюция железы с незначительной паренхимой, беспорядочными адипоцитами (жировыми клетками).
Нужен ли человеку тимус? Некоторые литературные источники указывает на бесполезность вилочковой железы. Ряд ученых считает орган переходным звеном между иммунной и эндокринной системы. Во время развития плода образование способствует оптимальному формированию нейроэндокринной сферы. После рождения орган обеспечивает регуляцию гормональной и иммунной системы.
МРТ вилочковой железы - что показывает
Анализ способов лучевой диагностики показывает преимущество магнитно-резонансного сканирования перед КТ для определения размеров, структуры, расположения. Сосудистые сети верифицируются лучше на МР-снимках даже без контраста из-за отсутствия сигнала от внутренних структур. Внутривенное введение парамагнетических препаратов помогает лучше отслеживать направление артерий, образование патологических соустий, верифицировать новообразованные опухолевые капилляры.
Исследования показывают разные характеристики МР сигнала от тимуса у детей в зависимости от возраста. У грудничков на томограммах определяется тень, схожая по интенсивности с лимфатическими узлами и мышцами.
Скопление жировой ткани вариабельно. Негомогенность T2-режима свидетельствует о нормальной структуре. Появление дополнительных включений - патология. Снимки показывают увеличение размеров при гиперплазии, появление просветлений - кисты. Мягкотканые и плотные опухоли четко верифицируются даже при бесконтрастном сканировании.
КТ и МРТ заболеваний вилочковой железы
После лучевой терапии лимфогранулематоза возникают кисты тимуса. С помощью КТ диагностируются за счет плотной капсулы, включений кальция внутри стенки, нескольких камер с перегородками.
На МР-томограммах кистозные полости создают низкую интенсивность сигнала в T1-режиме, высокую - в T2 режиме.
Тимолипомы на магнитно-резонансных сканах - высокая интенсивность из-за жировой ткани. Фиброзная строма создает линейные полосы.
Несмотря на преимущество, обследование обладает недостатками из-за появления дополнительных шумов (артефактов) во время сокращений сердца. Производители современных аппаратов устраняют дефект посредством синхронизации частоты сканирования с сердечным циклом.
Мешает качественному отображению движение пациента при томографии. Дискретные артефакты появляются у пациентов с аномальным кардиальным ритмом, поэтому таким пациентам не делают томографию.
Какие последовательности МРТ для сканирования вилочковой железы:
Улучшение качества сканирования достигается методами контрастирования (усиление видимости после насыщения парамагнетиками). Европейские производители создали множество парамагнетических препаратов, усиливающих видимость паренхимы.
Диагностика заболеваний
Исключить ошибки определения заболеваний, опухолей тимуса помогает знание возрастных размеров, структурных особенностей тимуса в норме. Европейские врачи провели множество работ по изучения состояния железы в двухлетнем возрасте.
Самой точной характеристикой является определение ширины доли. Критерий применяется для КТ и МРТ.
Лимфоидная гиперплазия тимуса
У пациентов с миастенией может активизироваться разрастание лимфоидных элементов. Дифференциальная диагностика между гиперплазией и опухолями требуется при тиреотоксикозе, когда запускается процесс повышенной концентрацией гормонов щитовидной железы.
Первичная МРТ диагностика лимфоидной гиперплазии тимуса затруднена, так как не возникает увеличения размеров железы. Заболевание характеризуется перерождением структуры.
Объемное увеличение не всегда свидетельствует об опухоли, поскольку гистологический анализ показывает норму строения клеток.
Визуальная диагностика тимуса при миастении
Аутоиммунное повреждение нервно-мышечной передачи возникает посредством образования антител к собственным структурам паренхимой вилочковой железы. Иммуноглобулины блокируют работоспособность ацетилхолиновых рецепторов, что приводит к нарушению функционирования мускулатуры.
Лучевые методы нейровизуализации назначаются при двоении объектов внутри глаза в вечернее время. Перегрузка речевых мышц, патологическая утомляемость, затруднения глотания - первые симптомы миастении.
Крайняя степень патологии - криз. Болезнь характеризуется выраженными двигательными расстройствами, нарушением глотания, речевых расстройств. Отсутствие ранней диагностики, экстренной помощи приводит к летальному исходу.
Лимфангиома вилочковой железы
Доброкачественное разрастание лимфатических сосудов увеличивает объем органа. У ребенка избыточное количество лимфоцитарной ткани, поэтому новообразования данного генеза встречаются чаще.
Лимфатические новообразования провоцируются вирусами, химическими и физическими факторами (влияние радиации). Есть научные работы относительно генеза вилочковых лимфангиом у детей с наследственными аномалиями развития. Доказано формирование кист тимуса у плода во время нарушения эмбриогенеза.
Томография опухолей вилочковой железы
Самый злокачественный вариант - карцинома. Выявлено свыше 94 разновидности данного образования. Самые частые виды:
- Мукоэпидермоидные;
- Саркоматоидные;
- Базалиоидные;
- Эпидермоидные;
- Лимфоэпителиома.
Частота метастазирования превышает 50%.
Гранулематозная тимома (лимфогранулематоз) сопровождается прорастанием опухоли в близлежащие ткани, перикард, надключичные лимфатические узлы.
Частота встречаемости тимолипомы - 10%. Длительное время образование протекает без симптомов, может достигать крупных размеров. Структура вилочковой железы сопровождается наличием разнообразных островков жировой ткани. Хирургическое удаление очага приводит к полному выздоровлению без рецидивов.
Другие мезенхимальные опухоли вилочковой железы:
- Рабдомиома;
- Миосаркома;
- Фибросаркома;
- Фиброма.
Нейроэндокринные новообразования - овсяноклеточная опухоль, карциноид. Новообразования имеют склонность к злокачественному преобразованию. Встречаемость метастазов нейроэндокринных опухолей - 25-30%. Капсула поражается редко.
- Хорионэпителиома;
- Дисгерминома;
- Тератобластома;
- Эмбриональная карцинома;
- Гемангиома;
- Лимфангиома.
Если магнитно-резонансная томография определяет созревшие очаги, после хирургического удаления рецидивы отсутствуют. Незрелые формы характеризуются прорастанием окружающих тканей.
Кисты вилочковой железы встречаются в 1%. Существует несколько морфологических вариантов - врожденные, воспалительные (туберкулез, сифилис). МРТ головного мозга с одинаковой вероятностью обнаруживает кисты у взрослых и детей. Исследование показывает морфологию образования:
- После лучевой терапии лимфом происходят кистозные трансформации тимуса;
- Неосложненные полости имеют тонкую стенку. Внутренняя часть выслана кубическим, чешуйчатым эпителием с внутренней прозрачной жидкостью;
- Осложненные кисты характеризуются образованием толстой фиброзной стенки, наличием гранулем с мутной жидкостью, внутренним студенистым содержимым. Кистозные разрастания приводят к компрессии окружающих структур.
Малигнизация истинных кист вилочковой железы обуславливает дегенерацию. Герминогенные новообразования имеют сложное строение. Магнитно-резонансная томография позволяет тщательно изучить структуру. Томограммы позволяют предварительно предположить вид опухоли вилочковой железы.
До широкого распространения способов лучевой нейровизуализации количество ошибок диагностики опухолей тимуса составляло сорок процентов. Дороговизна МР-сканирования не позволяет устанавливать оборудование в каждую клинику, поэтому в периферических медицинских заведениях преимущественный способ выявления новообразований тимуса - рентгенография.
Классическая схема изучения верхнего средостения включает прямую, боковую и косую рентгенограмму. Достоверность рентгенографии в диагностике опухолей вилочковой железы не превышает 70%, так как от мягкотканых образований рентгеновские лучи не отражаются. Мелкие узлы сливаются с тенью сердца, грудины. До внедрения способов нейровизуализации рентгенологи применяли инвазивные способы - пневмомедиастинографию, пневмомедиастинотомографию путем введения воздуха в средостение.
До КТ и МРТ в диагностике новообразований верхнего средостения применялись сцинтиграфические методы. Введение внутрь организма меченного радиоактивного препарата с последующей оценкой накопления позволяло выявить локализацию первичного новообразования, метастазы. Способ сопровождается радиационным облучением тканей, поэтому применяется по строгим показаниям.
Когда делать КТ тимуса
Онкологи назначают компьютерную томографию вилочковой железы после выявления у пациентов увеличенных лимфатических узлов шеи, затылка. Легкая болезненность лимфатических узлов при отсутствии воспалительных изменений анализов крови может свидетельствовать о гиперплазии, злокачественному перерождению лимфоидной ткани.
Увеличение размеров железы на компьютерной томографии головы и шеи с контрастом встречается при болезнях Аддисона, тиреотоксикозе. Обследование выявляет вид гиперплазии - фолликулярная или истинная. Последняя форма сопровождается повышением веса, размеров органа при сохранении гистологического строения. Избыток фолликулов внутри тимуса возникает при базедовой болезни (тиреотоксикоз). Лимфоидная гиперплазия редко приводит к увеличению размеров тимуса. Заболевание встречается также у ВИЧ-инфицированных людей.
Классический алгоритм проведения МРТ головного мозга не предполагает сканирование тимуса. Процедура выполняет отдельно или в комплексе с другими разновидностями томографии. Длительность обследования определяет цену.
Рентген, КТ, МРТ, УЗИ: что, когда и сколько можно?

Стереотипов в отношении методов лучевой диагностики немало. Кто-то избегает исследований, даже если они необходимы. Другие, наоборот, стремятся сделать все подряд, благо любые диагностические исследования доступны в частных клиниках и лабораториях. О том, какие исследования в каких случаях нужны, насколько они безопасны, рассказывает Василий Владимирович Паршин, заведующий рентгеновским отделением ГКБ № 52, врач-рентгенолог высшей квалификационной категории.
Какие методы лучевой диагностики сейчас есть, какие используются чаще, какие лучше?
С тех пор как 1895 году Вильгельм Конрад Рентген обнаружил «всепроникающие» излучение и сделал первый в мире «рентгеновский» снимок руки своей жены, появилось огромное количество технологий, основанных на изобретении немецкого физика. И продолжают появляться новые.
Сейчас для диагностики в медицине широко используются «классические» методы: рентген (рентгенодиагностика), флюорография, ультразвуковые исследования (УЗИ), а также относительно новые - компьютерная томография (КТ), магнитно-резонансная томография (МРТ), ангиография. Постепенно в рутинную работу рентгенолога входят денситометрия и позитронно-эмиссионная томография (ПЭТ). Есть методы, которые пока только изучаются и применяются в научно -исследовательских центрах.
Некоторые методы сейчас используются реже, например, флюорография, другие, наоборот, набирают обороты. Компьютерная томография за последние годы заняла пальму первенства среди методов лучевой диагностики, и, скорее всего, сохранит ее еще долгое время. Однако надо помнить, что каждый метод имеет свой спектр показаний для назначения, свои сильные и слабые стороны.
В нашем отделении мы используем классический рентген, КТ, МРТ. За ультразвуковые исследования отвечает отделение ультразвуковой и функциональной диагностики. Лучевые методы используются не только в диагностике, но и в лечении, а также в комплексе. В ГКБ № 52 функционирует отделение рентгенохирургических методов диагностики и лечения (там также проводятся ангиографические исследования) и эндоскопическое отделение, где делают рентген-эндоскопические исследования и операции.
Какие методы лучше использовать в тех или иных случаях? Распространенный вопрос: что лучше - КТ или МРТ?
Я категорически против любой самодиагностики, чтобы люди сами себя назначали исследования, вычитав что-то в интернете. Для этого есть специалисты, которые после осмотра и сбора анамнеза выдвинут предварительные гипотезы и назначат оптимальный набор исследований. Конечно, по-человечески понятно - хочется быстро определить причину недомоганий, подтвердить или (лучше) опровергнуть неприятный диагноз. Но волшебных таблеток не бывает. Часто оказывается, что нужны дополнительные исследования, и пациенту все равно придется их делать. Бывает, что нужно совсем другое исследование, а то, что сделано - выброшенные деньги.
Каждый метод дает разную информацию об исследуемых органах. Если говорить в целом, то КТ идеально «видит» легкие, и превосходит все другие методы в выявлении патологии дыхательной системы: и МРТ и рентген и флюорографию.
Мы также всегда делаем КТ пациентам с подозрением на нарушение мозгового кровообращения, исследование позволяет не только подтвердить диагноз, но и оценить «масштаб» поражения и выработать верную тактику. Назначают его при патологии почек, в частности, при наличии камней. На томографе можно увидеть их расположение, оценить плотность и структуру, а значит, принять решение об операции или выборе консервативных методов. МРТ имеет преимущества при изучении патологий суставов, для диагностики заболеваний головного мозга, спинного мозга, органов малого таза.
Если коротко - метод исследования назначается врачом в зависимости от того, что и где он хочет обнаружить. И КТ, и МРТ имеют свои преимущества в разных ситуациях. Назначать их самостоятельно себе не нужно.
Для выявления патологии легких также назначают рентген и флюорографию…
Если речь идет о профилактическом осмотре, ежегодной диспансеризации, и у человека нет никаких жалоб - классическое рентгеновское исследование, которое дает меньшую, чем КТ лучевую нагрузку, можно считать достаточным. Но если пациент находится в группе риска по развитию рака легких (например, это курильщик с серьёзным стажем), лучше сразу сделать более информативную КТ. Андрей Дмитриевич Каприн, главный онколог России, рассказывает, что благодаря огромному количеству КТ- исследований легких, которые были сделаны за время пандемии, удавалось выявлять рак легких на самых ранних стадиях и множество других, не связанных с COVID-19 патологий. Низкодозовая КТ - лучший метод скрининга рака легких, она позволяет увидеть зарождающийся опухолевый процесс размером 2-3 мм и самые минимальные изменения, которые рентген может и пропустить.
В каких случаях лучше делать рентген?
Классический рентген по-прежнему остаётся важным методом для диагностики самых разных заболеваний. Например, маммография (рентгеновское исследование молочных желез) - лучший способ скрининга рака молочной железы. Возможности КТ в выявлении злокачественных и воспалительных процессов в этом органе существенно ниже.
Доза радиологического облучения при КТ значительно выше, чем при рентгеновском исследовании, не стоит «бить из пушки по воробьям». К примеру, при подозрении на перелом или при первичном обращении с болью в суставах предпочтительнее сделать рентген.
Говорят, что современные аппараты для ультразвукового исследования тоже позволяют увидеть опухоль на любой стадии и способны заменить КТ?
УЗИ - классический метод, который дает огромное количество информации, к тому же абсолютно безопасный. Сейчас он часто используется как дополняющий к другим более «тяжелым методам диагностики». Очень многое зависит от аппарата и врача, который проводит исследование. Высококвалифицированный специалист ультразвуковой диагностики на аппарате последнего поколения действительно может заподозрить опухолевый процесс на самой начальной стадии. Но окончательный онкологический диагноз ставится только по гистологическому заключению. Для этого хирург должен взять образцы ткани «подозреваемого» органа, а морфолог посмотреть, то что происходит в клетках ткани. В будущем, возможно, мы сумеем достичь уровня диагностики, сравнимого с гистологией, и без хирургического вмешательства. Но пока это только будущее.
Когда нужны денситометрия и ПЭТ КТ?
Денситометрия, если говорить образно, позволяет оценить хрупкость костной ткани - наличие остеопороза. Если остеопороз есть, человек может быть подвержен различным травматическим осложнениям. Он также является результатом нарушения работы разных органов. На денситометрию чаще всего направляют эндокринологи, нефрологи, чтобы понять есть ли патологическое вымывание солей кальция, калия и других микроэлементов из костной ткани. Если такие признаки есть, назначается соответствующая терапия. Сейчас денситометрия постепенно внедряется в городском здравоохранении. В частности, у нас в больнице этот вид диагностики скоро будет доступен (на момент публикации, февраль 2022).
Позитронно-эмиссионная компьютерная томография (ПЭТ КТ) чаще всего используется после того, как пациенту уже поставлен онкологических диагноз, для того, чтобы оценить распространённость метастазов, не пропустить отдаленные опухолевые процессы, а также контролировать процесс лечения. Метод - тяжелый, требует серьезной подготовки пациента, который перед исследованием принимает радиоизотопные препараты, соблюдает диету. Если нарушить правила, можно получить неправильный результат. Кроме того, метод предполагает довольно значительную лучевую нагрузку, как во время самого исследования, поскольку сканирование проводится несколько раз, так и из-за накопления в организме радиоизотопных веществ, которые являются источником излучения. Исследование назначает только врач, оценивая соотношение пользы и рисков в конкретной ситуации. Если где-то его можно провести без назначения - это абсолютно неправильно.
Какое количество исследований можно проводить без опасности для организма? Сейчас многие люди при малейшем недомогании бегут делать КТ, другие же считают, что даже УЗИ делать вредно
Прежде всего лучевая нагрузка есть не во всех методах. В УЗИ или МРТ не используется ионизирующее излучение, эти методы можно назвать безвредными, и проводить такие исследования в принципе можно сколько угодно. На всякий случай мы не назначаем МРТ беременным женщинам в первом триместре, но при необходимости назначаем во втором и третьем.
КТ, классические рентгеновские исследования, денситометрия и ПЭТ КТ связанны с лучевой нагрузкой, ее количество должно быть регламентировано в определенный промежуток времени. Именно поэтому не стоит заниматься самостоятельным назначением, а врач, который ведет пациента, вносит в его карту данные о полученных дозах.
В тоже время современное оборудование позволяет использовать значительно меньшие дозы, по сравнению, с тем, что было раньше. Например, цифровые рентгеновские аппараты, которые мы используем сейчас, дают излучение на порядок меньше, чем пленочные. Чтобы набрать допустимую по нормам радиационной безопасности дозу, надо сделать не меньше 50 исследований в год.
Объем излучения, которое нужно пропустить через объект, для получения снимка, зависит от его размера и плотности. Поэтому доза, полученная крупным мужчиной, будет больше, чем доза стройной девушки при проведении одного и того же исследования.
В России по нормам радиационной безопасности (2010 года) доза облучения для пациента не должна превышать один миллизиверт (мЗв) в год. Это норма значительно ниже реально опасной. Например, для персонала рентгенологических служб, сотрудников ангиографических кабинетов, хирургов, работающих с ангиоваскулярными и эндоскопическими методами, регламентирована допустимая доза в 20 миллизиверт. Мы все обязаны носить на работе дозиметры, ежеквартально предоставлять их для отчета, и отслеживать получаемую дозу. И эта доза тоже безопасна, онкологических заболеваний и других проблем, возможно, связанных с облучением у нас не больше, чем у представителей других профессий - медицинских и немедицинских. Мутации и опухолевые процессы возникают при дозах свыше более 100 миллизиверт в год, набрать ее крайне сложно.
Регламентированную для пациента дозу можно превысить по жизненным показаниям. Регулярные КТ для контроля развития ковид ассоциируемой пневмонии, которые проводятся во время пандемии, как раз тот самый случай. Частые исследования могут понадобится онкологическим и урологическим пациентам. Но очень важно, чтобы решение принимал врач, лишних исследований, лучше избегать.
Чем МРТ отличается от КТ и какое исследование более информативно?
На сегодняшний день магнитно-резонансная томография и компьютерная томография ― наиболее информативные и высокоточные методы инструментальной диагностики. Они создают послойное трехмерное изображение внутренних органов и позволяют делать достоверные заключения о процессах, протекающих в организме пациента.
Мельчайшие нарушения в тканях будут отражены на снимке и позволят быстро поставить точный диагноз. При этом МРТ и КТ принципиально различаются как в случаях применениях, так и в методах сканирования.
Основные отличия КТ от МРТ
Обе методики визуализируют патологии организма, но если МРТ дает информацию о состоянии мягких тканей, то КТ в большей степени применяется для оценки здоровья костей и других твердых тканей. Ключевые различия МРТ и КТ очевидны, когда понятны принцип действия аппаратов, природа излучения и показания к назначению.

Принцип действия: метод сканирования
Основная разница между исследованиями заключается в методе сканирования:
- В компьютерном томографе применяются рентгеновские лучи, которые проходят через мягкие ткани и отображают плотные структуры. Таким образом, создаются высокоинформативные точные трехмерные послойные изображения. Лучевая нагрузка при проведении компьютерной томографии существенно ниже, чем при выполнении рентгеновского снимка.
- При магнитно-резонансной томографии также создается точное трехмерное послойное изображение органов и тканей, но за счет резонанса атомов водорода в организме человека на магнитное поле, создаваемое томографом.
Показания к назначению МРТ и КТ
Магнитно-резонансная томография применяется для обследования сосудов, мягких тканей, внутренних органов, головного мозга, нервной системы и лимфатических узлов.
Компьютерная томография помогает обнаружить структурные изменения тканей. В таблице мы приводим список некоторых заболеваний, при которых назначаются эти методы диагностики.
- грыжа межпозвоночного диска;
- протрузия;
- остеохондроз;
- опухоли и воспалительные процессы головного мозга;
- рассеянный склероз;
- инсульт;
- аневризмы;
- панкреатит;
- холецистит;
- невриты;
- тромбоз;
- тромбоэмболия;
- атеросклероз;
- водянка головного мозга или брюшной полости;
- болезни связок и хрящей;
- застой желчи;
- абсцессы и флегмоны;
- грыжи и т.д.
- повреждения костей или позвоночника;
- гематомы и внутренние кровотечения;
- остеопороз;
- сколиоз;
- пневмония;
- хронический бронхит;
- астма;
- туберкулез;
- онкологические заболевания;
- новообразования щитовидной железы;
- аденома;
- аневризмы;
- заболевания желудка и кишечника;
- атеросклероз;
- мочекаменная болезнь.
Противопоказания к применению МРТ и КТ
Существует ряд противопоказаний к проведению диагностических обследований методами МРТ и КТ. Хотя доза облучения при КТ ничтожно мала, обследование проводят не чаще одного раза в шесть месяцев. Из этого правила могут быть исключения, при жизненной необходимости период между обследованиями может быть сокращен по решению врача.
Беременные и кормящие женщины не подлежат диагностике методом КТ из-за негативного воздействия облучения на плод. Пациентам с психическими отклонениями и клаустрофобией также не рекомендуется этот вид обследования из-за особенностей процесса проведения диагностики.
| Противопоказания к МРТ | Противопоказания к КТ |
|---|---|
| Беременность | Беременность |
| Кардиостимулятор | Период грудного вскармливания |
| Слуховой аппарат | Декомпенсированный сахарный диабет |
| Инсулиновая помпа | Тяжелые болезни сердца |
| Несъемные зубные протезы, коронки, мосты | Почечная недостаточность |
| Металлопротезы и осколки | Миелома и плазмоклеточная дискразия |
| Кава-фильтр | |
При проведении МРТ и КТ пациент должен лежать и не двигаться. Поэтому дети и люди, по состоянию здоровья неспособные лежать без движения в процессе проведения диагностики, а также боящиеся замкнутых пространств пациенты, проходят обследование под наркозом или седацией.
Как проходит процедура КТ и МРТ?
Ожидание диагностики МРТ и КТ по назначению врача в государственном учреждении здравоохранения в среднем длится месяц. И только экстренные показания (угроза жизни) являются основанием для выполнения обследования вне очереди. В медицинском центре «Адмиралтейские верфи» при наличии назначения врача пройти диагностику на КТ и МРТ можно в день записи.
Обследование на томографе проходит лежа. Врач помогает пациенту разместиться на столе аппарата и выходит из помещения. Исследование занимает от 15 до 20 минут на КТ и от 10 минут до часа на МРТ. Выполнив серию снимков, пациента отпускают. Через полчаса - час ему выдается протокол обследования.
При проведении диагностики с контрастом используется болюсное введение. В нужный момент автоматический инъектор внутривенно вводит контраст пациенту. Использование контраста позволяет создать более детальную картину. Это требуется, когда обычного обследования недостаточно для постановки или уточнения диагноза.

Преимущества обследования в медицинском центре «Адмиралтейские верфи»
Многие пациенты сталкиваются с тем, что на УЗИ при выявлении или подозрении на патологию дальнейшее обследование методами КТ или МРТ откладывается на несколько дней или недель.
Если вам требуется пройти обследование оперативно, обращайтесь в отделение инструментальных методов диагностики медицинского центра «Адмиралтейские верфи». Для ускорения и оптимизации алгоритма обследования пациентов мы объединили отделение функциональной и лучевой диагностики.
Для проведения дополнительных исследований нашим пациентам не нужно перезаписываться на последующие даты. Расписание специалистов клиники построено таким образом, что при необходимости мы можем провести дообследование сразу же.
В каждом конкретном случае, решение о выборе того или иного метода диагностики принимает врач: именно он решает, что лучше - МРТ или КТ. Специалисты медицинского центра «Адмиралтейские верфи» ответят на ваши вопросы и подберут адекватный метод диагностики. Для этого позвоните по номеру телефона, указанному на сайте, или оставьте заявку в форме обратной связи. Давайте заботиться о вашем здоровье вместе!
Читайте также:
