Магнитно-резонансная томография. Методика МРТ головного мозга
Добавил пользователь Евгений Кузнецов Обновлено: 22.11.2025
Магнитно-резонансная томография (МРТ) головного мозга получила широкое распространение благодаря своей безопасности и точности. В статье вы узнаете все о том, как делают МРТ головного мозга, особенностях и противопоказаниях к процедуре и результатах ее проведения.
Исследование проходит с применением специального прибора — магнитного томографа, который представляет собой огромный магнит. Процедура проходит абсолютно безболезненно и достаточно быстро. Пациент помещается в трубу аппарата, который делает ряд снимков исследуемого органа в трех проекциях. Далее снимки поступают на экран компьютера, где происходит их расшифровка врачом.
В каких случаях делают МРТ головного мозга
Томография может быть как основным методом диагностики, так и дополнительным. Показаниями для проведения процедуры являются следующие состояния и заболевания:
- новообразования;
- аномалии развития;
- травма;
- инсульт;
- интенсивная головная боль неясного происхождения;
- патологии гипофиза;
- аномалии сосудов;
- рассеянный склероз и другие болезни нервной системы;
- деменция;
- эпилепсия;
При частых или непроходящих головных болях, МРТ применяется в случае, если:
- приступы участились, стали более тяжелыми;
- координация движений нарушена;
- есть связь головной боли с кашлем и чиханием;
- существует онкологическое заболевание иной локализации;
- приступы возникают ночью, прерывая сон.

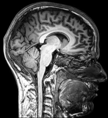
Томографический снимок головного мозга
Магнитно-резонансная томография также с успехом применяется для диагностики следующих патологий:
- Острое нарушение мозгового кровообращения. Это может быть ишемическая атака, ишемический инсульт, геморрагический инсульт, посттравматическое кровоизлияние.
- Внутричерепные объемные образования. Томография - основной метод для:
- первичной диагностики вне- и внутримозговых опухолей;
- дифференциальной диагностики опухолей, абсцессов и других патологий;
- оценки успешности удаления новообразования, послеоперационных осложнений, продолженного роста опухоли.
- Метастатические поражения ЦНС. При опухолях с высокой частотой метастатического поражения головного мозга (рак легкого, молочной железы, меланома и другие) магнитно-резонансное сканирование включается в обязательный протокол обследования.
- Рассеянный склероз и иные заболевания белого вещества мозга. МРТ - самый точный метод диагностики в этом случае. Использование внутривенного контрастирования позволяет визуализировать очаги, определить их размеры, контролировать ход лечения.
- Деменция и расстройства памяти. Томография необходима для:
- исключения возможных опухолей, кровоизлияний;
- определения давности и характера течения процесса;
- оценки успешности лечения.
- Эпилепсия. Проведение МР-томографии головного мозга — обязательная процедура исследования для страдающих эпилепсией пациентов. Она помогает исключить опухоли, патологии головного мозга и сосудов, последствия травм, воспалительных процессов. Для визуализации мелких структурных изменений делаются снимки тонких срезов (1 - 3 мм) с применением дополнительных режимов усиления сигналов (по эпилептическому протоколу). На втором месте по частоте из возможных причин эпилепсии стоят доброкачественные опухоли. Выявление их на МРТ дает больному шанс на выздоровление с помощью хирургического вмешательства.
- Патология гипофиза. Основной метод обследования - томография с внутривенным контрастированием.
МРТ головного мозга, как проходит процедура
Предварительная подготовка перед исследованием не требуется. Прийти на процедуру нужно в свободной одежде без металлических аксессуаров. Учитывая, что магнитные поля портят кредитные карты, флеш-карты и механические часы, их нужно заранее выложить. Косметику желательно не использовать, так как она может содержать частицы металла.
Пациента укладывают на специальный подвижный стол, который скользит внутри магнита. Очень важно, чтобы на момент снятия изображения человек лежал неподвижно. Понять, что съемка началась, помогают щелчки, которые издает магнит.
Компьютер, на который поступают изображения, расположен в соседнем кабинете.
Для большего комфорта пациенту предлагаются наушники с приятной музыкой. Сканер оборудован системой кондиционирования и хорошо освещен.
Сколько делают МРТ головного мозга по времени
Современные модели выскопольных томографов позволяют провести МРТ головного мозга за 15-20 минут. Процедура с применением контраста продлиться на 15 минут дольше. Для составления заключения, как правило потребуется 20-30 минут после процедуры. Врач, проводивший диагностику, подробно комментирует расположение, размер и особенности строения изучаемого органа.
Вредно ли делать МРТ головного мозга
Магнитно-резонансная томография абсолютно безопасна. В отличие от КТ, при проведении МРТ не применяется рентгеновское излучение, а магнитные волны не оказывают негативного воздействия на организм человека. Поэтому проходить МР-сканирование можно так часто, как это необходимо.
Как часто делать МРТ головного мозга
На этот вопрос может ответить только лечащий врач. При ряде хронических заболеваний, онкологических процессах, а также после оперативных вмешательств регулярное проведение МРТ необходимо для отслеживания изменений.
Современные томографы: виды и характеристики
Уровень напряжения магнитного поля - главный показатель для магнитно-резонансных томографов. По данному параметру они делятся на:
- низкопольные - до 0,5 Тл;
- среднепольные - от 0,5 до 0,9 Тл;
- высокопольные - от 1,0 до 1,5 Тл;
- сверхвысокопольные - 3 Тл.
Для получения высококачественного изображения прибор должен иметь мощность не менее 1,0 Тл.
Низкопольные приборы дешевле, у них меньше ограничений по металлу в организме и для некоторых исследований их мощности будет достаточно. Но при заболеваниях мозга нужна особо точная диагностика, поэтому рекомендуется проходить обследование на высокопольных аппаратах.

Высокопольный томограф Philips Intera 1,5 Тл
В клинике «ДиМагнит» установлен высокопольный томограф, генерирующий магнитное поле 1,5 Тл. В него встроены все новейшие опции, которые дают возможность специалисту-рентгенологу настраивать контрастность изображения во время исследования, при этом сразу же видя конечный результат.
Томограф Philips Intera 1,5 Тл - золотой стандарт и очень качественный прибор компании «Филипс».
Существуют сканеры с мощностью выше 1,5 Тл, но их использование больше обосновано для научно-исследовательских целей. Для этих приборов необходимы очень строгие технические правила безопасности. Цена процедуры, соответственно, увеличивается.
При этом диагностическая польза не соотносится с повышенной стоимостью.
Возможные ограничения для проведения МРТ
Процедура противопоказана в случае:
- веса пациента более 130 кг, окружности живота по максимально выступающим точкам более 150 см;
- наличия ферромагнитных имплантов, инородных тел, гемостатических клипс;
- установленных несъемных электронных устройств (инсулиновая помпа, кардиостимулятор, слуховой аппарат и другие);
- выраженной клаустрофобии, нестабильном психическом состоянии;
- первом триместре беременности;
- возрасте менее 5 лет.
Проведение томографии безопасно при наличии немагнитных (например, титановых) медицинских имплантов.
Металлические зубы, протезы тазобедренных суставов и фиксирующих устройств для позвоночника не представляют опасности, но могут создавать выраженные локальные артефакты, что мешает правильной трактовке результатов. Поэтому они не должны находиться в зоне диагностики.
Большинство используемых в настоящее время внутриматочных противозачаточных спиралей не смещается под действием магнитного поля, не нагревается, не образует артефактов.
Но, главное правило безопасности заключается в том, что врач должен знать о существовании этих предметов, иметь документальное подтверждение их свойств и быть уверенным в отсутствии вреда здоровью.
МРТ головного мозга с контрастом
Проведение процедуры с контрастом назначается для наиболее точной диагностики внутренних органов. МРТ незаменима в тех случаях, когда для уточнения диагноза необходимо тщательно изучить какую-то определенную область мозга.
В качестве контраста используется вещество на основе металла гадолиния, которое неактивно в магнитном поле, способно избирательно накапливаться в различных видах тканей, изменяя их цвет на снимках. Этот препарат практически не задерживается в здоровых клетках и накапливается в больных.

Современные контрастные препараты безвредны для пациентов
Контрастное вещество на основе гадолиния не токсичен, хорошо переносится пациентами, выводится из организма в течение суток. Само введение безболезненно и не доставляет дискомфорта.
Необходимость его применения возникает при следующих состояниях:
- новообразования и метастазы - помогает увидеть области с усиленным кровоснабжением, что характерно для опухолей;
- аномалии развития и патологии сосудов;
- возможные аневризмы, закупорки тромбами, места кровотечений;
- рассеянный склероз - наличие очагов, срок их давности;
- воспалительные процессы;
- нарушение слуха и речи;
- подозрение на инсульт;
- эпилепсия.
Противопоказания к использованию контраста:
- индивидуальная непереносимость;
- тяжелые аллергические реакции в анамнезе;
- тяжелая форма почечной недостаточности;
- некомпенсированный сахарный диабет;
- беременность на любом сроке.
При грудном вскармливании нужно учитывать, что контраст проникает в грудное молоко. Поэтому кормление грудью необходимо приостановить как минимум на сутки после введения контрастирующего препарата, а молоко необходимо сцеживать и выливать.
В медицинском центре «ДиМагнит», вы можете попасть на процедуру магнитно-резонансной томографии головного мозга уже в день записи, что ускорит постановку диагноза. Квалификация наших докторов и современный томограф, установленный в медицинском центре, сделают процедуру информативной и комфортной.
Что показывает МРТ мозга?
Головной мозг является самым сложным органом, он насчитывает целых 5 отделов, поэтому так важно знать, что показывает МРТ мозга. Речь идет о самой современной и информативной методике обследования.
В чем заключаются главные преимущества магнитно-резонансной томографии?
МРТ исследованием головного мозга не стоит пренебрегать, если врач выписывает направление на прохождение такой диагностики. Данная процедура очень важна для выявления серьезных отклонений в ее функционировании на ранних стадиях.
Это неинвазивная методика обследования. В ходе прохождения такой диагностики пациент не ощущает дискомфорта, за исключением того, что ему приходится находиться внутри томографа. При этом аппараты бывают закрытыми и полузакрытыми. Вторую разновидность используют для обследования людей, испытывающих страх перед замкнутым пространством.
К положительным свойствам данной процедуры относят ее безболезненность. При ее проведении нет необходимости выполнять хирургическое вмешательство. Она позволяет обследовать все отделы головы человека.
Делать МРТ можно пациентам разного возраста. Диагностика дает возможность обнаруживать патологии, когда они только зарождаются. Своевременная постановка диагноза очень важна, когда речь идет о здоровье.
МРТ снимки головного мозга четко показывают, есть патологические изменения в его отделах или нет. При их выявлении врач назначает эффективное лечение. Чем раньше начинается терапия, тем больше шансов, что она окажется успешной.
Среди других преимуществ МРТ головного мозга можно выделить:
- Возможность обследования всех частей головы, невзирая на наличие костных структур.
- Отсутствие токсичного воздействия.
- Получение четкой «картины» сосудов и мягких тканей, находящихся на разных уровнях, даже в том случае, если контрастное вещество при проведении процедуры не используется.
Решение о том, как именно выполнять МРТ головного мозга с контрастом или без, принимает лечащий врач, исходя из имеющихся показаний.
Для чего проводится процедура?
В список показаний, при наличии которых нужно выполнить исследование головного мозга, входят:
- головные боли;
- черепно-мозговые травмы;
- проблемы с памятью;
- ишемические инфаркты;
- вегетососудистая дистония.
МРТ дает возможность оценивать степень активности коры головного мозга. Благодаря этой процедуре удается оценить, насколько сильно пострадал этот орган в результате травмы. С ее помощью выявляют болезни Паркинсона и Альцгеймера, доброкачественные и злокачественные новообразования.
Магнитно-резонансную томографию назначают при шизофрении и прочих расстройствах психики, чтобы оценить, какое воздействие они оказали на структуру мозга.
При наличии нарушений в целостности миелиновой оболочки коры МРТ их выявит. Процедура помогает диагностировать кисты, карциномы, кровоизлияния в головной мозг, обнаруживать воспалительные и инфекционные процессы. Ее часто назначают при аутизме, рассеянном склерозе. Перфузия головного мозга дает возможность оценивать кровоток на различных участках. Перед столь основательной диагностикой рекомендуется сдать анализы. Их результаты укажут на область головы, подлежащую более детальному обследованию. К примеру, если у пациента наблюдается повышенный уровень пролактина - это может указывать на проблемы в работе мозжечка.
МРТ картина головного мозга позволяет оценить состояние не только мозжечка, но и других отделов, которые отвечают за память и мыслительный процесс. Тщательно обследовать затылочные доли, отвечающие за визуальное восприятие предметов, оценить плотность серого и белого вещества.
Рентгеновское облучение при проведении МРТ не используется и это большой плюс. Результаты процедуры не приходится долго ждать, их расшифровка занимает минимальное количество времени. Данная процедура отличается высокой диагностической информативностью. В последние годы она стала незаменимой в выявлении патологий головного мозга.
Особенности процедуры МРТ, принцип действия
Исследуемые ткани подвергаются воздействию электромагнитных волн в пределах магнитного поля, в которых содержится различное количество атомов водорода. Они формируют определенное количество энергии, которую регистрирует и обрабатывает специальный прибор. Речь идет о томографе. Такая обработка позволяет получать изображения различных отделов головного мозга. Развитие патологических явлений характеризуется структурными трансформациями в тканях органа. В результате меняется содержание атомов водорода в пораженной области. Это приводит к изменению получаемых в ходе обследования сигналов.
МРТ головы визуализирует различные мозговые отделы, дает их характеристику. Главной целью такой диагностики является обнаружение пораженных участков в мозге, определения их формы, размеров, характера и точной локализации.
При проведении подобной диагностики невозможно пропустить опухоль, она определяет ткань происхождения новообразования, отличается атрофические участки от постравматических. Позволяет определять характер инсультов, выявлять инфекционные поражения, отеки мозга, смещение его структур, оценивать состояние желудочков.
МРТ здорового мозга не выявляет отклонений. При наличии подозрений на наличие опухоли в голове, нужно в обязательном порядке провести данную процедуру. Она выявляет не только первичные новообразования, но и метастазы, поражения гипофиза.
Даже при небольшой травме головы рекомендуется сделать МРТ. Процедура позволяет исключить абсцесс головного мозга, менингоэнцефалит. Ее проводят при наличии симптоматики повышенного внутричерепного давления.
Врачи назначают магнитно-резонансную томографию при часто повторяющихся головных болях, сбоях моторики. Такое обследование показано людям, без причины падающим в обмороки. Тем, у кого имеются нарушения поведения и когнитивных функций.
МРТ незаменимо как в неврологической сфере, так и в эндокринологии, психиатрии, других областях медицины.
Магнитно-резонансную и компьютерную томографию часто делают после операций, чтобы оценить результаты проведенного хирургического вмешательства. Методика незаменима в динамическом наблюдении. С ее помощью обследуют не только головной мозг, но и другие органы - поджелудочную железу, желчный пузырь.
Противопоказания к магнитно-резонансной томографии
Противопоказаний к проведению магнитно-резонансной томографии немного, но они есть. К ним относят:
- Наличие имплантата в организме (в том числе кардиостимулятора).
- Чрезмерная подвижность пациента, например, если он пребывает в состоянии алкогольного опьянения. При проведении МРТ обследуемый должен лежать без движения.
- Инородные предметы в теле (в ходе обследования они могут сместиться и повредить сосуды).
К относительным противопоказаниям относят болезни, детский возраст до 7 лет, металлические протезы суставов за пределами действия электромагнитных волн, болезни крови (в этом случае нельзя применять контраст), выраженную клаустрофобию (у пациента в закрытом пространстве может резко ухудшиться состояние).
Как подготовиться к обследованию?
К МРТ головного мозга не нужно долго и основательно готовиться. За пару часов до диагностики желательно воздержаться от приема пищи. Не стоит применять перед процедурой декоративную косметику. За пределами кабинета, в котором проводится диагностика, необходимо оставить телефон, банковские карты и часы.
Врач обязательно расскажет пациенту о ходе обследования. Если тот страдает боязнью замкнутого пространства, пропишет успокаивающие препараты.
При необходимости будет выполнена процедура с контрастированием, позволяет получать более точную картину. После введения контрастного вещества может появиться головная боль и тошнота. Перед применением контраста необходимо провести тест на чувствительность.
Как проходит процедура?
Перед диагностикой аппаратом МРТ пациента просят подписать согласие. После этого ему предлагается надеть халат (можно обследоваться и в своей одежде, главное, чтобы на ней не было металлических элементов) лечь спиной на специальную платформу. Голову обследуемого фиксируют, чтобы обеспечить ее неподвижность.
Платформа, с лежащей на ней пациентом, заезжает в «трубу» томографа. При работе оборудование издает шум, поэтому рекомендуется пользоваться берушами.
В кабинете для МРТ предусмотрена система двухсторонней голосовой связи. Врач контролирует ход процедуры из соседнего кабинета.
По времени обследование занимает примерно полчаса. При использовании контраста около 50 минут. Контраст вводят одномоментно или дозатором.
Результаты
Расшифровкой результатов магнитно-резонансной томографии занимается врач-рентгенолог, обладающий соответствующей квалификацией. Он анализирует полученные результаты и исходя из этого составляет заключение. Пациент получает итоги сканирования на ДВД-диске, после чего передает их врачу.
В нашем медицинском центре проведение МРТ головного мозга и органов брюшной полости выполняется с использованием современного оборудования. Мы задействуем лучшие томографы, гарантирующие высокую точность результатов обследования.
Как делают МРТ
Метод магнитно-резонансной томографии широко используется в медицине для диагностики различных заболеваний. Обследование такого типа позволяет выявить патологические изменения и отклонения в работе многих систем организма, получить информацию о структуре, размерах, конфигурации внутренних органов без оперативного вмешательства.
МРТ: как это работает?
Методика основана на природных свойствах атомов водорода, обеспечивающих создание ядерного магнитного резонанса. Тело человека на 60-70 процентов состоит из воды, молекулы которой содержат водород. В ответ на создание магнитного поля, атомы начинают резонировать, т.е. излучать энергию. Эти сигналы улавливают специальные датчики, встроенные в корпус магнитно-резонансного томографа.
Прибор оснащен компьютером, в котором установлена специальная программа. Она обрабатывает полученные от атомов импульсы, преобразует их в цифровое изображение. Так получается срез, на котором видны тени. Их интенсивность определяется плотностью исследуемых тканей. Процедура МРТ предполагает получение нескольких таких срезов, которые впоследствии накладываются друг на друга. Так получается изображение трехмерного формата, на котором видны малейшие детали сканируемой области.
Показания и возможности методики
Магнитно-резонансная томография позволяет исследовать мышечную ткань и связки, межпозвоночные диски и нервы, органы малого таза и мозговые оболочки, суставные соединения и работу эндокринных желез. МРТ делают в целях выявления:
- Аномалий и пороков развития органов;
- Опухолевых процессов;
- Посттравматических повреждений и их масштабов;
- Воспалительных процессов;
- Инфекционных поражений;
- Сосудистых нарушений и многих других заболеваний.
МРТ дает возможность обнаружить признаки атеросклероза и кровоизлияния, сдавления спинного мозга и отеки паренхиматозных органов, а также другие патологии, как врожденные, так и приобретенные. Процедура проводится не только в диагностических целях, но и для оценки эффективности выбранной схемы лечения или состояния органов после хирургической операции.
Как проходит МРТ с контрастом?
В зависимости от ситуации, может назначаться МРТ с контрастом или без него. В первом случае вводится специальное вещество, которое делает изображение более четким, позволяет детально изучить структуру тканей, определить границы опухоли, состав и размеры клеток.
Для таких целей используется контрастное вещество на основе гадолиния. Это металл-парамагнетик, который имеет небольшую магнитную восприимчивость. Благодаря ему, усиливается магнитное поле и повышается четкость изображения. Вещество не оказывает негативного влияния на организм, оно не токсично, не способно накапливаться в организме и вызывать аллергические реакции. Особенностью гадолиния является способность растворяется в воде и выводится с мочой на протяжении 12 часов после процедуры.
Контрастное вещество вводят внутривенно. Оно перемещается по сосудам к исследуемому участку. При болюсной методике выполнения исследования жидкость вводят через капельницу, а накопление контрастных препаратов в тканях плавно нарастает. Этот процесс синхронизируется с исследованием, а сам метод называется магнитно-резонансным сканированием.
Противопоказания к процедуре
Противопоказаниями к МРТ исследованию с помощью контраста служат:
- Беременность, период кормления грудью;
- Обезвоживание организма;
- Сердечные патологии и заболевания сосудов;
- Болезни почек;
- Бронхиальная астма;
- Прием бета-блокаторов;
- Повышенная склонность к аллергическим реакциям.
Нельзя делать МРТ пациенту, в теле которого находятся металлические предметы. Это могут быть, например, штифты и имплантаты, спицы и скобы, а также кардиостимуляторы. Причина заключается в том, что под действием создаваемого магнитного поля предметы из металла могут разогреваться и смещаться.
Алгоритм проведения обследования
Процедура проходит в медицинском кабинете, где установлен томограф. Прибор представляет собой большую конструкцию цилиндрической формы с передвижной платформой. На ней предстоит расположиться пациенту.
Специальная подготовка к МРТ не требуется, но рекомендуется заранее получить представление о том, как именно проводят обследование. Это поможет избежать страха и правильно вести себя во время обследования, чтобы результаты получились точными и достоверными.
Перед проведением процедуры пациенту необходимо снять все металлические украшения и аксессуары, включая слуховой аппарат. Мобильный телефон, кредитные карты и другие подобные предметы нужно оставить в раздевалке. При наличии клаустрофобии, сильном волнении следует предупредить врача. Возможно, потребуется прием успокоительных лекарств.
Стол томографа накрывают простыней или клеенкой, на нем располагается пациент. При необходимости ему вводят контрастный препарат. Над исследуемой областью устанавливается катушка томографа. Например, при изучении органов брюшной полости катушка ставится над животом, а вовремя МРТ головного мозга она движется вокруг головы.
Пациенту дают в руки пульт с кнопкой. Если во время проведения МРТ человек чувствует боль или дискомфорт, у него появляется паника, нажатием кнопки можно остановить обследование и вызвать медперсонал. Затем платформа задвигается в туннель. Поскольку прибор при работе производит достаточно сильный шум, пациенту выдаются беруши. Для обследования головы может использоваться фиксирующее приспособление.
Во время процедуры пациент может ощущать незначительно тепло, а при введении контрастных препаратов появляется ощущение прохлады, а также металлический привкус во рту. Все эти проявления абсолютно нормальны и не являются причиной для беспокойства.
Врач находится в соседнем помещении, где установлен компьютер. Он контролирует, как проходит МРТ, по данным на мониторе и путем визуального наблюдения, благодаря наличию прозрачной перегородки между кабинетами.
Сколько длится МРТ?
Томография одного участка тела обычно занимает порядка получаса, но при использовании контраста потребуется больше времени. В целом длительность процедуры определяется несколькими факторами:
- Типом и мощностью томографа;
- Объемом исследования (на сканирование нескольких отделов уходит до полутора часов);
- Соблюдения пациентом установленных правил, например, сохранения неподвижного положения;
- Изучаемой областью.
По итогам процедуры доктор составляет и выдает пациенту на руки заключение, а также снимки на диске или другом цифровом носителе. С помощью полученных данных лечащий врач может поставить точный диагноз или скорректировать схему лечения.
Другие особенности процедуры
Магнитно-резонансная томография обычно не вызывает существенного дискомфорта, но эти ощущения сугубо индивидуальны. В основном пациенты спокойно переносят процедуру, однако у некоторые из них испытывают стресс от нахождения в замкнутом пространстве. При появлении такой реакции на диагностику нужно попытаться расслабиться, глубоко и спокойно дышать, постараться переключить мысли на что-то приятное.
В редких случаях после исследования ощущается звон в ушах, легкая дезориентация, головокружение. Эти проявления связаны с шумом, который издает томограф, а также стрессом. Вскоре они проходят сами по себе.
МРТ - безопасная процедура, поэтому ее можно делать детям. Если обследование проводится ребенку, который в силу возраста уже может лежать неподвижно, в кабинете могут разрешить присутствие одного из родителей, чтобы снизить степень волнения и тревожности. Ребенку лучше заранее объяснить, как проводят магнитно-резонансную томографию, чтобы он не испугался непривычных условий и шума, не делал резких движений и не получил травму.
В некоторых случаях, когда не получается обеспечить неподвижность маленького ребенка, может использоваться общий наркоз. Для этого приглашают специалиста-анестезиолога. Данный момент следует уточнить во время записи на процедуру.
МРТ - это один самых точных методов диагностики, позволяющий выявить причины боли, патологические изменения мягких тканей, развитие осложнений после заболеваний, травм, операций. Процедура абсолютно безболезненна и безопасна, не занимает много времени и дает точные результаты.
Как делают МРТ головного мозга
Магнитно-резонансная томография (МРТ) головного мозга - процедура, позволяющая увидеть мозговые структуры и определить различные заболевания. Она безвредна, безопасна, безболезненна и атравматична, но при этом высокоинформативна.
На чем основано МРТ головного мозга
Диагностический эффект МРТ головного мозга основан на ядерно-магнитном резонансе. В ответ на мощное излучение, создаваемое генератором, атомные ядра водорода, содержащиеся в тканях, выстраиваются вдоль силовых линий электромагнитного поля и начинают вибрировать. Каждый атом становится похож на крутящуюся мини-юлу, отдающую энергетические волны.
Разные структуры испускают различное количество энергии - одни ее отдают интенсивнее, а другие - слабее. Разница регистрируется прибором, делающим снимки (срезы) в разных проекциях.
Для этого пациента помещают внутрь томографа, в котором генераторы поддерживают электромагнитное поле высокой частоты. Специальные радиоизлучатели генерируют импульсы, а катушки фиксируют энергию, посылаемую вибрирующими атомами.
Полученные срезовые изображения с помощью специальной компьютерной программы объединяются в трехмерную матрицу, в которой на сером фоне визуализируются темные или светлые нездоровые участки.
Преимущества магнитно-резонансного исследования перед другими методами
МРТ-обследование дает результаты гораздо точнее, чем рентген, эхоэнцефалография (ЭхоЭГ), УЗДГ и прочие варианты диагностирования. Она позволяет получить максимум данных об имеющихся опухолях, болезнях, посттравматических и постинсультных изменениях. В отличие от КТ и рентгена, в этом случае организм не облучается.
На готовых изображениях визуализируются только мягкие ткани. Кости черепа не видны, поэтому не мешают анализу и расшифровке.
Вещество-контраст, используемое при МР-диагностировании, намного реже вызывает аллергические реакции по сравнению с рентгенконтрастными препаратами, используемыми для рентгенографии.
Как проходит процедура
Больной снимает с себя все металлические украшения и достает съемные зубные протезы, содержащие металл.
Пациента кладут на подвижный стол и фиксируют специальными ремнями. Эта мера необходима, поскольку лежать внутри томографа, сохраняя неподвижность, придется долго.
На голову надевается устройство, оснащенное проводами, передающими и принимающими радиосигналы. Аппаратура работает достаточно шумно и утомляет постоянными щелчками и свистом. Поэтому уши больного защищают берушами. После этого стол заезжает в аппарат, а специалист садится за компьютер, в котором происходит анализ и обработка передаваемых данных.
Техника делает снимки, качество которых зависит от характеристик конкретного МР-томографа. Чем более тонкие визуальные срезы сделала аппаратура, тем точнее получатся итоговые изображения. Продолжительность диагностирования составляет 20-30 минут, а при применении контрастирования - до часа.
После МР-диагностики можно сразу вернуться к привычной жизни. Никаких побочных эффектов впоследствии и в ходе МР-обследования не возникает, за исключением крайне редко появляющейся аллергии на гадолиниевые соли.
Готовые снимки выдаются на руки распечатанными или записанными на магнитный носитель - диск или флеш-карту. Возможна пересылка на электронную почту с SMS-оповещением.
- Стандартное - делается без введения контрастирующих растворов, но при этом дает достаточное количество информации.
- С контрастом, перед которым в вену вводятся препараты, содержащие соли гадолиния, - гадопентетовая и гадотеровая кислоты, Омнискан, Магневист и др. Эти растворы проникают в кровоток и, попав в лучи МР-томографа, подсвечивают получившуюся «картинку». При этом измененные участки становятся лучше видимыми, что упрощает расшифровку. Методика чаще всего используется для выявления сосудистых аномалий, рассеянного склероза и опухолевых образований. Доза контрастного вещества подбирается индивидуально с учетом веса.
- МР-ангиография - проводится для оценки состояния сосудов при атеросклерозе, аневризмах, тромбах и прединсультном состоянии. Делается с гадолиниевым контрастом, детально показывающим проблемы кровотока.
- МР-томография гипофиза - придатка, являющегося железой внутренней секреции. Гипофиз выделяет гормоны, ответственные за репродуктивную функцию, тканевый метаболизм и регуляцию человеческого роста. Обследование назначают при подозрении на аденому - доброкачественную опухоль, вызывающую мигренеподобные боли, гормональные сбои, гигантизм, бесплодие, ожирение и половую дисфункцию. Таким же методом выявляются злокачественные гипофизарные образования, имеющие схожую симптоматику и сопровождающиеся выраженным ухудшением здоровья.
Подготовка
Особой подготовки МРТ-процедура не требует, поэтому проводится в любое время суток. Если планируется наркоз, вечером разрешается только легкий ужин, а утром нельзя завтракать и даже пить воду, чтобы не вызвать постнаркозную рвоту.
Показания к общему наркозу при МРТ
Внутривенная или ингаляционная седация необходима только пациентам, которые не в состоянии длительно удерживать свое тело неподвижно. Основные показания к общей анестезии:
- Клаустрофобия - боязнь закрытых пространств. Такие больные, находясь внутри аппарата, испытывают панику, негативно влияющую на здоровье и делающую невозможным МР-диагностику.
- Психические расстройства, сопровождающиеся непредсказуемостью поведения и высокой возбудимостью.
- Неконтролируемые непроизвольные движения головы (покачивание, дрожание, тики).
- Эпилепсия и прочие виды судорожной готовности и припадков - наркоз дается только внутривенно из-за риска провокации приступа судорог.
- Ранний детский возраст. Маленькие дети не могут долго лежать неподвижно в МР-томографе, поэтому им показан легкий масочный наркоз.
- Выраженный болевой синдром, при котором длительное нахождение в одном положении вызывает дискомфорт, судороги, боль и спазмы.
Показания к проведению магнитно-резонансного обследования мозга
- Новообразования или их метастазы. Диагностику назначают при упорных мигренеподобных болях, резкой потере зрения и слуха, слуховых, обонятельных и зрительных галлюцинациях, приступах спутанности сознания, внезапно возникших расстройствах чтения и письма, зачастую сопровождающих онкопатологии.
- Эпилепсия и другие болезни, проявляющиеся обмороками, спутанностью сознания и конвульсиями.
- Подозрение на одиночные или множественные кистозные полости, наполненные жидкостью, кровянистым или иным содержимым.
- Возможное наличие паразитов (цистицерк и эхинококков), занесённых по сосудистому руслу с током крови внутрь головы.
- Воспаления - менингит, энцефалит, арахноидит, миелит. Поражения, вызванные инфекциями - корью, герпесом, туберкулезом, токсоплазмозом, клещевым энцефалитом.
- Реабилитация после инсульта, черепно-мозговой травмы и операции. При помощи магнитно-резонансной диагностики врач оценивает эффективность проводимого лечения и прогнозирует отдаленные результаты.
- Вероятность развития рассеянного склероза, болезни Альцгеймера и иных дегенеративных процессов.
- Детей обследуют при врожденных патологиях и гидроцефалии.
При всех этих заболеваниях жизнь и здоровье напрямую зависят от своевременно поставленного диагноза. Поэтому при малейшем подозрении на мозговые нарушения у себя или ребенка нужно прийти в клинику и обследоваться.
Что показывают результаты
МР-исследование, особенно проводимое с контрастированием, выявляет многочисленные патологические процессы. На срезах детально просматриваются уплотнения, кистозные полости, гематомы (скопления крови). Выделяются рубцы, паразиты и их цисты, очаги дегенерации, склерозирования и воспаления.
Диагностируются сосудистые изменения, проявляющиеся нарушением проходимости, сужением или расширением сосудов, появлением аневризм (выпячивания стенок) и тромбозом.
Определяется степень тканевого поражения при черепно-мозговых травмах, геморрагических и ишемических инсультах. Пострадавшие участки выглядят более светлыми и видны даже при небольших размерах и скудной неврологической симптоматике.
Определяются врождённые пороки - недоразвитие и гипертрофия органа, мелкие и неправильно расположенные извилины, кисты, голопрозэнцефалия - отсутствие разделения на полушария. Выявляется гидроцефалия - скопление жидкости в желудочках, которые при этой аномалии сильно увеличены.
Патологические области и новообразования выглядят как темные или светловатые пятна разнообразных размеров и форм, выделяющиеся на сероватом фоне. У онкологических уплотнений, особенно злокачественных, обнаруживаются размытые неровные края и окружающие зоны омертвения.
МР-диагностирование рекомендуется периодически проходить всем, кто лечился по поводу онкопатологий любой локализации. Оно выявляет метастазы, как правило, сопровождающие рецидив рака.
Как часто можно делать МРТ мозга
Поскольку МР-диагностика не сопровождается радиоактивным облучением, ее можно проводить неограниченно без малейшего риска. Поэтому, если врач направил на повторное исследование, переживать не стоит. Никаких негативных последствий для организма это не вызовет.
Противопоказания
- Установленные кардиостимуляторы и другие электронные устройства, работа которых сбивается из-за окружающего электромагнитного поля.
- Имеющиеся во рту несъемные протезы с металлическими элементами, коронки, в составе которых есть металл, брекет-системы и другие ортодонтические конструкции. Содержащийся в них металл нагревается магнитом и портится, повреждая при этом окружающие ткани.
- Нанесенные на кожу татуировки, сделанные металлосодержащей краской. Из-за нагревания, вызванного электромагнитами, на этих местах могут образоваться ожоги. При отсутствии информации о пигменте. использованном при нанесении тату, лучше не рисковать и сделать КТ, УЗИ или рентген. Обследование запрещено и при любом металлическом пирсинге, который невозможно снять.
- МР-исследование с контрастом не делают во время беременности и при непереносимости средств для контрастирования. Такое обследование не назначают при тяжелых патологиях почек, затрудняющих выведение гадолиния.
Магнитно-резонансная томография - безопасная и высокоинформативная процедура, выявляющая патологии на ранних стадиях. Поэтому при мигренеподобных явлениях, нарушениях координации, резком снижении слуха и зрения, обмороках, прогрессирующем ухудшении памяти нужно обязательно обратиться в клинику и обследоваться. Цена МР-диагностики невысока и вполне доступна москвичам и жителям МО.
Как делают МРТ головного мозга с контрастом
МРТ (магнитно-резонансная томография) головного мозга позволяет анализировать состояние всех тканей головного мозга с использованием электромагнитного поля, для получения трехмерного изображения. Метод позволяет детально визуализировать структуры мозга, обнаружить дефекты тканей и сосудистого русла.
Это один из новейших и “молодых” методов исследования, поэтому он безопасный и высокоинформативный. Процедура диагностики состояния центральной нервной системы с использованием ядерного магнитного резонанса, в последствие обработана на компьютере для получения данных, не имеет аналогов и является “золотым стандартом” обследования для подавляющего числа возможных патологий.

МР-томограф Philips Intera
Ход процедуры: как проходит МРТ головного мозга с контрастом
Метод ЯМР томографии позволяет исследовать и изучать органы человека, основываясь на насыщенности тканей различной структуры атомами водорода. Также имеют значение и особенности их магнитных свойств. Такую процедуру чаще всего назначают в сложных клинических ситуациях: онкологическим больным, для детального и четкого рассмотрения опухоли и поражённого органа, при демиелинизирующих заболеваниях, при некоторых разновидностях инсультов.
Во время процедуры прослеживается состояние всех отделов головного мозга, а также мозжечок, базальные ядра, желудочки, соотношение серого и белого вещества и другие структурные показатели.
Метод безопасный, так как пациент во время диагностики не подвергается облучению рентгеновскими лучами.
Контрастный препарат вводится в вену при помощи шприца-системы. В течение 10-30 секунд вещество проникает во все сосуды и ткани и посвечивает необходимые для диагностики участки.
Проведение состоит из нескольких этапов:
- Перед тем как ввести препарат, выполняется нативное исследование, без применения контраста;
- После этого пациенту выполняется инъекция с контрастным веществом в необходимом объеме;
- Затем требуется сделать повторный набор программ сканирования.
Большинство пациентов не отмечают каких-либо ухудшений в самочувствии, или побочных эффектов.
Для чего делают МРТ головного мозга с контрастным веществом
МР-контрастные препараты используют для обнаружения новообразований, аутоиммунного воспаления и других патологических изменений. Чаще всего применяют в нейрохирургии и неврологии для возможности более информативного и качественного исследования.
Вещество позволяет визуализировать точные границы, структуру и локализацию опухоли, активность демиелинизирующего процесса, выраженность кровоснабжения области, находящейся под наблюдением МРТ.
Преимущества МРТ головного мозга в том, что сохраняется четкая картина всех структур, даже если ткани находятся на разной глубине, также предоставляет возможность исследовать все участки мозга, которые закрыты черепной коробкой.

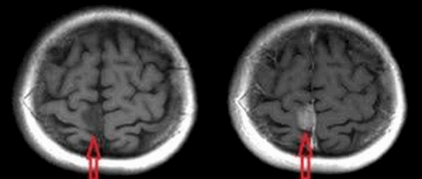
Разница в визуализации при МРТ с контрастным веществом
Что показывает МРТ головного мозга с контрастом
Существует много симптомов нарушений работы мозга, при которых лучше не откладывать визит к специалистам и сделать томографию. Если наблюдается: нетипичное поведения, нарушения движений, общее самочувствие, нередко неврологи или другие клиницисты после осмотра посоветуют сделать МРТ как наиболее показательный диагностический метод. МРТ головного мозга с контрастом назначается тогда, когда постановка диагноза затруднена и требуется дополнительное обследование.
Показания для МРТ:
- опухоли;
- острые васкулярные заболевания нервной системы;
- эпилепсия;
- сильные головные боли;
- рассеянный склероз;
- патология сосудов головного мозга;
- ушибы и травмы черепа и мозга и их последствия.
В результате процедуры можно обнаружить воспалительные процессы с указанием точной их локализации. Также обследования назначается после оперативного вмешательства на головном мозге. МРТ помогает определить, уменьшилась ли опухоль или возник рецидив.
Для четкого и детального снимка, врач назначает ввести специальное вещество, которое поможет подробнее рассмотреть проблему пациента. Стоит отметить, что контрастирующий препарат безопасен для здоровья, т. к. выводится из организма уже в течение 3-4 часов.
К основным преимуществам контрастирования при МРТ головного мозга относятся:
- минимум противопоказаний;
- получение срезов в любой плоскости;
- высокая контрастность и разрешающая способность изображения;
- возможность получить снимки всех структур мозга, перекрытого костной тканью;
- хорошая переносимость препарата.
В этой методике применяют несколько видов вещества, они отличаются по составу и способу применения. Чаще всего врачи назначают контрастное вещество, которое вводится внутривенно и содержит в своем составе редкоземельный парамагнитный металл гадолиний.
Процедура не имеет противопоказания, исключением может быть особенность организма с индивидуальной непереносимостью. В некоторых случаях возможны побочные эффекты: сыпь, поташнивание, легкое головокружение. Осложнения наблюдаются менее чем в одном проценте клинических случаев.

Подготовка к МРТ с контрастом
Подготовка к МРТ головного мозга с контрастом
Перед введением контраста специальной подготовки не требуется, однако специалисты советуют отказаться от плотного приема пищи, независимо от того, какой орган сканируется. Это поможет избежать побочных эффектов в виде тошноты и рвоты.
На время проведения процедуры стоит снимать все изделия из ферромагнитных сплавов. Также требуется удалить любой металл, даже немагнитный, с лица и головы (серьги, цепочки и др.), чтобы избежать появления наводки.
Женщинам рекомендуется очистить лицо от макияжа, поскольку в некоторых красителях содержатся металлические включения, что может привести к искажению изображений.
Вопрос частоты и кратности проведения МРТ зависит в первую очередь от заболевания, по поводу которого это обследование назначено. Стоит решать этот вопрос индивидуально с лечащем врачом, неврологом или нейрохирургом. Процедура МРТ, в независимости от частоты использования, совершенно безопасна и может проводиться так часто, как это необходимо.
Существуют относительные и абсолютные противопоказания. В первом случае, исследование возможно при определенных условиях, во втором - недопустимо.
- кардиостимулятор;
- имплантаты среднего уха;
- металлические протезы тела из ферромагнитных сплавов;
- наличие инсулиновых помп;
- беременность в начальном триместре;
- аппарат Илизарова.
- клаустрофобия;
- психические нарушения у пациента;
- протезы сердечных клапанов;
- брекет-система;
- пациенты до 5 лет.
Обследование выполняется по назначению врача для уточнения диагноза, а также для наблюдения за динамикой лечения. В большинстве случаев, МРТ головного мозга позволяет правильно поставить диагноз и выявить заболевания на начальной стадии.
МРТ головного мозга с контрастом или без
Разница между процедурами — это информативность снимка, ведь применение контраста позволяет детально рассмотреть исследуемый патологический очаг. Стандартное МРТ проводят без усиливающих эффект веществ. Перед обычной процедурой подготовка не происходит.
МРТ с препаратом занимает больше времени в отличие от томографии без усиления, так как после окончания обзонтой томографии требуется еще около 15 минут на выполнение контрастного протокола.
Ощутима разница в цене - стоимость вещества повышает цену сканирования. Требуемое количество лекарства рассчитывается по весу пациента и варьирует в пределах примерно 2500-5000 тысяч рублей.
Вещество совершенно безопасно для организма - учеными доказана малая токсичность гадолиния, который входит в состав препарата. Данный препарат не вызывает аллергическую реакцию и без затруднений выходит из организма. Препарат играет значимую роль в выявлении злокачественных опухолей.
МРТ-исследование головного мозга с контрастированием
Медицинский центр «ДиМагнит» предоставляет услуги по проведению магнитно-резонансной томографии с контрастом и без. МРТ-диагностика проводится на базе современного томографа Philips Intera 1,5 Тесла - система экспертного уровня, которая на сегодняшний день считается лучшей по четкости изображений и скорости работы. Аппарат дает возможность получать максимально точные изображения, что имеет первостепенное значение для постановки диагноза. Кроме того, в клинике регулярно внедряются новейшие разработки, позволяющие предложить пациентам европейский уровень обслуживания.
Диагностику выполняют опытные медицинские специалисты, досконально знакомые с особенностями томографа и принципами проведения процедуры. Каждый клиент может рассчитывать на индивидуальный подход, отсутствие очередей и разумную стоимость услуги. Томография проводится в режиме 24/7.
В цену исследования входят:
- Диагностика;
- Диск, на котором сохраняется изображение.
Консультация диагноста - специалист расшифровывает результаты, сообщает, какие изменения были выявлены, насколько серьезна ситуация, в каком направлении двигаться дальше в случае, если выявлено заболевание.
Читайте также:
- Клиника абсцесса средостения. Пример гнойного медиастино-перкардита
- Биологическая проба при диагностике туберкулеза. Серологические исследования при диагностике туберкулеза.
- Роль эпидемиологического анализа. Методы эпидемиологического анализа.
- Септический шок. Причины и механизмы развития септического шока
- Инкорпорирование полония через дыхательные пути. Морфология почек под действием полония
