Меланоцитарный невус конъюнктивы: признаки, гистология, лечение, прогноз
Добавил пользователь Евгений Кузнецов Обновлено: 31.10.2025
Меланома конъюнктивы развивается, как правило, из пигментных невусов и меланоза. Однако может возникать и de novo. Возрастной диапазон болеющих широк - 20-60 лет. Несколько чаще встречается у женщин в климактерическом возрасте. Меланома конъюнктивы составляет всего 1,6 % от всех некожных форм меланом. Болеют в основном пожилые люди в возрасте старше 60 лет, хотя и у детей это новообразование встречается. Пик заболеваемости составляет 55,6 лет.
Патогенез (что происходит?) во время Меланомы конъюнктивы:
Международная классификация меланомы конъюнктивы по системе TNM
TNM - клиническая классификация
Т - первичная опухоль:
Тх - недостаточно данных для оценки первичной опухоли,
Т0 - первичная опухоль не определяется,
Т1 - опухоль(и) бульбарной конъюнктивы, поражающая не более одного квадранта,
Т2 - опухоль(и) бульбарной конъюнктивы, поражающая более одного квадранта,
Т3 - опухоль(и) конъюктивы свода, конъюктивы века и/или мясца,
Т4 - опухоль распространяется на веко, роговицу и/или орбиту.
Регионарные лимфатические узлы и отдаленные метастаза.
pTNM - патогистологическая классификация
рТ - первичная опухоль:
рТх - недостаточно данных для оценки первичной опухоли
рТ0 - первичная опухоль не определяется,
рТ1 - опухоль(и) бульбарной конъюнктивы, поражающая не более одного квадранта, толщиной до 2 мм,
рТ2 - опухоль(и) бульбарной конъюнктивы, поражающи более одного квадранта, толщиной до 2 мм,
рТЗ - опухоль(и) конъюнктивы свода, конъюнктивы века и/или мясца или опухоль бульбарной конъюнктивы толщиной более 2 мм,
рТ4 - опухоль распространяется на веко, роговицу и/или орбиту.
В настоящее время нет рекомендуемой группировки меланомы конъюнктивы по стадиям.
Опухоль развивается из первичного приобретенного меланоза (75 %) и предсуществующих невусов (20 %) или бывает первичной (5 %). Меланома может локализоваться в любом отделе конъюнктивы, но чаще (до 70 %) - на конъюнктиве глазного яблока. Опухоль может быть пигментированной или беспигментной, последняя длительное время протекает бессимптомно; растет быстро в виде узла или поверхностно; иногда образуются множественные очаги, которые могут сливаться. Поверхность меланомы гладкая, блестящая. При пигментированной форме на границе узла видны радиально расположенные пигментные "дорожки" или россыпь пигмента. Вокруг опухоли формируется сеть расширенных, застойно-полнокровных сосудов. По мере роста меланомы ее поверхность изъязвляется, появляется кровоточивость опухоли. Характерно возникновение сателлитов в результате образования отсевов и контакта с основным опухолевым узлом. Беспигментные отсевы особенно опасны, так как из-за розового цвета врач нередко их не замечает. У половины больных меланома прорастает в роговицу.
Симптомы Меланомы конъюнктивы:
Меланома конъюнктивы чаще возникает в бульбарной конъюнктиве или в области лимба. Характеризуется экзофитным ростом с четкими границами, бугристой или гладкой поверхностью (иногда с изъязвлением) и выраженной сосудистой реакцией в окружающих тканях. Цвет опухоли темный. При развитии меланомы на фоне предракового меланоза выявляются множественные темные опухолевые узлы на пигментированном фоне. По мере роста опухоль прорастает в роговицу, склеру, орбиту. Склонна к лимфогенному и гематогенному метастазированию.
Диагностика Меланомы конъюнктивы:
Диагностика меланомы конъюнктивы снована на данных осмотра, транслюминесценции, УЗИ, радиофосфорной диагностики. Инцизионная биопсия возможна для уточнения диагноза опухоли, если в последующем выполняется энуклеация глазного яблока или экзентерация орбиты.
Лечение Меланомы конъюнктивы:
Прогноз при конъюнктивальной меланоме плохой. При гематогенном метастазировании смертность достигает 22-30 %. При адекватном лечении 5-летняя выживаемость составляет 95 %. Исход лечения во многом зависит от локализации и размеров опухоли. При меланомах толщиной до 1,5 мм прогноз лучше. Если толщина опухоли достигает 2 мм и больше, увеличивается риск возникновения регионарных и дистантных метастазов. Прогноз ухудшается в случае распространения опухоли на слезное мясцо, своды и пальпебральную конъюнктиву. При эпибульбарной меланоме, особенно локализующейся в области лимба, прогноз более благоприятный.
К каким докторам следует обращаться если у Вас Меланома конъюнктивы:
Вас что-то беспокоит? Вы хотите узнать более детальную информацию о Меланомы конъюнктивы, ее причинах, симптомах, методах лечения и профилактики, ходе течения болезни и соблюдении диеты после нее? Или же Вам необходим осмотр? Вы можете записаться на прием к доктору .
Меланоцитарный невус конъюнктивы: признаки, гистология, лечение, прогноз
Национальный центр офтальмологии им. акад. Зарифы Алиевой Минздрава Азербайджанской Республики, Джавадхана ул., 32/15, Баку, Азербайджанская Республика, AZ1114
Национальный центр офтальмологии им. акад. Зарифы Алиевой
Невусы конъюнктивы как риск развития меланомы
Журнал: Вестник офтальмологии. 2016;132(3): 21‑25
Невусы конъюнктивы — наиболее распространенные опухоли данной локализации. Чаще бывают односторонними, однако редко может встречаться и билатеральная локализация невусов конъюнктивы. По клиническому течению невусы подразделяют на стационарные и прогрессирующие, голубой невус и первичный приобретенный меланоз. При беременности и в пубертатном периоде может быть изменение окраски, но если это происходит в постпубертатном периоде, то должна настораживать возможная малигнизация невуса. Гистопатологически невусы состоят из скопления меланоцитов, расположенных в строме, близко к базальному слою. Цель — изучить роль своевременного хирургического вмешательства при невусах конъюнктивы и слезного мясца в профилактике дальнейшего развития меланомы. Материал и методы. С 2009 по 2013 г. были обследованы 52 больных, возраст которых составлял от 2 до 65 лет. Из них 48 пациентов с невусом конъюнктивы и слезного мясца, 1 больная с меланомой слезного мясца, 3 человека с меланомой конъюнктивы. Результаты. Больные со стационарным невусом находятся под динамическим наблюдением. Среди прооперированных пациентов мы не наблюдали ни одного рецидива. Наиболее существенной особенностью меланом является высокая метастатическая активность. Причем метастазы могут быть обнаружены как при диагностике первичного очага, так и спустя годы после установления диагноза. Поэтому все больные с меланомой находятся на пожизненном диспансерном учете. Заключение. Своевременное удаление прогрессирующих невусов конъюнктивы и слезного мясца может предотвратить их малигнизацию и развитие меланом, исход которых может быть крайне неблагоприятным для больного.
Невусы конъюнктивы — наиболее распространенные опухоли данной локализации. Чаще бывают односторонними, однако редко может встречаться и билатеральная локализация невусов конъюнктивы. По клиническому течению невусы подразделяют на стационарные и прогрессирующие, голубой невус и первичный приобретенный меланоз [1]. Обычно располагаются около лимба в интрапальпебральной зоне. Цвет невусов может изменяться от светло- до темно-коричневого, реже бывают беспигментные невусы. Некоторые невусы могут содержать мелкие прозрачные кисты. При беременности и в пубертатном периоде может быть изменение окраски, но если это происходит в постпубертантном периоде, то должна настораживать возможная малигнизация невуса.
Сведения о частоте возникновения меланомы разноречивы. По данным З.Л. Стенько (1971), чуть более 40% меланом конъюнктивы развиваются из предшествующих невусов. F. Jacobiec и соавт. (1989) полагают, что малигнизируется около 20% невусов. По данным J. Shields [13], только 1% невусов конъюнктивы может озлокачествляться. Однако в малигнизации опухолей конъюнктивы большую роль играют ультрафиолетовые лучи. Известно, что Азербайджан — южная страна с повышенной инсоляцией. Поэтому данная патология в этой стране требует к себе настороженного отношения.
К сожалению, мы можем привести примеры того, как невусы перерождались в меланому. Признаками малигнизации невуса являются распыление пигмента, изменение его окраски, появление васкуляризации, распространение на конъюнктиву век, слезное мясцо, область лимба [1, 2].
Гистопатологически невусы состоят из скопления меланоцитов, расположенных в строме, близко к базальному слою [3]. Наиболее рациональным является тотальная эксцизия невуса, если обнаруживается тесный контакт с подлежащей сферой, возможно удаление вместе с тонким верхним слоем склеры [4].
Цель исследования — изучить роль своевременного хирургического лечения невусов конъюнктивы и слезного мясца в профилактике дальнейшего развития меланомы.
Материал и методы
С 2009 по 2013 г. нами обследованы 52 пациента с пигментными опухолями конъюнктивы. Возраст больных составлял от 2 до 65 лет. Из них 48 пациентов имели невус конъюнктивы и слезного мясца, 1 больная — меланому слезного мясца, 3 человека — меланому конъюнктивы.
Из 48 больных 16 имели прогрессирующий невус конъюнктивы, 5 — невус слезного мясца, 27 — стационарный невус (рис. 1).

Рис. 1. Соотношение встречаемости невусов конъюнктивы и слезного мясца.
Всем больным проведено общее офтальмологическое обследование, включающее визометрию (знаковый проектор Huvits, CCP-3100, Koрея), тонометрию (пневмотонометр TOMEY FT-1000, Япония), биомикроскопию (щелевая лампа TOMEY TSL-5000, Япония), офтальмоскопию (фундус-линза 78 дптр OCULYAR, США), а также B-скан, оптическую когерентную томографию (ОКТ) переднего отдела глаза. При исследовании прицельно изучали структуру самого образования, обращали внимание на цвет, контуры, характер границ опухоли, характеристику поверхности, наличие пигмента и его распыления, состояние окружающих тканей и лимба при локализации образования в непосредственной близости от него, наличие распространения на роговицу (рис. 2). Образования измеряли с помощью обычной линейки. Традиционно оценивали минимальный и максимальный диаметры основания образования. Ультразвуковую биомикроскопию использовали у пациентов с новообразованиями конъюнктивы с целью определения толщины опухоли, получения полной характеристики ее структуры, информации о состоянии подлежащих тканей. Исследование проводили при помощи ультразвукового аппарата фирмы «TOSHIBA» Nemo XG SSA-580A. Использовали датчик с частотой 8 мГц. ОКТ применяли у больных с опухолями конъюнктивы, распространяющимися на роговицу, с целью определения глубины поражения роговицы (рис. 3). Исследование проводили на приборе Visante OCT («Carl Zeiss», Германия).

Рис. 2. Прогрессирующий невус конъюнктивы.

Рис. 3. Оптическая когерентная томограмма переднего отрезка глаза с меланомой конъюнктивы с распространением на роговицу.
Цитологическое исследование проводили всем пациентам при подозрении на злокачественные опухоли конъюнктивы. Материал для цитологического исследования получали путем мазка-отпечатка с разных участков поверхности опухоли на обезжиренное предметное стекло. В качестве красителей использовали гематоксилин и эозин.
Гистологические исследования операционного материала выполнены всем пациентам, которым проводили хирургическое иссечение опухолей придаточного аппарата. Исследовали количество митозов, степень лимфоцитарной инфильтрации, митотическую активность, содержание пигмента, а также определяли, какие структуры поражены опухолью (макроскопически и гистологически), степень терапевтического патоморфоза и отстояние опухолевых клеток от краев резекции.
В случае подозрения на меланому конъюнктивы, дающую дистантные и отдаленные метастазы, больному проводили специальное онкологическое обследование, позволяющее выявить стадию онкологического процесса и выбрать верную тактику ведения лечения.
С этой целью использовали рентгенографию, компьютерную томографию, ядерно-магнитную томографию, ультразвуковые методы исследования. Рентгенографию грудной клетки проводили с целью выявления метастазов в легких.
Ультразвуковое исследование (УЗИ) было использовано для скрининга дистантных метастазов органов брюшной полости. Этот метод не имеет лучевой нагрузки, более доступен, поэтому успешно применялся.
Эксцизия опухоли в пределах здоровой ткани с использованием микрохирургической техники с пластикой конъюнктивы проведена 12 пациентам с прогрессирующим невусом. У 1 пациента 6 лет была инвазия в верхние слои склеры, в связи с чем выполнена поверхностная склерэктомия, 4 человека отказались от оперативного вмешательства, 2 из них находятся под наблюдением. Были прооперированы 4 больных с невусом слезного мясца, 1 больной также отказался от операции. Хирургическое лечение было выполнено 3 пациентам с меланомой конъюнктивы. При ее удалении интраоперационно использовали 0,04% раствор митомицина. В ходе операции проводили отграничительную коагуляцию образования, отступив 3—4 мм от его видимых границ, с последующим его иссечением по наружной границе коагуляционного вала. После этого ложе подлежало дополнительной коагуляции. Пластику дефекта конъюнктивы проводили путем перемещения местных тканей, накладывая необходимое количество швов (викрил 8−0). В качестве адъювантной терапии использовали интерферон α-2β (рис. 4). Один пациент с меланомой слезного мясца был отправлен на лечение за рубеж (рис. 5).

Рис. 4. Фотография пациента с меланомой. а — до операции; б — после операции.

Рис. 5. Фотография пациента с меланомой слезного мясца.
Результаты и обсуждение
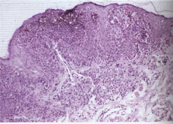
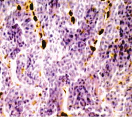
Больные со стационарным невусом находились под наблюдением, за время которого у одного больного появились признаки прогрессирования образования, а именно увеличение его размеров, покраснение, утолщение и некоторое усиление интенсивности окраски. Распыления пигмента не наблюдали. Как и другим больным с прогрессирующим невусом, ему была проведена операция удаления опухоли. За 5 лет наблюдения среди прооперированных пациентов мы не наблюдали ни одного рецидива. В первые недели послеоперационного периода наблюдалась гиперемия с формированием нежного конъюнктивального рубца. Изменений рефракции у больных также не отмечалось. Диагноз больных с невусом, с меланомой конъюнктивы во всех случаях был гистологически верифицирован. В гистопрепаратах невусов были обнаружены пролиферирующие меланоциты, которые формировали клеточные гнезда в базальном слое конъюнктивального эпителия (рис. 6). В препаратах удаленных меланом присутствовали веретеноклеточные, полигональные клетки, ограниченные эпителием конъюнктивы (рис. 7). Края резекции опухоли во всех препаратах интактны. В послеоперационном периоде больные на протяжении 5 нед получали интерферон α2-β в виде субконъюнктивальных инъекций 1 раз в неделю, а также в виде ежедневных трехкратных инстилляций. Препарат применяли с целью усиления местного клеточного иммунитета. В результате у 2 больных наблюдали кратковременное повышение температуры и общее недомогание, которое легко устранялось применением пероральных противовоспалительных нестероидных препаратов. Больным с меланомой на протяжении одного года после операции каждые 3 мес обязательно проводили УЗИ внутренних органов, исследование содержания ферментов печени в крови с целью своевременного выявления возможных метастазов, а также рентгенографию легких 1 раз в 6 мес. На протяжении последующих 4 лет больные были переведены на диспансерный учет 1 раз в 6 мес. Нужно отметить, что эти пациенты находятся на диспансерном учете пожизненно. За время наблюдения, который составил 4 года, мы не отмечали у них рецидивов или отдаленных метастазов. Рецидив невуса наступает при неполном его удалении. Гистологические исследования показали, что остающиеся невусные клетки индуцируют пролиферацию дендритических меланоцитов с образованием типичных невусных гнезд [5, 6]. Прогностически важными факторами для меланомы являются локализация опухоли, толщина опухоли, глубина инвазии меланомой подконъюнктивального слоя или слезного мясца, высокая митотическая активность, отсутствие лимфоидной инфильтрации, редкая встречаемость мелких полигональных клеток [7, 8]. Более благоприятное течение заболевания отмечается при локализации меланомы в области лимба [9]. Отсутствие рецидивов у наших больных объясняется радикальным удалением опухоли, что было подтверждено гистологически [10]. Локализация опухоли только на бульбарной конъюнктиве и в области лимба, отсутствие распространения на склеру и своды также улучшили витальный прогноз [11]. Злокачественная меланома чаще возникает у взрослых и пожилых. Меланома может возникнуть de novo или на фоне предшествующего меланоза или невуса. Особо опасными в этом отношении являются прогрессирующий невус и первичный приобретенный невус с грубой атипией мелких веретенообразных или эпителиоидных клеток. Из невуса меланома возникает в 20—30% случаев [12]. Злокачественных вариантов голубого невуса в литературе не описано [1]. Важным моментом в ходе наших наблюдений является то, что все 3 больных с меланомой конъюнктивы и 1 больная с меланомой слезного мясца в анамнезе отмечали в глазу «родинку», которая долгие годы их не беспокоила. Известно, что меланомы слезного мясца отличаются крайне высокой злокачественностью [13]. Поэтому его банальное удаление даже в пределах здоровой ткани может закончиться тяжелыми последствиями для больного. Методом лечения меланом слезного мясца является экзентерация или протонотерапия [14]. Учитывая высокую остроту зрения, отсутствие распространения в орбиту, больной была предложена протонотерапия, для проведения которой она была направлена в НИИ глазных болезней им. Гельмгольца в Москве. Наиболее существенной особенностью меланом является высокая метастатическая активность [8, 14]. Причем они могут быть обнаружены как при диагностике первичного очага, так и спустя годы после установления диагноза. Поэтому все больные с меланомой находятся на пожизненном диспансерном учете.

Рис. 6. Гистопрепарат невуса конъюнктивы.

Рис. 7. Гистопрепарат меланомы конъюнктивы.
Выводы
1. Невусы из-за риска развития меланомы могут представлять серьезную онкологическую угрозу.
2. Количество солнечных дней в Азербайджане и большая занятость людей в сельском хозяйстве (продолжительность пребывания на солнце) повышают риск малигнизации невусов. Поэтому они должны быть под наблюдением врача.
3. При изменении окраски, размеров, появлении воспалительных изменений невус должен быть удален. Удаление должно осуществляться в пределах здоровых тканей, если имеет место инвазия в нижележащие ткани, то удалению должны подвергаться также и верхние слои склеры.
4. Своевременное удаление прогрессирующих невусов конъюнктивы и слезного мясца может предотвратить их малигнизацию и развитие меланом, исход которых может быть крайне неблагоприятным для больного.
Врождённый меланоцитарный невус - симптомы и лечение
Что такое врождённый меланоцитарный невус? Причины возникновения, диагностику и методы лечения разберем в статье доктора Вавилова Артема Сергеевича, детского хирурга со стажем в 7 лет.
Над статьей доктора Вавилова Артема Сергеевича работали литературный редактор Вера Васина , научный редактор Владимир Горский и шеф-редактор Маргарита Тихонова

Определение болезни. Причины заболевания
Врождённый меланоцитарный невус (Congenital melanocytic naevus) — это доброкачественное разрастание невусных клеток на коже. Развивается внутриутробно или в первые месяцы жизни [51] .
Если невус появился позже, но до двухлетнего возраста, его называют поздним врождённым невусом [32] .

Невусные клетки — это разновидность меланоцитов, которые отличаются от обычных пигментных клеток кожи двумя свойствами:
- клетки невуса группируются, а меланоциты распределяются в коже равномерно;
- у невусных клеток (за исключением синих невусов) нет дендритных отростков, по которым в обычных меланоцитах перемещается меланин — так он распределяется в коже и окрашивает её [36] .
Распространённость
Врождённые меланоцитарные невусы встречаются у 1-3 % детей, крупные или гигантские — примерно у одного из 20-50 тыс. новорождённых [1] [2] [51] .
Причины появления невусов
Причины появления врождённых меланоцитарных невусов до конца не изучены. Предполагается, что они образуются из-за морфологических нарушений в нейроэктодерме — эмбриональном зачатке, из которого развивается нервная трубка. Эти нарушения приводят к бесконтрольному росту меланобластов, которые в дальнейшем преобразуются в невусные клетки [39] .
При обнаружении схожих симптомов проконсультируйтесь у врача. Не занимайтесь самолечением - это опасно для вашего здоровья!
Симптомы врождённого меланоцитарного невуса
Невусы обычно маленького или среднего размера, но могут достигать и 60 см в диаметре. Их цвет варьирует от жёлто-коричневого до чёрного, границы неоднородные. Для невусов характерен «географический» контур, т. е. их форма напоминает материки на карте.

Чаще они единичные, могут возникать на любых участках кожи. На многих врождённых невусах растут густые тёмные и жёсткие волосы.

Большие и гигантские образования часто окружены более мелкими — сателлитными невусами, или невусами-спутниками.
Обычно невусы какими-либо симптомами, кроме внешнего дефекта, не проявляются, но иногда может возникать зуд. Предполагается, что он связан с раздражением нервных волокон, по которым импульсы от кожи передаются в центральную нервную систему.
К особенностям меланоцитарных невусов относится пигментная сеть, очаги ослабления окраски и сгущения рисунка, глобулы и/или диффузная коричневая пигментация. Глобулами называют округлые включения с чёткими границами коричневого, серо-коричневого, чёрного и других цветов, за исключением красного.

В отличие от приобретённых, врождённые невусы глубже проникают в дерму и подкожные ткани, что может приводить к серьёзным осложнениям [5] .
Патогенез врождённого меланоцитарного невуса
Врождённые меланоцитарные невусы развиваются между 5-й и 24-й неделями беременности. Считается, что они образуются из-за ускоренного роста меланоцитарных клеток. Чем раньше начинается этот процесс, тем больше и глубже будет невус [40] .
Врождённые невусы растут пропорционально развитию ребёнка, поэтому можно спрогнозировать, какого размера они достигнут к взрослому возрасту.
Рост невусов зависит от их расположения:
- на голове — увеличиваются в 1,7 раза;
- на туловище и руках — в 2,8 раза;
- на ногах — в 3,3 раза [7] .

Быстрее всего невусы растут в первый год жизни ребёнка [8] . Помимо размера, у них меняется цвет и форма: изначально невусы плоские и равномерно окрашенные, но со временем приподнимаются над кожей, их поверхность становится похожа на гальку или приобретает бородавчатую структуру; они могут стать темнее или светлее, пятнистыми или в крапинку [9] .
Невусы часто травмируются, что снижает защитные свойства кожи. Кроме того, при развитии осложнений, например нейрокожного меланоза, может нарушаться работа других органов.
Классификация и стадии развития врождённого меланоцитарного невуса
Врождённые меланоцитарные невусы классифицируют в зависимости от диаметра, которого они могут достигнуть к зрелому возрасту пациента.
Выделяют четыре группы невусов:

Для новорождённых большими считаются невусы от 9 см на голове и больше 6 см на теле.
Также невусы классифицируют по количеству окружающих их мелких образований (satellite — спутник, сателлитных невусов):
Осложнения врождённого меланоцитарного невуса
Врождённые невусы могут осложняться меланомой, нейрокожным меланозом и другими более редкими болезнями.
Меланома
Меланома — это раковая опухоль кожи, которая возникает из меланоцитов. На злокачественное перерождение невуса указывают его быстрый рост, изменение окраски, изъязвление, растрескивание, шелушение, зуд, боль, кровотечение, появление узелков, бляшек и неподвижность тканей, которая возникает из-за прорастания невуса в более глубокие слои кожи.
Меланома чаще возникает у пациентов с гигантскими невусами на спине и многочисленными невусами-спутниками. Реже она развивается при невусах, расположенных на голове, руках и ногах.
К факторам риска развития меланомы относятся:
- наличие множественных атипичных невусов и меланома у членов семьи;
- пигментная ксеродерма (повышенная чувствительность кожи к ультрафиолету);
- большие и гигантские невусы;
- множественные приобретённые пигментные и атипичные невусы;
- сниженный иммунитет [28][29] .
Риск развития рака при малых и средних врождённых невусах составляет менее 1 % в течение всей жизни, при больших и гигантских — 2-5 % [3] [10] [11] .
Американские исследователи изучили, как часто развивается меланома при гигантских врождённых невусах: из 289 пациентов она возникла у 67.
- в 50,7 % — на невусах;
- в 3 % — на нормальных участках кожи;
- в 31,3 % — в центральной нервной системе.
В 15 % меланома была метастазами опухоли из неустановленного первичного очага. Около половины меланом выявили у детей младше 5 лет [41] .
При больших и гигантских невусах меланома может развиваться под эпидермисом (из-за чего её трудно обнаружить на ранних сроках), поэтому важно прощупывать (пальпировать) всю поверхность невуса.
Нейрокожный меланоз
В редких случаях развивается нейрокожный меланоз — заболевание, при котором меланоциты разрастаются в центральной нервной системе. К таким нарушениям может приводить мутация гена BRAF [50] .

Факторы риска развития нейрокожного меланоза:
- гигантский невус на спине (более 40 см);
- множественные невусы-спутники — чем их больше, тем выше риск;
- более двух средних невусов, особенно если помимо них много других невусов.
Болезнь тяжелее переносят дети младше 10 лет.
В исследовании американских учёных меланоз диагностировали у 26 из 379 пациентов с большими врождёнными невусами [12] . Заболевание может протекать без симптомов и случайно выявляться при МРТ, но в некоторых случаях оно сопровождается неврологическими нарушениями:
- головной болью, вялостью и рвотой;
- отёком диска зрительного нерва;
- параличом черепно-мозговых нервов и судорогами;
- увеличением окружности головы;
- нарушением координации;
- задержкой или недержанием мочи и кала.
Неврологические симптомы могут развиться из-за кровоизлияния в желудочки головного мозга, нарушения циркуляции спинномозговой жидкости, сдавления спинного мозга или злокачественного перерождения меланоцитов [3] [14] .
Симптомы появляются примерно в двухлетнем возрасте. Прогноз чаще неблагоприятный, даже если нет злокачественных новообразований [15] . В одном обзоре были изучены 39 случаев симптоматического нейрокожного меланоза: более половины пациентов погибли в течение трёх лет после появления неврологических нарушений [34] .
Другие осложнения
В очень редких случаях при больших невусах могут развиться рабдомиосаркома, липосаркома и злокачественные опухоли оболочек периферических нервов [20] .
Диагностика врождённого меланоцитарного невуса
Пациентам с малыми и средними невусами нужно раз в год посещать врача. Регулярное наблюдение поможет оценить, насколько изменился размер невуса и его структура. Для этого сравнивают фотографии или данные дерматоскопии.

Невусы чаще перерождаются в злокачественную опухоль после полового созревания, поэтому следует более тщательно наблюдать за кожей в этот период. Пациентам и их родителям нужно обращать внимание на изменение цвета невуса, его границ и структуры, следить за появлением новых образований.
Диагностика среднего, большого или гигантского невуса обычно не вызывает трудностей и основывается на клинических проявлениях и истории болезни. Если анамнез неизвестен, небольшие врождённые невусы легко спутать с приобретёнными.
Отличия можно выявить при биопсии: клетки невуса расположены глубоко в дерме, подкожном жире и сосудисто-нервных структурах, например в стенках кровеносных сосудов, могут проникать между пучками коллагена и встречаться под эпидермисом. Биопсия проводится при подозрении на злокачественное перерождение невуса [5] [37] [38] .
Исследовательский комитет Nevus Outreach разработал диагностическую модель для детей с врождёнными невусами (от 3 см) или невусами-спутниками (от 20 невусов). Методика создана ведущими экспертами в этой области, но она не заменит рекомендаций лечащего врача, так как не учитывает индивидуальные особенности пациента и течение болезни.
План обследования:
- МРТ головного и спинного мозга с контрастированием гадолинием и дальнейшая оценка результатов в экспертном центре.
- Консультации детских врачей:
- офтальмолога — поскольку меланоцитарные поражения могут развиваться на сетчатке;
- невролога — чтобы выявить или исключить симптомы нейрокожного меланоза;
- дерматолога — оценить состояние кожи и её изменения;
- пластического хирурга — определить, нужна ли операция.
- аудиологический скрининг при подозрении на нейрокожный меланоз, так как при болезни нарушается слух;
- консультация детского психолога (даже при бессимптомном течении) [48] .

МРТ головного и спинного мозга с контрастированием гадолинием обязательна для детей с высоким риском меланоза и неврологическими симптомами. В некоторых исследованиях при высоком риске меланоза рекомендовано делать МРТ в первые полгода жизни, даже если нет неврологических симптомов [15] .
Если большой невус расположен вдоль позвоночника или его окружают многочисленные невусы-спутники, МРТ проводят до четырёхмесячного возраста [35] .
Дифференциальная диагностика
Средние и большие врождённые невусы следует отличать от плексиформной нейрофибромы, а малые — от гамартомы гладких мышц и мастоцитомы.
Лечение врождённого меланоцитарного невуса
При врождённых невусах применяется хирургическое и медикаментозное лечение, лазерная терапия и другие методы.
Хирургическое лечение
Большие невусы рекомендуется удалять в раннем детстве — это поможет избежать эмоциональных и поведенческих нарушений у ребёнка. Такие дети из-за внешних отличий могут считать себя хуже других и избегать сверстников. Кроме того, они могут столкнуться с травлей со стороны других детей.
Однако не все невусы можно полностью удалить. Если они занимают большую площадь и дефект нельзя закрыть здоровыми тканями, то операция не проводится, либо участки невуса иссекаются частично.
Объём операции зависит от расположения невуса и глубины поражения. Её необходимость при больших и гигантских невусах считается спорной. Многие специалисты предлагают удалять наиболее неоднородные, толстые или грубые участки невуса, которые затрудняют клиническое наблюдение [45] [46] . Зачастую оптимальный выбор — это тщательно наблюдать за невусом, не проводя операцию.
Единственное абсолютное показание для хирургического лечения — это развитие злокачественной опухоли в очаге поражения. Но даже при полном иссечении больших и гигантских невусов риск онкологии сохраняется, так как меланоциты могут проникать в глубоколежащие ткани: мышцы, кости и нервную систему.
После операции могут возникать следующие осложнения: контрактуры, серомы, гематомы, инфекции мягких тканей, ишемия кожных лоскутов, расхождение швов и образование келоидных рубцов. Гематомы, серомы и ишемия лоскутов появляются сразу после операции, келоидные рубцы формируются позже, в среднем в течение первого года.
Другие методы лечения
Внешний дефект можно уменьшить с помощью кюретажа, дермабразии и лазерной терапии. Методы более эффективны в раннем детстве, поскольку невусные клетки у ребёнка расположены в верхних слоях кожи [21] [22] . После процедур эти клетки остаются в дерме и со временем пигментация частично возвращается. В некоторых случаях на таких участках развивается меланома, но связь с проведённым лечением не доказана [23] [24] [25] [26] [27] .
Противопоказания для данных процедур индивидуальны. Как правило к ним относятся местные нарушения: изъязвление, растрескивание, шелушение, узелки, неподвижность тканей и кровотечение.
Медицинские осмотры после операции
Независимо от проведённого лечения, пациентам с большими врождёнными невусами нужно раз в год проходить медицинский и дерматологический осмотр. Также необходимо проводить пальпацию невуса и рубцов, возникших после его удаления. Если обнаружены узелки или другие подозрительные уплотнения, показано гистологическое исследование, т. е. изучение образцов ткани.
Прогноз. Профилактика
При врождённных невусах может возникать сильная боль и зуд, сухость кожи и недостаточное потоотделение. Косметический дефект может привести к социальной дезадаптации.
Прогноз наиболее благоприятен, если нет факторов риска меланоза: гигантских невусов на спине, многочисленных невусов-спутников, более двух средних невусов.
Если в гигантском врождённом меланоцитарном невусе возникла меланома, то прогноз неблагоприятный [42] . Меланома растёт в дерме, поэтому её трудно обнаружить. Кроме того, клетки опухоли могут распространяться через крупные кровеносные и лимфатические сосуды, из-за чего достаточно быстро появляются метастазы [42] .
Прогноз при нейрокожном меланозе с неврологическими нарушениями тоже неблагоприятный: более половины детей погибают в течение трёх лет после появления симптомов и 70 % — до 10-летнего возраста [18] [34] [43] .
Профилактика врождённого меланоцитарного невуса
Специфической профилактики врождённых невусов не существует. Будущим родителям рекомендуется соблюдать общие правила здорового образа жизни: не курить и не пить алкоголь, полноценно питаться, по возможности не находиться в неблагоприятных экологических зонах.
При планировании и во время беременности женщинам нужно придерживаться рекомендаций Всемирной организации здравоохранения:
- предупреждать возникновение инфекционных заболеваний;
- устранять очаги хронической и острой инфекции до наступления беременности;
- во время беременности не допускать воздействия опасных веществ — солей тяжёлых металлов, пестицидов и др. [47]
Чтобы своевременно выявить злокачественное перерождение невуса, нужно регулярно посещать дерматолога или онколога и проходить дерматоскопическое обследование. Особенно пристально следует наблюдать за большими и гигантскими образованиями. Посещать доктора нужно, даже если невус уже удалён.
Детям с высоким риском развития нейрокожного меланоза необходимо находиться под постоянным наблюдением: им регулярно измеряют окружность головы, проводят неврологическое обследование и оценивают уровень развития [3] [12] [13] .
Меланома - симптомы и лечение
Что такое меланома? Причины возникновения, диагностику и методы лечения разберем в статье доктора Беляниной Елены Олеговны, онколога со стажем в 25 лет.
Над статьей доктора Беляниной Елены Олеговны работали литературный редактор Маргарита Тихонова , научный редактор Сергей Федосов и шеф-редактор Лада Родчанина

Меланома (от греч. melanos - "чёрный", "тёмный") — это злокачественная опухоль, развивающаяся из меланоцитов (клеток, синтезирующих меланин). Чаще всего она образуется из кожных меланоцитов, то есть располагается на коже. В 7% случаев меланома локализуется на сетчатке глаза и в 1-3% случаев — на слизистых оболочках прямой кишки, полости рта, оболочках головного и спинного мозга. [1] [2]

Эта болезнь — одна из наиболее злокачественных опухолей, которая часто метастазирует в разные органы.
Заболеваемость меланомой продолжает увеличиваться. По росту смертности эта патология занимает второе место после рака лёгкого. [3]
В настоящее время и звестно значительное количество факторов, которые повышают вероятность заболевания меланомой. Ни один из них не может быть признан главным или обязательным дл я возникновения заболевания. Однако современные исследования чётко установили, что основная причина меланомы — воздействие ультрафиолетовых лучей естественного солнечного света (а также излучения солярия) на кожу человека. [1] [4]
Другие факторы риска развития меланомы:
- светлая кожа (склонность к солнечным ожогам, светлые или рыжие волосы, голубой цвет глаз);
- большое количество невусов (родинок), в том числе наличие атипичных;
- меланома в личном анамензе, а также наличие меланомы у кровных родственников;
- солнечные ожоги с образованием пузырей, наличие солнечных ожогов в детстве;
- существование врождённого невуса (риск возрастает пропорционально увеличению его размера).
Особенности меланомы у детей
У детей меланома бывает редко. Однако беспигментная меланома у детей может выглядеть как обычная бородавка. Также часто встречается разновидность невусов — невус Шпитц (резко очерченная куполообразная розовато-красная папулу или бляшку), который также не всегда можно отличить от меланомы. Для уточнения необходимо наблюдение и цифровая дерматоскопия.
Симптомы меланомы
Первые признаки меланомы — появление на коже образования, непохожего на остальные по размеру, цвету и форме.
Меланома отличается от родинки следующими признаками: образование асимметричное по цвету и структуре, его края неправильные и зубчатые, оттенки в пределах одного образования отличаются, размер образования более 4 мм. С течением времени меланома изменяется по одному или нескольким ранее перечисленным критериям.
При обследовании важно учитывать, насколько пигментное образование отличается от остальных. Выявление "гадкого утёнка" среди родинок является причиной его более детального осмотра.
Клиническая картина меланомы достаточна разнообразна. Внешне она может представлять собой как незначительное пигментное пятно, так и узловое образование с изъязвлением. Цвет варьируется от светло-коричневого до чёрного.

Зачастую меланома возникает у взрослых, но иногда встречаются случаи врождённой формы заболевания. В детском возрасте меланома развивается редко.
Меланома локализуется на любых участках кожи, в том числе и на ногтевой ложе.

Различают четыре основных типа меланомы в зависимости от клинической картины, течения заболевания, анатомического расположения и гистологических параметров.
1. Поверхностно-распространяющаяся меланома встречается в 65-75% случаев. Для неё характерно длительное течение. Сначала это пятно коричневого цвета, которое постепенно растёт и становится асимметричным по структуре и цвету (появляются вкрапления тёмно-коричневого, чёрного и розового цвета). При переходе в вертикальную фазу роста на пятне появляется утолщение — бляшка. Наиболее часто встречаемая локализация у мужчин — на спине, а у женщин — преимущественно на нижних конечностях.

2. Лентиго-меланома представлена в виде пятна неправильной формы и окраски. Она развивается у лиц пожилого возраста. Чаще всего локализуется на лице, шее и тыле конечностей. Лентиго-меланома растёт на фоне длительно существующего злокачественного лентиго (предракового меланоза Дюбрейля). При инвазии клеток меланомы за пределы эпидермиса на пятне появляются возвышающиеся участки.

3. Узловая меланома представлена выступающим над поверхностью кожи образованием тёмно-коричневого или чёрного цвета. Часто эти образования симметричны и не вызывают подозрений. Однако, как правило, такая меланома характеризуется быстрым ростом и плотные на ощупь. С ростом опухоли она может изъязвляться. Чаще всего располагается на спине, голове и шее.

4. Во всех формах возможны беспигментные варианты (около 2%). Беспигментная (амеланотическая) меланома достаточно сложна для диагностики, так как сначала выглядит как безвредная розово-красная папула.

Поздние симптомы меланомы. Появление метастазов
Признаки метастазов зависят от того, в каком органе они появились:
- головной мозг — головные боли, неврологические симптомы (нарушение чувствительности к теплу, боли, расстройства памяти, координации и подвижности и т. п.);
- кости — боли в спине;
- лимфатические узлы — их увеличение и болезненность;
- на коже вблизи первичного очага — одновременное появление множества чёрных образований.
Патогенез меланомы
Патогенез меланомы, как и всех злокачественных опухолей, весьма сложный. Результат воздействия ультрафиолета на кожу человека (лучей А и В, длиной 280-340 нм) зависит от многих факторов, включающих дозу облучения и индивидуальный ответ организма (особенности иммунного ответа и генетическую предрасположенность).

Ультрафиолетовое облучение вызывает:
- фотохимические реакции;
- повреждение молекулы ДНК (иногда повреждение восстанавливается);
- мутации (когда повреждение ДНК "не лечится" организмом);
- иммунные нарушения.
Образование пиримидиновых димеров (т. е. дефектов ДНК) под действием УФО — основная причина мутаций. [5]
Роль диспластических невусов в развитии меланомы недостаточно ясна. Проводимые исследования пока не ответили на вопрос, являются ли эти образования предраковым состояниям, или развитие меланомы в их зоне является статистически случайным событием.
По данным многочисленных гистологических исследований, около 30% меланом развиваются в области меланоцитарных невусов , остальные 70% развиваются на неизменённой коже. [6] [7] [8]

Таким образом, по имеющимся данным, на фоне невусов развивается небольшой процент всех случаев злокачественной меланомы. [4]
Атипичные невусы в первую очередь являются важными маркерами повышенного риска меланомы. При этом профилактическое удаление таких невусов нецелесообразно (они не являются 100% предшественником меланомы)
Пациенты с диспластическими невусами представляют собой группу повышенного риска и должны находиться под постоянным врачебным наблюдением.
В 7-15% всех случаев меланома является наследственной патологией. При этом обнаруживаются мутации в генах-супрессорах опухолевого роста.
Классификация и стадии развития меланомы
Стадию опухолевого процесса меланомы определяют в соответствии с классификацией TNM. Она зависит от толщины первичной опухоли, а также наличия или отсутствия регионарных и/или отдалённых метастазов.
Для определения стадии меланомы необходимо гистологическое исследование. Оценку состояния лимфоузлов для установления стадии выполняют при помощи клинического осмотра и ультразвукового исследования.
Критерий Т говорит о распространённости первичной опухоли (для классификации по этому критерию необходимо удалить первичную опухоль и провести её гистологическое исследование):
- pТis — первичная (неинвазивная) меланома (I уровень инвазии);
- pТ1 — толщина опухоли ≤ 1 мм:
○ pТ1а — II уровень прорастания опухоли в соседние ткани или III уровень без изъязвления опухоли;
○ pТ1b — IV или V уровень прорастания опухоли в соседние ткани или присутствие её изъязвления;
○ pТ2а — без изъязвления опухоли;
○ pТ2b — с изъязвлением;
○ pТ3а — без изъязвления;
○ pТ3b — с изъязвлением;
○ pТ4а — без изъязвления;
○ pТ4b — с изъязвлением.

Критерий N говорит о существовании или отсутствии метастазов в регионарных лимфоузлах :
Причины и лечение меланоза конъюнктивы
Новообразование на глазном яблоке с повышенной пигментацией носит название меланоз конъюнктивы. Может иметь врожденный и приобретенный характер. Главным клиническим симптомом считается появление на конъюнктиве образований яркого окраса. В результате чего развивается воспалительный процесс. Патология не поддается консервативному лечению и предусматривает хирургический метод удаления.

Меланоз относится к доброкачественным опухолям, но для него характерно стремительное развитие, в результате чего, появляется риск злокачественного процесса.
Причины недуга
Этиология процесса до сих целиком не изучена. Ученные утверждают, что в группу риска попадают мужчины в возрасте 60 лет, хотя у маленьких детей часто определяются признаки заболевания врожденной формы. Точные причины образования опухоли конъюнктивы изучаются отдельно в каждом случае. Процесс пигментации активизируется при повышенном влиянии солнца. Именно поэтому меланоз более характерен для представителей цветных рас. При изучении вопроса специалисты больше ориентируются на внутренние факторы воздействия, а именно:
- генетическая предрасположенность;
- эндокринные нарушения;
- адренокортикальная недостаточность надпочечников;
- патологии соединительной ткани.
Классификация
Жировая ткань быстро разрастается.

Меланоз представляет собой офтальмологическую патологию, при которой наблюдается новообразование. Оно может подвергать оба глаза или только один. В зависимости от характера проявлений рассматривают несколько видов меланоза. Также рассматривают первичную и вторичную форму недуга. Но, стоит упомянуть, что все разновидности имеют доброкачественный характер. Классификация меланоза конъюнктивы:
- Дермоид. Врожденный тип меланоза, появляется в первые месяцы жизни, образуется возле лимба. Представляет собой плотную соединительную ткань, при развитии, может достигнуть роговицы.
- Липодермоид. В состав входит жир, поэтому наблюдается активный рост. Размещается на нижнем своде оболочки. На фоне активизации появляется папиллома конъюнктивы. Представляет собой узелки, которые кровоточат при контакте.
- Эпителиома. Плотная, плоская бляшка, размещающаяся центрично, в редких случаях достигает конъюнктивы.
- Гемангиома. Представляет собой пятна в местах разрыва капилляров, наблюдается чаще всего во внутренней стороне глаза.
- Лимфагиома. Крайне опасное образование, наполненное серозной жидкостью и кровью. Способное проникать в глубокие ткани глазного яблока.
- Невус. Пятно насыщенной пигментации, плотной консистенции. Прогрессирующая форма достигает полной площади конъюнктивы.
Как распознать?

Пятно имеет насыщенный цвет.
Симптоматика меланоза зависит в первую очередь от вида заболеваниями, но неизменным признаком является появление новообразований на конъюнктиве глаза. Определить точную клиническую картину сможет врач после осмотра. Для опухолей характерно размещение на сводах, и склере, при прогрессирующих формах нарост заметно увеличивается в размерах в короткие сроки. Офтальмолог распознает недуг по таким признакам:
- появление пятен различного окраса и размера;
- гладкая структура новообразования;
- интенсивность окраса;
- в большинстве случаев безболезненность протекания.
Способы диагностики
Меланоз влияет на функционирование глаза и при обширных масштабах может вызывать проблемы со зрением. Поэтому необходима срочная диагностика. Офтальмолог определяет наличие пятна с помощью осмотра. Однако, суть диагностики в том, чтобы отличить меланоз от меланомы, более опасного заболевания, злокачественного характера. Для этого применяется изотропное и люминесцентное исследование. Такой диагноз проводится только в специальной лаборатории. Если у человека обнаружены следы меланоза, очень важно проводит диагностику регулярно и наблюдать за состоянием опухоли в динамике. Для недуга характерен быстрый рост и перерождение в другие формы патологии. Поэтому пациенты становятся на учет и должны наблюдаться два раза в год.
Как лечить?

Положительную динамику выздоровления наблюдают при своевременном лечении.
Врожденные типы заболевания не требуют специализированной терапии, они не развиваются и не приводят к дисфункции органов зрения. Такие формы исчезают самостоятельно на протяжении первых годов жизни. Таким пациентам рекомендуется следить за состоянием образования, не поддавать глаза обильному влиянию солнца. Если нарост активно увеличивается, создает проблемы со зрением, его лучше удалить. Капли местного действия в таком случае неэффективны. Назначаются методы специализированной хирургии:
- криотерапия;
- лазерная коагуляция;
- брахитерапия с применением стронцевого аппликатора.
Проводится удаление нароста с целью обезопаситься от перерождения в злокачественную форму. Выбор метода осуществляется врачом, в зависимости от формы меланоза и стадии развития.
В отделении лазерной микрохирургии глаза УЗ « 3-я городская клиническая больница им. Е.В. Клумова» лечение меланоза проводится методом лазерной коагуляции.
Существует небольшой риск развития рецидива, но в большинстве случаев прогноз лечения благоприятный. Для профилактики рекомендуется ежегодно проходить осмотр у офтальмолога.
Читайте также:
