Методика объемного моделирования протеза. Техника профилактики хейлита
Добавил пользователь Владимир З. Обновлено: 14.12.2025
Челюстно-лицевое протезирование — дисциплина, охватывающая нехирургическое восстановление дефектов тканей в челюстно-лицевой области (ЧЛО), — сегодня является флагманом ортопедической стоматологии. Однако челюстно-лицевое протезирование (ЧЛП) остается медицинской дисциплиной, мало известной как пациентам, так и специалистам. Много неясностей присутствует в терминологии, клинической практике и результатах лечения.
Несмотря на огромный прогресс восстановительной хирургии, челюстно-лицевое протезирование сегодня остается актуальным методом реконструкции лица и становится незаменимым во многих клинических ситуациях. Изготовление индивидуальных лицевых масок, использование таких материалов, как силиконовые эластомеры, позволяет создавать лицевые эпитезы высокого эстетического и функционального уровня, отвечающие требованиям пациентов и способствующие их удовлетворительной социальной интергации. Авторы решили обратиться к обсуждению достижений в области лицевого протезирования за последние годы, особенно в сферах материаловедения и обработки изображений. Представленные методики широко применяются во всех лечебно-диагностических центрах и на клинических кафедрах медицинских вузов.
Введение
Основной целью изготовления эпитезов лица при врожденных пороках развития или приобретенных дефектах является функциональная, эстетическая и психологическая реабилитация пациентов. Ранее эпитезы, довольно примитивные, использовались лишь для более или менее приемлемой маскировки дефектов тканей в ЧЛО, чтобы не делать пациента объектом для любопытства или отторжения в обществе. Сегодня стараются заместить отсутствующий орган при помощи устройства, структура, окраска и контуры которого практически идеально имитируют кожные покровы, в том числе поверхностный венозный рисунок и различные рельефы. Таким образом, удается создать практически невидимые конструкции, помимо всего прочего, представляющие весомую функциональную ценность. Первостепенным является психологическое принятие протеза пациентом, так как это гарантирует его личную, семейную и социальную интеграцию.
Глава 1. Фундаментальный подход
Терминология
Две категории терминов используются для характеристики лицевых масок медицинского назначения: пластические лицевые протезы и эпитезы. Протез (от греческого «вместо» и tithêmi: «я помещаю») — «приспособление, используемое вместо утраченного естественного органа или части тела, воспроизводящее форму и, если это возможно, частично или полностью восстанавливающее функции» [1]. Термин «пластический» (от греческого plastein: формировать, моделировать) определяет свойство протеза восстанавливать форму лица. Хирургия, с другой стороны, делится на две категории, которые не могут существовать в челюстно-лицевом протезировании: эстетическую и пластическую. Первая касается здоровых людей, она «украшает» тело и ориентируется на социально-культурные нормы, основанные на общепринятых канонах красоты. Объектом второй, как и протезирования, становятся пациенты, имеющие повреждение тела. Пластический протез также необходим больным людям как в физическом, так и в психологическом аспекте. Сегодня чаще используется термин «эпитез» (сокращение от «эпипротез», «краевой протез», «epi»: на, сверху, на конце). Это изделие медицинского назначение для замещения отсутствующей части тела, повторяющее рельеф и прикрывающее имеющийся дефект.
Типология лицевых протезов
Типологическая классификация протезов основана на локализации дефекта тканей. Прежде всего, выделяют наружные протезы (или эктопротезы) и внутренние протезы (или эндопротезы): первые — наружные устройства, подвижные, в контакте с кожей, слизистой оболочкой или зубами; вторые — неподвижные, хирургически имплантированные в организм. Специалисты по челюстно-лицевому протезированию чаще используют наружные протезы, которые разделяют на внутриротовые, когда они находятся в ротовой полости, и внеротовые, расположенные вне полости рта. Ролью последних является замещение кожных дефектов (наружный нос, ушная раковина, область орбиты). Другой тип протезов, такой как челюстно-лицевые ортезы, сочетающие статическую и динамическую конструкции, способен замещать комплексные дефекты. Наиболее часто изготавливаются следующие типы эпитезов: протезы носа, ушной раковины, век и глаза, лицевые маски и комплексные «многоэтажные» протезы, которые могут сочетать лицевой и зубочелюстной протез (рис. 1—4) (органиграмма № 1) .
Рис. 1. Эпитез носа (в процессе изготовления). Рис. 2. Эпитез век и глаза (на стадии макета).
Рис. 3. Эпитез ушной раковины. Рис. 4. Эпитез носо-орбитальной области.
Этиология лицевых дефектов
Можно выделить три основные причины потерь структур ЧЛО и возникновения дефектов, которые могут корректироваться с помощью эпитезов: агенезии, хирургия опухолевых образований и травмы лица. Можно добавить и четвертую причину, в настоящее время не встречающуюся в западных странах ввиду прогресса медикаментозных методов лечения, такую как воспалительные заболевания (нома, например).
Врожденная патология
Агенезии органов лица возникают очень редко. Их можно наблюдать в основном при синдроме множественных пороков развития [2]. По определению Дашелотта, порок (или дисгенезия) — это «необратимое врожденное повреждение морфологической структуры ткани, органа или части организма как результат внутренних нарушений развития» [3]. Врожденный характер предусматривает присутствие данной патологии с самого рождения. С другой стороны, не все врожденные аномалии являются пороками. Кроме истинных (или первичных) пороков, имеются повреждения, способные имитировать порок (фенокопии), которые называют вторичными. Термин «множественные пороки» применяется, когда у одного индивидуума имеется минимум две аномалии, для которых в зависимости от этиологии выделяют определенный синдром, ассоциацию или последовательность. Агенезии в основном затрагивают ушную раковину. Они наблюдаются при синдромах Тричера — Коллинза или Франческетти — Клейна. Речь идет о множественных пороках развития, включающих гипоплазию или аплазию ушных раковин, атрезию наружных слуховых проходов, аномалии в цепи слуховых косточек среднего уха, глухоту, гипоплазию верхне-челюстных и скуловых костей, разрежение ресниц нижних век и гипоплазию нижней челюсти [4]. Наконец, врожденный сифилис, как результат вертикального пути передачи инфекции от матери плоду, может быть причиной дисморфозов в области лица и шеи, в частности атрофии нижней челюсти, сопровождающейся птозом языка (в западных странах он сейчас не встречается) [5].
Последствия хирургического иссечения онкологических образований
Это является самой частой «причиной» консультаций, посвященных челюстно-лицевому протезированию. Меланомы, эпидермоидные, базальноклеточные или плоскоклеточные карциномы — злокачественные опухоли, наиболее часто подвергающиеся хирургическому иссечению. Доброкачественные новообразования (миксомы, кисты) в редких случаях также могут быть местноагрессивными. Их хирургическое лечение может приводить к значительным потерям структур ЧЛО. Несмотря на развитие терапевтических технологий в онкологии, хирургическое иссечение очень часто является дополнительным методом лечения пациентов при наличии новообразований. Возможности реконструктивной хирургии, к сожалению, очень лимитированы: ее успех сложно предсказать из-за последствий послеоперационной радиотерапии, которая также вызывает затруднение диспансерного наблюдения за тканями, окружающими первичный очаг [6]. Хирургическое вмешательство часто затрагивает не только определенный орган лица, но и покровные ткани, в основном, щечной и лобной областей. По причине наличия зон естественной резистентности тканей ЧЛО границы хирургического иссечения идентичны у многих пациентов. Например, ампутация наружного носа оставляет дефект треугольной формы и открытую полость носа. В области век и глаза выделяют два типа хирургического иссечения: энуклеацию и экзентерацию. Первая ограничивается удалением глазного яблока, тогда как вторая предусматривает удаление всего содержимого орбиты. Некоторые виды резекции челюстных костей предусматривают удаление кожи щек, что ведет к изготовлению комбинированных или многоуровневых протезов (сочетание эпитезов, челюстных обтураторов и зубных протезов) (рис. 5—8).
Рис. 5. Потеря структур век и глаза. Рис. 6. Потеря структур областей орбиты и носа.
Рис. 7. Потеря структур ушной раковины. Рис. 8. Потеря структур левой половины черепно-лицевой области.
Травма лица и шеи
Травмы лица — причина полиморфных дефектов тканей. Реконструктивная хирургия — основной метод лечения данной патологии, однако ампутации органов или обширные потери структур ЧЛО часто требуют последующей протетической реабилитации. В травматологии повреждения могут быть следствием профессиональных, уличных, домашних или спортивных несчастных случаев: это так называемая гражданская травматология [7]. Военные и/или баллистические травмы чаще дают комплексные дефекты, напрямую связанные с малым калибром снарядов и высокой скоростью их движения, что приводит к массивным разрушениям тканей [8].
Нельзя забывать также о последствиях химических и термических ожогов.
Инфекционные заболевания
Некоторые заболевания: туберкулезная и красная волчанка, нома, лепра или третичный сифилис — ранее способствовали появлению дефектов в ЧЛО. В настоящий момент они не наблюдаются в западных странах (органиграмма № 2) .
Основы терапевтического лечения. Показания
Прогресс, достигнутый в реконструктивной хирургии (мышечно-кожные или костно-мышечно-кожные лоскуты на ножке, свободная пересадка), позволяет осуществлять эстетическое и функциональное восстановление обширных дефектов ЧЛО на качественно высоком уровне независимо от их происхождения: опухоли, травмы или хирургические вмешательства [9, 10]. Челюстно-лицевое протезирование перемежается с хирургией, в частности, при больших потерях тканевых структур. Протезы показаны для пожилых пациентов, если их общее состояние не является удовлетворительным, а также при наличии противопоказаний к хирургическому вмешательству или проведению общего обезболивания либо в ожидании восстановительной операции.
Радиотерапия является неблагоприятным фактором для проведения реконструктивной хирургической операции, и в этом случае предпочтение отдается эпитезам, как и при наличии некоторых злокачественных новообразований, когда подвижная конструкция протеза позволяет осуществлять визуальный контроль за состоянием тканей, окружающих прооперированную зону. Таким образом, протезирование особенно показано при обширных комплексных дефектах [11].Для достижения оптимального эстетического результата и стабилизации протеза хирурги иногда истончают лоскут во избежание чрезмерного контурирования или устанавливают системы ретенции, ранее туннельные, а в настоящее время — имплантаты (рис. 9) .
Преимущества протеза
Протетическая реабилитация позволяет:
- точно восстановить отсутствующий или дефектный орган с помощью техники муляжа;
- работать в условиях амбулатории;
- дать «практически немедленный» хороший эстетический результат, эффективно решая психологические проблемы пациентов;
- изготовить съемный протез и обеспечивать наблюдение за состоянием тканей по периферии дефекта;
- создавать «немедленный протез» в фазу предоперационной подготовки, в ожидании или в дополнение к лечению методом реконструктивной хирургии;
- найти удовлетворительное эстетическое решение при наличии обширных, сложных по структуре и объему дефектов;
- быстро дать положительный ответ практически во всех клинических ситуациях.
Ограничения при протезировании:
- функциональные проблемы: инертность протеза, зона перехода эпитез / кожный покров, плотность прилегания;
- механические проблемы: функциональная интеграция, фиксация и сцепление эпитеза, сложность его установки, если системы удержания не адаптированы для пациента;
- физиологические проблемы: феномен конденсации, отсутствие периферического сосудистого давления;
- проблемы ухода: сложность гигиены из-за пористости медицинских силиконов и общего состояния пациента (старость, астения, проблемы понимания и т. д.), его удаленное нахождение от центра протезирования;
- быстрое старение конструкции протеза;
- проблемы психологического характера: съемная структура предусматривает сохранение первоначального дефекта, результат — негативная психологическая реакция на свое отражение в зеркале и дискомфорт при визуальном контакте (приятие новой картины своего тела приходит со временем) [15].
Материаловедение
Силикон является основным материалом для изготовления эпитезов, так как по своим эластическим свойствам близок к естественной структуре кожи.
Датой рождения силиконов принято считать 1930 год, когда исследователи фирм DowChemical и CorningGlass, которые пытались разработать новые изоляторы электрического тока, смогли соединить свойства стекла и органических пластиков [16].
В 1942 г. фирма DowCorning запускает промышленное производство эластомеров силикона в Соединенных Штатах.
В 1948 г. эта же фирма официально патентует марку Silastic.
В 1959 г. создается центр DowCorning для медицинских исследований, поиска и разработки показаний к использованию силиконов в медицине и хирургии.
Филиал производства медицинских силиконов DowCorning был создан немного позднее.
В 1962 г. эластомеры силикона Silastic Médical были предоставлены для медицинских работников.
Силикон — это общий термин для определения подгруппы большого семейства полимеров. Все силиконы независимо от их физического состояния имеют общие химические, физические и механические свойства, не меняющиеся со временем [14] (табл. № 1) .
Таблица № 1. Физико-химические и механические свойства медицинских силиконов
Химические свойства
Физические свойства
Механические свойства
Устойчивость к изменениям рН
Устойчивость к окислению
Устойчивость к воздействию других
химических субстанций
Термостабильность (-50 °C, +260 °C)
Отсутствие модификаций в вакууме, при изменениях давления и воздействии излучений
Сопротивление на разрыв
Характеристики медицинских силиконов:
- химическая инертность;
- несмачиваемость;
- проницаемость для газов;
- радиоконтрастность;
- возможность стерилизации;
- разнообразность форм и консистенций;
- устойчивость к деформации;
- нерастворимость и отсутствие метаболизации;
- не затвердевают, не разрываются, выдерживают нагрузки;
- апирогенность;
- не провоцируют воспалительные реакции, отсутствие плотности прилегания;
- не являются аллергеном;
- не являются канцерогеном.
Основными характеристиками материалов для челюстно-лицевого протезирования являются биосовместимость, легкость использования, структура, схожая с натуральной кожей, возможность окраски и точность исполнения. Все эти критерии приводят к практически монопольному использованию силиконов по отношению к акрилатным пластмассам, которые все еще находят специфическое применение. Наиболее часто в челюстно-лицевом протезировании используют силиконы, которые состоят из полимеров диметилсилоксана, усиленных аморфным оксидом кремния и платиной в качестве катализатора. Физико-химические свойства зависят от их молекулярной структуры: веса, типа и концентрации полимерных цепей (длинные, короткие) и количества поперечных связей между группами силоксанов. Сильная связь Si-O и гибкость цепей силоксанов придают силиконам низкую вязкость, высокую химическую инертность, хорошую устойчивость к ультрафиолету, термостабильность и значительную продолжительность срока службы [20]. По механическим свойствам это мягкие, эластичные и устойчивые к разрыву материалы. Они обеспечивают точность при воспроизведении структур, простоту при работе и быстро полимеризуются без специального инструментария. Силиконы поддаются полному прокрашиванию благодаря первоначальной прозрачной структуре. Все перечисленные характеристики делают их материалами выбора, но не идеальными для изготовления эпитезов [21].
Главным недостатком эластомеров является их пористость, что способствует микробной колонизации (в частности, грибковой). Подобные микробные инвазии ответственны за изменение окраски и формы поверхностной структуры. Пористость и гетерогенный характер силиконов вызывают необходимость в частой замене эпитезов, в среднем один раз в течение года. Профилактика колонизации, например Candida albicans, осуществляется путем воздействия на сам материал и несет в себе риск разрушения его пространственной структуры. Чаще всего колонии грибка концентрируются в зонах контакта эпитеза с теплой и влажной средой верхних дыхательных путей [22].
Методика объемного моделирования протеза. Техника профилактики хейлита
2 ГБОУ ВПО "Нижегородская Государственная Медицинская Академия" Министерства здравоохранения Российской Федерации
В клинику ортопедической стоматологии нередко обращаются пациенты с частичной или полной потерей зубов и наличием хронических заболеваний слизистой оболочки полости рта. В настоящее время доказано, что ортопедическое лечение больных с такими заболеваниями, как красный плоский лишай, лейкоплакия, фиброматоз десен, папилломатоз, ангулярный хейлит не только возможно, но и необходимо. Это связано с несомненной ролью протезирования зубов в профилактике обострений названных нозологических форм. Заболевания слизистой оболочки полости рта занимают особое место среди стоматологических заболеваний. Диагностика и лечение таких заболеваний крайне сложны. Кроме того, многие из этих болезней имеют инфекционную природу, что вызывает опасность инфицирования медицинского персонала. В связи с этим возникают вопросы о том, когда проводить ортопедическое лечение пациентов c заболеваниями слизистой оболочки полости рта и какие существуют особенности протезирования.
1. Аллергия к металлам, используемым для зубного протезирования, и методы ее диагностики / А. И. Воложин [и др.] // Стоматология. — 2004. — № 5. — С. 57-61.
2. Воложин А. И. Непереносимость металлов и металлических сплавов в стоматологии / А. И. Воложин. - М.: ММСИ, 1994. — 69 с.
3. Гальванические процессы в стоматологии. Пособие для врачей стоматологов / под редакцией проф. И.Ю. Лебеденко. - М.: МГМСУ, 2012. - 141 с.
4. Гожая Л. Д. Аллергические заболевания в ортопедической стоматологии / Л. Д. Гожая. - М.: Медицина, 1988. — 160 с.
5. Заболевания слизистой оболочки полости рта / Н.Ф. Данилевский, В.К. Леонтьев, А.Ф. Несан, Ж.И. Рахний. - ОАО «Стоматология», 2001. - 271 с.
6. Иорданишвили, А.К. Клиническая ортопедическая стоматология / А.К. Иорданишвили. - М.: МЕДпресс-информ, 2007. - 249 с.
9. Ортопедическая стоматология / под редакцией проф. В.Н.Копейкина, проф. М.З.Миргазизова. - М.: Медицина, 2001. -640 с.
10. Ортопедическая стоматология: Прикладное материаловедение / В. Н. Трезубов, Л.М Мишнев, Е.Н. Жулев, В.В. Трезубов. - М.: МЕДпресс-информ, 2014. - 368 с.
В клинику ортопедической стоматологии нередко обращаются пациенты с частичной или полной потерей зубов и наличием хронических заболеваний слизистой оболочки полости рта. В настоящее время доказано, что ортопедическое лечение больных с такими заболеваниями, как красный плоский лишай, лейкоплакия, фиброматоз десен, папилломатоз, ангулярный хейлит не только возможно, но и необходимо. Это связано с несомненной ролью протезирования зубов в профилактике обострений названных нозологических форм [2, 4, 8, 9].
Важную роль в патогенезе заболеваний слизистой оболочки полости рта играют местные механические и электрохимические раздражители. Таковыми являются: во-первых, аномалии положения зубов, деформации зубных рядов, острые края зубов, частичная потеря зубов, которые способствуют травмированию слизистой оболочки полости рта; во-вторых, неправильно сконструированные или ставшие неполноценными зубные протезы; в-третьих, ортопедические конструкции из металлов с разными электрохимическими потенциалами [4, 5, 8, 9].
При подготовке полости рта к протезированию следует планировать комплекс мероприятий по санации полости рта, включающий в себя профессиональную гигиену, сошлифовывание острых краев зубов, удаление некачественно изготовленных протезов. [9]. С целью устранения электрохимической травмы, нормализации микроэлементного состава слюны и слизистой оболочки, снижения активности ферментов слюны показано удаление протезов из разнородных металлов и пломб из амальгамы [4, 3, 9].
Заболевания слизистой оболочки полости рта занимают особое место среди стоматологических заболеваний. Диагностика и лечение таких заболеваний крайне сложны. Кроме того, многие из этих болезней имеют инфекционную природу, что вызывает опасность инфицирования медицинского персонала [5]. В связи с этим возникают вопросы о том, когда проводить ортопедическое лечение пациентов c заболеваниями слизистой оболочки полости рта и какие существуют особенности протезирования.
Цель исследования
выявить особенности ортопедического лечения пациентов с заболеваниями слизистой оболочки полости рта.
Материалы и методы исследования
Для выполнения поставленной задачи нами были обследованы 36 человек (21 женщина и 15 мужчин) в возрасте от 25 до 56 лет с частичной потерей зубов, дефектами твердых тканей зубов и со следующими заболеваниями слизистой оболочки полости рта: хроническая механическая травма, лейкоплакия, хронический рецидивирующий афтозный стоматит, красный плоский лишай, кандидоз. Обследование включало в себя данные клинического осмотра, оценка общего состояния здоровья, цитологический, гистологический и бактериологический методы исследования, лучевую диагностику челюстно-лицевой области. Клиническое обследование состояло из двух этапов: сбора анамнеза, внешнего осмотра и осмотра полости рта. Данные анамнеза включали официальный анамнез, социальный статус с указанием вида трудовой деятельности и возможных профессиональных вредностей, а также анамнез жизни и заболевания для выявления возможных этиологических факторов развития патологии. При внешнем осмотре оценивались следующие параметры: конфигурация лица, соотношение третей лица, степень открывания рта, наличие болезненности при пальпации ВНЧС, характер движения суставных головок, состояние регионарных лимфатических узлов, состояние видимых кожных покровов. Осмотр полости рта проводился по стандартному протоколу, включая пальпацию, оценку подвижности, цвет, блеск, рельеф поверхности слизистой оболочки полости рта.
Для оценки общего состояния здоровья пациентов применяли метод анкетирования. Особое внимание уделяли выявлению патологий центральной нервной системы, сердечно-сосудистой, пищеварительной, эндокринной и иммунной систем.
Цитологический метод применяли с целью уточнения диагноза и дифференциальной диагностики, выявления начала малигнизации и особенностей воспалительного процесса. Материал для исследования забирали из различных полей поврежденного участка: центра, периферии, а также брали контрольные мазки-отпечатки с видимо неизмененной слизистой оболочки полости рта.
Бактериологическое исследования проводили для уточнения диагноза и дифференциальной диагностики. Мазки - отпечатки, полученные из очага поражения, после фиксации окрашивали и под микроскопом определяли микробную флору.
Лучевая диагностика челюстно-лицевой области проводилась с помощью конусно-лучевого компьютерного томографа GENDEX CB-500 с целью получения данных о состоянии зубов и окружающих периапикальных тканей пародонта, височно-нижнечелюстных суставов.
Результаты исследований
По результатам проведенного исследования все пациенты были разделены на четыре группы: 1 - лица с частичной потерей зубов, дефектами твердых тканей зубов, без заболеваний слизистой оболочки полости рта, нуждающиеся в ортопедическом лечении несъемными зубными протезами (искусственные коронки и мостовидные протезы). У пациентов данной группы отсутствовали в анамнезе данные, свидетельствующие о наличии заболеваний центральной нервной системы, сердечно-сосудистой, пищеварительной, эндокринной и иммунной систем (эта группа составила 8 человек); 2 - лица с частичной потерей зубов, дефектами твердых тканей зубов, с заболеваниями слизистой оболочки полости рта, нуждающиеся в ортопедическом лечении несъемными зубными протезами (искусственные коронки и мостовидные протезы). У пациентов данной группы в анамнезе наличие заболеваний центральной нервной системы, сердечно-сосудистой, пищеварительной, эндокринной и иммунной систем (эта группа составила 13 человек), 3 - лица с частичной потерей зубов, без заболеваний слизистой оболочки полости рта, нуждающиеся в ортопедическом лечении частичными съемными зубными протезами протезами (дуговые и пластиночные протезы). У пациентов данной группы отсутствовали в анамнезе данные, свидетельствующие о наличии заболеваний центральной нервной системы, сердечно-сосудистой, пищеварительной, эндокринной и иммунной систем (эта группа составила 7 человек); 4 - лица с частичной потерей зубов, с заболеваниями слизистой оболочки полости рта, нуждающиеся в ортопедическом лечении частичными съемными зубными протезами (дуговые и пластиночные протезы). У пациентов данной группы в анамнезе наличие заболеваний центральной нервной системы, сердечно-сосудистой, пищеварительной, эндокринной и иммунной систем (эта группа составила 8 человек).
Результаты проведенного исследования показали, что несмотря на различные этиологию и патогенез, многообразие вариантов клинического течения хронических заболеваний слизистой оболочки полости рта, можно выделить ряд принципов ортопедического лечения таких пациентов. Для протезирования зубных рядов несъемными конструкциями следует учитывать следующее:
1. Необходимо максимально уменьшить все факторы, ведущие к раздражению и травме слизистой оболочки.
2. Необходимо расширить показания к применению несъемных протезов, которые практически не оказывают давление на слизистую оболочку и имеют с ней минимальный контакт.
3. Штампованно-паяные мостовидные протезы в силу коррозии изменяют микроэлементный состав ротовой жидкости. Поэтому предпочтительно изготовление зубных протезов из однородных сплавов металлов, особенно благородных. Мостовидные протезы в таких случаях должны быть литыми цельнометаллическими или металлокерамическими. Приоритетным является использование безметалловых конструкций мостовидных протезов.
4. Ионы серебра способствуют нормализации активности ферментов слюны. Это позволяет рекомендовать пациентам изготовление протезов зубов из сплавов на основе серебра и палладия.
5. Препарирование опорных зубов должно проводиться со строгим учетом требований асептики и антисептики, при атравматичном оттеснении мягких тканей. После препарирования твердых тканей необходимо сглаживать острые края зубов и обрабатывать их поверхность полиром.
6. Рабочие оттиски следует получать, применяя одноэтапные методы, для исключения дополнительной травмы слизистой оболочки при повторном введении в полость рта слепочной ложки с затвердевшим оттискным материалом. Для вспомогательных оттисков нужно использовать альгинатные слепочные массы. При снятии оттисков края ложек следует окантовать воском или лейкопластырем и использовать эластичные слепочные материалы. Не рекомендуется получение оттисков термопластическими массами, так как они вводятся в полость рта в нагретом состоянии, что может вызвать дополнительное раздражение слизистой оболочки.
7. Тело мостовидного протеза не должно прилегать к слизистой оболочке альвеолярного отростка во избежание ее механической травмы.
8. Мостовидные конструкции должны иметь тщательно отполированные поверхности без резко выступающих элементов.
При наличии показаний к применению съемных конструкций предпочтение следует отдавать дуговым и пластиночным протезам с опорно-удерживающими элементами (кламмерами, аттачменами, телескопическими коронками, балочными и магнитными системами фиксации) для разгрузки слизистой оболочки с последующим серебрением внутренней поверхности базиса, прилегающей к пораженной слизистой оболочке, так как ионы серебра оказывают противовоспалительное действие и нормализуют активность ферментов и содержание общего белка в слюне и слизистой оболочке.
Для протезирования съемными пластиночными протезами обширных дефектов зубных рядов или полного отсутствия зубов необходимо использовать двухслойные базисы из бесцветной пластмассы с эластичной подкладкой. Подкладка из мягкой пластмассы может располагаться дифференцированно лишь в участках локализации очагов поражения слизистой или по краю базиса. Это способствует равномерному распределению жевательного давления на слизистую оболочку, амортизирует жевательное давление, предупреждает или уменьшает болевые ощущения, улучшает фиксацию протезов и нормализует сроки адаптации к ним.
Особое внимание при ортопедическом лечении следует обратить на устранение нарушений артикуляции искусственных зубных рядов, балансирования базиса. Посредством оптимального восстановления высоты нижнего отдела лица, объемного моделирования базисов протезов, правильной ориентации окклюзионной плоскости и создания бугоркового перекрытия можно предупредить ущемление слизистой оболочки, а также прикусывание губ и щек, особенно в области очагов поражения.
При наложении зубных протезов больному необходимо проверить границы базиса, тщательность полировки протеза и артикуляционные взаимоотношения зубных рядов челюстей. Края съемных зубных протезов должны быть утолщены и закруглены для исключения механической травмы. Следует слегка отполировать внутреннюю поверхность базиса съемного протеза, добиваясь снятия малых шероховатостей, вызывающих микротравмы СОПР протезного ложа. При этом также снижается пористость базисной пластмассы, что уменьшает задержку пищевых остатков и микроорганизмов на зубном протезе, уменьшая тем самым воспалительные явления слизистой оболочки протезного ложа.
Особенно внимательно следует относиться к пациентам с предраковыми заболеваниями и злокачественными новообразованиями слизистой оболочки полости рта.
У больных с травматическим папилломатозом с целью профилактики перерождения папиллом из-за их легкой ранимости, частого изъязвления и развития воспалительного процесса в строме протезирование зубов выполняют только после хирургического иссечения, электрокоагуляции или криодеструкции папиллом.
По завершении зубного протезирования больные с предраковыми заболеваниями слизистой оболочки полости рта должны находиться под динамическим наблюдением для исключения хронической травмы, обусловленной зубным протезом.
Заключение
Точная диагностика с использованием современных методов и материалов, тщательно проведенная дифференциальная диагностика, рациональное протезирование в сочетании с санацией, общим и местным медикаментозным лечением способствует значительному снижению интенсивности или исчезновению воспалительных явлений слизистой оболочки полости рта и является элементом профилактики их обострений.
Рецензенты:
Дурново Е.А., д.м.н., профессор, зав. кафедрой хирургической стоматологии и челюстно-лицевой хирургии ГБОУ ВПО «Нижегородская государственная медицинская академия Минздрава России», г. Нижний Новгород;
Казарина Л.Н., д.м.н., профессор, зав. кафедрой пропедевтической стоматологии ГБОУ ВПО «Нижегородская государственная медицинская академия Минздрава России», г. Нижний Новгород.
Моделировка базиса протеза
Моделировка базиса протеза - создание воскового прототипа основы протетической конструкции. Это ответственный этап, от которого зависит эстетика и функциональные возможности протеза. Классические технологии предусматривают проведение всех клинико-лабораторных этапов вручную. С помощью набирающих популярность CAM/CAD-систем моделирование базиса и всего протеза производят на компьютере.
Классическое моделирование базиса
Процесс состоит из двух этапов - предварительного и окончательного моделирования базиса. Предварительное направлено на подготовку акклюдатора и артикулятора к проверке конструкции, окончательное - на придание придание восковой основе и зубам вида, максимально соответствующего готовому протезу.
Этапы предварительной моделировки:
- Добавление воска в участки с нехваткой объёма.
- Закрепление искусственных зубов, а для частичных конструкций и кламмеров.
- Очистка окклюзионных и вестибулярных поверхностей зубов от затвердевшего воска.
- Сглаживание восковой основы, придание ей равномерной толщины.
- Закругление края композиции.
- Сглаживание неровностей.
После этого в клинике проверяют конструкцию протеза, примерив в полости рта пациента, возвращают в лабораторию и приступают к окончательной моделировке базиса протеза. Её этапы:
- Фиксация воском зубов, отделившихся при примерке.
- Снятие воска со всех поверхностей зубов.
- Оформление края искусственной десны - выравнивание или, напротив, создание контуров повторяющих анатомические. Последняя методика способствует более надёжной фиксации протеза. Для придания естественного вида у пожилых пациентов формируют более низкий валик, у молодых - высокий.
- Моделирование базиса верхней челюсти. Удаляют проволочную дугу, обеспечивают равномерную толщину исскусственной десны. Разогретый воск накладывают на нёбную поверхность формируют рельеф, дистальный край сводят на нет, соединяют с десной.
- С поверхностей зубов снимают излишки воска.
- Восковой базис приклеивают к модели.
CAM/CAD моделирование протезов
Протезирование беззубых челюстей - наиболее сложная проблема ортопедической стоматологии. Это обусловлено не только полной утратой зубов, но и атрофических процессов ввиду отсутствия жевательной нагрузки. В результате теряются ориентиры, задающие высоту и форму альвеолярных отростков, возникают новые взаимоотношения дуг челюстей, что существенно затрудняет определение общей для верхней и нижней челюсти межальвеолярной линии.
Технологии CAM/CAD позволяют точно рассчитать углы расхождения, автоматизтровать моделирование и изготовление протеза, создать максимально удобную для пациента и эстетичную протетическую конструкцию. Моделирование каркаса, базиса, зубов выполняется на компьютере в специализированных программах для трёхмерной графики. Вначале челюсть сканируют на томографе или изготавливают силиконовые слепки с последующим сканированием, дальнейшее этапы выполняют в программе. Конструировать модель можно вручную или воспользоваться библиотекой заготовок.
Обычно цифровые технологии применяют в моделировании немъёмных протетических конструкций, однако всё чаще их стали использовать в создании бюгельных и полных съёмных протезов. Автоматизированные системы позволяют создавать высокоточные конструкции в короткие сроки с минимальными техническими затратами.
Моделировка мостовидного протеза
Процедура примерки, моделирования и установки искусственной конструкции проходит в несколько этапов, каждый из которых принципиально важен для получения идеального результата.
Первый клинический этап с посещением пациента
- Обезболивание.
- Получение диагностических оттисков.
- Одонтопрепарирование опорных зубов для последующей установки цельнолитого мостовидного протеза.
- Ретракция.
- Получение двух оттисков: рабочего и вспомогательного с использованием силиконового материала и альгинатного.
- Определение и регистрация центральной окклюзии (по возможности).
- Изготовление временного протеза, который направлен на эстетику, защиту десны от травмирования и культи зуба от раздражителей и микроорганизмов.
Первый лабораторный этап изготовления мостовидного протеза
- Создание разборной модели из супергипса (IV класс) и вспомогательной (III класс).
- Покрытие компенсационным лаком в 2-3 слоя для возмещения литьевой усадки.
- Моделирование мостовидного протеза: коронок и промежуточной части с применением воска.
- Снятие воска, конструирование литниковой системы, литье из металла (хромокобальтовый сплав, золотой или никель-титановый).
- Очищение и полирование.

Второй клинический этап
- Припасовка мостовидного протеза включает этапы анализа прилегания, соответствия края коронки, окклюзивных контактов, тела протеза, проверку отсутствия балансировки.
- Фиксация конструкции с применением стоматологического цемента временного типа.
- Через 7-14 дней - фиксация на постоянный цемент.
Второй лабораторный этап
- Сопоставление моделей в позиции центральной окклюзии.
- Фиксация в окклюдатор или артикулятор.
- Подготовка моделей культи опорных зубов.
- Создание моделей коронок опорных зубов, промежуточных, используя воск.
- Подготовка к этапу литья.
- Литье зубного моста из сплава.
- Механическая обработка, припасовка с применением разборной модели.
Третий клинический этап
- Проверка конструкции путем припасовки каркаса на предмет отсутствия поднутрений, зазубрин, простоты наложения на культю, плотности краевого прилегания, отсутствия балансировки, анализ формы протеза.
- Выбор цвета облицовки.
Третий лабораторный этап
Данный этап предполагает шлифовку и полировку. Нанесение керамики слоями, обжиг (опак - дентин - эмаль). Нанесение облицовочного материала осуществляется на весь металлический каркас, кроме зоны близкого расположения небной и язычной поверхностей (1-2 мм).
Хейлит: симптомы, профилактика и лечение

Хейлит - процесс воспаления красной каймы, слизистой оболочки и кожи губ, изредка поражающий кожные покровы лица. С медицинской точки зрения хейлит - обобщенное определение достаточно обширного количества заболеваний кожи губ. Поэтому хейлит, как диагноз, врачи не ставят.
Причины развития хейлита
К основным причинам возникновения заболевания относятся:
- Дерматозы - представляются самой распространенной причиной хейлита. Заболевания кожи, такие как псориаз, красная волчанка, сифилис, туберкулез, лишай, также часто провоцируют воспаление красной каймы губ.
- Болезни щитовидной железы.
- Аллергия на различного рода внешние факторы, профессиональная деятельность.
- Негативные погодные условия.
- Наследственная предрасположенность.
- Снижение иммунитета, заболевания ЖКТ.
Симптомы хейлита
К основным симптомам хейлита относятся:
- сухость и шелушение губ;
- появление трещин в уголках рта;
- отечность и воспаление красной каймы губ;
- чувство жжения, болезненные ощущения при разговоре и приеме пищи;
- возможно образование пузырьков, прозрачных или желтых чешуек на губах.
Виды хейлита
Все разновидности хейлитов делятся на две группы:
- симптоматические (хейлит, как проявление основного заболевания);
- истинные (как самостоятельная болезнь).
Виды симптоматического хейлита и их клинические проявления
- Экзематозный - развивается на фоне экземы, характеризуется покраснением, отечностью, жжением и патологическими изменениями кожи губ. При отсутствии лечения переходит в хроническую форму.
- Макрохейлит - эта форма хейлита считается составной частью синдрома Мелькерссона-Россолимо-Розенталя. Наблюдается сильный зуд и отекает не только губа, но и другие части лица.
- Атопический - предпосылкой к развитию воспаления есть предрасположенность к аллергии на лекарственные препараты, продукты питания. Проявляется шелушением, покраснением, зудом кожи губ, образованием трещинок в уголках рта.
Виды истинных хейлитов
К истинным хейлитам относятся:
- Контактный - проявляется как результат реакции организма на контакт с раздражителем: косметическими средствами (определяется в основном у женщин), вредной привычкой держать во рту ручку, карандаш, профессиональной деятельностью (музыканты из-за длительного использования мундштука духового инструмента) Характеризуется покраснением, зудом, чувством жжения, отечностью губ.
- Актинический - предполагает развитие воспалительного процесса в результате особой чувствительности к природным явлениям: солнечным лучам, ветру, морозу, радиации. Проявляется мелкими пузырьками или эрозией, отечностью красной каймы. Такой хейлит называют еще метеорологическим.
- Эксфолиативный - встречается преимущественно у женщин. Развитие патологии происходит на фоне депрессии, тревоги, различных расстройствах нервной системы. Основные симптомы - сухость, сильное, продолжительное шелушение каймы губ. Эксфолиативный хейлит имеет две формы: сухую и экссудативную. При экссудативном воспалении образуются корки, вызывающие болезненные ощущения у пациента.
- Гландулярный - возникает на фоне гипертрофии малых слюнных желез. Это явление может быть врожденным (проявляется после полового созревания) или приобретенным в результате хронического воспаления. Риск пострадать от гландулярного хейлита есть у людей с пародонтозом, многочисленными кариозными полостями, после перенесенной красной волчанки, лейкоплакии. Характеризуется сначала повышенной сухостью, не исчезающей при использовании гигиенических средств. Позже - наличием трещин из-за постоянного воздействия слюны на красную кайму губ. 20-30% пациентов с гландулярным хейлитом заболевают плоскоклеточным раком. Необходимо ответственно подходить к лечению этого заболевания, вовремя обращаться за квалифицированной помощью к врачам - возможно потребуется оперативное вмешательство.
Лечение хейлита
Это заболевание нуждается в специальном лечении, зависящем от причины, вида и степени воспалительного процесса. Основные методы лечения хейлита:
- местное обрабатывание поверхности кожи губ дезинфицирующими растворами, мазями, витаминными масляными растворами;
- физиотерапевтические методы: излучение Букки, ультразвук, лазеротерапия;
- курс витаминотерапии;
- полоскание ротовой полости отварами лечебных трав.
При необходимости, для устранения причин заболевания, могут привлекаться узкие специалисты: дерматолог, аллерголог, инфекционист.
Профилактика хейлита
Избавляйтесь от вредной привычки облизывать губы, соблюдайте гигиену полости рта, пользуйтесь защитной и лечебной косметикой, употребляйте достаточное количество витаминов, своевременно производите санацию ротовой полости. Эти простые профилактические меры могут предотвратить неприятное заболевание под названием хейлит.
Аллергический хейлит
Заболевание, развивающееся у аллергиков при контакте с аллергеном и поражающее поверхность губ. Типичными проявлениями этой разновидности хейлита является ощущение зуда и жжения на губах, сухость и значительный дискомфорт. Губы начинают сохнуть и шелушиться, а чешуйки отмершего эпителия - отслаиваться.
Основная причина возникновения этого заболевания - повышенная чувствительность пациента к внешним раздражителям, в частности, к аллергенам. Аллергический, или, как его еще называют, контактный хейлит может развиваться постепенно.
Всё зависит от личной восприимчивости пациента к аллергенам, а он может развиваться на протяжении нескольких недель, месяцев и даже годами. Продолжительность этого процесса бывает обусловлена особенностями работы эндокринной системы, а также степени проявления у него аллергических реакций.
Данное заболевание практически не появляется у детей. По статистике, большинство пациентов с аллергическим хейлитом - это женщины старше двадцати лет.
Причины возникновения болезни
В большинстве случаев аллергический хейлит вызывается контактными аллергическими раздражителями. Среди самых распространенных аллергенов, которые вызывают хейлит - губная помада. Опасна не помада сама по себе, а содержащиеся в ней вещества - родамин, эозин и другие. В числе провоцирующих факторов также присутствуют некачественные зубные импланты, протезы из пластика.
Аллергические проявления могут появляться после контакта с цитрусовыми, а также у пациентов, имеющих привычку грызть карандаши или ручки. Свойственно заболевание и тем, чья работа связана с игрой на духовых инструментах или с опасным химическим производством.
Симптомы заболевания
Болезнь проявляет себя гиперемией и отёчностью губ, а также ощущением зуда и жжения, сопровождаемое образованием эритемы. На пораженных участках губ возникают и лопаются небольшие болезненные пузырьки. Если болезнетворный процесс затягивается, со временем на их месте на губах образуются небольшие рубцы и шрамы. Сухость губ со временем только увеличивается.
Воспаление практически никогда не выходит за пределы красной каймы вокруг губ. В редких случаях оно может распространяться на прилегающую кожу. Иногда воспалительный процесс перемещается на слизистую оболочку полости рта. Такой форме аллергического хейлита свойственна гиперемия (значительное покраснение тканей), появление заметной отёчности тканей, а при попытке произвести пальпацию возникают болевые ощущения.
Диагностика и лечение

Диагностика заболевания проводится врачом-стоматологом совместно с аллергологом. Для определения аллергена необходимо провести аллергопробы.
Во время постановки диагноза важно отличить аллергический хейлит и атопический, а также исключить эксфолиативный и актинический хейлиты. Лечение данного заболевания включает в себя обязательное устранение раздражителя или аллергена, вызвавшего его.
Применяется системная (общая) и топическая (местная) медикаментозная терапия. Под общей терапией подразумевается использование медикаментов, принимаемых внутрь. Для облегчения симптомов аллергии используется курс антигистаминных препаратов. Если случай достаточно сложный, может быть показано применение кортикостероидов. Помимо этого, могут быть назначены препараты кальция.
В местное лечение аллергического хейлита входит применение разнообразных смягчающих масел, мазей и бальзамов на основе облепихи, витамина Е и другие. Чтобы избежать повторного появления патологии, необходимо сдать анализы на аллергопробу, чтобы в дальнейшем устранить любые контакты с аллергеном. Желательно также пересмотреть свой рацион и внимательно отнестись к выбору косметики.
2019 © Хорошая стоматология — сеть стоматологических клиник.
Стоматологические услуги около м. Верхние Лихоборы, м. Митино, м. Тушинская, м. Речной вокзал, м. Отрадное, м. Щелковская
Данная страница носит информационно-справочный характер и не является публичной офертой.
Системный подход в изготовлении полных съемных протезов
Так уже исторически сложилось в стоматологии, что врачи почти никогда не ассоциируют полные съемные протезы с высоким уровнем эстетики, и располагают их на диаметрально противоположном конце пирамиды потребностей при лечении пациентов с полной адентией по сравнению с другими конструкциями. Но на сегодняшний день применение имплантатов позволило свести эти два аспекта в единую систему координат. Полные протезы с опорой на дентальных имплантатах являются достаточно эффективным вариантом лечения пациентов с полной или частичной адентией, обеспечивая достаточно прогнозированный и успешный вариант реабилитации. Но, как некогда заключили доктор Уолтер «Джек» Турбифил, DDS, «использование имплантатов никогда не избавит стоматолога от необходимости убедиться в соответствии протеза всем физиологическим и механическим критериям».

Реабилитация полностью беззубого пациента сопряжена со множеством проблем. Положение зубов, эстетические параметры, фонетическая функция, окклюзионная плоскость, вертикальная составляющая прикуса и положение мыщелков сустава определяются согласно каноническим ортопедическим принципам. Но большинство данных принципов, к сожалению, нивелируется при состоянии полной адентии. Даже если пациент уже некоторое время пользуется определенной конструкцией протеза, то и ее не стоит расценивать как некоторую референтную определяющую, поскольку старые протезы очень редко связаны с тем, чего пациент на самом деле хочет. Кроме того, в ходе лечения пациентов с полной адентией стоматолог сталкивается с проблемами психологического характера, связанными с потерей пациентом зубов, развитием ксеростомии и нейромышечных нарушений. Это также является одной из причин, почему стоматологи часто уклоняются от лечения больных с полным отсутствием зубов.
Пошаговый аналоговый протокол изготовления конструкций полных съемных протезов почти не изменился с момента его изобретения. По имеющимся оттискам отливаются модели, на которых техник моделируют восковый базис и прикусные валики - вот и все. На этом этапе для правильного определения надлежащей позиции передних зубов, передачи данных о вертикальной составляющей прикуса и положении сустава крайне важна надлежащая коммуникация между врачом-стоматологом и зубным техником. Даже при условии применения в работе цифровых технологий клиницист должен уметь оценить фонетическую функцию у пациента, проверить эстетические параметры и скорректировать потенциальные нарушения в конструкции протеза. При использовании конструкций полных съемных протезов в качестве временных или постоянных реставраций, или даже в качестве диагностических конструкций, протокол их изготовления требует определенного уровня систематичности в своей реализации. Последний должен включать:
- Регистрацию положения режущего края зубов верхней челюсти
- Регистрацию положения режущего края зубов нижней челюсти
- Определение надлежащей вертикальной составляющей прикуса
- Регистрацию центрального соотношения
- Соответствующую установку гипсовых моделей в артикулятор
- Проверку фонетической функции
Отправной точкой для изготовления полного съемного протеза является определение вертикального и горизонтального положения передних зубов верхней челюсти. Это достигается за счет использования пластинки базисного воска и воскового валика (фото 1).
Фото 1. Восковый валик верхней челюсти с маркировкой срединной линии и высокой линии улыбки.

Восковой валик контурируется и корригируется по форме, чтобы соответствовать положению окружающих структур, включая:
- Горизонтальное и вертикальное положение режущего края зубов верхней челюсти
- Среднюю линию верхней челюсти
- Щечные коридоры
- Окклюзионную плоскость верхней челюсти
- Высокую линию улыбки
Чтобы проверить правильность положения, можно зафиксировать их в восковом базисе (фото 2). Для подтверждения правильности положения зубов врач должен проверить произношение пациентом звуков «Ф» и «В»: при этом пациент должен касаться передними верхними зубами линии перехода влажной части нижней губы в сухую. Для регистрации данного положения врач может попросить пациента сосчитать до 50 или 60 в голос. С диагностической целью врач также может получить фотографии положения воскового базиса и зубов в состоянии покоя, при высокой улыбке, а также - в профиль. Дополнительно можно записать несколько видео пациента в ходе разговора, после чего все эти данные можно передать зубному технику.
Фото 2. Вид воскового валика с установленными зубами 8 и 9.

После определения надлежащего положения режущего края зубов верхней челюсти необходимо зарегистрировать позицию режущего края зубов нижней челюсти. Для этого используют пластинку базисного воска и восковый валик (фото 3). Высота воскового валика в переднем участке нижней челюсти должна составлять 18 мм от уровня преддверья до прогнозированного положения режущего края резцов. Для того, чтобы исключить ограничения при артикуляции нижней челюсти, дистальные части воскового валика делают ниже окклюзионной плоскости, после чего на валике формируют надрезы для соединения с восковым валиком верхней челюсти. По сути, применение специального воска в проекции передних зубов нижней челюсти является начальной точкой следующего этапа - определения вертикальной составляющей прикуса.
Фото 3. Использование специальной порции желтого воска для проверки фонетической функции с высотой равной 18 мм от преддверья полости рта.

Определение вертикальной составляющей прикуса
С целью регистрации вертикального положения прикуса используется именно звук «С», поскольку таковой формируется при повторяющемся движении челюсти независимо от того, имеются у пациента зубы, или нет. Программирование мышц для произношения данного звука обеспечивается на протяжении всего периода формирования и роста. Траектория данного движения зависит от класса скелетного соотношения, имеющегося у пациента. Например, при 2 классе скелетных соотношений нижней челюсти приходиться преодолеть сравнительно большее расстояние для произношения звука «С», нежели при 1 классе.
После регистрации надлежащего положения передних зубов верхней челюсти восковой валик фиксируется на нижнюю челюсть, и врач просит пациента сосчитать до 60 или 70. Клиницист наблюдает за движениями нижней челюсти и корректирует нижний восковый валик до тех пор, пока пациент не сможет четко произнести звук «С». Если во время произношения звука «С», восковый валик нижней челюсти ударяется по передний зубам на верхней челюсти, то его можно несколько срезать. Также можно модифицировать конфигурацию валика в язычно-вестибулярном направлении (фото 4).
Фото 4. Вид в профиль: передние зубы установлены в верхнем восковом валике, а на нижнем валике установлена порция воска для проверки фонетической функции.

Еще одним фактором, определяющим вертикальный параметр окклюзии, является доступное «заднее пространство для произношения». Последнее представляет собой промежуток между задними зубами в момент, когда нижняя челюсть передвигается вперед для произношения звука «С». Величина промежутка между задними зубами также будет варьировать в зависимости от класса скелетного соотношения, отмечающегося у пациента: у пациента со 2 классом соотношений величина такового будет больше, чем у пациента с 1 классом. Если же при произношении звука «С» задние зубы полностью соприкасаются, то это значит, что вертикальный размер окклюзии является слишком большим. Метод оценки надлежащего вертикального пространства для произношения, который нацелен на регистрацию параметра высоты прикуса, не стоит путать с методом регистрации свободного пространства в положении центрального соотношения. Свободное пространство в положении центрального соотношения представляет собой пространство между окклюзионными поверхностями верхних и нижних зубов в состоянии, когда мышцы нижней челюсти полностью расслаблены, в то же время при оценке надлежащего вертикального пространства для произношения мышцы являются активными. Положение челюсти в состоянии покоя является крайне вариабельным, и, следовательно, не может быть использовано для определения высоты прикуса (фото 5).
Фото 5. Измерение вертикальной составляющей прикуса в состоянии окклюзии и высота прикуса в состоянии покоя.

После того как врач зафиксировал соотношение зубов при произношении звука «С», он может установить вертикальный параметр окклюзии, уменьшив вертикальное пространство для произношения на несколько миллиметров. Если же этого не сделать, то зубы будут нефизиологично контактировать во время фонетической функции.
Регистрации центрального соотношения
Центральное соотношение определяется как «челюстно-нижнечелюстное соотношение, не зависящее от контакта с зубами, при котором мыщелки сустава контактируют с самой тонкой бессосудистой частью суставных дисков в передне-верхнем положении напротив заднего ската суставных бугров». Данное положение является повторяющимся и воспроизводимым. При протезировании полными съемными протезами важно восстановить прикус пациента в гармонии с центральным соотношением при соответствующей высоте прикуса. Это минимизирует возможность развития дефектных окклюзионных контактов, которые могут провоцировать развитие болезненных ощущений и нарушать ретенцию и стабильность протезов. Перед регистрацией центрального соотношения таковое должно быть первично установленным самим пациентом. Для этого врачом проводится бимануальная манипуляция с нагрузкой мыщелков тремя возрастающими уровнями силы (фото 6). После каждого уровня нагрузки врач спрашивает пациента о наличиеи каких-либо признаков напряжений или болезненности в области сустава. При отсутствии таковых на каждом уровне нагрузке врач констатирует достижение положения центрального соотношения. В ходе проведения данной диагностической манипуляции восковые валики не вводятся в ротовую полость пациента, поскольку центральное соотношение не зависит от контакта зубов.
Фото 6. Техника бимануальной манипуляции.

После проверки центрального соотношения оно регистрируется при помощи специальных аппаратов. Наиболее точным из таких является прибор для трассировки готической дуги. Данный аппарат характеризуется наличием ряда преимуществ, в том числе то, что он позволяет избавиться от физических помех на восковых валиках, стабилизирует базисные пластины и устанавливает мыщелки в центральном соотношение во время функциональных движений.
При работе с трассировщиком готической дуги предпочтительно использовать отдельный набор базисных пластин. Базисная пластина верхней челюсти удерживает ударную пластину (фото 7), а базисная пластина нижней челюсти - удерживает штифт (фото 8).
Фото 7. Фиксация ударной плоскости на восковом валике верхней челюсти для контроля движений готической дуги.

Фото 8. Фиксация трассирующего пина на восковом валике нижней челюсти для контроля движений готической дуги.

После установки базисных пластин внутрь ротовой полости пациента просят переместить нижнюю челюсть вперед и назад, вправо, а затем назад, влево и затем назад. Эта серия движений повторяется несколько раз, и нацелена на тренировку пациента, позволяя депрограммировать мышцы, чтобы гарантировать позиционирование мыщелков в центральном соотношении. После этого ударную пластину покрывают перманентным черным маркером, и пациента просят снова выполнить функциональные движения для трассировки. Когда штифт находится в точке пересечения трех линий трассировки, это значит, что челюсть находится в центральном положении (фото 9). С помощью бора на ударной пластине в точке пересечения этих линий формируется ямка. Затем пациента просят передвинуть нижнюю челюсть назад до тех пор, пока штифт не попадет в ямку. При таком фиксированном положении между пластинками вводят материл для регистрации прикуса, который позволит зафиксировать достигнутое пространственное положение челюстей.
Фото 9. Трассировка движений готической дуги: в области пересечений устанавливается центральное соотношение.

Фиксация моделей в артикуляторе
Фото 10. Вид вилки лицевой дуги с восковой композицией протеза.

Сначала в артикуляторе фиксируют модель верхней челюсти. После этого устанавливают базисные пластинки з регистратом движений готической дуги, что позволяет правильно сопоставить нижнюю челюсть. Штифт артикулятора при этом устанавливают на отметке «ноль». После этого удаляют трассировщик движений готической дуги и соединяют восковые композиции. Штифт артикулятора на данном этапе корректируют таким образом, чтобы порция воска, которая использовалась для проверки фонетической функции, не контактировала с восковым валиком верхней челюсти (фото 11).
Фото 11. Отсутствие контакта между порциями воскового материала при формировании надлежащей окклюзионной схемы.

Данное положение штифта отображает корректный параметр вертикальной составляющей прикуса, который был диагностирован у пациента. Учитывая данный критерий, зубной техник проводит установку зуба по лингвализированной окклюзионной схеме для достижения баланса между билатеральной сбалансированной окклюзией и центральным соотношением. Лингвализированная окклюзионная схема не предусматривает контакта передних зубов, именно поэтому штифт артикулятора устанавливается так, чтобы вышеупомянутые части восковой композиции не контактировали.
Проверка фонетической функции
На этапе примерки протеза обязательно проверяют параметры эстетики и фонетической функции. Пациента несколько раз просят произнести звук «С» и оценивают изменения соотношения челюстей. Такой подход способствует достижению более прогнозированных и успешных результатов.
Выводы
Реабилитация пациентов с полной адентией является непростой клинической задачей. Однако при реализации вышеописанного систематического подхода врачу удается добиться надлежащего восстановления функции, эстетики и фонетики в результате проведенного лечения (фото 12).
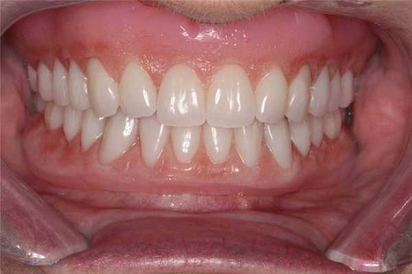
Фото 12. Вид окончательных конструкций полных съемных протезов в ротовой полости.

Данный подход также можно использовать при реабилитации пациентов съемными конструкциями на имплантатах, поскольку адаптивная способность таковых несколько ниже, чем обычных съемных протезов, учитывая стабильность установленных внутрикостных опор.
Читайте также:
