Юношеские угри - причины, симптомы, диагностика и лечение
Добавил пользователь Валентин П. Обновлено: 21.01.2026
Информацию из данного раздела нельзя использовать для самодиагностики и самолечения. В случае боли или иного обострения заболевания диагностические исследования должен назначать только лечащий врач. Для постановки диагноза и правильного назначения лечения следует обращаться к Вашему лечащему врачу.
Для корректной оценки результатов ваших анализов в динамике предпочтительно делать исследования в одной и той же лаборатории, так как в разных лабораториях для выполнения одноименных анализов могут применяться разные методы исследования и единицы измерения.
Акне: причины появления, симптомы, диагностика и способы лечения.
Определение
Акне (аcne vulgaris) чаще называют угрями. Это хроническое рецидивирующее воспалительное заболевание кожи, проявляющееся открытыми или закрытыми комедонами, папулами, пустулами, кистами.
Комедоны - невоспалительные мелкие узелки белого или черного цвета, которые создают ощущение неровного рельефа кожи, проявление скопления кожного сала и кератина в волосяном фолликуле.
Папулы (узелки) - бесполостные образования, выступающие над уровнем кожи, плотной или мягкой консистенции.
Пустулы - полостные элементы сыпи, возникающие в результате гнойного процесса.
Причины появления акне
Акне - один из самых распространенных дерматозов. Пик заболеваемости приходится на возраст 15-18 лет (юношеские угри), причем склонны к акне как юноши, так и девушки. Позднее акне (акне тарда) преобладает у женщин.
Выделяют несколько основных факторов, влияющих на развитие угревой сыпи: фолликулярный гиперкератоз, гипертрофия сальных желез, микробная колонизация и воспалительный процесс.
Триггером является генетически обусловленное увеличение количества андрогенов в организме и/или повышенная чувствительность рецепторов клеток сальных желез к производным тестостерона. В результате избыточной продукции кожного сала (себума) возникает гиперкератоз, способствующий образованию пробки в устье фолликулов. Это приводит к скоплению в нижней части фолликула кератиновых масс, избытка кожного сала и различных бактерий. Затем последовательно происходит расширение верхней части волосяного фолликула и образование микрокомедона. Микрокомедон, содержащий кератин, кожное сало и бактерии, продолжает расширяться, стенка фолликула разрывается, и начинается воспалительный процесс. Повышенная секреция себума приводит к росту микроорганизмов (Propionibacterium acnes, Staphylococcus epidermidis, грибов рода Pityrosporum).
Среди причин развития акне нередко называют снижение числа лактобактерий в желудочно-кишечном тракте, приводящее к увеличению уровня липидов в крови.
Кроме того, замечено, что акне чаще страдают люди, в рационе питания которых много продуктов, богатых жирами и быстрыми углеводами.
- Юношеские угри:
- Угри взрослых:
- Угри детского возраста:
- Угри, вызванные экзогенными причинами.
- Угри, вызванные механическими факторами.
- Акнеформные высыпания.
- легкие формы течения акне;
- средние формы течения акне;
- тяжелые формы течения акне.
- Наследственность. Вероятность появления акне у подростка при наличии отягощенного семейного анамнеза составляет 50-70% и больше. Это обусловлено неблагоприятной комбинаций генных аллелей, которые регулируют развитие и функциональную активность сальных желез. Имеет значение ядерный R-фактор, определяющий генетическую предрасположенность.
- Бактерии. При застое кожного жира активизируются условно патогенные формы микроорганизмов: пропионобактерии, эпидермальные стафилококки, микрококки. Их количество стремительно увеличивается, что клинически проявляется воспалением комедонов, формирование крупных угрей. Реже причиной болезни становятся грибы Candida и Pytirosporum ovale.
- Стрессы. Во время стрессовой ситуации усиленно вырабатываются гормоны надпочечников, которые воздействуют на гормонозависимые сальные железы. Они действуют подобно андрогенам — активизируют выработку кожного сала и нарушают его химический состав, чем провоцируют размножение патогенной микрофлоры.
- Неправильный уход за кожей. Самостоятельное лечение юношеских угрей с применением жестких средств для умывания и спиртовых болтушек еще больше нарушает микрофлору и липидный барьер кожного покрова. Кожа становится пересушенной и чувствительной, но на ней продолжают появляться воспалительные элементы.
- Легкая. У подростка одновременно выявляется не более 10 комедонов и небольших папулопустулезных элементов. Сыпь покрывает только один участок тела, чаще всего возникает на лице. Лечение проходит успешно, рубцы практически не остаются.
- Умеренная. На коже присутствует до 25 пустул и до 20 комедонов, при этом поражение затрагивает 2 и более анатомические зоны (лицо, грудь, спина). На фоне заболевания у ребенка начинаются психосоциальные проблемы.
- Тяжелая. Характеризуется многочисленными комедонами и папулопустулезными угрями, лечение которых затруднено, а после разрешения зачастую остаются рубцы. Появляются индуративные и конглобатные элементы.
- Бактериологический посев. Для диагностики берут отделяемое из гнойных элементов или соскоб кожи. Лаборанты определяют состав микрофлоры эпидермиса, идентифицируют потенциально патогенные микроорганизмы. Чтобы подобрать лечение, выполняют тест на чувствительность бактерий к антибиотикам.
- Гормональный профиль. При рецидивирующей угревой сыпи, протекающей в тяжелой форме, врача интересуют уровни гормонов половых желез, надпочечников, гипофиза и гипоталамуса. У девочек-подростков кровь на исследование берут в разные дни месяца, чтобы оценить прирост андрогенов во второй фазе менструального цикла.
- Уменьшение салоотделения. Для нормализации работы кожных желез детям с легкими формами болезни наносят в виде кремов местные ретиноиды, а при тяжелых вариантах течения рекомендованы системные ретиноиды. При необходимости используют гормональные препараты — антиандрогены, эстрогены.
- Купирование воспаления. С этой целью назначают азелаиновую кислоту, местные антибактериальные мази и примочки. Распространенные и глубокие юношеские угри — показание к подбору системных антибиотиков.
- Удаление комедонов. Для растворения рогового слоя и уменьшения скоплений кожного сала применяются средства с бензилпероксидом, салициловой кислотой, адапаленом. Высокую эффективность показывают кислотные пилинги. При неэффективности консервативных методов могут проводить комедоноэкстракцию.
- Открытые комедоны выглядят как плотные высыпания поверхностного типа, обычно серого или черного цвета, который придает им окислительная реакция их содержимого с кислородом.
- Закрытые комендоны, подкожные прыщи (милиумы) имеют вид белых бугорков или точек, похожих на маленькие крупинки проса. Скопившееся кожное сало не имеет выхода наружу, что приводит к болезненному воспалению. Закрытые комедоны чаще превращаются в классические красные прыщи.
- Папулы (красные прыщи) представляют собой воспалившиеся комедоны без явного гнойного содержания. Имеют вид мелких красных или розовых шариков, выступающих над поверхностью кожи, белой головки нет. Если папула сформировалась на месте открытого комедона, то сквозь кожу часто можно разглядеть темную пробку.
- Пустулы - это инфицированные папулы или, проще говоря, прыщи с гнойным содержимым и белой головкой, окруженные воспаленной кожей. Они появляются, когда помимо кожного сала и бактерий в поры попадают омертвевшие клетки кожи. По форме пустулы бывают конусообразными, плоскими или сферическими. Их цвет может варьировать от белого до желтого или зеленого.
- Физиологические изменения гормонального статуса: половое созревание, вторая фаза менструального цикла, беременность, лактация, менопауза.
- Заболевания эндокринной системы: синдром поликистозных яичников, гипотиреоз, опухоли эндокринных желез.
- Утолщение рогового слоя эпидермиса (гиперкератоз), когда мертвые клетки эпидермиса не отшелушиваются, а остаются на коже, закупоривая сальные железы.
- Заболевания печени и вызванная ими интоксикация.
- Неправильное питание и авитаминоз:
- Преобладание в рационе быстрых углеводов (фастфуда, хлебобулочных изделий, жареной, жирной пищи) провоцирует повышение уровня глюкозы в крови и резкий выброс инсулина, что, в свою очередь, влияет на повышение уровня тестостерона.
- Избыток омега-6 жирных кислот может усугубить воспалительные процессы в коже (такие явления могут наблюдаться при употреблении большого количества рыбы и птицы, выращенной на комбикормах).
- Злоупотребление молочными продуктами, подсолнечным, арахисовым, соевым маслами и маргарином нередко вызывает гиперфункцию сальных желез.
- Дефицит цинка, витаминов А и Е, Омега-3 жирных кислот.
Заболевания желудочно-кишечного тракта, нарушение моторики и перистальтики кишечника, частые запоры способствуют интоксикации и появлению прыщей.
При наличии высыпаний на коже следует обратиться к врачам-дерматологам и косметологам. Однако часто лечение требует комплексного подхода, подразумевающего терапию заболевания, симптомом которого стали прыщи. В таком случае необходимы консультации гинеколога , эндокринолога , гастроэнтеролога , аллерголога , психоневролога.
Диагностика и обследования при появлении прыщей
Прыщи и их локализация являются своеобразным мессенджером, передающим информацию о нарушениях работы органов или систем. Чаще всего прыщи возникают в так называемой Т-зоне (лоб, нос, подбородок) - здесь сальные железы наиболее активны, а поры - расширены. Но нередко прыщи встречаются и на щеках, скулах (U-зоне). Это обусловлено разными причинами и состоянием организма. Составлена специальная карта-путеводитель «Виды прыщей и что они означают». Так, средняя часть лба соответствует нижнему отделу пищеварительного тракта, тонкому кишечнику и мочевому пузырю, область возле ушных раковин - почкам, веки и область вокруг глаз - печени, височная область - желчному пузырю, средняя треть лица, скулы - легким, подбородок - желудку, органам малого таза, нос - поджелудочной железе и сердцу, а нижняя часть щек и нижняя челюсть - нижним отделам ЖКТ.
![Карта.jpg]()
Диагностика начинается с тщательного осмотра кожи, сбора анамнеза (сведений о перенесенных болезнях, операциях, хронических заболеваниях, наследственности) и установления связи между высыпаниями и образом жизни, питанием, привычками.Если природа заболевания неочевидна, назначаются лабораторные исследования.
- Клинический анализ крови.
Комедоны (чёрные точки) - симптомы и лечение
Что такое комедоны (чёрные точки)? Причины возникновения, диагностику и методы лечения разберем в статье доктора Алфимовой Валерии Дмитриевны, косметолога-эстетиста со стажем в 6 лет.
Над статьей доктора Алфимовой Валерии Дмитриевны работали литературный редактор Маргарита Тихонова , научный редактор Татьяна Репина и шеф-редактор Лада Родчанина
Определение болезни. Причины заболевания
Комедоны — это невоспалительные мелкие узелки белого или чёрного цвета, которые создают на коже ощущение неровности. Они возникают при закупорке устьев волосяных фолликулов. С остоят из клеток кожи — кератиноцитов, и кожного сала — себума.
![Закрытые и открытые комедоны]()
Обычно комедоны — это одно из проявлений акне. Но иногда они возникают самостоятельно [17] .
Основная причина появления комедонов — избыток кожного сала и нарушение кератинизации — образования и отшелушивания клеток кожи. Эти изменения приводят к появлению так называемой "пробки", которая заполняет сально-волосяной проток.
Факторы риска
Комедональная форма акне , как правило, возникает в период полового созревания — 12-16 лет . В это время у подростков формируется свой гормональный статус, который может повлиять на состояние кожи. Под воздействием гормонов она становится более жирной, что способствует развитию комедонов.
Но иногда комедоны образуются после 20 лет. Этому способствуют факторы, которые стимулируют выработку кожного сала. К таким факторам относят:
- наследственную предрасположенность;
- гормональные изменения;
- неправильный уход за кожей;
- неадекватное питание — чрезмерное употребление сладких, рафинированных, цельномолочных и мучных продуктов;
- частые стрессовые ситуации.
В основном работу сальных желёз регулируют гормоны. Поэтому пациентам с комедонами и другими проявлениями акне рекомендуется обратиться к эндокринологу ил гинекологу-эндокринологу. Он оценит гормональный статус и при необходимости поможет его скорректировать.
Усугубить течение комедональной формы акне могут эндокринные нарушения:
- ; ; — СПКЯ;
- гиперандрогению; ; и 2-го типа;
- инсулинорезистентность [12] .
- I степень — наличие комедонов и до 10-ти папул — небольших розовых узелков , иногда с чёрной точкой в центре;
- II степень — сочетание комедонов и папул, появление не более 5-ти гнойничков — пустул;
- III степень — сочетание комедонов и папуло-пустулёзной сыпи, появление не более 5-ти узлов;
- IV степень — явное воспаление кожи с образованием болезненных узлов и кист [2] .
- Сальные железы начинают вырабатывать слишком много себума. Он превращается в густую липкую массу, которая полностью заполняет проток.
- Образование кератиноцитов усиливается, клеток становится больше. Они застревают в густом себуме и закупоривают выходной проток сальной железы.
- большим размером сальной железы;
- гиперчувствительностью рецепторов сальных желёз к половым гормонам — андрогенам;
- гиперандрогенией — высоким уровнем андрогенов;
- повышенной активностью фермента 5-альфаредуктазы при нормальном уровне половых гормонов.
- 0 баллов — на коже есть несколько небольших комедонов или папул, которые заметны только при близком рассмотрении;
- 2 балла — на коже есть несколько открытых или 20-30 закрытых комедонов, четверть лица покрыта небольшими папулами — до 6-12 штук;
- 4 балла — почти половина лица покрыта небольшими папулами или комедонами, на коже есть несколько пустул и больших выступающих комедонов;
- 6 баллов — примерно ¾ лица покрыто папулами и/или большими открытыми комедонами, есть множество пустул;
- 8 баллов — поражена почти вся площадь лица, особое внимание на себя обращают большие выступающие пустулы.
- назначение комедонолитиков;
- аккуратное удаление комедонов;
- нормализация питания.
- Очищающее средство не должно пениться, содержать спирт и ПАВы — поверхностно-активные вещества. Стоит отдавать предпочтение мягким очищающим гелям или эмульсиям без масел.
- Тоник для дополнительного очищения и увлажнения должен быть мягким. Желательно, чтобы в его состав входил комедонолитик, например салициловая кислота.
- Крем не должен утяжелять кожу, делать её более жирной. Рекомендуется выбирать средство с более жидкой текстурой, без интенсивных жирных компонентов.
- Домашние пилинги и полирующие средства помогут регулярного поддерживать эффект лечения. Концентрация активных компонентов в них должна быть низкой. Жёсткие скрабы могут травмировать кожу, поэтому пользоваться ими не рекомендуется.
- Чтобы усилить действие косметических средств, можно воспользоваться сывороткой с активными компонентами.
- Для дополнительного очищения кожи от избытка жиров можно делать подсушивающие, салорегулирующие маски.
- Пример ретикулосаркомы ЖКТ. Лимфосаркома желудка и тонкой кишки
- Келоид у ребенка
- Пример сепсиса как причины пороков сердца. Сочетание ревматизма и сепсиса при пороке сердца
- КТ, МРТ при метастатическом поражении височной кости
- Экономика чрескожных коронарных вмешательств. Экономика антикоагулянтной и антитромботической терапии
- а) комедоны;
б) папулопустулезные угри;
в) узловато-кистозные угри;
г) молниеносные угри.
- а) поздние угри;
б) инверсные угри;
в) bodybuilding acne;
г) конглобатные, или нагроможденные акне.
- а) угри новорожденных;
б) угри детей.
Пациенты обычно предъявляют жалобы на сальность кожи, появление комедонов, папул, пустул, болезненность и зуд в месте высыпаний.
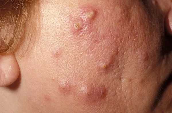
При папулопустулезных акне (самых распространенных высыпаниях) наблюдаются закрытые и открытые комедоны, папулы и пустулы. Закрытый комедон - это белесые папулы диаметром 1-2 мм, лучше всего заметные при растягивании кожи. При сдавливании такого комедона его содержимое выделяется с трудом. Закрытые комедоны часто воспаляются с образованием пустул. Открытые комедоны — это черные точки, размером 0,5-1,0 мм. Консистенция открытых комедонов плотная серовато-белая, форма - грушевидная.

У новорожденных акне возникают на фоне гормонального криза новорожденных и в большинстве случаев самостоятельно регрессируют без следа, проявляются единичными или множественными поверхностными папулами, пустулами, закрытыми и открытыми комедонами и милиумами (небольшими поверхностными кистами).
Детские акне наблюдаются редко, их появление связано с повышением андрогенов в организме на фоне врожденной гиперплазии коры надпочечников, вирилизирующих опухолях.
Юношеские акне являются самым распространенным поражением кожи, чаще всего они локализуются в центральной части лица (на носу, лбу, подбородке).
Новые высыпания обычно перестают появляться после 22-23 лет, но в некоторых случаях формируется персистирующая форма акне (постъювенильные акне), поздние акне, или акне тарда.
Симптомы акне тяжелой степени (конглобатная, или узловая форма) - глубокие воспалительные узлы и кисты, которые могут сливаться, возвышаясь над кожей. Когда узлы вскрываются, появляются язвы, которые долго не проходят. После регресса на их месте формируются рубцы постакне.
Возникновение инверсных акне связывают с метаболическим синдромом, инсулинорезистентностью. Воспалительный процесс происходит в апокриновых потовых железах с возникновением и вскрытием подкожных инфильтратов в подмышечных впадинах, в области пупка и промежности, вокруг сосков с последующим формированием рубцовых изменений. Заболевание протекает хронически с частыми рецидивами.
Молниеносные акне регистрируют у лиц мужского пола. Для заболевания характерны боли в крупных суставах, повышение температуры тела, возникают крупные элементы с некротическими корками и кровянисто-гнойным отделяемым на фоне уже имеющихся акне.
Механические угри (аcne mechanica) считается проявлением истинной угревой болезни - высыпания становятся следствием длительного трения или давления на кожу твердыми головными уборами, лобными повязками, тугими воротничками, грубыми шарфами, одеждой из грубой ткани.
Летние акне (Майорка-акне) появляются на открытых солнцу участках лица и тел, а также в результате применения средств с УФ-фильтрами.
Косметические акне провоцируются и поддерживаются косметическими средствами ухода за кожей. Изопропилмиристат, масло какао, ланолин, бутилстеарат, стеариловый спирт и масляная кислота, которые входят в состав средств, обладают наибольшим комедогенным эффектом.
Диагностика акне
С целью уточнения причины возникновения акне могут быть рекомендованы следующие обследования:
- клинический анализ крови с определением концентрации гемоглобина, количества эритроцитов, лейкоцитов и тромбоцитов, величины гематокрита и эритроцитарных индексов (MCV, RDW, MCH, MCHC), лейкоформула и СОЭ (с микроскопией мазка крови при наличии патологических сдвигов);
Синонимы: Общий анализ крови, ОАК. Full blood count, FBC, Complete blood count (CBC) with differential white blood cell count (CBC with diff), Hemogram. Краткое описание исследования Клинический анализ крови: общий.
Юношеские угри
Юношеские угри возникают у большинства подростков в возрасте 12-18 лет. Они развиваются из-за повышенного салоотделения и фолликулярного гиперкератоза, а провоцируются гормональными изменениями пубертата и отягощенной наследственностью. Количество высыпаний варьирует от нескольких небольших акне до множественных кистозных элементов. Диагностика проводится с помощью клинического обследования, бактериологических и гормональных анализов. Лечение угревой сыпи у подростков включает местные средства (антибиотики, ретиноиды, азелаиновая кислота), системные препараты, правильную уходовую косметику и аппаратные методы.
МКБ-10

Общие сведения
Юношеские акне («вульгарные угри») — самая распространенная кожная проблема, которая встречается у 90% подростков. У девочек они возникают в среднем после 12 лет, у мальчиков — в 14-15 лет, что коррелирует со сроками начала полового созревания. Клинические формы, при которых требуется серьезное лечение, составляют до 15%. Угри детского возраста выявляются намного реже — около 7 случаев на 10 тыс. населения. Гнойничковая сыпь на коже доставляет психологический дискомфорт, в тяжелых случаях она становится причиной полной изоляции от сверстников и общества.
Причины
Подростковые угри — полиэтиологическая проблема, но пусковым фактором в современной дерматологии считаются гормональные перестройки пубертатного периода. В это время в крови стремительно возрастает уровень андрогенов (тестостерона и дигидротестостерона), стимулирующих работу сальных желез тела. Помимо эндокринных причин, провоцировать угревую сыпь могут следующие факторы:
Патогенез
В механизме формирования юношеских угрей наибольшая значимость придается 2 факторам: гиперандрогенемии и генетической предрасположенности. Они вызывают увеличение размеров и усиленное функционирование сальных желез, которое сопровождается фолликулярным гиперкератозом. Как следствие протоки желез закупориваются, изменяется рН и биохимический состав секрета, создаются благоприятные условия для размножения бактерий.
Если закупорка произошла в наружной части выводного протока, появляются открытые комедоны (черные точки). При гиперкератозе глубокой части канала в нем накапливаются избыточные сальные и роговые массы, и образуется закрытый комедон. Активное размножение микроорганизмов в сальных железах приводит к воспалению. На коже появляются воспалительные элементы — папулы, пустулы, узлы.
Большую роль в развитии угревой сыпи имеют пропионовые бактерии. Они выделяют хемоаттрактанты, которые повышают приток лейкоцитов и провоспалительных биомолекул в очаг воспаления. Микроорганизмы усиливают синтез интерлейкинов, способствуют выработке специфических антител. Установлено, что P. acnes резистентны к разрушению фагоцитами, поэтому вызванные ими угри умеют торпидное течение.
Классификация
Наиболее удобной для определения клинической формы и постановки диагноза признана классификация Дж. Плевига и А. Клигмана (G. Plewig, A. Kligman), предложенная в 1993 году. Авторы предложили делить угревую болезнь на акне детского возраста и юношеские угри. Последние, в свою очередь, по морфологическим характеристикам бывают комедональные, папулопустулезные, конглобатные и инверсные. Реже встречаются молниеносные и механические формы. По степени тяжести угревая сыпь бывает:
Симптомы юношеских угрей
Небольшие открытые комедоны имеют вид черных точек размером до 1 мм, которые располагаются в основном в Т-зоне лица, могут быть в верхней части спины и груди. Закрытые комедоны — мелкие белые узелки, которые не болят при надавливании и не воспаляются, но создают эстетический дискомфорт и эффект негладкой кожи. При присоединении воспаления кожа вокруг элементов краснеет и отекает, в их центре формируется белая точка — гнойник.
При слиянии глубоко расположенных юношеских элементов акне образуются узловатокистозные угри. Внешне они выглядят как багрово-красные узлы, при прикосновениях сильно болят. Гнойные полости могут вскрываться, в таком случае на месте элемента остается рана, после заживления которой виден рубец. При молниеносной форме юношеских угрей гнойники быстро изъязвляются, оставляя после себя длительно незаживающие раны. При инверсных угрях воспаление поражает потовые железы.
Осложнения
Крупные воспалительные элементы оставляют заметные рубцы и багровые следы постакне, которые не проходят самостоятельно и могут исчезнуть только после аппаратного воздействия. Серьезные рубцовые осложнения наблюдаются после самостоятельного выдавливания гнойных элементов, что сопровождается травмами кожи и распространением инфекции по всему лицу. Юношеские угри сочетаются с пигментацией, экскориациями.
Крупные гнойники в области носогубного треугольника опасны риском вовлечения в инфекционный процесс мозговых сосудов. В течении умеренной и тяжелой формы юношеских угрей неизбежно наступают психологические проблемы — снижение самооценки, повышенная тревожность, фобические расстройства. У части подростков вследствие длительного существования акне и рубцов развиваются депрессии и социальная дезадаптация.
Диагностика
Клиническое обследование подростка проводит детский дерматолог. Он оценивает состояние кожи, определяет тип и количество угрей, выявляет осложнения — рубцы, пигментацию. Врач детально собирает анамнез заболевания и жизни ребенка, интересуется наследственностью. К диагностике могут подключаться эндокринолог, аллерголог-иммунолог, психолог и другие специалисты. Чтобы выявить причины юношеских угрей, назначаются:
Лечение
Учитывая разнообразие этиологических факторов и лекарственную устойчивость бактерий, лечение патологии представляет собой сложную задачу. Выбор терапевтических методов зависит от тяжести, клинического варианта юношеских акне, наличия осложнений и психологического состояния подростка. На Всемирном конгрессе по дерматологии разработаны основные принципы патогенетического лечения:
Научно-обоснованные доказательства связи питания и юношеский угрей отсутствуют, поэтому соблюдение диеты не относится к рутинным методам. Однако у некоторых подростков лечение было более эффективным при ограничении молочных продуктов и сладостей. Детям, страдающим ожирением, подбирают гипокалорийный рацион, чтобы снизить вес и благодаря этому нормализовать гормональный фон.
Важное место отводится косметическим уходовым средствам. Они не лечат угревую сыпь, но подготавливают кожные покровы к нанесению лекарств, нормализуют салоотделение и ороговение. Для рутинного ухода подросткам подбирают очищающие гели и лосьоны, тоники с успокаивающими и антибактериальными компонентами, кремы для увлажнения и питания кожи.
Комплексное лечение включает аппаратные и физиотерапевтические методы. Хороший эффект дает фототерапия и озонотерапия юношеских угрей, при глубоких кистозных акне помогает точечное лазерное воздействие. После стихания острой фазы для разрешения рубцов проводится мезотерапия, срединные кислотные пилинги, дермабразия.
Прогноз и профилактика
Первичная профилактика болезни затруднена, поскольку гормональные изменения неизбежны в подростковом возрасте. Чтобы уменьшить риск тяжелых форм юношеских угрей, необходимо подбирать правильные средства по уходу за кожей, ни в коем случае не выдавливать прыщи и черные точки. Подросткам с жирной кожей и склонностью к обильным высыпаниям обязательно нужна консультация дерматолога.
1. Системный подход к лечению угревой болезни. М.С. Линник, Я.Р. Вовк // Современные научные исследования и разработки. — 2016
2. Современные подходы и средства лечения угревой болезни. Л.А. Болотная // Дерматовенерология. Косметология. Сексопатология. — 2008
3. Электроимпульсная терапия в комплексном лечении больных с юношескими угрями. М.Ю. Герасименко, Н.Н. Лазаренко, Д.Ю. Бутенко. — 2008
Юношеские угри - причины, симптомы, диагностика и лечение
Прыщи на лице
Прыщи на лице: причины появления, при каких заболеваниях возникает, диагностика и способы лечения.
Сальные железы в коже человека располагаются у основания волосяного фолликула. Они продуцируют кожное сало, которое увлажняет кожу и защищает от негативного влияния окружающей среды, бактерий и грибов. Гиперсекреция сальных желез провоцирует формирование прыщей (акне, угрей). На лице они чаще всего локализуются в местах расположения крупных сальных желез (на лбу, висках, щеках, на носу и подбородке).

Разновидности прыщей на лице
В самом общем виде прыщи относятся к одному из двух типов:
Невоспалительные элементы (комедоны) - выглядят как небольшие бугорки или точки различного цвета. Комедоны могут быть открытыми или закрытыми.
Зеленый цвет означает присоединение вторичной инфекции, и при самостоятельном выдавливании велика вероятность ее проникновения в кровь.
Кистозные прыщи тяжело поддаются лечению и всегда оставляют на коже заметные следы.

Возможные причины появления прыщей на лице
Итак, прыщи появляются как результат избыточной продукции кожного сала, которое закупоривает кожные поры. Если пора закрыта частично и в нее есть доступ воздуха, начинается образование прыщей. Сначала они выглядят как черные точки, окруженные воспаленной кожей, - так называемые угри. В полностью закупоренной поре, как в контейнере, быстро размножаются анаэробные бактерии (Propionibacterium acnes или Malassezia), провоцирующие воспалительный процесс и нагноение.
Но что заставляет сальные железы работать столь активно? Считается, что одна из причин кроется в высоком уровне андрогенов (мужских половых гормонов), которые стимулируют выработку кожного сала. Развитию гиперандрогении могут способствовать проблемы пищеварения, стрессы, болезни почек и надпочечников, эндокринной и половой системы.
Важно упомянуть, что высыпания на лице, внешне похожие на прыщи, могут быть симптомом и проявлением других, порой очень серьезных дерматологических заболеваний (акнеформных дерматозов), которые никак не связаны с работой сальных желез.
Прыщи на лице могут оказаться симптом целого ряда заболеваний (нарушения функции внутренних органов, гормональной дисфункции, недостатка витаминов, снижения иммунитета), а также плохой экологической обстановки, неправильного ухода за кожей. Перечислим основные заболевания, состояния и факторы, результатом воздействия которых становятся высыпания на коже.
Комедоны, появившиеся на фоне этих заболеваний, хуже поддаются лечению.
Предположительно к причинам развития комедонов относят нарушения работы пищеварительного тракта, такие как гастрит, язва желудка, дисбактериоз и др. Их взаимосвязь с акне подтверждается рядом исследований, но влияние таких заболеваний на появление комедонов пока не доказана [6] [18] .
При обнаружении схожих симптомов проконсультируйтесь у врача. Не занимайтесь самолечением - это опасно для вашего здоровья!
Симптомы комедонов
Комедоны хаотично располагаются на лице, декольте и спине. Их к оличество зависит от состояния организма и особенностей кожи: размера сальных желёз и количества выделяемого себума. Поэтому у кого-то на коже образуется всего 5-10 комедонов, а у кого-то — 100 и более элементов.

Из-за длительного присутствия комедона в сально-волосяном протоке запускается воспалительная реакция . В ней участвуют грибы рода Malassezia и бактерии рода Cutibacterium acne . В результате воспаления развиваются более тяжёлые формы акне.

Американская академия дерматологии выделяет четыре степени тяжести акне:
Патогенез комедонов
В основе образования комедонов лежит нарушение нормальной работы сальных желёз. Они расположены в глубоких слоях кожи, у корня волоса.
Сальные железы продуцируют собственный секрет — себум, или кожное сало. Продвигаясь вверх по сально-волосяному протоку , он создаёт на коже защитный барьер, придаёт ей эластичность, поддерживает нормальный уровень pH, способствует сохранению влаги.
Клетки, которые вырабатывают себум, постоянно обновляются: они смещаются в сторону устья сальной железы, постепенно накапливают секрет и разрушаются. Кератиноциты, которые выстилают в ыходной проток фолликула, тоже постоянно обновляются и отшелушиваются.
Когда функция сальных желёз нарушается, происходит следующее:
Когда просвет канала полностью заполнен, содержимое сально-волосяного протока начинает давить на стенки канала. Устье протока расширяется, в итоге образуется комедон. В такой среде со временем активируется условно-патогенная флора. Она начинает поглощать избыток себума, который является для неё питательной средой. В результате сально-волосяной фолликул воспаляется — развивается акне [3] .
Наследственность, гормональные нарушения и питание
Генетическая предрасположенность к образованию комедонов может быть связана с одной из четырёх особенностей:
Последняя особенность связана с переходом андрогена в дигидротестостерон — ДГТ. Такой переход происходит под влиянием фермента 5-альфаредуктазы .
ДГТ контролирует активность сальных желёз и процесс кератинизации. Этот гормон связывается с андрогенными рецепторами по принципу "ключ-замок", где "ключ" — это гормон, а "замок" — это андрогенный рецептор. Но "открыть замок" можно только с помощью другого гормона — инсулина или инсулиноподобного фактора роста — IGF-1 [3] .
Сами по себе инсулин и глюкоза необходимы для организма. Их уровень повышается после употребления любых продуктов. Но при чрезмерном количестве сладостей, рафинированных и других продуктов концентрация инсулина и глюкозы становится больше. Причём сначала увеличивается уровень глюкозы в крови, а потом — инсулина. И дальше всё развивается по тому же сценарию, приводя к активной выработке кожного сала и образованию комедонов.
Уровень инсулина также повышается при употреблении цельномолочных продуктов. Инсулин связывается с андрогенными рецепторами и повышает уровень ДГТ. Этот гормон, в свою очередь, связывается с рецепторами сальных желёз и стимулирует выработку себума.
Поэтому людям, генетически склонным к повышенному салоотделению, следует быть особо осторожными и контролировать употребление сладостей, молочных и рафинированных продуктов.
Неправильный уход за кожей
Кожа, склонная к развитию комедональной формы акне, нуждается в грамотном уходе.
Мыло, жёсткие скрабы и спиртовые средства с поверхностно-активными веществами только травмируют кожу, приводя к появлению новых комедонов. Эти средства нарушают рН кожи — её защитный барьер, из-за чего она становится пересушенной. О рганизм будет пытаться восстановить кожный барьер, усилив выработку себума и образование кератиноцитов. Но это лишь усугубит состояние кожи.
Людям, склонным к образованию комедонов, также не рекомендуется пользоваться маслами, плотными кремами и массировать кожу. Плотные кремы и масла могут ещё больше закупорить сально-волосяной проток, а усиленное разминание, растирание и давление на кожу привести к обострению болезни.
Стресс
Стрессовые ситуации являются триггерным фактором комедональной формы акне [4] [5] . Это связано с выработкой нейромедиаторов, в частности субстанции Р. Это вещество передаёт сигнал, запускает процесс воспаления, расширяет сосуды и увеличивает проницаемость капилляров.
Сальные железы обладают повышенной чувствительностью к субстанции Р. Поэтому нейромедиаторы связываются с клетками сальных желёз и стимулируют их активность. В результате усиливается образование себума [7] .
Классификация и стадии развития комедонов
Комедоны бывают закрытыми и открытыми.
Закрытые комедоны — это белые подкожные узелки около 1 мм в диаметре. Из-за маленького отверстия в коже содержимое таких узелков почти не контактирует с внешней средой, а кератиноциты, которые образуются в устье протока, не могут "прорваться" на поверхность кожи и увеличивают давление внутри.
Иногда закрытые комедоны появляются у новорождённых в первые недели жизни. В этом возрасте болезнь проходит самостоятельно, лечение не требуется. В остальных случаях закрытые узелки перерастают в открытые комедоны [3] .

Открытые комедоны — это чёрные точки размером 0,5-1,0 мм . Причина их тёмного цвета — пигмент меланин и кислородное окисление содержимого комедона через большое отверстие в коже [1] . После исключения триггерного фактора они, как правило, перестают расти и исчезают.

Осложнения комедонов
Если не устранить триггерные факторы и вовремя не обратиться к дерматологу, комедоны могут увеличиться и привести к развитию более тяжёлых форм анке, таким как пустулы (гнойнички), узлы и кисты.

Узлы — это подкожные уплотнения. Чаще возникают на лице и спине. Кожа над узлами становится синюшной, истончается, в ней появляются отверстия, из которых выделяется гной. Заживают узлы с образованием рубцов.

Киста — это подкожное полостное образование. Оно формируются при расплавлении содержимого узла. Заживают с образованием грубых рубцов [9] .

Осложнения самолечения
Пациенты часто пытаются самостоятельно "выдавить" комедоны. Тем самым они рискуют травмировать кожу и сосуды. Эти повреждения могут привести к отёку, воспалению, присоединению бактериальной инфекции и поствоспалительному покраснению кожи — эритеме.
Поствоспалительная эритема — это длительно заживающее покраснение. Оно возникает из-за травмы сосудов при чрезмерном надавливании на поверхность кожи.

Вторичная бактериальная инфекция проникает в комедон через открытое устье фолликула. Она приводит к появлению гнойничковой сыпи.

Диагностика комедонов
Первым делом врач осматривает пациента и проводит пальпацию. Доктор определяет тип кожи и количество комедонов, оценивает место их расположения, размер и глубину залегания, осматривает кожу на наличие воспаления, узлов и кист.
При сочетании комедонов с акне тяжесть течения болезни оценивается по шкале Кука [2] [16] . Чем выше показатель, тем тяжелее течение:
После осмотра доктор собирает полный анамнез — историю болезни, и затем назначает лечение.
Дифференциальная диагностика
Иногда комедоны похожи на образования, возникающие при гиперплазии сальных желёз — их доброкачественном увеличении. В этом случае образование представляет собой одну увеличенную сальную железу, дольки которой расположены вокруг сального протока. При надавливании на такое образование содержимое не выделяется.

Внешне напоминать комедоны могут плоские бородавки — наросты на поверхности кожи. Эти образования отличаются плоской формой, но при этом слегка выпуклые.

Бородавки и гиперплазия сальных желёз не связаны с образованием комедонов. Для устранения этих патологий используют другие способы коррекции.
Также комедоны нужно отличить от милиумов — эпидермальных или фолликулярных роговых кист. Эти кисты внешне напоминают небольшие узелки белого цвета. Часто они появляются на коже вместе с комедонами, но отношения к ним не имеют [13] .

Лечение комедонов
Основа лечения — индивидуальный подход. Первым делом врач разъясняет пациенту особенность его состояния и причину проявления комедонов. Затем проводит терапию, назначает лечение и корректирует домашний уход.
Вывести пациента из комедональной формы акне в продолжительную ремиссию может только комплексным подход. Он состоит из трёх этапов:
Комедонолитики — это средства, которые предотвращают закупорку сально-волосяных протоков. Наиболее эффективным является ретинол , или ретиноевая кислота — форма витамина А. Это вещество стимулирует рост клеток, уменьшает сальные железы и объём вырабатываемого себума.
К другим комедонолитикам с доказанной эффективностью относят азелаиновую , салициловую и АНА-кислоту, цинк, серу и резорцин . Они регулируют салоотделение, убивают бактерии, уменьшают покраснение и отёчность кожи [7] .
Лечение стойких и распространённых комедонов проводится с помощью наружных средств, в состав которых входят ретиноиды, бензоилпероксид и азелаиновая кислота. При сочетании комедонов с папулами, пустулами, узлами и кистами доктор назначает изотретиноин для приёма внутрь. Все эти средства должны использоваться строго по показаниям и под наблюдением врача.
Механическое удаление комедонов выполняется дерматологом. Перед этим врач может назначить гигиеническую чистку лица — химический пилинг. Процедура позволяет избежать осложнений и улучшить текущее состояние кожи.

Нормализация питания направлена на исключение продуктов, которые стимулируют выработку кожного сала. Поэтому людям с жирным типом кожи, склонной к появлению комедонов, рекомендуют ограничить употребление цельномолочных продуктов и продуктов с высоким гликемическим индексом. Это позволит избежать излишней стимуляции сальных желёз.
Особенности домашнего ухода :
Все средства домашнего ухода должны содержать в себе АНА-кислоты, ретинол, салициловую кислоту, серу или цинк. Конкретную комбинацию ингредиентов назначает врач.
Прогноз. Профилактика
При соблюдении всех рекомендаций и устранении триггерных факторов комедональную форму акне можно устранить за несколько месяцев в зависимости от степени поражения.
Читайте также:


