Мезентериальный венозный тромбоз. Основные моменты мезентеральной ишемии.
Добавил пользователь Евгений Кузнецов Обновлено: 21.11.2025
Российский национальный исследовательский медицинский университет им. Н.И. Пирогова, Москва, Россия
Отделение хирургии печени, желчных путей и поджелудочной железы Российского научного центра хирургии им. акад. Б.В. Петровского РАМН, Москва
Мезентериальный венозный тромбоз
Журнал: Хирургия. Журнал им. Н.И. Пирогова. 2017;(7): 65‑68
Острое нарушение мезентериального кровообращения является угрожающим жизни больного патологическим состоянием и редко встречается в клинической практике общего хирурга. Его ежегодная частота, по данным литературы, составляет 0,09—0,2% [1, 2]. Следует, однако, сказать, что эти цифры являются относительными, в реальности острая мезентериальная ишемия может встречаться чаще. Существующее мнение объясняется отсутствием на сегодняшний день эпидемиологических исследований этой нозологии по результатам аутопсий.
Мезентериальный венозный тромбоз как отдельную нозологию впервые описали Warren и Eberhard. Его доля составляет 6—9% всех случаев острой мезентериальной ишемии с общей летальностью до 25% [3—6]. Широкое распространение в клинической практике инструментальных методов визуализации брюшной полости (КТ, МРТ) способствовало росту частоты выявлений этого коварного состояния. Так, к примеру, в Швеции до 2000 г. этот показатель составлял 2,0 на 100 000 населения в год, позднее — 2,7 на 100 000 населения [6].
Протромботические состояния, воспалительные процессы и злокачественные образования органов брюшной полости, а также хирургические вмешательства рассматриваются в качестве факторов риска и причин развития венозного мезентериального тромбоза.
Причины венозного мезентериального тромбоза
1. Тромбофилические состояния
А. Врожденного характера — дефицит протеина С или S, дефицит V-фактора Leidena, дефицит антитромбина, изменение нуклеотидной последовательности гена протромбина (G20210A), изменение нуклеотидной последовательности гена метилентетрагидрофолатредуктазы.
Б. Приобретенного характера — гематологические состояния — истинная полицитемия (болезнь Ослера), миелофиброз, тромбоцитопения, изменение нуклеотидной последовательности гена JAK2, антифосфолипидные антитела, пароксизмальная ночная гемоглобинурия. Негематологические — злокачественные опухоли органов брюшной полости, прием оральных контрацептивов, беременность, нефротический синдром, гипергомоцистемия.
2. Местные факторы, вызывающие повреждение сосудистой стенки
А. Воспалительные процессы в брюшной полости — острые хирургические заболевания органов брюшной полости (панкреатит, аппендицит, дивертикулит, перитонит), воспалительные заболевания кишечника.
Б. Оперативные вмешательства на органах брюшной полости — наиболее часто после спленэктомии, лапароскопическая и бариатрическая хирургия.
В. Абдоминальная травма.
Г. Тромбоз кава-фильтра, тромбоз нижней полой вены.
3. Заболевания и состояния, вызывающие замедление тока крови в мезентериальной венозной системе брюшной полости: цирроз печени, застойная спленомегалия (болезнь Банти) и застойная сердечная недостаточность.
4. Идиопатические причины.
Следует отметить, что нередко выявляется несколько этиологических факторов развития венозного мезентерального тромбоза. Протромботические состояния преобладают и чаще способствуют развитию изолированного тромбоза, в то время как заболевания и состояния, вызывающие повреждение сосудистой стенки, приводят к сочетанному мезентериальному и портальному венозному тромбозу [7].
Гипергомоцистемия в сочетании с мутацией гена метилентетрагидрофолатредуктазы C677Т обусловливает общее предрасположение как к артериальному, так и к венозному мезентериальному тромбозу [8].
В случае, если причина тромбоза не может быть установлена, говорят о первичной, или идиопатической, венозной мезентериальной ишемии. Ее частота варьирует от 0 до 49% с постепенным уменьшением при более широком диагностическом поиске [9, 10].
Тромбоз брыжеечных вен приводит в первую очередь к нарушению оттока венозной крови и развитию венозной гипертензии в мезентериальной системе, вследствие чего развивается выраженный отек кишечной стенки. Нередко при массивном поражении присоединяется и артериальный спазм, который значительно ускоряет и усугубляет процессы ишемического повреждения кишечной стенки. Некроз слизистой способствует транслокации бактерий в кровь с развитием ацидоза, сепсиса, полиорганной недостаточности, приводящих к смерти [11]. Распространенность и длительность венозного тромбоза оказывают разностороннее влияние как на клиническую картину, так и на результаты лечения этой категории пациентов.
Клиническая картина скудна, неспецифична и чаще неясна. Начало может быть острым при остром тромбозе и подострым или хроническим в случае хронического мезентериального венозного тромбоза. Средний возраст больных составляет 50—60 лет с незначительным преобладанием мужской группы населения [11, 12]. Наиболее частым симптомом является абдоминальная боль, встречающаяся в 91—100% наблюдений [7]. Обычно болевой синдром имеет интенсивный характер и локализуется в центральных отделах живота. Характерно, что выраженность и интенсивность боли не соизмеримы с общим состоянием больного [11]. При подострой и хронической венозной мезентериальной ишемии болевой синдром менее интенсивен, что приводит к более позднему обращению больных за медицинской помощью. Около 75% пациентов госпитализируют после 48 ч с момента заболевания. По данным литературы, симптомы болезни до момента госпитализации больных могут отмечаться на протяжении от 6 до 14 дней [10, 13].
Также нередко наблюдаются тошнота, рвота, диарея и мелена. Несмотря на то что мелена отмечается лишь в 15% наблюдений, результат теста на определение скрытой крови бывает положительным у 50% больных [14, 15].
С прогрессированием ишемии появляются асцит и перитонеальные признаки — мышечное напряжение и положительный симптом Щеткина—Блюмберга [16]. 6—29% пациентов госпитализируют в крайне тяжелом состоянии с признаками нестабильной гемодинамики. Перитонит, нестабильность гемодинамики и лихорадка говорят о поздней стадии заболевания и позволяют прогнозировать плохой результат лечения [3, 13, 17].
Отсутствие специфичной клинической картины, а также патогномоничных симптомов нередко затрудняет дифференциальную диагностику мезентериального венозного тромбоза с другими хирургическими заболеваниями на догоспитальном этапе.
Данные рутинных клинических анализов крови на госпитальном этапе неспецифичны и малоинформативны, в связи с чем их роль в диагностике венозной мезентериальной ишемии невелика.
Методом выбора в диагностике нарушения мезентериального венозного кровообращения считается компьютерная томография с контрастированием. Общая диагностическая точность составляет 95—100% [18]. Этот метод не только позволяет определить степень окклюзии, уровень тромбоза и его распространенность, но и предоставляет важную информацию, касающуюся жизнеспособности кишечника, что имеет огромное значение в плане выбора лечебной стратегии. Выявление таких признаков, как наличие расширенных петель кишечника, утолщение их стенок, содержание пузырьков газа в стенке кишки или в венозной системе, говорит об ишемическом повреждении кишки и диктует необходимость выполнения экстренной операции. Высокая чувствительность и специфичность метода (90 и 92% соответственно) в выявлении ишемии кишки определяют его использование в качестве метода выбора и как можно раньше у больных с подозрением на наличие этого коварного состояния [19, 20].
Другие методы исследования, такие как мезентериальная ангиография, ядерная сцинтиангиография, из-за инвазивности, а также необходимости специального оснащения в диагностике тромбоза венозной мезентериальной системы используются редко [5, 17].
На сегодняшний день не существует общепринятых установленных рекомендаций лечения этой группы больных. Основным методом лечения считается антикоагулянтная терапия. После установления диагноза и при отсутствии показаний к экстренной операции применение нефракционированного и низкомолекулярного гепарина нужно начинать как можно раньше. Как было показано во многих работах, оно значительно улучшает результаты лечения этой категории пациентов [15, 21, 22]. Основная цель терапии заключается в том, чтобы добиться в раннем периоде заболевания реканализации венозного русла, предотвратить прогрессирование тромбоза и развитие некроза кишечника, а в отдаленном периоде предупредить развитие рецидива тромбоза. Согласно данным литературы, использование антикоагулянтов способствует реканализации тромбированных вен в 50—95% наблюдений [6, 15, 23].
В случае выявления обратимых причин тромбоза, таких как травма, инфекция либо острый панкреатит, продолжать прием антикоагулянтов рекомендуется в течение 3—6 мес. Когда в качестве этиологии тромбоза выявляются гиперкоагуляционные состояния или идиопатические причины, антикоагулянтная терапия должна проводиться длительно с учетом ее риска и эффективности [24].
Согласно данным недавних исследований, добавление к антикоагулянтной терапии тромболизиса способствовало реканализации вен в 88—100% наблюдений. Кроме того, в этой группе больных было отмечено значительное снижение количества выполненных резекций кишечника [27—29]. Несмотря на хорошие результаты исследований, сообщается, что они получены в малом числе наблюдений. Таким образом, тромболитическая терапия на сегодняшний день может быть рассмотрена только как многообещающий дополнительный метод лечения. Основными условиями ее применения являются строгая селекция больных, отсутствие признаков некроза кишечника и общих противопоказаний [12].
Трансъюгулярное внутрипеченочное портосистемное шунтирование (TIPS) также может быть с успехом использовано в лечении больных с острой венозной мезентерильной ишемией. Применение этого метода благодаря снижению давления в портомезентериальной венозной системе способствует быстрому купированию симптомов заболевания и улучшению состояния больных, а также венозной реканализации в 83% наблюдений [30].
Хирургическая операция показана при выявлении инфаркта кишки или развитии перитонита. Резекция кишки с формированием первичного или отсроченного анастомоза и программированной лапаротомией является стандартной процедурой у таких больных. С целью уменьшения зоны резекции кишки, определения четких границ ее жизнеспособности, а также предупреждения развития синдрома короткой кишки в отдаленном послеоперационном периоде во время операции могут быть использованы ультразвуковое ангиосканирование сосудов брыжейки и флюоресцентная ангиография [31].
В целом результаты лечения больных с тромбозом в портомезентериальной венозной системе лучше, чем пациентов с артериальным тромбозом — 44% против 66—89% [32]. Благодаря совершенствованию методов визуализации инструментальной диагностики, а также сочетанному применению различных методов лечения в последние годы отмечено снижение показателя летальности при венозном тромбозе в мезентериальной системе до 25% [3, 6, 33].
Главными неблагоприятными факторами, влияющими на отдаленные результаты лечения этой категории пациентов, являются рецидив тромбоза и развитие портальной гипертензии — 25 и 7,3—25% соответственно [33, 34]. Нужно подчеркнуть, однако, что применение антикоагулянтной терапии в течение длительного периода способствует снижению рецидивов тромбоза с 25 до 3% [9, 33].
Таким образом, тромбоз мезентериальной системы является редким и потенциально опасным для жизни заболеванием. Методом выбора в диагностике этого грозного и коварного состояния является компьютерная томография с контрастированием. Основным методом лечения остается ранняя антикоагулянтная терапия. При выявлении инфаркта кишки или признаков перитонита показана хирургическая операция, объем которой зависит от интраоперационной находки. С целью уменьшения зоны резекции кишки, а также профилактики развития синдрома короткой кишки в отдаленном послеоперационном периоде следует интраоперационно использовать ультразвуковое ангиосканирование или флюоресцентную ангиографию. Результаты лечения зависят, главным образом, от ранней диагностики заболевания и своевременно начатой антикоагулянтной терапии. Отдаленные результаты определяются, главным образом, причиной тромботического состояния, рецидивом тромбоза и развитием осложнений.
Хронические сосудистые болезни кишечника (K55.1)
Применительно к данной подрубрике наиболее распространен термин "ишемический колит". Это обусловлено тем, что ишемические поражения затрагивают по большей части именно толстый кишечник.
Клинические понятия, включенные в данную подрубрику:
1. Хронический ишемический:
- колит;
- энтерит;
- энтероколит.
2. Ишемическое сужение кишечника.
3. Мезентериальный (ая):
- атеросклероз;
- сосудистая недостаточность.
Из данной подрубрики исключены:
- "Атеросклероз аорты" - I70.0;
Ишемический колит включает в себя ряд нозологических форм, которые являются конечным результатом недостаточного кровоснабжения сегмента толстой кишки или всей толстой кишки. Заболевание приводит к ишемическому некрозу различной степени тяжести, который может варьироваться от некроза поверхностных слоев слизистой оболочки до трансмурального Трансмуральный - пронизывающий, захватывающий все слои органа.
некроза кишечной стенки.
Примечания
1. В связи с мультидисциплинарностью проблемы, коды блока рубрик "Болезни артерий, артериол и капилляров" - I70-I79 могут быть использованы при классификации данной патологии по МКБ-10 в равной степени с кодами рубрики "Сосудистые болезни кишечника" - K55. Однако код диагноза K55.- (например, хронический ишемический колит) предполагает наличие превалирующих признаков патологии со стороны кишечника (без упоминания ишемического поражения других органов) и является более общим клиническим понятием, включающим в качестве причины своего развития не только окклюзию артерий.
2. В последние годы было введено такое понятие, как "хроническая ишемическая болезнь органов пищеварения" (Звенигородская Л. А., 2001).
Хроническая ишемическая болезнь органов пищеварения - заболевание, возникающее при нарушении кровообращения по непарным висцеральным ветвям брюшной аорты (чревному стволу, верхней и нижней брыжеечной артериям), клинически проявляющееся болями в животе, обычно возникающими после приема пищи, нарушениями моторно-секреторной и абсорбционной функции кишечника и у части больных - прогрессирующим похуданием.
3. Осложнения хронического ишемического колита, такие как, например, стриктуры кишеника кодируются в этой же подрубрике. Коды рубрики "Паралитический илеус и непроходимость кишечника без грыжи" - K56 не применяются.

Автоматизация клиники: быстро и недорого!
- Подключено 300 клиник из 4 стран
- 800 RUB / 4500 KZT / 27 BYN - 1 рабочее место в месяц

Автоматизация клиники: быстро и недорого!
- Подключено 300 клиник из 4 стран
- 1 место - 800 RUB / 4500 KZT / 27 BYN в месяц
Мне интересно! Свяжитесь со мной
Классификация
I стадия - стадия относительной компенсации. Нарушения функции желудочно-кишечного тракта незначительны, а заболевание часто выявляется случайно, при обследовании больных по какому-либо иному поводу.
II стадия - характеризуется выраженным нарушением функции кишечника и болью в животе после приема пищи.
III стадия - проявляется нарушением функции кишечника, постоянными болями в животе, прогрессирующим похудением.
Классификация Марстона выделяет следующие стадии развития ишемии кишечника:
- 0 - нормальное состояние;
- I - компенсаторное поражение артерий, при котором отсутствует нарушение кровотока в покое и после приема пищи и нет симптоматики;
- II - поражение артерий прогрессирует до такой степени, что кровоток в покое остается нормальным, но реактивная гиперемия отсутствует (о чем свидетельствует боль после еды);
- III - недостаточность кровоснабжения с уменьшением кровотока в покое; состояние, аналогичное болям в покое при ишемии конечностей;
- IV - инфаркт кишки.
Классификация развития хронической ишемической болезни органов пищеварения (ХИБОП)
I - стадия компенсации:
- IA - стадия бессимптомного течения; на УЗИ выявляются локальные изменения гемодинамики;
- IБ - стадия микросимптоматики; наблюдается возникновение ишемического синдрома вследствие функциональной перегрузки (развиваются локальные гемодинамические нарушения с тенденцией к снижению уровня функциональной и коллатеральной компенсации).
II - стадия субкомпенсации. Ишемия возникает вследствие функциональной нагрузки на органы пищеварения. С помощью УЗИ выявляют локальные гемодинамические сдвиги с различным поражением сосудов. При приеме пищи отсутствует гиперемическая реакция или она носит парадоксальный характер.
III - стадия декомпенсации. При УЗИ диагностируются различные поражения сосудов брюшной полости с развитием локальных и системных гемодинамических нарушений при выраженном снижении уровня функциональной и коллатеральной компенсации.
IV - стадия язвенно-некротических изменений органов пищеварения. При УЗИ диагностируются различные поражения сосудов брюшной полости с развитием локальных и системных гемодинамических нарушений и отсутствием функциональной и коллатеральной компенсации.
Клиническая классификация ишемического колита (считается наиболее приемлемой в настоящий момент):
- обратимая ишемическая колонопатия;
- преходящий язвенный ишемический колит;
- хронический язвенный ишемический колит;
- стриктура толстой кишки;
- гангрена толстой кишки.
Этиология и патогенез
2. Экстравазальная причина - сдавление непарных висцеральных ветвей серповидной связкой диафрагмы или ее медиальной ножкой, нейроганглионарной тканью солнечного сплетения, опухолями хвоста поджелудочной железы или ретроперитонеального пространства. Сдавлению наиболее часто подвергается чревный ствол.
Общее представление о хронической ишемии кишечника (Марстон А.)
Связь между степенью артериальной окклюзии, выявляемой при аутопсии, и симптомами желудочно-кишечного тракта, отмечаемыми при жизни, не обнаруживается.
Таким образом, при хроническом поражении висцеральных артерий их стеноз и окклюзия более часто выявляются при патологоанатомическом исследовании, а не клиническом.
Раннее выявление хронической ишемии кишечника затруднено. Это объясняется действием компенсаторных механизмов, которые перераспределяют кровоток в кишечной стенке; благодаря этому функции кишечника (в том числе всасывание) остаются нормальными практически до того момента, когда повреждение станет необратимым. Коллатеральное кровообращение способствует тому, что даже при полной окклюзии висцеральных артерий в кишке не возникает симптоматики сосудистой недостаточности.
Ишемия мышечного слоя кишки и связанная с этим боль возникают по мере дальнейшего снижения артериального притока в результате того, что кровоток становится недостаточным для обеспечения усиленной перистальтики, вызванной приемом пищи. Кровообращение в слизистой оболочке остается нормальным еще в течение определенного времени, без нарушения всасывательно-выделительной функции кишечника.
Дальнейшее прогрессирование процесса способствует снижению кровотока ниже того уровня, который необходим для защиты слизистой оболочки от бактериального повреждения, вследствие чего развивается очаговый или массивный инфаркт.
Клиника ишемического энтероколита или колита возникает при поражении 2-3 мезентериальных артерий. Поскольку поражения тонкой кишки встречаются реже, в большей половине случаев речь идет о колите. Поражается, как правило, селезеночный угол толстой кишки и верхняя часть сигмовидной, что обусловлено анатомическими особенностями кровоснабжения толстой кишки.
Наиболее частые локализации:
- прямая и сигмовидная кишка (20%);
- нисходящая ободочная кишка (20%);
- селезеночный угол (11%);
- сочетание вышеперечисленных локализаций (14%);
- только прямая кишка (6%);
- восходящая ободочная кишка (8%).
Эпидемиология
Возраст: преимущественно пожилой
Соотношение полов(м/ж): 1
Примерно 1 из 2000 случаев госпитализации приходится на ишемический колит. Ишемический колит обнаруживается примерно в 1 из 100 эндоскопий. Мужчины и женщины страдают в равной степени. Более чем 90% случаев приходится на людей в возрасте старше 60 лет.
Частота возникновения абдоминального ишемического синдрома достаточно высока: выявляется в 75,5% случаев при аутопсии умерших от ишемической болезни сердца, вследствие атеросклероза церебральных артерий и/или сосудов нижних конечностей, также выявляют атеросклероз брюшной аорты и ее непарных висцеральных ветвей.
Частота стенозирующих поражений висцеральных ветвей брюшной аорты по данным аутопсии варьируется от 19,2% до 70%, по данным ангиографии - от 4,1% до 53,5%.
Факторы и группы риска
Клиническая картина
Клинические критерии диагностики
постпрандиальная боль в животе; гематохезия; мелена; диспепсия; потеря массы тела; ситофобия; диарея; запор
Cимптомы, течение
1. Абдоминальный болевой синдром
Боль после приема пищи является основным симптомом ишемического колита у 94-96% пациентов. Возникновение боли связано с недостаточным притоком крови к органам пищеварения в период их максимальной активности.
Характер боли различен: в начальной стадии заболевания боли эквивалентны чувству тяжести в эпигастрии Эпигастрий - область живота, ограниченная сверху диафрагмой, снизу горизонтальной плоскостью, проходящей через прямую, соединяющую наиболее низкие точки десятых ребер.
, затем, с усугублением циркуляторных расстройств, появляются боли ноющего характера, интенсивность которых постепенно нарастает.
Типичные характеристики боли:
- боль возникает или усиливается после приема пищи (постпрандиальная боль);
- возникает через 20-40 минут после еды (иногда в период до 3 часов);
- основным фактором усиления боли является не состав пищи а ее количество;
- иногда боль связана с физической нагрузкой или приступом стенокардии;
- в зависимости от зоны кровоснабжения боль может локализоваться в различных областях (правосторонние боли, боли около пупка, боли в верхней половине живота характерны для ишемии верхней мезентериальной артерии, боли в левой половине живота - для ишемии в бассейне нижней мезентериальной артерии);
- при сегментарной ишемии боли могут мигрировать или быть неопределенными;
- боли могут купироваться нитроглицерином и/или папаверином.
2. Дисфункция кишечника
Отмечается в 88% случаев и проявляется нарушением секреторной и абсорбционной функций тонкого кишечника (метеоризм, неустойчивый стул, частый жидкий стул), а также нарушением эвакуаторной функции толстой кишки с упорными запорами.
3. Прогрессирующее похудание
Один из наиболее частых симптомов хронической ишемии органов пищеварения - отмечается в 78% случаев. Похудание связано с отказом больных от приема пищи из-за болей, а также с нарушением секреторной и абсорбционной функций тонкой кишки, особенно в поздней стадии заболевания.
4. Кровотечение из нижних отделов кишечника
Встречается в 62% случаев, но более характерно для острой ишемии. Эпизоды скрытой кровопотери могут длиться от суток до нескольких месяцев, что усугубляет анемию, возникающую вследствие недостаточности питания. Кровотечение в 85% случаев бывает незначительным и в 90% купируется самостоятельно.
При физикальном обследовании обнаруживаются:
- признаки недостаточности питания;
- боль, непропорциональная усилиям при пальпации;
- легкая, диффузная болезненность в той или иной области живота;
- отсутствие симптомов раздражения брюшины (защитных, охранительных симптомов);
- наличие систолического шума в эпигастральной области;
- признаки атеросклеротического поражения периферических сосудов (шумы над сонной артерией, изменения пульса, признаки ишемии сосудов ног, признаки церебральной ишемии, ишемической болезни сердца).
Диагностика
3. Обзорная рентгенография в положении лежа и стоя (чувствительность 62%-72%) - стартовый метод диагностики, если клиника не позволяет уверенно диагностировать ишемию кишечника.
Признаки:
- утолщение стенки кишки;
- разделение петель кишечника;
- симптом "отпечатка большого пальца".
Метод считается довольно чувствительным, но неспецифичным; является так называемым "стартовым" и полезным в плане дифференциальной диагностики (например, пневмонии) и установления факта кишечной непроходимости, возникающей вследствие ишемических стриктур Стриктура - резкое сужение просвета какого-либо трубчатого органа вследствие патологических изменений его стенок
кишечника.
4. Контрастная рентгенография. Двойное контрастирование выявляет неспецифические изменения у пациентов с ишемическим колитом в 90% случаев.
5. УЗИ (чувствительность 50-75%). На начальной стадии, ишемии кишечника может показать усиление перистальтики, которое затем нормализуется. Стенки кишки становятся утолщенными и узловатыми. Очаги кровоизлияния и отеки приводят к выявлению области (-ей) пониженной эхогенности в стенках кишечника.
6. УЗДГ (чувствительность 80%). Метод особенно эффективен при подозрении на стеноз нескольких сосудов.
УЗДГ не рекомендуется проводить при острой ишемии, ожирении, кишечной непроходимости, когда нарушение кровотока можно выявить только в проксимальных отделах.
Высокую прогностическую ценность имеют отклонения от нормы пиковой систолической скорости кровотока (S), которая ориентировочно составляет более 275 см/с для ВБА или 200 см/с для НБА (по некоторым данным > 300 см/с).
Нормальная скорость после приема пищи должна увеличиться примерно на 20% и более.
Ненормальный постпрандиальный ответ интерпретируется как увеличение пиковой систолической скорости менее чем на 20%.
Тяжелым считает стеноз артерий, составляющий более чем 60-70%, который выявляется при триплексном сканировании. При этом на допплерограмме ниже места поражения ламинарный поток исчезает и появляется турбулентный поток.
10. Гистология. Ключевые диагностические признаки - коагуляционный некроз и диффузный атеросклероз. Помимо этого, важно обратить внимание на следующие признаки: сегментарность поражений, железистая атрофия, гомогенизация собственной пластинки, наличие воспалительного инфильтрата богатого эозинофилами.
11. Алиментарные провокационные пробы основаны на тесной взаимосвязи болевого синдрома или дисфункции кишечника с приемом пищи.
Проба Миккельсена - пациенту выпивает литр молока в течение часа, появление болей при этом свидетельствует об ишемическом генезе заболевания.
Проба "насильственного кормления" - пациент должен ежедневно принимать высококалорийную пищу (5000 ккал), провоцирующую типичную клинику ишемии.
Проба регулярного приема пищи обычной калорийности с исключением острых блюд (4-разовое питание).
Некоторые авторы предлагают проводить физические пробы - поднятие тяжестей, длительный физический труд в наклонном положении (стирка белья, мытье полов), быстрая ходьба, бег, подпрыгивание на месте, велоэргометрическую пробу для выявления экстравазальной компрессии чревного ствола.
Существуют также лекарственные пробы, провоцирующие проявления ИК (вазоспастические средства) и ликвидирующие его (вазодилататоры).
12. Электрокардиография - обязательное исследование при ишемии кишечника. У многих пациентов заболевание спровоцировано нарушениями ритма, снижением сердечного выброса. Кроме того ЭКГ позволит диагностировать так называемую "абдоминальную форму" острого инфаркта миокарда.
Диагноз брыжеечной ишемии часто является вызовом для клиницистов и рентгенологов. Пациенты с воспалительными заболеваниями кишечника и инфекционными колитами могут иметь сходные признаки и симптомы, в том числе спазмы, боли в животе, диарею, примесь крови в стуле. Утолщение стенки кишки является общей находкой для всех трех видов заболеваний, однако, структура сосудистого распределения кровотока иногда может сузить круг дифференцируемых заболеваний.
Абдоминальная ишемия - диагностика и лечение

Абдоминальная ишемия (мезентериальный тромбоз, острая ишемия кишечника, недостаточность кровообращения кишки) возникает, когда кровоток через артерии, которые снабжают кровью кишечник, замедляется или останавливается. Такое состояние имеет много потенциальных причин, в том числе закупорка артерии тромбом или сужение артерии из-за развития холестериновых бляшек. Закупорки также могут возникать в венах, но они менее распространены.
Независимо от причины, снижение кровотока в желудочно-кишечный тракт оставляет ткани без достаточного количества кислорода, что вызывает нарушение функции клеток и их гибель. Если повреждения кишечной стенки достаточно серьезные, то развивается гангрена кишечника с последующим его разрывом (перфорация) с исходом в каловый перитонит и смерть.
Спасти человека с мезентериальным тромбозом можно только при своевременной правильной диагностике, с последующим удалением тромба и оценкой жизнеспособности кишки. При обычном симптоматическом лечении летальность достигает 99%, при операции по удалению кишки - 80%, при своевременном удалении тромба и контролем за кишкой - 25%.
Подход к лечению в Инновационном сосудистом центре
Своевременная диагностика мезентериальной ишемии позволяет провести адекватное лечение и сохранить человеку жизнь. В нашей клинике при подозрении на мезентериальную ишемии экстренно выполняется ангиография и удаление тромба из артерий кишечника. Только такое лечение дает пациенту шанс остаться в живых. Если прошло достаточно много времени от начала заболевания, то выполняется восстановление кровообращения и лапароскопия, которая позволяет определить необходимость в удалении омертвевших участков кишки. Без лечения погибают все пациенты. С лечением удается спасти больше половины.
Причины острой ишемии кишечника
- Атеросклероз артерий кишечника может привести к их тромбозу с последующим развитием мезентериальной ишемии. При наличии признаков ишемической болезни сердца, атеросклеротических поражений артерий ног у пациента можно подразумевать системный атеросклероз и соответственно иметь ввиду риск абдоминальной ишемии.
- Высокое или низкое артериальное давление повышает риск развития мезентериального тромбоза и ишемии кишечника
- Сердечная недостаточность и мерцательная аритмия повышают риск эмболии артерий кишечника (перенос тромба из сердца в артерии) и развития острой кишечной ишемии.
- Повышенная свертываемость крови при тромбофилиях, серповидно-клеточной анемии и антифосфолипидном синдроме.
- Употребление кокаина и метамфетамина может вызывать спазм кишечных сосудов и ишемию кишечника.
Клинические формы мезентериального тромбоза
- Тромбоз сосудов толстой кишки (ишемический колит)
Этот наиболее распространенный вариант ишемии кишечника возникает при уменьшении притока крови к толстой кишке. Чаще всего наблюдается у людей старше 60 лет, хотя может развиться в любом возрасте. Признаками и симптомами ишемии толстой кишки являются кровотечения из заднего прохода и внезапно появившиеся спастические боли в животе.
Этот тип ишемии кишечника, как правило связан с блокированием кровотока в верхней брыжеечной артерии. Он отличается резким началом. Беспокоят сильные боли в животе, тошнота, рвота. Состояние прогрессивно ухудшается и в ближайшие дни наступает гибель пациента.
- Хроническая недостаточность кровоснабжения кишечника
Хроническая абдоминальная (мезентериальная) ишемия иногда называется кишечной стенокардией (брюшная жаба). Развивается в результате развития атеросклеротических бляшек в артериях кишечника. Процесс этот развивается медленно, жалобы носят характер расстройств пищеварения, спазмов в кишечнике. Потенциально опасным осложнением хронической мезентериальной ишемии является развитие тромбов в пораженных артериях, которые блокируют кровоток и вызывают острую абдоминальную ишемию.
Развивается при тромбозе брыжеечных вен на фоне различных заболеваний органов брюшной полости. При закупорке кишечных вен кровь застаивается в кишечнике, вызывая отеки кишки и кровоточивость слизистой оболочки. Полный блок венозного оттока приводит к гибели участков кишки с развитием перитонита.
Осложнения мезентериального тромбоза
- Гангрена кишки. Если приток крови в кишечник полностью блокирован, то развивается его гибель.
- Перфорация. Омертвевший участок кишки может разорваться. В результате этого содержимое кишечника изливается в брюшную полость, вызывая инфекционный процесс в брюшине (перитонит).
- Рубцовые изменения в стенке кишки. Иногда эти грозные осложнения не развиваются, но поврежденная стенка кишки замещается рубцом, вызывающим сужение кишечной трубки и развитие кишечной непроходимости.
Прогноз при мезентериальной ишемии
Большинство пациентов погибает в течение 2-5 суток с момента начала заболевания, если кровообращение в кишечнике не было восстановлено в ближайшие 6 часов.
При венозном мезентериальном тромбозе возможно постепенное выздоровление, с частичным рубцеванием кишки и развитием хронических энтериитов и колитов. Однако летальность так же высока.
При сегментарном (частичном) мезентериальном тромбозе пациент может выжить, если кишка припаяется к другим органам и не наступит ее перфорация с перитонитом, однако вероятность такого исхода очень небольшая. В последующем у больного может развиться кишечная непроходимость из-за рубцевания погибшей кишки.
При своевременном восстановлении кишечного кровотока с помощью методов эндоваскулярной хирургии (тромбэктомия, тромболизис, ангиопластика) - вероятность выздоровления повышается до 75%. Однако даже успешное восстановление кровотока требует обязательного наблюдения за состоянием кишечника. Необходимо в течение первых суток выполнить диагностическую лапароскопию, которую можно повторить и в следующие сутки.
При гибели участков кишки необходимо выполнить их удаление во время лапаротомии (открытая операция через живот). Иногда приходится удалять большие по протяженности участки кишки, но это необходимо, так как мертвые и сомнительно-жизнеспособные участки кишки могут распадаться с истечением кишечного содержимого в брюшную полость и развитием гнойного перитонита.
После резекции больших участков кишки может развиться синдром мальабсорбции (нарушения всасывания пищи), что приводит к значительному похуданию пациента, частым поносам и другим кишечным расстройствам. Поэтому наиболее важным в лечении мезентериального тромбоза является восстановление кровообращения в кишечнике, с целью уменьшить размеры его омертвения.
Преимущества лечения в клинике
![УЗИ картина закупорки верхней брыжеечной артерии]()
Жалобы
При возникновении острого нарушения кровотока по кишечнику у пациента развиваются сильнейшие боли в животе. Боли носят схваткообразный характер. и первые 2-3 часа остаются очень интенсивными. Живот в это время не вздут, перистальтика (кишечные шумы) резко ослаблена, при пальпации живот слегка болезненный, но не напряженный.
Затем постепенно боли уменьшаются, но появляется симптоматика общей интоксикации - повышение частоты сердечных сокращений, появление жажды. На этой стадии начинается вздутие живота. Это стадия гибели кишечника, но еще без перфораций.
Терминальная стадия абдоминальной ишемии характеризуется вздутием живота, отсутствием перистальтики, болезненностью во всех отделах живота с выявлением напряжения при пальпации. Отмечается высокая частота пульса, низкое артериальное давление, отсутствие мочеиспускания и одышка. На фоне этих симптомов неминуемо наступает смерть.
УЗИ брюшной аорты
Своевременная диагностика является залогом успеха в лечении абдоминальной ишемии, но она очень сложна. Учитывая, что возможность спасти жизнь при этой патологии имеется только в первые часы заболевания диагностика должна быть срочной и точной. Мезентриальный тромбоз можно спутать с любым острым заболеванием брюшной полости. Диагноз ставится методом исключения. В первую очередь необходимо исключить прободную язву, острый панкреатит, кишечную непроходимость. Наличие у пациента мерцательной аритмии, инфарктов в анамнезе, атеросклероза нижних конечностей позволяют предположить мезентериальный тромбоз. После исключения острых заболеваний брюшной полости проводятся специфические исследования для диагностики непроходимости сосудов брыжейки.
УЗИ брюшной аорты позволяет выявить тромбоз брыжеечной артерии или чревного ствола. Преимуществом метода является его быстрая доступность и отсутствие осложнений. Брюшная аорта осматривается в продольном и в поперечном срезе в режиме цветового картирования. Определяется скорость кровотока по аорте и ее ветвям. Метод обладает достаточно высокой чувствительностью, но его результаты зависят от опыта врача, проводящего исследование и правильной интерпретации полученных данных.
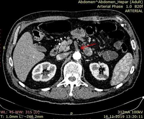
![МСКТ ангиография при остром тромбозе верхней брыжеечной артерии]()
Мультиспиральная компьютерная томография с ангиографией
Мультиспиральная компьютерная томография аорты и ее ветвей позволяет точно оценить состоянии брыжеечных сосудов и помочь правильной постановке диагноза. Признаками острой мезентериальной непроходимости является отсутствие контрастирования брыжеечных артерий со слабым развитием коллатеральных сетей кровообращения. При соответствующих жалобах и клинической картине компьютерная томография позволяет поставить точный диагноз в большинстве случаев мезентериального тромбоза. Требуется внутривенное введение контраста и детальный анализ полученных изображений.
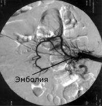
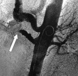
![Ангиография позволяет поставить точный диагноз и выполнить вмешательство по восстановлению кровообращения]()
Рентгеновская ангиография
Метода введения контрастного вещества непосредственно в интересующие артерии. Проводится через доступ к артериям на руке или на ноге. Позволяет прицельно изучить проходимость брыжеечных артерий и одновременно выполнить вмешательство по восстановлению проходимости закупоренной артерии. Ренгтеноангиография выступает диагностическим и лечебным методом одновременно. С помощью специальных катетеров и инструментов возможно проведение рассасывания тромбов (тромболизиса) или его удаления - тромбэктомии.
Синдром Мэя-Тернера и аорто-мезентериальный пинцет

Патология подвздошных вен, которая связана с передавливанием левой подвздошной вены в малом тазу правой подвздошной артерией называют синдромом Мея Тернера. Это довольно редкое заболевание, которое поражает как мужчин, так и женщин. Синдром Мея-Тернера может являться причиной нарушения венозного оттока из левой нижней конечности и тазовых органов, вызывая варикозную трансформацию подкожных вен левой ноги, варикоцеле или варикозное расширение вен малого таза с последующим развитием хронической венозной недостаточности.
Другим компрессионным синдромом, имеющим клиническое значение при варикозе вен малого таза и семенного канатика является синдром аорто-мезентериального пинцета (nutcraker syndrome). Анатомические особенности приводят к сдавлению левой почечной вены верхней брыжеечной артерией с развитием рефлюкса по яичниковой (яичковой) вене и синдромом тазового венозного полнокровия.
Распространенность
Согласно эпидемиологическим данным правая общая подвздошная артерия (ОПА) сдавливала левую общую подвздошную вену (ОПВ) в 22 % из 430 аутопсий. В некоторых исследованиях эта находка составила до 32 %. До 16-20 % всего взрослого населения имеют бессимптомное сдавление левой ОПВ.
Течение заболевания
3 клинические стадии течения этого заболевания:
I стадия - бессимптомное течение;
II стадия - развитие сужений и штрангов в просвете подвздошной вены с явлениями хронической венозной недостаточности;
III стадия - развитие илиофеморальных тромбозов.
Прогнозы
Если стент во время операции был установлен правильно, то патология Мея Тернера не вернется. Пациенту назначают регулярное наблюдение у специалиста по сосудам и профилактическое лечение препаратами, которые предотвращают тромбоз. При естественном течении высока вероятность илеофеморального флеботромбоза слева и тяжелой хронической венозной недостаточности. Синдром аорто-мезентериального пинцета является частой причиной расстройств венозного оттока из малого таза и способствует развитию болезненных менструаций у женщин и варикоцеле у мужчин.

При описании клинической картины авторы отмечают, что пациенты с синдромом Мея-Тернера предъявляют жалобы на боль и отек левой нижней конечности, боль в малом тазу, варикозное расширение вен левой нижней конечности, хронические язвы левой нижней конечности.
Женщины могут жаловаться на варикозное расширение вен половых губ, тазовые боли и/или полименорею. Чаще всего заболевание манифестирует у девочек в пубертатном возрасте, когда под действием эстрогенов происходит функциональная и морфологическая перестройка венозной системы органов малого таза.
У мужчин формируется 2-й (илеотестикулярный) тип варикоцеле, рефлюкс из подвздошной вены в яичковую. Чаще всего эти больные обращаются с жалобами на стой-кие боли в мошонке, в области таза и промежности, в левой нижней конечности, неустойчивую эрекцию, бесплодие, учащенное мочеиспускание.
Выделяют несколько групп в зависимости от клинических проявлений.
Первая группа связана с нарушением оттока из бассейна наружной подвздошной вены и вен левой нижней конечности, как следствие этого, развивается варикозная болезнь вен нижней конечности.
Вторая группа связана с нарушением оттока крови из бассейна внутренней подвздошной вены, и клинические проявления связаны с венозным полнокровием тазовых органов. Это варикозная болезнь вен малого таза у девочек и у мальчиков, сопровождающаяся синдромом тазовой боли, воспалительными заболеваниями (вульвовагинитами, простатопатиями и др.). Крайнее проявление болезни - кровотечения. До пубертатного возраста у детей чаще возникают кровотечения из прямой кишки и мочевого пузыря. Конечно, выраженность клинических проявлений зависела от степени флебогипертензии.
Обследование
УЗИ органов мошонки и подвздошных вен таза с обеих сторон. В большинстве случаев выявляется расширение левой ОПВ (общей подвздошной вены) ≥ 2 см (норма - 10-12 мм) и усиления линейной скорости кровотока в ней более чем в 2 раза по сравнению с аналогичным показателем с контрлатеральной стороны.
МР-ангиография нижней полой вены с контрастированием.
Магнито-резонансное исследование позволяет выявить варианты и степень компрессии общей, внутренней и наружной подвздошных вен слева при трехмерной реконструкции. Это исследование поможет при составлении диагностического алгоритма по пути исключения других признаков варикозной трансформации вен таза и/или нижней конечности.
Тазовая флебография
Селективные почечные и тазовые флебографии с обязательной флеботонометрией. Необходимо оценить НПВ, почечные, подвздошные и тестикулярные вены. При наличии положительного градиента давления между ОПВ слева и НПВ >10 мм рт. ст. необходимо оперативное лечение.
Острая окклюзия мезентериальных сосудов
Острая окклюзия мезентериальных сосудов - острое нарушение кровообращения в брыжеечных сосудах, приводящее к ишемии кишечника. Заболевание проявляется резкой, нестерпимой болью в животе, рвотой и поносом с примесью крови, шоковым состоянием. Диагноз острой окклюзии мезентериальных сосудов определяют на основании клинической картины, данных селективной ангиографии, рентгенографии брюшной полости, лапароскопии. Острая окклюзия мезентериальных сосудов требует экстренного оперативного вмешательства (эмбол- или тромбэндартериоэктомии, резекции пораженных отделов кишечника), профилактики перитонита и повторных окклюзий.

Общие сведения
Острая окклюзия мезентериальных сосудов - неотложная патология в гастроэнтерологии, возникающая вследствие тромбоза или эмболии сосудов брыжейки. Острая окклюзия мезентериальных сосудов проявляется резким нарушением кровообращения в сосудистых участках проксимальнее и дистальнее места обструкции, сопровождается выраженным ангиоспазмом и дополнительным тромбообразованием, в результате чего возникает острое нарушение питания и ишемическое поражение стенки кишечника. В дальнейшем начинают развиваться необратимые деструктивные изменения, формируется анемический и геморрагический инфаркт (некроз) кишечника. Острая окклюзия мезентериальных сосудов характеризуется крайне тяжелым течением и высокой летальностью.
Локализация и протяженность ишемического поражения кишечника при острой окклюзии мезентериальных сосудов зависит от вида и уровня обструкции, наличия коллатеральных путей компенсации кровотока. В 90% случаев наблюдается окклюзия основного ствола или одной из ветвей верхней брыжеечной артерии, в большей степени обеспечивающей кровоснабжение пищеварительного тракта. Нижняя брыжеечная артерия имеет хорошие коллатеральные связи, поэтому при ее окклюзии редко возникают серьезные нарушения мезентериального кровообращения. Окклюзия брыжеечных вен встречается реже; возможно также смешанное поражение брыжеечных артерий и вен, при котором острой окклюзии одного из сосудов предшествует хроническая обструкция другого.
Острая окклюзия мезентериальных сосудов встречается преимущественно у лиц мужского пола в возрасте старше 50-60 лет.
Причины острой окклюзии мезентериальных сосудов
Острая окклюзия мезентериальных сосудов развивается как осложнение различных сердечно-сосудистых заболеваний (атеросклероза, пороков сердца, системных аллергических васкулитов, ревматизма, гипертонической болезни, аневризмы брюшной аорты, аритмии), предшествующих операций на сердце и аорте, злокачественных опухолей, травм.
Непосредственной причиной острой окклюзии мезентериальных сосудов являются тромбоз и эмболия. При тромбозе просвет сосудов брыжейки перекрывается тромбом, образовавшимся вследствие изменения сосудистых стенок на фоне повышенной свертываемости крови и замедленного кровотока (патогенетическая триада Вихрова). При эмболии наблюдается обструкция брыжеечных сосудов частицей тканью опухоли, инородным телом или пузырьком воздуха, мигрировавшими от первичного источника поражения с током крови.
Острая окклюзия мезентериальных сосудов может протекать с компенсацией, субкомпенсацией и декомпенсацией мезентериального кровотока. При компенсации мезентериального кровотока (спонтанно или под воздействием консервативной терапии) все функции кишечника восстанавливаются полностью. Субкомпенсация мезентериального кровотока ввиду недостаточного кровоснабжения может приводить к ряду заболеваний кишечника: брюшной жабе, язвенным энтеритам и колитам и др. Декомпенсация мезентериального кровообращения вызывает распространенный гнойный перитонит и развитие тяжелого абдоминального сепсиса.
Симптомы острой окклюзии мезентериальных сосудов
Развернутой клинической картине острой окклюзии мезентериальных сосудов могут предшествовать предвестники заболевания, сходные с предынфарктным состоянием, - так называемая «брюшная жаба».
В большинстве случаев острая окклюзия мезентериальных сосудов имеет внезапное начало и на стадии ишемии (первые 6-12 часов) характеризуется невыносимыми, схваткообразными болями в животе. Пациент испытывает беспокойство, не находит себе места, принимает вынужденную позу с приведенными к животу ногами. Возникают тошнота и рвота с примесью желчи и крови, позднее рвота с каловым запахом, неоднократный жидкий стул с примесью крови («ишемическое опорожнение кишечника»).
Наблюдается резкая бледность кожных покровов, цианоз, шоковое состояние, повышение артериального давления на 60-80 единиц (симптом Блинова), брадикардия. Для острой окклюзии мезентериальных сосудов характерно несоответствие между тяжестью состояния больного и данными его осмотра: в первые часы живот остается мягким, брюшная стенка участвует в дыхании, отмечается незначительная болезненность без симптомов раздражения брюшины.
В стадии инфаркта (через 6-12 часов от начала острой окклюзии мезентериальных сосудов) болевые ощущения немного уменьшаются, но нарастает локальная (в зоне поражения кишки) болезненность при пальпации, между пупком и лобком может прощупываться тестовидная припухлость (симптом Мондора), ухудшается состояние больного. Эвакуаторная функция кишечника сохраняется, артериальное давление нормализуется, пульс учащается.
Распознавание острой окклюзии мезентериальных сосудов опирается на анализ клинической картины заболевания: острый болевой абдоминальный синдром, поражение сердца и сосудов в анамнезе. Важное диагностическое значение имеет исследование коагулограммы, определение количества тромбоцитов, холестерина крови.
При обзорной рентгенографии брюшной полости определяется пневматизация кишечника, наличие горизонтальных уровней жидкости в брюшной полости. Специфическим методом диагностики острой окклюзии мезентериальных сосудов является селективная мезентерикография, которая уже на ранней стадии заболевания может выявить отсутствие кровотока в стволе и ветвях брыжеечной артерии. При наличии технической возможности выполняется магнитно-резонансная ангиография мезентериальных сосудов.
Диагностическая лапароскопия позволяет обнаружить изменения кишечника и брюшной полости, наличие признаков анемического и геморрагического инфаркта кишки. Острую окклюзию мезентериальных сосудов дифференцируют от прободной язвы желудка и двенадцатиперстной кишки, острого аппендицита, кишечной непроходимости, острого панкреатита и острого холецистита.
Лечение острой окклюзии мезентериальных сосудов
При острой окклюзии мезентериальных сосудов показано экстренное хирургическое вмешательство, целью которого служит ревизия кишечника с оценкой его жизнеспособности, ревизия основных брыжеечных сосудов, устранение причины сосудистой непроходимости и восстановление мезентериального кровотока, резекция некротизированных отделов кишечника, профилактика перитонита.
Реваскуляризация кишечника выполняется путем непрямой эмбол- или тромбэндартериоэктомии, в трудных случаях проводится реконструктивное обходное шунтирование с использованием сосудистых протезов (протезирование верхней брыжеечной артерии).
При некрозе кишечника реваскуляризация дополняется частичной или обширной резекцией пораженных участков кишечника и активным назоинтестинальным дренированием для лечения послеоперационного пареза кишечника. Через 24-48 часов возможно выполнение релапаротомии с целью контроля состояния брюшной полости или наложения отсроченного анастомоза.
Пред- и послеоперационное ведение больного с острой окклюзией мезентериальных сосудов включает назначение антитромботических препаратов для профилактики повторной эмболии и ретромбоза; мероприятия интенсивной терапии с целью восстановления ОЦК, устранения интоксикации, улучшения кровотока и тканевого метаболизма, стабилизации сердечной деятельности. Проводится антибактериальная терапия, дренирование и санация брюшной полости для предупреждения гангрены и перитонита.
Прогноз и профилактика
Восстановление кровотока в брыжеечных артериях в течение первых 4-6 часов («золотой период») может предотвратить инфаркт кишечника и восстановить его функции. Как правило, оперативное вмешательство приходится на II и III стадии острой окклюзии мезентериальных сосудов, поэтому летальность после операции достигает 80-90%. Прогноз ухудшает наличие основного заболевания, приведшего к острому нарушению мезентериального кровообращения.
Профилактика острой окклюзии мезентериальных сосудов заключается в своевременном устранении потенциального источника тромбоэмболии, т. е. первичного заболевания (атеросклероза, мерцательной аритмии, ревматического порока сердца, аневризм и др.).
Читайте также:
- Причины синдрома токсичной органической пыли (СТОП) и его диагностика
- Техника медиального доступа к суставам предплюсны и плюсны
- Техника тенодеза бицепса с применением анкера SwiveLock с интерферентной фиксацией
- Ценность цитологии мокроты при раке легкого. Аспирационная биопсия при раке легкого
- У кого высокий риск заболеть панкреатитом? Болезни поджелудочной железы



