Мезобластическая нефрома. Гепатобластома детей
Добавил пользователь Евгений Кузнецов Обновлено: 11.12.2025
Герминогенные опухоли — это редкие злокачественные новообразования, которые возникают из первичных половых клеток человека, или «зародышевых» клеток (germ cells). Эти клетки находятся в половых железах - гонадах, из них развиваются яички у мужчин и яичники у женщин.
Большая часть герминогенных опухолей возникает внутри гонад. Внегонадные опухоли встречаются значительно реже, это опухоли забрюшинного пространства, переднего средостения и центральной нервной системы.
Развитие герминогенных опухолей связано с аномалиями миграции зародышевых клеток в процессе развития эмбриона.
Герминогенные опухоли встречаются в основном у молодых людей, а также у детей (более подробно об этом в статье «Герминогенные опухоли у детей»).
Большая часть этих опухолей диагностируется в пределах относительно узкого возрастного интервала: 25 — 35 лет.
Герминогенные опухоли относятся к достаточно редким заболеваниям и составляют около 1% от всех злокачественных опухолей у мужчин. Более 90% герминогенных опухолей у мужчин представлены новообразованиями яичка, т.е. могут быть отнесены к опухолям наружной локализации, доступным осмотру и пальпации.
На момент постановки диагноза большинство пациентов имеют распространенный процесс (IIC - III ст.): до 60% больных.
Классификация Всемирной Организации Здравоохранения (ВОЗ) подразделяет герминогенные опухоли на 3 категории:
- новообразования новорождённых и раннего детского возраста. К ним относят тератомы и опухоли желточного мешка. Они могут располагаться в яичках, яичниках, забрюшинном пространстве, средостении, головном мозге.
- новообразования яичка, которые возникают между 15 и 40 годами, и подразделяются на семиномы и несеминомы.
- сперматоцитные семиномы (пациенты старше 50 лет). В отличие от опухолей 1 и 2 типов, источником новообразования являются не эмбриональные зародышевые клетки, а более зрелые - сперматогонии и сперматоциты.
Вероятность возникновения герминогенных опухолей яичек увеличивается при крипторхизме (неопущении яичка в мошонку), травмах, инфекционных заболеваниях.
В группе риска находятся пациенты с различными генетическими заболеваниями.
Виды герминогенных опухолей
В зависимости от морфологической картины, клинического течения герминогенные опухоли делятся на семиномные и несеминомные опухоли. Семиномные опухоли составляют около 40%, несеминомные - 60%. Тактика лечения и прогноз различны в двух этих группах.
Семиномы характеризуются довольно вялым течением, долгое время человек не ощущает никаких симптомов болезни. Эти опухоли хорошо поддаются лечению: они чувствительны к лучевой терапии и особенно к химиотерапии.
При запущенном процессе наблюдается, как правило, лимфогенное метастазирование в забрюшинные лимфоузлы, реже в средостенные и надключичные лимфоузлы.
К данным опухолям относят следующие морфологические подтипы:
- внутрипротоковая герминогенная неоплазия неклассифицированного типа (carcinoma in situ); семинома с клетками синцитиотрофобласта;
- сперматоцитарная семинома;
- сперматоцитарная семинома с саркомой;
- эмбриональный рак;
- опухоль желточного мешка;
- трофобластические опухоли:
- хориокарцинома;
- монофазная хориокарцинома;
- трофобластическая опухоль места крепления плаценты;
- дермоидная киста;
- монодермальная тератома;
- тератома с соматической малигнизацией;
![Микропрепарат, семинома]()
![Микропрепарат, тератома яичника]()
Микропрепарат, тератома яичника
Симптомы и первые признаки герминогенных опухолей
Опухоли яичка в ранних стадиях не сопровождаются болями или другими неприятными симптомами, в связи с чем долгое время не возникает стимулов для обращения к врачу.
Чаще всего пациенты приходят с жалобами на увеличение яичка, боль в мошонке, увеличение лимфоузлов. При распространенности процесса появляются симптомы интоксикации, например, слабость, снижение веса, отсутствие аппетита.
![]()
Когда опухоль располагается в средостении, особенности при ее больших размерах, пациента будут беспокоить жалобы на кашель, одышку, боли в груди, невозможность выполнять без усилия привычную физическую активность, возможна отечность шеи, синюшность кожных покровов.
Могут возникать шум в голове/ушах, ухудшение зрения, головная боль, сонливость. Это объясняется тем, что растущая опухоль давит на верхнюю полую вену.
Опухоли забрюшинного пространства обычно также не дают о себе знать длительное время. На них могут указывать такие симптомы, как нарушение стула и мочеиспускания, боли в животе, варикозное расширение вен, а также отеки.
Герминогенные опухоли центральной нервной системы (головного мозга) имеют следующие клинические проявления: головная боль, расстройство движений глазных яблок, тошнота, рвота и развитие судорог.
Диагностика герминогенных опухолей
Стандартом диагностики герминогенных опухолей является физикальный осмотр пациента, сбор анамнеза и анализ крови на биологические опухолевые маркеры. К ним относятся АФП (альфа-фетопротеин), β -ХГЧ (β единица хорионического гонадотропина человека) и ЛДГ (лактатдегидрогеназа).
В качестве уточняющих исследований проводится КТ органов брюшной полости и грудной клетки, либо УЗИ органов брюшной полости и рентгенография грудной клетки в двух проекциях.
Также выполняют МРТ головного мозга, чтобы выявить наличие метастазов в нем.
Орхофуникулэктомия — удаление яичка, выполняется с диагностической и лечебной целью.
![Метастаз в головной мозг при герминогенных опухолях (МРТ головного мозга)]()
Метастаз в головной мозг при герминогенных опухолях (МРТ головного мозга)
![Тератома яичника (УЗИ малого таза)]()
Тератома яичника (УЗИ малого таза)
![Герминогенная опухоль яичка (макропрепарат)]()
Герминогенная опухоль яичка (макропрепарат)
Стадии герминогенных опухолей
Для выработки индивидуального плана лечения учитываются классификации TNM, а также классификация метастатических герминогенных опухолей Международной объединенной группы по герминогенным опухолям (IGCCCG).
Стадирование герминогенных опухолей в соответствии с классификацией ТNМ
![]()
Для герминогенных опухолей IV стадия заболевания не предусмотрена.
![]()
Классификация IGCCCG включает в себя ряд таких прогностических факторов как гистологическая форма, локализация первичной опухоли и расположение метастазов. Учитываются уровни опухолевых маркеров: АФП (альфа-фетопротеина), ХГ (хорионического гонадотропина) и ЛДГ (лактатдегидрогеназы). На их основе определяется прогноз пациента - «хороший», «промежуточный» или «неблагоприятный»
Методы лечения герминогенных опухолей
К настоящему времени в онкологической практике накоплен большой научно-практический материал, разработаны стандарты и международные рекомендации по лечебной тактике больных герминогенными опухолями.
При герминогенных опухолях проводится, как правило, комплексное лечение, которое включает в себя хирургическое лечение, системное противоопухолевое лечение, реже лучевую терапию.
Метод лечения основывается на морфологическом типе опухоли, группе прогноза и стадии заболевания.
Большинство больных герминогеными опухолями добиваются излечения даже при распространенной форме заболевания, когда процесс не ограничен только первичной опухолью. Наиболее эффективная схема лечения - это химиотерапия с последующим удалением остаточных опухолевых очагов.
Хирургические методы:
- орхфуникулэктомия
- забрюшинная лимфаденэктомия,
- удаление легочных метастазов и пр.
Лучевая терапия назначается чаще при поражении головного мозга. Ее применение обусловлено возможностью точного локального воздействия на опухолевые массы.
Химиотерапия
Показания к химиотерапии определяются степенью распространенности процесса, наличием легочных/внелегочных метастазов. Стандартным режимом химиотерапии при герминогенных опухолях является режим «BEP», включающий блеомицин, этопозид и цисплатин. Для пациентов с дыхательной недостаточностью, обширным поражением легких, во избежание легочной блеомициновой токсичности, как альтернативный вариант, может быть использованы режимы химиотерапии VIP (этопозид, ифосфамид, цисплатин) или ЕР (этопозид, цисплатин).
Следует отметить, что при проведении системного лекарственного лечения необходимо строгое соблюдение временных рамок (начало очередного цикла проводится на 22 день).
Для оценки эффективности химиотерапии каждые 2 цикла и после ее окончания проводится компьютерная томография исходных зон поражения, перед каждым циклом мониторинг уровня опухолевых маркеров. Рост маркеров на фоне лечения или после его завершения, а также замедление их снижения свидетельствует об активности опухолевого процесса и необходимости проведения второй линии химиотерапии.
Перед проведением химиотерапии рекомендуется обдумать и решить вопрос о необходимости криоконсервации спермы.
![Метастазы в легких до лечения и после 4х циклов химиотерапии по схеме «ВЕР» (КТ грудной клетки)]()
Метастазы в легких до лечения и после 4х циклов химиотерапии по схеме «ВЕР» (КТ грудной клетки)
![Герминогенная опухоль средостения до лечения и после 4х циклов химиотерапии по схеме «ВЕР » - уменьшение опухоли более чем на 50% (КТ грудной клетки).]()
Герминогенная опухоль средостения до лечения и после 4х циклов химиотерапии по схеме «ВЕР » — уменьшение опухоли более чем на 50% (КТ грудной клетки)
![Забрюшинная тератома (3D реконструкция)]()
Забрюшинная тератома (3D реконструкция)
Контроль эффективности лечения и динамическое наблюдение.
Перед началом каждого цикла химиотерапии проводится контроль онкомаркеров (АФП, ЛДГ, ХГЧ).
Обязательный принцип динамического наблюдения за больными герминогенными опухолями — строгое соблюдение временных промежутков при выполнении контрольного обследования. Первый год после лечения необходимо проходить обследование каждые два месяца, а на второй год - раз в три месяца.
Следующие два года нужно обследоваться сначала каждые четыре месяца, затем каждые шесть месяцев. И далее планируется ежегодный поход к врачу.
Перечень обследований рекомендованных к выполнению в период динамического наблюдения: физикальный осмотр, кровь на маркеры (АФП, ЛДГ, ХГЧ), УЗИ пахово-подвздошных областей, брюшной полости и забрюшинного пространства, рентгенография органов грудной клетки каждые 6 месяцев.
Прогноз выживаемости
Благодаря успехам в развитии химиотерапии, герминогенные опухоли стали ярким примером курабельных солидных опухолей. Пятилетняя выживаемость больных герминогенными опухолями составляет от 60 до 90%.
Классификация метастатических герминогенных опухолей Международной объединенной группы по герминогенным опухолям (IGCCCG), основанная на прогностических факторах
![]()
*ВГН - верхняя граница нормы.
![Герминогенные опухоли]()
![]()
Авторская публикация:
СЕМЕНОВА АННА ИГОРЕВНА ,
химиотерапевт, онколог ФГБУ «НМИЦ онкологии им. Н.Н. Петрова» Минздрава России, кандидат медицинских наукЧто вам необходимо сделать
Если вы хотите узнать побольше о бесплатных возможностях ФБГУ НМИЦ онкологии им. Н.Н. Петрова Минздрава России, получить очную или заочную консультацию по диагностике и лечению, записаться на приём, ознакомьтесь с информацией на официальном сайте.
Если вы хотите общаться с нами через социальные сети, обратите внимание на аккаунты в ВКонтакте и Одноклассники.
Нейробластома
Нейробластома - эмбриональная опухоль, возникающая в процессе внутриутробного или раннего постнатального периода жизни из стволовых нервных клеток - нейробластов.
Впервые описание этой опухоли, названной впоследствии «детской глиомой», дал Рудольф Людвиг Карл Вирхов в 1864 году. Позднее в 1891 году немецким ученым патоморфологом Феликсом Маршандом был определен источник опухоли - клетки симпатической нервной системы и надпочечники. Симпатическая нервная система - это часть автономной (вегетативной) нервной системы. Она контролирует непроизвольную работу внутренних органов человека, например, работу сердца, кишечника, мочевого пузыря, процесс кровообращения.
Эпидемиология
Нейробластома составляет около 7-8% от всех злокачественных новообразований в детском и подростковом возрасте. Это наиболее часто возникающий вид детских новообразований после опухолей кроветворной и центральной нервной системы. Примерно 40% случаев заболевания встречается на первом году жизни, с возрастом количество случаев уменьшается. Средний возраст на момент диагностирования составляет 19 месяцев.
Причины и риски
Причины появления опухоли до конца не изучены. Нейробластома возникает в том случае, когда нормальные нейробласты не созревают в нервные клетки. Вместо этого они продолжают бесконтрольно расти и делиться. Предполагают, что эти несозревшие (эмбриональные) нервные клетки начинают мутировать еще до рождения ребенка, когда начинают меняться хромосомы и/или происходит сбой в регулировании работы генов. Как подтверждают актуальные исследования, у большинства детей болезнь не является наследственной̆. Только около 1% случаев нейробластомы имеют наследственную основу, чаще всего, вследствие мутаций в гене, который̆ называется ALK (или ген киназы анапластической лимфомы), либо в гене PHOX2B. На сегодняшний̆ день нет клинических исследований, доказывающих, что внешние факторы (окружающая среда, вредные условия работы родителей ребенка, прием каких-либо медикаментов, курение и употребление алкоголя во время беременности) могут стать причиной болезни.
Клиническая картина при нейробластоме
Нейробластома может возникать в любой анатомической области, где располагается симпатическая нервная система: надпочечники, шейный, грудной и брюшной симпатический отделы, параганглии.
Самой частой локализацией нейробластомы является забрюшинное пространство (одинаково часто опухоль диагностируется в надпочечниках и паравертебральных забрюшинных ганглиях). У 15% детей нейробластома локализуется в заднем средостении. Реже опухоль возникает в области таза (6%) и шеи (2%) (рис. 1).
Рис. 1. Локализация нейробластомы
При ранних стадиях заболевания у многих детей может не быть никаких симптомов. Опухоль у них находят случайно, например, при плановом УЗИ обследовании младенцев при диспансеризации. Как правило, жалобы у детей появляются тогда, когда опухоль уже успела сильно вырасти и давит на соседние органы, нарушая их работу, или когда опухоль дала метастазы.
Среди общих симптомов заболевания можно выделить следующие: потеря веса, слабость, костные и суставные боли, некупируемая диарея.
Большинство проявлений болезни и их выраженность зависят от расположения опухоли и ее взаимосвязи с соседними органами и тканями. Так, для пациентов в возрасте до 2-х лет при забрюшинной локализации характерно увеличение размеров живота, лихорадка и потеря веса. Нейробластома забрюшинного пространства пальпируется через переднюю брюшную стенку в виде бугристого, несмещаемого опухолевого узла (рис. 2). У детей старшего возраста заболевание может манифестировать болевым синдромом, обусловленным метастатическим поражением костей, респираторными нарушениями, увеличением размеров живота, появлением запоров. У пациентов с большими забрюшинными опухолями можно обнаружить развитую сеть подкожных вен, развернутые края грудной клетки.
![Рис. 2. Нейробластома забрюшинного пространства]()
Рис. 2. Нейробластома забрюшинного пространства
Локализация опухоли в шейно-грудном отделе симпатического отдела позвоночника вызывает синдром Горнера (сужение зрачка, разные размеры зрачков, покраснение и/или опущение верхнего века и небольшое поднятие нижнего). Другими изменениями в области глаз могут быть кровоизлияния в кожу или слизистую оболочку, «синяки» на веках и под глазами. На поздней стадии болезни иногда появляются черные круги вокруг глаз (гематома в виде очков) (рис. 3).
![Рис. 3. Симптом «очков»]()
Рис. 3.1. Симптом «очков»
![Рис. 3. Симптом «очков» при метастазах в орбиту]()
Рис. 3.2. Симптом «очков» при метастазах в орбиту
Поражение заднего средостения может стать причиной сухого кашля, дыхательных расстройств, деформации грудной клетки, частого срыгивания. При локализации опухоли в полости таза отмечают нарушение функции тазовых органов (периодическое недержание мочи, нарушение акта дефекации), отёки нижних конечностей.
При распространении опухоли в позвоночный канал и сдавлении ею спинного мозга могут развиваться слабость в ногах, неустойивость походки, параличи нижних конечностей, а также дисфункции органов малого таза (задержка мочеиспускания или непроизвольное мочеиспускание, запоры).
Редко, примерно в 2-4% всех случаев, у детей встречается ассоциированный с нейробластомой церебеллярный синдром («опсоклонус-миоклонус» или энцефалопатия Кинсбурна), характеризующийся некоординированными, нерегулярными движениями туловища и конечностей, миоклонусом и хаотичными движениями глазных яблок.
Нейробластома ‒ гормонопродуцирующая опухоль, способная к секреции физиологически активных веществ - катехоламинов ‒ адреналина, норадреналина и дофамина. В моче, как правило, повышено выведение их метаболитов ‒ ванилилминдальной и гомованилиновой кислот. В 95% случаев гормональная активность нейробластомы тем больше, чем выше степень её злокачественности. Эффекты секретируемых гормонов вызывают специфические клинические симптомы нейробластомы ‒ резкое повышение артериального давления, диарею (вызывается секрецией вазоактивного интестинального полипептида), потливость, эмоциональную лабильность, периодическое повышение температуры.
Нейробластома метастазирует чаще всего в костный мозг, кости, в отдаленные лимфатические узлы, печень или кожу, редко — в головной мозг или легкие. Признаки отдалённых метастазов можно обнаружить в виде экзофтальма, кровоизлияний в орбиты, опухолевых узлов на голове.
Среди особенностей течения нейробластомы можно выделить следующие:
- Регрессия - способность опухоли к спонтанному или индуцированному минимальной полихимиотерапией или лучевой терапией уменьшению (инволюции). Как правило, это происходит у детей до 1 года с IVS стадией заболевания.
- Реверсия - способность опухоли трансформироваться из более злокачественных форм в доброкачественные ганглионевромы (спонтанно или индуцированно).
- В некоторых случаях опухолевый процесс имеет обратную направленность: склонность к агрессивному течению и быстрому метастазированию.
Гистологическая классификация
Существующая гистологическая классификация нейробластомы INPC-Shimada основана на степени зрелости (дифференцировки) опухолевой ткани и выделяет 4 категории (от недифференцированных до зрелых форм):
1) нейробластома, бедная шванновской стромой: недифференцированная, низкодифференцированная, дифференцированная;
2) нодулярная ганглионейробластома;
Стадии заболевания
Существует несколько систем стадирования нейробластомы. Наиболее точной является модифицированная система, разработанная Международным противораковым союзом (INSS) (табл. 1).
![]()
Диагностика нейробластомы
Лабораторные методы
В клиническом анализе крови при поражении костного мозга может наблюдаться снижение показателей крови: анемия, лейконейтропения, тромбоцитопения.
В сыворотке крови также можно определить специфические для нейробластомы маркеры: нейрон-специфическую енолазу (НСЕ), уровень метаболитов катехоламинов, лактатдегидрогеназу (ЛДГ) и ферритин.
Простым в выполнении специализированным тестом при диагностировании нейробластомы является определение уровня ванилилминдальной и гомованилиновой кислот в анализе мочи. Их также называют «тестом на оценку метаболитов катехоламинов в моче». Данный анализ может проводиться при сборе мочи ребенка в течение суток или в однократной порции мочи.
Перед началом специфической терапии всегда проводится верификация диагноза; диагноз нейробластомы ставится при гистологическом исследовании биоптата первичной опухоли или метастазов, или при сочетании наличия опухолевых клеток в костном мозге и повышенного уровня суточной экскреции катехоламинов.
Молекулярно-генетическое исследование
Для установления степени злокачественности нейробластомы выполняется ряд генетических исследований: мутация MYCN, делеция хромосом 1р или 11q . Наличие данных мутаций является неблагоприятным фактором прогноза заболевания.
Инструментальные методы
Ультразвуковое исследование
Ультразвуковой метод исследования позволяет выявить наличие опухоли и ее расположение по отношению к внутренним органам. УЗИ позволяет оценить степень местного и отдаленного распространения злокачественного процесса и выявляет метастатическое поражение печени и лимфатических узлов (рис. 4).
![Рис. 4. УЗИ образования правого надпочечника]()
Рис. 4. УЗИ образования правого надпочечника
Компьютерная томография брюшной полости и забрюшинного пространства
Компьютерная томография более детально дает информацию об анатомическом отношении опухоли к окружающим тканям и органам, позволяет оценить структуру опухоли (рис. 5).
![Рис. 5. КТ нейрогенного образования забрюшинного пространства справа]()
Рис. 5. КТ нейрогенного образования забрюшинного пространства справа
Магнитно-резонансная томография органов брюшной полости, забрюшинного пространства и позвоночника
МРТ органов брюшной полости и забрюшинного пространства ‒ это безопасный и высокоинформативный метод исследования, который позволяет не только уточнить локализацию опухоли, точные размеры новообразования и соотношение его с окружающими тканями, но и выявить метастатические очаги в печени и брюшной полости. Также МРТ дает возможность оценить состояние костных структур и мягких тканей позвоночного столба и позвоночного канала (рис. 6).
![Рис. 6. МРТ нейрогенного образования забрюшинного пространства слева]()
Рис. 6. МРТ нейрогенного образования забрюшинного пространства слева
Радиоизотопные исследования
Одним из наиболее информативных специфических методов топической диагностики нейробластом является сцинтиграфия с метайодбензилгуанидином (МЙБГ), меченным 123I. МЙБГ по своей химической структуре сходен с катехоламинами в организме. Это вещество концентрируется в тех опухолях, которые вырабатывают катехоламины. МЙБГ метят радиоактивным изотопом йода (например, 123I) в безопасной для жизни дозе, и готовый препарат внутривенно вводят в кровоток. Накапливаясь в клетках опухоли, он дает излучение. Эти сигналы регистрирует специальная камера и переводит их в изображение. Таким образом, метод позволяет выявить не только первичную опухоль, но и наличие регионарных и отдаленных метастазов (рис. 7).
![Рис. 7. Сцинтиграфия с метайодбензилгуанидином (визуализируется первичная паравертебральная опухоль с метастазами в кости черепа)]()
Рис. 7. Сцинтиграфия с метайодбензилгуанидином (визуализируется первичная паравертебральная опухоль с метастазами в кости черепа)
Остеосцинтиграфия - метод сканирования костей скелета с помощью внутривенного введения радиофармпрепарата. Радиофармпрепарат накапливается участками, пораженными опухолевыми клетками в костях, что видно на снимках, выполняемых гамма-камерой. Таким образом, данный метод исследования позволяет выявить возможные метастазы костей скелета.
Исследование костного мозга (миелограмма и трепанобиопсия) используется для уточнения наличия поражения опухолевыми клетками костного мозга.
Лечение нейробластомы
Учитывая разнообразные сценарии развития исхода заболевания (от спонтанной регрессии до летального исхода от прогрессирования), в терапии нейробластомы предлагаются риск-адаптированные принципы. Стратификация пациентов проводится согласно факторам риска до начала лечения (как правило, это клинические и молекулярно-генетические данные) и на основании ответа опухоли во время лечения (response-adapted). При выделении групп риска перед началом лечения используются следующие прогностические критерии: стадия заболевания, возраст на момент диагностики, результаты молекулярно-генетических данных — амплификация MYCN и делеция короткого плеча 1р (рис. 8).
![Рис. 8. Стратификация пациентов на группы риска согласно наличию факторов неблагоприятного прогноза]()
Рис. 8. Стратификация пациентов на группы риска согласно наличию факторов неблагоприятного прогноза
Неоадъювантная (предоперационая) полихимиотерапия
- Необходимость проведения полихимиотерапии определяется стадией заболевания и наличием или отсутствием неблагоприятных клинических и биологических факторов (n-myc амплификация, делеции короткого плеча 1р).
- Полихимиотерапия позволяет уменьшить размеры первичной опухоли, чтобы сделать хирургическое вмешательство более безопасным и радикальным.
- Базовыми препаратами для лечения нейробластомы являются винкристин, циклофосфамид, антрациклины, ифосфамид, препараты платины, этопозид.
Особенности хирургического лечения
- При локализованных стадиях заболевания лечение может ограничиться полным удалением опухоли.
- При III-IV стадиях заболевания оперативный этап проводится после проведения предоперационной (неоадъювантной) полихимиотерапии, которая направлена на сокращение размеров опухоли с целью последующего радикального удаления образования.
- В тех случаях, когда полное удаление опухоли невозможно, в послеоперационном периоде лечение дополняется лучевой терапией.
Адъювантная (постоперационная) полихимиотерапия
Лекарственное лечение необходимо начать через 5-7 дней после оперативного вмешательства. При отсутствии показаний для проведения 2-й линии полихимиотерапии в схемах лечения используются те же базовые препараты, как и при неоадъювантной терапии.
Лучевая терапия
- Лучевая терапия используется для уничтожения любых опухолевых клеток, которые невозможно удалить хирургическим путем и/или которые не были разрушены посредством предыдущих терапий.
- При нерадикальном характере операции с наличием активной остаточной опухоли проводится облучение остаточной опухолевой ткани, вовлеченных в процесс лимфатических узлов и зон связи опухоли с окружающими органами и тканями.
- Облучение осуществляется ежедневно, начиная с 5-7-го дня после операции.
- По показаниям проводится облучение метастатических очагов (с лечебной, иногда с противоболевой целью).
В случае наличия неблагоприятных прогностических факторов, в частности выявления в опухоли мутации MYCN онкогена, рекомендовано проведение высокодозной полихимиотерапии с аутологичной трансплантацией гемопоэтических стволовых клеток.
Для больных с высоким риском развития рецидива (распространенные стадии заболевания с наличием неблагоприятных молекулярно-генетических маркеров) рекомендовано проведение «поддерживающей» дифференцирующей терапии 13-цис-ретиноевой кислотой и пассивной иммунотерапией антиGD2 моноклональными антителами.
Иммунотерапия
Иммунотерапия - новый метод лечения нейробластомы, который используется для уничтожения раковых клеток. Дисиалоганглиозид GD2 - молекула- антиген, экспрессируемая клетками нейробластомы, это делает ее идеальной мишенью для иммунотерапии антителами: антитело действует против этой молекулы. Клетки иммунной системы могут способствовать гибели клеток нейробластомы.
В НМИЦ онкологии им. Н.Н. Петрова проводятся все этапы лечения, включая минимально-инвазивные операции (лапаро- и торакоскопические), тандемную трансплантацию и пассивную иммунотерапию.
Интенсифицируя терапию у детей с нейробластомой группы высокого риска (с включением тандемной высокодозной полихимиотерапии в консолидацию и пассивной иммунотерапии в постконсолидацию) удалось повысить результаты выживаемости на 20%.
Рекомендации после лечения
- После успешного лечения нейробластомы ребенку необходимо проходить врачебный контроль, который может включать осмотр и консультацию детского онколога, анализ крови на онкомаркеры (ЛДГ, НСЕ), анализ мочи на метаболиты катехоламинов, УЗИ и КТ/МРТ, сцинтиграфию с МЙБГ и другие исследования.
- Детский онколог проводит осмотр 1 раз в 1,5-2 мес в течение первого года после окончания лечения, 1 раз в 3 мес ‒ в течение 2-го года, 1 раз в 6 мес ‒ на протяжении следующих 2 лет, в дальнейшем ‒ 1 раз в год.
- С учета больных не снимают.
СПИСОК ЛИТЕРАТУРЫ
Авторы:
![]()
- Изможерова Рина Игоревна;
- Сенчуров Евгений Михайлович;
- Михайлова Елена Андреевна;
- Иванова Светлана Вячеславовна;
- Фасеева Наталья Дмитриевна;
- Борокшинова Ксения Михайловна;
- Жук Ирина Николаевна.
![Нейробластома]()
![Кулева С.А.]()
Под научной редакцией:
Кулева С.А.
Заведующий детским онкологическим отделением, врач-детский онколог, ведущий научный сотрудник, профессор, доктор медицинских наук, главный внештатный детский специалист-онколог Комитета по здравоохранению Санкт-ПетербургаНефробластома
UPD 13.04.2021
Нефробластома, или опухоль Вилмса - опухоль почки, составляет 6% от всех злокачественных опухолей детского возраста. Опухоль названа по фамилии немецкого хирурга Макса Вильмса, впервые описавшего это заболевание в конце XVIII века.Стандартом в лечении нефробластомы является комплексный подход: химиотерапия, туморнефроуретерэктомия и лучевая терапия. Прогноз заболевания при современных подходах к терапии благоприятный: выживаемость достигает 80%.
Распространенность нефробластом у детей
- Нефробластома - врожденная эмбриональная злокачественная опухоль почки.
- Заболеваемость составляет 1:100000 детей в возрасте до 14 лет.
- Опухоль выявляется преимущественно в возрасте 1-6 лет.
- Нет различий заболеваемости по полу.
- В 5% случаев наблюдаются двусторонние нефробластомы.
![]()
Точные причины возникновения опухоли Вильмса не установлены. Предполагается связь развития заболевания с мутацией в гене 1 опухоли Вильмса (WT 1), расположенного на 11 хромосоме. Этот ген важен для нормального развития почек и любые поломки в нем могут приводить к возникновению опухоли либо других аномалий развития почек. В 12-15% случаев опухоль Вильмса развивается у детей с врожденными аномалиями развития. Чаще всего имеют место аниридия (отсутствие радужной оболочки), синдром Беквита-Видемана (висцеропатия, макроглоссия, пупочная грыжа, грыжа белой линии живота, олигофрения, микроцефалия, гипогликемия, постнатальный гигантизм), урогенитальные аномалии, синдром WAIR (опухоль Вильмса, аниридия, мочеполовые аномалии, олигофрения), синдром Дениса-Драша (Опухоль Вильмса, нефропатия, аномалия гениталий, задержка роста, аномалии ушной раковины).
Если у кого-либо в семье уже была опухоль Вильмса, то у ребенка из этой семьи повышается вероятность заболеть нефробластомой. Частота «семейных» случаев, однако, не превышает 1%, при этом, как правило, опухолью поражаются обе почки.
Классификация опухолей почек у детей
Существует гистологическое и клиническое стадирование опухоли Вильмса:
I) Гистологическое стадирование по Smidt/Harms проводится после удаления новообразования и предусматривает выделение 3х степеней злокачественности, влияющих на прогноз заболевания (низкой, средней и высокой) в зависимости от строения опухоли.
II) Клиническое стадирование
В настоящее время используют единую систему стадирования нефробластомы, которая является определяющей для лечения:
I стадия - опухоль локализуется в пределах почки, возможно полное удаление
II стадия - опухоль распространяется за пределы почки, возможно полное удаление, в т.ч.:
- прорастание капсулы почки, с распространением в околопочечную клетчатку и/или в ворота почки,
- поражение регионарных лимфатических узлов (стадия II N+),
- поражение внепочечных сосудов,
- поражение мочеточника
III стадия — опухоль распространяется за пределы почки, возможно неполное удаление, в т.ч.:
- в случае инцизионной или аспирационной биопсии,
- пред- или интраоперационный разрыв,
- метастазы по брюшине,
- поражение внутрибрюшных лимфоузлов, за исключением регионарных,
- опухолевый выпот в брюшную полость,
- нерадикальное удаление
IV стадия - наличие отдалённых метастазов
V стадия - двусторонняя нефробластома
Классификация нефробластомы по системе TNM в настоящее время сохраняет, в основном, историческое значение и в клинической практике не используется.
![3D-реконструкции опухоли Вильмса]()
![3D-реконструкции опухоли Вильмса]()
![3D-реконструкции опухоли Вильмса]()
3D-реконструкции опухоли Вильмса пациентов детского отделения НМИЦ онкологии им. Н.Н. Петрова
Клинические симптомы опухоли почки у детей
Нефробластома может длительное время протекать бессимптомно. Первым признаком заболевания, который замечают родители, является увеличение размеров живота. Иногда ребенок жалуется на боли в животе. При микроскопическом исследовании мочи можно выявить микрогематурию.
![]()
Диагностика нефробластомы
Диагностические мероприятия при подозрении на опухоль Вильмса направлены, в первую очередь, на морфологическую верификацию диагноза и определение степени распространенности процесса в организме.
Основными инструментальными методами в диагностике опухоли почек у детей и подростков являются:
- и забрюшинного пространства.
- Компьютерная томография органов брюшной полости и забрюшинного пространства с оральным и внутривенным контрастированием.
- Магнитно-резонансная томография брюшной полости и забрюшинного пространства без и с контрастным усилением (даёт дополнительную информацию о распространённости и связи опухоли с окружающими органами).
- Радиоизотопное исследование почек - реносцинтиграфия позволяет оценить как суммарную функцию почек, так и отдельно функцию каждой из них.
- Для исключения метастатического поражения легких проводятся рентгенография и компьютерная томография органов грудной клетки.
- объем первичной опухоли менее 300 мл;
- периферическая локализация и унифокальность;
- отсутствие инвазии в лоханку по данным предоперационной визуализации;
- отсутствие опухолевых тромбов и инвазии в соседние органы и ткани;
- отсутствие признаков разрыва капсулы, возможность радикального удаления опухоли при сохранении более 66% здоровой почечной ткани.
- Динамический ультразвуковой контроль через 3-4 недели.
- Пренатальная консультация хирурга.
- Обследование новорожденного.
- Техника доступа к ладони по Skoog
- Синдром Линдау (Lindau)
- Изменения кровообращения у новорожденного. Закрытие артериального протока
- Возбудитель чумы. Чума. Иерсиния пестис. Yersinia pestis. История чумы. Эпидемии чумы. Распространенность чумы. Эпидемиология чумы.
- Влияние возраста на мочевыводящие пути
Лабораторные исследования являются рутинными и включают в себя: клинический анализ крови, общий анализ мочи, биохимический анализ крови.
Непременным условием для постановки диагноза является выполнение тонкоигольной аспирационной биопсии опухоли под УЗИ-навигацией с проведением цитологического исследования полученного материала.


Опухоль Вильмса. Компьютерная томография
После удаления опухоли проводится ее морфологическое исследование. В зависимости от гистологического строения (мезобластическая нефрома, фетальная рабдомиоматозная нефробластома, кистозная частично дифференцированная нефробластома, классический» вариант без анаплазии, нефробластома с фокальной анаплазией, нефробластома с диффузной анаплазией) больные стратифицируются на группы риска.
Общие принципы лечения опухолей почки у детей и подростков
Лечение нефробластомы у детей проводится по стандартным методикам, принятым в европейских странах, и включает проведение неоадьювантного курса полихимиотерапии, операции - туморнефроуретерэктомии, послеоперационной химиотерапии и, по показаниям, лучевой терапии.
Предоперационный курс химиотерапии длится от 4 до 6 (при IV стадии) недель. Задача терапии - максимальное уменьшение размеров опухоли с целью предотвращения ее интраоперационного разрыва, т.е. во время операции и достижения максимальной резектабельности - возможности удалить больной орган. Базовыми препаратами, используемыми в данном курсе, являются винкристин и дактиномицин.
Оперативный этап лечения опухоли почки заключается в радикальном одномоментном удалении всей ткани опухоли. Туморнефроуретерэктомию проводят из срединного доступа. Обязательной является ревизия печени, контралатеральной почки и регионарных лимфатических узлов.
За последние десятилетия накоплен значительный опыт резекций почек при односторонней опухоли Вильмса, показавший сравнимые с классической нефрэктомией отдаленные результаты.
Лапароскопическая нефрэктомия при опухоли Вильмса впервые была выполнена в 2004 г. в университете Сан Пауло (Бразилия) у детей, получавших неоадъювантную терапию по протоколу SIOP-2001. К настоящему времени уже накоплен большой опыт ее применения, в том числе и в нашем Центре, позволяющий использовать минимально инвазивную хирургию не менее чем у 20% пациентов.
Метод лапароскопической ассистированной резекции почки возможен у пациентов с односторонней опухолью Вильмса только после неоадъювантной ПХТ и при соблюдении условий, оговоренных протоколом SIOP-RTSG 2016 «UMBRELLA»:
Послеоперационная химиотерапия проводится после разделения больных на группы риска в соответствии с гистологической структурой опухоли и стадии заболевания.
Лучевая терапия проводится параллельно послеоперационной полихимиотерапии, начинается на 2-3 неделе после удаления опухоли. Длительность лучевой терапии составляет 7-10 дней. Объем облучения зависит от результатов операции.
Диспансерное наблюдение при нефробластомах
Наблюдение за излеченными пациентами осуществляется для выявления рецидива и отдаленных последствий лечения.

В течение первых двух лет после окончания терапии пациенты обследуются каждые три месяца. Далее, до достижения пятилетнего срока наблюдения - каждые 6 месяцев. В алгоритм обследования включаются: УЗИ органов брюшной полости, рентгенография органов грудной клетки при каждом визите. При необходимости дополнительно рекомендуются проведение исследования функции почки (анализ мочи, биохимическое исследование крови, ренография), углубленное исследование сердечно-сосудистой деятельности (ЭКГ, ЭХО-КГ), исследование слуха методом аудиометрии.
После пяти лет наблюдения пациенты обследуются не чаще одного раза в год.
Все дети, закончившие программное лечение, могут продолжить посещение организованных детских коллективов (школа, детский сад).
Пренатальная диагностика мезобластической нефромы у плода в III триместре беременности с использованием новых ультразвуковых технологий

Точная и уверенная диагностика. Многофункциональная ультразвуковая система для проведения исследований с экспертной диагностической точностью.
Введение
Материал и методы
Пациентка С., 31 года, была направлена в центр пренатальной диагностики врачом женской консультации в III триместре беременности для консультации и проведения эхокардиографии плода в связи с наличием у первого ребенка порока сердца. До III триместра в центр не обращалась.
Беременность четвертая, роды вторые. В анамнезе выкидыш в 6 недель, неразвивающаяся беременность при сроке 8 недель и срочные роды без осложнений. У ребенка имелась недостаточность аортального клапана I-II степени.
В женской консультации пациентке был проведен комплекс пренатального обследования на врожденные и наследственные заболевания у плода. По данным биохимического скрининга в I и II триместрах, риск рождения ребенка с хромосомной патологией расценен как низкий (1/2500, 1/850). Ультразвуковые исследования проведены в 9, 11 и 18 недель беременности в женской консультации и в 22 недели в перинатальном центре по месту жительства. Патологии у плода не было выявлено.
В центре пренатальной диагностики первое ультразвуковое исследование в 32 недели и последующий динамический контроль в 36 недель проведены на аппаратах SonoAce-Х8 (Медисон, Ю. Корея) c использованием конвексных датчиков AX C3-7 EP-A2 и SD C4-8 ET-A1, а также Voluson Е8 с использованием конвексных мультичастотных датчиков AB 2-7D, RAB 4-8D. Объемная информация о структурах плода сохранена и в последующем обработана с использованием программ 3D XI (Medison) и 4D.
Результаты и обсуждение
В центре пренатальной диагностики в срок III скрининга (32 недели) эхография была проведена по стандартной методике с заполнением утвержденного протокола скринингового ультразвукового исследования во II и III триместрах.
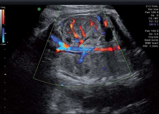
Результаты исследования: размеры плода пропорциональные, соответствуют менструальному сроку беременности. При эхокардиографии особенностей строения сердца у плода не выявлено. При оценке органов мочевыделительной системы обнаружено следующее: правая почка плода нормальных размеров и структуры. Левая почка увеличена до размеров 53х38х46 мм при 95-м процентиле нормативных для срока значений 43х24х23 мм [4] (рис. 1). В структуре почки, преимущественно в верхнем и среднем сегментах, определяется округлое образование без четких контуров, средней эхогенности, приблизительные размеры его 50х35х35 мм. При цветовом допплеровском картировании в образовании визуализируется обширная сосудистая сеть. При допплерометрии индексы сосудистой резистентности (рис. 2) в разных участках образования варьируют в широких пределах (от 0,49 до 0,77).

Рис. 1. Почки плода в режиме 2D. Видна разница в эхографической структуре. Границы почек обозначены стрелками.

Рис. 2. Режим цветового допплеровского картирования. Хорошо видны различия в характере васкуляризации нормальной почки и контрлатеральной пораженной почки.
Плацента по структуре и степени зрелости соответствует сроку беременности. Многоводие (индекс амниотической жидкости 22 см при норме 10-20 см).
При допплерометрии показатели кровотока в маточно-плодово-плацентарной системе в пределах нормативных значений.
Заключение. Беременность 32 недели. Новообразование левой почки плода (мезобластическая нефрома?).
После получения данных ультразвукового исследования был уточнен анамнез. Выяснилось, что в семье пациентки у ближайших родственников имели место заболевания мочевыделительной системы, в частности злокачественные опухоли почек.
При динамическом ультразвуковом контроле в 36 недель дополнительных изменений у плода не было обнаружено. Размеры образования в почке незначительно увеличились.
В срок 38 недель произошли срочные роды. Родилась девочка, вес 3230 г, длина 50 см, оценка по шкале Апгар 8/9 баллов. В родильном доме почки ребенка не были обследованы. Девочка выписана домой на 4-е сутки.
На 2-й неделе жизни она консультирована хирургом и онкологом. Поставлен диагноз: нефробластома левой почки, рекомендовано оперативное лечение.
Через 2 мес после рождения произведена лапароскопическая нефрэктомия. Послеоперационный период протекал без осложнений. Гистологическое исследование: мезобластическая нефрома левой почки.
До настоящего времени ребенок находится под наблюдением онколога, развивается соответственно возрасту. Химиотерапия и другие виды специфического лечения не проводились.
Данное клиническое наблюдение, по нашему мнению, представляет определенный интерес для практикующих врачей, занимающихся ультразвуковой пренатальной диагностикой врожденных и наследственных заболеваний, поскольку это еще один случай выявления редко встречающейся патологии. При анализе данных литературы, в частности журнала "Ultrasound in Obstetrics and Gynecology" - официального журнала Международной Ассоциации врачей ультразвуковой диагностики в акушерстве и гинекологии (ISUOG), нам удалось выяснить, что в настоящее время в мире опубликовано не более 25 случаев дородовой диагностики этого заболевания. В нашей стране - это вторая публикация.
В пренатальном периоде опухоли почек, как правило, представлены двумя нозологическими формами: мезобластической нефромой (синоним - мезенхимальная гамартома, ренальная гамартома плода) и нефробластомой (опухоль Вильмса).
Мезобластическая нефрома - это односторонняя округлая солидная опухоль без капсулы, однородной структуры, иногда содержащая кистозные включения, образующиеся за счет кровоизлияний или очагов некроза. Микроскопически опухоль представлена мезенхимальными клетками, к которым относятся гладкие мышечные волокна и незрелые фибробласты. Кроме того, она может содержать клеточные элементы почечных клубочков и трубочек. Эта опухоль не имеет капсулы и способна к инфильтрирующему росту. Опухоль хорошо васкуляризирована и имеет развитую сосудистую сеть [4].
Мезобластическая нефрома может быть как доброкачественным, так и злокачественным новообразованием. В литературе есть данные о связи степени злокачественности опухоли и срока ее обнаружения. Чем раньше у новорожденного диагностируется это заболевание, тем менее злокачественный характер оно имеет. Считается, что этот вид опухоли чаще встречается у мальчиков 7.
При ультразвуковом исследовании в пренатальном периоде опухоль определяется как округлое образование, как правило, больших размеров, без четких контуров. Разница в акустической плотности интактной почечной паренхимы и опухолевой ткани может создавать эффект границы, которая глазом будет восприниматься как капсула. В большинстве случаев при беременности, осложненной возникновением мезобластической нефромы, регистрируется многоводие. Сочетанные изменения в других органах и системах плода встречаются редко.
Нефробластома, или опухоль Вильмса - это еще более редкая опухоль, описанная у плодов и новорожденных. Как и мезобластическая нефрома, она чаще бывает спорадической, но описаны и наследственные случаи. Считается, что двусторонняя локализация этой опухоли более характерна для наследственной формы. У мальчиков и девочек нефробластома регистрируется с одинаковой частотой.
Опухоль Вильмса в отличие от мезобластической нефромы - как правило, злокачественное новообразование почки, возникающее из аномально пролиферирующей метанефрогенной бластемы. Эта опухоль представляет собой солидное образование без капсулы с экзо- или эндофитным ростом. При поражении почки здоровая паренхима достаточно быстро замещается опухолевой тканью [8].
При ультразвуковом исследовании опухоль Вильмса также выглядит как округлое, хорошо отграниченное образование средней эхогенности. При цветовом допплеровском картировании выраженной сосудистой сети обычно обнаружить не удается. Экстраренальные сочетанные аномалии развития при нефробластоме встречаются редко [9, 10].
Дифференциальный диагноз при подозрении на опухоль почки у плода необходимо проводить с другими патологическими изменениями почек, например мультикистозом. Основное отличие мультикистоза от опухолей любого генеза - это обязательное наличие множественных анэхогенных включений разного диаметра и практически полное отсутствие сосудистой сети при цветовом допплеровском картировании. Изолированные кисты почек принципиально отличаются от опухолей четкой границей, анэхогенным содержимым и сохранением почечного сосудистого рисунка.
Образование, исходящее из надпочечника (опухоль, киста, кровоизлияние), может симулировать опухоль почки, однако в этом случае при более детальном исследовании всегда можно обнаружить почку типичного строения с характерным сосудистым рисунком при цветовом допплеровском картировании.
Другие аномалии развития, такие как экстралобарная легочная секвестрация, лимфангиомы и тератомы брюшной полости и забрюшинного пространства, кисты и тератомы яичников у плодов женского пола, на первый взгляд, могут быть сходны с новообразованиями почек, однако самый главный отличительный признак в этих случаях - наличие двух анатомически нормальных почек, расположенных в обычном месте.
Важно подчеркнуть, что все перечисленные аномалии развития можно диагностировать во II триместре беременности, тогда как опухоли почки, по данным литературы, в основном выявляются в III триместре. Случай наиболее ранней диагностики описан при сроке беременности 26 недель [2].
В представленном клиническом наблюдении диагноз опухоли почки был поставлен нами практически сразу и не вызывал сомнения, поскольку стандартный протокол ультразвукового скринингового исследования во II и III триместрах беременности требует описания почек и мочевого пузыря. Почки оцениваются в поперечном и продольном сечениях с использованием при необходимости цветового допплеровского картирования (рис. 3, а, б). В данном случае почки плода располагались в типичном месте, но обращали на себя внимание значительная разница в размерах и необычная структура одной из почек (см. рис. 1). В 2D режиме границы опухоли четко не визуализировались, но при использовании технологии VCI (объемное контрастное изображение) можно было более точно определить ее контуры (рис. 4).

Рис. 3. Исследование почек.
а) Поперечное сканирование. Переднезадний размер почек обозначен стрелками.
Случай мультилокулярной кистозной нефромы почки
Мультилокулярная киста почки - очень редкое заболевание. Эти образования описываются под многочисленными названиями: кистозная аденома, кистозная лимфангиома, кистозная гамартома, мультилокулярная кистозная аденома, мультилокулярная кистозная нефрома, кистозная опухоль Вильмса, поликистозная нефробластома, дифференцированная нефробластома, сегментарная поликистозная почка, опухоль Перельмана, доброкачественная кистозная нефрома, аденоматозная поликистозная опухоль [1]. Подобная терминологическая недоговоренность отражает, как правило, различные теории патогенеза и объясняет малоизученность этих опухолей ввиду их редкости (рис. 1).

Рис. 1. Схематическое изображение мультилокулярной кистозной нефромы.
Согласно Международной классификации опухолей, мультилокулярные кистозные нефромы отнесены к группе истинных новообразований, следовательно, их нужно именовать кистозной нефромой или нефробластомой [2, 3].
В отечественной литературе мультилокулярная киста обычно описывается в разделе кистозных образований паренхимы почек [1]. Подобные изменения встречаются у больных разного возраста - от рождения до 80 лет, чаще в почках младенцев мужского пола и взрослых женщин, они могут достигать в массе 450 г.
К 1964 г. М.Д. Джавад-Заде собрал в литературе описание 22 случаев мультилокулярной кисты почки. А.Я. Пытель и А.Г. Пугачев [4] за 10 лет нашли в литературе 67 описаний мультилокулярной кисты и сообщили о 3 своих наблюдениях.
Kfivanek и соавт. (1973) наблюдали 2 детей с мультилокулярной почечной кистой. У одного ребенка они произвели резекцию почки, у другого - марсупиализацию кисты. Оба ребенка выздоровели. Под наблюдением Johnson и соавт. (1973) находились 3 детей с мультилокулярной почечной кистой в возрасте 11, 13 и 28 мес.
В таких случаях у детей часто предполагают наличие опухоли Вильмса. Uson и Melicow (1963) сообщили о 10 случаях мультилокулярной кисты почки, из них в 3 случаях в сочетании с опухолью Вильмса.
Крайне редко мультилокулярная киста встречается в подковообразной почке. В наблюдении Michalakis (1973) мультилокулярная киста диаметром 11 см занимала правую половину подковообразной почки, вызывала боли, в связи с чем потребовалось выполнение геминефрэктомии.
Н.А. Лопаткин и Е.Б. Люлько [5] описали 6 случаев мультилокулярной кисты почки у больных в возрасте от 33 до 57 лет, В.Н. Степанов и соавт. [1] привели описание 5 больных с мультилокулярной кистой почки, В.Н. Русаков и соавт. [6] - 11.
Приведенные наблюдения свидетельствуют о большой трудности распознавания мультилокулярной почечной кисты, несмотря на применение современных диагностических методов.
Гистологически мультилокулярная кистозная нефрома варьирует от доброкачественной до высокозлокачественной [7]. Мультилокулярная киста гистологически сходна с ангиомиолипомой.
Патогенез данного образования также неоднозначен. Одни авторы указывают на наличие диспластических элементов вокруг мультилокулярной кисты (эмбриональных канальцев, скоплений лимфоцитов, хрящевой ткани и др.), что свидетельствует о ее раннем эмбриональном происхождении, и расценивают кисту как доброкачественное образование. Другие полагают, что мультилокулярная киста обычно содержит примитивную ткань метанефроса, что свидетельствует в пользу ее родственной связи с опухолью Вильмса, и оправдывают альтернативные названия: мультилокулярная кистозная нефрома, дифференцированная нефробластома. В ряде случаев описаны сочетания этих патологических состояний. По этой причине ряд авторов рассматривая мультилокулярную кисту как доброкачественное образование, все же считают показанной нефрэктомию [1]. По данным М.А Величко и П.А. Малиновского [3], изученная мультилокулярная киста почки является своеобразной мальформацией, увеличивающейся в результате накопления жидкости в уродливо развитых элементах почки, не имеющих полноценных выводных протоков, что приводит к постепенному кистозному превращению в виде опухолевой массы. Это гамартрома, эпителиальный компонент которой морфологически сходен с коллекторным эпителием, происходящим из зародыша почки.
При осмотре пациента почку, содержащую мультилокулярную кисту, находят случайно при пальпации живота или при урорентгенологическом исследовании, производимом по другому поводу.
При больших размерах кисты у больных могут отмечаться боли в пояснице, повышение артериального давления (чаще диастолического), гематурия (за счет выбухания кисты в лоханку с образованием некроза и последующего изъязвления), пиурия, повышение температуры тела, озноб, гипокалиемия, повышение экскреции альдостерона [1, 3, 6].
Макро- и микроскопическое строение образования характерно и может быть использовано для дифференциальной диагностики.
При экскреторной урографии и ретроградной пиелографии у всех больных выявляются признаки объемного образования. Отмечаются увеличение размеров почки, деформация ее контуров с наличием рентгенологических признаков смещения чашечно-лоханочной системы к противоположному полюсу, сдавление или раздвигание чашечек в месте расположения мультилокулярной кисты. Наблюдаются овальный дефект наполнения лоханки с четкими контурами и картина серповидного дефекта со смещением в сторону чашечки, прилегающей непосредственно к стенке кисты [3-5, 11].
В диагностике мультилокулярных кист ценные сведения можно получить при помощи ультразвукового исследования (УЗИ). По данным разных авторов, достоверность УЗИ в диагностике данной патологии составляет от 94 до 97,3% [1, 8, 9, 11-13]. Эхографически мультилокулярная киста визуализируется в виде многокамерного жидкостного образования округлой формы, расположенного в одном из полюсов почки, с множеством перегородок, как правило, с отложением извести, с четкими ровными контурами и дорсальным усилением эхо-сигнала (рис. 2) [1-3, 6, 8, 9, 12, 14]. Цветное допплеровское картирование (ЦДК) увеличивает чувствительность УЗИ, так как улучшает визуализацию областей с атипичной сосудистой архитектоникой и снижением васкуляризации. При допплерографии отмечаются неспецифические изменения почечного кровотока в виде повышения пульсационного индекса и индекса резистентности, особенно выраженных в сосудах, огибающих образование. Если при УЗИ обнаруживаются утолщение перегородок кист или солидные структуры, в которых при ЦДК регистрируются сосуды, это может быть признаком малигнизации [11, 13, 15-19].

Эхонегативное многокамерное образование неправильной формы, с неровными стенками. Большое количество тонких перегородок в полости образования.
Достоверность комьютерной томографии (КТ) в диагностике мультилокулярной кистозной нефромы, по данным разных авторов, составляет от 95 до 98%. При КТ определяется негомогенное многокамерное образование округлой или неправильно-округлой формы, возможно с капсулой, плотность образования неоднородная, пониженная относительно паренхимы, в полости образования определяется большое количество перегородок (рис. 3). Если при КТ с контрастированием происходит накопление контрастного вещества, это может быть признаком предполагаемой малигнизации [11, 13, 19].

а) До внутривенного контрастирования определяется негомогенное образование неправильной округлой формы с капсулой и едва заметными перегородками, плотность ниже, чем плотность паренхимы почки.

б) После контрастирования отчетливо выявляются плотная стенка и множество перегородок.
Диагностическая значимость магнитнорезонансной томографии (МРТ) у пациентов с мультилокулярной кистозной нефромой высока, чувствительность достигает 83,3%, а специфичность - 45,45%. Прогнозируемая ценность положительных и отрицательных результатов соответствует 62,5 и 71,43% [20].
На ангиограммах при мультилокулярной кистозной нефроме выявляется аваскулярный дефект наполнения в одном из полюсов почки, сосудистая архитектоника в этих случаях обычно не нарушена.
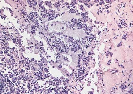
Макроскопически мультилокулярная кистозная нефрома определяется как объемное, четко отграниченное образование, диаметром 5-10 см, располагающееся в одном из полюсов почки, чаще в нижнем, реже в среднем сегменте. Кистознодиспластический процесс поражает только одну почку. Узел расположен в корковом веществе почки, коричневатожелтого цвета на разрезе. Опухоль состоит из юкстагломерулярных клеток, секретирующих ренин. От почечной ткани опухоль отделена морфологически полноценной плотной псевдокапсулой до 0,5 см, на разрезе состоит из множества кист диаметром от нескольких миллиметров до 5-10 см, заполненных прозрачной желтоватой жидкостью. Стенки их гладкие, местами лишены эпителиальной выстилки, большей частью выстланы одним слоем эпителиальных клеток кубической, уплощенной формы или напоминающих шляпки сапожных гвоздей. Перегородки между кистами состоят из нежноволокнистой соединительной ткани с незначительным количеством фибробластов и фиброцитов или из веретенообразных клеток эмбрионального типа, очень редко саркоматозного вида. В соединительной ткани неравномерно рассеяны тонкостенные кровеносные сосуды. В широких перегородках между внутренними кистами и в общей капсуле встречаются атрофические, уродливые почечные клубочки овальной формы и эпителиальные трубочки с выстилкой, идентичной таковой в канальцах почки.
Иногда встречаются также скопления мелких округлых недифференцированных клеток бластемного типа, узкие канальцы, выстланные кубическим или призматическим эпителием, в некоторых случаях пучки лентовидных рабдомиобластов с поперечной исчерченностью. Мелкие полигональные или продолговатые клетки опухоли с мономорфными пузырькообразными ядрами содержат в цитоплазме ШИК-положительные гранулы. Солидные поля и трабекулы, состоящие из сплошного разрастания этих клеток, разъединены тонкими прослойками фиброваскулярной стромы. Клетки окружены аргирофильными волокнами. Митозы обнаруживаются очень редко [14].
При наличии кисты почка функционирует, поскольку сохранены лоханка, мочеточник и сосудистая ножка, хотя функция ее нарушена [1, 3, 6].
По данным В.Н. Русакова и соавт. [6], мультилокулярная киста может сочетаться с пиелонефритом в 45% случаев, с уролитиазом в 18%, гидронефрозом в 9%, опухолью в 18%.
Биопсия для диагностики мультилокулярной кисты применяется крайне редко, так как не дает дополнительных результатов и диагностическая значимость ее невысока [1].
Необходимость в лечебных мероприятиях возникает при развитии осложнений (нефролитиаз, пиелонефрит), при сочетании кисты и опухоли. Объем оперативных вмешательств при мультилокулярной кистозной нефроме варьирует от органосохраняющих операций (марсупилизации, вылущивании кисты, сегментарной резекции почки) до нефрэктомии.
Учитывая большую редкость заболевания, единичные публикации в литературе, представляем собственное клиническое наблюдение.
Клиническое наблюдение
Больной С., 51 года, поступил с жалобами на боли в поясничной области справа. Болен в течение 2 мес, когда появились указанные выше жалобы. При объективном обследовании диагностически значимых изменений не было выявлено. Общий и биохимический анализ крови, общий анализ мочи в пределах нормы.
При проведении инструментального обследования выявлены следующие изменения.
Экскреторная урография. Почки расположены обычно, сохраняют свою форму, экскреция почек удовлетворительная. Слева отмечается повышение тонуса полостной системы почек как отображение хронического пиелонефрита. Справа почка увеличена в размерах за счет наличия дополнительного образования до 30 мм в диаметре.
Заключение: Объемное образование правой почки.
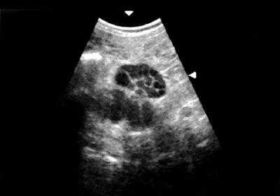
Ультразвуковое исследование. Почки расположены типично, в размерах не изменены, контуры ровные, четкие, подвижность сохранена, полостная система не расширена. Мочеточники не визуализируются. Конкрементов не выявлено. В нижнем полюсе правой почки визуализируется эхонегативное многокамерное образование диаметром до 30 мм, с большим количеством перегородок внутри и единичным кальцинатом.
Заключение: Сложная киста нижнего полюса правой почки (рис. 4).

Округлое кистозное образование с множеством перегородок в полости образования и единичным кальцинатом.
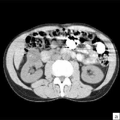
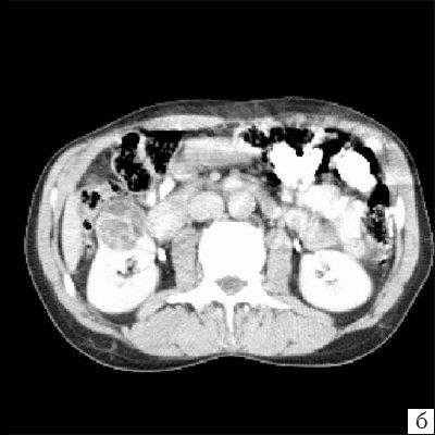
Компьютерная томография. В нижнем полюсе правой почки определяется неоднородное образование, с четкими неровными контурами, округлой формы, в диаметре до 30 мм, неоднородно пониженной плотности от +15 до +18 HU по шкале Хаунсвильда. После внутривенного контрастирования образование не изменят свою форму, размеры и плотность. В полости образования выявляются множественные перегородки, накапливающие контрастное вещество, единичный кальцинат.
Заключение: Сложное кистозное образование нижнего полюса правой почки, больше данных о мультилокулярной кистозной нефроме (рис. 5).

а) До внутривенного контрастирования определяется негомогенное образование округлой формы, с единичным кальцинатом, плотность ниже, чем плотность паренхимы почки.

б) После контрастирования (паренхиматозная фаза) отчетливо выявляются плотная стенка и множество перегородок.
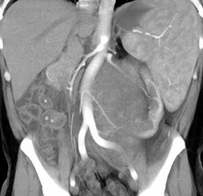
Аортоартериография почек. Брюшная аорта и ее ветви без особенностей. Размеры, положение, форма почек обычные. Нефрограмма интенсивная, гомогенная. В нижнем полюсе правой почки определяется аваскулярное образование шаровидной формы, не накапливающее контрастное вещество, до 30 мм в диаметре.
Заключение: По ангиографической картине больше данных о кистозном доброкачественном образовании нижнего полюса правой почки (рис. 6).

В нижнем полюсе правой почки определяется аваскулярное образование шаровидной формы, не накапливающее контрастное вещество, до 30 мм в диаметре (стрелки).
Под местной анастезией (0,25% новокаина) под контролем УЗИ проведена диагностическая пункция образования. При цитологическом исследовании получены атипичные клетки.
В процессе операции выполнена сегментарная резекция правой почки.
Патоморфологическое исследование позволило устновить окончательный диагноз. В присланном материале узел до 30 мм, пестрого строения, чередование серых участков и участков с геморрагическим пропитыванием. Опухолевая ткань представлена кистами, разделенными тонкими перегородками. Это плотный узел, имеет мелкоячеистое строение, ячейки заполнены густой геморрагической жидкостью. Микроскопически: множественные кисты, выстланные одним слоем эпителиальных клеток, кубической формы, несколько уплощенной или напоминающей шляпки сапожных гвоздей. Перегородки между кистами узкие, представлены волокнистой нежной соединительной тканью с веретенообразными клетками типа эмбриональных.
Заключение: Мультилокулярная кистозная нефрома нижнего полюса правой почки.
Таким образом, представленное клиническое наблюдение показывает, как трудна диагностика мультилокулярной кистозной нефромы, несмотря на использование всех методов лучевой диагностики, а диагностическая пункция не всегда обладает диагностической эффективностью.
Выводы
Современные методы диагностики в большинстве наблюдений позволяют получить исчерпывающую информацию о характере жидкостного образования почек. Вместе с тем в ряде наблюдений, в частности при наличии мультилокулярной кистозной нефромы почки, несмотря на весь арсенал диагностических методов, включая диагностическую пункцию, характер жидкостного образования почки остается невыясненным до операции, которая в подобных ситуациях является как методом лечения, так и способом окончательной постановки диагноза.
Литература

УЗИ сканер WS80
Идеальный инструмент для пренатальных исследований. Уникальное качество изображения и весь спектр диагностических программ для экспертной оценки здоровья женщины.
Читайте также:































