МРТ, УЗИ при травме грудной мышцы
Добавил пользователь Владимир З. Обновлено: 08.01.2026
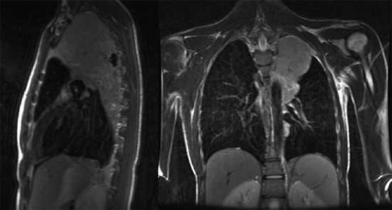
В грудной клетке расположено множество жизненно важных органов, патологии которых сложно диагностировать классическими способами: они скрыты за костями грудины, ребрами, позвоночником, мягкими тканями. Информативным способом, который способен показать структуру, а также функциональность органов, расположенных здесь, врачи называют МРТ — магнитно-резонансную томографию с контрастом или без него. Метод идеально подходит для исследования находящихся внутри грудины органов, сосудов, желез, лимфоузлов, но наиболее эффективным его считают в диагностике опухолевых процессов.
Какие органы проверяют на МРТ грудной клетки?
Чтобы понять, что показывает МРТ грудной клетки, важно понимать суть метода. Он состоит в способности мощного магнитного поля провоцировать резонанс молекул водорода, который в больших количествах содержится в органах грудной клетки (сокращенно ОГК). Магнитно-резонансный томограф улавливает резонансные колебания и отображает их на теле-экране в виде серии монохромных снимков, представляющих собой срезы обследуемой области определенной толщины: чем мощнее МР-аппарат, тем «тоньше» срезы и точнее результаты. Также на основе полученных данных можно сделать трехмерную модель любой структуры, находящейся в полости груди.

Магнитно-ядерная томография не очень информативна при исследовании костных тканей. Плохо видны на снимках и легкие, в которых слишком много воздуха. В процессе дыхания они двигаются, что не позволяет получить четкие изображения легочных тканей. Чтобы повысить четкость картинки, врач может попросить пациента во время сканирования периодически задерживать дыхание на вдохе. Та же проблема наблюдается при попытке проверить сердечную мышцу — ее ритмичные сокращения мешают обследовать миокард на патологии. Однако временно остановить сердце невозможно, поэтому оно фактически является единственным органом в груди, который проверяют с помощью так называемой синхронизации с пульсом/ЭКГ.
В медицинской практике МРТ грудной клетки делают, чтобы визуализировать следующие органы:
- плевру и ее полость;
- среднюю и нижнюю часть трахеи;
- легкие;
- перикард и сердце;
- диафрагму;
- лимфатические сосуды и узлы средостения;
- вилочковую железу;
- межпозвоночные диски грудного отдела позвоночника;
- спинной мозг в области грудного отдела позвоночника.
При использовании контрастного вещества список диагностируемых органов и структур расширяется за счет крупных и мелких кровеносных сосудов. С помощью этого дополнения МР-сканирование показывает не только строение кровеносной сети, но также особенности ее функционирования и изменения в скорости и направлении кровотока. Благодаря тому, что контраст хорошо накапливается в патологических новообразованиях, контрастное МРТ обладает высокой информативностью в диагностике опухолей органов средостения, включая легкие и лимфатическую систему.
Когда назначают МРТ органов грудной клетки?
Показаниями к проведению МРТ ОГК является подозрение на возникновение в этой области патологических процессов: воспалений, дегенеративных и атрофических изменений, опухолей, нарушений кровоснабжения и очагов инфекций, травм и врожденных пороков развития. Чаще всего магнитно-ядерное сканирование является очередным этапом диагностики, когда проведенные ранее исследования (УЗИ, КТ или рентгенография) выявили аномалии, но не помогли врачу определить конкретное заболевание.
В число прямых показаний к проведению диагностики этим методом включены:
- состояния, указывающие на пороки клапанной системы сердца, атрофию или дистрофию миокарда, прочие врожденные или приобретенные кардиопатологии;
- явные гемодинамические нарушения, которые являются симптомом атеросклероза крупнейших артерий, аневризмы аорты и других сосудистых заболеваний;
- симптомы воспалительных и инфекционных процессов в дыхательной системе — хронический кашель, отхаркивание мокроты с кровью или гноем, затрудненное дыхание, одышка или приступы удушья;
- симптомы опухолевых процессов в грудной клетке — тупые хронические боли, затрудненное дыхание, сухой хронический кашель, резкая потеря веса и т. д.;
- признаки патологий спинного мозга в грудном отделе позвоночника — нарушение чувствительности и двигательной активности верхнего плечевого пояса, хронические головные боли, опоясывающие боли в области груди, нарушения дыхания, не связанные с заболеваниями легких;
- подозрение на заболевания лимфатической системы в области исследования.
В ряде случаев даже при наличии показаний МРТ груди из-за противопоказаний. К абсолютным относятся:
- наличие в организме несъемных металлических элементов — кардиостимулятора, инсулиновой помпы, стентов и клипс на сосудах;
- несъемные металлические зубные протезы из ферромагнитных сплавов;
- первая треть беременности;
- психические нарушения, при которых человек не может соблюдать неподвижность или находиться в замкнутом пространстве;
- вес обследуемого больше 120 кг.
В число относительных противопоказаний включены клаустрофобия, состояние сразу после получения травмы, когда больного беспокоит сильная боль, не дающая соблюдать спокойствие. Чтобы боль прошла, а пациент смог расслабиться и сохранять неподвижность, перед проведением процедуры ему вводят седацию или наркоз. Есть у метода и другие относительные противопоказания. Узнать, делают ли МРТ органов грудной клетки при имеющихся проблемах со здоровьем, можно у рентгенолога накануне исследования.
Подготовка к МРТ грудной полости
Стандартное обследование без контрастирования не требует специальной подготовки. Достаточно консультации с врачом, который будет проводить диагностику. Во время нее ему необходимо проверить, есть ли у пациента безусловные или относительные противопоказания к проведению сканирования. Женщинам дополнительно рекомендуется сделать незадолго до МРТ тест на беременность, чтобы убедиться в ее отсутствии. Пациентам с неуравновешенной психикой, страхом замкнутого пространства, повышенной тревожностью врач посоветует за 1-2 часа до МРТ принять успокоительное средство.

В отличие от описанного выше случая, подготовка к контрастной томографии выглядит не так просто. Так как вводимый препарат может спровоцировать тошноту, за несколько часов до диагностики пациентам рекомендуется воздержаться от еды и питья. Также следует проконсультироваться с рентгенологом относительно постоянно принимаемых лекарств: некоторые препараты могут быть несовместимыми с контрастирующими веществами.
Непосредственно перед процедурой специалист расскажет, как проходит МР-сканирование, сколько по времени оно занимает, что можно почувствовать во время работы томографа. Также он попросит снять сковывающую движения, имеющую металлическую фурнитуру одежду, аксессуары, украшения и пирсинг, оставить в раздевалке телефон, часы и другие устройства.
Как делают МРТ грудной клетки?
Если в процессе подготовки не выявлено противопоказаний, приступают к проведению МР-сканирования. Пациента укладывают на подвижный стол томографа и фиксируют его в нужном положении с помощью ремней и мягких валиков. При необходимости обследуемому вводят необходимое количество контраста (рассчитывается исходя из массы тела).
Медсестра подтверждает, что посмотрела и убедилась в отсутствии на теле пациента металлических предметов, после чего она с врачом покидает помещение с томографом. Общение с обследуемым с этого момента продолжается по громкой связи. Врач включает томограф, стол задвигается в кольцо аппарата и начинается сканирование.
Диагностика без контрастирования длится около получаса. При введении контраста МРТ грудной клетки продолжается на 15 минут дольше. В редких случаях врачу потребуется сделать повторное сканирование, если снимки получились смазанные, что удлинит время процедуры еще на 10-15 минут.
После окончания сканирования пациент может сразу встать, одеться и покинуть кабинет. Заключение и расшифровка МРТ патологий в области грудной клетки обычно занимают около часа. Получить их можно в электронном виде на флешке или в распечатанном виде. Получить их можно как на руки, так и по электронной почте.
Что лучше МРТ или КТ грудной клетки?
Однозначно назвать один из методов — МРТ или КТ — лучшим для диагностики патологий органов грудной клетки, нельзя. Они имеют принципиальные отличия и используются для обследования разных по структуре тканей и органов.
МРТ идеально определяет отклонения мягких тканей и находящихся в грудной клетке органов. Наиболее информативен этот метод для выявления опухолей, особенно злокачественных, нарушений гемодинамики. Преимуществами метода врачи называют:
- отсутствие лучевой нагрузки, благодаря чему метод можно использовать несколько раз подряд, например, для отслеживания динамики после курса лечения и операции;
- высокая четкость картинки;
- возможность дифференцировать доброкачественные и злокачественные опухоли.
В список недостатков МРТ при обследовании грудной клетки входят неэффективность метода при диагностике патологий костных тканей (ребер и позвоночника), а также легких — на снимках не видны признаки пневмонии, переломы и трещины костей. При подозрении на наличие аномалий в этих структурах лучше делать компьютерную томографию.
МРТ мягких тканей что показывает

Клетки тела человека содержат определенное количество жидкости. Рыхлые структуры (мышцы, подкожно-жировая клетчатка, головной, спинной мозг и др.) в большей степени насыщены влагой, чем твердые образования.
Метод МР-диагностики основан на явлении резонанса атомов водорода в диполях воды под действием силового поля. Интенсивность ответной реакции напрямую зависит от насыщенности сканируемых органов жидкостью.
Магнитно-резонансная томография мягких тканей позволяет визуализировать состояние внутренних структур без инвазивных манипуляций. Преимуществами МРТ являются высокая информативность и отсутствие вредной лучевой нагрузки на организм пациента.

Результат МР-сканирования мягких тканей шеи
Для изучения строения кровеносной системы и диагностики онкологических патологий применяют магнитно-резонансную томографию с контрастным усилением. В качестве «окрашивающего» препарата используют раствор хелатов гадолиния. Вещество характеризуется низкой токсичностью и гипоаллергенностью. Контраст выводится из организма печенью и почками, время полного очищения составляет 24-72 часа.
Показания к МРТ мягких тканей
Магнитно-резонансную томографию проводят при недостаточной результативности других видов инструментальной диагностики. В некоторых случаях сканирование могут назначить при первичном обращении в лечебное учреждение. МРТ мягких тканей показывает малейшие структурные изменения, что облегчает диагностику патологических процессов.
Поводом для обследования служат:
болевой синдром без явных причин;
отеки, деформации мягких тканей в зоне интереса;
лимфаденопатия (увеличение узлов);
признаки онкологического процесса.
Клиническая картина поражения рыхлых структур зависит от локализации патологических явлений.

Магнитно-резонансная томография тазового пояса
МРТ мягких тканей шеи назначают при наличии следующих симптомов:
дисфункция слюнных желез;
нарушения мозгового кровообращения;
признаки заболеваний щитовидной железы;
гипертония неясной этиологии и пр.
Исследование рыхлых структур конечностей проводят в случае:
нарушений двигательной функции;
болевого синдрома неясной этиологии;
нарушения чувствительности, слабости в руках и ногах;
абсцессов, флегмон, других воспалительных процессов в области конечностей;
Мягкие ткани лица сканируют при следующих жалобах пациента:
боли в зоне интереса;
нарушение иннервации лицевых мышц;
нарушения процесса жевания, открывания рта.
Рыхлые структуры ягодичной области исследуют при возникновении:
выраженных болей в нижней части спины;
парестезии в зоне поясницы, крестца, ног;
застойных явлений, нарушений кровообращения в области малого таза и ягодиц.
МРТ мягких тканей используют в диагностике:
добро- и злокачественных новообразований;
дистрофических и дегенеративных заболеваний;
травматических повреждений мышц, связок;
ишемических, некротических явлений;
врожденных аномалий развития.
Метод позволяет уточнить расположение и размеры патологического очага, определить характер операции в случае хирургического лечения заболевания. В период реабилитации томографию назначают для контроля процессов восстановления.
Как делают МРТ мягких тканей?
Обследование проводят с помощью специального оборудования. Различают томографы двух типов:
открытые - состоят из кушетки и магнитной рамы;
тоннельные - представляют собой конструкцию из передвижного стола и трубы.
Сканирование на открытом устройстве повышает комфортность процедуры и подходит пациентам с выраженной клаустрофобией, избыточным весом, нестабильным психо-эмоциональным фоном. Минусом подобных аппаратов является малая мощность и недостаточно высокое разрешение изображений.

Процедура МРТ на тоннельном томографе Siemens
Закрытые устройства генерируют электромагнитный импульс напряженностью от 1,5 Тл, что позволяет получить четкие фотографии. Сканирование на высокопольных томографах дает возможность детального изучения анатомических структур.
Пациент ложится на стол лицом вверх, тело фиксируют валиками и специальными креплениями. Во время сеанса больному необходимо избегать случайных движений. Изменение положения тела спровоцирует появление артефактов на снимках. Для защиты от шума используют наушники.
Связь с обследуемым поддерживают с помощью переговорного устройства. Медицинский персонал во время МРТ находится в соседнем помещении, наблюдая за процедурой через прозрачную перегородку. Данная мера предупреждает случайное воздействие посторонних электромагнитных импульсов на силовое поле томографа.
Стол с пациентом перемещается в тоннель. Сканирование проводят в боковой, прямой и поперечной проекциях. При необходимости реконструируют 3D-модель изучаемой зоны.
Нативное сканирование занимает около 20 минут. Продолжительность МРТ с контрастом увеличивается до получаса. Процедуру с усилением проводят в два этапа: сначала делают несколько простых снимков, затем вводят раствор гадолиния. Для инъекции используют внутривенный катетер, соединенный с автоматическим устройством.
Сканирование продолжают после заполнения контрастным препаратом кровеносного русла и межклеточного пространства мягких тканей.
Нужна ли подготовка?
Перед МРТ мягких тканей необходимо предупредить врача о возможных противопоказаниях и сопутствующих заболеваниях. Следует сообщить о наличии кардиостимулятора, инсулиновой помпы, сосудистых клипс и других изделий медицинского назначения.

Саркома мягких тканей бедра на МРТ
Женщинам, предполагающим беременность, проводят дополнительное обследование с целью уточнения состояния. Нативная процедура противопоказана в первом триместре, контрастную МРТ в период гестации не назначают.
Кормящие мамы перед томографией с усилением сцеживают молоко для ребенка. После введения контраста в течение 6-12 часов запрещено прикладывать малыша к груди.
МРТ мягких тканей не требует соблюдения специальной диеты. Пациенту рекомендуют придерживаться обычного рациона. Ограничения распространяются на употребление алкогольных напитков: за 2-3 дня до процедуры спиртное исключают.
За час до контрастной МРТ нужно легко перекусить. Перед сканированием пациент снимает украшения, аксессуары, пирсинг из металла.
Что лучше: МРТ, КТ или УЗИ мягких тканей?
Аппаратная диагностика отличается высокой информативностью при изучении состояния внутренних структур
Особенности МРТ, КТ и УЗИ мягких тканей:
высокая информативность при отображении рыхлых образований;
возможность трехмерной реконструкции изучаемого участка;
визуализация состояния нервной ткани;
отсутствие вредного воздействия на здоровье пациента
наличие противопоказаний, связанных с физическими свойствами магнитного поля;
искажение картины исследования при случайных движениях больного
информативность в диагностике воспалительных процессов, новообразований, сосудистых заболеваний;
доступна для обследования пациентов с металлическими эндопротезами и вживленными электромагнитными устройствами;
возможность трехмерной реконструкции изучаемой области
наличие ионизирующей лучевой нагрузки;
информативность в отношении мягких тканей;
риск появления дефектов при сканировании глубоко расположенных структур;
ограничение области исследования ввиду неспособности костной тканипропускать ультразвуковые волны
Выбор диагностического метода зависит от зоны изучения, клинической картины, особенностей здоровья пациента. Лечащий врач учитывает результаты предыдущих обследований, анализов, наличие противопоказаний. В сложных случаях используют комплексный подход, что позволяет своевременно определить характер заболевания.

Туберкулезный лимфаденит на снимке МРТ
УЗИ мягких тканей что показывает

Ультразвуковой метод исследования, в основе которого лежит пьезоэлектрический эффект, используют во многих областях медицины. Указанный способ визуализации незаменим в изучении состояния внутренних органов и мягких тканей.
К последним относят:
Современные УЗ-аппараты компьютеризированы, что исключает субъективный фактор при интерпретации результатов.

В ультразвуковых сканерах последнего поколения реализованы специальные программы, позволяющие в автоматическом режиме сопоставить полученные данные со среднестатистическими показателями нормы в популяции. На основании сравнительного анализа доктор УЗДГ делает выводы о наличии или отсутствии признаков патологии.
Показания к УЗИ мягких тканей
Направление на исследование выдает лечащий врач. Исходя из клинической ситуации, специалист устанавливает предварительный диагноз и определяет область визуализации при выполнении эхографии.
Показаниями к назначению ультразвукового сканирования мягких тканей являются:
грыжи спины и передней брюшной стенки;
комплексная диагностика острого и хронического болевого синдрома;
патологические рубцы на коже после травмы, оперативного вмешательства;
мышечные контрактуры в руке или ноге и пр.
УЗИ помогает изучить форму, размеры, структуру, топографию анатомических объектов, представленных на снимках, оценить особенности кровотока и характер дополнительных включений в зоне интереса. По результатам анализа изображений врач составляет заключение с описанием обнаруженных эхо-признаков нормы либо патологии.

Ультразвуковое исследование перианальной области. На сонограмме образование с жидкостным содержимым - УЗ-картина парапроктита
При выполнении процедуры доктор обращает внимание на минимальные признаки атипии в мягких тканях, проявляя онконастороженность. Большинство опухолей, расположенных в сосудисто-нервных пучках и глубоких мышечных волокнах, на этапе раннего развития невозможно определить при пальпации. Обычно пациенты попадают на прием к специалисту с клинически выраженными признаками злокачественного процесса. Своевременная диагностика помогает в короткие сроки приступить к лечению и увеличить шансы на благоприятный исход заболевания.
УЗИ мягких тканей шеи
Ультразвуковое исследование рассматриваемой анатомической области чаще проводят с целью визуализации дополнительных образований. Сонография позволяет разграничить инфекционный, сосудистый, опухолевый характер патологического процесса.
Во многих клиниках в протокол УЗИ мягких тканей шеи включают сканирование лимфатических узлов, определение структуры которых помогает дифференцировать воспалительные, доброкачественные, метастатические поражения при вирусных и бактериальных заболеваниях ЛОР-органов, лейкозах, раке легких, молочной железы, гортани и др.

УЗИ мягких тканей лица
Ультрасонографию мягких тканей указанной локализации используют преимущественно при необходимости исследования изменений в челюстно-лицевой области:
В обсуждаемой зоне нередко обнаруживают признаки аномалий строения. Неинвазивность, доступность, отсутствие ионизирующего излучения позволяют применять УЗИ на стадии внутриутробного развития.
Изучение анатомии лица плода с помощью эхографии показывает:
расщелины верхнего неба;
признаки синдрома Дауна;
гемангиомы и пр.
Благодаря проведению перинатального ультразвукового скрининга, врачи могут оказать комплексную медицинскую помощь сразу после рождения, включая хирургическое вмешательство на челюстно-лицевой области.
УЗИ мягких тканей живота и спины
Основным показанием к выполнению УЗИ мягких тканей живота и спины являются грыжи. На передней брюшной стенке данные образования могут быть расположены в пупочной области, эпи- или гипогастрии. В поясничной зоне грыжи обычно локализуются в межмышечных пространствах между двенадцатым ребром и гребнем подвздошной кости. Согласно анатомическим границам, последние делят на треугольники - верхний (Гринфельта-Лесгафта) и нижний (Пти).
Грыжу спины часто диагностируют у спортсменов, занимающихся силовыми тренировками без подготовки. Обозначенное состояние возникает вследствие чрезмерного увеличения массы миоцитов за счет усиления капиллярной перфузии. В результате указанных изменений возрастает давление на фасции, что приводит к нарушению их целостности и выпячиванию мышц.
При выполнении УЗИ, помимо описания размеров, формы, контуров, локализации, структуры патологического образования, доктор оценивает особенности гемодинамики в зоне интереса с помощью режима Допплера, что позволяет предположить стадию процесса - при ущемлении кровоток в грыже снижен или отсутствует.

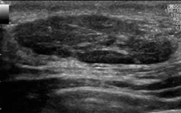
На сонограмме мягких тканей ягодичной области визуализируется постинъекционный абсцесс
Ультразвуковая диагностика помогает определить злокачественные поражения живота и спины, часто возникающие после оперативного вмешательства на органах брюшной полости и забрюшинного пространства. Обычно опухоли указанной локализации имеют метастатическое происхождение. Первичные новообразования мягких тканей в данных анатомических зонах встречаются реже.
УЗИ мягких тканей бедра и голени
Ультрасонографию нижних конечностей в большинстве случаев рекомендуют пациентам с подозрением на травматические повреждения и инфекционно-воспалительные процессы. Также УЗИ применяют в комплексной диагностике злокачественных опухолей, локализующихся не только в длинных трубчатых костях обсуждаемой области, но и в прилежащих мягких тканях.
В большинстве случаев здесь выявляют саркомы - агрессивно текущие, склонные к развитию рецидивов и метастазированию новообразования. Указанные особенности делают крайне важным своевременное установление онкологического диагноза и назначение комплексного лечения.
Ультразвуковое сканирование мягких тканей нижних конечностей используют и при посттравматических осложнениях, связанных с повреждениями суставных элементов, чаще в зоне тазобедренных сочленений. Последствия переломов вертлужной впадины и верхней трети бедренной кости проявляются в виде контрактур. УЗИ позволяет изучить структурные изменения в близлежащих мышечных волокнах. Последние на стороне поражения имеют меньшую толщину в сравнении с неизмененным сегментом.

На снимке образование, подозрительное на фибросаркому. При допплерографии (справа) определяется кровоток в сосудах, питающих опухоль
Как делают УЗИ мягких тканей
Диагностика проводится в положении больного сидя или лежа, в зависимости от зоны сканирования. Перед сонографией на исследуемую область тела пациента наносят специальный гель, устраняющий воздушную прослойку между изучаемыми анатомическими структурами и УЗ- волной. Для оценки мягких тканей используют линейные и конвексные датчики переменной частоты, в среднем 7,5-10 МГц.
В процессе эхографии снимки получают в режиме реального времени. Больного могут попросить совершать определенные движения (отведение/приведение, сгибание/разгибание конечности и др.) с целью сравнения функциональных нарушений в работе мышц с УЗ-картиной.
Ультразвуковая диагностика не вызывает болезненных ощущений. Продолжительность процедуры составляет около 30-40 минут.
Что показывает УЗИ мягких тканей
По окончании исследования врач выдает пациенту заключение и изображения с выявленными патологическими изменениями.

В описании специалист может отметить эхо-признаки, соответствующие:
доброкачественным новообразованиям - фиброме, липоме, гигроме, гемангиоме и др.;
врожденным и приобретенным структурным перестройкам;
травматическим повреждениям мышц, связок, сухожилий;
скоплению крови при разрыве сосуда (гематома);
первичному злокачественному процессу;
лимфаденопатии и пр.
Указанные доктором УЗДГ изменения не являются клиническим диагнозом. Для расшифровки результатов необходимо получить консультацию у лечащего врача.
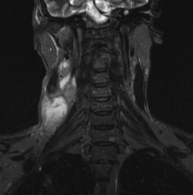
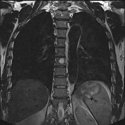
МРТ грудного отдела позвоночника что показывает

МРТ грудного отдела позвоночника в коронарной проекции
Магнитно-резонансная томография используется в дифференциальной диагностике заболеваний грудного отдела позвоночного столба в тех случаях, когда другие методы оказались малоэффективными. Данный вид аппаратного исследования безопасен для здоровья человека, не несет лучевой нагрузки и не требует хирургических манипуляций. Окончательная постановка диагноза во многом зависит от того, что показывает МРТ грудного отдела позвоночника.
Метод основан на применении индукционного поля, которое взаимодействует с диполями воды в клетках человеческого тела. Данное явление носит название ядерно-магнитного резонанса: молекулы H2O выстраиваются в определенном порядке, что позволяет визуализировать внутренние структуры организма. Интенсивность отклика со стороны сканируемых тканей зависит от насыщения клеток жидкостью. Наиболее информативно МРТ рыхлых элементов, церебрального вещества и оболочек, нервных волокон, связок, кровеносной и лимфатической систем позвоночника.
В результате томографии врач получает серию послойных изображений спины, выполненных в аксиальной, сагиттальной и фронтальной проекциях. На основании полученных фото возможно построение 3D-модели изучаемой зоны.
МРТ грудного отдела позвоночника: какие болезни выявляет?
Заболевания грудного отдела позвоночника сопровождаются выраженным болевым синдромом и снижением двигательной активности. Патологические процессы, протекающие в области названного анатомического образования, приводят к снижению работоспособности и ухудшению качества жизни пациента. Своевременное выявление локализации очага и природы негативных изменений позволяют назначить результативное лечение и предотвратить развитие осложнений.

Гемангиомы на МРТ снимке грудного отдела позвоночника (сагиттальная проекция, Т2 взвешенное изображение)
С помощью МРТ грудного отдела выявляют следующие заболевания позвоночника:
- новообразования;
- степень повреждения спинного мозга в случае переломов тел позвонков;
- грыжи Шморля;
- травматические повреждения тел позвонков и остистых отростков (трещины, переломы, смещения и пр.) - при недоступности КТ;
- разрывы, растяжения связок;
- травмы спинного мозга, нервных корешков;
- протрузии;
- стеноз спинномозгового канала;
- сосудистые патологии;
- остеомиелит, спондилодисцит; ;
- спондилоартроз;
- спондилез;
- ревматизм и пр.
Поводом для назначения магнитно-резонансной томографии являются такие клинические проявления:
- боли в области грудного отдела позвоночника с иррадиацией за грудину, под лопатку, по ходу межреберных нервов, часто имитирующие стенокардию;
- ограничение подвижности в области интереса;
- деформации позвоночного столба, асимметричное положение плеч;
- спазмы мускулатуры в области спины, груди;
- стреляющие боли при глубоком вдохе, затруднение дыхания.
В случае обнаружения патологии на рентгенограмме МРТ назначают с целью уточнения характера процесса, выявления имеющихся осложнений. При подготовке к операции сканирование помогает определить природу заболевания, локализацию и размеры патологического очага. На основании того, что покажет предварительное МРТ грудного отдела позвоночника, хирург может предположить объем предстоящего вмешательства.

Менингиома на снимке МРТ грудного отдела позвоночника в аксиальной проекции
В послеоперационном периоде сканирование проводят для контроля процессов восстановления функциональности морфологических элементов сочленений и нервных структур. С помощью МРТ удается своевременно выявлять и предупреждать развитие осложнений.
Подготовка к МРТ грудного отдела
Процедура не требует специальной подготовки, пациенту следует записаться на МРТ и подойти в назначенное время, взяв имеющиеся документы (удостоверение личности, направление от лечащего врача, протоколы предыдущих исследований и т.д.)
При наличии у больного противопоказаний к проведению магнитно-резонансной томографии он обязан сообщить о них врачу. Ограничением к назначению МРТ позвоночника являются:
- наличие металлических имплантатов, протезов, штифтов и пр.;
- присутствие в теле пациента вживленных электромагнитных устройств;
- татуировки, выполненные металлосодержащими красками;
- первый триместр беременности.
При диагностике ряда заболеваний врач назначает МРТ грудного отдела позвоночника с контрастным усилением. В подобном случае противопоказанием к введению специального раствора будут следующие состояния:
- декомпенсированные заболевания печени и почек;
- индивидуальная непереносимость контрастного раствора;
- беременность вне зависимости от срока;
- детский возраст до 12 лет (при проведении процедуры вне стационара).
В рамках подготовки к МРТ грудного отдела позвоночника пациент предупреждает врача об имеющихся ограничениях, сопутствующих заболеваниях и принимаемых лекарствах. При необходимости употребления обезболивающих и седативных средств нужна консультация специалиста.

МРТ снимок грудного отдела позвоночника в сагиттальной проекции, Т1 взвешенное изображение
За 2-3 дня до МРТ спины больному следует исключить из рациона продукты, способные спровоцировать аллергическую реакцию. Не рекомендуют злоупотреблять алкоголем. За 2 часа до обследования пациенту желательно перекусить, избегая переедания. Необходимо соблюдать питьевой режим, чрезмерное употребление жидкости может вызвать дискомфорт во время сканирования.
Перед МРТ обследуемый переодевается в удобный костюм, лишенный металлической фурнитуры, снимает украшения, аксессуары, пирсинг.
Как делают МРТ грудного отдела позвоночника?
В медицинском центре «Магнит» в Санкт-Петербурге МРТ позвоночного столба проводят с помощью современного томографа немецкой фирмы Siemens. Устройство состоит из передвижного стола и широкой трубы, где располагаются индуктор магнитного поля и сканеры, фиксирующие ответную реакцию тканей.

МРТ грудного отдела позвоночника в аксиальной проекции
Перед обследованием специалист клиники на предварительной консультации проводит беседу с пациентом, рассказывая, как проходит МРТ грудного отдела.
Пациент ложится на горизонтальную поверхность транспортера, его тело фиксируют при помощи креплений. Данная мера помогает избежать случайных движений и обеспечивает качество изображения. Стол закатывают в трубу томографа, которая при работе издает характерный шум. Для повышения комфортности исследования пациенту предлагают наушники или беруши. Получив информацию, как делают МРТ грудного отдела позвоночника, больному легче сохранять спокойствие до окончания процедуры.
Медицинский персонал во время сканирования находится в отдельном помещении, связь с пациентом осуществляют с помощью переговорного устройства. В случае негативных ощущений больной нажимает тревожную кнопку, при необходимости процедуру останавливают.
Данные от считывающих устройств обрабатывает специальная программа, преобразуя сигнал в серию послойных изображений, отражающихся на мониторе компьютера.
При МРТ позвоночника с контрастным усилением процедуру останавливают после нескольких нативных снимков. Пациенту внутривенно вводят раствор гадолиния. Заполняя сосудистое русло и покидая его, препарат визуализирует кровеносную сеть в зоне интереса, выявляет воспалительные и неопластические процессы в тканях грудного отдела позвоночника.

Менингиома грудного отдела позвоночника на МРТ, постконтрастное изображение
МРТ грудного отдела позвоночника: что входит?
Протокол исследования грудного отдела включает в себя сканирование позвоночного столба, окружающих мягких тканей, спинномозгового канала, церебрального вещества и кровеносной системы данной области. Метод информативен в отношении травматических повреждений, воспалительных и деструктивно-дистрофических изменений в зоне интереса, помогает выявить новообразования, в том числе метастазы, миелоишемию.
МРТ грудного отдела позвоночника показывает:
- локализацию и степень повреждения костных элементов позвоночника при травмах спины, положение отломков, состояние окружающих структур (при недоступности КТ);
- отечность мягких тканей, нарушение целостности мышечных волокон, связочного аппарата;
- защемление нервных корешков, компрессионные изменения церебральных структур при травмах позвоночника;
- патологические изменения межпозвонкового диска, вызванные дегенеративными процессами, в том числе расположение и размеры грыж;
- воспалительные изменения позвоночника, спинного мозга и его оболочек при инфекционных поражениях;
- расположение и размеры полостей при сирингомиелии;
- просвет спинномозгового канала, места патологического сужения;
- аномалии сосудистой системы, участки ишемии, нарушения кровоснабжения тканей позвоночника и церебральных структур;
- поражение спинного мозга при склеротических, демиелинизирующих и дегенеративных процессах;
- локализацию, размеры и характер новообразований.
Контрастное МРТ грудного отдела позвоночника показывает состояние вен и артерий, что позволяет диагностировать сосудистые опухоли, аномалии развития кровеносной системы и влияние данных патологий на состояние зоны интереса.

Гемангиома на МРТ грудного отдела позвоночника, коронарная проекция
Особенностью новообразований является способность раствора гадолиния концентрироваться вокруг малигнизированных клеток. При контрастном усилении врач видит локализацию и размеры опухоли, по расположению собственных кровеносных сосудов в ней и интенсивности накопления индикатора может предположить характер процесса.
Расшифровка томографии грудного отдела позвоночника
Изучая послойные изображения, полученные в результате МРТ, врач оценивает состояние отдельных морфологических элементов грудного отдела позвоночника, отмечает нарушение их функциональности и наличие патологических изменений.
При расшифровке результатов томографии обращают внимание на следующие критерии:
- размер, конфигурацию, взаимное расположение Th1-Th12 позвонков;
- выраженность грудного лордоза;
- наличие сигнала от костного мозга;
- состояние фасеточных суставов;
- наличие и выраженность патологических изгибов грудного отдела позвоночного столба;
- высоту и плотность межпозвонковых дисков, грыжевые выпячивания последних;
- диаметр спинномозгового канала, наличие стенозов и ликворных блоков;
- состояние связок, мышц, мягких тканей спины в зоне грудного отдела;
- состояние церебрального вещества и спинномозговых корешков;
- функциональность кровеносных сосудов;
- наличие, размер, расположение новообразований, в том числе метастазов.
Оценивая состояние грудного отдела, врач указывает локализацию возможных патологических очагов в соответствии с названием расположенного рядом позвонка (Th1-12). Протокол исследования содержит информацию о размерах измененного участка, интенсивности сигнала и природе заболевания.

МРТ грудного отдела в сагиттальной проекции, линии разделяют позвонки Th1-12
На основании результатов магнитно-резонансной томографии врач указывает предварительный диагноз.
МРТ или КТ грудного отдела?
Магнитно-резонансная томография основана на применении индукционного поля, при КТ-сканировании используют рентгеновские лучи, которые способны оказывать негативное воздействие на организм (при повышенных дозах). Результативность каждого метода зависит от клинической картины и локализации патологических изменений.
Компьютерная томография незаменима при травмах позвоночника и заболеваниях с вовлечением костных и хрящевых элементов. КТ визуализирует строение твердых образований, позволяя выявить малейшие изменения структуры. При использовании контрастного усиления сканирование помогает диагностировать опухолевые и воспалительные процессы, протекающие в тканях позвоночного столба
МРТ применяют для определения состояния мышц, связок, невральных структур. Метод позволяет получить детальные изображения мягких тканей, окружающих позвоночный столб, визуализирует вещество спинного мозга. Магнитно-резонансную томографию эффективно используют в диагностике неврологических заболеваний.
Лечащий врач рекомендует тот или иной способ исследования в зависимости от клинической картины и индивидуальных особенностей пациента. При травмах грудного отдела позвоночника возможно совмещение КТ и МРТ: первый метод позволяет оценить повреждения тел и остистых отростков позвонков, второй помогает определить степень поражения мягких тканей и спинного мозга.
Сколько длится МРТ грудного отдела?
Пациенту рекомендуют приходить за 10-15 минут до начала процедуры. Само сканирование занимает около получаса, в течение этого времени пациент неподвижно лежит на столе, помещенном в трубу томографа.
При использовании контраста продолжительность МРТ увеличивается на 10-15 минут. Врач делает паузу, на протяжении которой пациенту вводят раствор гадолиния, препарат заполняет сосудистое русло в зоне интереса, после чего сканирование продолжают.

Снижение высоты межпозвонковых дисков грудного отдела на снимке МРТ
Результаты МРТ пациенту выдают на руки через 20 минут, при необходимости получения второго мнения время ожидания увеличивается до 2 часов.
Повреждение грудной клетки

Травма грудной клетки — повреждение костей, мышц, органов грудной полости и других анатомических структур, вызванное внешним физическим воздействием. У пациентов с таким диагнозом часто выявляют ушиб грудной клетки, перелом ребер, повреждение жизненно важных органов. Рассмотрим основные актуальные методы диагностики и лечения.
Рассказывает специалист ЦМРТ
Дата публикации: 22 Июня 2022 года
Дата проверки: 22 Июня 2022 года
Содержание статьи
Причины повреждения грудной клетки
Согласно используемой в травматологии классификации, повреждение может быть закрытым или открытым. Сотрясение, сдавление и ушиб — закрытые травмы, при которых целостность кожного покрова не нарушена. Наблюдается повреждение костного каркаса грудной полости в виде перелома ребер, позвонков или грудины. Возможно скопление газа или крови в плевральной полости. Открытая травма отличается присутствием раны. Она может быть проникающей, непроникающей, с повреждением определенных анатомических структур.
- ранение
- падение с высоты
- ДТП
- производственная травма
Сильный тупой удар в область груди — наиболее вероятный механизм закрытого повреждения. Нож, пуля и другие предметы проникают в грудную полость, из-за чего повреждаются мягкие ткани, кости, легкие, органы средостения. Это открытая травма.
Симптомы травмы груди
Проявления травмы грудной клетки отличаются разнообразием. Симптомы и клинические проявления в первую очередь зависят от того, какие анатомические структуры были повреждены. Сразу после сдавливания, ушиба или проникающего ранения патологические признаки могут отсутствовать из-за шока. По этой причине многие пациенты недооценивают тяжесть своего состояния и не обращаются в больницу, но позже у них появляются жизнеугрожающие осложнения.
- острая, тупая или режущая боль
- нарушение дыхания, удушье
- головокружение
- слабость
- нарушение сознания
- бледность кожных покровов
- подкожные гематомы
- усиление боли во время дыхания и при пальпации
- головная боль
- синюшность кожи в области шеи и головы
- кашель с выделением крови
- изменение характера сердцебиения
Болевые ощущения могут распространяться, возникать справа или слева от зоны повреждения. Если образовалось клинически значимое внутреннее кровоизлияние, пациент жалуется на сильную слабость, головокружение, бледность кожи и учащенное сердцебиение. Это признаки серьезной угрозы здоровью человека, при которой необходимо сразу провести лечение.
Как диагностировать
Любая травма грудной клетки — показание для немедленного обращения к врачу. Требуется исключить жизнеугрожающие последствия, провести дифференциальную диагностику. Врач оценивает самочувствие пациента с учетом жалоб, проводит осмотр, выполняет аускультацию и пальпацию. Для постановки диагноза нужны уточняющие диагностические процедуры.
Основные инструментальные исследования:
Визуализация с помощью рентгенографии, компьютерной или магнитно-резонансной томографии. КТ и МРТ — наиболее точные методы визуального обследования при травме груди.
Визуализация с помощью ультразвукового исследования позволяет врачу быстро оценить состояние внутренних органов и мягких тканей. Однако диагностику не проводят при открытых ранах.
При необходимости врач назначает другие исследования. В клиниках ЦМРТ осуществляется диагностика внутренних повреждений при травме груди посредством магнитно-резонансной и компьютерной томографий.
Читайте также:
