Недостатки прямого торакоскопа. Стерилизация торакоскопа
Добавил пользователь Владимир З. Обновлено: 28.01.2026
Обработка и стерилизация инструментов для лапароскопии
В лапароскопической хирургии, как правило, используются сложные в своём устройстве и точно откалиброванные инструменты. Существенное различие между инструментами, используемыми в открытой хирургии, и инструментами, используемыми для лапароскопии, заключается в том, что последние более сложны по своей конструкции и зачастую весьма хрупкие.
Таким образом, лапароскопические инструменты являются более уязвимыми в плане застревания микроорганизмов и различного рода микрочастиц в щелях. Такого рода инструменты сложнее в очистке и хорошей стерилизации, по сравнению с инструментами для открытой хирургии. Более того, из-за их хрупкой конструкции необходимо использовать самые деликатные методы очистки в дополнение к основной стерилизации.
Чтобы сделать лапароскопические инструменты безопасными для пациента, доктора и обслуживающего персонала, необходима тщательная предстерилизационная очистка. Повышенная сложность лапароскопических процедур, а также появление резистентных штаммов бактерий, микобактерий, грибков и вирусов обусловливают необходимость эффективной очистки и дезинфекции и стерилизации инструментов. Стерилизация - это абсолютное разрушение или уничтожение форм микробной жизни. Её можно проводить паром, газом или химикатами. Дезинфекция - это относительное удаление патогенных организмов, за исключением спор. Обеззараживание может быть:
- Высокого уровня - уничтожаются все формы жизни, кроме спор;
- Промежуточного уровня - когда сохраняются некоторые грибы, вирусы и споры;
- Низкого уровня - когда грибы, вирусы, споры и микобактерии остаются неразрушенными.
Для лапароскопических инструментов, в идеале, следует использовать стерилизацию или дезинфекцию более высокого уровня.

ОЧИСТКА И СТЕРИЛИЗАЦИЯ инструментов для лапароскопии
Оптимальная обработка лапароскопических инструментов включает несколько ступеней, которые уменьшают риск передачи инфекции от использованных инструментов медицинскому персоналу.
- Разборка лапароскопических инструментов.
- Дезинфекция лапароскопических инструментов.
- Предварительная чистка лапароскопических инструментов.
- Очистка и промывка лапароскопических инструментов.
- Сушка лапароскопических инструментов.
- Стерилизация лапароскопических инструментов.
- Хранение лапароскопических инструментов.
Для качественной обработки необходимо выполнять все эти шаги в правильном порядке.
В большинстве крупных больниц имеется центральное отделение для стерилизации, куда инструменты доставляются для обработки. Правильная обработка инструментов является неотъемлемым аспектом ухода за ними, который значительно продлевает им срок службы, сокращая тем самым затраты на приобретение новых лапароскопических инструментов.
Разберем подробнее каждый из этапов.
Разборка лапароскопических инструментов
Разборные инструменты необходимо разобрать на части, чтобы их можно было легко обработать. Инструменты, которые не могут быть полностью разобраны, могут иметь остатки крови, микрочастиц тканей в отверстиях и в щелях, и ставят под угрозу безопасность пациентов, у которых они впоследствии используются.

Дезинфекция лапароскопических инструментов
Это процедура, используемая для удаления физиологических частиц на многоразовых медицинских инструментах. Процедура начинается с того, что медсестра стирает влажной стерильной губкой видимые частицы тканей, крови и жидкостей с лапароскопического инструмента. После этого лапароскопические инструменты следует поместить в контейнер, содержащий дезинфицирующий раствор, например 0,5% хлора, и дать им полежать в нем в течение 10 минут. Инструменты не должны оставаться в этом растворе в течение длительного периода времени, поскольку они могут быть повреждены.
Как только инструменты проходят этот этап очистки, необходимо перейти к следующему этапу в цикле стерилизации. Использование стандартных процессов очистки способствует эффективному очищению жестких эндоскопических инструментов. Необходимо, чтобы раствор проник во все отверстия инструментов. В процессе ручной очистки особое внимание следует уделять сложным и деликатным механизмам, расположенным на дистальном конце многих инструментов. Допустимо использовать ультразвуковую чистку, чтобы вычистить труднодоступные места. По окончании обеззараживания инструмент должен быть безопасен для персонала без контакта с передаваемыми через кровь патогенными микроорганизамами.

Предварительная очистка лапароскопических инструментов
После того, как лапароскопические инструменты проходят дезинфекцию, рекомендована дальнейшая обработка ферментативным методом. Для этих целей доступны многочисленные ферментативные продукты, а именно: протеаза, липаза, амилаза, которые эффективны в улучшении процесса очистки трудно моющихся инструментов. Они расщепляют кровь и другие белковые загрязнения и облегчают очистку. Эти ферменты являются белками, и должны быть удалены путём тщательной очистки.
Очистка лапароскопических инструментов
Любая аппаратура и инструменты, которые имеют конструкцию, позволяющую проводить автоклавирование, требуют специализированной чистки как раз перед стерилизацией. Персонал ЛПУ должен убедиться, что нет остаточного белкового материала или органических остатков на поверхности инструмента. Это особенно важно, когда аппаратура или инструмент имеют составные части и щели; накопление остатков загрязнений в щелях может в конечном итоге привести к коррозийному повреждению и патогенной колонизации. Многие больницы применяют технику мытья инструментов в мыльных абразивных средствах. Хотя ручная очистка является частично эффективной, чистящие средства на основе ферментов и моющих средств, которые растворяют и выводят органический материал с поверхности инструментов, лучше подходят для того, чтобы некоторые поверхности инструмента могли быть очищены от крови вместе с другими жидкостями организма и белковым материалом до процесса стерилизации. Для лапароскопических инструментов лучше всего использовать мягкие щётки, которые позволяют тщательно очищать внутренние поверхности инструментов.
Лапароскопические инструменты лучше всего промывать в проточной воде, чтобы гарантированно очистить все твёрдые частицы с остатками химических веществ. Необходимо иметь «чистящие пистолеты» с тонкими заостренными насадками, чтобы вымыть грязь из лапароскопических инструментов. Струя воды способна очищать эти инструменты намного лучше, чем обычное промывание в воде в контейнере.
Популярным методом очистки является ультразвуковая очистка. Этот метод, безусловно, самый эффективный и действенный на сегодняшний день. Простота использования и превосходная эффективность делают ультразвуковую очистку предпочтительным выбором персонала ЛПУ. На самом деле, ультразвуковая чистка в 16 раз лучше, чем ручная чистка. Инструменты помещают в ультразвуковой блок на 10-15 минут и используют раствор с нейтральным pH. Во время ультразвуковой чистки следует обратить внимание на следующие моменты:
- Перед помещением в ультразвуковой блок инструменты очищаются от всех видимых загрязнений.
- Желательно не смешивать инструменты, сделанные из разнородных металлов (таких как алюминий и нержавеющая сталь) в одном цикле.
- Важно обеспечить достаточно места для инструментов. Ультразвуковой блок не должен быть перегружен.
- Как и при всех видах очистки, все инструменты должны быть разобраны.
- По завершении цикла инструменты немедленно вынимаются из блока и промываются.
Сушка лапароскопических инструментов
Инструменты должны быть высушены в конце цикла очистки и полоскания перед упаковкой для стерилизации. Этого можно идеально достичь с помощью пневматического пистолета, который сдувает все капли воды с поверхностей инструментов, или с помощью специальной духовки.
Паровая стерилизация лапароскопических инструментов

Стерилизация паром в автоклаве является одной из наиболее типичных форм стерилизации, используемых в медицинских учреждениях. Автоклавирование при 121°C в течение 15 минут идеально подходит для всех металлических инструментов многократного использования. Это эффективно, дешево и нетоксично. Лапароскопы можно стерилизовать мгновенной или вакуумной паровой стерилизацией.
Перед стерилизацией все инструменты, все силиконовые трубки и все виды кабелей должны быть покрыты тканью, чтобы предотвратить контакт с горячим металлическим контейнером. Затем их помещают в автоклав.
Флэш стерилизация проводится при 135°С в течение 60 минут. Этот процесс требует сухих циклов. Инструменты должны находиться на стойке стерилизатора в течение 45 минут, чтобы предотвратить конденсацию воды вокруг линзы.
Стерилизация газом лапароскопических инструментов

Использование этиленоксида (ЭО) подойдет для всех одноразовых инструментов, лапароскопических инструментов и трубок с изоляцией, используемых для подачи газа, всасывания и орошения. Эндоскопические инструменты могут быть стерилизованы холодным или теплым газом, в соответствии с инструкциями изготовителя.
При холодном газе температуры устанавливаются на 85°C, инструменты также подвергаются обработке газом в течение 4 часов 30 минут. Аэрация должна последовать в течение 12 часов.
Стерилизация теплым газом происходит при 145°С в течение 2 часов 30 минут с последующей аэрацией в течение 8 часов.
Преимущества ЭО заключаются в том, что элементы инструментов не повреждаются, газ не вызывает коррозии оптики и проникает в пористый материал.
Его основными недостатками являются стоимость, токсичность, необходимость аэрации и длительность процесса.
Дезинфекция высокого уровня лапароскопических инструментов
Когда стерилизация недоступна или неосуществима, для обработки инструментов используется дезинфекция высокого уровня. Она уничтожает бактерии, вирусы, грибки и паразитов, но не может надёжно уничтожить все бактериальные эндоспоры, которые вызывают такие заболевания, как столбняк, газовая гангрена и атипичные микобактериальные инфекции. Такая стерилизация рекомендуется для инструментов, которые будут иметь контакт с поврежденной кожей или слизистыми оболочками.
Эффективность стерилизации зависит от количества и вида микроорганизмов, органических веществ (кровь, другие жидкости, ткани) и других веществ (например, грязи), присутствующих на инструменте. Поэтому важно обеззараживать и тщательно чистить инструменты перед ДВУ.
Агенты, которые используются для ДВУ, включают 2% глутаральдегид, 6% стабилизированную перекись водорода и уксусную кислоту (уксусная кислота / перекись водорода).
Глутаральдегид обладает преимуществами хорошей биоцидной активности, не вызывает коррозии оптики и активен в присутствии белка. Но следует помнить, что глутаральдегид раздражает кожу, глаза и дыхательную систему, особенно в концентрации 0,3 (ppm). Продолжительность использования коммерчески доступных растворов глутаральдегида варьируется, обычно, от 14 до 30 дней. Это должно проверяться ежедневно с тест-полоской производителя. Всегда придерживайтесь инструкций производителя относительно правильной температуры хранения и срока годности средств для ДВУ. Раствор следует заменять каждый раз, когда он становится мутным. На эффективность глутаральдегида влияют органическая нагрузка, время контакта и характер использования, концентрация, конфигурация инструментов, температура и pH. Фиброоптические световоды и оптики должны быть помещены в раствор 2% глутаральдегида не менее, чем на 10 минут. Выдержка не должна превышать двадцать минут. Оптика также может быть продезинфицирована 10-минутным погружением в 2% глутаральдегид. Необходимо следить за тем, чтобы конец штекера шнура находился вдали от раствора. В качестве альтернативы можно использовать стерильную салфетку поверх камеры и шнура. Погружение других металлических инструментов, включая троакары и инструменты, рекомендуется в течение часа, чтобы избежать заражения атипичной микобактериальной инфекцией.
Формальдегид, глутаральдегид из фенольных производных, йодофоры, гипохлориты, фенольные соединения и четвертичные аммониевые соединения непопулярны и были запрещены. Формальдегид потенциально вызывает рак и очень раздражает кожу, глаза, нос и дыхательные пути. Кроме того, его эффективность признана недостаточной, и по этой причине обычное использование формальдегида для стерилизации инструментов и других предметов не рекомендуется.
Новые методы стерилизации лапароскопических инструментов

Для больниц с высокой рабочей нагрузкой важно быстрое время обработки инструментов, которые нельзя удовлетворительно стерилизовать паром или сухим жаром. Одна из новейших систем стерилизации - STERRAD (Johnson & Johnson) - использует пары перекиси водорода и низкотемпературную газовую плазму для быстрой стерилизации большинства устройств без токсичных остатков.
Обычно процесс занимает около 75 минут для упакованных и сухих инструментов и устройств. Внутри камеры создаётся глубокий вакуум. 59% водного пероксида испаряются в камеру. После диффузии газообразного пероксида с нагрузкой давление в камере снижается, что позволяет генерировать низкотемпературную газовую плазму. После завершения стерилизации инструменты остаются сухими, их можно сразу использовать или хранить стерильными. Таким образом, риск повторного загрязнения сведён к минимуму, и, учитывая, что лапароскопические инструменты остаются стерильными до их следующего использования, предотвращается повторная обработка инструментов, соответственно, экономятся деньги и время.
Эта система занимает минимальное пространство и не требует вентиляции или подключения воды. Единственное требование - это подключение к электросети.
Хранение лапароскопических инструментов

Инструменты для лапароскопии следует использовать или правильно хранить вскоре после стерилизации или ДВУ, чтобы они не были загрязнены снова. Правильное хранение так же важно, как и надлежащая дезинфекция, очистка, стерилизация или ДВУ. Если инструменты не хранятся должным образом, все усилия и расходные материалы, использованные для их правильной обработки, будут потрачены впустую, и все будет загрязнено снова. Конкретные инструкции по правильному хранению зависят от того, будет ли по-прежнему выполняться стерилизация или ДВУ, от используемого метода, а также от того, упакованы ли инструменты. Срок хранения стерильно упакованного инструмента зависит от множества факторов, в том числе:
- Тип используемого упаковочного материала;
- Сколько раз инструменты обрабатываются;
- Количество людей, которые обрабатывают пакет;
- Чистота, влажность и температура в помещении для хранения;
- Хранятся ли упаковки на открытых или закрытых полках;
- Используются ли пылезащитные чехлы (например, закрытые пластиковые пакеты).
Для оптимального хранения стерильные упаковки помещаются в закрытые шкафы в местах, где умеренная температура, а также в условиях сухой или низкой влажности. При оптимальных условиях хранения и минимальной обработке правильно упакованные инструменты можно считать стерильными, если они остаются целыми и сухими. Время хранения и обращения со стерильными упаковками должно быть сведено к минимуму, поскольку вероятность загрязнения увеличивается со временем. Если вы сомневаетесь в стерильности упаковки, перед использованием её следует повторно стерилизовать.
Купить любые лапароскопические инструменты легко в "Юни-тек":
(812) 291-555-0
Этот адрес электронной почты защищён от спам-ботов. У вас должен быть включен JavaScript для просмотра.
Также занимается ремонтом и техническим обслуживанием оборудования для эндоскопии и эндовидеохирургии
Недостатки прямого торакоскопа. Стерилизация торакоскопа
Подготовка к операции Якобеуса заключается прежде всего в постепенном доведении давления в плевральной полости до нуля, чтобы вскрытие ее не повлекло значительного изменения дыхания. Для этого увеличивают количество вводимого воздуха и частоту поддуваний, в течение 10—15 дней достигая выравнивания давления.
Если при этом больной испытывает тягостные ощущения или одышку, то операция откладывается до момента привыкания к большому коллапсу или вообще отменяется. Нужно, чтобы толщина слоя воздуха между грудной стенкой и легким была не менее 4 см. Если в плевральной полости имеется выпот, то стараются уменьшить его путем осторожных отсасываний с введением антибиотиков. При наличии других временных противопоказаний в предоперационном периоде пытаются ликвидировать их соответствующей терапией.
Для торакоскопии употребляются торакоскопы различной конструкции.
Торакоскоп с боковой оптикой создает видимость с углом зрения в 60°. Направление оптики отмечено на окуляре пуговкой. Недостатком этого то-ракоскопа является то, что при боковой оптике не видны предметы, расположенные впереди инструмента, искажается перспектива, т. е. отдаленные предметы кажутся слишком маленькими, а близко расположенные —слишком большими и, наконец, значительно искажается форма предмета. Преимуществом является возможность рассмотреть предметы, расположенные рядом с торакоскопом, а также возможность исследовать их со всех сторон при незначительном перемещении торакоскопа.

Торакоскоп с прямой оптикой позволяет видеть предметы в неискаженном виде, имеет угол зрения в 110°, но не дает возможности видеть предметы, расположенные рядом с торакоскопом. Обследование с помощью торакоскопа с прямой оптикой требует больших и неудобных его перемещений.
Инструмент, служащий для разрушения сращений, называется каутер. Он представляет собой изогнутый проводник, заканчивающийся на конце платиновой петлей. Каутер вводится вместе с футляром — тонкой трубкой, служащей проводником для каутера. Наконец, для прокалывания грудной стенки применяются специальные троакары, состоящие из стилета и канюли.
Подача тока для лампочки торакоскопа и для нагревания петли каутера осуществляется через обычный трансформатор, используемый для эндоскопии.
Стерилизация торакоскопов, каутеров и шнуров производится в парах формалина в закрытом сосуде или в спирте. Стилет, канюли и футляры стерилизуются кипячением. Торакоскопии производятся в затемненной операционной.
Торакоскопия: суть процедуры, показания, техника, результат и восстановление после

Все материалы на сайте подготовлены специалистами в области хирургии, анатомии и профильных дисциплинах. Все рекомендации носят ориентировочный характер и без консультации лечащего врача неприменимы.
Автор: Аверина Олеся Валерьевна, к.м.н., врач-патолог, преподаватель кафедры пат. анатомии и патологической физиологии, для Операция.Инфо ©
Торакоскопией называют хирургическую манипуляцию, в ходе которой врач производит осмотр грудных полостей, средостения, перикарда торакоскопом — аппаратом для эндоскопических исследований. Процедура проводится сквозь прокол стенки грудной клетки и носит как диагностический, так и лечебный характер.
Видеоторакоскопия прочно входит в повседневную практику пульмонологов и хирургов всего мира, постепенно вытесняя очень травматичные доступы. Посредством малоинвазивной операции можно лечить многие заболевания, которые еще совсем недавно требовали больших разрезов, сопровождались тяжелыми осложнениями и длительным болезненным восстановлением.
Методика эндоскопического исследования грудных полостей имеет более чем вековую историю. Впервые она была проведена в рамках эксперимента в 1901 году, а уже спустя 9 лет Г. Х. Якобеус применил ее как диагностический прием при осмотре пациента с туберкулезом. Чуть позже аппарат был усовершенствован и назван торакоскопом, при помощи которого стали производить биопсию тканей.
С начала прошлого столетия торакоскопия применялась в основном при туберкулезе — для рассечения плевральных спаек, создания лечебного пневмоторакса. Со второй половины ХХ века туберкулез стали лечить эффективными лекарственными препаратами, а торакоскопия стала применяться в качестве диагностической процедуры при патологии плевральных листков, воспалительных процессах органов грудной клетки, травмах.
Сегодня торакоскопия — это не только способ осмотреть, что происходит внутри плевральных полостей, но и возможность прицельно получить ткани для гистологического исследования и даже провести хирургические манипуляции сквозь небольшие проколы.
Современные видеокамеры дают высококачественное цветное изображение, которое видит не только хирург, но и его помощники, что позволяет проводить полноценные операции — торакоскопическая хирургия. Торакоскопия может избавить от необходимости проведения травматичного вмешательства, показания и к ней не ограничиваются лишь необходимостью диагностики.
Особенности и преимущества торакоскопии
- Обнаружение патологических изменений в серозной оболочке легкого, средостении, диафрагме, сердечной сорочке;
- Получение фрагмента измененных тканей для морфологического анализа;
- Удаление избытка плеврального содержимого;
- Иссечение кисты, буллы, заполненной воздухом (при эмфиземе, врожденных аномалиях);
- Удаление участка легочной ткани.

Торакоскопия успешно применяется современными пульмонологами благодаря массе неоспоримых преимуществ, коими считаются:
- Возможность многократного увеличения изображения, получаемого видеокамерой;
- Возможность забора биопсийного материала;
- Низкая травматичность и хорошая переносимость пациентами;
- Небольшая продолжительность вмешательства при диагностике;
- Минимальная вероятность осложнений;
- Более короткая реабилитация;
- Хороший косметический результат.
Среди недостатков метода можно назвать дороговизну оборудования и необходимость наличия квалифицированного хирурга, владеющего этой техникой, а также ограниченность применения при некоторых заболеваниях грудной полости.
Показания и противопоказания к торакоскопии

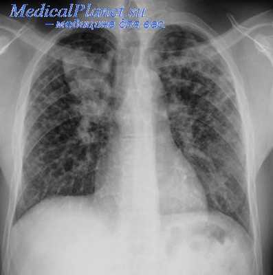
плевральный выпот на рентгеновском снимке
Перечисленные причины обычно приводят к диагностической торакоскопии, тогда как необходимость рассечения рубцовых сращений, удаления воздуха или иного содержимого, иссечение кист или опухолей — показания к лечебной торакоскопической операции.
Перечень случаев, когда может быть применена малоинвазивная методика, постепенно расширяется с усовершенствованием применяемого оборудования и инструментов, накоплением опыта торакоскопии при самой разной патологии. Среди пациентов не только взрослые, но и дети, которым торакоскопические операции проводят исключительно под общей анестезией.

- Скоплении крови в сердечной сумке;
- Острой коронарной недостаточности;
- Нарушении ритма сердца;
- Выраженном расстройстве гемокоагуляции;
- Остром инфекционном заболевании;
- Декомпенсированной патологии сердца, почек, печени, легких;
- Гнойничковом поражении кожи в местах, где предполагается делать проколы;
- Патологии единственного легкого;
- Невозможности однолегочной вентиляции;
- Острой дыхательной недостаточности;
- Выраженной спаечной болезни со сращением плевральных листков;
- Острой хирургической патологии брюшной полости (кровотечение, перитонит);
- Коме;
- Некоторых психических заболеваниях, при которых нарушен контакт с пациентом.
От операции придется отказаться при категорическом нежелании ее проводить со стороны пациента, но если показания для торакоскопии достаточно серьезны, то лечащий врач постарается объяснить важность манипуляции, добившись от пациента его добровольного согласия.
Подготовка к торакоскопии
Подготовка к торакоскопическим процедурам включает тщательное обследование пациента, консультации узких специалистов для выяснения показаний и противопоказаний, факторов риска осложнений и выбора объема вмешательства.

Если лечащий врач считает торакоскопию легких необходимой, он должен подробно объяснить пациенту смысл этой манипуляции и ее цель. В обязательном порядке пациент информируется о возможных осложнениях, а также в возможности перехода к открытой операции, если эндоскопического доступа окажется недостаточно. После беседы и первичного осмотра хирург заручается письменным согласием пациента на проведения манипуляции.
Все вопросы касательно торакоскопии следует не стесняться задавать заблаговременно. Излишние и подчас необоснованные страхи, ошибочные сведения, почерпнутые из интернета, способны вселить в пациента ненужный страх и волнение, развеять которые — задача грамотного врача. Слишком мнительным индивидам могут быть назначены легкие успокоительные средства.
- Электрокардиографию;
- Рентгенографию органов грудной клетки;
- Спирометрические исследования;
- Анализ на свертываемость крови;
- Общеклинические исследования крови и мочи;
- Анализы на гепатиты, ВИЧ, сифилис.
Подобный стандартный перечень процедур проводится перед любым другим диагностическим или лечебным вмешательством. Большинство исследований можно пройти заблаговременно по месту жительства. За 2 недели до процедуры отменяется прием кроверазжижающих средств.
Лечащий врач заблаговременно обязательно поинтересуется, нет ли аллергии на что бы то ни было, в особенности — лекарства, средства для местной анестезии. Анестезиолог исходя из осмотра и беседы с пациентом выберет оптимальный путь анальгезии, который поможет наиболее комфортно перенести вмешательство.
Перед торакоскопической операцией в назначенный срок пациент приходит с результатами анализов в клинику, где его еще раз осматривают хирург и анестезиолог, определяющие время операции. В других случаях торакоскопия назначается пациентам, уже находящимся на стационарном лечении и прошедшим подготовку в стенах клиники.
Накануне процедуры рекомендуется не нагружать себя избытком воды и пищи, время между ужином и операцией не должно быть менее 12 часов. Утром в день торакоскопии есть и пить будет нельзя, что связано с предстоящей анестезией и потенциальной возможностью перехода от торакоскопии к открытой операции.
Как проводится торакоскопия?
Торакоскопия — это малоинвазивная операция, поэтому проводится она только в стационаре и в операционной или ином помещении, которое оснащено необходимым оборудованием:
- Аппаратура для освещения, монитор;
- Аспиратор, троакары, зажимы, коагуляторы и другие инструменты;
- Эндоскоп, эндовидеокамера;
- Стерильный перевязочный материал, салфетки, перчатки.
В помещении, где будет проводится торакоскопия, соблюдаются стерильные условия. Средний и младший медицинский персонал следит за чистотой, своевременной обработкой и подготовкой инструментов, помогает хирургу во время процедуры.
От хирурга, проводящего торакоскопию, требуется крайняя аккуратность, точность движений и высокое мастерство, поскольку манипулируя в ограниченном пространстве он рискует повредить рядом расположенные структуры.
Как правило, торакоскопические вмешательства проводятся под общей анестезией ввиду необходимости односторонней легочной вентиляции и довольно большой продолжительности операции, во время которой пациент должен сохранять неподвижность. В редких случаях (биопсия плевры, например, противопоказания к общему наркозу), возможна местная анестезия.
- Пациент снимает одежду с верхней половины тела, ложится на здоровый бок, под который кладут валик, руку поднимает к голове, мужчинам медсестра удаляет волосяной покров в области предстоящих проколов;
- Местное обезболивание достигается инфильтрацией тканей новокаином, лидокаином, тримекаином, при необходимости общей анестезии вводятся соответствующие препараты внутривенно, а в трахею помещается интубационная трубка для обеспечения вентиляции легкого на противоположной операции стороне;

точки доступа при торакоскопии
Диагностическая торакоскопия может длиться до 2 часов, а торакоскопическая хирургическая операция — до 2,5 — 3 часов. После манипуляции пациента на некоторое время оставляют под наблюдением: на протяжении 1-го часа — каждые 15 минут, затем каждые полчаса, а спустя 3 часа после вмешательства — ежечасно. Если возникнет сильная болезненность, будут введены обезболивающие средства. В клинике придется провести от нескольких суток до 2 недель.
Послеоперационный период и осложнения
- Кровотечения — из-за травмы межреберных, внутрилегочных сосудов, недостаточного гемостаза в ходе операции;
- Попадание воздуха под кожу грудной стенки;
- Гнойное воспаление в местах проколов в межреберьях;
- Воздушная эмболия при попадании в кровоток воздуха из разрушенной буллы, при травме легкого инструментарием;
- Скопление воздуха в плевральной полости;
- Повреждение диафрагмы.
Осложнения более вероятны при тяжелой патологии легких, выраженном спаечном процессе, опухолевых разрастаниях. Реже они вызваны неаккуратными действиями хирурга или техническими погрешностями при проведении торакоскопии. Одним из последствий может стать хроническая болезненность, возникновение которой связано с характером поражения легких или плевры и мало зависит от степени мастерства хирурга.

Послеоперационный период протекает в зависимости от того, по какой причине была назначена торакоскопия. Если процедура носила исключительно диагностический характер, а выявленные изменения не сказываются существенным образом на состоянии обследуемого, то вскоре можно будет покинуть клинику, вернувшись лишь для того, чтобы снять швы.
Торакоскопия по поводу серьезной патологии, сопровождающаяся элементами хирургического лечения, потребует более длительного восстановления. В первые дни пациент будет оправляться от наркоза, принимать противовоспалительные средства и анальгетики, затем лечение и наблюдение будут скорректированы в соответствии с диагнозом.
Боли после торакоскопии — не такая уж и редкость. По некоторым данным, их испытывает едва ли не пятая часть всех пациентов, прошедших эту процедуру. Боли могут носить хронический характер, больше выражены при наличии рубцовых сращений в плевре, при воспалительном процессе. Однако не стоит заранее пугаться и настраиваться на негатив: в каждом случае и заболевание, и восстановительный период протекают по-своему, и совсем не обязательно, чтобы боли непременно возникли.
Результатом диагностической торакоскопии может быть заключение о полном здоровье пациента, и тогда причину его симптомов нужно будет искать в других органах. В противном случае хирург обнаружить зоны воспаления, деструктивно-язвенных процессов, нагноение, кровоточивость, опухоль и т. д. Результаты торакоскопии будут подробно расписаны в протоколе обследования.
Если в ходе процедуры был произведен забор биопсийного материала, то спустя 7-10 дней можно будет получить ответ патоморфолога. Цитологическое исследование содержимого проводится обычно в тот же день. Эти диагностические методы чаще всего используются на этапе поиска злокачественного новообразования.
Таким образом, торакоскопия малоинвазивна, не требует больших разрезов и длительной госпитализации, однако способна дать огромный объем информации касательно происходящего в грудных полостях, легочной ткани, структурах средостения. Кроме того, она может стать и одним из этапов лечения, поэтому методики эндоскопической торакальной хирургии все чаще используются хирургами в повседневной практике.
Торакоскопия: показания к назначению, методика проведения, необходимая подготовка
Торакоскопия легких и плевры - современная диагностическая процедура, позволяющая лечащему врачу визуально оценить состояние плевральной полости (плевроскопия), а также ее стенок и легких. При этом методе исследования специальный инструмент (эндоскоп) вводят непосредственно через стенку грудной клетки, в связи с чем торакоскопия считается высоко инвазивной процедурой и показана только при определенных ситуациях. Использование подобного исследования проводится только в условиях лечебного учреждения под врачебным контролем.

Торакоскопия может применяться не только для диагностического осмотра, но и для выполнения полноценных хирургических вмешательств
Преимущества и недостатки
Несмотря на достаточную инвазивность, данный метод диагностики имеет существенные плюсы, обуславливающие его использование:
- Оно позволяет осмотреть плевральную полость и легкое с высокой точностью, что помогает выявить патологические процессы небольших размеров. Другие методы диагностики заболеваний с подобной локализацией, значительно уступают в своей точности.
- Возможность проведения хирургического вмешательства или взятия кусочка подозрительной ткани для последующего гистологического анализа. Это позволяет проводить максимально прицельную биопсию новообразований даже незначительных размеров.
- Непродолжительный период восстановления пациента после процедуры с незначительной потребностью использования обезболивающих и наркотических медикаментозных средств.
- Торакоскопическая техника постоянно развивается и существуют камеры, получающие изображения высокой точности, чего несколько лет назад еще не было.

Однако существует и ряд недостатков, что может затруднить использование подобного диагностического метода в ряде лечебных учреждений:
- Высокая стоимость обследования, что приводит к высокой стоимости и самого исследования. Одна торакоскопия без дополнительных вмешательств оценивается в 10-15 тысяч рублей.
- Необходимость дополнительного обучения врачей проведению исследования.
Торакоскопия имеет ряд преимуществ, качественно выделяющих ее среди других диагностических процедур.
Несмотря на подобные недостатки, метод завоевывает все большую популярность в клинической практики для выявления небольших патологических процессов в плевральной полости.
Показания к применению

Диагностическая торакоскопия проводится для выявления заболеваний в плевральной области и поверхностных областях легких. При этом возможно выявление следующих заболеваний:
- Опухолевые процессы доброкачественной или злокачественной природы в плевральной полости.
- Травматические повреждения грудной клетки с проникающими ранениями.
- Пневмоторакс при невыявленной причине возникновения.
- Плевриты (воспаление листков плевры) различной причинной обусловленности.
- Периферический рак легкого с поверхностной околоплевральной локализацией.
- Лимфомы с поражением внутригрудных лимфатических узлов.
Однако существует ряд противопоказаний, ограничивающих использование метода:
- Нарушения свертываемости крови любой причинной обусловленности.
- Острая дыхательная недостаточность, возникающая на фоне двухсторонней пневмонии.
- Острые нарушения сердечного ритма или сердечная недостаточность.
- Наличие только одного легкого, что делает использование искусственной вентиляции при проведении процедуры невозможным.
- Поражение кожи грудной клетки воспалительного характера.
- Тяжелое состояние больного, связанное с множественными травмами или сопутствующими заболеваниями.
При выявлении противопоказаний необходимо отказаться от данного метода и выбрать другие виды диагностических процедур.

Важнейший этап в подготовке пациента - тщательное объяснение хода процедуры, цели ее проведения, а также оповещение больного о возможных осложнениях. Как правило, для адекватного обезболивания используется общий наркоз, позволяющий максимально снизить риск развития болевого синдрома.
За 10-12 часов до процедуры пациенту следует отказаться от приема пищи для опорожнения верхних отделов желудочно-кишечного тракта. Это позволяет избежать развития ряда осложнений, связанных с аспираций пищи.
Необходимо проконсультироваться со своим лечащим врачом перед процедурой для выяснения особенностей подготовки, хода торакоскопии и получения информации о восстановительном периоде.
До обследования всем больным показано проведение электрокардиограммы, оценка дыхательных функций, определение статуса свертывания крови, а также рентгенограммы органов грудной клетки. Подобное предварительное исследование направлено на выявление факторов риска, способных привести к осложнению основной процедуры. Например, плохая свертываемость крови может стать причиной развития длительного кровотечения при торакоскопии.
Проведение торакоскопии
Видеоторакоскопия и обычная торакоскопия проводятся с помощью специальных инструментов - тораскопов, включающих в себя источник освещения и видеокамеру. Существует большое количество их разновидностей, позволяющих адаптировать процедуру под каждого конкретного больного.
После дачи общего наркоза и интубации трахеи, добиваются спадения одного легкого (со стороны осмотра). Через небольшой разрез в области межреберного промежутка аккуратно вводят троакар, позволяющий подготовить отверстие для торакоскопа. После этого вводят непосредственно троакар, позволяющий визуально оценить состояние плевральной полости. Как правило, дополнительно вводят несколько аспираторов, используемых для отсоса излишков жидкости.
По окончании торакоскопии инструменты извлекают из плевральной полости, а разрезы ушивают и закрывают асептическими повязками. В течение суток после процедуры необходимо тщательно отслеживать основные жизненные показатели больного.
Помимо диагностической цели, торакоскопия может быть и лечебной. При этом из плевральной полости можно удалить скопившуюся патологическую жидкость, удалить неясные новообразования или взять их кусочки для последующей морфологической диагностики.
Методика выполняется в условиях медицинского учреждения, в связи с риском развития тяжелых осложнений.
Средняя продолжительность торакоскопии 1-2 часа, в зависимости от ее цели. Как правило, серьезных осложнений при соблюдении техники процедуры не наблюдается.
Возможные осложнения
Нарушение техники проведения торакоскопии, неполноценное обследование пациента перед процедурой могут привести к развитию осложнений:
- Гнойно-воспалительные осложнения в виде нагноения разреза, плеврита и т.д., возникают в результате несоблюдения правил асептики и антисептики.
- Подкожная эмфизема возникает при попадании воздуха в подкожно-жировую клетчатку стенки грудной клетки.
- Пневмоторакс, связанный со скоплением воздуха в плевральной полости, приводит к развитию дыхательной недостаточности.
- Одним из наиболее частых осложнений торакоскопии является болевой синдром, связанный с травматизацией мягких тканей грудной стенки.

Соблюдение правил выполнения торакоскопии, адекватное обезболивание больного и профилактика осложнений позволяют снизить риск развития осложнений до минимума.
Использование торакоскопии направлено на выявление небольших патологических процессов в плевре или поверхностных участках легких. При этом метод имеет большое количество преимуществ над другими диагностическими процедурами. Перед проведением торакоскопии необходимо проконсультироваться у лечащего врача и пройти ряд дополнительных обследований, позволяющих исключить противопоказания к данному методу.
Что такое торакоскопия

Торакальная хирургия, представляет собой направление медицины, основной целью которой, является диагностика и лечение оперативным путем, патологий органов грудной клетки. Несмотря на то что объектом исследования или оперативного вмешательства может быть любой из органов, находящийся в грудной полости (плевра, грудной отдел позвоночника, диафрагма), основным направлением грудной хирургии, можно считать, легкие.
Торакоскопия, своим появлением, сумела радикально изменить представление о целесообразности вмешательств с диагностическими или лечебными целями. Основной фактор, оказывающий влияние на улучшение результатов, достигнутых в ходе лечебного процесса и расширения перечня показаний к проведению оперативного вмешательства, - это малая травматичность операции.
Общие сведения
Сегодня торакоскопию (ТС) или видеоторакоскопию (ВТС) можно считать одним из рядовых методов эндоскопического обследования, применяемого для изучения и лечения органов грудной полости. Торакоскоп, с помощью которого проводят исследование, претерпел множество эволюционных изменений.
Если в начале XX века он представлял собой прибор, оборудованный системой зеркал, позволяющий производить осмотр плевральной полости и осуществлять минимальные хирургические вмешательства (прижигание, биопсия, разрезание спаек), то конструкция торакоскопа XXI века включает в себя все современные технические достижения (оптиковолоконые технологии, видеооборудование с высокой разрешающей способностью).
Подобные изменения позволили использовать методику не только для диагностики, но и для осуществления полноценных хирургических манипуляций. Поскольку торакоскопическое вмешательство осуществляется путем введения торакоскопа и другого необходимого оборудования через прокол в грудной клетке, появилась возможность избежать больших кровопотерь, обычно сопровождающих открытые операции, а также косметических дефектов, вызванных послеоперационными рубцами.
Высокое качество визуализации с помощью видеомониторов и возможность многократного увеличения, с успехом компенсировали отсутствие тактильных ощущений хирурга, и позволили с высокой точностью определять локализацию патологических очагов (например, бронхоплевральных свищей или метастазов), что особенно актуально при взятии материала на гистологический анализ.
Важно! Нередко, для выполнения биопсии, вместо торакоскопа используют фибробронхоскоп, снабженный источником интенсивного освещения и удобной системой управления, он имеет встроенное устройство для взятия гистологического образца.

Жесткий операционный торакоскоп с каналом для введения щипцов для биопсии
Возможности
Сегодня, с помощью торакоскопической техники, возможно делать довольно большое количество оперативных вмешательств. В перечень таких операций входят легко выполнимые оперативные манипуляции, осуществление которых предпочтительно именно таким способом, а также более сложные операции, выполнение которых с помощью торакоскопии является спорным вопросом. На сегодняшний день, такие операции выполняют исключительно с целью накопления опыта и сравнения достигнутых результатов с классической методикой оперирования.
К сложным операциям, выполняемым с помощью ВТС, относят:
- пневмонэктомия (полное удаление легкого);
- резекция позвоночных дисков при сколиозе или кифозе позвоночника;
- лобэктомия (удаление доли какого-либо органа, например, легкого);
- резекция пищевода.
К операциям, выполнение которых, рекомендуется выполнять с помощью торакоскопии, относят:
- биопсия и частичное удаление плевры;
- рассечение спаек и дренирование плевральной полости;
- дренирование перикарда; области средостения;
- резекция булл (воздушных пузырьков при пневмотораксе);
- клиновидная резекция или биопсия легкого;
- иссечение, аспирация (удаление содержимого) и пункция кист.
Преимущества
Радикальные изменения в торакальной хирургии были спровоцированы осознанием преимуществ применения лапароскопического оборудования, позволяющего получить хорошее, а в некоторых случаях гораздо лучшее изображение органов грудной клетки, чем при открытых операциях. Применение качественных оптических приборов, позволяет достигнуть высоких результатов, без выполнения большого разреза.
Незначительные повреждения тканей, вследствие выполнения небольших разрезов, позволяют существенно сократить период восстановления, который при проведении оперативного вмешательства открытым способом, длился бы намного дольше, вследствие массивного повреждения костно-мышечных структур. Однако операцию с помощью ВТС-оборудования нельзя назвать полностью безболезненными.

Шрамы после торакоскопии
Существенным преимуществом ВТС перед открытой операцией, можно считать, возможность многократного увеличения осматриваемой области и выявлять незначительные, едва уловимые различия между здоровыми тканями и патологически измененными, что, безусловно, ценно с диагностической точки зрения, и, соответственно, актуально при выполнении прицельной биопсии тканей.
В связи с развитием видеоэндоскопических технологий в диагностике и лечении, появилась тенденция к обособлению врачей, владеющих такой методикой, что часто приводит к формированию специалиста «одного метода». Характерным явлением в такой ситуации может быть переоценка возможностей ВТС, и, как следствие, негативные результаты лечения.
Важно! Поскольку торакоскопия имеет ограниченные лечебные возможности, решение о применении метода должно приниматься исходя из комплексного анализа всех возможных последствий того или иного способа вмешательства.
Таблица. Сравнение результатов различных методов оперативного вмешательства на легких.
| № п/п | Критерий оценки | Ед. изм | Торакоскопическая операция | Открытая операция |
| 1 | Время послеоперационного периода | сут. | 5-10 | 13-19 |
| 2 | Время расправления легкого | ** | 1-3 | 3-8 |
| 3 | Время выделения экссудата в плевральную полость | ** | 0-4 | 6-8 |
| 4 | Объем кровопотери во время операции | мл | 0 | 200-500 |
| 5 | Длительность применения наркотических обезболивающих средств | раз | 1-2 | 2-6 |
| 6 | Косметический дефект | нет | есть |
Подготовка
Подготовка пациентов к ВТС не имеет существенных отличий от любых открытых операций и включает в себя перечень лабораторных исследований: рентгенографическое исследование грудной клетки, общий анализ мочи, ЭКГ, биохимический анализ крови, протромбиновое время, определение группы крови. Также необходимым исследованием является определение полноценности функции дыхания (спирометрия).
На основании полученных данных, принимают решения о предпочтительной технике вентиляции легких. Если пациент не может перенести операцию с одним вентилируемым легким, то предоперационная подготовка должна включать в себя возможность обеспечения вентиляции СРАР, предполагающую поддержание постоянного давления кислорода в дыхательных путях.
Информирование пациента о сути предстоящей процедуры - прямая обязанность врача. Пациент должен быть уведомлен о риске возникновения возможных осложнений, а также о вероятности изменения хирургической тактики во время торакоскопии, и проведения открытой операции. При составлении тактики проведения операции необходимо учитывать финансовую сторону вопроса, так как при переходе к открытой операции, нередко, уже использованы дорогостоящие одноразовые инструменты, оплачивать, которые должен будет пациент.

Положение пациента во время торакоскопии
Инструменты
Для выполнения ВТС необходимы эндоскопические инструменты, имеющие достаточную длину и изогнутость, для работы в грудной полости. Несмотря на это, некоторые инструменты, применяемые при открытых операциях (зажимы, кюретки), могут успешно используются при ВТС. Торакоскопы различаются, прежде всего, расположением оптических линз, позволяющих получить различный угол обзора (30°, 60° и 90°). Также различают прямые, изогнутые и гибкие торакоскопы, с наличием инструментального порта и без него.
Перечень основных инструментов, необходимых для проведения ВТС, включает в себя:
- эндоскопические ножницы;
- инструменты для иссечения тканей;
- инструменты для биопсии;
- систему для удаления жидкости;
- инструменты для остановки кровотечения (электрокоагуляторы, диссекторы);
- степлеры;
- ретракторы (расширители).
Проведение
Выполнение большинства ВТС операций осуществляется с применением общего наркоза. Местное (региональное) обезболивание, в виде блокады межреберных нервных окончаний и применения седативных средств, целесообразно при проведении биопсии плевры. Региональное обезболивание, применяют, также у пациентов, неспособных перенести общий наркоз. Преимущество общей анестезии, обусловлено необходимостью обеспечения полной неподвижности пациента во время всей операции, что особенно актуально при выполнении хирургических манипуляций, требующих особого внимания.
Перед началом операции, пациента укладывают на здоровый бок, а хирург занимает удобное положение с любой стороны. У головного конца операционного стола, устанавливают один или два монитора, в зависимости от требований и мастерства хирурга. Для обеспечения максимального обзора всей осматриваемой полости, легкое на пораженной стороне, должно быть спавшим, то есть его вентиляцию не осуществляют.
Руку пациента заводят за голову и с помощью скальпеля делают надрез кожи, куда затем вводят троакар с мандреном. Последние представляют собой инструменты, с помощью которых создают порт для введения торакоскопа, щипцов для биопсии и другого оборудования. В зависимости от характера оперативного вмешательства зависят расположение и количество выполненных разрезов.
Торакоскопия легких взяла свое начало с операций на плевре. Поэтому список операций, рекомендуемых к проведению с помощью ВТС, технически, незначительно отличается от хирургических манипуляций на плевре. Биопсия, рассечение спаек и дренирование считаются наиболее простыми ВТС операциями, техника выполнения которых, а в некоторых случаях предусматривает выполнение только одного разреза (если в конструкции торакоскопа предусмотрен порт для биопсийных щипцов или электрокоагуляционных инструментов), расположение которого должно обеспечивать последующий дренаж.
Как правило, разрез выполняют по задней или среднеподмышечной линии. Если, на предварительно выполненных, компьютерных томограммах, были выявлены утолщения, инфильтративные или узловые новообразования плевры, то разрез выполняют на некотором расстоянии от зоны поражения. Такой подход направлен на создание необходимого пространства для удобного расположения торакоскопа и приспособления для взятия образца ткани, поскольку манипуляции жесткими торакоскопами имеют довольно ограниченную амплитуду.
Применение гибких торакоскопов позволяет несколько расширить площадь осматриваемой поверхности. Забор тканей осуществляют сразу после коллабирования (спадения) легкого, из различных мест по всей плевре. Коллабированное легкое захватывают с помощью зажима, накладывают швы, пересекающие паренхиму, и производят забор тканей. В некоторых случаях образец ткани или удаленный узел имеет размеры, превосходящие отверстие порта.

Для осуществления биопсии легкого выполняют 3 разреза в форме треугольника, а при необходимости еще один разрез, для последующего введения дренажной трубки
Для предупреждения потери фрагмента образца и сохранения его целостности, производят либо расширение разреза, либо образец удаляют из организма, предварительно поместив его в пластиковый мешочек, дабы избежать контакта с другими тканями грудной полости. Применение торакоскопической хирургии для удаления долей легкого при злокачественном поражении, не целесообразно, так как при этом способе, границы больных и здоровых тканей определяются нечетко.
Для выполнения сложных операций количество портов может быть выше пяти. Это связано с необходимостью смещения и удержания органов, препятствующих выполнению хирургических манипуляций. Например, при операции на пищеводе, производят тракцию легкого, для улучшения обзора и расширения амплитуды движения инструментов.
Осложнения
Осложнения после торакоскопии довольно редки. Однако принимая во внимание, что ВТС является оперативным вмешательством, не исключены следующие последствия:
- воздушная эмболия (случается при коллабировании легкого с помощью углекислого газа);
- перфорация диафрагмы;
- воспалительный процесс;
- рецидив заболевания (например, при лечении спонтанного пневмоторакса);
- кровотечение.
В связи с тем, что во время торакоскопии обзор ограничен, от врача требуется отличное знание анатомии, что возможно только при условии свободного владения хирургом, методикой ведения операции открытым способом. Проведение ВТС операций является одним из наиболее развивающихся направлений эндоскопической хирургии, приводящих к переоценке показаний к открытым операциям.
Читайте также:
- КТ, МРТ при ограниченной трансляции мыщелка височно-нижнечелюстного сустава (ВНЧС)
- Врожденные аномалии большеберцовой кости (варусная деформация голени, аплазия большеберцовой кости, ложный сустав): атлас фотографий
- Дифференциация недостаточности функции яичников
- Техника традиционной холецистостомии. Методика обычной холецистостомии.
- Причины и распространенность опухолей головы и шеи
