Нервная система при дефиците тирозингидроксилазы (ТГ)
Добавил пользователь Алексей Ф. Обновлено: 11.12.2025
Гипотиреоз - симптомокомплекс изменений со стороны различных органов и систем, обусловленный снижением уровня тиреоидных гормонов.
Качество же жизни пациентов с гипотиреозом, постоянно получающих заместительную терапию левотироксином, незначительно отличается о такового для лиц без гипотиреоза. Сам гипотиреоз становится для пациента образом жизни, а не заболеванием.
Однако при отсутствии своевременного адекватного лечения гипотиреоза возрастает опасность развития осложнений. Гипотиреоидная кома (ГК) - это редкое, угрожающее жизни осложнение гипотиреоза. В первую очередь развивается у пожилых пациентов долгое время не- или плохо леченных. Пациенты с ГК умирают преимущественно от дыхательной и сердечной недостаточности, в некоторых случаях - от тампонады сердца. Даже при своевременно начатой энергичной терапии 40% больных погибают.
Клинические симптомы гипотиреоза
Клинические симптомы гипотиреоза развиваются у больного с постепенным нарастанием. Наиболее часто гипотиреоз характерен для пациентов, оперированных на щитовидной железе (первичный послеоперационный гипотиреоз).
Врач должен заподозрить наличие у пожилого больного синдром гипотиреоза и провести определение уровня тиреотропного гормона (ТТГ) в сыворотке крови в том случае, если пациент имел какое-либо заболевание щитовидной железы в анамнезе или получал лекарства, которые могут провоцировать развитие гипотиреоза. Кроме того, наличие запоров, резистентных к обычному лечению, кардиомиопатии, анемии неясного генеза, деменции, должно быть причиной исключения гипотиреоза у пожилого больного.
Лабораторная диагностика
Лабораторными параметрами для диагностики гипотиреоза являются определение базального (не стимулированного) ТТГ и показателей свободных Т4 и Т3. Нормальный базальный уровень ТТГ исключает гипотиреоз. При повышенном базальном ТТГ диагноз подтверждают обнаружением пониженных концентраций свободных Т4 и Т3.
Ошибки диагностики гипотиреоза
Диагноз гипотиреоза зачастую бывает несвоевременным, так как в начальной его стадии выявляемые симптомы крайне неспецифичны. Кроме того, синдром гипотиреоза может имитировать различные нетиреоидные заболевания, что связано с полиорганностью поражений, обнаруживаемых в условиях дефицита гормонов щитовидной железы. Очень часто проявления гипотиреоза у пожилых людей рассматриваются врачом и пациентом как признаки нормального старения. Действительно, такие симптомы, как сухость кожи, алопеция, снижение аппетита, слабость, деменция и др., аналогичны проявлениям процесса старения. Типичные симптомы гипотиреоза выявляются только у 25-50% пожилых людей, остальные же имеют либо крайне стертую симптоматику, либо гипотиреоз клинически реализован в виде какого-либо моносимптома.
Клиническая диагностика
| Клинические симптомы гипотиреоза | |
| Общие симптомы Усталость, утомляемость, слабость Увеличение массы тела, зябкость Сердечно-сосудистые симптомы Синусовая брадикардия Сердечная недостаточность Кардиомегалия Перикардит Артериальная гипотония или парадоксальная гипертония Органы дыхания Дыхательная недостаточность, гиперкапния Кожа и ее производные Сухость кожи, выпадение волос Утолщение ногтей Выпадение латеральных частей бровей Окраска кожи бледная с желтоватым оттенком Нервная система Апатия, сонливость, нарушение концентрации внимания Ухудшение памяти Депрессивные психозы Ступор и кома Гипорефлексия | Костно-мышечная система Мышечная слабость Мышечная атрофия Нарушение скелетообразования у детей Желудочно-кишечный тракт Отсутствие аппетита Запоры, мегаколон, илеус Половые органы У женщин: нарушение цикла по типу аменореи или меноррагии Бесплодие У мужчин: отсутствие либидо, снижение потенции, гинекомастия Обмен веществ Снижение основного обмена Увеличение массы тела, ожирение Высокий холестерин, гипогликемия Задержка жидкости с увеличением объема языка, отеки лица, особенно век Лабораторные данные Гипонатриемия Анемия Повышение уровня креатинкиназы Щитовидная железа Зоб или его отсутствие |
Гипотиреоидная кома
Разрешающими факторами являются тяжелые сопутствующие заболевания, операции, травмы, прием седативных препаратов и наркотиков, а также переохлаждение.
Основу патогенеза ГК составляет альвеолярная гиповентиляция с последующей гипоксией жизненно важных органов, следствием чего является снижение температуры тела, брадикардия и гипогликемия. При несвоевременном оказании помощи возможен летальный исход. Летальность при ГК составляет от 60 до 90%.
У пациента усиливаются все симптомы гипотиреоза. Выражены сонливость, дезориентация, коматозное состояние. Температура тела снижена до 34-35 ° С, возникает брадикардия. Кожные покровы холодные, пастозные.
Основным симптомом ГК является снижение температуры тела. Кома сопровождается прогрессирующими изменениями со стороны ЦНС, угнетением всех типов рефлексов. Изменения со стороны ЦНС ведут к нарастанию брадикардии, снижению артериального давления и гипогликемии.
Нарушения со стороны сердечно-сосудистой системы, развивающиеся у больного с ГК, нередко являются причиной летального исхода. Показатели периферической гемодинамики одними из первых реагируют на изменения концентрации гормонов щитовидной железы. Гипотиреоз сопровождается уменьшением частоты сердечных сокращений (ЧСС). Брадикардия, возникающая при гипотиреозе, обратима при достижении эутиреоза.
Другим эффектом при гипотиреозе является изменение общего периферического сопротивления сосудов (ОПСС). Гипотиреоз вызывает повышение ОПСС, с чем в определенной мере связано развитие диастолической артериальной гипертензии (АГ). Диастолическая гипертензия при гипотиреозе является распространенным явлением. У больных с гипотиреозом и наличием АГ содержание альдостерона и ренина в плазме крови снижено, т.е. диастолическая гипертензия при гипотиреозе носит гипорениновый характер.
Предполагаемыми причинами нарушения вазодилатирующей функции при гипотиреозе являются: снижение генерации вазодилатирующих субстанций и/или резистентность к ним сосудистых гладкомышечных клеток; снижение концентрации предсердного Na-уретического пептида.
Состояние гипотиреоза характеризуется уменьшением числа β-адренорецепторов, с чем связывают более низкую вероятность развития аритмий. Однако установлено, что у лиц с гипотиреозом секреция норадреналина и содержание его в плазме крови повышено. Норадреналин, являясь в основном стимулятором адренорецепторов, может способствовать спазму коронарных артерий.
Гипотиреоз характеризуется снижением сократительной способности миокарда, уменьшением фракции выброса, развитием сердечной недостаточности. Состояние гипотиреоза также сопровождается пролонгацией диастолы, увеличением времени изоволюметрической релаксации левого желудочка.
Лечение гипотиреоза
Поскольку ГК является результатом либо отсутствия лечения гипотиреоза, либо проведения неадекватной терапии данного синдрома и представляет собой крайне тяжелое состояние с высокой летальностью, врач любой специальности должен иметь представление об алгоритмах терапии гипотиреоза и используемых для этого препаратах.
Очень важно вовремя распознать гипотиреоз, который возможно диагностировать всего лишь по одному показателю гормонального анализа - ТТГ, и назначить заместительную терапию Эутироксом. Его отличием от других препаратов тиреоидных гормонов является возможность с легкостью подобрать нужную дозировку - 25,50,75,100, 125 или 150 мкг, что существенно облегчает проведение заместительной терапии гипотиреоза.
Режим дозирования лекарственного препарата
ЭУТИРОКС (левотироксин натрий)
Устанавливают индивидуально в зависимости от показаний, эффекта лечения и лабораторных данных. Всю суточную дозу принимают 1 раз/сут утром, не менее чем за 30 мин до завтрака и запивают жидкостью.
При гипотиреозе в начале лечения назначают в дозе 50 мкг/сут. Дозу увеличивают на 25-50 мкг каждые 2-4 недели до достижения признаков эутиреоидного состояния.
У больных с длительно существующим гипотиреозом, микседемой и, особенно, в случаях, когда имеются заболевания сердечно-сосудистой системы, начальная доза препарата должна составлять не более 25 мкг/сут. У большинства пациентов эффективная доза не превышает 200 мкг/сут. Отсутствие адекватного эффекта при назначении 300 мкг/сут свидетельствует о мальабсорбции либо о том, что пациент не принимает назначенную дозу Эутирокса. Адекватная терапия обычно приводит к нормализации уровня тиреотропного гормона и тироксина (Т4) в плазме через 2-3 недели лечения.
Представлена краткая информация производителя по дозированию лекарственных средств у взрослых. Перед назначением препарата внимательно читайте инструкцию.
Лечение ГК
Основная задача лечения ГК - восстановление нормальных физиологических функций всех органов и систем, нарушенных вследствие гипотиреоза. Критерием адекватности лечения служит исчезновение клинических и лабораторных проявлений гипотиреоза.
Тяжесть и длительность гипотиреоза являются основными критериями, определяющими тактику врача в момент начала лечения.
Чем тяжелее гипотиреоз и чем дольше он не был компенсирован, тем выше будет общая восприимчивость организма к тиреоидным гормонам, особенно это относится к кардиомиоцитам.
Основные лечебные мероприятия при ГК:
- 1. Заместительная терапия препаратами тиреоидных гормонов (левотироксин).
2. Применение глюкокортикоидов.
3. Борьба с гиповентиляцией и гиперкапнией, оксигенотерапия.
4. Устранение гипогликемии.
5. Нормализация деятельности сердечно-сосудистой системы.
6. Устранение выраженной анемии.
7. Устранение гипотермии.
8. Лечение сопутствующих инфекционно-воспалительных заболеваний и устранение других причин, которые привели к развитию комы.
Лечение ГК проводится в специализированном реанимационном отделении и направлено на повышение уровня тиреоидных гормонов, борьбу с гипотермией, устранение сердечно-сосудистых и нервно-вегетативных нарушений.
В основу лечения ГК положен принцип максимального введения тиреоидных гормонов, в первую очередь левотироксина, через зонд либо капельно, либо внутримышечными инъекциями.
Потребность в левотироксине увеличивается во время беременности. Оценка функции щитовидной железы у беременных женщин, подразумевающая исследование уровня ТТГ и свободного Т4, целесообразна в каждом триместре беременности. Доза препарата должна обеспечивать поддержание низконормального уровня ТТГ.
У женщин с гипотиреозом в постменопаузе, которым назначается заместительная терапия эстрогенами, для поддержания нормального уровня ТТГ может понадобиться увеличение дозы левотироксина.
Роль щитовидной железы в формировании интеллекта
Большинство регионов России являются йоддефицитными, в связи с чем зобная эндемия в нашей стране представляет собой весьма распространенное явление. Известно, что йод является важнейшим субстратом для синтеза тиреоидных гормонов (ТГ).

Большинство регионов России являются йоддефицитными, в связи с чем зобная эндемия в нашей стране представляет собой весьма распространенное явление. Известно, что йод является важнейшим субстратом для синтеза тиреоидных гормонов (ТГ). Дефицит йода, снижая функциональную активность железы, способствует компенсаторному увеличению ее размеров, то есть формирует зоб. Ухудшение экологической обстановки в стране также может рассматриваться как важный дополнительный фактор, влияющий на формирование зоба, так как многие антропогенные факторы окружающей среды активно блокируют функцию щитовидной железы, тем самым оказывая выраженный зобогенный эффект.
Серьезная практическая значимость данной проблемы заключается в том, что состояние здоровья населения в регионах, в которых распространенность зоба достаточно высока, по многим параметрам значительно хуже, чем там, где зобной эндемии не наблюдается. Заболевания, ассоциирующиеся с зобной эндемией, называются йоддефицитными (ЙДЗ) и обусловлены снижением уровня ТГ любого генеза. Однако чаще ЙДЗ встречаются в йоддефицитных и/или экологически загрязненных регионах. Наиболее социально значимыми проявлениями ЙДЗ являются снижение интеллектуального потенциала населения и нарушение репродуктивной функции женщин. Хорошо известно, что в регионах с зобной эндемией интеллектуальный потенциал населения (по балльной системе IQ) на 10 — 15 баллов ниже, чем в регионах, где распространенность зоба носит спорадический характер. Нарушение ментальных функций у большого числа детей, проживающих в подобных регионах, снижает их способность к обучению (школьному и профессиональному) и тем самым ухудшает прогноз экономического развития региона.
Учитывая значительную распространенность зобной эндемии в России, возможность дальнейшего снижения интеллектуального потенциала населения и плохой в связи с этим прогноз экономического развития общества, следует признать проблему профилактики и лечения зоба в нашей стране, а следовательно, и профилактики ментальных нарушений чрезвычайно актуальной.
Цель данной публикации — уточнить на основании анализа данных литературы и собственных наблюдений причину возникновения ментальных нарушений у детей в регионах зобной эндемии и определить характер профилактических и лечебных мероприятий.
Роль ТГ в формировании и функционировании мозга
Проведенные в последние годы серьезные научные разработки по данному вопросу позволяют четко определить ведущую роль щитовидной железы в процессе формирования мозга и поддержания на высоком уровне его функциональной активности, уточнить роль гормонов щитовидной железы матери и плода в этом процессе и на основании этих представлений определить пути оптимизации системы профилактических мероприятий.
В эмбриональном периоде развития ТГ обеспечивают процессы нейрогенеза, в том числе и кортикального, а также миграции нейроцитов, то есть активно участвуют в формировании основных структур мозга, определяющих важнейшие церебральные функции человека. Фактически в этот период развития закладываются основы интеллектуальных возможностей человека. В эти же сроки и тоже под влиянием ТГ дифференцируется улитка, то есть формируется слух и те церебральные структуры, которые отвечают за моторные функции человека. Выраженный дефицит ТГ на этом этапе внутриутробной жизни значительно ухудшает процесс дифференциации мозга. Более того, в этих условиях мозг подвергается дегенеративным процессам: изменяется его архитектоника, уменьшаются размеры, что делает процесс необратимым. Таким образом, формируется тяжелый порок развития мозга — классический вариант неврологического кретинизма, характеризующийся, помимо значительного дефекта интеллектуального развития, глухонемотой и тяжелыми моторными нарушениями. Менее выраженный дефицит гормонов в этот период приводит к развитию более легких психомоторных нарушений, тугоухости и дизартрии (неврологический субкретинизм). Легкий дефицит ТГ, не вызывающий серьезных ментальных нарушений, все же может помешать реализации интеллектуальных возможностей ребенка, заложенных на генетическом уровне.
Хорошо известно, что щитовидная железа плода начинает активно синтезировать ТГ лишь во второй половине беременности. Из этого следует, что столь важный для человека тиреоидный эффект в первой половине беременности, определяющий формирование важнейших структур мозга, целиком зависит от уровня ТГ у матери, то есть активности функционирования ее щитовидной железы.
Доказательствами важной роли ТГ в формировании мозга ребенка, а также материнского происхождения этих гормонов могут служить следующие факты. Эксперименты на животных доказали, что в период активного нейрогенеза, когда собственная щитовидная железа плода еще не функционирует, в ткани мозга эмбриона обнаруживаются рецепторы к ТГ, йодтиронины и ферменты, обеспечивающие процесс дейодирования ТГ (дейодиназы). В то же время в ткани эмбриотрофобласта и плаценты тех животных, у которых во время беременности была удалена щитовидная железа, ТГ отсутствуют. У тиреоидэктомированных животных и у плодов этих животных ТГ появляются лишь на том этапе развития, когда начинает функционировать фетальная щитовидная железа.
Впервые термин «гипотироксинемия беременных» был использован E.Man et al. в серии хорошо известных новаторских исследований (1959—1972), объединенных общим названием «Тиреоидная функция у беременных женщин». По данным этих авторов, у 3% беременных женщин, проживающих в регионах зобной эндемии (чаще в ранние сроки гестации) имело место снижение функциональной активности щитовидной железы без клинических и нередко даже без типичных биохимических признаков гипотиреоза. Единственным биохимическим признаком неблагополучия в щитовидной железе такой женщины был низкий уровень циркулирующего в крови свободного тироксина (Т4) — ниже 10 перцентили здоровых беременных. В таких случаях иногда употребляют термин «низкий нормальный уровень тироксина». Уровни тиреотропного гормона (ТТГ) и свободного трийодтиронина (Т3) у этих женщин могут быть нормальными. Рассматривать эти биохимические показатели как признаки легкой гипотироксинемии позволяют следующие факты. Во-первых, именно у женщин с низким уровнем тироксина чаще рождаются дети с легкими психомоторными нарушениями. По данным авторов, у 35% таких детей в 7 лет уровень IQ был в 2—3 раза ниже этого показателя у детей контрольной группы. Во-вторых, именно у этих женщин имел место высокий процент развития осложнений беременности, характерных для гипотиреоза: спонтанные аборты, преждевременные роды, перинатальная смертность, врожденные пороки развития, осложнения в родах.
Более высокая частота формирования гипотиреоидного состояния на фоне зоба именно у беременных женщин вполне объяснима. С первых недель беременности к щитовидной железе женщины предъявляются достаточно высокие требования. Это обусловлено тем, что щитовидная железа у эмбриона, когда происходят активные процессы эмбриогенеза и в связи с этим потребность в ТГ очень высока, еще не функционирует. Следовательно, мать вынуждена снабжать ребенка его адекватным количеством собственных гормонов. Кроме того, и сама женщина, в связи с высоким уровнем обменных процессов в период беременности, нуждается в дополнительных количествах ТГ. В то же время возможности щитовидной железы даже у здоровых женщин с нормальной функцией щитовидной железы, а тем более у женщин с зобом в этот период достаточно ограниченны. Это обусловлено тем, что во время беременности, во-первых, усиливается экскреция йода с мочой и щитовидная железа испытывает недостаток йода, во-вторых, значительно увеличивается уровень тироксинсвязывающего глобулина, в связи с чем повышается уровень общего тироксина (связанного, гормонально неактивного) и снижается уровень свободного (гормонально активного) тироксина. При этом даже у здоровых женщин с хорошими компенсаторными возможностями ЩЖ, проживающих в регионах с достаточным содержанием йода, может формироваться физиологическая транзиторная гестационная гипотироксинемия. Увеличение объема железы (в пределах нормальных размеров), возникающее в ответ на снижение уровня Т4, быстро нормализует тиреоидный статус здоровой беременной женщины. Однако у женщин с длительно существующим зобом, когда компенсаторные возможности железы снижены, увеличение объема зоба не в состоянии нормализовать тиреоидный статус, и асимптоматическая гипотироксинемия, как правило, сохраняется на протяжении всей беременности.
Во второй половине беременности и в ранние сроки неонатального периода также происходят очень важные для развития мозга ребенка процессы — синаптогенез и миелинизация нервных волокон. Именно эти процессы позволяют сформировать проводящую систему ЦНС, ассоциативные связи и характерную для человека способность к абстрактному мышлению. Миелинизация нервных волокон также происходит при обязательном и активном участии ТГ. Но в этот период внутриутробной жизни фетальная щитовидная железа уже способна синтезировать адекватные количества ТГ. Следовательно, процесс миелинизации происходит под контролем собственных гормонов плода. Снижение функциональной активности ЩЖ плода (врожденный гипотиреоз), то есть дефицит ТГ на этом этапе развития, приводит к нарушению процесса миелинизации. Однако благодаря тому что миелинизация продолжается и в неонатальном периоде жизни, своевременное выявление и лечение врожденного гипотиреоза (первые недели постнатальной жизни) позволяет полностью восстановить этот процесс.
Имеются данные, свидетельствующие о том, что материнские ТГ и во второй половине беременности способны преодолевать плацентарный барьер. В этот период внутриутробной жизни около 20% общего пула гормонов плода имеют материнское происхождение. В тех случаях когда щитовидная железа плода сформирована правильно и синтезирует адекватное количество гормонов, материнская гипотироксинемия на этом этапе развития не может ухудшить интеллектуальный прогноз ребенка. Однако в случае снижения функциональной активности фетальной ЩЖ материнские ТГ способны обеспечивать протекторный эффект. Следовательно, высокая функциональная активность ЩЖ женщины на всем протяжении беременности является гарантией нормального интеллектуального развития ее ребенка.
На протяжении всей последующей постнатальной жизни ТГ продолжают оказывать существенное влияние на функцию мозга. Повышая уровень обменных процессов, усиливая энергетический обмен, прессорный катехоламиновый эффект, ТГ обеспечивает функциональную активность ЦНС, интеллектуальную работоспособность человека и способность к обучению. В связи с этим роль ТГ в детском возрасте особенно важна, так как, повышая способность к обучению, интеллектуальную работоспособность, они во многом определяют уровень интеллекта взрослого человека. Безусловно, снижение уровня ТГ в постнатальном периоде жизни значительно снижает интеллектуальные возможности человека, но при этом адекватная заместительная гормональная терапия, если концентрация ТГ в период внутриутробной жизни была достаточной, всегда оказывается очень эффективной и позволяет полностью восстановить уровень интеллекта. В регионах зобной эндемии некоторое снижение интеллектуального уровня (асимптоматическая гипотироксинемия на фоне зоба) у большого числа лиц, проживающих в этих регионах, может также отрицательно влиять на интеллектуальный потенциал населения в целом.
Итак, резюмируя вышесказанное, целесообразно выделить ряд положений, имеющих принципиальное значение для решения важнейшего вопроса практического здравоохранения — определения характера профилактических мероприятий, способных предупредить дальнейшее снижение интеллектуальных возможностей людей, проживающих в регионах зобной эндемии.
- В настоящее время уточнена роль тиреоидных гормонов беременной женщины в формировании психоневрологического статуса ребенка. Доказано, что материнские тиреоидные гормоны обнаруживаются у плода уже на эмбриональной стадии развития, то есть на том этапе внутриутробной жизни, когда собственная щитовидная железа еще не функционирует (I триместр). Доказано, что дефицит материнских ТГ на этом этапе развития приводит к снижению интеллекта и слуха у будущего ребенка и формирует моторные нарушения. Известно, что психонейромоторные нарушения, возникшие на этом этапе развития мозга, устранить невозможно, однако их можно предупредить путем нормализации функциональной активности ЩЖ беременной женщины, желательно до наступления беременности, в крайнем случае не позднее I триместра.
- Доказана высокая вероятность развития у беременных женщин с зобом асимптоматической гипотироксинемии и роль этой гипотироксинемии в формировании психомоторных нарушений у потомства. Следовательно, чем выше окажется процент развития гипотироксинемии в ранние сроки беременности у женщин в данном регионе, тем большее количество детей не смогут достичь генетически заложенного уровня интеллектуального развития и тем ниже будет уровень интеллектуального потенциала населения этого региона. Таким образом, прослеживается четкая связь между тяжестью зобной эндемии в регионе и уровнем интеллектуального потенциала населения.
Учитывая вышесказанное, во многих странах мира врачи пытаются организовать скрининг беременных женщин на максимально ранних сроках гестации (не позднее I триместра) с целью своевременного выявления и лечения нарушений тиреоидного статуса женщины. По мнению большинства исследователей, эта процедура является единственно возможной мерой предупреждения дальнейшего снижения интеллектуального потенциала населения. В то же время приходится констатировать, что беременные женщины впервые обращаются в медицинские учреждения достаточно поздно, как правило, после 12-й недели беременности, то есть когда процесс кортикального нейрогенеза в основном уже закончен. Следовательно, профилактические мероприятия, проводимые после этого срока, не могут улучшить интеллектуальные возможности ребенка.
Данное обстоятельство диктует необходимость разработки такой системы профилактических мероприятий в регионах зобной эндемии, которая позволила бы обеспечить нормальную функциональную активность ЩЖ у женщин на фоне беременности. Только в этом случае можно быть уверенным в том, что беременной женщине не грозит гипотироксинемия и, следовательно, ее ребенок сумеет полностью реализовать генетически заложенные возможности интеллектуального развития.
Казалось бы, предметом особо пристального внимания (группа повышенного риска) в системе профилактических мероприятий по ликвидации ментальных нарушений должна стать женщина фертильного возраста, и в первую очередь — планирующая беременность. Однако на пути реализации этой программы существуют определенные трудности. Во-первых, женщины фертильного возраста не относятся к группе организованного населения, и это затрудняет проведение у них скрининга. Во-вторых, женщины, как правило, не осведомлены о том, что любая патология щитовидной железы во время беременности, даже «безобидный» зоб, может стать причиной рождения ребенка с ментальными нарушениями. В силу этих причин у них отсутствует мотивация на систематическое проведение адекватной йодной профилактики и исследование тиреоидного статуса при планировании беременности.
Из этого следует, что очень важным звеном программы должно стать значительное повышение уровня информированности населения по данному вопросу. Обеспечить высокую степень информированности населения можно, реализуя программу полового воспитания школьников и используя средства массовой информации.
Хорошо информированная женщина фертильного возраста, планирующая беременность, будет осведомлена о необходимости систематического проведения адекватной йодной профилактики, активного посещения эндокринолога и, при выявлении тиреоидной патологии, лечения у этого специалиста.
Известно, что наиболее часто зоб формируется в пубертатный период и, как правило, у лиц женского пола. Следовательно, девочки с увеличенной ЩЖ при отсутствии системы активного выявления и лечения зоба у детей в дальнейшем пополняют ряды женщин фертильного возраста с зобом. В силу этих причин девочки с зобом также должны быть помещены в группы риска по формированию у них гипотироксинемии на фоне беременности, а вопрос лечения зоба у девочек-подростков должен быть признан в тиреодологии приоритетным.
Высокий уровень информированности населения по вопросу влияния тиреоидного статуса беременной женщины на состояние интеллектуального развития ребенка будет мотивировать этих девочек (их родителей) на своевременное обращение к эндокринологу с целью своевременного выявления и лечения у них возможной тиреоидной патологии. Это позволит значительно уменьшить распространенность зоба среди женщин фертильного возраста и, следовательно, снизить риск рождения у них детей с низким уровнем интеллектуального развития.
В заключение необходимо подчеркнуть, что проблема снижения интеллектуального потенциала населения в регионах зобной эндемии чрезвычайно значима и в медицинском, и в социальном плане, и решить ее усилием одних только эндокринологов не представляется возможным. Для успешного решения этой задачи требуется объединение усилий медиков и общества в целом. В первую очередь необходимо активное участие в этом процессе практикующих врачей любой специальности. Учитывая чрезвычайно высокую распространенность йодного дефицита в нашей стране, каждый врач должен настоятельно рекомендовать своим пациентам (и всем членам их семей), проживающим в подобных регионах, проведение йодной профилактики. С этой целью все жители данного региона должны использовать только йодированную соль, а пациенты, относящиеся к группе риска (женщины фертильного возраста, беременные и кормящие женщины, дети и подростки), — дополнительно дозированные йодсодержащие препараты (йодид, йодомарин). Кроме того, врач должен своевременно направлять любого пациента на консультацию к эндокринологу при подозрении на патологию ШЖ, а также всех женщин фертильного возраста, планирующих беременность. Организацию профилактических мероприятий, просветительскую работу среди населения, обучение широкого круга врачей приемам профилактики зоба и ментальных нарушений у детей, а также лечение выявленной тиреоидной патологии должны осуществлять эндокринологи.
Тирозингидроксилаза - Tyrosine hydroxylase
Тирозингидроксилаза или же тирозин-3-монооксигеназа это фермент отвечает за катализ превращения аминокислота L-тирозин к L-3,4-дигидроксифенилаланин (L-ДОПА). [5] [6] Это делается с помощью молекулярный кислород (O2), а также утюг (Fe 2+ ) и тетрагидробиоптерин в качестве кофакторы. L-ДОПА является предшественником дофамин, который, в свою очередь, является предшественником важных нейромедиаторов норэпинефрин (норадреналин) и адреналин (адреналин). Тирозингидроксилаза катализирует стадию ограничения скорости в этом синтезе катехоламины. У человека тирозингидроксилаза кодируется TH ген, [6] и фермент присутствует в Центральная нервная система (ЦНС), периферические симпатические нейроны и мозговое вещество надпочечников. [6] Тирозингидроксилаза, фенилаланингидроксилаза и триптофангидроксилаза вместе составляют семью гидроксилазы ароматических аминокислот (AAAHs).
Содержание
Реакция
Тирозингидроксилаза катализирует реакция, в которой L-тирозин гидроксилированный в мета положение для получения L-3,4-дигидроксифенилаланин (L-ДОПА). Фермент - это оксигеназа Это означает, что он использует молекулярный кислород для гидроксилирования субстратов. Один из атомов кислорода в O2 используется для гидроксилирования молекулы тирозина для получения L-DOPA, а другой используется для гидроксилирования кофактора. Как и другие гидроксилазы ароматических аминокислот (AAAH), тирозингидроксилаза использует кофактор тетрагидробиоптерин (BH4) в нормальных условиях, хотя другие подобные молекулы также могут работать как кофактор тирозингидроксилазы. [7]
Продукт ферментативной реакции, L-ДОПА, может быть преобразован в дофамин с помощью фермента ДОПА декарбоксилаза. Дофамин может превращаться в норэпинефрин под действием фермента. дофамин-β-гидроксилаза, который может быть дополнительно модифицирован ферментом фенилэтанол-N-метилтрансферазой для получения эпинефрина. [11] С L-ДОФА является предшественником нейромедиаторов дофамина, норадреналина и адреналина, поэтому тирозингидроксилаза содержится в цитозоль всех ячеек, содержащих эти катехоламины. Было показано, что эта начальная реакция, катализируемая тирозингидроксилазой, является шаг ограничения скорости в производстве катехоламинов. [11]
Фермент высокоспецифичный, не принимающий индол производные - что необычно, как и многие другие ферменты, участвующие в производстве катехоламинов. Триптофан - плохой субстрат для тирозингидроксилазы, однако он может гидроксилировать L-фенилаланин с образованием L-тирозин и небольшие количества 3-гидроксифенилаланина. [7] [12] [13] Затем фермент может дополнительно катализировать L-тирозин с образованием L-ДОПА. Тирозингидроксилаза также может участвовать в других реакциях, таких как окислительная L-ДОПА с образованием 5-S-цистеинил-ДОФА или другого L-DOPA производные. [7] [14]
Структура

Тирозингидроксилаза от крысы с двумя домены, домен тетрамеризации (розовый) и каталитический домен (синий). Регуляторный домен (не показан) будет располагаться где-нибудь в правой части изображения, где также фермент субстрат войдет из.
Тирозингидроксилаза - это тетрамер из четырех одинаковых подразделения (гомотетрамер ). Каждая субъединица состоит из трех домены. На карбоксильный терминал пептидной цепи короткое альфа спираль домен, который допускает тетрамеризацию. [15] Центральные ~ 300 аминокислот составляют каталитическое ядро, в котором расположены все остатки, необходимые для катализа, вместе с нековалентно связанным атомом железа. [12] Утюг удерживается двумя гистидин остатки и один глутамат остаток, что делает его негемовым, не содержащим железо-серу железосодержащим ферментом. [16] В аминоконцевой ~ 150 аминокислот составляют регуляторный домен, который, как считается, контролирует доступ субстратов к активный сайт. [17] Считается, что у человека существует четыре различных версии этого регуляторного домена и, следовательно, четыре версии фермента, в зависимости от альтернативное сращивание, [18] хотя ни одна из их структур еще не определена должным образом. [19] Было высказано предположение, что этот домен может быть внутренне неструктурированный белок, который не имеет четко определенного третичная структура, но до сих пор не было представлено никаких доказательств, подтверждающих это утверждение. [19] Однако было показано, что в этом домене редко встречается второстепенные конструкции, что не ослабляет подозрений о неупорядоченной общей структуре. [20] Что касается тетрамеризационного и каталитического доменов, их структура была обнаружена с тирозингидроксилазой крысы с использованием Рентгеновская кристаллография. [21] [22] Это показало, насколько его структура очень похожа на структуру фенилаланингидроксилаза и триптофангидроксилаза; вместе трое составляют семью из гомологичный гидроксилазы ароматических аминокислот. [23] [24]
Регулирование
Активность тирозингидроксилазы увеличивается в краткосрочной перспективе на фосфорилирование. Регуляторный домен тирозингидроксилазы содержит несколько серин (Ser) остатки, включая Ser8, Ser19, Ser31 и Ser40, которые фосфорилируются различными протеинкиназы. [12] [25] Ser40 фосфорилируется цАМФ-зависимая протеинкиназа. [26] Ser19 (и Ser40 в меньшей степени) фосфорилируется кальций-кальмодулин-зависимая протеинкиназа. [27] MAPKAPK2 (протеинкиназа, активируемая митогеном) отдает предпочтение Ser40, но также фосфорилирует Ser19 примерно вдвое меньше, чем Ser40. [28] [29] Ser31 фосфорилируется ERK1 и ERK2 (внеклеточные регулируемые киназы 1&2), [30] и увеличивает ферментная активность в меньшей степени, чем фосфорилирование Ser40. [28] Фосфорилирование по Ser19 и Ser8 не оказывает прямого влияния на активность тирозингидроксилазы. Но фосфорилирование по Ser19 увеличивает скорость фосфорилирования по Ser40, что приводит к увеличению активности фермента. Фосфорилирование по Ser19 вызывает двукратное увеличение активности посредством механизма, который требует 14-3-3 белков. [31] Фосфорилирование по Ser31 вызывает небольшое повышение активности, и здесь механизм неизвестен. Тирозингидроксилаза в некоторой степени стабилизируется для тепловой инактивации, когда регуляторные серины фосфорилируются. [28] [32]
Тирозингидроксилаза в основном присутствует в цитозоле, хотя в некоторой степени она также обнаруживается в плазматической мембране. [33] Мембранная ассоциация может быть связана с упаковкой катехоламинов в везикулы и экспортом через синаптическую мембрану. [33] Связывание тирозингидроксилазы с мембранами включает N-концевую область фермента и может регулироваться трехсторонним взаимодействием между 14-3-3 белками, N-концевой областью тирозингидроксилазы и отрицательно заряженными мембранами. [34]
Тирозингидроксилаза также может регулироваться ингибированием. Фосфорилирование по Ser40 снимает ингибирование с помощью катехоламинов дофамина, адреналина и норэпинефрина. [35] [36] Катехоламины улавливают железо в активном центре в состоянии Fe (III), ингибируя фермент. [7]
Было показано, что на экспрессию тирозингидроксилазы может влиять экспрессия SRY. Снижение регуляции гена SRY в черная субстанция может привести к снижению экспрессии тирозингидроксилазы. [37]
Долгосрочная регуляция тирозингидроксилазы также может опосредоваться механизмами фосфорилирования. Гормоны (например. глюкокортикоиды ), наркотики (например, кокаин ), или же вторые мессенджеры Такие как лагерь увеличить тирозингидроксилазу транскрипция. Повышение активности тирозингидроксилазы за счет фосфорилирования может поддерживаться никотин на срок до 48 часов. [7] [38] Активность тирозингидроксилазы регулируется хронически (в днях) синтез белка. [38]
Клиническое значение
А дефицит тирозингидроксилазы приводит к нарушению синтеза дофамин а также адреналин и норэпинефрин. Он представлен прогрессивным энцефалопатия и плохой прогноз. Клинические особенности включают: дистония который минимально или не реагирует на леводопа, экстрапирамидные симптомы, птоз, миоз, и постуральный гипотония. Это прогрессирующее и часто летальное заболевание, которое можно вылечить, но не вылечить леводопой. [39] Ответ на лечение варьируется, а долгосрочный и функциональный результат неизвестен. Чтобы обеспечить основу для улучшения понимания эпидемиологии, корреляции генотип / фенотип и исхода этих заболеваний, их влияния на качество жизни пациентов, а также для оценки диагностических и терапевтических стратегий, некоммерческая организация создала реестр пациентов. Международная рабочая группа по заболеваниям, связанным с нейротрансмиттерами (iNTD). [40] Кроме того, изменения активности фермента тирозингидроксилазы могут быть связаны с такими нарушениями, как Дистония Сегавы, болезнь Паркинсона и шизофрения. [21] [41] Тирозингидроксилаза активируется зависимым от фосфорилирования связыванием с белками 14-3-3. [34] Поскольку белки 14-3-3 также могут быть связаны с нейродегенеративными заболеваниями, такими как Болезнь Альцгеймера, Болезнь Паркинсона и болезнь Хантингтона, он косвенно связывает тирозингидроксилазу с этими заболеваниями. [42] Было показано, что активность тирозингидроксилазы в мозге пациентов с болезнью Альцгеймера значительно снижена по сравнению со здоровыми людьми. [43] Тирозингидроксилаза также является аутоантигеном Аутоиммунный полиэндокринный синдром (АПС) типа I. [44]
Постоянная аномалия в болезнь Паркинсона дегенерация дофаминергических нейронов в черная субстанция, что приводит к снижению уровня дофамина в полосатом теле. Поскольку тирозингидроксилаза катализирует образование L-ДОФА, лимитирующая стадия биосинтеза дофамин, дефицит тирозингидроксилазы не вызывает болезнь Паркинсона, но обычно вызывает детский паркинсонизм, хотя спектр расширяется до состояния, напоминающего дофамин-зависимая дистония. Прямая патогенетический также предполагалась роль тирозингидроксилазы, поскольку этот фермент является источником ЧАС2О2 и другие активные формы кислорода (ROS) и мишень для радикально-опосредованного повреждения. Было продемонстрировано, что L-ДОФА эффективно окисляется тирозингидроксилазой млекопитающих, что, возможно, способствует цитотоксический эффекты L-ДОПА. [7] Подобно другим клеточным белкам, тирозингидроксилаза также является возможной мишенью для повреждения изменений, вызванных ROS. Это предполагает, что некоторые из окислительных повреждений тирозингидроксилазы могут быть вызваны самой системой тирозингидроксилазы. [7]
Тирозингидроксилаза может быть ингибирована препаратом α-метил-пара-тирозин (метирозин ). Это ингибирование может привести к истощению запасов дофамина и норэпинеферина в мозге из-за отсутствия предшественника. L-Допа (L-3,4-дигидроксифенилаланин), который синтезируется тирозингидроксилазой. Этот препарат используется редко и может вызвать депрессию, но он полезен при лечении феохромоцитома а также стойкий гипертония. Более старые примеры ингибиторов, упомянутые в литературе, включают: уденон [45] и акваямицин. [46]
Психические расстройства при гипотиреозе

Влияние заболеваний щитовидной железы на особенности личности больных и их поведение было впервые тщательно исследовано в 1988 году Wagner von Jyuregg ., который первый описал симптомы психоза при микседеме.
Во всем мире основной причиной гипотироидизма считается дефицит йода. В тех регионах , где этот дефицит ощущается особенно остро часто регистрируется аутоиммунный тироидит ( болезнь Hashimoto), которая в 7 раз чаще отмечается у женщин и достаточно часто ассоцируется с другими аутоиммунными заболеваниями. К другим причинам гипотироидизма относятся: конгенитальный, тироидный дизгенез ; травму щитовидной железы, включая ее радиационное поражение или хирургические операции, препараты, которые могут нарушить функциональную активность щитовидной железы , включая препараты лития , антитироидные средства ( радиойодин, карбимазол ) . инфильтративные заболевания ( гемохроматоз , амилоидоз, саркоидоз), подострый тироидит ( de Quervain ) и лимфоцитарный ( послеродовой ) тироидит. Два последних заболевания в общем проявляются транзиторным тиротоксикозом с последующим развитием гипотироидизма. Кроме того, гипотироидизм может быть связан с патологией гипофиз или гипоталамуса.
О том, что гипотереоз вызывает психические расстройства в любом возрасте, и , в частности, психозы ( "микседематозное помешательство" ) известно давно. Несмотря на то, что распространенность гипотироидизма составляет 4,6% , в большинстве случаев это эндокринное заболевание в основном ( 4,3%) протекает бессимптомно и в 4 раза чаще регистрируется у женщин, чем у мужчин. Психозы возникают примерно у 2% больных гипотироидизмом и в основном у пожилых пациентов с сопутствующими цереброваскулярными заболеваниями. В 1908 году Marine и Williams отметили связь кретинизма с дефицитом йода и предложили применять йодистую соль для профилактики кретинизма. Гипотироидизм может проявиться маниакальными и депрессивными состояниями , когнитивными нарушениями и, в частности, ухудшением памяти и своеобразной, как правило, преходящей деменцией. Для субклинического гипотиреоза типична склонность к депрессии, нерезко выраженный когнитивный дефицит. Заместительная терапия при субклиническом гипотиреозе считается дисскутабльной темой.
Симптомами тироидизма являются: слабость, непереносимость холода, сухость кожи, сухость и ломкость волос, увеличение веса, запоры, признаки ущемления нервов ( карпальный туннельный синдром) , снижение слуха, атаксия, мышечная слабость, мышечные спазмы ( cramps ) , нарушение менструаций ( меноррагия и поздняя олигоменоррея или аменоррея) , бесплодие, брадикардия, диастолическая гипертензия, дисфония ( хриплый голос), зоб, периорбитальные и периферические отеки, галакторрея, желтизна кожи ( из-за каротина) , гипорефлексия, замедленно - релаксированные сухожильные рефлексы, плевральный и/ или перикардиальный выпот.
Анализ сыворотки крови показывает: гиперхолистеролемию, гипонатриемию, гиперпролактинемию, гипергомоцистеинемию, анемию, повышение уровня креатинфосфокиназы, повышение креатинина. Редко миксидема проявляется коматозным состоянием, коллапсами , гипотермией и сердечной недостаточностью. При субклиническом гипотироидизме ТТГ обычно повышен, а Т4 несколько снижен или показывает нормальные величины. При диагностики гипотиреоза рекомендуется смотреть показатели ТТГ , а также Т4 и Т3 свободные, биологически активные формы. Измерение общего уровня Т3 и Т4 не имеет смысла. , также исследуют связывающий протеин , главным образом тироксин - связанный глобуллин . Тироидные гормоны подавляют тиреотропин - релизинг гормон и тиреотропный гормон по принципу обратной связи. Тиреотропный гормон в основном стимулирует выделение Т4 и , в меньшей степени, Т3 ( в тканях происходит конверсия и Т3 и Т4). Гипоталамический тиреотропин - релизинг гормон стимулирует выделение тиреотропного гормона. Измерение ТТГ более чувствительно, чем измерении свободных тироидных гормонов. Наиболее общими признаки заболеваний щитовидной железы считаются : повышенный уровень ТТГ при нормальном или сниженном уровне Т3 и Т4 ( субклинический или явный гипотироидизм) ; пониженный ТТГ при нормальном или повышенном уровне Т3 и Т4 ( субклинический или явный гипертиреоидизм). Патология гипофиза может стать причиной гипотироидизма с низким ТТГ и последующим снижением свободных тироидных гормонов., а ТТГ секретирующая гипофизарная аденома может стать причиной гипертироидизма, проявляющим себя повышенным уровнем ТТГ и последующим повышением уровня свободных тироидных гормонов. Повышенный уровень ТТГ может проявить себя явной клинической картиной гипотироидизма ( уровень свободных тироидных гормонов является повышенным), а субклинический гипотиреоз может иметь нормальный уровень свободных Т3 и Т4.
"Сухой эутиреоидный синдром" при сниженной или нормальной функции щитовидной железы может проявиться на фоне терапии антагонистами дофамина, ТТГ секретирующей гипофизарной аденоме ( повышение) , синдроме резистентных тироидных гормонов ( повышен) или недостаточности надпочечников ( снижен или нормальный). Повышенный уровень ТТГ при нормальном или повышенном уровне свободных Т3 и Т4 может также возникнуть в результате не комплайентной заместительной терапии тиреоидными гормонами. Низкий уровень ТТГ фиксируется при явном тиротоксикозе ( уровень свободных Т3 и Т4 повышен). , субклиническом гипертироидизме ( уровень Т3 и Т4 нормальный). недавнем лечении гипертироидизма ( нормальные показатели) , тироид - ассоциированной офтальмоплегии без беременности. ( нормальный), тироксин заместительной терапии ( нормальный или повышенный) , "сухом эутироидном синдроме" ( снижен или нормальный). первом триместре беременности ( нормальный или повышенный) , болезнях гипоталамуса или гипофиза ( снижен или нормальный) , нервной анорексии ( снижен или нормальный) , во время острой фазы лечения дофамином или соматостатином ( нормальный ) или терапии глюкокортикоидами ( нормальный). При отклонении ТТГ следует измерить показатели свободного Т4 . Исследование свободного Т3 следует проводить после положительных первых двух анализом ( подтверждение гипотиреоза). Сенситивный тест для гипертитеотоксикоза , обычно назначается при повышенных цифрах Т .4, но бывает и так называемый "Т3 - токсикоз". ПРи нормальных показателях ТТГ и Т4 , даже если величина Т3 выходит за рефферентные значения терапия заболеваний щитовидной железы не проводится. При подствержденном гипотиреозе следует исследовать антитироидные антитела: анти - тироидную пероксидазу ( ТПО , антимикросомальная ) при позитивном результате можно предполагать с95% вероятностью наличие аутоиммунного тироидита. Гипотиреоз требует исследования гормонов гипофиза и надпочечников.
Психозы , в частности, проявляющиеся маниакальным синдромом могут возникнуть на фоне начальной терапии левотироксином - гормоном , использующимся в качестве заместительной терапии при лечении гипотиреоза.
Уремическая энцефалопатия

Синдром уремической энцефалопатии включает в себя спектр различных нарушений функций мозга от легкого нарушения концентрации внимания вплоть до комы. Кроме того, пациенты с почечной недостаточностью подвержены и другим энцефалопатиям, которые могут развиться при наличии сопутствующих факторов, например таких как нарушения сна, недостаточность питания и осложнениями заместительной почечной терапии.
У пациентов с уремией мозг обладает пониженной метаболической активностью и, соответственно, характеризуется сниженным потреблением кислорода. Исследования указывают на роль в этих процессах уремических токсинов, накапливающихся из-за почечной недостаточности. В результате их воздействия происходит нарушение баланса возбуждающих и ингибирующих нейротрансмиттеров, осуществляемое органическими веществами, в частности соединениями на основе гуанидина, содержание которых в спинномозговой жидкости повышено. Эти соединения являются антагонистами рецепторов γ-аминомасляной кислоты (ГАМКА) и в то же время агонистами NMDA-рецепторов, что приводит к повышенной корковой возбудимости. При почечной недостаточности увеличивается содержание асимметричного диметиларгинина (ADMA), ингибирующего эндотелиальную синтазу оксида азота, и его уровень коррелирует с выраженностью цереброваскулярных осложнений у данной группы пациентов.
Нарушения в метаболизме моноаминов, включая снижение уровня норадреналина и подавление выработки дофамина в ЦНС, в модели на уремических крысах были связаны с моторными расстройствами. Происходящая нейрональная дисфункция также обусловлена снижением транспортной функции клеток ЦНС и повышением проницаемости гематоэнцефалического барьера (ГЭБ), воздействием миоинозитола, карнитина, индоксила сульфата и полиаминов. На процесс нейродисфункции могут влиять в том числе и метаболиты некоторых лекарств, например циметидина и ацикловира, концентрация в крови которых повышается вследствие ингибирования транспортера органических анионов (OAT-3). Концентрация опиатов и в особенности меперидина также способна повышаться из-за снижения их экскреции. Вторичный гиперпаратиреоидизм может играть роль в развитии уремической энцефалопатии посредством увеличения мозгового кальция и кальциевых транспортеров в нейронах, чувствительных к паратиреоидному гормону.
Также при уремии возникают нарушения в области регуляции аппетита. Проникновение большого количества триптофана через гематоэнцефалический барьер может повышать синтез серотонина — главного ингибитора аппетита. Одновременно с этим затрагиваются и другие звенья регуляции пищевого поведения: наблюдаются высокие уровни холецистокинина (мощного анорексигенного гормона) и низкое содержание нейропептида Y (стимулятора аппетита). Возможно развитие кахексии как результата не только анорексии, но и ацидоза, воспаления. Провоспалительные цитокины, такие как лептин, ФНО-α, ИЛ-1, могут стимулировать синтез анорексигенных нейропептидов, проопиомеланокортина и α-меланоцитостимулирующего гормона в аркуатных ядрах гипоталамуса. Все эти факторы приводят к недостаточности питания у многих пациентов с почечной недостаточностью.
В то время как около 20 % всех пациентов с острым почечным повреждением, находящихся в отделениях интенсивной терапии, имеют неврологические нарушения, у пациентов с хронической почечной недостаточностью не обнаружено четкой корреляции между неврологическими симптомами и тяжестью уремии. Популяционные исследования выявили когнитивные нарушения у 30 % пациентов на гемодиализе, при этом примерно у 10 % из них — тяжелой степени тяжести. Уремическая энцефалопатия может манифестировать как комплекс ментальных расстройств и/или моторных нарушений. Ментальные нарушения включают в себя депрессию, повышенную тревожность, когнитивные нарушения и расстройства памяти. Наиболее серьезные формы генерализованных нарушений характеризуются расстройством сознания, делирием, психозами, судорогами, комой и в конечном счете смертью.
Серьезные двигательные нарушения возникают редко. Обычно уремическая энцефалопатия манифестирует мелкоразмашистым тремором, астериксисом и гиперрефлексией. Астериксис характеризуется повторяющимся неритмичным снижением мышечного тонуса антигравитационный мускулатуры (наиболее часто — рук). От тремора он отличается тем, что не является осцилляциями, то есть нет устойчивого временного шаблона, а также тем, что в данном случае происходит именно снижение тонуса мускулатуры. Также могут наблюдаться миоклонии — они похожи на астериксис, однако возникают во время активации антигравитационный мускулатуры. По этой причине некоторые рассматривают астериксис как негативную форму миоклонии. Астериксис и миоклонии могут быть вызваны при вытягивании ладоней вперед. Но есть и более чувствительный прием для их определения — высунутый язык или вытянутый указательный палец, опирающийся на твердую поверхность. Астериксис и миоклонии встречаются у пациентов с почечной недостаточностью, которые получали различные медикаменты, в частности метоклопрамид, фенотиазины, антиэпилептические препараты, включая габапентин, а также опиоиды, особенно меперидин.
Диагноз уремическая энцефалопатия основывается на клинике и подтверждается положительной динамикой течения энцефалопатии после начала адекватной терапии. Люмбальная пункция, ЭЭГ, визуализационные методы исследования служат в основном для исключения другой этиологии заболевания у пациентов, у которых уремический генез энцефалопатии вызывает сомнения. Показатели при анализе спинномозговой жидкости часто выходят за пределы нормы, может наблюдаться плеоцитоз (обычно менее 25 клеток в 1 мкл) и повышение концентрации белка в ликворе (обычно не более 100 мг/дл). ЭЭГ также покажет патологию, но без специфических изменений.
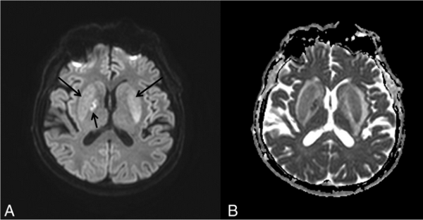
Визуализация мозга чаще всего выявляет его атрофию и увеличение желудочков. Тем не менее иногда, в ограниченном числе случаев при МРТ головного мозга можно обнаружить специфические изменения в области базальных ганглиев, хотя подобные признаки могут сопровождать и метаболический ацидоз, и метаноловую интоксикацию. Изменения, лучше всего заметные в режимах Т2-WI/FLAIR, представляют собой гиперинтенсивные четко очерченные границы скорлупы (латерально — наружная капсула, медиально — внутренняя капсула, внутренняя и наружная мозговые пластинки) с обеих сторон и в целом по форме несколько напоминающие вилку. По сути это является отображением диффузного вазогенного отека базальных ганглиев из-за нарушения процессов ауторегуляции.


На Т2-WI (А) и схеме (В) отображены изменения, имеющие внешнее сходство с вилкой. Яркий гиперинтенсивный ободок очерчивает латеральную (наружная капсула, длинная стрелка) и медиальную (латеральная мозговая пластинка, короткая стрелка и медиальная мозговая пластинка, тонкая стрелка) границы скорлупы с обеих сторон. Бледный шар разделен на 2 части медиальной мозговой пластинкой, которая видна на МРТ при патологических состояниях. FLAIR-изображение (С) иллюстрирует мультифокальные относительно симметричные извилины с высоким сигналом (стрелки) в коре лобной и теменно-затылочной долей, а также в базальных ганглиях билатерально.

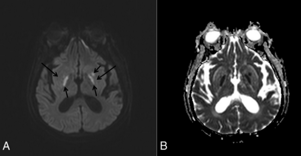
DWI-изображение (А) и ADC-карта (В) иллюстрируют незначительное повышение сигнала (длинные стрелки) в базальных ганглиях билатерально и фокальное ограничение диффузии (короткая стрелка), что является следствием цитотоксического отека в правом базальном ганглии.

DWI-изображение (А) и ADC-карта (В) иллюстрируют нормальный сигнал (длинные стрелки) с ограниченной диффузией на DWI (короткие стрелки) в обоих базальных ганглиях и левой скорлупе с наличием зон цитотоксического отека в очагах поражения.

На T2-WI изображении (А) определяются типичные «вилкообразные» изменения в базальных ганглиях билатерально. Шесть месяцев спустя на T2-WI изображении (В) видно полное разрешение очагов поражения.
Дифференциальный диагноз уремической энцефалопатии проводится с гипертензивной энцефалопатией (задней обратимой лейкоэнцефалопатией), синдромом системного воспалительного ответа у септических пациентов, системными васкулитами, болезнями малых и больших сосудов и субдуральной гематомой. Судорожная активность может возникать вторично при уремической энцефалопатии, гипертензивной энцефалопатии, церебральной эмболии или выраженных водно-электролитных нарушениях.
Многие пациенты, находящиеся на гемодиализе, страдают от обструктивного апноэ сна вне зависимости от наличия у них ожирения. При этом у них наблюдается и обструктивное, и центральное апноэ сна. Не менее распространенным осложнением почечной недостаточности является синдром беспокойных ног (синдром Экбома), чаще возникающий у женщин. Это заболевание может быть результатом снижения дофаминергической модуляции кортикальной возбудимости, а также следствием уменьшения влияния пирамидной системы и повышения возбудимости нейронов спинного мозга. Существуют данные, что центральную роль в развитии синдрома беспокойных ног играет дефицит железа или патология транспорта железа в ЦНС. Железо является кофактором фермента тирозингидроксилазы, служащего лимитирующим фактором в биосинтезе дофамина.
Читайте также:
- Уход за глазом при повреждении лицевого нерва
- Рекомендации по анализу рентгенограммы тазобедренного сустава в передне-задней проекции (ПЗ проекции)
- Лучевая анатомия (КТ, МРТ анатомия) предстательной железы и семенных пузырьков
- Вагинальный кандидоз (молочница): причины, симптомы и лечение
- Ампутационная неврома глазницы: признаки, гистология, лечение, прогноз
