Оценка лечения рака по критериям mRECIST
Добавил пользователь Владимир З. Обновлено: 01.01.2026
Эффективность лечения может оцениваться по нескольким критериям. Самыми важными критериями эффективности для пациента являются устранение симптомов болезни и улучшение качества жизни.
Но на основании только этих критериев невозможно объективно и достоверно оценивать распространенность и динамику развития опухолевого процесса. Также нельзя оценить главное: выраженность ответа опухоли на проводимое лечение. Поэтому во время лечения важно использовать лабораторные или инструментальные методы исследования.
К лабораторным методам можно отнести измерение онкомаркеров при некоторых типах опухолей. Нужно понимать, что для большинства опухолей не существует онкомаркеров. Но даже при наличии онкомаркеров, динамика изменений не всегда показывает, есть ли ответ на проводимое лечение.
Инструментальные (они же визуализационные) методы исследования являются первостепенными для объективной оценки эффективности лечения. В случае онкологических заболеваний наиболее применимы компьютерная, магнитно-резонансная и позитронно-эмиссионная томографии (КТ, МРТ, ПЭТ). Другие исследования назначаются реже.
С помощью инструментальных методов можно оценить количество, размеры и иногда даже активность опухолевых очагов в организме человека. Также инструментальные методы позволяют отследить динамику изменений на протяжении времени.
Для достоверной оценки динамики необходимо предоставить врачу-диагносту результаты предыдущих исследований (для этого лучше всегда иметь при себе диски и заключения). Обычно рекомендуется проводить повторные исследования того же типа, что и предыдущие (то есть КТ сравнивать с КТ, а МРТ с МРТ и так далее).
Почему важно оценивать эффективность лечения
В случае онкологии ранних стадий после проведенного радикального лечения оценка результатов проводится в рамках динамического наблюдения. Радикальное лечение подразумевает устранение всех опухолевых клеток из организма при помощи хирургии, лучевой или лекарственной терапии и их комбинаций.
Динамическое наблюдение необходимо для контроля размеров остаточного очага (если он не был удален) или обнаружения рецидивов.
В случае поздних стадий (при наличии отдаленных метастазов), когда основным методом лечения является лекарственная терапия, проведение контрольных обследований важно для определения эффективности подобранных препаратов. Без подобного контроля в большинстве случаев невозможно сказать, отвечает ли опухоль на лечение и получает ли пациент пользу от терапии.
На что влияют результаты оценки эффективности лечения
Результаты оценки эффективности лечения влияют на лечебную тактику. После радикального лечения онкологического заболевания на ранних стадиях важно оценить признаки рецидива. Если признаков рецидива на контрольных обследованиях не обнаруживается, то продолжается наблюдение. Контрольное обследование может выявить новые очаги - значит, речь идет о рецидиве. В таком случае необходимо снова начинать лечение.
При лекарственном лечении метастатического рака результаты контрольных обследований влияют на выбор схемы терапии. При неэффективном лечении схему терапии меняют. При подтверждении эффективности лечения в зависимости от типа опухоли может быть предложено несколько вариантов:
- Продолжение терапии теми же препаратами
- Начало поддерживающей терапии (исключение одного или нескольких препаратов из схемы для уменьшения токсичности лечения)
- Полное прекращение терапии с продолжением только наблюдения за пациентом.
Что такое RECIST?
RECIST - это набор критериев для оценки эффективности лечения при помощи инструментальных методов диагностики. Изначально данные критерии были созданы для оценки эффективности лечения пациентов в рамках клинических исследований, но позднее перешли в клиническую практику.
Набор критериев RECIST применим только для контроля эффективности лекарственной терапии метастатического рака. Оценка проводится на основании измерения размеров нескольких опухолевых очагов (называемых таргетными или целевыми). Последовательно оцениваются результаты инструментальных исследований одного типа.
Категории при оценке RECIST
Могут быть получены следующие результаты оценки эффективности лечения:
- Полный ответ (Complete Response - CR) - исчезновение всех опухолевых очагов.
- Частичный ответ (Partial Response - PR) - уменьшение суммы диаметров очагов не менее чем на 30%.
- Стабилизация заболевания (Stable Disease - SD) - увеличение очагов менее чем на 20% или уменьшение менее чем 30% без появления новых очагов.
- Прогрессирование заболевания (Progressive Disease - PD) - увеличение суммы диаметров основных очагов более чем на 20% или появление новых очагов.
ГИСО и Choi критерии ответа опухоли на терапию

Гастроинтестинальная стромальная опухоль (ГИСО, англ. GIST) — наиболее распространённая мезенхимальная опухоль желудочно-кишечного тракта, составляющая 1-3 % от всех гастроинтестинальных опухолей.

С момента введения в клиническую практику RECIST 1.1 прошло много лет, и за это время стали ясны важные ограничения этих критериев при ряде заболеваний. В частности, при ГИСО новые возможности таргетной терапии иматинибом позволяют достигать продолжительного периода «стабильного заболевания» без значительной динамики размеров очагов, что потребовало иных подходов к анализу результатов терапии.
В разработанных специально для оценки ГИСО критериях H. Choi основной акцент приходится на качественные характеристики узла (например, его васкуляризацию). Были пересмотрены и количественные параметры; 10% уменьшение размера или 15% снижение плотности очага является критерием «частичного ответа».
Таким образом, оценка уровня ответа опухоли в критериях H. Choi зависит не только от размеров очагов. Это особенно важно при ГИСО, так как зачастую возможно выявить прогрессирование заболевания при сохранении и даже уменьшении анатомических размеров очагов.
Современные критерии ответа опухоли на терапию (RECIST 1.1)

Современными критериями ответа опухоли на терапию являются критерии RECIST 1.1 от 2009 года. Критерии RECIST - это набор критериев, которые используют для оценки ответа опухоли на проводимую терапию. Основу оценки составляет определение размера опухоли с помощью методов лучевой диагностики (рентгенографии, компьютерной томографии, магнитно-резонансной томографии, ультразвукового исследования) и эндоскопических методов.
Опухолевые очаги
В соответствии с критериями RECIST опухолевые очаги подразделяются на два типа:
- измеряемые очаги — очаги, выявляемые и составляющие по наибольшему диаметру:
- ≥10 мм при спиральной КТ при реконструкции срезов толщиной в 5 мм
- ≥20 мм при шаговой КТ с толщиной среза 10 мм
- ≥20 мм при рентгенографии грудной клетки
неизмеряемые очаги — очаги, выявляемые и составляющие по наибольшему диаметру при шаговом КТ < 20 мм, а при СКТ < 10 мм.
Критерии RECIST для оценки терапии злокачественной мезотелиомы плевры (ЗМП).
При оценке терапии злокачественной мезотелиомы плевры следует пользоваться критериями mRECIST (modified RECIST). Оценка проводится при помощи КТ, а отличие от RECIST лишь в особенностях измерения таргетных очагов.

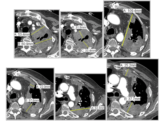
Особенности измерения суммы диаметров очагов при злокачественной мезотелиоме плевры.
Представлена разница измерений при использовании критерий RECIST и mRECIST.
Слева представлены разница измерений при оценке ответа на проведённую терапию, используя критерии RECIST 1.1 и mRECIST для злокачественной мезотелиомы плевры.
Рекомендации по измерению согласно mRECIST нужно оценить толщину плевры на 3 разных по глубине аксиальных срезах в 2 противоположных сторонах, а после сложить данные 6 показателей следующим образом.

Слева представлены разница измерений при оценке ответа на проведённую терапию, используя критерии RECIST 1,1 и mRECIST для злокачественной мезотелиомы плевры.
Рекомендации по измерению согласно mRECIST нужно оценить толщину плевры на 3 разных по глубине аксиальных срезах в 2 противоположных сторонах, а после сложить данные 6 показателей следующим образом общий размер равен 3.2 + 3.3 + 2.2 + 3.8 + 2.5 + 3.8 = 18.8 см.

Измерение лимфатических узлов
На схеме a и b представлены примеры измерения горизонтально и вертикально расположенных лимфатических узлов, как Вы заметили измерение лимфатического узла производится по короткой оси.
На постконтрастной КТ (изображение C) представлен лимфатический узел субкаринальной группы, усиливающийся постконтрастно, в коротком измерении который составляет 33.4 мм.
Соответствено, согласно RECIST общий размер к двум длинникам нужно прибавить короткое измерение лимфатического узла, тогда общий размер составит (10.9 + 8.2 = 19.1 см) + 3.3 см = 22.4 см,
а согласно mRECIST к 6 показателям измеренной плевры прибавить короткое измерение лимфатического узла, и в данном случае общий размер составит (3.2 + 3.3 + 2.2 + 3.8 + 2.5 + 3.8 = 18.8 см) + 3.3 см = 22.1 см
mRECIST для гепатоцеллюлярной карциномы (ГЦК)
При оценке терапии гепатоцеллюлярной карциномы (ГЦК) следует пользоваться критериями mRECIST вместо RECIST. Оценка проводится при помощи КТ или МРТ, исключительно в артериальную фазу сканирования.
Критерии оценки:
- Полный ответ (Complete Response - CR) - Исчезновение любого внутриопухолевого контрастирования в артериальную фазу во всех таргетных очагах.
- Частичный ответ (Partial Response - PR) - Уменьшение суммы диаметров очагов не менее чем на 30%, оцениваемые в артериальную фазу контрастирования.
- Прогрессирование заболевания (Progressive Disease - PD) - Увеличение на 20% и более суммы диаметров таргетных очагов, оцениваемые в артериальную фазу контрастирования.
- Стабилизация заболевания (Stable Disease - SD) - Все остальное.

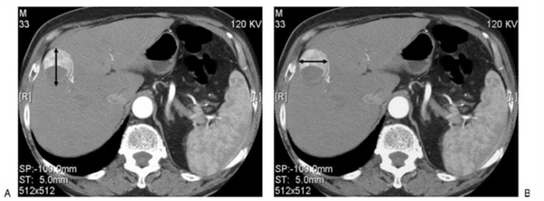
Применение mRECIST при оценке гепатоцеллюлярной карциномы. Оценка таргетного очага применительно только в артериальную фазу при компьютерной томографии (КТ). Согласно критериям RECIST идет подсчет суммы диаметров очагов. В дополнение согласно критериям mREСIST длинник очага оценивается в той части, что наиболее усилилась постконтрастно в артериальную фазу.

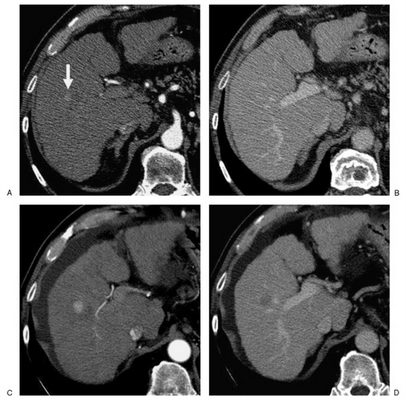
На верхних двух изображениях представлены после проведенного лечения (основная опухоль не представлена) первые повторные исследования в артериальной и венозной фазах, при которых выявлен очаг в размерах менее 1 см, что согласно критериям RECIST является не измеряемым. На вторых повторных исследованиях в артериальной и венозной фазах определяется очаг более 1 см с характерными признаками злокачественности (артериальной гиперваскуляризацией и венозным вымыванием), который является теперь измеряемым. В данном случае об прогрессировании заболевания после первого повторного исследования можно говорить только ретроспективно.
Оценка полного ответа:
Отличие от RECIST заключается в том, что все очаги (таргетные, не-таргетные, новые) оцениваются в артериальную фазу контрастирования.
Читайте также:
