УЗИ при эхогенном объемном образовании печени
Добавил пользователь Владимир З. Обновлено: 22.01.2026
Печень выполняет детоксикационные функции. В ней синтезируется желчь, и проходят обменные процессы.
К вирусным патологиям печени относятся гепатиты. При сахарном диабете, болезни Крона, при нарушении метаболизма развивается гепатоз. Структура печени изменяется при появлении гемангиомы или липомы.
УЗИ печени позволяет точно определить наличие патологических изменений в тканях печени, проследить за эффективностью восстановления органа в ходе проведения лекарственной терапии.
Суть диагностического метода
Звуковые волны с помощью аппарата УЗИ проникают вглубь тканей, отражаются от них с разным уровнем акустической плотности. Это дает возможность получать четкое изображение на экране монитора. Определяя степень эхогенности органа, специалист фиксирует отклонения от нормальных показателей.
Наличие диффузных изменений, нарушение однородности структуры свидетельствует о функциональных нарушениях печени.
Метод УЗИ позволяет врачу решить следующие задачи:
- измерить орган и определить его плотность;
- выяснить присутствуют ли в тканях узлы, рубцы, опухоли;
- оценить состояние желчевыводящих протоков и кровеносных сосудов.
При повышенной эхогенности следует осмотреть близлежащие лимфатические узлы, выяснить, не нарушен ли в них кровоток.
При обследовании целостность кожи не нарушается. Дискомфорта и боли пациенты не ощущают.
Показания к УЗИ
Назначают УЗИ гастроэнтерологи, терапевты, онкологи. Диагностическую процедуру проводят при следующих нарушениях:
- тошнота;
- рвота;
- снижение массы тела;
- пожелтение кожи;
- увеличение печени;
- отклонения от нормы в биохимическом анализе крови.
О том, как подготовиться к исследованию, пациента информирует врач. За 3 три до проведения процедуры из меню исключают копченое мясо, жареный картофель, газированные напитки, маринованные овощи, молоко, капусту. Эти продукты могут вызывать усиленное газообразование.
Для того чтобы улучшить переваривание пищи, иногда назначают Панзинорм или Фестал.
Расшифровка результатов
В норме у печени однородная эхоструктура и ровный, четкий контур.
В тканях здоровой печени отсутствуют жировые отложения и новообразования.
При циррозе значительно увеличиваются вены, разрастается соединительная ткань. Возрастает эхогенность паренхимы.
Размеры печени увеличиваются при гепатите. Структура при этом остается однородной. Если воспалительный процесс протекает длительное время, то в тканях появляются гиперэхогенные участки.
Округлую или овальную полость с тонкими стенками и анэхогенным содержимым специалисты обнаруживают в печени при возникновении кисты.
Повышенная эхогенность и умеренное увеличение печени свидетельствуют о присутствии гепатоза.
Основы ультразвуковой анатомии печени. Профессор В. А. Изранов. Анатомия печени. Профессор Э. С. Кафаров

Развитие печени начинается на 3-й неделе внутриутробного развития с закладки полого отростка эндодермы, отходящего от двенадцатиперстной кишки. Закладка печени «отпочковывается» от желчных компонентов. Печеночная часть содержит бипотентные клетки-предшественники, которые в дальнейшем дифференцируются в гепатоциты либо клетки билиарного эпителия. Последние образуют пластинчатые структуры — ранние пластины желчных протоков, которые благодаря интенсивной пролиферации клеток быстро растут и внедряются в прилегающую ткань мезодермы (формирующуюся мезенхимальную часть брыжейки кишечника). Здесь они встречаются с капиллярным сплетением, берущим начало от пупочной вены и формирующим синусоиды. Эпителиальные клетки располагаются рядами, образуя печеночные балки. Между балками из мезенхимы закладываются кровеносные сосуды и первые форменные элементы крови. Между клетками сохраняются щели, из которых впоследствии образуются желчные канальцы. Образование желчи начинается на 12-й неделе. Клетки Купфера дифференцируются из моноцитов периферической крови, а звездчатые клетки печени (ЗК) — из субмезотелиальных клеток.
Анатомия печени и желчных путей
Печень — самый крупный внутренний орган, ее масса составляет 1,2-1,5 кг. Она покрыта соединительнотканной (глиссоновой) капсулой. Печень проецируется в правом верхнем квадранте живота и снаружи защищена реберной дугой. Верхняя граница органа соответствует V ребру (уровню сосков). При дыхании печень движется содружественно с диафрагмой, к которой она фиксирована. В печени выделяют две доли — правую и левую. Правая доля большего размера, на ее задней поверхности выделяется небольшая хвостатая доля, на нижней поверхности — небольшая квадратная доля. Правая и левая доли спереди разделены серповидной связкой (ligamentum falciforme), сзади — венозной связкой (ligamentum venosum), а книзу переходят в круглую связку печени (igamentum teres), представляющую собой заросший венозный проток. Между правой и левой долями проходит средняя печеночная вена. В печени выделяют восемь сегментов в соответствии с разветвлениями правой, левой и средней печеночных вен.
Правый и левый печеночный желчные протоки сливаются в области ворот печени, образуя общий печеночный проток. Желчный пузырь располагается выше поперечно-ободочной кишки. Тело желчного пузыря суживается, переходя в шейку и затем в пузырный проток. При слиянии пузырного протока с общим печеночным образуется общий желчный проток — холедох. Общий желчный проток располагается кпереди от воротной вены и кзади от проксимальной части двенадцатиперстной кишки. В нисходящей части двенадцатиперстной кишки холедох соединяется с главным панкреатическим протоком, образуя общую фатерову ампулу. Скопления продольных и круговых мышечных волокон, окружающих терминальную часть общего желчного протока, проходящую в толще стенки двенадцатиперстной кишки, образуют сфинктер Одди. Этот сфинктерный механизм регулирует выделение желчи в просвет. В просвете двенадцатиперстной кишки выход из ампулы, окруженный сфинктерными волокнами, определяется как выпуклость и носит название большого (фатерова) сосочка.
Кровоснабжение и лимфоотток
Печень получает двойное кровоснабжение — из воротной вены и печеночной артерии. Примерно 25% крови поступает по печеночной артерии, отходящей от чревного ствола. Доля притекающей по воротной вене крови составляет 75%; в печень поступает венозная кровь из всего желудочно-кишечного тракта и селезенки. Оба приносящих сосуда входят в печень в области ворот (porta hepatis). Здесь воротная вена и печеночная артерия разделяются на правую и левую ветви, которые кровоснабжают соответствующие доли, сегменты, дольки; в области портальных трактов эти сосуды переходят в синусоиды. После прохождения через синусоиды кровь поступает в центральные вены, которые, сливаясь, образуют притоки правой и левой печеночных вен, впадающих в нижнюю полую вену. Хвостатая доля получает отдельное кровоснабжение из портальной вены и печеночной артерии, а выносящие печеночные вены непосредственно впадают в нижнюю полую вену.
Кровоснабжение желчного пузыря происходит из пузырной артерии, венозный отток идет в пузырную вену. Желчные протоки получают кровоснабжение, главным образом, из задней дуоденальной и правой печеночной артерий.
Лимфоотток от ткани печени происходит в портальные тракты, затем протоки сливаются в более крупные сосуды, образующие печеночные лимфатические протоки.
Микроскопическое строение печени
Паренхима печени состоит из микроскопических структурных единиц — долек (ацинусов), имеющих форму шестиугольника. Печеночный ацинус является не только структурной, но и функциональной единицей. В центре дольки располагаются центральные венулы, в области полюсов — портальные тракты с триадой сосудов. В соответствии с этим в печеночном ацинусе выделяют три зоны:
• зону 1 — перипортальную. Кровь здесь наиболее обогащена кислородом и при этом наиболее подвержена повреждениям от токсинов, поступающих в печень с кровью. Клетки зоны 1 выполняют большинство метаболических функций;
• зону 2 — промежуточную;
• зону 3 — центральную, расположенную ближе всего к центральной вене. Клетки в этой зоне подвержены ишемическому повреждению.
Гепатоциты располагаются в виде балок, расположенных радиально по отношению к центральной вене. Кровеносные капилляры — синусоиды — расположены между рядами гепатоцитов и характеризуются наличием фенестрированного эндотелия. Между гепатоцитами и эндотелиальными клетками синусоидов расположено перисинусоидальное пространство Диссе, в котором находятся клетки Купфера и ЗК печени. Клетки Купфера представляют собой специализированные печеночные макрофаги и проявляют высокую фагоцитарную способность. ЗК печени содержат запасы витамина А и в ответ на повреждение продуцируют коллаген. На поверхности гепатоцитов, обращенной в просвет синусоидов, имеются микроворсинки, которые увеличивают площадь поверхности для повышения эффективности транспорта кислорода, питательных веществ и др. Желчные канальцы представляют собой пространство между двумя рядами гепатоцитов, ограниченное межклеточными плотными контактами (zonulae occludentes). Желчные канальцы переходят в промежуточные канальцы Геринга (холангиолы), которые сливаются в портальных трактах с образованием мелких междольковых желчных протоков.
Аномалии строения
Доля Риделя — аномалия, характеризуемая языковидным удлинением (выростом) правой доли печени. Вырост при дыхании может опускаться далеко вниз, до правой подвздошной ямки. Доля Риделя — достаточно распространенная аномалия, у женщин встречается чаще и, как правило, не сопровождается патологическими проявлениями.
Заболевания печени на УЗИ и в анализах

Печень — это самая крупная железа, отвечающая за пищеварение. В печени вырабатывается желчь, полезный холестерин, в ней протеины расщепляются до аминокислот, лишняя глюкоза превращается в гликоген, происходит жировой обмен, синтезируются различные гормоны. Она фильтрует кровь и защищает организм от проникновения токсинов.

Печёночная ткань, паренхима, состоит из долек, напоминающих по виду соты. Каждая долька пронизана кровеносными сосудами и протоками, она отделена от соседней соединительной тканью.
Клетки печени имеют свойство обновления, но при воздействии токсинов печень не справляется с нагрузкой, и в ней происходят изменения. Особенно негативно на работу печени оказывает влияние алкоголь, обилие жирной пищи, токсические вещества, вирусы.
Клетки печени гепатоциты гибнут либо меняют свою структуру, приводя к нарушению работы органа. На сегодняшний день существует около 50 заболеваний печени, в России 40% патологий вызвано чрезмерным употреблением алкоголя.
Согласно данным ВОЗ, 30% взрослого населения планеты страдает заболеваниями печени, из них 2,2% относится к раку печени, вызванному гепатитом В или С. Вирусом заражён каждый 3-й житель планеты, в странах СНГ лидирует гепатит С, который поражает в основном молодое население в возрасте от 15 до 29 лет, а также в 3,6% случаев диагностируется у детей до 15 лет.
Помимо вирусного поражения печени, у каждого 5-го жителя России имеются камни в желчевыводящих путях и печени.
Состоянию печени не все уделяют должного внимания, списывая на способность органа к самовосстановлению. Однако это относится только к здоровой печени, не подверженной воздействию неблагоприятных факторов. Она действительно справляется с выведением поступившими с пищей и водой токсинами, но иногда случаются сбои, и печень подвергается изменениям, приводящим к развитию заболевания.
Какие существуют заболевания печени
В зависимости от провоцирующего фактора болезни печени делятся на 4 группы:
Вызванные воздействием инородного микроорганизма (вирусные, бактериальные и паразитные).
Гепатит является самым распространённым вирусным заболеванием печени. Он имеет 6 разновидностей, каждая из которых характерна для определённого региона планеты.
- Гепатит А (болезнь Боткина) встречается в 28% случаев. Он передаётся через немытые руки, при питье или купании в заражённых водах, а также через кровь. Наиболее распространён в странах Латинской Америки, Африки и Юго-Восточной Азии.
- Гепатитом В страдает 18% от общего количества инфицированных, и это самый распространённый вид гепатита в России. Он передаётся через кровь, а также при родах от матери ребёнку.
- Гепатит С передаётся во время незащищённого сексуального контакта или при родах. Он имеет самые тяжёлые последствия для печени.
Остальные три разновидности вируса являются сопутствующими трём основным. Наиболее опасны гепатит В и гепатит С, они приводят к разрушению печени и смерти человека.
Вызванные нарушением обмена веществ:
Жировой гепатоз заключается в отмирании функциональных клеток печени гепатоцитов вследствие их поражения клетками жира. Это происходит по причине метаболических нарушений, когда поступивший с пищей жир накапливается в печени, вызывая воспаление и некроз клеток. В итоге они заменяются соединительной тканью, нарушая нормальную работу органа.
Жировой гепатоз имеет различную природу: у людей, страдающих алкогольной зависимостью, жировые клетки скапливаются в результате гибели клеток печени под воздействием альдегидов.
Холестатический гепатоз возникает как следствие избытка «вредного» холестерина. Неалкогольный гепатоз в 65% встречается у людей, имеющих превышение массы тела. Также у 1% женщин, ожидающих ребёнка, возникает гепатоз беременных.
Вызванные воспалительным процессом в печени:
Цирроз печени — это воспаление органа, при котором паренхима (губчатая ткань) заменяется стромой (соединительной тканью). В 70% случаев цирроз является следствием злоупотребления алкоголем, остальное — это результат поражения вирусами, паразитами или инфекциями. Цирроз возникает и вследствие тяжёлой интоксикации, например, при употреблении ядовитых грибов. Однако в 10% случаев невозможно установить точную причину возникновения цирроза печени.
Доброкачественные и злокачественные опухоли
Чаще всего рак печени диагностируется у мужчин в возрасте старше 40 лет и реже у женщин старше 55 лет. Самым распространённым является вторичный рак печени как следствие проникновения метастаз в органе. Риск развития первичного рака печени увеличивается у курящих и употребляющих алкоголь людей, а также работающих на вредном производстве, страдающих сахарным диабетом и ожирением.
Гемангиома представляет собой опухоль из сплетения кровеносных сосудов, которая имеет склонность к увеличению в размерах без склонности к перерастанию в злокачественное новообразование. Она встречается у женщин в 5 раз чаще, чем у мужчин. Считается, что закладка опухоли происходит ещё во внутриутробный период развития, когда на мать малыша оказывается неблагоприятное воздействие.
Пуском к росту опухоли служит гормональная перестройка, связанная с беременностью, климаксом, приёмом противозачаточных препаратов. Опухоль развивается бессимптомно и даёт о себе знать только по достижении 4 см, когда пациента беспокоят боли в правом боку. Однако в большинстве случаев гемангиома никак себя не проявляет и обнаруживается случайно во время медицинского осмотра.
Биохимический и общий анализы крови не выявляют нарушений, только при очень больших размерах опухоли увеличивается билирубин. Гемангиома сама по себе не опасна, но по мере роста опухоли перекрываются печёночные протоки, затрудняя выведение желчи.
Также высока вероятность перекрытия главной питающей артерии, что провоцирует инфаркт печени и нарушение в работе соседних органов. Осложнения гемангиомы встречаются у 15% пациентов, при разрыве опухоли в 85% возникает внутреннее кровотечение, приводящая к смерти пациента.
Как обнаружить болезнь печени на ранней стадии
Долгое время заболевания печени развиваются без каких-либо существенных симптомов. Гепатоз не имеет никаких проявлений, и только УЗИ показывает структурные изменения органа.
Гепатит имеет относительно долгий инкубационный период, поэтому сразу после заражения его можно обнаружить только по увеличению показателей АЛТ и АСТ в биохимическом анализе крови. Цирроз схож по симптомам с ОРВИ или обычным пищевым отравлением (метеоризм, рвота, слабость), а рак становится заметен уже тогда, когда со стороны печени образуется увеличение живота.
Также общим симптомом для всех заболеваний печени является желтушность кожи. Но все эти проявления характерны для поздней стадии, когда заболевание уже развилось и сказывается на качестве жизни пациента.
Единственный способом ранней диагностики заболеваний печени является обследование, включающее ряд анализов и ультразвуковую диагностику.
Лабораторные анализы на выявление заболеваний печени
Оценку работы печени помогает сделать биохимический анализ крови. Забор делается натощак в клинике, а через несколько дней специалист расшифрует результаты. К основным показателям относят:
Билирубин. Это главный антиоксидант, пигмент желчи, образуемый при распаде гемоглобина. Содержится в общей, свободной и связанной фракции. Первый в 96% находится в комплексе с альбумином, в 4% — с глюкуроновой кислотой. При закупорки печёночных протоков, воспалении печени билирубин повышается. Разрушение свободного билирубина происходит в печени, а выведение связанного производится через почки. При нарушении работы органа концентрация билирубина в крови увеличивается. Этот пигмент токсичен, поэтому его увеличение вызывает ухудшение самочувствия.
Уровень билирубина в крови свидетельствует о нарушении работу печени и почек.
АСТ и АЛТ. Ферменты, синтезируемые печенью. У здорового человека содержится в крови в небольшом количестве, но при распаде клеток печени показатели значительно увеличиваются, а при нарушении работы сердца поднимается АСТ.
Щелочная фосфатаза. Это компонент мембраны клеток, участвует в фосфорно-кальциевом обмене. Её концентрация увеличивается при различных процессах в печени и других органах, понижается при разрушении костной ткани, пониженной функциональности щитовидной железы, при малокровии.
Холестерин. Это низкоплотный липид, производимый печенью и идёт на синтез желчи, клеточных мембран и пр. В сутки печенью вырабатывается около 1 грамма холестерина, и этого достаточно для потребностей организма. В печёночных протоках из молекул низкоплотного холестерина образуется желчная кислота, которая всасывается в кровь после соединения с протеинами. Излишки липидов выводятся из организма через кал.
При нарушении работы печени концентрация холестерина увеличиваются. Это приводит к развитию сердечно-сосудистых заболеваний и ожирения. Наиболее опасным последствием избытка низкоплотного холестерина является жировой гепатоз.
Со временем при постоянном высоком холестерине развивается атеросклероз, поражающий сосуды и артерии и приводящий к инфаркту или инсульту.
Расшифровку анализов проводит только врач, потому что в разных лабораториях приняты разные единицы измерения. При жировом гепатозе печени повышается уровень билирубина и понижается альбумин в крови.
УЗИ при болезнях печени
100% диагностику даёт только комплексное обследование, однако УЗИ печени выявляет заболевания даже на начальной стадии в 70% случаев. В остальных 30% процессы происходят глубоко в печени, орган ещё не успел увеличиться в размерах, а его ткани сохранили целостность и однородность. Также визуализируется незначительное скопление жидкости в брюшине.
Цирроз печени
Цирроз печени можно увидеть на УЗИ только на 2 и 3 стадии, когда заметны эхо-признаки повреждения органа. В качестве ориентиров берутся показатели здорового органа: однородные ровные края, левая доля до 7 см в длину, правая — до 13 см, диаметр желчного протока до 7-8 мм, диаметр портальной вены — 12 мм. Отклонение от нормы требует более детальной диагностики.
Цирроз печени имеет 3 стадии:
- Заболевание на 1-й стадии возможно обнаружить только после отклонений в биохимическом анализе крови. Изменения настолько незначительны, что на УЗИ увидеть их практически невозможно. Специалист видит некоторое размытие контуров, но оно минимальное. Также отмечается увеличение одной из долей, однако эхоструктура остаётся однородной. Кровеносные сосуды печени могут быть слегка расширены.
- На 2-й стадии орган претерпевает существенные изменения. Поверхность печени покрывается гиперэхогенными рубцами, которые может обнаружить опытный специалист. Сосудистый рисунок просматривается плохо, очертания органа размыты. Эхогенность печени неоднородна, встречаются очаги гипер- и гипоэхогенности.
- На 3-й стадии печень значительно увеличивается в размерах, портальная вена разбухает, поверхность покрыта рубцами из соединительной ткани. Также селезёнка увеличивается сверх нормы (свыше 12 см в длину и 6 см в ширину). Сосудистый рисунок смещён, хвостатая доля печени больше правой доли в 0,65-0,75 раза. Скопление жидкости настолько велико, что живот выпирает вперёд.
Жировой гепатоз на УЗИ
Жировой гепатоз крайне редко встречается у абсолютно здоровых людей. Он развивается как следствие уже имеющихся заболеваний, таких, как сахарный диабет, панкреатит, язвенная болезнь желудка, алкоголизм и др. Для гепатоза характерно крайне быстрое развитие заболевания. Так, после токсического поражения печени в результате отравления (грибами, химическими веществами) жировая инфильтрация наступает в течение недели. Обнаружить жировой гепатоз легко с помощью ультразвукового исследования. В зависимости от размещения жировых отложений заболевание бывает трёх видов:
- Диффузный гепатоз. Жировые клетки равномерно распределены по всему органу. Данный тип развивается и у вполне здоровых людей, нарушающих режим питания. Например, у вегетарианцев нехватка белка в связи с отказом от животной пищи нарушается производство липидов, что также возникает после длительной жёсткой диеты, после налегания на жирную и углеводную пищу. Также метаболические нарушения случаются после курса антибиотиков.
В отличие от здорового органа, при диффузном гепатозе свободность проводить ультразвук снижается, что отображается белыми пятнами на экране. Глубокие отделы печени визуализируются плохо, мелкий венозный рисунок не просматривается. Контуры печени остаются чёткими, однако размеры органа несколько увеличиваются.
- Локальный гепатоз. Жировые образования встречаются только в определённых участках печени. На УЗИ это отражается гипоэхогенными участками на фоне здоровой паренхимы.
очаговый гепатоз. Поражённые жировыми отложениями очаги визуализируются как объёмные гиперэхогенные участки.
Общими признаками гепатоза является «светлая» печень — преобладание низкоэхогенных участков ткани, плохо проводящих ультразвук. Поражённые жировыми клетками участки не дают органу нормально функционировать, что приводит к серьёзным последствиям: застою желчи, интоксикации организма, снижению иммунитета. желчь не поступает в полном объёме, пища переваривается хуже, поступает в кишечник не до конца переваренной, провоцируя дисбактериоз и кишечные инфекции.
Печень хуже очищает организм от токсинов, уменьшая поступление питательных веществ и витаминов. При жировом гепатозе страдает сердечно-сосудистая система, развивается гипертония, миопия, нарушение сердечной деятельности. Общая интоксикация снижает иммунитет, создавая благоприятные условия для ОРВИ, гриппа и других инфекций.
Гепатит и печень на УЗИ
Гепатит — это вирусная инфекция, приводящая к воспалению органа. При острой форме воспаления наблюдается скопление жидкости в тканях, а она хорошо проводит ультразвук, поэтому воспалительные процессы характеризуются гиперэхогенностью.
Также увеличиваются размеры печени. Её поверхность становится слишком гладкой и ровной, но контуры при этом размытые.
При гепатите С применяется допплеровское сканирование, выявляющее участки с усиленным кровотоком и места, в которых он нарушен или отсутствует. При гепатите В и С можно увидеть поражённые участки паренхимы, замещённые гиперэхогенной соединительной тканью.
Кисты печени на УЗИ
Кисты печени диагностируются у 0,8% населения, причём у женщин они выявляются чаще, чем у мужчин. Обычно сопровождаются такими заболеваниями, как поликистоз яичников, цирроз печени, желчекаменная болезнь.
При сужении протоков печени желчь не может проходить, она закупоривает канал, и в нём образуется полость, напоминающая по виду капсулу. Со временем она наполняется анэхогенной жидкостью, появляются новые кисты, имеющие диаметр до 25 см. В простой кисте кровоток отсутствует.
Эхинококковые кисты образуются в результате откладывания в печени личинок паразитов. Они имеют вид капсулы с плотными стенками, которые постепенно расширяются и оказывают давление на паренхиму, перекрывают протоки и кровеносные сосуды.
Растущая киста способна передавить печёночную вену, став причиной инфаркта миокарда. Опасность эхинококковой кисты заключается в том, что капсула может лопнуть и её содержимое распространится по всему организму.
Эхинококковое поражение достигает головного мозга, лёгких. Также при прорыве капсулы наступает анафилактический шок и летальный исход. Пустая капсула имеет свойство кальцинации, паренхима печени теряет функциональность, приводя к нарушению работы органа.
Если не лечить болезнь, развивается альвеококкоз, при котором паразитные узелки распространяются по всей печени. При выявлении признаков эхинококковой кисты пациента направляют для более детального обследования.
Гемангиома печени на УЗИ
Гемангиома — это сосудистое образование внутри печени, состоящее из сплетения кровеносных сосудов. Оно носит доброкачественный характер, но имеют склонность к увеличению в размерах. Кавернозная опухоль достигает в диаметре до 20 см, и при отсутствии лечения превращается в атипичную гемангиому, покрытую ороговевшей тканью.
Опухоль легко диагностируется на УЗИ, она имеет чёткие бугристые контуры и гиперэхогенность. Повышенный кровоток подтверждается при помощи допплеровского сканирования. Однако УЗИ только подтверждает сам факт наличия опухоли, но более достоверные сведения даёт МРТ.
Гиперэхогенные образования на УЗИ
Практически всегда плотные гиперэхогенные образования в печени — это метастазы. При раке толстой кишки они кальцинируются, при раке молочной железы имеют гипоэхогенную тень. Также при метастазах увеличены лимфоузлы, что вызывает расширение протоков. Но даже при наличии всех эхо-признаков рака пациенту не выносится окончательный диагноз. Он направляется на дальнейшее, более детальное обследование.
Что не видно на УЗИ: камни в печени
Гепатолитаз — это образование камней в печени из сгустков желчи, которая по каким-то причинам не может пройти по протокам, густеет и застаивается. Из-за того, что печень не имеет нервных окончаний, камни долгое время не дают о себе знать.
Ультразвуковая диагностика является малоинформативной из-за специфического расположения органа.
Печень перекрывается рёберной дугой, поэтому камни в протоках датчик не визуализирует. единственным методом диагностики остаётся МРТ и биохимический анализ крови. При камнях значительно повышается билирубин, что указывает на застой желчи. МРТ показывает точное расположение и размеры камней.
Выводы
Наша клиника УЗИ предлагает полное обследование печени, включающее консультацию высококвалифицированного врача, полный спектр анализов крови и мочи, а также УЗИ-диагностику.
Рекомендовано пройти обследование печени мужчинам в возрасте старше 40 лет и женщинам после 50, а также лицам более молодого возраста, работающим на предприятиях тяжёлой промышленности, жителям мегаполисов, а также пациентам, в роду у которых имелись случаи печёночных патологий.
УЗИ печени — самое эффективное обследование

Печень — самый крупный орган брюшной полости, выполняющий жизненно важные функции. По многим причинам — некачественное питание, плохая экология, несвоевременная диагностика заболеваний ЖКТ и др., количество запущенных заболеваний печени ежегодно увеличивается. При этом обнаружить практически любую проблему можно очень быстро, выполнив УЗИ печени.
УЗ-обследование дает самую подробную информацию о состоянии печени, ее функционировании и изменениях.
Показания к проведению ультразвуковой диагностики печени
Диагностика заболеваний печени собственными силами — процесс проблематичный — большая часть заболеваний этого органа носит скрытый характер — яркие симптомы проявляются только тогда, когда процесс разрушения печени наблюдается отчётливо, а изменить что-либо бывает уже поздно. Зная это, многие люди регулярно проходят профилактическое обследование методом УЗИ, сохраняя таким образом свое здоровье, молодость и хорошее настроение. УЗИ печени входит в УЗ обследование брюшной полости, но может выполняться и отдельно.

Помимо профилактического обследования, существует ряд прямых показаний к УЗИ печени. Пройти УЗ-исследование нужно если присутствуют:
- Травмы брюшной полости;
- Неудовлетворительные анализы крови, по результатам которых можно предположить поражение печени;
- Болезненные ощущения и тяжесть в области правого подреберья;
- Желтоватый цвет кожных покровов;
- Изменение цвета склер;
- Гепатиты A, B и C;
- Заметно увеличенный размер печени;
- Подозрение на абсцесс и инвазию паразитарного типа;
- Новообразования различного характера, выявленные по результатам анализов;
- Проблемы гинекологического характера;
- Применение гормональных контрацептивов.
Более того, с помощью УЗИ обнаруживаются метастазы рака, вирусные патологии печени, кисты и кистозные образования, гемангиомы.
Какие заболевания показывает УЗИ печени?
Диагностика ультразвуком замечает даже малейшие отклонения от показателей нормы, не говоря уже о заболеваниях и патологиях, угрожающих жизни и здоровью пациента. Врач, изучив результаты УЗИ, выносит заключение о наличии таких патологий печени, как:
- Гепатит в острой и хронической форме;
- Кальцинаты, возникающие на фоне перенесенных заболеваний инфекционного типа (малярии, туберкулеза, амебиаза);
- Цирроз печени;
- Метастазы раковых опухолей;
- Гепатомы;
- Гемангиомы;
- Синдром Бадда-Киари.
На мониторе при проведении УЗИ печени появляется четкая картинка, на которой отчетливо видны контуры печени. Поэтому диагностика ультразвуком помогает с высокой точностью определить то или иное заболевание своевременно и избежать возможных осложнений.
УЗИ печени обычно проводится в качестве дополнительного обследования в случае обнаружения проблем с рядом расположенными внутренними органами.
Есть ли противопоказания к УЗИ печени?
УЗИ — процедура безопасная и безболезненная. Оно рекомендовано для взрослых и детей. Исследование печени ультразвуком может быть противопоказано лишь в одном случае — наличие у пациента ран и других повреждений кожного покрова в области живота, а также заболеваний дерматологического характера.
При таких явлениях гель на кожу наносить нельзя. Во всех других случаях УЗИ рекомендовано к применению, особенно при острых болевых синдромах. В таком случае печень во время диагностики визуализируется четко. Максимальную информативность УЗИ достигает при неоднократном повторении. Зачастую оно проводится по несколько раз через каждые 2-3 недели.
Как правильно подготовиться к УЗИ печени
Наиболее точный диагноз позволяет получить подходящее состояние брюшной полости. Поэтому большое значение имеет подготовка к УЗИ. Чтобы получить корректные результаты, нужно выполнять ряд несложных рекомендаций:
- Приблизительно за три дня до процедуры важно перестать употреблять в пищу фрукты, черный хлеб, молоко, газированные напитки — те продукты, которые способствуют газообразованию в кишечнике;
- За несколько часов до исследования необходимо принять препараты, уменьшающие метеоризм (эспумизан, активированный уголь, ферментные препараты);
- Если пациент страдает запорами, то перед УЗИ нужно очистить кишечник клизмой.
Как обследуют печень ультразвуком
Сам процесс займёт немного времени, около 15 минут. Никаких неприятных ощущений пациент при этом не испытывает. УЗИ можно проводить в положении лежа, сидя или стоя. Пациент обнажает живот, врач наносит специальный гель на область расположения печени и датчиком сканирует брюшную полость.
На монитор выводится четкое изображение, на котором видны все патологии. Это значительно облегчает процесс постановки диагноза.
Расшифровка результатов УЗИ печени

В нормальном состоянии печень располагается в правой части тела, в области подреберья. Из-за довольно крупных размеров печень не визуализируется полностью. Для полного исследования органов врач производит несколько манипуляций, которые оценивают форму, контуры и структуру печени.
На мониторе можно четко отличить доли печени: левую, правую, квадратную и хвостатую. Эти доли включают в себя 8 сегментов. Их изучение помогает верно определить локализацию патологии.
Если пациент правильно подготовился к исследованию, то можно увидеть несколько ямок небольшого диаметра в нижней части печени. Они образовались в результате близкого расположения органа к желудку, правому надпочечнику, толстой кишке и правой почке.
УЗИ не должно показывать связочный аппарат, только венечную борозду. Печеночные вены, желчевыводящие протоки и ответвления воротной вены в норме должны прослеживаться четко.
В процессе исследования печени ультразвуком врач подобно изучает каждую часть органа путем поперечного и косого сечения, измеряет их и фиксирует все размеры в протоколе исследования.
Опасно ли обнаруженное на УЗИ гипоэхогенное и гиперэхогенное образование в печени?
Печень в человеческом организме выполняет важную задачу — она нейтрализует вредные вещества, которые попадают к нам внутрь. Если печень перестанет нормально функционировать, организму грозит интоксикация.
Хотя печень является самым крупным и одним из важнейших внутренних органов, вышло так, что в ней отсутствуют болевые рецепторы. Из-за этого обычно ее болезни не дают о себе знать до последнего. О том, что с печенью случилась беда, часто выясняется лишь на плановом УЗИ.
Как происходит обнаружение новообразований c помощью ультразвука?
Специальный аппарат в процессе обследования создает высокочастотные волны, которые направляются к органу. Отражаясь от него, они возвращаются, улавливаются прибором и преобразуются в изображение, которое можно увидеть на экране аппарата или на распечатанном снимке. По данным, полученным таким способом, врачи могут делать выводы о наличии или отсутствии болезненных изменений во внутренних органах человека, тканях его организма.
Благодаря подобному, к слову сказать, абсолютно безопасному исследованию, специалист-медик наблюдает месторасположение органа, его размерные параметры, а также внутреннюю структуру. Для ее определения введен специальный термин «эхогенность» или «акустическая плотность». Эта характеристика учитывает, с какой скоростью двигаются внутри органа ультразвуковые колебания. Желудок, почки, яичники и прочие органы имеют свои значения нормальной акустической плотности.

У печени есть собственный показатель эхогенности, соответствующий норме. Если ее уровень снижен или повышен, врач сможет распознать недуг и детально рассмотреть его признаки на мониторе
Бывает, что при обследовании органов на УЗИ обнаруживаются гипоэхогенные очаги, то есть участки со сниженной акустической плотностью. Врачебная практика показывает, что подобные патологические участки могут появиться в любом внутреннем органе или системе. Они могут быть различных форм и размеров, появиться они могут в матке, щитовидной и молочной железах, почках, яичниках и т.д. Очень опасно нахождение такого очага патологии в печени. Если вовремя не решить проблему и не устранить причину ее появления, то орган может отказать. А это чревато для организма серьезными негативными последствиями.
Тревожные симптомы, которые могут сопровождать новообразования в печени
Пациентам, особенно тем, у кого существуют хронические заболевания этого органа, рекомендуется регулярно проходить полное клиническое обследование в целях профилактики. Симптомы, которые означают, что заболевание прогрессирует, таковы:
- справа под ребрами ощущается болезненный участок;
- человек периодически испытывает состояние тошноты, рвоты;
- во рту часто присутствует неприятный привкус;
- кожа человека начинает отдавать желтизной;
- случаются перепады температуры тела, резкое падение работоспособности;
- изменяется окраска слизистых оболочек.
При наличии одного или нескольких из перечисленных симптомов нужно немедленно обратиться к лечащему врачу. Не принятые вовремя меры могут обернуться опасным осложнением, вплоть до разрыва печени, который приведет к летальному исходу. Важно, что несмотря на серьезность угрозы, верно назначенное лечение дает стойкий положительный эффект.

Боль в правом подреберье — один из тревожных признаков заболеваний печени. К ним также относятся пожелтение кожных покровов и склер, неприятный привкус во рту, резкие перепады температуры тела
Характеристика новообразований в печени, обнаруженных на УЗИ
Гипоэхогенное образование, выявляемое на УЗИ диагностике печени, — это измененный болезнью участок органа, который обладает меньшей плотностью. Его акустическая восприимчивость также снижена: ультразвуковые волны, проходя сквозь этот участок, начинают двигаться медленнее. На изображении, выдаваемом аппаратом УЗИ, подобное место в органе выглядит заметно темнее, чем другие структуры. Обнаружение подобной аномалии сигнализирует врачу о наличии патологии, каком-то разрушительном процессе, который под влиянием провоцирующих факторов происходит в органе.
Само наличие аномального очага показывает медикам, что нарушена нормальная работа естественного «фильтра» организма, а это значит, что перекачка и очистка крови идут в замедленном ритме. Если так происходит, в организме будут накапливаться токсины, и одна за другой развиваться болезни. Как раз поэтому нужно как можно быстрее изучить все характеристики проблемного участка. Ведь скрываться тут может как киста, так и опухоль, в том числе злокачественная.
О чем может говорить наличие в печени участка со сниженной эхоплотностью?
Тщательно изучив на УЗИ все параметры новообразования, а именно его месторасположение, размеры и структуру, доктор сможет предположить, какое именно заболевание печени вызвало изменения. Это могут быть:
- ;
- геморрагическая киста;
- тромбоз воротной вены;
- абсцесс;
- аденома;
- карцинома.
При УЗИ обследовании специалист не только обнаруживает образование со сниженной плотностью, но и подробно описывает, как именно оно выглядит. Если обследуемая печень поражена циррозом, то на мониторе видны узелки размером несколько миллиметров, очертания всего органа носят бугристый характер.
Киста при ультразвуковом обследовании видна как округлая или овальная полость. Ее содержимое обладает анэхогенными свойствами, то есть не отражает ультразвук.
Если аномальное образование имеет вытянутую форму и рыхлую структуру, это характерно для тромбоза воротной вены. При абсцессе края органа на УЗИ выглядят неровными, а в самой его структуре содержатся мелкие газовые пузырьки, которые видны на изображении в мониторе. При аденоме наблюдается псевдокапсула из более плотной ткани, новое образование однородно и имеет ровные границы. При карциноме (раке) на экране УЗИ монитора видно не только само патологическое образование, но также метастазы, которые распространились на соседние органы.
Добавим, что большое количество очагов с отличающейся от нормы плотностью характерно для злокачественных образований. Но чтобы подтвердить этот диагноз, настоятельно рекомендуется сделать биопсию (забор клеток для анализа) пораженного участка.
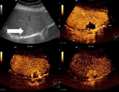
Новообразования повышенной эхоплотности
Для дополнительной информации нужно упомянуть и такое понятие, как «гиперэхогенность». Это участки, которые обладают повышенной отражающей способностью для ультразвуковых волн. На мониторе аппарата УЗИ при исследовании подобные образования смотрятся, как практические белые пятна. Можно логично предположить, что плотность таких участков довольно высока. В печени такие образования в большинстве своем означают наличие гемангиомы (это клубок сосудов, образующий доброкачественную опухоль). На втором месте - первичный рак или проникновение в этот орган метастаз опухоли из другого (из кишечника, простаты и т.д.).
Очень важно понимать, что заключение специалиста по УЗИ нельзя воспринимать как окончательный диагноз. На основе этих данных лечащий врач может сделать какой-либо вывод, назначить лечение. А может и выписать направления на ряд других анализов и обследований. Только пройдя их все, можно получить уточненные данные о состоянии здоровья. Поэтому если по итогам УЗИ пациент узнает о наличии у себя гипоэхогенного очага, ему не стоит сразу волноваться. Тем более, если отсутствуют дополнительные негативные признаки. Далеко не каждый раз такая аномалия означает фатальные для организма последствия. Новообразование может оказаться и относительно безопасным. Все же обратиться за консультацией к лечащему врачу в этом случает настойчиво рекомендуется.
Как было сказано выше, найденный во время УЗИ очаг патологии может оказаться признаком целого ряда заболеваний, как опасных, так и легко излечимых. Однако в любом случае обнаруженная аномалия требует дополнительных обследований. Проводить их нужно в комлексе. Кроме ультразвукового исследования, применяются также методы компьютерной или магниторезонансной томографии, ангиографии и т.д. Иногда требуется сдавать особые анализы крови, например, определение альфа-фетопротеина. В некоторых случаях нужна биопсия, когда с помощью тонкой иглы берут на анализ небольшой кусочек ткани. Это исследование с точностью до 99% помогает определить или уточнить диагноз.
Читайте также:
