Оценка ремоделирования левого желудочка. Оценка ишемической митральной регургитации и инфаркта правого желудочка
Добавил пользователь Евгений Кузнецов Обновлено: 01.01.2026
Ишемическая болезнь сердца самая распространенная патология сердца. Эхокардиография играет все более важную роль в оценке ишемической болезни сердца. Техники исследования в покое и стресс-эхокардиографии используются в:
- Оценка степени ишемии или инфаркта миокарда (ИМ)
- Прогнозирование артерии, вызывающей ишемию
- Острый ИМ - функция ЛЖ, также ее оценка и после ИМ, ишемическая кардиомиопатия
- Инфаркт правого желудочка
- Осложнения ИМ - митральная регургитация, ДМЖП, пристеночный тромб, аневризма ЛЖ, псевдоаневризма, выпот в перикард, разрыв стенки миокарда
- Аномалии коронарных артерий (например, аневризма, аномальное происхождение по данным трансторакальной и чреспищеводной эхокардиографии)
- Боль в груди при нормальных коронарных артериях - пролапс митрального клапана, аортальный стеноз, гипертрофическая кардиомиопатия.
Оценка ишемии при эхокардиографии
- Ишемия приводит к немедленным изменениям, которые можно обнаружить с помощью эхокардиографии:
- Нарушения движения стенок (гипокинетические, акинетические, дискинетические)
- Нарушения утолщения стенок (уменьшенное или отсутствующее систолическое утолщение или систолическое истончение - этот признак более чувствительный и специфичный для ишемии)
- Нарушения общей функции ЛЖ (например, фракция выброса).

Указанные изменения можно обнаружить с помощью двумерной эхокардиографии, но M-режим также чрезвычайно хорош, поскольку его высокая частота дискретизации делает его очень чувствительным к движению стенок и аномалиям утолщения. Важно, чтобы курсор располагался под углом 90° к стенке. Есть ограниченные области миокарда ЛЖ, которые можно исследовать в М-режиме - наиболее полезно задняя стенка и МЖП. Изменения обратимы, если ишемия кратковременная, например в покое, прием антиангинальных препаратов, проведенная вовремя чрескожная транслюминальная коронарная ангиопластика, тромболизис или аортокоронарное шунтирование (АКШ). Если кровоснабжение миокарда прервано более чем на 1 час, происходят необратимые изменения, включающие инфаркт миокарда и рубцевание.
Прогнозирование вовлеченной артерии при проведении ЭхоКГ. Это делается путем разделения левого желудочка на сегменты. На этом основано стресс-эхокардиография.
Оценка инфаркта миокарда на ЭхоКГ
Эхокардиография может помочь в определении степени инфаркта ЛЖ, оценке поражения ПЖ и обнаружении осложнений. Изменения функции ЛЖ при остром инфаркте миокарда аналогичны изменениям, описанным при ишемии, но быстро становятся необратимыми. Обнаружение поражения правого желудочка важно для определения лечения и прогноза.
Осложнения инфаркта миокарда при использовании эхокардиографии
Многие осложнения острого инфаркта миокарда можно обнаружить с помощью ультразвукового исследования сердца.
- Острая сердечная недостаточность из-за обширного ИМ. Это приводит к отказу насосной функции сердца, что может привести к кардиогенному шоку, а эхокардиограмма показывает серьезное нарушение ЛЖ. Функция миокарда после ИМ указывает на прогноз у пациента. Миокард с рубцами выглядит как тонкий сегмент, который не утолщается во время систолы и имеет ненормальное движение. ЭхоКГ позволяет оценить степень ИМ, оценить систолическую и диастолическую функцию ЛЖ и посмотреть на остаточные осложнения .В следующих двух осложнениях (острая митральная недостаточность (МН) и дефект межжелудочковой перегородки) систолическая функция ЛЖ очень активна, в отличие от ситуации, описанной выше.
- Острая МН. Это может быть связано с дисфункцией или разрывом сосочковых мышц или разрывом хорды, что может быть определено с помощью 2-D эхокардиографии. Там может быть надрыв сосочковой мышцы или хорды, а струю митральной недостаточности можно увидеть на непрерывном волновом или цветном доплеровском картировании потока.
- Острый дефект межжелудочковой перегородки (ДМЖП). Эта патология часто происходит около верхушки сердца и чаще встречается при нижнем инфаркте левого и инфаркте правого желудочков. Нарушение непрерывности МЖП можно увидеть на 2-D эхокардиограмме в апикальной 4-камерной, парастернальной длинной оси и короткой оси. Цветное допплеровское картирование может точно показать дефект. Импульсно-волновой допплер, перемещенный вдоль правой стороны МЖП (парастернальная длинная ось или иногда четырехкамерная проекция), может показать турбулентную струю сброса.
- Пристеночный тромб часто определяется на двумерной ЭхоКГ. Обычно он располагается возле зоны инфаркта или аневризмы.
- Аневризма ЛЖ. Чаще всего наблюдается на верхушке или около нее. Чаще встречается при переднем ИМ, чем при нижнем, что лучше всего видно на 2-D эхокардиографии. Аневризмы могут различаться по размеру от маленького до очень большого, иногда бывают больше, чем сам ЛЖ.
- Псевдоаневризма (ложная аневризма). Это осложнение встречается редко. Она следует за разрывом свободной стенки ЛЖ и приводит к гемоперикарду (кровь в перикардиальном пространстве), тампонаде и обычно приводит к быстрому летальному исходу. Иногда гемоперикард закупоривает и закрывает отверстие в ЛЖ, и образуется псевдоаневризма. Двухмерное ЭхоКГ - хороший способ диагностировать это состояние, которое важно обнаружить, так как до разрыва требуется срочная хирургическая резекция. Эту патологию бывает трудно отличить от истинной аневризмы, но сообщающаяся шейка обычно уже, чем диаметр аневризмы, стенки тоньше и ее размер изменяется в сердечном цикле (увеличивается в систоле), и она чаще заполнена тромбом.
- Выпот в перикард, осложняющий ИМ, может быть обнаружен с помощью M-режима или 2-D эхокардиографии.

«Гибернация» и «оглушение» миокарда по данным эхокардиографии
Сердце критически зависит от кровоснабжения. Окклюзия коронарной артерии приводит к прекращению сокращения миокарда в течение 1 мин. Гибель клеток миокарда обычно наступает через 15 минут после ишемии.
Нарушение сократительной функции может сохраняться даже после восстановления кровоснабжения без ИМ. Этот эффект получил название оглушения миокарда (оглушение сердца). Это может вызвать обратимую систолическую или диастолическую дисфункцию. Хотя оглушенный миокард жизнеспособен, нормальная функция не может быть восстановлена в течение 2 недель. Рецидивирующие эпизоды ишемии могут привести к потере нормальной функции сердца, и термин «гибернация миокарда» (гибернация) применяется к аналогичному состоянию, но уже к хронической фазе.
Эхокардиографическая оценка анатомии коронарной артерии
В настоящее время эхокардиография еще не может дать очень точную оценку большинства частей коронарной анатомии. Истоки левой и правой коронарных артерий можно увидеть в некоторых исследованиях трансторакальной ЭхоКГ с использованием модифицированного парастернального обзора по короткой оси на уровне аортального клапана.
Аномалии более вероятно будут замечены во время чреспищеводной эхокардиографии, например аномальное отхождение коронарных артерий (например, отхождение от легочной артерии) или свищ коронарной артерии. Аневризма (например, синдром Кавасаки, приобретенное заболевание у детей с коронарными аневризмами, которые могут достигать нескольких сантиметров в диаметре).
Ремоделирование левого желудочка
Термин «ремоделирование сердца» был предложен N. Sharp в конце 70-х годов прошлого века для обозначения структурных и геометрических изменений после острого инфаркта миокарда (ОИМ). Затем он получил более широкое толкование.
Ишемическое ремоделирование - динамический, обратимый процесс изменения толщи миокарда,
размера и формы камер сердца, дисфункции левого желудочка (ЛЖ).
Гипертрофия левого желудочка - начальный этап ремоделирования при артериальной гипертензии (АГ),
зависит не столько от уровня АД - гемодинамическая перегрузка, сколько от активности РААС.
Риск развития хронической сердечной недостаточности (ХСН) увеличивается в 15 раз. ГЛЖ развивается по концентрическому типу (добавление саркомеров внутри кардиомиоцита). А11 стимулирует рост мышечных волокон, альдостерон изменяет внутриклеточный матрикс с формированием диастолической дисфункции - ДД.
ДД - ранний этап ремоделирования ЛЖ, маркер фиброза миокарда.
Расслабление - наиболее энергозависимый процесс, при ГЛЖ страдает в первую очередь. Наибольшую гемодинамическую перегрузку при ДД испытывает ЛП. Дилатация ЛП вызывает митральную регургитацию.
Важный этап - переход концентрической ГЛЖ в эксцентрическую. К систолической перегрузке давлением добавляется диастолическая перегрузка объемом. Дилатация ЛЖ сопровождается систолической дисфункцией. А это увеличивает летальность на 50%. ХСН движется к финишной стадии.
ИАПФ вызывают регресс концентрической гипертрофии, уменьшая толщину стенок ЛЖ; нормализуют диастолу Уменьшается объем мышечных волокон и миокардиальный фиброз.
На стадии эксцентрической гипертрофии ИАПФ препятствует истончению миокарда, уменьшают миокардинальный стресс. ИАПФ увеличивают ФВ, уменьшают объем ЛЖ, улучшают локальную сократимость - уменьшают индекс асинергии. Острый ИМ В первые 72 часа ОИМ наступает раннее ремоделирование - растяжение и истончение миокарда, дилатация и сферификация ЛЖ. При обширном трансмуральном ИМ происходит серьезная
архитектурная перестройка, определяющая прогноз заболевания. После повреждения и гибели части кардиомиоцитов и в нормальной, и поврежденной зоне идет процесс склерозирования. Миоциты гипертрофируются, меняется их взаимное расположение; нарушается соотношение: «основание/верхушка». Активизируются процессы поддержания сердечного выброса и нормализации напряжения стенки ЛЖ. Изменяется радиус кривизны стенок ЛЖ, от которого зависит разная жесткость стенок ЛЖ и распределение внутрижелудочкового объема. Механизм поддержания сердечного выброса и нормализации напряжения стенки ЛЖ реализуется через РААС и гипертрофию не поврежденных сегментов миокарда.
В 1978 г. G. Hutchius и B. Bulkley описали процесс острого увеличения и истоньчения зоны инфаркта без дополнительного некроза миокарда. В первые часы после гибели миоцитов отек и воспаление локализуют зону инфаркта. Дальше наблюдается пролиферация фибробластов и замещение этого участка коллагеном. Зона инфаркта может истончаться и расширяться. Длина сариомеров не изменяется. Таким образом, увеличение объема ЛЖ происходит вследствие перегруппировки миофибрилл без их растяжения. Стенка истончается из-за скольжения мышечн.ых волокон друг относительно друга в результате ослабления связей между миоцитами в инфарктной зоне. При ЭХО КГ определяется увеличение зоны акинезии без ферментативного сдвига.
Экспансия вероятнее всего при трансмуральном ИМ и заканчивается ХСН, аневризмой и разрывом миокарда. Передне-верхушечная область более уязвимая, так как она наиболее изогнута. Возможна дилатация непораженной зоны с тотальным расширением ЛЖ.
Постинфарктное ремоделирование ЛЖ (ПРЛЖ)
Резкое растяжение жизнеспособного миокарда по закону Франка - Старлинга, увеличение
хроно-ино-тропных эффектов при стимуляции адренорецепторов поддерживает насосную
функцию в условиях уменьшения сокращающейся части миокарда. При поражении более
20% массы ЛЖ компенсация будет неадекватной.
Увеличение полости ЛЖ помогает восстановить УО на фоне снижения ФВ.
Дилатация увеличивает миокардиальный стресс, порочный круг замыкается. В качестве компенсации наступает гипертрофия миоцитов: до 78% от исходного объема.
Гипертрофия может быть концентрическая без увеличения полости и эксцентрическая с дилатацией Гипертрофия может восстановить напряжение стенки ЛЖ При обширном ИМ дилатация не пропорциональна приросту массы миокарда
Роль цитокинов. Цитокины - маркеры ХСН
Развитие ХСН сопровождается увеличением провоспалительных цитокинов - интерлейкина-- - 1,6; в плазме крови и в миокарде. Без увеличения антивоспалительных цитокинов, что приводит к усилению воспаления. Экспрессия цитокинов и их рецепторов на мембранах кардиомиоцитов подтверждает центральную роль цитокинов в патогенезе ХСН.
Уровень фактора некроза опухоли (ФНО) прямо зависит от ФК ХСН. Иммуномодуляторы повышают уровень противовоспалительных мЕДИаторов. ВНУТРИвенное введение пентоксифиллина , иммуноглобулина увеличивает ФВ и снижает ФНО - альфа
Натрий - уретический .пептид - (НП)
В норме вырабатывается кардиомиоцитами предсердий и регулирует водно-солевое равновесие и снижает АД. При уменьшении сердечного выброса у больных асимптоматической дисфункцией ЛЖ и ФК I ХСН растет синтез НП в желудочках сердца. Это блокирует активность циркулирующего звена РААС и компенсирует состояние больных. Прогрессирование ХСН активизирует РААС. Снижается натрий-уретический ответ на рост активности НП. Это приводит к задержке натрия и воды, системной и почечной вазоконстрикции.
Постинфарктная аневризма ЛЖ
Хирургическим методом лечения является реваскуляризация миокарда и пластика
ЛЖ. Прогностически неблагоприятны ранние аневризмы при переднем ИМ.
- более 2-х ИМ в анамнезе;
- приступы сердечной астмы -- III, IY ФК по NYHA;
- КДД >24 мм. рт. ст.;
- стеноз ствола ЛКА;
- поражение трех основных бассейнов коронарных артерий.
Прогноз ремоделирования ЛЖ
Рентгенологически видимое увеличение ЛЖ неблагоприятно и увеличивает летальность в 3 раза, прогнозирует развитие ХСН. Подъем с. SТ со снижением или отсутствием з. R на ЭКГ помогает не только диагностировать ИМ, определить его размеры, но и предполагать ремоделирование ЛЖ. Компенсаторные процессы зависят от состояния коронарного кровотока уцелевшего миокарда, при неадекватном кровоснабжении дилатация больше, выше летальность. Стеноз артерий ограничивает компенсаторную гипертрофию миокарда и повышенную нагрузку. Дилатация полостей прямо коррелирует с риском фатальных аритмий.
Первичная профилактика не вызывает сомнений: это наиболее раннее и адекватное восстановление перфузии у больных ОКС. Профилактика ХСН начинается в первые часы ОИМ. Надо ограничить зону некроза: тромболитики, нитраты. БАБ, антиагреганты.
1 Доказан эффект ИАПФ: предпочтительны пролонгированные препараты и действующие на тканевой АПФ. Летальность от ХСН достоверно снижается, ФВ - увеличивается.
ИАПФ более эффективны при переднем ИМ. Терапия ИАПФ назначается в первые сутки
2 БАБ оказывают не только антиаритмическое действие, но и тормозят ремоделирование ЛЖ. K. Shiono не отметил эффект от атенолола. Метопролол вызывает редукцию объема и регрессию массы ЛЖ; улучшает геометрию ЛЖ.
3 Эффективны антагонисты кальция: амподипин, дилтиазем и изоптин, но лечение
должно быть длительным.
4 Нитраты ограничивают раннее постинфарктное ремоделирование ЛЖ.
5 Дигоксин в результате инотропной стимуляции при переднем ИМ может увеличивать инфарктное выпячивание ЛЖ без снижения содержания коллагена.
6 L- карнитин в остром и отдаленном периоде ИМ уменьшал дилатацию ЛЖ (S. Iliceto).
Ремоделирование митрального клапана у больных острым инфарктом миокарда с ишемической митральной регургитациеи
Изучены показатели ишемической деформации структур митрального клапана и количественные показатели митральной регургитации у 130 пациентов с острым инфарктом миокарда (ОИМ) в острой и подострой стадиях заболевания. Показатели митральной регургитации определяли с помощью двух количественных методов допплер эхокардиографии (PISA метод и Q DE метод). В результате исследований получены данные, свидетельствующие о том, что у больных ОИМ с ишемической митральной регургитацией в процессе ремоделирования митрального клапана происходит деформация структур клапана, вызывающая появление митральной регургитации. Выявлена корреляция между степенью тяжести ишемической митральной регургитации и нарушениями структур митрального клапана у больных ОИМ в острой и подострой стадиях заболевания.
В процессе ремоделирования левого желудочка (ЛЖ) у больных острым инфарктом миокарда (ОИМ) происходят сложные изменения не только сократительного миокарда ЛЖ, но и перестройка структур митрального клапана (МК) с развитием у некоторых пациентов ишемической митральной регургитации (ИМР).
Ремоделирование МК (изменения структуры клапана) у больных ОИМ означает процесс комплексно-
го нарушения функции клапана без морфологических изменений его створок и подклапанного аппарата в ответ на утрату части жизнеспособного миокарда ЛЖ. Взаимодействие нескольких патогенетических факторов, направленных на изменение показателей структур клапана в процессе ремоделирования, определяет характер и выраженность ишемической деформации митрального клапана (ИДМК).
Изучение последовательности изменений структур МК у больных ОИМ имеет большое значение для понимания механизмов развития ИМР и ее роли в развитии сердечной недостаточности у больных ИБС.
Цель исследования: изучить процесс ремоделирования (перестройки) структур МК у больных трансмуральным и крупноочаговым ОИМ с ИМР в острой и подострой стадии ИМ.
Материал и методы
Обследованы 160 пациентов с крупноочаговым и трансмуральным ОИМ, поступивших в отделение
кардиореанимации ГКБ № 7 Москвы (табл. 1).
Таблица 1. Клиническая характеристика обследованных больных (n=160).
У 130 обследованных пациентов был ОИМ с ИМР и у 30 пациентов, составивших группу сравнения, ОИМ без ИМР. Диагноз ОИМ основывался на критериях, рекомендованных ВОЗ (1970). Возраст пациентов составлял от 37 до 81 года (средний 60,9±10,2 года).
Пациентов включали в исследование по следующим критериям: наличие крупноочагового или трансму-
рального ОИМ, удовлетворительного окна визуализации при эхокардиографии (ЭхоКГ), структурно нормального МК, недилатированного левого предсердия (ЛП) и отсутствия нарушений ритма сердца во время исследования. Критериями исключения были: наличие других (кроме ОИМ) заболеваний сердца (органическое поражение створок клапанов, врожденные пороки сердца, заболевания перикарда, инфильтративные заболевания, пролапс МК, аортальная регургитация).
Всем пациентам проводили стандартные общеклинические, лабораторные (общий анализ крови, креатинфосфокиназа — КФК, ее фракция МВ, тропонин I), рентгенологические и электрокардиографические исследования.
На 2-е и 20-е сутки заболевания с помощью ЭхоКГ определяли количественные показатели ИМР [площадь регургитационного отверстия (SRO мм2), регургитационный объем (RV, мл), фракция регургитации (RF, %)] с использованием комбинации цветового допплеровского картирования проксимального сходящегося потока регургитации (PISA-метод, proximal isovelocity surface area method) и количественной допплер-ЭхоКГ (Q-DE-метод) [1—3].
У всех больных для оценки показателей деформации МК измеряли величину систолического верхушечного прогиба створок МК — расстояние между точкой смыкания створок и плоскостью митрального кольца (h, см) (рис. 1).
Фракция выброса (ФВ) сердца: норма, низкая, повышена
Что такое фракция выброса и зачем ее нужно оценивать?
Фракция выброса сердца (ФВ) - это показатель, отражающий объем крови, выталкиваемой левым желудочком (ЛЖ) в момент его сокращения (систолы) в просвет аорты. Рассчитывается ФВ исходя из соотношения объема крови, выбрасываемой в аорту, к объему крови, находящейся в левом желудочке в момент его расслабления (диастолы). То есть когда желудочек расслаблен, он вмещает в себя кровь из левого предсердия (конечный диастолический объем - КДО), а затем, сокращаясь, он выталкивает часть крови в просвет аорты. Вот эта часть крови и является фракцией выброса, выраженной в процентах.
Фракция выброса крови является величиной, которую технически просто рассчитать, и которая обладает достаточно высокой информативностью относительно сократительной способности миокарда. От этой величины во многом зависит необходимость назначения сердечных препаратов, а также определяется прогноз для пациентов с сердечно-сосудистой недостаточностью.
Чем ближе к нормальным значениям фракция выброса ЛЖ у пациента, тем лучше сокращается его сердце и благоприятнее прогноз для жизни и здоровья. Если фракция выброса намного ниже нормы, значит, сердце не может нормально сокращаться и обеспечивать кровью весь организм, и в таком случае сердечную мышцу следует поддерживать с помощью лекарственных средств.
Как рассчитывают фракцию выброса?

Данный показатель может быть рассчитан по формуле Тейхольца или Симпсона. Расчет осуществляется с помощью программы, автоматически вычисляющей результат в зависимости от конечных систолического и диастолического объема левого желудочка, а также его размеров.
Более удачным считается расчет по методу Симпсона, так как по Тейхольцу в срез исследования при двухмерной Эхо-КГ могут не попасть небольшие участки миокарда с нарушенной локальной сократимостью, в то время как при методе Симпсона в срез окружности попадают более значительные участки миокарда.
Несмотря на то, что на устаревшей аппаратуре применяется метод Тейхольца, современные кабинеты УЗ-диагностики предпочитают оценивать фракцию выброса методом Симпсона. Полученные результаты, кстати, могут отличаться - в зависимости от метода на величины в пределах 10%.
Нормальные показатели ФВ
Нормальное значение фракции выброса отличается у разных людей, а также зависит от аппаратуры, на которой проводится исследование, и от метода, по которому рассчитывают фракцию.

Усредненные значения составляют приблизительно 50-60%, нижняя граница нормы по формуле Симпсона составляет не менее 45%, по формуле Тейхольца - не менее 55%. Этот процент означает, что именно такое количество крови за одно сердечное сокращение необходимо протолкнуть сердцу в просвет аорты, чтобы обеспечить адекватную доставку кислорода к внутренним органам.
О запущенной сердечной недостаточности говорят 35-40%, еще более низкие значения чреваты скоротечными последствиями.
У детей в периоде новорожденности ФВ составляет не менее 60%, в основном 60-80%, постепенно достигая обычных показателей нормы по мере роста.
Из отклонений от нормы чаще, чем повышенная фракция выброса, встречается снижение ее значения, обусловленное различными заболеваниями.
Если показатель снижен, значит, сердечная мышца не может достаточно сокращаться, вследствие чего объем изгоняемой крови уменьшается, а внутренние органы, и, в первую очередь, головной мозг, получают меньше кислорода.
Иногда в заключении эхокардиоскопии можно увидеть, что значение ФВ выше усредненных показателей (60% и более). Как правило, в таких случаях показатель составляет не более 80%, так как больший объем крови левый желудочек в силу физиологических особенностей изгнать в аорту не сможет.
Как правило, высокая ФВ наблюдается у здоровых лиц при отсутствии иной кардиологической патологии, а также у спортсменов с тренированной сердечной мышцей, когда сердце при каждом ударе сокращается с большей силой, чем у обычного человека, и изгоняет в аорту больший процент содержащейся в нем крови.
Кроме этого, в случае, если у пациента имеется гипертрофия миокарда ЛЖ как проявление гипертрофической кардиомиопатии или артериальной гипертонии, повышенная ФВ может свидетельствовать о том, что сердечная мышца пока еще может компенсировать начинающуюся сердечную недостаточность и стремится изгнать в аорту как можно больше крови. По мере прогрессирования сердечной недостаточности ФВ постепенно снижается, поэтому для пациентов с клинически проявляющейся ХСН очень важно выполнять эхокардиоскопию в динамике, чтобы не пропустить снижение ФВ.
Причины сниженной фракции выброса сердца
Основной причиной нарушения систолической (сократительной) функции миокарда является развитие хронической сердечной недостаточности (ХСН). В свою, очередь, ХСН возникает и прогрессирует из-за таких заболеваний, как:
- Ишемическая болезнь сердца - снижение притока крови по коронарным артериям, питающим кислородом саму сердечную мышцу,
- Перенесенные инфаркты миокарда, особенно крупноочаговые и трансмуральные (обширные), а также повторные, вследствие чего нормальные мышечные клетки сердца после инфаркта замещаются рубцовой тканью, не обладающей способностью сокращаться - формируется постинфарктный кардиосклероз (в описании ЭКГ можно увидеть как аббревиатуру ПИКС),
Снижение ФВ вследствие инфаркта миокарда (b). Пораженные участки сердечной мышцы не могут сокращаться
Наиболее частой причиной снижения сердечного выброса являются острые или перенесенные инфаркты миокарда, сопровождающиеся снижением глобальной или локальной сократимости миокарда левого желудочка.
Симптомы сниженной фракции выброса
Все симптомы, по которым можно заподозрить снижение сократительной функции сердца, обусловлены ХСН. Поэтому и симптоматика этого заболевания выходит на первое место.
Однако, согласно наблюдениям практикующих врачей УЗ-диагностики, часто наблюдается следующее - у пациентов с выраженными признаками ХСН показатель фракции выброса остается в пределах нормы, в то время как у лиц с отсутствующими явными симптомами показатель фракции выброса значительно снижен. Поэтому несмотря на отсутствие симптомов, пациентам с наличием сердечной патологии обязательно хотя бы раз в год выполнять эхокардиоскопию.

Итак, к симптомам, позволяющим заподозрить нарушение сократимости миокарда, относятся:
- Приступы одышки в покое или при физических нагрузках, а также в положении лежа, особенно в ночное время,
- Нагрузка, провоцирующая возникновение одышечных приступов, может быть различной - от значительной, например, ходьбы пешком на длительные расстояния (более 500-1000м), до минимальной бытовой активности, когда пациенту тяжело выполнять простейшие манипуляции - приготовление пищи, завязывание шнурков, ходьба до соседней комнаты и т. д,
- Слабость, утомляемость, головокружение, иногда потери сознания - все это указывает на то, что скелетная мускулатура и головной мозг получают мало крови,
- Отечность на лице, голенях и стопах, а в тяжелых случаях - во внутренних полостях организма и по всему телу (анасарка) вследствие нарушенной циркуляции крови по сосудам подкожно-жировой клетчатки, в которой и возникает задержка жидкости,
- Боли в правой половине живота, увеличение объема живота из-за задержки жидкости в брюшной полости (асцит) - возникают вследствие венозного застоя в печеночных сосудах, а длительно существующий застой может привести к кардиальному (сердечному) циррозу печени.
При отсутствии грамотного лечения систолической дисфункции миокарда такие симптомы прогрессируют, нарастают и все тяжелее переносятся пациентом, поэтому при возникновении даже одного из них следует получить консультацию врача-терапевта или кардиолога.
В каких случаях требуется лечение сниженной фракции выброса?
Разумеется, ни один врач не предложит вам полечить низкий показатель, полученный по УЗИ сердца. Сначала врач должен выявить причину сниженной ФВ, а затем уже назначать лечение причинного заболевания. В зависимости от него и лечение может различаться, например, прием препаратов нитроглицерина при ишемической болезни, хирургическая коррекция пороков сердца, гипотензивные препараты при гипертонии и т. д. Пациенту важно уяснить, что если наблюдается снижение фракции выброса, значит, действительно развивается сердечная недостаточность и необходимо длительно и скурпулезно выполнять рекомендации врача.

Как увеличить сниженную фракцию выброса?
Кроме препаратов, влияющих на причинное заболевание, пациенту назначаются лекарства, способные улучшить сократительную способность миокарда. К ним относятся сердечные гликозиды (дигоксин, строфантин, коргликон). Однако назначаются они строго лечащим врачом и самостоятельное бесконтрольное их применение недопустимо, так как может возникнуть отравление - гликозидная интоксикация.
Для предотвращения перегрузки сердца объемом, то есть лишней жидкостью, показано соблюдение диеты с ограничением поваренной соли до 1.5 гр в сутки и с ограничением выпиваемой жидкости до 1.5 л в сутки. Также успешно используются мочегонные препараты (диуретики) - диакарб, диувер, верошпирон, индапамид, торасемид и др.
Для защиты сердца и сосудов изнутри применяются препараты с так называемыми органопротективными свойствами - ингибиторы АПФ. К ним относятся эналаприл (Энап, Энам), периндоприл (престариум, престанс), лизиноприл, каптоприл (Капотен). Также из препаратов с подобными свойствами широко распространены ингибиторы АРА II - лозартан (Лориста, Лозап), валсартан (Валз) и др.
Схема лечения всегда подбирается индивидуально, но пациент должен быть готов к тому, что фракция выброса нормализуется не сразу, а симптомы могут беспокоить еще какое-то время после начала терапии.
В ряде случаев единственным методом вылечить заболевание, послужившее причиной для развития ХСН, является хирургический. Могут понадобиться операции по протезированию клапанов, по установке стентов или шунтов на коронарных сосудах, по установке электрокардиостимулятора и т. д.
Однако, в случае тяжелой сердечной недостаточности (III-IV функциональный класс) с крайне низкой фракцией выброса, операция может быть противопоказана. Например, противопоказанием к протезированию митрального клапана является снижение ФВ менее 20%, а к имплантации кардиостимулятора - менее 35%. Тем не менее, противопоказания к операциям выявляются на очном осмотре у кардиохирурга.
Профилактика
Профилактическая направленность на предупреждение сердечно-сосудистых заболеваний, приводящих к низкой фракции выброса, остается особенно актуальной в современной экологически неблагоприятной обстановке, в эпоху малоподвижного образа жизни за компьютерами и питания малополезными продуктами.
Даже исходя из этого, можно сказать о том, что частый отдых за городом на свежем воздухе, здоровое питание, адекватные физические нагрузки (ходьба, легкий бег, зарядка, гимнастика), отказ от вредных привычек - все это является залогом длительного и правильного функционирования сердечно-сосудистой системы с нормальной сократительной способностью и тренированностью сердечной мышцы.
Видео: лекция “Сердечная недостаточность с сохраненной фракцией выброса - клиническая дилемма”
Регургитация клапанов: митральная, трикуспидальная, аортальная
Термин «регургитация» довольно часто встречается в обиходе врачей различных специальностей - кардиологов, терапевтов, функциональных диагностов. Многие пациенты слышали его не один раз, однако плохо представляют себе, что же это означает и чем грозит. Стоит ли бояться наличия регургитации и как ее лечить, каких последствий ожидать и как выявить? Эти и многие другие вопросы попробуем выяснить.
Регургитация - это не что иное, как обратный ток крови из одной камеры сердца в другую. Другими словами, во время сокращения сердечной мышцы определенный объем крови по различным причинам возвращается в ту полость сердца, из которой пришел. Регургитация не является самостоятельным заболеванием и потому не считается диагнозом, но она характеризует другие патологические состояния и изменения (пороки сердца, например).
Поскольку кровь непрерывно движется из одного отдела сердца в другой, поступая из сосудов легких и уходя в большой круг кровообращения, то термин «регургитация» применим в отношении всех четырех клапанов, на которых возможно возникновение обратного тока. В зависимости от объема крови, которая возвращается обратно, принято выделять степени регургитации, определяющие и клинические проявления этого феномена.
Подробное описание регургитации, выделение ее степеней и обнаружение у большого числа людей стало возможным с применением ультразвукового исследования сердца (эхокардиография), хотя само понятие известно довольно давно. Выслушивание сердца дает субъективную информацию, а потому судить о степени выраженности возврата крови не позволяет, при этом наличие регургитации не вызывает сомнений разве что в тяжелых случаях. Использование ультразвука с допплером дает возможность увидеть в режиме реального времени сокращения сердца, как движутся створки клапанов и куда при этом устремляется струя крови.
Кратко об анатомии…
Для того чтобы лучше понять сущность регургитации, необходимо вспомнить некоторые моменты строения сердца, которые большинство из нас благополучно забыли, изучив когда-то в школе на уроках биологии.
Сердце представляет собой полый мышечный орган, имеющий четыре камеры (два предсердия и два желудочка). Между камерами сердца и сосудистым руслом располагаются клапаны, осуществляющие функцию «ворот», пропускающих кровь только в одном направлении. Этот механизм обеспечивает адекватный кровоток из одного круга в другой за счет ритмичного сокращения сердечной мышцы, проталкивающей кровь внутри сердца и в сосуды.

Митральный клапан располагается между левыми предсердием и желудочком и состоит из двух створок. Поскольку левая половина сердца наиболее функционально отягощена, работает с большой нагрузкой и под высоким давлением, то часто именно здесь происходят различные сбои и патологические изменения, а митральный клапан часто вовлекается в этот процесс.
Трикуспидальный, или трехстворчатый, клапан лежит на пути из правого предсердия в правый желудочек. Уже понятно из его названия, что анатомически он представляет собой три смыкающиеся створки. Чаще всего поражение его носит вторичный характер при уже имеющейся патологии левых отделов сердца.
Клапаны легочной артерии и аорты несут в себе по три створки и находятся в местах соединения указанных сосудов с полостями сердца. Аортальный клапан расположен на пути тока крови из левого желудочка в аорту, легочной артерии - из правого желудочка в легочный ствол.
При нормальном состоянии клапанного аппарата и миокарда в момент сокращения той или иной полости створки клапанов плотно смыкаются, не допуская обратного течения крови. При разнообразных поражениях сердца этот механизм может нарушаться.
Иногда в литературе и в заключениях врачей можно встретить упоминание о так называемой физиологической регургирации, под которой подразумевается незначительное изменение кровотока у створок клапанов. По сути дела, при этом происходит «завихрение» крови у клапанного отверстия, а створки и миокард при этом вполне здоровы. Это изменение не оказывает влияния на кровообращение в целом и не вызывает клинических проявлений.
Физиологической можно считать регургитацию 0-1 степени на трикуспидальном клапане, у створок митрального, которая нередко диагностируется у худощавых высоких людей, а по некоторым данным имеется у 70% здоровых людей. Такая особенность кровотока в сердце никоим образом не сказывается на самочувствии и может быть выявлена случайно при обследовании по поводу других заболеваний.
Как правило, патологический обратный ток крови сквозь клапаны возникает тогда, когда их створки не смыкаются плотно в момент сокращения миокарда. Причинами могут быть не только повреждения самих створок, но и папиллярных мышц, сухожильных хорд, участвующих в механизме движения клапана, растяжение клапанного кольца, патология самого миокарда.
Митральная регургитация
Митральная регургитация отчетливо наблюдается при недостаточности клапана или пролапсе. В момент сокращения мышцы левого желудочка определенный объем крови возвращается в левое предсердие сквозь недостаточно закрытый митральный клапан (МК). В этот же момент левое предсердие наполняется кровью, притекающей из легких по легочным венам. Такое переполнение предсердия избытком крови приводит к перерастяжению и увеличению давления (перегрузка объемом). Избыток крови при сокращении предсердий проникает в левый желудочек, который вынужден с большей силой выталкивать большее количество крови в аорту, вследствие чего он утолщается, а затем расширяется (дилатация).
Какое-то время нарушения внутрисердечной гемодинамики могут оставаться незаметными для больного, поскольку сердце как может, компенсирует кровоток за счет расширения и гипертрофии своих полостей.
При митральной регургитации 1 степени клинические признаки ее отсутствуют долгие годы, а при значительном объеме возврата крови в предсердие, оно расширяется, легочные вены переполняются излишком крови и проявляются признаки легочной гипертензии.
Среди причин митральной недостаточности, являющейся по частоте вторым приобретенным пороком сердца после изменений клапана аорты, можно выделить:
- Ревматизм;
- Пролапс;
- Атеросклероз, отложение солей кальция на створках МК;
- Некоторые болезни соединительной ткани, аутоиммунные процессы, обменные нарушения (синдром Марфана, ревматоидный артрит, амилоидоз);
- Ишемическая болезнь сердца (особенно инфаркт с поражением сосочковых мышц и сухожильных хорд).
При митральной регургитации 1 степени единственным признаком может быть наличие шума в области верхушки сердца, выявляемого аускультативно, при этом жалоб пациент не предъявляет, а проявления нарушений кровообращения отсутствуют. Эхокардиография (УЗИ) позволяет обнаружить незначительное расхождение створок с минимальными нарушениями кровотока.

Регургитация митрального клапана 2 степени сопровождает более выраженную степень недостаточности, а струя крови, возвращающейся обратно в предсердие, доходит до его середины. Если величина возврата крови превышает четверть от общего ее количества, находящегося в полости левого желудочка, то обнаруживаются признаки застоя по малому кругу и характерные симптомы.
О з степени регургитации говорят, когда а случае значительных дефектов митрального клапана кровь, перетекающая обратно, доходит до задней стенки левого предсердия.
Когда миокард не справляется с избыточным объемом содержимого в полостях, развивается легочная гипертензия, ведущая, в свою очередь, к перегрузке правой половины сердца, следствием чего становится недостаточность кровообращения и по большому кругу.
При 4 степени регургитации характерными симптомами выраженных нарушений кровотока внутри сердца и повышения давления в малом круге кровообращения являются одышка, аритмии, возможно возникновение сердечной астмы и даже отека легкого. В запущенных случаях сердечной недостаточности к признакам поражения легочного кровотока присоединяются отечность, синюшность кожных покровов, слабость, утомляемость, склонность к аритмиям (мерцание предсердий), боли в сердце. Во многом проявления митральной регургитации выраженной степени определяются заболеванием, приведшим к поражению клапана или миокарда.

Отдельно стоит сказать о пролапсе митрального клапана (ПМК), довольно часто сопровождающемся регургитацией разной степени. Пролапс в последние годы стал фигурировать в диагнозах, хотя раньше такое понятие встречалось довольно редко. Во многом такое положение дел связано с появлением методов визуализации - ультразвукового исследования сердца, которое позволяет проследить движение створок МК при сердечных сокращениях. С применением допплера стало возможным устанавливать точную степень возврата крови в левое предсердие.
ПМК характерен для лиц высоких, худощавых, часто обнаруживается у подростков случайно при обследовании перед призывом в армию или прохождении других медкомиссий. Чаще всего такое явление не сопровождается какими-либо нарушениями и никак не отражается на образе жизни и самочувствии, поэтому пугаться сразу не стоит.
Далеко не всегда выявляется пролапс митрального клапана с регургитацией, степень ее в большинстве случаев ограничивается первой или даже нулевой, но, вместе с тем, такая особенность функционирования сердца может сопровождаться экстрасистолией и нарушениями проводимости нервных импульсов по миокарду.
В случае обнаружения ПМК малых степеней можно ограничиться наблюдением кардиолога, а лечение не требуется вовсе.
Аортальная регургитация
Обратный ток крови на аортальном клапане возникает при его недостаточности либо поражении начального отдела аорты, когда при наличии воспалительного процесса расширяется ее просвет и диаметр клапанного кольца. Наиболее частыми причинами таких изменений считаются:
- Ревматическое поражение;
- Инфекционный эндокардит с воспалением створок, перфорацией;
- Врожденные пороки развития;
- Воспалительные процессы восходящего отдела аорты (сифилис, аортит при ревматоидном артрите, болезни Бехтерева и т. д.).
Такие распространенные и всем известные заболевания как артериальная гипертензия и атеросклероз также могут приводить к изменениям клапанных створок, аорты, левого желудочка сердца.

Аортальная регургитация сопровождается возвратом крови в левый желудочек, который переполняется излишним объемом, в то время как количество крови, поступающей в аорту и далее в большой круг кровообращения, может уменьшаться. Сердце, пытаясь компенсировать недостаток кровотока и выталкивая излишки крови в аорту, увеличивается в объеме. Долгое время, особенно при регургитации 1 ст., такой приспособительный механизм позволяет поддерживать нормальную гемодинамику, а симптомов нарушений не возникает на протяжении многих лет.
По мере увеличения массы левого желудочка, увеличивается и его потребность в кислороде и питательных веществах, которыми не в состоянии обеспечить коронарные артерии. Кроме того, количество артериальной крови, выталкиваемой в аорту, становится все меньше, а, значит, и в сосуды сердца ее будет приходить недостаточно. Все это создает предпосылки для гипоксии и ишемии, выливающихся в кардиосклероз (разрастание соединительной ткани).
При прогрессировании аортальной регургитации, нагрузка на левую половину сердца достигает максимальной степени, стенка миокарда не может гипертрофироваться до бесконечности и происходит ее растяжение. В дальнейшем события развиваются аналогичным образом, как и при поражении митрального клапана (легочная гипертензия, застой в малом и большом кругах, сердечная недостаточность).
Больные могут предъявлять жалобы на сердцебиение, одышку, слабость, бледность. Характерной чертой этого порока является появление приступов стенокардии, связанной с неадекватностью коронарного кровообращения.
Трикуспидальная регургитация
Поражение трехстворчатого клапана (ТК) в изолированном виде встречается довольно редко. Как правило, недостаточность его с регургитацией является следствием выраженных изменений левой половины сердца (относительная недостаточность ТК), когда большое давление в малом круге кровообращения препятствует адекватному сердечному выбросу в легочную артерию, несущую кровь для обогащения кислородом в легкие.

Трикуспидальная регургитация приводит к нарушению полного опорожнения правой половины сердца, адекватного венозного возврата по полым венам и, соответственно, появляется застой в венозной части большого круга кровообращения.
Для недостаточности трехстворчатого клапана с регургитацией довольно характерно возникновение мерцательной аритмии, синюшности кожных покровов, отечного синдрома, набухания шейных вен, увеличения печени и других признаков хронической недостаточности кровообращения.
Регургитация клапана легочной артерии
Поражение створок легочного клапана может носить врожденный характер, проявляясь еще в детском возрасте, либо приобретенный вследствие атеросклероза, сифилитического поражения, изменений створок при септическом эндокардите. Нередко поражение клапана легочной артерии с недостаточностью и регургитацией встречается при уже имеющейся легочной гипертензии, заболеваниях легких, поражениях других клапанов сердца (митральный стеноз).

Минимальная регургитация на клапане легочной артерии не приводит к существенным гемодинамическим расстройствам, в то время как значительный возврат крови в правый желудочек, а затем и в предсердие, вызывают гипертрофию и последующую дилатацию (расширение) полостей правой половины сердца. Такие изменения проявляются выраженной сердечной недостаточностью в большом круге и венозным застоем.
Пульмональная регургитация проявляется всевозможными аритмиями, одышкой, цианозом, выраженными отеками, скоплением жидкости в брюшной полости, изменением печени вплоть до цирроза и другими признаками. При врожденной патологии клапанов симптомы нарушения кровообращения возникают уже в раннем детском возрасте и нередко носят необратимый и тяжелый характер.
Особенности регургитации у детей
В детском возрасте весьма важно правильное развитие и функционирование сердца и кровеносной системы, но нарушения, к сожалению, нередки. Наиболее часто пороки клапанов с недостаточностью и возвратом крови у детей обусловлены врожденными аномалиями развития (тетрада Фалло, гипоплазия клапана легочной артерии, дефекты перегородок между предсердиями и желудочками и др.).

Выраженная регургитация при неправильном строении сердца проявляется практически сразу после рождения ребенка симптомами дыхательных расстройств, синюшностью, правожелудочковой недостаточностью. Часто значительные нарушения заканчиваются фатально, поэтому каждой будущей маме нужно не только заботиться о своем здоровье до предполагаемой беременности, но и своевременно посещать специалиста УЗ-диагностики во время вынашивания плода.
Возможности современной диагностики
Медицина не стоит на месте, а диагностика заболеваний становится все более достоверной и качественной. Применение ультразвука позволило сделать значительные успехи в обнаружении ряда заболеваний. Дополнение ультразвукового исследования сердца (ЭхоКГ) допплерографией дает возможность оценить характер кровотока по сосудам и полостям сердца, движение створок клапанов в момент сокращений миокарда, установить степень регургитации и т. д. Пожалуй, ЭхоКГ - это наиболее достоверный и информативный метод диагностики сердечной патологии в режиме реального времени и в то же время являющийся доступным и недорогим.

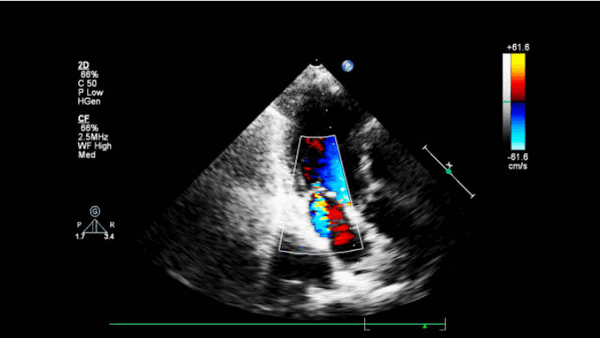
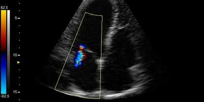
митральная регургитация на ЭхоКГ
Помимо УЗИ, косвенные признаки регургитации можно обнаружить на ЭКГ, при тщательной аускультации сердца и оценке симптоматики.
Чрезвычайно важно выявление нарушений клапанного аппарата сердца с регургитацией не только у взрослых, но и в период внутриутробного развития. Практика ультразвукового исследования беременных женщин на разных сроках позволяет обнаружить наличие пороков, не вызывающих сомнений уже при первичном обследовании, а также диагностировать регургитацию, являющуюся косвенным признаком возможных хромосомных аномалий или формирующихся дефектов клапанов. Динамическое наблюдение женщин группы риска дает возможность своевременно установить наличие серьезной патологии у плода и решить вопрос целесообразности сохранения беременности.
Лечение
Тактика лечения регургитации определяется причиной, ее вызвавшей, степенью выраженности, наличием сердечной недостаточности и сопутствующей патологии.
Возможна как хирургическая коррекция нарушений строения клапанов (различные виды пластики, протезирование), так и медикаментозная консервативная терапия, направленная на нормализацию кровотока в органах, борьбу с аритмией и недостаточностью кровообращения. Большинство больных с выраженной регургитацией и поражением обоих кругов кровообращения нуждаются в постоянном контроле со стороны кардиолога, назначении мочегонных препаратов, бета-адреноблокаторов, гипотензивных и антиаритмических средств, которые подберет специалист.

При митральном пролапсе малой степени, приклапанной регургитации другой локализации достаточно динамического наблюдения врача и своевременного обследования в случае усугубления состояния.
Прогноз клапанной регургитации зависит от многих факторов: ее степени, причины, возраста пациента, наличия заболеваний других органов и т. д. При заботливом отношении к своему здоровью и регулярном посещении врача незначительная регургитация не грозит осложнениями, а при выраженных изменениях коррекция их, в том числе хирургическая, позволяет продлить пациентам жизнь.
Читайте также:
- Хроническое отравление детей. Отравление свинцом, курение
- Бутылочный кариес: причины, симптомы и лечение
- Топография сосудов в подключичной области. Подключичная артерия. Топография подключичной артерии. Нервы подключичной области.
- Внутриматочные системы (ВМС): внутриматочная и гормональные спирали
- Скорость диффузии. Закон Фика. Принципы облегченной диффузии.
