Особенности опухолей тимуса: стадии, лучевая диагностика
Добавил пользователь Владимир З. Обновлено: 22.11.2025
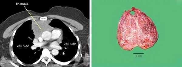
Рак вилочковой железы (рак тимуса) - группа редких (менее 5 % новообразований тимуса) агрессивных эпителиальных опухолей, которые характеризуются ранним локорегионарным и гематогенным метастазированием. Средний возраст пациентов 46 лет.
Что провоцирует / Причины Рака вилочковой железы (рака тимуса):
Патогенез (что происходит?) во время Рака вилочковой железы (рака тимуса):
В группу раков вилочковой железы входят опухоли из эпителиальных клеток, потерявшие признаки органоспецифичности. Почти все опухоли обладают быстрым ростом, инфильтрируют окружающие органы, дают имплантаты по перикарду и плевре, бурно метастазируют.
Выделяют следующие типы рака вилочковой железы:
1) плоскоклеточный рак; лимфоэпителиоподобный рак;
2) карциносаркома;
3) светлоклеточный рак;
4) мукоэпидермоидный рак;
5) папиллярная аденокарцинома вилочковой железы.
Симптомы Рака вилочковой железы (рака тимуса):
Симптомы рака вилочковой железы на ранних стадиях отсутствуют. При распространении опухоли на соседние органы могут отмечаться дыхательные расстройства, затруднение оттока крови из верхней полой вены и ее притоков (синюшность, отечность лица и верхних конечностей, повышение внутричерепного давления, головные боли), нарушение сердечного ритма. При метастатическом изменении костей возможен выраженный болевой синдром, В случае вторичного опухолевого поражения головного мозга развивается очаговая неврологическая симптоматика.
Злокачественная (атипичная) тимома 1-го типа составляет 20-25 % всех эпителиальных опухолей тимуса. Ее диаметр обычно не превышает 4-5 см, лишь изредка она может достигать больших размеров. Опухоль растет либо в виде одиночного узла, либо в виде множественных дольчатых узлов серо-розового цвета, часто без четкой капсулы, но с различными вторичными изменениями. Ее рост имеет инвазивный характер, не выходящий, однако, за пределы органа. Существует два гистологических варианта такой тимомы: кортикальная тимома и высокодифференцированная тимическая карцинома.
Кортикальная тимома (син.: тимома с кортикально-клеточной дифференцировкой, тимома типа В2) может быть построена из темных клеток, светлых клеток или их всевозможных сочетаний:
- темноклетонная разновидность (син.: мелкоклеточная, веретеноклеточная тимома) представлена хаотично расположенными пучками из мелких веретеновидных клеток с гиперхромным ядром и скудной, нередко плохо различимой ацидофильной цитоплазмой; характерно формирование перицитоподобных, железистоподобных и розеткоподобных структур со скоплениями лежащих вне клеток розовых, гомогенных масс; эту разновидность нужно дифференцировать от нейроэндокринных опухолей (апудом), мелкоклеточного рака и метастатического поражения;
- светлоклеточная разновидность построена из пластов или пучков, сформированных полигональными клетками со светлой, нередко вакуолизированной цитоплазмой и везикулярным ядром; эти клетки связаны между собой цитоплазматическими отростками, образующими сеть, в ячейках которой располагаются лимфоциты; иногда опухолевые клетки имеют очень светлую и даже оптически пустую цитоплазму, это так называемая водянисто-клеточная тимома, которую следует дифференцировать от метастатического поражения.
Высокодифференцированная тимическая карцинома (син.: атипичная тимома, тимома типа ВЗ) построена из пластов или пучков темных или светлых клеток с повышенной пролиферативной активностью и участками ядерного, реже клеточного полиморфизма, выраженного, в основном, по периферии новообразования. Инвазивный рост выражен в большей степени, чем при кортикальной тимоме, но не выходит за пределы капсулы вилочковой железы. Вопрос о возможности метастазирования таких опухолей обсуждается. Прогноз зависит от степени выраженности инвазии. Пятилетняя выживаемость больных колеблется в пределах 80-90 %.
Рак тимуса (злокачественная тимома 2-го типа) составляет до 5 % всех наблюдений тимом.
Раковый узел тимуса может достигать больших размеров и характеризуется выраженным инвазивным ростом. Как и при других опухолях, важнейшим прогностическим критерием является стадия инвазии опухоли. Выделяют шесть гистологических форм рака тимуса: плоскоклеточный (эпидермоидный), лимфоэпителиальный, веретеноклеточный, недифференцированный (анапластический), аденосквамозный (мукоэпидермоидный), светлоклеточный.
Плоскоклеточный рак тимуса - самая частая форма рака тимуса. По строению он сходен с аналогами других локализаций и иногда обладает базально-клеточной дифференцировкой (базалоидный рак). Его нужно дифференцировать от метастастатических поражений. Лимфоэпителиальный рак (син. лимфоэпителиома) - довольно частая опухоль тимуса. Она представлена комплексами плоскоклеточного (обычно неороговевающего) или низкодифференцированного рака с выраженной в разной степени лимфоцитарной инфильтрацией стромы. Лимфоциты в данном случае не являются носителями опухолевых свойств. При большом количестве лимфоидных клеток (особенно незрелых форм) и небольшом объеме эпителиального компонента опухоль следует дифференцировать от лимфомы. Веретеноклеточный рак встречается редко. Он, как правило, включает в себя и плоскоклеточный компонент. В случае отсутствия последнего опухоль необходимо дифференцировать от саркомы. Анапластический рак встречается очень редко. Он характерируется солидными структурами, построенными из весьма полиморфных клеток. Его следует дифференцировать от метастатических поражений. Мукоэпидермоидный рак состоит из двух компонентов: плоскоклеточного и железистого слизеобразующего. В этом случае необходимо исключить метастатическую природу новообразования или прорастание в тимус аденокарциномы из соседних органов (легкое, трахея).
Классификация. Из существующих классификаций для практических целей оптимально распределение всех злокачественных опухолей тимуса на 4 стадии, предложенное Masaoka:
I - опухоль в пределах тимуса, со всех сторон окружена хорошо выраженной капсулой;
II - микро- или макроскопически определяемое прорастание опухоли в капсулу тимуса, жировую клетчатку средостения или медиастинальную плевру;
III - прорастание в окружающие органы или другие анатомические образования (легкое, перикард, крупные сосуды);
IVa - диссеминация по перикарду или плевре и IVб - отдаленные метастазы.
Диагностика Рака вилочковой железы (рака тимуса):
Верификация рака вилочковой железы основана на использовании высокоинформативных методов диагностики, среди которых основное место принадлежит компьютерной и магнитно-резонансной томографии. Для уточнения гистологической структуры новообразования возможно выполнение медиастиноскопии с применением эндовидеотехники. Выявление метастазов рака тимуса в другие органы возможно с помощью сцинтиграфии с применением тропных к опухоли радиофармпрепаратов.
Лечение Рака вилочковой железы (рака тимуса):
Лечение рака вилочковой железы, как и других опухолей органа, хирургическое. В качестве дополнения к операции при распространенных формах заболевания используется химио- и лучевая терапия.
При опухолях, окруженных капсулой (I стадия), оптимальны продольная стернотомия и полное удаление тимуса. Важно сохранить целость капсулы, поэтому желательно удалять тимус с окружающей клетчаткой и фасциями, покрывающими окружающие анатомические образования (медиастинальная плевра, сосуды и др.). Этот прием сокращает вероятность оставления небольших эктопированных участков тимуса. При таком распространении опухоли ее рецидив является казуистикой, и в связи с этим дополнительное лучевое лечение признано нецелесообразным. Пятилетняя выживаемость - 90-95%.
Послеоперационная лучевая терапия показана у больных с инвазивным характером роста тимомы, особенно при поражении крупных сосудов, перикарда. Местные рецидивы отмечены в различные сроки после операции у 25-30% больных. Лучевая терапия в суммарной очаговой дозе 50 Гр в режиме обычного фракционирования дозы на «ложе» опухоли и надключичные области снижает риск местного рецидивирования в 5-6 раз.
Лучевая терапия как самостоятельный вариант лечения показана у больных с местно распространенной тимомой и поражением дуги аорты или миокарда, когда ее удаление невозможно. Пятилетняя выживаемость при этом составляет всего 45-50%.
Химиотерапия при генерализованных формах тимом основана на схемах, включающих препараты платины. Наиболее распространена следующая схема полихимиотерапии: цисплатин - по 50 мг/м2 внутривенно в 1 -й день, доксорубицин - по 40 мг/м2 внутривенно в 1-й день, винкристин - по 0,6 мг/м2 внутривенно в 3-й день и циклофосфан - по 700 мг/ м2 внутривенно на 4-й день цикла. Курсы лечения повторяют каждые 3 нед. Всего проводят 6 курсов.
При обоснованных сомнениях в возможности радикального удаления опухоли в связи с возможным прорастанием в крупные сосуды средостения или сердце целесообразно использование индукционной химиотерапии для уменьшения размеров опухоли и создания оптимальных условий для хирургического воздействия.
Прогноз при раке вилочковой железы хуже по сравнению с тимомой. Трёх- и пятилетняя выживаемость после химио- и лучевой терапии составляет 40 и 33% соответственно.
К каким докторам следует обращаться если у Вас Рак вилочковой железы (рак тимуса):
Вас что-то беспокоит? Вы хотите узнать более детальную информацию о Рака вилочковой железы (рака тимуса), ее причинах, симптомах, методах лечения и профилактики, ходе течения болезни и соблюдении диеты после нее? Или же Вам необходим осмотр? Вы можете записаться на прием к доктору .
Тимома
Тимома - гетерогенная группа новообразований, различных по гистогенезу и степени зрелости, берущих начало из эпителиальной ткани вилочковой железы. Варианты клинического течения тимомы могут быть различны: от бессимптомного до выраженного (компрессионный, болевой, миастенический, интоксикационный синдром). Топографо-анатомический и этиологический диагноз устанавливается с помощью лучевых методов (рентгенография, КТ средостения), трансторакальной пункции, медиастиноскопии, исследования биоптата. Лечение хирургическое: удаление тимомы вместе с вилочковой железой и жировой клетчаткой переднего средостения, дополненное по показаниям химиолучевой терапией.

Общие сведения
Тимома - органоспецифическая опухоль средостения, происходящая из клеточных элементов мозгового и коркового вещества тимуса. Термин «тимома» был введен в употребление в 1900 году исследователями Grandhomme и Scminke для обозначения различных опухолей вилочковой железы. Тимомы составляют 10-20% всех новообразований медиастинального пространства. В 65-70% случаев тимомы имеют доброкачественное течение; инвазивный рост с прорастанием плевры и перикарда отмечается у 30% пациентов, отдаленное метастазирование - у 5%. Несколько чаще тимомы развиваются у женщин, болеют преимущественно лица 40-60 лет. На детский возраст приходится менее 8% опухолей тимуса.
Причины формирования опухолей вилочковой железы неизвестны. Предполагается, что тимомы могут иметь эмбриональное происхождение, быть связаны с нарушением синтеза тимопоэтина или иммунного гомеостаза. Факторами, провоцирующими рост и развитие опухоли, могут служить инфекционные заболевания, радиационное воздействие, травмы средостения. Замечено, что тимомы часто сочетаются с различными эндокринными и аутоиммунными синдромами (миастенией, дерматомиозитом, СКВ, диффузным токсическим зобом, синдромом Иценко-Кушинга и др.).
Строение и функции вилочковой железы
Вилочковая железа, или тимус располагается в нижней части шеи и переднем отделе верхнего средостения. Орган образован двумя асимметричными долями - правой и левой. В свою очередь, каждая доля представлена множеством долек, состоящих из коркового и мозгового вещества и заключенных в соединительнотканную строму. В вилочковой железе различают два типа ткани - эпителиальную и лимфоидную. Эпителиальные клетки секретируют тимические гормоны (тимулин, a-, b-тимозины, тимопоэтины и пр.), лимфоидная ткань состоит из Т-лимфоцитов различной степени зрелости и функциональной активности.
Таким образом, вилочковая железа одновременно является железой внутренней секреции и органом иммунитета, обеспечивающим взаимодействие эндокринной и иммунной систем. После 20 лет тимус подвергается возрастной инволюции; после 50 лет паренхима тимуса на 90% замещается жировой и соединительной тканью, сохраняясь в виде отдельных островков, лежащих в клетчатке средостения.
Классификация тимом
В онкологии различают три типа тимом: доброкачественную, злокачественную тимому 1-го типа (с признаками атипии, но относительно доброкачественным течением) и злокачественную тимому 2-го типа (с инвазивным ростом).
- Доброкачественная тимома (50-70% опухолей тимуса) макроскопически имеет вид одиночного инкапсулированного узла, диаметром не более 5 см. С учетом гистогенеза внутри этой группы выделяют медуллярную (тип А), смешанную (тип АВ) и преимущественно кортикальную (тип В1) тимому.
- Тимома типа А (медуллярная) составляет 4-7% доброкачественных опухолей вилочковой железы. В зависимости от строения может быть солидной и веретеноклеточной-крупноклеточной, практически всегда имеет капсулу. Прогноз благоприятный, 15-летняя выживаемость составляет 100%.
- Тимома типа АВ (кортико-медуллярная) встречается у 28-34% пациентов. Сочетает в себе очаги кортикальной и медуллярной дифференцировки. Имеет удовлетворительный прогноз; 15-летняя выживаемость - более 90%.
- Тимома типа В1 (преимущественно кортикальная) встречается в 9-20% случаев. Часто имеет выраженную лимфоцитарную инфильтрацию. Более чем у половины пациентов сопровождается миастеническим синдромом. Прогноз удовлетворительный; 20-летняя выживаемость - более 90%.
- Злокачественная тимома 1-го типа (20-25% случаев) представляет собой одиночный или множественные дольчатые узлы без четкой капсулы. Размер опухоли чаще не превышает 4-5 см, однако иногда встречаются новообразования больших размеров. Отличается инвазивным ростом в пределах железы. В гистологическом отношении представлена кортикальной тимомой (тип В2) и высокодифференцированной карциномой.
- Тимома типа В2 (кортикальная) составляет около 20-36% тимом. Гистологические разновидности вариабельны: темноклеточная, светлоклеточная, водянисто-клеточная и др. В большинстве случаев протекает с миастенией. Прогностически менее благоприятна: 20 лет живут менее 60% больных.
- Тимома типа В3 (эпителиальная) развивается у 10-14% пациентов. Часто обладает гормональной активностью. Прогноз хуже, чем при кортикальной разновидности; 20-летняя выживаемость менее 40%.
- Злокачественная тимома 2-го типа (рак тимуса, тимома типа C) составляет до 5% всех наблюдений. Отличается выраженным инвазивным ростом, высокой метастатической активностью (дает метастазы в плевру, легкие, перикард, печень, кости, надпочечники). Выделяют 6 гистологических типов рака тимуса: плоскоклеточный, веретеноклеточный, светлоклеточный, лимфоэпителиальный, недифференцированный, мукоэпидермоидный.
В зависимости от удельного веса лимфоидного компонента в тимоме дифференцируют лимфоидные (более 2/3 всех клеток опухоли представлено Т-лимфоцитами), лимфоэпителиальные (Т-лимфоциты составляют от 2/3 до 1/3 клеток) и эпителиальные тимомы (Т-лимфоцитами представлено менее 1/3 всех клеток).
Основываясь на степени инвазивного роста, выделяют 4 стадии тимомы:
- I стадия - инкапсулированная тимома без прорастания жировой клетчатки средостения
- II стадия - прорастание элементов опухоли в медиастинальную клетчатку
- III стадия - инвазия плевры, легкого, перикарда, крупных сосудов
- IV стадия - наличие имплантационных, гематогенных или лимфогенных метастазов.
Симптомы тимомы
Клинические проявления и течение тимомы зависит от ее типа, гормональной активности, размеров. Более чем в половине случаев опухоль развивается латентно и обнаруживается во время профилактического рентгенологического исследования.
Инвазивные тимомы вызывают компрессионный медиастинальный синдром, который сопровождается болями за грудиной, сухим кашлем, одышкой. Сдавление трахеи и крупных бронхов проявляется стридором, цианозом, дыхательной недостаточностью. При синдроме компрессии верхней полой вены возникает одутловатость лица, синюшность верхней половины туловища, набухание шейных вен. Давление растущей опухоли на нервные узлы обусловливает развитие синдрома Горнера, осиплость голоса, элевацию купола диафрагмы. Сдавливание пищевода сопровождается расстройством глотания - дисфагией.
По различным данным, от 10 до 40% тимом сочетаются с миастеническим синдромом. Больные отмечают снижение мышечной силы, быструю утомляемость, слабость мимических мышц, двоение в глазах, поперхивание, нарушения голоса. В тяжелых случаях может развиться миастенический криз, требующий перехода к ИВЛ и зондовому питанию.
В поздних стадиях злокачественной тимомы появляются признаки раковой интоксикации: лихорадка, анорексия, снижение массы тела. Нередко тимоме сопутствуют различные гематологические и иммунодефицитные синдромы: апластическая анемия, тромбоцитопеническая пурпура, гипогаммаглобулинемия.
Диагностика
Диагностика тимомы проводится торакальными хирургами с привлечением онкологов, рентгенологов, эндокринологов, неврологов. При клиническом осмотре может выявляться расширение вен грудной клетки, выбухание грудины в проекции опухоли; увеличение шейных, надключичных, подключичных лимфоузлов; признаки компрессионного синдрома и миастении. Физикальное исследование обнаруживает расширение границ средостения, тахикардию, свистящие хрипы.
На рентгенограмме грудной клетки тимома имеет вид объемного образования неправильной формы, расположенного в переднем средостении. КТ грудной клетки значительно расширяет объем информации, полученный при первичной рентгендиагностике и в ряде случаев позволяет поставить морфологический диагноз. Уточнение локализации и взаимоотношения новообразования с соседними органами при КТ средостения позволяет в дальнейшем выполнить трансторакальную пункцию опухоли средостения, что чрезвычайно важно для гистологического подтверждения диагноза и верификации гистологического типа тимомы.
Для визуального исследования средостения и выполнения прямой биопсии проводится диагностическая медиастиноскопия, парастернальная торакотомия или торакоскопия. Диагноз миастении уточняется с помощью электромиографии с введением антихолинэстеразных препаратов. Дифференциально-диагностические мероприятия позволяют исключить другие объемные процессы в средостении: загрудинный зоб, дермоидные кисты и тератомы средостения.
Лечение тимом
Лечение опухолей вилочковой железы проводится в отделениях торакальной хирургии и онкологии. Хирургический метод является основным в лечении тимомы, поскольку только тимэктомия обеспечивает удовлетворительные отдаленные результаты. При доброкачественных тимомах оперативное вмешательство заключается в удалении опухоли вместе с вилочковой железой (тимомтимэктомия), жировой клетчаткой и лимфатическими узлами средостения. Такой объем резекции диктуется высоким риском рецидива опухоли и миастении. Операция выполняется из срединного стернотомического доступа.
При злокачественных новообразованиях тимуса операция может дополняться резекцией легкого, перикарда, магистральных сосудов, диафрагмального нерва. Послеоперационная лучевая терапия показана при II и III стадиях тимомы. Кроме этого, облучение является ведущим методом лечения неоперабельных злокачественных тимом IV стадии. В настоящее время большее значение в лечении инвазивных тимом получает трехэтапное лечение, включающее неоадъювантную химиотерапию, резекцию опухоли и лучевую терапию.
В послеоперационном периоде у больных, перенесших тимэктомию, может случиться миастенический криз, который требует проведения интенсивной терапии, трахеостомии, ИВЛ, длительного назначения антихолинэстеразных препаратов.
Отдаленные результаты лечения доброкачественных тимом хорошие. После удаления опухоли исчезают или значительно уменьшаются симптомы миастении. У больных злокачественной тимомой, прооперированных на ранних стадиях, 5-летняя выживаемость достигает 90%, на III стадии - 60-70%. Неоперабельные формы онкологического заболевания имеют плохой прогноз с летальностью 90% в течение ближайших 5 лет.
Тимома — это общее название для группы опухолей вилочковой железы (тимуса). Чаще всего они носят доброкачественный характер. На долю злокачественных опухолей приходится около 30% тимом. Выраженность клинической картины может быть самой разной, от бессимптомного течения до выраженной миастении и симптомов компрессии органов средостения. [1,2]
Вилочковая железа частично находится в нижней части шеи, частично — в верхней части средостения. В органе выделяют два типа тканей — эпителиальную (железистую), которая отвечает за синтез тимических гормонов, и лимфоидную, которая представлена Т-лимфоцитами различной степени зрелости.
Таким образом, тимус является уникальным органом, который с одной стороны является железой внутренней секреции, а с другой — органом иммунной системы. В норме вилочковая железа проявляет активность в детском возрасте, играет роль депо Т-лимфоцитов и координирует работу эндокринной и иммунной систем. По мере взросления, тимус замещается жировой тканью. И у людей старше 50 лет сохраняется только 10% активных клеток. [3]
Причины возникновения тимомы
Причины возникновения тимомы неизвестны. Предполагается, что в этом процессе могут принимать участие следующие факторы:
- Нарушения в эмбриональном периоде развития.
- Нарушение синтеза тимопоэтина.
- Нарушение иммунных механизмов.
- Инфекционные заболевания.
- Воздействие ионизирующего излучения.
- Травматические повреждения органов средостения.
- Некоторые аутоиммунные и эндокринные патологии: синдром Иценко-Кушинга, диффузный токсический зоб, миастения и др.
Виды тимомы
Единой классификации тимом на сегодняшний день нет, ввиду большого разнообразия опухолей, развивающихся в вилочковой железе. В 1999 году ВОЗ предложила морфологическую классификацию, в основе которой лежит соотношение лимфоцитарных и эпителиальных клеток. По этой классификации выделяют 6 видов опухоли:
- Тимома типа А — опухолевая ткань представлена дифференцированными клетками без признаков атипии, практически всегда отграничена от окружающих тканей капсулой. Клетки веретенообразные или овальные. Это благоприятный, доброкачественный вариант тимомы, 15-летняя выживаемость при которой составляет 100%.
- Тимома типа АВ морфологически схожа с типом А, но имеются единичные очаги патологических лимфоцитов.
- Тимома типа В — в опухолевой ткани преобладают дендритные и эпителиоидные клетки. Тип В будет разделяться в зависимости от соотношения эпителиальных и лимфоидных клеток, а также от выраженности их атипизма.
- Тимома типа В1 (преимущественно кортикальный тип). По структуре напоминает кортикальный слой вилочковой железы, очаговыми вкраплениями медуллярных клеток.
- Тимома типа В2 (кортикальный тип). В ткани опухоли имеются эпителиальные клетки с признаками атипии и везикулами в ядре.
- Тимома типа В 3 (эпителиальный тип). Опухоль представлена атипичными эпителиальными клетками. Некоторые авторы расценивают ее как высокодифференцированный рак вилочковой железы.
- Тимома типа С — рак тимуса. Представлен разнообразными гистологическими типами рака — светлоклеточный, плоскоклеточный, веретеноклеточный и др. Склонен к агрессивному течению, прорастает в соседние органы, дает метастазы в печень, кости и лимфатические узлы.
Тимомы типа А, АВ и В1 относят к доброкачественным новообразованиям тимуса, тип В2 и В3 — это злокачественные тимомы с относительно благоприятным течением, когда при своевременном обращении возможно полное излечение и 20-летняя продолжительность жизни составляет 40-60%. Тип С называют карциномой тимуса 2-го типа. Как мы уже говорили, это агрессивная опухоль, склонная к быстрому росту и метастазированию.

Стадии тимомы
Для характеристики распространения тимомы применяется классификация Masaoka-Koga. В ее основу положена оценка вовлеченности тканей и органов средостения, а также наличие лимфогенных и гематогенных метастазов.
- 1-2 стадия тимомы — опухоль прорастает за пределы своей капсулы, затрагивает плевру и клетчатку средостения.
- 3 стадия тимомы — опухоль прорастает в перикард, затрагивает легкое или магистральные сосуды, находящиеся в средостении.
- 4А стадия — имеется опухолевая диссеминация по плевре или перикарду.
- 4В стадия — имеются лимфогенные или гематогенные метастазы.
Диагностика тимомы
Заподозрить наличие опухоли можно по характерным клиническим симптомам, после чего пациент направляется на диагностические исследования. Рентген грудной клетки является неспецифическим методом диагностики и позволяет только увидеть расширение тени средостения.

Компьютерная томография с контрастированием — более информативный метод. Он позволяет получить информацию о наличии новообразования, определить его злокачественность, и даже дифференцировать его природу — отличить тимому от лимфомы и др. МРТ не является рутинным методом диагностики тимом, но может использоваться по показаниям, например, при наличии у пациента аллергии на йодсодержащий контраст, применяемый при КТ.
Окончательный диагноз выставляется после морфологического изучения опухолевой ткани. Как правило, ее получают после радикальной операции. Если это невозможно, рассматривают вариант проведения биопсии. Для этого может использоваться толстоигольная или хирургическая биопсия, которая проводится во время лапароскопических операций. Морфологическая верификация необходима для подбора оптимального метода лечения. [4,5]
Симптомы злокачественного новообразования вилочковой железы
Какое-то время злокачественная опухоль вилочковой железы может протекать бессимптомно. На данном этапе обнаруживается случайно, при проведении обзорной рентгенографии грудной клетки или флюорографии. По мере развития процесса, будет возникать и нарастать неспецифическая симптоматика, которая связана с локальным воздействием опухоли на органы груди и средостения:
- Кашель.
- Боль в области груди. Она может быть результатом компрессии органов дыхания, или миастенического синдрома, при котором наблюдается слабость мышц из-за нарушений нейромышечных связей. — нарушение венозного оттока от головы и плечевого пояса из-за компрессии верхней полой вены. Проявляется цианозом кожи и отечностью верхней половины тела, а также расширением вен.
- Нарушение иммунной системы. Тимус является органом, в котором проходят определенные стадии своего развития Т-лимфоциты. При опухолевых процессах происходит нарушение их дифференцировки, что чревато развитием иммунодефицитов или аутоиммунных заболеваний. Самым частым из них является миастения — нарушение нервно-мышечной проводимости, развивающейся из-за воздействия антител на рецепторы ацетилхолина. При этом возникает мышечная слабость и патологическая утомляемость. Миастения характерна для типа лимфом В1-В3 и С.
- Аплазия костного мозга.
- Повышение температуры тела и ночные поты. Эти симптомы затрудняют дифдиагностику, поскольку более характерны для лимфом.
- На поздних стадиях присоединяется канцерогенная интоксикация: общая слабость, потеря аппетита, снижение массы тела.
Лечение тимомы
Лечение доброкачественной тимомы и злокачественной тимомы 1-2 стадии подразумевает хирургическое удаление вилочковой железы. Операция может быть выполнена в следующем объеме:
- Тотальное удаление тимуса вместе с окружающей жировой клетчаткой и лимфатическими узлами.
- Расширенное удаление тимуса — помимо вышеперечисленного объема, проводится еще резекция плевры и полное удаление переднестернальной жировой клетчатки.
При местно-распространенных злокачественных тимомах есть вероятность невозможности проведения радикального вмешательства, поэтому лечение рекомендуют начинать с адъювантной терапии. Обычно используется индукционная химиолучевая терапия с препаратами: циклофосфамидом, доксорубицином и цисплатином. 6

Объем операции будет зависеть от того, какие органы вовлечены в процесс. Может потребоваться резекция легочной ткани, перикарда, протезирование крупных кровеносных сосудов. Такие операции проводятся только на базе специализированных центров, в которых созданы условия для обширных вмешательств на органах грудной клетки. Для уменьшения развития рецидивов проводят послеоперационную лучевую терапию. При неоперабельных опухолях, ключевым методом лечения является химиолучевая терапия. 7
Последствия удаления тимомы
У пациентов, перенесших удаление вилочковой железы, есть риск развития миастенического криза — грозного состояния, при котором нарушается нервно-мышечная проводимость, из-за чего развивается сильная слабость мышц, сопровождающаяся параличами, нарушением дыхания и глотания. В тяжелых случаях возможен летальный исход. Для лечения пациентов применяется искусственная вентиляция легких и антихолинэстеразные препараты длительными курсами. [9]
Прогнозы выживаемости
Прогнозы зависят от гистологического вида тимомы. При доброкачественных тимомах результаты лечения благоприятны, например, при типе В1 20-летняя выживаемость составляет около 90%. У пациентов со злокачественными вариантами тимомы прогноз будет зависеть от стадии распространения опухоли. При 2 стадии 5-летний рубеж переживают около 90% больных, при 3 стадии до 70% и при неоперабельных опухолях только 10%. [9,10]
Опухоль вилочковой железы (Тимома)
Опухоль вилочковой железы - наиболее часто встречающаяся опухоль передне-верхнего средостения. Под этим термином подразумевают новообразования различной гистологической структуры, которые образуются из клеток эпителия паренхимы тимуса, т. е. вилочковой железы. Другими словами он объединяет все опухоли, исходящие из вилочковой железы, причем как доброкачественной, так и злокачественной природы. Этим объясняются особенности классификации и распределения стадий. Доброкачественные тимомы преобладают в структуре заболевания. На них приходится 65—70% случаев. Но у 30% пациентов обнаруживаются злокачественные опухоли, отличающиеся инвазивным ростом, а у 5% наблюдается отдаленное метастазирование.

Тимомы могут обнаруживаться у лиц любого возраста. С практически одинаковой частотой они диагностируются у мужчин и женщин, но при этом довольно редко выявляются у детей. На них приходится не более 8% всех больных с таким диагнозом.

Опухоль вилочковой железы может формироваться из элементов ее мозгового и коркового вещества. Сам тимус представляет собой небольшой орган, который располагается в передне-верхней части средостения. В норме он достигает максимальной величины в пубертатный период, а после 20 лет постепенно регрессирует и утрачивает свои основные функции. У людей пожилого возраста вилочковая железа уже представлена отдельными островками, так как 90% замещается жировой и соединительной тканью.
Вилочковая железа имеет 2 доли, не являющиеся симметричными: левую и правую. Верхние рога тимуса соприкасаются со щитовидной железой и связаны с нижними полюсами щитовиднотимической связкой. Нижние его рода прилегают к верхней полой вене и ее притокам, дуге аорты и легочным артериям.
Каждая из них имеет дольчатую структуру. При этом в структуре долек различают корковое и мозговое вещество, окруженные соединительнотканной капсулой. Корковое вещество располагается по периферии дольки, содержит клетки эпителиального происхождения, гемопоэтические (созревающие Т-лимфоциты, макрофаги) и продуцирует гормоны. Мозговое вещество дольки сосредоточено в ее центре и в основном содержит дозревающие Т-лимфоциты. Потому вилочковая железа одновременно считается и эндокринной железой и иммунным органом.

Симптомы
У взрослых симптомы опухоли вилочковой железы, в том числе больших размеров, в 50% случаев не проявляются, а новообразование обнаруживается случайно при проведении профилактических исследований или диагностических мероприятий по другому поводу. Но крупные опухоли особой локализации способны оказывать давление на органы средостения и сдавливать основные кровеносные сосуды, с которыми вилочковая железа находится в тесном контакте. Это провоцирует появление:
- ощущения сдавливания в груди;
- одышки;
- ощущения сердцебиения;
- выбухания шейных вен;
- посинения носогубного треугольника (цианоз);
- одутловатости лица;
- шума и тяжести в голове, склонных усиливаться при наклоне тела вперед.
У детей крупные новообразования способны приводить к деформации грудной клетки и образованию выпячивания, серьезным респираторным нарушениям из-за естественной узости и податливости трахеи.

Примерно у остальных 50% наблюдаются специфические симптомы заболевания, характер которых во многом зависит от локализации, размеров, гистологической структуры опухоли, скорости ее роста и гормональной активности. В таких случаях клиническая картина может состоять из симптомов сдавливания или прорастания опухоли в соседние органы и ткани и специфичных признаков.
Чаще всего при тимоме наблюдаются боли, являющиеся следствием прорастания новообразования или сдавливания им нервных стволов и нервных сплетений. Подобное наблюдается как при опухолях доброкачественной, так и злокачественной природы. Зачастую боли невыраженные и ощущаются в большей степени со стороны пораженной доли тимуса. Они способны отдавать в плечо, шею, область между лопатками.
При поражении левой доли вилочковой железы боли могут имитировать приступы стенокардии.
Если образование сдавливает пограничный симпатический нервный ствол, развивается характерная неврологическая симптоматика:
- птоз (опущение) верхнего века;
- расширение зрачка;
- западение глазного яблока;
- нарушение потоотделения.
Если опухоль оказывает давление на возвратный гортанный нерв возможно возникновение осиплости голоса. А при поражении ею диафрагмального нерва наблюдается высокое стояние купола диафрагмы.
Также тимома способна сдавливать крупные бронхи и трахею. Это сопровождается кашлем и одышкой, а в тяжелых случаях и дыхательной недостаточностью. Если же она оказывает давление на пищевод, развивается дисфагия, т. е. больному становится сложно совершать глотательные движения.
Злокачественные опухоли вилочковой железы на поздних стадиях способны провоцировать возникновение симптомов интоксикации:
- слабость;
- повышение температуры тела;
- снижение веса;
- боли и припухлость в суставах;
- отеки нижних конечностей;
- аритмия и тахикардия.
Боли в костях могут свидетельствовать об образовании метастазов.
Опухоли вилочковой железы часто обнаруживаются случайно. При обнаружении ее признаков пациентов направляют к торакальному хирургу или онкологу. Основным методом диагностики тимом является рентгенография. Исследование проводят в прямой и боковой проекции. Большие образования обычно хорошо видны на полученных снимках. Они имеют овальную, грушевидную или треугольную форму и располагаются асимметрично по отношению к центральной оси тела. При этом их поперечное сечение обычно меньше продольного. Нечеткие контуры новообразования являются признаком его злокачественности. Если же снимки выполняются с определенной периодичностью, неблагоприятным фактом является быстрое увеличение размеров тимомы.
Маленькие опухоли лучше диагностировать с помощью более точной КТ. Также компьютерную томографию проводят в тех случаях, когда невозможно исключить опухоль вилочковой железы или миастению. В таких случаях тимома имеет вид овального новообразования, занимающего часть переднего средостения. В ней могут обнаруживаться кальцинаты и кисты.

Благодаря КТ дополнительно удается установить характер связи новообразования с крупными кровеносными сосудами, а также обнаружить метастазы в плевральной полости и перикарде.
Дополнительно проводят УЗИ надключичных областей. Исследование дает возможность обнаружить признаки метастатического поражения лимфатических узлов. При наличии таковых выполняется их биопсия. Также может осуществляться отбор образцов непосредственно самого образования. Это осуществляют посредством аспирационной биопсии, что дает возможность точно установить гистологическую структуру опухоли.
В отдельных случаях больным показана медиастиноскопия. Это инвазивная процедура, подразумевающая визуальную оценку органов средостения с помощью специальных инструментов, вводимых в грудную полость через точечные проколы мягких тканей.
При наличии признаков мышечной слабости проводится электромиография с тестом применения ингибиторов ацетилхолинэстеразы (как правило, используют Прозерин). Также назначается ряд лабораторных анализов, позволяющих оценить общее состояние организма и обнаружить признаки аутоиммунных нарушений.
Тимома может формироваться на базе любых клеток вилочковой железы, на основании чего различают следующие ее виды.
Эпителиоидная
В зависимости от того, какие именно из них образуют опухоль, выделяют эпидермоидную, веретеноклеточную, лимфоэпителиальную, гранулематозную тимому. Хотя чаще других встречается лимфоэпителиальная.
Лимфоидная
В некоторых ситуациях тимома средостения образована из клеток вилочковой железы и жировой ткани. Подобные новообразования называют липотимомами, а их формирование обычно протекает бессимптомно.
Тимома вилочковой железы имеет небольшие размеры и покрыта капсулой. Деление новообразований этого типа на доброкачественные и злокачественные достаточно условно, поскольку опухоль, расцененная при гистологическом исследовании в качестве доброкачественной, впоследствии может становиться инвазивной, при удалении давать рецидивы, а при невмешательстве - метастазы. Новообразования с откровенными признаками злокачественности отличаются быстрым инфильтративным ростом и ранним метастазированием в ближайшие лимфатические узлы, реже в отдаленные органы. Но все виды тимом часто сопровождаются образованием очагов некроза, кровоизлияния, которые в дальнейшем трансформируются в кисты или замещаются соединительной тканью. Поэтому к опухолям вилочковой железы относятся очень внимательно, независимо от их типа.
Доброкачественные опухоли вилочковой железы
Медуллярные (тип А)
Новообразование овальной формы, состоит из эпителиальных клеток вилочковой железы и практически всегда является инкапсулированной. Отличается благоприятным прогнозом и все пациенты переживают 15-летний рубеж.
Преимущественно кортикальная (тип В1)
Состоит из клеток, схожих на эпителиальные, и зон подобных мозговому веществу тимуса. Часто имеет лимфоцитарную инфильтрацию и сопровождается миастенией. Прогноз удовлетворительный, а более 90% пациентов переживают 20-летний рубеж.
Смешанные (тип АВ)
Имеет очаги кортикальной и медуллярной дифференцировки. Является наиболее часто встречаемой формой. Прогноз удовлетворительный: 90% больных переживает 15-летний рубеж.
Миастения
Аутоиммунное заболевание, сопровождающееся развитием выраженной слабости мышц (чаще глаз, лицевых и жевательных мышц, реже страдает дыхательная мускулатура). В сочетании с тимомой она способна приводить к прогрессирующей слабости мышц туловища и конечностей. В тяжелых случаях развивается миастенический криз, требующий проведения искусственной вентиляции легких (ИВЛ).
Злокачественные опухоли вилочковой железы
Кортикальные (тип В2)
представлена крупными эпителиоретикулярными клетками с пузырчатыми ядрами и большим количеством Т-клеток. Чаще всего наблюдается также миастения. При такой опухоли 20-летний рубеж переживает не более 60% пациентов.
Эпителиальные (тип В3)
Образована пластинчаторастущими полигональными эпителиоцитами и неопухолевыми лимфоцитами, нередко имеет гормональную активность. Прогноз неблагоприятный - менее 40% больных преодолевает 20-летний рубеж.
Рак тимуса или опухоль типа С может иметь разную гистологическую структуру, на основании чего выделяют 6 видов:
- плоскоклеточный;
- светлоклеточный;
- веретеноклеточный;
- лимфоэпителиальный;
- мукоэпидермоидный;
- недифференцированный.
Стадии
На основании гистологического строения тимомы делят на:
- Доброкачественные - одиночные узлы до 5 см, отграниченные капсулой.
- Злокачественные 1 типа - одиночные или множественные узлы с дольчатой структурой, которые не имеют четких границ, но отличаются наличием признаков атипии. Размеры новообразований находятся в пределах 4—5 см, хотя встречаются и более крупные. Они отличаются относительно спокойным течением.
- Злокачественные 2 типа (тип С) - рак тимуса. Наблюдается инвазивный рост, т. е. прорастание опухолью плевры, перикарда, высокая метастатическая активность (отдаленные метастазы могут обнаруживаться в том числе в диафрагме, костях, скелетных мышцах, печени).
Злокачественные тимомы сложно стадировать по стандартным признакам. Поэтому стадию развития опухоли определяют на основании наличия и степени инвазии:

- 1 стадия (T1N0M0) - полностью инкапсулированная опухоль без признаков инвазии в медиастинальную жировую клетчатку.
- 2 стадия (T2N0M0) - инфильтрация в пределах жировой клетчатки;
- 3 стадия (T3N0M0) - инфильтрация медиастинальной плевры, перикарда или прилегающих органов с отсутствием или наличием инвазии крупных сосудов;
- 4 стадия (T4N0-2M0-1) - опухоль с имплантацией плевры и перикарда, лимфогенными и/или гематогенными метастазами.
Причины развития
Пока еще точно не установлены причины образования опухоли вилочковой железы. Предполагается, что истоки проблемы могут крыться еще на этапах эмбрионального развития, когда формируется синтез тимопоэтина и иммунный гомеостаз. Тем не менее замечено, что повышают вероятность их образования:
- травмы средостения;
- инфекционные заболевания;
- лучевая нагрузка.
Опухоль вилочковой железы у взрослого намного чаще обнаруживается при наличии эндокринных или аутоиммунных нарушений, в частности системной красной волчанки, синдрома Иценко-Кушинга, дерматомиозита, диффузного токсического зоба и особенно миастении.

Лечение и операции
Основным способом лечения тимомы является хирургический. Операции осуществляются в отделениях торакальной хирургии и дают хорошие результаты в отдаленной перспективе. Объем хирургического вмешательства зависит от типа опухоли.

Миастения (Тимомтимэктомия)
При инкапсулированных доброкачественных новообразованиях проводят тимомтимэктомию, т. е. их удаление вместе с самим тимусом, а также окружающей его жировой клетчаткой и региональными лимфатическими узлами. Хирургу обязательно необходимо обнаружить «ножку» опухоли, которая нередко уходит на шею, выделить, перевязать и пересечь ее в максимально высокой точке. Даже при доброкачественных тимомах требуется именно органоуносящая операция, так как при резекции только опухоли сохранении вилочковой железы существует высокий риск рецидива заболевания и развития миастении. Вид доступа зависит от локализации и распространенности патологического процесса, но чаще выбирается срединный стернотомический доступ. При наличии возможности операцию при тимоме проводят посредством малоинвазивной торакоскопии.
Резекция
При диагностировании злокачественной опухоли вилочковой железы лечение более радикальное и предполагает резекцию всей клетчатки средостения с региональными, надключичными и нижними шейными лимфоузлами. При необходимости дополнительно проводится резекция легкого, перикарда, при необходимости и кровеносных сосудов, нервов. Опухоль всегда удаляется с тимусом и лимфоузлами единым блоком, что важно для снижения риска развития рецидива. Резецированные ткани сразу же отправляют на гистологическое исследование для уточнения природы и типа тимомы.
Лучевая терапия
При новообразованиях 2 и 3 стадии после операции назначается лучевая терапия. Она же применяется при обнаружении неоперабельных образований, т. е. тимомы 4 стадии, в сочетании с химиотерапией. До операции лучевая терапия проводится пациентам пожилого возраста, имеющим сопутствующие хронические заболевания, так как у них интраоперационные риски выше, чем у больных более молодого возраста.
Чем раньше будет проведена операция, тем лучше прогноз. Поскольку тимома отличается склонностью к инвазии, промедление с выполнением хирургического вмешательства может привести к ее прорастанию в жизненно важные органы. В результате опухоль будет считаться неоперабельной.
В последнее время злокачественная опухоль вилочковой железы у взрослых все чаще лечится комплексно с применением химиотерапии, проведением хирургического удаления опухоли вместе с тимусом и окружающими тканями, назначением лучевой терапии. Такой протокол применяется при обнаружении исходной опухолевой инвазии органов средостения.
Торакоскопия
Непосредственно удаление опухоли любой природы при наличии возможности производят посредством торакоскопии. Эта малоинвазивная операция позволяет произвести все необходимые манипуляции на органах средостения и грудной полости без выполнения крупных разрезов, так как все инструменты вводятся через точечные проколы в области межреберьев. Применение малоинвазивной технологии обеспечивает сокращение объема кровопотери, облегчает и ускоряет период реабилитации и снижает частоту послеоперационных осложнений. Поэтому предпочтение отдают именно этой методике проведения хирургического вмешательства, хотя пока необходимым уровнем технической оснащенности могут похвастаться только отдельные клиники.
В послеоперационный период пациенты с миастенией требуют внимательного наблюдения и проведения интенсивной поддерживающей терапии. В это время существует риск развития миастенического криза, что сопровождается дыхательной недостаточностью. При возникновении признаков миастении пациентам назначаются антихолинэстеразные препараты, а при необходимости подключается ИВЛ и выполняется трахеостомия.
Прогноз
Наиболее благоприятный прогноз при удалении тимомы с хорошо выраженной фиброзной капсулой. При этом если заболевание изначально сочеталось с миастенией, после радикального лечения опухоли можно ожидать исчезновения мышечной слабости в течение 1—2 лет. При злокачественных опухолях, удаленных на ранних стадиях, показатель 5-летней выживаемости составляет 90%. Если же тимэктомия проводилась при тимоме 3 стадии прогноз несколько хуже: 5-летний рубеж переживает 60—70% пациентов. Но при отсутствии лечения и прогрессировании опухоли до неоперабельной формы более 90% больных погибают в течение 5-ти лет.

Опухоль вилочковой железы (Тимома)
Клиника лечения заболеваний легких, трахеи, бронхов, плевры, грудной стенки и средостения
Лучевая диагностика поражений вилочковой железы
Лучевая диагностика и лечение миастении при опухолевом и неопухолевом поражении вилочковой железы (ВЖ) до настоящего времени представляют серьезную проблему. Учитывая прямую связь миастении с патологическими изменениями ВЖ, выявление миастенических расстройств должно служить косвенным признаком наличия изменений тимуса и являться показаниями к тщательному обследованию органов средостения.
Несмотря на широкое применение различных специальных методов диагностики, ошибки в выявлении новообразований ВЖ превышают 10-20%, что в свою очередь снижает возможности своевременного хирургического лечения. Вопросы диагностики характера поражения вилочковой железы весьма актуальны. Если при опухолевом поражении тимуса показания к операции приближаются практически к абсолютным и выполняются по онкологическим показаниям, то при неопухолевом поражении определенной группе пациентов операция не показана или целесообразна консервативная терапия.
Поражения вилочковой железы разнообразны по своему составу. У больных с миастенией наиболее часто встречается лимфоидная гиперплазия тимуса или тимома.
Тимомы относятся к наиболее частым новообразованиям средостения. Они одинаково часто встречаются у мужчин и женщин, составляют
3-7 % онкологических заболеваний и 10-25 % первичных новообразований средостения. Возраст заболевших в основном от 40 до 60 лет. В 65-70 % наблюдений тимома инкапсулирована, у 30-35 % больных отмечается инвазивный рост, причем наиболее характерно прорастание опухоли в прилежащую плевру или перикард. Отдаленные метастазы встречаются менее чем в 5 % наблюдений.
Разделение тимом на доброкачественные и злокачественные в определенной степени условно, а гистологическая характеристика для этого нередко является недостаточной. Ряд авторов считают, что отличия между доброкачественными и злокачественными тимомами не столько
морфологические, сколько клинические, и предлагают тимомы называть не злокачественными, а «инвазивными» или «метастазирующими».
Основным признаком злокачественной тимомы, кроме метастазирования, является наличие инвазии в органы и ткани грудной полости, т.е. выход за пределы капсулы опухоли. При отсутствии инфильтративного роста тимому следует считать доброкачественной, что, однако, не исключает возможности рецидивов опухоли. Опухоли с выраженной атипией эпителиальных клеток и инвазивным ростом расцениваются как рак вилочковой железы.
К настоящему времени принята классификация тимом, предложенная экспертами ВОЗ, под редакцией J. Rosai в 1999 г. и модифицированная
в 2004 г. В ней выделяют следующие типы тимом:
Тип А - веретеноклеточная; медуллярная;
Тип АВ - смешанная;
Тип В1 - богатая лимфоцитами; лимфоцитарная; преимущественно кортикальная; органоидная;
Тип В2 - кортикальная;
Тип В3 - эпителиальная; атипичная; сквамоидная; высокодифференцированный рак тимуса;
Тимомы типа А (медуллярноклеточные, темноклеточные или веретеноклеточные) составляют не более 5 % всех тимом, расцениваются как
доброкачественные и, за редким исключением гормонально-неактивные.
Тимомы типа АВ (смешанные, медуллярно- или темноклеточные с умеренным количеством лимфоцитов) составляют около 10 % тимом,
чаще доброкачественные и гормональнонеактивные. По клиническим проявлениям они неотличимы от тимом типа А.
Тимомы типа В (В1, В2, В3) составляют до 70-80 % тимом и представляют наиболее неоднородную группу, особенно в плане прогноза. Мультицентричный рост наблюдается у 20-30 %, а инвазивный - у 50 % больных. Для них характерны сдавление и прорастание органов средостения, паранеопластические аутоиммунные заболевания.
Рак тимуса - редкая опухоль (менее 5 % новообразований тимуса), отличается быстрым инвазивным характером роста и ранним проявлением имплантационных (по плевре и перикарду), лимфо- и гематогенных (в легких, печени, костях, реже в надпочечниках, головном мозгу) метастазов.
Для уточнения показаний к тимэктомии исключительно важное значение имеет лучевые методы исследования, позволяющие установить характер эволюции вилочковой железы (инволюция, гиперплазия, опухоль).
Первое обстоятельное описание рентгенологической картины новообразований вилочковой железы принадлежит Lenk (1929). Изучение основывалось на данных рентгеноскопии и рентгенографии органов грудной клетки. Отсутствие современных методов исследования было основной причиной того, что картина представленная этим известным ученым затем приведенная во многих отечественных и зарубежных руководствах, оказалась неточной. Количество ошибок при диагностике новообразований вилочковой железы в 50-е годы достигало 40%, в 60-е - 30%, в 70-е - 25%.
В дальнейшем предпринимались многочисленные попытки улучшить рентгенологическую диагностику заболеваний вилочковой железы. Большой вклад в улучшение визуализации вилочковой железы внесли методики пневмомедиастинографии, пневмомедиастинотомографии, ангиографические исследования сосудов средостения, в том числе, селективная флебография тимуса. Однако, уверенная диагностика структурных изменений вилочковой железы, стала возможна только с появлением цифровых компьютерных технологий. Из рентгенологических методов к ним относится мультиспиральная компьютерная томография.
Компьютерная томография
Изучение отечественных и зарубежных работ, посвященных методам диагностики генерализованной миастении, позволяют заключить, что установление диагноза “миастения” требует безотлагательного исследования состояния ВЖ особенно у больных в возрасте старше 30 лет. Следует уделять особое внимание тщательному радиологическому обследованию переднего средостения у пациентов с началом генерализованной миастении (ГМ) после 40-45 лет, поскольку именно у таких больных сочетание миастении и тимомы отмечается наиболее часто (40-70%).
Патологические изменения в ВЖ, согласно данным литературы, при миастении наблюдают у 90-100% больных.Анализ литературы не оставляет сомнений, что МСКТ является необходимым и часто достаточным
методом для исследования области ВЖ. А с учетом преимущественно бессимптомного течения тимом, лучевые методы играют ведущую роль в их обнаружении. При этом, по мнению ряда авторов, тимомы являются наиболее частыми образованиями средостения, диагностированными на начальной стадии при помощи МСКТ.
Высказывается мнение, что присоединение ГМ у больных с тимомами в некоторой степени благоприятствует успешному и своевременному лечению опухолевого процесса благодаря более раннему радиологическому исследованию переднего средостения. Более того, в ряде работ показано, что наличие ГМ является независимым прогностическим фактором, обусловливающим более благоприятный исход у пациентов с тимомой.
Известно, что с периода полового созревания до, приблизительно, 25-летнего возраста, ВЖ выглядит как четко очерченная треугольная или двудольчатая структура, окруженная медиастинальной жировой клетчаткой.
В типичных случаях ее границы плоские или слегка вогнутые по бокам. Границы также могут быть выпуклыми, что более характерно для
детского возраста. После 25 лет ВЖ при КТ средостения визуализируется в виде мягкотканных островков на фоне наличия выраженной жировой клетчатки. Скорость и степень инволюции железы варьируют у разных людей, поэтому тимус может определяться как отдельная структура до 40 лет. Информативность метода КТ в определении объемных образований ВЖ может снижаться за счет существенных изменений, которые развиваются в ткани тимуса с возрастом и значительных вариаций в размерах и весе ВЖ, в частности, у людей в возрасте 25-40 лет, когда железа может быть выражена и затрудняет диагностику тимом. В то же время у больных старше 50 лет обнаружить тимому легче, поскольку железа замещена жировой тканью. Однако ошибки при интерпретации данных КТ случаются во всех возрастных категориях. Гиперплазия ВЖ часто присутствует у пациентов моложе 25 лет, но из за высокой плотности паренхимы может быть скрытой. Изучение вариантов строения вилочковой железы на компьютерно-томографических изображениях позволяет уверенно диагностировать патологические процессы в ней.
Нормальная КТ-анатомия вилочковой железы
Тимус расположен в верхней части грудной клетки, непосредственно за грудиной (верхний отдел переднего средостения). Спереди к нему прилежит рукоятка и тело грудины до уровня IV реберного хряща; сзади — верхняя часть перикарда, покрывающего начальные отделы аорты и легочного ствола, дуга аорты, левая плечеголовная вена; с боков — медиастинальная плевра.
Считается, что наиболее часто тимус на аксиальных срезах ри компьютерной томографии имеет треугольную или двудольчатую форму.
При визуализации тимуса на компьютерных томограммах анализируют структуру ткани железы с помощью денситометрических измерений.
При проведении компьютерной томографии оценивают наличие вилочковой железы и положение в средостении: уровень и отношение к срединной линии, ее форму, линейные размеры, однородность структуры, четкость контуров, измеряют плотность нативно, а также в артериальную, венозную и отсроченную стадии. Аксиальные изображения КТ и комбинированные мультиплоскостные реконструкции могут быть использованы, чтобы идентифицировать инвазию опухоли в крупные кровеносные сосуды, перикард и легочную ткань. Если, опухоль имеет гладкие, четкие границы, однородную плотность, отсутствуют некрозы или кистозные изменения, видна жировая прослойка между опухолью и смежными структурами новообразование можно считать неинвазивным. Если, опухолевое новообразование имеет дольчатую или неправильную форму, нечеткие контуры, неоднородное усиление после внутривенного контрастирования, явное прорастание перикарда, легочной ткани, грудной стенки такую опухоль необходимо считать инвазивной.
При гиперплазии вилочковой железы форма железы не изменена, может быть двудольчатой или состоять из отдельных участков тимической ткани. Контур тимуса выпуклый, увеличена толщина. После контрастного усиления в отсроченную фазу отчетливо видна однородно накапливающая контраст гиперплазированная ткань тимуса.
Дифференциальная диагностика между гиперплазией и тимомой (рис.3-7) небольших размеров заключается в выявлении новообразования, локально выходящего за контур железы накапливающего контрастное вещество в разные фазы контрастирования отлично от неопухолевой ткани вилочковой железы.
Магнитно-резонансная томография в диагностике поражений вилочковой железы
Применение магнитно-резонансной томографии (МРТ) для исследования структур грудной клетки открыло новые перспективы в прижизненной диагностике многих заболеваний.
Пульсация сердца смещает средостение во время получения изображения, что снижает ценность МРТ. Поэтому синхронизация изображения с сердечным циклом улучшает визуализацию сердца и средостения.
Сосудистые структуры средостения хорошо визуализируются на МР-томограммах ввиду того, что сигнал от просвета сосудов практически отсутствует. Вилочковая железа внутри периваскулярного пространства легче выявляется на МР-томограммах, чем при КТ. Форма, размер, интенсивность сигнала зависит от возраста. У детей вилочковая железа имеет промежуточную интенсивность сигнала, равную интенсивности сигнала от мышц или лимфоузлов. У взрослых интенсивность сигнала от вилочковой железы выше вследствие жировой инволюции, хотя она у разных людей варьирует. Размеры железы у пациентов старше 30 лет, выявленные при МРТ, лучше коррелируют с операционными находками, чем выявленные при КТ. Это связано с лучшей визуализацией инволютивных изменений при МРТ. Хотя вилочковая железа обычно располагается кпереди от крупных сосудов, она может располагаться и ретровазально. Определение локализации вилочковой железы важно для выявления связи аберрантной железы с переднемедиастинальной тимусной тканью но идентификации интенсивности сигнала.
Естественной контрастности МР-томограмм как правило достаточно для получения необходимой диагностической информации. В отдельных случаях для повышения чувствительности и специфичности метода необходимо дополнительное контрастирование. Исследование внутренних органов, в том числе средостения, основываются на быстрой диффузии парамагнетиков из сосудистого русла в опухолевом очаге. В некротических очагах, где нет кровотока, усиление не наблюдается.
Получение хорошего изображения на МРТ вилочковой железы затрудняется дыхательными движениями. Современный подход к визуализации вилочковой железы предполагает исследование на задержанном дыхании. Контрастирование лучше позволяет дифференцировать солидную и кистозную опухоли. Это связано с тем, что кистозный компонент может содержать примеси белка и крови, искажающие сигнал как на Т1-зависимых, так и на Т2-зависимых изображениях. Полное отсутствие контрастирования доказывает мягкотканную природу образования.
Вилочковая железа на МР-изображениях
Форма и сигнал от вилочковой железы меняются с возрастом. Максимальный вес приходится на 12-19 лет, а затем начинается инволюция, представляющая собой замещение ее жировой тканью. Этот процесс отражается на МРТ, особенно, Т1-зависимых.
Нормальная ткань вилочковой железы достаточно хорошо узнаваема на стандартных МРТ по характерной форме, размеру и расположению. Критерии нормальной вилочковой железы включают отсутствие округлых мягкотканых образований > 7 мм; отсутствие выпуклого контура железы у лиц старше 19 лет, отсутствие дольчатости, отсутствие утолщения вилочковой железы (должен быть ≤ 1,3 см после возраста 20 лет)
Однако у подростков и в молодом возрасте она очень вариабельна по размерам и форме, кроме того, плотность ее на КТ и сигнал на МРТ могут быть схожими с опухолевыми поражениями, так как вилочковая железа еще полностью не заместилась жировой тканью. Следовательно, в некоторых случаях дифференциальная диагностика нормальной и опухолевой ткани может представлять сложности.
При гиперплазии отмечается повышение сигнала на противофазных изображениях с возвращением к норме после лечения.
Округлые, инкапсулированные и с четкими краями опухоли вилочковой железы обычно доброкачественные (тип А). Злокачественные варианты имеют неровный контур, кистозные и некротические компоненты, кальцинаты, а также сопровождаются лимфоаденопатией.
МР-заключение о наличии опухоли вилочковой железы обычно базируется на локальном увеличении железы, выявлении связи опухоли переднего средостения с железой. Интенсивность сигнала от опухоли чаще выше, чем от нормальной ткани железы. Большинство инкапсулированных опухолей дают гомогенный сигнал как на Т1, так и на Т2-изображениях. Инвазивные опухоли чаще негомогенные на Т2-зависимых изображениях.
Хорошая визуализация сосудов при МРТ с синхронизацией позволяет выявлять нечеткость их контуров при инвазии опухолью. Перикард на ЭКГ-синхронизированных изображениях выглядит как тонкая линия, низкой интенсивности толщиной менее 4 мм. При его инвазии возможно выявление прерывистости этой линии с замещением ее высокоинтенсивной опухолевой массой.
Кисты вилочковой железы обладают низкой интенсивностью сигнала на T1-зависимых изображениях и высокой на Т2-зависимых. Спонтанное кровотечение в кисту приводит к повышению сигнала на Т1-зависимых изображениях в связи с парамагнитным эффектом метгемоглобина.
Тимолипомы на Т1-зависимых изображениях выглядят как массы с высокой интенсивностью сигнала, что является отражением их жировой природы. Линейные полосы низкой интенсивности сигнала представлены резидуальной фиброзной стромой или тканью вилочковой железы, проходящей через тимолипому.
Фибромы вилочковой железы распознаются довольно легко, так как они дают низкую интенсивность сигнала как на Т1-, так и на Т2-зависимых изображениях.
От правильного выбора тех или иных методов исследования в каждом конкретном случае часто зависит успех лучевой диагностики. Поскольку количество этих методов достаточно велико (рентгенодиагностика, КТ, МРТ, УЗИ, ПЭТ-КТ) в практической деятельности необходимо руководствоваться принципом получения максимума информации при использовании минимума диагностических средств. Этот принцип предполагает использование того метода, который дает наибольший диагностический эффект в наиболее короткий срок.
МРТ СПб технически позволяет выполнять МРТ средостения, однако эта задача стоит редко и предпочтение отдается КТ. Исследование средостения при МРТ в СПб мы проводим как исключение, так как методика исследования требует кардиосинхронизации. Использован наш опыт ГМПБ №2, и работы на аппарате с открытым МРТ.
Читайте также:
