Оссифицирующая фиброма глазницы: признаки, гистология, лечение, прогноз
Добавил пользователь Владимир З. Обновлено: 21.11.2025
Российская детская клиническая больница, Москва
Федеральный научно-клинический центр детской гематологии, онкологии и иммунологии им. Дмитрия Рогачева, Москва
ФГБУ «Российская детская клиническая больница», Москва, Россия
кафедра патологической анатомии педиатрического факультета РНИМУ Минздрава России, Москва, Россия, 117997
ФГБУ «Российская детская клиническая больница» Минздрава России, Москва
Неоссифицирующая фиброма (метафизарный фиброзный дефект)
Неоссифицирующая фиброма (НОФ), или метафизарный фиброзный дефект (МФД), — это доброкачественная пролиферация фибробластов с наличием гигантских многоядерных остеокластоподобных клеток. Большинство НОФ/МФД возникает в метафизах длинных трубчатых костей нижних конечностей, чаще в дистальном метафизе бедренной кости и в проксимальном метафизе большеберцовой кости. Данное поражение имеет характерную рентгенологическую картину и не требует хирургического вмешательства, за исключением случаев патологического перелома или угрозы последнего. Проанализировано 35 случаев НОФ/МФД у детей и подростков. Обнаружено, что хирургическое вмешательство проведено всем без исключения пациентам, что свидетельствует о низком уровне информированности о данной патологии среди специалистов лучевой диагностики, патологоанатомов и хирургов.
Неоссифицирующая фиброма (НОФ) — часто встречающееся доброкачественное поражение костей у детей и подростков, состоящее из пролиферирующих вытянутых фибробластов, в сочетании с вариабельным количеством гигантских многоядерных остеокластоподобных клеток [7]. Существует несколько синонимов: метафизарный фиброзный дефект (МФД), кортикальный фиброзный дефект (КФД), гистиоцитарная фиброма и фиброзная ксантома. Если речь идет о небольших поражениях кортикального слоя, чаще употребляется термин МФД или КФД. Когда поражение распространяется медуллярно, а тем более при возникновении угрозы патологического перелома, используется термин НОФ.
В большинстве случаев НОФ не имеет клинической симптоматики и, как правило, является случайной находкой во время обследования. При активно увеличивающихся поражениях иногда появляются жалобы на локальную болезненность [10]. Часть исследователей рассматривают НОФ не как истинную опухоль, а как локальный дефект остеогенеза в процессе роста костей скелета [1]. Множественный характер поражения встречается редко, чаще в рамках синдрома Яффе—Кампаначи (Jaffe—Campanacci syndrome), который, помимо множественных НОФ, характеризуется наличием светло-коричневых пятен на коже (Café au lait spots), может сопровождаться отставанием в умственном развитии, гипогонадизмом или крипторхизмом, пороками развития сердечно-сосудистой системы, глаз, а также сочетаться с нейрофиброматозом [3, 4].
Частота обнаружения МФД/НОФ достигает 30%. Поскольку клиническая симптоматика чаще всего отсутствует, истинная распространенность данной патологии остается неизвестной. МФД/НОФ регистрируется чаще у детей и подростков, редко в возрасте младше 5 лет и у взрослых старше 20 лет.
Несмотря на высокую распространенность данной патологии, осведомленность хирургов, специалистов лучевой диагностики и патологоанатомов в отношении последней остается крайне низкой.
Материал и методы
Были проанализированы 678 случаев опухолей и опухолеподобных поражений костей у детей и подростков с января 2009 по июнь 2015 г. НОФ/МФД выявлены у 35 больных. В каждом случае анализировали данные анамнеза (пол, возраст, локализация, жалобы, проведенное лечение), рентгенологического (и/или КТ-исследования) и МРТ-исследования (при наличии) и гистологический материал. Всем больным произвели хирургическое лечение (экскохлеация). В каждом случае осуществляли дифференциальную диагностику с фиброзной дисплазией, аневризмальной костной кистой, гигантоклеточной опухолью, хондромиксоидной фибромой и десмопластической фибромой.
Результаты
В нашем исследовании в структуре всех опухолей и опухолеподобных поражений костей у детей и подростков МФД/НОФ составили 5,16%.
Возраст больных варьировал от 7 до 18 лет, наибольшее количество наблюдений отмечалось в возрасте от 12 до 18 лет. Распределение по возрасту показано на рис. 1.

Рис. 1. Распределение МФД/НОФ по возрасту.
Множественный характер поражения наблюдался у одного пациента (мальчик, 14 лет) в дистальном метафизе левой бедренной и проксимальном метафизе левой большеберцовой кости. Пациенту выполнили экскохлеацию НОФ левой большеберцовой кости.
Количество пациентов женского пола незначительно преобладало над количеством пациентов мужского пола (20/15). Однако, по данным литературы, данная патология несколько чаще встречается у мальчиков [1].
Размер образования варьировал в широких пределах: от 0,8 см (в диаметре) до 8×5×4 см (случай осложнился патологическим переломом).
Как правило, жалобы на момент обнаружения образования отсутствовали. Часть больных отмечали непостоянные болевые ощущения при нагрузке. В основном болевой синдром был выражен при большом объеме поражения дистального метафиза бедренной кости. В 2 (5,71%) случаях выявлен патологический перелом вследствие большого объема поражения кости.
У двух детей отмечался рецидив образования после хирургического лечения (через 2 и 3 года соответственно).
НОФ/МФД чаще всего обнаруживаются в метафизах длинных трубчатых костей, в подавляющем большинстве в костях нижних конечностей (дистальный метафиз бедренной кости, проксимальный и дистальный метафизы большеберцовой и малоберцовой костей). Самой распространенной локализацией, по нашим наблюдениям, были дистальный метафиз бедренной кости и проксимальный метафиз большеберцовой кости (рис. 2).

Рис. 2. Локализация МФД/НОФ в наших наблюдениях.
Клинический диагноз до проведения хирургического лечения в большинстве случаев (22, 62,85%) — фиброзная дисплазия, в 3 (8,57%) наблюдениях — гигантоклеточная опухоль, в 2 (5,71%) — остеомиелит, в 1 (2,85%) — остеоид остеома, в 1 (2,85%) — остеосаркома, в 3 (8,57%) — опухоль кости без уточнения. Диагноз кортикальный фиброзный дефект был поставлен до оперативного лечения лишь у 3 (8,57%) больных, что напрямую свидетельствует о низком уровне осведомленности о данной патологии хирургов и специалистов лучевой диагностики.
В одном случае (девочка 10 лет) поставлен морфологический диагноз гигантоклеточная опухоль ввиду большого количества гигантских многоядерных остеокластоподобных клеток. Однако при пересмотре рентгеновских снимков (хорошо ограниченный овальный очаг поражения в кортикальном слое дистального метафиза бедренной кости с перифокальной зоной склеротических изменений) и гистологического материала (веретеноклеточное поражение, шториформный паттерн, митотическая активность не обнаружена, группы ксантомных клеток, депозиты гемосидерина), а также, учитывая возраст (гигантоклеточная опухоль казуистически редко встречается у детей и подростков), диагноз был изменен на МФД.
МФД/НОФ локализуются в метафизах длинных трубчатых костей и по мере роста костей скелета могут немного смещаться в сторону диафиза. Хорошо известно, что области метафиза и ростковой пластинки являются местами наиболее интенсивного роста костей у детей и подростков. Следовательно, МФД/НОФ как локальный «дефект остеогенеза» возникают в этой зоне. Некоторые авторы считают, что пусковым механизмом для развития МФД/НОФ может служить незначительная травма с субпериостальным кровоизлиянием [5]. Большинство поражений возникает вокруг коленного сустава, но описаны случаи возникновения и в костях таза, позвонках, ключице [8], даже в нижней челюсти [1, 2]. Однако при исследовании опухолей нижней челюсти в первую очередь следует проводить дифференциальную диагностику с гигантоклеточной репаративной гранулемой.
Описан случай сочетания НОФ с остеосаркомой дистального метафиза бедренной кости у 15-летней девочки [10].
При рентгенологическом исследовании МФД выглядит как округлое или овальной формы литическое образование кортикального слоя (или субпериостально), чаще немного вытянутое параллельно оси кости. Границы четкие, как правило, хорошо заметна небольшая зона остеосклероза вокруг (рис. 3). По мере роста МФД начинает распространяться в медуллярном направлении. Поэтому НОФ всегда выглядит эксцентрично, но также с четкими границами и зоной перифокальных остеосклеротических изменений (рис. 4). При больших поражениях, занимающих более трети—половины поперечника кости, часто можно обнаружить дольчатость за счет склерозированных септ, в составе которых при гистологическом исследовании определяется фиброзная ткань с очагами реактивного остеогенеза. В данных случаях заболевание может манифестировать патологическим переломом. В редких случаях контуры НОФ могут выходить за анатомические пределы кости. Периостальная реакция в большинстве случаев отсутствует.

Рис. 3. Хорошо ограниченный кортикальный очаг поражения в зоне дистального метафиза бедренной кости. Перифокальные склеротические изменения не выражены. Стадия, А по Ritschl.

Рис. 4. Хорошо ограниченный очаг поражения дистального метафиза большеберцовой кости с выраженным перифокальным склерозом, больше выраженным в области диафизарного полюса образования. Стадия D по Ritschl.
P. Ritschl и соавт. [6] описали процесс эволюции МФД и НОФ от их возникновения до полного склерозирования, основываясь на рентгенологических данных и выделили 4 стадии: A, B, C и D. Стадия A: небольшой кортикальный округлый или овальный эксцентричный очаг расположен вблизи зоны роста (близко к эпифизу). Зона перифокального склероза практически отсутствует. Стадия B: очаг поражения дистанцируется от эпифиза, приобретает неправильные поликистозные очертания, появляется тонкий склеротический ободок по периферии. Стадия C: склеротические изменения становятся выраженными, причем начинаются, как правило, с диафизарного полюса образования. Стадия D: образование полностью замещается гомогенной зоной склеротических изменений. Затем МФД/НОФ замещаются нормальной костной тканью и не выявляются рентгенологически. Активный рост МФД и НОФ происходит на стадиях A и B, при выявлении образования в стадиях B и C увеличения в размерах в динамике не наблюдалось.
Рентгенологическая картина НОФ/МФД настолько типична, что в подавляющем большинстве случаев диагноз может быть поставлен только на основании данного исследования. Поскольку НОФ/МФД относятся к группе костных поражений «leave me alone lesion», это служит основанием для наблюдения и периодического рентгенологического контроля. В связи с тем что НОФ/МФД способны регрессировать самопроизвольно во время роста и созревания костей скелета, активная хирургическая тактика далеко не всегда оправдана. Оперативные методы лечения применяются только при больших объемах образования, когда возникает угроза патологического перелома или НОФ манифестирует клинически патологическим переломом.
По системе стадирования Enneking доброкачественных опухолей НОФ/МФД в большинстве случаев имеют I стадию (G0T0M0), в редких случаях при распространении за пределы нормальных анатомических границ кости — II.
При макроскопическом исследовании поражение четко ограничено, желтовато-серого цвета (рис. 5). Могут встречаться кистозные изменения, очаги кровоизлияний. Участки некроза могут быть выявлены после патологического перелома.

Рис. 5. При макроскопическом исследовании поражение четко ограничено, желтовато-серого цвета.
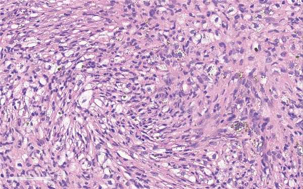
При гистологическом исследовании образование хорошо ограничено, состоит из фибробластоподобных веретеновидных клеток, образующих хаотично ориентированные пучки и шториформные структуры (рис. 6). Ядра овальной или вытянутой формы, мелкие ядрышки выявляются не во всех ядрах. Митотическая активность достоверно не определяется или обнаруживаются немногочисленные фигуры митоза. Одним из постоянных морфологических признаков является выявление кластеров крупных гистиоцитов или ксантомных клеток с обильной светлой цитоплазмой. Почти всегда можно обнаружить мелкие рассеянные гранулы гемосидерина, которые лучше видны при специальной гистохимической окраске на железо. Часто можно выявить скопления гигантских многоядерных остеокластоподобных клеток (рис. 7). Нередко обнаруживаются кистозные изменения по типу вторичной аневризмальной костной кисты. При большом объеме образования могут быть выявлены зоны реактивного остеогенеза в виде грубоволокнистой костной ткани (woven bone), зоны гипоклеточной зрелой соединительной ткани. Если НОФ осложнилась патологическим переломом, часто определяются зоны некротических изменений.

Рис. 6. Типичная гистологическая картина МФД/НОФ. Веретеноклеточный компонент, кластеры ксантомных клеток и депозиты гемосидерина. Окраска гематоксилином и эозином, ×400.

Рис. 7. МФД/НОФ всегда четко ограничены, местами могут содержать большое количество гигантских многоядерных остеокластоподобных клеток. Окраска гематоксилином и эозином, ×300.
Дифференциальную диагностику следует проводить с фиброзной дисплазией, аневризмальной костной кистой, гигантоклеточной опухолью, хондромиксоидной фибромой и десмопластической фибромой.
Фиброзная дисплазия по определению — доброкачественное медуллярное фиброзно-костное поражение, при котором в патологический процесс вовлекается одна или несколько костей. Чаще встречается в костях черепа и бедренных костях, реже — в ребрах, костях таза и др. Рентгенологически выглядит, как хорошо ограниченное поражение, но в отличие от МФД не локализуется кортикально. НОФ — всегда эксцентричное образование, распространяющееся медуллярно из кортикального слоя. При гистологическом исследовании фиброзная дисплазия состоит из двух компонентов: фиброзного (в виде относительно гипоклеточной зрелой соединительной ткани с вытянутыми фибробластами) и костного (в виде причудливых костных трабекул, как правило, без перифокального остеобластического римминга). В НОФ костный компонент отсутствует, могут лишь определяться участки реактивного остеогенеза, особенно при наличии патологического перелома.
Редко встречается солидный вариант аневризмальной костной кисты (АКК). Чаще локализуется в длинных трубчатых костях. При рентгенологическом исследовании АКК, как правило, в виде литического очага хорошо ограничена, часто выходит за нормальные анатомические пределы кости, иногда четкая граница с мягкотканным компонентом может утрачиваться. При гистологическом исследовании нет выраженного шториформного паттерна как при МФД/НОФ, обнаруживаются множественные фокусы реактивного остеогенеза (woven bone). В первичной АКК обнаруживается t (16;17) с перестройкой гена UPS6.
Гигантоклеточная опухоль (ГКО) практически не встречается у детей и подростков, начинает регистрироваться в конце второй — начале третьей декады жизни, тогда как МФД/НОФ возникают у детей и подростков. Локализация эпифизарно-метафизарная, поражаются длинные трубчатые кости. Примерно в половине случаев диагностируется в костях вокруг коленного сустава: дистальной части бедренной кости, проксимальном метафизе большеберцовой и малоберцовой костей. При гистологическом исследовании мононуклеарный компонент чаще представлен неопластическими клетками овальной формы, ядра мононуклеаров в ГКО идентичны по морфологии ядрам многоядерных остеокластоподобных клеток [9].
Хондромиксоидная фиброма (ХФ) — доброкачественная опухоль, состоящая из вытянутых миофибробластоподобных и звездчатых клеток, с хондроидным и миксоидным матриксом. Может быть выявлена в любом возрасте. Чаще встречается в длинных трубчатых костях на второй и третьей декадах жизни, чаще среди пациентов мужского пола. Наиболее значимым клиническим симптомом является боль (от нескольких месяцев до нескольких лет). Рентгенологически обнаруживается в метафизах длинных трубчатых костей как резко ограниченный эксцентричный очаг, чаще без подчеркнутой зоны склеротических изменений в периферических отделах. В МФД/НОФ всегда хорошо определяется зона склероза по периферии. При гистологическом исследовании ХФ состоит из долек с относительно гипоклеточным центром и возрастанием клеточности к периферии. Клетки лежат в хондроидном и/или миксоидном межклеточном матриксе. Митотическая активность достоверно не определяется или низкая.
Десмопластическая фиброма (ДФ) — редкая доброкачественная локально агрессивная опухоль кости, состоящая из веретеновидных клеток и коллагенизированного матрикса. Является аналогом глубокого фиброматоза мягких тканей. Встречается в любом возрасте, в том числе у детей и подростков. В патологический процесс может вовлекаться любая кость, однако чаще возникает в нижней челюсти, метаэпифизарных зонах бедренной, большеберцовой, лучевой, плечевой костей, а также в костях таза. При рентгенологическом исследовании, как правило, контуры патологического очага выходят за анатомические границы кости. ДФ хорошо ограничена, часто имеет «сотовое» строение, иногда в патологический процесс вовлекаются мягкие ткани, в некоторых случаях наблюдается периостальная реакция, чего не бывает при МФД/НОФ. При гистологическом исследовании ДФ состоит из пучков веретеновидных фибробластоподобных клеток с выраженным коллагенизированным межклеточным матриксом. При иммуногистохимическом исследовании часто выявляется ядерная реакция с антителом к β-catenin.
Выводы
1. МФД/НОФ являются одними из самых частых новообразований длинных трубчатых костей у детей и подростков.
2. МФД/НОФ имеют типичную рентгенологическую картину и не требуют хирургического лечения в подавляющем большинстве случаев.
3. МФД/НОФ следует дифференцировать с фиброзной дисплазией, аневризмальной костной кистой, гигантоклеточной опухолью, хондромиксоидной фибромой и десмопластической фибромой.
Фиброма
Информацию из данного раздела нельзя использовать для самодиагностики и самолечения. В случае боли или иного обострения заболевания диагностические исследования должен назначать только лечащий врач. Для постановки диагноза и правильного назначения лечения следует обращаться к Вашему лечащему врачу.
Для корректной оценки результатов ваших анализов в динамике предпочтительно делать исследования в одной и той же лаборатории, так как в разных лабораториях для выполнения одноименных анализов могут применяться разные методы исследования и единицы измерения.
Фиброма: причины появления, симптомы, диагностика и способы лечения.
Определение
Фиброма — это доброкачественное образование из волокон соединительной ткани, которая присутствует в каждом органе человеческого организма, поэтому фиброма может иметь любую локализацию. Фибромы бывают единичными или множественными (фиброматоз). Чаще всего эти новообразования поражают мягкие ткани конечностей и туловища, но также обнаруживаются во внутренних органах и полостях.
Причины появления фибром
Фиброма кожи встречается в любом возрасте, у лиц обоего пола и представляет собой хорошо отграниченный и четко выраженный узел, который возвышается над поверхностью кожи, часто имеет ножку и расположен на поверхности тела или слизистых оболочках. В зависимости от соотношения опухолевых клеток и коллагеновых волокон различают мягкую фиброму (фибропапиллому) и твердую (дерматофиброму). Мягкая фиброма считается молодым новообразованием и по мере старения превращается в твердую. Часто появляется на коже лица, спины, ног, головы. Мягкие фибромы у ребенка встречаются в основном в области гениталий и заднего прохода. Опухоль, как правило, не перерождается в злокачественную, растет медленно и может достигать огромных размеров. Не причиняет пациенту никакого дискомфорта, кроме эстетического.

Фиброма (фибромиома) матки формируется из соединительной ткани и мышечных волокон. К причинам образования фибромы матки относят хронические воспаления половых органов, аборты, нерегулярные половые отношения, тяжелые или поздние роды, стрессы, эндокринные заболевания, в том числе сахарный диабет.
Фиброма (фиброаденома) молочной железы имеет железистую природу с преобладанием соединительной ткани, которую связывают с изменениями гормонального фона в различные периоды жизни женщины. Существуют две гистологические формы опухоли - околопротоковая и внутрипротоковая.
Фиброма яичника развивается из его стромы («поддерживающих» клеток яичника), не проявляет гормональной активности. Развивается в среднем возрасте на фоне сбоев менструального цикла и нарушений детородной функции. Часто сочетается с поликистозом яичников или фибромой матки. Может быть отграниченной (с четко выраженной капсулой, отделяющей ее от овариальной ткани) и диффузной (яичник поражен полностью).
Подошвенная фиброма возникает из группы эластичной соединительной ткани, называемой подошвенной фасцией, которая поддерживает свод стопы.

Фибромы на десне не опасны, характеризуются медленным ростом. Чаще всего их причиной становится травма десны из-за неправильно установленного протеза, а у ребенка может - из-за неправильного ношения пластинки. Причинами развития также является воспаление, пародонтоз, гингивит и другие заболевания полости рта.
Фиброма гортани возникает на голосовых связках и опасна для жизни, так как может привести к остановке дыхания.
Фибромы желудка и других органов желудочно-кишечного тракта образуются на слизистых оболочках.
Фиброма костей характеризуется очаговой резорбцией (рассасыванием) кортикального слоя отдела трубчатой кости с замещением его на фиброзную. Образуется в бедренной, берцовой, плечевой и пяточной костях. Чаще всего встречается у детей и подростков. Во многих случаях приводит к патологическим переломам.
Ангиофиброма состоит из множества расширенных сосудов. Эта вазоактивная опухоль встречается в основном у подростков мужского пола.
Предрасполагающими факторами развития фибромы считают воспалительные процессы, микротравмы, укусы насекомых, предшествующие инфекционные заболевания, паразитарные и глистные инвазии, прием бета-блокаторов.
У женщин фибромы развиваются в основном под влиянием гормональных факторов. Они часто сочетаются с разрастанием других тканей: сосудистой (ангиофиброма), мышечной (фибромиома), железистой (фиброаденома) либо жировой (фибролипома).
Фибромы у мужчин чаще возникают вследствие избыточных нагрузок, воздействия неблагоприятных факторов внешней среды и вредных привычек.
Факторами риска возникновения фибромы у детей считают наследственную предрасположенность, излишнюю потливость, неправильный рацион питания, гормональные сбои, длительное пребывание на солнце.
Классификация заболевания
Для фибром не существует системы классификации. На основании патофизиологии и локализации опухоли фибромы рассматривают следующие формы:
- фибропапиллома - мягкая фиброма, состоящая из множества рыхло связанных клеток и меньшего количества фиброзной ткани;
- дерматофиброма - твердая фиброма, единичное или множественное образование внутрикожной локализации, подвижное и безболезненное при прощупывании, с неизмененным цветом, состоит из множества волокон и нескольких клеток. Особой формой является келоид, возникающий в результате гиперпластического разрастания рубцовой ткани;
- кистозная фиброма имеет центральное размягчение или расширение лимфатических сосудов;
- миксофиброма возникает в результате разжижения подлежащих мягких тканей;
- цементно-оссифицирующая фиброма твердая и волокнистая, чаще всего наблюдается на челюсти или во рту, иногда формируется как следствие перелома или другой травмы;
- хондромиксоидная фиброма - редкая хрящеобразующия опухоль;
- десмопластическая фиброма - редкая локально агрессивная внутрикостная опухоль;
- неоссифицирующая фиброма - доброкачественный фиброзный дефект костной ткани;
- оссифицирующая фиброма - редкое фиброзно-костное доброкачественное новообразование у детей и лиц молодого возраста;
- перифолликулярная фиброма - представляет собой куполообразный очаг, состоящий из одного или нескольких волосяных фолликулов;
- фиброма сухожильного влагалища - узелки, состоящие из мягких, тонких, веретенообразных клеток (миофибробластов), на пальцах рук или ступней;
- нейрофиброма - доброкачественная опухоль нервной оболочки периферической нервной системы;
- десмоидная фибриома - редко встречается, происходит из избытка волокон коллагена и дифференцированных фибробластов, часто прогрессирует и рецидивирует. Образуются в мягких тканях, забрюшинном пространстве или на брюшной стенке. Распространенные места для таких опухолей - шрамы от кесарева сечения или операций;хондриомиксомы - редкие опухоли, которые поражают костную ткань - края трубчатых костей, таз, ребра, позвонки, стопы, плюсну;
- ангиофибриомы в области щек и носа, содержащие небольшие бугорки с соединительно-тканными волокнами.
Симптомы фибромы разнятся в зависимости от локализации новообразования.
Основным признаком дерматофибромы является появление нароста в виде сферического узелка, возвышающегося над поверхностью кожи на широком основании либо на ножке. Симптомы связаны с дискомфортом, могут появляться и исчезать. К ним относятся: изменение цвета кожи, зуд, периодическая припухлость над опухолью, возможное кровотечение при травме опухоли, повышенная чувствительность при прикосновении. Поверхность дерматофибромы обычно гладкая, но иногда на ней бывают бородавчатые образования.
Общие симптомы фибромы матки: обильные или продолжительные менструальные выделения, аномальное кровотечение между менструациями, боль в области таза, частое мочеиспускание, люмбаго, боль во время полового акта, бесплодие.

Размеры фибромы яичников обычно не превышают 12 сантиметров. Симптомы при фиброме яичников более 5 см включают в себя ноющие боли внизу живота, вздутие и припухлость, отдышку, усталость.
Обычно перед менструацией фиброма молочной железы обуславливает чувство распирания внутри груди.
Фиброма желудка больших размеров проявляется постоянным чувством тяжести, рвотой, частой отрыжкой, кровотечениями.
Частые симптомы при фиброме гортани: хрипота, осиплость или утрата голоса, боль в шее, чувство инородного тела, кашель.
Для подошвенной фибромы характерны следующие симптомы: твердая шишка в своде стопы, боль при надавливании, стоянии или ходьбе, возникновение дополнительных фибром со временем.
Фибромы, образовавшиеся на внутренних органах, зачастую не дают о себе знать, поэтому обнаруживаются случайно либо при развитии каких-либо осложнений.
Диагностика фибром
Основополагающим исследованием дифференциальной диагностики и исключения злокачественного процесса является гистологическое исследование биопсийного материала и иммуногистохимическое исследование, дополненные молекулярными методами.
Взятие биоматериала оплачивается отдельно. Согласно требованиям п. 17 Правил проведения патолого-анатомических исследований, утв. Приказом Минздрава Росс.
Фиброз
Фиброз: причины появления, симптомы, диагностика и способы лечения.
Фиброз — особое патологическое состояние, при котором происходит аномальное избыточное разрастание соединительной ткани с появлением рубцовых изменений в различных органах. В результате активного роста клеток, которому предшествует воспалительный процесс, при нарушении механизмов заживления в пораженных тканях образуются рубцы. Фиброз рассматривается как реакция организма, направленная на изоляцию очага воспаления от окружающих тканей и системного кровотока и препятствующая его дальнейшему распространению по организму.
Рубцовая ткань состоит преимущественно из коллагена и отличается от тканей, которые она замещает, сниженными функциональными свойствами. Например, рубцы на коже более чувствительны к ультрафиолетовому излучению, в них отсутствуют потовые железы и волосяные фолликулы, а рубец в сердечной мышце после инфаркта миокарда не участвует в сокращении сердца и может приводить к сердечной недостаточности.
Фиброз способен поражать любые ткани и органы, но чаще всего встречается фиброз легких, печени, почек и сердца.
Причины появления фиброза
Причинами фиброза могут стать инфекционные и вирусные заболевания, нарушения обменных процессов, аллергические реакции, облучение, травмы, хирургическое вмешательство, воспалительные процессы, воздействие некоторых лекарственных препаратов, токсических веществ, а также определенные генетические и неинфекционные заболевания (например, жировая болезнь печени может привести к ее фиброзным изменениям).
Легочный фиброз (пневмосклероз) относится к состояниям, при которых снижается эластичность и растяжимость легочной ткани, затрудняется прохождение кислорода и углекислого газа через стенку альвеол (легочных пузырьков, в которых происходит контакт вдыхаемого воздуха с кровью). Может возникать как вторичное состояние при других заболеваниях, но в большинстве случаев его основная причина не ясна, поэтому используется термин идиопатический легочный фиброз.

Фиброз печени
Фиброз печени - это рубцовая ткань и узелки, которые замещают ткань печени и нарушают ее функцию. Состояние обычно сопровождает алкоголизм, жировую болезнь печени, гепатит B или C. Каждый раз, когда печень подвергается стрессу или травме, запускается процесс регенерации и при этом образуется рубцовая ткань.
По мере нарастания рубцовой ткани функция печени ухудшается, а при прогрессировании фиброза развивается цирроз печени.
Сердечный фиброз
Фиброз формируется в тех областях сердца, которые были повреждены в результате инфаркта миокарда. Сердечный фиброз увеличивает риск сердечной недостаточности.
Фиброз средостения
Эта форма фиброза характеризуется кальцинированным фиброзом лимфатических узлов, который может блокировать дыхательные каналы и кровеносные сосуды.
Фиброз забрюшинной полости
Относится к фиброзу мягких тканей забрюшинного пространства - аорты, почек и других структур.
Фиброз костного мозга
Миелофиброз - это рубцы в костном мозге, которые препятствуют нормальному образованию клеток крови.
Рубцовая ткань, которая образуется на коже в ответ на травму, называется келоидом.
Склеродермия, или системный склероз
Склеродермия - это аутоиммунное заболевание соединительной ткани, которое, в первую очередь, поражает кожу, но также может наблюдаться и в других органах - почках, сердце и легких.
Фиброзная дисплазия кости
Существует мнение, что фиброзная дисплазия кости развивается из-за мутации в генах. В основном болезнь показывает себя при рождении, хотя описаны редкие случаи, когда ее первые проявления диагностировались у взрослых пациентов.
Фиброзные изменения при новой коронавирусной инфекции COVID 19
Особую актуальность проблема фиброза приобрела в свете последствий распространения новой коронавирусной инфекции. У 27-45% пациентов, перенесших инфекцию, развиваются явления фиброза со стороны дыхательной и сердечно-сосудистой систем, с которыми могут быть связаны большинство неблагоприятных исходов заболевания.

Особенностью данной инфекции является гипоксия, кислородное голодание. Системный воспалительный ответ, индуцируемый вирусной инфекцией и реализуемый, в том числе, посредством цитокинового шторма, также может затронуть мозг, носоглотку, глаза, сердце, кровеносные сосуды, печень, почки и кишечник, то есть буквально все жизненно важные органы.
Классификация заболевания
Фиброз классифицируют в зависимости от органа, который он захватывает.
- фиброторакс;
- легочный фиброз:
- муковисцидоз,
- идиопатический фиброз легких;
- переходный фиброз - продвинутая стадия фиброза печени, проявляющаяся во время прогрессирующих форм хронических заболеваний печени,
- цирроз.
- глиальный шрам.
- фиброз миокарда:
- интерстициальный фиброз, описанный при застойной сердечной недостаточности, гипертонии и старении организма,
- замещающий фиброз, который указывает на перенесенный инфаркт миокарда.
- артериальная жесткость,
- фиброзная дисплазия кости,
- артрофиброз (коленного, плечевого, других суставов),
- хроническая болезнь почек,
- болезнь Крона,
- контрактура Дюпюитрена,
- келоидные рубцы кожи,
- фиброз средостения,
- миелофиброз костного мозга,
- фиброзные изменения молочной железы,
- болезнь Пейрони,
- нефрогенный системный фиброз кожи,
- прогрессирующий массивный фиброз легких - осложнение пневмокониоза угольщиков,
- забрюшинный фиброз,
- склеродермия / системный склероз,
- некоторые формы адгезивного капсулита.
- Локальное разрастание соединительной ткани - очаговый фиброз. Патология имеет четкие границы, возможно появление нескольких очагов фиброза на одном типе ткани. Очаговый фиброз также может рассматриваться как начальная стадия диффузного фиброза.
- Тотальный, или диффузный фиброз - характеризуется обширным поражением ткани различных органов. Диагностируется на поздних стадиях развития процесса.
- Кистозный фиброз. Рассматривается специалистами как отдельная патология, которая развивается в результате обменных нарушений.
Пневмофиброз чаще всего проявляется одышкой, которая сначала возникает только во время активных физических нагрузок, а по мере прогрессирования процесса даже в покое. Состояние пациента характеризуется как средней тяжести: поступают жалобы на слабость и быструю утомляемость. При выраженном патологическом процессе развивается сопутствующее заболевание - легочное сердце. Наиболее часто фиброз формируется в корнях легких и крупных бронхах.
Фиброз печени проявляется развитием гипертензии печеночного генеза (портальной гипертензии). Этот вид гипертензии плохо купируется, у больного появляются отеки, асцит (скопление жидкости в брюшной полости), увеличиваются печень и селезенка. Пациенты жалуются на чувство тяжести в правом боку, выраженный кожный зуд. В дальнейшем манифестируют различные кожные высыпания.
Фиброз молочной железы (развивается только у женщин) характеризуется хорошо пальпируемыми уплотнениями в молочной железе. Внешне такой фиброз может проявляться гиперемией кожного покрова над местом поражения.
![Молочные железы.jpg]()
При фиброзе матки (фиброматозе матки) ее структурные слои заменяются соединительной тканью. Женщину могут беспокоить кровянистые выделения в середине цикла, более сильные болезненные ощущения во время менструации, дискомфорт при половом акте.
Фиброз сухожилий может привести к таким состояниям, как контрактура Дюпюитрена (ладонный фиброматоз), которая вызывает деформацию пальцев рук.
Диагностика фиброза
В зависимости от локализации и причины фиброзных образований могут потребоваться различные диагностические процедуры:
Исследование молочных желез, позволяющее оценить структуру органа, для диагностики и выявления заболеваний молочных желез у женщин на ранних стадиях.
Оссифицирующая фиброма глазницы: признаки, гистология, лечение, прогноз
Сокращения:
КТ — компьютерная томография
ОНП — околоносовые пазухи
ОФ — оссифицирующие фибромы
ФД — фиброзная дисплазия
ЮОФ — ювенильная оссифицирующая фиброма
ЮПОФ — ювенильная псаммоматоидная оссифицирующая фиброма
ЮТОФ — ювенильная трабекулярная оссифицирующая фиброма
Введение
Ювенильная оссифицирующая фиброма (ЮОФ) — редкое фиброзно-костное доброкачественное новообразование. В структуре оссифицирующих фибром ЮОФ встречается редко, преимущественно у детей, и проявляется поражением костей черепа, в особенности лицевого скелета.
Несмотря на доброкачественную природу, ЮОФ характеризуется злокачественным течением и агрессивным быстрым деструирующим ростом, что нередко приводит к формированию деформирующих дефектов лица со снижением качества жизни пациентов. Эти факторы обусловливают необходимость радикального хирургического удаления опухоли после верификации диагноза [1—4].
Особенностью ЮОФ является поражение костей средней зоны лица: области околоносовых пазух (ОНП) и полости носа с распространением на основание черепа и в орбиту; поражение верхней челюсти, что затрудняет радикальность удаления образования и повышает риск развития рецидива, который, по данным некоторых авторов, составляет от 30 до 58% [5, 6]. В связи с этим при многообразии хирургических доступов и техник [5, 7—10] вопрос выбора операционной тактики остается на сегодняшний день открытым и имеющим высокую актуальность.
Цель исследования — проанализировать клинические характеристики, особенности и эффективность хирургического лечения пациентов с ЮОФ по данным отдела хирургии головы и шеи НМИЦ ДГОИ им. Дмитрия Рогачева.
На базе НМИЦ ДГОИ им. Дмитрия Рогачева в период с января 2013 г. по декабрь 2019 г. было проведено хирургическое лечение 11 пациентов с ЮОФ: 6 (54,5%) мальчиков и 5 (45,5%) девочек в возрасте от 2 до 13 лет (Ме 10 лет).
Критерии включения в исследование: возраст до 18 лет, характерные для ЮОФ рентгенологические признаки, наличие заключения гистологического исследования опухоли.
Был осуществлен ретроспективный анализ историй болезни пациентов с оценкой жалоб, данных анамнеза, результатов осмотра врачами-консультантами и других методов обследования. Всем пациентам перед проведением хирургического лечения была выполнена спиральная компьютерная томография (КТ) головы, большинству с целью оценки интракраниального распространения опухоли — дополнительно магнитно-резонансная томография. Всем пациентам диагноз был установлен с учетом клинико-рентгенологических данных и подтвержден гистологически.
Кроме того, была проведена оценка результатов лечения и данных динамического послеоперационного наблюдения пациентов.
Самой встречающейся локализаций ЮОФ оказался решетчатый лабиринт (9/11; 81,82%), в большинстве случаев — с распространением опухоли в орбиту (7/11; 63,64%). Также часто процессом была поражена верхняя челюсть (6/11; 54,55%), из них в 2/6 (33,33%) случаях — с вовлечением альвеолярного отростка.
Наиболее часто заболевание манифестировало затруднением носового дыхания (5/11; 45,46%) и/или экзофтальмом (5/11; 45,46%). На 2-м месте по частоте были жалобы на асимметрию лица (4/11; 36,36%) или слезотечение (4/11; 36,36%); 2/11 (18,18%) пациентов беспокоили выделения из носа, 1/11 (9,09%) — снижение остроты зрения и 1/11 (9,09%) — птоз.
У 11 пациентов с ЮОФ было выполнено 15 хирургических вмешательств.
Самым распространенным был наружный хирургический доступ, который применялся в 7 (63,64%) случаях. В том числе в 4/7 (57,14%) случаях он представлял собой трансвестибулярный доступ к верхней челюсти и применялся при расположении опухоли в области верхней челюсти, верхнечелюстной пазухи, решетчатого лабиринта и при распространении в орбиту. В 2/7 (28,57%) случаях производилась максиллэткомия с реконструкцией верхней челюсти свободным малоберцовым гребнем с формированием сосудистого анастамоза и одномоментной реконструкцией нижней стенки орбиты титановой пластиной. Такая операция была необходима при поражении верхней челюсти с деструкцией альвеолярного отростка. В 1/7 (14,29%) случае выполнялся бикоронарный доступ — при локализации ЮОФ в области лобной пазухи и решетчатого лабиринта с распространением опухоли в орбиту и переднюю черепную яму.
Трансназальное эндоскопическое удаление опухоли осуществлялось в 4/11 (36,36%) случаях. Комбинированный доступ (сочетание наружного доступа с трансназальным эндоскопическим удалением новообразования) потребовался в 2/11 (18,18%) случаях: в одном случае выполнялось сочетание эндоскопического трансназального удаления с трансвестибулярным наружным доступом, в другом — сочетание эндоскопического с бикоронарным доступом.
Биопсия новообразования проводилась у 2/11 (18,18%) пациентов, у остальных детей она была выполнена ранее по месту жительства. У большинства пациентов морфологически был верифицирован трабекулярный тип ЮОФ (7/11; 63,64%), у 3/11 (27,27%) — псаммоматоидный тип, у 1/11 (9,09%) тип ЮОФ не был определен.
Средний срок наблюдения составил 19,1 (от 5 до 81) мес. С одним пациентом связь была утеряна, в связи с чем он выбыл из исследования. Таким образом, осложнения и исход исследовались у 10 пациентов.
Осложнения (ранние и отсроченные) после проведенного хирургического лечения были отмечены у 3/10 (30%) пациентов. В 1/10 (10%) случае возникла диплопия сразу после трансназального эндоскопического удаления ЮОФ. Для коррекции диплопии проводилась реконструкция нижнемедиальной стенки орбиты титановой пластиной — с положительным эффектом.
Отсроченные осложнения были отмечены у 2/10 (20%) пациентов: у 1/10 (10%) через 5 мес после операции были выявлены признаки одностороннего полисинусита, дакриоцистита, в связи с чем ему были выполнены дакрицисториностомия и эндоскопическая трансназальная полисинусотомия с положительным эффектом; у 1/10 (10%) было обнаружено прорезывание металлоконструкции через слизистую оболочку в преддверии рта, в связи с чем ему была выполнена операция (демонтаж металлоконструкции и вестибулопластика) — с положительным эффектом.
Рецидив был отмечен у 2/10 (20%) пациентов; еще у 2/10 (10%) по данным визуализации был зафиксирован остаточный компонент опухоли без достоверных признаков продолженного роста, у остальных (6/10; 60%) пациентов на момент проведения исследования данных за рецидив опухоли не было.
Клиническая характеристика пациентов, включенных в исследование, представлена в табл. 1.
![]()
Таблица 1. Клиническая характеристика пациентов с ЮОФ
Примечание. Пол: М — мужской; Ж — женский. Локализация: КП — клиновидная; РЛ — решетчатый лабиринт; О — орбита; ОЧ — основание черепа; ВЧ — верхняя челюсть; ЛП — лобная пазуха; ПЧЯ — передняя черепная яма; ЛК — лобный карман; ПН — полость носа; ВЧП — верхнечелюстная пазуха.
В настоящее время принято выделять 3 формы оссифицирующей фибромы (ОФ): конвенциональная ОФ, ювенильная псаммоматоидная ОФ (ЮПОФ), ювенильная трабекулярная ОФ (ЮТОФ) [2, 6].
Конвенциональная ОФ, как правило, встречается у взрослых пациентов, несколько чаще у женщин, и локализуется в области нижней (70—90%) и верхней челюстей (10—30%), характеризуется медленным бессимптомным ростом, редко рецидивирует и часто оказывается случайной находкой по данным визуализационных методов исследования [4].
ЮОФ обычно встречается у детей и подростков, поражает чаще среднюю зону лица — область ОНП с распространением на основание черепа и в орбиту, а также верхнюю челюсть, характеризуется агрессивным быстрым ростом с высоким риском развития рецидива (30—58%) [1, 2, 5, 6]. В зависимости от локализации ЮОФ, она может проявляться различными симптомами, такими как: асимметрия лица, лицевая/головная боль, экзофтальм, диплопия, гипосмия, затруднение носового дыхания, выделения из носа/носовые кровотечения, симптомы компрессии черепно-мозговых нервов и др. [7, 8].
Также имеются различия между двумя типами ЮОФ. ЮПОФ, как правило, встречается у детей более старшего возраста, чем ЮТОФ, а также, несмотря на терминологию, в литературе имеются редкие описания взрослых пациентов (до 80 лет) с ЮПОФ. Для этого типа ОФ характерна локализация в синоназальной области, особенно в области решетчатого лабиринта, с распространением в полость носа и ОНП, а также нередко в орбиту и на основание черепа [8, 9]. ЮПОФ характеризуется фибробластической стромой с включениями отдельных сферических кальцификатов — псаммоматоидных телец или их конгломератов. Псаммоматоидные тельца при ЮПОФ отличаются от обычных отложений цемента при ОФ. Также в опухолевую ткань могут быть включены участки вторичной аневризмальной костной кисты [1—3].
ЮТОФ чаще поражает верхнюю челюсть и наблюдается у детей младшего возраста — до 15 лет [7, 9]. Гистологически ЮТОФ характеризуется клеточной фиброзной тканью с малым количеством межуточного коллагена, с расположенными в ней структурами остеоида как с остеобластическим ободком, так и без него [1—3].
В настоящем исследовании не было выявлено корреляции между морфологическим типом ЮОФ и локализацией образования (преимущественное поражение ОНП или верхней челюсти).
Рентгенологические признаки
Характерной чертой ЮОФ являются четкие границы образования по данным КТ. Как правило, на снимках визуализируется очаг сферической формы, сочетающий в себе участки костной и фиброзной ткани различной плотности. Часто в центре очага бывает более рентгенопрозрачный участок — облаковидный фокус.
Для ЮПОФ характерен симптом «матового стекла», для ЮТОФ — хаотичное включение кальцинатов (рис. 1, а, 2, а) [9].
![]()
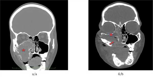
Рис. 1. Клинический случай 1. КТ, коронарная проекция.
а — ЮТОФ решетчатого лабиринта с распространением в орбиту, на основание черепа, в полость носа и верхнечелюстную пазуху. Звездочкой обозначено образование; б — состояние после удаления ЮОФ. Стрелкой показан дефект нижнемедиальной стенки орбиты, звездочками показаны послеоперационные изменения в решетчатой и верхнечелюстной пазухах; в — КТ через 5 мес после удаления ЮОФ с реконструкцией нижнемедиальной стенки орбиты. Стрелка указывает на пластину. Нет данных за рецидив.![]()
Рис. 2. Клинический случай 2. КТ, коронарная проекция.
а — ЮПОФ верхней челюсти с вовлечением и деструкцией альвеолярного отростка верхней челюсти справа. Звездочкой показано образование; б —снимки через 5 мес после максиллэктомии с микрохирургической реконструкцией верхней челюсти свободным малоберцовым гребнем. Послеоперационные изменения в проекции верхней челюсти, верхнечелюстная пазуха. Стрелкой показан трансплантат. Нет данных за рецидив.Дифференциальная диагностика проводится прежде всего с фиброзной дисплазией (ФД), ее бывает затруднительно выполнить морфологически, однако рентгенологически, как правило, визуализируются выраженные различия: при ЮОФ образование четко отграничено от прилежащей кости, при ФД отсутствует демаркационная разграничительная зона от здоровой кости, образование распространяется вдоль костных анатомических структур, повторяя конфигурацию вовлеченной кости [11—12]. В связи с этим диагноз ЮОФ должен ставиться комплексно, с учетом клинических, рентгенологических и морфологических данных [1—3].
При анализе данных литературы не было найдено описания случаев малигнизации ЮОФ. Лечение ЮОФ должно быть радикальным, что связано с высоким риском развития рецидива опухоли (по данным других исследований — 30—58%). В настоящем исследовании процент рецидива достигал 20%.
Однако настоящее исследование имело ряд ограничений, среди которых: малая выборка, высокая вариативность хирургических доступов, непродолжительный срок наблюдения. Несмотря на это, были выделены некоторые тенденции в хирургии ЮОФ.
Так, было отмечено, что наиболее частым оказался наружный хирургический доступ в связи с поздней манифестацией заболевания — опухоль имела большие размеры и обширное распространение сразу на несколько анатомических структур на момент выявления.
В ряде случаев удаление опухоли приводит к формированию дефекта лицевого скелета, который требует выполнения реконструктивно-пластического этапа. В связи с этим целесообразно осуществлять такие операции в многопрофильных центрах, в частности, на базе отделений хирургии головы и шеи, где подобные оперативные вмешательства проводятся специализированной бригадой хирургов и имеется возможность удаления образования с реконструкцией дефекта симультанно.
В настоящей серии наблюдений при вовлечении альвеолярного отростка верхней челюсти и его разрушении пациентам выполнялась максиллэктомия с реконструкцией челюсти свободным малоберцовым гребнем с формированием микрохирургических сосудистых анастамозов. При вовлечении в процесс стенки орбиты, требующем ее резекции, выполнялась реконструкция при помощи титановой пластины.
В связи с редкостью патологии и отсутствием клинических рекомендаций подобные серии наблюдений являются важным источником информации на сегодняшний день. Однако срок наблюдения за пациентами в настоящем исследовании был небольшим, что, безусловно, требует его продолжения и повторного анализа результатов в будущем.
Клинический случай № 1
Пациент, 12 лет, поступил в НМИЦ ДГОИ с жалобами на выстояние глазного яблока справа, затруднение носового дыхания. Месяц назад был прооперирован в другом ЛПУ — было произведено трансназальное эндоскопическое субтотальное удаление образования. По результатам КТ при поступлении: данные свидетельствуют о продолженном росте опухоли.
Пациенту было выполнено радикальное удаление ЮТОФ трансназальным эндоскопическим методом. По результатам КТ после операции: данных за резидуальную опухоль нет, однако после операции у пациента возникла диплопия. Для коррекции диплопии проводилась реконструкция нижнемедиальной стенки орбиты титановой пластиной с положительным эффектом. На рис. 1 представлены КТ-снимки пациента до и после хирургического лечения.
Клинический случай № 2
Пациент, 8 лет, поступил в НМИЦ ДГОИ с жалобами на асимметрию лица за счет безболезненного выбухания в области правой щеки в течение 3 мес. По месту жительства пациенту проводилось лечение по поводу периостита верхней челюсти, далее была выполнена биопсия. При пересмотре материала в НМИЦ ДГОИ установлен диагноз: ЮОФ, псаммоматоидный тип. По данным КТ при поступлении: образование верхней челюсти слева, с вовлечением и разрушением альвеолярного отростка и верхнечелюстной пазухи.
Пациенту было произведено радикальное хирургическое лечение в объеме резекции левой верхней челюсти с микрохирургической реконструкцией свободным малоберцовым лоскутом, с одномоментной реконструкцией нижней стенки орбиты. По данным визуализации после операции: нет признаков резидуальной опухоли, трансплантат состоятелен.
На рис. 2 представлены КТ-снимки пациента до и после хирургического лечения.
![]()
Таблица 2. Особенности хирургического лечения
Примечание. Хирургическое лечение: ТЭ — трансназальное эндоскопическое удаление; МЭ — максиллэктомия; КД — комбинированный доступ; НД — наружный доступ; РВЧ — резекция верхней челюсти; ЭБ — эксцизионная биопсия. Реконструкция: ВЧ с СМЛ — реконструкция верхней челюсти свободным малоберцовым лоскутом с формированием сосудистого анастамоза; РО — реконструкция орбиты. Морфология: Т — трабекулярный тип ЮОФ; П — псаммоматоидный тип ЮОФ. КТ после операции: Да — КТ проводилось в течение 2 нед после операции; ОК — остаточный компонент; НРО — нет данных за резидуальную опухоль. Исход: ОК — остаточный компонент; ПР — продолженный рост; НДЗР — нет данных за рецидив; Р — рецидив; ВИ — выбыл из исследования.
Читайте также:
- Рак пищевода
- Бактерицидные антибиотики. Постантибиотический эффект (ПАЭ)
- Кардиоверсия. Показания и техника кардиоверсии
- Блокаторы кальциевых каналов при рефлекторной симпатической дистрофии. Агонисты адренорецепторов при рефлекторной симпатической дистрофии.
- Метод фиксации центральной окклюзии гипсом. Техника фиксации центральной окклюзии гипсом.





