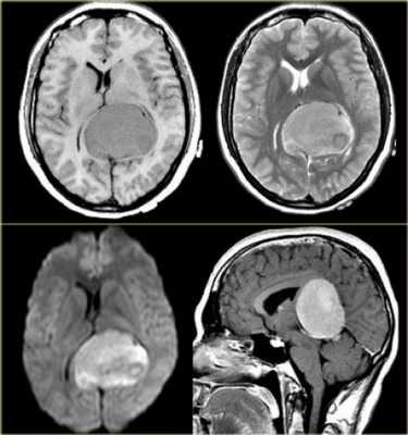
Папиллярная опухоль пинеальной области на МРТ
Добавил пользователь Евгений Кузнецов Обновлено: 11.12.2025
На компьютерную томографию, с подозрением на патологическое образование почек, пациент был направлен после УЗИ и это было правомерно: ультразвуковое исследование и КТ часто - взаимодополняющие методы. Правильно выполнив исследование, мы подтвердили наличие очагового образования левой почки (увы, у пациента был обнаружен рак почки). И это была плохая новость.
Но исследование включало и чуточку хорошего - в правой подвздошной области у пациента обнаружилась абсолютно нормальная «полноразмерная» почка, сосудистая ножка которой была «ориентирована» на подвздошные сосуды.
Что же показывает КТ почек? Каковы возможности этого метода при обследовании почек?
В норме при компьютерной томографии почек с контрастом мы говорим о паренхиме почки и почечном синусе. Паренхима начинает дифференцироваться на две зоны - кортикальный слой и мозговое вещество в артериальную фазу контрастного усиления. В позднюю венозную, равновесную, или паренхиматозную фазу контрастированные кортикальный слой и мозговой слой не различаются, чуть позже происходит доминирование контрастирования мозгового слоя, но не везде, а ближе к собирательной системе, и уж совсем поздно - после 5 минуты, контрастное вещество начинает заполнять чашечно-лоханочную систему.
Как видим, почки - еще более «дозовонагружаемый» орган при КТ, чем печень. Там можно обойтись тремя фазами сканирования. При исследовании почек - при корректно выполненном исследовании - фаз должно быть четыре (минимум).
Надо признать, что дифференциация слоев почек при МРТ видна и без контрастного усиления. Однако морфология и функция органа оценивается по тем же принципам контрастного усиления, что и при КТ.
Молодых врачей-рентгенологов, проводящих исследование почек, волнует вопрос: « В какую фазу что ищем?».
В нативную - рентгеноконтрастные конкременты, нарушения очертания наружного контура (подозрение на очаг), расширение чашечно-лоханочной системы - возможные начальные проявления гидронефротической трансформации. Гиподенсные зоны: нечеткие контуры - абсцессы? Четкие - кисты. Перемычки в кистах - подозрение на кистозную форму опухоли.
В артериальную - дефекты контрастирования кортикального слоя (как правило, опухоли) и оцениваем распространенность опухоли, особенно на чашечки и лоханку, а также на соседние органы. Ярко контрастированные сосуды в центре опухоли, в сочетании с жировой плотностью отдельных зон опухоли - это ангиомиолипома. В зависимости от доминирования того или иного компонента, опухоль (доброкачественная) может иметь абсолютно разную КТ-картину. При доминировании жировой ткани (липоангиомиома) может выглядеть «страшно», но остается доброкачественной. При преобладании гладкомышечного компонента может напоминать онкоцитому (тоже доброкачественную опухоль).
В венозную (паренхиматозную) фазу - лучше видны границы кист и контрастирования солидного компонента в кистозных опухолях. Также виден край опухоли и можно оценить ее распространение на чашечки и лоханку. В отсроченную (экскреторную) фазу - четко видны границы чашечек и лоханок, а также тромбы и рентгеннегативные камни и опухоли мочеточника с внутрипросветным ростом. Еще в эту фазу легко дифференцировать парапельвикальные кисты (не контрастируются) от лоханки (контрастированной), что иногда крайне сложно сделать в нативную фазу. Изображения артериальной и экскреторной фаз используют для трехмерных реконструкций - красиво и наглядно. При МРТ «стоячая жидкость» - моча, желчь и панкреатический сок на тяжеловзвешенных Т2 изображениях будет яркой - и можно получить изображение, имитирующее изображение экскреторной урограммы.
Нужно ли уж так стараться дифференцировать опухоли почек? Ведь все равно пациента ждёт нефрэктомия! Далеко не всегда. Например, у нас, в Институте хирургии им. А.В. Вишневского, выполняют не просто органосохраняющие операции (резекции почек - по показаниям), но и экстракорпоральные резекции с ортотопической реимплантацией собственной почки (проще говоря, почку на время «вынимают» из тела пациента, в специальных условиях оперируют «в лотке», и возвращают на «законное» место.
Важно: больной должен обратиться за хирургическим лечением уже полностью обследованным (включая все анализы, УЗИ, КТ или МРТ).
Предвосхищая вопрос пациентов «Как долго растут опухоли почек?», отвечаю: обычно долго. И если вовремя выполнить обследование - всегда есть шанс на Успех. И даже спасти этот важный орган возможно - современная хирургия позволяет это! Главное - не отчаиваться.
Григорий Кармазановский - доктор медицинских наук, профессор, заведующий отделом лучевых методов диагностики ФГБУ «Институт хирургии им. А.В. Вишневского» Министерства здравоохранения Российской Федерации (Москва).
Классификация опухолей центральной нервной системы
В 2016 году вышла 5 классификация опухолей головного мозга. Основной упор при изменениях в классификации был сделан на гистологические характеристики опухолей такие, как митотическая активность, некроз, клеточность и неоангиогенез.
Наиболее большим изменениям подверглись следующие группы:
- диффузные астроцитомы
- медуллобластомы
- мезенхимальные опухоли оболочек (солитарные фиброзные опухоли твердой мозговой оболочки и гемангиоперицитом теперь в одной форме).
Степень злокачественности
- I степень — новообразования с низкой пролиферативной активностью, медленно растущие, имеющие клетки, которые очень похожи на нормальные, и редко распространяющееся на близлежащие ткани.
- II степень — медленно растущие новообразования имеющие атипичные клетки, инфильтрирующие прилежащее мозговое вещество. Несмотря на низкую степень митотической активности, чаще рецидивирующие чем опухоли I степени после лечения.
- III степень — новообразования с гистологическими признаками злокачественности в виде ядерной атипии / анаплазии и повышенной митотической активности. Характеризуются высокой частотой рецидивирования и агрессивным ростом вовлекающие окружающие ткани в процесс
- IV степень — новообразования с ядерной атипией, митозами, пролиферацией эндотелия сосудов и/или некрозом;
инфильтрирующие окружающие ткани и склонные к краниоспинальному распространению, быстрому прогрессированию в послеоперационном периоде. Обычно лечат агрессивной адъювантной терапией.
Диффузные астроцитомы и олигодендрогилальные опухоли
- II степень злокачественности
- диффузная астоцитома
- IDH-мутантный тип
- гемистоцитарная астроцитома
- IDH-не-мутантный тип
- IDH-мутантный тип, делеция 1p/19q
- не указано иное
- анапластическая астроцитома
- IDH-мутантный тип
- IDH-не-мутантный тип
- не указано иное
- IDH-мутантный тип, делеция 1p/19q
- не указано иное
- глиобластома
- IDH немутантный тип
- гигантоклеточная глиобластома
- глиосаркома
- эпетилиойдная глиобластома
IDH — Isocitrate dehydrogenase — изоцитратдегидрогеназа — это фермент, катализирующий реакцию превращения изолимонной кислоты в -кетоглутаровую (с восстановлением НАД) — третья реакция цикла трикарбоновых кислот, считается, что именно эта реакция лимитирует скорость всего цикла трикарбоновых кислот. Активность изоцитратдегидрогеназы зависит от присутствия ионов кальция.
Прочие астроцитарные опухоли
- I степень злокачественности
- пилоцитарная астроцитома
- субэпендимарная гигантоклеточная астроцитома
- пиломиксоидная астроцитома
- плейоморфная ксантоастроцитома
- анапластическая плейоморфная ксантоастроцитома
Эпендимальные опухоли
- I степень злокачественности
- субэпендимома
- миксопапиллярная эпендимома
- эпендимома
- папиллярная эпендимома
- светлоклеточная эпендимома
- удлиненноклеточная эпендимома
- анапластическая эпендимома
Прочие глиомы
- I степень злокачественности
- ангиоцентрическая глиома
- хордоидная глиома третьего желудочка
- астробластома
Опухоли сосудистых сплетений
- I степень злокачественности
- папиллома сосудистого сплетения
- атипическая папиллома сосудистого сплетения
- карцинома сосудистого сплетения
Нейрональные и смешанные нейронально-глиальные опухоли
- I степень злокачественности
- инфантильная десмопластическая астроцитома/ганглиоглиома
- дисэмбриопластическая нейроэпителиальная опухоль
- диспластическая ганглиоцитома мозжечка
- ганглиоцитома
- ганглиоглиома
- папиллярная глионейрональная опухоль
- спинальная параганглиома (терминальной нити конского хвоста)
- розеткообразующая глионейрональная опухоль четвертого желудочка
- центральная нейроцитома
- экстравентрикулярная нейроцитома
- мозжечковая липонейроцитома
- анапластическая ганглиоглиома —
- диффузная лептоменингеальная глионейрональная опухоль
Опухоли пинеальной области
- I степень злокачественности
- пинеоцитома
- опухоль паренхимы пинеальной железы промежуточной дифференцировки
- папиллярная опухоль пинеальной области
- пинеобластома
Эмбриональные опухоли
- IV степень злокачественности
- медуллобластома
- генетические определенные
- WNT-активированная
- SHH-активированная и TP53-мутантный тип
- медуллобластома SHH-activated и TP53-немутантный тип
- группа 3
- группа 4
- классическая
- десмопластическая/нодулярная
- с выраженной нодулярностью
- крупноклеточная/анапластическая
- не указано иное
- C19MC-альтерация
- не указано
“WNT” и “SHH” — это типы внутриклеточных путей передачи дифференцировочных сигналов.
Опухоли черепно-мозговых и параспинальных нервов
- I степень злокачественности
- шваннома (неврилеммома, невринома)
- клеточная шваннома
- плексиформная шваннома
- меланотическая шваннома
- атипическая нейрофиброма
- плексиформная нейрофиброма
- злокачественная опухоль оболочки периферического нерва
- эпителиоидная
- с перинеиральной дифференцировкой
Опухоли из менинготелиальных клеток
- I степень злокачественности
- менингиома
- менинготелиальная менингиома
- фиброзная менингиома
- микрокистозная менингиома
- псаммоматозная менингиома
- ангиоматозная менингиома
- секреторная менингиома
- метапластическая менингиома
- с обилием лимфоцитов
- атипическая менингиома
- светлоклеточная менингиома
- хордоидная менингиома
- анапластическая менингиома
- папиллярная менингиома
- рабдоидная менингиома
Mезенхимальные опухоли оболочек (неменинготелиоматозные)
- I, II или III степень злокачественности
- солитарная фиброзная опухоль твердой мозговой оболочки / геменгиоперицитома
- ангиолипома
- хондрома
- фиброматоз десмоидного типа
- гемангиобластома
- гемангиома
- гибернома
- лейомиома
- липома
- миофибробластома
- остеохондрома
- остеома
- рабдомиома
- эпетелиоидная геменгиоэндотелиома
- ангиосаркома
- хондросаркома
- саркома Юинга
- фибросаркома
- саркома Капоши
- лейомиосаркома
- липосаркома
- остеосаркома
- рабдомиосаркома
- нереференцированная плеоморфная саркома / злокачественная фиброзная гистиоцитома
Меланотические образования первичные
- менингеальный меланоцитоз
- менингеальная меланоцитома
- менингеальная меланома
- менингеальный меланоматоз
Лимфомы
- диффузная B-крупноклеточная лимфома ЦНС
- иммунодифецит-ассоциированные лимфомы ЦНС
- СПИД-ассоциированная диффузная В-крупноклеточная лимфома
- EBV-позитивная диффузная B-крупноклеточная лимфома
- лимфатоидный гранулематоз
- ALK-позитивная
- ALK-негативная
Гистиоцитозы
- болезнь Эрдгейм-Честера
- гистиоцитарная саркома
- ювенильная ксантогранулема
- гистиоцитоз Х
- болезнь Розаи-Дорфмана
Герминоклеточные опухоли
- хориокарцитома
- эмбриональная карцинома
- герминома
- смешанная герминоклеточная опухоль
- тератома
- зрелая
- незрелая
- с злокачественной трансформацией
Опухоли турецкого седла
- I степень злокачественности
- краниофарингиома
- адамантинозная
- папиллярная
Изъятое
В классификации ВОЗ от 2016 года убрали следующие новообразования:
- глиоматоз головного мозга
- протоплазматическая астроцитома
- фибриллярная астроцитома
- примитивная нейроэктодермальная опухоль (PNET)
- эпендиомбластома
- клеточный вариант эпендимомы
Новое
В классификации ВОЗ от 2016 года были добавлено следующие новообразования:
- эпителиоидная глиобластома
- диффузная лептоменингеальная глионейрональная опухоль
- диффузная глиома среднего мозга
- эмбриональная опухоль с многослойными розетками
- эпендимома
- медуллобластома
Источник
- Radiopaedia
- 1. Louis DN, Ohgaki H, Wiestler OD et-al. The 2007 WHO classification of tumours of the central nervous system. Acta Neuropathol. 2007;114 (2): 97-109. Acta Neuropathol. (full text) — doi:10.1007/s00401-007-0243-4 — Free text at pubmed — Pubmed citation
- 2. Louis DN. Pathology and Genetics of Tumours of the Nervous System, WHO Classification of Tumours. World Health Organization. (2007) ISBN:9283224302. Read it at Google Books — Find it at Amazon
Опухоль пинеальной области головного мозга
К опухоли пинеальной области головного мозга относятся как к поражению железы шишковидной. Но нередко поражение возникает в средней части четверохолмия и задних отделах третьего желудочка. Здесь очень часто могут возникать такие поражения как карционома, гнерминома. Следует отметить, что пинеальные опухоли могут сочетаться с блоком ликовроциркуляции, что становится основой развития гидроцефалии.
Образование в пинеальной области имеет массу негативных моментов, проявляется выраженной симптоматикой, если разрастание активное, могут возникать серьезные нарушения дыхания, сердцебиения, работы вестибулярного аппарата.
Симптомы
Опухоли пинеальной области головного мозга сочетаются с проявлением таких симптомов как:
- Серьезные головные боли;
- Рвота и тошнота;
- Нарушения координации;
- Возникновение нарушений памяти;
- Меняется походка;
- Могут возникать определенные нарушения зрения и пр.
Чаще всего при образовании в пинеальной области назначается его удаление. Операция может производиться при минимальном травматизме при помощи эндоскопического инструментария. Также используется процесс открытого типа (если размеры образования большие, устранение предполагает необходимость аккуратного отделения).
Поражения головного мозга могут сочетаться с достаточно частыми болевыми проявлениями в конечностях, спине, может возникать раздвоение в глазах и пр.
Лечение пинеальной опухоль головного мозга
![Опухоль пинеальной области головного мозга]()
Лечение назначается исходя из проведенных обследований. Обязательно при поражении пинеальной области берутся все лабораторные анализы и онкомаркеры, после чего назначается КТ и МРТ. Получив результаты обследования, врач может четко определить последовательность действий. Чаще всего требуется операция, причем удаление производится как можно быстрее. Пинеальная опухоль головного мозга может иметь достаточно большие размеры, что делает процесс лечения крайне затруднительным. Нередко просто нельзя удалять такое поражение из-за возможности нанести пациенту непоправимый вред.
Назначая лечение врач должен ориентироваться на общей клинической картине, использовать максимальный процесс диагностирования, оценить общее состояние пациента, определить возможность устранение образования без нанесения вреда. В случае, если традиционные методики терапии по мнению врача не дадут нужного результата следует прибегать к применению оперативного процесса в сочетании с химиотерапией, медикаментозными препаратами, радиотерапией и пр.
Прогноз жизни
Опухоль пинеальной области головного мозга может быть доброкачественной, если она диагностируется на ранней стадии, а лечение является комплексным и оперативным, то есть вероятность вернуть пациента к нормальной жизни.
Если же опухоль пинеальной области головного мозга злокачественная, то в данном случае лечение должно включать в себя удаление, воздействие химиотерапией, радиоизлучением и пр. На ранних стадиях лечение дает позитивные результаты, но рецидив возможен в 20-25% случаев. Если же образование имеет большие размеры и последнюю стадию развития, то даже после удаления возможен рецидив в 30-45%, а в некоторых случаях невозможно делать операцию.
Консультация нейрохируга
![Гаврилов Антон Григорьевич - Нейрохирург, доктор медицинских наук, профессор]()
Гаврилов Антон Григорьевич
Нейрохирург, доктор медицинских наук, профессор
— Нейрохирург 9 отделения НИИ нейрохирургии им. Н.Н.Бурденко (2002 — 2019)
— Ведущий нейрохирург сети клиник «Медси» (2019 — н.в.)Я не занимаюсь радиохирургией, эндоваскулярной нейрохирургией и лечением аневризмы вены Галена.
Задать вопрос нейрохирургу
По предварительной записи, я могу принять вас на очную консультацию.
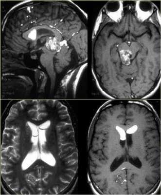
Опухоли пинеальной области
![1]()
Анатомия
Пинеальная зона — это сложная анатомическая часть, к которой относятся шишковидная железа, прилежащие мозговые структуры, ликворные пространства и сосуды.
Шишковидная железа располагается кзади от III желудочка мозга, кпереди и снизу от находится задняя спайка мозга, кпереди и сверху — comissura habenularum, ниже — четверохзолмная пластинка и водопровод мозга, а чуть выше и кзади — валик мозолистого тела.
Сразу за железой располагается четверохолмная цистерна. Распространяясь кпереди, эта цистерна образует velum interpositum, который лежит над шишковидной железой и идет кпереди под свод. Внутренние вены мозга и большая вена мозга находятся в непосредственной близости от пинеальной железы.
Клиника при образованиях шишковидной железы
- Внутричерепная гипертензия (компрессия водопровода, как следствие гидроцефалия).
- Синдром Parinaud (поражение среднего мозга).
- Мозжечковые расстройства.
- Эндокринная патология.
Эпидемиология
У взрослых опухоли пинеальной области составляют 0,5-1%, а у детей 3-8% от всех интракраниальных новообразований.
Классификация
- Кисты шишковидной железы
- Полость (киста) промежуточного паруса (лат. Cavum veli interpositi)
- Арахноидальная киста
- Пинеоцитома
- Пинеобластома
- Смешанные опухоли шишковидной железы
- Сосочковая опухоль шишковидной железы
- Герминома
- Тератома
- Хориокарцинома
- Тератома
- Хориокарцинома
- Эмбриональная карцинома
- Карцинома желточного мешка
- Смешанные герминативноклеточные опухоли
- Астроцитома
- Менингиома (около шишковидной железы)
- Метастазирование шишковидной железы
- Мальформация вены Галена
- Тромбоз внутренней мозговой вены
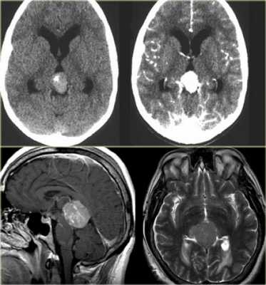
- a — Опухоль с преимущественной локализацией в четверохолмной цистерне с диаметром узла до 2,5 см — 10%
- b — Опухоль с преимущественным расположением в задних отделах III желудочка с диаметром узла до 2,5 см — 12%
- c — Опухоль средних размеров (комбинация вариантов 1 и 2) с диаметром опухолевого узла до 4 см — 32%
- d — Опухоль больших размеров, полностью занимающая четверохолмную цистерну и задние отделы III желудочка, нередко врастающая в один из боковых желудочков; максимальный размер 6-7 см — 41%
- e — Гигантская опухоль, практически полностью занимающая полость III желудочка, часть IV желудочка и врастающая в оба боковых желудочка; диаметр более 7 см — 5%
![2]()
Схема взаиморасположения опухолей пинеальной области и четверохолмной пластинки.
- a — Опухоль лежит на четверохолмной пластинке, придавливая её к покрышке среднего мозга
- b — Опухоль растет из четверохолмной пластинки, при этом сама четверохолмная пластинка не дифференцируется (или определяется её остатки). В структуре покрышки среднего мозга грубых изменений нет.
- c — Опухоль врастает в просвет водопровода мозга через оральное отверстие, дислоцируя передние отделы четверохолмной пластинки в сторону четверохолмной цистерны. Диаметр каудального отверстия водопровода практически не изменен.
- d — Опухоль, располагающаяся в основном в просвете водопровода мозга, дислоцирует четверохолмную пластинку в сторону цистерны на всем протяжении. Каузальные отделы опухоли достигают IV желудочка.
- e — Опухоль располагается в задних отделах III желудочка, при этом задняя часть опухоли прилегает к оральным отделам водопровода мозга.
![3]()
Пример менингиомы, локализующаяся рядом с шишковидной железой.
![4]()
Пример типичного дермоида
![5]()
![6]()
Пример герминомы. Обратите внимание на гомогенное контрастирование и обызвествления.
- Radiology Assistant
- Коновалов А.Н, Корниенко В.Н., Пронин И.Н. — МРТ в нейрохирургии
- Radiopaedia
- 1. Smirniotopoulos JG, Rushing EJ, Mena H. Pineal region masses: differential diagnosis. Radiographics. 1992;12 (3): 577-96. Radiographics (abstract) — Pubmed citation
3. Ganti SR, Hilal SK, Stein BM et-al. CT of pineal region tumors. AJR Am J Roentgenol. 1986;146 (3): 451-8. AJR Am J Roentgenol (abstract) — Pubmed citation
Системный подход — солидные образования почки
Большинство образований почки встречаются в практике, как случайные находки, из которых часть является почечно-клеточная карцинома. Задачей диагностики является дифференцировка доброкачественного и злокачественного образований почки, хотя во многих случаях это не представляется возможным.
В данной статье рассмотрены радиологические находки характерные для доброкачественных и злокачественных образований почки.
![1]()
Алгоритм анализа при выявлении образования почки:
- определить кистозное образование или нет?
- если данное образование не кистозное — определите есть ли макроскопические включения жира, что в большей степени соответствует ангиомиолипоме.
- исключить рак почки, маскирующийся под инфаркт или инфекционное поражение, у пациентов с различными клиническими проявлениями.
- исключить лимфому или метастатическое поражение почек. Метастазирование в почки (менее 1%) и поражение почек при лимфоме (0,3%) — это редкость и свидетельствует о тотальном распространении заболевания.
Вы еще много раз столкнетесь с тем, что после выполнения данного алгоритма вы не придете к окончательному диагнозу, а на первом месте дифференциального ряда — почечно-клеточная карцинома.
Затем оцените КТ и МРТ-изображения и ответьте на вопрос, что больше соответствует доброкачественному образования почки, а что злокачественному выделив из этой группы признаки низкодифференцируемой опухоли и высокодифференцируемой почечно-клеточной карциномы.
![a575c0d8c09e5d_24-TAB-ct2]()
КТ
Гиперденсное образование на бесконтрасном КТ.
Образование с плотностью выше 70HU на нативном (бесконтрастном) КТ-изображении является геморрагическая киста. Геморрагические кисты также могут быть с плотностью ниже, чем 70HU, но в данном случае должен осуществлен контроль за образованиями на пост-контрастных изображениях. Если на пост-контрастных изображениях отсутствует контрастное усиление, то, следственно, подтверждается кистозное происхождение образование.
Макроскопическое включение жира в образовании почки плотностью 20HU явный признак ангиомиолипомы. Тонкие срезы лучше при исследовании плотности. К сожалению 5% ангиомиолипом макроскопический жир не содержат. КТ-картина данных ангиомиолипом неотличимо схожа с почечно-клеточной карциномой. Как ни странно, но почечно-клеточная карцинома в некоторых случаях также содержит жир. При включениях жира и кальцификатов в образование почки дифференциальный диагноз должен склонятся в сторону почечно-клеточной карциномы.
Сомнительное усиление на 10-20HU псевдо-усиление в кисте, как результат увеличения жесткости излучения. МРТ в данных случаях является отличным методом в дифференциальном диагнозе. Сомнительное усиление также характерно для папиллярной карциномы почки, для которой характерно слабое усиление и которая менее агрессивная опухоль, чем светлоклеточная карцинома.
Гомогенное усиление, а также ослабление (> 40 HU) на нативных снимках в большей степени характерны для ангиомиолипомы с малым содержанием жира, хотя почечно-клеточную карциному нельзя также исключать.
Сильное усиление визуализируется при светло-клеточной карциноме, ангиомиолипомах с малым содержанием жира и онкоцитомах. Светло-клеточная карцинома встречается чаще, чем онкоцитома и ангиомиолипома с малым содержанием жира, поэтому диагноз карциномы ставится чаще в особенности в тех случаях, когда образование гетерогенное и больших размеров.
МРТ при образованиях почки
Гиперинтенсивный сигнал на Т1-взвешенных изображениях, как правило, визуализируется при геморрагических кистах или кистах с белковым содержимым, а также при ангимиолипомах, содержащие макроскопический внеклеточный жир.
Если жир внутри клетки, то на Т1-изображениях не будет гиперинтенсивного сигнала, сигнал будет снижаться на out-phase изображениях, что не характерно для ангимиолипомы, а типичнее для светлоклеточной карциномы почки.
МРТ чувствительнее , чем КТ при определении кистозного образования, а также МРТ показано для дифференциации, если на КТ выявлено псевдо-усиление.
На Т2 гипоинтенсивный сигнал характерен в большей степени для папиллярной карциномы почки и в меньшей степени для ангиолипомы с малым содержанием жира.
На Т2 гиперинтенсивный сигнал характерен для светлоклеточной карциномы, но признак не является специфичным, потому как схожие изменения и при онкоцитомах.
По данным МРТ изображений также трудно, как и по данным КТ изображений сказать однозначно о доброкачественности и злокачественности процесса.
![мрт]()
Размер и форма образования.
Ещё один способ в оценке солидных образований почки — это оценка формы образования. Солидные образования разделяют на шарообразные и бобообразные образования .
Шарообразные образования являются наиболее распространёнными образованиями почки. Данные образование чаще обширные деформирующие контур органа. Типичные представители шарообразных образований являются онкоцитома и почечно-клеточная карцинома.
Бобовидные образования не деформируют контур почки и «встроены» в паренхиме органа.
Бобовидные образования более трудно обнаружить и обычно не визуализируются на КТ без контраста.Обратите внимание, что существует много подводных камней в дифференциальной диагностике шарообразных и бобовидных образований.
![image]()
Бобовидные образования.
Радиологические признаки образований бобовидной формы обычно не специфичны. Данное явление заметно если обратить внимание на схожесть образований, представленных на рисунке. Дифференциальный диагноз обычно строят, исходя из клинических данных и, соответственно, данных визуализации.Инфильтрирующее почку по центру образование у пожилого пациента соответствует переходно-клеточному раку почки. Инфильтрирующее почку по центру образование у молодого пациента с серповидной перегородкой внутри больше соответствует медуллярной карциноме почки. Мультифокальные и билатеральные или диффузные образования почки в сочетании с лимфоаденопатией, а также с вовлечением в патологический процесс других органов характерны для лимфомы.
Мультифокальные и двусторонние поражения почек характерны для злокачественных образований, в частности для метастазирования. У пациентов с клиникой характерной при инфекции, конечно же, в первую очередь нужно подозревать пиелонефрит. Для инфаркта почки характерно клиновидное поражение почки.![image]()
Размер образования.
Размер опухоли является наиболее важным показателем злокачественности опухоли вместе с гистологической оценки дифференцировки образования.
Риск возникновения метастазов зависит от размера опухоли.
Если размер опухоли меньше 3 см риск метастазирования незначительна.
Большинство образований почки в размере обычно меньше, чем 4 см. Многие из данных образований низкодифференцированная почечно-клеточная карцинома, безболезненно протекающие злокачественные или доброкачественные образования.
Образования размером от 1 до 2 см, которые удалили хирургически, в 56% доброкачественные образования. 13% образований размером от 6 до 7 см только являются доброкачественные.Почечно-клеточный рак. Светлоклеточная карцинома почки.
Почечно-клеточная карцинома является типичным шарообразным образованием. Почечно-клеточная карцинома является случайной находкой выявленная у пациентов, обратившихся с жалобами не связанными с патологии мочевыделительной системы.
Пик заболеваемости 60-70 лет. Почечно-клеточная карцинома связана с наследственными синдромами такими, как синдром Хиппель-Линдау, туберозным склерозом и Бирт-Хогг-Дубе.
Самый распространённый подтип почечно-клеточной карциномы является светло-клеточная карцинома почек, затем папиллярная и хромофобная почечно-клеточная карцинома. Медуллярная и кистозных многокамерная почечно-клеточная карцинома встречается крайне редко.![image]()
Светло-клеточная карцинома.
Светло-клеточная карцинома почек составляет 70% случаев рака почек.
Данная опухоль чаще больших размеров и прорастает из почечной коры. Светло-клеточная карцинома является гиперваскулярным образованием с неоднородным содержимым, как следствие некроза, кровоизлияний, кальцинирования или образование внутри кист. В редких случаях почечно-клеточная карцинома содержит внеклеточный жир, соответственно, образование с включением жира и кальцинатов следует рассматривать, как почечно-клеточную карциному.
![image]()
Характерной особенностью светлоклеточной карциномы явлечётся значительное усиление в кортикомедуллярную фазу.
Хотя трудности бывают, когда образование небольших размеров и локализуется в почечной коре, которая также хорошо контрастируется.
Поэтому нефрографическая фаза при образованиях такой локализации и размеров является для оценки наиболее важной так, как паренхима контрастируется гомогеннее и сильнее, чем опухоль, что хорошо заметно на ниже приведённых изображениях.
На МРТ светло-клеточная карцинома визуализируется, как гипоинтенсивное образование на Т1 и гиперинтенсивное на Т2. Как правило, почечно-клеточная карцинома не имеет экстрацеллюлярного жира, что, соответственно, отличает её от ангиомиолипомы. Хотя в 80% случаях светло-клеточной карциномы есть внутриклеточный жир, что приводит к снижению сигнала на Т1 opposed-phase в сравнении с in-phase изображениями. В данных ситуациях не стоит делать вывод о том, что жир внеклеточный, который характерен в большей степени для ангиомиолипомы. Болезнь Фон-Гиппель-Линдау ассоциирована с развитием светло-клеточной карциномы почек, чаще мультифокальной и билатеральной. Пациенты со светло-клеточной карциномой имеет 5-летнюю выживаемость, что является прогнозом хуже, чем у пациентов с папиллярной и хромофобной карциномой.![image]()
Порядка 5% всех светло-клеточных карцином имеют инфильтративный характер роста. Несмотря на то, что это лишь небольшая часть от всех почечно-клеточных карцинома, нельзя забывать про них при построении дифференциального ряда бобовидных образований почки с инфильтративным типом роста. Почечно-клеточные карциномы с инфильтративным типом роста являются агрессивными и гиперваскулярными, которые изменяют внутреннюю архитектуру почек, но не наружные контуры, а изменения лоханки схожи с изменениями при переходно-клеточном раке почки.
![image]()
Папиллярная почечно-клеточная карцинома
Папиллярная почечно-клеточная карцинома встречается в 10-15% случаях от всех случаев почечно-клеточных карцином. Данные образования чаще гомогенные и гиповаскулярные, поэтому схожи с кистами. В отличии от светло-клеточной карциномы при контрастировании разница плотности образования до и после контрастирования составляет всего 10-20HU. Папиллярные почечно-клеточные карциномы больших размеров могут быть гетерогенными, в следствии геморрагий, некрозов и кальцификатов.
На МРТ данные образования на Т1 дают от изо- до гипотенсивный сигнал и на Т2 гипоинтенсивный. Включения макроскопического жира встречается чаще с кальцификатами.
Образования обычно билатеральные и мультифокальные, что в свою очередь намного чаще встречается в сравнении с другими почечно-клеточными карциномами. 5-летняя выживаемость составляет 80-90%.![image]()
Хромофобная почечно-клеточная карцинома
5% от почечно-клеточных карцином типа хромофобная ПКК.
Это твердое, резко ограниченное и иногда с дольчатым строением образование.
Данное образование имеют схожее строение с онкоцитомой так, как в центре визуализируется перегородка или паттерн с радиальным строением, поэтому её невозможно отличить от онкоцитомы при визуализации, хотя и при гистологии тоже сложно.
При контрастировании хромофобная почечно-клеточная карцинома чаще однородная и менее интенсивная, чем светло-клеточная почечная карцинома при контрастировании.
Прогноз хромофобной ПКК схожий с прогнозом папиллярной ПКК и равен 5-летней выживаемости в 80-90% случаях.![image]()
Синдром Бёрта — Хога — Дьюба (англ. Birt-Hogg-Dubé syndrome) — редко встречающееся аутосомно-доминантное генетическое заболевание, обусловленное мутацией в гене FLCN и проявляющееся развитием доброкачественных опухолей волосяного фолликула (фиброфолликулом), кистами в лёгких и повышенным риском возникновения рака почки (хромофобная почечной карциномы) и рака толстого кишечника.
![image]()
Стадирование почечно-клеточной карциномы.
Почечно-клеточная карцинома может распространяться на почечную фасцию и надпочечники, в почечную вену, полую вену.
Для хирурга при планировании операции важно знать, если тромб в нижней полой вене. Это важно в ситуациях, когда тромб поднялся выше диафрагмы, тогда необходимо планирование манипуляций вместе с торакальным хирургом.Читайте также:
- краниофарингиома
- шваннома (неврилеммома, невринома)
- генетические определенные
- медуллобластома
- IDH немутантный тип
- IDH-мутантный тип
- диффузная астоцитома




















