Перелом медиальной стенки орбиты: причины, диагностика, лечение
Добавил пользователь Владимир З. Обновлено: 21.01.2026
Список сокращений:
ВЧП — верхнечелюстная пазуха
ВСТ — волокнистая соединительная ткань
РФКТ — ретикулофиброзная костная ткань
ПКТ — пластинчатая костная ткань
МСКТ — мультиспиральная компьютерная томография
Перелом стенки глазницы — распространенная патология, частота которой составляет от 18 до 80% среди всех черепно-мозговых травм [1, 2]. Перелом нижней стенки глазницы (типа blow-out) встречается в 15—20% всех орбитальных переломов [3, 4]. Восстановление нижней стенки глазницы является сложной и актуальной клинической проблемой, находящейся на стыке нескольких специальностей: оториноларингологии, офтальмохирургии и челюстно-лицевой хирургии. Выбор тактики ведения больных с указанной патологией определяется многими факторами: размерами дефекта, наличием пролапса содержимого орбиты в верхнечелюстную пазуху (ВЧП) или защемления глазодвигательных мышц (нарушения со стороны органа зрения, длительность периода, прошедшего с момента травмы), наличием энофтальма (нарушения подвижности глазного яблока) и др. [5, 6]. Повреждение нижней стенки глазницы обычно подтверждается компьютерной томографией, которая дает возможность оценить состояние костных структур орбиты, размер и местоположение дефекта, а также позволяет измерить любое смещение костных стенок и мягких тканей глазницы для выбора оптимального способа хирургического лечения [3, 7—9].
Известно, что раннее выполнение оперативного вмешательства улучшает прогноз для больного. Несмотря на то, что хирургическую реконструкцию дефекта нижней стенки орбиты можно отложить, при повреждении типа blow-out существует риск защемления мышц, при котором необходимо выполнить экстренное оперативное вмешательство [5, 6]. Для восстановления нижней стенки глазницы применяются различные материалы, в том числе титановые конструкции и разные варианты костных трансплантатов, однако экспериментальное обоснование по их применению отсутствует [2, 10—13].
Цель исследования — представить экспериментальное и клиническое обоснование применения нетканной титановой конструкции и аллогенного деминерализованного костного трансплантата для восполнения дефекта нижней стенки глазницы.
Материал и методы
На базе отдела морфологии ФГБУ «Всероссийский центр глазной и пластической хирургии» Минздрава России (Уфа) были выполнены экспериментальные исследования на 24 полуторагодовалых кроликах породы шиншилла обоего пола. У лабораторных животных стоматологическим бором моделировали дефект стенки ВЧП диаметром 4 мм. Ранее экспериментальным путем было установлено, что данный размер дефекта не замещается костной тканью самопроизвольно. Затем производили закрытие костного дефекта с помощью конструкции на основе пористого титана (n=12), аллогенного деминерализованного костного трансплантата (n=12) по технике press-fit («заглушка»), после чего выполняли послойное ушивание мягких тканей над областью пластики.
Разработанные технологии закрытия дефектов нижней стенки глазницы применяли в соответствии с регистрационным удостоверением №ФСР 2011/12012 от 30.09.11. С использованием данных технологий нами были прооперированы 15 пациентов с дефектами нижней стенки глазницы.
В тканевом банке ФГБУ «Всероссийский центр глазной и пластической хирургии» Минздрава России (Уфа) производятся аллогенные трансплантаты костного происхождения «Аллоплант» (ТУ 9398−001−04537642−2011), адаптируемые под размер дефекта нижней стенки глазницы. При обширных (более 3 см) дефектах верхней стенки ВЧП (n=7, или 47%) использовали нетканую титановую конструкцию производства ООО «Прототип» (Самара; ТУ 9437−002−01963143−2010).
Результаты
Применение нетканной титановой конструкции. Через 2 мес после имплантации титановой конструкции на гистологических препаратах выявлялся регенерат, представленный комплексом костных тканей, замещающих дефект.
Перифокальная зона, непосредственно прилежащая к титановой конструкции, была образована из незрелой грубоволокнистой костной ткани, состоящей из крупнопетлистых тонких трабекул. В межтрабекулярных пространствах выявлялась рыхлая волокнистая соединительная ткань (ВСТ), инфильтрированная фибробластами. В ней были обнаружены развитая сеть кровеносных сосудов, жировая ткань и клетки костного мозга. В полостях центральной зоны регенерата наблюдались мелкоячеистые (наноструктурированные) полые структуры, которые состояли из множества округлых ячеек, сгруппированных между собой в кластеры. Гематоксилином и эозином прокрашивались в розовый цвет только стенки ячеек, просветы были свободные. Данные образования не вызывали выраженной воспалительной реакции, однако в костных полостях они покрывались тонкой соединительнотканной капсулой.

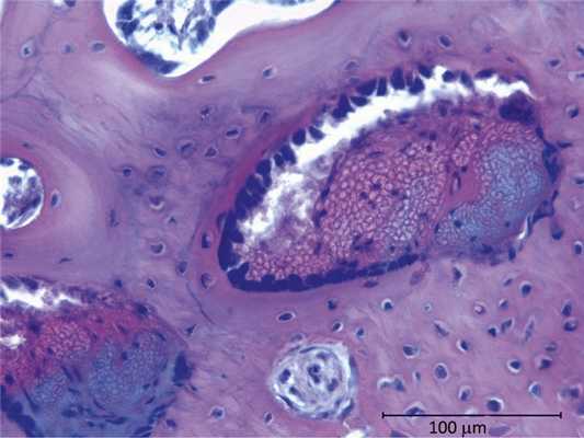
В дальнейшем объем коллагеновых волокон увеличивался, петли титана обрастали рыхлой соединительной тканью с небольшим количеством фибробластов, макрофагов и полностью погружались в волокнистый матрикс. Рыхлая ВСТ постепенно трансформировалась в плотную неоформленную соединительную ткань с толстыми пучками коллагеновых волокон, редуцированными кровеносными сосудами. Происходила остеоинтеграция: миграция остеогенных клеток со стороны материнской кости и минерализация коллагеновых волокон, образовавшихся вокруг петель титана (рис. 1). Рис. 1. Развившийся фиброз вокруг петель титана (контроль). Окраска гематоксилином и эозином. Staining with hematoxylin and eosin.

При этом петли титана оказывались в толще костного матрикса. Вокруг кластеров титана в кости определялись зоны активного аппозиционного костеобразования. Каналы выстилали активные остеобласты II типа, расположенные плотно друг к другу в один ряд и синтезирующие остеоид и костный матрикс. Сами ячейки титана приобретали более плотную структуру, между ними определялась ВСТ с утолщенными коллагеновыми пучками. При окраске гематоксилином и эозином просветы ячеек окрашивались ацидофильно в розовый цвет и базофильно — в голубой. Некоторые ячейки теряли свою первоначальную структуру и были деформированы. Их стенки лизировались, гомогенизировались и представляли собой плотную бесформенную массу (рис. 2). Рис. 2. Деструкция титана в костных полостях (контроль). Окраска гематоксилином и эозином. Staining with hematoxylin and eosin. Таким образом, титан подвергался деструкции. Причем скорость биодеградации имплантата была ниже скорости образования костной ткани.
В глубокой зоне костного регенерата, непосредственно прилегающей к материнской кости, выявлялись признаки последовательной трансформации грубоволокнистой незрелой кости в зрелую пластинчатую кость. По всей окружности дефекта определялась тонкая неравномерная полоса зрелой губчатой костной ткани с многочисленными костными лакунами, заполненными остеоцитами. Утолщенные костные трабекулы постепенно созревали в пластинчатую кость с характерной структурой. В костном матриксе пластинчатой кости обнаруживалась развитая сеть гаверсовых каналов, заполненных рыхлой соединительной тканью с кровеносными сосудами.
Таким образом, репаративное костеобразоование происходило центростремительно — от периферии к центру (аппозиционный остеопоэз). Причем скорость процессов остеогенеза и биодеградации титана была различной — темп деструкции имплантата оказался ниже. Механизм остеогенеза представлен интрамембранозным окостенением, т. е. костеобразование происходило через стадию формирования ВСТ с постепенной трансформацией в грубоволокнистую костную ткань и дальнейшим преобразованием в пластинчатую кость. Титановая конструкция не вызывает бурной воспалительной реакции и не обладает иммуногенной активностью, но окружающие ткани реагируют на имплантат как на инородное тело — происходит его инкапсулирование и развитие фиброза.
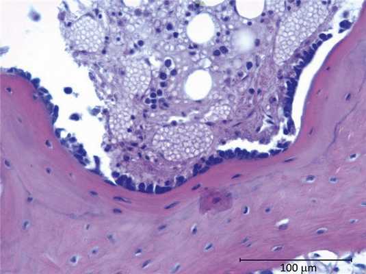
Применение деминерализованного костного трансплантата. Несколько иные механизмы заместительной регенерации были обнаружены в области имплантации деминерализованного костного трансплантата в трепанационный дефект переднелатеральной стенки ВЧП. В ранние сроки (на 14-е сутки) в области трансплантации определяется полиморфноклеточная инфильтрация. При этом в инфильтрате верифицируются клетки фибробластического, остеобластического и макрофагального дифферонов. Важно подчеркнуть отсутствие в составе клеточного инфильтрата представителей лимфоцитарного дифферона и сегментоядерных лейкоцитов, что свидетельствует об отсутствии гнойной инфекции в зоне подсадки аллогенного трансплантата.

На 45-е сутки деминерализованный костный трансплантат подвергается интенсивной деградации и лизису, о чем свидетельствует изменение его тинкториальных свойств. Однако на данном сроке деминерализованный костный трансплантат все же сохраняет значительную часть объема (рис. 3). Рис. 3. Экспериментальная модель дефекта переднелатеральной стенки ВЧП с его последующим закрытием аллогенным костным трансплантатом. Первая опытная серия; 45-е сутки. Окраска по Маллори. Реконструкция. ×100. Mallory staining. Reconstruction. ×100. В периферической зоне наблюдалась активная сосудистая реакция со стороны костного ложа. Область подсадки аллогенного костного трансплантата обильно васкуляризировалась. Сосуды из периферической зоны прорастали в область трансплантации, что объясняется не только наличием каналов в костном трансплантате, но и стимулирующим влиянием продуктов его резорбции на процессы пролиферации сосудов. Следует отметить отсутствие выраженных сосудистой и клеточной реакций со стороны слизистой оболочки ВЧП. Наблюдались некоторое утолщение и клеточная инфильтрация собственной пластинки в краевой зоне трансплантации.
Процессы резорбции превалировали над синтетической активностью фибробластов и остеобластов, поэтому на 45-е сутки формирующийся регенерат имел незначительные включения костной ткани и на 36,48±4,81% был представлен рыхлой ВСТ.
Далее (90-е сутки) происходит дальнейшая деградация аллогенного костного трансплантата. Большая часть костного биоматериала замещена новообразованной ретикулофиброзной костной тканью (РФКТ). Выраженной инфильтрации макрофагами в области подсадки трансплантата не наблюдается. Скорость резорбции костного трансплантата преобладала над скоростью заместительного остеогенеза. Сам трансплантат частично сохранил структурную организацию пластинчатой костной ткани (ПКТ). Формирующийся регенерат представляет собой плотную оформленную ВСТ с относительно бόльшим, чем в окружающих тканях, количеством клеточных элементов и сосудов. При этом в регенерате менее выражены извилистость коллагеновых волокон и плотность их упаковки. В составе регенерата определялись включения РФКТ. Как показывает морфометрический анализ, костная ткань при этом составляет значительный объем от общей площади исследуемой области.
В результате слияния двух встречных фронтов замещения аллогенного биоматериала на 180-е сутки формируется непрерывный массив РФКТ с включениями ПКТ (см. таблицу). Относительная плотность тканей (в кг/м 3 ) в регенерате на 180-е сутки после трепанационного дефекта переднелатеральной стенки ВЧП с последующим закрытием аллогенным деминерализованным костным трансплантатом
Приводим описание клинических наблюдений пластики нижней стенки глазницы деминерализованным костным трансплантатом и нетканной титановой конструкцией.
Клинический пример 1

Пациент С., 17 лет, обратился в нейрохирургическое отделение стационара медико-санитарной части «Нефтяник» с жалобами на диплопию, сохраняющуюся в течение 1 мес после тупой травмы глазницы справа. На мультиспиральной компьютерной томографии (МСКТ) околоносовых пазух и орбиты определяется дефект верхней стенки правой ВЧП с пролабированием параорбитальной жировой клетчатки в пазуху (рис. 4). Рис. 4. МСКТ околоносовых пазух и глазницы справа: коронарная и сагиттальная проекции. Дефект нижней стенки правой глазницы (верхней стенки ВЧП) с пролабированием параорбитальной клетчатки. Defect of the lower wall of the right orbit (the upper wall of the maxillary sinus) with the prolapse of the paraorbital adipose tissue into the sinus.

Под общим обезболиванием совместно с нейрохирургом выполнена нижняя орбитотомия. Область дефекта верхней стенки ВЧП освобождена от рубцов, параорбитальная клетчатка смещена кверху. Проведена ревизия ВЧП через верхнюю стенку с использованием эндоскопа «Элмед» 70° диаметром 4 мм. В область дефекта установлен предварительно смоделированный фрагмент деминерализованного костного аллогенного трансплантата (рис. 5). Рис. 5. Интраоперационное микрофото. Аллогенный транплантат фиксирован в дефекте нижней стенки глазницы по технике press fit. Мягкие ткани ушиты послойно, на кожу нижнего века наложен косметический шов. В полость носа на 10 мин были введены марлевые турунды, пропитанные 0,1% раствором оксиметазолина. Затем в целях профилактики кровотечения и дополнительной анестезии оперируемой области инфильтрировали слизистую оболочку полости носа (перед крючковидным отростком, у основания и передний конец средней носовой раковины) 1% раствором лидокаина с адреналином 1:100 000. Процедуру инфильтрации контролировали торцевым жестким эндоскопом Элмед диаметром 4 мм. Распатором провели щадящую медиализацию средней носовой раковины, в средний носовой ход ввели предложенный инструмент для мобилизации крючковидного отростка и выполнили расширение полулунной щели за счет медиального смещения крючковидного отростка.

На 7-е сутки была выполнена контрольная МСКТ, которая подтвердила стабильное положение аллогенного трансплантата, при этом наблюдался незначительный реактивный отек слизистой оболочки ВЧП со стороны вмешательства (рис. 6). Рис. 6. Пациент С., 17 лет. Седьмые сутки после нижней орбитотомии справа с реконструкцией нижней стенки глазницы. Слева — зрачки на одном уровне. Справа — МСКТ околоносовых пазух и глазницы справа, сагиттальная проекция. Явления реактивного отека слизистой оболочки ВЧП. The identically leveled pupils (left). MSCT of the right-hand paranasal sinuses and the orbit in the sagittal projection (right). The signs of reactive oedema of the mucous membrane of the maxillary sinus. Произведено снятие косметического шва на нижнем веке, зрачки на одном уровне. Пациент отмечает отсутствие диплопии.
Клинический пример 2

Пациент Ш., 18 лет, обратился в нейрохирургическое отделение стационара медико-санитарной части «Нефтяник» с жалобами на диплопию, сохраняющуюся в течение 2 нед после тупой травмы глазницы справа. На МСКТ околоносовых пазух и орбиты справа определяется дефект верхней стенки ВЧП с пролабированием параорбитальной жировой клетчатки в пазуху (рис. 7). Рис. 7. Пациент Ш., 18 лет. МСКТ. Посттравматический дефект нижней стенки глазницы. Пролабирование параорбитальной клетчатки в просвет ВЧП (указано стрелкой). Prolapse of the paraorbital adipose tissue into the maxillary sinus lumen (indicated by he arrow).

Под общим обезболиванием совместно с нейрохирургом выполнена нижняя орбитотомия. Область дефекта верхней стенки ВЧП освобождена от рубцов, параорбитальная клетчатка смещена кверху. Проведена ревизия ВЧП через верхнюю стенку с использованием эндоскопа Элмед 70° диаметром 4 мм. В область дефекта установлена предварительно смоделированная нетканная титановая конструкция (рис. 8). Рис. 8. Пациент Ш., 18 лет. Интраоперационное фото. Нетканная титановая конструкция установлена в область дефекта верхней стенки ВЧП. The non-woven titanium structure placed in the defective region in the upper wall of the maxillary sinus.
Мягкие ткани ушиты послойно, на кожу нижнего века наложен косметический шов. В полость носа на 10 мин были введены марлевые турунды, пропитанные 0,1% раствором оксиметазолина. Затем под контролем торцевого жесткого эндоскопа Элмед диаметром 4 мм инфильтрировали слизистую оболочку полости носа (перед крючковидным отростком, у основания и передний конец средней носовой раковины) 1% раствором лидокаина с адреналином 1:100 000. Распатором провели щадящую медиализацию средней носовой раковины, с помощью разработанного инструмента для мобилизации крючковидного отростка выполнили расширение полулунной щели за счет медиального смещения крючковидного отростка.
На 2-е сутки была выполнена контрольная МСКТ, которая подтвердила стабильное положение нетканной титановой конструкции и отсутствие реактивных изменений слизистой оболочки ВЧП. Произведено снятие косметического шва на нижнем веке, зрачки на одном уровне. Пациент отмечает отсутствие диплопии.
Заключение
Целью лечения орбитального перелома помимо освобождения заключенных мягких тканей является восстановление анатомии глазницы и предотвращение серьезных риногенных внутриглазничных осложнений. Клиническая оценка в сочетании с соответствующим рентгенологическим исследованием прооперированных пациентов подтверждает эффективность и безопасность использования нетканной титановой конструкции и аллогенного деминерализованного костного трансплантата при реконструкции нижней стенки орбиты. На основании экспериментального исследования сделан вывод о том, что использование пористого титана предпочтительнее при больших дефектах нижней стенки орбиты. Это связано с более низким темпом деструкции имплантата по сравнению с костным трансплантатом. В целом же выбор способа реконструкции дефекта нижней стенки орбиты типа blow-out должен осуществляться с учетом опыта хирурга и наличия соответствующего материала.
Диагностика перелома медиальной стенки орбиты при тупой травме.
Актуальность. Перелом медиальной стенки орбиты при тупой травме может привести к диплопии вследствие дисфункции внутренней прямой мышцы и дислокации глазного яблока, также к посттравматическому дакриоциститу при деформации и изменении топографии слезного мешка. Типичным местом повреждения внутренней стенки орбиты является перелом слезной кости и/или бумажной пластинки решетчатой кости, лобного отростка верхней челюсти. Наибольшие трудности вызывает выявление клинических и лучевых признаков перелома медиальной стенки орбиты.
Цель - изучить особенности перелома медиальной стенки орбиты при тупой травме.
Материал и методы. С 2005-2011 гг. на стационарном лечении в офтальмологическом отделении МБУЗ ОКБ №3, г. Челябинска находились 38 (6,8%) пациентов с повреждением медиальной стенки орбиты из 562 пациентов с травмой орбиты. Всего: мужчин - 29 (76,3%), женщин - 7 (18,4%), детей - 2 (5,3%); средний возраст 31,8±6,91 лет. Срок от момента травмы до обнаружения перелома составил от 1 суток до 6 месяцев. В исследование не были включены пациенты с сочетанным повреждением глазного яблока и потерей зрения, что предотвратило наличие диплопии.
У всех пациентов изучен анамнез, выполнено стандартное офтальмологическое обследование, лучевые методы исследования орбит и черепа: рентгенография (ROOM-200 M), ультразвуковое исследование - УЗИ (A/B SCAN-HUMPREY-837). Спиральная компьютерная томография - СКТ (Light Speed 16GE) проведена 26 пациентам, магнитно-резонансная томография - МРТ (Signa Excite 1,5t GE) орбит, придаточных пазух носа - 3, также дакриоцистография (ДЦГ) и СКТ с контрастированием слезно-носовых путей (СНП) - 16. Статистическая обработка данных проведена с помощью программы «Statistica 6.0» в среде Windows.
Результаты и обсуждение. При изучении анамнеза установлены обстоятельства травмы: избиение - 23 пациентов (удар в область спинки носа и орбиты кулаком, ногой, локтем, камнем), самостоятельное падение - 15 (удар лицом в области орбиты о землю при падении с высоты, во время катания на санках, ДТП).
По срокам выявления перелома медиальной стенки орбиты выделены 3 группы пациентов.
В 1 группе (14 пациентов), обратившихся в 1-3 сутки после травмы, на вероятный перелом медиальной стенки орбиты указывали клинические симптомы: смещение или западение спинки носа - 6 (43%), сужение глазной щели - 8 (57%), носовое кровотечение - 9 (64%), эмфизема век с крепитацией при пальпации кожи век и пузырьками воздуха под конъюнктивой - 12 (86%), экзофтальм (3 мм и более) после чихания, опорожнения носа - 10 (71%), ограничение подвижности глазного яблока кнаружи с развитием диплопии - 14 (100%), назальная ликворея - 2 (14%). При рентгенографии выявлен косвенный признак перелома медиальной стенки орбиты - затемнение клеток решетчатого лабиринта у 13 (93%) пациентов, воздух под крышей орбиты - у 11 (79%). Методом СКТ во фронтальной плоскости, при сравнении расстояния от середины корня носа до носового лимба на стороне повреждения и на контралатеральной стороне, выявлена латеральная дистопия, что подтвердило перелом медиальной стенки орбиты. При СКТ определено повреждение внутренней стенки орбиты у 11 (79%) пациентов: лобного отростка верхней челюсти, бумажной пластинки решетчатой кости, слезной косточки. Через отверстие перелома в решетчатую пазуху проникала орбитальная клетчатка и часть или все брюшко внутренней прямой мышцы и было фиксировано в зоне перелома у 4 (29%), увеличение ширины внутренней прямой мышцы при кровоизлиянии определено у 8 (57%) пациентов, гемосинус решетчатой пазухи - 13 (93%).
Во 2 группе (8 пациентов) жалобы на двоение и ограничение подвижности глазного яблока отмечены через 1,5-2 недели после рассасывания гематомы век и возможности открыть глазную щель. У 7 пациентов при рентгенографии не выявлено симптомов перелома орбиты, двоение при горизонтальных движениях глаз и ограничение подвижности глазного яблока офтальмолог и невролог определили как парез прямых мышц глаза и/или контузию головного мозга. Методом СКТ определено ограниченное - 3 (38%), распространенное - 5 (62%) повреждение медиальной стенки орбиты.
У 3 пациентов на фоне противовоспалительного и рассасывающего лечения положительного эффекта не отмечено: сохранялись жалобы на двоение при отсутствии движений глазного яблока кнаружи. При МРТ определен полный разрыв внутренней прямой мышцы в виде прерывания сигнала по наружному контуру у 2 пациентов в Т2 режиме. Кроме того, выявлен газ (воздух) в виде округлых образований с четкими контурами в орбитальной клетчатке со сниженной интенсивностью сигнала, сравнимой с сигналом полости придаточных пазух носа в Т1 и Т2 режимах. У 1 пациента на 7 сутки в задних клетках решетчатого лабиринта обнаружены гиперинтенсивные очаги (Т1) - кровь, оказывающие компрессионное воздействие на зрительный нерв у вершины орбиты.
В 3 группе 16 пациентов обратились за медицинской помощью через 2-6 месяцев после травмы с жалобами на слезотечение и гнойное отделяемое из нижней слезной точки. При рентгенографии выявлен косвенный признак перелома медиальной стенки орбиты - затемнение клеток решетчатого лабиринта у 2 пациентов. Методом ДЦГ у 8 из 16 пациентов определена эктазия слезного мешка - 5 (46%), неравномерное контрастирование носо-слезного канала (НСК) - 3 (40%). У 10 (73%) из 16 больных не удалось оценить состояние НСК дистальнее места облитерации из-за проекционного наслоения деформированных костных структур орбиты.
При СКТ выявлен перелом лобного отростка верхней челюсти и слезной кости, которые были утолщены (гиперостоз) - 11 (69%), разрушение клеток решетчатого лабиринта с дефектом кости - 5 (31%), экссудат в передних клетках решетчатого лабиринта - 2 (13%). Методом СКТ с контрастированием СНП выявлена деформация, эктазия слезного мешка - 6 (38%), рубцовые изменения слезного мешка - 4 (25%); дистопия слезного мешка - 3 (19%); сужение НСК в проксимальном - 2 (13%), дистальном участках - 1 (6%), на всем протяжении - 3 (19%); блокада устья НСК гипертрофированной нижней носовой раковиной - 2 (13%), рубцовая деформация средней (1) и/или нижней носовых раковин (1).
Выводы. Клиническими методами и при рентгенографии перелом медиальной стенки орбиты диагностирован у 63 % пациентов. СКТ - исследование позволило определить область и распространенность перелома медиальной стенки орбиты у 96% пациентов. Полученные данные подчеркивают значимость совместной и своевременной работы офтальмологов, неврологов и челюстно-лицевых хирургов при подозрении на перелом медиальной стенки орбиты.
Публикация:
Диагностика перелома медиальной стенки орбиты при тупой травме.
Е.А. Дроздова, Е.С. Бухарина, И.А. Сироткина.
Сб. науч. трудов науч.-практ. конф. по офтальмохирургии с международным участием «Восток - Запад». - Уфа, 2012. - С.417-418.
Особенности диагностики взрывных переломов нижней стенки орбиты у детей
Актуальность. Большинство исследований посвящено изучению переломов орбиты у взрослых пациентов, в то время как оценке особенностей диагностики и течения взрывных переломов орбиты у детей посвящены единичные публикации с небольшим количеством пациентов.
К взрывным переломам орбиты относят переломы без повреждения орбитального кольца (края). Переломы орбиты у детей отличает другой механизм повреждения костных стенок, который включает так называемые «люк» («черный ход») переломы. Вследствие эластичности костей орбиты у детей чаще встречаются переломы по типу «люка», что создает условия для пролабирования орбитальных тканей, ущемления их на стороне перелома и для возникновения окулокардиального синдрома (рефлекс Ашнера).
Рутинными методами рентгенографического исследования практически невозможно определить наличие и локализацию взрывных переломов нижней стенки орбиты [4]. Основным методом диагностики данных видов переломов является компьютерная томография (КТ).
Цель - определить особенности клиники, диагностики и показания к хирургическому лечению переломов орбиты у детей.
Материалы и методы. За период между январем 2005 и мартом 2012 гг. на стационарном лечении в офтальмологическом отделении (центр травм и неотложных состояний органа зрения) ГБУЗ ОКБ №3, г. Челябинсканаходились 14 детей, у которых диагностирован взрывной перелом нижней стенки орбиты. Мальчиков - 11 (78,6%), девочек - 3 (21,4%), средний возраст 14 ± 4,34 года. Срок от момента травмы до обнаружения перелома составил от 1 суток до 14 дней, в среднем - 6 суток.
У всех пациентов изучен анамнез, выполнено комплексное офтальмологическое обследование: визометрия с оптимальной коррекцией, рефрактометрия, биомикроскопия, офтальмоскопия, определение характера зрения с помощью четырехточечного цветотеста по Уорсу, тонометрия, периметрия. Также определено положение глазного яблока с помощью зеркального экзофтальмометра Гертеля, оценена чувствительность по ходу иннервации нижнего глазничного нерва и окулокардиальный синдром (ОКС). Всем пациентам выполнена рентгенография орбит и черепа( ROOM -20 M ) в прямой, боковой и передней полуаксиальной проекциях. Для получения дополнительной информации всем детям проведено двухмерное ультразвуковое исследование -УЗИ ( A / B SCAN - HUMPREY -837) глазного яблока, экстраокулярных мышц и ретробульбарного пространства.
Компьютерная томография -КТ ( CT MAX -640 GE ) орбит, придаточных пазух носа выполнена 8 пациентам. У остальных 6 пациентов взрывной перелом нижней стенки орбиты стал случайной находкой при КТ головного мозга, выполненной для исключения внутричерепной гематомы. Сканирование проведено в автоматическом режиме по специальной программе, заложенной в компьютерном обеспечении томографа. Для определения состояния нижней стенки орбиты получены срезы во фронтальной (коронарной) плоскости. Для детальной оценки состояния подглазничного канала и экстраокулярных мышц получены изображения в аксиальной плоскости, толщина среза, шаг томографа 1,25 мм, индекс реконструкции 1,25; 2 мм.
Фоторегистрация изображений лица ( CYBER - SHOT - SONY - W 300) выполнена всем пациентам. Все дети консультированы нейрохирургом, челюстно-лицевым хирургом, оториноларингологом.
Статистическая обработка данных проведена с помощью методов вариационной статистики с использованием компьютерной программы « Statistica 6.0» в среде Windows . Различия считали достоверными при p 0,05.
Результаты исследования. Причинами повреждения нижней стенки орбиты у детей явились ДТП (6), насилие (4), удар о землю областью орбиты при падении (3), спортивная травма (1). Тип взрывного перелома нижней стенки орбиты по данным КТ определен согласно классификации S . H . Baek , E . Y . Lee (2003):
а) «люк» - в момент удара создается повышение внутриорбитального давления, что приводит к формированию трещины в нижней стенке орбиты, в которую устремляются мягкие ткани с последующим ее спонтанным закрытием и ущемлением орбитальных тканей;
b ) линейный - перелом нижней стенки орбиты с минимальным смещением, проходящим параллельно и медиальнее нижней орбитальной вырезки;
с) по типу «шарнира» - при котором линия перелома проходит вдоль нижней орбитальной вырезки с поворотом вокруг нижнего края решетчатой кости с опущением в гайморову пазуху тканей орбиты;
d ) оскольчатый - перелом с большим количеством мелких фрагментов, при котором нижняя стенка орбиты отсутствует на определенной, в зависимости от размера сквозного дефекта, площади, орбитальные ткани пролабируют в гайморову пазуху.
Общими клиническими симптомами перелома нижней стенки орбиты с ущемлением мягких тканей и нижней прямой мышцы явились нарушение бинокулярного зрения, развитие диплопии и ОКС: слабость, тошнота, рвота, брадикардия (ЧСС p = 0,029, Фишер тест) ОКС с переломом по типу «люка» и ограничением движений глазного яблока по вертикали.
У 5 детей при КТ определен оскольчатый перелом, у 3 - по типу «шарнира», которые клинически характеризовались нарушением движений глазного яблока по вертикали, бинокулярного зрения, диплопией, энофтальмом более 3 мм. При этом поперечный размер сквозного дефекта нижней стенки орбиты составил более 5 мм, пролапс орбитальных тканей в гайморову пазуху более 2 мм, у всех пациентов ткани орбиты были ущемлены в зоне перелома.
У 13 из 14 пациентов было проведено хирургическое лечение в сроки до 2 недель от момента травмы. Срок исчезновения диплопии составил 64 ± 10,3 дня, что было обусловлено длительным сохранением отека орбитальных тканей. ОКС исчез сразу после операции у всех пациентов. Инфекционных осложнений и энофтальма не было. У 1 пациента, поздно обратившегося (через 19 дней после травмы), несмотря на хирургическое вмешательство, диплопия и отсутствие бинокулярного зрения сохраняется более 6 месяцев при правильном положении глазного яблока.
По данным некоторых исследований [1,2] у детей имеет место значительное соотношение скелета черепа к лицевому скелету (8:1), в сравнении с взрослыми (2,5:1), что обусловливает более высокий риск перелома черепа и крыши (верхней стенки) орбиты. Однако это различие в локализации перелома зависит от возраста пациента. В нашем исследовании средний возраст пациентов составил 14 ± 4,34 года, при котором конфигурация лицевого скелета приближалась к соотношению у взрослых, это обусловило высокую частоту перелома нижней стенки орбиты относительно перелома крыши орбиты.
У детей с переломом по типу «люка» определено ограничение движений глазного яблока преимущественно по вертикали. Однако при КТ выявлены лишь минимальные признаки повреждения мягких тканей, которые не объясняли ограничения подвижности глазного яблока. Полученные данные находятся в соответствии с наблюдениями других авторов [ 3 ] .
Риск ущемления мягких тканей в зоне перелома по типу «люка» больше у детей с изолированными взрывными переломами орбиты. Так как у детей кости более эластичные, подвижные, то перелом происходит по типу трещины, образуя узкий круговой, эллиптический перелом, мягкие ткани попадают в «капкан».
Показаниями к хирургическому лечению явились: ущемление орбитальных тканей и нижней прямой мышцы в зоне перелома, обнаруженное методом КТ, отсутствие клинического улучшения в течение 7 - 14 дней; ранний энофтальм 3 мм и более; гипофтальм более 2 мм; дефект нижней стенки орбиты более 5 мм, вследствие пролапса орбитальных тканей в верхнечелюстную пазуху. Цель хирургического лечения - восстановление подвижности глазного яблока в ранние сроки, уменьшение возможности ишемии, некроза орбитальных тканей и нижней прямой мышцы. Наличие ОКС не является показанием для немедленного хирургического вмешательства, если не сопровождается ограничением движений глазного яблока, диплопией, нарушением бинокулярного зрения, а тошнота и брадикардия связаны с вагусным опосредованным ответом на боль вследствие тракции нижней прямой мышцы.
Выводы. Перелом нижней стенки орбиты у детей по типу «люка» с ущемлением мягких тканей характеризуется развитием ОКС, ограничением подвижности глазного яблока по вертикали, не пропорциональной величине орбитального отека, диплопией, нарушением бинокулярного зрения.
Оскольчатый перелом и перелом по типу «шарнира» характеризуются поперечным размером сквозного дефекта нижней стенки орбиты более 5 мм, пролапсом орбитальных тканей в гайморову пазуху более 2 мм, ущемлением их в зоне перелома и клиникой нарушения движений глазного яблока по вертикали, бинокулярного зрения, диплопией, энофтальмом более 3 мм.
Раннее хирургическое вмешательство у детей предотвращает развитие ишемии ущемленных орбитальных мягких тканей и окулокардиального синдрома, который может спровоцировать фибрилляцию желудочков.
Baek, S. H. Clinical analysis of internal orbital fractures in children / S. H. Baek, E. Y. Lee // Korean J. Ophthalmol. - 2003. - V.17. - P. 44 -49 .
Bunstitle, M. A. Clinical recommendation for repair of isolated orbital floor fractures / M. A. Bunstitle // Ophtalmology. - 2002. -V. 109, №7. - P. 1207-1210.
Josef, J. M. Orbital fractures: a review / J. M. Josef, I P Glavas // С linical Ophthalmology. - 2011. - V.5. - P. 95 - 100.
Kubal, W. S. Imaging of orbital trauma / W. S. Kubal // RadioGraphics. - 2008. - V 28, № 6. - Р . 1729-1739.
Особенности диагностики взрывных переломов нижней стенки орбиты у детей / Е.С. Бухарина, Е.А. Дроздова, Г.М. Хакимова, И.А. Сироткина // Материалы III международной (Х итоговой) науч.-практ. конф. молодых ученых. - Челябинск, 2012. - С. 52-54.
© OKORIS УРАЛЬСКИЙ ЦЕНТР ГЛАЗНОГО ПРОТЕЗИРОВАНИЯ
г. Челябинск, ул. 40 лет Октября, д. 15/1,1 этаж.
Мед. лицензия № ЛО-74-01-003927 от 19.01.2017
Цитирование материалов сайта о пациентах центра возможно только после письменного разрешения, иных - с указанием источника заимствования.
Переломы стенок глазницы
Перелом орбиты - полное или частичное нарушение целостности стенок глазницы при нагрузке , превышающей прочность травмируемого участка . Переломы могут возникать как вследствие травмы , так и в результате различных заболеваний, сопровождающихся изменениями в прочностных характеристиках костной ткани.
Изолированные переломы верхней и латеральной стенок орбиты являются редкостью, обычно они сочетаются с другими переломами лицевого скелета. Так, переломы латеральной стенки обычно сочетаются с переломами скуловой или клиновидной костей, а переломы крыши орбиты - с повреждением верхнего края орбиты, лобной кости и лобной пазухи.
Статистика
Повреждения глазницы в основном встречаются в течение первых тридцати лет жизни и среди другой патологии орбиты уступают по частоте возникновения лишь эндокринной офтальмопатии у взрослых и дермоидным опухолям у детей. Из всех травм глазницы, требующих стационарного лечения, около 85 % составляют переломы ее стенок.
Орбитальные переломы являются одной из наиболее распространенных травм средней зоны лица, уступая лишь повреждениям костей носа. По данным P. Siritongtaworn с соавторами (2001), переломы глазницы составляют 40 % от всех переломов лицевого скелета. Три четверти пострадавших — мужчины.
Изолированные переломы орбиты встречаются примерно в 35-40 % случаев, у 30-33 % пострадавших оказываются поврежденными две стенки. Перелом трех стенок глазницы регистрируется у 15-20 % пациентов и всех четырех — в 5-10 % случаев.
У детей орбитальные переломы составляют 23 % от всех травм лица, уступая лишь фрактурам нижней челюсти (34 %). В свою очередь из всех переломов глазницы, встречающихся в педиатрической практике, от 25 до 70 % приходится на повреждения нижней стенки в варианте перелома по типу "капкана". Важно отметить, что орбитальные переломы, как правило, сочетаются с теми или иными повреждениями глазного яблока, в том числе с проникающими ранениями и субконъюнктивальными разрывами склеры. По данным C. Ioannides с соавт. (1988), T. Cook (2002), повреждения глаза или периокулярных мягких тканей встречаются у 26 % пациентов с орбитальными переломами, но состояния, требующие офтальмохирургической помощи, отмечаются гораздо реже - в 6,5 % случаев.
Этиология
Основные механизмы повреждения глазницы - дорожно-транспортные происшествия (ДТП) и криминальная травма (на каждую из перечисленных причин приходится по 40 % переломов). Нередко травмы являются следствием занятий спортом. К примеру, в Италии, Австралии, Новой Зеландии на долю спортивного травматизма приходится 15-20 % переломов костей лица. Описаны единичные случаи возникновения перелома нижней стенки глазницы в результате форсированного сморкания.
Анатомические особенности стенок орбиты
Верхняя стенка орбиты, "крыша орбиты", граничит с полостью черепа и сформирована почти на всем протяжении лобной костью и только сзади - не большим участком малого крыла клиновидной кости. С назальной стороны верхняя стенка орбиты граничит с лобной пазухой (sinus frontalis), расположенной в толще лобной кости. Травма верхней стенки орбиты влечет за собой наиболее тяжелые последствия и должна расцениваться не только как орбитальная, но и как черенномозговая.
Наиболее толстой и прочной из них является латеральная стенка (paries lateralis), сформированная в передней своей половине скуловой костью, а в задней - глазничной поверхностью большого крыла клиновидной кости. Длина латеральной стенки от края орбиты до верхней глазничной щели равна 40 мм.
Самая протяженная (45 мм) медиальная стенка (paries medialis)образована (в передне-заднем направлении) лобным отростком верхней челюсти, слезной и решетчатой костями, а также малым крылом клиновидной кости. Верхней границей ее служит лобно-решетчатый шов, нижней - решетчато-верхнечелюстной шов. В отличие от других стенок она имеет форму прямоугольника. Медиальная стенка глазницы отделяет глазницу от полости носа, решетчатого лабиринта и клиновидной пазухи. Данное обстоятельство имеет большое клиническое значение, так как эти полости нередко являются источником острого или хронического воспаления, распространяющегося per contuitatem на мягкие ткани глазницы. Этому способствует не только незначительная толщина медиальной стенки, но и имеющиеся в ней естественные (переднее и заднее решетчатые) отверстия.
Нижняя стенка (paries inferior), являющаяся "крышей" верхнечелюстной пазухи, образована главным образом глазничной поверхностью тела верхней челюсти, в передне-наружном отделе - скуловой костью, в заднем отделе - небольшим глазничным отростком перпендикулярной пластинки нёбной кости. Нижняя стенка - единственная, в формировании которой не принимает участие клиновидная кость. Нижняя стенка глазницы имеет вид равностороннего треугольника. Является самой короткой (около 20 мм) стенкой, не достигающей вершины орбиты,а заканчивающейся нижней глазничной щелью и крыловидно-нёбной ямкой.
Фронтальная плоскость, проведенная через экватор глазного яблока, делит полость орбиты на 2 части, - переднюю и заднюю. Переломы крыши и дна орбиты, которые лежат кпереди от этой плоскости, приводят к вертикальному изменению положения глазного яблока. Переломы, лежащие кзади от этой плоскости, приводят к изменению положения глазного яблока в передне-заднем направлении. Поэтому очень важно локализовать с помощью КТ положение перелома по отношению к глазному яблоку
Толстые костные края орбиты являются достаточно прочным образованием. Средняя часть орбиты - тонкая и часто ломается без перелома края, абсорбируя силу ударного воздействия. В задней трети орбиты кости утолщены и поэтому переломы этого отдела орбиты встречаются редко, благодаря дислокации переднего и среднего орбитальных сегментов, которая происходит во время травматического воздействия.
Переломы стенок орбит могут быть изолированными, но обычно они сочетаются с другими переломами лицевого скелета (переломами скуловой кости, костей носа, решётчатой кости, переломами верхней челюсти по Ле Фор II и Ле Фор III). Изолированные переломы могут вовлекать только часть внутренней костной поверхности орбиты. Например, так происходит при взрывном переломе дна орбиты, так называемом blow-out переломе. Обычно же имеются переломы нескольких участков орбиты, когда одномоментно повреждаются её край и одна или несколько стенок. Большинство переломов орбиты, поэтому, требуют стабилизации, как края, так и внутренних участков.
Классификация и диагностика переломов орбиты
Классификация переломов глазницы чаще всего строится по анатомическому принципу. Однако для клинической практики важно оценивать не только локализацию повреждения, но и степень нарушения целости костных образований, что определяется в первую очередь степенью энергетического воздействия на них.
По целостности кожных покровов:
- открытые (т.е. имеющие контракт с внешней средой, в том числе с придаточными пазухами носа);
- закрытые (изолированные от внешней среды).
По тяжести поражения:
- со смещением костных отломков;
- без смещения костных отломков;
- неполные (трещины).
- прямые (перелом в месте приложения силы);
- непрямые (перелом удален от места приложения силы, происходит за счет общей деформации).
Многочисленные типы орбитальных переломов могут возникать изолированно или в различных комбинациях с другими повреждениями лица. Наиболее распространенными типами орбитальных переломов являются:
- "взрывные" и вдавленные переломы нижней стенки глазницы;
- "взрывные" и вдавленные переломы медиальной стенки глазницы;
- назоорбитоэтмоидальные (НОЭ) переломы;
- переломы скулоорбитального комплекса;
- переломы верхней челюсти по типу Ле Фор II и III;
- фронтобазальные переломы (включающие повреждения стенок лобной пазухи, "взрывные" и вдавленные фрактуры крыши; переломы вершины глазницы, в том числе с вовлечением зрительного канала; локальные переломы, вызванные острыми предметами, вонзившимися в орбиту; а также супраорбитальные, глабеллярные, изолированные переломы надглазничного края).
Кроме того, при оценке каждого перелома целесообразно выделять три разновидности: низко-, средне- и высокоэнергетическую.
- Низкоэнергетический перелом - незавершенный (по типу "зеленой веточки") или с минимальным смещением отломков, - как правило, не требует оперативного лечения.
- Среднеэнергетический перелом характеризуется типичной для данной нозологической формы клиникой, умеренным смещением отломков; предполагает открытую репозицию и жесткую фиксацию костных фрагментов с использованием типичных доступов. Это самая обширная группа пациентов, требующая стандартных алгоритмов лечения (а-г - среднеэнергетический перелом нижнего края и нижней стенки глазницы).
- Наконец, высокоэнергетическая разновидность - редко возникающий мелкооскольчатый перелом с крайними степенями смещения и выраженной нестабильностью отломков, нарушением архитектоники лица ( д - высокоэнергетический перелом трех стенок орбиты, е - крайняя степень высокоэнергетического перелома, обычно являющегося составной частью панфациальной травмы. Мелкооскольчатый перелом всех стенок глазницы нередко сочетается с разрушением глазного яблока).
Для полноценной визуализации и репозиции поврежденных костных структур требуются многочисленные доступы, а тяжесть травмы предполагает индивидуальную хирургическую тактику в каждом конкретном случае.
Диагностика
Диагностика переломов орбиты основана на данных осмотра и рентгенологического обследования больного.
Переломы нижней и внутренней стенок орбиты зачастую относят к ЛОР-патологии.
Обследование больного с травмой орбиты следует начать с полного осмотра головы и лица, включая исследование функции черепных нервов. В зависимости от тяжести сочетанной ЧМТ следует уточнить вопрос о характере интракраниальных повреждений.
Офтальмологический осмотр необходим для выявления таких тяжелых повреждений как разрыв глазного яблока, повреждение зрительного нерва или повышение давления в полости орбиты.
Гифема, отслойка сетчатки, разрыв глазного яблока, повреждение ЗН по данным литературы наблюдаются в 15 %-18 % всех наблюдений травм орбиты, а при переломах верхнего края орбиты, которые составляют всего 10 % от всех периорбитальных переломов, серьёзные повреждения глаза встречаются в 30 % случаев. Наличие разрыва глазного яблока сказывается на тактике лечения перелома, - ограничиваются манипуляции, связанные с давлением на глазное яблоко; офтальмологическое вмешательство является приоритетным по отношению к выполнению костной реконструкции.
Острота зрения и реакции зрачков на свет документируются до и после хирургического вмешательства на орбите.
Клиническая картина
При внешнем осмотре в большинстве случаев переломов орбиты отмечаются периорбитальный отёк, экхимоз и субконъюнктивальные кровоизлияния.
Переломы передней трети орбиты характеризуются пальпирующейся деформацией, костной «ступенькой» и нарушениями со стороны чувствительных нервов, средней трети - изменениями положения глазного яблока, глазодвигательными нарушениями и диплопией, а задней трети орбиты - зрительными и глазодвигательными нарушениями.
Невозможность движений глазного яблока при том или ином направлении взора говорит либо о параличе глазодвигательных нервов, либо о местном поражении наружных мышц глаза, которое вызвано ушибом или ущемлением мышц в области перелома.
Клиническая картина и дальнейший прогноз в большинстве случаев зависят от силы удара и повреждения соседних структур. Например, перелом верхней стенки орбиты нередко связан с повреждением головного мозга. Переломы нижней и внутренней стенок осложняются возможностью попадания инфицированного слизистого отделяемого из придаточных пазух носа в орбиту.
Основные признаки переломов:
- Кровотечение из носа, кровоизлияние под кожу век.
- Наличие воздуха под кожей в области глаза (особенно часто при чихании или шмыгании носом после травмы). При этом, при надавливании на кожу, под пальцами ощущаются едва заметные щелчки - лопанье пузырьков воздуха в тканях.
- Ограничение подвижности глаза, двоение.
- Невозможность широко открыть рот.
- Смещение глазного яблока вглубь орбиты (энофтальм), вниз (гипофтальм), редко - выпирание глаза наружу (экзофтальм).
- Снижение чувствительности кожи в области скулы, щеки, верхней губы, нижнего века, верхнего века, лба (на стороне повреждения).
КТ является оптимальным методом рентгеновского обследования для диагностики переломов орбиты. Аксиальные срезы с шагом томографа в 2-3 мм выявляют нарушения в области медиальной и латеральной стенок и переломы назоэтмоидальной области. Коронарные (фронтальные) срезы, полученные прямо или реформированные из аксиальных срезов, выявляют переломы дна и крыши орбиты и межорбитального пространства.
При отсутствии КТ, рентгенограммы орбит и придаточных пазух часто дают возможность диагностировать перелом дна орбиты, а также визуализировать кровь в верхнечелюстной пазухе, равно как и вдавление в области дна орбиты и грыжевое выпячивание её содержимого. Может также определяться разрыв медиальной стенки и разъединение лобно-скулового шва. В тех случаях, когда подозревается повреждение канала ЗН, необходимы более тонкие срезы 1-1,5 мм через вершину орбиты и зрительный канал, что гарантирует более тщательную диагностику.
У некоторых пациентов со сложной деформацией орбиты необходимо проведение аксиального КТ исследования на спиральном компьютере с последующей трехмерной реконструкцией изображения для получения более полной информации, необходимой для планирования оперативного вмешательства. Результаты такого обследования могут быть использованы для лазерной стереолитографии, - технологии, позволяющей получить с высокой степенью точности пластиковую копию черепа исследуемого больного. Наличие такой модели также позволяет оптимизировать план оперативного вмешательства.
Ценность МРТ исследования при травмах орбиты заключается в возможности выявления повреждений мягких тканей (изменения диаметра, разрывы глазодвигательных мышц и т.д.), а также ретро-бульбарных и поднадкостничных кровоизлияний.
Также вам будут интересны:
Изолированные переломы верхней и латеральной стенок орбиты являются редкостью, обычно они сочетаются с другими переломами лицевого скелета. Так, переломы латеральной стенки обычно сочетаются с переломами…
Перелом дна глазницы
Перелом дна глазницы - нарушение целости костей, формирующих дно глазницы.
Глазница - костная полость, содержащая орган зрения, состоящий из глазного яблока и его вспомогательного аппарата. Она имеет форму усеченной четырехгранной пирамиды с основанием, направленным кпереди и кнаружи.
Нижняя стенка глазницы образована глазничной поверхностью тела верхней челюсти, скуловой костью, глазничным отростком перпендикулярной пластинки нёбной кости. Площадь нижней глазничной стенки составляет около 6 см , толщина около 0,5 мм.
Наиболее тонким участком дна глазницы является пересекающая его примерно пополам подглазничная борозда, переходящая кпереди в подглазничный канал. Несколько прочнее является задняя часть внутренней половины нижней стенки. Самым толстым и, соответственно, прочным местом является соединение медиальной и нижней стенок глазницы, поддерживаемое медиальной стенкой верхнечелюстной пазухи. Данное место является контрфорсом, что важно учитывать при восстановлении целостности костей глазницы и фиксации удерживающих констукий.
Нижняя стенка имеет характерный S-образный профиль, что необходимо учитывать при моделировке имплантатов. Глазничный отросток перпендикулярной пластинки нёбной кости является самым прочным участком по сравнению с окружающей его глазничной поверхностью верхней челюсти, поэтому при переломах практически всегда остается неповрежденным и может использоваться в качестве ориентира вершины глазницы. Помимо этого, он имеет большое значение при замещении тотальных изъянов нижней стенки глазницы, когда вся сформированная верхней челюстью часть дна глазницы разрушена и единственным опорным пунктом, где может быть размещен задний край имплантата, является глазничный отросток перпендикулярной пластинки нёбной кости. В таких ситуациях так же остаются интактными и наружные края нижней стенки, переходящие на внутреннюю и наружную стенки глазницы, и, являющиеся, по сути, ориентирами и контрфорсами.
При переломах костей скулоглазничного комплекса и верхней челюсти по типам ЛеФор II и III, повреждения дна глазницы отмечаются в 100% случаев. В отдельную группу выделяют так называемые «взрывные» (blow-out) или изолированные переломы, когда в результате удара в область глазницы повреждается только нижняя стенка, а остальные анатомические образования остаются интактными.
Особенности кодирования заболевания или состояния (группы заболеваний или состояний) по Международной статической класификации болезней и проблем, связанных со здоровьем
Читайте также:
- Клиника отравления глифозатом-сурфактантом (Roundup)
- Гемоглобин S-бета-талассемия
- Симптомы гипотиреоза у мужчин. Какие таблетки помогут?
- Сохранение репродуктивной функции (фертильности) при онкологических болезнях женщин
- Заднее фасциальное ложе голени. Мышцы голени. Ахиллово ( Achilles ) сухожилие. Голеноподколенный канал. Отверстия голеноподколенного канала.
