Плоскоклеточный рак: высокодифференцированный и низкодифференцированный рак, виды, симптомы ороговевающего рака
Добавил пользователь Morpheus Обновлено: 11.12.2025
Плоскоклеточный рак кожи - злокачественная неоплазия, происходящая из шиповатого слоя эпидермиса. Образуется на неизмененной коже или возникает на фоне предраковых заболеваний. Имеет высокий, средний или низкий уровень дифференцировки клеток, может быть экзофитным либо эндофитным, ороговевающим либо неороговевающим. Представляет собой узел или язву с приподнятыми краями. Решающее значение для диагностики плоскоклеточного рака кожи имеют данные гистологического либо цитологического исследования. Лечение - операция, лучевая терапия, криодеструкция, лазерная вапоризация.

Общие сведения
Плоскоклеточный рак кожи - второе по распространенности онкологическое заболевание кожных покровов после базалиомы. Составляет около 20% от общего количества злокачественных неоплазий кожи. Отличается от базалиомы более высокой склонностью к образованию вторичных очагов. Возникает в шиповатом слое эпидермиса, быстро проникает в подлежащие ткани. Плоскоклеточный рак кожи обычно обнаруживается у пожилых больных, иногда выявляется у пациентов молодого и среднего возраста. Может локализоваться в любой анатомической зоне, чаще поражает открытые участки тела, органы промежности и перианальную зону. Достаточно часто рецидивирует. Лечение проводят специалисты в сфере онкологии и дерматологии.

Причины и классификация плоскоклеточного рака кожи
Причины данной патологии достоверно не выяснены. Установлено, что неоплазия может образовываться на неизмененных кожных покровах либо трансформироваться в раковую опухоль из предраковых болезней кожи, в том числе - пигментной ксеродермы и болезни Боуэна. Иногда плоскоклеточный рак кожи формируется на фоне кератоза, кератоакантомы, очага дерматита, хронических воспалительных процессов и язв различного генеза (посттравматических, лучевых, обусловленных нарушениями местного кровоснабжения и пр.), химических и солнечных ожогов.
Одним из ведущих факторов, способствующих развитию плоскоклеточного рака кожи, считают чрезмерную инсоляцию (особенно - у светлокожих блондинов). В число предрасполагающих факторов также входят радиоактивное излучение, продолжительный профессиональный контакт с канцерогенными веществами и генетическая предрасположенность (наличие неоплазий у близких родственников). Существуют исследования, указывающие на связь между плоскоклеточным раком кожи и некоторыми вирусами папилломы.
Обычно новообразование возникает в результате суммирующего действия нескольких перечисленных факторов. Риск развития плоскоклеточного рака кожи увеличивается при нарушениях иммунитета, однако специалисты утверждают, что эндогенные факторы играют незначительную роль по сравнению с экзогенными. С учетом особенностей роста выделяют экзофитную (опухолевый тип), эндофитную (язвенный тип) и смешанные формы плоскоклеточного рака кожи. Опухоли могут быть ороговевающими либо неороговевающими, состоять из одного очага или большого количества локусов. Существует три степени дифференцировки неоплазий: высокая, средняя и низкая.
Патоморфология плоскоклеточного рака кожи
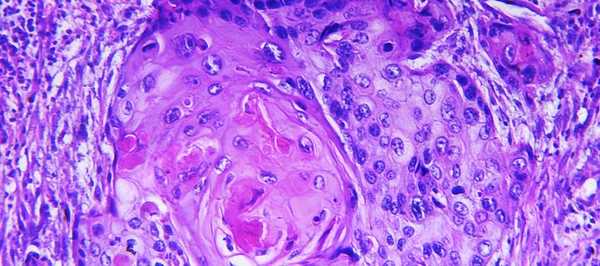
На макроскопическом уровне экзофитный рак кожи представляет собой плотный узел, эндофитный - язву. На поверхности новообразований видны очаги некроза и изъязвления. Для эндофитных опухолей характерно более раннее метастазирование в лимфоузлы. Ороговевающий плоскоклеточный рак кожи обычно имеет более высокий уровень дифференцировки, неороговевающий преимущественно представлен низкодифференцированными формами, склонными к агрессивному течению. Выраженность процессов ороговения не всегда соответствует уровню дифференцировки клеток. Высокодифференцированный плоскоклеточный рак кожи диагностируется чаще низкодифференцированного.
При гистологическом исследовании выявляются тяжи клеток шиповатого слоя эпидермиса, проникающие в глубокие слои кожи и подлежащие ткани. При изучении плоскоклеточного рака кожи определяются нормальные и атипичные клетки. Атипия характеризуется изменением формы, увеличением или уменьшением размера клеток, множественными патологическими митозами, гиперхроматозом и гиперплазией ядер. Высокодифференцированный ороговевающий плоскоклеточный рак кожи частично сохраняет обычную стратификацию, в его ткани видны «роговые жемчужины». Клетки низкодифференцированных неоплазий резко полиморфны, признаки слоев кожи полностью утрачены.
Симптомы и диагностика плоскоклеточного рака кожи
При экзофитном росте неоплазии на коже появляется плотная папула с ободком гиперемии. Плоскоклеточный рак кожи быстро растет, в зоне поражения образуется плотный малоподвижный красный либо розовый узел, покрытый ороговевшими частицами кожи либо бородавчатыми разрастаниями. Опухоль легко кровоточит, на ее поверхности возникают участки некроза и изъязвлений. Диаметр новообразования достигает 2 и более сантиметров. Изъязвление возникает через 3-4 месяца после появления папулы.
Эндофитный плоскоклеточный рак кожи представляет собой язву неправильной формы, четко отграниченную валикообразными краями от окружающих тканей. Поверхностные эндофитные опухоли покрыты коричневой коркой. Для глубоких неоплазий характерны желто-красная окраска и более выраженные крутые края. Дно новообразований бугристое, покрыто беловато-желтым налетом. Плоскоклеточный рак кожи достаточно быстро прорастает подлежащие ткани и метастазирует в лимфоузлы. Скорость роста, склонность к инвазии и время появления метастазов зависят от уровня дифференцировки неоплазии.
Диагноз выставляют дерматоонкологом с учетом анамнеза, данных осмотра, результатов гистологического и цитологического исследования. При подозрении на метастазирование назначают УЗИ регионарных лимфоузлов и другие диагностические процедуры. Дифференциальную диагностику осуществляют с базалиомой и гиперпластическими предраковыми заболеваниями: кератоакантомой, болезнью Боуэна, сенильным дискератозом, эритроплазией Кейра, аденокарциномой потовых желез, кожным рогом и некоторыми другими заболеваниями.
Лечение и прогноз при плоскоклеточном раке кожи
Тактику лечения плоскоклеточного рака кожи онкологи и дерматоонкологи выбирают в зависимости от локализации новообразования, распространенности онкологического процесса, наличия или отсутствия вторичных очагов, возраста и состояния организма больного. При небольших новообразованиях применяют лучевую терапию. Пожилым пациентам рентгенотерапию на начальном этапе обычно осуществляют при плоскоклеточном раке кожи любого размера (включая крупные опухоли). Целью лучевого лечения является полное исчезновение неоплазии или ее уменьшение до размеров, позволяющих провести радикальное хирургическое вмешательство.
Небольшие опухоли без глубокого распространения в подлежащие ткани удаляют, используя криотерапию или лазерную вапоризацию. Методики дают возможность обойтись без последующих масштабных пластических операций, поэтому особенно широко применяются при плоскоклеточном раке кожи лица. При крупных, глубоко проникающих новообразованиях выполняют традиционные операции. Плоскоклеточный рак кожи иссекают вместе с 1-2 см окружающих здоровых тканей. Проводят срочное гистологическое исследование образца, при наличии злокачественных клеток в зоне разреза объем вмешательства увеличивают. При необходимости осуществляют кожную пластику свободным кожным лоскутом, лоскутом, перемещенным с соседних участков либо лоскутом на питающей ножке с других участков тела. При больших неоперабельных неоплазиях назначают системную полихимиотерапию.
После завершения терапии пациент, страдающий плоскоклеточным раком кожи, находится на диспансерном наблюдении. Первый осмотр проводят через 1-1,5 месяца, последующие - через 3 месяца, 6 месяцев и 1 год. В дальнейшем больного осматривают ежегодно. Прогноз при плоскоклеточном раке кожи относительно благоприятный. Метастазы выявляются реже, чем при опухолях других локализаций. Чаще метастизируют крупные, рецидивирующие и глубоко проникающие неоплазии. Вероятность рецидивирования плоскоклеточного рака кожи на протяжении первого года после завершения лечения составляет 10%. На втором году рецидивирует 17% опухолей, на третьем - 21%, на пятом - 27%.
Плоскоклеточный рак легкого ( Эпидермоидный рак легкого )
Плоскоклеточный рак легкого - гистологический тип бронхопульмонального рака, возникающий в результате плоскоклеточной метаплазии бронхиального эпителия. Клинические проявления зависят от локализации опухоли (центральный или периферический рак легкого). Заболевание может протекать с кашлем, кровохарканьем, болью в груди, одышкой, пневмонией, плевритом, общей слабостью, метастазированием. Рак легкого диагностируется по данным рентгена, томографии, бронхоскопии; морфологическая диагностика основывается на результатах цитологического и гистологического анализа бронхоальвеолярных смывов, биоптатов. Лечение плоскоклеточного рака легкого - хирургическое и/или химиолучевое.
МКБ-10
Плоскоклеточный (эпидермоидный) рак легкого - злокачественная опухоль, развивающаяся из метаплазированных клеток плоского эпителия бронхов. В норме в выстилке здоровых бронхов плоские эпителиальные клетки отсутствуют, поэтому развитию плоскоклеточного рака предшествует эпидермоидная метаплазия - процесс трансформации мерцательного эпителия в плоский. Плоскоклеточный рак легкого составляет более половины (около 60%) всех гистологических форм рака легкого. Он поражает преимущественно мужчин старше 40 лет. До 70% опухолей этого типа локализуется в корне легкого, в трети случаев выявляется периферический рак легкого. Актуальность плоскоклеточного рака легкого для клинической пульмонологии заключается, прежде всего, в его высокой распространенности и потенциальной устранимости факторов риска заболевания.
Причины
Причиной плоскоклеточной метаплазии и последующего развития опухолевого процесса является воздействие токсических веществ на слизистую оболочку бронхов. Большинство пациентов, заболевающих плоскоклеточным раком легкого, страдают многолетней никотиновой зависимостью, поэтому курение (в т. ч., пассивное) считается основным фактором риска данной патологии. В повреждении бронхов велика роль аэрогенных поллютантов, вдыхаемых с атмосферным воздухом (двуокиси серы, окиси углерода, диоксида азота, кислот, формальдегида, твердых частиц и пр.). К числу фоновых патологий, нередко предшествующих плоскоклеточному раку легких, относятся пневмокониозы, хронический бронхит, пневмония, туберкулез. Известно, что инфицированность некоторыми вирусами (цитомегаловерусом, вирусом папилломы человека) может вызывать атипическую метаплазию эпителия бронхов.
В норме стенки бронхов выстланы цилиндрическим мерцательным эпителием, на ресничках которого оседают мельчайшие примеси, содержащиеся во вдыхаемом воздухе. Движение (мерцание) ресничек обеспечивает удаление, изгнание вредных частиц из дыхательных путей, т. е. с их помощью реализуется механизм самоочищения бронхов. Под влиянием вредных аэрогенных нагрузок бронхиальный эпителий начинает видоизменяться, приспосабливаться к постоянным агрессивным воздействиям. Происходит постепенное исчезновение ресничек, изменение формы (уплощение) эпителиальных клеток и их кератинизация. В новых условиях легкие становятся открыты для проникновения инородных частиц, а постоянное скопление мокроты в бронхах способствует развитию хронических фоновых заболеваний. Некоторые исследователи рассматривают эпидермоидную метаплазию эпителия как раннюю, преинвазивную стадию плоскоклеточного рака легкого.
Классификация
Определяющими микроскопическими критериями плоскоклеточного рака легкого служат: признаки кератинизации, наличие межклеточных мостиков и формирование роговых жемчужин. На основании выраженности данных признаков судят о степени дифференцировки опухоли, выделяя высокодифференцированный (ороговевающий), умеренно дифференцированный (неороговевающий) и низкодифференцированный плоскоклеточный рак легкого.
Гистологически высокодифференцированная опухоль представлена пластами крупных клеток, с четко очерченными ядрами, выраженной кератинизацией клеток, межклеточными мостиками и роговыми жемчужинами. Умеренно дифференцированная форма рака также представлена крупными полигональными клетками, хорошо контактирующими друг с другом, имеющими развитую цитоплазму, но с меньшим количеством межклеточных мостиков; кератин определяется лишь в некоторых клетках. Низкодифференцированный плоскоклеточный рак легкого характеризуется преобладанием мелких клеток со слабо развитыми ядрами, органеллами и десмосомальными контактами.
Согласно анатомической классификации, различают периферический и центральный плоскоклеточный рак легкого; реже встречаются атипичные формы (диссеминированная, медиастинальная).
Симптомы
Клинические проявления в большей степени зависят не от гистологического типа и степени дифференцировки рака легкого, а от анатомической локализации опухоли, ее размера, характера роста и скорости метастазирования. Поэтому симптомы плоскоклеточного рака легкого в целом схожи с другими типами рака (крупноклеточным, мелкоклеточным, аденокарциномой).
У 5-15% пациентов ранние стадии рака протекают клинически бессимптомно; в этом случае опухоль может случайно обнаруживаться при флюорографическом обследовании. Все симптомы плоскоклеточного рака легкого делятся на первичные (местные), вторичные (вызванные осложнениями, метастазированием или раковой интоксикацией). Первичные симптомы, как правило, являются относительно ранними и связаны с ростом первичного опухолевого узла. Наиболее постоянные жалобы включают кашель, боли в грудной клетке, одышку. Кашель вначале сухой, надсадный; у половины больных с центральной формой рака легкого наблюдается кровохарканье, в поздних стадиях переходящее в легочное кровотечение.
По мере распространения опухолевого процесса к местным проявлениям плоскоклеточного рака легкого присоединяются вторичные симптомы. Они связаны как с местными осложнениями (осложнениями воспалительной природы, прорастанием или сдавлением соседних структур), так и с отдаленным метастазированием, а также общим воздействием на организм злокачественной опухоли. При развитии обтурационной пневмонии у больных возникает фебрильная лихорадка, влажный кашель с отхождением слизисто-гнойной мокроты. При компрессии или прорастании рядом расположенных органов может беспокоить дисфагия, осиплость голоса, синдром Горнера, интенсивные боли в шее и плече, аритмия.
Общие симптомы включают общую слабость, анорексию, снижение массы тела, кахексию. При эпидермоидном раке легкого могут развиваться гиперкальциемия и гипофосфатемия, обусловленные эктопической продукцией паратгормона и простагландинов. Экстраторакальные метастазы (в печень, кости, надпочечники, головной мозг) выявляются у половины пациентов, умерших от плоскоклеточного рака легкого.
Диагностика
Первичный комплекс диагностики включает в себя оценку анамнеза, жалоб, физикальное и рентгенологическое обследование. Рентгенография легких позволяет обнаружить рак легких в 80% случаев, установить размер опухоли и ее расположение, вовлеченность внутригрудных лимфоузлов. Для изучения распространения бронхопульмонального рака используется КТ органов грудной клетки.
С помощью бронхоскопии визуально подтверждаются или исключаются признаки опухолевого роста. Более детальное изучение клеточного состава производится при цитологическом анализе мокроты и бронхоальвеолярного смыва. Окончательная верификация гистологического статуса возможна только после проведения щипковой или трансбронхиальной биопсии опухоли и морфологического исследования биоптата. Плоскоклеточный рак требует дифференцирования от других видов злокачественных опухолей легкого, а также метастазов плоскоклеточного рака другой локализации.
Лечение
Планирование лечебной тактики при плоскоклеточном раке легкого основывается на знании локализации и распространенности процесса. При возможности радикального удаления опухоли прибегают к иссечению первичного очага и пораженных метастазами лимфатических узлов и клетчатки средостения. Объем резекции обычно составляет от лобэктомии до расширенной пневмонэктомии.
Химиолучевое лечение плоскоклеточного рака легких может осуществляться в рамках радикальной программы или с паллиативной целью. Облучению подвергаются как зоны расположения опухоли, так и зоны метастазирования. Полихимиотерапия (циклофосфан, винкристин, метотрексат) обычно используется в дополнение к лучевой терапии у неоперабельных пациентов. Симптоматическая терапия (дезинтоксикация, обезболивание, психологическая помощь) диктуется состоянием больного. Иммунохимиотерапия с использованием ингибиторов факторов роста и ангиогенеза является новым, но достаточно перспективным методом лечения плоскоклеточного рака легких.
Прогноз
Пятилетняя выживаемость после предпринятого лечения по поводу плоскоклеточного рака легкого составляет 60-80 %. При выявлении рака легкого на второй стадии этот показатель уменьшается до 40%, на третьей - до 15-18%. На прогноз существенно влияет степень дифференцировки плоскоклеточного рака легких - чем она ниже, тем меньше чувствительность опухоли к химиолучевому воздействию и раньше происходит ее метастатическое распространение. Медиана выживаемости больных при отсутствии лечения в среднем равняется 6-8 месяцам.
3. Плоскоклеточный рак легкого (значение клинико-морфологических и молекулярно-генетических характеристик опухоли в прогнозировании результатов хирургического лечения): Автореферат диссертации/ Лактионов К. К. - 2004.
Плоскоклеточный рак
Плоскоклеточный рак, или плоскоклеточная карцинома - это гистологический тип злокачественных опухолей, такой диагноз устанавливают по результатам биопсии после исследования образца опухолевой ткани под микроскопом. Новообразование формируется из плоских клеток эпидермиса, которые выглядят как чешуйки. Оно может возникать на коже, в полости рта, в гортани, трахее, бронхах, пищеводе, на половых органах, в прямой кишке.

В «Евроонко» диагностикой и лечением плоскоклеточного рака занимаются врачи экспертного уровня, за плечами которых обширный опыт работы в ведущих онкологических центрах Москвы. С пациентом работает команда, в которую входят онкологи, дерматоонкологи, хирурги, химиотерапевты, радиотерапевты и другие специалисты. Мы применяем инновационные методы лечения, препараты последнего поколения, проводим противоопухолевую терапию в соответствии с ведущими международными рекомендациями. «Евроонко» - первый российский частный онкологический центр, в котором можно получить эффективное паллиативное лечение на поздних стадиях, даже в случаях, когда от пациента отказались в других клиниках.
Причины возникновения плоскоклеточного рака
Причины плоскоклеточного рака те же, что и для других типов злокачественных опухолей. В клетках происходят определенные мутации, которые приводят к злокачественному перерождению. «Неправильные» клетки утрачивают внешние черты и функции нормальных, начинают бесконтрольно размножаться, приобретают способность распространяться в организме.
Основные факторы риска плоскоклеточного рака:
- На коже такие опухоли часто возникают из-за действия ультрафиолетовых лучей. Наиболее уязвимы открытые участки тела.
- Плоскоклеточный рак половых органов, головы и шеи вызывают некоторые типы вируса папилломы человека.
- Риск развития плоскоклеточного рака повышен у курильщиков и людей, которые употребляют много алкоголя.
- Вероятность развития онкологического заболевания повышается с возрастом, так как в клетках тела накапливаются мутации.
- Шрамы, ожоги, хронический воспалительный процесс.
- Воздействие некоторых канцерогенных веществ, например, если человек работает на производстве и контактирует с химикатами.
- Снижение иммунитета.
Ни один из этих факторов не приводит гарантированно к заболеванию - каждый из них лишь в определенной степени повышает вероятность.
Какие бывают виды плоскоклеточного рака?
Злокачественные новообразования данного гистологического типа встречаются на разных частях тела. В зависимости от локализации, могут несколько различаться их свойства, подходы к диагностике и лечению, прогноз для пациента.

Рак кожи
Злокачественные опухоли кожи представлены плоскоклеточным раком примерно в 20% случаев. Намного чаще пациенты страдают базальноклеточным раком, который происходит из клеток, находящихся в нижнем слое эпидермиса.
Плоскоклеточный рак более агрессивен по сравнению с базальноклеточным. Он с большей вероятностью прорастет в глубокие слои кожи, будет распространяться в организме с образованием отдаленных метастазов. Тем не менее, это происходит довольно редко. Чаще всего опухоль удается обнаружить и удалить на ранней стадии.
Как правило, плоскоклеточный рак возникает на коже лица, ушей, шеи, тыльной стороне рук, реже - в области половых органов. Нередко новообразование развивается там, где находятся шрамы и хронические повреждения.

Плоскоклеточный рак красной каймы губ
Злокачественные опухоли губ составляют не более 1-3% от всех онкологических заболеваний. В большинстве случаев (95%) они представлены плоскоклеточным раком, который бывает двух типов:
- Плоскоклеточный ороговевающий рак ведет себя не так агрессивно, медленно растет, редко образует отдаленные метастазы.
- Плоскоклеточный неороговевающий рак растет быстро, раньше приводит к изъязвлению и чаще метастазирует.
Исследования показывают, что у мужчин этот тип рака встречается в 3-13 раз чаще, чем у женщин. Вероятно, это связано с тем, что представители мужского пола чаще подвергаются воздействию солнечных лучей на рабочем месте, среди них более распространено курение, употребление алкоголя.
Рак полости рта
Раком ротовой полости называют злокачественные опухоли, которые возникают на слизистой оболочке губ, щек, десен, передних двух третей языка, неба, дна ротовой полости (находится под языком). В 90% случаев они представлены плоскоклеточным раком, из них 5% - плоскоклеточный ороговевающий рак, который менее агрессивен, реже прорастает в окружающие ткани, распространяется в лимфатические узлы и метастазирует.
Рак пищевода
Слизистая оболочка пищевода выстлана многослойным плоским эпителием, и из него может развиваться плоскоклеточный рак. Чаще всего такие опухоли находятся в шейном отделе пищевода и верхних двух третях грудного отдела. В нижней трети органа чаще встречаются аденокарциномы - злокачественные опухоли из железистых клеток.
Рак гортани
При раке гортани опухоль практически всегда развивается из плоского эпителия и представляет собой плоскоклеточную карциному. Обычно возникновению опухоли предшествуют предраковые изменения - дисплазия. Клетки, которые находятся в очаге, внешне не похожи на нормальные, но отличаются и от раковых. В ряде случаев дисплазия не приводит к развитию рака и даже проходит самостоятельно, особенно если устранена ее причина, например, человек бросил курить. Но у некоторых людей предраковые изменения приводят к возникновению «рака на месте» (in situ), а затем инвазивной опухоли.

Рак трахеи и бронхов
Плоскоклеточный рак - наиболее распространенный тип злокачественных опухолей в трахее. Обычно он возникает в нижней части трахеи, довольно быстро растет, прорастает ее стенку, приводит к изъязвлениям и кровотечению. Это редкий тип рака, его основной причиной является курение.
Наиболее распространенным раком легкого является немелкоклеточный рак - он встречается в 80% случаев и в 30% случаев представлен плоскоклеточной карциномой. Нередко эти опухоли находятся в бронхах.
Рак шейки матки
Шейка матки состоит из двух частей. Экзоцервикс находится снаружи, во влагалище, это то, что видит гинеколог во время осмотра. Эндоцервикс - канал шейки матки, он соединяет матку с влагалищем. В норме экзоцервикс выстлан плоским эпителием, а эндоцервикс - железистым. Место, где они встречаются, называется зоной трансформации.
Плоскоклеточным раком представлены 90% злокачественных опухолей шейки матки. Чаще всего новообразование возникает в области зоны трансформации. Раки, которые развиваются из железистых клеток эндоцервикса, называются аденокарциномами.
В редких случаях в шейке матки встречается железисто-плоскоклеточный рак.
Рак вульвы
Вульвой называют наружные женские половые органы: преддверие влагалища, большие и малые половые губы, клитор. Большинство типов рака, которые развиваются в этой области, представлены плоскоклеточным раком (70-90%). Они делятся на две группы:
- Большая группа - опухоли, происхождение которых неизвестно. Чаще всего их диагностируют у женщин старшего возраста.
- Меньшая группа - злокачественные опухоли, вызванные вирусом папилломы человека.
Рак прямой кишки
В большинстве случаев злокачественные опухоли прямой кишки представлены аденокарциномами - железистым раком. Плоскоклеточный рак в этом органе встречается очень редко и составляет от 10 до 25 случаев на каждые 100 тысяч случаев колоректального рака.
Плоскоклеточный рак составляет 90% от всех злокачественных новообразований анального канала - узкого прохода, который соединяет прямую кишку с анусом.
Рак миндалин
У человека есть четыре вида миндалин: небные (при их воспалении развивается тонзиллит), трубные (находятся в глотке возле отверстий слуховых труб), язычная (позади языка) и глоточная (у детей из-за нее бывают аденоиды). Чаще всего злокачественные опухоли развиваются в небных миндалинах. В большинстве случаев это плоскоклеточный рак. Его сложно диагностировать, поэтому зачастую он выявляется на поздних стадиях.

Виды диагностики заболевания
Врач-онколог назначает пациенту те или иные виды диагностики, в зависимости от того, в каком органе находится злокачественная опухоль:
Место локализации рака
Методы диагностики
- Осмотр дерматолога.
- Дерматоскопия.
- В «Евроонко» применяется современная дерматоскопическая установка — ФотоФайндер. Она позволяет составить «карту родинок» и выявить мельчайшие изменения на коже.
- Осмотр ЛОР-врача.
- Фарингоскопия.
- Ларингоскопия.
- Бронхоскопия.
- Эзофагоскопия.
- Исследование на ВПЧ.
- Эндоскопическое исследование, в том числе эндоУЗИ.
- Рентгенография с контрастным усилением.
- КТ, МРТ.
- Рентгенография грудной клетки.
- Бронхоскопия.
- Осмотр гинеколога
- Осмотр гинеколога.
- Кольпоскопия.
- Осмотр врача-проктолога.
- Проктоскопия.
- Колоноскопия.
- Анализ кала на скрытую кровь.
Во всех случаях, когда обнаружено патологическое образование, проводят биопсию - исследование, во время которого получают фрагмент подозрительной ткани и отправляют в лабораторию для гистологического и цитологического исследования. Биопсия - самый точный метод диагностики рака. Она помогает не только достоверно установить диагноз, но и определить гистологический тип новообразования.Для того чтобы проверить степень распространения рака в организме и уточнить стадию, врач может назначить дополнительные исследования:
- компьютерную томографию, МРТ;
- рентгенографию грудной клетки, костей;
- ПЭТ-сканирование;
- УЗИ и эндоскопические исследования органов, в которые мог прорасти рак.
Лечение плоскоклеточного рака
Лечение зависит от локализации, стадии рака, общего состояния пациента, наличия у него сопутствующих заболеваний и других факторов.
Лучевая терапия
Ионизирующее излучение повреждает опухолевые и другие быстро размножающиеся клетки. Этот вид лечения плоскоклеточного рака может быть назначен до или после операции, либо на поздних стадиях в паллиативных целях.

Хирургия
Радикальные операции возможны, если нет метастазов, и не произошло сильное прорастание рака в окружающие ткани. В одних случаях таким пациентам показано только хирургическое лечение, в других его дополняют противоопухолевыми препаратами, лучевой терапией - это помогает снизить риск рецидива.
При запущенном плоскоклеточном раке может быть выполнено паллиативное хирургическое вмешательство, направленное на ликвидацию симптомов, восстановление проходимости и функции пораженного органа.
Медикаментозное лечение плоскоклеточного рака
Химиотерапия при плоскоклеточном раке может быть адъювантной (после операции), неоадъювантной (до хирургического вмешательства) или применяется в качестве самостоятельного метода лечения на поздних стадиях.
Если опухоль обладает определенными молекулярно-генетическими характеристиками, назначают таргетную терапию. Таргетные препараты прицельно воздействуют на молекулы, которые помогают раку расти и поддерживать свою жизнедеятельность.
Врачи «Евроонко» применяют при плоскоклеточном раке оригинальные противоопухолевые препараты последнего поколения, назначают их в соответствии с современными международными протоколами.
Симптоматическое лечение при плоскоклеточном раке
Лечение при плоскоклеточном раке и любых других злокачественных новообразованиях должно быть направлено не только на борьбу с самой опухолью, но и на купирование симптомов, улучшение состояния пациента. В «Евроонко» пациент может получить все виды симптоматической терапии при раке:
- Купирование болевого синдрома в соответствии с трехступенчатой схемой ВОЗ.
- Восстановление проходимости пищевода, кишечника, дыхательных путей.
- Устранение кровотечений, при необходимости - переливание крови.
- Купирование тошноты.
- Устранение сдавления опухолью внутренних органов, нервов, сосудов.
- Лечение экстренных состояний в условиях палаты интенсивной терапии, оснащенной современной аппаратурой.
- Контроль и коррекция нутритивного статуса.
- Поддерживающая терапия помогает комфортно перенести курс химиотерапии, предотвратить и купировать побочные эффекты.

Прогноз выживаемости при плоскоклеточном раке
Прогноз зависит от того, в каком месте начался рост рака, на какой стадии установлен диагноз и начато лечение. Например, зачастую выживаемость при раке кожи и красной каймы губ стремится к 100%, потому что такие опухоли, как правило, удается обнаружить достаточно рано, и они не очень агрессивны. Если появились отдаленные метастазы, шансы на ремиссию становятся крайне низкими. Но таким пациентам все еще можно помочь: затормозить прогрессирование плоскоклеточного рака, продлить жизнь, улучшить общее состояние, купировать мучительные симптомы.
Мы в «Евроонко» считаем, что безнадежных больных не бывает. Помочь можно всегда. Никогда не стоит сдаваться. Мы знаем, как помочь.
Плоскоклеточный рак шейки матки
Плоскоклеточный рак шейки матки - злокачественная неоплазия, формирующаяся из клеток плоского эпителия, приобретающих различную степень атипии. Плоскоклеточный рак шейки матки может носить «немое» течение. В клинически выраженных случаях проявляется кровянистыми выделениями, белями разного характера, при запущенном онкопроцессе - болями в области таза, нарушением функции мочевого пузыря и прямой кишки. Патология диагностируется по данным вагинального осмотра, ПАП-теста, кольпоскопии, биопсии, определения уровня онкомаркера SCС в крови. Методы лечения плоскоклеточного РШМ - хирургические вмешательства (конизация шейки матки, трахелэктомия, гистерэктомия), химиолучевая терапия.
Плоскоклеточный рак шейки матки - гистологическая разновидность цервикального рака, происходящего из многослойного плоского эпителия, выстилающего влагалищную часть шейки матки. В структуре инвазивного РШМ данный гистологический тип диагностируется в 70-80% случаев, в 10-20% встречается аденокарцинома шейки матки, в 10% - низкодифференцированный рак, прочие злокачественные опухоли шейки матки составляют менее 1%. Максимальная заболеваемость плоскоклеточным раком шейки матки приходится на женщин в возрасте 40-60 лет. Длительный период «немого» течения приводит к тому, что свыше 35% случаев плоскоклеточного рака шейки матки диагностируется уже в запущенной стадии, что оказывает негативное влияние на прогноз и исход заболевания. Разработка стратегии профилактики и проведение массового скрининга женского населения на РШМ являются приоритетными задачами практической гинекологии и онкологии.
Причины плоскоклеточного рака шейки матки
Однозначные причины возникновения плоскоклеточного рака шейки матки не определены, однако на современном этапе достаточно хорошо изучены факторы, запускающие процесс малигнизации многослойного плоского эпителия. В первую очередь, к таким факторам принадлежит вирус папилломы человека (HPV), главным образом 16 и 18 типов, реже - 31 и 33 типов. В большинстве случаев при плоскоклеточном раке шейки матки идентифицируется HPV-16. Среди других вирусных агентов, передаваемых половым путем, роль онкогенов могут играть вирус простого герпеса II типа, цитомегаловирус и др. Фоновыми процессами, при которых в дальнейшем может развиваться плоскоклеточный рак шейки матки, служат эрозия, эктропион, полип цервикального канала, лейкоплакия, цервицит и др.
Кроме этого, клеточному перерождению способствуют и другие факторы: гормональные расстройства, курение, прием иммуносупрессоров (глюкокортикостероидов, цитостатиков), иммунодефицит. Определенную негативную роль играет травматизация шейки матки при многократных родах, установке ВМС, проведении оперативных вмешательств: абортов, диагностических выскабливаний, диатермокоагуляции и диатермоконизации и пр. В группу риска по возникновению плоскоклеточного рака шейки матки входят женщины, рано начавшие сексуальную жизнь, часто меняющие половых партнеров, пренебрегающие методами барьерной контрацепции, перенесшие ЗППП.
Классификация плоскоклеточного рака шейки матки
Внутри рассматриваемого гистологического типа выделяют плоскоклеточный с ороговением и плоскоклеточный без ороговения РШМ. В микроскопическом отношении плоскоклеточный ороговевающий рак шейки матки отличается наличием признаков кератинизации клеток - «раковых жемчужин» и кератогиалиновых гранул. Эпителиальные клетки аномально крупные, плеоморфные, с неровными контурами. Митотические фигуры представлены скудно. В препаратах неороговевающего плоскоклеточного рака шейки матки отсутствуют кератиновые «перлы». Раковые клетки преимущественно крупные, полигональной или овальной формы. Отмечается их высокая митотическая активность. Степень дифференцировки РШМ может быть высокой, умеренной или низкой.
С учетом направления опухолевого роста различают экзофитную, эндофитную и смешанную формы плоскоклеточного рака шейки матки. Язвенно-инфильтративная форма характерна для запущенных стадий РШМ; обычно она формируется при распаде и некрозе эндофитно растущей опухоли.
В своем развитии РШМ проходит четыре клинических стадии. Также выделяют нулевую, или начальную стадию (внутриэпителиальный рак), при которой поражаются только клетки покровного эпителия без инвазии в базальную пластинку. Первая стадия подразделяется на два периода: микроинвазивный рак с глубиной проникновения в строму до 3 мм (стадия 1А) и инвазивный рак с инвазией более 3 мм (стадия 1В). Признаком второй стадии служит распространение опухолевого процесса на тело матки. Третью стадию РШМ характеризует прорастание опухоли в малый таз; при сдавлении или обтурации мочеточника развивается гидронефроз. В течение четвертой стадии отмечается инвазия в прямую кишку и крестец, распад опухоли, появление отдаленных метастазов.
Симптомы плоскоклеточного рака шейки матки
В нулевой и 1А стадии клинические проявления РШМ, как правило, отсутствуют. В этот период диагностика плоскоклеточного рака шейки матки возможна во время планового обследования у врача-гинеколога. В дальнейшем, по мере углубления инвазии и экспансивного роста опухоли появляется характерная патологическая триада: бели, кровотечения и болевой синдром. Выделения из половых путей могут иметь различный характер: быть серозными прозрачными или с примесью крови (в виде «мясных помоев»). В случае присоединения инфекции или распада опухолевого узла бели могут приобретать мутный, гноевидный характер и зловонный запах.
Кровотечение из половых путей при плоскоклеточном раке шейки матки различаются своей интенсивностью - от мажущих выделений до ациклических или менопаузальных кровотечений. Чаще кровотечения имеют контактное происхождение и провоцируются гинекологическим осмотром, половым актом, спринцеванием, натуживанием при дефекации.
Болевой синдром при плоскоклеточном раке шейки матки также может носить различную выраженность и локализацию (в области поясницы, крестца, промежности). Как правило, он свидетельствует о запущенности онкопроцесса, прорастании параметральной клетчатки и поражении поясничных, крестцовых или копчиковых нервных сплетений. При прорастании рака в соседние органы могут отмечаться дизурические расстройства, запоры, образование мочеполовых свищей. В терминальной стадии развивается раковая интоксикация и кахексия.
Диагностика плоскоклеточного рака шейки матки
Клинически «немые» формы плоскоклеточного рака шейки матки можно обнаружить при проведении кольпоскопии или по результатам цитологического ПАП-мазка. Важную роль в диагностике играет тщательно собранный гинекологический анамнез (количество сексуальных партнеров, родов, абортов, перенесенные ЗППП), а также обнаружение высокоонкогенных штаммов ВПЧ в исследуемом соскобе методом ПЦР.
При осмотре в зеркалах плоскоклеточный рак шейки матки определяется в виде папилломатозного или полиповидного разрастания либо язвенного образования. Эдофитные опухоли деформируют шейку матки, придавая ей бочкообразную форму. При контакте новообразование кровоточит. Для определения стадии онкозаболевания и исключения метастазов в органы малого таза проводится двуручное влагалищное и влагалищно-прямокишечное исследование. Во всех случаях обнаружения патологически измененной шейки матки в обязательном порядке проводится расширенная кольпоскопия, забор мазка на онкоцитологию, прицельная биопсия и выскабливание цервикального канала. Для морфологического подтверждения диагноза биоптат и соскоб направляются на гистологическое исследование.
Определенную информативность имеет определение уровня SCC (маркера плоскоклеточного рака) в сыворотке крови. Методами уточняющей диагностики плоскоклеточного рака шейки матки, призванными оценить степень распространенности неоплазии и помочь в выборе оптимального метода лечения пациентки, служат трансвагинальное УЗИ, КТ или МРТ малого таза, экскреторная урография, рентгенография легких, цистоскопия, ректороманоскопия.
Лечение плоскоклеточного рака шейки матки
При плоскоклеточном раке шейки матки может использоваться хирургическое, лучевое, химиотерапевтическое и комбинированное лечение. Выбор того или иного метода либо их сочетаний определяется распространенностью и морфологическим типом опухоли, а также возрастом и репродуктивными планами пациентки.
При стадиях 0 - IA у пациенток детородного возраста выполняется конизация или ампутация шейки матки. На стадиях IB-II оптимальный объем вмешательства - гистерэктомия с верхней третью влагалища, иногда требуется проведение неоадъювантной химиотерапии; в постменопаузе показана пангистерэктомия - удаление матки с аднексэктомией. При III-IV стадиях плоскоклеточного рака шейки матки стандартом является химиолучевая терапия (лучевое лечение + цисплатин), однако некоторые авторы допускают потенциальную возможность оперативного лечения. При поражении мочеотводящих путей может потребоваться проведение стентирования мочеточника.
В функционально неоперабельных случаях, обусловленных сопутствующими заболеваниями, назначается внутриполостная лучевая терапия. При рецидивах РШМ показано выполнение экзентерации малого таза, проведение паллиативной химиолучевой и симптоматической терапии.
Прогноз и профилактика
По окончании лечения динамическое наблюдение за пациенткой производится ежеквартально в течение первых 2-х лет, а затем раз в полгода до 5-летнего срока. Если плоскоклеточный рак шейки матки обнаружен на нулевой стадии, то своевременно проведенное лечение дает шансы на практически 100% выздоровление. Процент безрецидивной пятилетней выживаемости при РШМ I стадии составляет 85%, II стадии - 75%, III - менее 40%. При IV стадии заболевания можно говорить лишь о продлении жизни, но не излечении. Рак культи шейки матки развивается менее чем у 5% пациенток.
Профилактика плоскоклеточного рака шейки матки заключается в проведении массового и регулярного цитологического скрининга женского населения, диспансеризации женщин, имеющих фоновые и предраковые заболевания шейки матки. Большую превентивную роль играет отказ от курения, предупреждение ЗППП и проведение профилактический вакцинации против РШМ в подростковом возрасте.
Плоскоклеточный рак кожи

Плоскоклеточный рак кожи (ПКРК) - одно из самых распространенных злокачественных заболеваний, встречается у каждого 4 пациента с онкологическими поражениями кожи. Этот вид рака кожи одинаково часто поражает мужчин и женщин любого возраста.
Статистика
На ранних этапах развития заболевания прогноз — благоприятный, поэтому при адекватном и своевременном лечении выздоровление наступает в 90% случаев. Однако, заболевание склонно к рецидивам, которые могут возникать в 40% случаев. Поэтому очень важно регулярно наблюдаться у онколога — это позволит не пропустить начало обострения.
Плоскоклеточный рак кожи может быть высоко- и низкодифференцированный. Для низкодифференцированного рака характерно агрессивное и быстрое течение, даже при своевременном и адекватном лечении пятилетняя выживаемость не превышает 50%. Низкодифференцированный плоскоклеточный рак имеет вид язвы или шишки, которая может болеть и кровоточить. Высокодифференцированный рак развивается на фоне болезни Боуэна и актинического кератоза. Опухоль в этом случае растет долго, на ее поверхности образуются корки и шиповатые роговые наросты, она отличается большой плотностью.
Как развивается плоскоклеточное заболевание?
Плоскоклеточный рак образуется из клеток кожи — кератиноцитов, и по частоте встречаемости занимает третье место после меланомы и базалиомы. При этом у плоскоклеточного рака нет половой или возрастной предрасположенности.

Признаки
Чаще всего при плоскоклеточном заболевание опухоль возникает на:
- 55% — коже головы и лица
- 13% — ногах
- 18% — кистях рук
Каким бывает плоскоклеточный рак?
Принято выделять следующие формы заболевания:
- Язвенно-инфильтративная — сначала образуется пятно, которое за несколько месяцев трансформируется в малоподвижный и плотный на ощупь узел. Еще через 4-6 месяцев на его поверхности формируется язва неправильной формы. Далее процесс быстро распространяется на окружающие ткани, лимфоузлы, кости и легкие. О поражении лимфоузлов может говорить их припухлость и болезненность.
- Экзофитная или папиллярная — первичная опухоль коричневого или темно-красного цвета, похожее на цветную капусту. Она быстро растет и прорастает вглубь и вширь.
По своему строению заболевание может быть 2 видов:
- Ороговевающий плоскоклеточный вид — характеризуется медленным ростом и доброкачественным течением. Круглое или овальное образование может иметь цвет, желтый или красный оттенок. Почти всегда на его поверхности есть чешуйки, которые трудно отшелушить, а язва в центральной части покрывается коркой. На поздних стадиях заболевание поражает регионарные лимфоузлы.
- Неороговевающий плоскоклеточный вид — быстро растет и поражает окружающие ткани, поэтому характеризуется злокачественным течением. Образование мягкое, «мясистое», похоже на пятно или узел, имеет бурую язву с коркой на поверхности, которая при контакте может кровоточить. Чешуек на поверхности нет. Злокачественный процесс раньше, чем при ороговевающей разновидности, поражает лимфоузлы.
Метастазы для плоскоклеточного заболевания кожи - редкость. Чаще всего метастазируют образования, расположенные на слизистых оболочках, языке, вблизи красной каймы губ, ушей, на рубцах.
Причины возникновения ПРК
Новообразование может появиться как на здоровой поверхности покрова, так и в местах хронического воспаления, язв, на рубцах от ожогов. Основные факторы риска:
- длительное воздействие ультрафиолета и солнечные ожоги
- ПУВА-воздействие
- возраст старше 65 лет
- ионизирующее излучение (лучевая терапия других злокачественных болезней в анамнезе)
- лечение псориаза и акне
- хронические заболевания кожи и предраковые состояния
- язвы и рубцы
- иммуносупрессия, возникающая на фоне вирусов или перенесенной трансплантации органов
- воздействие некоторых химических реагентов, например, селена или родона
- вирус папилломы человека 16, 18, 31, 33, 35, 45 типов, вызывающий новообразование в области заднего прохода и наружных половых органов
- наследственная предрасположенность
- альбинизм, буллозный эпидермолис, пигментная ксеродерма
- длительное применение некоторые фармакопрепаратов
Стадии заболевания
В течении заболевания можно выделить 4 последовательных стадии:
Минимальные размеры опухоли. Процесс не распространен в глубокие слои кожи.
Поражены глубокие структуры (кости, хрящи, мышцы), расположенные рядом с опухолью/ раковые клетки могут быть обнаружены хотя бы в одном лимфоузле.
Присутствуют отдаленные метастазы.
Диагностика ПРК
На первичном приеме онколог выслушивает жалобы, подробно расспрашивает о том, когда и при каких обстоятельствах появились первые симптомы, есть ли наследственная предрасположенность, как часто загорает, какие препараты использует. После этого специалист осматривает поверхность и новообразование, пальпирует ближайшие к образованию лимфоузлы.
В МеланомаЮнит доступно электронное картирование, позволяющее составить «карту» всех родинок и новообразований на теле. Результаты исследования сохраняются в электронной карте пациента и могут быть использованы для контроля их изменений в будущем.
Для определения природы новообразования доктор проводит биопсию, то есть забор небольшого кусочка ткани для гистологического исследования в лаборатории.
Лечение ПКРК
К сожалению, ПКРК довольно часто образуется на открытых частях тела, поэтому в его лечении имеет значение не только эффективный результат, но и внешняя эстетика. Совместить два этих важных момента могут опытные специалисты МеланомаЮнит. Чаще всего применяется комплексная схема лечения, подобраннаяиндивидуально в зависимости от размера и места расположения новообразования, возраста и состояния здоровья пациента и ряда сопутствующих факторов.
В настоящее время для лечения плоскоклеточного заболевания применяется: хирургическое лечение, химио-, гормоно-, иммуно- и радиотерапия, а также использование таргетных препаратов.
Хирургическое вмешательство
Во время операции хирург удаляет опухоль и здоровые ткани на 1-2 сантиметра вокруг новообразования. При поражении регионарных лимфоузлов они так же по подлежат удалению. Щадящая методика удаления образований - лазерная деструкция. Особенно если пациент склонен к кровотечениям.
Иммунотерапия
Этот метод лечения подразумевает:
- использование «искусственного иммунитета» — особых моноклоальных антител, которые воздействуют на вещества, синтезируемые опухолью
- работу с контрольными точками, которые подавляют работу защитных сил организма
- применение противораковых вакцин, которые помогают сформировать эффективный иммунный ответ
- применение иммуномодуляторов — специфических препаратов, которые действуют не на опухоль, а повышают иммунную защиту организма в целом
В результате собственный иммунитет «заряжается» таким образом, чтобы самостоятельно атаковать раковые клетки.

Химиотерапия
Использование специальных препаратов — цитостатиков, «разрушающих» раковые клетки. Может быть использовано как в качестве монотерапии, так и в составе комплексного лечения.
Радиотерапия
Воздействие на опухоль потока радиационных частиц, разрушающих ДНК опухолевых клеток. Это приводит к гибели раковых клеток, а здоровые ткани при этом восстанавливаются после завершения терапии.
Таргетная терапия
Один из самых новых и эффективных видов лечения. Прицельное воздействие на опухоль осуществляется под действием специальных препаратов, которые работают только с мишенями - раковыми клетками и безопасны при этом для здоровых тканей.
Прогноз выживаемости
При опухоли размером 2-5 см пятилетняя выживаемость составляет 90%. При больших размерах и инвазии в окружающие мягкие ткани - до 50%. При наличии метастазов пятилетняя выживаемость - до 30%.
Преимущества лечения плоскоклеточного рака кожи в МеланомаЮнит
МеланомаЮнит — филиал известного израильского медицинского центра с надежной репутацией— одного из мировых лидеров в терапии рака кожи. Высокие результаты и эффективность лечения обусловлены соблюдением трех базовых принципов клиники —опыт и квалификация специалистов, применение самых современных лекарственных средств и использование проверенных временем и инновационных методик лечения. Наша задача — эффективное лечение и качественная психологическая поддержка на каждом этапе — от диагностики до реабилитации!
Читайте также:
