УЗИ, МРТ, КТ при перитонеальной инклюзионной кисте
Добавил пользователь Владимир З. Обновлено: 21.11.2025
МРТ головного мозга. Т2-взвешенная аксиальная томограмма. Арахноидальная киста. Цветовая обработка изображения.
Кисты головного мозга в большинстве своем относятся к аномалиям развития. Некоторые образования, возникшие на почве нарушения развития, имеют сходные с кистами черты.
Эпидермоидные кисты (эпидермоиды) - доброкачественные врождённые образования. Они происходят из эктопических эпидермальных клеток и развиваются в период закрытия, в 3-5 нед. эмбриогенеза, как следствие неполного разделения нейрональной и покровной эктодермы. Частота составляет около 1% от внутричерепных образований. Обычно диагностируются в возрасте 25 - 45 лет. Локализация эпидермоидов может быть любой, но типичная - мосто-мозжечковый угол (третье по частоте образование этой области), предмостовая цистерна, параселлярная область, четверохолмие и желудочковая система, очень редко в полушариях, спинном мозге и интрадиплоидно. Растут они интра- или экстрадурально, экспансивно, медленно, сдавливая ствол мозга, внутричерепные нервы, но не разрушая кость. Иногда захватывают сосуды и нервы. По характеру роста их можно отнести к опухолевидным образованиям. Вокруг эпидермоидов нередко развивается асептическое воспаление, а при разрыве содержимое (жир, кератин) прорывается в ликворные пространства. Клинические проявления зависят от локализации и масс-эффекта.
При МРТ головного мозга картина неспецифическая и зависит от содержимого кисты. Если она не содержит жира, то имеет ликворную интенсивность сигнала . В таком случае эпидермоидная киста трудно отличима от арахноидальной, хотя, как правило, не столь однородная. На МРТ типа FLAIR и диффузионно-взвешенных МРТ изображениях содержимое эпидермоидов светлее ликворного. Жировое содержимое, такие эпидермоиды еще называют холестеатомой, приводит к высокому сигналу на Т1-взвешенных МРТ головного мозга. Видимо, он обусловлен липидами, но не холестеролом. На Т2-взвешенных МРТ головного мозга он менее интенсивен чем ликвор. Контуры эпидермоидов всегда четкие. Холестеатомы составляют всего 3-5% от эпидермоидов. В 15-20% случаев встречается кальцификация по переферии кисты. Редко наблюдается контрастирование стенок.
МРТ головного мозга. Т1-взвешенные корональная и сагиттальная МРТ. Эпидермоидная киста левой височной доли.
Дермоидные кисты встречаются реже эпидермоидных, составляя около 0,3 % от внутричерепных образований. Обычно выявляются в возрасте между 10 и 20 годами. Морфологически от эпидермоидов их отличает наличие эктодермальных элементов - волосяных фолликулов, потовых желёз и т.д. Типично они расположены по средней линии (в отличие от эпидермоидов, которые чаще внеосевые): в супраселлярной цистерне, субфронтально, вокруг моста и, очень редко парапиниально, периорбитально, в IV желудочке, в области конского хвоста и интрадиплоидно. От эпидермоидных кист на МРТ головного мозга их отличает только выраженная неоднородность структуры, кроме того, они всегда яркие на Т1-взвешенных МРТ головного мозга за счёт большого содержания липидов. При разрыве и прорыве в субарахноидальное пространство в нём появляется уровень, на Т1-взвешенных МРТ головного мозга светлый жир плавает на ликворе.
Липома представляет собой скопление в субарахноидальном пространстве зачаточных жировых клеток с примесью коллагена. Происходят липомы из остатков примитивной эмбриональной оболочки. Эта мальформация оболочек мозга связана с нарушением дифференцировки мезенхимы на мягкую мозговую оболочку и субарахноидальное пространство. Частота липомы составляет менее 0.5% от внутричерепных образований. Обычно липомы локализуется в мозолистом теле, в межполушарной щели, воронке гипофиза и гипоталамусе, реже вокруг червя мозжечка и пластины четверохолмия и мосто-мозжечковом углу и Липомы мозолистого тела сочетаются с его агенезией и в 60% случаев с распространением на сосудистое сплетение. При МРТ головного мозга липома четко очерчена, без отека вокруг и масс-эффекта, кость не разрушает. Структура образования чаще однородная, жировой интенсивности сигнала - то есть выраженно гиперинтенсивная на Т1-взвешенных МРТ и немного менее интенсивная по отношению к ликвору на Т2-взвешенных МРТ. Иногда встречаются неоднородные липомы с участками низкого сигнала от кальцинатов и сосудов, проходящих ее насквозь. При сомнениях в диагнозе надо выполнить МРТ головного мозга с подавлением жира или можно сделать КТ. На КТ липома всегда резко гиподенсна и может содержать включения кальция.

МРТ головного мозга. Сагиттальная Т1-взвешенная МРТ. Липома мозолистого тела.
Эпендимальные кисты встречаются очень редко. Они представляют собой врождённую отшнуровку внутри желудочков или цистернах . На МРТ головного мозга контур кисты четкий, сигнал ликворной интенсивности или чуть светлее за счет отсутствия пульсации и примеси белка, структура однородная. В отличие от кист прозрачной перегородки она не расщеплена, а смещена.
Арахноидальные кисты представляют собой скопление ликвора между листками расщепленной паутинной оболочки. Арахноидальная киста обычно не сопровождается другими мальформациями. Незначительная часть арахноидальных кист имеет приобретенное происхождение - следствие лептоменингита, операции или кровоизлияния. Частота составляет около 1% от внутричерепных образований. Соотношение полов М:Ж, как 4:1. Типичная локализация - средняя черепная ямка (в области Сильвиевой борозды 50%), межполушарная щель, мосто-мозжечковый угол (11%), за скатом или на уровне четверохолмия (10%), в области червя мозжечка (9%), реже в области межножковой и предмостовой цистерн (3%), а также супраселлярной и хиазмальной цистерн. Ретроцеребеллярная арахноидальная киста довольно часто встречаются за мозжечком и отличима от mega cisterna только по неизменённой задней черепной ямке. Содержимое кисты чисто ликворное, стенки гладкие, чётко очерченные, внутри кисты могут быть перегородки. Мелкие арахноидальные кисты очень трудно увидеть. Меняя ширину окна и его уровень на Т1-взвешенных МРТ изображениях можно заметить, что киста чуть светлее ликвора. Дифференциальная диагностика с эпидермальными кистами лучше осуществляется с помощью МРТ последовательности FLAIR. Эпидермальные кисты становятся яркими, в отличие от гипоинтенсивных арахноидальных.
Нейроглиальные (нейроэпителиальные) кисты - врождённые кисты различной этиологии, локализующиеся в паренхиме мозга или в области сосудистого сплетения желудочков. Обычно округлые, с гладкими стенками. Очень часто такие кисты сочетаются с аномалиями развития: отсутствием прозрачной перегородки и полимикрогирией. При МРТ головного мозга содержимое кист ликворное, иногда с небольшой примесью белка.
Коллоидная киста - это врождённое нейроэпителиальное образование. Коллоидная киста выстлана эпителием и имеет фиброзную капсулу. Она составляют около 1-2% объемных внутричерепных образований. Обычно диагностируются в возрасте между 30 и 50 годами. При МРТ головного мозга видно, что киста всегда расположена в переднее-верхнем отрезке III желудочка между отверстиями Монро. Контур ее четкий, форма округлая, содержимое бывает неоднородное. Размер от 3 мм до 4 см, при больших размерах она закрывает отверстия Монро и вызывает окклюзионную гидроцефалию. Сигнал зависти от примеси белка к ликвору. При наличии белкового мукоидного содержимого киста гиперинтенсивна на Т1-взвешенных МРТ и гипоинтенсивна на Т2-взвешенных МРТ, но встречаются варианты гиперинтенсивные на томограммах обоих типов кольцевидные или смешанные . Контрастирования не наблюдается.
КТ и МРТ головного мозга. Коллоидная киста III желудочка.
Киста кармана Ратке представляет собой редко встречающееся образование из остатков эмбриональной эктодермы (щель Ратке), расположенное между долями гипофиза. Выявляется в любом возрасте, но чаще в 50-60 лет. Клинические проявления связаны с масс-эффектом. При головного мозга выявляется небольшая (3-5 мм) киста с четким контуром, без отека вокруг, однородная по структуре. Сигнал зависит от содержимого. При серозном содержимом сигнал типично жидкостный, при мукоидном киста светлая на Т1-взвешенных МРТ. В редких случаях киста достигает больших размеров и даже выходит за пределы седла. Стенка кисты иногда усиливается при контрастировании.
МРТ головного мозга. Т2-взвешенная корональная МРТ. Киста кармана Ратке.
Пинеальная киста расположена в проекции шишковидной железы. Встречается с частотой 4-11%. Размеры обычно не превышают 1 см, но изредка встречаются больших размеров. В таких случаях она вызывает окклюзионную гидроцефалию. При головного мозга она имеет все признаки кисты с примесью белка в жидкости, то есть немного светлая на Т1-взвешенных. Изредка встречается геморрагическое содержимое. Киста может контрастироваться по периферии.

МРТ головного мозга. Сагиттальная Т1-взвешенная МРТ. Пинеальная киста.
Кисты средней линии - киста прозрачной перегородки (cavum septi pellucidi), полость Верге (cavum Vergae) и киста промежуточного паруса (cavum veli interpositi) - являются нормальными структурами головного мозга плода. В течение 6 месяцев после рождения у большинства людей они запустевают, но могут и сохраниться, визуализируясь при этом на МРТ головного мозга. По-видимому, эти полости не имеют клинического значения и относятся к случайным находкам при томографии. Киста прозрачной перегородки (еще называют V желудочком) является медиальной стенкой боковых желудочков и ограничена спереди коленом мозолистого тела, сверху мозолистым телом и сзади столбами свода . Полость Верге представляет собой продолжение кисты прозрачной перегородки кзади и расположена между телами желудочков . Обычно обе кисты сочетаются. Киста промежуточного паруса расположена в крыше III желудочка (tela choroidea), между треугольниками боковых желудочков на уровне отверстий Монро. Она ограничена сверху мозолистым телом, cзади цистерной четверохолмия и снизу III желудочком.
При МРТ в СПб мы обращаем внимание на возможность не только врожденных, но и редких состояний, к которым относятся приобретенные кисты головного мозга, причиной которых могут быть:
- последствия ОНМК
- опухолевые кисты
- паразитарные кисты

МРТ головного мозга. Корональная Т1-взвешенная МРТ. Многокамерные эхинококковые кисты.
Кисты головного мозга одинаково хорошо видны в высоких полях и низкопольных открытых МРТ. МРТ СПб дает место выбора выполнения МРТ.
Перитонеальная инклюзионная киста
Актуальность: С целью сохранения репродуктивного потенциала у женщин при выявлении кистозных новообразований малого таза важно правильно поставить диагноз и определить тактику лечения.
Описание: В статье представлено клиническое наблюдение своевременной диагностики и лечения перитонеальной инклюзионной кисты у женщины репродуктивного возраста. Было проведено комплексное лабораторно-инструментальное обследование, по результатам которого пациентке с диагнозом кисты яичника было рекомендовано хирургическое лечение. Морфологическое заключение операционного материала - перитонеальная инклюзионная киста (ПИК).
Заключение: Учитывая сложность диагностики ПИК и часто бессимптомное течение требуется стандартизация диагностических критериев. Преимущество хирургического лечения заключается в получении морфологического заключения с целью верификации диагноза.
Перитонеальная инклюзионная киста (ПИК) - доброкачественное кистозное образование брюшной полости или малого таза, возникающее в результате усиленной пролиферативной активности мезотелия. ПИК встречаются у женщин репродуктивного и пременопаузального возраста [1]. Операции по поводу ПИК составляют от 3-6% среди гинекологических операций по поводу новообразований придатков матки.
Mennemeyer R. и Smith M. [2] были первыми, кто описал ПИК в 1979 г. Патогенез до конца не ясен, однако считается, что они возникают вследствие внутрибрюшного воспаления и последующего образованию кисты с серозной жидкостью, полученной из стромы яичника [3]. Некоторые исследователи считают, что ПИК может формироваться из-за наличия перитонеальных спаек в результате локализованного скопления перитонеальной жидкости [4, 5]. Поврежденная брюшина снижает абсорбционную способность, и перитонеальная жидкость постепенно накапливается. Другие исследователи считают, что ПИК образуются в результате дифференцировки мезотелиальных клеток, которые восстанавливают поврежденную часть брюшины. Обычно данные кисты представляют собой закрытые пространства между спайками с захваченной жидкостью, и иногда, если они существуют длительное время, эпителизируются, а эпителиальная выстилка выделяет жидкость, что приводит к увеличению размеров кист [3]. Также существует мнение, что ПИК формируется за счет накопления неабсорбированной фолликулярной жидкости, секретируемой нормальным яичником, в сросшейся в результате воспалительного процесса брюшине [4] Производство жидкости меняется в зависимости от менструального цикла, что указывает на гормональный эффект. Описаны случаи, когда в стенках ПИК обнаружены рецепторы эстрогена и прогестерона. Гормональные факторы, независимо от этиологии, влияют на непосредственный рост перитонеальных кист. Нет упоминаний в литературных источниках, в которых ПИК были бы диагностированы у женщин, постоянно принимающих оральные контрацептивы.
ПИК необходимо дифференцировать от других видов новообразований малого таза. Дифференциальную диагностику стоит проводить с параовариальной кистой, гидросальпинксом, пиосальпинксом, аппендикулярным мукоцеле, которое может вызвать псевдомиксому брюшины при разрыве. Стоит учитывать, что, если опухоль отделена от яичника, необходимо провести дифференциальную диагностику между ПИК и злокачественным кистозным новообразованием яичника, мультикистозной мезотелиомой, о чем упоминалось в работе Van Ruth S. [6]. Существует гипотеза о том, что ПИК являются промежуточным звеном между аденоматоидной опу.
Кисты забрюшинного пространства

Кисты забрюшинного пространства — это патологические полости, располагающие стенкой и жидким содержимым, расположенные не во внутренних органах, а непосредственно в забрюшинном пространстве. Это — область между задним листком брюшины, спинной мышечной ткани, диафрагмой и мышцами малого таза. Особенность таких кист заключается в том, что они расположены глубоко, поэтому их диагностика затруднена. Чаще всего их выявляют у пациентов старше пятидесяти лет, преимущественно — женского пола.
Пройти лечение кист забрюшинного пространства в Москве приглашает отделение хирургии ЦЭЛТ. Мы предоставляем услуги на отечественном рынке платных медицинских услуг уже более тридцати лет и пользуемся хорошей репутацией у всех, кто желает избавиться от тех или иных заболеваний и повысить качество жизни.
Этиология кист забрюшинного пространства
Данный вид кист считается достаточно редким и на начальной стадии практически не проявляет себя, что определяет его опасность: по мере развития развивается нагноение, давление на внутренние органы и увеличивается риск разрыва оболочки. Вышеперечисленное несёт реальную угрозу здоровью пациента. Инициирующие факторы развития кист в забрюшинном пространстве заключаются в следующем:
- травматические повреждения области живота;
- наследственная предрасположенность;
- врождённые аномалии органов брюшной полости;
- паразитарные поражения;
- воздействия химической природы на область брюшины;
- кровоизлияния и воспалительные процессы внутренних органов.
Симптоматика кист забрюшинного пространства

Клинические проявления патологического состояния в виде кисты следующие:
- увеличение размеров живота и изменение его формы;
- болевая симптоматика, локализующаяся в области живота;
- нарушения процессов дефекации и мочеиспускания;
- кишечная непроходимость;
- ощущение слабости, отсутствие аппетита;
- тошнота и рвота.
При поражении нервов забрюшинного пространства у пациента возникают сильные острые боли, локализующиеся в области живота, поясницы, нижних конечностей.
Риск развития осложнений кисты забрюшинного пространства
Как уже упоминалось, опасность данного вида кист заключается в том, что на начальной стадии развития они практически ничем не проявлены. Пациент не обращается за профессиональной медицинской помощью, а новообразование тем временем растёт и уже через небольшой период времени представляет собой опасность для его здоровья и даже жизни.
Дело в том, что кисты большого диаметра оказывают давление на внутренние ткани и органы. Самым опасным их осложнением является самопроизвольное вскрытие капсулы, которое может случиться из-за удара в живот или вследствие физической нагрузки. В этом случае серозное или гнойное содержимое кисты попадает в брюшную полость и становится причиной интоксикации, которая требует срочной госпитализации.
Диагностика кист забрюшинного пространства
Диагностика таких кист серьёзно затруднена из-за того, что они находятся в свободной клетчатке. Наши специалисты уделяют внимание правильной постановке диагноза, проводя:
- осмотр и пальпацию;
- УЗ-сканирование поражённой области; .
Таким образом они устанавливают локализацию кисты, место её крепления. Исключить наличие воспалительного процесса помогают результаты общих анализов урины и крови, злокачественные процессы — гистология посредством пункционного забора материала.
Наши врачи

Главный хирург ЦЭЛТ, заслуженный врач РФ, главный специалист ДЗ г. Москвы по эндохирургии и эндоскопии, членкор РАН, заведующий кафедрой факультетской хирургии № 1 ГБОУ БПО МГМСУ, доктор медицинских наук, врач высшей категории, профессор
Гигантская киста брюшной полости
Женщину 21 года госпитализировали после двух лет регулярных жалоб на вздутие живота и связанный с этим дискомфорт. Никаких других симптомов не было, так что основной целью госпитализации стали диагностика и выбор лечебной тактики.

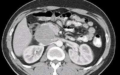
При осмотре в брюшной полости пальпируется подвижное безболезненное и относительно плотное образование. Данные лабораторных анализов — без отклонений, опухолевые маркеры в пределах нормы. Рентгенография брюшной полости показала нормальное распределение газов в кишечнике. Ультразвуковое исследование выявило анэхогенное кистозное образование, занимающее полностью переднюю и правую часть брюшной полости. Каких‑либо патологических изменений кишечника, а также свободной и локализованной жидкости в брюшной полости не обнаружено. КТ брюшной полости и МРТ выявили образование больших размеров — 35×20×10 см, располагавшееся в брюшной полости и полости малого таза, не связанное с какими‑либо органами (рисунок 1).

Во время срединной лапаротомии обнаружена гигантская киста, устье которой было связано с брыжейкой поперечной ободочной кишки (рисунок 2). Образование полностью удалено, органы брюшной полости не пострадали. Макроскопически киста брюшной полости однокамерная, содержит около 5000 мл серозной жидкости. Гистологический анализ показал, что это была простая мезотелиальная киста, фиброзная стенка которой выстлана мезотелиальными клетками правильной формы без атипии и митозов (рисунок 3). Послеоперационный период прошел без осложнений — все показатели пациентки оставались в норме, и она была выписана на следующий день. Шесть месяцев спустя самочувствие пациентки оставалось хорошим, рецидива не было.
Согласно классификации, предложенной Perrot (2000 год), простые мезотелиальные кисты брюшной полости (ПМКБП), а также доброкачественные и злокачественные кистозные мезотелиомы — это брыжеечные кисты мезотелиального происхождения [1].

ПМКБП встречаются крайне редко, всего в литературе описано около 900 случаев [2, 3]. Размер кист — до 40 сантиметров [2, 4, 5]. Обычно небольшая киста брюшной полости никак не проявляет себя, изредка пациенты могут жаловаться на неспецифичные симптомы. Отсутствие выраженной клинической картины и малая распространенность затрудняют диагностику ПМКБП.
Возникновение таких кист, скорее всего, связано с врожденным неполным сращением листков брюшины. По этой причине ПМКБП могут возникать в области тонкой кишки, брыжейки ободочной кишки и сальника [6, 7].
Симптомы кисты брюшной полости
Чаще всего кисту брюшной полости обнаруживают у детей и молодых людей [6]. Если ПМКБП увеличивается в размерах, появляются симптомы сдавления кишечника: боль в животе, вздутие, метеоризм, запоры и рвота [2, 8, 9]. При пальпации можно обнаружить безболезненное, сжимаемое мягкое образование, смещаемое в поперечном направлении [2, 9].Гигантская киста может симулировать асцит или опухоль яичников.
ПМКБП может осложниться острым животом из‑за своего разрыва, внутреннего кровотечения, воспаления или заворота, а также из‑за обструкции кишечника, реже возникает асцит [2, 3, 9]. Разнообразные неспецифичные, «вялые» симптомы более характерны для взрослых, а клиника острого живота — для детей [2].
По своему строению ПМКБП — тонкостенная, однокамерная киста брюшной полости, обычно с серозным содержимым [7]. Внутренняя поверхность полости выстлана плоскими, кубическими или цилиндрическими мезотелиальными клетками, стенка — фиброзная, без каких‑либо мышечных или лимфатических структур [2, 7]. Цитологический анализ ПМКБП показывает, что у клеток правильное круглое ядро, одно ядрышко и большое количество цитоплазмы [2].
Обзорная рентгенограмма и контрастная рентгенография с барием часто дают нормальные результаты или показывают наличие какого‑то образования, смещающего кишечник [6, 9]. УЗИ брюшной полости, КТ и МРТ более информативны [7, 10]. Они могут показать кистозный характер образования, его размеры, расположение и связь с прилежащими органами, а также характер содержимого и стенок кисты [2, 6].
При УЗИ кисте брюшной полости выглядит как анэхогенное образование с акустическим усилением [6, 7, 9]. КТ и МРТ выявляют образование, наполненное жидкостью, с сигналом слабой интенсивности на Т-взвешенных изображениях, без различимых стенок и внутренних перегородок [7, 9]. Данные лабораторных исследований — неспецифичны. Обычно дополнительные диагностические мероприятия (тонкоигольная аспирационная биопсия с цитологическим анализом или обзорная лапароскопия) не проводятся [2].
Лечение кисты брюшной полости: операция
Методом выбора является полное иссечение кисты [2, 8-10]. Чтобы исключить малигнизацию и предотвратить осложнения, иногда необходимо провести резекцию прилежащих органов [2, 3, 8]. У некоторых пациентов это возможно осуществить как с помощью лапароскопии, так и с помощью лапаротомии [3, 8-10]. На выбор метода влияют размер и расположение кисты, а также опыт хирурга [10]. Пунктирование кисты, дренаж и марсупиализация при ПМКБП неэффективны, а риск осложнений очень высок [3, 8, 9]. В описанном случае лапароскопия была невозможна из‑за огромного размера образования.
ПМКБП — доброкачественное образование и прогноз при этом заболевании благоприятный [9]. Полная эксцизия редко приводит к осложнениям, риск смертности и рецидива низок [2, 3, 9].
ПМКБП — крайне редкая опухоль брюшной полости, однако ее всегда надо включать в круг дифференциальной диагностики абдоминальных образований.
Пациентка дала письменное согласие на публикацию своего случая. Копия письменного согласия находится у главного редактора журнала (JOURNAL OF MEDICAL CASE REPORTS).
De Perrot M, Brudler M, Totsch M, Mentha G, Morel P: Mesenteric cyst. Toward less confusion? Dig Surg 2000, 17: 323-328.
Miljković D, Gmijović D, Radojković M, Gligorijević J, Radovanović Z: Mesenteric cysts. Arch Oncol 2007, 15: 91-93.
Sahin DA, Akbulut G, Saykol V, San O, Tokyol C, Dilek ON: Laparoscopic enucleation of mesenteric cyst: a case report. Mt Sinai J Med 2006, 73: 1019-1020.
Huis M, Balija M, Lez C, Szerda F,Štulhofer M: Mesenteric cysts. Acta Med Croatica 2002, 56: 119-124.
Tan JJ, Tan KK, Chew SP: Mesenteric cysts: an institution experience over 14 years and review of literature. World J Surg 2009, 33: 1961-1965.
Ros PR, Olmsted WW, Moser RP Jr, Dachman AH, Hjermstad BH, Sohin SH: Mesenteric and omental cysts: histologic classification with imaging correlation. Radiology 1987, 164: 327-332.
Stoupis C, Ros PR, Abbitt PL, Burton SS, Gauger J: Bubbles in the belly: imaging of cystic mesenteric or omental masses. Radiographics 1994, 14: 729-737.
Patel A, Lefemine V, Ramanand BS: A rare case of a peritoneal cyst arising from the falciform ligament. Cases J 2009, 2: 134.
Fernandez Ramos J, Vazquez Rueda F, Azpilicueta Idarreta M, Diaz Aguilar C: Mesothelial giant cyst of great omentum. An Pediatr (Barc) 2009, 71: 180-181.
Theodoridis TD, Zepiridis L, Athanatos D, Tzevelekis F, Kellartzis D, Bontis JN: Laparoscopic management of mesenteric cyst: a case report. Cases J 2009, 2: 132.
Инклюзионная киста
В клинической практике встречается закупорка выводного ПРОТОКА сальной железы, потовой железы. Это приводит к формированию сальных кист, кист потовых желез, которые в целом называются ИНКЛЮЗИОННЫЕ кисты.
После дренирования (опорожнения) инклюзионная киста может вновь возникнуть на том же месте. Поэтому в нашей Клинике мы стараемся полностью УДАЛИТЬ инклюзионную кисту.
Более 25 лет мы ЭФФЕКТИВНО лечим инклюзионные кисты с достижением СТОЙКОго косметического эффекта.
Данный факт привлекает в Пятигорск в нашу ПРОФИЛЬную клинику внимание тысяч заинтересованных глаз.
Инклюзионные кисты у женщины 22 лет. Инклюзионные кисты вульвы возникли после полового акта на фоне недостаточной выработки «смазки»
Множественные инклюзионные кисты вульвы у женщины 47 лет после перенесенного острого вульвита. Сальные кисты указаны браншами пинцета.
Обратите внимание на ПРЕВОСХОДНОе качество фотографий, сделанных на наших ультрасовременных кольпоскопах « Olympus » ( Япония ).
Фото инклюзионных кист, выполненные нашими ОПЫТными специалистами, и комментарии к ним Вы можете встретить на многих российских и зарубежных сайтах.
Ведущие специалисты по лечению инклюзионных кист вульвы Южного Федерального Округа
Ермолаева Эльвира Кадировна
Признанный на Северном Кавказе специалист в области диагностики и лечения инклюзионных кист, лейкоплакии, лейкокрауроза, склероатрофического лишая, эритроплазии Кейра, болезни белых пятен, вульварной дистрофии и иных заболеваний вульвы
Ермолаев Олег Юрьевич
Кандидат медицинских наук, гинеколог-эндокринолог с 25-летним стажем и успешным опытом лечения инклюзионных кист, лейкоплакии и крауроза вульвы
МЕЖДУНАРОДНЫМ ПРИЗНАНИЕМ репутации и достижений Курортной клиники женского здоровья в разработке и внедрении эффективных и безопасных лечебных методик и качества предоставляемых медицинских услуг ЯВЛЯЕТСЯ НАГРАЖДЕНИЕ Курортной клиники женского здоровья в Пятигорске Международным СЕРТИФИКАТОМ КАЧЕСТВА SIQS в сфере медицины и здравоохранения. Международный Сократовский Комитет, Оксфорд, Великобритания и Швейцарский институт стандартов качества, Цюрих, ШВЕЙЦАРИЯ. Подробнее.
В Курортную клинику женского здоровья обратилась А.Х. 49 лет с жалобами на многочисленные образования на половых губах. Образования впервые возникли в 29 лет, через год после родов; в течение 20 лет их количество увеличилось с 4 до 10.
При осмотре наружных половых органов выявлены округлые образования желтого цвета, 6-12 мм в диаметре, возвышающиеся над кожей, плотной структуры, несколько болезненные при смещении (фото 1,2).
На фоне местной анестезии (обезболивания) проведено радиоволновое иссечение 10 кист. Кровопотеря капельная.
Содержимое кист представляло плотную массу желтого цвета или белое аморфное вещество (фото 3), что соответствовало указанию пациентки на давние и свежие кисты соответственно.
Читайте также:
- Какие психические заболевания передаются по наследству? Опасные наследственные болезни
- Местная иммунокоррекция при эндофтальмите. Повышение местного иммунитета при внутриглазной инфекции
- Строение
- Фиброматоз десмоидного типа
- Гемостаз. Механизмы свертывания крови. Тромбоцитарный гемостаз. Тромбоцитарная реакция. Первичный гемостаз.
