Переломы тела пяточной кости. Диагностика и лечение
Добавил пользователь Владимир З. Обновлено: 01.11.2025
Рекомендовано
Экспертным советом
РГП на ПХВ «Республиканский центр
развития здравоохранения»
Министерства здравоохранения
и социального развития
Республики Казахстан
от «27» ноября 2015 года
Протокол № 17
Определение: Перелом пяточной кости - патологическое состояние, возникающее в ходе нарушения анатомической целостности пяточной кости [1].
Название протокола: Перелом пяточной кости.
Код протокола:
Код(ы) по МКБ-10:
S92.0 Перелом пяточной кости
Сокращения, используемые в протоколе:
АЛТ - аланинаминотрансфераза
АСТ - аспартатаминотрансфераза
НПВС - нестероидные противоспалительные средства
ОАК - общий анализ крови
ОАМ - общий анализ мочи
ЛФК - лечебная физическая культура
ЭКГ - электрокардиограмма
Дата разработки протокола: 2015 год.
Категория пациентов: взрослые с переломами пяточной кости.
Пользователи протокола: травматологи, ортопеды, хирурги, врач общей практики
Примечание: в данном протоколе используются следующие классы рекомендаций и уровни доказательств:
Классы рекомендаций:
Класс I - польза и эффективность диагностического метода или лечебного воздействия доказана и/или общепризнаны
Класс II - противоречивые данные и/или расхождение мнений по поводу пользы/эффективности лечения
Класс IIа - имеющиеся данные свидетельствуют о пользе/эффективности лечебного воздействия
Класс IIb - польза/эффективность менее убедительны
Класс III - имеющиеся данные или общее мнение свидетельствует о том, что лечение неполезно/неэффективно и в некоторых случаях может быть вредным
| А | Высококачественный мета-анализ, систематический обзор РКИ или крупное РКИ с очень низкой вероятностью (++) систематической ошибки результаты которых могут быть распространены на соответствующую популяцию. |
| В | Высококачественный (++) систематический обзор когортных или исследований случай-контроль или Высококачественное (++) когортное или исследований случай-контроль с очень низким риском систематической ошибки или РКИ с невысоким (+) риском систематической ошибки, результаты которых могут быть распространены на соответствующую популяцию. |
| С | Когортное или исследование случай-контроль или контролируемое исследование без рандомизации с невысоким риском систематической ошибки (+). Результаты которых могут быть распространены на соответствующую популяцию или РКИ с очень низким или невысоким риском систематической ошибки (++ или +), результаты которых не могут быть непосредственно распространены на соответствующую популяцию. |
| D | Описание серии случаев или неконтролируемое исследование или мнение экспертов. |
| GPP | Наилучшая фармацевтическая практика. |

Автоматизация клиники: быстро и недорого!
- Подключено 300 клиник из 4 стран
- 800 RUB / 4500 KZT / 27 BYN - 1 рабочее место в месяц

Автоматизация клиники: быстро и недорого!
- Подключено 300 клиник из 4 стран
- 1 место - 800 RUB / 4500 KZT / 27 BYN в месяц
Мне интересно! Свяжитесь со мной
Классификация
Клиническая классификация АО (Ассоциации остеосинтеза):
По локализации переломы пяточной кости делятся на три типа:
· внесуставные;
А1.1 - переднего отростка;
А1.2 - медиального отростка (сустентакулум);
А1.3 - бугорка.
· переломы тела изолированные;
В1 - переломы без смещения;
В2 - переломы со смещением;
В3 - переломы проникающие на таранно-кубовидный сустав.
· внутрисуставные.
С1 - внутрисуставные, состоящие из двух частей;
С2 - внутрисуставные, состоящие из трех частей;
С1 - внутрисуставные, состоящие из четырех частей;
Диагностика
Перечень основных и дополнительных диагностических мероприятий:
Основные (обязательные) диагностические обследования, проводимые на амбулаторном уровне:
· рентгенография пяточной кости.
Дополнительные диагностические обследования, проводимые на амбулаторном уровне (по показаниям):
· ОАК;
· ОАМ;
· ЭКГ;
· микрореакция;
· определение глюкозы крови по показаниям;
· определение времени свертываемости;
· определение длительности кровотечения;
· биохимический анализ крови: билирубин общий, АлТ, АсТ, мочевина, креатинин, белок общий.
Минимальный перечень обследования, который необходимо провести при направлении на плановую госпитализацию: согласно внутреннему регламенту стационара с учетом действующего приказа уполномоченного органа в области здравоохранения.
Основные (обязательные) диагностические обследования, проводимые на стационарном уровне:
· ОАК;
· ОАМ;
· рентгенография пяточной кости в двух (прямая и аксиальная) проекциях.
Дополнительные диагностические обследования, проводимые на стационарном уровне (по показаниям):
· определение группы крови;
· определение резус-фактора;
· микрореакция;
· определение глюкозы крови по показаниям;
· определение времени свертываемости;
· определение длительности кровотечения;
· ЭКГ;
· биохимический анализ крови: билирубин общий АлТ, АсТ, мочевина, креатинин, белок общий.
Диагностические мероприятия проводимые на этапе скорой неотложной помощи:
· сбор жалоб и анамнеза, физикальное обследование.
Диагностические критерии постановки диагноза:
Жалобы: на
· боли в пяточной области;
· нарушение функции нижней конечности;
· наличие ран при открытых переломах.
Анамнез: наличие травмы с прямым (падение с высоты) механизмом травмы.
Физикальное обследование:
При осмотре отмечается:
· отек в месте перелома;
· деформация (расширение пяточной области);
· кровоизлияние в окружающие ткани.
При пальпации отмечается:
· боль;
· болезненность, усиливающая при осевой нагрузке.
Лабораторные исследования: могут быть в пределах нормы.
Инструментальные исследования:
Рентгенографию в боковой и аксиальной проекциях:
· выявление нарушение костной структуры;
· наличие линии излома.
Показанием для консультации специалистов:
· консультации нейрохирурга: при повреждении нерва и сочетанной травме головного мозга;
· консультация хирурга: при сочетанной травме живота;
· консультация сосудистого хирурга: при сопутствующем повреждении сосудов;
· консультация уролога: при повреждении органов мочеполовой системы;
· консультация терапевта: при наличии сопутствующих заболевании терапевтического профиля.
Дифференциальный диагноз
Лечение
Цели лечения:
· устранение смещения костных отломков;
· восстановление функции конечности.
Тактика лечения:
При переломах без смещения и при переломах со смещением, но с удовлетворительным стоянием отломков показано консервативное лечение. При переломах со смещением производиться блокада места перелома, закрытая одномоментная ручная репозиция отломков, наложение гипсовой лонгеты и контрольная рентгенография. Если на контрольной рентгенографии сохраняется смещении отломков, то показано оперативное лечение.
Немедикаментозное лечение:
Режим в зависимости от тяжести состояния - 1, 2, 3.
Диета - 15;
Другие виды диет назначаются в зависимости от сопутствующей патологии.
Медикаментозное лечение:
Таблица 1. Лекарственные средства, применяемые при переломе пястных костей
| № | Препарат, формы выпуска | Дозирование | Длительность применения | Уровень доказательности |
| Препарат для проведения блокады | ||||
| 1 | Прокаин | |||
Другие виды лечения:
Другие виды лечения, оказываемые на амбулаторном уровне: [7].
· новокаиновая блокада места перелома;
· закрытая репозиция при переломах со смещением;
· наложение гипсовой повязки;
· ортопедических изделии и шин.
Другие виды лечения, оказываемые на стационарном уровне: [7].
· новокаиновая блокада места перелома;
· закрытая одномоментная ручная репозиция при переломах со смещением;
· наложение гипсовой повязки;
· ортопедических изделии и шин.
Другие виды лечения, оказываемые на этапе скорой медицинской помощи: не проводится.
Хирургическое вмешательство:
Хирургическое вмешательство, оказываемое в амбулаторных условиях: не проводятся.
Хирургическое вмешательство, оказываемое в стационарных условиях:
При переломах пяточной кости применяются такие виды операции:
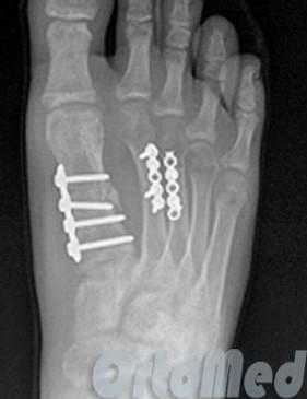
· закрытая репозиция костных обломков предплюсневых и плюсневых костей с внутренней фиксацией (для остеосинтеза используются спицы, винты и пластины различных модификаций);
· открытая репозиция костных обломков предплюсневых и плюсневых костей с внутренней фиксацией (для остеосинтеза используются спицы, винты и пластины различных модификаций);
· хирургическая обработка места открытого перелома предплюсневых и плюсневых костей;
· наложение аппарата для компрессионно-дистракционного остеосинтеза.
Дальнейшее ведение:
Лечебная физкультура:
С первых дней после операции показано активное ведение больных:
• повороты в постели;
• дыхательные упражнения (статического и динамического характера);
• активные движения в крупных и мелких суставах нижних конечностей;
• изометрические напряжения мышц нижних конечностей;
• приподнимание туловища с поддержкой за балканскую раму или трапецию, подвешенную над постелью.
Индикаторы эффективности лечения и безопасности методов диагностики и лечения:
· устранение смещения отломков на контрольных рентгенограммах;
· восстановление функции нижней конечности:
MRC- scale - от 3 баллов;
Индекс Карновского - 80 баллов;
Гониометрия - менее 80% от нормы.
Препараты (действующие вещества), применяющиеся при лечении
| Амоксициллин (Amoxicillin) |
| Ванкомицин (Vancomycin) |
| Кетопрофен (Ketoprofen) |
| Кеторолак (Ketorolac) |
| Клавулановая кислота (Clavulanic acid) |
| Клиндамицин (Clindamycin) |
| Парацетамол (Paracetamol) |
| Прокаин (Procaine) |
| Трамадол (Tramadol) |
| Тримеперидин (Trimeperidine) |
| Цефазолин (Cefazolin) |
Госпитализация
Показания для госпитализации :
Показания для экстренной госпитализации: переломы пяточной кости.
Показания для плановой госпитализации: нет.
Профилактика
Профилактические мероприятия:
Профилактика травматизма:
Имеются два социальных пусковых механизма, порождающие травмоопасные
ситуации.
Первый пусковой механизм: нарушение правил техники безопасности в быту из-за дефектов социального уклада общества и воспитания. К этого рода травмоопасным ситуациям относятся, нарушение правил дорожного движения, ныряние на мелководье, прыжки с высоты, перелезание с балкона на балкон и прочие. Несоблюдение общественной дисциплины вследствие дефектов воспитания проявляется драками, избиениями.
Второй пусковой механизм: возникновения травм связан с необеспечением специальными государственными службами безопасных условий быта людей и безопасных условий для деятельности людей в быту. Самой частой травмоопасной ситуацией второго пускового механизма является гололедица. Надо постоянно вести работу по устранению этих травмоопасных ситуаций. Непременно следует информировать население о происшедших травмах, их причинах и добиваться конкретных мер по устранению травмоопасных ситуаций, послуживших причиной каждой конкретной травмы.
Информация
Источники и литература
Информация
Список разработчиков протокола:
1) Баймагамбетов Шалгинбай Абыжанович - доктор медицинских наук, РГП на ПХВ «Научно-исследовательский институт травматологии и ортопедии» заместитель директора по клинической работе.
2) Мурсалов Нагмет Капанович - кандидат медицинских наук РГП на ПХВ «Научно-исследовательский институт травматологии и ортопедии» заведующий отделением травматологии №5.
3) Балгимбаев Арман Куралбаевич - РГП на ПХВ «Научно-исследовательский институт травматологии и ортопедии» врач-травматолог 1 категории.
4) Абильмажинов Мухтар Толегенович - доктор медицинских наук АО «Медицинский университет Астана» заведующий кафедрой травматологии и ортопедии.
5) Ботаев Руслан Сагатович - ГКП на ПХВ «Городская больница №1» Управление здравоохранения города Астаны, руководитель центра политравмы и восстановительной ортохирургии.
6) Ихамбаева Айнур Ныгымановна - АО «Национальный центр нейрохирургии» клинический фармаколог.
Конфликт интересов: отсутствует.
Рецензент: Тулеубаев Берик Еркебуланович - доктор медицинских наук РГП на ПХВ «Карагандинский государственный медицинский университет», профессор кафедры общей хирургии, травматологии и ортопедии.
Условия пересмотра протокола: пересмотр протокола через 3 года после его опубликования и с даты его вступления в действие или при наличии новых методов с уровнем доказательности.
Переломы костей стопы
Переломы костей стопы по различным данным составляют 2,5-10% от числа всех переломов. Переломы костей стопы возникают как в результате прямого повреждения, так и вследствие непрямой травмы (неудачного прыжка, подворачивания стопы, падения). Значимость переломов костей стопы определяется высокой взаимной зависимостью всех элементов этой части тела. Любое изменение формы одной из костей стопы при переломе приводит к изменению формы и функции всей стопы. Таким образом, переломы костей стопы нередко обуславливают последующее нарушение нормальной опоры на стопу, развитие плоскостопия и вторичных артрозов.С диагностической целью выполняются рентгенограммы стопы в 2-3-х проекциях. В отношении переломов костей стопы проводится открытая/закрытая репозиция с последующей иммобилизацией сроком до 1,5 мес.
МКБ-10
Общие сведения
Переломы костей стопы по различным данным составляют 2,5-10% от числа всех переломов. Значимость переломов костей стопы определяется высокой взаимной зависимостью всех элементов этой части тела. Любое изменение формы одной из костей стопы при переломе приводит к изменению формы и функции всей стопы. Таким образом, переломы костей стопы нередко обуславливают последующее нарушение нормальной опоры на стопу, развитие плоскостопия и вторичных артрозов.
Анатомия стопы
Стопа состоит из 26 костей, связанных между собой мелкими суставами и большим количеством связок. Выделяют три отдела стопы: предплюсну, плюсну и фаланги пальцев. Предплюсна образована пяточной, таранной, кубовидной, ладьевидной и тремя клиновидными костями.
Проксимально (ближе к центру тела) таранная кость соединяется с костями голени. Дистально (дальше от центра тела) кости предплюсны сочленяются с костями плюсны, которые, в свою очередь, образуют суставы с костями основных фаланг пальцев.
Переломы костей предплюсны
Переломы таранной кости
Таранная кость имеет особенности, отличающие ее от остальных костей стопы. Во-первых, через таранную кость на стопу передается давление всей тяжести человеческого тела. Во-вторых, таранная кость является единственной костью стопы, к которой не прикрепляется ни одна мышца. В-третьих, таранная кость играет значительную роль в формировании сводов стопы.
Переломы таранной кости встречаются в травматологии редко (около 3% от общего числа переломов костей стопы), относятся к группе тяжелых повреждений костей стопы и нередко сочетаются с другими повреждениями (переломами лодыжек, вывихами стопы, переломами других костей стопы). Различают переломы тела, головки, шейки, латерального или заднего края таранной кости.
Переломы таранной кости чаще являются результатом непрямой травмы (подворачивание стопы, прыжок, падение с высоты). Реже причиной повреждения становится сдавление стопы или прямой удар тяжелым предметом.
Симптомы
Пациент жалуется на резкие боли в поврежденной области. Стопа и голеностопный сустав отечны, на коже видны кровоизлияния, преимущественно - в области внутренней лодыжки. При смещении отломков выявляется деформация. Движения в голеностопном суставе практически невозможны из-за боли.
Определяется резкая болезненность при прощупывании на уровне суставной щели, причем при переломах шейки боли сильнее выражены спереди, а при переломах заднего отростка - по задней поверхности кнаружи от ахиллова сухожилия.
Для подтверждения перелома таранной кости, определения его локализации, выявления характера и степени смещения фрагментов выполняют рентгенографию в 2-х проекциях.
Лечение
При переломе со смещением показана неотложная репозиция отломков. Следует учитывать, что при увеличении давности травмы сопоставление костных фрагментов резко затрудняется или вовсе становится невозможным. Неудача закрытой репозиции является показанием к открытому вправлению или наложению скелетного вытяжения.
При переломах заднего отростка гипс накладывается на 2-3 недели, при остальных переломах таранной кости - на 4-5 недель. С 3-4 недели пациенту рекомендуют вынимать поврежденную ногу из шины и совершать активные движения в голеностопном суставе.
В последующем назначают ЛФК, массаж и физиолечение. Восстановление трудоспособности происходит через 2,5-3 месяца. В течение года после травмы больным рекомендуют ношение супинаторов для предупреждения травматического плоскостопия.
Переломы ладьевидной кости
Эта разновидность переломов костей стопы, как правило, возникает в результате прямой травмы (падение тяжелого предмета на тыл стопы). Реже причиной перелома ладьевидной кости становится ее сдавление между клиновидными костями и головкой таранной кости. Нередко переломы ладьевидной кости сочетаются с другими переломами костей стопы.
Опора на ногу ограничена из-за боли. Выявляются припухлость и кровоизлияния на тыле стопы. Прощупывание ладьевидной кости, поворот стопы кнутри и кнаружи, а также отведение и приведение стопы вызывают резкую болезненность в области перелома. Для подтверждения перелома ладьевидной кости выполняют рентгенографию стопы в 2-х проекциях.
При переломах ладьевидной кости без смещения костных фрагментов травматологом накладывается циркулярная гипсовая повязка с тщательно отмоделированными сводами стопы. При переломах со смещением проводится репозиция. Если отломки невозможно отрепонировать или удержать, выполняется открытое вправление. Фиксация гипсовой повязкой осуществляется в течение 4-5 недель.
Переломы кубовидной и клиновидных костей
Причиной травмы обычно становится падение тяжелого предмета на тыл стопы. Мягкие ткани в области повреждения отечны. Выявляется боль при прощупывании, давлении, поворотах стопы кнутри и кнаружи. Для подтверждения этого вида переломов костей стопы большое значение имеет рентгенография. Лечение - циркулярная гипсовая повязка на срок 4-5 недель. В течение года после такого перелома костей стопы пациент должен носить супинатор.
Переломы плюсневых костей

Переломы плюсневых костей по частоте занимают первое место среди всех переломов костей стопы. Обычно возникают при прямом воздействии травмирующей силы (сдавление стопы, падение тяжести или переезд стопы колесом). Могут быть множественными или одиночными. В зависимости от уровня повреждения выделяют переломы головки, шейки и тела плюсневых костей.
Одиночные переломы плюсневых костей очень редко сопровождаются значительным смещение фрагментов, поскольку оставшиеся целыми кости плюсны выполняют функцию естественной шины, удерживая отломки от смещения.
При одиночных переломах плюсневых костей выявляется локальный отек на тыле и подошве, боль при опоре и прощупывании. Множественные переломы плюсневых костей сопровождаются выраженным отеком всей стопы, кровоизлияниями, болью при пальпации. Опора затруднена или невозможна из-за боли. Возможна деформация стопы. Диагноз подтверждается данными рентгенографии в 2-х проекциях, а при переломах основания костей плюсны - в 3-х проекциях.
При переломах костей плюсны без смещения накладывают заднюю гипсовую шину сроком на 3-4 недели. При переломах со смещением проводят закрытое вправление, выполняют открытый остеосинтез или накладывают скелетное вытяжение. Срок фиксации при таких переломах костей стопы удлиняется до 6 недель. Затем пациенту накладывают специальную гипсовую повязку «с каблучком», а в последующем рекомендуют использовать ортопедические вкладки.
Переломы фаланг пальцев стопы

Эта разновидность переломов костей стопы, как правило, возникает при прямом воздействии травмирующей силы (падение тяжести, удар по пальцам). Переломы средней и ногтевой фаланг пальцев в последующем не нарушают функцию стопы. Неправильное сращение переломов основных фаланг может приводить к развитию посттравматических артрозов плюснефаланговых суставов, ограничению подвижности и болям при ходьбе.
Травмированный палец синюшен, отечен, резко болезненен при движениях, ощупывании и осевой нагрузке. Переломы ногтевой фаланги часто сопровождаются образованием подногтевой гематомы. Для подтверждения переломов фаланг выполняют рентгенограммы в 2-х проекциях.
При переломах фаланг пальцев стопы без смещения накладывают заднюю гипсовую шину. При смещении отломков выполняют закрытую репозицию. Костные фрагменты фиксируют спицами. При переломах ногтевой фаланги без смещения возможна иммобилизация с использованием лейкопластырной повязки. Срок фиксации зависит от тяжести перелома и составляет от 4 до 6 недель.
Перелом пяточной кости ( Перелом пятки )
Переломы пяточной кости - это нарушение целостности пяточной кости вследствие травматического воздействия. Симптомы включают боли и отечность пяточной области, расширение и уплощение пятки, невозможность оперы на пятку при сохранности объема движений голеностопного сустава. Диагностика перелома пяточной кости производится травматологом на основании жалоб, результатов осмотра и рентгенографии стопы в 3-х проекциях. Лечение включает наложение гипсовой лонгеты от пальцев до колена, затем проведение ЛФК и массажа.


По данным последних исследований, переломы пяточной кости составляют 5,8% от общего числа переломов. Имеют серьезный прогноз, в отдаленном периоде нередко наблюдается посттравматическое плоскостопие и другие последствия. Патология часто сочетается с переломами поясничных и грудных позвонков, переломовывихами и переломами лодыжек. В 15% случаев выявляются двухсторонние переломы пяточных костей. Лечение осуществляют специалисты в сфере травматологии.
Причины
Причиной перелома пяточной кости практически всегда является падение с высоты в положении стоя. Целостность кости нарушается при ударе пятками о землю. Очень редко наблюдаются повреждения в результате удара по подошве снизу (например, при взрыве). Тяжесть перелома определяется высотой, особенностями поверхности и прочностными характеристиками пяточной кости. У пожилых больных с остеопорозом травма может возникать при незначительном воздействии, например, соскальзывании ноги со ступеньки или падении с табуретки.
Патогенез
Пяточная кость - самая крупная кость стопы, несущая основную часть нагрузки при стоянии и ходьбе. Выделяют две основные части пяточной кости: тело и расположенный сзади бугор. Сверху пяточная кость соединяется с таранной костью, спереди - с кубовидной. Таранная кость выполняет функцию связующего звена между пяточной костью и костями голени. При падении на пятки сила тяжести всего тела передается через кости голени на таранную кость, которая вклинивается в пяточную кость и раскалывает ее на части.
Вид перелома пяточной кости и направление смещения ее отломков зависят от высоты падения и положения стопы в момент удара о землю. Воздействие травмирующей силы и тяга трехглавой мышцы голени приводят к смещению задних отделов кости кверху, в результате чего продольный свод уплощается. При отсутствии репозиции или наличии остаточной деформации это может стать причиной нарушения функций опоры и ходьбы после сращения отломков.
Переломы пяточных костей могут быть компрессионными, изолированными и краевыми, без смещения и со смещением отломков. В современной травматологии и ортопедии выделяют две большие группы повреждений:
- Внутрисуставные - составляют 80% от общего количества травм пяточной кости, включают переломы, линия которых распространяется в область подтаранного сустава.
- Внесуставные - подразделяются на переломы тела и бугра пяточной кости, доля таких повреждений составляет 20%.
Переломы бугра, в свою очередь, делятся на четыре группы:
- горизонтальные;
- вертикальные;
- отрывы срединного бугорка;
- переломы по типу «клюва».

КТ стопы (3D реконструкция). Оскольчатый перелом пяточной кости с разнонаправленным смещением осколков.
Симптомы перелома пятки
Пациент предъявляет жалобы на боли в области пятки. При осмотре выявляется разлитой отек пяточной области, быстро распространяющийся до ахиллова сухожилия, уплощение и расширение пятки, гематома в центре подошвы. Контуры ахилла сглаживаются. Высота стопы уменьшается, а ширина в задней части увеличивается. Через несколько часов после травмы иногда появляются кровоподтеки по боковым поверхностям стопы (ниже лодыжек)
Опора на ногу невозможна. Движения в голеностопном суставе сохранены. Пальпация пятки резко болезненна. При сдавливании пяточной области в поперечном направлении болевой синдром усиливается, становится нестерпимым. При компрессионных переломах и травмах без смещения отломков крепитация не определяется. В остальных случаях наличие костного хруста является вариативным признаком.
Осложнения
Вероятность развития осложнений возрастает прямо пропорционально степени смещения отломков пятки, зависит от качества репозиции - при неполном вправлении фрагментов и их вторичном смещении риск негативных последствий увеличивается. В отдаленном периоде у пациентов часто выявляется посттравматическое плоскостопие. Внутрисуставные переломы пяточной кости нередко становятся причиной развития артроза подтаранного сустава.
Диагноз выставляется врачом-травматологом на основании анамнеза, данных объективного осмотра и результатов визуализационных исследований. Повреждения пяток иногда остаются незамеченными на фоне травм позвоночника и лодыжек, сопровождающихся яркой симптоматикой, поэтому все пациенты с характерным механизмом травмы (падение на ноги с высоты более 1,5 м) должны быть осмотрены для исключения переломов пяточных костей. План обследования включает:
- Внешний осмотр. В пользу перелома свидетельствует деформация пяточной области, наличие разлитого отека и резкой болезненности. Патогномоничным признаком является костный хруст.
- Рентгенография пяточной кости. Для подтверждения диагноза и уточнения степени смещения фрагментов выполняют рентгенографию в четырех проекциях: латеральной, аксиальной, косой и переднезадней. О выраженности патологических изменений судят по изменению угла Белера (угол бугра пяточной кости) и угла Гиссана (угол между верхним краем латеральной части кости и наружным краем суставной поверхности).
- КТ пяточной кости. Позволяет уточнить расположение первичной линии перелома пятки, количество характер и смещения отломков. Назначается для выбора оптимальной тактики лечения. Производится в аксиальной, коронарной и сагиттальной проекциях.

Дифференциальную диагностику повреждения пятки проводят с переломами таранной кости. Решающую роль играют результаты визуализационных исследований.
Лечение перелома пяточной кости
Лечение обычно осуществляется в условиях травматологического отделения, может быть консервативным или оперативным. Программа лечения определяется видом и тяжестью перелома пятки, включает открытую или закрытую репозицию (при наличии смещения), иммобилизацию, обезболивание, специальный режим, использование дополнительных средств (костылей).
Переломы без смещения
Компрессионные и оскольчатые переломы
Лечение сложных внутрисуставных переломов пяточной кости связано с существенными затруднениями, обусловленными сложностью восстановления нормального взаиморасположения отломков и их удержания до момента сращения. С учетом вида перелома и характера смещения могут применяться следующие методы:
- Закрытая репозиция. Проводится с использованием специальных ручных приемов. Вначале устраняют смещение по длине, затем - уплощение пятки, в заключение - боковое смещение фрагментов. Конечность иммобилизуют гипсовой повязкой.
- Одномоментное скелетное вытяжение. Позволяет усилить тягу, повысить точность манипуляций. Осуществляется с помощью одной или двух спиц, которые проводят через отломки. Спицы закрепляют на скобы, выполняют перечисленные выше приемы, фиксируют костные фрагменты другими спицами, накладывают гипсовую повязку.
- Репозиция аппаратом Илизарова. Показана при несвежих повреждениях пятки, которые невозможно устранить путем одномоментного вправления. Производится в течение 1-2 недель под регулярным рентгенологическим контролем. В дальнейшем лечение осуществляется по тем же принципам, что при одномоментном вытяжении.
При неэффективности консервативного лечения проводят оперативные вмешательства. Остеосинтез пяточной кости выполняют с использованием шурупов и реконструктивных пластин, металлоконструкции применяют с осторожностью из-за большой опасности осложнений. При наличии костных дефектов дополнительно осуществляют трансплантацию ауто- или гомокости. При сложных застарелых повреждениях накладывают аппарат Илизарова для микродистракции отломков в течение 2,5-3 месяцев.
В послеоперационном периоде назначают анальгетики и антибактериальные средства. Обязательной частью лечения является лечебная физкультура. Из физиотерапевтических методов показаны:
- локальная криотерапия;
- ультрафиолетовое облучение;
- лазеротерапия;
- магнитотерапия.
Срок иммобилизации сложных переломов пяточной кости составляет 3-4 месяца. После снятия гипсовой повязки рекомендуется ношение стелек-супинаторов для предупреждения плоскостопия. Общая продолжительность периода нетрудоспособности достигает 5-6 месяцев.
Прогноз
При повреждениях пятки без смещения прогноз относительно благоприятный, при сложных переломах со смещением костных фрагментов - сомнительный. В отдаленном периоде часто развивается посттравматическое плоскостопие, деформации стопы, артрозы сустава Шопара и подтаранного сустава. Возможно образование костных выступов, нарушающих опорную функцию конечности.
Превентивные мероприятия предусматривают меры по предупреждению падений с высоты в быту и на производстве. Профилактика развития осложнений при переломах пяточной кости включает раннее обращение за медицинской помощью, строгое соблюдение врачебных рекомендаций относительно опоры на ногу в различные фазы лечения, ношение супинаторов или ортопедической обуви в реабилитационном периоде.
1. Патогенетическое лечение перелома пяточной кости/ Гарбуз И.Ф.// Международный журнал экспериментального образования. - 2017 - № 5
Перелом ноги ( Перелом костей нижней конечности , Перелом нижней конечности )
Перелом ноги - это нарушение целостности одной или нескольких костей нижней конечности в результате травмы. Является чрезвычайно широко распространенным повреждением. Тяжесть, сроки и методы лечения, а также отдаленные последствия могут существенно различаться в зависимости от уровня и особенностей перелома. Общими признаками переломов ноги являются отек, боль, нарушение опоры и движений. Часто выявляется патологическая подвижность и крепитация. Для уточнения диагноза используют рентгенографию и КТ, в отдельных случаях назначают МРТ и артроскопию. Возможно как консервативное, так и оперативное лечение.


Перелом ноги - чрезвычайно распространенная травма. По статистике, 45% от общего числа скелетных повреждений приходится на переломы нижних конечностей. Перелом ноги может быть изолированным или множественным либо наблюдаться в составе сочетанной травмы (политравмы). Возможны сочетания с переломами костей верхних конечностей, переломами таза, повреждениями грудной клетки, ЧМТ, повреждением почки, переломами позвоночника и тупой травмой живота. Лечение переломов ноги осуществляют врачи-травматологи. В зависимости от тяжести повреждения возможно как амбулаторное наблюдение, так и госпитализация в стационар. Применяются как консервативные методики, так и различные оперативные методы лечения.

Переломы ноги чаще являются следствием несчастных случаев в быту (например, падений на скользкой поверхности). Второе и третье места по распространенности занимают переломы ног вследствие автодорожных происшествий и падений с высоты. Кроме того, причиной травмы могут становиться криминальные инциденты, а также производственные или природные катастрофы.
Переломы ноги могут быть полными и неполными (трещины). Переломы ног, сообщающиеся с внешней средой через рану на коже, называются открытыми. Если раны нет, перелом является закрытым. В зависимости от особенностей линии излома и характера отломков в травматологии выделяют следующие виды переломов ног:
- Поперечные - линия излома располагается поперечно длиннику кости.
- Косые - линия излома находится под углом к длиннику кости.
- Продольные - линия излома располагается вдоль длинника кости.
- Винтообразные - линия излома имеет спиралевидную форму (такие повреждения обычно образуются в результате резкого насильственного выкручивания конечности).
- Полифокальные - имеется два или более крупных костных фрагмента.
- Оскольчатые - имеется несколько осколков.
- Раздробленные - имеется множество мелких осколков.
- Компрессионные - сопровождаются сжатием кости. При этом кость трескается, расплющивается, сдавливается и деформируется.
- Вколоченные - сопровождаются внедрением одного отломка в другой.
- Отрывные - от кости отламывается небольшой фрагмент (подобные повреждения могут наблюдаться, например, при отрыве связки в месте ее прикрепления).
С учетом уровня перелома ноги выделяют:
- Переломы бедренной кости, в том числе повреждения проксимального конца кости (переломы головки и шейки бедра, а также межвертельные и чрезвертельные переломы), диафизарные переломы и повреждения дистального конца кости (переломы мыщелков бедра).
- Переломы костей голени, в том числе повреждения проксимального конца кости (переломы мыщелков большеберцовой кости), диафизарные переломы (переломы обеих костей голени, изолированные повреждения большеберцовой кости и малоберцовой кости) и травмы дистального конца кости (переломы лодыжек).
- Переломы костей стопы, в том числе повреждения предплюсны, фаланг пальцев и плюсневых костей.

Травмы проксимального и дистального концов кости могут быть внутрисуставными (эпифизарными) или околосуставными (метафизарными). При внутрисуставных переломах ног наблюдаются сопутствующие повреждения различных суставных структур, в том числе - хряща, капсулы и связок. Возможно сочетание с подвывихом либо вывихом. Околосуставные переломы ног образуются в переходной зоне между суставным концом и диафизом и нередко бывают вколоченными. Диафизарные переломы возникают в средней части кости и обычно сопровождаются смещением отломков.
Виды перелома ноги
Переломы бедра
Перелом бедра - тяжелая травма, сопровождающаяся выраженным болевым синдромом и значительной кровопотерей вследствие кровотечения из отломков. Тяжесть повреждения и необходимость фиксации фрагментов с использованием скелетного вытяжения или массивной гипсовой повязки обуславливает резкое снижение подвижности больных, что, особенно при наличии других травм или сопутствующих заболеваний, может становиться причиной развития опасных осложнений, в том числе - пролежней и застойной пневмонии. В первые трое суток после травмы возможна жировая эмболия.
Переломы шейки бедра являются внутрисуставными и чаще возникают у пожилых пациентов, страдающих остеопорозом. Перелом ноги образуется вследствие падения дома или на улице, при значительном снижении прочности кости ее целостность может нарушиться даже при неловком повороте в постели. Пациент жалуется на умеренную боль в области сустава, боль усиливается при движениях. Нога развернута кнаружи, в положении на спине больной не может самостоятельно приподнять пятку над постелью. При смещении отломков выявляется укорочение конечности. Отек области повреждения, как правило, незначительный.
Диагноз подтверждают при помощи рентгенографии тазобедренного сустава. Из-за недостаточного кровоснабжения шейка бедра плохо срастается, полноценной костной мозоли, как правило, не образуется, отломки «схватываются» между собой соединительной тканью, что обуславливает высокий процент выходов на инвалидность. С учетом данного обстоятельства предпочтительным способом лечения при таких переломах ноги является операция - остеосинтез трехлопастным гвоздем, эндопротезирование или костная аутопластика.
Если общее состояние не позволяет провести хирургическое вмешательство, используют скелетное вытяжение. Больным старческого возраста накладывают гипсовый сапожок с поперечной планкой, исключающей вращение конечности. Это позволяет обеспечить образование фиброзной мозоли при сохранении достаточной физической активности пациента.
Вертельные переломы являются внесуставными и чаще образуются у больных трудоспособного возраста. Признаки перелома ноги те же, что и при повреждении шейки бедра, однако симптоматика выражена ярче, наблюдается более выраженный болевой синдром и значительный отек травмированной области. Для диагностики также используется рентгенография тазобедренного сустава. Подобные повреждения обычно хорошо срастаются без операции. Пациенту на 8 недель накладывают скелетное вытяжение, а затем заменяют его гипсовой повязкой. Для ранней активизации больных могут использоваться различные оперативные методики, в том числе - остеосинтез пластиной, трехлопастным гвоздем или винтами.
Диафизарные переломы бедра возникают при прямой либо непрямой травме. Непосредственной причиной перелома ноги может быть удар, падение с высоты, ДТП или производственная травма. Чаще страдают люди трудоспособного возраста. Мощные мышцы, крепящиеся к бедренной кости, воздействуют на отломки, «оттягивая» или разворачивая фрагменты, поэтому при таких переломах ноги в большинстве случаев наблюдается выраженное смещение.
Возникает резкая боль и значительный отек, на коже могут появляться кровоподтеки. Конечность укорочена, бедро деформировано, выявляется крепитация, патологическая подвижность. В отдельных случаях возможен травматический шок. Для подтверждения диагноза назначается рентгенография бедра. Лечение консервативное или оперативное. На этапе поступления для предотвращения развития шока осуществляется качественное обезболивание. Потом накладывается скелетное вытяжение либо осуществляется остеосинтез бедра пластиной, штифтом или стержнем.
Мыщелковые переломы бедра являются внутрисуставными. Чаще встречаются у пожилых, возникают при падении или ударе по колену. Сопровождаются резкой болью в области колена и нижней части бедра. Опора и движения ограничены. Коленный сустав отечен, определяется гемартроз. При переломах мыщелков со смещением наблюдается отклонение голени внутрь либо кнаружи. Для уточнения диагноза назначают рентгенографию коленного сустава. При поступлении сустав пунктируют, затем накладывают гипс или скелетное вытяжение. Если отломки невозможно сопоставить, проводят операцию - остеосинтез винтами, пластиной или болтами-стяжками.
Переломы голени
Переломы голени - самые распространенные переломы ног. Возникают в результате высокоэнергетического воздействия, например, автотранспортного происшествия либо падения с высоты. Исключение - переломы лодыжек, которые, как правило, образуются при подворачивании ноги. Могут выявляться у людей любого возраста, однако, в целом наблюдается преобладание пациентов трудоспособного возраста.
Переломы мыщелков большеберцовой кости являются внутрисуставными и чаще возникают вследствие падения с высоты. Возможны как изолированные переломы внутреннего или наружного мыщелка, так и одновременный перелом двух мыщелков. Коленный сустав отечен, в нем определяется гемартроз. Движения и опора болезненны, резко затруднены. Диагноз уточняют на основании рентгенографии, реже используют МРТ коленного сустава. Лечение - пункция, блокада места перелома, при переломах ноги без смещения осуществляют иммобилизацию гипсовой повязкой, при повреждениях со смещением накладывают скелетное вытяжение либо выполняют операцию (остеосинтез пластинами, винтами или аппаратом Илизарова).
Диафизарные переломы костей голени. Образуются в результате прямой либо непрямой высокоэнергетической травмы. Возможен перелом только большеберцовой или только малоберцовой кости либо перелом обеих костей голени (самый распространенный). При переломах одной кости смещения отломков не наблюдается, либо оно менее выраженное и проще поддается коррекции, поскольку вторая кость остается целой и удерживает сломанную в относительно правильном положении. Переломы обеих костей - более тяжелые, при них чаще возникает выраженное смещение и чаще требуется хирургическое вмешательство.
Повреждение проявляется болью и выраженным отеком. Наблюдается патологическая подвижность, крепитация. Опора невозможна, движения сильно затруднены. Диагноз подтверждают при помощи рентгенографии. Лечение переломов одной из костей голени чаще консервативное - при необходимости проводят репозицию, затем накладывают гипс. Лечение повреждений обеих костей голени может быть консервативным или оперативным. В первом случае на 4 недели накладывают скелетное вытяжение, а затем осуществляют иммобилизацию гипсовой повязкой. Во втором выполняют очаговый остеосинтез с использованием блокируемых стержней, винтов, реже - пластин, либо внеочаговый остеосинтез с наложением аппарата Илизарова.
Переломы лодыжек - очень распространенное повреждение. Такие переломы ног чаще возникают при подворачивании стопы, реже являются следствием прямого удара в область сустава. Возможен перелом одной лодыжки (внутренней или наружной), перелом обеих лодыжек (двухлодыжечный перелом) и перелом обеих лодыжек в сочетании с повреждением заднего либо переднего края большеберцовой кости (трехлодыжечный перелом). Травма может сопровождаться или не сопровождаться подвывихом, смещением отломков и разрывом связок. В большинстве случаев, чем больше лодыжек сломано - тем выше вероятность наличия отягчающих моментов (подвывих, смещение и т. д.).
Возникает резкая боль. Область сустава отечна, движения и опора резко затруднены или невозможны. При подвывихе и смещении фрагментов выявляется деформация области повреждения. Диагноз подтверждают при помощи рентгенографии голеностопного сустава. Лечение - обезболивание, репозиция, гипс. Срок иммобилизации определяется, исходя из количества сломанных лодыжек (по 4 недели на каждую лодыжку), то есть 4 недели при однолодыжечных переломах, 8 - при двухлодыжечных и 12 - при трехлодыжечных. При невозможности адекватного сопоставления фрагментов и устранения подвывиха показано хирургическое вмешательство - остеосинтез лодыжки винтами, пластинами или спицами.
Переломы костей стопы
Перелом пяточной кости обычно образуется при падении с высоты. Может быть внутри- или внесуставным, сопровождаться либо не сопровождаться смещением фрагментов. Пяточная область отечна, расширена, резко болезненна, опора невозможна. Для уточнения диагноза выполняют рентгенографию пятки. При переломах ноги без смещения накладывают гипс, при смещении осуществляют закрытую репозицию, в особо сложных случаях иногда монтируют аппарат Илизарова.
Переломы костей предплюсны - такие переломы ног встречаются достаточно редко, возникают в результате подворачивания ноги, падения или прямого удара. Сопровождаются болью, отеком стопы, затруднением опоры и движений. Диагноз подтверждают при помощи рентгенографии стопы. Лечение консервативное - гипс в течение 1-1,5 мес.
Переломы костей плюсны и пальцев - достаточно распространенные переломы ног. Чаще образуются вследствие удара или падения тяжелого предмета на стопу. Иногда наблюдается смещение. Дистальная часть стопы отечна, болезненна, опора затруднена. Для уточнения диагноза используют рентгенографию. Лечение обычно консервативное - гипсовая повязка (при наличии смещения - с предварительной репозицией). При невозможности удержать отломки в правильном положении производят фиксацию спицей.

Плюсневые кости входят в группу мелких трубчатых костей скелета человека. Переломы плюсневых костей являются наиболее распространенным переломами костей стопы. А именно переломы основания пятой плюсневой кости, происходящие в результате инверсии стопы. Локализация перелома должна быть тщательно проанализирована врачом, так как лечение различных по локализации и характеру переломов достаточно сильно разнятся.
Виды переломов плюсневых костей стопы
Есть два основных типа переломов плюсневых:
- Травматические переломы - в связи с острой (внезапной) травмы к среднего и переднего отдела стопы.
- Стресс переломы - из-за чрезмерной длительной нагрузки или повторяющихся незначительных травм на фоне абсолютно нормальных плюсневых костей.
Так же переломы плюсневой кости стопы классифицируются по локализации, характеру перелома и наличию смещения:
- Переломы основания, тела или подголовчатые переломы плюсневых косте;
- Переломы плюсневой кости со смещением или без смещения;
- Переломы косые, поперечные, винтообразные, оскольчатые.
Распространенность
Переломы плюсневых костей составляют от 5% до 6% от всех переломов костей скелета. Они в равной степени распространено среди мужчин и женщин планеты.
Чтобы понять механизм переломов плюсневых костей, вероятно, лучше начать с краткого объяснения анатомии стопы.
Стопа человека состоит из 26 костей:
- 5 плюсневых костей. Это трубчатые кости, которые расположены между костями предплюсны и фалангами пальцев. Функционально плюсневые кости играют важную роль в движении, выполняя роль рычага при движениях стопы (шаги, бег, прыжки).
- 14 фаланг пальцев. Первый палец состоит из двух фаланг, остальные пальцы - из трех.
- 3 клиновидные кости. Расположены между ладьевидной костью и первыми тремя плюсневыми костями.
- Кубовидная кость
- Ладьевидная кость
- Таранная кость
- Пяточная кость

Все вместе кости стопы образуют очень сложный механизм, который компенсирует колоссальные нагрузки в течение дня и помогает гасить удары при каждом шаге.
Причины переломов плюсневых костей
Основные причины переломов плюсневых костей стопы это:
- Интенсивные и продолжительные спортивные нагрузки
- Остеопороз (ослабление кости)
- Падение тяжелого предмета на стопу,
- Автодорожная травма
- Падение с высоты (прыжок)
Симптомы переломов
- Боль, которая развивается постепенно, увеличивается при нагрузках
- Отек стопы
- Подкожное кровоизлияние (синяк)

Пациенты с такими симптомами, как правило, испытывают внезапное начало острой, напряженной боли после травмы. Иногда пациент может слышать хруст или щелчок в момент травмы. Боль заставляет пациента хромать. Пациенты с переломом плюсневых костей также сопровождает отек, который нарастает в течение дня и уменьшается ночью. При тяжелых переломах плюсневых костей со смещением очевидной деформации может быть и незаметно.
Диагностика переломов плюсневых костей
Для более детального понимания проблемы, врач выясняет у пациента механизм травмы включая силу, место приложения и направление удара.
Стресс переломы обычно связаны с увеличением интенсивности или продолжительности повторяющихся движений, таких как бег, бальные танцы и др.
Осмотр: Тщательный осмотр и изучение всей стопы и голеностопного сустава имеет решающее значение в выявлении сочетанных повреждений. Деформация, отек и кровоизлияние визуализируются без труда.

Рентгенограмм в 2-х проекциях обычно достаточно, чтобы диагностировать перелом. Но при стресс-переломах без смещения, иногда, их невозможно определить даже очень опытному врачу.
В таких случаях назначаются контрольные рентгенограммы через 10-14 дней, когда происходит резорбция костной ткани в месте перелома. Так же стресс переломы трудно увидеть на рентгеновских снимках, пока они не начали срастаться и не начала образовываться костная мозоль. Как раз её очень хорошо видно на рентгенограммах. Компьютерная томография или МРТ могут быть необходимы для исключения стресс перелома и других патологий стопы.
Первая помощь при переломах плюсневых костей
- Ограничение нагрузок и движений. Важно, ограничить движения и нагрузки на стопу, чтобы предотвратить дальнейшее повреждение.
- Холод местно. Использование льда поможет замедлить или уменьшить отек и обеспечить ощущение онемения, которое облегчит боль. Лед имеет смысл прикладывать к месту травмы в течение первых 48 часов после травмы. Никогда не держите лед более чем 20 минут за один раз, чтобы предотвратить отморожение. Перерыв 1,5 часа перед повторной экспозицией льда, это позволяет тканям вернуться к нормальной температуре и трофике, повторять по мере необходимости. Можно завернуть любой замороженный продукт в полотенце и приложить к месту повреждения. Лед должен быть применен как можно скорее после травмы. (Не кладите лед прямо на кожу. Кроме того, нельзя оставлять лед во время сна, и держать его более 30 минут. Это может вызвать отморожение).
- Эластичное бинтование. Нужно забинтовать ногу эластичным бинтом. Но забинтовать правильно, не слишком туго. Если пальцы стали холодными, появилось онемение, значит бинтование слишком тугое. Эластичный бинт ограничит отек и ограничит движения в суставе. Спать можно без бинта. Но передвигаться обязательно забинтовав ногу эластичным бинтом.
- Возвышенное положение. Придайте поврежденной ноге возвышенное положение, например, положив ногу на подушку лежа на диване или кровати. Если Вы сидите, можно положить ногу на стул, это уменьшит отек и боль.
Исключаются: нагревание поврежденной зоны в течение первой недели, растирание алкоголем и массаж, который может усугубить отек. Например, исключить горячие ванны, сауны. Тепло имеет противоположный эффект по сравнению со льдом. То есть, это стимулирует кровоток.
Важно ограничить нагрузку при ходьбе (не опираться полностью на стопу), пока повреждение не будет диагностировано доктором.
Лечение переломов плюсневых костей стопы
Консервативное лечение плесневой кости
Тактика лечения будет зависеть от локализации перелома и его тяжести.
Цель любого лечения переломов плюсневой кости - помочь пациенту вернуться к полноценной жизни. Соблюдение рекомендаций врача поможет быстрейшему восстановлению функции стопы и предотвращению дальнейших проблем в будущем.
Мы убеждены, что при переломах без смещения взрослым пациентам накладывать гипс нет необходимости, так как это доставляет много неудобств, и они в состоянии понять, что нужно ограничить нагрузку, для скорейшего сращения перелома. Смещения костных отломков не происходит без нагрузки. Но нашим юным пациентам трудно объяснить, что на ногу нельзя наступать или ходить только с опорой на пятку. Поэтому детей мы гипсуем.

Как правило при травматических переломах рекомендуют ходить только с опорой на пятку либо вовсе без опоры, передвигаясь с костылями.
При стресс-переломах рекомендуется ходить с частичной нагрузкой на стопу, но обязательно в индивидуальных ортопедических стельках, которые «разгружают» поврежденный участок.
Если перелом плюсневой кости с незначительным смещение, выполняется попытка репозиции и фиксация гипсовой лонгетой.
Если перелом сопровождается значительным смещением костных отломков (более чем на половину ширины плюсневой кости) решается вопрос об операции.

Операция при переломе плюсневой кости
Показанием к операции при переломе является смещение отломков плюсневой кости больше чем на половину ширины кости.
Чрескожная фиксация спицами
Была популярна на протяжении многих лет и продолжает оставаться одним из самых популярных методов в международном масштабе.
Сначала врач закрыто устраняет смещение отломков, затем через отломки в определенных (учитывая характер перелома) направлениях просверливаются спицы.

Плюсы: малая травматичность, быстрота, легкость, дешевизна, отсутствие разреза и как следствие послеоперационного рубца.
Минусы: концы спиц остаются над кожей, для того чтобы спицу можно было удалить после срастания перелома; риск инфицирования раны и проникновение инфекции в область перелома; длительное ношение гипсовой повязки 1 месяц; неудобства в повседневной жизни.
Открытая репозиция перелома

Открытая репозиция при переломе плюсневой кости стопы, накостный остеосинтез пластиной и винтами. Операция включает в себя хирургический разрез, доступ к сломанной плюсневой кости аккуратно отводя сухожилия, сосуды и нервы, мобилизацию костных отломков, устранение смещения и фиксация в правильном положении.

Гипсовая иммобилизация не проводится, так как металлоконструкция, фиксирует отломки.
Разрешается ходьба с опорой на пяточную область в течение месяца.
Реабилитация после перелома плюсневой кости
Как только перелом плюсневой кости срастется и уменьшится боль, врач позволит дозированно наступать на стопу, постепенно увеличивать нагрузку.
Не занимайтесь самолечением!
Определиться с диагнозом и назначить правильное лечение может только врач. Если у Вас возникли вопросы, можете позвонить по телефону или задать вопрос по электронной почте.
Читайте также:
- Оздоровление труда на производстве электродов, флюсов. Гигиена труда при газовое автогенной сварке
- УЗИ, МРТ при синдроме Меккеля-Грубера у плода
- Взаимодействие энтеральной нервной системы и иммунной системы
- Приемы моделирования окклюзии. Варианты артикуляторов
- Синдром Блегвада-Хакстхаусена (Blegvad-Haxthausen)
