Показания для дренирования псевдокисты поджелудочной железы в тощую кишку
Добавил пользователь Владимир З. Обновлено: 22.01.2026
Киста поджелудочной железы - это ограниченное стенками образование в паренхиме органа, заполненное жидкостным содержимым, которое бывает врожденного характера или развивается вследствие травматического или воспалительного повреждения поджелудочной железы. Согласно статистике, частота рождения детей с кистами поджелудочной железы (ПЖ) составляет 1: 100 000. Образование может локализоваться в головке, теле и хвосте органа.
Код(ы) МКБ-10:
Дата разработки/пересмотра протокола: 2017 год.
Сокращения, используемые в протоколе:
| Б/х | биохимический |
| ОАК | общий анализ крови |
| МНО | международное нормализованное отношение |
| ЖК | женская консультация |
| УЗИ | ультразвуковое исследование |
| МРПХ | магнитно-резонансная панкреатохолеграфия |
| КТ | компьютерная томография |
| МРТ | магниторезонансная томография |
| ОДБ | областная детская больница |
| НСГ | нейросонография |
| ЦНС | центральная нервная система |
| АЛТ | аланинаминотрансфераза |
| АСТ | аспартатамонотрансфераза |
| СРБ | С-реактивный белок |
| ЩФ | щелочная фосфатаза |
| ОЦК | объем циркулирующей крови |
| ИВБДВ | интегрированное ведение болезней детского возраста |
| АЧТВ | активированное частичное тромбопластиновое время |
Пользователи протокола: врачи общей практики, педиатры, детские хирурги.
Категория пациентов: дети.
Шкала уровня доказательности:
| А | Высококачественный мета-анализ, систематический обзор РКИ или крупное РКИ с очень низкой вероятностью (++) систематической ошибки результаты которых могут быть распространены на соответствующую популяцию. |
| В | Высококачественный (++) систематический обзор когортных или исследований случай-контроль или Высококачественное (++) когортное или исследований случай-контроль с очень низким риском систематической ошибки или РКИ с невысоким (+) риском систематической ошибки, результаты которых могут быть распространены на соответствующую популяцию. |
| С | Когортное или исследование случай-контроль или контролируемое исследование без рандомизации с невысоким риском систематической ошибки (+), результаты которых могут быть распространены на соответствующую популяцию или РКИ с очень низким или невысоким риском систематической ошибки (++ или +), результаты которых не могут быть непосредственно распространены на соответствующую популяцию. |
| D | Описание серии случаев или неконтролируемое исследование или мнение экспертов. |
| GPP | Наилучшая клиническая практика |

Автоматизация клиники: быстро и недорого!
- Подключено 300 клиник из 4 стран
- 800 RUB / 4500 KZT / 27 BYN - 1 рабочее место в месяц

Автоматизация клиники: быстро и недорого!
- Подключено 300 клиник из 4 стран
- 1 место - 800 RUB / 4500 KZT / 27 BYN в месяц
Мне интересно! Свяжитесь со мной
Классификация
Кисты поджелудочной железы — собирательное понятие, нет единой классификации.
Классификация кист поджелудочной железы:
1) Ложные:
А) воспалительного генеза: острые, хронические;
Б) посттравматические;
В) паразитарные;
Г) новообразования.
2) истинные:
А) врожденные: простые, поликистоз, дермоидные, фибринозно-кистозные;
Б) приобретенные: ретенционные, паразитарные, опухолевые.
Различают следующие виды кист:
1) Врожденные (дизонтогенетические) кисты, образующиеся в результате пороков развития ткани поджелудочной железы и ее протоковой системы.
2) Приобретенные кисты поджелудочной железы:
· ретенционные кисты - развиваются в результате стриктуры выводных протоков железы, стойкой закупорки их просвета камнями, опухолями;
· дегенерационные кисты - образуются вследствие повреждения ткани железы при панкреонекрозе, травме, кровоизлияниях, опухолевом процессе;
· пролиферационные кисты — полостные новообразования, к которым относятся цистаденомы, цистаденокарциномы;
· паразитарные кисты: эхинококк, цистицерк.
По месту локализации образования на органе можно выделить:
· на теле органа;
· на хвосте органа;
· на головке органа, располагающиеся в полости сальниковой сумки.
Классификации кистозных поражений поджелудочной железы:
I. Истинные кисты (выстланные слизистым эпителием):
А. Врожденные:
1) единичные или множественные кисты только в поджелудочной железе;
2) панкреатические кисты в сочетании с образованием кист в других органах
(болезнь Гиппеля - Линдау);
3) фиброкистоз поджелудочной железы;
4) дермоидные кисты.
Б. Приобретенные:
1) ретенционные кисты (кистозное расширение панкреатического протока
любой этиологии);
2) паразитарные кисты;
3) опухолевые кисты:
а) доброкачественные;
б) злокачественные.
II. Псевдокисты (ограниченные только фиброзной стенкой):
A. Воспалительные (на почве острого или хронического панкреатита).
Б. Посттравматические:
1) вследствие проникающих и непроникающих абдоминальных повреждений;
2) после хирургических вмешательств на самой железе или прилежащих
органах.
B. Идиопатические.
Диагностика
МЕТОДЫ, ПОДХОДЫ И ПРОЦЕДУРЫ ДИАГНОСТИКИ 2
Диагностические критерии:
Жалобы и анамнез:
Выраженность симптомов зависит от:
· размеров кисты;
· возраста ребенка;
· нарушения пассажа панкреатического сока.
Как правило, у детей старшего возраста боли носят приступообразный характер, возникают чувство распирания, тошнота.
Киста заявляет о себе лишь тогда, когда начинает расти или когда её развитию сопутствует воспалительный процесс. В таких случаях происходит следующее:
· боли в эпигастральной области;
· постоянные позывы к рвоте;
· желтизна кожных покровов.
Кроме того, сдавливая нервные сплетения, находящиеся по соседству с кистой, она может проявляться такими признаками: отрыжка, изжога, диарея, тошнота, чувство тяжести в животе.
Рост кисты может завершиться тем, что достигшее больших размеров новообразование начнёт негативно влиять на функционирование других внутренних органов. Желтизна кожных покровов — ни что иное как признак того, что капсула кисты оказывает давление на желчный пузырь. Вследствие этого отток желчи из органа нарушается. Как результат — механическая желтуха у ребёнка. При значительном росте кисты нередко можно пропальпировать плотное безболезненное опухолевидное образование с довольно четкими границами. Так же у детей в анамнезе надо уточнять была ли травма живота
Лабораторные исследования (УД - В) 1:
· общий анализ крови - возможно лейкоцитоз, нейтрофилез, повышенное СОЭ
· биохимический анализ крови - возможно повышение амилазы, повышение билирубина за счет прямой фракции, повышение трансаминаз, повышение тимоловой пробы, повышение щелочной фосфатазы,
· коагулограмма - возможно снижение ПТИ, снижение АЧТВ, снижение фибриногена;
· общий анализ мочи - может отмечаться повышение амилазы мочи
· копрограмма - возможно разжижение стула, наличие непереваримой пищи, появление нейтрального жира, непериваренных мышечных волокон (признаки панкреатита)
Инструментальные исследования;
· ультразвуковое обследование - в ходе обследования брюшной полости оценивается состояние поджелудочной железы и окружающих органов, устанавливает наличие патологической полости и определяет ее локализацию, форму и размеры, кровоснабжение;
· пренатальное УЗИ плода - определение кистозного образования в брюшной полости у плода;
· КТ органов брюшной полости - позволяет определить локализацию кисты, размеры и отношение к окружающим тканям;
· эндоскопическая ретроградная панкреатохолангиография - определить состояние билиопанкреатических путей (обнаружение наличия кистозного образования в поджелудочной железе).
· МРТ (МРПХ) - позволяет определить локализацию кисты, размеры и отношение к окружающим тканям
Показания для консультации специалистов:
· консультация детского хирурга - для установления диагноза и направления в специализированный центр;
· консультация детского инфекциониста - для исключения вирусного гепатита;
· консультация гепатолога - для исключения и выявления патологии печени;
· консультация эндокринолога - для исключения патологии экзокринной функции поджелудочной железы

Диагностический алгоритм: (схема)
Дифференциальный диагноз
Дифференциальный диагноз и обоснование дополнительных исследований:
| Диагноз | Обоснование для дифференциальной диагностики | Обследования | Критерии исключения диагноза |
| Кистозная трансформация общего желчного протока у детей | Желтушность кожных покровов, боли в животе, наличие кистозного образования у ворот печени | ОАК, Б/х анализ крови, коагулограмма, УЗИ ОБП, КТ/МРТ брюшной полости | · Гипербилирубинемия за счет прямой фракции · На УЗИ ОБП, КТ/МРТ брюшной полости - кистозное расширение общего желчного протока |
| Киста головки поджелудочной железы | Боли в животе, наличие кистозного образования в брюшной полости. Возможно желтушность кожных покровов | Биохимический анализ крови, амилаза мочи, УЗИ органов брюшной полости. КТ органов брюшной полости. | · повышение амилазы мочи и крови; · расположение кисты в поджелудочной железе |
| Паразитарные кисты печени | Наличие кистозного образования печени. | УЗИ органов брюшной полости. КТ органов брюшной полости | · кисты печени с течением времени увеличиваются в размерах, они неотделимы от печени (ультразвуковое сканирование); · не вызывают клиники холестаза; · имеют положительные специфические реакции для уточнения паразитарной (эхинококк) природы кисты. |
Лечение
Препараты (действующие вещества), применяющиеся при лечении
| Альбумин человека (Albumin human) |
| Амикацин (Amikacin) |
| Апротинин (Aprotinin) |
| Гентамицин (Gentamicin) |
| Жировые эмульсии для парентерального питания (Fat emulsions for parenteral nutrition) |
| Комплекс аминокислот для парентерального питания (Complex of amino acids for parenteral nutrition) |
| Метронидазол (Metronidazole) |
| Панкреатин (Pancreatin) |
| Урсодезоксихолевая кислота (Ursodeoxycholic acid) |
| Флуконазол (Fluconazole) |
| Фуросемид (Furosemide) |
| Цефтазидим (Ceftazidime) |
| Цефуроксим (Cefuroxime) |
| Этамзилат (Etamsylate) |
Лечение (амбулатория)
ТАКТИКА ЛЕЧЕНИЯ НА АМБУЛАТОРНОМ УРОВНЕ 3: при выявлении воспалительных данных, данных за панкреатит, необходимо провести лечение панкреатита назначить антибактериальную терапию. Дети с кистой поджелудочной железы маленьких размеров, должны находятся под наблюдением врача педиатра (гастроэнтеролога) и детского хирурга.
Немедикаментозное лечение: режим и диета по тяжести состояния пациента и возраста. Дети младшего возраста - грудное молоко или смеси (гипоаллергенные). Диета: Стол № 5п, с исключением острых, жирных, жареных блюд, консервированных продуктов
Медикаментозное лечение: в зависимости от степени тяжести заболевания и клинических симптомов согласно принципам ИВБДВ.
Лечение на амбулаторном этапе зависит от наличия того или иного синдрома.
· при анемическом синдроме - препараты железа
· при панкреатите - ферменты панкреаса
· при желтушном синдроме - желчегонные препараты;
· при симптомах холангита - назначение антибактериальной терапии
· при болевом синдроме - назначить спазмолитики
· при наличии инфекционных осложнений - антибактериальная, противовирусная, противогрибковая терапия
Перечень основных и дополнительных лекарственных средств: нет.
Хирургическое вмешательство: нет.
Индикаторы эффективности лечения:
· нормализация лабораторных показателей;
· купирование диспепсических явлений.
Лечение (стационар)
ТАКТИКА ЛЕЧЕНИЯ НА СТАЦИОНАРНОМ УРОВНЕ4:
В процессе принятия решения о необходимости оперативного лечения клиницисту приходится принимать во внимание целый ряд обстоятельств. В первую очередь необходимо определить, имеются ли жизнеопасные осложнения кисты, при наличии которых оперативное вмешательство должно носить экстренный характер. При отсутствии осложнений большое значение имеют характеристики самой кисты: причина её возникновения, наличие клинических проявлений, срок существования, размеры, локализация, сформированность стенки, топографо-анатомические взаимоотношения с поджелудочной железой. Крайне важной представляется оценка состояния паренхимы и протоковой системы поджелудочной железы, выраженности в ней воспалительного процесса. Кроме того, анализу должно отвергаться и состояние органов, непосредственно прилежащих к железе: внепечёночных жёлчных протоков, желудка и двенадцатиперстной кишки, магистральных сосудов портальной системы. Не все кисты поджелудочной железы необходимо оперировать. Острые панкреатические псевдокисты, возникшие на фоне деструктивного панкреатита, в 30% случаев подвергаются спонтанному разрешению в течение 2 - 4 мес после стихания приступа. В противоположность этому, кистозные образования у больных с хроническим панкреатитом крайне редко склонны к обратному развитию, за исключением случаев спонтанного опорожнения кисты в протоковую систему железы или ЖКТ. Исключительно важное значение для установления показаний к операции имеют и размеры кисты. На сегодняшний день считают, что выполнение оперативного вмешательства необходимо при диаметре кисты более 4—5 см. И, конечно, подозрение на опухолевый характер кисты также является абсолютным показанием к хирургическому вмешательству.
Немедикаментозное лечение:
· Режим - палатный.
· Диета: Стол №0, №5п, грудным детям материнское молоко или смеси по возрасту гипоаллергенные;
· уход за центральным катетером;
· уход за назогастральным зондом;
· уход за дренажной трубкой;
· ежедневная перевязка 1 раз в день;
· промывание мочевого катетера теплым раствором фурацилина 3х4 раза в день.
Медикаментозное лечение: в зависимости от степени тяжести заболевания и клинических симптомов.
· восполняющее дефицит ферментов поджелудочной железы (панкреатинин) - в послеоперационном периоде планово и по показаниям;
· антипротеолитическое (апротинин) - по показаниям во время или после операции, при геморрагических осложнениях, профилактика послеоперационного панктреатина
· гемостатическая терапия (этамзилат) - в послеоперационном периоде планово и по показаниям;
· антибактериальная терапия с целью профилактики послеоперационных осложнений и для предоперационной подготовки (при панкреатите и холангитах);
· антимикотическая терапия, эубиотикотерапия - для профилактики дисбактериоза кишечника и грибковых заболеваний;
· обезболивание ненаркотическими анальгетиками - для адекватного обезболивания в послеоперационном периоде;
· парентеральное питание (аминоплазмаль, аминовен, инфезол, липофундин)
· инфузионная терапия - для восполнения ОЦК, восстановление водно-электролитных расстройств - в раннем послеоперационном периоде и с дезинтоксикационной целью;
· желчегонные препараты (урсодезоксихоливая кислота)
Показания для дренирования псевдокисты поджелудочной железы в тощую кишку
ГБУЗ Москвы «Научно-исследовательский институт скорой помощи им. Н.В. Склифосовского» Департамента здравоохранения Москвы, Москва, Россия
ГБУЗ «Научно-исследовательский институт скорой помощи им. Н.В. Склифосовского» Департамента здравоохранения Москвы, Москва, Россия;
ФГБОУ ДПО «Российская медицинская академия непрерывного профессионального образования», Москва, Россия
- SPIN РИНЦ: 4044-9661
- Scopus AuthorID: 55970485700
- ResearcherID: P-9151-2017
- ORCID: 0000-0003-1270-5414
Первый опыт эндоскопического лечения кистозных образований поджелудочной железы доброкачественного генеза
В статье представлен первый опыт применения эндоскопического метода лечения 23 пациентов с кистозными образованиями поджелудочной железы доброкачественного генеза. Цель исследования — оценить результаты эндоскопического цистогастро- и цистодуоденального стентирования при кистозных образованиях поджелудочной железы доброкачественного генеза. Материал и методы. Пролечены 23 пациента с острым панкреатитом и псевдокистой поджелудочной железы. Всем пациентам при поступлении выполнено ультразвуковое исследование (УЗИ), результаты которого позволили выявить кистозные образования поджелудочной железы, что явилось показанием к наложению цистогастроанастомоза. Пациентам в зависимости от расположения псевдокисты поджелудочной железы через желудок или двенадцатиперстную кишку в полость кисты вводили цистотом и выполняли аспирацию содержимого, после чего под рентгенологическим контролем производили контрастирование с целью определения ее точных размеров и герметичности, наличия связи с внутрипротоковой системой поджелудочной железы. Затем устанавливали пластиковый или металлический стент и проводили визуальный осмотр. Сразу после манипуляции выполняли рентгенографию органов брюшной полости с целью установления наличия или отсутствия свободного газа. После наложения цистогастроанастамоза на 2-е и 7-е сутки после операции проводили контроль с применением эндоскопической ультрасонографии для оценки адекватности дренирования псевдокисты. При неадекватном дренировании выполняли цистоназальное дренирование с использованием назобилиарного дренажа и последующей ежедневной санацией кисты. Результаты. Применение эндоскопического метода дренирования псевдокист под контролем эндоскопической ультрасонографии позволило достигнуть полного регресса полости кисты у 81,8% пациентов и уменьшения полости кисты более чем в 2 раза — у 18,2%. Выводы. Доказана высокая эффективность эндоскопического метода дренирования псевдокист под контролем эндоскопической ультрасонографии. Данный метод отличается малоинвазивностью, минимальным риском развития послеоперационных осложнений и летальности, коротким послеоперационным периодом по сравнению с оперативными вмешательствами, выполняемыми с применением лапаротомного или лапароскопического доступов.
В структуре острых хирургических заболеваний органов брюшной полости острый панкреатит (ОП) занимает 3-е место, составляя от 4,5 до 10% [1—7]. Отмечено, что заболеваемость ОП не имеет тенденции к снижению, а летальность с 1990 по 2015 г. возросла на 62% [8].
Деструктивные формы ОП в ранние сроки осложняются парапанкреатическим инфильтратом или абсцессом, перитонитом или флегмоной забрюшинной клетчатки. К поздним осложнениям относятся псевдокисты (ПК), частота выявления которых составляет от 0,1 до 1 случая на 100 000 взрослого населения в год [9, 10]. У мужчин в 57—84% случаев развитие ОП с исходом в ПК поджелудочной железы (ПЖ) связано со злоупотреблением алкоголем [11]. У женщин наиболее частым этиологическим фактором является желчнокаменная болезнь, которая встречается в 31—65% случаев [12]. На 2-м месте по частоте образования кист как у мужчин, так и у женщин находится травматический панкреатит, при котором псевдокисты формируются в 10—20% случаев [13].
Остается актуальной проблема выбора срока, объема и вида оперативного вмешательства. Приоритетные параметры для решения о хирургическом лечении следующие: 1) локализация и размеры ПК; 2) «зрелость» стенок ПК; 3) взаимосвязь с протоковой системой ПЖ [14—16]. На сегодняшний день широко используются различные варианты резекционных и дренирующих операций с лапаротомным или лапароскопическим доступом [15, 16]. При этом длительность стационарного лечения достигает 28 дней. В 15—29% наблюдений оперативное лечение сопровождается осложнениями, летальность достигает 17% [17—19].
Впервые эндоскопическое чрезжелудочное дренирование ПК с аспирацией содержимого выполнено в 1975 г. Эта операция заключалась в опорожнении кисты в просвет желудка. Попадание желудочного сока привело к инфицированию и нагноению ПК, а также к быстрой облитерации цистогастроанастомоза [16]. Это послужило поводом к разработке метода цистоназального дренирования ПК с аспирацией содержимого и ее санацией [20]. Наиболее перспективным методом является формирование эндоскопического цистогастроанастомоза с использованием синтетических стентов, предотвращающих быструю облитерацию соустья [21—23].
Цель исследования — оценить результаты эндоскопического цистогастро- и цистодуоденального стентирования при кистозных образованиях поджелудочной железы доброкачественного генеза.
Материал и методы
С ноября 2011 г. по декабрь 2018 г. в Научно-исследовательском институте скорой помощи им. Н.В. Склифосовского пролечены 23 пациента (20 (87%) мужчин и 3 (13%) женщины, средний возраст составил 52 года (39; 59 лет)) с ОП и развитием ПК П.Ж. Выполнено эндоскопическое дренирование ПК.
Диагноз ПК ПЖ установлен на основании анамнеза и трансабдоминального ультразвукового исследования (УЗИ), эндоскопической ультрасонографии (ЭУС) и компьютерной томографии (КТ). Для оценки сроков образования ПК использовали классификацию J. Howard и J. Jordar (1960), модифицированную J. Berk и W. Haubrich (1965), согласно которой все ПК делятся на острые — до 90 сут, подострые — от 91 до 180 сут и хронические — более 181 сут [7].
Размер и локализацию ПК устанавливали по данным УЗИ и К.Т. Все П.К. разделили в зависимости от размера на гигантские — более 15,1 см, большие — от 10,1 до 15 см, средние — от 5,1 до 10 см, малые — менее 5 см. Кроме этого, определяли их локализацию в П.Ж. При наличии нескольких кист учитывали локализацию наибольшей из них.
Для эндоскопического дренирования ПК под контролем ЭУС использовали ультразвуковую эндоскопическую систему Exera II и конвексный эхоэндоскоп Olympus GF-UCT140 («Olympus Corporation», Япония), рентгеновскую установку («Ziehm Imaging», Германия), цистотом («Соок Medical», США, Дания, Ирландия), струну диаметром 9 мм («Olympus Corporation», Япония), пластиковые стенты типа Pig Tail («Olympus Corporation», Япония), металлические саморасширяющиеся стенты Endostars и специальные саморасширяющиеся стенты для дренирования кист ПЖ HANAROSTENT («M.I. Tech Co. Ltd.», Республика Корея).
Вмешательство выполняли под общей анестезией в положении больного на спине. При осмотре желудка или двенадцатиперстной кишки выявляли выбухание их стенок за счет сдавления извне. При ЭУС определяли расстояние между стенками и выявляли бессосудистую область для безопасной установки стента. Применение ЭУС позволило выбрать точку дренирования ПК, которая у 20 (87%) пациентов локализовалась в желудке, у 3 (13%) — в двенадцатиперстной кишке. Через намеченную точку выполняли гастроцистостомию или дуоденоцистостомию. Аспирировали содержимое и контрастировали ПК для определения ее точных размеров, герметичности и связи с протоковой системой ПЖ. В просвет кисты по каналу цистостомы заводили струну, по которой устанавливали пластиковый или металлический стент. Инструменты извлекали и проводили визуальный осмотр стента. Выполняли рентгеноскопию для оценки размеров полости. При выявлении связи ПК с протоковой системой ПЖ проводили эндоскопическую ретроградную панкреатикографию, вирсунготомию и стентирование главного панкреатического протока пластиковым стентом длиной 6 см, диаметром 5 °F.
После операции выполняли рентгенографию брюшной полости с целью установления наличия или отсутствия свободного газа. На 2-е и 7-е сутки после операции проводили УЗИ.
В послеоперационном периоде всем пациентам внутривенно вводили цефтриаксон 1,0 г 2 раза в сут или метронидазол 500 мг 3 раза в сут в течение 7 дней; внутривенно вводили 0,9% раствор хлорида натрия по 500 мл 2 раза в сутки в течение 3 дней. В качестве антисекреторной терапии применяли омепразол 20 мг 2 раза в сут в течение 7 дней. Проводили спазмолитическую терапию — дротаверин 40 мг внутримышечно 2 раза в сут в течение 7 дней. Для купирования болевого синдрома использовали трамадол — 50 мг или тримеперидин — 10 мг.
Эффективность эндоскопической операции оценивали по изменению объема полости кисты по данным УЗИ или К.Т. При невозможности адекватного дренирования ПК пластиковым стентом под рентгенологическим контролем устанавливали саморасширяющийся стент и назобилиарный дренаж диаметром 7 °F с последующей ежедневной санацией полости ПК.
Для оценки хирургических осложнений применяли классификацию хирургических осложнений Clavien—Dindo (2004).
Результаты и обсуждение
Причиной ОП с развитием ПК у 15 (65,2%) пациентов явилась желчнокаменная болезнь, у 7 (30,5%) — злоупотребление алкоголем, у 1 (4,3%) — перенесенная операция резекция хвоста ПЖ по поводу цистаденомы. Средний срок повторного обращения после перенесенного панкреонекроза составил в среднем 315 (135; 720) дней. При этом острые формы ПК выявлены у 3 (13%) пациентов, подострые — у 4 (17,4%), хронические — у 16 (69,6%), что свидетельствует о рецидивирующем течении О.П. Гигантские П.К. при УЗИ были выявлены у 3 (13%) больных, большие — у 5 (21,7%), средние — у 14 (60,9%), малые — у 1 (4,4%). У всех пациентов с гигантскими ПК имело место сдавление антрального отдела желудка и двенадцатиперстной кишки, что приводило к сочетанию болевого синдрома с нарушением эвакуации из желудка.

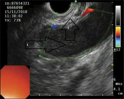
ПК локализовались в теле ПЖ у 7 (30,4%) пациентов, в хвосте ПЖ — у 7 (30,4%), в головке ПЖ — у 6 (26,2%) (рис. 1). Рис. 1. Псевдокиста головки поджелудочной железы (изображение при ультразвуковом исследовании). Стрелками указаны полость псевдокисты (1), бессосудистая зона (2). The arrows indicate pseudocyst cavity (1), avascular zone (2). У 3 (1%) больных имело место сочетанное расположение ПК в головке и теле ПЖ.

Пластиковые стенты применяли при наличии «зрелой» фиброзной капсулы толщиной от 3 до 9 мм и однородном содержимом кисты. Металлические саморасширяющиеся стенты устанавливали в отсутствие капсулы, при инфицированном содержимом и наличии секвестров (рис. 2). Рис. 2. Состояние после цистогастростомии. а — саморасширяющийся стент в просвете инфицированной кисты указан стрелкой (изображение получено при эндоскопической ультрасонографии); б — саморасширяющийся стент в просвете инфицированной кисты указан стрелкой 2 (по данным рентгенографии); в — пластиковый стент в просвете неинфицированной кисты указан стрелкой (изображение получено при эндоскопической ультрасонографии); г — пластиковый стент в просвете неинфицированной кисты указан стрелками (по данным рентгенографии). a — self-expanding stent inside infected cyst is indicated by the arrow 2 (us); b — self-expanding stent inside infected cyst is indicated by the arrow 2 (X-ray); c — plastic stent inside sterile cyst is indicated by the arrow (us); d — plastic stent inside sterile cyst is indicated by the arrows (X-ray).

После эндоскопической цистогастростомии у 8 (34,7%) больных отмечен умеренный болевой синдром в верхних отделах живота, у 6 (26,1%) — сочетание болевого и диспепсического синдромов, у 4 (17,4%) — выраженный болевой синдром, у 3 (13%) — подъемы температуры тела до субфебрильных цифр. Не предъявляли никаких жалоб 2 (8,7%) больных. Точка доступа для эндоскопического дренирования зависела от локализации ПК: при ее расположении в хвосте оптимальными областями для стентирования были тело желудка (56,5%) и задняя стенка антрального отдела желудка (21,7%), а при ее расположении в головке — двенадцатиперстная кишка (13,1%) (см. таблицу). Локализация цистостомы в желудке и двенадцатиперстной кишке (n=23) Примечание. Данные представлены в виде абсолютных и производных (%) величин.
Серозно-геморрагическое содержимое ПК было у 20 (85%) больных, в связи с этим им были установлены пластиковые стенты, а гнойное содержимое — у 3 (15%), что явилось показанием для применения саморасширяющихся стентов.
Связь ПК с протоковой системой ПЖ имелась у 2 (8,7%) пациентов, что явилось показанием к стентированию главного панкреатического протока. На момент выписки по данным УЗИ жидкостные образования в тканях ПЖ у пациентов отсутствовали, а полость кисты не определялась.
Выраженный болевой синдром после цистогастростомии отметили у 4 (17,4%) пациентов в 1-е сутки. При рентгеноскопии в брюшной полости выявлен свободный газ. На фоне консервативной терапии болевой синдром купирован. При УЗИ выявлено минимальное количество жидкости в брюшной полости у 2 больных. При УЗИ на 3-и и 4-е сутки жидкость в брюшной полости отсутствовала, полость ПК не определялась.
При попытке эндоскопической цистогастростомии у 1 (4,3%) пациента отмечено большое количество свободного газа в брюшной полости. При ЭУС выявлено разобщение стенок желудка и ПК, что явилось показанием к конверсии и хирургическому наложению цистогастроанастомоза.

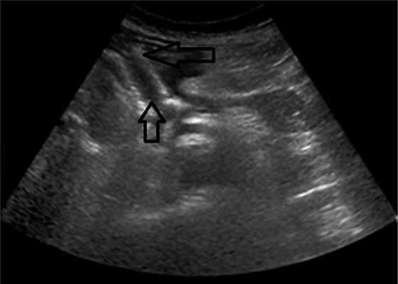
Контрольное УЗИ, выполненное перед выпиской, выявило отсутствие жидкостного образования у 18 (81,9%) пациентов, у 4 (18,2%) — уменьшение полости ПК более чем в 2 раза (рис. 3). Рис. 3. Стент в области головки поджелудочной железы, полость отсутствует, стрелками указаны края стента (изображение при ультразвуковом исследовании).
Таким образом, осложнения возникли у 5 (21,7%) из 23 больных, у 4 из них отмечали хирургические осложнения I степени и в 1 наблюдении — IIIb степени.
Ведущую роль в диагностике ПК играет УЗИ, которое у всех пациентов позволило обнаружить кистозное образование, оценить его размеры, локализацию, толщину капсулы. Для выявления бессосудистой области, необходимой для безопасной установки стента, использовали ЭУС. Для уточнения связи с протоковой системой ПЖ применяли эндоскопическую ретрограднаю панкреатографию. КТ применили у 3 больных, если данные УЗИ не позволяли оценить связь ПК с окружающими органами.
При наличии сформированной фиброзной капсулы и однородном жидкостном содержимом кисты выполняли установку пластиковых стентов. Отсутствие капсулы свидетельствует о наличии острого жидкостного скопления, которое нельзя дренировать через желудок. При выявлении секвестров, признаков инфицирования содержимого и в отсутствие капсулы при минимальной длине анастомоза (менее 1 см) устанавливали металлический саморасширяющийся стент.
После аспирации содержимого из ПК выполняли бактериологическое исследование, а также биохимическое исследование для определения уровня амилазы. Это позволило подтвердить инфицирование ПК и при необходимости скорректировать антибактериальную терапию, а также оценить связь ПК с протоковой системой ПЖ.
Всем пациентам после эндоскопического оперативного вмешательства рекомендовано проведение рентгенологического исследования органов брюшной полости с целью установления наличия или отсутствия свободного газа. Как показал наш опыт, после вмешательства наличие свободного газа у 8,7% пациентов не явилось показанием к обязательной конверсии, достаточно было динамического наблюдения.
Выполнение повторных УЗИ в фиксированные сроки позволяет оценить динамику изменения размеров П.К. Таким образом, предложенная лечебная тактика показала эффективность данного метода лечения ПК, однако малое число наблюдений является поводом для дальнейшего продолжения исследования.
Полученные данные имеют ограниченную © степень статистической значимости и IV уровень доказательности публикации (по классификации степени достоверности публикаций Оксфордского центра доказательной медицины).
Заключение
Эндоскопическое дренирование псевдокист поджелудочной железы под контролем эндоскопической ультрасонографии является высокоэффективным методом лечения: у 81,8% пациентов достигнут полный регресс полости, у 18,2% отмечено ее уменьшение более чем в 2 раза. Эндоскопическая цистогастростомия (цистодуоденостомия) является эффективным методом лечения с минимальным риском послеоперационных осложнений: конверсия потребовалась лишь у 1 (4,3%) больного. При острой псевдокисте показана установка саморасширяющегося стента, что позволяет выполнять программную санацию полости псевдокисты и проводить цистоназальное дренирование. При хронической псевдокисте рекомендуется устанавливать пластиковый стент, этого достаточно для адекватного дренирования ПК.
Ложная киста поджелудочной железы
Ложная киста поджелудочной железы (псевдокиста) - полость в паренхиме поджелудочной железы, лишенная эпителиальной выстилки и содержащая панкреатический секрет и тканевой детрит. Причиной развития патологии наиболее часто являются панкреатиты (острые и хронические), реже - травмы брюшной полости. Основной признак заболевания - боль, интенсивность которой максимально выражена на первом этапе формирования полости. Также характерны диспепсические жалобы. Диагностическая программа включает рентгенографию органов брюшной полости, УЗИ и КТ поджелудочной железы, РХПГ. Лечение комплексное: фармакотерапия, эндоскопические и хирургические вмешательства (дренирующие или удаление кисты).
МКБ-10


Общие сведения
Ложная киста поджелудочной железы относится к опухолеподобным процессам. Данная патология представляет серьезную проблему в гастроэнтерологии, тесно связанную с увеличением заболеваемости населения острыми и хроническими панкреатитами, которые являются основной причиной формирования псевдокист. При алкогольном панкреатите ложные кисты поджелудочной железы образуются у 34-50% пациентов.
Псевдокисты склонны к нагноению, перфорации, малигнизации, образованию плохо поддающихся лечению внутренних и наружных свищей, чем обусловлена высокая летальность при данной патологии - до 53%. Клиническая картина псевдокисты часто маскируется под обострение основного заболевания, в ряде случаев ложные кисты являются интраоперационными находками. Несмотря на постоянное совершенствование методик лечения, в том числе микрохирургических, на сегодняшний день отсутствует единый лечебно-диагностический алгоритм и «золотой стандарт» лечения пациентов.

Причины ложной кисты поджелудочной железы
Наиболее часто формированию панкреатических псевдокист предшествует острый и хронический панкреатит, при этом острая форма сопровождается формированием полости в паренхиме железы в половине, а хроническая - в 80% случаев. В зоне повреждения паренхимы органа происходят деструктивные изменения, отграничение воспалительной массы с ее уплотнением и последующим разрастанием в строме соединительной ткани. Тканевой детрит постепенно уничтожается иммунными клетками, и на его месте остается полость без эпителиальной выстилки.
Реже причиной образования ложных кист поджелудочной железы выступает травма органа. Посттравматические псевдокисты - это гематомы с большим количеством панкреатических ферментов. Они обладают склонностью к быстрому нагноению, в связи с чем требуют неотложного хирургического вмешательства. Отдельным вариантом посттравматических псевдокист являются ятрогенные ложные кисты, которые формируются после оперативных вмешательств. Такие псевдокисты представляют собой затеки желчи (это осложнение характерно для лапароскопической холецистэктомии) или панкреатического сока (развиваются после резекции поджелудочной железы). После обширных хирургических вмешательств в поджелудочной железе может скапливаться осумкованная перитонеальная жидкость.
Иногда псевдокисты образуются при ограничении воспалительного процесса вследствие применения высоких дозировок ингибиторов панкреатических ферментов. Такие ложные кисты протекают на фоне хронического панкреатита. Редкой причиной формирования ложных кист поджелудочной железы является атеросклероз сосудов данного органа.
Классификация ложных кист поджелудочной железы
Панкреатические псевдокисты классифицируют по этиологии: возникающие после деструктивного панкреатита, посттравматические и другие. В зависимости от локализации различают псевдокисты головки, тела и хвоста панкреас.
Отдельно выделяют 4 стадии псевдокист, образующихся на месте очага деструкции паренхимы органа:
- Первая стадия характеризуется образованием начальной полости в зоне инфильтрации и аутолитических процессов, длится около шести недель.
- На второй стадии полость ограничивается рыхлой соединительнотканной капсулой, при этом продолжается разрушение инфильтрата иммунными клетками. Этот период может длиться 2-3 месяца.
- На третьей стадии псевдокиста «созревает» - образуется капсула из фиброзной ткани. Данный процесс происходит примерно через полгода от начала заболевания.
- Четвертая стадия характеризуется окончательным формированием плотной капсулы, которая легко отделяется от окружающих тканей.
В практической гастроэнтерологии чаще используется следующая классификация псевдокист:
- острые (до 2-3 месяцев)
- подострые (до полугода)
- хронические (более полугода).
Симптомы ложной кисты поджелудочной железы
Ведущим симптомом панкреатической псевдокисты является боль. Ее характеристики зависят от размера, локализации, а также стадии формирования полости. Наиболее интенсивную боль испытывают пациенты в первом периоде «созревания» псевдокисты, когда происходят деструктивные процессы в паренхиме органа. Через некоторое время боль стихает, становится тупой. У некоторых пациентов остается только ощущение дискомфорта. В дальнейшем возможны повторные болевые приступы, которые связаны с гипертензией в протоках поджелудочной железы. Значительное усиление боли может свидетельствовать о развитии таких осложнений, как разрыв, нагноение, кровоизлияние в полость псевдокисты.
Локализация болевых ощущений зависит от расположения псевдокисты: при образовании в области головки панкреас боли возникают в правом подреберье, тела и хвоста - в эпигастрии и левом подреберье. Некоторых пациентов беспокоят постоянные боли, что может быть связано с давлением псевдокисты на солнечное сплетение. В таких случаях ощущения усиливаются при смене положения тела, физических нагрузках, давлении поясом одежды. Характерны также диспепсические жалобы: тошнота, рвота, ухудшение аппетита.
Диагностика ложной кисты поджелудочной железы
Важную роль в диагностике панкреатических псевдокист играет оценка анамнеза и объективное обследование пациента. Консультация гастроэнтеролога позволяет выявить в анамнезе указания на недавно перенесенный острый панкреатит или обострение хронического, травму живота, а также наличие после них «светлого промежутка». При пальпации живота определяется боль, в некоторых случаях (при крупных псевдокистах) - асимметрия, прощупывание округлого образования.
Результаты лабораторных исследований обычно малоинформативны, поскольку выявляют изменения, причиной которых является первичное заболевание - панкреатит (лейкоцитоз, повышение СОЭ, возможно повышение билирубина и активности щелочной фосфатазы). Характерно изменение уровня панкреатических ферментов: на первой стадии формирования псевдокисты после купирования болевого синдрома определяется гиперферментемия, на более поздних стадиях - гипоферментемия.
При проведении рентгенографии органов брюшной полости возможно обнаружение тени псевдокисты, а также смещения двенадцатиперстной кишки или желудка. Более информативна ультразвуковая диагностика. УЗИ поджелудочной железы позволяет визуализировать ложную кисту, оценить ее локализацию и размеры, в некоторой степени - связь с протоковой системой, а также наличие или отсутствие осложнений (нагноения, кровоизлияния в полость). В случае сдавления холедоха выявляется расширение желчных протоков, при портальной гипертензии - селезеночной и воротной вен. При малигнизации псевдокисты визуализируются неровные контуры ее стенки.
Эзофагогастродуоденоскопия проводится с целью выявления косвенных признаков воспалительного процесса в поджелудочной железе, сдавления желудка и двенадцатиперстной кишки: над участками сдавления определяются эрозии слизистой оболочки, может быть обнаружено варикозное расширение вен пищевода.
Важным методом диагностики панкреатических псевдокист является эндоскопическая ретроградная холангиопанкреатография (ЭРХПГ). Данный метод исследования позволяет оценить связь полости псевдокисты с протоковой системой, что играет определяющую роль в выборе лечебной тактики. Однако в связи с тем, что существует высокий риск инфицирования полости в ходе исследования, ЭРХПГ проводится исключительно перед хирургическим вмешательством для выбора метода лечения.
Для окончательной верификации диагноза, детальной оценки состояния ложной кисты поджелудочной железы и ее содержимого выполняются такие диагностические исследования, как МРТ поджелудочной железы, цитологическое исследование содержимого кисты. Дифференциальная диагностика проводится с ретенционными кистами, доброкачественными кистомами, злокачественными опухолями поджелудочной железы.

КТ органов брюшной полости. Псевдокиста поджелудочной железы у пациента после приступа острого панкреатита
Лечение ложной кисты поджелудочной железы
На данном этапе фармакотерапия комбинируется с ранним чрескожным пунктированием с установкой катетера. Катетер может находиться в полости псевдокисты до нескольких месяцев, что дает возможность выполнять промывание антисептическими растворами, аспирацию содержимого, а также пломбирование полости силиконовыми быстротвердеющими композициями. До формирования фиброзной капсулы псевдокисты применяется выжидательная тактика, которая обоснована и при бессимптомных ложных кистах поджелудочной железы. При этом активные методы применяются только при появлении клинических симптомов (сдавление соседних органов, боль).
Во втором и последующих периодах формирования псевдокисты ведущим методом лечения является дренирование. В настоящее время в клинической практике более часто применяются эндоскопические малоинвазивные методы, включающие цистогастростомию и цистодуоденостомию. В ходе данных вмешательств выполняется пункция стенки желудка или двенадцатиперстной кишки в области сдавления псевдокистой и установка стента, который может находиться в анастомозе несколько недель. Однако данные методы лечения имеют определенные недостатки: существует риск инфицирования псевдокисты с попаданием химуса в ее полость, раздражения слизистой пищеварительной трубки, кровотечения, а также рубцевания соустья, что приводит к рецидивам.
Хирургическое лечение показано при больших размерах ложных кист поджелудочной железы (более 6-7 сантиметров в диаметре), быстром их увеличении, длительно существующих полостях, большом количестве детрита в полости, а также при травматической этиологии. Также операция проводится при нагноении, перфорации, кровотечении, формировании свищей, неэффективности других методов лечения. Для лечения панкреатических псевдокист выполняется наружное дренирование (вскрытие псевдокисты с вшиванием в рану передней брюшной стенки), внутреннее дренирование (вскрытие кисты, ее ушивание и наложение анастомоза с желудком, двенадцатиперстной или тощей кишкой), удаление кисты (цистэктомия или резекция части панкреас с псевдокистой).
Прогноз и профилактика
Прогноз при ложных кистах поджелудочной железы зависит от причины их развития и выбора оптимального метода лечения в каждом конкретном случае. Послеоперационная летальность при данной патологии очень высокая - около 50%. В то же время рецидивы после различных видов лечения, в том числе эндоскопических, развиваются в 30% случаев. Существует высокий риск таких осложнений, как кровотечение, нагноение, перфорация псевдокисты, формирование свищей, малигнизация. Профилактика панкреатических псевдокист сводится к предупреждению панкреатитов (отказу от употребления алкоголя, рациональному питанию), травм брюшной полости.
Эндоскопическое лечение псевдокист поджелудочной железы
Примерно 75% патологических кистозных образований, которые обнаруживают в поджелудочной железе — это псевдокисты. Они представляют собой полости, которые возникают после приступа острого панкреатита. Обычно это происходит через 6 недель после его манифестации.
Приставку «псевдо» используют, чтобы отличать эти образования от истинных кист и кистозных неоплазий. Однако разница между ними невелика. Основное отличие в том, что стенка истинной кисты выстлана эпителиальной тканью.
В клинике «Евроонко» в Москве для лечения псевдокист при хроническом панкреатите применяются современные эндоскопические методики. По сравнению с классическими вмешательствами, они менее травматичны и более эффективны. Также они сопровождаются меньшим риском осложнений. После таких вмешательств пациенты быстрее возвращаются к привычной жизни и надолго избавляются от причин, приведших к возникновению симптомов, вызванных псевдокистой.
Почему в поджелудочной железе возникают псевдокисты?
Чаще всего причиной становится воспалительный процесс и нарушение проходимости протоков поджелудочной железы.
В 75-85% случаев псевдокистам предшествует панкреатит, связанный с чрезмерным употреблением алкоголя, желчнокаменной болезнью или другими причинами. Значительно реже к патологии приводят тупые и проникающие травмы живота. Иногда причины возникновения псевдокист неизвестны, поэтому они называются идиопатическими.
Немного цифр и фактов:
- Псевдокисты поджелудочной железы бывают единичными и множественными. Множественные встречаются в 15% случаев — чаще всего у людей, страдающих алкоголизмом.
- Размер псевдокист может составлять от 2 до 30 см.
- В 2/3 случаев эти образования появляются в хвосте поджелудочной железы, в 1/3 случаев — в головке.
- В целом причины развития псевдокист те же, что и для панкреатита.
Симптомы и возможные осложнения
Заболевание может проявляться по-разному. Чаще всего — в виде болей и вздутии живота. Другие возможные симптомы: тошнота и рвота, беспричинное снижение веса, потеря аппетита, диарея, повышение температуры.
Если ничего не предпринимать и не лечиться, могут развиться серьёзные осложнения:
- Наиболее опасно внутреннее кровотечение из-за повреждения кровеносного сосуда или разрыва кисты. Оно проявляется в виде сильных болей в животе, бледности и слабости. В таких случаях нужна экстренная операция — лапаротомия или эмболизация кровоточащего сосуда.
- Разрыв псевдокисты способен привести к перитониту (воспалению брюшины — оболочки, которая покрывает внутренние органы и выстилает брюшную полость) и гибели больного.
- Инфицирование псевдокисты сопровождаются высокой температурой и ухудшением общего состояния. Это служит показанием к немедленному дренированию и курсу антибиотиков.
- Сильная тошнота и рвота указывают на нарушение проходимости пищеварительного тракта, связанной со сдавлением ЖКТ за счёт больших размеров кисты.
- Также воспаление поджелудочной железы и давление кисты на желчные протоки зачастую приводят к нарушению оттока желчи и являются причиной механической желтухи.
- У некоторых пациентов развивается асцит — состояние, при котором в брюшной полости скапливается жидкость.
Если у пациента есть что-либо из этого списка, прогноз для него ухудшается. Имейте в виду: чем больше размеры псевдокисты, тем выше вероятность появления этих симптомов и возникновения осложнений.
Диагностика псевдокист поджелудочной железы
Псевдокисту поджелудочной железы можно обнаружить с помощью ультразвукового исследования. Это самый простой, быстрый и недорогой метод диагностики. Дополнительную важную информацию покажет компьютерная томография.
Затем проводят биохимический анализ крови и оценивают показатели, которые отражают состояние поджелудочной железы. Например, определение уровней ферментов амилазы и липазы помогает диагностировать панкреатит.
Эндоскопическая ретроградная холангиопанкреатография (ЭРХПГ) — эндоскопическое вмешательство, которое выполняют при возникновении признаков желтухи и помогает пациентам при помощи малоинвазивного способа.
Магнитно-резонансная томография не обязательна, но в некоторых случаях к ней прибегают, чтобы лучше изучить анатомию поджелудочной железы и изучить структуру псевдокисты, провести дифференциальную диагностику с опухолевой патологией.
Преимущества эндоскопического дренирования
В течение 6 недель после возникновения приступа панкреатита, кисты имеют свойства самостоятельно исчезать. Многие пациенты ограничиваются периодическими наблюдением у врача, проведением компьютерной томографии и соблюдением диеты с низким содержанием жиров. Показания к хирургическому лечению возникают лишь в определенных случаях:
- Если киста увеличивается в размерах.
- Если у пациента имеются симптомы.
- Если развиваются осложнения.
Задача операции — удалить содержимое псевдокисты. Это можно сделать разными способами:
- Наружное дренирование — псевдокисту прокалывают через переднюю брюшную стенку специальной иглой прямо через кожу, помещают в нее катетер, а его второй конец выводят наружу. К этому способу обычно прибегают при отсутствии эндоскопических методик дренирования, а также в диагностических целях или в качестве временной меры. В 54% случаев наружное дренирование неэффективно, в 63% случаев происходят рецидивы. Высок риск инфицирования. Однако если в псевдокисте обнаружен инфекционный процесс, такой вид дренирования подойдёт в качестве экстренной меры.
- Хирургическое дренирование. Во время операции (обычно лапароскопической — без разрезов, через проколы), полость псевдокисты соединяют с желудком или тонкой кишкой. Этот способ эффективен в 85-90% случаев, но высок и риск осложнений — 24%.
Современный метод лечения псевдокист поджелудочной железы — эндоскопическое дренирование. Оно проводится без разрезов и проколов на теле.

Эндоскопическое дренирование под контролем эндосонографии — это современный способ дренирования псевдокист поджелудочной железы. Он считается мировым стандартом лечения данной категории пациентов. Развитие каких-либо осложнений, связанных с операцией минимальны, так как дренирование выполняется под рентгеновским, эндоскопическим и эндосонографическим контролем. Сочетание этих методик обеспечивают для пациентов минимальные риски и максимальную информативность выполнения операции. Также применение современного инструментария и инновационных систем обеспечивает оптимальное дренирование и течение послеоперационного периода.
В «Евроонко» есть всё необходимое, чтобы выполнить эндоскопическое дренирование псевдокисты поджелудочной железы максимально успешно:
- Аппаратура для эндоскопии экспертного класса от ведущих производителей.
- Возможность выполнения вмешательства в специализированной операционной, где есть все необходимое рентгенологическое, эндоскопическое и ультразвуковое оборудование
- Большой опыт: наши врачи установили более 1500 стентов в разных органах.
- Отделением эндоскопии заведует Михаил Сергеевич Бурдюков, д.м.н., врач-эндоскопист экспертного уровня с 16-летним опытом работы.
- Инновационные дренирующие системы Стенты Hot AXIOS от американской компании Boston Scientific Corporation. На данный момент — это наилучшее решение для дренирования псевдокист поджелудочной железы. Стент Hot AXIOS имеет гантелевидную форму. За счёт этого он крепко держится на нужном месте. Широкий просвет сводит к минимуму риск непроходимости.
«Евроонко» — это место, где можно получить профессиональную консультацию и медицинскую помощь на уровне ведущих мировых медицинских центров. Свяжитесь с нами, чтобы узнать подробнее об эндоскопическом лечении псевдокист поджелудочной железы и записаться на предварительную консультацию к врачу:
Читайте также:
- Распространенность среднего отита у детей. Эпидемиология
- Экстракоронковые временные шины. Особенности экстракоронарных шин в стоматологии
- История химиотерапии онкологических заболеваний (рака)
- Положение плодов в матке при многоплодной беременности. Ведение беременности при многоплодии.
- Этапы и техника восстановления сухожилия сгибателей кисти
