Показания, подготовка к тотальному эндопротезированию коленного сустава в условиях вальгусной деформации
Добавил пользователь Евгений Кузнецов Обновлено: 01.11.2025
Эндопротезирование показано в тех случаях, когда утраченные функции сустава не удается восстановить другими способами. То есть когда консервативное лечение, внутрисуставные инъекции и артроскопические операции оказываются неэффективными, а выполнять артродезирование не рекомендуется из-за плохих функциональных результатов.
Для людей старше 60 лет эндопротезирование является операцией выбора. То есть это самое оптимальное хирургическое вмешательство, которое дает лучший результат на нынешнем этапе развития науки и медицины.
Пациентам с идиопатическим и посттравматическим остеоартрозом хирургическое вмешательство обычно требуется после 40 лет. Больным с асептическим некрозом головки бедра, опухолями и ревматическими заболеваниями (ревматоидный артрит, системная красная волчанка, псориатический полиартрит) операцию могут делать в любом возрасте.
Показания к эндопротезированию ТБС
Хирургическое вмешательство требуется больным с такими патологиями:
- деформирующий остеоартроз (коксартроз) 3 стадии по классификации Кассинской или 4 по классификации Kellgren J. H., Lawrence J. S.; ;
- двусторонние костные и фиброзные анкилозы;
- опухоли головки и шейки бедренной кости, которые требуют резекции ТБС; , сопровождающиеся потерей костной массы (независимо от возраста);
- тугие ложные суставы шейки бедра у пациентов старше 65 лет;
- некоторые случаи переломов шейки бедренной кости.
При переломах шейки бедра эндопротезирование делают всем пациентам старше 75 лет. У больных моложе 75 лет показания к операции определяются в индивидуальном порядке.


Показания к замене коленного сустава
Хирургическое вмешательство требуется пациентам с такими заболеваниями:
- деформирующий остеоартроз (гонартроз) третьей стадии; ;
- ревматоидный полиартрит с массивным поражением колена; костной ткани;
- неправильно сросшиеся переломы и опухоли, которые требуют резекции суставных концов бедренной и большеберцовой костей.
Поражение колена должно сопровождаться как минимум одним из перечисленных симптомов:
- хронический болевой синдром, который не поддается лечению;
- вальгусная деформация более 20 градусов (или варусная более 15);
- сгибательная контрактура более 15 градусов;
- появление сложной нестабильности;
- выполненное ранее артродезирование колена.
В операции могут отказать при наличии общих абсолютных противопоказаний, а также при наличии в области колена грубых рубцов, спаянных с подлежащими костями. В таких случаях выполнить хирургическое вмешательство становится технически невозможно.
Показания к замене голеностопа
Протезирование голеностопа рекомендуют пациентам с деформирующим остеоартрозом и тяжелыми последствиями травм. Операция является отличной альтернативой артродезированию, которое предусматривает полное обездвиживание голеностопного сустава. В отличие от артродеза, эндопротезирование позволяет полностью восстановить функции конечности.
Показания к эндопротезированию плеча
Замена плеча показана пациентам с такой патологией:
- трех- и более фрагментарные переломы головки и хирургической шейки плечевой кости;
- двух-фрагментарные переломы головки и хирургической шейки плеча у пожилых пациентов;
- застарелые, несросшиеся и неправильно сросшиеся переломы;
- ревматоидный артрит, сопровождающийся поражением плеча (3-4 стадии по классификации Kellgren J. H.);
- деформирующий остеоартроз 3-4 стадии;
- контрактуры, анкилозы, дефекты и опухоли костей, образующих плечевой сустав.
Протезирование плеча искусственным эндопротезом — это альтернативный метод лечения тяжелой патологии. Он более эффективен, чем различные методики остеосинтеза и другие методы хирургического лечения. Операция позволяет в короткие сроки получить хороший анатомический и функциональный результат у больных с тяжелыми травмами и заболеваниями.
Показания к замене локтевого сустава
Замена локтя требуется при таких травмах и заболеваниях:
- внутрисуставные переломы;
- несросшиеся переломы, вывихи и ложные суставы;
- деформирующий остеоартроз 3-4 стадии;
- ревматоидный артрит с массивным поражение локтя (3-4 стадии по классификации Kellgren J. H.);
- дефекты и опухоли костей, которые образуют локтевой сустав.
Подведем итоги
Сегодня эндопротезирование является золотым стандартом лечения многих травм и заболеваний крупных суставов. В отличие от остальных методов и операций, оно позволяет полностью избавиться от болевого синдрома и восстановить функции больной конечности. При успешной реабилитации человек может вернуться к привычному образу жизни уже через 4-6 месяцев.
К эндопротезированию существует ряд противопоказаний, при наличии которых в его выполнении могут отказать.
Противопоказания для эндопротезирования коленного сустава

Перед тем как провести операцию по эндопротезированию коленных суставов, необходимо убедиться, что у пациента присутствуют не только четкие показания к хирургическому вмешательству, но у него также и отсутствуют противопоказания к замене сустава эндопротезом. Когда этими правилами пренебрегают, то возрастает риск развития осложнений после хирургического лечения.
Показания к операции по эндопротезированию колена
Постоянная нагрузка, которая ежедневно оказывается на коленные сочленения, не лучшим образом сказывается на их состоянии. При присоединении инфекций или частых травмах суставных структур и прилегающих тканей нарушается функционирование этих сочленений, что служит показанием к эндопротезированию коленного сустава.
Первыми признаками неблагополучия становятся умеренные болевые ощущения. У человека слышен хруст в коленях. Затруднены движения, когда он длительно находится в одной позе. Основной причиной, приводящей к замене сустава коленным эндопротезом, считают боль. От нее не получается избавиться с помощью традиционных методов.
У таких больных отсутствует возможность самостоятельного передвижения. У них высок риск инвалидности. Показания для проведения эндопротезирования суставов следующие:
- травмирование структур коленных сочленений или рядом находящихся тканей, которое возникло из-за различных причин, если они привели к деформации или расстройству функции конечности;
- онкологические процессы в зоне коленей;
- артрозы, артриты, развитие которых обусловлено различными причинами, если они осложнены воспалительным процессом;
- пациент постоянно переохлаждается или пребывает в условиях с повышенной влажностью;
- человек занимается спортом, при котором повышена нагрузка на суставы или она на них неправильно распределятся;
- наличие инфекционных заболеваний, вызвавших патологические процессы в коленях;
- работа в тяжелых условиях в положении стоя с отсутствием возможности отдыхать;
- дефекты развития структур коленного сочленения;
- наполнение жидкостью суставной сумки с присоединением инфекционных возбудителей, вызывающих гнилостные процессы;
- разрушена хрящевая и костная ткань вследствие наличия у больного системных или эндокринных патологий.
Эндопротезы коленного сустава устанавливают при неспецифических поражениях тканей в коленных сочленениях.
Противопоказания к замене суставов эндопротезом
Противопоказания к оперативному вмешательству по эндопротезированию колена определяют после того, как проведут полное диагностическое обследование пациента. Вопрос о лечении решают, когда выявят все возможные риски, а также последствия операции. Имеются определенные противопоказания для проведения эндопротезирования коленных суставов:
- сердечные патологии, при которых нарушается сократительная деятельность и функция проводящей системы;
- септическое состояние, выявленное у больного, или есть данные, что оно перенесено недавно;
- наличие патологии мочевыделительной системы;
- при обширных поражениях коленных суставов, а также прилежащих тканей, когда отсутствует возможность проведения их замены с помощью эндопротезирования;
- заболевания печени, которые не позволяют ввести больного в наркоз;
- наличие гноя внутри суставной сумки колена, если его распространение вызовет осложнения во время проведения эндопротезирования;
- хрупкие кости из-за остеопороза, что позволяет установить эндопротезы суставов;
- врачи предполагают недостаточную эффективность операции;
- наличие психических отклонений у пациента, которые приводят к эмоциональной нестабильности, а также провоцируют беспорядочную двигательную активность;
- подростковый возраст с недостаточной степенью формирования костно-суставной системы;
- состояние бронхолегочной системы, которое обеспечивает необходимую степень вентиляции;
- сосудистые патологии нижних конечностей, которое способствует тромбообразованию;
- ожирение, превышающее 120 кг, из-за ограничения производителей по весу для установленных коленных эндопротезов;
- наличие очагов бактериальной инфекции или вирусных заболеваний.
Операцию эндопротезирования на колене не производит лежачим пациентам и лицам, имеющим значительную мышечную атрофию.
Наличие у больных крайней степени ожирения, заболеваний внутренних органов, сосудистых патологий в стадии субкомпенсации, злокачественных процессов с различной локализацией, анкилозов суставных сочленений, гормональной остеопатии, остеопороза в области коленей считают относительным противопоказанием.
В таких случаях врачи принимают решение, что возможно проведение хирургического вмешательства в индивидуальном порядке. Специалисты проводят тщательное обследование пациента, а затем взвешивают возможный риск при оперативном вмешательстве, а также пользу от нее.
Диагностика перед проведением эндопротезирования
Чтобы поставить точный диагноз и определить возможности предстоящей хирургической коррекции патологических изменений внутри суставного сочленения, проводят комплекс диагностических мероприятий для пациента в стационарных условиях.
Самыми информативными методами исследования специалисты считают артроскопию и МРТ. Противопоказания к проведению артроскопического обследования коленного сочленения определяет врач травматолог. Манипуляцию не проводят при следующих ситуациях:
- грубая деформация просвета, находящегося между суставных поверхностей, которая не позволяет выполнить исследование;
- при дефекте в суставной капсуле во время манипуляции газ попадает в мышцы, вызывая нежелательные реакции;
- наличие гноя внутри сустава;
- нарушение целостности крупных сосудов, расположенных внутри сочленения или в соседних с ним тканях (возможна эмболия газом сосудов);
- воспаление колена с отеком тканей;
- трещины или переломы костей;
- наличие повреждений на коже и мышцах возле колена.
Кроме артроскопии, производят еще и другие виды обследований:
- антропометрический осмотр, при котором определяют степень подвижности и функционирования колена;
- ультразвуковое сканирование;
- рентгенографию колена в нескольких проекциях;
- ангиографию конечности, где планируют проведение протезирования, чтобы исключить тромбоз;
- компьютерную томографию;
- МРТ суставов и соседних с ними зон;
- бактериологические, клинические, биохимические анализы мочи и крови;
- лабораторные исследования для выявления уровня определенных гормонов.
Применяемые методы предназначены для выявления сопутствующих заболеваний, способных оказать влияние на качество проведенной операции и течение реабилитационного периода.
Предоперационная подготовка к эндопротезированию и особенности операции
Какая разновидность эндопротеза подойдет для конкретного пациента, определяет только оперирующий хирург во время осмотра. Программа предоперационного обследования включает проведение ряда стандартных анализов. Проводится перед эндопротезированием консультация терапевта.
Обязательно перед протезированием санируют очаги хронической инфекции. Для этого пациента отправляют к стоматологу, ЛОР врачу и другим специалистам. Выполнение данного вида вмешательства требует операционной с первой степенью чистоты, что не может обеспечить каждый стационар.
Операция длится обычно не более двух часов. Протезирование суставов выполняют, используя сочетанную анестезию. Анестетики вводят в перидуральное пространство. Производится еще внутривенная поддержка.
Около 10% операций производят под эндотрахеальным наркозом. При эндопротезировании возможна кровопотеря от ста миллилитров до одного литра. Пациентам в 10% случаев требуется интраоперационная или послеоперационная гемотрансфузия.
Рекомендации пациентам
Человек может самостоятельно улучшить свой послеоперационный прогноз. Важно после эндопротезирования колена укреплять иммунитет, придерживаться правильного питания, грамотно проводить закаливание, принимать меры по снижению веса. Эти меры помогут организму легче перенести операцию и быстрее пройти адаптацию к изменившимся условиям.
Пациент перед проведением вмешательства по эндопротезированию коленного сочленения должен изучить комплекс упражнений, предназначенный для тренировки суставов и укрепления мышц. Их применяют после операции в период реабилитации.
Это ускоряет процесс восстановления после проведенного эндопротезирования на коленном суставе. Важно еще обучить пациента, как нужно правильно обращаться со вспомогательными средствами реабилитации: костылями, ходунками, тростью.
Эндопротезирование коленного сустава - шанс восстановить функции конечности
Хронические суставные патологии практически не поддаются лечению, более того, они прогрессируют не оставляя человеку права на здоровое существование. Эндопротезирование коленного сустава - операций, суть которой состоит в его замене искусственным имплантом.

Сравнение здорового коленного сустава(слева) и полностью разрушенного(справа).
Хрящ, покрывающий концы суставных костей, невозможно восстановить, если он серьезно разрушен. Внутрисуставные уколы плазмы или гиалурона, бесполезная трата денег, нервов и времени.

Это видит хирург во время операции, обратите внимание на неравномерность, а местами отсутствие хрящевой оболочки.

Упрощенная схема установки импланта.
Единственная тактика лечения, которая дает результаты - эндопротезирование. Индустрия выпускает модернизированные имплантаты под требования любого пациента. Искусственные конструкции создаются из биосовместимых материалов, представленных керамикой, инновационными сплавами металлов и высокомолекулярным полиэтиленом, которые не оказывают токсического, аллергического и канцерогенного воздействия на окружающие структуры.

Вступление
Пораженный сустав обследуют высокоинформативными средствами визуальной диагностики, больного направляют на прохождение лабораторных анализов, осмотр у врачей узкой специализации.Далее принимается решение о:
- способом имплантации (тотальный или частичный);
- из какого материала лучше поставить протез;
- фиксация — цементная, бесцементная или гибридная;
- тип анестезии.

Чаще всего анестезия используется спинальная.
Метод протезирования колена успешно практикуют ведущие клиники эндопротезирования коленного сустава федеральные медцентры России, Украины и других государств постсоветского пространства.
Быстро пройти высокотехнологичную процедуру по квоте не всегда возможно, потребуется еще дождаться своей очереди, а на это может уйти 3-6 месяцев, иногда 12 месяцев.
В послеоперационный период колено требует больше времени на восстановление в отличие от бедра. Связано это с тем, что операция в техническом плане сложнее. Послеоперационный шов находится как раз в месте сильного растяжения кожи, что так же осложняет процесс восстановления, ведь нужно активно работать на сгибание-разгибание конечности.
Показания к операции
Примерно каждому десятому пациенту, страдающему патологией колена, требуется эндопротезирование. Причиной критических нарушений выступают следующие заболевания:
- этиологии и подагра;
- деформирующий артроз; ;
- внутрисуставные или околосуставные инфекции;
- травматические поражения; ;
- нарушение гормонального фона.
Хирургическая процедура показана, если обнаружены следующие изменения патологического характера:
- яркая болезненная симптоматика и серьезные двигательные расстройства, при которых консервативные способы и малоинвазивная хирургия не помогают или уже не имеют смысла;
- гонартроз в тяжелом проявлении;
- системная артритная болезнь;
- аваскулярный некроз суставных костей;
- локальные новообразования;
- врожденная и приобретенная дисплазия;
- неправильно сросшиеся переломы;
- посттравматические дегенерации.

Динамика болезни на рентгене.
Откладывать хирургию при гонартрозах 3-4 степени чревато деформацией позвоночника. Это происходит из-за хромоты. Дегенеративные процессы артроза глубоко затронут кости, из-за чего они приобретут хрупкость, потеряют плотность и зафиксировать к ним компоненты импланта станет сложно.
Противопоказания
Разрешается проводить даже в преклонном возрасте. Но при наличии любых патологий в стадии декомпенсации, например, сахарного диабета или гипертонии, хирургия будет отменена. Любые инфекционные воспалительные очаги в организме до запланированной процедуры должны быть ликвидированы полностью. Общий список противопоказаний:
- декомпенсированные хронические болезни;
- локальные и общие инфекции, воспалительные процессы;
- анемия 2-3 ст., низкая свертываемость крови;
- тяжелые психические нарушения;
- неконтролируемый диабет;
- туберкулез кости;
- паралич конечности;
- тромбоз глубоких вен ног.
Иногда требуется провести коррекцию веса, если индекс массы тела слишком высок, это опасно травмами и смещением импланта. Инвалидность после лечения не предусмотрена.
Подготовка к операции

Самый распространенный тип импланта коленного сустава.
Диагностика не ограничивается осмотром только лишь больной конечности, обследованию подлежат обе ноги. В этих целях рекомендуется прохождение:
- рентгенографии;
- ультразвукового исследования (УЗИ);
- магниторезонансной томографии (МРТ); (не всегда).

Платформа импланта прослужившая пациенту 16 лет. Хороший результат.
Осуществляется обход узкоспециализированных врачей (кардиолога, терапевта, иммунолога, анестезиолога, ЛОРа, стоматолога), сдача общеклинических анализов, исследование органов и систем организма. Стандартная диагностика включает:
- общий и биохимический анализы крови;
- коагулограмму;
- общий анализ мочи;
- определение уровня сахара в крови;
- тест на группу крови и резус-фактор;
- ультразвуковую допплерографию вен конечностей (УЗДГ);
- электрокардиограмму (ЭКГ);
- фиброгастродуоденоскопию (ФГДС);
- флюорографию органов дыхания.
Также будет произведен забор крови для переливания.
В клиниках эндопротезирования коленного сустава подготовка начинается примерно за 2 недели до предстоящего сеанса. Обязательно рекомендуется лечебная физкультура. Она поможет подготовить мышечный комплекс к реабилитации, посодействует его укреплению. Особенно при предполагаемой хирургии обоих коленных суставов.
Типы протезов и связанные с ними методики
Вы уже знаете, что бывает полное и частичное эндопротезирование коленного сустава, где в первом случае лечение подразумевает полноценную замену суставных поверхностей, а во втором - имплантацию поврежденного участка одного из мыщелков. Соответственно, протезы классифицируются на тотальные, одномыщелковые и ревизионные для замены импланта.
- После постановки однополюсной системы максимально сохраняется собственный костно-хрящевой сегмент и не затрагиваются связки, кстати, они должны быть в хорошем состоянии.

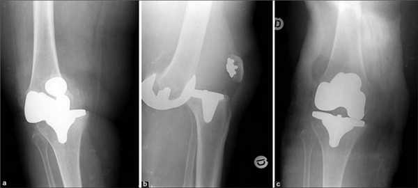
Одномыщелковая замена сустава на рентгене.

Сравнение двух типов операций.

С каждой последующей операции статистика успешности ниже. Импланты при этом становятся все более громоздкими.
Одномыщелковое протезирование подразумевает срок службы небиологического устройства максимум 7 лет. Тотальное замещение предусматривает время службы вживленного механизма от 15 лет. Ревизионное переносится сложнее, а риск инфекции и других негативных явлений почти в 2 раза выше, чем после первичной операции.
Жидкое протезирование коленного сустава
Важно еще вкратце дать информацию о жидком протезировании коленных суставов. Это инъекционные препараты гиалуроната натрия, которые служат для восполнения синовиальной жидкости. Жидкое протезирование коленного сустава производится путем введения через шприц раствора гиалуроновой кислоты во внутрисуставное пространство. Подобная лечебная тактика не восстанавливает разрушенный гиалиновый хрящ, но способствуют временному снижению признаков остеоартроза (сокращает тугоподвижность и боль) за счет улучшения смазочных свойств натурального сочленения. Оно применимо в качестве симптоматической терапии при артрозе, но настоящему эндопротезированию не является альтернативой.

Никакие уколы артрозы не лечат!
Описание хирургического процесса
Вид анестезии определяется врачом-анестезиологом. Что значит общий наркоз, думаем, знают все. А по поводу второй разновидности, скорее, не каждый понимает суть и принцип действия обезболивания, внесем ясность.
Эпидуральный наркоз - это один видов регионарной анестезии, смысл которого в подаче в перидуральное пространство позвоночника (в области поясницы) через катетер специального состава, блокирующего передачу импульсов от нервных сплетений спинного мозга. Нижняя часть тела становится нечувствительной. Человек совершенно не ощущает никакой боли, но остается в сознании. Не исключено, что анестезиолог дополнительно подключит внутривенную систему, подающую эффективный седативный препарат, чтобы снять нервное напряжение или погрузить в глубокий медикаментозный сон.

Чем легче наркоз, тем проще всем, пациенту, травматологу и анестезиологу.
Когда анестетик «заработает», начинается тотальное протезирование коленного сустава.
- Доступ к суставу осуществляется с передней стороны колена путем рассечения мягких тканей, обходя надколенник. Разрез небольшой, он равен примерно 12-14 см.
- Аккуратно высвобождается из анатомического пространства.
- Поскольку конструкция для тотального протезирования коленного сустава имеет сложную геометрию, для ее правильной посадки хирург выполняет несколько высокоточных опилов бедренной и большеберцовой костей.
- После ставится «болванка» разных размеров для подборки лучшего.
- Убедившись, что кости подготовлены правильно, специалист приступает к установке постоянных деталей протеза на свое окончательное место.
- В конце проводится промывание антисептической жидкостью площади, в пределах которой выполнялись операционные действия. Потом в рану вставляют временную дренажную систему для оттока раневого отделяемого, разрез ушивается и покрывается стерильной повязкой.

Пациент лежит на операционном столе, нога забинтована, сейчас начнется операция.
После выписки из стационара следует оформиться в лечебно-реабилитационный центр. В таких медучреждениях оказывают высококомпетентную помощь после тотального цементного эндопротезирования коленных суставов или бесцементного, частичного протезирования и ревизионного вмешательства.

Неблагоприятные реакции

От работы реабилитологов зависит не меньше, чем от работы хирурга.
Больной обязан быть под пристальным наблюдением методистов-реабилитологов в послеоперационный период, исполнять все их требования, касающиеся физических упражнений и посещения физиотерапевтических процедур, а также в установленные сроки приходить на плановый осмотр к основному лечащему врачу. Только в таком случае к концу 3-го месяца можно рассчитывать на благополучный исход.

По состоянию шва можно судить о процессах заживления внутри сустава. Вы видите спокойный, хорошо заживающий шов

Через 6 месяцев он будет выглядеть как на фото
К возможным интраоперационным последствиям относят кровотечение, что происходит в единичных случаях. Значительные кровопотери оперативно восполняются донорским запасом крови, заготовленным еще до операции. Инфицирование и аллергический ответ на анестезию тоже маловероятны, если установка проходит с соблюдением всех норм. В течение первого месяца после состоявшейся артропластики встречаются следующие осложнения (вероятность невелика, но присутствует):
- ; в венозном русле конечности;
- тромбоэмболия;
- жировая эмболия;
- расхождение швов и открытие раны;
- вывих протеза, смещение надколенника;
- нарушение чувствительности в зоне колена;
- повышение местной и общей температуры вследствие локального воспаления или попадания инфекции.
Патологические реакции, которые развиваются в отдаленный период (по прошествии 4 недель и позже):
- расшатывание, смещение, нестабильность искусственных компонентов; , в которую он вставлен;
- образование грубых наростов, рубцов вокруг устройства;
- суставно-мышечная контрактура;
- хронические боли; .

Травмы опасны для людей перенесших такую операцию, поэтому берегите себя как минимум первое время, пока нога не окрепла достаточно.
Корригирующая остеотомия коленного сустава

Что такое корригирующая остеотомия коленного сустава?
Это оперативное вмешательство, при котором, путем хирургической манипуляции на большеберцовой или бедренной кости, достигается эффект смещения круговой оси распределения нагрузки на нижнюю конечность и придания ей более физиологического положения.
Операция корригирующая остеотомия обрела свое второе рождение в начале 2000 - х годов, до этого времени общепризнанным методом лечения артрозов, вне зависимости от возраста пациента, считалось эндопротезирование коленного сустава. В последнее время восторжествовала точка зрения, что пока пациент относительно молод (до 60 лет), регенеративные особенности его организма относительно велики, а в самом колене еще не произошло необратимых изменений, приводящих к его почти полной неподвижности и изнашиванию рабочих поверхностей на большой площади, корригирующая остеотомия позволит сохранить человеку его собственный сустав при минимальной величине оперативного доступа. При этом в послеоперационном периоде возможно полное восстановление функции колена с сохранением всех видов физической нагрузки и без снижения трудоспособности.
При каких повреждениях проводится манипуляция
При гонартрозах происходит неравномерное распределение нагрузки на суставные поверхности. Чаще всего встречается два вида такого распределения:
- варусная деформация конечностей (ноги - «колесом») - наиболее частый вид патологии, при котором поражены внутренние поверхности сочленения;
- вальгусные колени (Х-образные) - когда изношены внешние поверхности суставов.

Операция проводится только в том случае, если суставные поверхности повреждены неравномерно, только с одной стороны колена. В случае тотального поражения (как при ревматоидном артрите), рассматриваемое вмешательство полностью бесполезно и абсолютно противопоказано.
Суть операции и результат
Основной целью вмешательства является равномерное распределение давления и трения по коленному суставу, с уменьшением этого воздействия на наиболее пораженные области за счет загрузки более сохранившихся и работоспособных.
В результате происходит смещение оси нагрузки на конечность, придание ей более физиологического положения, и, как следствие, - более сбалансированное распределение нагрузки (а она, напомним, составляет при ходьбе - около четырех масс тела на одно колено, при беге - порядка восьми), и уменьшение давления на «больную» область поверхности сустава.
Достоинства метода
- Относительно малая инвазивность вмешательства. Операционный доступ осуществляется путем надреза всего около одного сантиметра;
- следует из предыдущего. Данная манипуляция далеко не всегда требует наркоза, и в подавляющем большинстве случаев проводится с применением регионарной, - спинальной или эпидуральной (реже) анестезии;
- в результате проводимой манипуляции пациент выписывается из клиники с полностью своим, сохраненным коленом, и, при соблюдении ряда условий, возможно полное восстановление его функций;
- продолжительность операции - около полутора часов, она хорошо изучена, с наработанным многолетним опытом;
- длительность пребывания в стационаре - около трех суток;
- время на возвращение полного объема активности конечности - около двух месяцев.
Что предпочтительнее: эндопротезирование коленного сустава или корригирующая остеотомия?

С этим вопросом можно встретиться в обсуждениях как среди пациентов, так и в профессиональном сообществе. Хотя, объективно, вопрос о выборе между этими манипуляциями может решаться только при наличии противопоказаний к операции по методу корригирующей остеотомии.
Во всех остальных обстоятельствах, варианта, как правило, два:
- у корригирующей остеотомии костей не может быть альтернативы в виде эндопротезирования, поскольку она направлена на решение совершенно других задач и назначается по другим показаниям;
корригирующая остеотомия не может быть заменена на протезирование, поскольку является лишь этапом в стратегии лечебных мероприятий, завершающим из которых и будет являться эндопротезирование коленного сустава.
- возраст - до 60 лет. В молодом возрасте регенерация тканей, а значит и реабилитация, происходят быстрее и надежнее. В пожилом возрасте операция выбора - полная замена сустава эндопротезом;
- отсутствие признаков ожирения. Излишний вес сведет на нет все положительные эффекты операции очень быстро, облегчение будет недолгим. Запускается порочный круг: лишняя масса тела, как следствие, - повышенная нагрузка на колено, в итоге - рецидивирующее течение артроза;
- рахитические изменения костной ткани. Дает как снижение износа поверхностей коленных суставов, так и исправление косметических дефектов;
- деформирующий артроз, гонартроз. В совокупности с остальными рекомендациями - это главное и основное показание;
- неправильно консолидировавшиеся переломы нижних конечностей и укорочение одной из нижних конечностей, - принцип тот же. Перераспределение нагрузки с последующим автоматическим выравниванием конечностей;
- остеомиелит. При лечении данной патологии иссекается пораженный инфекцией участок кости и заменяется аутоимплантом. Таким образом, удаляется очаг гнойного процесса, а за счет аутоимплантации костной ткани ускоряются процессы регенерации.
Противопоказания для проведения корригирующей остеотомии
- признаки избыточной массы тела. Индекс массы тела более 30-35;
- возраст более 60 лет;
- ревматоидный артрит;
- выраженные явления остеопороза и повышенная хрупкость костной ткани;
- иммунодефицитные состояния, генерализованные инфекции;
- сопутствующие тяжелые или находящиеся в стадии обострения болезни внутренних органов;
- сахарный диабет, онкологические заболевания.
Цель корригирующей остеотомии коленного сустава
Конечных целей, которые ставятся ортопедом при назначении оперативного лечения, может быть несколько, и зависят они от стратегической задачи:
- может использоваться, в качестве многолетней комплексной терапии артроза - как промежуточное звено в цепи последовательной смены тактик лечения, от консервативного и физиолечения до радикального протезирования сустава;
- применяется в качестве самостоятельного и основного метода лечения при некорректно консолидировавшихся переломах, для устранения врожденных и приобретенных косметических дефектов нижних конечностей, при наличии анкилозов и ложных суставов.
Как проходит операция
Смысл проводимого оперативного вмешательства заключается в том, что на кости со стороны наибольшего поражения сустава делается надрез, отверстие необходимой формы. После этого в это отверстие помещается необходимое количество собственного костного или хрящевого вещества, благодаря чему конечность как бы отводится в сторону, отклоняется по оси тела в противоположном от патологического процесса направлении.

Остеотомия с металлоконструкцией
Далее, участок кости, на котором произведен надрез с помещенным туда костным аутоимплантом, фиксируется титановой пластиной при помощи винтов. Затем доступ ушивается, а конечность иммобилизируется при помощи шины или лангеты. В наложении гипса необходимости нет.
Виды хирургических техник
- по виду доступа - открытая и закрытая. Существуют ситуации, когда открытый доступ, несмотря на большую инвазивность (когда оголяется поверхность кости, а ширина разреза составляет 10 - 12 сантиметров), - предпочтительнее. Необходимость в таком виде вмешательства обусловлена повышенным риском повреждения нервов и сосудов в ходе операции;
- по уровню выполнения вмешательств. В зависимости от локализации патологического процесса и поставленной цели, иссечение производится на бедренной кости или на большеберцовой. На последней, в свою очередь, осуществляются высокая и низкая тибиальные остеотомии;
- по способу иссечения костной ткани - клиновидная, поперечная, прямая, косая, шарообразная;
- по характеру коррекции - открывающая, закрывающая.

Остеотомия коленного сустава: визуальное изображение процедуры.
Реабилитация
Реабилитационные мероприятия после корригирующей остеотомии коленного сустава с использованием пластин с угловой стабильностью, продолжаются, как правило, не более четырех недель. Нередки случаи, когда срок реабилитационных мероприятий может значительно увеличиться. Связано это с индивидуальными особенностями пациента, но самая большая доля в таких случаях приходится на игнорирование рекомендаций лечащего врача и несоблюдение условий и сроков мероприятий постоперационного периода. При строгом следовании плану реабилитации, шанс на развитие осложнений или затягивание процесса заживления минимален.
Первые комплексы упражнений лечебной физкультуры пациент начинает выполнять еще во время своего нахождения в стационаре (фаза стационарного лечения занимает от трех дней до недели). В послеоперационный период после корригирующей остеотомии коленного сустава реабилитационные мероприятия направлены, в первую очередь, на восстановление кровообращения и поддержание полноценной трофики конечности. В это время показаны упражнения на сгибание и разгибание ноги в колене, массажи стоп и бедер, симптоматическая, общеукрепляющая, антибактериальная терапия и антикоагулянты, холод на ногу. Пациент ходит на костылях (около трех месяцев), нагружать оперированную конечность абсолютно противопоказано.
Главная роль в реабилитации принадлежит лечебной физкультуре. Нагрузку на сустав постепенно следует увеличивать. Количество упражнений ЛФК и их продолжительность увеличиваются, на более поздних этапах назначаются занятия на велотренажере, плавание. В период восстановления обязательны физиотерапевтические процедуры.
Весь период реабилитации и полное восстановление работоспособности занимают от полугода до года.
Замена коленного сустава: что это, видео-фото операций, технологии, сроки восстановления
Замена коленного сустава (ЗКС) - метод хирургического лечения последствий дегенеративно-дистрофического патогенеза колена. Цель операции полное восстановление функций проблемного отдела конечности за счет замены необратимо пораженного сочленения эндопротезом. Гонартроз 3-й степени (в 85% случаев) самая частая причина.

Артроз коленного сустава на рентгене.

А так выглядит пораженный сустав через артроскоп. Обратите внимание на площадь отсутствия хрящевой поверхности.
Примерно в 98% случаев операция прогнозирует благоприятный исход. По окончании качественной реабилитации двигательно-опорные функции полностью восстанавливаются, болезненная симптоматика исчезает, человек возвращается к нормальной здоровой жизни. Эффект от успешно пройденного лечения сохраняется более чем на 15 лет.
Показания к замене
Посмотрите на рентген, на нем вы видите, до какой степени при запущенном гонартрозе изношен гиалиновый хрящ, обеспечивающий гладкое скольжение суставных поверхностей. Концевые участки костей грубо деформируются нарушая функции сгибания и разгибания конечности вызывая интенсивный болевой синдром.
Сравнение здорового и пораженного сустава.
Когда операции не миновать
Хирургическое техники
Согласно диагнозу, возрастным и весовым критериям, физическим данным и сопутствующим заболеваниям, специалист выбирает наиболее эффективную тактику имплантации:
- - протезированию подлежит только одна из полукруглых возвышенностей бедренной кости с подлежащим к ней проксимальным фрагментом большеберцовой кости (применяется у пожилых пациентов и у лиц с низкой физической активностью);
- тотальная операция (полная) - меняется весь коленный сустав, он удаляется полностью, а на его место имплантируется эндопротез;
Неполные имплантаты, устанавливаемые при частичной замене, имеют короткий срок эксплуатации. Такие модели вырабатываются в 2 раза быстрее, чем тотальные конструкции, при этом их потенциал прочности не рассчитан на высокой степени физические нагрузки. Преимущества частичного протезирования состоят в том, что замещается имплантатом только определенная часть сочленения, остальная область остается нетронутой. Таким образом, щадящее вмешательство позволяет сократить сроки реабилитации и перенести восстановительный период относительно легко.
Две техники операции у одного пациента.
Какие бывают эндопротезы?
Протезные системы бывают с подвижной или неподвижной платформой, а также предусматривающие сохранение или удаление задней крестообразной связки. Различаются по виду фиксации, она может быть цементной, бесцементной и комбинированной.
- Подвижные и неподвижные платформы. Большинству пациентов ставят имплантат с амортизирующим вкладышем, который плотно связан с большеберцовым элементом, то есть изделия с неподвижной платформой. Наличие же мобильного вкладыша внутри металлического большеберцового компонента требует хорошего состояния мышечной системы и капсульно-связочного аппарата, в противном случае может произойти смещение протеза.

Имплантант позволяет осуществлять движения в двух плоскостях.


Все чаще применяется керамический бедренный компонент вместо металлического. На изображении степени износа поверхностей. Керамика совершенно не повреждается.
Внимание! Имплант может прослужить от (от 15 до 30 лет), но при условии качественной замены коленного сустава и реабилитации.
Как получить квоту на замену коленного сустава?
Квота в 2018 году положена официально признанным инвалидам по причине гонартроза. В рамках программы ВМП на получение квоты могут рассчитывать люди, нуждающиеся в ревизионном (повторном) вмешательстве, если первичная процедура была выполнена некорректно, что повлекло за собой осложнения.
Чтобы бесплатно прооперироваться, вам потребуется стать в очередь на замену проблемного коленного сочленения эндопротезом. Что для этого нужно?
- Сначала вы проходите все необходимые обследования в своей поликлинике, где стоите на учете.
- Далее полный пакет медицинской документации, включающий все диагностические результаты, выписку из истории болезней, письменное заявление пациента, ксерокопии паспорта, свидетельства ОПС и полиса Обязательного медицинского страхования, заверяет главврач.
- Затем заверенную документацию отсылают на рассмотрение в квотный отдел местного органа здравоохранения. Там ее изучают и дают согласие, о чем вы будете проинформированы, документы отправляют в клинику, которая специализируется на установке коленных имплантов.
- Клиника оповещает местный ОЗ о дате хирургического сеанса. Городской орган здравоохранения связывается с вами и вы должны будете прийти и забрать направление на операцию. В направлении будут точно указаны дата запланированного вмешательства и клиника, где вам будет оказана ВМП.
После одобрения местным органом здравоохранения вам потребуется еще ждать от 3 месяцев до 1,5 года, когда пригласят в ту или иную больницу на лечение.
Где делают замену коленного сустава
Желательно оперироваться в Москве или Санкт-Петербурге в больницах федерального типа при НИИ, там, по сравнению с другими клиниками, практикуют лучшие хирурги России.
Где лучше сделать замену коленных суставов за рубежом? Однозначно, в Чешской Республике, цены в клиниках ЧР намного ниже, чем в других знаменитых странах медицинского туризма.
Речь будет о том, как подготовиться, чтобы после перенесенного эндопротезирования вы легко восстанавливались.
- Во-первых, начните заниматьсялечебной физкультурой, минимум за 2-3 месяца до намеченной процедуры. Лучше, если вы будете посещать занятия под контролем ЛФК-инструктора. Превосходно на повышение выносливости мышц оказывает плавание в бассейне и аквагимнастика, поэтому возьмите это обязательно на заметку.

Делайте хотя бы минимальные движения.

С лишним весом: хуже заживает шов, сложнее анестезия, труднее и дольше реабилитация, быстрее износ эндопротеза.
Борьба с вредными привычками. За 3 месяца бросьте курить, исключите прием алкогольных напитков, и больше никогда не возвращайтесь к ним. И первое, и второе - злобные враги, угнетающие естественные возможности организма к регенерации травмированных в ходе операции тканей, в том числе к противостоянию всем возможным интра- и постоперационным негативными явлениями.

Курение замедляет процессы регенерации, откажитесь от него.
Подготовьте свое жилище:
- Первое, что необходимо сделать, это надежно прикрепить поручни в туалете и ванной комнате, которые будут служить до вашего выздоровления в качестве страховочных элементов.
- В вашем доме или квартире ничего не должно мешать передвижению и не выступало потенциальной причиной травматизма. Поэтому уберите коврики, телефонные и электрические кабели с полов, предметы мебели стоящие посередине комнат.
- Чтобы принимать правильную позу при посадке на стул или принятии положения лежа, не сгибая конечность более чем на 90 градусов, надо возвысить все поверхности для лежания и сидения.
- Все предметы и вещи первой необходимости должны находиться на доступном уровне, чтобы вам не пришло в голову вдруг за ними тянуться, наклоняться, приседать и, не дай бог, становиться на табуреты и прочие подставочные элементы.

Очень полезная в быту вещь.
Хирургический процесс
Замену коленного сустава проводят под эпидуральным наркозом. Анестезирующий препарат вводят в эпидуральное пространство позвоночника, что вызывает полное блокирование болевой чувствительности нижних конечностей, при этом пациент остается в сознании.
Как хирург видит сустав во время операции.
Этапы классической операции:
- Сначала выполняется широкая антисептическая обработка кожных покровов проблемной ноги, после конечность покрывают пленкой.
- Дальше хирург совершает разрез мягких тканей на передней стороне колена, аккуратно обнажая пораженный сустав.
- После открытия сочленения патологические наросты и свободные костно-хрящевые фрагменты удаляются.
- Костные единицы выравнивают по оси, снимаются поверхностные слои с бедренной и большой берцовой кости, затем опиленные компоненты шлифуются.
- В большеберцовой кости создается небольших размеров канал, в который погружают заднюю втулку протеза. Этот плоское металлическое или керамическое плато повторяющее геометрию краевого костного участка, с упругой полимерной вкладкой.
- На обработанную бедренную кость фиксируется часть эндопротеза, которая по форме имитирует естественные округлости нижнего участка кости бедра.
- По окончании процедуры рана обильно промывается, выполняется гемостаз, ставится дренажная система, разрез послойно ушивается по технике узлового шва. Завершает операционный процесс наложение на конечность тугой стерильной повязки.
Хирургический процесс длится в среднем 2 часа. Когда операция по замене коленного сустава окончена, больного на несколько часов переводят в реанимационное отделение. В блоке интенсивной терапии медицинский персонал осуществляет внимательный контроль над всеми жизненными циклами организма. Потом прооперированный человек переводится в обычную палату, где начинают реализовывать комплексную программу реабилитации, специально разработанную для конкретного пациента.
Сроки восстановления
2,5-3 месяца, это время, которое необходимо для того, чтобы искусственная конструкция окончательно прижилась и разработалась, а пациент полностью адаптировался к жизни с новым суставом.
Хорошо заживающий шов примерно на 10 день после операции.
Весь восстановительный период может продлиться 2,5-3 мес., а иногда и до полугода. Без реабилитации смысла в пройденной замене коленного сустава нет. Поэтому:
- не игнорируйте обязательный восстановительно-лечебный процесс, не сокращайте его сроки;
- проходите физиотерапевтические процедуры и занятия ЛФК;
- восстанавливайтесь в хорошем профильном медицинском заведении;
- соблюдайте ограничения и все медицинские рекомендации(хождение на костылях и с тростью, соблюдение угла сгибания конечности и пр.).
Прошло 6 месяцев.
Необходимо всю жизнь соблюдать особенный график физической активности, так сказать, в щадящем режиме. В не являетесь инвалидом, вы - физически здоровый человек, но, имея протез, нуждаетесь в соблюдении правил:
- не совершать интенсивные махи ногами;
- глубоко и резко не приседать;
- не поджимать под себя ноги и не становиться на колени;
- не прыгать и не спрыгивать с возвышенных объектов;
- не заниматься командными видами спорта (футбол, баскетбол и пр.);
- вести активный образ жизни, отдавая предпочтение нетравматичной физкультуре (плавание, скандинавская ходьба, пеший туризм, облегченная езда на велосипеде, аквагимнастика и др.)
- дозировать нагрузки, не допуская физической перегрузки и рационально комбинируя активность с отдыхом;
- всегда посещать плановые обследования и т. д.
Важно осознавать, что функциональность протезированной ноги теперь полностью зависит от состояния мышечного комплекса. Вашими пожизненными рекомендациями являются регулярные занятия ЛФК. Тренировки после пройденного реабилитационного курса можно выполнять в домашних условиях.
Ни возраст, ни высокая масса тела не являются основанием для отказа в проведении операции. Процедура противопоказана, если имеются:
- неконтролируемый сахарный диабет и диабет в стадии декомпенсации;
- тяжелые пороки сердечно-сосудистой системы;
- почечные заболевания, характеризующиеся нарушенной азотовыделительной функцией почек (почечная недостаточность и пр.);
- печеночная и легочная недостаточность 2-3 ст.;
- любые хронические заболевания в фазе обострения;
- локальный и общий инфекционно-воспалительный, гнойный очаг;
- серьезные состояния иммунодефицита;
- парез или паралич конечностей;
- тяжелые формы остеопороза;
- выраженные тромбы в венах нижних конечностей;
- тяжелые нервно-психические расстройства.

Так может выглядеть рана у диабетика.
Риски операции
Показатель вероятности осложнений, как мы ранее упоминали не превышает 2%. В России — 6%, это:
- ;
- тромбоз глубоких вен ног и легочная тромбоэмболия;
- расшатывание и нестабильность протеза;
- вывихи, подвывихи, перелом эндопротеза; ;
- упорная боль и контрактура.

Инфекция одно из самых трудно излечиваемых осложнений.
Почему все эти отрицательные реакции происходят? В основном они обусловлены несоблюдением технологических принципов при постановке имплантата, некорректно подобранным видом протеза, неудовлетворительными условиями в операционном блоке, некачественной реабилитацией, всевозможными травмами конечности на любом сроке после операции и игнорированием исполнения правил, касающихся физического режима.
Читайте также:
- Патология верхних дыхательных путей. Деформация челюсти при патологии дыхательных путей.
- Этажи барабанной полости. Наружная и внутренняя стенки барабанной полости
- Иглодержатель. Иглодержатели Гегара. Надевание нитки на хирургическую иглу. Как держать иглодержатель гегара в руках?
- Зависимость от алкоголя
- Анальная интраэпителиальная неоплазия (АИН)
