Предплюсне-плюсневые суставы. Сустав Лисфранка. Ключ сустава Лисфранка. Плюснефаланговые сочленения. Движения в суставах стопы.
Добавил пользователь Евгений Кузнецов Обновлено: 01.11.2025
, lig. plantare longum. Компактный, прочный тяж, направляющийся от бугра пяточной кости вперед к os cuboideum и основаниям II - V плюсневых костей. Удерживает продольные своды стопы. Рис. А.
Подошвенная пяточно-кубовидная связка
Подошвенная пяточно-ладьевидная связка
, lig.calcaneonaviculare plantare. Располагается медиально от предыдущей связки и увеличивает размеры суставной впадины для сочленения с головкой таранной кости. Однако это классическое утверждение является спорным, т.к. со стороны caput tali связка слабо натянута и не содержит волокнистого хряща. Рис. А.
Подошвенные клиноладьевидные связки
, ligg. cuneonavicularia plantaria. Группа связок, соединяющих ладьевидную кость с расположенными кпереди от нее клиновидными костями. Рис. А.
Подошвенная кубовидно-ладьевидная связка
, lig. cuboideonaviculare plantare. Идет почти под прямым углом к оси стопы на ее подошвенной поверхности. Соединяет кубовидную кость с ладьевидной и участвует в укреплении поперечного свода стопы. Рис. А.
Подошвенные межклиновидные связки
, ligg. intercuneiformia plantaria. Расположены на подошвенной поверхности стопы между клиновидными костями. Укрепляют поперечный свод стопы. Рис. А.
Подошвенная клинокубовидная связка
Предплюсне-плюсневые суставы
, articulationes tarsometatarsales. Сочленения между костями предплюсны и плюсны. Рис. А, Рис. Б, Рис. В.
Тыльные предплюсне-плюсневые связки
Подошвенные предплюсне-плюсневые связки
Межкостные клиноплюсневые связки
, ligg.cuneometatarsalia interossea. Лежат между клиновидными и плюсневыми костями внутри полости соответствующих суставов. Рис. В.
Межплюсневые суставы
Межкостные плюсневые связки
, ligg. metatarsalia interossea. Фиброзные пучки между основаниями плюсневых костей. Находятся дистальнее полости межплюсневых суставов. Рис. В.
Тыльные плюсневые связки
Подошвенные плюсневые связки
, ligg. metatarsalia plantaria. Находятся на подошвенной стороне стопы между основаниями плюсневых костей. Рис. А.
Межкостные промежутки плюсны
, spatia interossea metatarsi. Пространство между телами плюсневых костей, заполненное одноименными мышцами. Рис. А.
Плюснефаланговые суставы
Коллатеральные связки
Подошвенные связки
, ligg.plantaria. Укрепляют с подошвенной стороны капсулу плюснефаланговых суставов. Волокна этих связок срастаются с проксимальными фалангами и головками плюсневых костей, образуя ложе для сухожилий мышц-сгибателей. Рис. А.
Глубокая поперечная плюсневая связка
Межфаланговые суставы стопы
, ligg. plantaria. Укрепляют c подошвенной стороны капсулу межфаланговых суставов. редплюсны. (См.24 - 31).
Предплюсне-плюсневые суставы. Сустав Лисфранка. Ключ сустава Лисфранка. Плюснефаланговые сочленения. Движения в суставах стопы.
- Обувь по индивидуальной ортопедической колодке
Своды стопы
Стопа состоит из 28 костей и 34 суставов, из них 18 выпукло-вогнутые и 16 плоские. Все кости объединены в предплюсну, плюсну и пальцы. Кости предплюсны следующие: таранная, пяточная, кубовидная, ладьевидная, 1, 2, 3 клиновидные; кости плюсны: 1, 2, 3, 4 и 5. Все пять пальцев содержат 14 костей: у большого пальца имеется 2 фаланги, а у 2, 3, 4 и 5 пальцев — по 3 фаланги. Положение стопы в кинематической цепи нижней конечности связано с положением голени. Во время роста скелета вальгус стопы и низкий свод способствуют вторичному повороту бедра и коленного сустава во внутрь. После окончания роста высота свода и угол между большеберцовой и пяточной костями влияют на положение оси коленного сустава во фронтальной плоскости. Чем ниже свод стопы, тем больше ее вальгус, тем сильнее вальгус коленного сустава и тем сильнее наклонена голень во внутрь. Вальгус способствует пронации стопы, растяжению связок по внутренней поверхности коленного и голеностопного суставов, а также подошвенного апоневроза, что влияет на функцию всей нижней конечности.
![]() | Рис. 1. Стопа, вид снаружи. Вилка голеностопного сустава удерживает таранную кость, под которой расположена пяточная кость, соединенная спереди с кубовидной костью |
![]() | Рис. 2. Стопа, вид изнутри. На подошвенной поверхности видна прыжковая связка и апоневроз |
Кости стопы формируют продольную и поперечную арки или своды. Продольная арка находится в сагиттальной плоскости и имеет протяженность от пяточного бугра до плюсне-фаланговых суставов. Продольный свод стопы состоит из внутренней и наружной арок. Внутренняя арка включает в себя 5 костей: пяточная, таранная, ладьевидная, 1 клиновидная и 1 пястная. Наружная арка состоит их трех костей: пяточная, кубовиидная, 5 плюсневая. Свод имеет форму арки, которая образована жесткими костными полудугами и основанием в виде подошвенного апоневроза.
![]() | Рис. 3. Продольный (красный) и поперечный (синий) своды стопы |
![]() | Рис. 4. Продольный свод стопы: пяточная, ладьевидная, клиновидная, плюсневая, основная и ногтевая фаланги |
Свод удерживается прыжковой связкой и подошвенной фасцией или подошвенным апоневрозом, который проходит через весь пролет арки. Подошвенный апоневроз расположен на подошвенной поверхности. Он является пассивным антагонистом трехглавой мышцы и проявляет свою функцию в зависимости от фазы ходьбы, которая связана с работой трехглавой мышцы голени. Апоневроз испытывает значительное растяжение, вызванное аксиальной нагрузкой и движением в плюсне-фаланговых суставах. Фасция представляет собой стабилизатор, функцией которого является затяжка арки и ее удержание. На подошвенной поверхности стопы расположены прыжковая связка. По сравнению с апоневрозом, прыжковая связка находится ближе к костям. Связка обладает низкими эластичными свойствами и препятствует смещению таранной кости.
В сагиттальной плоскости соотношение костей заднего, переднего отделов стопы и подошвенного апоневроза представлено в виде треугольника, две стороны которого идут от места, где ось голени пересекает поверхность голеностопного сустава и третья сторона идет по подошвенному апоневрозу.
![]() | Рис. 5. Подошвенный апоневроз соединяет пяточную кость и фаланги пальцев стопы |
![]() | Рис. 6. Апоневроз стопы наподобие пружины стягивает передний и задний отделы стопы |
Во фронтальной плоскости имеется поперечная арка стопы. Поперечный свод стопы состоит из 10 костей. Проксимальную часть арки составляет суставная поверхность пяточной и таранной кости, с которыми соединены кубовидная и ладьевидная кости, образующие пяточно-кубовидный и таранно-ладьевидный суставы. Кости расположены под углом друг к другу, что образует вогнутость по подошвенной поверхности стопы. Медиальней кубовидной кости расположены три клиновидные кости. Они обладают формой, широкой к тылу и узкой к подошве, благодаря чему образуется наиболее выпуклая часть арки. Кубовидная и клиновидные кости соединяются со всеми пятью плюсневыми костями в предплюсне-плюсневом суставе или суставе Шопара. Кости повторяют форму арки, формируют ее дистальную часть и придают ей глубину и высоту. Ближе к пальцам происходит уплощение поперечной арки. В области плюсне-фаланговых суставов свод сохраняется в молодом возрасте, а затем, в зрелом состоянии, распластывается под влиянием веса тела.

Рис. 7. Поперечный свод стопы. Кости плюсны: 1, 2, 3 клиновидные и кубовидная кости. Предплюсне-плюсневый сустав: 1, 2, 3, 4 и 5 плюсневые кости.

Рис. 8. Соотношение высоты (А) и длины (В) продольного свода
Жесткость свода стопы считается по тому, как он изменяется под нагрузкой. При переходе от сидения к стоянию нагрузка на стопу увеличивается на 40%. Жесткость свода представляет собой частное от деления 40% веса тела на разницу между индексом стопы сидя и индексом стопы стоя. Жесткость зависит от строения и пола. Свод стопы у женщин менее жесткий, чем у мужчин. У лиц с высоким сводом имеется повышенная жесткость стопы. У одного и того же человека жесткость стоп слева и справа одинакова.
Высота свода является одним из факторов, влияющего на величину реакции опоры, которая передается на нижние конечности. В ходьбе при низком своде имеется запаздывание пика реакции опоры и снижение вертикальной составляющей реакции опоры. При высоком своде имеется увеличение скорости вертикальной составляющей реакции опоры, уменьшение угла сгибания коленного сустава в фазу опоры на всю стопу и раннее начало сокращения латеральной порции четырехглавой мышцы.
Движение стопы осуществляется несколькими мышцами:
![]() | Рис. 9. Мышцы и сухожилия на тыльной поверхности голени и стопы |
![]() | Рис. 10. Мышцы стопы на подошвенной поверхности |
• Передняя большеберцовая мышца выполняет ряд функций. 1. Стабилизация стопы во фронтальной плоскости. 2. Разгибание стопы, в результате чего таранная кость входит в вилку голеностопного сустава своей широкой частью. 3. Подъем медиального края стопы, уменьшение нагрузки на медиальные связки. 4. Препятствование подворачиванию стопы в ходьбе.
• Длинная малоберцовая мышц. 1. Разгибание стопы, благодаря чему таранная кость занимает в вилке более устойчивое положение. 2. Пронация стопы, подъем ее наружного края, что центрирует таран в вилке голеностопного сустава и способствует установке стопы на опору. 3. Стабилизация суставов предплюсны и 1 плюсневой кости, удержание пяточно-кубовидного сустава.
• Трехглавая мышца делает отталкивание стопы от опоры во время ходьбы. Сокращение мышцы вызывает компрессию пяточной и таранной костей, что стабилизирует подтаранный сустав и обеспечивает устойчивое положение заднего отдела стопы при контакте с опорой.
• Квадратная мышца подошвы идет от нижней части пяточной кости и прикрепляется к сухожилию длинного сгибателя пальцев. Мышца регулирует натяжение длинного сгибателя пальцев и выпрямляет его сухожилие.
• Короткий сгибатель пальцев идет от пяточной кости и от подошвенного апоневроза. Он дает 4 сухожилия, каждое из которых прикрепляется к проксимальной фаланге 2-3-4-5 пальцев стопы, сгибает пальцы и укрепляет свод стопы.
• Мышцы тыльной поверхности стопы. Короткие разгибатели пальцев и короткий разгибатель 1 пальца вместе начинаются от пяточной кости и затем разделяются на 5 мышц, которые идут вместе с сухожилиями длинных разгибателей к 1-2-3-4-5 пальцам. Мышцы разгибают пальцы стопы, стабилизируют пястно-фаланговые суставы. Их роль в поддержании вертикального положения тела меньше, чем роль больших мышц.
Подвижность суставов стопы в разных плоскостях связана с их расположением. В сагиттальной плоскости происходит возрастание суммарной подвижности сегментов в направлении к периферии. Подвижность в голеностопном суставе меньше, чем суммарная подвижность в ладьевидно-1 клиновидном, 1клиновидном-1 плюсневом и 1 плюснефаланговом суставах. Подвижность в таранно-пяточном суставе меньше, чем в таранно-ладьевидном. Подвижность в клиновидно-ладьевидном суставе меньше, чем в 1 плюсне-клиновидном суставе. Во фронтальной плоскости подвижность суставов зависит от того, насколько сустав отдален от продольной оси стопы. Самая большая подвижность имеется в центральной части плюсны. В медиальной части плюсны подвижность больше, чем в центре, в латеральной части плюсны подвижность больше, чем в медиальной части. Подвижность в заднем и переднем отделах стопы являются взаимосвязанными процессами. Подвижность, которая задается в задних отделах стопы, передается в передний отдел стопы через суставы Шопара и Лисфранка. Амплитуда подвижности в суставах стопы увеличивается в дистальном направлении, таким образом, что, незначительные по амплитуде движения в заднем отделе стопы приводят к заметным изменениям движения в переднем отделе стопы. Эверсия и инверсия заднего отдела стопы вызывают аналогичные движения в переднем отделе стопы благодаря тому, что между ними расположены кости и суставы среднего отдела стопы. Эверсия заднего отдела лежит в основе пронации всей стопы, инверсия заднего отдела составляет основу супинации всей стопы. В переднем отделе инверсия стопы способствует увеличению разгибания 1 луча, эверсия способствует его сгибанию. Эверсия заднего отдела придает всем движениям гибкость и эластичность и позволяет осуществить ротацию в переднем отделе. При инверсии в заднем отделе вся стопа приобретает жесткость, необходимую в фазу заднего толчка для отталкивания от опоры. При ходьбе сгибание и разгибание в голеностопном суставе связаны с внутренней и наружной ротацией голени вокруг продольной оси и с пронацией - супинацией всей стопы. Перед контактом с опорой стопа в голеностопном суставе находится в состоянии разгибания. Во время контакта пятки с опорой стопа пронирована, голень ротирована во внутрь. Стопа совершает кратковременное сгибание в голеностопном суставе и прилегает к опоре своей подошвенной поверхностью. Когда стопа прислаивается к опоре, начинается разгибание в голеностопном суставе за счет того, что голень совершает движение сзади наперед по фиксированной стопе. Во время разгибания в голеностопе внутренний разворот голени сменяется на наружный и пронация стопы сменяется на супинацию. Во время отталкивания от опоры стопа согнута и супинировна, голень повернута наружу.
Стабильность всей стопы является многокомпонентным понятием, которое определяется рядом модальностей.
• Гравитационная стабильность стопы возникает за счет веса тела.
• Костная стабилизация осуществляется в 34 суставах. В плоских суставах предплюсны стабилизация осуществляется за счет плотного зацепления суставных поверхностей, что сопровождается высоким трением.
• Связочная стабилизация обусловлена прочностью связок и их расположением на нескольких уровнях.
• Мышечная стабилизация осуществляется мускулатурой, которая расположена вокруг берцовых костей. Спереди это большеберцовая мышца, снаружи - малоберцовые мышцы, сзади - трехглавая, изнутри - задняя большеберцовая мышца. Мышцы, которые расположены по разные стороны от оси движения голеностопного сустава, создают разные моменты, которые находятся в состоянии равновесия между собой. Сгибатели стопы обладают в 3 раза большей силой, чем разгибатели. Самой сильной мышцей является задняя группа мышц голени, которая дает половину силы отталкивания при ходьбе. Сила мышц инверторов и эверторов приблизительно одинакова.
Стопа выполняет функцию контакта с опорой. Контакт зависит от площади стопы и подвижности её суставов. Площадь переднего отдела стопы больше, чем заднего. При ходьбе во время переднего толчка стопа контактирует с опорой задним отделом, поэтому контактная стабилизация небольшая, а во время заднего толчка стопа контактирует широким передним отделом, в результате чего контактная стабильность становится больше. Использование латерального края стопы увеличивает площадь опоры. Использование пальцев, которые обладают большей подвижностью, чем задний отдел, способствует росту контакта стопы с опорой. Для увеличения стабильности пальцев, происходит их сближение друг с другом, что увеличивает межпальцевой контакт и дает рост устойчивости переднего отдела стопы.
Рис. 11. Отпечаток стопы при низком, среднем, и высоком продольном своде стопы
Форма стопы и высота свода оказывают влияние на отпечаток подошвенной поверхности стопы. Отпечаток используют для того, чтобы делать заключение о состоянии свода стопы и диагностировать плоскостопие. На основании этих данных принимают решение о примениии корригирующих ортопедических стелек или обуви.
Рис. 12. Варианты строения стопы и их отпечатки
| Форма стопы и ее отпечаток | Состояние свода. Рекомендации по обуви и стелькам |
![]() | Плоская стопа. Низкий свод стопы в положении сидя и стоя. Показания к ортопедической обуви для удержания всей стопы в ровном положении с берцами для стабилизации заднего отдела стопы |
![]() | Плоская стопа в положении стоя, свод определяется в положении сидя. Показаны индивидуальные ортопедические стельки, сделанные по отпечатку с мететарзальным валиком для р згрузки головок плюсневых костей. Подбор материалов для ортеза делают на основе их эластичности |
![]() | Свод стопы определяется сидя, но при стоянии почти не контурируется. Имеются показания к назначению индивидуальных ортопедических стелек |
![]() | Свод стопы высокий, хорошо виден в положении сидя и стоя. Назначают ортопедические стельки с выкладкой продольного свода |
![]() | Стопа не касается или почти не касается опоры своим наружным краем. Уменьшена площадь опоры стопы, под стопой развивается большое давление, что приводит к омозолелости. Рекомендуют стельки с выкладкой свода. При натоптышах под головками плюсневых костей показан метатарзальный валик. Делают подбор стелечного материала по эластичности |
Для диагностики состояния стопы применяют рентгенологические методы, КТ и МРТ. Рентгенограмму делают в нескольких проекциях. На рентгене видны кости стопы и голеностопного сустава, плотность костей, а также состояние свода стопы. С помощью рентгенологических методов определяют переломы костей, деформации пальцев, дегенеративно-дистрофические заболевания суставов.
![]() | Рис. 13. Рентгенограмма стопы в состоянии свободного виса. При сгибании в голеностопном суставе продольный свод стопы увеличен |
![]() | Рис. 14. Рентгенограмма стопы и голеностопа взрослого человека в разных проекциях. Видны кости, образующие свод стопы |



Рис. 15. Индивидуальные вкладные ортопедические ортезы компании Персей, сделанные по технологии 3D.
Повреждение сустава Шопара
Повреждение сустава Шопара
Строение сустава
Поперечный сустав предплюсны или сустав Шопара состоит из таранно-ладьевидного и пяточно-кубовидного суставов. В обоих суставах есть фасетки овальной формы, ось которых проходит по наибольшему диаметру овала. В нейтральном положении стопы оси находятся под углом, а в положении пронации стопы оси становятся параллельными. В положении супинации угол между фасетками достигает максимума. Он больше, чем угол в нейтральном положении и чем угол в положении пронации. Головка таранной кости имеет выпуклую поверхность, а головка ладьевидной кости, которая сочленяется с ней, имеет, соответственно, вогнутую поверхность. Площадь фасетки таранной кости больше, чем площадь фасетки ладьевидной кости. В сагиттальной плоскости сустав Шопара расположен на расстоянии 32-36% от крайней точки пяточного бугра.

Рис. 1. Сустав Шопара с наружной и внутренней поверхности

Рис. 2. Сустав Шопара по тыльной поверхности стопы. Сустав включает в себя пяточно-кубовидный и таранно-ладьевидный суставы
Сустав Шопара укреплен несколькими связками. На тыльной поверхности сустава имеются 4 связки.
- Вилкообразная пяточно-ладьевидно-кубовидная связка состоит из двух частей - пяточно-ладьевидной и пяточно-кубовидной, которые расположены наподобие буквы V. Связка соединяет между собой пяточную, ладьевидную и кубовидную кости, имеет наибольшее значение для удержания этих костей и носит название «ключа» сустава.
- Тыльная пяточно-кубовидная связка расположена более дорзально, чем вилкообразная.
- Длинная пяточно-кубовидная связка расположена более поверхностно, идет от пяточной к кубовидной кости и своими поверхностными волокнами достигает латеральных плюсневых костей.
- Короткая пяточно-кубовидная связка представляет собой широкое образование, которое имеет длину 2 см.
На подошвенной поверхности есть 3 связки.
1. Пяточно-ладьевидная или прыжковая связка. Связка проходит по подошвенной и медиальной поверхности сустава и состоит из верхне-медиальной и нижней связок, которые образуют аппарат, поддерживающий таранную кость по подошвенной поверхности стопы. Связки противостоят смещению головки таранной кости в медиальном и подошвенном направлении, и, т.о. удерживают продольный свод стопы.
2. Верхне-медиальная связка. Пучки волокон перемежается с участками хряща. Эластические волокна отсутствуют. Верхне-медиальная связка вместе с ладьевидной костью и апофизом пяточной кости образует костно-гленоидальную полость. Это полость вогнутой формы, которая охватывает головку таранной кости. Во время физической нагрузки под давлением таранной кости полость деформируется. При этом связка не растягивается и сохраняет свою длину. Верхне-медиальная связка вплетается в дельтовидную связку голеностопного сустава. Вместе обе связки соединяются с сухожилием задней большеберцовой мышцы. Связки обладают практически одинаковыми механическими свойствами.
3. Нижняя связка. Нижняя связка расположена под верхне-медиальной связкой. Она растягивается под давлением со стороны таранной кости.

Рис. 3. Связки сустава Шопара:
TN - тыльная таранно-ладьевидная связка.
DDC - тыльная пяточно-кубовидная связка (Tafur M.)
В конструкции сустава Шопара имеются 2 опорные колонны. В состав медиальной колонны входят структуры, образующие таранно-ладьевидный сустав, в состав латеральной колонны - структуры, которые образуют пяточно-кубовидный сустав. Отдельные части сустава Шопара неравноценны с функциональной точки зрения. Для движения стопы в нескольких плоскостях таранно-ладьевидный сустав более важен, чем пяточно-кубовидный. Основное движение, которое происходит в таранно-ладьевидном и пяточно-кубовидном суставах - это ротация переднего отдела стопы относительно заднего отдела. Ротация осуществляется вокруг продольной оси, которая расположена в горизонтальной плоскости. Ротация лежит в основе инверсии и эверсии заднего отдела стопы и супинации-пронации всей стопы. Движение в суставе Шопара сопряжены с движением в голеностопном и подтаранном суставах. Разгибание стопы сочетается с эверсией и отведением, сгибание - с инверсией и приведением стопы. Суставы, которые входят в состав медиальной колонны, обладают разной подвижностью. В таранно-ладьевидном суставе сгибание и разгибание превышает подвижность в дистально расположенном ладьевидно-клиновидном суставе. В суставе Шопара происходит 1/5 всей амплитуды сгибания дистального отдела нижней конечности. Строение сустава Шопара позволяет сочетать движения в сагиттальной плоскости с ротацией стопы. Работа сустава Шопара дополняет функцию голеностопного и подтаранного сустава, делает стопу эластичной для прилегания к опоре и создает жесткий рычаг для отталкивания от неё.

Рис. 4. Пронация, нейтральное положение и супинация в суставе во время ходьбы
Стабилизация сустава Шопара происходит во время замыкания таранно-ладьевидного и пяточно-кубовидного суставов, когда идет супинация стопы. При этом натягиваются пяточно-ладьевидная связка, вилкообразная связка и подошвенный апоневроз, который удерживает своды стопы. Стабилизацию осуществляют 3 мышцы: 1) Длинный разгибатель пальцев. 2) Задняя большеберцовая мышца. Обе мышцы продуцируют пару сил, что удерживает медиальную колонну сустава Шопара. 3) Подошвенная мышца, вызывающая сгибание пальцев и стабилизацию суставов по подошвенной поверхности.
Работа сустава связана с фазами ходьбы. В фазу переднего толчка, когда стопа пребывает в положения разгибания в голеностопе, в суставе Шопара имеет место эверсия. Оси таранно-ладьевидного и пяточно-кубовидного суставов параллельны между собой, что минимизирует жесткость суставов плюсны. Средний отдел стопы совершает эверсию в нужном объеме и обеспечивает максимально полное прилегание к опоре переднего отдела стопы. По мере переката стопы происходит сгибание в голеностопном суставе. Стопа переходит из горизонтального в вертикальное положение, в её суставах происходит супинация. Оси таранно-ладьевидного и пяточно-кубовидного суставов во фронтальной плоскости устанавливаются под углом друг к другу, что приводит к замыканию в суставе Шопара. В фазе заднего толчка, когда стопа находится в вертикальном положении, а плоскость сустава перпендикулярна вектору реакции опоры, происходит замыкание сустава для концентрации сил с целью совершить отталкивание от опоры.
Повреждение сустава
Травматическая нестабильность сустава Шопара происходит в результате его повреждения при высокоэнергетической травме. Это падение с высоты с упором на стопу, или падение груза на стопу, либо автодорожная травма у мотоциклиста. Силы, которые травмируют поперечный сустав предплюсны, разделяются в зависимости от направления действия.
- Сила, которая действует в направлении сверху вниз на стопу, если стопа находится на опоре, приводит к подошвенному вывиху или к переломо-вывиху в обоих таранно-ладьевидном и пяточно-кубовидном суставах.
- Сила, которая действует снаружи внутрь, вызывает медиальное смещение переднего и среднего отделов стопы. При травме Шопарова сустава такая сила встречается чаще всего. Представляет собой сочетание инверсии и сгибания стопы под нагрузкой. Вызывает ротацию в таранно-ладьевидном и пяточно-кубовидном суставах, в результате чего происходит вывих ладьевидной кости. Ладьевидная кость смещается в горизонтальной плоскости в медиальном направлении, во фронтальной плоскости - в подошвенном направлении или к тылу. Высокий свод стопы предрасполагает к смещению в подошвенном направлении. Подошвенный вывих сопровождается переломом ладьевидной кости. При разрыве пяточно-ладьевидной связки происходит смещение ладьевидной кости в тыльном направлении. При разрыве прыжковой связки наступает дестабилизация таранно-ладьевидного сустава и опускание головки таранной кости в подошвенном направлении, в результате чего ладьевидная кость вывихивается к тылу и наружу. Повреждение прыжковой связки часто протекает вместе с переломом таранной кости и пяточной кости.
- Сила, которая действует изнутри наружу, возникает при эверсии стопы и приводит к смещению костей среднего и переднего отдела стопы в латеральном направлении. Латеральный вывих сопровождается сдавлением костей латеральной колонны, что приводит к компрессионному перелому кубовидной кости или пяточной кости.
- Сила, которая действует аксиально вдоль оси стопы, вызывает либо перелом ладьевидной кости в центральной части, либо приводит к смещению костей плюсны.
Среди травм сустава до одной четверти составляют вывихи вследствие разрыва связок и более трех четвертей составляют переломо-вывихи. Вывихи без повреждения костей представляют собой редкое явление. В первую очередь поражается пяточно-кубовидный сустав. Разрываются пяточно-кубовидная и пяточно-ладьевидная вилкообразная связки. Происходит эверсия и латеральное смещение костей переднего отдела стопы. При остром повреждении таранной кости и таранно-ладьевидной связки ладьевидная кость ломается по проксимальной суставной поверхности. При переломе ладьевидной кости повреждается капсула сустава Шопара. Изолированный отрыв бугристости ладьевидной кости происходит под действием тяги задней большеберцовой мышцы. Переломо-вывих ладьевидной кости вызывает нестабильность медиальной опорной колонны сустава и первого луча стопы. Перелом кубовидной кости происходит при сдавлении кости во время ротации фиксированной стопы наружу. Отрывной перелом с захватом капсулы пяточно-кубовидного сустава встречается чаще, чем внутрисуставной и внесуставной перелом тела кости. Перелом кубовидной кости происходит при обширных повреждениях сустава Шопара, деструкции опорных колонн и дезинтеграции их костей. Стрессовый перелом кубовидной кости происходит при хронической перегрузке у пациентов с продольно-поперечным плоскостопием, у которых имеется подошвенный фасциит, тендинит задней большеберцовой мышцы, растяжение подошвенного апоневроза, разрыв подошвенной пяточно-кубовидной связки. У пациента происходит гиперпронация стопы во время ходьбы, рост давления в пяточно-кубовидном суставе, рост напряжения в ткани кубовидной кости.
При изолированном вывихе в таранно-ладьевидном суставе происходит смещение ладьевидной кости относительно таранной, в то время, как пяточно-кубовидный сустав остается интактном. Вывих наступает в результате действия приводящей или отводящей силы на стопу, которая находится под нагрузкой. Сила вызывает растяжение связок медиальной опорной колонны. Тыльные связки страдают сильнее, чем связки на подошвенной поверхности стопы. Ладьевидная кость вывихивается в медиальном и подошвенном направлении. Вывих в пяточно-кубовидном суставе происходит при повреждении тыльной и вилкообразной пяточно-кубовидных связок. Смещению костей способствует инверсия в суставе Шопара. Разрыв тыльной связки приводит к дестабилизации пяточно-кубовидного сустава. Критической величиной пяточно-кубовидного угла считается 10°. При величине пяточно-кубовидного угла до 10° имеется повреждение в виде растяжения или частичного разрыва пяточно-кубовидной связки. Вывих считается стабильным, а повреждение - легким. При пяточно-кубовидном угле больше 10° повреждение сустава носит грубый характер, когда у больного имеется разрыв всех пяточно-кубовидных связок, вилкообразной связки, отрыв костного фрагмента от пяточной кости, переломо-вывих с компрессией кубовидной кости, которая сдавлена соседними костями. Разрыв связок пяточно-кубовидного сустава сочетается с повреждением латеральных связок голеностопного сустава.

Рис. 5. Схема костного дефекта при дезинтеграции сустава Шопара
Диспластическая нестабильность поперечного сустава предплюсны представляет собой редкое явление. В норме имеется большая вариативность строения таранно-ладьевидного и пяточно-кубовидного суставов. Более, чем в половине случаев находят расширение латеральной щели пяточно-кубовидного сустава. При дисплазии имеется несоответствие размеров головки тарана и углубления ладьевидной кости. При нестабильности есть слабость пяточно-кубовидной и пяточно-ладьевидной связок. При недостаточности пяточно-ладьевидной связки происходит опускание таранной кости в подошвенном и медиальном направлении, что приводит к снижению свода, развитию продольного плоскостопия и способствует ограничению движений в таранно-пяточно-ладьевидном суставе. При слабости задней большеберцовой мышцы возникает её дисбаланс с мышцей-антагонистом - длинным разгибателем пальцев. Развивается неустойчивость сустава, стопа теряет жесткость в среднем отделе. Во время ходьбы происходит уменьшение силы отталкивания от опоры. Диспластическая нестабильность развивается при врожденном синостозе таранной и пяточной костей, который встречается у 1% людей. В половине случаев процесс носит двусторонний характер и проявляется в подростковом возрасте. Ограничение движения между таранной и пяточной костями вызывает компенсаторное увеличение подвижности в соседних сочленениях. При пронации стопы происходит увеличение подвижности, что ведет к развитию вальгусной деформации стопы с болью при нагрузке. Дестабилизация при дисплазии протекает медленно. Появление стойкой метатарзалгии свидетельствует о нестабильности сустава.
При остром переломо-вывихе в суставе Шопара имеется отек тыла стопы, деформация стопы, смещение её переднего отдела чаще в латеральном направлении, резкая боль в среднем отделе стопы при движениях. При повреждении пяточно-кубовидной и вилкообразной связок имеется отек и боль по наружной поверхности стопы в средней трети и боль при супинации. При хронической нестабильности сустава Шопара определяется недостаточность замыкательного механизма таранно-ладьевидного и пяточно-кубовидного суставов. При нестабильности есть жалобы на боль в стопе при ходьбе, когда человек отталкивается от опоры. Ходьба становится асимметричной
Рентгенологическое исследование
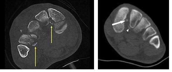
Для диагностики повреждения сустава Шопара делают рентген, КТ и МРТ. На передне-задней рентгенограмме определяют величину пяточно-кубовидного угла. Проводят одну касательную к наружному краю кубовидной кости и вторую касательную к наружному краю пяточной кости. В норме угол между касательными колеблется в пределах от 0 до 5°. Увеличение угла свидетельствует о нарушении стабильности пяточно-кубовидного сочленения. КТ во фронтальной и сагиттальной плоскостях позволяет выявить дефект суставных фасеток, смещение костей при вывихе и фрагментацию костей при переломе. КТ, по сравнению с рентгенографией, является более информативным методом диагностики. МРТ позволяет выявить дефекты отдельных связок.

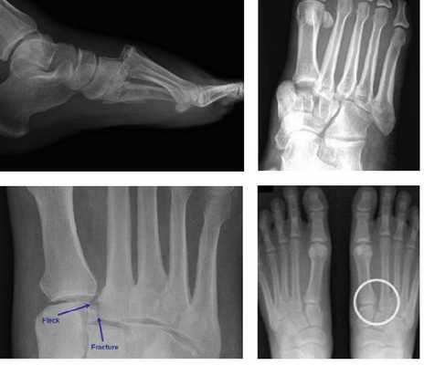
Рис. 6. Отрывной перелом по тылу таранной кости на границе с суставом Шопара

Рис. 7. Перелом кубовидной кости по передней поверхности

Рис. 8. Переломо-вывих в суставе Шопара

Рис. 9. Переломо-вывих в суставе Шопара
Консервативное и оперативное лечение
Показанием к восстановительной операции на костях является укорочение одной из опорных колонн с асимметрией стопы. Кости фиксируют винтом или пластиной. Костная пластика позволяет восстановить размер опорной колонны и симметрию стопы. При переломо-вывихе костную пластику совмещают с пластикой связок сустава. Производят восстановление пяточно-ладьевидной связки, при недостаточности таранно-ладьевидной связки делают сухожильную пластику. У больных с сочетанным нарушением целостности костей и связок срастание разорванных связок происходит, если между костями восстановлены нормальные соотношения.
У больного с повреждением шейки таранной кости делают закрытое вправление, при переломе шейки с ротационной деформацией и дорзальным смещением фрагмента более 5 мм показана операция - открытая репозиция и фиксация отломков, при переломе шейки с разрывом таранно-пяточной связки делают операцию с фиксацией фрагментов спицами или винтом, при нестабильном вывихе в подтаранном суставе делают либо закрытое вправление с фиксацией спицами, либо открытое вправление с применением фиксирующих устройств. Артродез делают по следующим показаниям: нарушение размеров и формы кости, нарушение соотношения между опорными колоннами, нарушение конгруентности таранно-ладьевидного и пяточно-кубовидного суставов, значительное расхождение суставных концов, которое препятствует сращению связок, хронический подвывих в поперечном суставе предплюсны. В далеко зашедших случаях хронической нестабильности артродез позволяет уменьшить боль в стопе и улучшить ходьбу. При разрушении таранно-ладьевидного сустава артродез приводит к диспропорции медиальной и латеральной опорных колонн, что может потребовать дополнительного вмешательства на пяточно-кубовидном суставе для восстановления симметрии. После артродеза срок иммобилизации в гипсовом сапожке составляет не менее 10 недель.
После операции больному показана ортопедическая индивидуальная обувь или вкладные ортезы. В конструкции обуви предусматривают жесткие берцы для удержания пятки в правильном положении. При вальгусной деформации и уплощении стопы делают продленный внутренний берец и супинатор на вкладном элементе. Самую высокую часть супинатора помещают на расстоянии 32-35% дины стопы так, чтобы она приходилась под ладьевидную кость.


Рис. 10. Чрезкожная фиксация костей предплюсны после вправления вывиха в суставе Шопара, стопа в гипсовой лонгете

Рис. 11. Индивидуальные стельки компании Персей, выполненные по технологии 3D

Рис. 12. Индивидуальная обувь компании Персей, выполненная по гипсовому слепку и технологии 3D
Сустав Лисфранка
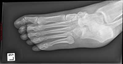
Повреждения в суставе Лисфранка, представленные предплюсне-плюсневыми вывихами и переломовывихами, довольно редкий вид травмы (около 0,2 % от повреждений скелета), более распространены среди мужчин в возрасте 20-30 лет. Ведущей частью повреждения является разрыв капсульно-связочного комплекса между внутренней клиновидной костью и основанием второй плюсневой кости. Повреждения могут варьировать от небольшого подвывиха во втором предплюсне-плюсневом суставе до полного вывиха всего переднего отдела стопы.
Механизм повреждения сустава Лисфранка.
Наиболее частыми причинами повреждений сустава Лисфранка являются ДТП, падения с высоты, и спортивная травма. Наиболее частым механизмом является осевая нагрузка через согнутую в подошвенном направлении стопу и опосредованные ротационные силы.

Другим возможным механизмом может стать плантарная гиперфлексия или прямая травма (например педалью автомобиля) с подошвенной стороны.

При этом травмирующая сила распределяется в направлении сгибания\приведения\осевой компрессии, что приводит к смещению оснований плюсневых костей в тыльную и наружную сторону. Если травмирующая сила достаточно велика, она приводит к переломам плюсневых и клиновидных костей.
Анатомия повреждения сустава Лисфранка.
Выделяют такие анатомические структуры как связка Лисфранка, сустав Лисфранка и суставной комплекс Лисфранка. Суставной комплекс Лисфранка состоит из предплюсне-плюсневых суставов, межплюсневых суставов, межпредплюсневых суставов.
Наиболее важным моментом в понимании повреждений сустава Лисфранка является осознание критической роли связки Лисфранка в стабилизации не только второго предплюсне-плюсневого сустава но и поддержке всего подошвенного свода. Связка Лисфранка состоит из трёх пучков и связывает медиальную клиновидную кость с основанием второй плюсневой кости. Связка Лисфранка препятствует избыточной пронации и абдукции стопы.

В образовании суставного комплекса Лисфранка также участвуют подошвенные предплюсне-плюсневые связки, тыльные предплюсне-плюсневые связки, межпредплюсневые связки.
За счёт большого количества связок и особенностей строения суставов, суставной комплекс Лисфранка является крайне стабильным с небольшой амплитудой движений.
Существует множество клинических и рентгенологических классификаций повреждений сустава Лисфранка, однако ни одна из них не является подспорьем в выборе тактики лечения и мало влияет на прогноз. По этой причине они не будут освещаться в данной статье.
Диагностика повреждений сустава Лисфранка.
Диагностика повреждений сустава Лисфранка сложная задача, которая требует от ортопедического хирурга высокого уровня квалификации и настороженности. До 25 % случаев пропускается при первичном обращении пациента.
Симптомами повреждения сустава Лисфранка являются боль в области переднего и среднего отделов стопы, усиливающаяся при осевой нагрузке. При осмотре определяется кровоподтёк, чаще по подошвенной поверхности, в проекции сустава Лисфранка.

При значительном смещении может быть заметна грубая деформация. Отёк диффузно распространяется по всей стопе. Боль при пальпации в проекции связки Лисфранка.
Для полноценной клинической диагностики переломовывиха в суставе Лисфранка нельзя обойтись без оценки степени нестабильности. Для проведения данных тестов необходима адекватная анестезия. Для выполнения теста захватите 2-5-ую плюсневые кости пальцами одной руки, пальцами другой пальпируйте область сустава Лисфранка с тыльной стороны. При смещении плюсневых костей (второй плюсневой кости) к тылу определяется соответственно тыльная нестабильность, если возможно смещение кнутри или кнаружи, это является признаком тотальной нестабильности и является показанием к оперативному лечению.
Для инструментальной диагностики используются рентгенограммы с\без нагрузки в сравнении со здоровой стороной, при их малой информативности рекомендовано выполнение стресс-рентгенограмм, аналогично приведёному выше тесту на нестабильность.
При рентгенографии все снимки выполняются в сравнении со здоровой стопой. Существует несколько основных рентгенологических признаков повреждения сустава Лисфранка. 1. Отсутствие параллельности медиального края основания 2-й плюсневой и медиального края медиальной клиновидной кости 2. Расширение между основаниями 1 и 2 плюсневых костей 3. Наличие костного фрагмента в области основания 2-1 плюсневой кости 4. Тыльный подвывих на боковой проекции 5. Разрыв линии предплюсне-плюсневого сочленения.


В сложных с диагностической точки зрения случаях целесообразно использование КТ и МРТ.

Классификация повреждений сустава Лисфранка.
Первыми кто предложил классификацию повреждений сустава Лисфранка стали Quenu & Kuss в далёком 1909 году. Они разделили вывихи и переломо-вывихи в суставе Лисфранка на 3 основные группы в зависимости от направления смещения переднего отдела стопы, в 1 группу вошли гомолатеральные вывихи, в которых происходит смещение 2-3-4-5 плюсневых костей кнаружи, во 2 группу вошли медиальные вывихи, при которых 1-2 плюсневые кости смещаются кнутри, а в 3-ю группу вошли дивергирующие вывихи, при которых 1-й луч смещается кнутри а 2-3-4-5 кнаружи.

Классификацию повреждений сустава Лисфранка Quenu & Kuss была творчески переработана и изменена в соответсвии с накопившимися знаниями Hardcastle & Myerson в 1999 году. Учитывая требования международной ассоциации остеосинтеза переломовывихи в суставе Лисфранка были разделены на 3 группы А,В,С в зависимости от тяжести. В группу А вошли медиальный и латеральный подвывихи, в группу В соответсвенно медиальный и латеральный вывихи, а в группу С наиболее тяжёлые дивергирующие повреждения.

Вышеуказанные классификации относятся к переломовывихам, и вывихам в суставе Лисфранка, тяжёлым повреждениям, чаще встречающимся при высокоэнергетической травме, сопровождаемые значительным риском осложнений. Но во второй половине, особенно в конце XX века, в связи со значимым увеличением количества людей занимающихся спортом, возросла и частота низкоэнергетических повреждений сустава Лисфранка. В связи с чем Nunley & Vertullo в 2002 году предложили классификацию изолированных повреждений связки Лисфранка. Чаще всего они возникают при занятиях спортом и других низкоэнергетических травмах, и затрагивают только среднюю колонну стопы - 2-3 предплюсне-плюсневые суставы. Диагностика этих повреждений крайне сложна, так как рентгенологические признаки выявляются только при выполнении рентгенограмм с нагрузкой. Тем не менее это важная ортопедическая задача, так как повреждения 2-3 ст если оставить их не леченными часто приводят в последующем к хроническим болям в стопе и значительному ограничению уровня физической активности.

Лечение повреждений сустава Лисфранка.
Консервативное лечение применяется в случаях изолированного связочного повреждения (нет переломов по КТ), при изолированной тыльной нестабильности. При множественной сопутствующей патологии, низкой мобильности, выраженных нейро-трофических расстройствах нижних конечностей также возможно консервативное лечение.
В остальных случаях рекомендовано оперативное лечение. При подозрении на повреждение Лисфранка всегда надо обращать пристальное внимание на состояние мягких тканей стопы, так как в ряде случаев происходит формирование компартмент-синдрома. При подозрении компартмент синдрома необходимо измерить внутрифутлярное давление, и если оно превышает 30 мм водного столба, выполнить фасциотомию. Это позволит избежать массивного повреждения мягких тканей.

Экстренная операция показана только в случаях компартмент синдрома, открытых повреждений, неустраняемом вывихе. В остальных случаях желательно произвести репозицию, временную иммобилизацию в гипсе, или аппарате наружной фиксации, а затем провести оперативное лечение после спадения отёка.
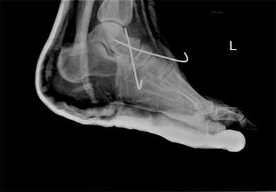
При смещении более 2 мм, нестабильности при функциональных тестах - рекомендовано открытое устранение вывиха с жёсткой фиксацией винтами или пластинами. Используются один или два продольных доступа в 1 и 2 межплюсневых промежутках. После обнажения первого предплюсне-плюсневого сустава первым этапом устраняется межклиновидная нестабильность, вторым этапом устраняется предплюсне-плюсневая нестабильность. В послеоперационном периоде сразу начинается разработка активного объёма движений. Нагрузку на стопу начинают постепенно, с тем чтобы полностью её восстановить к 6-8 неделе. Удаление спиц Киршнера производится через 6-8 недель, компрессирующих винтов через 3-6 месяцев. Возвращение к полной физической активности не ранее 9-12 месяцев после операции.

Открытое вправление вывиха, трансартикулярная фиксация 1-2-3 предплюсне-плюсневых суставов винтами.

Даже при изолированном связочном повреждении со значительной нестабильностью рекомендуется артродез 1-2-3 предплюсне-плюсневых суставов. Данный вид лечения характеризуется меньшим количеством осложнений (таких как посттравматический артроз и миграция металлофиксаторов) чем открытая репозиция с внутренней фиксацией. После операции рекомендуется ношение циркулярной гипсовой иммобилизации 6 недель, ходьба без нагрузки. Постепенное увеличение осевой нагрузки с 6 по 12 неделю.

При прогрессивном коллапсе сводов стопы, хронической нестабильности, прогрессивном наружном смещении переднего отдела стопы рекомендуется артродез всего суставного комплекса Лисфранка. Существует много вариантов выполнения данного вмешательства, с использованием спиц, винтов, скоб и пластин, в зависимости от оснащённости операционной и предпочтений хирурга. После операции потребуется 6 недель гипсовой иммобилизации, полную нагрузку можно давать не ранее 10 недели.

Несращение при выполнении артродеза в суставе Лисфранка встречается крайне редко, но может потребовать ревизионного вмешательства с использованием костно-пластических материалов.
В ряде случаев целесообразно применить смесь хирургических техник. Если рассматривать весь сустав Лисфранка разбив на внутренний, центральный и наружный отделы, то его внутренний (1) и латеральный (4-5) отделы подвижны, хотя и с малой амплитудой, а центральный (2-3) практически не подвижен. По этой причине в хирургической практике часто используется неполный артродез, то есть выполняют артродез 2-3 предплюсне-плюсневых суставов а 1,4,5 временно фиксируют спицами.

Это позволяет сохранить нормальную биомеханику стопы и предотвратить раннее развитие артроза в смежных суставах которое характерно для полного артродеза.
Отдельно стоит разобрать тему разрыва связки Лисфранка с изолированной нестабильностью 2 предплюсне-плюсневого сустава. Частота данного повреждения значительно выросла за последние 50 лет в связи с популяризацией спорта. Также крайне высота частота отсроченной постановки диагноза. При этой патологии пациента беспокоит боль по тыльной поверхности 1-2-3 предплюсне-плюсневых суставов при физической нагрузке. Часто при осмотре удаётся обнаружить деформацию в данной области. Если осмотр производится отсрочено через несколько недель или месяцев после травмы то клинически определить нестабильность уже не удастся, однако на рентгенограммах с нагрузкой будет виден диастаз между медиальной клиновидной костью и основанием 2 плюсневой кости.
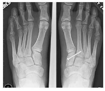
В случаях этого повреждения показано оперативное лечение, открытое устранение подвывиха основания 2 плюсневой кости с фиксацией винтом. Устранение подвывиха производится из доступа в 1 межплюсневом промежутке, рубцовая ткань и остатки связки могут интерпонировать сустав, тогда потребуется их удалить. После вправления производится предварительная фиксация спицей и рентгенологический контроль.
Затем устанавливается винт соединяющий основание 2 плюсневой кости и медиальную клиновидную кость.

После операции следует 6-12 недельный период иммобилизации в жёстком ортезе без осевой нагрузки на ногу. Затем нагрузка постепенно увеличивается до полной в течение 4-6 недель.
Данный метод оперативного лечения эффективен в течение первых 6-8 месяцев после травмы. В случае если с момента травмы прошло больше времени целесообразно выполнение артродеза.
Удаление винта производится через 6-12 месяцев после операции. В случае формирования болезненного посттравматического артрита 2 предплюсне-плюсневого сустава также показано выполнение его артродеза.
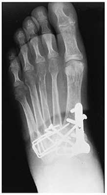
Ниже приведу пример лечения пациента с затарелым вывихом в суставе Лисфранка, которое проходило в стенах нашего отделения.
Пациенты с переломо-вывихами в суставе Лисфранка часто оказываются в ситуации, когда никто из врачей не хочет за них браться. Так случилось и с пациентом Ж. 64 лет, который получил травму ещё в 2001 году, но оперировать его отказались. Боль и деформация прогрессировали, и на протяжении последних 10 лет пациент уже не мог пройти больше 800 метров. Постоянное ношение ортопедических стелек не давало облегчения симптомов.

После осмотра в отделении ортопедии №2 ГКБ №13 принято решение о проведении операции - открытому устранению вывиха, артродезе 1-2-3 плюсне-клиновидных суставов, 1 межклиновидного сустава при помощи винтов и пластины, трансартикулярной фиксации спицами 4-5 плюсне-клиновидных суставов.

Первым этапом выполняется удаление костно-хрящевых экзостозов и рубцовых тканей из области всего сустава Лисфранка. После этого дистальный отдел стопы приобретает мобильность, достаточную для восстановления нормальной анатомии. Остатки суставного хряща полностью удаляются с 1-2-3 плюсне-клиновидных суставов, 1 межклиновидного сустава при помощи долота, осцилляторной пилы, кусачек Люэра, острой ложки Фолькмана. Для репозиции используются костные цапки.

Вершиной, ключом, блокирующим клином - в общем главной частью сустава Лисфранка является 2 плюсне-клиновидный сустав. По этой причине мы предпочитаем начинать фиксацию именно с него. Для артродеза используем винты с направленной в разные стороны резьбой FT Arthrex диаметром 4 мм. Они позволяют создать мощную межфрагментарную компрессию, а за счёт глубокой резьбы очень надёжно фиксируются в кости.

После восстановления 2 луча выполняем артродез межклиновидного сустава и 1 плюсне-клиновидного сустава. Учитывая что основная нагрузка ложится на 1 луч, дополнительно стабилизируем его при помощи пластины.


В стационаре пациент находится первые 2 суток после операции. Это необходимо для купирования болевого синдрома, и контроля послеоперационной раны. На 3 сутки пациент выписывается домой в гипсовой лонгетной повязке, на костылях. На ногу наступать нельзя до 6 недль после операции. Послеоперационные швы снимаются через 2 недели, лонгетная повязка при этом может быть заменена на циркулярный обычный или пластиковый гипс или ортез.

В итоге через 3 месяца мы получаем стабильную, безболезненную, опороспособную конечность. Через 6 месяцев можно начать спортивные нагрузки.

Никифоров Дмитрий Александрович
Хирургия стопы и голеностопного сустава, коррекция деформаций конечностей, эндопротезирование суставов, артроскопическая хирургия, спортивная травма.
Вывих в суставе Лисфранка
Вывихи и переломовывихи в суставе Лисфранка не являются частым видом травмы, но они являются одним из лидеров по частоте неправильных и несвоевременных диагнозов.
Пациентка Ив. 65 лет, травма за 3 месяца до обращения, подвернула стопу спрыгнув с подоконника при мытье окон. Обратилась в травмпункт, сделаны рентгенограммы, ничего не обнаружено. Поставлен диагноз «повреждение связок стопы». Пациентка направлена в одну из ГКБ, где вся процедура повторилась в точности, рентген, ничего не нашли, отпустили домой.
Боль сохранялась, через какое-то время появилась и начала прогрессировать деформация в среднем отделе стопы. Через 3 месяца от травмы пациентке всё таки выполнили МСКТ и обнаружили переломовывих в суставе Лисфранка - тяжелейшую травму, приводящую со временем к грубому нарушению и даже утрате функции опоры и ходьбы.
Большинство повреждений в суставе Лисфранка не диагностируются при первичном обращении.
При этом повреждения сустава Лисфранка являются 100% показанием к хирургическому вмешательству.
Этиология переломовывихов в суставе Лисфранка.
Механизм травмы - аксиальная нагрузка в положении дорсивлексии стопы.

Если передний отдел при этом отводится (эверсия) и энергия травмы достаточная - происходит гомолатеральный вывих, все плюсневые кости смещаются в латеральном направлении.
Если энергия травмы незначительная возможен изолированный разрыв связки Лисфранка с небольшим смещением основания 2 плюсневой кости в тыльном направлении. У молодых пациентов с небольшим весом такие изолированные повреждения могут вызывать только небольшой дискомфорт при физических нагрузках и при невысоких функциональных запросах лечатся консервативно.
Классификация переломовывихов в суставе Лисфранка.
При высокой энергии травмирующего агента и прямой позиции стопы происходит дивергирующий вывих - при этом первая плюсневая кость смещается медиально, а 2-3-4-5 смещаются латерально.

Диагностика переломо-вывихов в суставе Лисфранка.
У нашей пациентки произошёл гомолатеральный вывих, то есть все плюсневые кости сместились в наружном направлении. На стандартных рентгенограммах в свежих случаях данные повреждения пропускают практически в 100% случаев. Необходимо делать рентгенограммы обеих стоп стоя с нагрузкой весом тела и даже в такой ситуации неопытный глаз пропустит травму.

Лучше - сделать КТ исследование, где в сравнении со здоровой стороной будет очень хорошо видно повреждение.

Клинически это проявляется постоянными болями в средней части стопы, коллапсом продольного свода, переходом нагрузки на опустившийся вниз средний отдел стопы, отведением всего переднего отдела стопы в наружную сторону.

Передний отдел стопы распластан и отведён кнаружи, по внутреннему краю стопы в средней её части формируется горб - вершиной деформации становится медиальная клиновидная кость, её дистальная суставная площадка.

Лечение переломо-вывихов в суставе Лисфранка.
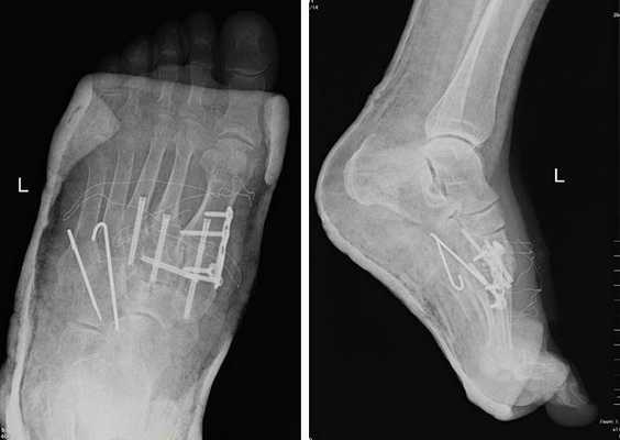
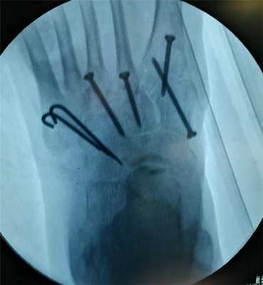
В такой ситуации остаётся один выход - операция. Необходимо освободить от рубцовых тканей весь сустав Лисфранка - а это как минимум 5 предплюсне-плюсневых суставов, вернуть плюсневые кости в нормальное положение, и зафиксировать 1-2-3 предплюсне-плюсневые суставы винтами и или пластинами, а 4-5 спицами, которые через 6 недель будут удалены.

Такая тактика диктуется тем, что в норме латеральная колонна - кубовидная кость и 4-5 плюсневые кости, являются значительно более подвижными, и эту подвижность желательно сохранить для нормальной биомеханики ходьбы.

После операции целесообразно использование внешней иммобилизации - гипсовой повязки, на срок до 6 недель. Осевую нагрузку нельзя давать до 12 недель, пока не состоится артродезирование 1-2-3 плюсневых и медиальной, срединной и латеральной клиновидных костей.

Внешний вид стопы после хирургического вмешательства, Деформация среднего отдела стопы устранена, продольный свод восстановлен. Имеющаяся деформация переднего отдела будет устраняться после заживления среднего отдела не ранее 3 месяцев от первой операции.
Читайте также:















