Применение теоремы сохранения массы к случаям сужения поперечного сечения потока в эхокардиографии (ЭхоКГ)
Добавил пользователь Владимир З. Обновлено: 11.12.2025
Эхокардиографию можно надлежащим образом использовать для диагностики и контроля за лечением в неотложных ситуациях. К опасным для жизни патологиям, при которых оценка с помощью эхокардиографии в реальном времени может иметь решающее значение, относятся тампонада сердца при перикардите, расслоение аорты, острый инфаркт миокарда (ИМ), острая тромбоэмболия легочной артерии (ТЭЛА) и травма сердца. Эти состояния могут вызвать сильную боль в груди, одышку с гипоксией, гипотензию и, в конечном итоге, кардиогенный и респираторный шок.
Даже в тех случаях, когда основная причина ухудшения состояния пациента неясна, например, изолированная глубокая гипотензия, нельзя недооценивать важность эхокардиографии для быстрой оценки функции сердца и исключения этих критических отклонений у нестабильного пациента. Раскрытие этой темы предназначено для использования в качестве руководства по эхокардиографии при сценарии острого состояния пациента. В этих ситуациях врач УЗИ должен быстро понять
- клинический сценарий,
- показания к эхокардиографии, то есть конкретный вопрос, который задают клиницисты, и
- ключевые патологии, которые необходимо исключить или выявить.
Если обнаружена конкретная патология, последующие решения по клиническому ведению могут выходить за рамки конкретного специалиста по УЗИ и данного текста, но они затрагиваются в интересах облегчения быстрого установления диагноза у пациента.
Экстренные сердечно-сосудистые ситуации и УЗИ сердца
Кардиогенный шок сопровождается выраженной гипотонией и часто дыхательной недостаточностью. В частности, систолическое артериальное давление падает ниже 80 мм рт.ст. с признаками недостаточности органов-мишеней (прохладные конечности, нарушение мышления), а также одышка, тахипноэ и гипоксия. Это распространенный и убедительный повод для проведения экстренной эхокардиографии.
В самом широком смысле существует четыре очень распространенных острых, угрожающих жизни состояния, при которых эхокардиография может помочь в диагностике и / или отборе больных: ИМ (и связанные с ним осложнения), тампонада сердца, расслоение аорты и ТЭЛА. Каждый из них имеет определенные клинические параметры, признаки и симптомы, которые заставят клинициста заподозрить их наличие у данного пациента. Хотя врач УЗИ может оценить все эхокардиографические признаки за одно обследование, лучше всего иметь представление о наиболее вероятном подозреваемом состоянии (ях), чтобы ускорить соответствующую визуализацию и лечение пациента.
Острый инфаркт миокарда и механические осложнения инфаркта миокарда полностью обсуждаются в других статьях блога. Для быстрого ознакомления наиболее важные эхокардиографические диагнозы воспроизведены в таблице.
Глобальный отказ ЛЖ
недостаточность ПЖ / инфаркт ПЖ
Перикардит
Злокачественные опухоли
На фоне аневризмы аорты
Для ясности: у пациента, у которого явно наблюдаются острые симптомы инфаркта миокарда и подъем сегмента ST на электрокардиограмме (ЭКГ), коронарная ангиография и срочная реваскуляризация являются лечением первой линии, и получение эхокардиограммы для подтверждения аномалий движения стенок будет только подспорьем к соответствующему лечению. После стабилизации состояния пациента или реваскуляризации, если происходит острая декомпенсация, основные результаты для оценки с помощью эхокардиографии подробно описаны ниже.
Обратите внимание, что эти механические осложнения обычно возникают через 5-14 дней после фактической окклюзии коронарной артерии. Все они представляют собой некроз ткани сосочковой мышцы по сравнению с гипо-акинезией стенок желудочка разной степени из-за гипоксии. Обычно они возникают у пациентов, перенесших обширные инфаркты, отсроченную или безуспешную реваскуляризацию. Уровень смертности всех высок и зависит от быстрой идентификации, стабилизации и восстановления.

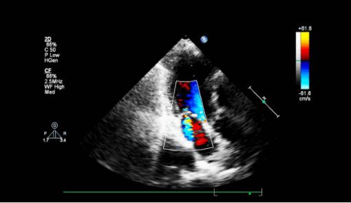
Острая митральная регургитация (молотящая створка МК) на эхокардиографии
Митральная регургитация (МР) может возникать как остро, так и хронически у пациентов с ИМ. Когда в дни после большого инфаркта миокарда возникает внезапная гипотензия и респираторный дистресс, одной из возможных причин может быть разрыв тела, кончика или хорд сосочковой мышцы, вызывающий острую тяжелую МР. Приводим алгоритм действия
Чтобы оценить молотящий митральный клапан:
- Получите стандартный вид парастернальной продольной оси, показывающий митральный клапан. Оцените нормально ли встречаются кончики створок митрального клапана (т. е. касаются друг друга чуть ниже фиброзного кольца)? Или кончик одной створки пролабирует или свободно движется и возвращается в левое предсердие в систолу?
- Поместите цветной допплеровский сектор на митральный клапан и левое предсердие. Посмотрите есть ли струя митральной регургитации (высокоскоростной или турбулентный пятнистый поток в систоле)? Во многих случаях он будет направлен эксцентрически либо к передней, либо к задней стенке левого предсердия. Как правило, молотящая створка МК направляет струю MР в сторону от самой поврежденной створки.
- Повторите двумерное (2D) изображение и цветное допплеровское сканирование митрального клапана в апикальном четырехкамерном и апикальном трехкамерном срезе. По техническим причинам низкое качество изображения нередко препятствует абсолютному определению того, есть ли молотящая створка МК, но есть эксцентрическая струя значимой МР или хордальная структура, колеблющаяся в левом предсердии проксимальнее митрального клапана, что повышает вероятность разрыва митрального аппарата.
Неотложное лечение: даже подозрение на молотящую створку митрального клапана обычно должно вызывать немедленную консультацию кардиохирурга. При необходимости чреспищеводная эхокардиография (ЧПЭхоКГ) может быть выполнена в операционной, или, если пациент находится в отделении интенсивной терапии на ИВЛ и вазопрессорной поддержкой, обеспечивающей достаточную стабилизацию, можно рассмотреть возможность проведения ЧПЭхоКГ у постели больного для подтверждения или опровержения диагноза. Вазопрессоры и внутриаортальный баллонный насос (ВАБН) могут обеспечить достаточную стабилизацию перед операцией, чтобы доставить пациента в операционную.
Дефект межжелудочковой перегородки на УЗИ сердца
Другой причиной внезапной артериальной гипотензии и отека легких у пациента в пери- и постинфарктном периоде является разрыв межжелудочковой перегородки. Дефект заставляет насыщенную кислородом кровь течь из левого желудочка в правый и смешиваться с деоксигенированной кровью. Дефекты межжелудочковой перегородки (ДМЖП) могут возникать в переднем отделе перегородки (лучше всего видно в парастернальных окнах) из-за переднего ИМ или в нижнем отделе перегородки (лучше всего в апикальном четырехкамерном и субкостальном окнах) в результате нижнего ИМ. Оба типа ДМЖП могут быть проверены на предмет использования парастернальных окон по короткой оси. Использование цветного допплера имеет важное значение для обнаружения этих разрывов на эхокардиографии, потому что разрыв ткани часто имеет щелевидную или змеевидную форму и может быть плохо заметен на одном только 2D-изображении.

Чтобы оценить ДМЖП придерживайтесь следующего алгоритма:
- Получите стандартный парастернальный вид сердца по длинной оси, показывающий левый желудочек (ЛЖ) и правый желудочек (ПЖ). Имеет ли межжелудочковая перегородка нормальную толщину и сокращается ли она во время систолы?
- Поместите цветное допплеровское окно на межжелудочковую перегородку, особенно на любые акинетические участки или сегменты с пропаданием эхо-сигнала (анэхогенные зоны). Цветовой поток слева направо, проникающий через перегородку, указывает на ДМЖП.
- Проведите линию курсора непрерывноволнового допплера (CW) через цветовой поток. Если измерить пиковую скорость огибающей непрерывного допплеровского потока, градиент межжелудочкового давления (ΔP) = 4 × пиковый градиент 2 (где пиковый градиент выражен в м/с). Чем уже шейка цветного потока и чем выше пиковая скорость потока, тем больше она ограничивает ДМЖП.
- Поверните датчик по часовой стрелке на 90 градусов и получите парастернальные окна по короткой оси ЛЖ и межжелудочковой перегородки. Наклоните датчик апикально, чтобы развернуть плоскость изображения от основания к вершине. Ищите акинетические области или пропадание фокального эхо. Поверните сектор цветного допплера, чтобы покрыть межжелудочковую перегородку, и аналогичным образом проведите датчиком от основания к верхушке, ища цветовой поток слева направо.
- В апикальной четырехкамерной проекции исследуйте межжелудочковую перегородку на 2D-изображениях, затем разместите цветной допплеровский сектор над перегородкой.
- В субкостальной четырехкамерной проекции включите сектор цветного допплера и поместите его над межжелудочковой перегородкой. Опять же, обратите внимание на цветовой поток через перегородку слева направо.
Неотложное лечение - раннее хирургическое закрытие, которое снижает смертность. Разрыв базальной перегородки технически сложнее полностью восстановить, отчасти из-за близости к митральному клапану. У плохих кандидатов на оперативное вмешательство можно рассмотреть возможность чрескожного закрытия окклюдером.
Псевдоаневризма на эхокардиографии
Псевдоаневризма или ложная аневризма — это локально локализованный разрыв всех слоев миокарда, который местно сдерживается только тромбом и спайками перикарда. У них обычно узкая шейка, которая позволяет кровотоку свободно сообщаться с полостью левого желудочка и имеет тенденцию к росту и разрыву.
Для оценки псевдоаневризмы на УЗИ сердца надо помнить, что наиболее частыми локализациями являются базальный нижний или нижнебоковой (для нижнего ИМ) и апикальный сегменты (для переднего ИМ). Они могут сильно различаться по размеру от очень маленьких пространств до больших скоплений жидкости. Поэтому внимательно посмотрите на 2D-изображения:
- На верхушке ЛЖ на апикальных четырех- и двухкамерных окнах и
- На базальных нижних и нижнебоковых сегментах на парастернальных и продольных трех- и двухкамерных окнах для любого анэхогенного пространства.
- Если видно какое-либо анэхогенное или неоднородно эхогенное пространство, особенно если оно кажется выпуклым во время систолы, поместите цветной допплеровский сектор над областью, включая ближайший желудочек, и посмотрите, нет ли кровотока из ЛЖ в пространство.
- Если диагноз все еще не определен, а состояние пациента стабильно, использование внутривенного эхокардиографического контраста может продемонстрировать поток в псевдоаневризму.

Неотложное лечение. Если эхокардиография повышает вероятность псевдоаневризмы, но не может подтвердить ее или не может отличить ее от аневризмы, для постановки точного диагноза может потребоваться МРТ сердца или ангиография ЛЖ. Существует 30-45% риск развития полного разрыва свободной стенки и коэффициент смертности до 50%, поэтому неотложная операция по закрытию или пластике разрыва считается окончательной терапией псевдоаневризмы.
Свободный разрыв стенки желудочка сердца на УЗИ
Полный разрыв свободной стенки желудочка обычно бывает внезапным и катастрофическим и редко позволяет провести эхокардиографию. Его можно заподозрить, если за большим ИМ без реперфузии следует острый кардиогенный шок, особенно при наличии признаков тампонады или электромеханической диссоциации. Обычно разрыв свободной стенки, который быстро перерос в полный разрыв, тампонаду с гемоперикардом и, в конечном итоге, приводит к смерти пациента. Немедленное хирургическое вмешательство - единственная надежда на то, чтобы пережить это с помощью временных мер, включая жидкости, инотропы, ВАБН и / или вспомогательные устройства для периферического желудочка, используемые при необходимости для доставки пациента на операцию.
Немеханические причины кардиогенного шока и эхокардиография
Если вышеуказанные механические причины сердечного шока, включая тампонаду, не обнаруживаются при эхокардиографии, необходимо рассмотреть другие возможные причины, которые могут этому способствовать, например, следующие:
Основы ЭхоКГ: допплерэхокардиография. Профессор В. А. Изранов. Лекция для врачей
Лекция для врачей "Основы ЭхоКГ: допплерэхокардиография". Лекцию для врачей проводит профессор В. А. Изранов.
На лекции рассмотрены следующие вопросы:
- Основные допплерографические характеристики трансмитрального и транстрикуспидального диастолического потока
- AT (acceleration time) - время ускорения потока, т.е. время от щелчка открытия клапана до пика скорости потока (м\с)
- DT (deceleration time) - время замедления потока, т.е. время от пика скорости до базовой линии (м\с)
- ЕТ (ejection time) - время выброса, т.е. время от щелчка открытия до щелчка закрытия клапана
- Vmax- максимальная скорость потока (м\с)
- Е - раннее диастолическое наполнение (Vmax = 70-100 см\с)
- А - позднее диастолическое наполнение (в момент систолы предсердий, Vmax = 40-70 см\сек)
- Е\А = 1,0-1,5
- Vmean - средняя скорость потока. Вычисляется как сумма скоростей потока, измеренных каждые 2 мс по отношению к числу измерений.
- Основные измерения в допплер эхокардиографическом исследовании
- IVCT (isovolumetric contractility time) время изоволюметрического сокращения - время от щелчка закрытия митрального клапана до щелчка открытия аортального клапана (65±20 мс)
- IVRT (isovolumetric relaxation time) время изоволюметрического расслабления - время от щелчка закрытия аортального клапана до щелчка открытия митрального клапана (65±20 мс). VTI (velocity time integral) - интеграл линейной скорости потока; VTI = Vmean*ET (см)
- Основные уравнения используемые в допплерометрических расчетах
- СО = HR*SV
- SV= CSA*VTI
- VTI = ET*Vmean
- CSA = nD²/4
- ΔР = 4V²(упрощенное уравнение Бернулли)
- CO (cardiac output) - минутный объем кровотока
- HR (heart rate) - частота сердечных сокращений
- SV (stroke volume) - ударный объем
- CSA (crossection area) - площадь поперечного сечения (сосуда или отдела сердца)
- VTI (velocity time integral) - интеграл линейной скорости
- ЕТ (effusion time) - время кровотока
- Vmean - средняя скорость кровотока (вычисляется как сумма скоростей, измеренные каждые 2 мс по отношению к числу измерений)
- ΔР - максимальный градиент давления по разные стороны обструкции (мм рт.ст.)
- V-максимальная скорость кровотока дистальнее обструкции (м\с)
Книга "Эхокардиография от Рыбаковой" - М. К. Рыбакова, В. В. Митьков
![]()
Данное издание представляет собой практическое руководство по эхокардиографии, в котором отражены все современные технологии, применяемые в настоящее время. Исключительный интерес для специалистов представляет CD-ROM с подборкой видеоклипов по всем основным разделам, включающих редкие случаи диагностики.
Особенность издания - попытка объединить и сравнить результаты эхокардиографического исследования сердца и паталогоанатомический материал по всем основным разделам.
Большой интерес представляют разделы, содержащие новые технологии исследования, такие как трех- и четырехмерная реконструкция сердца в реальном времени, тканевая допплерография. Большое внимание уделено также классическим разделам эхокардиографии - оценке легочной гипертензии, клапанных пороков сердца, ишемической болезни сердца и ее осложнений и т.д.
В книге представлены огромный иллюстративный материал, большое количество схем и рисунков, приведены алгоритмы тактики проведения исследования и диагностики по всем разделам эхоКГ.
Руководство помогает разрешить спорные и злободневные вопросы, позволяет ориентироваться в расчетах и измерениях, содержит необходимую справочную информацию.
Книга написана сотрудниками кафедры ультразвуковой диагностики ГБОУ ДПО «Российская медицинская академия последипломного образования'' Министерства здравоохранения Российской Федерации» (база - ГКБ им. С.П. Боткина, Москва).
Издание предназначено для специалистов эхокардиографии, врачей ультразвуковой и функциональной диагностики, кардиологов и терапевтов.Книга "Эхокардиография в таблицах и схемах" - М. К. Рыбакова
![Книга]()
Данная книга содержит большое количество схем и таблиц по всем основным вопросам трансторакального эхокардиографического исследования, помогает разрешить спорные и злободневные вопросы эхокардиографии, позволяет ориентироваться в расчетах и измерениях, содержит необходимую справочную информацию. Подробно описаны нормальная анатомия и физиология сердца, патология клапанного аппарата, мокарда, перикарда, плевральных полостей, аорты, протезированных клапанов сердца, приведены стандартные позиции эхокариографического исследования и расчеты. Особый интерес могут вызвать разделы, посвященные диагностике врожденных пороков сердца у взрослых, объемных образований сердца и средостения и дифференциальной диагностике в эхокардиографии.
Книга УЗИ предназначена для специалистов эхокардиографии, ультразвуковой и функциональной диагностики УЗИ, кардиологов, терапевтов и студентов медицинских вузов.
Книга "Дифференциальная диагностика в эхокардиографии". Издание 2-е. с DVD-ROM - Митьков В. В., Рыбакова М. К.
![Книга]()
Книга написана сотрудниками кафедры ультразвуковой диагностики Российской медицинской академии последипломного образования (база — ГКБ им. С.П. Боткина, Москва) и является 2-м, переработанным и дополненным изданием. Книга является уникальным изданием благодаря представленному дифференциально-диагностическому эхокардиографическому ряду, подкрепленному видеоматериалами и иллюстрациями, которые помогают систематизировать, классифицировать и провести дифференциальную эхокардиографическую диагностику.
Помимо эхограмм, во 2-е издание включены схемы, которые помогают научиться распознавать признаки той или иной патологии сердца или совокупность признаков и оценить характер нарушения гемодинамики, а также в главе 10 добавлен дифференциально-диагностический раздел, посвященный применению контрастных веществ. Книга включает все основные разделы современной кардиологии с позиции дифференциальной диагностики. Прилагаемый диск включает обширный видеоматериал по всем основным разделам с комментариями к нему.
Издание предназначено для специалистов эхокардиографии, врачей ультразвуковой и функциональной диагностики, кардиологов и терапевтов и вызовет интерес как у специалистов со стажем, так и у начинающих эхокардиографистов и студентов медицинских вузов.
Книга "Клиническая эхокардиография" - Шиллер Н. Б., Осипов М. А.
![Книга]()
Книга "Клиническая эхокардиография" написана американским и отечественным специалистами, это самое популярное в России руководство по эхокардиографии. Книга предназначена и для тех кардиологов, которые лишь начинают осваивать эхокардиографию, и для тех, кто уже давно ею занимается.
Изучив руководство, врач сможет выполнять эхокардиографические исследования на самом современном уровне - так, как это делают в Лаборатории эхокардиографии Калифорнийского университета в Сан-Франциско.
Книга "Эхокардиография при врожденных пороках сердца у взрослых" - М. К. Рыбакова, В. В.Митьков
![Книга]()
Диагностика врожденных пороков сердца - один из самых сложных разделов в кардиологии и эхокардиографии. Благодаря современным технологиям в эхокардиографии и пренатальной диагностике сердца плода диагностика врожденных пороков сердца стала более ранней, что способствовало существенному сокращению числа взрослых пациентов с данной патологией. Однако и в настоящее время можно встретить пациентов с различными врожденными пороками сердца даже в весьма почтенном возрасте.
Данное издание содержит историю описания того или иного врожденного порока, подробный анализ гемодинамики, особенностей эхокардиографической диагностики. Книга написана сотрудниками кафедры ультразвуковой диагностики Российской медицинской академии непрерывного последипломного образования (база - ГКБ им. С.П. Боткина, Москва) и включает все основные врожденные пороки сердца у взрослых с позиции эхокардиографии. Большое внимание уделено также дифференциальной диагностике в эхокардиографии при подозрении на врожденный порок сердца у больного, особенностям исследования сердца у детей и подростков, малым аномалиям развития сердца. Издание содержит большое количество иллюстраций и схем, а также примеры эхокардиографических заключений.
Предназначено для специалистов эхокардиографии, врачей ультразвуковой и функциональной диагностики, кардиологов и терапевтов.Эхокардиография митрального клапана (часть 2)
Область митрального клапана на эхокардиографии может быть хорошо исследована. Был использован ряд методов оценки стеноза с разной точностью.
- Планиметрический метод: он включает отслеживание внутренней границы отверстия митрального клапана в диастолу. Было показано, что эти данные хорошо коррелируют с площадью клапана, измеренной при катетеризации. Он имеет свои ограничения, особенно при наличии значительной кальцификации кончика створки, плохого определения границ и различной степени времени открытия из-за фибрилляции предсердий.
- Вена контракта: ширина струи цветного потока в двух ортогональных плоскостях коррелирует с планиметрическими расчетными значениями площади митрального клапана.
- Площадь проксимальной изоскоростной (гемисферической) поверхности (Proximal Isovelocity Area-PISA). Кровоток через суженное отверстие сходится в ряду проксимальных полушарий с изоворотами (площадь изоворотной поверхности). При митральном стенозе это может быть продемонстрировано с помощью мозаичного цветного допплера на стороне предсердий в диастолу. Скорость потока рассчитывается как 2pr2v, где r - расстояние до контура скорости v, определяемого изменением цвета на границе сглаживания. Площадь суженного отверстия может быть рассчитана путем деления пиковой скорости потока на максимальную скорость через отверстие (полученную с помощью метода непрерывного допплера). Было показано, что площадь митрального клапана, рассчитанная этим методом, коррелирует с площадью, полученной при традиционной катетеризации. Однако метод сходимости потока зависит от геометрической сложности устья митрального клапана.
- Падение давления на митральном клапане: Используя модифицированное уравнение Бернулли (4 V2), можно измерить максимальное и минимальное падение митрального давления и рассчитать среднее значение.
- Время полуспада градиента давления: это время, за которое раннее диастолическое трансмитральное давление падает до 1/2 своего пикового значения (или время, необходимое для начальной скорости, деленной на квадратный корень из 2, который равен 1,4). Затем рассчитывается митральная площадь как константа (220), деленная на давление 1/2 времени. Хотя установлено, что митральное давление 1/2 времени коррелирует с инвазивным измерением площади митрального клапана, оно также имеет серьезные ограничения, особенно у пациентов с фибрилляцией предсердий и высокой частотой сердечных сокращений. Кроме того, давление 1/2 времени зависит от сопротивления притоку левого желудочка из-за формы воронки митрального аппарата, включая компоненты как отверстия, так и состояния подклапанного аппарата. Повышенное сопротивление подклапанных структур может замедлить падение давления в приточном тракте, так что давление 1/2 времени обычно меньше, чем полученное с помощью 2D планиметрии. Противоположное явление наблюдается у пациентов с сопутствующей регургитацией на аортальном клапане или с гипертрофией левого желудочка, когда давление в 1/2 раза превышает степень митрального стеноза. Следовательно, после митральной вальвулопластики расчет может давать недостоверные значения. Основная причина недооценки точности этого метода заключается в том, что он основан на падении давления, которое часто не является экспоненциальным.
- Уравнение неразрывности: оно основано на принципе сохранения массы и энергии. Поток во всех точках вдоль трубы постоянен и равен произведению средней скорости на площадь поперечного сечения. Площадь митрального клапана рассчитывается как произведение площади поперечного сечения фиброзного кольца аорты или легочной артерии и отношения интеграла по времени соответствующей скорости клапана к скорости непрерывной волны митрального стеноза. Хотя это более сложный подход, этот метод предпочтительнее у пациентов с дополнительной значительной аортальной регургитацией, у которых давление на 1/2 времени превышает площадь митрального клапана.
![]()
В настоящее время обычной практикой является изучение большинства пациентов со значительным поражением митрального клапана с помощью чреспищеводной эхокардиографии, поскольку она обеспечивает более подробную оценку митрального клапана, подклапанного аппарата и наличия спонтанного контрастирования левого предсердия и обнаружению тромбов в ушке левого предсердия. Измерения площади митрального клапана также можно получить из чреспищеводных изображений, как описано выше. В целом площадь митрального клапана> 1,5 см2 обычно считается легким стенозом, от 1,0 до 1,5 см2 умеренным и
Клиническая картина и патологическая физиология митрального стеноза
Симптомы могут развиться в любое время после начала острой ревматической лихорадки, но обычно значительный митральный стеноз возникает спустя годы после первого эпизода ревматической лихорадки. Наиболее частыми проявлениями являются одышка, снижение толерантности к физической нагрузке или сердцебиение, обычно в результате повышенного давления в левом предсердии и фибрилляции предсердий. Кровохарканье и пароксизмальная ночная одышка могут быть связаны с застоем легочных вен. Системные тромбоэмболии, задержка жидкости и симптомы правосторонней сердечной недостаточности часто встречаются в нелеченых случаях. Венозное давление повышается при трикуспидальной регургитации, органическом поражении трикуспидального клапана или легочной гипертензии. Характерный щелчок при открытии слышен, когда створки еще податливы, но он исчезает, когда створки кальцифицируются с ограничением подвижности. Громкому первому тону сердца предшествует пресистолический шум, если у пациента синусовый ритм или средний диастолический шум.
Подготовка к эхокардиографии (ЭхоКГ)
Эхокардиография — это одна из разновидностей ультразвукового исследования, позволяющая визуализировать структуры сердца и оценить его работу в динамике исследования.
С помощью ЭхоКГ определяют размеры сердца и толщину миокарда, объемы полостей желудочков и предсердий, исследуют аорту и легочную артерию. А также оценивают направление и скорость движения крови в его полостях.
Результаты исследования позволяют получить представление о морфологическом и функциональном состоянии сердца. Выявить врожденные и приобретенные пороки сердца, визуализировать тромбы и наличие свободной жидкости в околосердечной сумке — перикарде, обнаружить новообразования и помочь в диагностике патологий сердечно-сосудистой системы.
В большинстве случаев ЭхоКГ выполняется совместно с допплерографией, основанной на измерении частотного сдвига возвращенного ультразвукового сигнала. Эффект Доплера позволяет определить скорость и направление движения потоков крови внутри сердца, крупных сосудов, а также движения самого миокарда.
Как подготовиться к ЭхоКГ?
Эхокардиография не требует специальной подготовки, рекомендуется соблюдать несколько простых правил.
Подготовка накануне исследования:
- Рекомендуется отказаться от алкогольных напитков, жирной и острой пищи.
- Важно воздержаться от интенсивных физических упражнений и тепловых процедур (посещения бани или сауны).
Подготовка в день исследования
- Прийти в клинику заранее, чтобы отдохнуть в спокойной обстановке 10-15 минут.
- Отказаться от курения, кофе, энергетиков, крепкого чая и обильной трапезы за 2 часа до процедуры.
- Воздержаться от приема лекарственных препаратов. Исключение — жизненно необходимые средства, об использовании которых нужно сообщить персоналу, проводящему эхокардиографию и сделать соответствующую отметку в заключении.
- Надеть одежду, обеспечивающую легкий доступ к грудной клетке.
Как проводится исследование
Во время проведения процедуры врач УЗИ наносит на кожу в области сердца гель для лучшего контакта, после чего с помощью датчика фиксирует ультразвуковые волны. Компьютер обрабатывает полученные звуковые сигналы и выводит результат исследования на экран монитора.
Эхокардиография: показания и что может исказить данные
![Эхокардиография: показания и что может исказить данные]()
Эхокг — метод исследования, дающий представление о строении сердца, визуально показывающий наличие патологий. При этом кожные покровы пациента остаются целыми. Процедура безболезненная и не требует специальной подготовки.
Эхокардиография сердца: что это
Эхокардиография сердца представляет собой ультразвуковое исследование сердечной мышцы. Через специальный датчик ультразвук подается в ткани и, отражаясь от стенок сердца, дает представление о состоянии органа. В основе эхокардиографии лежит метод допплерометрии.
Через эхокардиографию можно определить:
качество кровотока в сердце, его скорость;
размер и состояние камер сердца;
наличие жидкости в полости перикарда;
сократительную способность сердечной мышцы.
Когда кардиограмма показывает наличие проблемы в работе сердца или доктор слышит шумы, назначается эхокг. Кардиограмма в паре с эхо дает более полное представление о работе сердца. Поэтому, часто оба эти исследования проводятся поочередно в рамках одного обследования. С помощью кардиограммы удается изучить ритм и ЧСС, выявить предынфарктное состояние или дисфункцию одного из желудочков. А эхокг покажет все анатомические особенности строения жизненно важного насоса и укажет на причины проблемы, что облегчит поиск правильной терапии.
Показания к проведению эхо сердца
нарушения ритма (тахикардия, аритмия);
подозрение на наличие аневризмы;
проявления приступов стенокардии, сопровождающиеся ощущением жара в груди.
Другие показания, требующие эхокардиографии:
врожденные пороки сердца;
Когда во время планового обследования при помощи стетоскопа врач слышит шумы, он также должен назначит эхо кг сердца, чтобы определить, хорда дает такой звук или жизни пациента угрожает опасность.
Отдельно направляют на эхокг беременных женщин, жалующихся на одышку и скачки давления. Для многих результаты обследования становятся поводом для планового кесарева сечения, потому как в ряде случаев естественные роды могут негативно сказаться на сердечном клапане или других проблемах, связанных с качеством перекачивания крови.
В городских поликлиниках часто приходится подолгу ждать очереди на эхокардиографию сердца, а купить номерок в очередь нельзя. Для ускорения процесса можно воспользоваться услугами платных клиник, где, как правило, проводят обследование в день обращения.
Что может исказить данные эхокг сердца
Не всегда исследование дает точное представление о состоянии органа. Прежде всего, это связано с тем, что эхокардиография возможна благодаря наличию межреберных промежутков, в которые направляется ультразвук. Если у пациента особое строение скелета, при котором ребра представляют собой широкую костную пластину, обследовать его сердце при помощи эхо гк не получится.
Отдельно стоит выделить детей в качестве сложных пациентов, потому как большинство из них не могут лежать спокойно и не шевелиться, пока доктор водит датчиком по ребрам. У одних эта процедура вызывает смех, у других — плач. Оба состояния сильно искажают картину.
Люди с высокой массой тела также подвержены риску искажения показателей. Плотная жировая ткань может мешать прохождению волн, или застилать пространство между ребрами, делая его непроходимым для ультразвука. Также, роль преграды нередко играют некоторые легочные болезни, например выраженный фиброз легких или частичное заполнение жидкостью. Эти состояния скрывают все, что находится за стенками органа дыхания.
К сложным в диагностике пациентам можно еще отнести больных с заболеваниями кожи грудной клетки, протекающими в острой стадии. Само заболевание кожи никак не мешает просматривать сердечную мышцу, но из-за необходимости использовать специальную гель-смазку процедура может оказаться под запретом, так как нарушение целостности кожных покровов является прямым противопоказанием. Таким пациентам тоже на помощь приходит датчик, исследующий сердце через пищевод.
Как проходит процедура эхокг
Специально подготовки эхокардиография не требует. Лучше перед процедурой не нагружать организм продуктами и напитками, влияющими на артериальное давление, чтобы не исказить картину относительно качества кровотока. Если потребуется стресс-эхо обследование, лаборанты сами направят пациента на тренажер для того, чтобы дать определенное количество нагрузки на сердечно-сосудистую систему.
В обычном режиме больного просят лечь на кушетку, повернувшись на левый бок. Для удобства ноги сгибают в коленях. Врач закрепляет на теле пациента специальные датчики-электроды, которые будут фиксировать сердечный ритм. На область под левой грудью наносят специальный гель, часть которого используют и для смазывания ультразвукового датчика.
Предварительно доктор надевает перчатки и начинает исследование, приложив датчик к межреберному пространству. Результаты эхо сразу выводятся на экран аппарата, где врач проводит замеры клапанов, сердечных стенок, предсердий и получает много другой важной информации.
Во время процедуры могут быть неприятные ощущения, связанные с тем, что датчик ультразвука врач часто водит с надавливанием на грудную клетку, чтобы нащупать межреберную щель.
Читайте также:







