Пролапс митрального клапана (ПМК) - что это и чем опасен? Симптомы, лечение, причины и осложнения
Добавил пользователь Евгений Кузнецов Обновлено: 02.11.2025
Пролапс митрального клапана (ПМК) - патология сердца, при которой створки митрального клапана провисают (пролабируют), вследствие чего происходит их неполное смыкание и обратный заброс крови в левое предсердие (регургитация) в момент систолы желудочков.
Физические ограничения и нагрузки при ПМК
Сам по себе дефект митрального клапана не является противопоказанием к физическим нагрузкам и занятиям спортом. Все зависит от степени регургитации, наличия признаков хронической сердечной недостаточности (ХСН), нарушений ритма сердца, эпизодов потери сознания.
Всем людям с ПМК при I степени регургитации запрещены следующие физические упражнения:
- бокс;
- виды спорта, при которых нужно выполнять толчкообразные движения - метание копья или диска, толкание ядра, борьба, прыжки;
- поднятие тяжестей.
Виды спорта и физических упражнений, которые разрешены при ПМК с I степенью регургитации:
- легкая атлетика;
- спортивное плавание;
- занятия в тренажерном зале - рекомендуется поднятие тяжестей, не превышающих вес собственного тела. Предпочтение следует отдавать аэробным упражнениям (кардионагрузкам);
- танцевальные тренировки - разрешены только те виды танца, которые не предусматривают поднятия партнера;
Виды спорта, разрешенные при II степени регургитации:
- настольный теннис;
- фигурное катание (без поднятия партнера и резких прыжков);
- плавание (любительское);
- спортивная гимнастика;
- езда на велосипеде.
Любой вид спорта и физических нагрузок (кроме лечебной физкультуры) категорически запрещен в следующих ситуациях:
- митральная регургитация III степени;
- боли в области сердца;
- имеются серьезные нарушения ритма сердца: удлиненный интервал QT, пароксизмальные тахикардии, фибрилляция предсердий, частые политопные экстрасистолы;
- наличие признаков застойной сердечной недостаточности - отеки на ногах, тяжесть в правом подреберье, затруднение дыхания при физической работе;
- были эпизоды потери сознания (обмороков).
Пациентам с вышеперечисленными признаками интенсивные физические нагрузки способны резко ухудшить состояние здоровья, вызвать опасные осложнения, которые без неотложного медицинского вмешательства могут окончиться весьма плачевно.
А что касается лечебной физкультуры (ЛФК), то она будет полезна пациентам с любой степенью митральной регургитации. Эти упражнения основаны на повышении выносливости и аэробных резервов как всего организма, так и сердца.
- высокие поднимания согнутых ног;
- круговые движения руками вперед и назад;
- круговые движения бедрами;
- повороты туловища;
- ходьба или медленный бег.
Общие рекомендации к занятиям ЛФК:
- Соблюдать умеренный темп выполнения движений.
- Дыхание должно быть плавным.
- Длительность одной тренировки не должна превышать 30 минут.
- Общее время тренировок в неделю - около 150 минут.
- Во время упражнений необходимо следить за пульсом. Он не должен быть слишком высоким. Рассчитать предел, который нельзя превышать, достаточно просто - нужно из 200 вычесть свой возраст. Если пульс оказался выше этого значения, стоит сделать небольшой перерыв (1-2 минуты) и продолжить в более спокойном темпе.
Критерии пригодности к службе юноши с ПМК
На первый взгляд может показаться, что пролапс митрального клапана и армия - вещи несовместимые. Действительно, это ведь по сути - порок сердца. Как можно с таким заболеванием брать молодого человека в армию? Однако не все так однозначно.
По одному только наличию у человека пролапса митрального клапана невозможно определить, стоит ли допускать его до срочной службы, или нет.
Мне часто приходится слышать вопрос: берут ли в армию с пролапсом митрального клапана 1 степени? Согласно законодательству Российской Федерации, существуют следующие критерии пригодности людей с ПМК к службе:
- пролапс митрального клапана I степени с регургитацией I степени;
- отсутствие у призывника признаков хронической сердечной недостаточности, серьезных нарушений ритма сердца;
- отсутствие случаев внезапной сердечной смерти, связанной с пролапсом, у близких родственников.
Таким призывникам присваивают категорию «А» — годен к военной службе. Им даже можно проходить службу по контракту.
При наличии ПМК с регургитацией II степени призывнику устанавливается категория «Б» — годен с незначительными ограничениями. Юноша направляется в такой род войск, прохождение службы в котором не предусматривает выполнения тяжелой физической нагрузки - оборона ракетных боевых комплексов, радиотехнические части и т.д.
Если у человека имеется ПМК с регургитацией II степени и I функциональный класс сердечной недостаточности (это когда симптомы ХСН появляются только при очень интенсивной и длительной физической работе), ему присваивается категория «Г» — временно негоден к военной службе. Призывнику дается отсрочка и направление на кардиологическое лечение, после которого (через 6-12 месяцев) он снова проходит военно-врачебную комиссию.
В случае наличия пролапса со II степенью регургитации, признаков тяжелой ХСН (II-IV функциональный класс), опасных нарушений ритма сердца устанавливается категория «В» — ограниченно годен к военной службе. Это означает, что молодой человек не подлежит призыву в мирное время.
Какие документы собрать и какие обследования сделать
- Паспорт.
- Медицинский страховой полис.
- СНИЛС.
- Приписное удостоверение.
- Амбулаторную карту из поликлиники с записями врачей о наличии пролапса митрального клапана.
- Протоколы исследований (электрокардиография, эхокардиография) с заключениями, подтверждающими наличие ПМК, тяжелых нарушений ритма или сердечной недостаточности.
Очень важно взять с собой документы, справки и медицинские записи, подтверждающие наличие пролапса митрального клапана.
Порядок прохождения комиссии
Военно-медицинская комиссия включает 2 этапа:
- Медицинское освидетельствование.
- Заключительная комиссия.
На медицинском освидетельствовании призывник прямо в военкомате проходит минимальное лабораторное и инструментальное обследование:
- общий анализ крови;
- общий анализ мочи;
- флюорография;
- электрокардиография;
- анализ крови на ВИЧ, гепатиты В и С.
Также его осматривают следующие медицинские специалисты:
- офтальмолог (окулист);
- оториноларинголог (ЛОР);
- психиатр;
- стоматолог;
- хирург;
- невролог;
- дерматовенеролог;
- терапевт.
Терапевт - последний в ряду врачей комиссии. Он собирает все записи, полученные от других специалистов, при необходимости назначает дополнительное обследование, и, ориентируясь на состояние здоровья призывника, предварительно определяет его годность к военной службе.
Если юноше известно, что у него есть пролапс митрального клапана, именно терапевту нужно об этом сообщить, представить подтверждающие медицинские записи кардиолога или терапевта в своей амбулаторной карте, а также заключение эхокардиографии (УЗИ сердца).
При осмотре призывника терапевт выслушивает стетоскопом сердце для обнаружения аускультативных признаков пролапса (систолический щелчок и шум), проверяет ритмичность пульса, осматривает ноги на предмет наличия отеков; спрашивает, были ли эпизоды потери сознания, есть ли случаи смерти близких родственников, связанной с ПМК, изучает кардиограмму для выявления нарушений ритма сердца.
Далее терапевт выдает направление на эхокардиографию, холтеровское (суточное) мониторирование ЭКГ, если последнее исследование было более 6 месяцев назад. Предпочтительно проводить стресс-эхокардиографию, т.е. ЭКГ на фоне выполнения физической нагрузки. Это позволит четко определить тяжесть заболевания. Интересуют следующие показатели УЗИ сердца:
- степень пролабирования (провисания) створок;
- степень регургитации крови;
- фракция выброса левого желудочка - показатель, характеризующий способность сердечной мышцы перекачивать кровь.
После этого призывник со всеми записями, результатами исследований, диагнозом терапевта для определения годности к службе направляется на заключительную комиссию, состоящую из председателя и его заместителей. Должностными лицами внимательно изучаются все медицинские справки и заключения, проводится беседа с призывником. По окончании заседания юноше выставляется степень годности к военной службе.
Для подготовки материала использовались следующие источники информации.
Недостаточность митрального клапана - симптомы и лечение
Что такое недостаточность митрального клапана? Причины возникновения, диагностику и методы лечения разберем в статье доктора Верещагиной Натальи Валентиновны, терапевта со стажем в 29 лет.
Над статьей доктора Верещагиной Натальи Валентиновны работали литературный редактор Вера Васина , научный редактор Сергей Федосов и шеф-редактор Лада Родчанина
Определение болезни. Причины заболевания
Недостаточность митрального клапана — порок, при котором из-за неполного смыкания створок клапана возникает обратный ток крови (регургитация) из левого желудочка в левое предсердие [8] .

Патология проявляется слабостью, головокружением, ощущением нехватки кислорода и утомлением, так как при заболевании нарушается кровоснабжение головного мозга. Без лечения тяжёлая регургитация митрального клапана может стать причиной сердечной недостаточности и нарушений сердечного ритма (аритмии).
Причины митральной недостаточности:
- ;
- бактериальный эндокардит;
- отложение солей кальция в тканях клапана;
- заболевания соединительной ткани — ревматоидный артрит, системная красная волчанка, склеродермия, синдромы Марфана и Элерса-Данло;
- травматический отрыв створок клапана при тяжёлой физической нагрузке;
- травмы при хирургических операциях на клапане;
- утолщение створок клапана;
- опухоли предсердия;
- лучевая терапия [8] .
Митральная недостаточность находится на первом месте среди всех приобретённых клапанных пороков сердца. Патология редко встречается изолированно, зачастую она сочетается с митральным стенозом и с пороками аортального клапана. Распространённость недостаточности митрального клапана в сочетании с пролапсом митрального клапана среди населения составляет 2-6 % [15] .
При обнаружении схожих симптомов проконсультируйтесь у врача. Не занимайтесь самолечением - это опасно для вашего здоровья!
Симптомы недостаточности митрального клапана
Симптомы заболевания:
- общая слабость и головокружение;
- учащённое сердцебиение;
- одышка, возникающая даже при незначительных нагрузках;
- ноющие, давящие и колющие боли в сердце, которые могут отдавать в левое плечо и руку;
- "неудовлетворённость вдохом" — больной делает один вдох за другим, но ощущает нехватку воздуха и впадает в панику;
- частые простудные заболевания;
- кровотечения из носа и дёсен, длительные менструации у женщин;
- ухудшение памяти, панические атаки, тревога, мнительность (это связано с нехваткой снабжения головного мозга кислорода, нарушением обменных процессов и замедлением передачи импульсов между нейронами);
- дрожь в теле;
- частое появление синяков;
- дискомфорт при нахождении в закрытом и душном помещении, возможны обмороки;
Постоянная тревога часто приводит пациента на консультацию к психиатру или неврологу. Очень важно не допустить таких больных в профессиональный спорт, так как чрезмерные нагрузки могут вызвать смерть на тренировках и соревнованиях.
У пациенток с митральной недостаточностью во время беременности возможны перебои в работе сердца, особенно нежелательные при родах, но в основном беременность протекает без осложнений [3] [4] .
Патогенез недостаточности митрального клапана
Сердце человека состоит из четырёх камер: правое и левое предсердия, правый и левый желудочки. Между предсердиями и желудочками расположены входные клапаны — трикуспидальный и митральный. На выходе из желудочков находятся похожие по строению выходные клапаны — лёгочный и аортальный.

Клапаны имеют створки, которые открываются и закрываются во время сердечных сокращений. Иногда клапаны не открываются или не закрываются должным образом, при этом нарушается ток крови.
Митральный клапан состоит из двух створок и открывается, позволяя крови течь в левый желудочек. Затем клапан закрывается, чтобы кровь не текла обратно в левое предсердие. При митральной недостаточности этот клапан закрывается неплотно, в результате чего кровь попадает обратно в левое предсердие.
В патогенезе первичной или врождённой недостаточности митрального клапана важную роль играет хронический дефицит ионов магния. Нехватка магния приводит к тому, что фибробласты вырабатывают неполноценные эластин, коллаген и фибронектин, а также к нарушению свойств ферментов, регулирующих обмен коллагена. В результате нарушается строение и функции соединительных тканей сердца [14] .
Вторичная форма митральной недостаточности возникает в результате перенесённых заболеваний и травм. При патологии происходит расширение полости левого желудочка, прогибание створок митрального клапана, дисфункция сосочков мышц и разрыв сухожильных хорд, соединяющих клапаны с сосочковыми мышцами. Иногда причиной развития вторичной недостаточности митрального клапана становится кальциноз клапанного фиброзного кольца. Кальциноз митрального кольца — это хронический дегенеративный процесс, при котором происходит отложение кальция в кольце клапана. Митральное кольцо при кальцификации становится утолщённым и менее гибким. Хотя изначально кальциноз митрального клапана считался возрастным дегенеративным процессом, накапливаются данные о том, что его развитию способствуют атеросклероз и генетически обусловленные нарушения кальций-фосфорного обмена [16] .

Классификация и стадии развития недостаточности митрального клапана
В течении заболевания выделяют три периода:
- Компенсация дефекта клапана усиленной работой левого предсердия и левого желудочка. Это продолжительный период хорошего самочувствия, но уже на этой стадии начинают появляться первые характерные симптомы: слабость, головокружение, частые простудные заболевания, чувство нехватки воздуха, перебои в работе сердца, одышка.
- Развитие венозной митральной недостаточности. Больные жалуются на одышку и учащённое сердцебиение. При интенсивной физической нагрузке наблюдаются приступы сильной одышки и кровохарканье.
- Одышка уменьшается, но пациент ощущает тяжесть в правом подреберье. Появляются отёки, уменьшается количество мочи, набухают шейные вены. Кровохарканье усиливается, развивается отёк лёгких, возникают нарушения сердечного ритма (мерцательная аритмия и наджелудочковая экстрасистолия) и тромбоэмболические осложнения.
С учётом выраженности обратного тока крови выделяют четыре степени митральной недостаточности: с незначительной митральной регургитацией, с умеренной, выраженной и тяжёлой.
Стадии митральной недостаточности:
- Митральный возврат крови составляет 20-25 %. На этой стадии пациент здоров.
- Митральный возврат крови в пределах 25-50 % от систолического объёма крови. Развивается застой крови в лёгких второй степени. Появляются кашель, одышка, перебои в работе сердца.
- Выраженная недостаточность митрального клапана. Возврат крови в левое предсердие составляет 50-90 %. Возникают кашель, кровохарканье, приступы удушья, увеличивается печень, появляются отёки [8] .
Осложнения недостаточности митрального клапана
Осложнения порока:
- Кровохарканье и отёк лёгких. Проявляется одышкой, затруднённым вдохом, влажным кашлем. В мокроте появляется кровь. Температура тела повышается до субфебрильных ( 37-38 °C ) и фебрильных ( 38-39 °C ) значений. Необходима срочная госпитализация в отделение реанимации.
- Нарушения сердечного ритма в виде мерцательной аритмии и наджелудочковой экстрасистолии. Проявляются перебоями в работе сердца, головокружением, слабостью, обмороками. Требуется госпитализация в отделение кардиологии.
- Тромбоэмболические осложнения (тромбоз левого предсердия, сосудов кишечника, почек, головного мозга). Последствия будут зависеть от локализации тромба. При тромбозе сосудов головного мозга возможен инсульт. Если тромб находится в почках и сосудах кишечника, то пациент испытывает острые боли в животе. Необходима госпитализация в отделение реанимации [8][9] .

Диагностика недостаточности митрального клапана
При сборе анамнеза кардиолог уточняет:
- ощущает ли пациент нехватку воздуха при вдохе;
- беспокоят ли перебои в работе сердца;
- возникает ли одышка при незначительных физических нагрузках;
- мучает ли тревога, страх смерти, панические атаки.
При аускультации ("выслушивании" сердца) выявляется систолический шум у верхушки и над основанием сердца. Важное значение для диагностики митральной недостаточности имеет фонокардиография (ФКГ). ФКГ - это метод исследования работы сердечной мышцы, который основан на регистрации и последующем анализе звуков, возникающих во время работы сердца .
Другой важный инструментальный метод диагностики — эхокардиография (Эхо-КГ) . Эхо-КГ — это безболезненное ультразвуковое исследование, которое позволяет исследовать работу сердца в реальном времени. Эхокардиография покажет уменьшение эластичности клапана, его повреждение, размер отверстия митрального клапана и расстояние между его створками. Также при исследовании можно увидеть разрыв папиллярной мышцы и провисание клапанных створок в полость левого предсердия [4] [8] [9] .

Лечение недостаточности митрального клапана
При обострении заболевания необходим постельный режим. Также следует принимать препараты, содержащие магний и B6 по две таблетки три раза в день (например, "Магнелис").
Обязательно следует проводить лечение и профилактику осложнений. Для предупреждения тромбоэмболии пациентам старше 30-40 лет назначают препарат "Тромбо АСС", препятствующий тромбообразованию .
Если беспокоит частый пульс (более 80 ударов в минуту), то назначаются бета-адреноблокаторы, диуретики, антикоагулянты, нитроглицерин.
Если пациент страдает от приступов тревоги, то в качестве симптоматической терапии можно рекомендовать короткий курс феназепама на ночь.
Если развивается сердечная недостаточность и нарушается сердечный ритм, то проводят лечение бета-адреноблокаторами, диуретиками, ингибиторами ангиотензинпревращающего фермента, антикоагулянтами, блокаторами кальциевых каналов.
При значительной недостаточности митрального клапана показано оперативное лечение.
Основные хирургические методы коррекции митральной недостаточности:
- пластика митрального клапана;
- протезирование с частичным или полным сохранением хордального аппарата;
- протезирование без сохранения хордального аппарата.
Своевременное хирургическое вмешательство позволяет достичь хороших результатов и не допустить развитие осложнений.

Прогноз. Профилактика
При соблюдении рекомендаций врача прогноз благоприятный.
Для профилактики осложнений следует:
- ежегодно проходить осмотр у терапевта и кардиолога и проводить эхокардиографию сердца (Эхо-КГ);
- принимать препараты магния, а для предупреждения тромбоэмболии — антикоагулянты;
- исключить тяжёлые физические нагрузки, переохлаждение и перегрев;
- снизить эмоциональные перегрузки;
- отдыхать в дневные часы;
- при тревожных расстройствах принимать успокоительные препараты, освоить методы аутотренинга и расслабления мышц;
- проходить санаторно-курортное лечение [4] .
При ревматизме и после перенесённой ангины для профилактики недостаточности митрального клапана назначают антибиотик "Бициллин-3". Препарат подавляет развитие стрептококковой и стафилококковой инфекций.
После 40 лет всем пациентам, страдающим недостаточностью митрального клапана, необходимо контролировать уровни фибриногена, РФМК (растворимых фибринмономерных комплексов), D-димера (продукта распада фибрина). Эти анализы нужны для предотвращения тромбоэмболии лёгочной артерии и артерий внутренних органов. При повышении вышеуказанных показателей назначают антикоагулянты.
Если недостаточность митрального клапана обнаружена у ребёнка и его беспокоит слабость, головокружение, расстройство внимания, то рекомендуется временно перейти на домашнее обучение. Таким детям следует избегать чрезмерных физических нагрузок, им разрешена только лечебная физкультура.
Если при проведении Эхо-КГ обнаружено сильное прогибание створок клапана, то необходима консультация у кардиохирурга. Восстановление клапана или его замена могут потребоваться при эндокардите, сердечной недостаточности, нарушениях ритма, сильных болях в грудной клетке, признаках застоя в лёгочной системе (одышке, уменьшении объёма вдоха и ощущении нехватки воздуха).
Пролапс митрального клапана
Митральный клапан расположен между левым предсердием и левым желудочком.
Пролапс митрального клапана (ПМК) — это порок сердца, при котором происходит прогибание створок митрального клапана в левое предсердие во время сокращения левого желудочка. В норме во время сокращения предсердия клапан открыт и кровь поступает в желудочек. Затем клапан закрывается и происходит сокращение желудочка за счет которого кровь выбрасывается в аорту. При ПМК пролабирование «прогибание» створок клапана во время сокращения левого желудочка приводит к тому, что часть крови поступает обратно в предсердие. Клинические признаки ПМК проявляются только при выраженном обратном забросе крови. Этот порок обычно встречается у молодых людей, чаще у женщин в возрасте от 14 до 30 лет. В большинстве случаев ПМК протекает бессимптомно, не приводит к нарушениям работы сердца и является случайной диагностической находкой при проведении эхокаридиографии сердца (ЭХО-КГ). В редких случаях величина обратного заброса крови велика и требуется коррекция порока, вплоть до хирургического вмешательства.
Причины заболевания
Причина ПМК до конца не ясна. Известно, что ПМК часто наблюдается у пациентов, имеющих наследственные заболевания с дисплазией соединительной ткани. Например, при синдромах Элерса - Данло, Марфана, несовершенном остеогенезе.
Симптомы ПМК
В большинстве случаев пролапс митрального клапана протекает бессимптомно и его выявляют случайно при профилактическом обследовании.
К симптомам ПМК можно отнести:
- боли в левой половине грудной клетки (боли не связаны с физической нагрузкой и не купирующиеся при приеме нитроглицерина);
- чувство нехватки воздуха (возникает желание сделать глубокий, полноценный вдох);
- чувство частого сердцебиения или наоборот редкого биения сердца;
- головокружения, обмороки и предобморочные состояния;
- незначительное «беспричинное» повышение температуры;
- утренние и ночные головные боли.
Перечисленные симптомы не являются специфичными. Однако, при обследовании молодых людей с подобными жалобами часто выявляется ПМК.
Диагностика пролапса митрального клапана
При аускультации сердца терапевт или кардиолог может услышать характерный шум. При подозрении на порок сердца пациента направляют на электрокардиографию (ЭКГ) и эхокардиографию сердца (ЭХО-КГ).
Лечение
При бессимптомном те¬чении пролапса митрального клапана без признаков недостаточности митрального клапана нет необходимости в проведении лечения. Рекомендуют контрольное ЭХО-КГ 1 раз в год, наблюдение у кардиолога, отказ от употребления крепкого чая, кофе, алкоголя, курения.
Активное лечение необходимо лишь в том случае, когда пролапс сопровождается нарушениями ритма сердца и болями в сердце. В этом случае могут потребоваться специальные лекарственные препараты, которые назначит кардиолог.
При наличии митральной недостаточности в некоторых случаях показано выполнение пластики или протезирования клапана.
Осложнения
ПМК в большинстве случаев протекает благоприятно, однако иногда может приводить к серьезным осложнениям:
- митральная недостаточность;
- инфекционный эндокардит;
- аритмии.
Перед началом применения любого препарата посоветуйтесь со специалистом и ознакомьтесь с инструкцией по применению.
Пролапс митрального клапана (ПМК) - причины, симптомы и лечение.

Пролапс митрального клапана (ПМК) - это сердечная аномалия, одна из самых распространённых патологий сердца. При наличии данной патологии створки митрального клапана провисают/выпячиваются в полость предсердия, это происходит в момент сокращения левого желудочка сердца. В результате такой сердечной аномалии может происходить регургитация, когда часть крови возвращается в левое предсердие. Данная патология относиться к доброкачественным (в отличие от пороков сердца, например), но также может иметь серьезные неприятные последствия, к сожалению. Регургитация тяжелой степени может стать причиной инвалидности. В одних случаях пролапс митрального клапана требует серьезного лечение (медикаментозного или даже хирургического), в других - врачи ограничиваются лишь наблюдением за пациентом, человек должен регулярно проходить обследования и следить за своим образом жизни.
Очень часто человек не знает о том, что у него есть ПМК и обнаруживается данная аномалия в процессе медицинского обследования по какому-то другому вопросу, так как симптомы данного заболевания часто носят не специфический характер: головная боль, утомляемость, головокружения, кардиальные боли. Поэтому очень важно при наличии проблем со здоровьем, даже если это легкая утомляемость или недомогание, которые при этом носит длительный характер, не откладывать визит к врачу.
Пролапс митрального клапана: причины
Существуют 2 вида пролапса митрального клапана - первичный и вторичный, согласно происхождению патологии.
Причинами первичного пролапса митрального клапана являются генетические дефекты. Данный вопрос еще не до конца изучен, но есть свидетельства того, что ПМК - заболевание, которое передается по наследству. Кроме того, повлиять на возможность развития у человека ПМК могут отрицательные факторы, оказывающие негативное действие на плод еще в утробе матери. К таким факторам относятся перенесенные вирусные заболевания матери в процессе беременности, гестоз, плохое экологическое окружение.
Первичный ПМК подразделяется на:
- Пролапс митрального клапана как самостоятельная болезнь.
- Пролапс митрального клапана как проявление нарушения развития соединительной ткани (дисплазия соединительной ткани, синдром Марфана, синдром Элерса-Данло). В данном случае патология, помимо ПМК, может проявляться гипермобильностью суставов, искривлениями позвоночника, деформацией грудной клетки, у человека часто происходят вывихи и подвывихи суставов, и другими симптомами.
Причинами вторичного ПМК являются другие заболевания, именно на их фоне и возникает вторичный пролапс сердца:
- врожденные пороки сердца;
- приобретенные пороки сердца;
- ИШБ (ишемическая болезнь сердца);
- миокардиты;
- ревматическая болезнь сердца;
- кардиомиопатия.
Патогенез ПМК.
Митральный клапан разделяет полости желудочка сердца и его левого предсердия. Когда митральный клапан находится в норме, то его створки «отклонены» вниз в момент расслабление миокарда и наполнения полостей сердца кровью и наоборот - створки «подняты» вверх в момент сокращения предсердий, левое предсердно-желудочковое отверстие закрыты. При ПМК клапан работает неверно: в фазу сокращения предсердий створки клапана «прогибаются» в полость левого предсердия, а так быть не должно. Ведь по этой причине атриовентрикулярное отверстие полностью либо частично перекрывается и возникает обратное движение крови из левого желудочка в левое предсердие (митральная регургитация).
В случае наличия у человека пролапса митрального клапана может уменьшаться способность сердечной мышцы к сокращению, что в свою очередь может привести к возникновению недостаточность кровообращения; также может отмечаться наличие артериальной гипотензии, пограничной легочной гипертензии, нарушение обмена веществ и дисфункция вегетативной нервной системы.
Пролапс митрального клапана: симптомы.
Пролапс митрального клапана может протекать как с ярко выраженными симптомами, так и абсолютно «тихо», не давая о себе знать. Необходимо обращать внимание на сигналы организма, в том числе на «простые» головную боль, усталость, не списывать их, например, на стресс, не пропускать их мимо и находить причину.
У детей и подростков довольно часто болезнь протекает именно бессимптомно или сопровождается лишь незначительным дискомфортном в области грудной клетки. Также при наличии первичного ПМК у детей обнаруживаются болезни, которые свидетельствуют о нарушении развития соединительной ткани:
- сколиоз;
- деформация грудной клетки;
- гипермобильность суставов;
- дисплазия тазобедренных суставов;
- плоскостопие;
- грыжи (пупочные, паховые);
- нефроптоз и др.
Вместе с тем можно выделить характерные для пролапса митрального клапана симптомы:
- пониженное артериальное давление, как следствие - головокружения;
- частое сердцебиение;
- чувство, что сердце работает «с перебоями»;
- предобморочное состояние, которое проявляется, в том числе, чувством тошноты, мушками перед глазами;
- давящая или сжимающая (иногда колющая) боль за грудиной или в грудной клетке (ее левой части) - может появляться как от физической нагрузки, стресса, так и без определенной причины;
- ощущение постоянной усталости, проблемы с дыханием (затруднено), отеки ног, боль в правом боку (причина боли - увеличение печени).
Вторичный ПМК дополняется также симптомами и основной болезни пациента - синдромом Марфана, пороками сердца (врожденными), ревмокардитом.
Степени пролапса митрального клапана (классификация).
Пролапс митрального клапана классифицируется на первичный и вторичный (согласного происхождению болезни), на пролапс передней, задней и обеих створок клапана (согласно локализации.
Согласно выраженности определяются 3 степени ПМК
- I степень — створки клапана «выпадают» на 3-6 мм., смыкание створок митрального клапана - полное (по этой причине ПМК I степени может проходить бессимптомно).
- II степень — створки клапана «выпадают» на 7-9 мм., створки митрального клапана смыкаются неплотно, присутствует обратный заброс крови из желудочка в предсердие (ретургитация).
- III степень — створки клапана «выпадают» свыше 9 мм.
Кроме того, врачи отдельно классифицируют степень выраженности митральной регургитации (обратное движение крови из левого желудочка в левое предсердие):
- I степень — обратное движение крови случается на уровне створок;
- II степень — волна регургитации доходит до середины левого предсердия;
- III степень — волна регургитации проходит более половины предсердия;
- IV степень — волна регургитации доходит до противоположного конца предсердия.
Диагностика ПМК.
Пролапс митрального клапана в подавляющем большинстве случаев выявляется с помощью неинвазивных обследований, окончательный диагноз устанавливается с помощью эхокардиография, также используется ряд других исследований:
- Опрос больного на жалобы, сбор анамнеза.
- Общий анализ крови.
- Биохимический анализ крови.
- Аускультативное обследование. Врач выслушивает сердце с помощью стетоскопа и может уловить определенный, характерный для болезни щелчок и/или систолический шум над верхушкой сердца - в положении пациента стоя, в положении сидя или лежа эти звуки уменьшаются.
- Электрокардиография (ЭКГ). На ней врач может увидеть неспецифические изменения сегмента ST и зубца Т в отведениях III и aVF, а также "синдром укороченного PQ") наджелудочковые тахикардии.
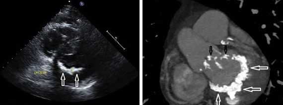
- Эхокардиография (УЗИ сердца). Здесь врач может обнаружить такие признаки болезни, как провисание створок митрального клапана (задней или сразу обеих) в полость левого предсердия в середине систолы, в позднюю систолу или во всю систолу. Эхокардиография - это одно из самых важных обследований в диагностике ПМК у пациента.
- Рентгенограмма грудной клетки. На ней могут быть признаки сглаженного лордоза (но также может быть и в норме).
- МРТ (грудной клетки).
После всех исследований кардиолог назначает необходимое лечение.
Пролапс митрального клапана: лечение.
Лечение ПМК может назначить только кардиолог, требуется оно в том случае, если человек имеет боли в сердце и присутствует нарушение сердечного ритма.
Факторы, влияющие на необходимость лечения:
- степень «выпадения» створки клапана;
- наличие ретургитации;
- наличие осложнений.
При ПМК I степени и отсутствии у человека каких-либо осложнений, боли, неприятных ощущений - лечение не требуется. Однако необходим отказ от курения, потребления кофе в больших количествах; важно постоянно посещать врача и обследоваться.
При ПМК I степени с регургитацией I степени и ПМК II и III степени (особенно если выявлены нарушения сердечного ритма и/или недостаточность кровообращения) - назначается медикаментозная терапия. Кроме того, в сложных случаях назначается хирургическое лечение.
Также для пациентов с диагнозом ПМК рекомендуется:
- отказаться от излишних физических нагрузок, избегать переутомления; физические нагрузки должны быть умеренные;
- отказаться от курения, алкоголя, не пить кофе и крепкий чай;
- соблюдать режим сна;
- сбалансированно питаться.
Может ли исчезнуть пролапс митрального клапана?
Пролапс митрального клапана: осложнения:
- нарушения сердечного ритма (одно из самых распространенных осложнений);
- ишемический инсульт;
- воспаление миокарда;
- изменения сосудов с нарушением кровообращения в мозгу.
ПМК: прогноз и профилактика.
В целом прогноз по ПМК достаточно благоприятный, главное - постоянное клиническое наблюдение за больным для определения степени недостаточности митрального клапана. Часто пролапс митрального клапана не влияет на физическую активность (среди людей с ПМК есть профессиональные спортсмены, танцоры и т.д.), однако есть признаки, выявление которых является «тревожным звоночком» и приводят к запрету на активные анаэробные нагрузки:
- синдром удлинённого QT;
- синдром Марфана;
- потеря сознания в анамнезе (без причины);
- дисфункция левого желудочка;
- приступы предсердной тахикардии;
- серьёзная митральная недостаточность.
Всем пациентам с ПМК необходимо следить за состоянием своего здоровья, избегать частых инфекции и обязательно заниматься их лечением при возникновении.
Профилактикой ПМК является отсутствие неблагоприятного воздействия на здоровье беременной женщины и развивающийся в утробе плод, своевременная диагностика и лечение заболеваний, которые повреждают клапанный аппарат сердца.
Ни в коем случае не пренебрегайте диагнозом ПМК и всегда строго следуйте рекомендациям врача!
Причины, симптомы и лечение пролапса митрального клапана
Пролапс митрального клапана - это сердечная аномалия, при которой во время сокращения левого желудочка створки митрального клапана провисают, выпячиваются (пролабируют), из-за чего может возникнуть регургитация, т. е. обратный заброс крови в левое предсердие.
Что это такое
Пролапс митрального клапана (далее - ПМК) - самая распространенная из клапанных патологий сердца. Заболевание имеется примерно у 2,5 % населения планеты. Часто его обнаруживают у детей и подростков. Преобладающее число больных - женщины и девочки.
ПМК выделяют отдельно от клапанных пороков сердца по двум причинам. Во-первых, у аномалии иная природа возникновения. Во-вторых, в отличие от пороков сердца, эта патология доброкачественная, но также может иметь неприятные последствия. Зачастую человек не знает о ее наличии: ПМК становится «случайной находкой» во время медосмотра или обследования по поводу другого заболевания.
Чтобы понять сути этой болезни, важно представлять процесс работы клапанов. Сердце человека имеет 4 полости, или камеры. В норме кровь циркулирует только в одном направлении: из предсердий в желудочки, затем в крупные сосуды (аорту и легочную артерию). Это возможно благодаря синхронной работе клапанов, которые открываются и закрываются в нужный момент. Закрытые клапаны препятствуют регургитации - направлению кровотока в обратную сторону.
При ПМК его главная функция нарушается. В фазу систолы, когда левый желудочек сокращается, створки клапана не выдерживают давления крови и начинают выпячиваться в полость левого предсердия. Основная проблема - часть крови возвращается в левое предсердие. Это называется регургитацией. С этим процессом связаны все вытекающие неблагоприятные последствия ПМК. Регургитация тяжелой степени может привести к инвалидности.

Причины возникновения дефекта
По происхождению пролапс митрального клапана бывает двух видов:
Первичный ПМК вызван генетическими дефектами. И хотя генные мутации, отвечающие за развитие патологии, еще точно не определены, есть подтверждения наследственной природы заболевания в виде частых случаев пролапса у близких родственников.
Поэтому если у кого-то из ваших родителей, или родных братьев и сестер диагностировали ПМК, высока вероятность того, что он присутствует и у вас.
Первичный пролапс подразделяется на виды:
- собственно ПМК как самостоятельная болезнь;
- ПМК как проявление нарушения развития соединительной ткани.
Под последним подразумеваются наследственные заболевания, обусловленные дефектом образования белка коллагена. К таким болезням относятся синдромы Марфана и Элерса-Данло, а также часто встречающиеся недифференцированные дисплазии соединительной ткани. Помимо ПМК эти патологии характеризуются разными клиническими проявлениями:
- повышенная ранимость и гиперрастяжимость кожи;
- частые подвывихи и вывихи;
- гипермобильность суставов - человек способен согнуть локти и колени в обратную сторону, дотронуться большим пальцем руки до предплечья, сомкнуть ладони, заведя руки за спину;
- деформации грудной клетки - килевидная, воронкообразная;
- искривления позвоночника - сколиоз, кифоз;
- плоскостопие;
- ранняя близорукость;
- аневризмы межпредсердной перегородки и аорты;
- раннее развитие варикозного расширения вен нижних конечностей, геморроя;
- диафрагмальные и позвоночные грыжи;
- частые носовые кровотечения;
- опущение внутренних органов - желудка (гастроптоз), кишечника (колоноптоз), почек (нефроптоз).
Вторичный пролапс, как видно из самого названия, развивается на фоне других болезней. ПМК возникает из-за расширения полостей сердца, растяжения фиброзного кольца клапана, вследствие сморщивания, воспаления створок клапана или отложения в них солей кальция.
Причины вторичного пролапса:
- ишемическая болезнь сердца;
- кардиомиопатии;
- миокардиты;
- врожденные и приобретенные пороки сердца;
- хроническая ревматическая болезнь сердца.
Отдельно хочу выделить «безобидный или физиологический» ПМК, который развивается из-за незрелости самого клапана (фиброзного кольца, створок) и подклапанного аппарата (сухожильных нитей или хорд и папиллярных мышц). Во время систолы желудочков папиллярные мышцы сокращаются и натягивают хорды, которые удерживают створки клапана от провисания.
Часто случается так, что в растущем организме ребенка одни структуры сердца развиваются раньше, а другие - позже.
- образование слишком длинных створок или хорд;
- большой диаметр фиброзного кольца;
- недостаточное сокращение папиллярных мышц.
Это может привести к пролабированию створок митрального клапана. Однако физиологический пролапс не без оснований называют «безобидным». К 18-20 годам все структуры сердца полностью созревают, и клапан функционирует, как у здорового человека.
Частые симптомы
У большинства людей с «безобидным» пролапсом митрального клапана, особенно у детей и подростков, наблюдается бессимптомное течение болезни, их ничего не беспокоит. Иногда пациенты жалуются лишь на незначительный дискомфорт в груди. Хочу отметить, клиническая картина может никак не соответствовать степени патологии.
Симптомы пролапса митрального клапана:
- боли в левой части грудной клетки или за грудиной: колющие, давящие, сжимающие, средней интенсивности. Продолжительность варьируется от нескольких секунд до суток. Боль может возникнуть как во время сильного переживания или выполнения физического упражнения, так и спонтанно, без видимой причины. Часто неприятное ощущение сопровождается чувством нехватки воздуха, появлением холодного липкого пота, тревогой и даже страхом смерти;
- головокружение из-за пониженного артериального давления;
- учащенное сердцебиение, ощущения «перебоев, перекатывания, замирания» в груди;
- частые предобморочные состояния, при которых человек испытывает чувство дурноты и тошноты, сопровождающееся мельканием мушек перед глазами и затуманенным зрением;
- при тяжелой и длительной митральной регургитации присоединяются признаки застойной сердечной недостаточности - затруднения дыхания, быстрое наступление усталости, отеки на ногах, особенно в вечернее время, тяжесть в правом боку из-за увеличения печени.
Также у людей с пролапсом митрального клапана, чаще на фоне наследственных нарушений соединительной ткани, я наблюдаю симптомы вегетативной дисфункции:
- постоянные перепады давления;
- падения в обморок;
- повышенная потливость;
- невротические расстройства - такие пациенты обычно тревожно-мнительные, страдают различными фобиями, ипохондрическими и обсессивно-компульсивными неврозами, они часто выдумывают себе несуществующие заболевания;
- «зябкость» и холодные пальцы рук и ног;
- повышенная чувствительность к холоду;
- вегетативные кризы, более известные как панические атаки.
Виды и степени пролапса митрального клапана
Эхокардиография (УЗИ сердца) - это главный метод исследования для диагностики ПМК. С его помощью оценивается тяжесть пролапса: степень пролабирования створок и регургитации. Под пролабированием подразумевается то, насколько створки клапана прогибаются в полость левого предсердия.
Таблица. Классификация пролапса митрального клапана

Нарушение также оценивают на УЗИ сердца, но в режиме допплерографии.
Выделяют 4 степени:
- 1 степень - обратный ток крови проникает в полость левого предсердия на расстояние до 20 мм;
- 2 степень - проникновение до середины предсердия;
- 3 степень - ток крови проходит более половины предсердия;
- 4 степень - регургитация до противоположной стенки предсердия.
Примерно у 30 % людей с ПМК, который развился на фоне наследственных болезней соединительной ткани, дополнительно имеется пролапс трикуспидального клапана, и у 4-5 % - пролапс аортального клапана.
Критерии постановки диагноза
Чтобы поставить точный диагноз, я пользуюсь специально разработанными критериями:
- Главными.
- Дополнительными.
- Неспецифическими.
К первым относятся:
- позднесистолический щелчок/клик, позднесистолический шум на верхушке сердца при аускультации. Иногда, чтобы лучше выслушать шум, я прибегаю к некоторым хитростям: прошу больного сделать 10 приседаний или лечь на левый бок;
- смещение створок в момент систолы желудочков, пролабирование (прогибание) створок больше 3 мм.
- невротические расстройства;
- наличие ПМК у ближайших родственников (отца, матери, бабушек, дедушек, родных братьев или сестер);
- внешний вид больного - высокий рост, худощавое телосложение, длинные руки и ноги, неправильный прикус, деформации грудной клетки или позвоночника.
К неспецифическим критериям относятся:
- жалобы пациента - боли в области сердца, затруднение дыхания, учащенное сердцебиение, панические атаки;
- изменения на пленке ЭКГ - отрицательный зубец Т в отведениях II, III, aVF, частые экстрасистолы и замедления внутрижелудочковой проводимости.
Наличие 2 главных критериев или одного главного и 2 дополнительных позволяют достоверно поставить диагноз пролапса митрального клапана. Кроме того, данные критерии помогают провести дифференциальную диагностику, т. е. отличить ПМК от приобретенных пороков сердца.
Требуется ли лечение
Факторы, которые помогают определить, необходимо ли лечение пролапса митрального клапана:
- симптомы;
- степень пролабирования и регургитации;
- наличие или отсутствие осложнений.
Если у человека обнаружен гемодинамически незначимый ПМК 1 степени, и он не испытывает никаких неприятных ощущений, то лечение не требуется. Таким людям я рекомендую лишь отказаться от курения, избыточного употребления кофе, а также проходить регулярные обследования у кардиолога и эхокардиографию (1 раз в 3 года).
Пролапс митрального клапана 1 степени с регургитацией 1 степени и пролапс митрального клапана 2 степени, а тем более признаки нарушения ритма и недостаточности кровообращения - это показание к назначению специфической медикаментозной терапии: лекарственных препаратов из группы бета-адреноблокаторов (Метопролол, Бисопролол).
Эти фармакологические препараты отлично справляются с болью, нормализуют частоту сердцебиения и уровень артериального давления. Они замедляют прогрессирование степени регургитации, предотвратить опасные тахиаритмии. Также с помощью бета-адреноблокаторов можно компенсировать явления сердечной недостаточности. Если они не справляются, то я применяю блокаторы кальциевых каналов (Дилтиазем, Верапамил).
Однако важно помнить, что имеются противопоказания к применению этих лекарственных препаратов:
- выраженная брадикардия, т. е. медленный сердечный ритм (менее 55 ударов в минуту);
- атриовентрикулярные блокады 2 и 3степеней;
- низкое артериальное давление (ниже 100 мм рт. ст).
В борьбе с гипотонией помогают «биогенные стимуляторы»:
- элеутерококк;
- женьшень;
- лимонник.
Для лечения тревожности сначала я назначаю растительные успокоительные средства - валериану, пустырник, боярышник. При выраженных невротических расстройствах и для профилактики панических атак нужны более сильные препараты (Диазепам, Феназепам). Чтобы получить на них рецепт, я направляю пациентов на консультацию к неврологу, психиатру или психотерапевту.
При развитии хронической сердечной недостаточности я назначаю ингибиторы АПФ (Периндоприл) и калийсберегающие диуретики (Спиронолактон). При тяжелых нарушениях ритма сердца, вызывающих ухудшение самочувствия, я применяю антиаритмические средства (Амиодарон, Пропафенон). Для профилактики образования тромбов при фибрилляции предсердий я использую антикоагулянты (Варфарин).
На поздних стадиях пролапса с митральной регургитацией 4 степени или тяжелой недостаточности кровообращения требуется хирургическая операция - пластика или протезирование клапана.
Отдельно стоит рассмотреть вопрос беременности при ПМК. Медикаментозное лечение принципиально не отличается. Если же возникает выраженная регургитация (3-4 степени) и развиваются серьезные осложнения, дальнейшие действия зависят от срока:
- до 22 недель - медикаментозное прерывание беременности или вакуум-аспирация;
- после 22 недель - кесарево сечение и помещение ребенка в специальный инкубатор для сохранения жизни.
В дальнейшем проводится хирургическое лечение пролапса. Такие радикальные меры обусловлены высокой опасностью для матери и плода: вероятен летальный исход.
Меняется ли прогноз у людей с ПМК?
Пролапс митрального клапана - доброкачественная патология.
Но прогноз напрямую зависит от следующих факторов:
- степень пролабирования;
- присутствует или отсутствует регургитация;
- имеются ли осложнения.
При незначительном пролапсе (1 степени без регургитации или с регургитацией 1 степени) прогноз благоприятен. Такая патология не сказывается на продолжительности жизни.
При пролапсе со 2 степенью регургитации больным, помимо приема лекарственных препаратов, важно соблюдать ограничительный режим. Например, больным противопоказаны бокс, тяжелая атлетика, профессиональный бег. Молодые люди имеют ограничения годности к военной службе. На военно-врачебной комиссии, в зависимости от наличия осложнений, им присваиваются категории «Б», «В», и «Г».
Возможные и отрицательные последствия
Несмотря на кажущуюся безобидность, пролапс митрального клапана опасен осложнениями, которые могут стать реальной угрозой для жизни пациента.
К неблагоприятным последствиям ПМК относятся:
- хроническая сердечная недостаточность - из-за регургитации часть крови не поступает в аорту, поэтому левый желудочек вынужден компенсаторно гипертрофироваться (утолщаться). Со временем это приведет к его дисфункции и ухудшению кровообращения всего организма;
- нарушения ритма сердца (фибрилляция предсердий, удлинение интервала QT, пароксизмальные суправентрикулярные и желудочковые тахикардии). Регургитация приводит к растяжению и расширению полости левого предсердия, в стенке которого могут возникать очаги патологической электрической активности;
- ишемический инсульт - в расширенной полости левого предсердия создается вихревой поток крови, что способствует ее сгущению и образованию тромбов;
- острая митральная недостаточность - при выраженной степени пролапса и регургитации сухожильные нити, которые крепятся к створкам, сильно натягиваются. В результате возможен их разрыв и резкая перегрузка отделов сердца, расположенных слева;
- инфекционный эндокардит - во время некоторых медицинских манипуляций (удаление зуба, установка катетера, бронхоскопия) в общий кровоток попадает небольшое количество бактерий. При пролапсе они могут осесть на створках клапана и начать размножаться. Чтобы это предотвратить, людям с ПМК перед процедурами рекомендуется принимать антибиотики.
Эти осложнения могут быстро привести к гибели больного.
Советы специалиста: лечение ПМК при дисплазии соединительной ткани
У людей, страдающих наследственными нарушениями соединительной ткани, имеется дефицит магния. Этот микроэлемент способствует образованию коллагеновых волокон, а следовательно, и укреплению соединительной ткани. Поэтому таким больным я рекомендую включить в рацион питания продукты, богатые магнием: овсяную кашу, бананы, орехи, гречку и другие. Также стоит дополнительно принимать биодобавки: «Магне B6», «Магнерот». Чтобы улучшить усвоение магния, можно добавить аскорбиновую кислоту.
Случай из практики: женщина с нарушением ритма и пролапсом
Хочу представить вам случай аритмии, вызванной пролапсом митрального клапана. Ко мне обратилась женщина 38 лет. Ее на протяжении долгого времени беспокоили «перебои в работе сердца», неритмичный пульс, а также эпизоды учащенного сердцебиения, при которых значительно ухудшается ее самочувствие, что проявляется в виде тошноты, головокружения. Во время последнего такого приступа женщина упала в обморок, из-за чего она испугалась и решила обратиться ко мне.
При общем осмотре бросились в глаза худощавость и высокий рост пациентки. В ходе обследования удалось отметить гипермобильность локтевых и лучезапястных суставов. Женщина также сказала, что в детстве у нее часто были вывихи суставов рук. Я назначил холтеровское мониторирование ЭКГ и эхокардиографию, которые показали удлинение интервала QT, эпизоды пароксизмальной желудочковой тахикардии типа «пируэт», пролабирование створок на 7 мм без признаков регургитации. На основании результатов я поставил диагноз: пролапс митрального клапана 2 степени без регургитации с осложнениями (удлиненный интервал QT, ПЖТ, ХСН ФК 0). Я назначил Бисопролол (1 табл. 1 раз в сутки) и Магне B6 (по 2 таблетки 3 раза в день). Также я предоставил пациентке список продуктов с высоким содержанием магния.
При повторном приеме через 3 месяца женщина отметила значительное улучшение: у нее нормализовался пульс, прекратились приступы. А на ЭКГ отсутствовали признаки нарушений ритма сердца.
Читайте также:
