Протезирование дефектов коронок зубов вкладками. Протезирование коронки зуба искусственными коронками.
Добавил пользователь Владимир З. Обновлено: 22.01.2026
Культевая вкладка в стоматологии - это конструкция из металла или керамики, которая применяется для предварительного восстановления сильно разрушенной коронковой части зуба (перед тем, как фиксировать на зуб стоматологическую коронку). Изготовление культевой вкладки под коронку позволяет сохранить зубы, имеющие даже 100% разрушение их коронковой части. Единственное требование в данном случае - наличие крепкого корня зуба, способного выдержать жевательную нагрузку.
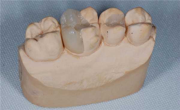
Такие вкладки под коронку также принято называть штифтовыми или литыми. Внешний вид культевой вкладки подразумевает, что она состоит из двух частей - корневой части (внутриканальной) и надкорневой. Корневая часть вкладки имеет вид штифта, который фиксируется на цемент в корневом канале. Надкорневая часть имеет форму культи обточенного под коронку зуба, на которую в последующем уже осуществляется протезирование искусственной коронкой (рис.1-3).
Культевая вкладка на зуб под коронку: фото
Культевая вкладка под коронку является более качественной альтернативой восстановлению зубов при помощи обычного штифта (металлического или стекловолоконного) и пломбировочного материала. Это имеет большое значение именно при сильном разрушении коронковой части зуба, позволяя значительно продлить срок его службы, а также снизить риски (например, перелома корня).
Зачем нужны культевые вкладки -
Почему стоматологи чаще всего восстанавливают сильно разрушенные зубы не культевыми вкладками, а штифтами и пломбами? Дело в том, что обычно пациент попадает сначала к стоматологу-терапевту, который пролечит вам все зубы, и только потом по необходимости отправит вас к стоматологу-ортопеду (протезисту). В этом случае стоматолог-ортопед вряд ли порекомендует вам - удалить уже оплаченные вами пломбу и штифт из корневого канала, и еще раз заплатить - только уже за установку вкладки под коронку.
Второй момент - когда пациент ориентирован на самый бюджетный вариант металлокерамических коронок, то дополнительные 6000 рублей за 1 вкладку - могут заставить пациента вообще отказаться от протезирования. Большинство пациентов не готово платить за надежность, т.е. за то, что пока еще не случилось (например, выпадение коронки со штифтом или перелом корня зуба). По правилам - восстановить зуб под коронку посредством обычных штифта и пломбы можно, только если у зуба сохранилось достаточное количество твердых тканей (рис.4-6).
Восстановление зуба под коронку штифтом и пломбой -
Важно : однако, когда от зуба остался только корень, либо очень тонкие стенки - восстановление зуба при помощи штифта чревато двумя осложнениями. Во-первых - корень однажды просто не выдержит жевательную нагрузку и треснет (возникнет перелом корня зуба), что потребует его удаления.
Во-вторых - при таком лечении очень часто происходит выпадение искусственной коронки вместе с штифтом и пломбой. И если это происходит - нельзя просто вставить выпавшую коронку со штифтом назад в корневой канал. Зуб нужно будет полностью перелечивать, делать новую коронку, что потребует новых финансовых расходов. Попытки некоторых врачей вставить назад и приклеить все это на цемент - заканчивается либо новым выпаданием, либо начинает гнить зуб под коронкой.
Клиническая ситуация -
ниже можете увидеть ситуацию, когда пациент обратился с жалобами на сильную подвижность металлокерамической коронки (рис.7). Во время осмотра коронка была удалена усилием пальцев. На рис.8 мы можем увидеть торчащий из коронки штифт, а на рис.9 - вид сгнившего корня зуба после удаления коронки со штифтом.
Вкладка на зуб под коронку: виды
Чтобы изготовить культевую вкладку - в зубе сначала нужно запломбировать корневые каналы у стоматолога-терапевта. Далее в дело вступает стоматолог-ортопед, который сначала распломбировывает верхнюю часть корневого канала на планируемую длину корневой части вкладки. Далее существует два варианта изготовления шаблона культевой вкладки - либо при помощи слепка, либо при помощи моделировки вкладки прямо в полости рта, например, из беззольной пластмассы.
Далее шаблон вкладки поступает в зуботехническую лабораторию, где начинается ее изготовление. Далее мы расскажем вам о вариантах изготовления культевых вкладок - 1) отлитых из металла, 2) керамических культевых вкладках из диоксида циркония.
1) Литая культевая вкладка -
Такие вкладки изготовляют из металла (чаще из кобальто-хромового сплава), и предназначены они либо под металлокерамику, либо под цельнолитые коронки. Из-за того, что корневая часть литой вкладки выглядит как металлический штифт - стоматологи также называют ее термином «культевая штифтовая вкладка». Причем, таких «штифтов» может быть не только один, но и сразу несколько, что будет зависеть от количества корней (корневых каналов) в конкретном зубе.
Культевая вкладка: фото
На рис.10-13 вы можете увидеть основные этапы протезирования зуба металлокерамической коронкой, начиная от исходной ситуации (когда зуб полностью разрушен) - до момента фиксации коронки на культевую вкладку. На рис.11 изображена литая культевая вкладка, сделанная из кобальто-хромового сплава.
Как мы сказали выше - корневая часть литой культевой вкладки может состоять из одного, двух или трех «штифтов», что будет зависеть от количества корней в зубе (количества корневых каналов). Однокорневые зубы обычно имеют только один корневой канал, и поэтому в них делают «одноканальные» культевые вкладки. Для двух- и трехкорневых зубов вкладки могут быть сделаны двухканальными (рис.15) или трехканальными (рис.14).
Многоканальные литые культевые вкладки -
Обратите внимание, что двух- и трехканальные вкладки очень часто бывают разборными (рис.15). Это делается потому, что несколько корневых каналов в одном зубе почти всегда имеют не параллельное, а расходящееся направление (это называется термином «дивергенция корневых каналов»). В связи с этим вставить «неразборную» многоканальную вкладку в корневые каналы - в большинстве случаев будет просто невозможно. Многоканальные разборные вкладки всегда стоят дороже.
Литая культевая вкладка под коронку: видео
Ниже вы можете увидеть этапы изготовления литой культевой вкладки и ее окончательный внешний вид. Обратите внимание, что на первом этапе вкладка моделируется из специального моделировочного воска, который в дальнейшем заменяется на металл.
2) Культевая вкладка из диоксида циркония -
Керамическая культевая вкладка для зуба - делается только из диоксида циркония. Такие вкладки необходимы, если вы планируете сделать керамические коронки (из безметалловой керамики). Дело в том, что коронки из керамики являются относительно светопрозрачными, а значит металл обычной культевой вкладки будет просвечивать через керамику, придавая ей ужасный серо-синюшный цвет. И поэтому в этом случае вкладка тоже должна быть керамической.
Изготовление культевой вкладки из диоксида циркония происходит методом фрезерования (технология CAD/CAM) - на станке с программным управлением. Для этого сначала создается трехмерный шаблон будущей вкладки (по слепку или путем моделировки из воска или беззольной пластмассы). Далее по этому шаблону происходит фрезерование вкладки из блока диоксида циркония.
Керамические культевая вкладка и коронка -
Сколько стоит культевая вкладка: цена 2022
То, сколько стоит культевая вкладка в Москве (в клиниках средней ценовой категории) - прежде всего зависит от материала изготовления. Под металлокерамические и литые металлические коронки вкладки делают из металла (кобальт-хромового сплава). Такие вкладки будут стоить значительно дешевле керамической вкладки из диоксида циркония.
Культевая вкладка: цена (на 2022 год)
- одноканальная или двухканальная литая культевая вкладка из металла (неразборная) - от 5000 до 6000 рублей,
- двух- или трехканальная вкладка из металла (разборная) - около 6500 рублей,
- вкладка культевая из диоксида циркония - цена около 12 000 рублей.
Полный расчет стоимости протезирования коронками -
пломбирование корневых каналов и фиксация вкладки является только первой и относительно недорогой частью протезирования. Как правило, стоимость качественных коронок значительно превышает эти суммы. О том, сколько стоят коронки из керамики или металлокерамики - читайте в нашей статье по ссылке ниже.
Плюсы и минусы культевых вкладок -
- Надежность конструкции -
надежность выше потому, что такая конструкция как «корень зуба-культевая вкладка-коронка зуба» значительно лучше держит и распределяет жевательную нагрузку, чем конструкция «корень зуба-штифт-пломба-коронка зуба». Это позволит избежать как перелома корня зуба, так и выпадения коронки со штифтом.
Минусы: более высокая совокупная стоимость протезирования, плюс несколько увеличатся сроки протезирования. Кроме того, для изготовления многоканальных разборных вкладок требуется высокая квалификация врача-стоматолога-ортопеда, а также зубного техника.
Вкладки под коронку: противопоказания
Мы уже сказали, что показаниям применения вкладок под коронки является полное разрушение коронки зуба, либо если от коронки остались только тонкие стенки. Однако, существуют и противопоказания к их применению -
- корень зуба не должен быть разрушен ниже уровня десны,
- корневые каналы должны быть качественно запломбированы,
- обязательно должно отсутствовать воспалительные процессы у корней зубов,
- аллергия на материалы вкладки (редко бывает аллергия на металл),
- нельзя устанавливать на подвижные зубы.
Важно : если ваш корень разрушен все-таки чуть ниже уровня десны (на 1-2 мм), то в некоторых случаях на него все-равно можно будет сделать культевую вкладку. Для этого вокруг корня зуба отслаивается десна и бором спиливается костная ткань (проводится остеотомия). Убирается такая высота костной ткани, чтобы слизистая оболочка десны оказалась чуть ниже уровня разрушения корня. Остеотомия проводится хирургом-стоматологом, и стоит она достаточно недорого.
Резюме -
Очень часто пациентам приходится сталкиваться со следующей ситуацией…
Вы приходите к стоматологу-терапевту с разрушенным зубом. Он рекомендует вам сделать коронку, но сначала необходимо пролечить корневые каналы. Он лечит корневые каналы, вкручивает в корень штифт, восстанавливает коронку разрушенного зуба и отправляет вас к ортопеду. Стоматолог-ортопед смотрит качество пролеченных каналов на рентгене, и говорит, что вместо штифта нужно делать культевую вкладку.
В результате вам приходится снова платить деньги и перелечивать зуб заново - убирать пломбу, выкручивать штифт. Чтобы такого не допустить - необходимо сразу идти на консультацию к стоматологу-ортопеду, который составит план лечения и напишет в медицинской карте для терапевта-стоматолога, что корневые каналы нужно только пролечить, не вкручивая в них штифты, и что далее планируется изготовление культевой вкладки. Надеемся, что наша статья на тему: Что такое вкладка в стоматологии под коронку - оказалась Вам полезной!
Источники:
1. Стоматологическое образование автора статьи,
2. Личный опыт работы врачом-стоматологом,
3. «Ортопедическая стоматология. Учебник» (Трезубов В.Н.),
4. National Library of Medicine (USA),
5. «Ортопедическое лечение несъемными протезами» (Розенштиль С.Ф.).
Ортопедическое лечение дефектов коронки зуба с помощью вкладок
На протяжении ряда десятилетий ведутся поиски оптимальных путей замещения дефектов коронковой части зуба. Развитие технологий постоянно колеблет чашу весов, которая склоняется в сторону то терапевтических, то ортопедических методик. Мы не ставили своей целью проведение сравнительного анализа различных методов восстановления дефектов коронки. Эта публикация посвящена лишь иллюстрации отдельных способов восстановления, которые, на наш взгляд, заслуживают внимания.
Основным методом устранения дефектов коронковой части зуба, особенно при начальных и средних формах, бесспорно, является пломбирование. Пломбирование зубов по сравнению с протезированием — менее трудоемкий процесс, заключающийся в оперативном удалении пораженных тканей, медикаментозной обработке полости и заполнении дефекта пломбировочным материалом. Однако этот способ лечения даже на современном уровне развития стоматологии не всегда может обеспечить решение проблемы восстановления формы и функции зубов, особенно при кариозных дефектах II, IV классов классификации Блэка, системной гипоплазии, повышенной стираемости, наследственных нарушениях и пороках развития твердых тканей и др.
К существенным и наиболее характерным недостаткам пломб следует отнести, прежде всего, вторичный кариес и выпадение пломб (Аболмасов Н. Г. с соавт., 2003). М. Б. Бушан и В. Н. Копейкин отмечают у пломбировочных материалов более низкий коэффициент сопротивляемости к износу по сравнению с металлом и фарфором. Они могут быть пористы и недостаточно прочны. Поэтому вполне обоснован интерес к альтернативным видам лечения и, в частности, к замещению дефектов коронки зуба вкладками.
Вкладками называют микропротезы, применяемые для восстановления дефектов коронковой части, разрушенной в результате кариозных и некариозных поражений. В отличие от пломбы вкладка вводится в подготовленную полость не в пластичном состоянии, а в твердом. Это позволяет избежать усадки, происходящей при затвердевании пломбировочного материала, а следовательно, улучшить краевое прилегание и сократить частоту рецидивов кариеса.
Конструкцию вкладки выбирают с учетом топографии, формы, величины дефекта, анатомо-топографических соотношений твердых и мягких тканей, вида прикуса, направления нагрузок, наклона зуба, результатов рентгенографии, наличия или отсутствия пульпы. В зависимости от материала, из которого изготавливают вкладки, их делят на: а) металлические (золото 900-й, 750-й пробы, кобальтохромовый сплав, серебряно-палладиевый сплав, сплавы титана, например ВТ5Л); б) неметаллические (фарфоровые, композитные); в) комбинированные металлокерамические, металлокомпозитные (рис. 1).
Рис. 1а. Вкладка из сплава золота 900-й пробы.
Рис. 1б. Вкладка из сплава золота 900-й пробы.
На протяжении ряда лет основным конструкционным материалом для вкладок являлись сплавы золота. Методика изготовления литой вкладки по восковой модели была описана Таггартом в 1907 г. С тех пор технология претерпела определенные изменения, но неизменными остались высокие прочностные характеристики и точность прилегания вкладок из золота к стенкам полости, сохранение постоянства объема, защита краев эмали от сколов, инертность, неокисляемость в полости рта, способность расклепываться в процессе жевания и лучше адаптироваться к стенками полости.
В связи с возрастающими требованиями к эстетике реставраций и постоянно совершенствующимися технологиями изготовления зубных протезов одним из наиболее перспективных направлений является протезирование частичных дефектов коронковой части зуба керамическими вкладками. Современный уровень развития стоматологии позволяет изготавливать данные конструкции следующими способами:
- обжигом на фольге;
- обжигом на огнеупорной модели;
- изготовлением керамического каркаса методом обжига на огнеупорной модели с последующей облицовкой;
- изготовлением керамических вкладок методом прессования;
- изготовлением каркаса из оксида алюминия и диоксида циркония методом электрофоретического осаждения с последующей облицовкой;
- изготовлением каркаса вкладки методом ультразвуковой конденсации оксида алюминия с добавлением диоксида циркония с последующим послойным нанесением и обжигом фарфора;
- обжигом каркаса из оксида алюминия с последующей облицовкой;
- фрезерованием по компьютерной программе.
Технология изготовления керамических зубных протезов методом горячего прессования реализовывается при использовании систем IPS-Empress I, II. Одним из достоинств этих систем является применение в качестве конструкционного материала фторапатита, что по сравнению с другими керамическими массами вызывает меньшее истирание естественных зубов-антагонистов (рис. 2).
Рис. 2а. Фарфоровая вкладка, изготовленная методом прессования (техника раскрашивания).
Рис. 2б. Фарфоровая вкладка, изготовленная методом прессования (техника раскрашивания).
Первоначально система IPS-Empress I предусматривала полное воссоздание анатомической формы коронковой части зуба из воска и последующее одномоментное горячее прессование керамической массы. Таким образом, готовая реставрация получалась монохромной, с высокой степенью прозрачности, так как использовался фарфор одного цвета. Коррекцию цвета осуществляли посредством нанесения красителей перед глазурированием, что далеко не всегда позволяло оптимизировать цветопередачу реставрации с индивидуальными особенностями окраски естественных зубов (техника раскрашивания).
Специалисты фирмы Ivoclar продолжали трудиться над этим вопросом, что нашло отражение в более поздних их разработках. При работе с системой IPS-Empress II можно создать восковую модель основы вкладки с проведением последующего прессования. В дальнейшем на модели наносят на каркас дентиновые и эмалевые массы, моделируют и обжигают керамику (техника послойного нанесения фарфора).
Изготовление каркаса вкладки методом ультразвуковой конденсации оксида алюминия с добавлением диоксида циркония с последующим послойным нанесением и обжигом фарфора предусматривает внесение суспензии материала VITA In-Ceram ZIRCONYA в полость дубль-модели препарированного зуба, уплотняемой в аппарате типа Vita Sonic II, сушку, коррекцию формы основания вкладки, стеклоинфильтрацию и обжиг. После примерки основы в полости рта производится ее облицовка с помощью керамической массы (рис. 3).
Рис. 3а. Керамическая вкладка, изготовленная по технологии ультразвуковой конденсации материала VITA In-Ceram ZIRCONYA с последующим обжигом и послойным нанесением и обжигом керамики.
Рис. 3б. Керамическая вкладка, изготовленная по технологии ультразвуковой конденсации материала VITA In-Ceram ZIRCONYA с последующим обжигом и послойным нанесением и обжигом керамики.
Рис. 3в. Керамическая вкладка, изготовленная по технологии ультразвуковой конденсации материала VITA In-Ceram ZIRCONYA с последующим обжигом и послойным нанесением и обжигом керамики.
Наиболее интересным может оказаться направление, связанное с фрезерованием керамического блока по компьютерной программе. С начала 90-х годов оксид циркония находит все более широкое применение в стоматологии. Согласно результатам исследований in-vitro, каркасы зубных протезов из оксида циркония обладают высоким пределом прочности на разрыв, сравнимым с прочностью металлических сплавов. Внедрение технологии CAD/CAM в протезировании зубов позволяет изготавливать конструкции с высокой точностью и предсказуемо воспроизводимым качеством. По признакам общего пользовательского алгоритма и компоновки аппаратного обеспечения CAD/CAM-системы можно распределить на 3 основные группы:
- Централизованные макросистемы (Procera, Decim).
- Индивидуальные мини-системы (Hint-Els, Precident).
- Индивидуальные микросистемы (Cerec).
Использование современных компьютерных технологий позволяет существенно повысить точность изготовления реставрации, свести к минимуму влияние человеческого фактора. Однако большинство известных CAD/CAM-систем — дорогостоящие, что ограничивает их распространение на стоматологическом рынке. Ряд изобретателей задался целью создания компактного и недорогого фрезерного оборудования, позволяющего изготавливать протяженные конструкции из оксида циркония (рис. 4).
Рис. 4а. Изготовление вкладки с применением копировально-фрезерной технологии и аппарата zirkonzahn.
Рис. 4б. Изготовление вкладки с применением копировально-фрезерной технологии и аппарата zirkonzahn.
Рис. 4в. Изготовление вкладки с применением копировально-фрезерной технологии и аппарата zirkonzahn.
Рис. 4г. Изготовление вкладки с применением копировально-фрезерной технологии и аппарата zirkonzahn.
Одним из них был Энрико Штегер, изобретатель, владелец и генеральный директор фирмы Zirkonzahn. В основу работы его системы положена копировально-фрезерная технология. Вначале создается прообраз изделия из композиционного материала светового отверждения, затем в копировально-фрезерном аппарате производится его фрезеровка из заготовки оксида циркония.
Для облегчения этого процесса и уменьшения износа шлифовальных инструментов в аппарате Zirkonzahn работа ведется с неспеченной (предагломерированной) формой диоксида циркония. Заготовка вкладки из оксида циркония получается на 25 % больше композитного аналога, так как дальнейший обжиг изделия приведет к значительной усадке материала. Автору удалось просчитать эти объемные изменения и перенести их с высокой точностью в основу работы своего копировально-фрезерного аппарата.
Наряду с вышеописанными способами изготовления вкладок в настоящее время также применяется восстановление дефектов коронковой части зуба с помощью вкладок, выполненных из композиционных материалов светового отверждения. По сравнению с фарфоровыми и металлокерамическими вкладками композитные вкладки оказывают меньшее абразивное действие на естественные зубы, из-за эластичности композита гасят часть окклюзионной нагрузки, менее трудоемки в изготовлении и не требуют наличия дорогостоящего громоздкого оборудования и специально подготовленных зубных техников, легко подвергаются реставрации в полости рта, гораздо дешевле.
К недостаткам композитных вкладок относят недостаточную цветовую стабильность, возможность возникновения аллергических реакций на композит, а также стираемость современных композиционных материалов хоть и приближена к стираемости эмали зубов, но несколько выше, что может приводить со временем к снижению высоты нижней трети лица в положении центральной окклюзии при множественном восстановлении боковых зубов, при одиночных восстановлениях — к развитию деформации окклюзионных кривых. Композитные вкладки обладают меньшей прочностью, большей пористостью, по сравнению с фарфоровыми и металлическими характеризуются меньшей толерантностью по отношению к десневому краю, но, несмотря на это, могут быть серьезной альтернативой прямым реставрациям (рис. 5).
Рис. 5а. Этапы восстановления зуба с помощью композитной вкладки.
Рис. 5б. Этапы восстановления зуба с помощью композитной вкладки.
Рис. 5в. Этапы восстановления зуба с помощью композитной вкладки.
Рис. 5г. Этапы восстановления зуба с помощью композитной вкладки.
Рис. 5д. Этапы восстановления зуба с помощью композитной вкладки.
Рис. 5е. Этапы восстановления зуба с помощью композитной вкладки.
Развитие стоматологии на современном этапе отличается бурным ростом новых технологий изготовления зубных протезов. И стоматологу достаточно непросто сориентироваться в этом многообразии. Надеемся, что данная публикация расширяет горизонты выбора реставрационной техники при дефектах коронковой части зуба.
Временные коронки как этап протезирования зубов керамическими конструкциями
В ортопедической стоматологии широко используются конструкции, изготавливаемые из керамики: чаще всего это коронки, восполняющие значительное разрушение зубов. Фарфоровые коронки отличаются эстетичностью, сохраняют форму и цвет, надежно фиксируются на зубах [1, 7].
Показаниями к их использованию являются дефекты обширных размеров (кариозного или некариозного происхождения), преимущественно на передних зубах [3, 4].
В связи с тем, что керамические конструкции приобретают достаточную прочность, свето- и термостойкость при значительной толщине их стенок, требуется не только препарирование эмали, но также истончение дентина. Результатом воздействия становится развитие повышенной чувствительности зуба к внешним раздражителям. Другим немаловажным фактором является эстетический дефект, возникающий после препарирования зубов. Данная ситуация является показанием к использованию временной коронки (до изготовления постоянной керамической).
Выбор оттенков цвета керамических масс осуществляется в соответствии с требованиями к конкретному материалу [1, 5].
Адекватное препарирование зуба должно обеспечить форму усеченного конуса [2, 7]. При этом все поверхности сошлифовываются на 0,8—1,5 мм: меньше — у шейки, с увеличением по направлению к режущему краю. Кроме того, формируется уступ в области клинической шейки. Ширина уступа в зубодесневой борозде — от 0,8 до 1,0 мм. Между окклюзионной поверхностью антагониста и отпрепарированной плоскостью должен оставаться «зазор», равный толщине коронки. Поэтому режущий край формируют, укорачивая коронку зуба оптимально [2]. Значительная высота искусственной коронки будет завышать прикус, малая — снижать ее прочность к механическому воздействию.
Поскольку изготовление керамических коронок предусматривает зуботехнический этап работы, пациент на несколько дней остается с отпрепарированными зубами. Результатом может быть гиперестезия — повышенная чувствительность твердых тканей к температурным и химическим раздражителям. Отрицательным моментом являются также эстетические дефекты зубных рядов. Во избежание названных недостатков, как правило, на период изготовления постоянных коронок устанавливаются временные конструкции, которые предназначены для краткосрочного изолирования (от 1—3 дней до 2—3 недель, иногда время более длительное — до 3—6 месяцев) сформированной и обработанной поверхности с целью предупреждения гиперестезии зуба и обеспечения эстетики [4, 6].
Целью настоящего исследования явилось повышение качества изготовления временных коронок путем применения современных стоматологических средств и методов.
В качестве материала для временной конструкции служила самоотверждаемая система «паста-паста» на основе многофункциональных эфиров метакриловой кислоты Structur 3 (VOCO), которая характеризуется положительными свойствами современных стоматологических материалов — легко вводится в полость благодаря текучей консистенции и системе картриджей. Она сохраняет герметизм на весь период нахождения в зубе; индифферентна по отношению к окружающим тканям; позволяет восстанавливать анатомическую форму зуба; достаточно легко удаляется по истечении срока службы. Материал выпускается в восьми оттенках для достижения натурального цвета зуба, обладает естественной флуоресценцией. Характеризуется высокими устойчивостью к внешним воздействиям, прочностью на изгиб и излом.
Structur 3 показан для изготовления временных конструкций (коронок, частичных коронок, мостовидных протезов, вкладок, накладок и виниров), предназначенных для защиты отпрепарированных зубов вплоть до изготовления постоянных керамических конструкций. Они могут применяться также на более длительный срок.
Для получения временной коронки картридж со Structur 3 устанавливается в смеситель (тип 2) фирмы VOCO или аналогичный ему пистолет-смеситель. Перед первым применением возможна технически обусловленная незначительная разница в уровне заполнения обеих полостей картриджа. В связи с этим следует снять с него заглушку и выдавливать материал до тех пор, пока его выход из двух отверстий не будет равномерным. После этого канюля для смешивания (тип 6) устанавливается на картридж и фиксируется поворотом на 90 o . Материал выдавливается при нажатии на рукоятку смесителя и автоматически смешивается в правильном соотношении. После использования канюлю для смешивания нужно оставить на картридже. Непосредственно перед следующим применением материала канюля меняется на новую. При замене канюли требуется проверить выпускные отверстия картриджа на свободное поступление материала.
Временные реставрации моделируются в клинике непосредственно в полости рта или в лаборатории на гипсовых моделях, оттисках. Такие конструкции накладываются в виде коронок на отпрепарированные зубы, обеспечивая покрытие всех подготовленных поверхностей. К временным коронкам предъявляются строгие требования в отношении их прочности и внешнего вида: воссоздание анатомических форм зуба, в том числе контактного пункта, обязательно.
Поскольку предполагается, что временные коронки должны обеспечивать полноценное функционирование зубных рядов, включая не только жевание, но также эстетику, соблюдаются правила работы с композитами. А именно, определяется оттенок материала, причем выбор цвета осуществляется в оптимальных условиях естественного освещения, обеспечивается отсутствие контрастных тонов или цветных теней.
Планирование реставрации не производится, поскольку оттиск зубных рядов отображает основную форму, размеры, рельеф естественных коронок. При наличии на зубах дефектов, сколов и т. д. до снятия оттиска коррекцию объемных параметров можно выполнить любыми пломбировочными материалами (рис. 1а,б) .
Рис 1а. Предварительная коррекция формы зубов не требуется.
Рис. 1б. Предварительная коррекция формы зубов необходима.
В обязательном порядке стоматолог-терапевт осуществляет санацию полости рта и профессиональную гигиену: удаляет над- и поддесневые зубные отложения, назначает противовоспалительную терапию. Проводится мотивация и обучение индивидуальной гигиене полости рта: подбираются зубная щетка и средства для качественной обработки придесневой области искусственной коронки (рис. 2) . Механические средства гигиены полости рта представлены зубными щетками, нитями, ершиками, зубочистками, стимуляторами, ирригаторами. Выпускаемые в настоящее время электрические зубные щетки соединяют в себе свойства механического очищения зубов и массажа десен.
Рис. 2. Использование зубной нити в межзубном промежутке.
Профилактическое и лечебное воздействие на органы полости рта оказывают зубные пасты, гели, жидкие гигиенические средства. К жидким гигиеническим средствам относятся ополаскиватели, эликсиры, бальзамы, вода для рта, освежители полости рта в виде аэрозолей и дезодорантов, растворы, настои, пасты-ополаскиватели, жидкие пасты.
Этапы изготовления временных коронок
До препарирования твердых тканей зубов снимают анатомический оттиск силиконовой массой без корригирующего слоя (рис. 3, 4) . Оттиск в последующем используется для моделирования в нем временных коронок (рис. 5) . Слепок нужно подготовить путем сглаживания поднутрений и вырезания отводных каналов. Если предполагается слишком незначительная толщина стенок временной конструкции, оттиск следует расширить, удалив прежде всего перегородки в проксимальных пространствах. Затем слепок нужно очистить и просушить воздухом.
Рис. 3. Слепочная масса в оттискной ложке.
Рис. 4. Получение оттиска в полости рта.
Рис. 5. Полученный с зубного ряда оттиск.
Временные коронки можно также получать при помощи шаблона. Для этого в лаборатории на модели в вакуумной камере из эластичной массы изготавливают шину на весь зубной ряд. Эта шина-шаблон в последующем используется для моделирования в ней временной коронки (рис. 6а, б) .
Рис. 6а. Изготовленная в лаборатории шина: шаблон.
Рис. 6б. Изготовленная в лаборатории шина: на модели.
После получения оттиска в клинике производят препарирование зубов под керамические коронки (рис. 7а,б) .
Рис. 7а. Отпрепарированные зубы на модели.
Рис. 7б. Отпрепарированные зубы в полости рта.
В соответствии с требованиями к качеству работы с керамикой, снимаются реплики для изготовления постоянных коронок. Может быть снят дополнительный слепок, если планируется формировать временные коронки в зубопротезной лаборатории на модели. Оттиски передаются зубному технику для выполнения требуемых этапов работы.
В клинике врач-стоматолог приступает к изготовлению временных коронок. На отпрепарированные зубы тонким слоем наносят глицерин для предотвращения прилипания материала к зубу. Внутренняя поверхность оттиска (или шаблона) должна быть также изолирована перед внесением самоотверждаемого композита.
В силиконовый оттиск или изготовленный в лаборатории шаблон будет помещаться материал для формирования временных коронок.
Для смешивания паст и дозирования количества используют специальный пистолет и соответствующую канюлю (рис. 8) . Последняя фиксируется на картридже поворотом крышки по часовой стрелке до упора. При воздействии на поршень пистолета не требуется применения значительной силы: материал выдавливается равномерно благодаря текучей консистенции. Перемещение состава останавливается сразу после прекращения давления на поршень.
Рис. 8. Устройство и материал для изготовления временных коронок.
Врачебные манипуляции выполняются следующим образом. Чтобы апплицировать Structur 3 непосредственно в слепок, канюля смесителя вводится внутрь оттиска в области размещения коронки (рис. 9) . Перемещением поршня в шприце Structur 3 выдавливается и начиная со дна занимает пространство, предназначенное для формирования коронки. Таким образом, сначала материал следует внести на окклюзионные поверхности и затем заполнить отпечатки зубов вплоть до десневого края. Во избежание образования пузырьков воздуха носик канюли для смешивания во время аппликации удерживают погруженным в материал. Все действия выполняются быстро и четко, поскольку слепок должен помещаться в полость рта не позднее 30 секунд от начала смешивания.
Рис. 9. Заполнение временным материалом оттиска.
Подготовленную таким образом форму (оттиск, шаблон) вносят в полость рта и сопоставляют с отпрепарированными зубами, используя небольшое давление в течение 30—40 секунд. Материал сохраняет эластическую консистенцию в течение 1—2 мин. после начала смешивания. Временную конструкцию следует удалять из полости рта во время эластичной фазы, то есть в течение 1—2 мин. с начала смешивания. Через указанное время оттиск извлекается вместе с искусственными коронками. Состояние коронок проверяется зондом: следует убедиться в отверждении материала.
Через 4 мин. временные конструкции извлекают из слепка и протирают спиртом (например, этиловым), чтобы полностью удалить тонкий слой, ингибированный кислородом.
Затем требуется тщательно отшлифовать излишки и шероховатости того участка, который будет располагаться в области десны. При необходимости временную конструкцию можно обработать твердосплавной фрезой со скрещенными зубцами и отполировать ручным способом (например, резиновым полиром, шлифовальным диском с мелкой зернистостью или щеточкой).
В тех случаях, когда искусственные коронки изготавливаются в лаборатории, манипуляции осуществляются на модели с отпрепарированными под керамические коронки зубами при помощи полученного ранее, до препарирования зубов, оттиска или силиконового шаблона (рис. 10) . Аналогично работе, выполняемой в клинике, канюлю смесителя вводят внутрь шаблона и заполняют пространство от режущего края до шейки зуба. Шаблон надевается на зубные ряды под адекватным давлением и удаляется в соответствии с интервалами времени, указанными в инструкции (зависит от температуры окружающей среды). Временные коронки припасовываются и обрабатываются на модели (рис. 11) . Затем снимаются и передаются в клинику.
Рис. 10. Введение материала внутрь шаблона.
Рис. 11. Временные коронки припасованы на модели.
В полости рта отпрепарированные зубы и окружающие ткани аккуратно очищаются марлевым тампоном, промываются водой. Тщательно устраняются остатки оттискного и временного материала в зубодесневой бороздке, на поверхности зубов. Затем продолжается работа с временными коронками. После полного отверждения композита удаляется слой, ингибированный кислородом. Благодаря специфическим свойствам материала блеск достигается без воздействия твердосплавными полирами и полировочными средствами. Коронки припасовываются на зубах в полости рта.
Для укрепления временных конструкций используется временный лютинг-цемент Provicol (VOCO), не содержащий эвгенола, поскольку в последующем планируется использовать для постоянной фиксации композитный материал. После цементирования коронок следует аккуратно проверить зубодесневые бороздки и окружающие области, удалить возможные остатки временного материала и фиксирующего цемента. Выверяются окклюзионные контакты.
Применение временных конструкций позволяет обеспечить удобство для пациента на период изготовления постоянных керамических коронок, исключив дискомфорт или развитие гиперестезии зубов. Кроме того, у пациента появляется возможность привыкания к ношению искусственных протезов (рис. 12) .
Рис. 12. Керамические коронки в полости рта.
Спустя оптимальный для зубопротезного этапа период времени, необходимый для изготовления керамических коронок, временные конструкции снимаются. Их заменяют на постоянные керамические коронки.
Заключение
Для протезирования фронтальных зубов широкие показания имеют керамические коронки. Поскольку препарирование твердых тканей зубов может приводить к повышению чувствительности и нарушению эстетики, а изготовление постоянных конструкций требует определенного времени, на этот период используются временные коронки. Материалы для таких реставраций должны соответствовать требованиям эстетичности, прочности, устойчивости к воздействиям факторов окружающей среды. Они исключают развитие гиперестезии, обеспечивая определенный комфорт для пациента, и облегчают привыкание к ношению искусственных протезов. Обязательным этапом лечения являются санация полости рта, профессиональная гигиена и обучение пациента рациональному уходу за зубами.
Зубные вкладки в стоматологии — плюсы и минусы

Что делать, если из-за сильного разрушения зуба пломбу поставить уже нельзя, а коронку - нецелесообразно, так как зуб еще живой, и очень важно максимально сохранить его ткани? В таких случаях проводится реставрация зубной вкладкой, которая изготавливается по слепкам в лаборатории и превосходит обычную пломбу по эстетическим и функциональным характеристикам. Подробнее обо всех преимуществах и особенностях зубных вкладок в стоматологии читайте в нашей статье.
Содержание статьи
- Что такое зубная вкладка?
- Зачем нужны зубные вкладки в стоматологии?
- Вкладки и виниры — в чем отличие?
- В чем преимущества зубных вкладок?
- Каковы плюсы и минусы различных видов вкладок?
- Как проходит установка зубной вкладки?
- Какова особенность изготовления зубных вкладок?
- Какие параметры качества имеет зубное протезирование вкладками?
- Каков долго служат зубные вкладки?
- Сколько стоят зубные вкладки?
Что такое зубная вкладка?
По своей сути зубная вкладка представляет собой большую пломбу. Только изготавливается она не стоматологом во рту пациента, а в зуботехнической лаборатории по индивидуальным слепкам. За счет этого конструкция точнее повторяет форму полости и более плотно прилегает к тканям зуба, что минимизирует риск появления кариеса на стыке между вкладкой и зубом.
Вкладки, которые используются вместо пломб, часто путают с зубными культевыми вкладками. Это абсолютно разные конструкции. Начнем с того, что зубная вкладка вместо пломбы - это реставрационный элемент коронковой части зуба, а культевая вкладка - технический, поскольку она служит опорой для искусственной коронки, когда зуб разрушен более чем на 2/3. Чтобы пациентам было легче запомнить разницу, я бы разграничил эти протезы так: зубная вкладка расположена снаружи живого зуба, а культевая вкладка - под коронкой.

Зачем нужны зубные вкладки в стоматологии?
Данный тип реставрации используют по конкретным показаниям. А именно, вкладкой восстанавливают коронковую часть зуба в том случае, если она разрушена более чем на 1/3. При более значительной степени разрушения, когда поверхность зуба повреждена на 2/3, следует прибегнуть к установке зубной коронки. Восстановить передние зубы вкладками невозможно, для этого существуют виниры или люминиры.
Вкладки и виниры — в чем отличие?
И вкладки, и виниры относятся к технологии микропротезирования и служат для восстановления разрушенных зубов. Однако между ними существуют принципиальные отличия.
| Вкладки | Виниры |
| Используются для реконструкции любой из сторон зубной поверхности | Применяются для восстановления внешней стенки зубных рядов |
| Устанавливаются на жевательные зубы | Фиксируются в зоне улыбки |
| Воссоздают естественную форму и функциональные возможности зубов | Предназначены только для эстетической реставрации |
| Изготавливаются из золота, металлических сплавов, оксида циркония для повышенной прочности изделия | Создаются из керамики, оксида циркония и композитных материалов для абсолютной внешней идентичности натуральным зубам |
Если вы сомневаетесь, какая конструкция подойдет в вашем случае, обратитесь к стоматологу. Он проведет обследование и поможет выбрать наиболее подходящий вариант.
В чем преимущества зубных вкладок?
Помимо технологии изготовления, зубные протезы в виде вкладок отличаются от пломб по следующим параметрам:
- Во-первых, они намного прочнее и долговечнее, чем пломбы. Например, срок службы керамической вкладки составляет 20 — 25 лет. Ни одна пломба не способна качественно выполнять свои функции в течение такого длительного периода. Она быстрее стирается, ее необходимо менять. Если этого не делать, из-за нарушения ее анатомической формы прикус начинает фиксироваться по-другому, зуб уже не так эффективно пережевывает пищу, пациенту приходится прилагать дополнительные усилия, которые негативно влияют на суставы челюстей, провоцируя их заболевания.
- Во-вторых, зубное протезирование керамическими вкладками надежно защищает зуб от дальнейшего разрушения, поскольку керамика - прочный материал, который выдерживает любые жевательные и температурные нагрузки. Это единственный вариант восстановления зуба, который помогает избежать последующего депульпирования и покрытия коронкой.
Каковы плюсы и минусы различных видов вкладок?
Многих пациентов интересует, из чего делают зубные вкладки. По материалу изготовления они делятся на металлические (сплав кобальта и хрома), керамические, циркониевые и композитные. В связи с этим, плюсы и минусы зубных вкладок в стоматологии - различны. Врач совместно с пациентом принимает решение о выборе конструкции из того или иного материала, руководствуясь особенностями каждого клинического случая в отдельности.
Керамические

Самые лучшие - это керамические зубные вкладки Е-max, которые состоят практически из одних достоинств. Они самые эстетичные и надежные. Коэффициент их стачиваемости - как у натуральных зубов. Кроме того, у керамических вкладок самое плотное прилегание к живым тканям зуба, таким образом, риск развития вторичного кариеса сводится к минимуму. Но один недостаток у них, все-таки, есть. Это довольно высокая цена. Циркониевые вкладки - тоже достойный выбор, они очень прочные, но сцепление с тканями зуба у них хуже, чем у керамических.
Композитные

Композитные вкладки из обычного пломбировочного материала — не такие крепкие, как металлические, керамические или циркониевые, но они лишены следующих недостатков, которые присущи пломбам, изготовленным непосредственно во рту пациента.
- Композитная зубная вкладка не проседает. Если вместо нее поставить большую пломбу, она не выдержат нагрузки и будут отрываться от живых тканей, создавая напряжение у стенок зуба и провоцируя его разрушение или травму. Для зубной вкладки из композита это абсолютно не характерно.
- Композитные вкладки не вызывают нарушений прикуса и жевательных функций. Они изготавливаются по индивидуальным слепкам с учетом антагонистов, то есть соседних зубов, с которыми восстанавливаемый зуб вступает в контакт.
Металлические

Металлические зубные вкладки в нашей клинике применяется только в качестве временного варианта, так как они часто вызывают у пациентов гальванизм, то есть реакцию на воздействие гальванических токов, возникающих в полости рта. Это явление сопровождается металлическим привкусом во рту, чувством жжения, повышенным слюноотделением. Кроме того, к минусам металлических вкладок относится их плохая адгезия с тканями зуба, и, как следствие, их выпадение. Среди плюсов данных реставраций можно отметить только их прочность и гипоаллергенность материала. Следует отметить, что до появления керамики были популярны аналогичные конструкции из золота - мягкого металла, который обеспечивал более плотное прилегание.
У композитных вкладок есть особый плюс, который, к сожалению, отсутствует у остальных видов - их можно отремонтировать в полости рта с помощью композитных пломбировочных материалов, и они будут продолжать успешно выполнять свое предназначение. Поэтому вкладки из композита устанавливают еще и в тех случаях, когда после эндодонтического лечения каналов зуба нет уверенности в том, что их не придется перелечивать снова. При необходимости их всегда можно вскрыть и провести все нужные манипуляции. Другие виды вкладок ремонту не подлежат, потому что материалы, из которых они изготавливаются, не имеют адгезии с композитом..
Как проходит установка зубной вкладки?
В основном подобные протезы устанавливают на живые зубы, так как если у зуба удален нерв, или есть такая необходимость, значит, зуб сильно разрушен и для его восстановления нужна уже не вкладка, а коронка. Установка зубной вкладки происходит в четыре этапа:
Диагностика. Сначала необходимо осмотреть пациента и провести соответствующие диагностические процедуры - сделать рентгеновские снимки и компьютерную томографию для получения более объективного представления о клиническом случае. Однако выявить необходимость установки вкладки и адекватно оценить степень разрушения зуба можно только после препарирования полости.
Препарирование. Многие пациенты считают, что для зубной вкладки потребуется более серьезное препарирование зуба с удалением большого количества его тканей. Это неверно. Зуб стачивается ровно настолько, насколько это необходимо в зависимости от его разрушения. Не следует думать, что врач специально будет «доводить» полость до размеров, при которых показана установка зубной вкладки. В нашей клинике мы всегда применяем самые щадящие методики и стараемся максимально сохранить живые ткани зуба.
Изготовление. Обычно сроки готовности конструкций зависят от загруженности зуботехнической лаборатории, но, как правило, процесс изготовления занимает около 7 дней для любого вида вкладок.
Фиксация. Перед установкой вкладки полость зуба подвергается пескоструйной обработке для создания адгезивной поверхности. Далее микропротез закрепляется в полости композитным цементом, а места выхода фиксирующего материала пришлифовываются. После этого проводится проверка окклюзионных контактов с помощью артикуляционной бумаги для создания многоточечного контакта протеза с зубами-антагонистами.
Какова особенность изготовления зубных вкладок?
Вкладку делают в зуботехнических лабораториях по слепкам зуба и челюстей пациента, чтобы она максимально точно повторяла форму зубной полости и обеспечивала правильный контакт с другими зубами, не нарушая прикуса. В зависимости от материала конструкции для ее изготовления применяется определенная технология.
Если речь идет о керамических вкладках, то сначала методом прессовки делается фарфоровый каркас, а затем на него послойно наносится керамическая масса. Металлические вкладки - отливают, а циркониевые производят методом цифрового моделирования и фрезерования с применением инновационной системы СAD/СAM. Композитные микропротезы изготавливаются на основе гипсовой модели зуба и полимеризуются при помощи света или нагревания.
Фото до и после установки зубной вкладки

Какие параметры качества имеет зубное протезирование вкладками?
Если в процессе фиксации вкладки была нарушена технология, или пациент годами не проходил профилактические осмотры, то на границе прилегания микропротеза к тканям зуба может возникнуть вторичный кариес. Тогда необходимо будет провести лечение и извлечение зубной вкладки. При этом сама конструкция никак не стимулирует возникновение кариеса. Чтобы его избежать, главное — не допустить технологических неточностей в процессе установки, чтобы показатель плотности прилегания зубной вкладки с заполнением полости композитным цементом равнялся 0, 004 микрон. Также важно проследить за отсутствием нависающих краев для полноценного эстетического и функционального восстановления зуба.
Если вкладка установлена правильно, то она не провоцирует повышения чувствительности зубов, а если нет, то зуб-антагонист может начать реагировать на раздражители по причине нарушения прикуса.
В случае возникновения боли в результате таких осложнений, как кариес, пульпит или периодонтит, зубную вкладку необходимо вскрыть и провести соответствующее лечение. После чего этот микропротез необходимо будет заменить на новый.
Каков долго служат зубные вкладки?
Необходимо регулярно приходить к стоматологу на профилактические осмотры для полирования границ прилегания вкладки и снятия зубного налета, тогда зубная вкладка прослужит долго. Но в любом случае в нашей клинике на протезирование вкладками предоставляется пятилетняя гарантия, и если что-то случилось с реставрацией в течение гарантийного срока, то мы обязательно бесплатно ее заменим.
Сколько стоят зубные вкладки?
Цены на зубные вкладки определяются материалом их изготовления. В Москве стоимость зубной вкладки из композита начинается с 4 000 рублей, из керамики - с 8 000 рублей. В прайс "под ключ" обычно входит сам микропротез, препарирование полости и временная реконструкция зуба. Фиксация может потребовать дополнительной оплаты.
Культевая вкладка под коронку

Если от зуба почти ничего не осталось или его стенки слишком тонкие, чтобы укрепить зубные ткани, ортопеды применяют культевую вкладку. Это особая конструкция, фиксируемая в корневых каналах и служащая надежной опорой для зубной коронки.
- Что такое культевая вкладка под коронку?
- Виды материалов для культевых вкладок
- Показания к установке культевой штифтовой вкладки
- Изготовление культевой вкладки под коронку
- Установка культевой вкладки
- Сколько простоит культевая вкладка?
- В чем отличие штифта от культевой вкладки?
- Сколько стоит фиксация культевой вкладки?
Что такое культевая вкладка под коронку?
Культевая вкладка — это ортопедическая конструкция, которая является опорой для установки искусственной коронки на сильно разрушенный зуб. Данный элемент протезирования также называют штифтовой культевой вкладкой, так как ее корневая часть напоминает стоматологический штифт. Он вводится в канал зубного корня, а непосредственно на коронковую верхушку вкладки, похожую на культю препарированного зуба, надевается коронка. Не стоит путать штифтово-культевую вкладку с обычной зубной вкладкой, применяющейся в качестве альтернативы пломбам.
Плюсы использования культевых вкладок
- Культевая вкладка изготавливается по индивидуальным слепкам пациента и полностью воспроизводит пространство каналов зуба, подлежащего восстановлению коронкой.
- У культевой вкладки есть еще и верхняя часть — в форме обточенного под коронку зуба. Подобное строение микропротеза обеспечивает равномерное распределение нагрузки даже при сильном давлении во время пережевывания пищи.
- Культевая вкладка может иметь несколько штифтов для восстановления многокорневого зуба.

Виды материалов для культевых вкладок
По своей структуре культевые вкладки в стоматологии делятся на литые культевые вкладки и разборные культевые вкладки. Неразборные культевые вкладки состоят из культевой части и 1 — 2 штифтов, поэтому применяются для протезирования зубов, у которых не более двух каналов. Разборные штифтовые культевые вкладки отличаются от литых культевых штифтовых вкладок тем, что они используются для зубов, у которых 3 — 4 канала, и снабжены соответствующим количеством корневых штифтов, которые специально делаются съемными, так как иначе их будет невозможно ввести в корневые каналы. В зависимости от материалов культевых вкладок различают следующие разновидности данных микропротезов, описанные в таблице ниже.
| Металлическая культевая вкладка | Металлическая культевая вкладка может быть изготовлена из сплава хрома и кобальта, также бывают серебряные культевые вкладки и культевые вкладки из золота. Они отличаются надежностью, но не являются эстетичными, поэтому в современной стоматологии золотые культевые вкладки и микропротезы из серебра применяют довольно редко и только для протезирования жевательных зубов. |
| Металлокерамическая культевая вкладка | Культевая вкладка из металлокерамики достаточно крепкая, но ее качество хуже, чем у вкладок из других материалов, из-за разницы термического расширения металла и керамики. Поэтому такие микропротезы нередко выпадают. |
| Керамическая культевая вкладка | Керамическая культевая вкладка лучше всего сохраняет эстетику улыбки, поскольку керамика по своим свойствам и внешнему виду максимально приближена к натуральной эмали зубов. В связи с этим культевая вкладка на передний зуб делается именно из данного материала. |
| Культевая вкладка из циркония | Достоинством таких конструкций является не только их высокая прочность, но и белый цвет культевой вкладки из диоксида циркония, который не просвечивает сквозь коронку. Поэтому в качестве ответа на вопрос «Какие культевые вкладки лучше?» наряду с керамической вкладкой можно смело назвать штифтово-культевую вкладку из оксида или диоксида циркония. Таким образом, культевую вкладку на передний зуб можно изготовить в том числе и из циркония. |
| Композитная культевая вкладка | Вид культевых вкладок со штифтом, который лучше других прилегает к тканям зуба, но отличается недостаточной прочностью по сравнению с вкладками из других материалов. |
Показания к установке культевой штифтовой вкладки
В современной стоматологии существуют следующие показания к культевым вкладкам:
- создание надежной опоры для искусственной коронки или мостовидных протезов;
- шинирование подвижных зубов при заболеваниях тканей пародонта;
- устранение дефектов наддесневого участка;
- исправление неправильной формы и расположения зубов.
Изготовление культевой вкладки под коронку
Для изготовления культевых штифтовых вкладок применяют прямой и непрямой способы. У прямого способа изготовления культевой вкладки этапы следующие.
- После предварительного лечения каналов зуба и его препарирования под культевую вкладку, полость обрабатывается вазелином.
- Подогретая до вязкого состояния пластмасса заливается в шприц и через широкую иглу выдавливается в полость, чтобы сформировать вкладку.
- Штифт обрабатывается тем же материалом и вводится в канал.
- После того как пластмассовая конструкция застынет, готовую модель вкладки извлекают из полости и отправляют в зуботехническую лабораторию для изготовления микропротеза из материала, выбранного пациентом.
Непрямой способ включает в себя такие этапы изготовления культевой вкладки:
- После предварительной подготовки зуба и каналов врач снимает слепок и передает его в зуботехническую лабораторию.
- Техник отливает гипсовую модель и создает прототип вкладки из воска.
- На основе воскового образца изготавливается культевая вкладка из металла.
Если говорить о культевых вкладках из циркония или керамики, то для их производства применяются технологии CAD/CAM, предусматривающие компьютерное моделирование микропротеза, передачу модели на фрезеровальный станок и последующее «выпиливание» вкладки из заготовки.

Установка культевой вкладки
Перед протезированием культевыми вкладками необходимо удалить нерв и провести эндодонтическое лечение каналов, чтобы исключить их воспаление и качественно их запломбировать. После этого зуб препарируется под вкладку, каналы распломбируются на 1/3 или 2/3 их длины, их делают более широкими и придают конусообразную форму, а затем проводят процедуры, характерные для прямого или непрямого способа изготовления микропротеза.
Этапы установки культевой вкладки
- Все зубы дезинфицируются спиртом и высушиваются.
- Культевая вкладка обезжиривается и покрывается цементом вместе со штифтами.
- Отверстия в каналах заполняются раствором, в них устанавливается микропротез.
- Для финальной фиксации культевой вкладки врач производит сильный нажим на нее.
После этого остается снять с установленной в зуб культевой вкладки слепки для изготовления коронки из выбранного пациентом материала.

Сколько простоит культевая вкладка?
Некоторые пациенты считают, что культевая вкладка для моста недолговечна. Это не так. Срок службы культевой вкладки в зуб зависит от материала ее изготовления и в среднем составляет 8 — 10 лет. Наиболее долговечными считаются микропротезы из золота, они могут простоять в течение 20 — 25 лет. Немаловажным фактором, влияющим на срок службы культевой вкладки, является строгое соблюдение всех технических требований к ее изготовлению и установке.
В чем отличие штифта от культевой вкладки?
Принципиальное отличие штифта от культевой вкладки в том, что он ставится под пломбу. Раньше подобную методику применяли для лечения сильно разрушенных зубов, когда не было возможности установить коронку. Впоследствии подобный способ себя дискредитировал большим количеством осложнений в виде вторичного кариеса. Более того, обнаружить кариозный процесс под обширной пломбой на штифте было достаточно проблематично. Зачастую подобное лечение приводило к сильному поражению зуба кариесом и, как следствие, к его удалению.
Cравним недостатки и преимущества штифтовой культевой вкладки и штифта, представленные ниже:
Плюсы и минусы культевой Плюсы и минусы штифта
- плотное прилегание защищает зуб от попадания болезнетворных бактерий и развития вторичного кариеса;
- выдерживает значительные жевательные нагрузки;
- имеет долгий срок службы;
- не требует замены в случае износа искусственной коронки.
- устанавливается за два визита к врачу;
- предполагает существенную обточку живых тканей зуба;
- стоит дороже обычного штифта.
- стоит дешевле культевых вкладок;
- устанавливается за одно посещение;
- предполагает меньший объем препарирования живых тканей зуба;
- не выдерживая обычной жевательной нагрузки, со временем пломба на штифте начинает разрушаться;
- штифт может быть установлен только в один зубной канал;
- неплотное прилегание открывает доступ бактериям внутрь зубной полости, что провоцирует появление вторичного кариеса;
- служит не более 2 —3 лет.
Отвечая на вопрос «Что лучше — культевая вкладка или стекловолоконный штифт», большинство специалистов склоняются в пользу зубных вкладок. Учитывая ненадежность установки пломбы на штифт, в современных стоматологиях подобную услугу можно встретить крайне редко. Наиболее правильным вариантом будет применение культевой вкладки с последующей установкой на нее коронки. Выбор обусловлен тем, что данный микропротез не только укрепляет коронку, но еще и защищает зуб от дальнейшего разрушения в течение всей жизни.
Сколько стоит фиксация культевой вкладки?
Цена культевой вкладки в Москве зависит от материала изготовления, ее размера, вида и количества штифтов. Однокорневая культевая вкладка из сплава хрома и кобальта будет стоить от 2 000 рублей. А когда корней у зуба несколько, то стоимость литой культевой вкладки на зуб из металла может возрасти до 5 000 рублей. Цена культевой штифтовой вкладки из композита составляет примерно 6 000 рублей, из керамики — около 12 000 рублей. Стоимость циркониевых культевых вкладок начинается от 15 000 рублей. Если при этом речь идет о разборной конструкции, то цена культевой вкладки под коронку будет немного выше, чем у цельнолитой культевой вкладки.
Читайте также:
