Рак на последних стадиях
Добавил пользователь Евгений Кузнецов Обновлено: 11.12.2025
UPD 10.02.2021
Вопрос о том, сколько живут с раком 4 стадии с метастазами или еще более конкретный: «Маме (тете, бабушке…) поставили IV стадию, сколько ей осталось?», регулярно задают врачам-онкологам родственники пациентов. Не услышав однозначного ответа, вопрошающие, как правило, начинают сетовать на врачей.
Почему на вопрос о том сколько живут больные раком IV стадии нет и не может быть четкого ответа? От чего зависит продолжительность жизни пациента с этой самой поздней стадией онкологического заболевания? Этот вопрос мы задали врачу высшей категории, заведующей научным отделом инновационных методов терапевтической онкологии и реабилитации НИИ онкологии им. Н.Н. Петрова, доктору медицинских наук Семиглазовой Татьяне Юрьевне.
На сегодняшний день словосочетание «IV стадия рака» не несет под собой ровным счетом никакой информации, за исключением понимания степени распространенности процесса (наличие отдаленных метастазов).
Клетки рака - это собственные клетки человека над ростом и размножением которых организм потерял контроль.
Эволюция рака насчитывает 4 этапа - 4 стадии, каждую из которых принято обозначать римскими цифрами от I до IV. Обнаружение опухоли на этапе, когда уже появились метастазы в отдаленные лимфоузлы и/или ткани и органы, автоматически определяет стадию процесса как четвертую.
Что влияет на продолжительность жизни пациента с 4 стадией рака?
Прогноз жизни больных злокачественной опухолью IV стадии определяется скоростью распространения опухоли в окружающие ткани и отдаленные органы.
Период удвоения опухоли может занимать от 30 дней до нескольких лет и десятилетий. Есть опухоли, о существовании которых в своем организме человек может никогда и не узнать. Они характеризуются очень медленным ростом и длительно себя клинически никак не проявляют. Это так называемые, латентные, вялотекущие или «добрые» опухоли.
Пример из практики . В 1997 году под руководством профессора Михаила Лазаревича Гершановича мы лечили больную неходжкинской лимфомой IV стадии. Муж больной спрашивал нас о том, сколько осталось жить его молодой жене? После проведенной полихимиотерапии и лучевой терапии на оставшиеся очаги, больная вот уже 20 лет приходит ко мне на прием в полном здравии, а ее сын успешно поступил в Университет.
Есть «злые опухоли», для которых характерен агрессивный потенциал метастазирования. При, казалось бы, маленьких размерах первичного очага отмечается бурная диссеминация процесса — быстрое появление и рост отдаленных метастазов в различных органах, чаще всего в печени, легких, костях, головном мозге… Однако, в большинстве случаев, с помощью современного и своевременного противоопухолевого лечения все же удается взять под контроль симптомы заболевания и замедлить, а то и приостановить, «бег» самой болезни.
В ряде случаев резко усугубляют прогноз жизни больного сопутствующие заболевания (тяжелая форма сахарного диабета, хроническая декомпенсированная сердечная недостаточность, дыхательная или почечная недостаточность, цереброваскулярные и тромбоэмболические заболевания, хронические инфекции и т.д.), которые не дают провести лечение в полном объеме.
Парадоксы возраста
Существует мнение, что пожилым людям сложнее бороться с недугом под названием рак. Ведь большое количество сопутствующих заболеваний ограничивает применение тех или иных видов лечения, в связи с риском развития различных осложнений. С другой стороны — у пожилых людей обменные процессы замедлены, и течение самого заболевания не активное, вялотекущее. При этом важно помнить, что на сегодняшний день пожилой и старческий возраст не является сам по себе противопоказанием к назначению противоопухолевой лекарственной терапии. Большее значение имеет биологический возраст больного, а не тот, что указан в паспорте.
У молодых пациентов напротив — количество сопутствующих заболеваний в разы меньше, а серьезных и вовсе может не быть. Но активные обменные процессы могут отчасти способствовать агрессивному течению опухоли. Так что возраст становится и союзником, и врагом.
Большое значение имеет длительность анамнеза (истории) болезни, а также резервы противоопухолевого лечения.

Все зависит зависят от ряда важных факторов, главным из которых является паспорт опухоли, который определяется результатами гистологического, иммуногистохимического + молекулярно-генетического заключения.
Противоопухолевое лечение при IV стадии рака на сегодняшний день может включать:
- виды лекарственной противоопухолевой терапии:
- (например, антрациклиновые антибиотики - доксорубицин, или антиметаболиты - фторурацил, метотрексат);
- гормонотерапию (например, тамоксифен из группы антиэстрогенов);
- таргетную терапию (это когда противоопухолевый препарат действует на определенную опухолевую мишень как «ключ к замку», например, анти-HER2 препарат трастузумаб);
- иммунотерапию (моноклональные антитела к CTLA-4, PD-1, PD-L1 целенаправленно воздействуют на опухоль через иммунную систему, например, ипилимумаб, пембролизумаб, ниволумаб, пролголимаб, атезолизумаб и дурвалумаб);
- иммуноконъюгаты (химиотерапевтический препарат связан с таргетным препаратом посредством мостика, например, трастузумаб эмтанзин);

Химиотерапия
Показания к назначению химиотерапии больному IV стадией рака определяются чувствительностью опухоли к цитостатикам.
Поэтому по чувствительности к химиотерапии опухоли подразделяются на 3 основные группы:
- Высоко чувствительные к химиотерапии, которые с ее помощью могут излечиваться (герминогенные опухоли, пузырный занос, лимфома Ходжкина и т.д.).
- Опухоли, которые отвечают на химиотерапию, но с ее помощью до конца не излечиваются (неходжкинские лимфомы, рак молочной железы, мелкоклеточный рак легкого, рак яичников и т.д.).
- Опухоли, которые плохо поддаются химиотерапевтическому лечению, такие как рак желудка, рак печени, рак поджелудочной железы, меланома и т.д..
Иммунотерапия
За последние 20 лет возможности лекарственного противоопухолевого лечения больных IV стадией рака радикально изменились.
Важно помнить, что иммунотерапия - это не панацея от всех болезней. На данный вид терапии отвечает только 20-30% больных иммунокомпетентными опухолями. Вероятность ответа к иммунотерапии при соблюдении определенных показаний в соответствии с регистрационным удостоверением иммуноонкологических препаратов присутствует у больных следующими метастатическими опухолями:
- метастатические опухоли с высоким уровнем микросателлитной нестабильности (MSI-H);
- неоперабельная или метастатическая меланома;
- предлеченная неоперабельная или метастатическая карцинома Меркеля;
- рецидивирующий или метастатический плоскоклеточный рак головы и шеи;
- метастатический немелкоклеточный рак легкого (НМРЛ);
- метастатический мелкоклеточный рак легкого (МРЛ);
- предлеченный местнораспространенный или метастатический рак желудка или пищеводно-желудочного перехода;
- рефрактерная или рецидивирующая метастатическая лимфома Ходжкина;
- предлеченный метастатический рак эндометрия;
- предлеченный метастатический рак шейки матки;
- метастатический почечно-клеточный рак;
- неоперабельная или метастатическая гепатоцеллюлярная карцинома;
- местнораспространенный или метастатический уротелиальный рак;
- метастатический трижды негативный рак молочной железы с PD-L1 экспрессий в первой линии.
Реакция организма пациента на иммунотерапию особая. Поэтому для всех препаратов, относящихся к новому классу ингибиторов точек иммунного ответа, лечение следует начинать под контролем опытных и квалифицированных онкологов.

Лаборатория молекулярной онкологии
Участие в клинических исследованиях
Для онкологических больных IV стадией участие в клинических исследованиях крайне важно. Лечение инновационными лекарственными препаратами в рамках клинических испытаний позволяет в ряде случаев эффективно контролировать болезнь долгие годы. По российскому законодательству регистрация любого нового противоопухолевого препарата в России возможна после проведения исследований с участием российских пациентов. На включение нового препарата в действующие клинические рекомендации уходят годы, поскольку важно подтвердить безопасность и эффективность лекарственного средства. Пациент, желающий принять участие в клиническом исследовании после беседы с лечащим врачом-онкологом подписывает информированное согласие в нескольких экземплярах. В рамках клинического испытания больного информируют обо всех диагностических исследованиях и лечебных процедурах, включая введение исследовательского препарата, а также о том, что исследуемый препарат может оказаться неэффективным для пациента, как, впрочем, и препарат, назначенный в соответствии с клиническими рекомендациями. При этом участники клинического исследования обязаны четко соблюдать условия протокола, неукоснительно следуя графику процедур и визитов в исследовательский Центр. Контроль за соблюдением прав пациента осуществляется Министерством Здравоохранения России и этическим комитетом.
Почему опухоль сразу не отвечает на лечение или возобновляется рост метастазов после длительной ремиссии?
Ответ на этот вопрос кроется в биологии самой опухолевой клетки, которая, как все живое на планете, старается как можно быстрее адаптироваться к агрессивной окружающей среде. Например, многократный прием пенициллиновых антибиотиков способствует возникновению резистентности (потере чувствительности) у бактерий, поэтому требуется смена антибиотиков при очередном обострении воспалительного процесса.
Опухолевые клетки - это те же клетки организма, над которыми сам организм по ряду причин потерял контроль. Вместо запрограммированной гибели клетки опухоли приобрели способность бесконтрольного деления, роста и метастазирования. Поэтому после длительного и стойкого регресса (уменьшения) опухоли возобновляется рост опухоли или возникают новые метастазы. Опухоль со временем «умнеет»: с каждой линией нового лечения период до обострения болезни будет все короче и короче. Больные часто не понимают этого и просят вернуться к лечению, которое когда-то было столь эффективно.
Важно относиться с пониманием, когда врачи просят выполнить биопсию новых метастазов, например, в печени или легких. Поскольку новые опухолевые очаги могут отличаться по рецепторному и мутационному статусу, а может возникнуть и новая опухоль. Поэтому больному потребуется назначение нового лечения в зависимости от биологического подтипа или вновь обнаруженных мутаций.
Важно, чтобы проведение, по сути, токсичного лечения было возможно с учетом исчерпанных в ряде случаев резервов организма пациента или сопутствующей патологии. Например, при возникновении вирусных инфекций, в том числе гриппа или новой инфекции COVID-19, противоопухолевое лечение, как правило, приостанавливается, и все силы врачей, и все силы организма будут направлены на борьбу с заболеванием. Сроки возобновления противоопухолевого лечения обсуждаются с лечащим терапевтом и врачом-онкологом индивидуально.
Среди пациентов с 4 стадией онкологического заболевания нужно особо выделить паллиативных пациентов.
Паллиативные пациенты — это те онкологические больные, которые исчерпали все возможности лечения, их организм не может больше бороться с болезнью. Физическое состояние таких пациентов, обусловлено в ряде случаев полиорганной недостаточностью. Исчерпанные возможности противоопухолевого лечения не позволяют продолжать лечение. По картине клинического анализа крови можно увидеть, что резко угнетено кроветворение (к примеру, низкие показатели гемоглобина, тромбоцитов, лейкоцитов). В биохимическом анализе крови, наоборот, могут «зашкаливать», например, показатели креатинина, билирубина и/или трансаминаз и т.д.
Этап, когда паллиативный пациент испытывает сильную слабость, не встает с постели и самостоятельно не передвигается, не ест, у него наблюдается спутанность сознания — называют терминальным. Все возможные виды лечения уже испробованы и перестали работать, возможна лишь симптоматическая помощь (например, купирование болевого синдрома). Причиной гибели онкологических пациентов зачастую является полиорганная недостаточность. Опухоль угнетает функции важных органов и систем организма, опухолевая масса растет и становится несовместимой с жизнью. Тем не менее, пациенты с 4 стадией рака, получающие грамотную паллиативную медицинскую помощь, которая в настоящее время оказывается в полном объеме квалифицированным и специально подготовленным персоналом ХОСПИСов, могут жить достаточно долго и с хорошим качеством жизни. У каждого больного всегда есть шанс дождаться новых видов лечения, к которым рак будет чувствителен. Наука двигается вперед семимильными шагами!
Нельзя забывать также о психологической, социальной и духовной составляющих. Найти свои «духовные якоря» онкологическим пациентам часто помогают медицинские психологи.

Что дает онкологическому больному психологическая помощь?
- Улучшается эмоциональное состояние больных и родственников;
- преодолеваются тревоги, страхи, возникшие сложности в семейных взаимоотношениях;
- укрепляется мотивация к прохождению лечения;
- повышается качество жизни больных и членов их семей;
- приобретаются навыки эффективного общения с медицинским персоналом, коллегами, друзьями и близкими людьми.
Важно помнить, что IV стадия злокачественного процесса сегодня - это хорошо управляемый процесс, который с помощью противоопухолевого лечения успешно переводится в хронический и вялотекущий процесс. Это в свою очередь дает возможность больным доживать до нового и более эффективного лечения. Двадцатилетний опыт работы химиотерапевтом в НИИ онкологии им. Н.Н. Петрова на вопрос: «Cколько живут больные раком 4 стадии?» позволяет ответить: «Долго», но при условии своевременного и современного лечения.


Авторская публикация:
Татьяна Юрьевна Семиглазова
врач высшей категории
доктор медицинских наук
заведующая научным отделом инновационных методов терапевтической онкологии и реабилитации НИИ онкологии им. Н.Н. Петрова
Что вам необходимо сделать
Если вы хотите узнать побольше о бесплатных возможностях ФБГУ НМИЦ онкологии им. Н.Н. Петрова Минздрава России, получить очную или заочную консультацию по диагностике и лечению, записаться на приём, ознакомьтесь с информацией на официальном сайте.
Если вы хотите общаться с нами через социальные сети, обратите внимание на аккаунты в ВКонтакте и Одноклассники.
Стадии развития рака
Под термином «онкологическое заболевание» понимают более сотни разных патологий. Все они объединены некоторыми общими признаками: в определенных клетках возникают генетические мутации, в результате которых эти клетки становятся «неправильными», перестают адекватно реагировать на внешние сигналы и начинают бесконтрольно размножаться. В организме возникает злокачественная опухоль. Постепенно она растет, вторгается в окружающие ткани, соседние органы. Некоторые злокачественные клетки отрываются от материнской опухоли, мигрируют в другие органы и образуют вторичные очаги — метастазы.
Без лечения рак прогрессирует, все сильнее распространяется в организме. Его становится все сложнее лечить, ухудшается прогноз. Если на начальных этапах опухоль можно относительно легко удалить, то с появлением метастазов ремиссия становится практически невозможной. Для того чтобы понимать, насколько запущено заболевание у конкретного пациента, были разработаны специальные системы стадий рака (иногда ошибочно употребляют термин «степени рака»).
При всех злокачественных опухолях применяются универсальные принципы стадирования, но при каждом типе рака они имеют определенные нюансы. Правильное определение стадии опухоли — одна из первостепенных задач, которая стоит перед онкологом на этапе обследования пациента.

Для чего нужно определять стадию рака?
Определение стадии злокачественной опухоли помогает решать важные задачи:
- Правильно спланировать лечение.
- Определить прогноз для пациента. Для каждой стадии каждого типа рака известны средние показатели пятилетней выживаемости. Врач может заранее примерно прогнозировать, какого результата можно ожидать, насколько высока вероятность наступления ремиссии и рецидива в будущем.
- Контролировать течение заболевания и эффективность лечения.
- Обеспечить преемственность в оказании медицинской помощи. Благодаря тому, что существует единая классификация стадий онкозаболеваний, онкологи из разных клиник «разговаривают на одном языке». Например, когда врач говорит, что у пациента рак легкого T4N1M1, его коллеги из любой клиники мира легко поймут, о чем речь.
Стадии злокачественных опухолей TNM
TNM — основная система классификации стадий раковых заболеваний, она была разработана еще в середине прошлого столетия. Последняя, седьмая редакция Классификации TNM была принята в 2009 году. Она останется неизменной до тех пор, пока не накопятся новые технологии диагностики и лечения рака, из-за которых ее придется пересмотреть.
В классификации TNM учитываются три основные характеристики злокачественных опухолей, они соответствуют буквам аббревиатуры:
- T — tumor — характеристики первичной опухоли.
- N — nodus — распространение опухолевых клеток в регионарные лимфатические узлы.
- M — metastasis — наличие отдаленных метастазов.
В зависимости от характеристик конкретной злокачественной опухоли, при определении стадии к каждой букве приписывают цифру или специальное обозначение:
Характеристики первичной опухоли (T)
- TX — не получается оценить первичную опухоль.
- T0 — первичная опухоль не обнаружена.
- Tis — «рак на месте» (in situ). При этом появляется скопление раковых клеток, но они не прорастают в соседние ткани. Можно сказать, что это самая начальная стадия рака.
- T1—4 — с увеличением цифры увеличиваются размеры первичной опухоли и степень прорастания в окружающие ткани.
- NX — не получается оценить регионарные лимфоузлы.
- N0 — раковые клетки в регионарных лимфоузлах отсутствуют.
- N1—3 — с увеличением цифры увеличивается степень распространения опухолевого процесса в лимфатические узлы.
- M0 — отдаленные метастазы отсутствуют.
- M0 — отдаленные метастазы отсутствуют.
- M1 — отдаленные метастазы обнаружены.
Если нужно уточнить стадию, к цифре дополнительно добавляют букву. Например, M1a при немелкоклеточном раке легкого означает, что опухолевые клетки распространились во второе легкое, либо присутствуют в плевральном выпоте (жидкости вокруг легких), либо в перикардиальном выпоте (жидкости вокруг сердца).

Иногда перед аббревиатурой TNM ставят букву, которая обозначает, каким образом был установлен диагноз:
- p — стадия рака была диагностирована патологоанатомами, после того как опухоль была удалена и оценена под микроскопом;
- c — клинический диагноз, установленный до проведения биопсии по данным обследования.
В некоторых случаях проводят сентинель-биопсию — оценку сторожевого лимфатического узла. Этим термином обозначают лимфоузел, который находится первым на пути оттока лимфы от злокачественной опухоли. Во время операции в опухоль вводят радиофармпрепарат или флуоресцентный краситель. Эти вещества всасываются в лимфатические сосуды и распространяются с током лимфы, «прокрашивая» сторожевой лимфатический узел. Его удаляют и проверяют, нет ли в нем раковых клеток. Это помогает определить, распространилась ли опухоль в регионарные лимфоузлы, нужно ли их удалять и назначать пациенту дополнительное лечение.

Оценивая результаты сентинель-биопсии, врачи применяют следующие обозначения:
- pNX(sn) — сторожевой лимфоузел не удалось оценить;
- pN0(sn) — в сторожевом лимфоузле не обнаружено метастазов;
- pN1(sn) — в сторожевом лимфоузле обнаружен метастаз.
Другие системы определений стадий опухолевого процесса
Врачи-онкологи часто используют упрощенную классификацию по стадиям злокачественных опухолевых образований. Она опирается на систему TNM, но в ней выделяют всего пять стадий, которые обозначаются римскими цифрами:
- 0 стадия рака обозначает «рак на месте». Эта злокачественная опухоль имеет небольшие размеры, находится там, где возникла изначально, и не прорастает в соседние ткани. Такие новообразования обычно просто удалить. Практически у 100% пациентов удается добиться ремиссии.
- I стадия — это небольшая опухоль, которая находится в пределах одного органа. Такие новообразования называют «раком на ранней стадии». Его относительно просто лечить, пятилетняя выживаемость приближается к 100%.
- II стадия диагностируется в случаях, когда опухоль имеет большие размеры по сравнению с I стадией, более глубоко прорастает в толщу органа, но не распространяется за его пределы. При некоторых онкологических заболеваниях на II стадии опухолевые клетки распространяются в лимфатические узлы. — рак, распространившийся за пределы органа, в котором он изначально возник. Опухоль распространяется на соседние органы либо в регионарные лимфатические узлы.
- IV стадия — рак с отдаленными метастазами. Прогноз в данном случае наименее благоприятный. Как правило, ремиссия невозможна. Иногда IV стадию называют «пятая стадия рака», что в некоторой степени логично, если рассматривать в качестве первой стадии нулевую.
Иногда, для того чтобы уточнить подстадию, к цифрам приписывают латинские буквы A, B, C. Например, диагноз может звучать как «стадия IIIB рака шейки матки».

Степень злокачественности
Под микроскопом раковые клетки отличаются от нормальных, и степень этого различия говорит о том, насколько агрессивно они себя ведут. В свою очередь, от этого зависит успешность лечения, вероятность рецидива, прогноз для пациента. Поэтому, наряду с общепринятой классификацией по стадиям, выделяют степени злокачественности рака. Их обозначают буквой G, к которой приписывают соответствующие индексы:
- GX — степень злокачественности онкологического заболевания не удалось оценить.
- G1 — высокодифференцированные опухоли. Опухолевая ткань сильно похожа на нормальную. Такой рак ведет себя наименее агрессивно, редко метастазирует. Прогноз для пациента наиболее благоприятный.
- G2 — умеренно дифференцированная опухоль. Раковые клетки уже довольно сильно отличаются от нормальных и ведут себя более агрессивно.
- G3 и G4 — низкодифференцированные и недифференцированные опухоли. Они отличаются наибольшей степенью злокачественности, ведут себя очень агрессивно, плохо реагируют на лечение.
Классификация злокачественных опухолей после операции
Для того чтобы оценить, насколько успешно прошло хирургическое лечение рака, иногда онкологи используют специальную постоперационную классификацию:
- RX — сложно проверить, осталась ли опухолевая ткань в организме пациента после хирургического лечения.
- R0 — опухоль в организме пациента после операции отсутствует.
- R1 — обнаружена остаточная опухоль по данным микроскопического исследования.
- R2 — оставшаяся опухоль настолько большая, что обнаруживается при осмотре, без микроскопии.
Стадирование отдельных типов злокачественных опухолей
Некоторые онкологические заболевания не укладываются в рамки общепринятой системы TNM:
- Опухоли у детей — это отдельная категория онкологических заболеваний. Они сильно отличаются от злокачественных опухолей, которые обнаруживаются у взрослых. Для них разработаны специальные системы классификаций, мы не будем их рассматривать в этой статье.
- Рак крови. Такие онкологические заболевания, как лимфома, лейкемия, множественная миелома не могут быть описаны системой TNM, потому что при них чаще всего нет солидной (плотной) опухоли с определенной локализацией. В каждом случае применяется своя специфическая классификация по стадиям.
- Опухоли нервной системы обычно не распространяются за пределы головного и спинного мозга. В настоящее время для них нет единой общепринятой классификации. Чаще всего, определяя стадию при таких онкологических заболеваниях, врачи используют только букву T.
Как определяют стадию онкологического заболевания?
В онкологии применяется много разных методов диагностики. Они обладают разной информативностью, позволяют установить диагноз с разной степенью точности. Соответственно, определить стадию можно тоже разными способами, с разной степенью достоверности. Для этого применяют специальные обозначения:
- C1 — стадия рака определена с помощью стандартных диагностических процедур — осмотра пациента врачом, рентгенографии, эндоскопического исследования. Это наименее точный метод.
- C2 — диагноз установлен на основании специальных, более точных методов диагностики: компьютерной томографии, МРТ, ПЭТ-сканирования, специальных разновидностей рентгенографии, эндосонографии, биопсии и др.
- C3 — выполнено диагностическое хирургическое вмешательство, получен фрагмент патологически измененной ткани, проведено цитологическое и гистологическое исследование.
- C4 — стадия опухоли установлена после полноценного хирургического вмешательства и исследования удаленной опухоли.
Важно понимать: стадия рака не меняется в процессе лечения
Стадию заболевания при раке устанавливают на момент первичного обследования — то есть сразу после того, как диагностировано онкологическое заболевание. Даже если в будущем опухоль уменьшится или, напротив, будет прогрессировать, стадия не изменится. Это важно понимать. Выживаемость и прогноз рассчитываются именно по стадии, которая диагностирована изначально.
У женщины был диагностирован рак молочной железы II стадии. Было успешно проведено лечение, но позже опухоль рецидивировала в виде метастазов в костях. Основной диагноз будет по-прежнему звучать как «рак молочной железы II стадии». Четвертая стадия была бы диагностирована только в том случае, если бы метастазы были обнаружены сразу, как только пациентка впервые обратилась к врачам.
Как быстро развивается рак?
При копировании ДНК во время клеточных делений неизбежно возникают ошибки. В организме человека регулярно появляются «неправильные» клетки. К счастью, в нашем теле работает противоопухолевый иммунитет и другие защитные механизмы, которые уничтожают этих «мутантов-повстанцев». Но иногда им все же удается выжить. Клетки с измененными генами активно размножаются, и со временем их становится настолько много, что они образуют опухоль.
Может ли рак появиться за месяц или за несколько дней? Если человека начали беспокоить симптомы, и у него диагностировали злокачественную опухоль, то это отнюдь не означает, что она возникла вчера или неделю назад. Раковые клетки могли находиться в организме годами. Вообще, онкологические заболевания очень сложно диагностировать на ранней стадии, потому что симптомы зачастую отсутствуют. Сложно сказать, сколько времени прошло с момента возникновения первой раковой клетки до появления злокачественной опухоли, которую удалось обнаружить во время УЗИ или эндоскопии. Ведь разные типы рака ведут себя по-разному. Одни очень агрессивны и растут быстро, другие годами «сидят на месте» и не приводят к каким-либо проблемам.
За сколько времени рак переходит в 4 стадию? Здесь сроки тоже сильно различаются. Это зависит от агрессивности опухоли, от того, насколько рано больной обратился к врачу, какое проводилось лечение. Например, есть меланома, которая метастазирует очень быстро, а есть базальноклеточный рак кожи — он очень редко дает метастазы.

Сколько времени нужно «неправильной» клетке, чтобы стать раковой опухолью?
В онкологии есть такой показатель — время удвоения объема опухоли. Исследования показали, что масса быстрорастущих опухолей легких увеличивается вдвое примерно за 223 дня, а медленнорастущих — за 545 дней. Для аденокарцином этот срок составляет в среднем 303 дня, для плоскоклеточного рака — 77 дней, мелкоклеточного рака легких — 70.
Для того чтобы узнать, за какое время опухоль достигнет объема 1 см3, нужно время удвоения объема умножить на 30. Нехитрые расчеты показывают, что зачастую на это уходят годы.
Если рак диагностирован «на ранней стадии», вполне вероятно, опухоль находится в организме человека уже 5-10 лет. Просто раньше она не давала о себе знать.
На какой стадии можно излечиться от рака?
В онкологии вместо терминов «излечение» и «выздоровление» принято говорить «ремиссия». Это значит, что во время обследования у пациента не обнаруживают никаких признаков присутствия рака в организме. Но всегда остается риск рецидива. Если в течение пяти лет болезнь не вернулась, в определенном смысле человека можно считать выздоровевшим.
Конечно же, это очень обобщенные данные. Всегда нужно говорить не о раке в целом, а о его конкретных типах. Потому что рак бывает разным.
Терминальная стадия рака
Слово «терминальный» происходит от латинского terminalis, что можно дословно перевести как «конечный». Таким образом, терминальная стадия рака — последняя, конечная. Но этот термин может употребляться в разных значениях.
Иногда под словосочетанием «рак терминальной стадии» понимают не просто злокачественные новообразования IV стадии, а те, при которых никакие виды противоопухолевого лечения уже не помогают. Возможна только борьба с симптомами.
Если онколог сказал, что у пациента терминальная стадия рака, стоит спросить, что именно он имеет в виду, какая планируется тактика лечения, и какие цели оно будет преследовать. Врачи «Евроонко» используют все доступные возможности, чтобы помочь пациенту.
Особые симптомы терминального рака
Можно выделить четыре основные группы симптомов онкологических заболеваний на терминальной стадии:
- Симптомы, связанные с основной опухолью. Они зависят от того, в каком органе изначально развился рак.
- Общие симптомы: слабость, вялость, недомогание, повышенная утомляемость, снижение аппетита, потеря веса без видимых причин, повышение температуры тела.
- Симптомы, связанные с метастазами. Чаще всего метастатические очаги локализуются в печени, костях, легких, брюшине, лимфатических узлах, головном мозге.
- Симптомы осложнений: механической желтухи, асцита, экссудативного плеврита, нарушения проходимости полых органов и др.
При метастатическом поражении костей беспокоят упорные мучительные боли, которые усиливаются во время нагрузок, по ночам. Из-за ослабления костной ткани опухолевым процессом возникают патологические переломы. Особенно опасны переломы позвонков, так как они могут привести к сдавлению спинного мозга и тяжелым неврологическим расстройствам. В результате разрушения костей и повышения уровня кальция в крови развивается опасное для жизни осложнение — гиперкальциемия.
Метастазы в головном мозге могут приводить к таким симптомам, как головные боли, тошнота и рвота, судорожные припадки, нарушения движений и чувство онемения в разных частях тела, расстройство координации движений, головокружение, проблемы с памятью, вниманием, речью, изменение поведения и личности, утрата контроля над мочевым пузырем и прямой кишкой.
Поражение легких проявляется в виде упорного хронического кашля, мокроты с примесью крови, одышки, болей в грудной клетке.
При метастатическом поражении печени могут беспокоить боли под правым ребром, тошнота и рвота, развивается желтуха, асцит — скопление жидкости в брюшной полости.
Большинство симптомов онкологических заболеваний в терминальной стадии неспецифичны: они могут возникать при многих других патологиях, не имеющих отношения к раку. Правильный диагноз помогает установить обследование. Обычно для поиска метастазов применяют УЗИ, рентгенографию костей, грудной клетки, компьютерную томографию, МРТ, ПЭТ-сканирование. При подозрении на опухолевое поражение органов брюшной полости врач может назначить диагностическую лапароскопию.
Терминальная стадия рака груди
Злокачественные опухоли молочных желез чаще всего метастазируют в легкие, печень, кости, реже — в головной мозг и другие органы. Некоторые опухоли являются гормонально-позитивными: на их рост влияют гормоны эстроген и прогестерон. В таких случаях проводят гормональную терапию, обычно тамоксифеном или ингибиторами ароматазы.
В 20% случаев рак молочной железы является HER2-позитивным. На поверхности раковых клеток имеется повышенное количество белка-рецептора HER2, который активирует их размножение. При таких опухолях эффективен таргетный препарат трастузумаб (Герцептин).
Если на опухолевых клетках отсутствуют рецепторы к гормонам и HER2, такой рак называется тройным негативным. Он ведет себя более агрессивно и отличается более неблагоприятным прогнозом.
Кроме того, при раке молочной железы на терминальной стадии применяются классические противоопухолевые препараты, иногда — лучевая терапия и паллиативные хирургические вмешательства.
Терминальная стадия рака мозга
Опухоли головного мозга очень редко метастазируют за пределы центральной нервной системы, к ним не применяют общепринятую классификацию по стадиям. Для того чтобы определить прогноз для пациента, нужно оценить размер и локализацию новообразования, степень его злокачественности, резектабельность (возможность хирургического удаления) и вовлечение различных отделов центральной нервной системы.
Выделяют четыре степени злокачественности опухолей головного мозга:
- I степень: опухоль медленно растет и распространяется в окружающие ткани, её можно удалить хирургическим путем;
- II степень: опухоль медленно растет, но может распространяться в соседние ткани и рецидивировать;
- III степень: внешний вид опухолевых клеток сильно отличается от нормальных, новообразование быстро растет и распространяется в окружающие ткани.
- IV степень: опухоли, обладающие наибольшей степенью агрессивности.
В головном мозге намного чаще встречаются метастазы из других органов, чем первичные опухоли.
Терминальная стадия рака желудка
Рак желудка на терминальной стадии чаще всего метастазирует в легкие, печень и брюшину — тонкую оболочку из соединительной ткани, которая выстилает изнутри брюшную полость, покрывает внутренние органы.
Чаще всего лечение IV стадии рака желудка проводят с помощью химиопрепаратов. Если на поверхности опухолевых клетках присутствует белок-рецептор HER2, применяют таргетный препарат трастузумаб. Некоторым больным показана терапия таргетным препаратом рамуцирумабом (Цирамза), иммунотерапия препаратом пембролизумабом (Кейтруда). Выполняют паллиативные операции, например, в случаях, когда опухоль приводит к непроходимости органа. Лучевую терапию применяют редко.
Терминальная стадия рака легких
При немелкоклеточном раке легкого — самом распространенном типе злокачественных опухолей легких — примерно в 40% случаев болезнь диагностируется на терминальной, IV, стадии. Средняя пятилетняя выживаемость среди таких пациентов составляет 10%. Лечение может включать применение химиопрепаратов, таргетных препаратов, иммунопрепаратов, лучевой терапии.
Виды лечения
При терминальной стадии рака излечение невозможно. Но это не повод опускать руки. Основные цели, которые преследует лечение таких пациентов:
- Максимально, насколько это возможно, продлить жизнь.
- Улучшить общее самочувствие.
- Повысить качество жизни.
- Обеспечить психоэмоциональное благополучие.
- Избавить от боли и других мучительных симптомов.
В «Евроонко» программу лечения составляет консилиум, в который входят врачи разных специальностей. Учитывают тип, локализацию первичной опухоли и метастазов, общее состояние здоровья пациента, симптомы, которые его беспокоят.
Противоопухолевая терапия
В «Евроонко» доступны все группы современных противоопухолевых средств. Мы применяем оригинальные препараты последнего поколения с доказанной эффективностью:
- Классические химиопрепараты.
- Таргетные препараты.
- Иммунопрепараты из группы ингибиторов контрольных точек.
- Препараты для гормональной терапии при гормонально-чувствительных опухолях, например, раке молочной железы.
Любая противоопухолевая терапия при онкологических заболеваниях на поздних стадиях со временем перестает работать, потому что в раковых клетках возникают новые мутации, которые делают их устойчивыми к препаратам. В таких случаях врачи могут подобрать схему лечения препаратами второй линии. В некоторых случаях, для того чтобы подобрать оптимальную, персонализированную терапию, нужно провести молекулярно-генетическое исследование — такие анализы доступны в «Евроонко», мы сотрудничаем с ведущими лабораториями мира.
Даже если все возможности исчерпаны, для некоторых пациентов все еще остается некоторая надежда — они могут принять участие в клинических испытаниях новых препаратов.
Симптоматическая терапия
При терминальных стадиях рака многие пациенты испытывают боль и другие мучительные симптомы, которые могут быть вызваны как злокачественной опухолью, так и побочными эффектами препаратов. Существуют методы лечения, которые помогают улучшить состояние и обеспечить для больного комфорт.
Лучевая терапия
Лучевая терапия применяется при запущенных стадиях рака с двумя основными целями:
- Чтобы уменьшить размеры опухоли и замедлить прогрессирование болезни.
- Для борьбы с болями, кровотечением и другими симптомами.
Помимо облучения из внешних источников, в ряде случаев применяют брахитерапию. Во время этой процедуры источники излучения в виде мелких частиц помещают непосредственно в опухолевую ткань или рядом с ней. Иногда лучевую терапию применяют вместе с химиотерапией. Такое лечение называется химиолучевым. Оно работает более эффективно, но грозит более серьезными побочными эффектами.
Как могут помочь врачи?
Для врачей «Евроонко» не существует безнадежных больных. Мы считаем, что помочь можно всегда. Онкология развивается бурными темпами, и с каждым годом наши возможности растут. Приведем два примера, которые наглядно показывают потенциал современной медицины.
Пример 1. HIPEC — современный метод лечения канцероматоза брюшины.
Канцероматоз брюшины — тяжелое осложнение онкологических заболеваний в терминальной стадии. При этом состоянии раковые клетки распространяются по поверхности брюшины — оболочки из соединительной ткани в брюшной полости. Раньше прогноз для таких пациентов всегда был неблагоприятным. Средняя продолжительность жизни при применении классических методов лечения составляла 2-6 месяцев. В настоящее время существует инновационный метод лечения — гипертермическая интраперитонеальная химиотерапия (HIPEC). Хирурги удаляют из брюшной полости пациента все достаточно крупные опухолевые очаги и затем промывают её подогретым раствором химиопрепарата, который уничтожает оставшиеся раковые клетки. И хотя HIPEC можно провести не у всех пациентов, в случаях, когда она показана, эта процедура может продлить жизнь на годы.

Пример 2. Успешное лечение 4 стадии рака молочной железы с помощью иммунотерапии.
Это пока единственный известный случай, и он напоминает нечто из области научной фантастики. Массово такие методы лечения пока не применяется, так как они очень сложные, дорогие и не до конца изученные. Но кто знает, как в будущем изменится онкология, и какие технологии станут доступны для рядовых врачей?
В 2019 году американским онкологам удалось излечить пациентку Джуди Перкинс, страдавшую раком молочной железы IV стадии. У женщины было множество метастазов, в печени находился очаг размером с теннисный мяч. Из её крови извлекли иммунные клетки, «обучили» их атаковать злокачественную опухоль и вернули в организм. В итоге иммунная система Джуди справилась с болезнью.
Прогнозы при терминальной стадии рака
Прогноз зависит от типа злокачественной опухоли, количества и локализации очагов в организме, возраста, общего состояния здоровья пациента и некоторых других факторов.
В онкологии прогноз оценивают по показателю пятилетней выживаемости — проценту пациентов, которые остаются в живых в течение 5 лет после того, как у них диагностирован рак. При разных типах злокачественных опухолей в IV стадии этот показатель составляет (по данным Американского онкологического общества — American Cancer Society):
Рак легких
Рак легкого - это злокачественная опухоль, источником которой являются клетки бронхиального и альвеолярного эпителия. Это опасное заболевание характеризуется неконтролируемым ростом клеток в тканях лёгкого, склонностью к метастазированию. При отсутствии лечения опухолевый процесс может распространиться за пределы легкого в близлежащие или отдаленные органы. В зависимости от характеристик опухолеобразующих клеток, основными типами рака легких являются мелкоклеточный рак легкого (МРЛ) и немелкоклеточный рак лёгкого (НМРЛ).
По данным ВОЗ эта болезнь занимает одну из лидирующих позиций неинфекционных заболеваний, ставших причиной смерти до 70 лет.
Классификация
По месту первичного очага классифицируют виды опухоли легкого.
Центральный рак локализирован в проксимальных (центральных) отделах бронхиального дерева. Первые признаки рака легких (симптомы), которые должны насторожить, в этом случае выражены ярко:
- сухой продолжительный кашель, не поддающийся лечению.
- начинается кровохарканье с присоединением мокроты.
- закупорка просвета бронха опухолевыми массами приводит к одышке даже в состоянии покоя. В некоторых случаях возможно повышение температуры.

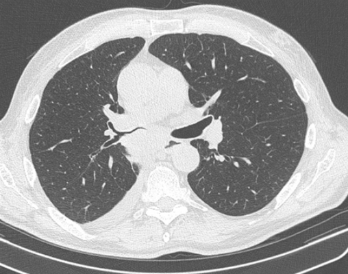
Фото 1 — Центральный рак правого нижнедолевого бронха (1) с обтурацией и метастазами (2) в бифуркационные лимфатические узлы
Периферический рак постепенно сформировывается в боковых отделах легких, медленно прорастая и ничем себя не обнаруживая. Данная опухоль легкого симптомы долгое время может не давать, они появляются при значительном местном распространении, вовлечении соседних органов и структур, прорастания бронхов. Диагностика рака легких этого типа локализации чаще всего возможна при профилактическом обследовании (рентгенографии или компьютерной томографии).

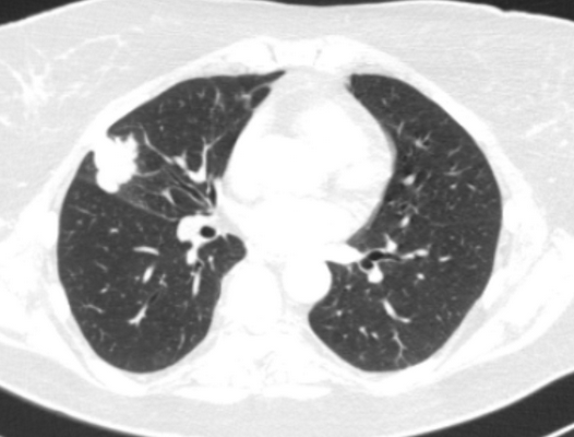
Фото 2 — Периферический рак (1) верхней доли правого легкого
Причины
Причиной рака легких, в подавляющем большинстве случаев (до 85%), становится долгосрочное табакокурение. В 10-15-процентной вероятностью заболевание проявляется у людей, которые не имеют этой вредной привычки. В этом случае можно отметить сочетание генетических факторов и воздействие радона, асбеста, вторичного табачного дыма или других форм загрязнения воздуха.
Диагностика
Онкология легких обычно выявляется при рентгенографическом исследовании грудной клетки и компьютерно-томографическом сканировании (КТ). Диагноз подтверждается биопсией, которая обычно выполняется при трахеобронхоскопии или под КТ контролем.

Профилактика
Профилактикой рака легкого является снижение влияния факторов риска:
- отказ от курения, в том числе и «пассивного» (вдыхание табачного дыма от находящегося рядом курящего человека),
- применение средств индивидуальной защиты (маски, респираторы) при работе с вредными материалами.
Лечение
Лечение онкологии легких и отдаленные результаты зависят от типа рака, степени распространения (стадии), а также общего состояния здоровья человека. При немелкоклеточном раке легкого применяют:
- хирургический
- химиотерапевтический
- лучевой методы лечения
Для мелкоклеточного рака легкого характерна лучшая чувствительность к медикаментозной и лучевой терапии.
Хирургический метод лечения рака легкого
— основной радикальный способ при 1-3 стадии болезни. Операции, выполняемые при данном заболевании классифицируются:
- по объему резекции (лобэктомии (удаление доли легкого), билобэктомии (удаление двух долей легкого), пневмонэктомии (удаление целого легкого)),

Фото 3 — Лобэктомия
Фото 4 — Пневмонэктомия
- по объему удаления лимфатических узлов грудной полости (стандартные, расширенные, сверхрасширенные),
- по наличию резекции соседних органов и структур (комбинированные операции проводятся при прорастании опухоли в перикард, трахею, верхнюю полую вену, пищевод, аорту, предсердие, грудную стенку, позвоночник). Помимо оперативного лечения возможно применение комплексного подхода, включающего лучевую и химиотерпию.

При лечении местнораспространенного злокачественного образования с переходом на главный бронх и лёгочную артерию, в тех случаях, где раньше единственным вариантом оперативного лечения являлась пневмонэктомия, сейчас возможно выполнение органосохранных операций. В этом случае иссекается пораженный участок главного бронха с последующим восстановлением непрерывности (бронхопластические и ангиопластические лобэктомии)

Фото 5 — Схема верхней бронхопластической лобэктомии
Лучевая терапия рака лёгкого
На сегодняшний день активное внедрение получают такие современные методы радиотерапии, как IMRT (радиационная терапия с возможностью изменения дозы излучения), 3Д конформная лучевая терапия (трехмерное компьютерное планирование избирательного облучения) стереотаксическая (точно сфокусированная) лучевая терапия. В проведении этих манипуляций, помимо онкологов, участвуют медицинские физики, врачи-радиологи, физики-дозиметристы и др. специалисты.
- пациентам с резектабельной опухолью лёгкого, которым оперативное лечение выполнить невозможно ввиду противопоказаний со стороны сердечно-сосудистой системы или по другим причинам;
- как альтернатива хирургическому вмешательству;
- для снижения риска рецидива при поражении лимфаузлов средостения, положительном крае резекции по данным гистологического исследования.
Химиотерапия
Планирование курса лечения немелкоклеточного рака лёгкого включает в себя использование фармакологических средств. Применяется в целях профилактики: адъювантная (вспомогательная), послеоперационная химиотерапия при 2-3 стадии заболевания и в терапевтическом курсе.
В зависимости от гистологического типа опухоли, стадии заболевания и предполагаемой чувствительности к воздействию, разработаны различные схемы применения химиопрепаратов.
Таргетная терапия (англ. target - мишень, цель)
Отдельный вид фармакологического лечения, заключающийся в назначении препаратов-ингибиторов, действующих только на опухолевые клетки, в которых выделены различные нарушения, задерживающих или даже блокирующих дальнейший рост.
- ингибиторы тирозинкиназы (гефитиниб, эрлотиниб, афатиниб) используются в лечении больных, в опухолевой ткани которых выявлены мутации в гене EGFR.
- При отрицательном статусе EGFR-мутации — ингибиторы ALK (кризотиниб, алектиниб).
Существуют таргетные препараты, для назначения которых не требуется выявление каких-либо нарушений в опухолевых клетках. К ним относятся бевацизумаб (ингибитор VEGF), ниволюмаб и пембролизумаб (анти PDL1 антитела).
Прогноз жизни
Прогноз онкологии легких при НМРЛ включает симптоматику, размер опухоли (> 3 см), неплоскоклеточный гистологический вариант, степень распространения (стадию), метастазирование в лимфаузлы и сосудистую инвазию. Неоперабельность заболевания, выраженная клиника и потеря веса более, чем на 10% — дают более низкие результаты. Прогностические факторы при мелкоклеточном раке легкого включают в себя статус состояния, пол, стадию заболевания и вовлеченность центральной нервной системы или печени во время диагностики.
Для немелкоклеточного рака легкого прогноз жизни, при полной хирургической резекции стадии IA (ранняя стадия заболевания) — 70% пятилетняя выживаемость.
Рак прямой кишки
Рак прямой кишки - одна из самых серьезных болезней нашей цивилизации, которая занимает 4 место среди всех онкологических патологий и 2-е место среди опухолей желудочно-кишечного тракта.
Рак прямой кишки - что это такое?
Это злокачественное онкологическое заболевание происходит из эпителия прямой кишки. Этой опухоли присущи характерные черты любого злокачественного образования - быстрый рост, прорастание в соседние ткани, метастазирование.
Подвержены болезни мужчины и женщины в равной степени. Рост числа заболевших отмечается с 45 лет, а пик заболеваемости приходится на 75-летних.

О заболевании
Слизистая оболочки конечного участка толстой кишки покрыта цилиндрическим эпителием с большим количеством желез. Их клетки продуцируют слизь. Под влиянием факторов риска появляются патологические клетки с бесконтрольным делением и утратой механизма апоптоза - запрограммированной гибели. Постепенно из них формируется опухоль прямой кишки.
Предположительно установлены причины рака прямой кишки:
- Неправильное питание.
Преобладание в рационе мясной пищи, животных жиров с одновременным дефицитом растительной клетчатки ухудшает прохождение кала, способствует запорам и развитию колоректальных опухолей. - Роль наследственности — замечена при возникновении некоторых форм новообразований.
- Предраковые патологии — полипы, болезнь Крона, неспецифический язвенный колит.
- Иммунодефицитные состояния, карцинома половых органов или молочной железы у женщин.
Виды рака прямой кишки
Тип опухоли определяется ее локализацией:
- Аноректальное расположение характерно для 5-8% случаев.
- Ампулярное встречается чаще других, до 80%. Это патология в самой широкой части кишки.
- Надампулярная локализация до 12% больных.
Характер роста опухоли может быть:
- экзофитный - растет в просвет кишечника;
- эндофитный - прорастает толщу стенки, инфильтрирует ее, может охватывать циркулярно;
- смешанный рост.
По гистологической картине новообразование бывает:
- железистый рак (аденокарцинома);
- солидный;
- перстневидно-клеточный;
- скирр;
- плоскоклеточный.
Симптомы рака прямой кишки, первые признаки
Развитие опухолевого процесса вызывает отдаленные признаки рака прямой кишки:
- слизь и кровь в кале;
- гнойные выделения;
- чувство переполненного кишечника;
- вздутие живота;
- боль в области прямой кишки;
- хроническая усталость, утомляемость;
- анемия;
- потеря веса.
На начальных стадиях проявления болезни может не быть. При выявлении анемии неизвестного происхождения стоит искать причину скрытого кровотечения. Возможно, это рак.
Поздние стадии характеризуются поражением других органов:
- прорастание в соседние органы, образование межорганных свищей;
- гнойно-воспалительные процессы - парапроктит, флегмона малого таза;
- перфорация опухоли надампулярной локализации с развитием перитонита;
- кровотечение.
Как выглядит рак прямой кишки - фото

На фото рака прямой кишки можно заметить, что он значительно сужает просвет кишечника. Это является причиной запоров, переполненного живота, метеоризма.

На этом фото карцинома растет инфильтративно, охватывая стенку.
После обращения к врачу, определяют симптомы, которые беспокоят пациента и позволяют предположить болезнь ректального отдела.
Общий анализ мочи и крови отражают состояние организма, наличие воспаления, анемию, работу почек и мочевого пузыря
Этот метод позволяет выявить опухоли аноректальной локализации. Определяют состояние сфинктера, слизистой оболочки.
Для обследования внутренней поверхности прямой кишки в более удаленных участках:
— ректороманоскопия - изучение кишечника с помощью жесткой трубки с оптическим прибором на конце;
— колоноскопия - исследование с помощью гибкого эндоскопа, позволяет обследовать весь кишечник.
Из подозрительных и измененных участков берут части тканей, которые изучаются на предмет раковых клеток или диспластических предраковых процессов.
Для дифференциальной диагностики рака, обнаружения на ранней стадии изменений, которые могут привести к онкологии.
Для определения распространенности злокачественного процесса. Можно выполнять абдоминально - через брюшную стенку, и трансректально - через анальное отверстие.
Часто возникает сочетание опухолей кишечника с гинекологическими карциномами - раком тела матки, яичников, а также молочной железы.
С применением контрастного вещества. На снимках заметны дефекты наполнения кишечника, патологические разрастания тканей, стенозы, вызванные новообразованием.
Выявляет даже небольшие по размеру патологические очаги, метастазы и инвазию опухоли в соседние органы, ее топографическое положение относительно других структур. Метод безопасен, не создает радиационную нагрузку, в отличие от КТ.
Стадии рака прямой кишки
Течение ракового процесса при отсутствии должного лечения прогрессирует. Стадия определяется по степени поражения самого кишечника, прорастанием ее через стенку, наличием метастазов в лимфоузлах, отдаленных поражениях других органов.
В связи с этим опухоли делят на 4 стадии. Такое распределение универсально для любых злокачественных опухолей.
1 стадия - опухоль небольших размеров, растет на слизистом слое, не поражает соседние органы и лимфоузлы.
2 стадия делится на А и Б. 2А - это поражение от трети до половины окружности кишечной трубки, но растет строго в стенке или просвете, метастазов нет. 2Б - размер очага такой же, но есть метастазы в околокишечных лимфоузлах.
3А - опухоль занимает более половины окружности кишки, прорастает через все слои и околокишечную клетчатку. Могут быть единичные метастазы в ближайших лимфоузлах.
3Б - любой размер опухоли, метастазы в отдаленных лимфоузлах, принимающих лимфу от ректальной области.
4 стадия - метастазы распространяются по внутренним органам и отдаленным лимфатическим узлам. Размер первичной опухоли может быть любой.
Методы лечения рака прямой кишки
Небольшой размер опухоли и ее прорастание только через слизистый и подслизистый слой прямой кишки, не затрагивая мышечный и серозный, позволяет выполнить хирургическое удаление самой опухоли. Иногда возможно проведение операции через кишку с помощью колоноскопа.
Если она проросла в мышечный слой, то показана резекция прямой кишки или экстирпация (полное удаление органа). Также удаляется параректальная клетчатка и лимфоузлы, в которых в 20% случаев уже обнаруживаются метастазы. Для проведения операции используют два доступа - лапаротомия (рассечение брюшной стенки) и лапароскопия (операция с помощью видеооборудования через несколько проколов на животе).
Тип операции выбирается исходя из локализации опухоли. Высокое расположение позволяет провести удаление новообразования и временно вывести конец кишки на брюшную стенку - сформировать колостому для дефекации. Такая манипуляция нужна, если пока сшить между собой концы кишки невозможно. Вторым этапом через некоторое время восстанавливают целостность кишечника.

При низком расположении опухолевого процесса, если ниже ее не осталось здоровых тканей, проводят удаление пораженного участка и анального отверстия, накладывают колостому на брюшную стенку.
Прогноз выживаемости
После проведения радикальной операции выживаемость в течение 5 лет колеблется в пределах 34-68%. На исход лечения влияет стадия, на которой была диагностировна опухоль, состояние самого пациента, его возраст, сопутствующие заболевания.
В зависимости от стадии опухолевого процесса, пятилетняя выживаемость определена следующими цифрами:
- 1 стадия - до 77%;
- 2 стадия - до 73%;
- 3 а стадия - 46%;
- 3 б стадия - 43%.
4 стадия не рассматривается в данной статистике. Радикальные операции зачастую провести невозможно, т.к. метастазы опухоли диссеминрованы по всему организму. Летальный исход зависит от общего состояния больного.
Противопоказания
Операция противопоказана при следующих условиях:
- тяжелые хронические заболевания пациента - артериальная гипертензия, ишемическая болезнь сердца, когда невозможно дать наркоз;
- преклонный возраст пациента;
- запущенные стадии рака.
При распространенном процессе с метастазированием во многие органы применяют паллиативные резекции, направленные на облегчение состояния больного. Симптоматические операции - наложение обходных анастомозов, чтобы разгрузить кишечник и избежать осложнений на последних стадиях рака.
Лечение до и после операции
Химиотерапия и лучевая терапия показаны для больных с опухолями 2 и выше стадиями.
Если до операции были выявлены метастазы в нескольких лимфоузлах, а опухоль проросла мышечный слой, то на этапе подготовки к операции проводят лучевую терапию коротким курсом в течение 5 дней. Это позволяет уничтожить ранние метастазы, уменьшить размер самого образования.

Лечение рака прямой кишки после хирургического вмешательства проводится после получения патоморфологических данных об удаленных тканях. Решается вопрос о проведении облучения или его сочетании с химиотерапией. Лучевая терапия после операции уничтожает оставшиеся клетки в зоне первичной опухоли и предупреждает ее рецидив. У неоперабельных больных она облегчает состояние.
Чувствительность к химиотерапии выявляется у 30% больных. Ее назначают с лечебной целью для уничтожения метастазов.

Также химиотерапию проводят адьювантно - для предупреждения распространения карциномы, если выявлялось поражение нескольких лимфоузлов. Этот способ терапии улучшает качество и продолжительность жизни пациентов с метастазами. Применяют препараты платины, 5-фторурацил, лейковарин, фолинат кальция. Лекарства вводятся внутривенно капельно, курсами по несколько дней. Также применяют химиотерапию в сочетании с лучевой до проведения операции при местнораспространенной форме рака. Такое комбинированное лечение проводят в течение 1-1,5 месяца, а после окончания облучения через 6 месяцев выполняют операцию.

Читайте также:
- Рентгенограмма, МРТ при отрыве передней губы плечевого сустава без отделения от периостальной манжеты
- Регуляция реабсорбции ионов натрия. Альдостерон. Регуляция транспорта ионов кальция, фосфата, магния.
- Эпилептический статус на МРТ головного мозга
- Ультразвуковое исследование сосудов. Этапы диагностики заболеваний артерий.
- Функция мозга в коммуникации. Сенсорные и моторные аспекты коммуникации
