Редкие опухоли мозжечка и четвертого желудочка у ребенка
Добавил пользователь Евгений Кузнецов Обновлено: 29.01.2026
Основную группу опухолей мозжечка и IV желудочка составляют глиомы. Только в отличие от опухолей полушарий мозга в мозжечке редко встречаются глиобластомы и практически не бывает олигодендроглиом. Вместе с тем относительно часто выявляются медуллобластомы, особенно у детей. Астроцитомы и ангиоретикулемы часто бывают кистозными.
В структуре опухолей задней черепной ямки новообразования мозжечка занимают около 60%.
Симптомы Опухолей мозжечка и IV желудочка:
Клинически опухоли мозжечка и проявляются, прежде всего, выраженным гипертензионно-гидроцефальным синдромом, обусловленным нарушением ликворооттока через сильвиев водопровод и IV желудочек. При опухолях полушарий мозжечка симптоматика бывает вначале односторонней и проявляется гипотонией или атонией мышц конечностей и нарушением координации движений на стороне расположения опухоли. При поражении червя мозжечка на первый план выступает нарушение статики и походки.
Опухоли IV желудочка обычно вначале проявляются гипертензионным синдромом с характерными приступами головной боли, рвот, вынужденного положения головы, головокружением.
При расположении опухоли в черве мозжечка отмечаются симптомы двустороннего поражения, часто поражаются черепные нервы и пирамидные пути, что связано со сдавлением и дислокацией ствола.
Отдаленные симптомы опухолей мозжечка очень многочисленны. Это - параличи черепных нервов - V, VI, VII, VIII пар, реже бульбарных нервов. Затем симптомы со стороны пирамид - центральные парезы и параличи, судороги, контрактуры», Чувствительность расстраивается реже в слабее.
Диагностика Опухолей мозжечка и IV желудочка:
Диагностика опухолей мозжечка IV желудочка включает следующие физикальные и диагностические методы исследования:
- Детальное неврологическое обследование
- Нейроофтальмологическое обследование: острота зрения, поля зрения, глазное дно
- Отоневрологическое исследование: слух (аудиометрия), вестибулярные функции
- Поясничная пункция (измерение давления и лабораторное исследование СМЖ)
- Белково-клеточная диссоциация (резкое увеличение содержания белка при нормальном числе клеток)
- Возможно выявление опухолевых клеток
- Поясничная пункция не рекомендована при выраженных признаках внутричерепной гипертёнзии, особенно при застойных дисках зрительных нервов (внезапное изменение внутричерепного давления может спровоцировать вклинение)
- Рентгенография черепа: признаки внутричерепной гипертёнзии (усиление пальцевых вдавлений по своду черепа, разрушение турецкого седла), кальцинированные опухоли
- ЭЭГ: выявление очагов патологической активности
- Эхоэнцефалография: смещение срединных структур мозга, расширение желудочковой системы
- Гаммаэнцефалография (радиоизотопное исследование)
- КТ/МРТ
- Церебральная и спинальная ангиография
- Методы молекулярной биологии: проточная цитометрия, состояние генасупрессора опухолевого роста р53, определение онкогенов ras, туе и хромосомных аномалий.
Из дополнительных контрастных методов исследования информацию обеспечивает пневмоэнцефалография, проводимая без выпускания ликвора.
Лечение Опухолей мозжечка и IV желудочка:
Лечение опухолей мозжечка IV желудочка - хирургическое. Опухоль удаляют по возможности радикально. При прорастании опухоли в ствол мозга, особенно опухоли IV желудочка, ее удаление бывает лишь частичным. Основной задачей вмешательства в такой ситуации является восстановление ликворооттока из вышележащих отделов ликворной системы. При медуллобластомах после хирургического вмешательства обязательно проводят лучевое лечение с облучением как области расположения опухоли, так и мест возможного образования метастатических узлов вдоль спинного мозга и в области полушарий мозга.
К каким докторам следует обращаться если у Вас Опухоли мозжечка и IV желудочка:
Вас что-то беспокоит? Вы хотите узнать более детальную информацию о Опухолей мозжечка и IV желудочка, ее причинах, симптомах, методах лечения и профилактики, ходе течения болезни и соблюдении диеты после нее? Или же Вам необходим осмотр? Вы можете записаться на прием к доктору .
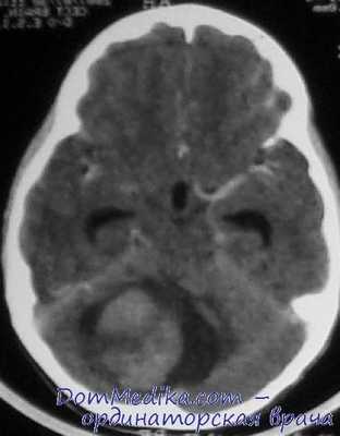
Медуллобластома
Медуллобластома (medulloblastoma) — злокачественная опухоль из медуллобластов, незрелых клеток глии, локализующаяся обычно в черве мозжечка, который находится рядом с четвертым желудочком мозга. Характерны симптомы раковой интоксикации, нарастающей интракраниальной гипертензии и мозжечковой атаксии. Диагноз ставится на основании клинической картины, результатов анализа спинномозговой жидкости, ПЭТ, КТ или МРТ, биопсии. Лечение включает хирургическое удаление опухоли, восстановление нормальной циркуляции спинномозговой жидкости, лучевую и химиотерапию.
Общие сведения
Медуллобластома (гранулобластома, нейроглиома эмбриональная, глиома саркоматозная) — весьма злокачественная патология задней черепной ямки. Опухоль, как правило, находится в черве мозжечка, а у детей старше шести лет может локализоваться в полушариях органа. Медуллобластома обычно быстро метастазирует по ликворным путям, чем отличается от других опухолей мозга.
На долю медуллобластомы приходится 7-8% от общего числа известных в неврологии объемных образований, среди опухолей мозга в педиатрии — 30%. Медуллобластома стоит на втором месте по частоте среди опухолей мозга у детей. Распространенность данного вида новообразований - 1,5-2 случая на сто тысяч. Чаще развивается у мальчиков, по сравнению с девочками (соотношение 65/35).
Типичный возраст, когда обнаруживают медуллобластому, пять-десять лет. Но это не только «детская» патология, ее выявляют в любом возрасте. Дети составляют ¾ от общего числа больных медуллобластомой. У взрослых эта опухоль встречается обычно в возрасте от 21 до 40 лет.
Причины медуллобластомы
Обычно случаи медуллобластомы — спорадические. Однако есть наследственные болезни, ассоциированные с высоким риском развития данной опухоли. К ним относятся: синдром Рубинштейна-Тейби, синдром Горлина, синдром Тюрко и синдром голубых невусов.
Почему развивается медуллобластома, на сегодняшний день остается неясным. Известны лишь факторы риска данной патологии, к ним относятся: возраст до 10 лет, действие ионизирующего излучения, влияние канцерогенов пищи, лаков, красок, бытовой химии; вирусные инфекции (цитомегаловирус, ВПЧ, инфекционный мононуклеоз, герпетические инфекции), повреждающие геном клеток; отягощенная наследственность. Медуллобластома — это примитивная нейроэктодермальная опухоль (PNET). Обычно она расположена субтенториально, то есть под наметом мозжечка, быстро прорастает в его червь и заполняет весь четвертый желудочек мозга. Это ведет к блокированию ликворооттока, так как увеличивающаяся в размерах опухоль перекрывает пути циркуляции спинномозговой жидкости. Внутричерепное давление у пациента резко повышается, что проявляется синдромом выраженной интракраниальной гипертензии. Поражение бульбарных отделов возникает на поздних стадиях болезни за счет прорастания опухоли в ствол мозга.
Гистологическая картина медуллобластомы представляет собой сосредоточение небольших, округлых, малодифференцированных, пролиферирующих эмбриональных клеток с очень тонкой цитоплазмой и гиперхромным ядром.
Классификация медуллобластом
Эта злокачественная опухоль в 80% случаев возникает в черве мозжечка, а в 20% — в его двух полушариях. По гистологическому строению различают следующие виды новообразования:
- Медулломиобластома, содержащая в составе мышечные волокна
- Меланотическая медуллобластома, которая состоит из нейроэпителиальных клеток, имеющих в составе меланин
- Липоматозная медуллобластома, в которой есть жировые клетки (самый доброкачественный вариант опухоли).
Помогает определить клинический прогноз для каждого больного медуллобластомой классификация, предложенная Чангом в 1969 году. Она основана на принципах TNM и учитывает размер новообразования, метастазирование и степень инфильтрации.
Симптомы медуллобластомы
Клинические проявления медуллобластомы могут быть разными. Они зависят от локализации новообразования, от выраженности общемозгового синдрома, который напрямую связан с повышением внутричерепного давления, и от расположения метастазов.
Так как медуллобластома чаще всего располагается в мозжечке, у больного развивается мозжечковая атаксия. Формируется «мозжечковая походка»: пациент ходит, расставив нижние конечности и балансируя верхними, чтобы не потерять равновесие и не упасть; его «кидает» из стороны в сторону. Вследствие нарушения координации движений, больной часто падает, особенно при поворотах. Если опухоль прорастает в ствол мозга, состояние сразу ухудшается, так как присоединяются расстройства дыхания и гемодинамики. В неврологическом статусе выявляется: угнетение глоточного рефлекса, парезы взора, спонтанный нистагм, нарушение конвергенции. Если вовлекается спинной мозг, появляются параличи конечностей, нарушения чувствительности.
Для общемозговых проявлений медуллобластомы характерны изменения сознания в виде психомоторного возбуждения, повышенной раздражительности, нарушения ориентации в месте, времени, собственной личности. Нередко у больного отмечаются судорожные приступы. Пациент предъявляет жалобы на утреннюю головную боль, постоянную тошноту, многократную рвоту, которые являются составляющими синдрома интракраниальной гипертензии. Своевременное диагностирование медуллобластомы у детей раннего возраста затрудняют особенности строения их черепа. Синдром внутричерепной гипертензии может долгое время не проявляться, так как размеры черепной коробки у детей увеличены, мозг пластичен, а сосуды очень эластичные. Нередко диагноз ставится поздно, когда медуллобластома занимает червь, гемисферу мозжечка и четвертый желудочек мозга; прорастает в бульбарные структуры.
Метастазы значительно ухудшают состояние пациента. Клиническая картина зависит от их локализации и размеров. Медуллобластома — опухоль необычная, в отличие от первичных новообразований головного мозга (астроцитомы, глиомы), которые не дают метастазы за пределами центральной нервной системы, эта опухоль способна метастазировать в печень, легкие и кости (примерно в 5% случаев).
Наиболее частое осложнение медуллобластомы — развитие гидроцефалии (водянки мозга). Это происходит за счет перекрытия оттока ликвора растущей опухолью, либо в области водопровода мозга, либо отверстий Люшка и Мажанди. Для гидроцефалии характерны: круглосуточные упорные головные боли, тошнота, частое запрокидывание головы, смещение глазных яблок вниз, нистагм и косоглазие; у детей - увеличенный в объеме череп.
Диагностика медуллобластом
С диагностический целью врачом неврологом производится суммарная оценка данных неврологических, офтальмологических, ликворологических исследований, а также результатов КТ или МРТ головного мозга. Для комплексного обследования и поставки диагноза медуллобластомы могут потребоваться результаты следующих видов исследований: общий анализ крови, общий анализ мочи, биохимия крови; осмотр офтальмолога, который при проведении офтальмоскопии выявляет застойные диски зрительных нервов, свидетельствующие об интракраниальной гипертензии; нейросонография у детей с незакрытыми родничками, обеспечивающий наиболее раннюю диагностику опухоли; компьютерная томография (КТ), которая дает возможность определить точно местоположение и размеры опухоли, степень инфильтрации окружающей мозговой ткани; магнитно-резонансная томография (МРТ), позволяющая выявить самые незначительные изменения в структуре головного мозга; позитронно-эмиссионная томография (ПЭТ), оценивающая процесс метастазирования; определение онкомаркеров в крови; биопсия (гистопатологический анализ тканей) для выставления окончательного клинического диагноза; консультация нейрохирурга.
Лечение медуллобластомы
Радикальным методом лечения медуллобластомы является ее хирургическое удаление. Если позволяет состояние пациента, лучше тотально удалять раковую опухоль. Во время операции используются микрохирургические методики, интраоперационная МРТ-навигация.
Радиотерапия занимает важное место в терапии данной патологии. Если медуллобластома удалена полностью и отсутствуют метастазы, после оперативного вмешательства назначается радиотерапия в низких дозах, что сводит к минимуму побочные эффекты. Если выявлены метастазы или новообразование удалено не совсем, применяется радиотерапия в больших дозах. При внушительных размерах медуллобластомы лучевая терапия показана до удаления опухоли с целью уменьшения ее размеров до операбельных. Детям младше трех лет радиотерапия не проводится.
Химиотерапия в лечении этой опухоли является частью комплексных мер и используется после хирургической и радиологической терапии. Наиболее эффективно применение следующих химиотерапевтических препаратов: винкристина, нитрозомочевины и прокарбазина.
Американские ученые совсем недавно предложили в комплексном лечении медуллобластомы использовать вирус кори, предварительно подвергнув его генетической модификации. Опыты на мышах подтвердили, что модифицированный вирус кори убивает злокачественные клетки медуллобластомы всего за 72 часа.
Режим и диета — другая часть системного лечения опухоли. Есть нужно небольшими порциями, но часто. Не следует заставлять больного принимать пищу. Рекомендуется есть больше цитрусовых. При приготовлении блюд нужно учитывать пожелания больного, ведь его вкусовые пристрастия на фоне лечения могут измениться и даже показаться странными. Реабилитация — неотъемлемая часть лечения медуллобластомы. Она разрабатывается индивидуально для каждого пациента.
Прогноз и профилактика медуллобластомы
На сегодняшний день летальность и инвалидизация при медуллобластоме остаются очень высокими. Важное значение для снижения частоты неблагоприятных исходов опухоли имеют: раннее выявление заболевания, полнота обследования и выбор оптимального метода хирургического лечения новообразования.
Послеоперационная летальность равна 5%, а после пяти лет выживают только 20 - 30% больных медуллобластомой. Выживаемость более пяти лет у мальчиков составляет около 24%, а у девочек всего 10%. Чем младше возраст больного ребенка, тем злокачественнее новообразование, и тем быстрее в патологический процесс вовлекается ствол мозга, отвечающий за витальные функции. Самый худший прогноз имеют больные с рецидивом опухоли после ее удаления.
Специфических методов профилактики медуллобластомы в настоящее время не существует. Есть исследования американских врачей, которые сообщают, что прием витаминных добавок во время беременности уменьшает риск возникновения этой опухоли.
Болезнь Лермитт-Дуклос
Болезнь Лермитт-Дуклос - генетическая патология, приводящая к развитию медленно растущей опухоли мозжечка, которая может появиться в любом возрасте больного. Основными проявлениями заболевания, помимо симптомов поражения мозжечка, являются также гидро- и мегалоцефалия, пороки развития скелета и гиперплазия десен. Диагностика производится на основании изучения головного мозга (КТ, МРТ), неврологических симптомов, а также генетических исследований. Специфического лечения болезни Лермитт-Дуклос не существует, однако своевременно проведенное хирургическое удаление опухоли может значительно продлить жизнь больного.
Причины болезни Лермитт-Дуклос
Непосредственной причиной болезни Лермитт-Дуклос является мутация гена PTEN, расположенного на 10-й хромосоме - он кодирует фермент фосфатазу, субстратом которого могут выступать как белки, так и липиды. Последние содержат фосфаты в инозитольном кольце, которые и отщепляются фосфатазой. При этом блокируется так называемый PI3K/AKT/mTOR-путь передачи информации в клетке, позволяющий, в некоторых случаях, обходить процесс апоптоза. По этой причине PTEN выступает одним из ключевых антионкогенов, а его мутации вызывают заболевания, характеризующиеся развитием опухолей и гамартом в организме. Одной из патологий такого плана является и болезнь Лермитт-Дуклос. Современная генетика знает еще несколько синдромов, связанных с нарушением структуры этого гена, и все они сопровождаются теми или иными новообразованиями, что подтверждает антионкогенную роль PTEN. Мутация, являющаяся причиной заболевания, наследуется по аутосомно-доминантному механизму, возможно также герминальное повреждение гена PTEN, возникающее в половых клетках в процессе их образования. Однако патогенез развития опухоли мозжечка при болезни Лермитт-Дуклос на сегодняшний день остается неизвестным.
Симптомы болезни Лермитт-Дуклос
Проявления заболевания могут возникнуть в любом возрасте, в истории описаны случаи обнаружения симптомов болезни Лермитт-Дуклос как в раннем детстве, так и у пожилых пациентов. Однако наиболее часто характерные признаки ганглиоцитомы мозжечка врачи-неврологи выявляют в подростковом возрасте или же на третьем десятилетии жизни пациента. Косвенными признаками патологии являются врожденные аномалии развития - гидроцефалия, мегалоцефалия, скелетные аномалии кистей (поли- и синдактилия). Возможна скелетная асимметрия лица, появление высыпаний на языке и гиперплазии десен. По мере развития опухоли присоединяются симптомы повышения внутричерепного давления и нарушения циркуляции ликвора - головные боли, усиливающиеся по утрам, тошнота и рвота, обмороки.
При отсутствии лечения к вышеуказанным проявлениям болезни Лермитт-Дуклос присоединяются симптомы поражения мозжечка и черепно-мозговых нервов - мозжечковая атаксия и параличи. Часто наблюдаются нарушения речи (дизартрия), слуха, возникает нистагм, снижение памяти и дезориентация. Больные впоследствии впадают в коматозное состояние и, не приходя в сознание, умирают. При этом возможно и бессимптомное течение болезни Лермитт-Дуклос, которое может проявляться лишь незначительными врожденными пороками развития. Диспластическая ганглиоцитома мозжечка у таких больных выявляется случайно на проведенных по другому поводу МРТ и КТ или же при вскрытии. Некоторые исследователи полагают, что в данном случае идет речь не о бессимптомной, а о медленно прогрессирующей форме болезни Лермитт-Дуклос, и она все равно приведет к характерной клинической картине в будущем.
Диагностика и лечение болезни Лермитт-Дуклос
Диагностика болезни Лермитт-Дуклос производится посредством выявления характерных образований в мозжечке при помощи компьютерной и магнито-резонансной томографии. На КТ головного мозга при этом выявляется объемное гиперденсивное образование с размытыми и нечеткими краями, которое может быть расположено как на поверхности, так и в глубине мозжечка. МРТ головного мозга лучше всего производить с внутривенным контрастированием, поскольку именно такой метод позволит наилучшим образом изучить структуру и сосудистую сеть новообразования. При отсутствии технической возможности проведения данных исследований можно сделать рентгеновскую вентрикулографию - как правило, она показывает уменьшение или смещение четвертого желудочка и водопровода. Однако при незначительном размере ганглиоцитомы таких изменений может и не быть, поэтому вентрикулография не считается основным методом диагностики болезни Лермитт-Дуклос.
Кроме того, по возможности (например, при поверхностном относительно мозжечка расположении опухоли) выполняют биопсию образования с последующим гистологическим изучением. Подобные исследования последних лет выявили, что ганглиоцитома мозжечка при болезни Лермитт-Дуклос представляет собой гамартому. В ее структуре наблюдается расширение молекулярного слоя и заполнение его ганглиозными клетками. Врачи-генетики также производят секвенирование последовательности гена PTEN, которое выявляет наличие или отсутствие в нем мутаций. Исследование наследственного анамнеза тоже может помочь в диагностике болезни Лермитт-Дуклос - при этом стоит обращать внимание на косвенные признаки заболевания, учитывая возможность бессимптомного течения. К ним относятся наличие у ближайших родственников поли- и синдактилии, мегалоцефалии, гиперплазии десен.
Специфического лечения болезни Лермитт-Дуклос на сегодняшний день не существует, но больным нередко производится паллиативное хирургическое вмешательство с целью удаления ганглиоцитомы мозжечка. Это является сложной в техническом плане операцией, так как между нормальными тканями и гамартомой отсутствует четкая граница и переходный слой. Кроме того, в некоторых случаях опухоль может располагаться в глубине мозжечка, что делает ее недоступной для полного удаления. Однако даже частичная резекция ганглиоцитомы может значительно облегчить состояние больного и продлить время его жизни на несколько лет. Другие методы борьбы с опухолями (например, радиационная терапия) при болезни Лермитт-Дуклос чаще всего оказываются неэффективными.
Прогноз и профилактика болезни Лермитт-Дуклос
Прогноз при болезни Лермитт-Дуклос чаще всего неопределенный, так как зависит от ряда обстоятельств - выраженности сопутствующих пороков развития, скорости прогрессирования ганглиоцитомы, ее расположения в мозжечке. Все эти факторы очень вариабельны, что и приводит к таким различиям в клинической картине и длительности заболевания - от бессимптомного течения до летального исхода в детском возрасте. Полное удаление опухоли мозжечка при болезни Лермитт-Дуклос, особенно если операция была проведена в 30-40 лет, часто имеет благоприятные перспективы - новое образование попросту не успевает развиваться снова до конца жизни. В тех случаях, когда полноценная операция технически невозможна, частичная резекция может продлить жизнь больного.
Редкие опухоли мозжечка и четвертого желудочка у ребенка
Неврология:
Популярные разделы сайта:
Варианты опухолей мозжечка у детей. Течение, прогноз
Опухоли мозжечка по гистологической структуре разделялись в основном на три группы: 1) астроцитомы — 259 больных; 2) медуллобластомы — 103 больных; 3) саркомы — 67 больных. В группу астроцитом мы включили две бидермальные опухоли — олигоастроцитома, эпендимоастроцитома, в группу медуллобластом — две неклассифицированные злокачественные глиомы. Ангиоретикулемы нам не встретились ни разу, ангиоретикулосаркомы были установлены в 5 наблюдениях и включены в группу сарком.
По отношению ко всем опухолям мозжечка астроцитомы составляют 60%, медуллобластомы — 24%, саркомы — 16%.
Соотношение между злокачественными и доброкачественными опухолями в течение 11 лет отличалось удивительным постоянством. В среднем ежегодно в детское отделение НХИ поступало в 2—2,5 раза больше больных с астроцитомами, чем с медуллосаркомами и саркомами. Следует отметить, преобладание за последние несколько лет сарком над медуллобластомами.
Нейроэктодермальные опухоли мозжечка встречаются у детей любого возраста — от 1 года до 16 лет. Опухоль может проявиться в грудном возрасте (Б. Ф. Мельников, С. И. Нерсесянц, И. В. Спиридонов и др.) или быть констатирована на вскрытии у новорожденного. Janisch, Schreiber опухоли мозга у новорожденных и грудных детей при патологоанатомическом исследовании встретили в 0,05% случаев. Наиболее часто болеют дети в возрасте 4 лет.
Медуллобластомы в большинстве случаев исходили из узелка нижнего червя, распространялись в полость IV желудочка и достигали к моменту операции больших размеров. Как правило, опухоль была интимно связана с нижними отделами дна ромбовидной ямки, чаще в области писчего пера. Медуллобластомы широко и диффузно инфильтрировали мозговую ткань, прорастали ножки и ядра мозжечка, дно и стенки IV желудочка.
Все дети с медуллобластомами подверглись операции, на которой было произведено максимальное (разумеется, в пределах возможного) удаление опухоли с восстановлением оттока ликвора из IV желудочка. После операций умерли 23 ребенка (22,3%).
По данным некоторых авторов (В. В. Хохлова и др.), радикальное удаление опухоли нецелесообразно, так как увеличивает послеоперационную летальность. На нашем материале после радикального удаления опухоли из 35 больных умер 1, а после частичного удаления опухоли — 22 из 63. Наши данные совпадают с данными Weickman об исходах оперативного вмешательства при медуллобластомах.
Анализ историй болезни показал, что следует быть осторожным в определении «тотального», или «радикального», удаления опухоли — медуллобластомы мозжечка: в некоторых случаях, когда хирургу представлялось, что опухоль удалена полностью, на вскрытии обнаруживалась большая опухоль и оказывалось, что была удалена лишь небольшая ее часть.
Повторные операции при медуллобластомах были произведены 7 больным. Один из них подвергся операции 3 раза (2 раза производилось удаление опухоли и третий раз — вентрикулоцистерностомия). Из 7 больных, оперированных повторно, 5 умерли непосредственно после операции, 2 выписаны в тяжелом состоянии, без регресса симптомов.

Медуллобластомы широко метастазируют в пределах центральной нервной системы. Из 54 больных, о которых у нас имелись сведения, у 36 наблюдалось метастазирование по субарахноидальным пространствам спинного, реже головного мозга, в отдельных случаях— по стенкам III и боковых желудочков.
Метастазирование происходило в различные сроки после операции — от 1 мес до 3 лет 8 мес, чаще в первые 3 мес. Зависимости частоты метастазирования от объема оперативного вмешательства, на которую указывали Л. Б. Цыпкин и В. В. Хохлова, мы на нашем материале не отметили.
Все больные с медуллобластомами получали после операции лучевую терапию. Методика проведения лучевой терапии и анализ полученных результатов подробно освещены в работах А. М. Локшиной и Т. Г. Мареевой, Т. М. Вихерт, А. М. Локшиной, посвященных специально этому вопросу и основанных на материале детского отделения нейрохирургии.
Наибольший срок наблюдения над больными после субтотального удаления медуллобластомы при хорошем состоянии без застойных явлений на глазном дне (зрение 1,0) и статокинетических расстройств равен 9 годам.
Саркомы мозжечка широко инфильтрировали мозговую ткань. Узловые формы встречались редко. Опухоли в основном располагались по средней линии мозжечка, выбухали в полость IV желудочка, но в отличие от медуллобластом лишь в единичных случаях были спаяны с дном IV желудочка.
Во всех наблюдениях (67) произведено оперативное вмешательство с последующей лучевой терапией: 19 больным — выделение опухолевого узла и удаление его в пределах видимой здоровой ткани, 41 — максимальное удаление опухоли в пределах возможного, 7 больным, находившимся в тяжелом состоянии, с кахексией и подозрением на метастазирование, — декомпрессивная трепанация и биопсия опухоли.
Послеоперационная смертность при саркомах мозжечка составила 11,9% (8 человек). Из них у 5 детей на вскрытии обнаружены множественные саркоматозные узлы в области задней черепной ямки и спинного мозга, у 3 — неоперабельные опухоли, прорастающие ствол мозга.
У 31 больного из 43, о которых удалось получить катамнестические сведения, произошло метастазирование по оболочкам спинного мозга, базальной поверхности и желудочкам головного мозга. Метастазирование происходило. в сроки от 1 мес до 2 лет 3 мес. В отличие от медуллобластом при саркомах мозжечка мы встретились с поражением внутренних органов (2 больных). Так, у ребенка 10 лет была произведена операция по поводу лимфосаркомы слепой кишки, через 1 год — частичное удаление саркомы червя мозжечка и IV желудочка. Через 1 мес после операции ребенок умер.
На вскрытии установлены метастазирование опухоли по оболочкам спинного мозга и опухолевые узлы в области большой цистерны мозга, нижнего червя и IV желудочка. У ребенка 4 лет, находившегося в тяжелом состоянии, была произведена декомпрессивная трепанация задней черепной ямки без вскрытия твердой мозговой оболочки по поводу подозрения на опухоль, мозжечка. Через 3 дня больной умер. На вскрытии — огромная опухоль (ганглионевробластома? саркома?) базальных отделов правого полушария головного мозга и большой опухолевый узел, исходящий из стенки правого желудочка сердца.
При гистологическом исследовании мышцы сердца обнаружена саркома.
Наибольшие сроки наблюдения над 2 больными после удаления саркомы мозжечка при хорошем состоянии, нормальном, глазном дне и отсутствии неврологических симптомов равны 10 и 13 годам.
Повторные операции произведены 3 больным, у 2 улучшения состояния не наступило, об 1 больном сведений нет.
Астроцитомы мозжечка резко отличались от описанных выше злокачественных опухолей тем, что в основном имели узловую форму и экспансивный рост. Эти опухоли, как правило, не инфильтрировали широко мозговую ткань, а резко уплощали, растягивали и деформировали кору, белое вещество и ядра мозжечка. В большинстве случаев астроцитомы занимали червь и медиальные отделы одного или обоих полушарий мозжечка и только в 63 из 259 наблюдений врастали в полость IV желудочка. У всех больных (259) независимо от возраста производили одномоментное удаление опухоли. После операции умерли 16 человек (послеоперационная смертность 6,1 %).
В 64 наблюдениях было произведено повторное оперативное вмешательство вследствие продолженного роста опухоли. При этом 7 больных подвергались операции 4—5 раз. У этих больных опухоль либо прорастала верхние отделы мозжечка и распространялась супратенториально, либо прорастала ствол мозга. Послеоперационная летальность при повторных операциях составила 7,8%. Мы привели суммарные данные о послеоперационной летальности по различным группам опухолей мозжечка за 11 лет. Анализ летальности по годам показывает значительное снижение ее за последнее пятилетие, подобно тому, как это выясняется из сопоставления данных, опубликованных в мировой литературе после 1954 г.
Послеоперационная летальность при астроцитомах мозжечка по Holub составляет 30,6%, по Grant — 20%, по Gol, McKissok — 17%, по Kunz, Vladyka, Sourak — 7,5%, no Koos, Miller — 5%, no Obrador, Blazques —19%. По нашим данным, смертность при астроцитомах после первичных и повторных операций за последнее пятилетие составила 5,4%.
Fulchiero с соавт. нейроэктодермальные опухоли мозжечка у детей, исключая медуллобластомы, делит на доброкачественные, при которых тотальное удаление опухоли производилось в 80% случаев, и злокачественные — с тотальным удалением опухоли в 27% случаев. Winter с соавт. отмечает чрезвычайный рост хирургической активности и радикализм при удалении нейроэктодермальных опухолей, не врастающих в полость IV желудочка.
Опухоли мозжечка у детей. Эпидемиология
Мозжечок — один из наиболее загадочных отделов мозга. В его коре в 10 раз больше нейронов, чем во всей коре большого мозга, но, несмотря на большую литературу, посвященную структуре и функции ее элементов (Н. В. Братусь, Ю. И. Аршавский и др., В. Н. Черниговский, В. В. Фанарджян и др., Я. Сентаготаи, М. Арбиб, и др.), значение мозжечка в целом для высшей нервной деятельности человека еще не раскрыто.
Превосходные работы, в которых раскрываются тончайшие связи различного типа нейронов мозжечка, остроумные эксперименты на животных, учение о синергиях мозжечка, о мозжечке как компьютере носят характер более или менее обоснованных гипотез и еще не претендуют на познание функций мозжечка у человека.
К клиническим работам, в которых разрешаются вопросы о значении мозжечка в патологии человека, за последнее время присоединились исследования функций мозжечка в космической медидине. Изменения структуры двигательных актов в невесомости, по-видимому, действительно связаны с ролью в регуляции движений в измененном гравитационном поле (А. Н. Разумеев, Р. А. Григорьян). Однако и эти новые экспериментальные работы, уже вплотную приблизившиеся к человеку, оставляют проблему функций мозжечка «во многом загадочной» (О. Г. Газенко, П. В. Васильев).
Очаговое поражение мозжечка приводит к тяжелым нарушениям координации движений, которые, однако, с течением времени компенсируются, более полно в детском возрасте. Для нейрохирурга мозжечок у детей представляет особый интерес, так как он часто является местом возникновения одного из наиболее грозных заболеваний нервной системы — опухоли. В то же время результаты удаления некоторых ее форм превосходят по эффективности результаты лечения любых других опухолей головного мозга человека (Kahn, Crosby, De Longe, Obrador, Blazquez).
На современном уровне развития нейрохирургии и анестезиологии, учитывая блестящие результаты, достигнутые у ряда больных, следует признать актуальной дальнейшую разработку вопросов клиники и хирургического лечения опухолей мозжечка у детей.
Несмотря на то что опухоли мозжечка — заболевание преимущественно детского возраста, специальных сведений поэтому вопросу в литературе нет, имеются лишь монографии, посвященные опухолям мозжечка у взрослых, в которых попутно обобщен и небольшой материал наблюдений над детьми (И. М. Иргер, И. Д. Вирозуб, Fischer).

К сожалению, у детей из-за поздней диагностики, связанной с анатомо-физиологическими особенностями организма, к моменту клинического проявления заболевания опухоли часто достигают больших размеров, занимая червь, полушарие мозжечка и IV желудочек.
К настоящему времени установлены некоторые общие положения, подытоживающие результаты исследования опухолей головного мозга у детей. Известно, что среди всех опухолей головного мозга у детей опухоли задней черепной ямки составляют около 70% (Г. П. Корнянский, А. А. Арендт, Ingraham, Matson, и др.). Из них наиболее часто поражается опухолью мозжечок — в 73,6% случаев (А. П. Ромоданов).
Опухоль располагается преимущественно по средней линии с исходным ростом из крыши IV желудочка и червя мозжечка (А. А. Арендт, Г. П. Корнянский, И. С. Бабчин и др., Christensen, Gerlach, Jensen, Koos, Krause, и др.). Редко встречаются изолированные опухоли червя, чаще опухоли достигают больших размеров, распространяясь в полушария мозжечка и IV желудочек. В литературе Отмечена некоторая зависимость локализации опухоли от ее гистологической структуры (Kernohan, Carrea, Garson, Polak и др.).
В основном встречаются нейроэктодермальные опухоли — медуллобластомы, характеризующиеся резко злокачественным течением, метастазирующие по субарахноидальным и периадвентициальным пространствам головного и спинного мозга (М. С. Калашникова, Т. О. Фаллер, М. С. Калашникова, В. В. Хохлова, 1969; А. М. Лок-шина и др.), и астроцитомы, характеризующиеся доброкачественным течением, медленным ростом и отсутствием метастазирования (Loisel, Bucy, Tieman).
Hooper приводит статистику разных стран, по которой среди опухолей задней черепной ямки у детей частота медуллобластом колеблется от 29 до 36%, а астроцитом — от 32 до 36%.
По данным И. С. Бабчина с соавт., медуллобластомы составляют 48,9%, астроцитомы — 32,1% опухолей субтенториальной локализации; по данным Gerlach с соавт., Jellinger, Seitelberg, Till, медуллобластомы составляют 20—21% опухолей головного мозга детского возраста, астроцитомы — 14—17%.
Б. С. Бейлин относит медуллобластомы к опухолям IV желудочка, так как опухоли быстро прорастают в него. Они возникают из крыши IV желудочка, из заднего мозгового паруса (Koos, Miller). Медуллобластомы наблюдаются преимущественно у мальчиков (И. С. Бабчин, Т. А. Хилкова, А. П. Ромоданов, Cushing, Till, Arendt), астроцитомы — у девочек (Zulch, Fischer, Gerlach). По данным В. В. Хохловой, медуллобластомы развиваются преимущественно у детей 5—6 лет; при этом в школьном и дошкольном возрасте чаще болеют мальчики, в раннем детском возрасте — девочки. По Till, медуллобластомы встречаются одинаково часто у детей всех возрастов.
Все авторы единогласно приходят к мнению, что медуллобластомы чаще располагаются по средней линии мозжечка, в отношении астроцитом мнения расходятся. Так, И. С. Бабчин с соавт. полагают, что астроцитомы исходят преимущественно из полушария мозжечка. По Gerlach с соавт., 50% астроцитом расположены в черве мозжечка, 50% — в полушариях.
Читайте также:
- Современное лечение гидроцефалии у ребенка
- Эпизодические двигательные нарушения у детей. Эпизодические сенсорные нарушения у детей.
- Показания, методика введения лекарств, контраста в суставы запястья
- Рентгенограмма, КТ, УЗИ при мезотелиоме брюшины
- Обеспечение адекватного дыхания при черепно-мозговой травме (ЧМТ). Советы анестезиологам
