Редкие причины мегалобластической анемии - ацидурия, анемия реагирующая на пиридоксин
Добавил пользователь Евгений Кузнецов Обновлено: 13.12.2025
Анемия у детей - ряд заболеваний, которые могут иметь различные причины и различное течение, внешне проявляются бледностью кожи и слизистых, измененным состоянием внутренних органов; в крови уменьшается количество эритроцитов и гемоглобина.
Гемоглобин представляет собой состоящее из железа вещество, которое может образовывать соединение с кислородом. В эритроцитах содержится гемоглобин, соединенный с кислородом. Эритроциты отдают кислород клеткам, а забирают углекислый газ, который в легких высвобождается, и организм его выдыхает. Далее кислород снова попадает в эритроциты. И такой процесс длится, пока ребенок живет, взрослеет, стареет.
У новорожденных много эритроцитов и высокий уровень гемоглобина. Он нуждается в этом, даже пока не родился. С каждым днем у грудничков всё меньше гемоглобина и эритроцитов в крови, потому что он уже не в материнской утробе и может сам дышать. Длительность жизни эритроциты - 3-4 месяца. Их вырабатывает красный костный мозг.
Виды анемий
- Постгеморрагические (возникают из-за потерь крови, бывают острыми и хроническими) (приобретенные или наследственные)
- Анемии со смешанным происхождением
- Возникающие по причине недостатка выработки костным мозгом эритроцитов
К последнему виду относят такие:
- белководефицитные
- железодефицитные
- медьдефицитные
- витаминодефицитные
- оротовая ацидурия
Дефицитные анемии у детей самые распространенные.
По степени тяжести рассматриваемое заболевание делят на легкие, средние и тяжелые. Разделение проводят по количество гемоглобина и эритроцитов, измеряют в граммах на 1 литр крови.
Сидеробластные анемии у детей - болезни, возникающие по причине нарушений синтеза гемма, как наследственных, так и приобретенных. У ребенка обнаруживаюти гипохромные микроцитарные эритроциты, которые смешаны с нормальными. Эритроциты разные по диаметру.
Врожденная сидеробластная анемия считается довольно редким видом, обычно бывает у мальчиков. Возможны также случаи передачи заболевания аутосомно-доминантным путем и спорадические случаи заболевания.
Синдром Пирсона у ребенка - уникальный вариант врожденной сидеробластной анемии. Анемия, зависимая от трансфузий, проявляется рано, а также обнаруживают нейтропениюи тромбоцитопению. Также у детей с этим диагнозом находят вакуолизацию эритроцитов и предшественников миелоидных клеток. Эта анемия принадлежит к макроцитарным, потому ее в некоторых случаях путают с анемией Даймонда—Блекфена.
Мегалобластные анемии у детей - группа болезней, при которых в костном мозге присутствуют мегалобласты, а в периферической крови - макроциты.
Фолиево дефицитную анемию (ФДА) у детей причисляют к мегалобластным анемиям.
Гемолитические анемии (ГА) характеризуются укорочением жизни эритроцитов, развитием гемолиза эритроцитов различной степени интенсивности.
Причины и патогенез этих болезней разные, но схожесть в комплексе симптомов:
- нарушения билирубинового обмена за счет непрямой фракции,
- анемия гиперрегенераторного характера,
Гемолитическая анемия у детей может ьыть наследственной или приобретенной.
Виды наследственной гемолитической анемии:
- Ферментопатии
- Мембранопатии
- Возникшие вследствие дефектов структуры и синтеза гемоглобина
Приобретенные гемолитические анемии делят на:
- Инфекционные
- Иммунные и иммунопатологические
- Витаминодефицитные
- Обусловленные химическим повреждением эритроцитов
- Обусловленные механическим повреждением эритроцитов
Наследственные гемолитические анемии у ребенка связаны с нарушением мембраны эритроцитов, ферментопатией эритроцитов или нестабильностью гемоглобина. В эту группу относят наследственную микросфероцитарную гемолитическую анемию, которая наследуется по аутосомно-доминантному типу. Она проявляется снижением осмотической стойкости эритроцитов, гемолизом различной интенсивности, спленомегалией, сфероцитозом, желтухой.
Наследственные несфероцитарные гемолитические анемии, которые возникают в результате дефицита ферментов эритроцитов, в большинстве своем сопровождаются гемолизом с неспецифическим изменением морфологии эритроцитов: полихромазия, базофилия, мишеневидные эритроциты, сфероцитоз.
Изоиммунные гемолитические анемии у детей возникают благодаря таким факторам:
- аутоиммунная гемолитическая анемия у матери новорожденного ребенка
- трансфузии эритроцитов, несовместимых по системе АВО, резус-фактору и т.д.
Аутоиммунная анемия у детей - возникающая при срыве иммунологической толерантности к антигенам эритроцитов периферической крови, эритрокариоцитам и другим предшественникам эритропоэза. Существует два вида такой анемии: идиопатическая и симптоматическая.
Что провоцирует / Причины Анемий у детей:
Причины анемии у детей могут быть различными, например:
- болезни почек, печени
- заболевания ЖКТ
- нарушенное всасывание
- инфекционные или онкологические болезни
- период полового созревания
- период активного роста организма
- при гормональных изменениях
- после операции
Детские органы кроветворения еще не полностью анатомо-физиологически зрелые, поэтому они легко поддаются действию всех негативных факторов окружающей среды. Дети, которых матери кормят грудью, заболевают анемией реже, чем дети на искусственном вскармливании. Процесс кроветворения затрудняется, если в еде ребенка нехватка белка и других микроэлементов: никель, кобальт, марганец, медь, железо.
Причины мегалобластной анемии у детей:
- дефицит витамина В12 у кормящей грудью матери
- содержание в рационе питания ребенка витамина В12
Фолиево дефицитная анемия может быть вызвана такими причинами:
- нарушение всасывания фолатов в тонком кишечнике
- недостаточное поступление фолатов с пищей
- повышенная потребность в фолатах
- прием лекарственных препаратов (сульфалазин, бисептол и др.)
Патогенез (что происходит?) во время Анемий у детей:

Развитие анемии происходит в три этапа:
1. Прелатентный дефицит железа. В это время истощаются запасы железа в организме. Уровень гемоглобина в периферической крови продолжает оставаться в норме. Однако в тканях постоянно уменьшается количество железа, и его усвоение из пищи не увеличивается, а постоянно уменьшается. Это происходит в связи с тем, что снижают свою активность кишечные ферменты.
2. Латентный (скрытый) дефицит железа. На этой стадии значительно уменьшаются депонированные запасы железа (так называемый запасной фонд, составляющий около 1/3 всего железа в организме человека). Кроме того, количество железа в сыворотке крови также снижено.
3. Последняя стадия дефицита железа в организме. В это время гемоглобин заметно снижается. По большей части в крови уменьшается количество эритроцитов. Именно это и является железодефицитной анемией. Независимо от причин возникновения сидеробластной анемии (группы заболеваний, связанных с нарушением активности ферментов, которые участвуют в синтезе порфиринов и гемма - небелковой части гемоглобина), ухудшающаяся выработка гема обязательно приводит к задержке железа в митохондриях.
Морфологически это проявляется следующим образом - в костном мозге появляются ядерные эритроциты с гранулами железа (агрегаты железа в митохондриях), которые расположены в близи от ядра. Эти атипичные клетки, которые называются кольцевыми сидеробластами, могут быть обнаружены только в патологических состояниях. Они отличаются от сидеробластов, имеющихся в костном мозге здорового человека. (Сидеробласты - предшественники эритроцитов, которые содержат гранулы ферритина, распространенные в цитоплазме). Сидеробластные анемии чаще всего диагностируются у взрослых людей, но есть случаи и детских заболеваний. Их причиной могут быть следующие факторы: прием лекарств, злоупотреблением спиртными напитками. Но они могут развиваться и в результате миелодиспластических нарушений (группы заболеваний, которые характеризуются нарушениями кроветворения миелоидной линии). Некоторые виды сидеробластной анемии могут быть выявлены у детей.
Мегалобластные анемии представляют собой группу наследственных и приобретенных анемий. Их общим признаком считается наличие в костном мозге мегалобластов (Мегалобласт - родоначальная клетка эритропоэза, отличающаяся аномальной формой и необычно крупными раз мерами).
Независимо от причин возникновения патологии, у больных детей диагностируют гиперхромную анемию с характерными изменениями морфологии эритроцитов. В этом случае эритроциты имеют овальную форму, они крупные (12-14 мкм и более). Встречаются эритроциты с базофильной пунктацией цитоплазмы (патологический преципитат вещества рибосом, проявляется в виде мелких синих пятнышек). Во многих эритроцитах обнаруживаются остатки ядра (пылинки Вейденрейха - остатки ядерного вещества; кольца Кебота - остатки ядерной оболочки, котрые имеют вид колечка; тельца Жолли - остатки ядерного хроматина).
Фолиево дефицитная анемия
Все вышеуказанные этиологические факторы приводят к тому, что в организме ребенка уменьшается образование активной формы фолиевой кислоты (5,10-метилентетрагидрофолиевой кислоты). В результате этого в кроветворных клетках нарушается синтез ДНК, и начинает развиваться мегалобластная анемия.
Причины возникновения наследственной микросфероцитарной гемолитической анемии у детей:
1. Нарушение в эритроцитах равновесия натрия (в эритроцитах повышается количество накопления воды).
2. Потеря липидов мембраной эритроцитов.
3. Уплотнение цитоплазмы (при этом снижается способность эритроцитов к деформации при прохождении через селезеночные синусы) и уменьшение площади эритроцита.
Эритроциты с повреждениями поглощаются макрофагами селезенки.
Симптомы Анемий у детей:
Эпителиальный синдром
Проявляется в следности кожи и слизистых. также наблюдают сухость и шелушение кожи, пигментирование, дистрофию волос и ногтевых пластин. Аппетит ребенка снижается, происходят нарушения в ЖКТ.
Астено-невротический синдром
Ребенок становится эмоционально неустойчивым, повышенно возбудимым, раздражительным. Родители могут заметить, что ребенок отстает в развитии физически, а также отстает его психомоторное развитие и речь. Может проявляться апатичность или повышенная утомляемость.
Сердечно-сосудистый синдром
Проявляется такими симптомами как одышка и сердцебиение, у ребенка появляется склонность к пониженному давлению. ЭКГ показывает функциональный систологический шум.
Мышечный синдром
Наблюдается слабость сфинктера мочевого пузыря, задержка физического развития, может быть энурез.
Увеличение печени и селезенки
Синдром сниженной местной иммунной защиты
По степени проявления и количеству выше перечисленных симптомов определяют степень развития анемии у детей. При легкой форме уровень гемоглобина в крови 110-91 г/л, при среднетяжелой он падает до 90-71 г/л, а при тяжелой его менее 70 г/л. Существует также редкая сверхтяжелая форма, при которой гемоглобина в крови 50 и менее г/л.
Фолиево дефицитная анемия
Эта болезнь типична для детей, подростков, а также для беременных женщин. Фиксируют неспецифический анемический синдром, но нет жалоб, которые были бы вызваны поражением нервной системы. Для этой формы также типичен такой симптом как бледность кожи. Селезенка может быть увеличена, но непродолжительное время. Что касается сердца, при этой форме анемии наблюдают такие симптомы:
- негромкий систолический шум на верхушке
- приглушенность сердечных тонов
- нарушение фазы реполяризации миокарда левого желудочка
Наследственная микросфероцитарная гемолитическая анемия
Болезнь имеет волнообразное течение. После гемолитического криза наступает ремиссия, длящаяся от 2-3 месяцев до 2 лет. Гемолитический криз может возникать после психоэмоционального напряжения, инфекции, смены климатического пояса.
Особенности микросфероцитоза у детей раннего возраста:
- выраженное нарушение билирубинового обмена
- постепенное начало заболевания
- течение в большинстве случаев тяжелое
- у детей первых 3 месяцев микросфероцитоз и ретикулоцитоз выражены незначительно и появляются в более позднем возрасте
- нередкое развитие паренхиматозного гепатита
- типично появление нормобластов, особенно при кризе
- повышение максимальной осмотической стойкости эритроцитов наряду со снижением минимальной осмотической стойкости эритроцитов
- выход из криза происходит медленно
Осложнения анемии у детей
У новорожденных может появляться ядерная желтуха, у детей от 1 месяца - хронический гепатит, желчнокаменная болезнь, цирроз печени. При частых гемотрансфузиях у лиц с тяжелым течением болезни может появиться гемосидероз.
Диагностика Анемий у детей:
Анемию у детей диагностируют по содержанию в крови эритроцитов и гемоглобина. Гемоглобина в артериальной крови в норме должно быть меньше, чем в венозной. На исследование принимается в основном кровь из вены. Также учитывают среднюю концентрацию в одном эритроците гемоглобина, объем эритроцита, цветовой показатель, вместительность железа в сыворотке крови. Ребенку назначают препараты с железом и смотрят, какой результат.
Родители могут провести один тест в домашних условиях. Ребенку дают кушать блюда из свеклы. Если его моча окрашивается в красный, то в организме нехватка железа. Это объясняется тем, что печень при нормальном количестве железа в организме обесцвечивает краситель свеклы.
Диагностика фолиево дефицитной анемии
- общий анализ крови
- биохимический анализ крови
- проба с гистидином
При фолиево-дефицитной анемии в общем анализе крови выявляют макроцитоз эритроцитов, гиперхромную анемию, лейкопению, гиперсегментацию нейтрофилов, тромбоцитопению. По миелограмме обнаруживают гиперсегментированные нейтрофилы, мегалобласты. В крови обнаруживают нормальное содержание В12.
Диагностика наследственной микросфероцитарной гемолитической анемии
Лабораторные методы позволяют обнаружить у ребенка выраженный ретикулоцитоз, анемию разной тяжести; единичные микросфероциты в мазках крови, нормальное количество лейкоцитов и тромбоцитов (после спленэктомии повышается). Фиксируют также снижение осмотической стойкости эритроцитов, повышенную концентрацию билирубина в сыворотке крови.
Диагностика изоиммунной гемолитической анемии у детей
Проводят прямую и непрямую пробу Кумбса. Клинический анализ крови обнаруживает анемию среднетяжелой или тяжелой степени, ретикулоцитоз. Если начало острое, может быть обнаружен лейкоцитоз, а также нейтрофилез со сдвигом влево. Характерно и нарушение билирубинового обмена.
Лечение Анемий у детей:
Лечение анемии у детей должно начинаться с назначения железосодержащих препаратов в виде закисных солей, которые дают детям внутрь. Питание ребенка должно быть сбалансированное, с учетом физиологических потребностей ребенка в жирах, углеводах и белках, а также микроэлементах и витаминах. После нормализации уровня гемоглобина лечение следует продолжать.
Элементы комплексного лечения анемии у ребенка:
- правильное питание
- фитопрепараты
- продукты антиоксидантного действия
Лечение сидероахрестических анемий у детей
Лечение приобретенных форм мегалобластных анемий заключается в устранении причины, которая вызвала нехватку витамина В12 или фолиевой кислоты: глисты нерациональное вскармливание, инфекции, прием лекарственных препаратов и др. При дефиците витамина В12 назначают его препараты - цианокобаламин или оксикобаламин. Дозу рассчитывают так: 5 мкг/кг в сутки у детей до 12 месяцев; 100-200 мкг в сутки - в возрасте после года, 200-400 мкг в сутки - в подростковом возрасте.
Лечение назначают только после проведения миелограммы. Это могут быть внутримышечные инъекции витамина В12. Длительность курса лечения составляет 4-6 недель, потом проводится закрепляющая терапия цианокобаламином. Лечение В12-дефицитной анемии проводится пожизненно, постоянно осуществляется диспансерное наблюдение.
Наследственная микросфероцитарная гемолитическая анемия
Лечение при анемии Минковского-Шоффара - спленэктомия. Если симптомов у ребенка нет, то этот метод лечения не применяется. При гемолитическом кризе заместительная гемотрансфузия по жизненным показаниям в дозе 8-10 мг/кг, дезинтоксикационная терапия, коррекция водно-электролитного баланса, сердечно-сосудистые препараты по показаниям.
Изоиммунные гемолитические анемии у детей
Лечат в основном преимущественно идиопатическую аутоиммунную ГА теплового типа. Основным методом лечения является монотерапия стероидами — преднизолон в суточной дозе 2 мг/кг, разделенной на 2-3 приема. Курс длится от 4 недель, отмена препараты постепенная.
Профилактика Анемий у детей:
1. Регулярный осмотр педиатром
2. Регулярные лабораторные исследования
3. Особое внимание уделяют детям из групп риска: новорожденные с маленькой массой тела, дети с матерью, которая больна анемией, дети от беременности двумя или больше плодами, детки с большими темпами роста, малыши на искусственном вскармливании.
3. Недоношенным грудничкам назначают препараты железа для профилактике - доза составляет ½ лечебной.
5. Прогулки на свежем воздухе.
6. Правильный режим сна и бодрствования.
7. Закаливание, гимнастика, массажи.
Профилактика сидеробластной анемии
Чтобы избежать отравления ребенка свинцом, нужно при реконструкции старых домов переселять детей. Нужно избегать сжигания и закапывания в землю свинцовых красок, соскабливайте их или удаляйте химическими средствами.
К каким докторам следует обращаться если у Вас Анемии у детей:
Вас что-то беспокоит? Вы хотите узнать более детальную информацию о Анемий у детей, ее причинах, симптомах, методах лечения и профилактики, ходе течения болезни и соблюдении диеты после нее? Или же Вам необходим осмотр? Вы можете записаться на прием к доктору .
Мегалобластные анемии. Дефицит витамина B12 и/или фолиевой кислоты.
Мегалобластные анемии - большая группа приобретенных и наследственных заболеваний, связанных с нарушением синтеза ДНК и РНК. Частота этой формы анемии при обращении к гематологу составляет 9-10 % всех анемий. Частота мегалобластных анемий увеличивается с возрастом: у молодых лиц - 0,1 %, у пожилых - до 1 %, после 75 лет - почти у 4%. Вместе с тем частота выявленных больных с мегалобластными анемиями в Украине в 100 раз ниже, чем по данным мировой статистики, что объясняют частым и необоснованным применением у нас витамина В 12 при различных заболеваниях, который «маскирует» его дефицит в организме.
Витамины, в т.ч. витамин В 12 и фолиевая кислота, представляют собой готовые коферменты или превращаются в них в организме. Они поступают в организм с пищей; эндогенный синтез витаминов группы В микрофлорой кишечника не покрывает потребности в них. Функции витамина В 12 (его кофермента цианокобаламина): участие в синтезе дезоксирибазы, тиаминнуклеотидов и других переносчиков алкильных групп; функции фолиевои кислоты - участие в синтезе нуклеиновых кислот в качестве переносчика метильных и формильных групп.
Цианокобаламин необходим для нормального кроветворения, функционирования печени, нервной системы, он активирует обмен липидов, углеводов, свертывание крови.
Причины развития мегалобластных анемий многообразны и обусловлены как изолированным, так и сочетанным дефицитом витамина В 12 и фолиевои кислоты. Дефицит витамина В 12 может быть обусловлен вегетерианским питанием (в растительной пище он не содержится), причем мегалобластные анемии в подобных случаях развивается не только у самого вегетерианца, но и у детей, вскармливаемых матерью-вегетерианкой. Сочетанный дефицит витамина В 12 и фолиевои кислоты может быть при болезнях кишечника, протекающих с синдромом мальабсорбции. Противосудорожные препараты и антиметаболиты также вызывают дефицит фолиевои кислоты.
при нарушениях всасывания витамина В 12 (атрофический фундальный гастрит, частичная резекция желудка и тотальная гастрэктомия, экзокринная недостаточность поджелудочной железы, синдром Золлингера-Эллисона, тонкокишечный дисбактериоз (дисбиоз); заболевания терминального отдела подвздошной кишки (резекция, шунтирование, лимфома, болезнь Крона, туберкулез);
врожденное отсутствие витамина В 12 -связывающих компонентов (например, при синдроме Имерслунд-Гресбека);
Дефицит фолиевой кислоты:
повышенное потребление при беременности и лактации, при гемолизе, эксфолиативном дерматите, быстропрогрессирующей злокачественной опухоли, дифиллоботриозе;
нарушение всасывания фолиевои кислоты (спру, глютеновая энтеропатия, болезнь Крона, синдром короткой тонкой кишки, амилоидоз кишечника);
врожденные нарушения синтеза ДНК (оротовая ацидурия, тиаминзависимая мегалобластная анемия; мегалобластная анемия, ассоциированная с врожденной дизэритропоэтической анемией;
приобретенные дефекты синтеза ДНК (заболевания печени, сидероахрестические анемии, эритрелия, миелодисплазия);
индуцированные лекарственными средствами: противосудорожные препараты, антиметаболиты (азатиоприн, метотрексат, цитозин-арабинозид, гидроксимочевина); противотуберкулезные средства (циклосерин, ПАСК); противовирусные (ацикловир, ламивудин), а также препараты разных групп (триамтерен, мышьяк, закись азота); алкоголь.
В основе патогенеза мегалобластных анемий лежит дефицит витамина В 12 или фолиевои кислоты, а также их сочетанный дефицит .
Содержание витамина В 12 в организме составляет 2-5 мг при суточном поступлении с пищей 6-9 мкг; из этого количества выводится 2-5 мкг, задерживается в организме около 4 мкг. Запасы витамина В 12 в организме весьма велики, так что его дефицит развивается только спустя несколько лет после прекращения его поступления. В состав витамина В 12 входят два кофермента: метилкобаламин и дезоксиаденозилкобаламин. Первый из них принимает участие в кроветворении через синтез тимидина с последующим синтезом ДНК. Дефицит метилкобаламина приводит к мегалобластному типу кроветворения; одновременно нарушается созревание клеток лейкоцитарного и тромбоцитарного ростков. Дефицит дезоксиаденозилкобаламина, который участвует в обмене жирных кислот, обусловливает нарушение их обмена с накоплением пропионовой и метилмалоновой кислот, вызывающих токсическое поражение заднебоковых канатиков спинного мозга и развитие фуникулярного миелоза.
Витамин В 12 содержится в продуктах только животного происхождения: в мясе, печени, почках, яйцах, сыре, молоке. Он высвобождается при кулинарной обработке, а также под влиянием протеаз желудочного сока. Высвободившийся витамин В 12 связывается в желудке с двумя субстратами: с белками с быстрой электрофоретической подвижностью (Р-белки) и, в меньшей степени, с внутренним фактором - гликопротеином, который вырабатывается париетальными клетками фундального отдела желудка. Образующийся комплекс (витамин В 12 + Р-белок) разрушается протеазами панкреатического сока с высвобождением витамина В 12 , который соединяется затем с внутренним фактором. Комплекс витамина В 12 и внутреннего фактора взаимодействует в подвздошной кишке со специфическими рецепторами и расщепляется при рН 7,0 в присутствии ионов кальция, а затем в свободном состоянии проникает в митохондрии энтероцитов, откуда поступает в кровь, где соединяется в основном с транскобаламином-II и в меньшей степени с транскобаламином-I и -III, которые доставляют витамин В, 2 в печень - к гепатоцитам и в костный мозг - к гемопоэтическим клеткам. Из комплекса витамина В 12 с транскобаламином-1 и -III он доставляется только в печень. При проникновении витамина В 12 в клетку сначала комплекс витамина В 12 с транскобаламином-II связывается с рецепторами, затем подвергается гидролизу в ее лизосомах, после чего становится свободным.
Печень выделяет витамин В 12 с желчью, причем примерно 3/4 его вновь реабсорбируется в кишечнике. С мочой выводится лишь 2-5 мкг; небольшое количество удаляется с калом. В процессе синтеза ДНК витамин В 12 не расходуется, а выполняет роль катализатора реакции. При В 12 -дефицитной анемии до начала лечения содержание железа в сыворотке крови повышено, а в костном мозге обнаруживают патологические кольцевые сидеробласты; в процессе лечения витамином В 12 эти изменения исчезают.
При дефиците витамина В 12 замедляется созревание гемопоэтических клеток - удлиняется фаза S, что морфологически выражается в отставании созревания ядра при нормальной гемоглобинизации, а также в больших размерах клеток крови и сохранении элементов ядра в зрелых (по цитоплазме) эритроцитах. Медленный темп созревания клеток гемопоэза ведет к развитию анемии с формированием общего анемического синдрома. Вместе с тем накопление токсической метилмалоновой кислоты обусловливает неврологическую симптоматику по типу фуникулярного миелоза. Одновременно страдает созревание и других быстро обновляющихся клеток, например эпителия ЖКТ, что проявляется желудочно-кишечной симптоматикой.
Фолиевая кислота поступает в организм с пищей животного и растительного происхождения. Фолаты в значительном количестве содержатся в говяжьей и куриной печени, мясе, салате, томатах, спарже, дрожжах, коровьем и женском молоке, зеленых листовых овощах и фруктах. Суточная потребность в фолиевой кислоте колеблется от 25-100 мкг у детей до 200 мкг у взрослых. Запасы фолиевой кислоты составляют 5-10 мг, однако в отличие от витамина В 12 они быстро (через 3 нед.- 4 мес.) истощаются, особенно в тех случаях, когда поступление фолатов нарушено. Всасывание фолатов происходит в двенадцатиперстной кишке и проксимальных отделах тощей кишки. Метаболиты фолиевой кислоты связываются в крови со специфическим белком - переносчиком фолатов, а также с альбумином и трансферрином. Соединения фолиевой кислоты являются донорами атома углерода в синтезе тимидина и, следовательно, в синтезе ДНК. Накопление фолатов в клетке, в частности в клетке гемопоэза, зависит от присутствия кобаламина: дефицит его сопровождается блокадой метаболизма фолатов и замедлением синтеза ДНК. Лекарственные препараты могут вызвать мегалобластнe. анеми. посредством различных механизмов, ведущих чаще всего к дефициту фолиевой кислоты. Метотрексат является ингибитором фермента дигидрофолатредуктазы, триметоприм и триамтерен - антагонистами фолиевой кислоты; аналоги пурина, пиримидина и некоторые другие препараты (прокарбазин, гидроксимочевина) оказывают непосредственное ингибирующее влияние на синтез ДНК. Закись азота окисляет кобаламин и может провоцировать острые мегалобластные состояния с тромбоцитопенией и лейкопенией без анемии. Механизм развития мегалобластных анемий при приеме противовирусных препаратов пока не совсем ясен.
Мегалобластная анемия: причины, развитие и виды, симптомы, лечение
Мегалобластная анемия (МА) или как её также принято называть - пернициозная анемия (хотя такое название подразумевает дефицит исключительно витамина B12) - патология, отнесенная к группе приобретенных и/или передаваемых по наследству гематологических заболеваний, возникающих на почве нарушения синтеза рибонуклеиновой (РНК) или дезоксирибонуклеиновой кислоты (ДНК).
Для мегалобластных анемий весьма характерным признаком является изменение клеток эритроидного ряда: размера (большой), дифференцировки ядра и цитоплазмы (асинхронная), размещения хроматина в ядре (не свойственное нормальным клеткам).
Мегалобластная анемия - типичные представители
Болезнь формируется по причине недостатка отдельных витаминов (в частности, B12 и B9). Это происходит потому, что синтез ДНК зависим от количества данных веществ в организме. Кроме этого, выработку дезоксирибонуклеиновой кислоты могут расстроить отдельные (редкие) наследственные аномалии ферментов, принимающих участие в биохимических процессах, влияющих на продукцию ДНК.

Типичными представителями этой гематологической патологии являются:
- B12-дефицитная анемия (болезнь Аддисона-Бирмера, пернициозная анемия, злокачественное малокровие) - самая частая форма. Она обусловлена недостатком цианокобаламина, может быть приобретенной по причине заболеваний верхнего отдела кишечника (тонкая кишка) либо передаваемой по наследству и зависимой от продукции и выделения внутреннего фактора (ВФ), либо от всасывания в кишечнике и отсутствия транспортного протеина, который переносит цианокобаламин (транскобаламин). Наследственная анемия становится заметной уже у детей младшего возраста;
- Фолиеводефицитная анемия (недостаток витамина B9) - наблюдается намного реже, нежели дефицит витамина B12, к тому же, изолированный дефицит фолиевой кислоты не ведет к столь серьезным последствиям, которые развиваются в отсутствие цианокобаламина;
- Сочетанный вариант - B12-фолиеводефицитная анемия. Комбинированная форма, обусловленная недостатком витаминов B12 и B9, встречается довольно редко и, как правило, возникает по причине нарушения всасывания данных веществ в кишечнике.
Почему так важно поступление достаточного количества цианокобаламина и фолиевой кислоты в организм человека? Все дело в том, что они принимают участие и играют не последнюю роль в транспортировке лабильных метильных групп метионина, в которых нуждается «строительство» ДНК. Как только уровень В12 снижается или он исчезает, эта реакция резко идет на спад, что сильно сказывается на созревании ядра. При сохраненной функции цитоплазмы, ядро делиться «не спешит» - этот процесс сильно запаздывает (происходит то, что называют «асинхронной дифференцировкой ядра и цитоплазмы»). В таких условиях сама клетка «пускается в рост» и приобретает огромные размеры.
Что дает старт болезни
Очевидно, что основным виновником развития патологии признается нарушение всасывания упомянутых выше витаминов в кишечнике. Какие предпосылки могут способствовать подобным нарушениям?
Гематологи обычно ссылаются на три основные причины:

- Отсутствие гликопротеина, называемого внутренним фактором (ВФ), и вырабатываемого специальными клетками тела и фундального отдела желудка. Неимение ВФ становится результатом аутоиммунного атрофического гастрита, в условиях которого начинают появляться «блокирующие» антитела (они не позволяют ВФ и цианокобакламину вступать во взаимодействие), а также антитела «связывающие» (эти АТ соединяются с внутренним фактором или с готовым блоком «ВФ + В12», инактивируя его);
- Заболевания тонкого кишечника (средней и нижней трети), где, собственно, и осуществляется всасывание цианокобаламина (гранулематозный энтерит - болезнь Крона, целиакия - непереносимость глютена, удаление большого участка тонкой кишки, новообразования);
- Появление конкурентов, «присваивающих» витамин В12, который был предназначен для всасывания. Например, конкурентами нормального всасывания может выступать широкий лентец либо бактерии, усиленно размножающиеся и забирающие питательные вещества при синдроме слепой кишечной петли (стаз тонкой кишки, застойная кишечная петля).
Таким образом, каждая из перечисленных причин способна нарушить процесс всасывания важных для организма элементов и запустить механизм развития мегалобластной анемии. Следует заметить, что, недополучая витамин B12, организм активно накапливает вредные жирные кислоты, которые несколько позже становятся причиной формирования неврологической симптоматики (нарушается образование миелина нервной ткани), которая весьма характерна для данной патологии. Кстати, фолиевой кислоты это не касается, поскольку она не участвует в распаде жирных кислот, а, стало быть, не заставляет страдать нервную систему.
Симптомы болезни

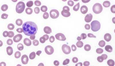
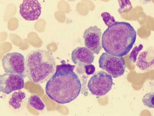
картина крови при мегалобластной анемии
Любая болезнь у разных людей может проявлять себя по-разному, однако в отношении мегалобластной анемии можно выделить ведущую триаду симптомов, которые будут иметь место практически у всех больных:
- Отсутствующее в норме мегалобластное кроветворение в костном мозге, дает значительные изменения в периферической крови. Анализ показывает:
мегалобласты и другие изменения в крови
- малокровие (анемия) - уменьшение количества красных клеток крови - эритроцитов и снижение уровня красного пигмента крови - гемоглобина;
- гиперхромию (насыщенная окраска увеличенных в размерах эритроцитов);
- пойкилоцитоз (изменение формы красных клеток крови);
- анизоцитоз: макроцитоз (клетки большого размера) и в большей степени - мегалоцитоз (размер красных кровяных телец может превышать 8, а то и 12 микрон);
- мегакариоцитоз - появление гигантских клеток костного мозга, имеющих большое ядро;
- нормобластоз - присутствие в мазках крови ядерных форм клеток эритроидного (красного) ряда (как известно, эритроциты, циркулирующие в периферической крови, ядра не имеют);
- в красных клетках крови замечаются остатки ядерной субстанции (включения в виде телец Жолли либо колец Кобота);
- в анализе крови также может быть снижено количество других форменных элементов: тромбоцитов, нейтрофилов, моноцитов.
- Клинически, а также при инструментальном обследовании, явно прослеживаются признаки поражения ЖКТ:
- теряется аппетит, снижается вес;
- атрофируется слизистая желудка;
- соляная кислота в желудочном соке полностью исчезает (ахлоргидрия), поскольку, вследствие атрофии слизистой, обкладочные клетки отмирают и перестают ее продуцировать (кислотность желудочного сока - 0).
- По причине недостатка цианокобаламина в течение длительного времени начинает испытывать страдания нервная система, что проявляется формированием фуникулярного миелоза (комбинированного склероза). Клинически - наблюдаются симптомы поражения спинного мозга:
- парестезии;
- нарушение чувствительности;
- парезы и параличи;
- выраженная мышечная слабость
Очевидно, что данная гематологическая патология, сопровождаемая непомерным увеличением красных клеток крови и изменением в их ядре, при прогрессировании и отсутствии адекватной терапии может сделать человека полным инвалидом. Нарушения образования миелина при дефиците В12 приводят к весьма серьезным последствиям: со временем теряется не только поверхностная, но и глубокая мышечная чувствительность, «отказывают ноги» (паралич нижних конечностей), органы таза перестают нормально функционировать (недержание мочи и кала, импотенция и т. д.). Не зря за пернициозной анемией сохранилось определение - «злокачественная».
Лечение и рекомендации на всю жизнь
Лечение мегалобластной анемии заключается в назначении ударных доз цианокобаламина в первые три дня (до 1000 γ в сутки), особенно, если появились признаки дегенеративных изменений спинного мозга (двигательные и чувствительные расстройства), затем дозу снижают до 400 - 500 γ каждый день до того, пока уровень гемоглобина не придет в норму. В среднем курс лечения продолжается месяц - полтора.
Фолиевую кислоту, как правило, одновременно не назначают, даже если имеет место ее дефицит при недостатке витамина B12 (применение фолиевой кислоты возможно только при изолированном варианте - фолиеводефицитной анемии, с которой, кстати, бороться намного легче и проще, нежели с недостатком кобаламина). Насколько эффективно назначенное лечение - покажет анализ, произведенный через 5-7 дней от начала терапии (увеличение количества молодых форм эритроцитов - ретикулоцитоз, является положительным признаком). Если же успеха от лечебных мероприятий не наблюдается, то необходимость продолжать диагностический поиск остается.
Следующим этапом лечения мегалобластной анемии является закрепляющая терапии, суть которой состоит в еженедельном введении 400 - 500 γ цианокобаламина в течение двух месяцев.
Переливание крови (эритроцитарной массы) назначается только в случаях, если значения гемоглобина падают ниже 50 г/л.
При выписке на домашний режим больной от врача получает рекомендации, касающиеся профилактики обострений болезни:
- Лечение хронических заболеваний, которые стали причиной формирования этой патологии;
- Коррекция диеты (отмена вегетарианства, насыщение рациона мясными продуктами, листовыми овощами и фруктами, содержащими данные вещества);
- Отмена лекарственных средств, признанных «виновниками» нарушения синтеза ДНК;
- Профилактические курсы витамина B12 (8 - 10 инъекций 1 раз в 6 месяцев на протяжении нескольких лет или всей оставшейся жизни, если причину заболевания никаким способом устранить невозможно).
Рисунок: продукты питания для профилактики дефицита витамина B12

Диагностика
Заподозрить мегалобластную анемию получается уже при первом общем анализе крови (ОАК). Поскольку даже самые современные («навороченные») анализаторы не способны уловить те морфологические изменения в эритроцитах (см. выше), которые свойственны данной патологии, то исследование не должно доверяться исключительно аппарату, пусть и самому «умному». Хотя и он, наверняка, обнаружит некоторые сдвиги в ОАК. Обычно любая, уважающая себя лаборатория, придерживается «золотых стандартов» и мазок в обязательном порядке просматривается врачом под микроскопом. Однако болезнь не принадлежит к случайным находкам, поэтому первичная диагностика опирается на жалобы пациента и клинические симптомы:
- Слабость, усталость, снижение общей физической активности и трудоспособности;
- Эпизодически наступающая темнота в глазах;
- Снижение уровня АД (гипотония);
- Частые головокружения и головные боли;
- Учащенное сердцебиение;
- Признаки изменения слизистой полости рта по типу глоссита;
- Возможно увеличение размеров селезенки (спленомегалия) и печени (гепатомегалия);
- Отеки ног;
- Склонность к поносам, хотя запоры также не исключены, то есть, эти неприятные состояния могут чередоваться между собой;
- Потеря аппетита, вкусовые нарушения, отсюда - снижение массы тела.

Далее последует более углубленная диагностика:
- Биохимический анализ крови (БАК) - он покажет повышение не конъюгированного (не связанного) билирубина, а также, скорее всего, изменение показателей сывороточного железа и значений лактатдегидрогеназы - ЛДГ;
- ФГДС (фиброгастродуоденоскопия), которая позволит определить состояние слизистой желудка (признаки атрофии);
- Пункция спинного мозга, поскольку лабораторные признаки похожи на таковые при гемолитической и апластической анемии;
- Дифференциальная диагностика - уточнение формы мегалобластной анемии (B12-дефицитная, недостаток фолиевой кислоты или комбинированный вариант).
Своевременная диагностика мегалобластной анемии очень важна для здоровья пациента, ведь опоздание или диагностическая ошибка (к счастью, она случается крайне редко) может привести к развитию анемической комы. Клиника ее довольно тяжела: больной не приходит в сознание, тяжело дышит, его пульс заметно учащен, артериальное давление снижено, кожные покровы отдают лимонным оттенком (при пернициозной анемии возможен усиленный гемолиз кровяных телец), возможно появление тонических и клонических судорог. Больной может погибнуть…
Есть ли особенности у детей?
У детей мегалобластная анемия в наибольшей степени носит наследственный характер и имеет несколько форм:
- Расстройство всасывания цианокобаламина может быть обусловлено поражением эпителиального слоя тонкой кишки и отсутствием тетрагидрофолата в клетках, который является активной формой витамина B9 (при этом, содержание внутреннего фактора остается в норме);
- Мегалобластная анемия, вызванная наследственной недостаточностью внутреннего фактора, характеризуется уменьшением (иногда значительным) выделения ВФ обкладочными клетками слизистой желудка (тип наследования - аутосомно-рецессивный);
- Дефицит переносящего В12 белка - транскобаламина (аутосомно-рецессивное наследование) абсолютно не виден при исследовании плазмы крови (значения кобаламина остаются в пределах нормы), зато в тканях - глубочайший дефицит (для В12 нет «транспортного средства», чтобы проникнуть в ткани);
- Очень редкая форма, которая наблюдается у детей, достигших подросткового возраста - ювенильная пернициозная анемия.
У детей с наследственной формой симптомы (отказ от еды, рвота, сухость и шелушение кожных покровов, признаки атрофического глоссита, частые пневмонии) проявляются уже на первом втором, реже на третьем, году жизни.

Диагностика болезни преимущественно основывается на морфологическом исследовании периферической крови и костного мозга, где обнаруживаются признаки мегалобластного кроветворения.
Лечение, в принципе, как и у взрослых: симптоматическое и назначение цианокобаламина по схеме.
Кроме этого существует ряд очень редких врожденных заболеваний, для которых характерно нарушение выработки дезоксирибонуклеиновой кислоты, а в качестве главного симптома выступает мегалобластная анемия. Вот, к примеру, некоторые из них:
- Оротовая ацидурия - нарушение обмена пиримидинов;
- Тиамин-зависимая МА, природа которой так и остается невыясненной, хотя известно, что наследование идет по аутосомно-рецессивному пути;
- Врожденная мальабсорбция фолатов (аутосомно-рецессивный тип наследования) - расстройство всасывания фолатов в кишечном тракте и переноса их из кишечника в кровеносное русло и из кровотока через гематоэнцефалический барьер;
- Наследуемые по аутосомно-рецессивному типу врожденные расстройства обмена фолатов (например, недостаток активности фермента ДГФР - дигидрофолатредуктазы);
- Синдром Лиш-Найана (патологический ген находится в Х-хромосоме).
Некоторые из этих болезней задерживают умственное и физическое развитие, дают богатую неврологическую симптоматику. Практически все эти врожденные аномалии в каждом конкретном случае требуют своего отдельного лечения, поскольку витамин B12 оказывается просто неэффективным.
Мегалобластная анемия

Одной из форм малокровия является мегалобластная. Еще она известна как В12-фолиеводефицитная анемия. Эта патология развивается на фоне нарушения процесса кроветворения из-за атипичного изменения синтеза в РНК и ДНК клетках. Также этот недуг сопровождается образованием в костном мозге большого числа видоизмененных предшественников эритроцитов — мегалобластов. Распространенность В12-фолиеводефицитной анемии составляет приблизительно 10 % от всех случаев этого заболевания. Диагностируется недуг у лиц всех возрастов и половой принадлежности. Однако в большей степени мегалобластная анемия поражает пожилых людей. Это заболевание требует незамедлительно обращения к квалифицированному специалисту.
Информацию из данного раздела нельзя использовать для самодиагностики и самолечения. В случае боли или иного обострения заболевания диагностические исследования должен назначать только лечащий врач. Для постановки диагноза и правильного назначения лечения следует обратиться к профильному специалисту.

Симптомы мегалобластной анемии
Клиническая картина недуга достаточно специфична. Одним из самых типичных признаков заболевания считается микроцитоз. Это патологическое состояние характеризуется увеличением среднего эритроцитарного объема более, чем 100 куб. мкм. Уровень лейкоцитов и тромбоцитов тоже находится ниже допустимого уровня. Симптомы мегалобластной анемии связаны с кислородным голоданием организма, они представляют собой такие проявления:
- постоянное ощущение общей слабости в теле;
- систематические приступы миалгии;
- подавленное состояние и отсутствие настроения;
- одышка даже при незначительных физических нагрузках;
- отечность конечностей;
- чувство дискомфорта во всем теле;
- отсутствие аппетита.
Часто заболевание сопровождается нарушением вкуса и снижением чувствительности языка. Также пациенты с мегалобластной анемией жалуются на расстройства стула, приступы тошноты и рвоты. Кроме того, эта форма малокровия негативно сказывается на состоянии нервной системы. Это проявляется в онемении рук и ног.

Причины
Чаще всего мегалобластная анемия развивается в результате нехватки в организме витамина В12 и фолиевой кислоты. Среди наиболее распространенных причин, провоцирующих этот дефицит медики выделяют:
- патологии желудочно-кишечного тракта;
- алкоголизм;
- нарушения усвоения пищи;
- употребление наркотических препаратов;
- кишечный гельминтоз.
Кроме того, мегалобластная анемия и ее симптомы могут появиться у лиц, увлекающихся вегетарианством. Несбалансированное питание, состоящее из одной только пищи растительного происхождения, тоже считается одной из наиболее распространенных причин возникновения анемии. Также нехватка фолиевой кислоты часто диагностируется у женщин, вынашивающих ребенка.
Отдельно стоит сказать, что мегалобластная анемия часто возникает после употребления определенных лекарственных препаратов. К таковым относятся:
- антиметаболиты;
- противовирусные препараты;
- противосудорожные средства;
- противотуберкулезные препараты.
На развитие заболевания влияет частота приема, дозировка и индивидуальная переносимость составляющих лекарственного средства.
К какому врачу обратиться?
Анемия

Анемия — патологическое состояние, которое проявляется снижением концентрации гемоглобина и гематокрита. Параллельно падает количество эритроцитов. Женщины страдают от этой проблемы чаще. Примерно 90 % случаев малокровия связаны с нехваткой железа. Реже анемия обусловливается хроническими заболеваниями, иными факторами. Патология может иметь сложный патогенез. Лечение при малокровии комплексное, требующее контроля специалиста. Без своевременного вмешательства врача анемия способна прогрессировать вплоть до тяжелого состояния, приводя к потере сознания, отсутствию рефлексов в конечностях.
Симптомы анемии (признаки)
Клиническая картина при патологии во многом зависит от степени снижения гемоглобина. Общие характерные проявления малокровия:
- головокружение;
- постоянная слабость;
- бледность кожи, нередко с умеренной желтизной;
- шум в ушах;
- покалывание в руках и ногах;
- учащенное сердцебиение;
- склонность к обморокам.
У пациентов появляются некоторые изменения в поведении: желание есть мел, вдыхать ранее неприятные запахи. Пожилые люди с ИБС отмечают участившиеся приступы стенокардии даже после легкой физической нагрузки.
На первичном этапе развития анемия протекает без клинических признаков. Умеренная ее степень характеризуется сниженной концентрацией внимания, общим недомоганием, бледностью слизистых оболочек, ногтей. Если анемия продолжает развиваться, то симптомы тяжелой степени становятся выраженными. Среди них:
- аритмия;
- одышка при отсутствии тяжелых нагрузок;
- головные боли;
- плохой сон;
- частые простуды;
- истончение ногтей;
- снижение аппетита.
Затем наступает анемическая прекома. Ей свойственны:
- одышка даже без легких нагрузок;
- синюшность кожи и слизистой;
- крайняя сонливость;
- изменения психики, например, депрессивные состояния, галлюцинации.
Анемия в наиболее тяжелом своем проявлении приводит к низкому АД, рвоте, частому поверхностному дыханию. Вместе с этим пациент теряет сознание, у него наблюдается непроизвольное мочеиспускание. Еще один симптом 5-ой стадии анемии — отсутствие рефлексов, лечение в таком случае усложняется. У пациента нет реакции в ответ на раздражение, например, при неврологическом осмотре.

Патологическое состояние может вызываться острой потерей крови. Следующий фактор — нарушение выработки красных кровяных телец. Следствием этого процесса являются анемии:
- апластические;
- мегалобластные;
- железодефицитные;
- сидеробластные;
- хронических заболеваний.
Третий фактор — активное разрушение эритроцитов. На его фоне отмечаются гемолитические анемии.
Часто выявляют малокровие, которое связано с недостаточным количеством железа. Сразу после рождения нехватка этого элемента наблюдается у детей:
- недоношенных, с малым весом;
- рожденных женщинами с аналогичным диагнозом;
- из многоплодной беременности;
- матери которых страдали от кровотечения в последний триместр беременности или в процессе родов.
Недостаточное количество железа бывает связано с алиментарными факторами. Среди них:
- употребление исключительно растительных продуктов;
- скудная диета с чрезмерным количеством углеводов и жиров;
- патологии ЖКТ, препятствующие всасыванию;
- нарушения транспорта железа.
Анемия нередко развивается на фоне онкологического поражения желудка, хронического панкреатита. Возможно прогрессирование малокровия из-за удаления части кишечника, желудка. Определенную опасность представляют:
Есть риск появления малокровия на фоне паразитарного поражения организма, сильных глистных инвазий. Анемия разной степени тяжести связана и с кровопотерями. Они происходят как во внешней, так и во внутренней среде.
Лечение диагноза анемия учитывает непосредственно симптомы нездорового состояния, а также уровень гемоглобина. Поскольку клинические признаки малокровия не всегда тождественны тяжести анемии по лабораторным критериям, то крайне необходимо участие опытного врача в определении наиболее эффективной и безопасной терапевтической схемы. Занимается диагностикой и лечением таких пациентов:
На первичном приеме доктор подробно расспрашивает пациента об особенностях работы, жизни, наличии хронических патологий. Врачу важно знать:
- как давно появились первые признаки анемии;
- есть ли у близких родственников малокровие;
- сидит ли пациент на диете, каков его рацион;
- были ли хирургические вмешательства в области ЖКТ;
- принимает ли пациент какие-либо лекарственные препараты.
Поскольку анемия имеет различные причины, то важно выявить основной фактор, приведший к малокровию. От его специфики во многом зависит предстоящая терапия.
Методы лечения
Каждый тип малокровия диктует назначение конкретных фармакологических средств. Железодефицитная анемия предполагает:
- устранение фактора;
- диетическое питание с оптимальным включением железа;
- продолжительный прием препаратов Fe;
- переливание эритроцитарной массы;
- применение парентеральных препаратов при наличии показаний.
В12-дефицитная анемия эффективно купируется диетой. Может понадобиться заместительная терапия. Тот же принцип показан при фолиеводефицитной анемии. Если малокровие развилось на фоне хронических заболеваний, то пациенту необходимо:
- избавиться от основной патологии;
- пройти курс рекомбинантного эритропоэтина;
- восполнить недостаток фолиевой кислоты.
Приобретенная гемолитическая анемия требует приема глюкокортикостероидов. Если результат недостаточный, проводят спленэктомию. После удаления селезенки нужны иммунодепрессанты, антилимфоцитарный глобулин. По показаниям назначают плазмаферез.
В каждом из вышеперечисленных случаев необходимо исключить физическое и эмоциональное перенапряжение. Важно полноценно отдыхать, питаться согласно рекомендациям врача.
Для подтверждения патологического состояния сдают ОАК. Стоимость общего анализа крови в пределах 500-1200 р, точность около 80 %. Лабораторное исследование определит количество:
- эритроцитов;
- ретикулоцитов;
- гемоглобина;
- гематокрита.
Анализ покажет средний объем эритроцитов, ширину их распределения. Также важны показатели количества лейкоцитов и тромбоцитов, средняя концентрация и содержание гемоглобина в эритроците.
К другим способам прибегают для детального определения вида малокровия. Уточнение железодефицитной анемии предполагает выявление уровня железа в крови, обнаружение насыщенных и ненасыщенных трансферринов, ферритина. По некоторым показаниям прибегают к аспирационной биопсии костного мозга.
B12-дефицитная анемия крови определяется уровнем этого витамина. Если по какой-то причине проведение анализа невозможно, или положительная реакция на лечение отсутствует на протяжении 5-8 дней, то могут назначить аспирационную биопсию.
Фолиеводефицитная анемия диагностируется путем определения витамина B9 в крови, эритроцитах. При хронических болезнях малокровие определяют путем выявления:
- уровня железа в крови;
- степени насыщения трансферрина;
- общей железосвязывающей способности.
Помимо анализов крови, необходима диагностика основой болезни, провоцирующей анемию. Если под подозрением приобретенная гемолитическая форма малокровия, то важно:
- определить содержание свободного и связанного билирубина в сыворотке крови, урине;
- провести прямую пробу Кумбса;
- определить осмотическую стойкость эритроцитов.
Профилактика
Первичные меры подразумевают предупреждение хронических заболеваний, в особенности ЖКТ. Следует своевременно купировать проблемы с желудком, толстой и тонкой кишкой. Предупреждение болезней заключается в:
- правильном и систематическом питании;
- отказе от острых, жирных продуктов;
- употреблении тщательно обработанной зелени, фруктов и овощей.
Пациентам с генетической предрасположенностью к анемии необходимо регулярно наблюдаться у врача, чтобы вовремя предупредить ухудшение состояния. Есть риск развития малокровия у лиц, принимающих противосудорожные медикаменты, а также у беременных. Систематическая сдачи крови на анализ позволит обнаружить снижение уровня гемоглобина еще до явных проявлений патологии.
Меню при заболевании
Параллельно с медикаментозным анемия предполагает диетическое лечение. В ежедневный рацион вводят оптимальное количество полноценных белков. Они способствуют выработке эритроцитов и гемоглобина. Рекомендованная суточная доза — 130-150 г.
Следует умеренно ограничить жир. За день можно съедать не больше 70-80 г. В противном случае есть риск патологических изменений тканей печени, костного мозга. Преобладать должны легкоусвояемые жиры, например, молочные. Допускается небольшое количество растительного масла.
Количество углеводов составляет 400-500 г на взрослого. Важно получать их из продуктов здорового питания. Основные принципы рациона:
- оптимальное количество витаминов B и C;
- поддержание баланса микроэлементов, необходимых для активного кроветворения;
- употребление продуктов с липотропными свойствами.
Пациентам показано дробное питание. Оптимальными считаются около 6 приемов пищи в сутки. Основа рациона:
- гречка и овсянка;
- говядина, индюшатина;
- сырая и прошедшая тепловую обработку растительная пища.
Также необходимы перепелиные или куриные яйца, печень, выпечка из цельнозерновой муки, домашний творог, нежирная рыба, дикий рис.
Читайте также:
- Сроки исследования воротникового пространства. Влияние этноса плода на воротниковое пространство
- Тошнота и рвота у младенцев и детей
- Флюоресцентная гибридизация in situ. Применение технологии FISH
- Результаты прекардиального наблюдения. Допплерографии как метод декомпрессии водолазов
- Показания, техника, осложнения левосторонней парастернальной медиастинотомии по Чемберлену
