Рекомендации по анализу рентгенограммы пальца кисти в косой ЗП проекции
Добавил пользователь Евгений Кузнецов Обновлено: 22.01.2026
Кисти рук выполняют большой объем движений и часто подвергаются травматизации, что вынуждает пациента обращаться к врачу. Для информативной диагностики состояния костей используется рентгенография пальцев рук. С помощью этого метода удается получить детализированные снимки, показывающие состояние костей и суставных сочленений, косвенные признаки повреждения окружающих мягких тканей.
В «СМ-Клиника» в Москве пациенты могут сделать рентген пальцев рук на современном аппарате: доступные цены, быстрота выполнения и высокая информативность делают это исследование незаменимым в ортопедии и травматологии.
Рентгенография в «СМ-Клиника» это
Зачем нужно сделать рентген пальца руки
Принцип работы рентгеновского аппарата заключается в сканировании тела лучами с определенной длиной волны, которые не поглощаются мягкими тканями, но задерживаются в плотных костных структурах. Благодаря этому на снимках определяются контуры и структура костей, а также удается оценить конфигурацию и структуру суставов.
Рентгенография помогает в диагностике таких заболеваний:
- различные виды травм пальцев - переломы, вывихи;
- ревматоидный артрит, псориатический артрит;
- деформирующий остеоартроз кистей;
- системная склеродермия и другие виды соединительнотканных патологий;
- остеомиелит фаланг пальца;
- доброкачественные и злокачественные новообразования костной и хрящевой ткани;
- врожденные аномалии развития кисти и пальцев рук.
Чаще всего направление на исследование пациенту выдает травматолог-ортопед. Результаты диагностики могут потребоваться также хирургу, онкологу, ревматологу.
С учетом жалоб и клинической картины врач порекомендует сделать рентген одного пальца руки или провести обзорное исследование всех отделов кисти. Иногда после получения рентгенограммы необходимо уточнить диагноз с помощью КТ кистей рук, УЗИ, МРТ пальцев, электронейромиографии (ЭНМГ).
Показания
Обратиться к врачу для проведения рентгенографии и комплексной диагностики рекомендуется при появлении таких жалоб:
- тугоподвижность пальцев;
- боли в пальцах или кистях рук;
- сложности при выполнении работы, требующей мелкой моторики (шитье, набор текста, работа на станках);
- снижение силы кистевого захвата;
- хруст и щелчки при движениях пальцами;
- припухлость, покраснение и болезненность межфаланговых суставов руки;
- деформации пальцев руки;
- онемение и побледнение кожи пальцев на холоде, при стрессах.
Рентген пальца на руке обязательно проводится после механической травмы (удар, защемление дверью), чтобы проверить целостность костей.
В первые часы после повреждения на фоне сильного отека сложно обнаружить признаки перелома без смещения, а рентгенография помогает травматологу-ортопеду быстро поставить правильный диагноз.
Исследование кистей и пальцев руки нередко назначается людям с хроническими заболеваниями соединительной ткани, поскольку при этих патологиях существует высокий риск поражения мелких суставов и костей верхней конечности.
Как проходит рентген пальцев кисти руки
Результаты проведения процедуры:
снимки и подробное заключение врача-диагноста с описанием состояния пальцев руки
Для получения достоверной информации о состоянии фаланг пальцев и пястных костей обычно требуются рентгенограммы в двух проекциях - прямой и боковой. Для выполнения снимков пациент находится в положении сидя и кладет исследуемую руку на стол ладонью вниз. Чтобы придать кисти нужное положение, могут использоваться специальные кассеты.
Во время исследования необходимо будет сидеть неподвижно. Рентгеновская трубка цифрового аппарата вращается вокруг стола и сканирует кисть руки под разными углами. Снимки сразу же появляются на подключенном к аппарату компьютерном мониторе. Проведение рентгена пальцев руки в Москве занимает не более 10 минут.

Цифровая рентгенография обеспечивает быстроту получения снимков. Изображения пальцев рук в нескольких проекциях будут готовы спустя 20-30 минут после завершения процедуры. Опытный рентгенолог центра «СМ-Клиника» изучает снимки и выявляет патологические изменения, на основании чего составляет врачебное заключение. Рентгенограммы выдаются на пленке или в цифровом формате (запись на диске).
С готовыми снимками и их описанием пациенту необходимо будет повторно посетить врача-клинициста для постановки диагноза и подбора лечения.
Подготовка
Еще одним преимуществом рентгена пальца руки, помимо его доступной цены, является простота проведения. Исследование не требует подготовки, поэтому при необходимости выполняется сразу же в день обращения пациента к врачу. Перед началом диагностики нужно будет немного закатать рукав одежды и снять с пальцев украшения. Наличие лака или гель-лака на ногтях у женщин не является преградой к обследованию.

Полезная информация
Противопоказания
Рентгенография имеет ряд ограничений, но благодаря разработке современных аппаратов со сниженной лучевой нагрузкой их число заметно снизилось. На сегодня исследование можно проводить даже маленьким детям и беременным женщинам, если врач не может получить важную диагностическую информацию другим способом.
Другими относительными противопоказаниями являются:
- общее тяжелое состояние пациента;
- наличие открытого кровотечения;
- высокая доза рентгеновского облучения, полученная за последние 12 месяцев.
Цены рентгенографии
Рентгенография - недорогой метод диагностики, поэтому практически всегда назначается при первичном обследовании пациента в ортопедии. Сколько стоит рентген пальцев руки, зависит от количества проекций, типа снимков: прицельное сканирование одного-двух пальцев или обзорная рентгенограмма. Посмотреть цены рентгенологического исследования в «СМ-Клиника» можно в таблице на этой странице.
Для записи на рентгенологическое исследование оставьте заявку через форму обратной связи на сайте или позвоните нам по телефону.
Цены на рентген пальцев кисти






















© 2002-2022 ООО «СМ-Клиника»
Все материалы данного сайта являются объектами авторского права (в том числе дизайн). Запрещается копирование, распространение (в том числе путем копирования на другие сайты и ресурсы в Интернете) или любое иное использование информации и объектов без предварительного письменного согласия правообладателя. Указание ссылки на источник информации является обязательным.
Лицензия № ЛО-77-01-018779 от 19 сентября 2019 г.
Рентген кисти руки: подготовка к проведению, расшифровка и нормальные показатели

Рентген кисти рук - довольно распространённая диагностическая процедура, которую назначают для оценки состояния костей, выявления их патологий, повреждений и других отклонений. Рентген кисти - процедура неинвазивная, потому и безболезненная. Для её выполнения понадобится несколько минут. Лучевая нагрузка на организм человека при съёмке кисти минимальна, поэтому такое исследование допускается проводить несколько раз в год, если это необходимо.
Показания для проведения
В основном показаниями к рентгену кисти рук являются травмы, патологические процессы, которые влияют на функционирование руки и её форму (отклонение формы от нормы может быть видно невооруженным взглядом). Также рентген рекомендовано назначать в следующих случаях:
- болевые ощущения в кистях рук при движении и в состоянии покоя;
- деформации суставов;
- переломы, ушибы костей кисти;
- воспалительные заболевания костей кисти;
- доброкачественные и злокачественные новообразования;
- аномалии сустава, передающиеся наследственным путем.
Заболевания и травмы рук
Рентген кистей поможет выявить следующие заболевания рук:
- синовит - скопление жидкости в кистевых суставах;
- кальцификаты - первый признак артрита;
- тендинит и теносиновит - уплотнения и утолщения запястья, вызванные воспалением;
- остеопороз - истончение кортикального слоя диафиза короткотрубчатых костей;
- кисты - новообразования округлой формы, расположенные в центральном или субхондральном отделах костного эпифиза;
- остеофиты - костное разрастание края поверхности сустава в виде острого шипа.
Что покажет рентген костей кисти?
Травматические повреждения
В структуре кисти - довольно много мелкоразмерных костей. Потому и видов переломов кисти существует тоже много:
- открытый и закрытый;
- абсолютный разлом или трещина;
- множественный или изолированный;
- диафизарный (линия перелома располагается на теле кости), околосуставной (линия перелома - между концом кости и ее телом) и внесуставной (линия надлома - на конце кости);
- первичный (появляется при первичном травмировании в момент воздействия силы) и вторичный (смещение случается позже, в результате воздействия прикрепленных к сломанным костям мышц);
- стабильный (отломки остаются на прежнем месте) и нестабильный (случается вторичное смещение отломков).
Ревматические поражения
Рентген кистей рук при ревматоидном артрите - важная диагностическая процедура, которая позволяет точно выявить стадию развития заболевания. Главными рентген-признаками данной патологии являются припухлости мягких тканей сустава. Также об артрите свидетельствует незначительное сужение межсуставной щели и визуализируемый остеопороз. На более поздних стадиях развития патологии будут видны эрозии костей, которые имеют вид некрупных краевых дефектов в суставных концах костей. В эпифизах костей фаланг пальцев могут виднеться округлые просветления.
При проведении рентгена кистей рук с функцией увеличения изображения можно выявить нарушение целостности замыкающих пластинок уже на первых стадиях развития ревматоидного артрита. По мере прогрессирования заболевания будет наблюдаться ухудшение картины - сустав будет становиться всё уже, появятся очаги эрозии, станет ярче выраженность остеопороза. В результате разрушения суставных концов кости могут появиться подвывихи.
Подготовка к рентгену

Чтобы сделать рентген правой и левой кистей рук, предварительная подготовка не нужна. Перед процедурой надо снять кольца, браслеты, часы и расположить руки (или руку) на рабочем столе рентгеновского аппарата так, как скажет специалист-рентгенолог.
Для защиты от влияния ионизирующего излучения тех частей тела пациента, которые не участвуют в исследовании, используются специальные свинцовые фартуки или жилеты.
Как проходит обследование?
Для проведения рентгеновской съёмки пациента усаживают на стул рядом со столом рентгеновского аппарата. Руку нужно согнуть в локте, а кисть положить на стол. От того, насколько правильна будет произведена укладка кисти, зависит информативность получаемого снимка. На практике используется несколько вариантов укладки:
- Прямая проекция. Для такой съёмки кисть укладывается горизонтально, на стол - тыльной стороной или ладонью. Лучи рентгена будут проходить через кисть перпендикулярно кассете с плёнкой. На таком снимке будут определяться все кости запястья, за исключением гороховидной. Также будут видны лучезапястный сустав, пястные кости, запястно-пястные суставы, межзапястный сустав и фаланги пальцев.
- Боковая проекция. Для такой съёмки нужно расположить ладонь ульнарным краем на кассете. Большой палец при этом нужно слегка отвести вперёд. На таком снимке будут хорошо видны контуры костей запястья, пястные кости, фаланги. Такая проекция оказывается наиболее полезной в травматологии, когда нужно выявить смещения пястных костей.
- Косая тыльная проекция. Кисть нужно расположить так, чтобы её тыльная поверхность образовывала угол 45° с кассетой. Такой снимок покажет состояние трёхгранной кости, гороховидной, крючковатой, а также первой и пятой пястных костей.
- Косая ладонная проекция. Кисть располагается так, чтобы ладонная поверхность образовывала угол 45° с кассетой. На этом снимке будет видно ладьевидную, трапециевидную кости и кость-трапецию.
Расшифровка результатов

Расшифровку рентгена кистей рук делает специалист-рентгенолог сразу после завершения съёмки. Он оценивает взаимное расположение костей кисти, их соединение между собой, целостность. Также уделяется внимание оценке структуры и плотности костей.
Нормальные показатели
В норме кости кистей рук должны иметь однородную структуру. На снимках не должно быть затемнений на белых участках. Между костями должна присутствовать щель.
Если повреждению подверглась только одна кисть, для более точного диагностирования патологии могут сделать рентген и здоровой конечности. Так будет легче провести сравнение и выявить отклонения.
Противопоказания для проведения
Особых противопоказаний для рентгенографии кистей рук нет. С осторожностью стоит назначать данную процедуру беременным женщинам, а лучше перенести её на послеродовой период или заменить на МРТ.
Также не рекомендуется делать рентген детям в возрасте до 15 лет, если к тому нет серьезных показаний.
Рентгенографию запястья в прямой, боковой, косых и некоторых специальных проекциях применяют главным образом в травматологии с целью определения перелома и направления смещения отломков.
Укладки больного для выполнения снимков. Предложен ряд укладок как для рентгенографии запястья в целом, так и для изучения отдельных костей. К типичным укладкам относят рентгенографию запястья в прямой, боковой проекции, косой ульнарной и косой радиальной проекциях; к специальным — укладки для рентгенографии ладьевидной, трехгранной, гороховидной кости и канала запястья. При съемке можно использовать либо кассеты размером 13Х 18 см для каждого снимка, либо кассеты большего размера (18X24 или 24X30 см), перекрывая поочередно неэкспонируемые участки листами просвинцованной резины.
Снимок запястья в прямой проекции может быть выполнен как при ладонном, так и при тыльном прилежании кисти к кассете. Больной сидит боком к столу. Рука согнута в локтевом суставе, лежит на столе.
Кисть в положении пронации или супинации укладывают на горизонтально расположенную кассету.
Пучок рентгеновского излучения направляют перпендикулярно к кассете на середину запястья (рис. 349).

На рентгенограмме хорошо дифференцируются все кости запястья, за исключением гороховидной, которая проекционно наслаивается на трехгранную кость. В проксимальном ряду запястья определяются ладьевидная, полулунная и трехгранная кости, в дистальном ряду — кость-трапеция, трапециевидная, головчатая и крючковатая кости. Между этими двумя рядами костей выявляется щель межзапястного сустава. Между дистальным рядом костей запястья и основаниями пястных костей прослеживаются запястно-пястные суставы (рис. 350).
Снимок запястья в боковой проекции — выполняется при том же положении больного и кассеты. Кисть укладывают на кассету медиальным (ульнарным) краем строго боком. I палец отводят вперед.
Пучок рентгеновского излучения центрируют на ладьевидную кость (рис.351).

На рентгенограмме запястья в боковой проекции кости запястья проекционно наслаиваются друг на друга. Однако можно проследить контуры костей, зная их анатомическое расположение (рис. 352).
Снимок запястья в косой тыльной ( ульнарной ) проекции . Исследуемая конечность прилежит к кассете ульнарным краем.
Пучок рентгеновского излучения направляют на локтевое возвышение запястья (рис. 353).

На рентгенограмме наиболее четко выявляются гороховидная, трехгранная кость и крючок крючковатой кости, а также основание и тело I пястной кости. При необходимости получить неискаженное изображение V пястной кости применяют именно эту укладку, но пучок рентгеновского
излучения центрируют дистальнее на проекцию тела V пястной кости (рис. 354).
Снимок в косой лодоной( ульнарной ) проекции. Кисть прилежит к кассете ульнарным краем, отклонена кпереди; ладонная ее поверхность образует с поверхностью кассеты угол в 45°.
Пучок рентгеновского излучения направлен на проекцию межзапястного сустава (рис. 355).

На рентгенограмме хорошо прослеживаются кость-трапеция, ладьевидная и трапециевидная кости (рис. 356).
Специальные укладки для выявления отдельных костей запястья.
Для выявления ладьевидной кости применяют два варианта укладок:
1) кисть лежит ладонью на кассете, отведена в локтевую сторону Пальцы выпрямлены или согнуты. Пучок рентгеновского излучения направлен на проекцию ладьевидной кости (рис. 357, 358); 2) кисть примыкает ульнарным краем к кассете, находится в положении максимального тыльного сгибания.
Пальцы согнуты в кулак. Пучок рентгеновского излучения направлен на проекцию ладьевидной кости (рис. 359, 360).
Для выявления гороховидной кости. Кисть прилежит к кассете ульнарным краем, отклонена кзади так, что тыльная ее поверхность образует с плоскостью кассеты угол в 60°. Пучок рентгеновского излучения центрируют на проекцию гороховидной кости (рис.361, 362).
Для выявления трехгранной кости. Кисть прилежит к кассете ульнарным краем, наклонена вперед так, что ладонная ее поверхность образует с плоскостью кассеты угол в 60° и согнута в лучезапястном суставе под углом 45°. Пучок рентгеновского излучения направляют на проекцию трехгранной кости (рис. 363, 364).
Снимок передней поверхности костей запястья (канала запястья) осуществляют следующим образом: предплечье передней поверхностью прилежит к поверхности стола. Область лучезапястного сустава соответствует средней линии кассеты. Кисть максимально отогнута кзади так, что плоскость ладони находится под углом 90° к плоскости кассеты. Пучок рентгеновского излучения направляют под углом 45° к плоскости ладони, центрируя на проекцию межзапястного сустава (рис. 365, 366).

СНИМКИ КИСТИ В ПРЯМОЙ ЛАДОННОЙ ПРОЕКЦИИ
Назначение снимка — изучение скелета кисти в целом, включая запястье, пястье и фаланги.
Укладка больного для выполнения снимка. Больной сидит боком к краю стола. Рука отведена, согнута в локтевом суставе; кисть находится в положении пронации. Пальцы выпрямлены и сомкнуты.
Кассета размером 18Х 24 см расположена в плоскости стола. Ладонь плотно прилежит к кассете.
Средней поперечной линии кассеты соответствует проекция головок пястных костей.
Пучок рентгеновского излучения направлен отвесно на головку III пястной кости (рис. 367).
Информативность снимка. На снимке выявляются дистальные метаэпифизы костей предплечья, рентгеновская суставная щель лучезапястного сустава, запястье, пястные кости и фаланги. Хорошо видны рентгеновские суставные щели мелких суставов кисти.
При правильно подобранных физико-технических параметрах съемки четко видна губчатая структура костей запястья, концов пястных костей и фаланг. В телах коротких трубчатых костей определяются мозговые полости и корковое вещество (рис. 368).

СНИМОК КИСТИ В БОКОВОЙ ПРОЕКЦИИ
Назначение снимка. Снимок кисти в боковой проекции сравнительно мало информативен, так как II—V пястные кости и фаланги II—V пальцев проекционно наслаиваются друг на друга; изолированно видны лишь I пястная кость и фаланги I пальца. Поэтому в практической работе боковой снимок кисти часто заменяют снимком кисти в косой проекции.
Укладка больного для выполнения снимка. Кисть прилежит к кассете ульнарным краем. Пальцы выпрямлены и сомкнуты.
Плоскость ладони перпендикулярна плоскости кассеты. Пучок рентгеновского излучения направлен в проекции головок пястных костей в центр кассеты (рис. 369).
Информативность снимка. Снимок используют в травматологии как дополнительный снимок для определения смещения отломков пястных костей (рис. 370).

СНИМОК КИСТИ В КОСОЙ УЛЬНАРНОЙ ПРОЕКЦИИ
Назначение снимка. Снимок кисти в косой проекции значительно более информативен, чем снимок кисти в боковой проекции, и именно его чаще всего вместе со снимком в прямой проекции выполняют при исследовании кисти.
Укладка больного для выполнения снимка. Кисть прилежит к кассете ульнарным краем и отклонена вперед таким образом, что плоскость ладони образует с плоскостью стола угол в 45°. Пальцы слегка согнуты и веерообразно раздвинуты, концы пальцев прилежат к кассете. Пучок рентгеновского излучения направляют на проекцию головки 111 пястной кости (рис.371).
Информативность снимка. На снимке видны дистальные метаэпифизы костей предплечья, рентгеновская суставная щель лучезапястного сустава.
Из костей запястья лучше всего прослеживаются кость-трапеция, трапециевидная и ладьевидная кости. Пястные кости и фаланги отображены изолированно, доступны анализу их тыльная и ладонная поверхности. На снимке хорошо видны структура костей, рентгеновские суставные щели мелких суставов кисти (рис. 372).

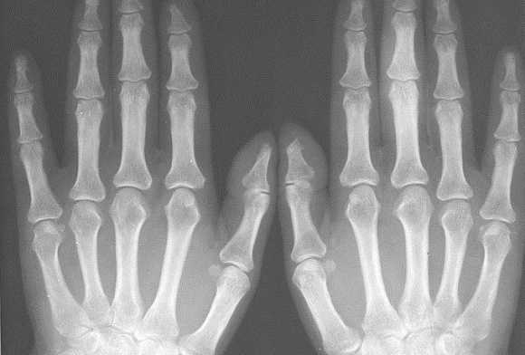
СНИМКИ ПАЛЬЦЕВ КИСТИ
Назначение снимков. Снимки пальцев выполняют при травме и при воспалительных заболеваниях (костный панариций, артриты и др-).
Укладки при выполнении снимков. Снимки пальцев производят в прямой и боковой проекциях.
Укладки при рентгенографии I пальца и II —V пальцев имеют ряд отличий.
Снимок I пальцакисти в прямой тыльной проекции.
I палец прилежит к кассете тыльной поверхностью. Кисть и предплечье максимально ротированы кнутри. Для фиксации кисти в заданном положении больной удерживает ее здоровой рукой.
Используют кассету размером 13X1 8 см, перекрывая ее поперек листом просвинцованной резины.
Пучок рентгеновского излучения направляют отвесно на проекцию пястно-фалангового сустава (рис. 373).
На рентгенограмме видны фаланги и частично I пястная кость, их медиальные и латеральные поверхности, рентгеновские суставные щели пястно-фалангового и межфалангового суставов, бугристость дистальной фаланги (рис. 374).

Снимок I пальца в боковой проекции. I палец прилежит к кассете лучвым (наружным) краем.
Остальные пальцы слегка согнуты, опираются концами на перекрытую листом просвинцованно резины уже проэкспонированную половину кассеты.
Пучок рентгеновского излучения направлен на проекцию пястно-фалангового сустава (рис. 375).
На рентгенограмме выявляются тыльная и ладонная поверхности фаланг и частично I пястной кости.
Видны наслаивающиеся друг на друга сесамовидные кости рядом с головкой I пястной кости (рис. 376). Снимки необходимо выполнять в двух взаимно перпендикулярных проекциях (рис. 377, а, б).


Снимки 11—V пальцев в прямой ладонной проекции .
Исследуемый палец укладывают ладонной поверхностью на неперекрытую половину кассеты размером 13X18 см. Пучок рентгеновского излучения направляют на проекцию проксимального межфалангового сустава (рис. 378).

На рентгенограмме видны фаланги и может быть частично видна I пястная кость, их медиальные и латеральные края, щели межфаланговых суставов (рис. 379).
Снимки 11—V пальцев в боковой проекции. Исследуемый палец укладывают на свободную половину кассеты размером 13X18 см ульнарным или радиальным краем (как удобнее для данного пальца).
Остальные пальцы отгибают, для фиксации удерживают противоположной кистью.
Пучок рентгеновского излучения направляют отвесно на проекцию проксимального межфалангового сустава (рис. 380).
На рентгенограмме видны фаланги пальцев, их тыльная и ладонная поверхности, бугристость дистальной фаланги, рентгеновские суставные щели межфаланговых суставов (рис.381).

Теги: кисть
234567 Описание для анонса:
234567 Начало активности (дата): 25.12.2019 15:00:00
234567 Кем создан (ID): 989
234567 Ключевые слова: гороховидная кость, кисть, прямая проекция, боковая проекция, ладонь, пальцы
12354567899
Рентген кисти
Рентген кисти — метод диагностики положения костей, травм, патологий, состояния суставов в области кисти руки человека. Метод рентгенодиагностики используют при подозрениях на артроз и ревматические болезни, в случае, когда пациент жалуется на болевые ощущения в суставах рук, при вывихах, переломах, подозрениях на трещину и других видах травм. Делают рентген кисти и для контроля над эффективностью лечения заболеваний суставов и костей.
Рентгенография остаётся самым простым, доступным и достоверным способом изучения состояния суставов, связок и костей кисти для оценки их анатомических изменений. Это возможность быстро и правильно поставить диагноз при травмах кисти. Оперативность, простота и удобство применения - это передвижной рентгенодиагностический аппарат, активно применяемый в столичном медицинском центре «Клиника К+31». Говоря простым языком - метод рентгенодиагностики - это фотографирование определённой части тела с помощью рентгеновского аппарата и излучаемых им лучей. На полученном снимке будет видно состояние суставов и костей.
- Преимущества рентгена кисти перед остальными методами
- Показания
- Противопоказания
- Подготовка к рентгенографии кисти
- Методика исследования
Преимущества рентгена кисти перед остальными методами
Рентген кисти при травмах этой части руки - единственный метод точно узнать, что с кистью - перелом, вывих или растяжение суставов. Прощупывание или даже компьютерная томография не дадут такого результата, как даст рентген. Магнитно-резонансная томография при травме кисти тоже неуместна, этот вид исследования показан при исследовании скорее сосудов, чем суставов и костей. Рентгенодиагностика - это доступный, недорогой вид обследования. Этот информативный и простой метод диагностики состояния кисти предпочитают в своей практике применять опытные травматологи и другие специалисты.
Современный рентген аппарат Luminos RF Classic в медицинском центре «Клиника К+31» снижает лучевую нагрузку по сравнению с традиционным рентген аппаратом в 2 раза. Для больше безопасности на пациентов центра перед процедурой рентгена надевают специальные фартуки, в составе которых есть свинец - защищающий от негативного воздействия рентгеновских лучей. То есть при рентгене кисти облучение (в допустимой норме) получит только та часть руки, которая фотографируется, а не вся рука и тем более - не всё тело.
Если вы ощущаете боль в кисти, когда рука находится в покое или во время движений кистью, если вы видите отёк кисти и вам трудно ею двигать, если вы ощущаете немоту в области кисти или просто слабость, невозможность ею двинуть, запишитесь на рентген кисти.
Показаниями к проведению рентгенографии кисти также служат:
- жалобы пациента на ноющую или острую боль в руке;
- травмы руки и кисти;
- инородные тела, попавшие в область кисти (колющие и режущие инструменты);
- артрозы и артриты кистевых суставов;
- новообразования костей кисти - прощупываемые и визуально видимые.
Показаниями к рентгену кисти служат также и системные заболевания:
- Склеродермия;
- Деформирующий остеоартроз;
- Псориатический артрит;
- Системная красная волчанка;
- Ревматоидный артрит.
Стали последнего заболевания устанавливаются только с помощью рентгена.
Противопоказания
Критическим показанием к рентгену кисти служит беременность пациентки. Еще одно противопоказание касается пациентов, страдающих хроническим артрозом. Регулярное прохождение ими рентгенографии способствует развитию этого заболевания и снижает иммунитет больного. Противопоказан рентген и женщинам, кормящим своих детей грудным молоком из-за возможного гормонального сбоя и как следствие - пропажи молока. Нельзя делать рентген и тем, у кого в просматриваемой области скелета, а именно - руки, есть металлические элементы. Тяжело больным пациентам, которым противопоказаны любые движения, тоже нельзя делать рентгеновские снимки. Так как вреда от такого рентгена будет больше, чем пользы.
Подготовка к рентгенографии кисти
Подготовка к рентгену кисти заключается в том, что пациент должен снять все металлические украшения с кисти рук (если они есть): браслеты, кольца, часы. На пациента надевается фартук, в составе которого есть свинец, дабы избежать попадания рентгеновских лучей на неподвергающуюся обследованию часть скелета пациента.
Методика исследования
Процесс диагностики заболеваний кисти, предусматривающий процедуру рентгена, происходит таким образом: пациент надевает защитный фартук; усаживается за стул; кладёт ладонью вниз больную руку (пальцы по возможности выпрямлены и сомкнуты) на специальный стол; кисть снимается в одной (иногда в двух) проекциях, пальцы и каждый палец по отдельности снимаются в двух проекциях. Процесс рентгенодиагностики занимает примерно 10 - 15 минут. Лаборант делает снимок в течение нескольких секунд - в это время нужно постараться не двигать рукой.
Уникальный ультрасовременный аппарат Luminos RF Classic, которым квалифицированные специалисты пользуются в медицинском центре «Клиника К+31» позволяет делать рентген кисти в разных проекциях, без изменения положения пациента. Это удобно не только медицинскому персоналу, но и для больного (минимум болевых ощущений).
Данный аппарат обеспечивает минимальную лучевую нагрузку благодаря большой степени чувствительности применяемых в медицинском центре кассет. Это снижает облучение практически в два раза по сравнению с традиционной рентгенографией в ближайшей поликлинике. Защита свинцово содержащего фартука еще больше снижает уровень облучения.
Рентген кисти руки в 2х проекциях
Кисть человека, как неотъемлемый фрагмент верхней конечности, ежедневно подвергается риску. Это сильная, подвижная, маневренная и в то же время хрупкая и незащищенная часть человеческого тела. На кисть возлагается большая нагрузка, т.к. она используется для движения, манипулирования предметами, выполнения различного рода действий, в том числе и опасных. Поэтому кисти рук травмируются чаще других частей организма и подвержены различного рода заболеваниям.
Врачи-специалисты



В настоящее время на сайте ведутся работы по изменению прайс-листа, актуальную информацию уточняйте по тел: 640-55-25 или оставьте заявку, с Вами свяжется оператор.
Цены на услуги
- Рентгенография кисти в прямой ладонной проекции 990 a
- Рентгенография пальца кисти в прямой проекции 990 a
- Рентгенография кисти в боковой проекции 990 a
- Рентгенография кисти в косой ульнарной проекции 990 a
- Рентгенография пальца кисти в боковой проекции 990 a
Наши клиники в Санкт-Петербурге

- Автово
- Проспект Ветеранов
- Ленинский проспект
- Девяткино
- Гражданский проспект
- Академическая
Самостоятельно довольно трудно определить причину недомогания или поставить диагноз при механическом повреждении кисти. Поэтому при сильной боли, отеке мягкой ткани, ограничении движения кисти, пальцев, повышении температуры, как сопровождающем симптоме при патологии кисти, если имела место травма, нужно срочно обратиться в травмпункт; или к хирургу, ортопеду и неврологу в случае появления недомогания в области кисти без видимых на то причин. Любой специалист в подобных ситуациях после сбора анамнеза и внимательного осмотра направит пациента на рентгенографию кисти для уточнения диагноза.
На сегодняшний день практически в каждом медицинском учреждении существует рентгенологический кабинет. Но если Вам не хочется терять время в очереди или боль настолько сильна, что ждать невозможно, если Вам нужен качественный снимок, качественное исследование и консультация квалифицированного специалиста, то приходите в «Медицентр». В отделении травматологии «Медицентра» Вам быстро и безопасно проведут рентгенологическое исследование кистей, окажут первую помощь и проконсультируют ведущие врачи города. В сети клиник «Медицентр» имеется современный рентгенологический цифровой аппарат Clinomat, осуществляющий все виды рентгенологических исследований в полном объеме. В условиях работы травмпункта очень важно быстро получать результаты исследований и на их основании правильно ставить диагноз, поэтому аппаратура клиники позволяет практически мгновенно проводить полную рентгенодиагностику, изучать полученные результаты в различных режимах обработки и ставить точные диагнозы для дальнейшего назначения эффективной терапии.
Виды и причины травм и заболеваний кисти
Пациенты травмируют кисть, запястье, пальцы при различных обстоятельствах: в результате падения, занятий спортом, в результате аварий. Так, спортивные травмы кисти являются одним из самых распространённых поводов обращения за медицинской помощью. При занятиях боксом, каратэ и других видах борьбы при неудачных ударах пациенты часто получают такой вид травмы, как «костяшка боксера», т.е. повреждения пястно-фаланговых суставов и сухожилий мышц пальцев. «Палец лыжника» - еще одна распространенная спортивная травма кисти, при которой происходит разрыв локтевой связки большого пальца. «Молоткообразный палец» получают в результате удара мяча по выпрямленному пальцу во время занятий волейболом, баскетболом и т.д. Такая травма вызывает повреждение сухожилия мышцы пальцев и ограниченность движения кончиков пальцев. Вывихи запястья нередко диагностируются у детей, падающих, упираясь на запястье. Кроме того, врачи сталкиваются и с повреждением сухожилий кисти, полученным при различных механизмах травмы, переломами запястья, пальцев, фаланг пальцев, вывихами и т.д.
Но бывает и так, что механического повреждения кисти не было, а боль, онемение, отек и другие неприятные симптомы присутствуют. В этом случае речь идет о заболеваниях кисти, таких как карпальный синдром, ревматоидный артрит, остеоартроз, перитендинит и т.д. Такие болезни возникают в результате длительной работы за компьютером, долгого выполнения монотонной работы, требующей участия кисти и нагрузки на нее, из-за несбалансированного питания, нехватки определенных микроэлементов в организме, сбое обмена веществ и т.д.
Показания к рентгенографии кисти:
- ушибы;
- вывихи;
- переломы;
- трещины;
- спортивные травмы;
- инородные тела в кисти;
- опухолевые процессы;
- артриты, артрозы суставов кисти и т.д.
Рентгенографию проводят в 2-х проекциях и, как правило, обеих кистей. Так у детей проводят рентгенографию кистей для проверки правильности развития и роста костей. Рентгенография кистей позволяет определить состояние костной ткани, суставов и т.д. Нельзя забывать и о частых вывихах и переломах пальцев, являющихся неотъемлемой частью кисти. Подобные травмы также требуют срочного рентгенологического исследования для определения характера и степени повреждения.
Противопоказания к рентгенологическому исследованию кисти:
- беременность;
- критические состояния пациента.
Перед началом проведения процедуры необходимо снять украшения и металлические предметы, удалить при наличии повязку, смыть с кожи йод. Гипс с руки снимается только по рекомендации врача.
Процедура проведения рентгенографии кисти
Перед началом обследования пациента покрывают защитным свинцовым передником, кисть специально ровно кладут на поверхность, пальцы соединяют вместе. Обычно рентгенография пальцев и кисти в целом делается в стандартных и атипичных укладках Процедура занимает всего несколько минут, после чего провидится описание снимков.
Отзывы

Самое главное для родителей первенца найти очень хорошего педиатра, которому будешь верить больше, чем себе и который не подведёт. Нам повезло, мы нашли такого - это Егорова Виктория Александровна! Это педиатр по призванию. Всегда ответит на все вопросы беспокойной мамочки, разъяснит, успокоит, подскажет. К ребенку относится очень чутко и ласково. Всегда поможет и откликнется, даже если перегружена работой и нет сил. Ее мнение о лечении и здоровье моей дочки для меня всегда определяющий фактор дальнейших действий. Спасибо огромное за Ваш труд, профессионализм и ответственное отношение к своей работе.
Хочу выразить благодарность врачу-гастроэнтерологу Банниковой Татьяне Петровне! Много лет меня курирует этот врач, всегда проводит правильную диагностику, назначает адекватное лечение. Лучший врач! По мимо профессиональных навыков, врач прекраснейший человек! По больше бы таких врачей! Спасибо Вам большое, Татьяна Петровна!
Огромная благодарность Шаговой Любови Сергеевне! Три недели не могла решить свою проблему со здоровьем, но тут, по совету знакомой, записалась к Любовь Сергеевне, и это любовь с первого взгляда! И все лечение очень помогло, и сама врач очень помогла. Очень приветливая и вежливая доктор!
Обратилась в отделение на Жукова к травматологу Байжанову с сильнейшими болями в пятке, не могла наступать, оказалась пяточная шпора и плоскостопие. Очень благодарна Абыл Хаиру за проведенное лечение, боль полностью не прошла, но по сравнению с тем, что было, день и ночь, не могла наступать на ногу. Еще хочу отметить важный момент, доктор подробно и на доступном мне языке объяснил мне причину и суть заболевания, дал рекомендации по дальнейшему лечению. Большое спасибо, лучшие рекомендации молодому специалисту :)

20.12.2019 Сообщество VK
Главной задачей для медицинских учреждений по прежнему остается завоевать доверие людей (пациентов), оказывая медицинскую помощь (услугу) посредством высокой квалифицированности медицинских работников. Я мама троих детей и внучка шестимесячная у нас. Обслуживание поликлиниками по ОМС с каждым годом становится все хуже и хуже (в частности наших окрестностей Мурино, Девяткино, Кузьмолово,Токсово..). В платных медицинских центрах цены конечно разнообразные, но жителям нового Мурино, которые в пожизненной ипотеке платить лишние деньги при имеющимся полисе ОМС как то не серьезно! Обратились впервые за помощью в Медицентр на ул.Охтинская аллея д18 на коммерческой основе, с травмой носа у младшей дочери (4года). Хочу отметить, что лишних денег не взяли, а именно - квалифицированный врач травматолог определил ушиб, а не возможный перелом, тем самым избавил нас от облучения ребенка рентгеном. Позже очень обрадовалась тому, что именно этот центр принимает граждан по ОМС. Написала заявление и принесла необходимый пакет документов на ресепшен. Сотрудники центра с добродушием и пониманием принимали мои документы то на одного ребенка, потом на второго….да еще и не совсем в определенные часы…чего то не хватило….мы все работники государства. Спасибо Ташкиной Марине Сергеевне, Фанченковой Екатерине Викторовне и Петроченко Ольге Александровне - и по сей день встречают с добродушием и всегда стараются подобрать наиболее удобное время для посещения врача, например, для двоих детей сразу. Сдача анализов крови происходит в «волшебно» удобных креслах с массой необходимых вопросов (например: не бывает ли вам плохо от вида крови и т.п.) Благодарна за аккуратность и профессионализм в своем деле Сат Намзыраю Юрьевичу, Леванкову Максиму Владимировичу, Дерешовскому Александру и девушка была (имени не узнала). Проходя дорогу к узким специалистам через терапевта Султанга Валерию Дмитриевну, я не на секунду не усомнилась в ее компетентности , даже не смотря на ее молодой возраст. Индивидуальный подход, умеренная строгость и настаивании на непременном принятии определенных мер в отношении проблемы с моим здоровьем - позволили настроиться на позитив. Возникли сложности с посещением эндокринолога (прием был по другому адресу центра) и гинеколога (плотная запись), а ситуация сложилась экстренная, можно сказать до слез! И вот я в кабинете у заведующего отделением Степановой Натальи Юрьевны! Огромная благодарность и низкий поклон за полезное использование времени с полноценным приемом врача кардиолога в ее лице, необходимых рекомендаций со стороны эндокринологии, да и за простое человеческое общение и понимание. Благодаря Наталье Юрьевне я более двух месяцев живу другой жизнью с давлением 110/80, а между прочим более 15 лет страдала от высокого давления 190/140, а разнообразные препараты, которые мне назначали врачи, снижали АД лишь до 140/100 и то на время. Спасибо за прием гинеколога Эскендеровой Гюлюшак Абдулаевне! Никогда бы не подумала в чем проблема, и что ранее назначенный препарат был просто бесполезен. Отдельно хочется поблагодарить Сидоркина Владимира Александровича (ЛОР) - такого тщательного осмотра я ни на себе ни на детях не наблюдала. Пришла с осипшим голосом, который затруднял мою профессиональную деятельность почти два месяца! Педиатр Абакумова Ольга Николаевна оказалась очень чутким, внимательным, тактичным доктором - нужные советы, не были назначены дорогущие и (наверно) лишние лекарства. Мои девочки перенесли заболевание ветряной оспой, не испытывая сильного недомогания и зуда (одной из них 12 лет) и именно Ольга Николаевна приходила к нам по вызову на дом дважды, один врач - доверие детей! Несомненно написала подробно и много, не подумайте что раньше мне попадались одни шарлатаны или я хорохорюсь. В одном месте и такое добродушное отношение практически всего персонала! Очень часто и резко у нас может заболеть и одно…и другое и сразу, а тут еще и дети. Моей семье, и я не сомневаюсь, что многим - очень повезло с таким МЕДИЦЕНТРОМ рядом! Такое добросовестное обслуживание надо поискать! ПРИМИТЕ слова Благодарности, отдельное спасибо, низкий поклон и от всей души от моей многочисленной семьи! Вы все несете определенную миссию, здоровье людям и отлично справляетесь с основной задачей - МЫ ВАМ ДОВЕРЯЕМ .
Читайте также:
