Синдром гиперальдостеронизма - синонимы, авторы, клиника
Добавил пользователь Евгений Кузнецов Обновлено: 01.11.2025
ПГА - собирательный диагноз, характеризующийся повышенным уровнем альдостерона, который относительно автономен от ренин-ангиотензиновой системы и не снижается при натриевой нагрузке. Повышение уровня альдостерона является причиной сердечно-сосудистых расстройств, снижения уровня плазменного ренина, артериальной гипертензии, задержки натрия, и ускоренного выделения калия, что приводит к гипокалиемии. Среди причин ПГА аденома надпочечника, односторонняя или двусторонняя надпочечниковая гиперплазия, в редких случаях - наследственно обусловленный ГЗГА [1].
Код(ы) МКБ:
| МКБ 10 | |
| E26.0 | Первичный гиперальдостеронизм |
Дата разработки/пересмотра протокола: 2013 год (пересмотрен 2017 г.).
Сокращения, используемые в протоколе:
| АГ | - | артериальная гипертензия |
| АД | - | артериальное давление |
| АПА | - | альдостеронпродуцирующая аденома |
| АПРА | - | альдостеронпродуцирующая ренинчувствительная аденома |
| АПФ | - | ангиотензинпревращающий фермент |
| АРС | - | альдостерон-рениновое соотношение |
| ГЗГА | - | глюкокортикоид-зависимый гиперальдостеронизм ГПГА - глюкокортикоидподавляемый гиперальдостеронизм |
| ИГА | - | идиопатический гиперальдостеронизм |
| ПГА | - | первичный гиперальдостеронизм |
| ПГН | - | первичная гиперплазия надпочечника |
| ПКР | - | прямая концентрация ренина |
| УЗИ | - | ультразвуковое исследование |
Пользователи протокола: врачи общей практики, эндокринологи, терапевты, кардиологи, хирурги и сосудистые хирурги.
Категория пациентов: взрослые.
Шкала уровня доказательности:
| А | Высококачественный мета-анализ, систематический обзор РКИ или крупное РКИ с очень низкой вероятностью (++) систематической ошибки результаты которых могут быть распространены на соответствующую популяцию |
| В | Высококачественный (++) систематический обзор когортных или исследований случай-контроль или высококачественное (++) когортное или исследований случай-контроль с очень низким риском систематической ошибки или РКИ с невысоким (+) риском систематической ошибки, результаты которых могут быть распространены на соответствующую популяцию |
| С | Когортное или исследование случай-контроль или контролируемое исследование без рандомизации с невысоким риском систематической ошибки (+), результаты которых могут быть распространены на соответствующую популяцию или РКИ с очень низким или невысоким риском систематической ошибки (++ или +), результаты которых не могут быть непосредственно распространены на соответствующую популяцию |
| D | Описание серии случаев или неконтролируемое исследование или мнение экспертов |
| GPP | Наилучшая клиническая практика |

Автоматизация клиники: быстро и недорого!
- Подключено 300 клиник из 4 стран
- 800 RUB / 4500 KZT / 27 BYN - 1 рабочее место в месяц

Автоматизация клиники: быстро и недорого!
- Подключено 300 клиник из 4 стран
- 1 место - 800 RUB / 4500 KZT / 27 BYN в месяц
Мне интересно! Свяжитесь со мной
Классификация
Этиопатогенетические и клинико-морфологические признаки ПГА (Е. G. Biglieri, J. D. Baxter, модификация) [2].
· альдостеронпродуцирующая аденома коры надпочечников (АПА) — альдостерома (синдром Конна);
· двусторонняя гиперплазия или аденоматоз коры надпочечников:
- идиопатический гиперальдостеронизм (ИГА, неподавляемая гиперпродукция альдостерона);
- неопределенный гиперальдостеронизм (избирательно подавляемая продукция альдостерона);
- глюкокортикоидподавляемый гиперальдостеронизм (ГПГА);
· альдостеронпродуцирующая, глюкокортикоид подавляемая аденома;
· карцинома коры надпочечников;
· вненадпочечниковый гиперальдостеронизм (яичники, кишечник, щитовидная железа).
Диагностика
МЕТОДЫ, ПОДХОДЫ И ПРОЦЕДУРЫ ДИАГНОСТИКИ
Диагностические критерии
Жалобы и анамнез
: головные боли, повышение АД, мышечная слабость, особенно в икроножных мышцах, судороги, парастезии в ногах, полиурия, никтурия, полидипсия. Начало заболевания постепенное, симптомы проявляются после 40 лет, чаще диагностируется в 3-4 декаде жизни.
Физикальное обследование:
· гипертонический, неврологический и мочевой синдромы [2].
Лабораторные исследования:
· определение калия в сыворотке крови;
· определение уровня альдостерона плазмы крови;
· определение альдостерон-ренинового соотношения (АРС).
Пациентам с положительным APC до проведения дифференциального диагноза форм ПГА рекомендовано проведение одного из 4 подтверждающих ПГА тестов (А).
Тесты, подтверждающие ПГА
· УЗИ надпочечников (однако, чувствительность данного метода недостаточна, особенно в случае маленьких размеров образования менее 1,0 см в диаметре);
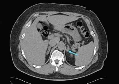
· КТ надпочечников (точность выявления опухолевых образований этим методом достигает 95%). Позволяет определить размеры опухоли, форму, топическое расположение, оценить накопление и вымывание контраста (подтверждает или исключает адренокортикальный рак). Критерии: доброкачественные образования обычно гомогенные, плотность их невысока, контуры четкие;
· сцинтиграфия с 131 I-холестеролом - критерии: для альдостеромы характерно асимметричное накопление радиофармпрепарата (в одном надпочечнике) в отличие от двусторонней диффузной мелкоузелковой гиперплазии коры надпочечников;
· селективная катетеризация вен надпочечников и определение содержания уровня альдостерона и кортизола в крови, оттекающей от правого и левого надпочечника (образцы крови берутся из обеих вен надпочечников, а также из нижней полой вены). Критерии: пятикратное увеличение соотношения альдостерон/кортизол считается подтверждением наличия альдостеромы.
Показания для консультации специалистов:
· консультация кардиолога с целью подбора антигипертензивной терапии;
· консультация эндокринолога с целью выбора тактики лечения;
· консультация сосудистого хирурга для выбора метода оперативного лечения.
Диагностический алгоритм: (схема)
АРС в настоящее время - самый надежный и доступный метод скрининга ПГА. При определении АРС, как и при других биохимических тестах возможны ложноположительные и ложноотрицательные результаты. АРС расценивается как тест, применяемый при первичной диагностике, при сомнительных результатах из-за различных внешних влияний (прием лекарств, несоблюдение условий забора крови). Влияние лекарств и лабораторных условий на АРС отражено в таблице 2.
Таблица 2. Препараты с минимальным влиянием на уровень альдостерона, с помощью которых осуществим контроль АД при диагностике ПГА
| Лекарственная группа | Международное непатентованное название ЛС | Способ применения | Комментарий |
| недигидропиридиновый блокатор кальциевых каналов | Верапамил, пролонгированная форма | 90-120 мг. два раза в день | Используется отдельно или с другими лекарствами из этой таблицы |
| вазодилятатор | *Гидралазин | 10-12,5 мг. два раза в день с титрованием дозы до эффекта | Назначается после верапамила, как стабилизатора рефлекторной тахикардии. Назначение малых доз снижает риск побочных эффектов (головная боль, тремор) |
| Блокатор а-адрено- рецепторов | *Празозина гидрохлорид | 0.5-1 мг два - три раза в день с титрованием дозы до эффекта | Контроль постуральной гипотонии! |
1. Необходима коррекция гипокалиемии после измерения калия плазмы. Для исключения артефактов и завышения реального уровня калия забор крови должен отвечать следующим условиям:
· осуществляется шприцевым способом (вакутейнером нежелательно);
· избегать сжимания кулака;
· набирать кровь не ранее, чем через 5 секунд после снятия турникета;
· сепарация плазмы не менее 30 минут после забора.
2. Больной не должен ограничивать потребление натрия.
3. Отменить препараты, влияющие на показатели АРС не менее, чем за 4 недели:
· спиронолактон, триамтерен;
· диуретики;
· продукты из корня солодки.
4. Если результаты АРС на фоне приема вышеупомянутых средств не являются диагностическими, и если контроль АГ осуществляется препаратами с минимальным влиянием на уровень альдостерона (смотрите таблицу 2) - отмените, по крайней мере, на 2 недели другие лекарства, которые могут влиять на уровень АРС:
· бета-адреноблокаторы, центральные альфа-адреномиметики (клонидин, а-метилдопа), НПВС;
· ингибиторы АПФ, блокаторы ангиотензиновыъх рецепторов, ингибиторы ренина, дигидропиридиновые блокаторы кальциевых каналов.
5. При необходимости контроля АГ лечение проводится препаратами с минимальным влиянием на уровень альдостерона (смотрите таблицу 2).
6. Необходимо иметь информацию о приеме оральных контрацептивов (ОК) и заместительной гормональной терапии, т.к. эстроген-содержащие препараты могут понизить уровень прямой концентрации ренина, что обусловит ложноположительный результат АРС. Не отменяйте ОК, используйте в этом случае уровень АРП, а не ПКР.
В. Условия забора:
· забор в утренние часы, после пребывания пациента в вертикальном положении в течение 2 часов, после нахождения в сидячей позе около 5-15 минут.
· забор в соответствии с п. А. 1, стаз и гемолиз требуют повторного забора.
· перед центрифугированием держать пробирку при комнатной температуре (а не на льду, т.к. холодовой режим увеличивает APП), после центрифугирования плазменный компонент подвергнуть быстрой заморозке.
С. Факторы, влияющие на интерпретацию результатов:
· возраст > 65 лет влияет на снижение уровня ренина, АРС искусственно завышается;
· время дня, пищевая (солевая) диета, временной отрезок постурального положения;
· лекарства;
· нарушения методики забора крови;
· уровень калия;
· уровень креатинина (почечная недостаточность приводит к ложноположительному АРС).
Дифференциальный диагноз
Дифференциальный диагноз и обоснование дополнительных исследований
Синдром Конна (первичный гиперальдостеронизм) - симптомы и лечение
Что такое синдром Конна (первичный гиперальдостеронизм)? Причины возникновения, диагностику и методы лечения разберем в статье доктора Лукьянова Сергея Анатольевича, хирурга-эндокринолога со стажем в 18 лет.
Над статьей доктора Лукьянова Сергея Анатольевича работали литературный редактор Маргарита Тихонова , научный редактор Сергей Федосов и шеф-редактор Лада Родчанина
Определение болезни. Причины заболевания
Синдром Конна (первичный гиперальдостеронизм) — это гормональное расстройство, при котором надпочечники в избыточном количестве вырабатывают гормон альдостерон. Проявляется повышением артериального давления.

Основная задача альдостерона состоит в регулировании уровня натрия и калия в крови. Если этого гормона становится слишком много, организм начинает терять калий и удерживать слишком много воды, из-за чего объём крови и артериальное давление увеличиваются.
Первичный гиперальдостеронизм может быть вызван гиперактивностью либо одного, либо обоих надпочечников, т. е. быть односторонним или двусторонним. Одностороннее заболевание обычно вызывается альдостерон-продуцирующей аденомой (доброкачественной опухолью ), гиперплазией (усиленным ростом клеток) или, реже, раком одного надпочечника. На развитие этих причин влияют генетические факторы. Двустороннее заболевание обычно вызывает двусторонняя гиперплазия, т. е. усиленный рост клеток обеих желёз . Причиной такой гиперактивности надпочечников могут быть редкие генетические синдромы: семейный гиперальдостеронизм 1-го и 2-го типа.

Наиболее часто синдром Конна встречается у людей 30-50 лет, преимущественно среди женщин — в 60-70 % случаев. Изначально он считался крайне редким заболеванием. В настоящее время установлено, что это одна из наиболее распространённых причин симптоматической артериальной гипертензии. Последние исследования показывают, что данное заболевание встречается у 5-15 % пациентов с гипертонией. Но так как пациентов, устойчивых к лечению артериальной гипертензии, редко направляют для обследования к эндокринологу, синдром Конна, по-видимому, часто остаётся недиагностированным [1] .
Хотя первичный гиперальдостеронизм всё ещё является значительной диагностической проблемой, его распознавание имеет решающее значение, поскольку артериальную гипертонию при этом заболевании можно полностью вылечить с помощью хирургического вмешательства (в отличие от гипертонической болезни, когда пациенты вынуждены пожизненно принимать гипотензивные препараты).
При обнаружении схожих симптомов проконсультируйтесь у врача. Не занимайтесь самолечением - это опасно для вашего здоровья!
Симптомы синдрома Конна
Высокое давление является постоянным и зачастую единственным симптомом первичного гиперальдостеронизма. Оно наблюдается в 75-98 % случаев, вызывает головные боли, помутнение зрения и головокружение [2] [4] .
Повышение артериального давления может быть как незначительным, так и очень высоким. Причём высокие цифры при синдроме Конна обычно трудно контролировать, поэтому пациенты вынуждены принимать по четыре препарата для снижения давления или даже больше.
Часто у больных могут наблюдаться гипертонические кризы, при которых верхнее (систолическое) давление поднимается выше 250 мм рт. ст [3] . Клиническая картина таких кризов при синдроме Конна не отличается от обычного гипертонического криза: пациентов беспокоит головная боль, тошнота, рвота, головокружение, мелькание мушек перед глазами, избыточная потливость, боли в области сердца, учащённый пульс, чувство страха, звон в ушах и др.

Гипокалиемия (низкий уровень калия в крови) — второй по частоте симптом первичного гиперальдостеронизма. Его выявляют у 9-37 % больных [5] . Гипокалиемия может вызвать такие симптомы, как усталость, онемение, учащённое мочеиспускание, жажда, судороги и мышечная слабость. Увеличение объёма мочи (полиурия) и ночные пробуждения из-за позыва к мочеиспусканию (ноктурия) являются результатом нарушения работы почек. Иногда гипокалиемия может быть вызвана приёмом диуретиков. Уровень натрия в этом случае может быть нормальным или умеренно повышенным. Отёчный синдром, в отличие от других заболеваний почек, при этом встречается редко.
Все перечисленные жалобы часто встречаются и при других заболеваниях. Заподозрить именно синдром Конна можно, если у пациента:
- очень высокое артериальное давление, плохо поддающееся лекарственной терапии;
- семейный анамнез первичного альдостеронизма;
- высокое артериальное давление в возрасте до 40 лет;
- высокое артериальное давление и опухоль в одном из надпочечников;
- высокое артериальное давление и низкий уровень калия;
- высокое артериальное давление и апноэ во время сна.
Патогенез синдрома Конна
В связи с высоким уровнем альдостерона почки начинают сильнее всасывать натрий, задерживать воду и выводить калий из организма. Повышенное всасывание натрия почками, в свою очередь, увеличивает объём плазмы, что является первичным инициирующим механизмом гипертонии. Все эти изменения могут вызвать воспаление и отёк тканей с последующим развитием фиброза в жизненно важных органах, таких как сердце, почки и сосудистая сеть. В результате этого в дальнейшем развивается хроническая почечная недостаточность, мерцательная аритмия, инсульт, ишемическая болезнь сердца и застойная сердечная недостаточность.
Первичный гиперальдостеронизм может быть семейным (наследственным) и спорадическим (ненаследственным). Семейный вариант заболевания вызывает один из 4-х генетических вариантов гиперальдостеронизма, которые передаются по наследству. Также он может возникать спорадически, т. е. от случая к случаю. Генетические формы болезни связаны с мутацией генов, спорадические — с развитием альдостерон-продуцирующей аденомы или двусторонней гиперплазии надпочечников. До 2011 года причина возникновения этих аденом была не известна. Позже врачи установили, что в возникновении этих заболеваний особую роль также играют различные мутации [14] .
Не менее 6 % всех случаев первичного гиперальдостеронизма передаётся по наследству. Первый тип вызывается химерным геном, который содержит определённую последовательность структурных элементов ДНК гена 11β-гидроксилазы (CYP11B1). Этот ген регулируется АКТГ — адренокортикотропным гормоном, поэтому при первом типе заболевания также нарушается синтез глюкокортикоидов — других гормонов надпочечников. Тяжесть гиперальдостернизма может быть различной, отмечается раннее начало заболевания и высокая частота инсульта.
Клиническое течение второго типа неотличимо от спорадической формы болезни. Он диагностируется тогда, когда по крайней мере у двух членов семьи установлен этот диагноз. Генетическая основа данного типа остаётся неизвестной.
Третий тип ассоциируется с мутациями в гене KCNJ. Данные мутации приводят к нарушению транспорта калия и увеличению проводимости для натрия. В результате этого клеточная мембрана деполяризуется и вызывает открытие зависимых от каналов ионов кальция, который затем активирует выработку альдостерона. Для этого типа характерен дебют заболевания в раннем возрасте.
Недавно был описан новый, четвёртый тип семейного гиперальдостеронизма. Его вызывает мутация в гене CACNA1H, который кодирует работу кальциевых каналов. Этот тип также часто развивается ещё в детском возрасте и протекает с высоким артериальным давлением.
Спорадические формы гиперальдостеронизма (ненаследственные), тоже обусловлены различными мутациями, но уже соматическими (возникающими в течение жизни). Это в основном мутации усиления функции в генах, кодирующих ионные каналы или транспортёры (KCNJ5, CACNA1D, ATP1A1 и ATP2B3), которые приводят к избыточной продукции альдостерона [6] .
Достижения в области секвенирования генома человека (направленного на определение последовательности структурных элементов в молекуле ДНК) значительно продвинули наше понимание патогенеза первичного гиперальдостеронизма и показали, что чрезмерная выработка альдостерона при этой наиболее распространённой форме эндокринной гипертензии не так проста, как считалось ещё каких-то 10 лет назад.
Классификация и стадии развития синдрома Конна
Первичный гиперальдостеронизм классифицируется на основании анатомических характеристик и физиологических реакций.
Анатомически синдром Конна можно разделить на неопластический (аденомы, карциномы и эктопический гиперальдостеронизм) и неопухолевый (односторонняя или двусторонняя гиперплазия надпочечников).
Физиологически выделяют две формы заболевания:
- Ангиотензин чувствительная форма. К ней относится двусторонняя гиперплазия надпочечников и редкие формы односторонней аденомы. Они частично зависят от гормональной системы человека, которая регулирует артериальное давление.
- Ангиотензин нечувствительная форма. К ней относятся большинство альдостерон-продуцирующих аденом, рак или гиперплазия одного надпочечника. Они полностью не зависят от гормональной системы, регулирующей артериальное давление.
Частота встречаемости различных типов заболевания:
- Альдостерон-продуцирующие аденомы — 60 %.
- Первичная двухсторонняя гиперплазия надпочечников — 40 %.
- Односторонняя гиперплазия надпочечников — менее 1 %:
- альдостерон-продуцирующие ненадпочечниковые опухоли;
- альдостерон-продуцирующий рак коры надпочечника;
- глюкокортикоид-зависимый гиперальдостеронизм [7] .
Осложнения синдрома Конна
Повышенное артериальное давления и низкий уровень калия при синдроме Конна становятся причинами развития других проблем [8] . Так, гипокалиемия может привести к слабости, нарушению сердечного ритма, мышечным судорогам, чрезмерной жажде или мочеиспусканию, а постоянно высокое давление — к проблемам с сердцем и почками, в том числе инфаркту, инсульту и почечной недостаточности.
Риск возникновения сердечно-сосудистых проблем у пациентов с первичным гиперальдостеронизмом гораздо выше, чем у людей, которые имеют только высокое артериальное давление. Чтобы избежать возможных последствий синдрома Конна, больным с гипертонией, не поддающейся лечению, следует обратиться к эндокринологу для проведения обследования.
Диагностика синдрома Конна
Первичный гиперальдостеронизм диагностируется путём измерения в крови уровня альдостерона и ренина (гормона, вырабатываемого почками). Для более точной диагностики анализы необходимо сдавать утром. При синдроме Конна уровень альдостерона будет высоким, а уровень ренина — низким. При этом уровень калия может быть низким или нормальным.
Если результаты этих анализов будут положительными, то пациенту могут назначить дополнительные тесты для подтверждения диагноза. Они направлены на снижение количества альдостерона. Это можно сделать несколькими способами: ввести определённое лекарство, выполнить внутривенное вливание солевых растворов или ввести дополнительную соль с помощью диеты. Если после этих тестов уровень альдостерона останется высоким, а уровень ренина снизится, то диагноз подтверждается.
Альдостерон-рениновое соотношение (АРС). Этот анализ крови является скрининговым тестом, то есть он проводится при подозрении на гиперальдостеронизм. В настоящее время АРС является самым надёжным тестом по выявлению синдрома Конна. Однако различные методики определения этого соотношения часто приводят к ложноположительным или ложноотрицательным результатам. Об этом обязательно нужно помнить. Поэтому даже при высоком АРС, которое указывает на первичный гиперальдостеронизм, для подтверждения диагноза может потребоваться дополнительное тестирование.
Существует ряд правил по выполнению этого анализа:
- кровь необходимо брать в утренние часы (с 8:00 до 10:00);
- перед забором крови пациенту необходимо спокойно посидеть 5-10 минут;
- если у пациента есть гипокалиемия, то перед проведением анализа уровень калия необходимо нормализовать. Для этого в течение трёх дней перед забором крови рекомендуют соблюдать диету без ограничения соли, при которой пациенту нужно употреблять минимум 5-6 г поваренной соли в день;
- приём препаратов, которые могут повлиять на уровень альдостерона, необходимо отменить (например диуретики, противовоспалительные средства и др.) [9] .
Тест на подавление каптоприлом. Этот анализ крови измеряет реакцию альдостерона на каптоприл — лекарство, используемое для лечения высокого артериального давления. При отсутствии первичного гиперальдостеронизма уровень альдостерона в крови снизится более чем на 30 % от исходного.
24-часовая экскреция альдостерона с мочой. Для проведения этого теста пациент в течение пяти дней придерживается диеты с высоким содержанием соли, а затем сдаёт анализ мочи, собранной за сутки. Если уровень альдостерона в моче будет высоким, то наличие первичного гиперальдостеронизма будет подтверждено.
Тест на подавление физиологическим раствором. В этом тесте пациент получает солевой раствор через капельницу, затем ему измеряют уровень альдостерона и ренина. Первичный гиперальдостеронизм может быть подтверждён, если уровень альдостерона в крови после такой солевой нагрузки останется высоким, а уровень ренина понизится.
Для пациентов с доказанным первичным гиперальдостеронизмом следующим шагом является выяснение, каким заболеванием он вызван, — односторонним или двусторонним. Это очень важно, так как лечение каждого из них отличается. Компьютерная или магнитно-резонансная томография позволяют увидеть, есть ли опухоль в надпочечнике. Если пациент младше 40 лет и у него есть опухоль только в одном надпочечнике, то в этом случае можно приступать к лечению. Если пациент старше 40 лет и/или у него либо нет опухоли, либо есть опухоль, но в обоих надпочечниках, то возникает необходимость в проведении специального теста — селективного забора венозной крови из центральной вены надпочечников. В ходе этого теста хирург или рентгенолог берёт кровь непосредственно из вен обоих надпочечников, чтобы определить, какой именно орган вырабатывает патологическое количество гормона.

Лечение синдрома Конна
Лечение синдрома Конна зависит от его основной причины.
У пациентов с односторонней аденомой надпочечника единственным способом лечения является адреналэктомия — удаление опухоли вместе с надпочечником. Эта операция обычно выполняется ретроперитонеоскопически, т. е. через несколько очень маленьких разрезов со стороны спины. После односторонней адреналэктомии почти у 100 % пациентов снижается артериальное давление и нормализуется уровень калия в крови. При этом более чем у 50 % пациентов артериальная гипертензия полностью излечивается (без приёма лекарственных препаратов). Причинами стойкого повышения артериального давления после адреналэктомии может быть сопутствующая гипертоническая болезнь неизвестной причины и пожилой возраст пациентов.

В крайних случаях проводится открытая адреналэктомия. Во время такой операции выполняется широкий разрез через грудную, брюшною полость и диафрагму. По сравнению с таким вмешательством, эндоскопическая адреналэктомия снижает сроки пребывания в стационаре и сочетается с меньшим количеством осложнений. Уже через неделю при эндоскопической операции пациент может вернуться к работе и обычным физическим нагрузкам.
Медикаментозное лечение рекомендуется пациентам с крайне высоким уровнем риска оперативного лечения (например при тяжёлой сердечной недостаточности). Поскольку односторонняя эндоскопическая адреналэктомия может полностью избавить пациента от медикаментозного лечения, её необходимо выполнять во всех остальных случаях. При этом важно, чтобы такое лечение выполнял хирург-эндокринолог, имеющий большой опыт проведения эндоскопических адреналэктомий.
Перед операцией артериальное давление и уровень калия в крови необходимо привести в норму. Если достичь этого в короткие сроки не удаётся, то операцию следует отложить.
После операции следует измерять уровень активности альдостерона и ренина в плазме крови, чтобы сделать предварительные выводы об эффективности оперативного лечения. Также в послеоперационном периоде нужно отменить приём добавок калия, прекратить приём спиронолактона и, при необходимости, уменьшить антигипертензивную терапию. Обычно артериальное давление улучшается или нормализуется через 1-6 месяцев после односторонней адреналэктомии, но у некоторых пациентов оно может оставаться повышенным до 1 года.
Для пациента с двусторонней гиперплазией лучшим способом лечением является консервативное — приём препарата под названием спиронолактон, который блокирует действие альдостерона. Кроме того, пациент должен придерживаться диеты с низким содержанием соли [10] .
Прогноз. Профилактика
Заболеваемость и смертность при синдроме Конна в первую очередь связаны с гипокалиемией и артериальной гипертензией. В случае своевременной диагностики болезнь излечивается полностью.
Причиной смерти могут стать сердечно-сосудистые осложнения. Установлено, что факторами риска развития этих осложнений при первичном гиперальдостеронизме являются гипокалиемия, односторонний первичный гиперальдостеронизм и высокий уровень альдостерона в плазме (не менее 125 пг/мл) [13] . Так, гипокалиемия, особенно тяжёлая, вызывает нарушения сердечного ритма, которые могут привести к летальному исходу.
Другими осложнениями гиперальдостеронизма являются инфаркт миокарда, цереброваскулярные болезни и сердечная недостаточность. Также у пациентов с синдромом Конна с большей вероятностью, чем у пациентов с гипертонией, развиваются острые коронарные синдромы, гипертрофия левого желудочка и инсульт [12] .
Существуют доказательства того, что хронический гиперальдостеронизм при отсутствии повышенного кровяного давления (как это происходит при вторичном гиперальдостеронизме) также связан с повышенным риском сердечных осложнений, включая ишемические, гипертрофические и фиброзные повреждения [11] .
Профилактика синдрома Конна предполагает своевременное лечение болезней, которые могут его вызвать. Пациентам с длительно существующей или трудно контролируемой артериальной гипертензией рекомендуется проходить скрининг на гиперальдостеронизм. В зоне риска находятся молодые люди до 40 лет и те, чьи родители страдают гипертонией.
Гиперальдостеронизм - симптомы и лечение
Что такое гиперальдостеронизм? Причины возникновения, диагностику и методы лечения разберем в статье доктора Матвеева М. А., эндокринолога со стажем в 11 лет.
Над статьей доктора Матвеева М. А. работали литературный редактор Маргарита Тихонова , научный редактор Сергей Федосов и шеф-редактор Лада Родчанина
Гиперальдостеронизм — это синдром, при котором кора надпочечников вырабатывает повышенное количество гормона альдостерона. Он сопровождается развитием артериальной гипертензии и поражением сердечно-сосудистой системы [1] . Нередко артериальная гипертензия, развившаяся на фоне повышенного уровня альдостерона, носит злокачественный характер: крайне плохо поддаётся медикаментозной коррекции и приводит к ранним и серьёзным осложнениям, таким как ранний инсульт, инфаркт миокарда, фибрилляция предсердий, внезапная сердечная смерть и др.

Гиперальдостеронизм является одной из самых частых причин артериальной гипертензии. По некоторым данным, он выявляется в 15-20 % всех случаев [5] .
В силу стёртой клинической картины данный синдром диагностируется редко. Однако его выявление имеет огромное значение как из-за своей распространённости, так и в связи с возможным своевременным лечением причины артериальной гипертензии и предотвращением тяжёлых сердечно-сосудистых осложнений, улучшая прогноз и качество жизни пациентов.
Кора надпочечников выделяет большое количество альдостерона либо автономно, либо в ответ на стимулы вне надпочечников.
Причинами автономной секреции альдостерона являются заболевания надпочечников:
- аденома (доброкачественная опухоль) надпочечника, продуцирующая альдостерон (синдром Крона);
- двусторонний идиопатический гиперальдостеронизм (точна причина неизвестна);
- односторонняя гиперплазия надпочечника (развивается в результате микро- или макронодулярного разрастания клубочковой зоны коры одного надпочечника);
- семейный гиперальдостеронизм (наследственное заболевание, встречается крайне редко);
- карцинома (злокачественная опухоль) надпочечника, вырабатывающая альдостерон.
Самой частой причиной гиперальдостеронизма является аденома (обычно односторонняя), состоящая из клеток клубочковой зоны. У детей аденомы встречаются редко. Как правило, это состояние у них вызвано раком или гиперплазией (разрастанием) одного надпочечника. У пожилых пациентов аденома встречается реже. Она связана с двусторонней гиперплазией надпочечников [4] [10] .
Вненадпочечниковыми причинами синдрома являются:
- стеноз (сужение) почечной артерии, приводящий к снижению почечного кровотока и, как следствие, гиперсекреции альдостерона;
- почечная вазоконстрикция (сужение любых сосудов почки), в том числе из-за опухолевого процесса;
- застойная сердечная недостаточность, цирроз печени с асцитом (скоплением жидкости в брюшной полости) и др., т. е. состояния, которые приводят к повышению альдостерона за счёт снижения печеночного кровотока и скорости метаболизма альдостерона [10] .
Крайне редко возможно развитие псевдогиперальдостеронизма — артериальной гипертензии и низкого уровня калия в крови, имитирующих симптомы гиперальдостеронизма. Причиной тому является существенная передозировка солодки или жевательного табака, которые влияют на метаболизм гормонов в надпочечниках.
Симптомы гиперальдостеронизма
Клинические проявления гиперальдостеронизма чаще встречаются в возрасте 30-50 лет, однако описаны случаи выявления синдрома и в детском возрасте [1] .
Основным и постоянным симптомом гиперальдостеронизма является артериальная гипертензия. В 10-15 % она носит злокачественный характер [3] . Клинически гипертония проявляется головокружением, головными болями, мельканием "мушек" перед глазами, перебоями в работе сердца, в особо тяжёлых случаях — даже временной потерей зрения. Систолическое артериальное давление достигает 200-240 мм рт. ст.
Обычно гипертония при данном синдроме устойчива к препаратам, нормализующим давление. Однако этот признак гиперальдостеронизма далеко не всегда становится определяющим, поэтому его отсутствие не исключает диагноз и может привести к диагностической ошибке. Течение артериальной гипертензии при наличии синдрома может быть умеренным и даже мягким, поддающимся коррекции небольшими дозами препаратов. В редких случаях артериальная гипертензия носит кризовый характер, что требует дифференциальной диагностики и тщательного клинического разбора.
Второй признак гиперальдостеронизма — нейромышечный синдром. Он встречается довольно часто. Его основные проявления включают мышечную слабость, судороги, ползанье "мурашек" по ногам, особенно в ночные часы. В тяжёлых случаях могут быть временные параличи, которые внезапно начинаются и исчезают. Они могут длиться от нескольких минут до суток [3] [4] .
Третий признак гиперальдостеронизма, встречающийся не менее чем в 50-70 % случаев, — почечный синдром. Он представлен, как правило, невыраженной жаждой и учащённым мочеиспусканием (часто в ночное время).
Выраженность всех вышеперечисленных проявлений напрямую связана с концентрацией альдостерона: чем выше уровень этого гормона, тем выраженнее и тяжелее проявления гиперальдостеронизма.
Патогенез гиперальдостеронизма
Надпочечники — это парные эндокринные железы, расположенные над верхними полюсами почек. Они являются жизненно необходимой структурой. Так, удаление надпочечников у экспериментальных животных приводило к смерти через несколько суток [2] .
Надпочечники состоят из коркового и мозгового вещества. В корковом веществе, которое составляет до 90 % всей ткани надпочечника, выделяют три зоны:
- клубочковая;
- пучковая;
- сетчатая.
В клубочковой зоне синтезируются минералокортикоиды — подкласс кортикостероидных гормонов коры надпочечников, к коим относится альдостерон. К ней прилежит пучковая зона, вырабатывающая глюкокортикоиды (кортизол). Самая внутренняя зона — сетчатая — секретирует половые гормоны (андрогены) [2] .

Главным органом-мишенью для альдостерона являются почки. Именно там данный гормон усиливает всасывание натрия, стимулируя выделение фермента Na + /K + АТФазы, таким образом повышая его уровень в плазме крови. Второй эффект воздействия альдостерона — выделение почками калия, снижая его концентрацию в плазме крови.
При гиперальдостеронизме, т.е. при повышенной альдостерона, натрия в плазме крови становится чрезмерно много. Это приводит к повышению осмотического давления плазмы, задержке жидкости, гиперволемию (увеличение объёма жидкости или крови в сосудистом русле), в связи с чем развивается артериальная гипертензия.
Дополнительно высокий уровень натрия повышает чувствительность стенок сосудов к их утолщению, воздействию веществ, повышающих артериальное давление (адреналин, серотонин, кальций и др.) и развитию фиброза (разрастанию и рубцеванию) вокруг сосудов. Низкий уровень калия в крови в свою очередь вызывает поражение почечных канальцев, что приводит к снижению концентрационной функции почек. В результате этого довольно быстро развивается полиурия (увеличение объёма выделяемой мочи), жажда и никтурия (ночное мочеиспускание). Также при низком уровне калия нарушается нейромышечная проводимость и pH крови [1] [3] . Сходным образом альдостерон влияет на потовые, слюнные и кишечные железы [2] .
Из всего выше сказанного можно сделать вывод о том, что основная жизненно важная функция альдостерона — это поддержание физиологической осмолярности внутренней среды, т. е. баланса суммарной концентрации растворённых частиц (натрия, калия, глюкозы, мочевины, белка).
Классификация и стадии развития гиперальдостеронизма
В зависимости от причин гиперсекреции альдостерона выделяют первичный и вторичный гиперальдостеронизм. Подавляющее большинство случаев данного синдрома являются именно первичными.
Первичный гиперальдостеронизм — это повышенная секреция альдостерона, независящая от гормональной системы, которая контролирует объём крови и кровяное давление. Он возникает из-за заболеваний надпочечников.
Вторичный гиперальдостеронизм — это повышенная секреция альдостерона, вызванная вненадпочечниковыми стимулами (заболеваниями почек, застойной сердечной недостаточностью).
Отличительные клинические признаки этих двух типов гиперальдостеронизма указаны в таблице ниже [10] .
Осложнения гиперальдостеронизма
У пациентов с гиперальдостеронизмом крайне часто наступают сердечно-сосудистые поражения и смерть в сравнении с людьми с аналогичной степенью артериальной гипертензии, но вызванной другими причинами [11] [12] . Такие пациенты имеют очень высокий риск развития инфаркта и нарушение ритма сердца, в частности фибрилляции предсердий, что потенциально является фатальным состоянием. Риск внезапной сердечной смерти у пациентов с гиперальдостеронизмом увеличивается в 10-12 раз [13] .
Нередко у пациентов выявляются вызванные гиперальдостеронизмом кардиосклероз, гипертрофия левого желудочка и дисфункция эндотелия (внутреннего слоя сосудов) [3] . Это объясняется прямым повреждающим влиянием альдостерона на миокард и сосудистую стенку. Доказано, что увеличение массы миокарда при гиперальдостеронизме развивается раньше и достигает больших размеров [1] .

При развитии почечного синдрома (из-за интенсивного выведения почками калия) нарушается выведение ионов водорода. Это приводит к защелачиванию мочи и предрасполагает к развитию пиелита и пиелонефрита (воспаления почек), микроальбуминурии и протеинурии (выделения повышенного уровня альбумина и белка с мочой). У 15-20 % больных развивается почечная недостаточность с необратимыми изменениями работы почек. В 60 % случаев выявляется поликистоз почек [12] [13] .
Неотложным состоянием, связанным с гиперальдостеронизмом, является гипертонический криз. Его клинические проявления могут ничем не отличаться от обычных гипертонических кризов, проявляющихся головными болями, тошнотой, болями в области сердца, одышкой и т. д. Заподозрить нетипичный гипертонический криз в такой ситуации поможет наличие брадикардии (редкого пульса) и отсутствие периферических отёков. Эти данные в корне изменят тактику лечения и направят диагностический поиск в правильном направлении.
Диагностика гиперальдостеронизма
Для того чтобы не пропустить гиперальдостеронизм, вначале крайне важно выделить основные факторы риска, которые помогут заподозрить это заболевание. К ним относятся:
- артериальная гипертония II степени, т. е. стабильное повышение систолического (верхнего) артериального давления более 160/179 мм рт. ст., диастолического (нижнего) — более 100/109 мм рт. ст.;
- артериальная гипертония, устойчивая и/или плохо контролируемая препаратами (хотя этот признак далеко не всегда указывает на патологию);
- сочетание артериальной гипертонии с низким уровнем калия в крови (независимо от приёма мочегонных средств);
- артериальная гипертония и случайно выявленное (при УЗИ и/или КТ) образование надпочечника;
- отягощённый семейный анамнез: развитие артериальной гипертонии и/или острых сердечно-сосудистых катастроф до 40 лет, а также родственники, у которых уже был диагностирован гиперальдостеронизм [1][5] .
Следующий этап диагностики — лабораторное подтверждение. Для этого исследуется альдостерон-рениновое соотношение (АРС). Данное исследование является наиболее надёжным, информативным и доступным. Оно должно проводиться в ранние утренние часы: в идеале не позднее чем через два часа после пробуждения. Перед забором крови необходимо спокойно посидеть 5-10 минут.
ВАЖНО: некоторые препараты могут повлиять на концентрацию альдостерона и активность ренина плазмы, что, в свою очередь, изменит АРС. Поэтому за две недели до сдачи данного анализа важно отменить такие препараты, как спиронолактон, эплеренон, триамтерен, тиазидные диуретики, препараты из группы ингибиторов АПФ, БРА (блокаторов рецепторов ангиотензина) и другие. Врач должен проинформировать об этом пациента и временно назначить другую схему лечения гипертонии.
При положительном АРС необходимо провести подтверждающий тест с физиологическим раствором. Он проводится в условиях стационара, т. к. имеет ряд ограничений и требует исследование уровня альдостерона, калия и кортизола исходно и после 4-часового вливания двух литров физиологического раствора. В норме в ответ на большое количество вводимой жидкости выработка альдостерона подавляется, однако при гиперальдостеронизме подавить гормон таким способом не удаётся.

Низкий уровень калия в крови отмечается лишь в 40 % случаев синдрома, поэтому он не может быть надёжным критерием диагностики. А вот щелочная реакция мочи (вследствие повышенного выведения калия почками) является довольно характерным признаком патологии.
При подозрении на семейные формы гиперальдостеронизма проводится генетическое типирование (исследование на предрасположенность) с консультацией генетика [3] [6] .
Третий этап диагностики — топическая диагностика. Она направлена на поиски очага заболевания. Для этого используются различные способы визуализации внутренних органов.
УЗИ надпочечников — низкочувствительный метод диагностики. Предпочтительнее проводить КТ: она помогает выявить как макро- и микроаденомы надпочечников, так и утолщения ножек надпочечников, гиперплазии и другие изменения [14] .

Для уточнения формы гиперальдостеронизма (одностороннего и двустороннего поражения) проводится селективный забор крови из вен надпочечников в специализированных центрах [9] . Это исследование эффективно снижает риск необоснованного удаления надпочечника только по данным КТ [4] .
Лечение гиперальдостеронизма
Оперативное лечение
Методом выбора при аденоме надпочечника, синтезирующей альдостерон, и односторонней гиперплазии надпочечника является эндоскопическая адреналэктомия — удаление одного или двух надпочечников через небольшие разрезы.

Данная операция выравнивает концентрацию калия в крови и улучшает течение артериальной гипертонии почти у 100 % больных. Полное излечение без использования антигипертензивной терапии достигается примерно у 50 %, шанс контроля артериального давления на фоне адекватной терапии увеличивается до 77 % [1] . В ряде исследований продемонстрировано уменьшение массы миокарда левого желудочка и устранение альбуминурии, что значительно повышает качество жизни таких пациентов.
Однако если гиперальдостеронизм не был диагностирован долгое время, то и после операции артериальная гипертония может сохраняться, а развившиеся сосудистые осложнения могут стать необратимыми, как и поражение почек. Поэтому крайне важно выявлять и лечить гиперальдостеронизм как можно раньше [7] .
Противопоказания к удалению надпочечника:
- возраст пациента;
- небольшая ожидаемая продолжительность жизни;
- тяжёлая сопутствующая патология;
- двусторонняя гиперплазия надпочечников (когда нет возможности провести селективный забор крови из вен надпочечников);
- гормонально-неактивная опухоль надпочечника, ошибочно принятая за источник выработки альдостерона.
Консервативное лечение
При наличии этих противопоказаний, высоком риске операции или отказе от хирургического вмешательства показано консервативное лечение специальными препаратами — антагонистами минералокортикоидных рецепторов (АМКР). Они эффективно снижают артериальное давление и защищают органы от избытка минералокортикоидов [7] [12] .
К этой группе препаратов относится калийсберегающий диуретик спиронолактон, который блокирует минералокортикоидные рецепторы и препятствует развитию фиброза миокарда, связанного с альдостероном. Однако он обладает рядом побочных эффектов, воздействуя ещё и на рецепторы андрогенов и прогестерона: может привести к гинекомастии у мужчин, снижению либидо, вагинальным кровотечениям у женщин. Все эти эффекты зависят от дозы препарата: чем больше доза препарата и длительность его применения, тем побочные эффекты более выражены.
Также существует относительно новый селективный препарат из группы АМКР — эплеренон. Он не воздействует на стероидные рецепторы в отличие от его предшественника, поэтому число неблагоприятных побочных эффектов будет меньше [9] .
При двусторонней гиперпродукции альдостерона показано длительное консервативное лечение. При вторичном гиперальдостеронизме следует лечить основное заболевание и корректировать артериальную гипертонию также с помощью препаратов группы АМКР [12] .
Выявление и адекватное лечение гиперальдостеронизма в большинстве случаев позволяет устранить артериальную гипертонию и связанные с ней осложнения или значительно смягчить её течение. Причём чем раньше синдром будет диагностирован и пролечен, тем благоприятнее прогноз: улучшается качество жизни, снижается вероятность инвалидизации и фатальных исходов [4] . Рецидивы после своевременной односторонней адреналэктомии, выполненной по показаниям, не возникают.
При запоздалой диагностике гипертония и осложнения могут сохраняться даже после терапии.
Гиперальдостеронизм может довольно долго протекать только с симптомами гипертонии.
Постоянно высокие цифры артериального давления (более 200/120 мм рт. ст.), нечувствительность к антигипертензивным препаратам, низкий уровень калия в крови — далеко не обязательные признаки синдрома. А ведь именно на это, зачастую, ориентируются врачи, чтобы заподозрить заболевание, "пропуская" гиперальдостеронизм с относительно "мягким" течением на ранних этапах.
Чтобы решить эту проблему, врачам, которые работают с пациентами с артериальной гипертензией, необходимо выявлять группы высокого риска и прицельно обследовать их на предмет наличия гиперальдостеронизма.
Альдостерома ( Первичный альдостеронизм , Синдром Конна )
Альдостерома - это гормонально активная опухоль клубочкового эпителия коры надпочечников, приводящая к развитию клинического синдрома Конна - первичного альдостеронизма. Среди симптомов альдостеромы выделяют сердечно-сосудистые (артериальную гипертензию, головные боли, кардиалгию, нарушение зрения), нервно-мышечные (миопатию, миалгию, парестезии, судороги), почечные (полиурию, полидипсию, изостенурию). Диагноз альдостеромы устанавливают по характерной клинической картине заболевания, результатам лабораторных анализов и инструментальных исследований: УЗИ, сцинтиграфии, КТ (МРТ), ангиографии и селективной венографии надпочечников. При альдостероме показано радикальное удаление опухоли с пораженным надпочечником (адреналэктомия).
МКБ-10
Общие сведения
Симптомокомплекс, обусловленный повышенной продукцией минералокортикоидного гормона альдостерона, был впервые описан Д. Конном, и получил название «первичного альдостеронизма» или синдрома Конна. В 70-85 % случаев причиной первичного гиперальдостеронизма являются аденомы надпочечников, в остальных случаях - гиперплазия коры надпочечников, опухоли щитовидной железы или яичников, обладающие гормональной активностью.
Под альдостеромой в клинической эндокринологии понимают альдостеронсекретирующую аденому надпочечников, развитие которой сопровождается признаками первичного альдостеронизма. Альдостеромы в большинстве случаев имеют доброкачественный характер, менее чем в 5% случаев - злокачественный. Альдостерома, как правило, выявляется в возрасте от 30 до 50 лет, причем у женщин в 3 раза чаще, чем у мужчин. Описаны случаи развития альдостеромы в детском возрасте.
Причины альдостеромы
Причины возникновения альдостеромы, как и многих других опухолевых образований коры надпочечников, достоверно неизвестны. Предположительно определенную роль в ее развитии играет наследственность.
Патогенез
Альдостерома проявляется автономной избыточной (увеличенной в 40-100 раз) секрецией минералокортикоидного гормона - альдостерона, регулирующего водно-электролитный обмен в организме. Высокий уровень альдостерона приводит к усилению реабсорбции ионов натрия в почечных канальцах и повышенной экскреции ионов калия, магния и водорода с мочой, что способствует задержке жидкости, гиперволемии, гипокалиемии и метаболическому алкалозу, патологическим изменениям в различных органах и системах. Особенностью первичного альдостеронизма при альдостероме является низкая активность ренина в плазме крови.
Доброкачественная альдостерома представляет собой небольшую (не более 1-3 см) опухоль надпочечника желто-коричневого цвета, окруженную тонкой соединительнотканной капсулой. Доброкачественная альдостерома может сочетаться с атрофией или гиперплазией окружающих ее зон коры надпочечников. Первичная злокачественная альдостерома, развивающаяся из собственных элементов коры надпочечников, характеризуется быстрым ростом, большим размером и массой; иногда при небольших размерах образования уже могут быть признаки метастазирования.
Альдостеромы чаще бывают одиночные (до 70-90% случаев), в 6% случаев - множественные с двусторонней локализацией. Морфологически альдостеромы имеют неоднородное строение: могут состоять из клеток, сходных с клетками пучковой или сетчатой зоны.
Симптомы альдостеромы
Клинические проявления альдостеромы обусловлены нарушениями, связанными с первичным альдостеронизмом, и представлены тремя основными синдромами - сердечно-сосудистым, нервно-мышечным и почечным.
Сердечно-сосудистый синдром при альдостероме вызван, главным образом, задержкой натрия и воды, гиперволемией, развитием отека внутренней оболочки сосудистой стенки (интимы) и сужением просвета сосудов, увеличением периферического сопротивления, повышением реактивности сосудов на действие прессорных факторов, в частности, альдостерона. Клиническая картина альдостеромы характеризуется постоянной умеренной или выраженной артериальной гипертензией, головной болью, развитием изменений глазного дна (гипертонической ангиопатией, ангиосклерозом, ретинопатией и нейроретинопатией), кардиалгией, гипертрофией, а в дальнейшем - дистрофией миокарда левого желудочка.
Нервно-мышечный синдром связан с дефицитом калия и магния, гиперхлоремическим ацидозом, дистрофическими изменениями мышечной и нервной ткани. При альдостероме это проявляется утомляемостью, мышечной слабостью различной степени выраженности, запорами, болями в пальцах рук и стоп, икроножных мышцах, нередко - парестезиями и судорогами. При альдостероме могут наблюдаться гипокалиемические кризы, сопровождающиеся острой головной болью, рвотой, одышкой, снижением (потерей) зрения, миоплегией, иногда наступлением вялого паралича или судорожными приступами, осложняющиеся развитием острой коронарной недостаточности, острого нарушения мозгового кровообращения (инсульта).
При злокачественных альдостеромах наряду с основными симптомами могут появляться боли в животе, повышение температуры тела и другие признаки интоксикации. Около 10% альдостером протекают бессимптомно.
Осложнения
При альдостероме развивается калиепеническая нефропатия, проявляющаяся нарушением концентрационной способностью почек, жаждой, обильным и частым мочеиспусканием (суточный диурез до 10 литров), никтурией, изостенурией. Периферические отеки для альдостеромы не характерны. При выраженной хронической гипокалиемии нарушаются возбудимость миокарда, секреция инсулина b-клетками поджелудочной железы и толерантность к глюкозе.
Диагностика альдостеромы основана на характерных клинических проявлениях синдрома, результатах лабораторных анализов, функциональных проб, инструментальных исследований. За 2 недели до обследования пациенту желательно прекратить прием гипотензивных препаратов.
- Инструментальная визуализация. УЗИ надпочечников и радиоизотопное сканирование (сцинтиграфию) надпочечников используют для выявления имеющихся патологических изменений и уточнения их характера (гиперплазия, опухоль), КТ надпочечников и МРТ надпочечников - для определения локализации и величины альдостеромы.
- Ангиография. Рентгенологические методы диагностики альдостеромы - пневмосупраренография и ангиография надпочечников могут давать неточные результаты из-за малых размеров опухоли и ее плохой васкуляризации. Селективная венография надпочечников с одновременным определением уровней альдостерона и кортизола в крови надпочечниковых вен является наиболее информативной, хотя ее проведение технически сложно и чревато осложнениями. Для альдостеромы характерно многократное увеличение соотношения альдостерон/кортизол.
- Лабораторная диагностика. В общем анализе мочи при альдостероме выявляется низкая относительная плотность и щелочная реакция, протеинурия, повышение суточной экскреции калия и альдостерона. Биохимический анализ крови обнаруживает гипернатриемию, гипокалиемию, высокий базальный уровень альдостерона в сыворотке, снижение активности ренина плазмы, гипохлоремический алкалоз.
- Специальные пробы. С целью диагностики первичного альдостеронизма при альдостероме проводят пробу с спиронолактоном, пробу с нагрузкой гидрохлоротиазидом, «маршевую» пробу.
Дифференциальная диагностика
Дифференциальная диагностика альдостеромы проводится с диффузной мелкоузелковой гиперплазией коры надпочечников, артериальной гипертонией, обусловленной другими синдромами (синдромом Иценко-Кушинга, злокачественной АГ, реноваскулярной АГ, синдромом мнимого избытка минералокортикоидов и др.), нефритом с потерей калия, несахарным диабетом, гиперпаратериозом, тетанией, вторичным альдостеронизмом.
Лечение альдостеромы
Лечение больных с альдостеромой заключается в проведении радикального удаления опухоли вместе с пораженным надпочечником - адреналэктомии. Если локализация альдостеромы известна, при оперативном вмешательстве применяется поясничный или торако-люмбальный доступы на соответствующей стороне, если локализация не определена - используется чрезбрюшинный доступ к обоим надпочечникам.
В предоперационном периоде (в течение 7-10 дней) назначают диету с ограничением содержания натрия, прием препаратов калия и антагонистов альдостерона. Для профилактики развития острой недостаточности коры надпочечников вследствие хирургического вмешательства по поводу альдостеромы показана терапия глюкокортикоидами. После операции необходим контроль уровня электролитов и показателей ЭКГ.
Прогноз
Удаление альдостеромы в 50-70% случаев способствует нормализации или значительному снижению артериального давления, в случае сохранения умеренной гипертензии проводится корректирующая консервативная терапия. При доброкачественной альдостероме и отсутствии необратимых изменений со стороны почек прогноз благоприятный. Злокачественные альдостеромы имеют неблагоприятное течение и прогноз.
2. Случай из клинической практики: Альдостерома надпочечника/ Жансеитова Д.П.// Вестник Казахского Национального медицинского университета. - 2013.
4. Первичный гиперальдостеронизм в терапевтической практике/ Киселева Е.Р. и др.// Сибирский медицинский журнал. - 2016.
Читайте также:
- Советы по мониторингу центрального венозного давления (ЦВД)
- Проба с эстроген-гестагенными препаратами. Тест с кломифеном
- Коагулограмма после аденомэктомии. Свертываемость крови при аденомэктомии
- Наблюдение при родах. Наблюдение за роженицей. Схема интенсивного наблюдения роженицы.
- Синдром Граухана (Grauhan)
