Рентгенограмма, КТ, МРТ позвоночника при вариантах нормы
Добавил пользователь Евгений Кузнецов Обновлено: 21.11.2025
Интерпретация любого МРТ изображения начинается с вопроса “Как оно получено?” - плоскость, вид МРТ взвешенности, тип импульсной последовательности, толщина среза и его анатомическое расположение. В специальных случаях применяется МРТ с контрастированием и подавление сигнала от жира.
Ведущими в МРТ позвоночника всегда являются сагиттальная (вдоль тела) а аксиальная (поперечная) плоскости, дополнительной может быть корональная (фронтальная) плоскость. Физические основы МРТ и получение МРТ изображения изложены в наших статьях, однако, они предназначены для подготовленного читателя. Разглядывая МРТ изображение позвоночника, Вы увидите, что спинномозговая жидкость (ликвор) на одних из них светлый (почти белый), на других, наоборот, темный. Так можно различить Т2-взвешенные и Т1-взвешенные МРТ изображения. Очень важно понимать, что это не негатив и позитив, а МРТ изображения, зависимые от разных физических характеристик, и потому несущие в себе разную информацию. На снимке (вернее сказать, отпечатке) или на CD диске, сняты или записаны серии однотипных по способу получения МРТ изображений позвоночника. Срезы идут друг за другом, например, справа налево в сагиттальной плоскости. Обычно для облегчения понимания где проходит данный срез в углу картинки дается референтное изображение, оно показывает линию этого МРТ среза в другой, перпендикулярной ему плоскости. Иногда делается дополнительное референтное МРТ изображение на котором показаны все срезы с их нумерацией. Зазор между срезами меньше 1 мм или вовсе отсутствует. Толщина среза выбирается оптимальной в зависимости от исследуемого отдела позвоночника, плоскости и МРТ аппарата. Обычно при МРТ позвоночника она 3-4 мм. В любом случае, выбираемый оператором или врачом протокол МРТ (то есть набор плоскостей и последовательностей), соответствует задачам данного МРТ исследования. Оценка качества МРТ изображения не может быть осуществлена ни пациентом, ни врачом-клиницистом. Заключение, данное врачом-рентгенологом, подразумевает, что само изображение было приемлимым для выводов. Хотелось бы особо подчеркнуть, что Заключение в конце Описания, выдаваемое пациенту, не является диагнозом, а лишь выводами врача- рентгенолога на основе интерпретации им изображений. Диагноз ставится врачом-клиницистом на основании всех имеющихся медицинских данных - жалоб, клинического осмотра, заключений других специалистов, лабораторных анализов, заключений по МРТ и другим изображениям. При этом расхождения между заключениями по результатам разных исследований явление вполне нормальное.

МРТ позвоночника. Сагиттальная Т2-взвешенная МРТ, срединный срез поясничного отдела. Показана нумерация позвонков, измерения позвоночного канала (черная линия). Т- дуральный мешок с ярким ликвором. L- желтая связка. Sacrum - крестец. D - межпозвоночный диск. Голубым выделен остистый отросток, желтым - тело позвонка, Голубые точки - ход корешков.

МРТ позвоночника. Парасагиттальная (околосрединная) Т2-взвешенная МРТ поясничного отдела. Красными стрелками показаны корешки.

МРТ позвоночника. Т2-взвешенная МРТ, срез через межпозвоночное отверстие. Красные стрелки - корешки. Межпозвоночное отверстие обведено малиновым. P- ножка дуги. VB - тело позвонка.

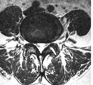
МРТ позвоночника. Аксиальная Т2-взвешенная МРТ. Нормальный срез через дугоотростчатые суставы.
После того, как появилась ясность в способе получения МРТ изображений позвоночника, надо понять какие анатомические структуры видны. Счет позвонков ведется разными способами - сверху от зубовидного отростка С2 (осевой позвонок), от бифуркации трахеи Т5 ( пятый грудной, с погрешностью на 1 позвонок) или снизу от L5 (последний поясничный), также не исключена погрешность на 1 позвонок в связи люмбализацией или сакрализацией. Анатомия позвоночника в МРТ изображении представлена в нашей другой статье. На серии сагиттальных Т2-взвешенных МРТ позвоночника видны асе основные структуры, причем удается проследить ход корешков конского хвоста. В поясничном отделе он идет под углом вниз и выходит через межпозвоночное отверстие нижележащего позвонка. Аксиальные (поперечные) МРТ срезы всегда делаются вдоль межпозвоночного диска, то есть с учетом нормальных или патологических изгибов позвоночника. Они наиболее удобны для оценки состояния дугоотростчатых суставов. При МРТ позвоночника в поперечной плоскости МРТ срезы часто делают на разных уровнях для лучшей визуализации состояния корешков по их ходу - в дуральном мешке, затем боковом кармане дурального мешка, далее в межпозвоночном отверстии и, наконец, после выхода из него. Таким образом, в поперечном МРТ срезе позвоночника через межпозвоночное отверстие на поясничном уровне можно видеть отрезки сразу двух корешков - вышележащего на выходе из отверстия, и нижележащего в боковом кармане.
Следующий этап состоит в понимании, какие структуры нормальные, а какие патологически измененные. Т2-взвешенные МРТ изображения сагиттальные и аксиальные (поперечные) являются главными в оценке состояния позвоночника, так как большинство патологических процессов видно на фоне яркого ликвора и, кроме того, изменения самих позвонков. При МРТ позвоночника оценивают костные структуры (метастазы, опухоли, переломы, воспаления), межпозвоночные диски, суставы и связочный аппарат, структуры нервной системы (корешки, спинной мозг - на шейном и грудном уровнях). Принцип выявления патологии всегда основан на сравнении с нормой. Изменение сигнала (“яркости”) от какого-либо участка при МРТ позвоночника, появление “дополнительного образования”, там где его не должно быть, нарушение целостности или контура сразу наводит на мысль о патологии. Если нет сомнений в том, что патология присутствует, ее надо охарактеризовать по ряду признаков: место, форма, контур, внутренняя структура, взаимоотношение с соседними анатомическими структурами, усиление при контрастировании (если выполнялось). Обычно это выносится в описательную часть. Характеристика патологии позволяет предположить, что она собой представляет и провести дифференциальный диагноз (отличить) от других возможных сходных изменений. В Заключении врач рентгенолог пишет о возможном наличии предполагаемой по результатам МРТ позвоночника патологии, причем в некоторых сложных случаях таких предположений может быть даже несколько. Тогда в Заключении дается рекомендация по дальнейшему дообследованию.
Самым распространенным поводом для МРТ исследованием позвоночника является диагностика болей в спине. Причины их могут быть самыми различными. Правильная интерпретация МРТ позвоночника, как и любых других органов, требует врачебного опыта и знаний. Разные специалисты нередко одно и то же изображение трактуют по-разному.
При МРТ в СПб мы в наших клиниках проводим дифференциальную диагностику с учетом не только МРТ позвоночника, но и жалоб пациента, результатов предыдущих МРТ и других исследований.
Каскадный процесс дегенеративных изменений позвоночника и его лучевая диагностика
МРТ поясничного отдела позвоночника. Т2-взвешенная сагиттальная МРТ. Дегенеративные изменения дисков. Цветовая обработка изображения.
Понятие нормы для позвоночника в МРТ изображении довольно условно. Считается, что диск в норме двояковыпуклый, пульпозное ядро светлое на Т2-зависимых МРТ изображениях, в центре может быть горизонтальная линия соединительной ткани.
Термин “дегенеративные изменения позвоночника” обобщает целый ряд заболеваний.
С третьей декады жизни начинается постепенная дегидратация межпозвоночного диска с потерей им эластичности. Увеличивается соотношение кератин сульфат/хондроэтин сульфат и среди хондроэтинов также меняется соотношение в пользу хондроэтин-4-сульфата. Снижается синтез и уменьшается концентрация протеогликанов и неколагеновых протеинов. Деполимеризация мукополисахаридов приводит к потереводы. Поступление в диск кислорода и питающих веществ ухудшается, а продукты обмена, наоборот, накапливаются. Происходит постепенная дегидратация межпозвоночного диска. Пульпозное ядро накапливает коллаген, и замещается фибрознохрящевой тканью. Процесс начинается с задней части диска, затем распространяется на весь диск, граница пульпозного ядра и фиброзного кольца стирается. Это может быть названо термином остеохондроз. Диск теряет эластичность. Снижение давления внутри диска приводит к засасыванию азота в ядро и возникновению пузырей - “вакуум-феномена”, наиболее отчетливо видимого при КТ.
Важно отметить, что дегенерация диска и его естественное старение это по сути один процесс, но идущий разными темпами.
Клинические проявления дегенеративных процессов носят каскадный характер: дисфункция-нестабильность-восстановление стабильности. Патологоанатомические изменения в первую фазу в виде протрузии диска, разрушения хряща и артрита дугоотростчатых суставов могут приводить к болям в спине (или шее), обычно, локального типа. Вскоре наблюдается гипермобильность и напряжение мышц спины.
Дегенерация периферических волокон фиброзного кольца приводит к ослабеванию их связи с кортикальной костной тканью, образованию щелей и смещению диска кпереди. Это вызывает натяжение прободающих волокон на месте их примыкания к замыкательной пластине и формированию остеофитов. Первоначально они образуются в горизонтальной плоскости, но сзади в этом направлении их сдерживает задняя продольная связка. Поэтому остеофиты передне-латеральные и клювовидно загнуты. Остеофиты рентгенологически выявляются у 60-80% людей старше 50 лет.
Увеличение нагрузки приводит к вторичной дегенерации дугоотростчатых суставов - эрозии и щелям в хряще - “остеоартриту”, а затем костеобразованию -“остеоартрозу”. При рентгенографии и КТ видно уменьшение суставной щели, костный склероз и краевой остеофитоз. При МРТ позвоночника в суставе часто видно избыточное количество жидкости. Остеоартроз имеется у всех старше 60 лет. Он, в свою очередь, приводит к тропизму суставов, когда один или оба направлены более сагиттально. Возникает их асимметрия и сколиоз. Сагиттальная ориентация дугоотростчатых суставов на уровня L4 и L5 способствует дегенеративному спондилолистезу и возникновению грыж дисков.

МРТ поясничного отдела позвоночника. Остеоартрит и остеоартроз дугоотростчатых суставов. Аксиальная Т2-взвешенная МРТ.
Остеоартроз приводит к уменьшению бокового кармана (в норме 5 мм на поясничном уровне). Синовиальная суставная жидкость может выходить через щели в капсуле сустава и осумковываться, образуя кисту. Типичное место расположения синовиальных кист - уровень диска L4-5. На КТ киста гипо- или гиперденсна, в ее стенке могут быть кальцинаты. При МРТ позвоночника синовиальная киста гипо- или слегка гиперинтенсивна на Т2-зависимых МРТ изображениях.

МРТ поясничного отдела позвоночника. Синовиальная киста справа. Аксиальная Т2-взвешенная МРТ.
Дегенеративные процессы на второй стадии проявляются в виде дальнейшего снижения высоты дисков, формирования грыж и артроза дугоотростчатых суставов. Клинически эта стадия наиболее ярко проявляется в виде болевого и корешкового синдрома.
Дальнейшая дегенерация суставного аппарата приводит к ослабеванию связок и их кальцификации. Костные мосты между телами 4 смежных позвонков за счёт обызвествления передней продольной связки наблюдается у 15-20% взрослых. Уменьшение высоты диска приводит к смыканию остистых отростков. В результате образуются псевдосуставы, вокруг которых развивается гранулематозное воспаление. С остеоартрозом связан также дегенеративный спондилолистез. Обычно это антелистез 4 поясничного позвонка на 5. В отличие от других этиологий может быть и не только антелистез, но и ретролистез. Степень листеза всегда небольшая.

МРТ поясничного отдела позвоночника. Болезнь Бааструпа. Псевдосустав обозначен стрелками. Сагиттальная Т2-взвешенная МРТ.
Комплекс дегенеративных изменений позвоночника может приводить к сужению позвоночного канала и/или бокового кармана, видимое при КТ и МРТ позвоночника. Часто это состояние обозначают термином “спондилёз”. Этому способствует также врождённая узость канала вследствие коротких корней дуг.

МРТ шейного отдела позвоночника. Стеноз позвоночного канала . Сагиттальная Т2-взвешенная МРТ.
Подвижность в позвоночных сегментах постепенно уменьшается, боли становятся не столь острыми, однако, имеется постоянное напряжение мышц, формируется сколиоз. Процесс переходит в третью стадию. Клинические проявления также во многом зависят от влияния грыжи на корешок.
Грыжи дисков - общий термин, отражающий смещение диска. До 90% грыж дисков наблюдаются на уровне двух нижних поясничных сегментов. МРТ поясничного отдела позвоночника служит методом выбора для их диагностики.

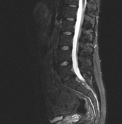
МРТ поясничного отдела позвоночника. Парамедиальная грыжа (экструзия) диска L5/S1 слева с компрессией экстрадурального сегмента корешка. Сагиттальная и аксиальная Т2- взвешенные МРТ.
Сопоставление размеров и расположения грыж, определяемых при МРТ, с болевым синдромом показывает,что нет прямой связи между болевым синдромом и величиной грыжи. До 30% грыж видимых при МРТ позвоночника бессимптомные. Нет и прямой связи между болевым синдромом и размером позвоночного канала. В то же время, вокруг грыжи, по данным МРТ позвоночника, формируется грануляционная ткань а костном мозге смежных позвонков наблюдается асептический спондилит, что говорит о большом значении воспалительного процесса.
МРТ поясничного отдела позвоночника. Реактивный эпидурит вокруг грыжи диска. Сагиттальная Т1-взвешенная МРТ после контрастирования.
МРТ СПб позволяет выбирать место выполнения МРТ, мы рекомендуем воспользоваться нашим огромным опытом в этой области. МРТ в СПб мы проводим в нескольких центрах на аппаратах закрытого типа и открытых МРТ в тесном сотрудничестве с неврологами и нейрохирургами для выбора оптимальной тактики лечения.
Чем МРТ отличается от рентгена?

МРТ позвоночника в шейном отделе, оценка высоты дисков (указана красными линиями)
Среди всех заболеваний опорно-двигательного аппарата лидируют патологии позвоночного столба. Вариативность проявлений затрудняет диагностику. Чтобы правильно определить болезнь, врачам необходимо изучить структуру костей и мягких тканей позвоночника. Часто с указанной целью применяют визуализационные методы диагностики — рентгенографию и МР-сканирование. Однако исследования нельзя назвать взаимозаменяемыми. Что лучше, рентген или МРТ позвоночника, определяет врач, исходя из клинической ситуации и целей, поставленных перед диагностикой. По описанной выше причине нельзя проводить какое-либо исследование по собственной инициативе или самостоятельно заменять назначенную доктором процедуру.
Чем отличается МРТ от рентгена позвоночника?
Главное различие между методами заключается в сути воздействия на исследуемую область. Рентгенография основана на способности Х-лучей проходить сквозь ткани организма и задерживаться в местах с высокой плотностью. Описанным обусловлена хорошая информативность процедуры в отношении состояния костных элементов позвоночника.

Грыжа диска между телами 4 и 5 поясничных позвонков на МРТ
МР-сканирование основано на воздействии магнитного поля. Последнее изменяет поведение атомов водорода в структуре молекул воды, которая в том или ином количестве присутствует во всех тканях. Аппарат улавливает импульсы и на основании силы последних выстраивает картинку (называемую снимком или срезом).
Основной областью применения рентгенографии является диагностика патологий позвонков. Рентген чаще используют как экспресс-метод для выявления травм и связанных с ними патологических изменений при недоступности других методов. МРТ хорошо отражает состояние мягких тканей (межпозвонковых дисков, спинного мозга, сосудов, мышц, нервов, связок).
Рентген обычно назначают в качестве рутинного метода диагностики ряда заболеваний и при выполнении некоторых хирургических манипуляций. Показаниями для проведения процедуры являются:
- повреждения спины;
- болезнь Бехтерева (если нет иных способов визуализации);
- предоперационная разметка при вмешательствах по поводу грыж дисков;
- опухоли костной ткани позвоночника при недоступности КТ или МРТ;
- контроль постановки транспедикулярных винтов;
- рентгеноскопия показана при проведении люмбальной пункции на фоне заболеваний позвоночника.

Гигантская грыжа поясничного отдела позвоночника на МРТ
МРТ активно используют для уточнения природы заболевания, обнаружения изменений в позвоночном канале. Метод позволяет выявить опухоли, грыжи дисков, образование секвестров, компрессию спинного мозга или нервных корешков. Показаниями для проведения МР-сканирования являются:
- остеохондроз позвоночника;
- подозрения на поражения спинного мозга, оболочек и корешков последнего;
- воспалительные изменения;
- врожденные аномалии развития структур позвоночника;
- опухолевые заболевания;
- миелоишемия;
- травмы межпозвонковых суставов, связочного аппарата и нервных структур.
Отличием между процедурами являются особенности их проведения. Рентген можно сделать в любой клинике. Это экономичный и быстрый способ диагностики. Снимки делают обычно в двух проекциях (при необходимости и в других).
МРТ требует специализированного дорогостоящего оборудования, которое есть не во всех медучреждениях. Сканирование занимает около получаса, на протяжении которого пациент неподвижно лежит в туннеле томографа.
Что лучше, рентген или томография позвоночника, нельзя ответить однозначно. У каждого метода есть свои плюсы и минусы.
- низкая цена;
- установки для проведения есть в каждой клинике;
- занимает мало времени;
- часто применяют в экстренных ситуациях из-за доступности и быстроты выполнения;
- исследование информативно относительно состояния костей.
- точные результаты;
- показывает мягкие ткани, нервные структуры и кости;
- можно повысить информативность использованием контрастирования;
- не требует подготовки;
- метод безопасен (разрешен детям с месячного возраста и беременным со второго триместра).
- сравнительно небольшая информативность;
- ограничения по кратности и частоте проведения;
- лучевая нагрузка;
- не показывает мышцы, связки, сосуды, нервы и т.п.
- высокая цена;
- оборудование есть не во всех медицинских центрах;
- занимает много времени;
- во ходе процедуры нужно лежать неподвижно в замкнутом пространстве;
- есть ограничения по весу пациента.
Что точнее: МРТ или рентген позвоночника?
Четкость и подробность изображений, полученных при МР-сканировании, считают одним из главных преимуществ исследования.
Рентген дает снимок, выполненный только в 2 направлениях (в прямой и боковой проекциях). Но при необходимости могут использоваться специальные укладки. МР-томограф делает множество послойных снимков в трех плоскостях, расположенных перпендикулярно по отношению друг к другу.

Множественные (2) гемангиомы на МРТ грудного отдела позвоночника
Результатом рентгенографии являются снимки конкретного отдела позвоночника. На них врач изучает структуру костной ткани и позвонков в целом. Увеличить детализацию снимка возможности нет. На фотографиях отдельные тени накладываются друг на друга.
При получении результатов МРТ рентгенолог имеет доступ к изображениям любого отрезка исследуемой области. Можно рассмотреть каждую связку или спинномозговой корешок, в том числе в разрезе. Цифровые технологии упрощают работу со снимками для врача. При необходимости доктор может изучить один и тот же отрезок с разных ракурсов, увеличить или уменьшить картинку.
При наличии специального программного обеспечения для МРТ и клинической необходимости можно получить трехмерное изображение (в 3D) позвоночника и оценить структуру последнего комплексно. Рентген такой возможности не предоставляет.
Информативность МРТ расширяет применение контрастных веществ. С помощью индикатора можно более подробно изучить особенности кровообращения, состояние сосудов, воспалительные изменения в тканях.
Таким образом, МР-сканирование является более точной процедурой. Его можно пройти в нашем ДЦ «Магнит» в любое время суток. Однако: что лучше в конкретном случае, МРТ или рентген — может решить только врач.
Что вреднее: МРТ или рентген позвоночника?
Рентгенография сопровождается лучевой нагрузкой на организм. Последняя может спровоцировать повреждение клеток, запустить патологические изменения в тканях. Указанное обстоятельство ограничивает возможность проведения повторных исследований до 2 раз в год. Рентген противопоказан маленьким детям и беременным женщинам.

Опухоль (предположительно менингиома) на МРТ шейного отдела позвоночника
МРТ не несет вреда организму. Магнитное поле не меняют работу клеток и не может спровоцировать гибель последних. Сканирование назначают и проводят столько раз, сколько требует наблюдение за состоянием больного. С помощью МРТ врачи могут отследить динамику развития заболевания, оценить результаты лечения или проконтролировать исход хирургического вмешательства. При острой необходимости исследование проводят беременным женщинам и маленьким детям. Однако для томографии есть противопоказания:
- наличие в теле металлических имплантов;
- присутствие в организме кардиостимулятора;
- установленная инсулиновая помпа;
- стенты или кровоостанавливающие клипсы.
В перечисленных случаях сканирование может быть небезопасно для больного, поэтому лучевые методы предпочтительны. Что лучше, рентген или МРТ позвоночника — скажет лечащий врач.

Грудной отдел позвоночника на МРТ в коронарной проекции
Можно ли делать МРТ после рентгена позвоночника?
Иногда диагностика заболевания затруднительна. На начальных этапах обследования часто проводят рентгенографию, но ее результатов оказывается недостаточно, чтобы выявить патологию или подобрать лечение. МРТ может быть назначена после рентгена с целью:
- сбора более подробных сведений;
- уточнения характера, локализации и объема патологических изменений в тканях;
- планирования операции;
- изучения влияния костной патологии на окружающие ткани и нервные структуры.
Поскольку МР-сканирование не несет лучевой нагрузки, исследование можно делать сразу после рентгена.
Расшифровка МРТ позвоночника

Гемангиомы на магнитно-резонансной томографии грудного отдела позвоночника (сагиттальная проекция, Т2 взвешенная последовательность)
МРТ позвоночника - высокоинформативный метод диагностики, использующий для построения детальных изображений структур области интереса свойства магнитного поля, радиоволны и компьютерную обработку. По показаниям исследование выполняют с контрастным усилением: в вену вводят препарат, содержащий хелаты гадолиния.
После прохождения МР-сканирования в большинстве медицинских центров на руки пациенту выдают заключение и электронный носитель (диск или флеш-карту) с записью результатов процедуры. Фотографии, наиболее наглядно демонстрирующие патологический процесс, за отдельную плату можно распечатать на пленку.
Диск содержит несколько сотен послойных срезов. Самостоятельно расшифровать результаты магнитно-резонансного сканирования нельзя, но общее представление о структурах позвоночного столба получить можно. Не стоит делать преждевременных выводов: окончательный диагноз - прерогатива лечащего врача.
Как выглядит фото-снимок МРТ позвоночника

МРТ грудного отдела позвоночника (сагиттальная проекция, Т1 ВИ)
Магнитно-резонансные томограммы отображают внутренние структуры зоны интереса в трех плоскостях. Каждый снимок представляет собой один срез, на распечатанном фото МРТ их несколько.
В норме позвонки гладкие, повреждения отсутствуют. Фиброзно-хрящевые диски, выполняющие роль амортизаторов, не выпячиваются, имеют стандартную высоту, без признаков дегенерации. Спинной мозг выглядит на фото как белый шнур без видимых перекосов и других изменений.
Позвоночный столб включает: шейный, грудной, поясничный, крестцовый отделы и копчик. Патологический процесс может развиваться в любой области или вызвать тотальное поражение.
МРТ позвоночника проводят для постановки диагноза, в рамках динамического наблюдения за болезнью, в качестве предоперационной оценки анатомических особенностей и пр. Магнитно-резонансное исследование имеет преимущества по сравнению с КТ при выявлении изменений в мягкотканных структурах: связках, синовии (внутренней выстилке суставной оболочки), хрящах, нервных стволах, мышцах.

МРТ позвоночного столба: грыжа диска L4-L5 (сагиттальная плоскость, Т2 ВИ)
При патологических процессах снимки могут демонстрировать:
- искривления позвоночного столба - сколиоз, лордоз, кифоз;
- злокачественные и доброкачественные новообразования (для верификации опухоли выполняют биопсию);
- метастазирование в позвонки;
- кистозные полости;
- смещения и переломы позвонков, растяжения связок, отдаленные последствия травмы;
- протрузии, дегенеративные изменения (спондилодисцит, остеохондроз и др.), грыжи, признаки вовлечения в патологический процесс спинномозговых корешков;
- поражение замыкательных пластинок;
- миелоишемию;
- участки сужения позвоночного канала, компрессию или повреждение спинного мозга и пр.

Магнитно-резонансное сканирование пояснично-крестцового отдела позвоночника: множественные гемангиомы (сагиттальная плоскость, Т1 ВИ)
Расшифровка результатов МРТ включает оценку:
- очагов с патологическим МР-сигналом (на участках субхондрального склерозирования, при пролапсах дисков, сужении межпозвонковых отверстий, поражении нервных корешков, в области отека, воспаления и др.);
- плотности задней продольной связки;
- конфигурации тел визуализируемых позвонков:- высота, структура, поверхность (отсутствие остеофитов - костных разрастаний, грыж Шморля), состояние опорных площадок и пр.;
- дурального мешка (защитной оболочки спинного мозга);
- оси позвоночника на исследуемом уровне;

МРТ: межпозвонковая грыжа диска L4-5 (аксиальная проекция, Т2 ВИ)
- размеров спинномозгового канала;
- щелей дугоотросчатых суставов;
- структуры, контуров, диаметра спинного мозга;
- состояния паравертебральных мягких тканей, связочного аппарата;
- кровоснабжения спинного мозга и пр.
При расшифровке результатов МРТ позвоночника в поле зрения могут попасть изменения в соседних органах, врач обязательно отразит данную информацию в протоколе исследования.
Какой программой открыть МРТ снимки?

МРТ: перелом зубовидного отростка второго шейного позвонка (сагиттальная плоскость, Т2 ВИ)
Чтобы открыть МР-снимки, понадобится специальная программа (DICOM Viewer, RadiAnt и пр.), скачать которые можно в интернете. Иногда на электронном носителе есть файл для установки приложения: запустите его, следуя инструкции.
Необходимо вставить CD в дисковод или карту памяти в соответствующий слот компьютера. С последней может возникнуть проблема из-за отсутствия подходящего разъема, в такой ситуации потребуются дополнительные комплектующие - картридер и USB-провод.
После подключения электронного носителя нужно подождать некоторое время - операционная система должна обнаружить диск или карту и установить драйвер. На экране возникнет программа автозапуска, в которой следует открыть папку для просмотра файлов. Если этого не произошло, зайдите в меню “Пуск”, выберите “Мой компьютер”, после появления окна найдите “Устройства со съемными носителями” и щелкните по нему левой клавишей мышки.
Посмотреть фото МР-процедуры можно в виде отдельных изображений или серии кадров.
Как читать результаты МРТ позвоночника?

МРТ шейного отдела позвоночника: полулунные отростки (стрелка) в коронарной плоскости (Т2, STIR)
Выявить болезнь на ранней стадии - задача сложная даже для врача, но МРТ остается лучшим диагностическим инструментом для обнаружения мельчайших изменений в структуре позвоночника. Выпячивание диска на 1 мм свидетельствует о начавшемся патологическом процессе - протрузии. Если по мере прогрессирования заболевания нарушается целостность фиброзного кольца, говорят о грыже.
Дистрофические изменения, снижение высоты тел позвонков диагностируют преимущественно у возрастных пациентов, страдающих остеохондрозом. Малоподвижный образ жизни, чрезмерные физические нагрузки, ожирение, врожденные аномалии - основные предпосылки развития заболеваний опорного аппарата. Во время МР-сканирования позвоночного столба обследуют шейный, грудной, пояснично-крестцовый отделы. Врач определяет зону интереса на основании клинической картины.
Шейный и поясничный отделы у человека максимально подвижны, поэтому большинство патологических процессов локализуется в данных областях. МР-снимок визуализирует позвоночник в трех плоскостях: аксиальной, коронарной (фронтальной) и сагиттальной. Одна из них, в зависимости от характера подозреваемой патологии, основная, две другие - уточняющие. Возможность разносторонней оценки множества срезов толщиной от 1 мм позволяет выявить болезнь на стадии формирования. Если при расшифровке результатов МРТ позвоночника нет пороков развития, суставы и диски расположены на своем анатомическом месте, имеют нормальную структуру без костных разрастаний, нарушение кровоснабжения спинного мозга отсутствует - все в порядке.
КТ позвоночника что показывает

Компьютерная томография является одним из наиболее популярных видов изучения костных и хрящевых анатомических образований. Сканирование проводят с помощью рентгеновского излучения. Твердые ткани организма активно поглощают ионизирующие потоки, обеспечивая возможность детальной визуализации строения внутренних структур. КТ позвоночника проводят для определения состояния костных и хрящевых элементов, окружающих тканей, кровеносных сосудов.

Перелом грудного отдела (трехмерная и сагиттальная проекции)
В результате компьютерной томографии получают серию послойных изображений рассматриваемой зоны. Монохромные фотографии обладают высоким разрешением. В отличие от рентгенографии на снимках отсутствуют дефекты и тени от расположенных рядом структур. Изменение плоскости при реконструкции изображений позволяет тщательно изучить анатомические образования. Преимуществом КТ является возможность создания 3D-модели позвоночника.
Для усиления информативности сканирования используют контрастирование. В качестве “окрашивающего” вещества применяют раствор йода, обладающего высокой поглощающей способностью в отношении рентгена.
Что покажет КТ позвоночника?
Компьютерная томография визуализирует изменения строения анатомического образования. Позвоночник выполняет опорную, амортизирующую, двигательную и защитную функции. Сложный сустав образован 33-34 костными элементами, соединенными связочным аппаратом. Внутри позвоночного столба расположен канал, содержащий ликвор и церебральное вещество. От спинного мозга отходят парные нервные корешки. Амортизацию осуществляют хрящевые прослойки (диски).

Компрессионный перелом (показан стрелкой) поясничного отдела позвоночника
При развитии патологического процесса возникают структурные нарушения, аномалии формы и размеров морфологических элементов.
КТ позвоночника показывает:
плотность, однородность, высоту хрящевых дисков;
размеры, форму, расположение позвонков;
проходимость спинномозгового канала;
состояние магистральных кровеносных сосудов (сканирование шейного отдела);
особенности строения связочного аппарата, мышц спины.
С помощью компьютерной томографии позвоночника определяют локализацию, размеры, этап развития патологического процесса. В результате сканирования выявляют онкологические, дегенеративные, демиелинизирующие заболевания, воспалительные изменения тканей спины. На снимках хорошо видны структурные аномалии, нарушение целостности морфологических элементов сустава.
Показаниями к КТ позвоночника служат:
боли в спине, иногда с иррадиацией в грудину, верхние или нижние конечности;
признаки нарушения мозгового кровообращения;
деформация позвоночного столба;
слабость, нарушения двигательной функции рук и ног;
парестезии и судороги конечностей;
ограничение подвижности одного или нескольких отделов позвоночника.
Контрастная процедура показывает состояние сосудистой системы, позволяет диагностировать новообразования малого диаметра. При введении раствора йода на снимках хорошо просматривается структура мягкотканных образований, выделяются воспалительные очаги.
С помощью компьютерной томографии позвоночника выявляют:
грыжи, протрузии межпозвонковых дисков;
гематомиелии (кровоизлияния в полость спинномозгового канала);
переломы, трещины тел позвонков и остистых отростков;
разрывы связок, мышц, кровоизлияния в мягкие ткани спины;
добро- и злокачественные новообразования;
смещение тел позвонков относительно друг друга;
врожденные аномалии развития позвоночника;
компрессионные поражения спинномозговых нервных корешков;
патологические изгибы позвоночного столба.
Для изучения строения кровеносных сплетений, расположенных в мягкой оболочке спинного мозга, проводят контрастное сканирование. В результате диагностируют сосудистые патологии:
стенозы, тромбозы, эмболии позвоночных вен и артерий;
нарушение целостности сосудистой стенки при травмах;
ОНМК (острую недостаточность мозгового кровоснабжения);
сосудистые опухоли (гемангиомы);
врожденные аномалии строения кровеносного русла (мальформации, патологическая извитость и пр.);
компрессию спинного мозга при гематомиелии.
Компьютерная томография позвоночника показывает малейшие нарушения строения и функциональности суставных элементов. Трехмерное изображение при подготовке к хирургическому вмешательству позволяет локализовать патологический процесс, уточнить объем предстоящей операции.

Трехмерная реконструкция при КТ
Как проводится компьютерная томография позвоночника?
В зависимости от используемого оборудования различают линейную и спиральную КТ. Первую делают на томографе, который одновременно двигает датчики и рентгеновские излучатели в противоположные стороны. В фокусе оказывается зона, находящаяся в центре сканирующей системы. Структуры, расположенные выше или ниже основной оси, получаются размытыми. При линейной КТ позвоночника минимальная толщина среза составляет от 3 см.
Спиральная компьютерная томография предполагает вращение сканирующей системы (трубки + детекторы) вокруг стола с пациентом. Одновременно транспортер перемещается в горизонтальной плоскости внутри кольца аппарата.
Современные томографы делают 2 и более (8, 16, 64) снимков за полный оборот. Толщина сканируемого среза от 0,2 см. Такое исследование позвоночника называют мультиспиральная КТ.
Для повышения качества фотографий и предупреждения артефактов пациенту необходимо сохранять неподвижность на протяжении сеанса. Для этого тело и конечности фиксируют при помощи специальных валиков, креплений.

Компьютерная томография позвоночника
После подготовки пациента к процедуре врач и лаборант переходят в соседнее помещение, где расположены мониторы. Связь с больным поддерживают через микрофон.
Продолжительность исследования позвоночника зависит от того, как делают КТ. Нативная процедура занимает не более 10 минут. При необходимости введения контрастного раствора длительность сканирования увеличивается. После серии обычных снимков пациенту делают инъекцию йодсодержащего препарата. Вещество заполняет сосудистое русло в зоне интереса, после чего сеанс продолжается. КТ с контрастом занимает до 20 минут.
Детекторы фиксируют информацию о плотности структур позвоночника и транслируют данные для обработки компьютерной программой. На монитор поступают послойные снимки в аксиальной проекции. На основании полученных фотографий достраивают сагиттальную и фронтальную плоскости рассматриваемой области. При необходимости реконструируют 3D-изображение.
Вредно ли делать КТ позвоночника?
Компьютерная томография предполагает воздействие на организм пациента рентгеновских лучей. Радиационная нагрузка при МСКТ незначительна. Разработаны санитарно-гигиенические нормы, соблюдение которых обеспечивает безопасность здоровью обследуемого.
В год допустима лучевая нагрузка, не превышающая 5 мЗв (миллизивертов). В среднем разрешено проходить 2 КТ позвоночника в течение 12 месяцев.
Детский организм острее реагирует на воздействие ионизирующего излучения. Возрастные ограничения к назначению нативной КТ - 5 лет. Внутривенные инъекции контрастного препарата ребенку предусмотрены в условиях стационара. С 12 лет ограничения снимают, можно проводить компьютерную томографию в специализированных центрах с соблюдением мер безопасности.
Абсолютные противопоказания к КТ позвоночника:
беременность - ионизирующие потоки оказывают тератогенное влияние на плод;
лучевая болезнь и другие патологии, исключающие возможность применения рентгена.
При использовании контраста список ограничений расширяется:
непереносимость йода - возможны аллергические реакции;
гиперфункция щитовидной железы - инъекция контраста приводит к усилению симптомов тиреотоксикоза;
почечная недостаточность - при выведении “окрашивающего” раствора возрастает нагрузка на органы фильтрации;
сахарный диабет при лечении Метформином - одновременное использование йодсодержащего препарата с названным средством повышает концентрацию молочной кислоты в тканях.

Трещина (показана стрелкой) тела позвонка
При отсутствии противопоказаний МСКТ не оказывает негативного влияния на организм пациента.
Как следует готовиться к компьютерной томографии позвоночника?
КТ без контрастирования можно сделать в срочном порядке, в день обращения в клинику. На прием следует взять:
результаты более ранних исследований.
Пациент обсуждает со специалистом возможные противопоказания, предупреждает о сопутствующих заболеваниях и принимаемых лекарственных препаратах.
Женщина должна сообщить врачу о предполагаемой или наступившей беременности. В отдельных случаях для уточнения состояния проводят дополнительное обследование.
Компьютерная томография позвоночника с контрастом требует подготовки. Пациенты сдают тест на креатинин. Высокое содержание последнего в крови является признаком почечной недостаточности и служит противопоказанием к процедуре.
Больные с сахарным диабетом, принимающие Метформин, посещают эндокринолога. Препарат необходимо отменить за 3 дня до КТ с контрастным усилением.
Кормящим женщинам следует позаботится о питании для малыша. После процедуры нужно сцеживать грудь в течение 6-12 часов, молоко для кормления не использовать.

Сколиоз позвоночника на снимках КТ
Металлический пирсинг, украшения могут негативно влиять на качество изображения. Перед процедурой следует снять верхнюю одежду и аксессуары.
Что лучше МРТ или КТ позвоночника?
Магнитно-резонансная и компьютерная томография являются, при необходимости, взаимозаменяемыми методами. Наличие противопоказаний к КТ служит основанием для использования МР-процедуры и наоборот. Каждый вид инструментального сканирования имеет преимущества и недостатки. Выбор метода зависит от предварительного диагноза, области изучения, особенностей здоровья пациента. Что лучше применить для исследования позвоночника, КТ или МРТ, решает лечащий врач.
Сравнительная характеристика компьютерной и магнитно-резонансной томографии:
Высокая информативность в изучении состояния тел позвонков, остистых отростков, хрящевых дисков;
минимум противопоказаний к нативной процедуре;
продолжительность исследования (не более 20 минут)
Низкая информативность при исследовании мягких тканей спины, церебрального вещества и спинномозговой жидкости;
наличие вредной лучевой нагрузки на организм больного;
плохая переносимость контрастного препарата
Результативность при исследовании мышц, связок, клетчаточных пространств, содержимого спинномозгового канала;
отсутствие ионизирующего излучения;
гипоаллергенность и низкая токсичность контрастного раствора;
Продолжительность контрастной процедуры более 40 минут;
дискомфорт при обследовании на закрытых томографах (при помещении стола с пациентом в тоннель аппарата);
низкая информативность в отношении костных структур.
Клиника “Магнит” проводит нативную и контрастную КТ позвоночника на современном 16-срезовом томографе немецкой фирмы Siemens.

Перелом со смещением в области крестцово-копчикового отдела (компьютерная томография)
Читайте также:
