Рентгенограмма, КТ, МРТ, УЗИ при оссифицирующей фибромиксоидной опухоли
Добавил пользователь Morpheus Обновлено: 11.12.2025
Информацию из данного раздела нельзя использовать для самодиагностики и самолечения. В случае боли или иного обострения заболевания диагностические исследования должен назначать только лечащий врач. Для постановки диагноза и правильного назначения лечения следует обращаться к Вашему лечащему врачу.
Для корректной оценки результатов ваших анализов в динамике предпочтительно делать исследования в одной и той же лаборатории, так как в разных лабораториях для выполнения одноименных анализов могут применяться разные методы исследования и единицы измерения.
Фиброма: причины появления, симптомы, диагностика и способы лечения.
Определение
Фиброма — это доброкачественное образование из волокон соединительной ткани, которая присутствует в каждом органе человеческого организма, поэтому фиброма может иметь любую локализацию. Фибромы бывают единичными или множественными (фиброматоз). Чаще всего эти новообразования поражают мягкие ткани конечностей и туловища, но также обнаруживаются во внутренних органах и полостях.
Причины появления фибром
Фиброма кожи встречается в любом возрасте, у лиц обоего пола и представляет собой хорошо отграниченный и четко выраженный узел, который возвышается над поверхностью кожи, часто имеет ножку и расположен на поверхности тела или слизистых оболочках. В зависимости от соотношения опухолевых клеток и коллагеновых волокон различают мягкую фиброму (фибропапиллому) и твердую (дерматофиброму). Мягкая фиброма считается молодым новообразованием и по мере старения превращается в твердую. Часто появляется на коже лица, спины, ног, головы. Мягкие фибромы у ребенка встречаются в основном в области гениталий и заднего прохода. Опухоль, как правило, не перерождается в злокачественную, растет медленно и может достигать огромных размеров. Не причиняет пациенту никакого дискомфорта, кроме эстетического.

Фиброма (фибромиома) матки формируется из соединительной ткани и мышечных волокон. К причинам образования фибромы матки относят хронические воспаления половых органов, аборты, нерегулярные половые отношения, тяжелые или поздние роды, стрессы, эндокринные заболевания, в том числе сахарный диабет.
Фиброма (фиброаденома) молочной железы имеет железистую природу с преобладанием соединительной ткани, которую связывают с изменениями гормонального фона в различные периоды жизни женщины. Существуют две гистологические формы опухоли - околопротоковая и внутрипротоковая.
Фиброма яичника развивается из его стромы («поддерживающих» клеток яичника), не проявляет гормональной активности. Развивается в среднем возрасте на фоне сбоев менструального цикла и нарушений детородной функции. Часто сочетается с поликистозом яичников или фибромой матки. Может быть отграниченной (с четко выраженной капсулой, отделяющей ее от овариальной ткани) и диффузной (яичник поражен полностью).
Подошвенная фиброма возникает из группы эластичной соединительной ткани, называемой подошвенной фасцией, которая поддерживает свод стопы.

Фибромы на десне не опасны, характеризуются медленным ростом. Чаще всего их причиной становится травма десны из-за неправильно установленного протеза, а у ребенка может - из-за неправильного ношения пластинки. Причинами развития также является воспаление, пародонтоз, гингивит и другие заболевания полости рта.
Фиброма гортани возникает на голосовых связках и опасна для жизни, так как может привести к остановке дыхания.
Фибромы желудка и других органов желудочно-кишечного тракта образуются на слизистых оболочках.
Фиброма костей характеризуется очаговой резорбцией (рассасыванием) кортикального слоя отдела трубчатой кости с замещением его на фиброзную. Образуется в бедренной, берцовой, плечевой и пяточной костях. Чаще всего встречается у детей и подростков. Во многих случаях приводит к патологическим переломам.
Ангиофиброма состоит из множества расширенных сосудов. Эта вазоактивная опухоль встречается в основном у подростков мужского пола.
Предрасполагающими факторами развития фибромы считают воспалительные процессы, микротравмы, укусы насекомых, предшествующие инфекционные заболевания, паразитарные и глистные инвазии, прием бета-блокаторов.
У женщин фибромы развиваются в основном под влиянием гормональных факторов. Они часто сочетаются с разрастанием других тканей: сосудистой (ангиофиброма), мышечной (фибромиома), железистой (фиброаденома) либо жировой (фибролипома).
Фибромы у мужчин чаще возникают вследствие избыточных нагрузок, воздействия неблагоприятных факторов внешней среды и вредных привычек.
Факторами риска возникновения фибромы у детей считают наследственную предрасположенность, излишнюю потливость, неправильный рацион питания, гормональные сбои, длительное пребывание на солнце.
Классификация заболевания
Для фибром не существует системы классификации. На основании патофизиологии и локализации опухоли фибромы рассматривают следующие формы:
- фибропапиллома - мягкая фиброма, состоящая из множества рыхло связанных клеток и меньшего количества фиброзной ткани;
- дерматофиброма - твердая фиброма, единичное или множественное образование внутрикожной локализации, подвижное и безболезненное при прощупывании, с неизмененным цветом, состоит из множества волокон и нескольких клеток. Особой формой является келоид, возникающий в результате гиперпластического разрастания рубцовой ткани;
- кистозная фиброма имеет центральное размягчение или расширение лимфатических сосудов;
- миксофиброма возникает в результате разжижения подлежащих мягких тканей;
- цементно-оссифицирующая фиброма твердая и волокнистая, чаще всего наблюдается на челюсти или во рту, иногда формируется как следствие перелома или другой травмы;
- хондромиксоидная фиброма - редкая хрящеобразующия опухоль;
- десмопластическая фиброма - редкая локально агрессивная внутрикостная опухоль;
- неоссифицирующая фиброма - доброкачественный фиброзный дефект костной ткани;
- оссифицирующая фиброма - редкое фиброзно-костное доброкачественное новообразование у детей и лиц молодого возраста;
- перифолликулярная фиброма - представляет собой куполообразный очаг, состоящий из одного или нескольких волосяных фолликулов;
- фиброма сухожильного влагалища - узелки, состоящие из мягких, тонких, веретенообразных клеток (миофибробластов), на пальцах рук или ступней;
- нейрофиброма - доброкачественная опухоль нервной оболочки периферической нервной системы;
- десмоидная фибриома - редко встречается, происходит из избытка волокон коллагена и дифференцированных фибробластов, часто прогрессирует и рецидивирует. Образуются в мягких тканях, забрюшинном пространстве или на брюшной стенке. Распространенные места для таких опухолей - шрамы от кесарева сечения или операций;хондриомиксомы - редкие опухоли, которые поражают костную ткань - края трубчатых костей, таз, ребра, позвонки, стопы, плюсну;
- ангиофибриомы в области щек и носа, содержащие небольшие бугорки с соединительно-тканными волокнами.
Симптомы фибромы разнятся в зависимости от локализации новообразования.
Основным признаком дерматофибромы является появление нароста в виде сферического узелка, возвышающегося над поверхностью кожи на широком основании либо на ножке. Симптомы связаны с дискомфортом, могут появляться и исчезать. К ним относятся: изменение цвета кожи, зуд, периодическая припухлость над опухолью, возможное кровотечение при травме опухоли, повышенная чувствительность при прикосновении. Поверхность дерматофибромы обычно гладкая, но иногда на ней бывают бородавчатые образования.
Общие симптомы фибромы матки: обильные или продолжительные менструальные выделения, аномальное кровотечение между менструациями, боль в области таза, частое мочеиспускание, люмбаго, боль во время полового акта, бесплодие.

Размеры фибромы яичников обычно не превышают 12 сантиметров. Симптомы при фиброме яичников более 5 см включают в себя ноющие боли внизу живота, вздутие и припухлость, отдышку, усталость.
Обычно перед менструацией фиброма молочной железы обуславливает чувство распирания внутри груди.
Фиброма желудка больших размеров проявляется постоянным чувством тяжести, рвотой, частой отрыжкой, кровотечениями.
Частые симптомы при фиброме гортани: хрипота, осиплость или утрата голоса, боль в шее, чувство инородного тела, кашель.
Для подошвенной фибромы характерны следующие симптомы: твердая шишка в своде стопы, боль при надавливании, стоянии или ходьбе, возникновение дополнительных фибром со временем.
Фибромы, образовавшиеся на внутренних органах, зачастую не дают о себе знать, поэтому обнаруживаются случайно либо при развитии каких-либо осложнений.
Диагностика фибром
Основополагающим исследованием дифференциальной диагностики и исключения злокачественного процесса является гистологическое исследование биопсийного материала и иммуногистохимическое исследование, дополненные молекулярными методами.
Взятие биоматериала оплачивается отдельно. Согласно требованиям п. 17 Правил проведения патолого-анатомических исследований, утв. Приказом Минздрава Росс.
Показывает ли МРТ онкологию
Все клиники сети ЦМРТ оснащены современным высокоточным оборудованием. МРТ и другие виды диагностики проводят опытные и квалифицированные специалисты.
Консультация специалиста после диагностики со скидкой 50%.

Магнитно-резонансная томография играет важную роль в обнаружении опухолевых процессов различной локализации. Высокая детализация внутренних структур позволяет выявить рак на ранней стадии, что важно для прогноза. Лечением опухолевой патологии занимается онколог.
Можно ли на МРТ увидеть рак? Магнитно-резонансное сканирование особенно эффективно при обнаружении некоторых типов опухолей головного и спинного мозга, первичных новообразований костей, сарком мягких тканей. При раке шейки матки, мочевого пузыря МР-исследование лучше, чем КТ показывает, насколько глубоко новообразование проникло в соседние структуры, является ли ткань опухолевой или рубцовой.
Рассказывает специалист ЦМРТ
Дата публикации: 10 Ноября 2021 года
Дата проверки: 30 Ноября 2021 года
Содержание статьи
Показывает ли МРТ рак?
Пациенту с подозрением на онкологический процесс МРТ назначают в качестве первичной диагностики, для определения стадии рака, измерения кровотока. Результаты сканирования помогают онкологам планировать лечение — например, хирургическое вмешательство или лучевую терапию, своевременно выявить рецидив: продолженный рост опухоли, метастазирование.
"МРТ — высокочувствительный метод, основанный на анатомической и функциональной информации, поэтому он часто выявляет злокачественные изменения, которые не проявляются в клинических тестах или плохо определяются другими методами визуализации. Таким образом, МРТ является лучшим инструментом для обнаружения и оценки опухоли на начальной стадии заболевания."
Marcos Fernando de Lima Docema, Paulo Aguirre Costa, Felipe Eduardo Martins de Andrade etc. Magnetic resonance imaging-guided occult breast lesion localization and simultaneous sentinel lymph node mapping. World Journal of Surgical Oncology, №12, 2014
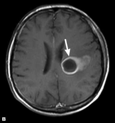
Как выглядит злокачественная опухоль на МРТ
По снимкам можно предположить зло- или доброкачественный потенциал новообразования, окончательная верификация диагноза подразумевает биопсию. Косвенные признаки, свидетельствующие об озлокачествлении:
- размытость контура, отсутствие визуализации четкой границы между опухолью и соседними тканями
- неоднородность структуры: очаги некроза, множественные кисты, отложение кальция и пр
- избыточное развитие сосудистой сети, множественные анастомозы, явная задержка контрастного вещества
- перифокальный отек в виде размытого ореола вокруг очагового образования, зоны некроза (омертвения)
- пораженные лимфатические узлы — опухолевая лимфаденопатия
Как выглядят метастазы на МРТ
Видны ли метастазы на МРТ, зависит от их размеров: МР-изображения показывают очаги более 1,5-2 мм, меньшие отсевы опухоли обнаруживает ПЭТ-КТ.
На снимках метастазы выглядят, как очаговые неоднородные образования, единичные или множественные, с тенденцией к слиянию, может присутствовать зона некротизации. Пораженный лимфатический узел чаще округлой формы, увеличен в размерах. Для лучшей визуализации используют контрастное вещество на основе солей гадолиния.
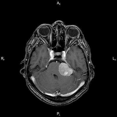
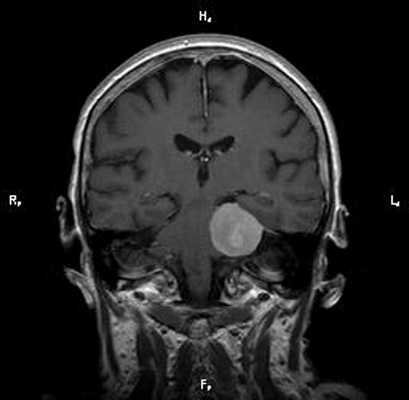
Пациент Р. 62 лет
Проблема: жалобы на частые головные боли, снижение слуха (левое ухо), а также шум в ушах (больше слева). Пациент был направлен на МРТ головного мозга в ЦМРТ с целью уточнения диагноза.
Диагноз: Онкология. Менингиома мосто-мозжечкового угла
Врач ЦМРТ
При МРТ головного мозга в левом мосто-мозжечковом углу определялось больших размеров округлой формы внемозговое патологическое образование, с четкими ровными контурами, широким основанием, прилежащее к твердой мозговой оболочке. После внутривенного контрастирования отмечалось равномерное, выраженное усиление интенсивности МР-сигнала от вышеописанного образования, а также твердой мозговой оболочки. Пациенту был поставлен диагноз (менингиома левого мосто-мозжечкового угла).


Какая МРТ покажет онкологию?
Для получения диагностически ценных результатов необходимо пройти обследование на оборудовании экспертного класса с напряженностью магнитного поля 1,5-3,0 Тесла. Наиболее информативна — мультипараметрическая МРТ. Если нет противопоказаний — аллергии на гадолиний, продвинутой стадии почечной недостаточности — магнитно-резонансную томографию в онкологической практике выполняют с контрастированием.
Особенности проведения МРТ при онкологии
Диагностическая процедура безболезненна и обычно длится 30-60 минут, в зависимости от области интереса. Особенной подготовки не требуется. Важно информировать врача о перенесенных операциях, установленном оборудовании: кардио-, мио-, нейростимуляторах, постоянных протезах, помпах для подачи лекарств, металлических имплантатах и пр.
Не забудьте взять с собой результаты ранее выполненных исследований, выписки из стационара, заключение онкоконсилиума.
Описание МРТ- снимка в ЦМРТ
В сети клиник ЦМРТ при неоднозначных результатах магнитно-резонансной томографии можно получить услугу “Второе мнение”: сделанные ранее снимки опишет опытный рентгенолог без учета имеющегося заключения. Мера позволяет уточнить диагноз. В сложных случаях данные анализируют коллегиально.
КТ, МРТ, УЗИ, рентген - обзор методов исследования

В медицинских центрах СПб в арсенале у врачей есть несколько методов высокотехнологического обследования. Их принято разделять на инвазивные (с проникновением внутрь организма или подкожного покрова) и неинвазивные. КТ, МРТ, УЗИ, рентген относятся к основным неинвазивным видам диагностики. Однако принцип визуализации и физика процесса у каждого из этих способов сканирования разная, поэтому и зоны их приоритетного применения отличаются.
Что покажет рентген

Рентген - это самый широко доступный тип обследования. В Санкт-Петербурге его можно сделать быстро на платной или бесплатной основе как в частных, так и в государственных клиниках и больницах. Основная задача рентгенографии - дать общее представление об изменении структуры органов и костной ткани. С помощью рентген-аппарата врач может хорошо визуализировать:
- инородные тела;
- переломы;
- воспаление легких;
- рак молочной железы;
- туберкулез.
Основное преимущество рентгенографии заключается в том, что это быстрый и дешевый метод сканирования. Однако по точности и диагностической ценности он безусловно уступает как УЗИ, так и таким высокотехнологичным методам исследования, как МРТ и КТ.
В основе физики работы рентген-аппарата лежат просвечивающие способности рентгеновских лучей. Получение плоского двухмерного изображения основано на ослаблении рентгеновского излучения при его прохождении через различные ткани. При рентген-сканировании пучок излучения, проходя через ткани организма, которые обладают различной плотностью, рассеивается и тормозится. Таким образом, на пленке возникают изображения разной степени интенсивности. Лучевая нагрузка при рентгенографии небольшая, но она всегда есть и может составлять от 0,1 до 1 мЗв. Поэтому рентгенография запрещена для беременных женщин, а здоровому человеку рентген можно делать 1- 2 раза в год.
Кроме дозы облучения у рентгеновского сканирования есть один существенный диагностический недостаток - плоская картинка. Поскольку рентген изображения - это тень ткани на пленке, объемно оценить органы и структуры человеческого тела с помощью рентгена не получается.

ЗАПИСЬ НА ПРИЕМ
Что покажет компьютерная томография
КТ или компьютерная томография - это еще одно рентгенографическое обследование, но его диагностические способности существенно выше обычного рентгена. Достигается это за счет того, что датчик, излучающий рентген лучи, движется вокруг области обследования по 360-градусной траектории. Так получаются многочисленные снимки, которые компьютер томографа выстраивает в трехмерные изображения - томограммы обследуемой области. КТ хорошо показывает:
- опухоли;
- все костные ткани - кости, череп;
- лор-заболевания;
- причину почечной колики;
- инородные тела;
- повреждения органов из-за внешних травм;
- внутренние кровотечения;
- причины “острого живота”.
С помощью компьютерной томографии в медицинских центрах СПб проводят скрининг рака легких у курильщиков. Такая томография позволяет выявить в 2 раза больше опухолей на ранней стадии. Простая флюорография (на базе рентгена) рак легких не показывает, поскольку плоскостное изображение не видит маленькие очаги опухоли, а вот на КТ можно визуализировать новообразование до 1 мм величиной.
С появлением на рынке низкодозных компьютерных томографов стало возможным проводить пан-КТ- или КТ всего тела. Такое тотальное сканирование человека от макушки до пяток позволяет врачам сразу найти патологические области, особенно после автотравмы и множественных повреждений.
Основной недостаток КТ - это высокая лучевая нагрузка, которая при некоторых обследованиях может доходить до 15 мЗв. Поэтому, в отличие от МРТ и УЗИ, КТ следует делать только по показаниям и направлению врача. Здоровым пациентам компьютерную томографию не рекомендуется делать чаще, чем 1 раз в год. Его нельзя проводить беременным женщинам, а детям малого возраста по возможности КТ следует заменять безопасными УЗИ и МРТ.
Что показывает МРТ
Магнитно-резонансная томография или МРТ - это сфокусированный метод, который проводит очень детальное обследование. Диагностическая точность МРТ превышает УЗИ и во многих случаях КТ, за исключением сканирования полых органов (легких, желудка, кишечника) и костей. МРТ является золотым стандартом диагностики:
- заболеваний головного и спинного мозга;
- патологий суставов;
- межпозвоночных дисков;
- сердца и сосудов;
- болезней гинекологического, проктологического и урологического характера.
В отличие от быстрого КТ и УЗИ, магнитно-резонансное обследование требует времени - в среднем пациенту нужно лежать в томографе и соблюдать неподвижность 30-60 минут.
Принцип работы МРТ основан на эффекте ядерного магнитного резонанса. МР томограф в своей конструкции имеет мощный магнит, который создает магнитное поле, и датчик, который подает радиочастотные сигналы. В такой ситуации протоны атомов водорода начинают колебательные движения, выделяя при этом импульсы. Их улавливает компьютер томографа и преобразовывает в трехмерные изображения. Чем больше воды содержится в клетках ткани, тем детальней получается ее изображение. Поэтому на МРТ хорошо отображаются органы с большим содержанием воды: МРТ головного мозга, МРТ спинного мозга, МРТ глазных орбит, МРТ органов малого таза, МРТ позвоночника, МРТ суставов, и плохо визуализируются органы с большим содержанием воздуха МРТ органов грудной клетки или кости.
Основы преимуществом МРТ перед КТ и рентгеном является отсутствие в ходе сканирования какого-либо излучения. А вот недостатком этого метода диагностики будет ряд ограничений - наличие ферромагнитного металла в теле пациента и имплантированных в организм водителей ритма, несовместимых с МРТ.



Что покажет УЗИ
Ультразвуковое исследование или УЗИ - это широко распространенный вид обследования, активно применяемый в диагностических центрах СПб. В ходе данной процедуры диагностика проводится с помощью ультразвуковых волн. Проходя через границы тканей различной плотности, ультразвук по-разному отражается от них. Ультразвуковая установка имеет датчик, который посылает ультразвуковой сигнал, а затем фиксирует ответ и переводит его в графическое изображение. Таким способом врачи могут хорошо обследовать:
- органы малого таза;
- органы брюшной полости;
- лимфоузлы и молочные железы;
- мягкие ткани;
- сосудистую систему.
К сожалению, серьезным препятствием для ультразвука являются кости, через которые сигнал пробиться не может. Поэтому малоинформативным является
- УЗИ головного мозга
- УЗИ сердца
- УЗИ органов средостения
- УЗИ позвоночника.
Основным достоинством УЗИ является отсутствие каких-либо противопоказаний и ценовая доступность. По диагностической ценности и точности УЗИ безусловно уступает МРТ и КТ, однако является приоритетным профилактическим и скрининговым методом обследования для многих заболеваний, включая патологии мочеполовой системы у мужчин и женщин, рака молочных желез и органов брюшной полости, воспалений мягких тканей.
Можно ли делать МРТ и рентген в один день
МРТ и КТ, а также МРТ и рентген в один день делать можно. Магнитно-резонансная томография не несет в себе никакой лучевой нагрузки, поэтому ее можно совмещать с любым видом обследования, будь то рентгенография или ультразвуковое сканирование. Однако нельзя в один и тот же день делать несколько КТ или КТ и рентген. Каждый из этих видов обследования имеет лучевую нагрузку от 0,1 до 10 мЗв, которая суммируется как превышающая доза радиации при многократном исследовании.
Доброкачественная и злокачественная опухоли на МРТ: как их различать?
В настоящее время МРТ является одним из наиболее эффективных методов диагностики и оценки опухолей любого характера, размера и локализации.
Есть два важных момента, на которые обязательно стоит обратить внимание при планировании МРТ диагностики и последующего лечения, независимо от того, доброкачественная опухоль или злокачественная.

- При подозрении на опухоль проводится МРТ с контрастом. Врач-рентгенолог может предложить контрастирование, даже если оно не было запланировано лечащим врачом, поскольку такая необходимость может возникнуть во время проведения МР-томографии. Отказываться от контраста не стоит, поскольку он позволяет дать более точную характеристику опухоли, а это крайне важно для дальнейшей постановки диагноза и выбора терапии.
- МРТ не может предоставить абсолютно всех сведений, касающихся опухоли, поэтому для ее гистологической верификации может понадобится биопсия, выполняемая после МРТ.
В зависимости от гистологической верификации разного типа опухоли на МРТ выглядят по-разному.
Доброкачественная опухоль на МРТ

Доброкачественные опухоли чаще всего характеризуются однородной структурой, из-за экспансивного роста имеют четкие, ровные контуры, вокруг таких новообразований отсутствует перифокальный отек. Кроме того, доброкачественные образования не накапливают или слабо накапливают контрастирующий препарат.
Злокачественная опухоль на МРТ

Злокачественные опухоли характеризуются инвазивностью, то есть врастанием в здоровые ткани, поэтому контуры таких образований нечеткие и неровные, а потому достоверно определять границы таких опухолей довольно сложно. Кроме того, структура злокачественной опухоли часто бывает неоднородна за счет распада (некроза), кровоизлияния и коллоидной дегенерации. Вокруг злокачественной опухоли, как правило, выявляется выраженный перифокальный отек, который может приводить к смещению срединных структур головного мозга и появлению аксиальной дислокации. Также могут быть выявлены признаки метастазирования.
Независимо от проведенной МРТ, выявившей опухоль с признаками доброкачественности или злокачественности, может потребоваться гистологическая верификация (биопсия), которая подразумевает извлечение небольшого кусочка ткани исследуемой области под контролем МРТ, КТ или УЗИ.
Пациентам: КТ, МРТ, УЗИ, рентген. Что проверяют сканированиями?

Работать с заболеваниями внутренних органов особенно трудно, поскольку их нельзя увидеть. Раньше врачам приходилось лечить пациентов в прямом смысле “вслепую”, поскольку исследовать внутренние органы человека можно было только в процессе хирургического вмешательства. Сейчас врачам не обязательно брать в руки скальпель, провести диагностику помогают различные виды сканирований. Правда, пациенты относятся к такого рода обследованиям с опаской. Дело и в высокой стоимости некоторых процедур, и в страхе перед облучением. Давайте попробуем разобраться, в чём заключаются особенности тех или иных сканирований и когда к ним стоит прибегать.
Рентген
Наиболее старый и привычный метод визуализации человеческого тела. Применяют рентген повсеместно, от хирургии до стоматологии. Метод прост и понятен: человека облучают особыми лучами, которые легко проходят сквозь мягкие ткани и задерживаются в твёрдых. Благодаря этому принципу, на фотоплёнку или датчик, расположенные на противоположной от источника лучей стороне, передаётся изображение, а в распоряжение врача попадает рентгенография или рентгеноскопия.
Главные плюсы такого обследования: быстрота и стоимость. Рентгеновскими аппаратами оснащены практически все больницы, процедура проходит быстро и стоит недорого.
Главные минусы: облучение и качество изображения. При проведении рентгенографии пациент облучается, а картинка получается двумерной. Врач с трудом может разглядеть внутренние органы по отдельности, поскольку их тени перекрывают друг друга. Также невозможно детально разглядеть хрящевую ткань и мозг. Хрящи практически не задерживает лучи, мозг надёжно закрыт черепной коробкой. Для их исследования рентгенография не подойдёт.
Наиболее эффективно будет проводить рентгенографию при повреждениях костей, суставов и зубов.

Флюорография
Ещё один тип обследования, которому регулярно все жители нашей страны. Флюорографию “изобрели” почти сто лет назад. Это своего рода ускоренная рентгенография. Учёные предложили фотографировать экран с изображением, полученным при рентгенографии. Это позволило сделать процедуру более быстрой и массовой. Скрининг-тесты начали делать всем, чтобы выявлять скрыто протекающий туберкулёз лёгких.
Главный плюс процедуры — быстрота, главный минус — качество изображения. Пациент также получает дозу облучения, а врач довольно размытую картинку, поэтому флюорографию рекомендуется дополнять анкетированием и лабораторными тестами на наличие туберкулёза.

Маммография
Отдельный вид рентгенографии, разработанный для диагностики заболеваний молочной железы, поэтому проходят маммографию женщины. О рекомендуемом возрасте для проведения процедуры единого мнения нет. Маммография помогает убедиться в отсутствии злокачественной опухоли с точностью до 89%. Считается, что женщины должны проходить обследования регулярно, начиная с 39 лет, хотя некоторые онкологические сообщества рекомендуют обследоваться с более молодого возраста.
Маммографию назначают для диагностики рака молочной железы, процедура проходит быстро, это плюс, но пациентку облучают, а риск неверного диагноза остаётся, это минус. Маммография может быть цифровой и плёночной, цифровая маммография обеспечивает получение более чёткого снимка.

Компьютерная томография (КТ)
Компьютерная томография тоже осуществляется по принципу рентгенографии, но в результате врач получает не плоскую двухмерную картинку, а трёхмерное изображение. Это достигается путём одновременного создания большого числа снимков, которые собираются в единое изображение. Датчики компьютерного томографа обладают высокой чувствительностью и различают огромное количество оттенков, поэтому врач может детально рассмотреть все кости и органы пациента. Дополнительно повысить качество изображения можно, если ввести пациенту специальное вещество, так называемый “контраст”. Контраст помогает отличить здоровые ткани от изменённых и обнаружить аномальные структуры в организме, а также даёт возможность детально изучить состояние сосудов. КТ с контрастом назначают не в каждом случае, часто достаточно простой компьютерной томографии.
КТ делается быстро, с его помощью проводить скрининг на рак лёгких. Также можно использовать компьютерную томографию непосредственно во время проведения хирургических операций.
Недостатками КТ можно считать высокую лучевую нагрузку на пациента. Поэтому КТ не назначают беременным женщинам, детям и пациентам с избыточным весом (более 200 килограмм).

Ультразвуковое исследование (УЗИ)
Главное преимущество такого способа исследования — безопасность. УЗИ можно делать даже беременным женщинам, кроме того, приборы УЗИ-приборы мобильны, их легко можно поставить в палате пациента, чтобы наблюдать за состоянием органов и кровотока в режиме реального времени.
Однако УЗИ не может обеспечить картинку высокой чёткости, поэтому использование этого метода исследование ограничено, например, при помощи УЗИ нельзя диагностировать заболевания ЖКТ.

Магнитно-резонансная томография (МРТ)
Принцип МРТ основывается на свойстве ядер атомов реагировать на сильное магнитное поле. Расчёт идёт на реакцию ядер водорода, которых много в составе молекул воды, а тело человека, как известно, на 60% состоит из воды. Попадая в магнитное поле, ядра атомов ориентируются вдоль него, их можно возбуждать и фиксировать энергию, которые они будут отдавать при ослаблении воздействия, т.е. “расслаблении”. Компьютерный анализ позволяет преобразовать полученную информацию и определить расположение, плотность и структуру тканей в организме.
МРТ позволяет “разглядеть” хрящи, мягкие ткани и мозг человека, при этом не оказывая вредного воздействия, поэтому процедуру можно проводить всем и сколько угодно раз. Однако исследование занимает много времени, кроме того, томографы закрытого типа могут вызывать приступы клаустрофобии. Правда, есть аппараты открытого типа. Нельзя проводить процедуру МРТ людям, у которых в тело вживлены электроприборы (например, кардиостимуляторы) или металлические имплантаты.
МРТ будет эффективно при исследовании опухолей, мозга и аномалиях развития сосудов.

Сцинтиграфия, ОФЭКТ, ПЭТ
Пожалуй, это одни из самых редких процедур нашего списка. Эти методы обследований основаны на лучевой диагностике, только используется она наоборот. Пациента не облучают снаружи, а вводят ему специальный радиоактивный препарат, чтобы заставить “светиться изнутри”. Сначала учёными была придумана и опробована сцинтиграфия. С её помощью удавалось получить двухмерные изображения. Затем исследования пошли дальше и была изобретена однофотонная эмиссионная компьютерная томография (ОФЭКТ), а вслед за ней и позитронно-эмиссионная томография (ПЭТ). Разница между этими методами скорее техническая, в них используются разные радиофармпрепараты и разные типы детекторов, которые фиксируют излучение из тела пациента.
Возникает вопрос: “Зачем такие сложности?”. Дело в том, что благодаря этим процедурам на снимках можно увидеть образования, которые не видны на снимках, полученных путём внешнего облучения. Метастазы и опухоли могут появляться внутри костей или органов и долгое время не проявляться. Радиофармпрепарат вводится внутрь организма и накапливается в тканях, что позволяет “подсветить” определённые участки.
Основной минус этого метода обследования — стоимость. Радиофармпрепарат разрабатывается индивидуально для каждого пациента, кроме того, пациент получает лучевую нагрузку, да и сама процедура более сложная, нежели те, которые мы описывали ранее. Однако в некоторых случаях без неё не обойтись, например, при онкологических и неврологических заболеваниях, диагностике болезней сердца и щитовидной железы.

Гибридные методы визуализации
Наверное, наука не была бы наукой, если бы постоянно не двигалась вперёд и не пыталась создавать новое из старого. Так, врачи начали объединять различные методы сканирования, чтобы получить ещё более подробное и качественное изображение. ПЭТ и ОФЭКТ объединяют с КТ, МРТ дополняют ПЭТ. Такие эксперименты стоят недёшево, но иногда могут помочь принять решение о дальнейшем лечении пациента.
Читайте также:
