Рентгенограмма, КТ при переломе нижней челюсти
Добавил пользователь Дмитрий К. Обновлено: 22.01.2026

Рентгенография и КТ костей являются аппаратными методами диагностики перелома костей. Исходя из первичных симптомов, истории болезни, противопоказаний и диагностических целей, врач травматолог назначает необходимые способы обследования. В большинстве случаев, рентгенография костей выбирается как первичный метод диагностики. Если результаты исследования носят тревожный или неясный характер, дополнительно назначается:
Перелом - это сломанная кость. Состояние может варьироваться от тонкой трещины до полного разрушения костной ткани. Кость может ломаться поперечно, продольно, в нескольких местах или на множество осколков.Большинство переломов происходит, когда кость подвергается механическому воздействию, превышающему ее предел прочности. При подозрении на перелом следует незамедлительно обратиться за медицинской помощью к травматологу.
Симптомы перелома костей
Большинство переломов сопровождаются сильной болью при первоначальном повреждении. Состояние может ухудшиться при движении или прикосновении к травмированной области. В некоторых случаях пострадавший может потерять сознание от боли. Дополнительно могут возникнуть головокружение или озноб от шока.
Другие возможные симптомы перелома:
- щелчок или скрежещущий звук при травме
- отек, покраснение и кровоподтеки в поврежденной области
- видимая деформация в области травмы.
В некоторых случаях сломанная кость может торчать наружу, разорвав кожу. Данное состояние диагностируется, как открытый перелом.
Виды костных переломов
Переломы могут быть закрытыми и открытыми, а также неполными и полными.
Закрытый и открытый переломы костей
Закрытый перелом также называют простым. При закрытом переломе сломанная кость не повреждает кожу.При открытом переломе концы сломанной кости разрывают кожу. В итоге пациент подвергается более высокому риску заражения.
Неполный и полный переломы костей
При неполном переломе кость трескается, не пробиваясь насквозь. Типы неполного перелома:
- волосяной перелом, при котором на кости образуется тонкая трещина
- перелом “зеленой ветки”, при котором кость ломается только с одной стороны, другая сторона сгибается
- перелом пряжки или торуса, при котором кость ломается с одной стороны, а с другой образуется приподнятая шишка
При полном переломе кость разделяется на 2 части. Типы полного перелома:
- одиночный перелом, при котором кость ломается в одном месте на 2 части
- оскольчатый перелом, при котором кость ломается на 3 или более частей
- компрессионный перелом, при котором кость разрушается под давлением
- перелом без смещения, при котором кость распадается на части, при этом оставаясь в своем нормальном положении
- перелом со смещением — кость ломается на части, которые выходят из своего нормального положения
- сегментарный перелом — кость сломана в двух местах таким образом, что по крайней мере один сегмент выходит из нормального положения.
Неполные переломы кости чаще встречаются у детей. Их кости значительно мягче, чем у половозрелых пациентов. Полные переломы могут произойти в любом возрасте.
Причины перелома кости
Воздействие, вызывающее перелом, обычно возникает внезапно или очень интенсивно. Значение силы воздействия определяет тяжесть перелома. Некоторые распространенные причины переломов:
- падение
- прямые удары по телу
- травматические события, такие как автомобильные аварии или огнестрельные ранения
- травмы от занятий спортом.
Факторы риска
У пациентов с хрупкими костями с большей вероятностью произойдет перелом. Плотность костей может снизиться под воздействием следующих факторов:
- старение
- остеопороз
- эндокринные или кишечные расстройства
- прием кортикостероидов
- отсутствие нормальной физической активности
- злоупотребление алкоголем и табакокурением
К какому врачу обратиться при переломе кости
Диагностикой костного перелома занимается травматолог. В первую очередь травматологом выявляются основные симптомы, такие как боль при движении пораженной конечностью и снижение диапазона движений. Основным обследованием для выявления перелома кости является рентген. Рентген также помогает определить тип и местоположение перелома. В некоторых случаях врач может также назначить магнитно-резонансную или компьютерную томографию для исследования костей или окружающих тканей.
КТ или рентген при переломе костей - что лучше выбрать?
КТ и рентгенография - это два основных метода диагностики повреждений костных структур опорно-двигательного аппарата. Рентгенологические методы позволяют очень точно оценить состояние костной ткани, поэтому они будут предпочтительным видами диагностики костных переломов. Дополнительными преимуществами КТ и рентгенографии в диагностике перелома костей являются:
- продолжительность процедуры всего 2-3 минуты;
- проведение точного сканирования без хирургического вмешательства;
- отсутствие дискомфорта во время обследования;
- никаких требований к предварительной подготовке больного;
- быстрая доступность результатов сканирования.
По этой причине КТ и рентген является предпочтительной формой исследования в экстренных ситуациях, когда хирургу или травматологу необходимо принимать быстрые меры.
По сравнению с рентгеном, компьютерная томография костей носит более детальный и точный характер. С диагностической точки зрения томография имеет ряд преимуществ:
КТ или Рентгенография при переломе верхней и нижней челюсти - что покажет

КТ челюсти, рентгенография челюсти являются аппаратными методами диагностики перелома челюсти. Исходя из первичных симптомов, истории болезни, противопоказаний и диагностических целей, врач травматолог назначает необходимые способы обследования. В большинстве случаев рентгенография челюсти выбирается как первичный метод диагностики. Если результаты исследования носят тревожный или неясный характер, дополнительно назначается:
Перелом челюсти - это сломанная кость в зоне челюсти. Состояние может варьироваться от тонкой трещины до полного разрушения костной ткани. Большинство переломов происходит, когда кость подвергается механическому воздействию, превышающему ее предел прочности. При подозрении на перелом следует незамедлительно обратиться за медицинской помощью к челюстной-лицевому хирургу.
Симптомы челюстного перелома
Большинство переломов челюсти сопровождаются сильной болью при первоначальном повреждении. Состояние может ухудшиться при движении или прикосновении к челюстной области. Дополнительно могут возникнуть головокружение или озноб от шока. Другие возможные симптомы челюстного перелома:
- щелчок или скрежещущий звук при травме челюсти
- отек, покраснение и кровоподтеки в челюстной области
- видимая деформация челюсти.
В некоторых случаях сломанная кость челюстиможет торчать наружу, разорвав кожу. Данное состояние диагностируется, как открытый перелом.
Причины перелома челюсти
- падение на лицо
- прямые удары по челюсти
- травматические события, такие как автомобильные аварии или огнестрельные ранения
- травмы от занятий спортом.
- старение
- остеопороз
- эндокринные или кишечные расстройства
- прием кортикостероидов
- злоупотребление алкоголем и табакокурением.
КТ или рентген при переломе челюсти - что лучше выбрать?
КТ и рентгенография - это два основных метода диагностики повреждений костных структур челюсти. Рентгенологические методы позволяют очень точно оценить состояние костной ткани, поэтому они будут предпочтительным видами диагностики челюстных переломов. Дополнительными преимуществами КТ и рентгенографии в диагностике перелома являются:
По сравнению с рентгеном, компьютерная томография челюсти носит более детальный и точный характер. С диагностической точки зрения томография имеет ряд преимуществ:
- дает четкое и объемное, трехмерное изображение костей;
- существует возможность сделать трехмерные модели челюсти;
- результаты видны сразу в процессе обследования;
- врач может оценить к как костные, так и соседние мягко-тканные структуры конечностей без наложения изображения тканей одного на другое.
Какое обследование лучше выбрать при челюстном переломе?
Предпочтительная форма диагностики
Основные отличия между компьютерной томографии и рентгенографией
КТ обследование основано на рентгеновском излучении, когда на тело человека направляются рентгеновские лучи. Часть лучей задерживается в тканях, часть проходит сквозь тело. Разные ткани и органы по-разному задерживают Х-лучи: кости задерживают большую часть лучей, мягкие ткани - меньше, воздух слабо задерживает рентгеновские лучи. По этим данным датчик выстраивает трехмерное изображение исследуемой области.
Рентгенография основана на рентгеновском излучении, когда на тело человека направляются рентгеновские лучи. Часть лучей задерживается в тканях, часть проходит сквозь тело. Разные ткани и органы по-разному задерживают Х-лучи: кости задерживают большую часть лучей, мягкие ткани - меньше, воздух слабо задерживает рентгеновские лучи. По этим данным датчик выстраивает двухмерное изображение.
КТ обследование из-за лучевой нагрузки может быть опасным, и проходить данные обследования следует по назначению врача не чаще 1 раза в 6 месяцев.
Рентгенография из-за лучевой нагрузки может быть опасной, и проходить данные обследования следует по назначению врача.
КТ - скоростной виды диагностики, который можно сделать за 2-3 минуты. Поэтому КТ чаще используется при неотложной помощи.
Рентгенография или КТ при переломе черепа - что покажет
Рентгенография черепа и КТ черепа являются аппаратными методами диагностики перелома черепа. Исходя из первичных симптомов, истории болезни, противопоказаний и диагностических целей, врач нейрохирург или травматолог назначает необходимые способы обследования. В большинстве случаев, рентгенография черепа выбирается как первичный метод диагностики. Если результаты исследования носят тревожный или неясный характер, дополнительно назначается:
КТ или рентген при переломе черепа - что лучше выбрать?
КТ и рентгенография - это два основных метода диагностики повреждений черепных структур. Рентгенологические методы позволяют очень точно оценить состояние костной ткани, поэтому они будут предпочтительным видами диагностики переломов черепа. Дополнительными преимуществами КТ и рентгенографии в диагностике перелома являются:
По этой причине КТ и рентген является предпочтительной формой исследования в экстренных ситуациях, когда нейрохирургу необходимо принимать быстрые меры.
По сравнению с рентгеном, компьютерная томография черепа носит более детальный и точный характер. С диагностической точки зрения томография имеет ряд преимуществ:
- дает четкое и объемное, трехмерное изображение костей;
- существует возможность сделать трехмерные модели черепных пластин;
- результаты видны сразу в процессе обследования;
- врач может оценить к как костные, так и соседние мягко-тканные структуры конечностей без наложения изображения тканей одного на другое.
Какое обследование лучше выбрать при переломе черепа?
Перелом нижней челюсти - симптомы и лечение
Что такое перелом нижней челюсти? Причины возникновения, диагностику и методы лечения разберем в статье доктора Козлова Петра Юрьевича, стоматолога со стажем в 7 лет.
Над статьей доктора Козлова Петра Юрьевича работали литературный редактор Маргарита Тихонова , научный редактор Сергей Федосов

Определение болезни. Причины заболевания
Перелом нижней челюсти — это нарушение целостности кости в одном или нескольких отделах.

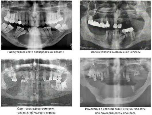
Наиболее частой причиной возникновения перелома нижней челюсти является травматический фактор. В ряде случаев речь может идти о патологическом переломе из-за деструктивных процессов в костной ткани. [1] К таким патологическим процессам относятся:
- кисты челюстей;
- остеомиелит (гнойное воспаление костных тканей);
- онкологический процесс.
Кисты челюстей в основной массе протекают бессимптомно, медленно, но верно разрешая костную ткань. Часто патологический перелом вызвают радикулярные (корневые) и фолликулярные кисты. [2] Первые связаны с изменениями в периапикальных тканях одного или нескольких зубов, вторые являются результатом нарушения прорезывания зубов, чаще нижних зубов мудрости.
При онкологическом процессе нижняя челюсть может быть как первичным очагом, так и местом метастазирования посредством либо прорастания из близлежащих областей, либо распространением с током крови или лимфы. [3] Патологический процесс распространяется до тех пор, пока не разрушит костную ткань нижней челюсти до той стадии, в которой обычное пережевывание пищи может перевести к перелому.

По собственным наблюдениям, считаю, что переломы нижней челюсти можно отнести к сезонным заболеваниям: пик частоты наступает с приходом весны, спад — ближе к зиме. Сезонность объясняется получением травмы в ходе драк, чаще уличных.
Остеомиелит челюсти - симптомы и лечение
Что такое остеомиелит челюсти? Причины возникновения, диагностику и методы лечения разберем в статье доктора Дунаевской Натальи Вадимовны, стоматолога-ортопеда со стажем в 16 лет.
Над статьей доктора Дунаевской Натальи Вадимовны работали литературный редактор Вера Васина , научный редактор Пётр Козлов и шеф-редактор Маргарита Тихонова
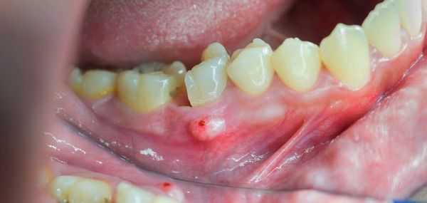
Остеомиелит челюсти (osteomyelitis of the jaws) — это гнойно-некротический процесс, который развивается в кости и костном мозге челюсти с вовлечением окружающих мягких тканей. Другое название заболевания — «некроз челюсти».
При острой форме остеомиелита в области повреждённого зуба возникает боль, которая усиливается при надавливании на челюсть. Наблюдается выраженный отёк, покраснение и припухлость, лицо становится несимметричным. Пациент жалуется на головные боли и общую слабость, температура тела повышается до 39 °C.
![Остеомилеит челюсти [19]](/pimg3/rentgenogramma-pri-perelome-DCB693.jpg)
Распространённость
Острым и хроническим остеомиелитом болеют люди всех возрастов и обоих полов. Однако чаще заболевание встречается у мужчин, потому что они, как правило, несвоевременно обращаются за медицинской помощью [8] . Средний возраст пациентов составляет 39 лет [7] .
Выделяют следующие виды остеомиелита челюсти:
- Одонтогенные — развиваются из-за инфекции в зубе и составляют 74,2 % от всех случаев остеомиелита [18] .
- Травматические — возникают после травмы, например при переломе челюсти. Зачастую заболевание развивается, когда пациент обращается в больницу только на 7-10-й день после повреждения [5] .
- Гематогенные — инфекция попадает с током крови из какого-либо органа. Встречаются при хронических и острых инфекциях: скарлатине, дифтерии и хроническом тонзиллите.
Согласно статистике, 15 % больных остеомиелитом поступают в отделение в состоянии алкогольного опьянения и при опросе указывают на частый приём алкогольных напитков, 13 % сейчас или в прошлом употребляли наркотики, следовательно страдают иммунодефицитами.
У 45,7 % больных остеомиелитом, поступивших в стационар, выявлено обострение хронического процесса и нагноение мягких тканей, из которых 47,6 % случаев составляют флегмоны, а 52,4 % — абсцессы.
У 13 % пациентов с остеомиелитом челюсти выявляются гепатиты В и С, а у 2 % — ВИЧ-инфекция [5] .
Причины остеомиелита челюсти
- Позднее обращение к стоматологу — зуб долго болел, но дискомфорт подавлялся домашними методами лечения, например полосканиями с содой и солью.
- Хронические инфекционные и вирусные болезни: тонзиллит, синусит, гайморит и ангина.
- Инъекции или переливание крови, при которых инфекция может попасть в кровоток. В стоматологии часто применяют плазмолифтинг — в область слизистой оболочки дёсен инъекционно вводят обогащённую тромбоцитами плазму собственной крови пациента. При нарушении правил безопасности микробы могут попасть в кровоток.
- Травматизм, частые переломы и ранения.
- Туберкулёз и сифилис суставов.
- Аллергия.
- Иммунодефицит на фоне заболеваний или длительного приёма некоторых препаратов, например при химиотерапии.
- Стрессы, физическое и нервное истощение. При длительном стрессе нарушаются защитные функции организма и человек становится восприимчивым к инфекциям [17] .
- В очень редких случаях — нарушение функции височно-нижнечелюстного сустава.
При обнаружении схожих симптомов проконсультируйтесь у врача. Не занимайтесь самолечением - это опасно для вашего здоровья!
Симптомы остеомиелита челюсти
Симптомы зависят от типа остеомиелита, течения болезни и степени поражения тканей.
Симптомы острой формы остеомиелита подразделяются на два вида:
- Местные симптомы:
- В области повреждённого зуба возникает боль. Она усиливается при ощупывании, постукивании и лёгком надавливании на челюсть и мягкие ткани. Неприятные ощущения чаще более выражены на участках рядом с больным зубом и снижаются при давлении на него.
- Поражённый зуб постепенно расшатывается, и возникает синдром «клавиш» — соседние зубы тоже становятся подвижными.
- Шейные и подчелюстные лимфатические узлы увеличиваются и болят.
- В некоторых случаях нарушается чувствительность губ и ухудшаются вкусовые ощущения.
- Общие симптомы:
- возникают головные боли, особенно в области висков;
- развивается общая слабость и утомляемость, нарушается сон;
- температура тела повышается до 39 °C.
После острой стадии наступает подострая. На десне образуется гнойничок или свищ, через который гнойные выделения и воспалительная жидкость выходят наружу.

Затем боль утихает, но очаг инфекции остаётся, поэтому сохраняется высокая температура и нарастает слабость. Если в этот период не обратиться к врачу, то инфекция распространится по всему организму и человек может погибнуть.
Хроническая форма длится от нескольких месяцев до нескольких лет. Описанные выше симптомы то появляются, то стихают или даже полностью исчезают. При длительном течении болезни зубы становятся подвижными, челюсть утолщается и могут измениться контуры лица.
Как правило, при хроническом остеомиелите пациенты не обращают внимания на болезненные симптомы, а повышение температуры и слабость связывают с простудными заболеваниями [4] .
Патогенез остеомиелита челюсти
Выделяют три теории происхождения остеомиелита:
- Инфекционно-эмболическая теория. Основоположники этой теории считали, что костная ткань воспаляется из-за нарушения кровоснабжения. Инфекция оседает в кровеносных сосудах и закупоривает мелкие капилляры. В результате этого питательные вещества и кислород не поступают к кости, возникает гнойное воспаление и некроз. Данная теория признана некорректной после того, как было подробно исследовано строение кровеносной системы, костей и окружающих тканей [7] .
- Нервно-трофическая теория. Её приверженцы полагают, что остеомиелит развивается при обострениях болезней зубов, например при периодонтите. Также к болезни приводят нарушения в работе иммунной системы. При частых обострениях заболеваний зубов наступает сенсибилизация — иммунные клетки перестают распознавать инфекцию и развивается гнойно-некротический процесс.
- Гематогенная теория. Первоначально воспаление развивается в костном мозге и проявляется отёком и покраснением кожи. Из-за отёка увеличивается внутрикостное давление и, как следствие, сдавливаются сосуды в костном канале. Это приводит к закупорке сосудов и развитию гнойно-некротического процесса [13][14][15] .
Остальные причины — травмы, аллергия, стрессы, нарушение функции височно-нижнечелюстного сустава — провоцируют развитие остеомиелита без хронического воспаления в зубе. Такой остеомиелит можно отнести к неодонтогенному: травматическому и аллергическому. Но и в этом случае заболевание развивается на фоне нарушенного движения крови по сосудам, ухудшения её свёртываемости и гнойно-некротических процессов.
Классификация и стадии развития остеомиелита челюсти
Остеомиелит классифицируют в зависимости от распространённости, источника инфицирования и рентгенологических признаков.
Виды остеомиелита челюсти
Отдельно выделяют нетипичный остеомиелит челюсти, когда процесс протекает бессимптомно: температура тела не повышается, костная ткань разрушается незначительно, свищи не образуются. Такую форму называют первично-хроническим остеомиелитом [7] [8] .
Стадии остеомиелита челюстей
- Острая — длится 14 суток.
- Подострая — наступает на 15-20-е сутки.
- Хроническая — от 30 суток до нескольких лет.
- Обострение хронического остеомиелита [8] .
Осложнения остеомиелита челюсти
Среди осложнений остеомиелита можно выделить местные и общие. Местные возникают непосредственно в полости рта, а общие затрагивают весь организм. Общие осложнения приводят к тяжёлым последствиям, долго лечатся и иногда заканчиваются гибелью пациента.
Местные осложнения:
- разрушение кости;
- выпадение зубов из-за увеличения их подвижности;
- хроническое воспаление в полости рта;
- появление кист внутри челюсти, что характерно для острой фазы заболевания;
- контрактура височно-нижнечелюстного сустава — состояние, при котором сложно или невозможно открыть рот; ;
- флегмона — разлитое гнойное воспаление мягких тканей;
- лимфаденит — множественное увеличение лимфатических узлов [4][9] .

Общие осложнения:
Диагностика остеомиелита челюсти
Диагностика заболевания включает:
- сбор жалоб;
- визуальный осмотр;
- лабораторные исследования;
- инструментальные методы.
Сбор жалоб
Пациенты обычно жалуются на слабость, недомогание, плохое самочувствие и высокую температуру тела. Они отмечают, что зуб стал подвижным, нарушилась речь, трудно открывать рот и принимать пищу. Некоторые пациенты указывают на отёк лица с «больной» стороны.
- спрашивает о недавних травмах челюстно-лицевой области;
- выясняет, есть ли общие соматические заболевания, например сахарный диабет, болезни мочеполовой системы и желчнокаменная болезнь;
- уточняет, когда возникли симптомы, проявились ли они впервые или уже были раньше;
- узнаёт, как давно пациент посещал стоматолога.
Осмотр
Врач обращает внимание на бледность кожи и асимметричность лица, вызванную отёком мягких тканей. При ощупывании выявляется, что регионарные лимфатические узлы с поражённой стороны увеличены и болезненны. Пациент с трудом открывает рот, язык обложен налётом, изо рта исходит неприятный запах [7] .
При осмотре полости рта заметны покраснение и отёк слизистой оболочки в области больного зуба и близлежащих тканей. Зуб разрушен, подвижен при пальпации, боль усиливается при постукивании по нему. Подвижными и болезненными также могут быть несколько неповреждённых зубов в зоне поражения.
Лабораторные исследования
- Общий анализ крови. На активный воспалительный процесс указывают:
- повышение СОЭ до 40-70 мм/ч;
- лейкоцитоз, сдвиг лейкоцитарной формулы влево;
- положительная проба на С-реактивный белок;
- уменьшение альбуминов и повышение глобулинов;
- рост показателей активности щелочной и кислой фосфатазы.
- Биохимический анализ крови — позволяет исключить сахарный диабет и оценить функции почек и печени.
- Общий анализ мочи — при остеомиелите в ней появляется белок, клетки крови, гиалиновые и зернистые цилиндры.
Инструментальные методы диагностики
Компьютерная томография (КТ) — самый информативный метод диагностики остеомиелита челюсти. Это 3D-исследование, которое позволяет определить очаг инфекции и степень выраженности воспаления, его длительность и характер. С помощью КТ можно выявить не только крупные, но и мелкие образования, единичные и групповые, а также проанализировать, насколько далеко распространилась инфекция.

В некоторых случаях в свищевой ход вводят контрастное вещество. Такой метод исследования с контрастом называется фистулографией [9] [10] .
Рентгенография в первую неделю, как правило, не выявляет изменения в кости — в этот период воспалена только верхушка корня зуба. К концу второй недели кость разрушается и становится прозрачнее.
Дифференциальная диагностика
- между видами остеомиелита: одонтогенным, травматическим и гематогенным;
- острым периоститом;
- добро- и злокачественными новообразованиями;
- поражением полости рта специфическими инфекционными заболеваниями: туберкулёзом, сифилисом, актиномикозом.
Лечение остеомиелита челюсти
Лечение проводится только в стационаре под наблюдением врача и может быть медикаментозным и хирургическим [9] . По отдельности эти методы мало результативны и даже могут навредить пациенту. Схемы лечения зависят от стадии заболевания.
Лечение острого и подострого остеомиелита
При первом посещении срочно удаляют запущенный повреждённый зуб. Затем полость рта тщательно промывают антибиотиками. Это необходимо сделать, чтобы убрать из раны микробов и гной.
В следующие дни рану обрабатывают дезинфицирующими средствами и вводят инъекции противомикробных препаратов. С их помощью удаётся воздействовать непосредственно на очаг инфекции и не дать ей распространиться. В дополнение к основному лечению применяют питательные составы с витаминами С и группы В.
На подострой стадии болезни важно сдержать распространение инфекции и не дать воспалению перейти на окружающие ткани.
Для этого применяют:
- капельницы с антибиотиками;
- препараты, снижающие или подавляющие воспаление;
- резиновый дренаж для оттока экссудата.

Также в кровоток вводят витаминные комплексы и препараты, очищающие организм от микробов и продуктов их жизнедеятельности. Конкретные лекарства и дозировки подбирает лечащий врач.
Дополнительной терапией после основного лечения могут стать методы физиотерапии: УВЧ-терапия или лечение непостоянными токами. Считается, что они ускоряют процессы заживления [7] [16] .
Лечение хронического остеомиелита
При появлении некротизированных полостей с распадом кости и окружающих её тканей потребуется операция. Для этого повреждённую область рассекают, поражённые участки убирают и накладывают шину. В дальнейшем с помощью рентгенологических методов врач контролирует, как восстанавливается костная ткань [11] .
Чтобы помочь организму бороться с инфекцией, дополнительно принимают антибиотики в таблетках. Чаще всего назначают Метронидазол и усиливают его эффект препаратами из группы цефалоспоринов 3-4-го поколения.
Если состояние пациента не улучшается, то добавляют фторхинолоны или Рифампицин. Основная задача антибиотиков — не дать бактериям размножаться [7] . Лекарства помогают уменьшить воспаление и удержать патологический процесс в пределах поражённого участка.
Также ротовую полость ежедневно обрабатывают бактерицидными средствами, применяют капельницы с витаминами и плазмозамещающими жидкостями, которые очищают организм от токсинов.
Дополнительно рекомендовано полоскать рот настоями ромашки, зверобоя, мяты и окопника. Фитосредства уменьшают воспаление, ускоряют выздоровление и практически не имеют побочных эффектов.
Прогноз. Профилактика
Если пациент при первых признаках остеомиелита обращается к врачу, то прогноз благоприятный. Если же болезнь запущена, то делать какие-либо выводы сложно: неизвестно, хватит ли у организма сил для борьбы с инфекцией. В тяжёлых случаях могут развиться опасные осложнения, от которых человек может погибнуть [9] .
Самым непредсказуемым является гематогенный остеомиелит. Развитие всех других форм, как правило, можно предотвратить. Для этого достаточно придерживаться простых правил:
Читайте также:
