Рентгенограмма, КТ, УЗИ при дупликационной кисте желудка, двенадцатиперстной кишки
Добавил пользователь Владимир З. Обновлено: 21.01.2026
По данным публикации в издании Клинических наблюдений Британского журнала Радиологии(British Journal of Radiology | case reports) за апрель 2019 - Intestinal duplications: incidentally ileum duplication cyst in young female / Кишечные удвоения: случайно выявленная дупликационная киста подвздошной кишки(кистозное удвоение кишки) у молодой женщины - внешняя ссылка
Физикальное обследование и лабораторные исследования были в норме. Пациентка жаловался на незначительные генерализованные боли в животе после травмы. Патологический и физиологический анамнез не выявлен.
Было выполнено УЗИ по FAST-протоколу - без признаков травмы(*а точнее жидкости - подразумевается кровотечение, FAST-протокол УЗИ - это поиск жидкости в брюшной и перикардиальной полости, расшифровывается, как Focused Assessment with Sonography for Trauma), но в процессе было выявлено правостороннее округлое образование (51 х 27 х 45 мм) с преимущественно анэхогенным содержимым и трехслойной стенкой, прикрепленной к подвздошной петле кишечника, частично подвижной и без признаков васкуляризации. Обнаружение было интерпретировано как возможное проявление кишечного удвоения, поэтому была предложена МРТ для дифференциальной диагностики.
Были выполнены МР-последовательности: T2-взвешенный (T2W) SS-турбо спин-эхо (TSE) BH в корональной и аксиальной плоскостях с подавлением жира и без; SSFP-BH в коронарной, сагиттальной и аксиальной плоскостях; T1W GE трехмерный с жиром до и после контрастного вещества (артериальная, венозная и поздняя фазы). МРТ подтвердила и дополнительно охарактеризовала образование брюшной полости обнаруженное на УЗИ. Примечательно, что образование было многодолевым (52 х 35 х 26 мм) с ровными краями, его стенки характеризовались гладкой интенсивностью сигнала и усилением контраста (сравнимыми с соседними петлями кишечника) и гиперинтенсивным однородным содержанием в T2W и гипоинтенсивным в T1W. Образование имело ножку, которая была прикреплена к дистальной тонкокишечной петле (вероятно, последней подвздошной петли, примерно в 10 см от илеоцекального клапана). Результаты были перекрестными с брыжеечной кистой.
Перед операцией пациентке было выполнено КТ и дальнейшее предоперационное лабораторное обследование.
Вмешательство было выполнено лапароскопически: новообразование было идентифицировано в области последней петли подвздошной кишки около илеоцекального клапана. Резекция подвздошной кишки с конечным боковым илеоцекальным анастомозом и профилактическая аппендэктомия были выполнены. Послеоперационный период протекал без осложнений, и пациент был выписан через 7 дней после операции.
При гистологическом исследовании задокументирована дупликационная киста подвздошной кишки (5 х 3,5 см) с гладкой стенкой, дупликация не сообщалась с просветом кишечника.
Удвоение желудочно-кишечного тракта представляет собой группу врожденных пороков развития по всему желудочно-кишечному тракту, от рта до заднего прохода. Термин удвоение (дупликация) был введен Лэддом(Ladd) в 1937 году в попытке сгруппировать под одним выражением все определения, ранее использовавшиеся как «энтерогенные кисты», «кишечные кисты», «двойная подвздошная кишка», «гигантские дивертикулы», «аномальные дивертикулы Меккеля». Эта же номенклатура была позже предложена Грассом(Grass) в 1952 году, которая используется и до сих пор. В 1961 г. Меллиш и Куп (Mellish & Koop) определили кишечное удвоение, «как сферические или трубчатые структуры, обладающие характерной слизистой оболочкой пищеварительного канала, поддерживаемой мышечным и серозным слоями».
Встречается данная патология очень редко и включает 0,1-0,3% всех врожденных пороков развития; заболеваемость составляет 1: 4500 новорожденных, чаще всего в процесс вовлекается тощая кишка (45%); нет никаких различий в распределении по полу.
Было предложено несколько теорий для объяснения происхождения этих образований, однако ни одна из них адекватно не объясняет все известные варианты.
Вариантами кишечного удвоения являются образования, прилегающие к желудочно-кишечному тракту, с которыми они разделяют мышечную оболочку и сосудистую сеть, но имеют автономную слизистую оболочку, которая необязательно совпадает с соседним желудочно-кишечным сегментом; фактически могут присутствовать гетеротопические островки слизистой оболочки желудка, редко ткани поджелудочной железы и в исключительных случаях реснитчатый респираторный эпителий.
В 80% случаев кишечная дупликация показывает кистозную морфологию: этот подтип обнаруживается преимущественно в тонкой кишке и, в частности, в терминальной подвздошной кишке; будучи помещенным около илеоцекального соединения, он может вызывать кишечную непроходимость в течение периода новорожденности или оставаться бессимптомным и представлять потенциальную точку(опорную точку) инвагинации. Кистозные дупликации в 80% случаев не сообщаются с просветом соседней кишки; они содержат прозрачное слизистое вещество, выделяемое слизистой оболочкой, иногда геморрагическое из-за наличия желудочных эктопий с изъязвлениями слизистой оболочки.
В 20% случаев кишечные дупликации имеют трубчатую морфологию, они расположены на антимезентериальной стороне - и имеют общую стенку с кишечником и сообщаются с его просветом. Часто они изъязвлены не столько в пределах своего просвета, сколько на уровне и особенно ниже по течению от соединения с нормальной кишкой (язвенная болезнь).
У большинства пациентов кишечная дупликация диагностируется в возрасте до 2 лет, причем более половины приходится на 6 месяцев жизни, однако в любой период жизни можно обнаружить дупликации кишечника. Удвоение желудочно-кишечного тракта не имеет специфических симптомов, на самом деле оно может проявляться различными симптомами, включая вздутие и боль в животе, тошноту, кровоизлияние, хронические респираторные расстройства, и часто начальные симптомы можно спутать с другими желудочно-кишечные заболевания. В целом, симптомы связаны с положением, размером, формой и типом присутствующей дупликационной слизистой оболочки; на самом деле, при наличии дупликационной слизистой оболочки желудка возможное изъязвление может привести к кровотечению или даже к перфорации. Редко они могут иметь острые осложнения, такие как кишечная инвагинация или механическая непроходимость.
Дифференциальный диагноз включает все причины неонатальной кишечной непроходимости, такие как кишечная инвагинация, сальниковые или брыжеечные кисты, псевдокисты поджелудочной железы, печеночные кисты пищевода и кисты яичников. В большинстве случаев диагностика проводится с помощью пренатального УЗИ, по симптому «двойной стенки», а также наличию перистальтики. Приблизительно у одной трети пациентов с кишечными дупликациями имеются связанные пороки развития, такие как дефекты позвоночника, секвестрация легких, врожденные кистозные аденоматоидные мальформации и пороки сердца. По этой причине при выявлении на пренатальном УЗИ удвоения желудочно-кишечного тракта также требуется выполнение эхокардиограммы и пренатальной МРТ для уточнения. В постнатальном периоде, рентгенография брюшной полости может выявить масс-эффект; УЗИ позволит отличить кистозное образование от солидного(*не всегда!), а также связь с кишечником(*тоже не всегда!), в то время как характерная внешняя гипоэхогенность и внутренняя эхогенность будут указывать на кишечную природу кисты. КТ или МРТ могут быть полезны в тех случаях, когда данные УЗИ сомнительны. Сцинтиграфия с пертехнетатом 99mTc может быть использована для выявления эктопической слизистой оболочки желудка в кисте; этот метод особенно полезен при исследованиях у детей с кровотечением, что позволяет проводить дифференциальную диагностику с дивертикулом Меккеля. Это также полезно при исследовании ребенка с бессимптомной дупликацией, диагностированной внутриутробно, при которой демонстрация эктопированной слизистой желудка может способствовать принятию решения по хирургическому лечению, вместо выжидательной тактики. Пищеводно-гастродуоденоскопия (ЭГДС) может быть полезна для выявления язв или стеноза и для лучшего определения анатомии перед хирургическим удалением.
Стандартным подходом лечения удвоения кишечника остается резекция кишечника с первичным анастомозом. Редко небольшие кистозные дупликации можно лечить энуклеацией, не жертвуя естественным кровоснабжением. Резекции большого сегмента кишечника увеличивает риск развития синдрома короткого кишечника. В этой ситуации удаление слизистой оболочки, иногда через множественные энтеротомии, сохранит длину кишечника и уменьшит риск изъязвления и кровоизлияния из эктопированной слизистой оболочки.
*Также в публикации присутствуют: эхограмма, снимки МРТ и макропрепарата.
Кишечная дупликационная киста: ультразвуковая диагностика и морфологические сопоставления

Идеальный инструмент для пренатальных исследований. Уникальное качество изображения и весь спектр диагностических программ для экспертной оценки здоровья женщины.
Кишечные дупликационные (энтерогенные) кисты встречаются довольно редко. Они могут локализоваться в центральной нервной системе [1], перикарде [2], средостении [3], яичках [4], а также в любом месте по ходу желудочнокишечного тракта, преимущественно в области тонкой кишки [5, 6]. В литературе для обозначения такого состояния были предложены следующие термины: дупликация (удвоение), редупликация, двойная кишка, кишечная киста, гигантский дивертикул, энтерогенная киста [7]. В настоящее время наиболее часто используются два термина: энтерогенные кисты - для обозначения образований в центральной нервной системе [1] и кишечные дупликационные кисты -для обозначения кист, развивающихся по ходу кишечной трубки [8, 9]. Последние кисты обычно наблюдаются у детей [2, 3].
Кишечные дупликационные кисты - это врожденные аномалии, которые могут развиться в любом месте вдоль кишечного тракта, от ротовой полости до ануса. Такие кисты локализуются, как правило, в самой стенке или прилежат к стенке какой-либо части желудочно-кишечного тракта. H. Dardic и соавт. [10] предложили следующие диагностические критерии: наличие выстилки, соответствующей слизистой оболочке кишечника или желудка, гладкомышечного слоя и тесной связи с какой-либо частью желудочно-кишечного тракта. В то же время в литературе имеются описания кист, выстланных респираторным эпителием [5, 11] или многослойным плоским эпителием [12]. В отдельных наблюдениях отсутствовала связь кисты с желудочно-кишечным трактом [13].
Для объяснения патогенеза дупликационных кист было предложено несколько теорий. Теория аберрантной реканализации полостей объясняет удвоение тех участков желудочно-кишечного тракта, которые в своем развитии проходят солидную стадию (например, пищевод, тонкая кишка и толстая кишка) [14]. Существует мнение, что формированию изолированной полости предшествует скручивание или какая-либо сосудистая аномалия на проксимальном участке дивертикула. Такие полости могут полностью отделяться от стенки кишки, формируя изолированные дупликационные кисты [5, 9, 10]. Согласно теории внутриутробного нарушения кровоснабжения, дупликационные кисты развиваются в результате возникновения локальной сосудистой недостаточности при аноксии или какихлибо стрессовых ситуациях [15].
Кишечные дупликационные кисты обычно проявляются в течение первых лет жизни в виде пальпируемого образования, а также признаками кишечной непроходимости. У взрослых, помимо указанных симптомов, могут возникать аррозивные кровотечения при изъязвлении кист [16]. Кроме того, возможно озлокачествление дупликационных кист [5, 13, 17].
Лучевые методы исследования, как правило, подтверждают кистозную природу образования. При ультразвуковом исследовании (УЗИ) дупликационные кисты имеют вид гипоэхогенных масс с выраженными стенками и хорошей трансмиссией из-за наличия прозрачного жидкого содержимого или вид анэхогенных образований при кровоизлиянии или сгущении содержимого в просвете кисты.
Лечение заключается в полном хирургическом удалении таких кист [3, 5].
В качестве примера приводим собственные наблюдения.
Наблюдение 1
Больная А., 33 лет, поступила в институт с жалобами на постоянные боли тянущего характера в эпигастральной области, голодные боли. По данным анамнеза, впервые стала отмечать голодные боли около 4 лет назад, в связи с чем проходила обследование в поликлинике по месту жительства. При эзофагогастродуоденоскопии установлен диагноз рефлюкс-эзофгита. Больной проводили курс антисекреторной терапии с временным положительным эффектом. Однако в последующем боли возобновились и постепенно усиливались, в связи с чем проводили повторное обследование, но никаких патологических изменений не было выявлено. Три года назад выполнено УЗИ брюшной полости, при котором обнаружено кистозное образование в области желудка и поджелудочной железы. При очередной эзофагогастродуоденоскопии выявлено пролабирующее в просвет желудка кистозное образование. Больная поступила в институт для дообследования и определения тактики лечения.
При поступлении общее состояние больной удовлетворительное, кожные покровы и видимые слизистые оболочки естественной окраски, чистые. Дыхание проводится во все отделы, хрипов не выслушивается, частота дыхания 16 в минуту. Границы сердца в пределах возрастной нормы, тоны сердца ритмичные, звучные. АД 120/80 мм рт. ст. Пульс 76 ударов в минуту, ритмичный, удовлетворительного наполнения и напряжения. Отеков нет. Язык чистый, влажный. Живот симметричный, участвует в акте дыхания всеми отделами. При пальпации в эпигастральной области чувствителен, симптомов раздражения брюшины нет. Перистальтика высушивается. Физиологические отправления в норме.
Данные лабораторных методов исследования в пределах нормы.
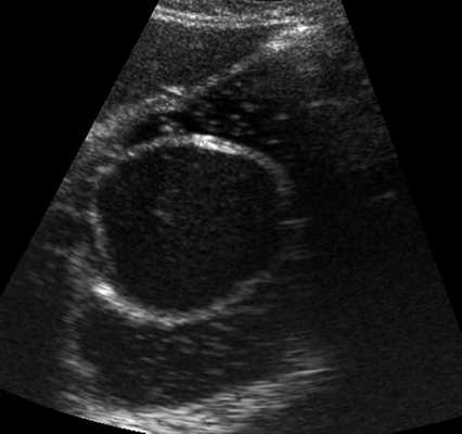
При УЗИ органов брюшной полости в эпигастральной области слева, в проекции желудка (в его просвете) определяется округлое образование, размером 53,1x49,6x45,6 мм, с четкими ровными контурами, по структуре анэхогенное, однородное, с наличием эхоплотной стенки толщиной до 4,1 мм. При наполнении желудка жидкостью создается впечатление, что образование исходит из его задней стенки, так как оно фиксировано к ней и не смещается при перемене пациенткой положения тела и кашлевом толчке (рис. 1). В режиме цветового допплеровского картирования данных о наличии кровотока в капсуле образования не получено. Заключение: киста (кистозное образование), исходящее из стенки или расположенное в полости желудка.

Рис. 1. УЗ-картина дупликационной кисты в просвете желудка, В-режим.
Больной поставили предварительный диагноз: кистозное образование желудка. С целью уточнения диагноза было решено произвести эндоскопическую диагностическую пункцию образования. Образование при инструментальной пальпации мягкое, создается впечатление, что оно имеет жидкостное содержимое. Произведена пункция образования с попыткой аспирации содержимого, однако густой его характер не позволил произвести данную манипуляцию через катетер. При помощи папиллотома произведена фенестрация кисты с аспирацией большого количества вязкого густого секрета цвета "кофе с молоком", без запаха. В процессе аспирации киста полностью спалась.
При цитологическом исследовании содержимого кисты обнаружен тканевой детрит, макрофагальная реакция, клетки плоского эпителия, преимущественно в состоянии деструкции.
Биохимическое исследование содержимого кисты: диастаза - 5 ед/л, CEA - 1887,6 нг/мл, СА 19-9 - 29707, 92 ед/л.
Таким образом, у больной имела место клинико-инструментальная картина дупликационной кисты желудка. В связи с чрезвычайно высоким уровнем онкомаркеров в содержимом кисты необходимо думать о ее малигнизации.
Больная была полностью информирована о характере заболевания, рисках и возможных осложнениях оперативного вмешательства, а также в случае отказа от него. От предложенного оперативного лечения, проведения эндоскопической биопсии стенки кисты пациентка воздержалась. В удовлетворительном состоянии она была выписана под наблюдение хирурга и онколога по месту жительства.
Наблюдение 2
Больная З., 47 лет, поступила с жалобами на ноющие боли в верхних отделах живота. Считает себя больной с 17 лет, когда стали беспокоить периодические боли в верхних отделах живота, особенно после погрешностей в диете. Лечилась амбулаторно по поводу хронического гастрита. Три года назад развился приступ болей в эпигастральной области и больная была госпитализирована в городскую больницу, где при УЗИ диагностировано кистозное образование головки поджелудочной железы до 2 см в диаметре. Год назад у больной развился очередной приступ болей в эпигастральной области, сопровождавшийся однократным приступом рвоты и жидким стулом. По этому поводу она находилась на лечении в Институте гастроэнтерологии, где при УЗИ было установлено увеличение образования в головке поджелудочной железы до 3,3 см. Пациентка поступила в Институт хирургии им. А.В. Вишневского для обследования и лечения.
При поступлении состояние больной удовлетворительное, кожные покровы и видимые слизистые оболочки обычной окраски, чистые. Периферические лимфатические узлы не увеличены. В легких дыхание везикулярное, проводится во все отделы. Тоны сердца ритмичные, шумы не выслушиваются. Пульс удовлетворительного наполнения, 68 ударов в минуту. АД 110/70 мм рт. ст. Определяется варикозное расширение вен обеих нижних конечностей. Живот не вздут, симметрично участвует в акте дыхания, при пальпации мягкий, умеренно 67 болезненный в эпигастральной области. Симптомов раздражения брюшины нет. Перистальтика выслушивается. Физиологические отправления в норме.
При УЗИ и дуплексном сканировании сосудов брюшной полости печень не увеличена в размерах, переднезадний размер правой доли - 136 мм, левой доли - 66 мм, контуры четкие, структура паренхимы однородная, диффузно уплотнена. Желчный пузырь не увеличен, визуализируется с перегибом, стенки утолщены, содержимое однородное. Внутри- и внепеченочные желчные протоки не расширены. Гепатикохоледох определяется, диаметром 3,6 мм, просвет его свободный. Поджелудочная железа не увеличена в размерах, головка - 30 мм, тело - 11 мм, хвост - 18 мм. Контуры железы в проекции тело - хвост ровные, четкие, структура паренхимы однородная, диффузно уплотнена. Главный панкреатический проток не визуализируется. В проекции гепатодуоденальной связки определяется кистозное образование овальной формы, с четкими ровными контурами, размером 47,0x33,4 мм, по структуре анэхогенное, неоднородное с наличием эхоплотных, неравномерно выраженных перегородок в эхоплотной капсуле толщиной до 2,8 мм (рис. 2, а). При дуплексном сканировании данных о наличии кровотока в капсуле и перегородках образования не получено. По заднему контуру образования прослеживается ход общей печеночной артерии (рис. 2, б) без гемодинамически значимых изменений скорости кровотока.
Рис. 2. УЗ-картина кистозного образования (отшнуровавшейся дупликационной кисты двенадцатиперстной кишки) в проекции гепатодуоденальной связки.
Рентгенограмма, КТ, УЗИ при дупликационной кисте желудка, двенадцатиперстной кишки
Дупликационная киста (ДК) двенадцатиперстной кишки (ДПК) является редким вариантом кишечной мальформации (мальформация — любое отклонение от нормального физиологического развития, повлекшее за собой изменения строения и функции органа). Диагностика этого нарушения развития представляет существенные трудности, а определение тактики лечения является сложной задачей. Представляем случай ДК ДПК у взрослой женщины с клинической картиной дуоденальной непроходимости.
Клиническое наблюдение
Женщина, 30 лет, обратилась в НМИЦ хирургии им. А.В. Вишневского в 2019 г. с жалобами на дискомфорт в эпигастральной области, тошноту и рвоту после еды, похудение на 5 кг за последние 3 мес. Из анамнеза известно, что пациентке ранее, за 18 мес до обращения в центр, выполнена лапароскопическая холецистэктомия по поводу желчнокаменной болезни. Операции предшествовало УЗИ, при котором обнаружены лишь камни в желчном пузыре. На протяжении последующего года жалоб больная не предъявляла. Затем появилось чувство тяжести в эпигастральной области, возникающее после еды. При контрольном УЗИ органов брюшной полости выявлена киста в проекции головки поджелудочной железы (ПЖ), в просвете которой определялся конкремент. Диагностированы хронический калькулезный панкреатит, постнекротическая киста головки ПЖ, рекомендовано динамическое наблюдение. Через 3 мес после исследования проявления нарушения эвакуации из желудка усилились. По данным дуоденоскопии по месту жительства выявлено подслизистое образование ДПК, которое расценено как гастроинтестинальная стромальная опухоль, после чего больная обратилась в НМИЦ хирургии им. А.В. Вишневского.
При осмотре состояние пациентки удовлетворительное. Клиническая картина компенсированного дуоденального стеноза — чувство тяжести после еды, отрыжка, срыгивание, изжога. Дыхательных и гемодинамических нарушений нет. При пальпации живот мягкий, умеренно болезненный в правом подреберье, опухолевидные образования не пальпируются. Симптом «шум плеска» отрицательный. Сопутствующих заболеваний не выявлено.
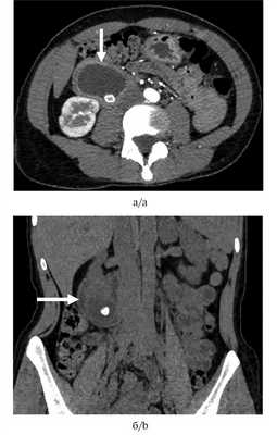
Выполнена КТ органов брюшной полости, по переднелатеральной поверхности общего желчного протока обнаружено кистозное образование размером 52×60×35 мм, в просвете которого имелся конкремент размером 10 мм. Просвет ДПК на этом уровне сужен (от нитевидного до 5 мм) (рис. 1).

Рис. 1. Компъютерная томограмма органов брюшной полости.
а — аксиальная проекция, артериальный фаза — дупликационная киста двенадцатиперстной кишки с конкрементом в просвете; б — фронтальная проекция, нативная фаза, стрелкой указан суженный просвет двенадцатиперстной кишки.
При эндосонографическом исследовании (эндоУЗИ) предположено наличие холедохоцеле, сообщающегося с общим желчным протоком на уровне его ретродуоденальной части.
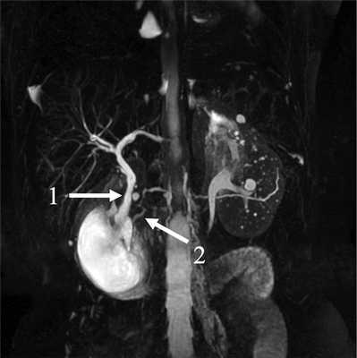
Исследование дополнено магнитно-резонансной холангиопанкреатографией (МРХПГ), по данным которой общий желчный и панкреатический протоки впадают в кистозную структуру с тонкими стенками, расположенную по медиальной стенке ДПК и деформирующую ее просвет (рис. 2).

Рис. 2. МРХП-грамма. Дупликационная киста двенадцатиперстной кишки.
Общий желчный проток (1) и проток поджелудочной железы (2). Панкреатическая и билиарная гипертензия отсутствуют.
В результате комплексного обследования стало очевидным наличие у больной кистозного образования в толще стенки ДПК, вызывающего стенозирование ее просвета и нарушение эвакуации. Признаки злокачественной опухоли отсутствовали. Резекция фрагмента ДПК, несущего кисту, расположенную тотчас у большого сосочка ДПК и прилежащую к паренхиме ПЖ, была сопряжена с высоким риском послеоперационных осложнений, в первую очередь с острым панкреатитом. Показаний к панкреатодуоденальной резекции мы не видели. С учетом предположительно доброкачественного характера заболевания решено произвести эндоскопическую фенестрацию кистозной полости со срочным гистологическим исследованием и последующим выбором дальнейшей тактики лечения.
При дуоденоскопии на всем протяжении вертикального отдела ДПК по ее медиальной стенке обнаружено подслизистое образование вытянутой формы размером 3×6 см, тугоэластической консистенции (рис. 3, а). Большой сосочек ДПК визуализировать не удалось. Игольчатым электродом произведен продольный разрез в дистальной части образования длиной 3 см, при этом из разреза сначала поступала неизмененная желчь, а затем — мутное белесоватое содержимое; в полости обнаружен конкремент диаметром 10 мм, который удален. Стенки кисты толщиной 9—12 мм, внутренняя поверхность макроскопически схожа с эпителием билиарного типа без неопластических признаков, в глубине визуализировалось устье трубчатой структуры размером 3 мм. Взята биопсия с внутренней поверхности кисты. На этом этапе манипуляция прекращена.

Рис. 3. Дуоденоскопия.
а — дупликационная киста двенадцатиперстной кишки; б — спавшаяся киста при контрольной дуоденоскопии (эндофотографии).
Послеоперационный период протекал без осложнений. Через 6 дней выполнены контрольная дуоденоскопия, эндоскопическая ретроградная холангиография. Медиальная стенка нисходящей части ДПК содержала внутристеночную кисту в спавшемся состоянии размером 2,5×5 см, с продольным разрезом длиной 3 см (см. рис. 3, б). Стенки кисты толщиной 7—10 мм. По контуру кисты, ориентировочно на границе верхней и средней трети его длины, обнаружено устье большого сосочка ДПК, из которого активно поступала желчь. Произведена ретроградная холангиография, контрастирован гепатикохоледох шириной 6—7 мм, из просвета которого контраст частично «сбрасывался» в ранее вскрытую полость кисты и терминальную часть протока ПЖ. Эвакуация контраста в кишку активная по обоим соустьям. При плановом гистологическом исследовании обнаружены частицы слизистой оболочки тонкой кишки с участками мышечной пластинки слизистой оболочки, умеренно выраженной лимфоцитарной инфильтрацией, лейкопедезом и реактивными изменениями покровного эпителия. Патологоанатомическая картина соответствовала ДК ДПК. С учетом доброкачественного характера кисты, наличия широкого соустья между кистозной полостью и просветом ДПК, беспрепятственного оттока желчи и панкреатического секрета принято решение об адекватности проведенного лечения.
Пациентка выписана в удовлетворительном состоянии на 9-е сутки после эндоскопического вмешательства. Через 3 мес после операции жалобы отсутствуют. За пациенткой будет продолжено наблюдение.
Диагностика ДК ДПК затруднена, дифференцировать следует с кистозными образованиями головки ПЖ (постнекротические кисты при хроническом панкреатите, внутрипротоковая папиллярная муцинозная опухоль), внутрипросветным дивертикулом ДПК, холедохоцеле [1, 2]. Данные мировой литературы подтверждают, что дифференциальный диагноз с последними двумя образованиями особенно труден и окончательный вывод зачастую можно сделать лишь на основании гистологического заключения. Холедохоцеле, особенно 3-й тип по Todani, представляет собой кистозное расширение дистальной части холедоха, выстланное изнутри эпителием билиарного типа или слизистой оболочкой желчного пузыря [3]. Внутрипросветный дивертикул ДПК представляет собой мешкообразное выпячивание нисходящей части ДПК и образуется в результате нарушения процесса эмбриогенеза. Его отличие от ДК ДПК заключается в отсутствии подслизистого и мышечного слоев [4].
В большинстве случаев ДК ДПК диагностируется в детстве. Однако она может длительное время протекать бессимптомно, и тогда диагноз ставится в более позднем возрасте. По данным литературы [1, 5], в 38% случаев она диагностируется после 20 лет. Успешное эндоскопическое лечение ДК ДПК описано в 20 публикациях последних лет [6—12].
Наиболее частыми клиническими проявлениями являются боль в эпигастральной области, тошнота, рвота. Значительно реже встречаются кишечная непроходимость, холангит и желудочно-кишечное кровотечение [5]. В 25—35% ДК содержит эктопическую слизистую оболочку [3]. Эктопированная в стенку кисты слизистая оболочка желудка может вызывать развитие пептических язв и кровотечение.
Лечением ДК является оперативное вмешательство [1]. Наиболее частыми являются операции в объеме резекции ДПК и панкреатодуоденальная резекция. В нашем наблюдении выполнение резекции ДПК было рискованным ввиду близкого расположения большого дуоденального сосочка. Панкреатодуоденальная резекция в данном случае, по нашему мнению, являлась бы избыточным объемом. Сложность дифференциальной диагностики на дооперационном этапе не позволила установить окончательный диагноз. Эндоскопическое лечение позволило верифицировать заболевание и успешно устранить нарушения эвакуации.
Институт хирургии им. А.В. Вишневского, Москва
Институт хирургии им. А.В. Вишневcкого МЗ РФ, Москва
Институт хирургии им. А.В. Вишневского Минздрава РФ, Москва
Дупликационная киста желудка с малигнизацией
Журнал: Хирургия. Журнал им. Н.И. Пирогова. 2014;(8): 79‑80
Кригер А.Г., Казаков И.В., Калинин Д.В., Берелавичус С.В. Дупликационная киста желудка с малигнизацией. Хирургия. Журнал им. Н.И. Пирогова. 2014;(8):79‑80.
Kriger AG, Kazakov IV, Kalinin DV, Berelavichus SV. Duplication stomach cyst with malignancy. Pirogov Russian Journal of Surgery = Khirurgiya. Zurnal im. N.I. Pirogova. 2014;(8):79‑80. (In Russ.).
Дупликационные кисты (ДК) желудочно-кишечного тракта являются редкой аномалией развития (1 случай на 4500 новорожденных) и могут встречаться в любом отделе желудочно-кишечного тракта, от ротовой полости до ануса [2, 5]. Как правило, ДК выявляются на первом году жизни ребенка [9, 12]. В желудке обнаруживают до 9% общего числа выявляемых ДК, а наиболее частой локализацией является подвздошная кишка [8, 13]. ДК - это полостные кистозные образования, локализующиеся интрамурально или прилежащие к стенке полого органа, из которого произошли, и не связанные своей полостью с последним.
ДК желудка характеризуется наличием продольного и поперечного мышечных слоев, аналогичных стенке желудка, с выстилкой, представленной эпителием желудка или слизистой других отделов желудочно-кишечного тракта [11]. В каждом третьем наблюдении выявляются другие аномалии развития различных отделов желудочно-кишечного тракта: кольцевидная поджелудочная железа, недоразвитие позвонков, расщелина позвоночника [1, 6]. В большинстве наблюдений ДК желудка располагается по большой кривизне, реже - по передней или задней стенке. ДК может иметь кистозное или трубчатое строение, а отсутствие связи собственной полости с просветом желудка затрудняет диагностику этого заболевания, особенно при больших размерах кисты.
ДК желудка, как правило, бессимптомны. Иногда больные предъявляют жалобы на дискомфорт в животе, тошноту, рвоту, анемию и похудание. Обычно это происходит при нарушении эвакуации из желудка [15]. Также описаны случаи развития панкреатита, желудочно-кишечного кровотечения, перитонита вследствие перфорации стенки кисты [11].
При инструментальной диагностике данные, полученные при УЗИ, СКТ, МРТ брюшной полости, часто трактуют неверно, а правильный диагноз устанавливают только во время операции или гистологическом исследовании [10]. Эндосонография в настоящее время является единственным методом, позволяющим с наибольшей точностью диагностировать ДК верхних отделов желудочно-кишечного тракта [3, 14]. Зачастую ДК желудочно-кишечного тракта ограничены подслизистым слоем и дифференциальную диагностику необходимо проводить с другими подслизистыми образованиями, такими как лейомиома, лейомиосаркома, аберрантная поджелудочная железа, шваннома, нейроэндокринная опухоль, гломусная опухоль, гастроинтестинальная стромальная опухоль [4].
Малигнизация ДК возникает крайне редко. В доступной литературе мы обнаружили только 9 клинических наблюдений. Представляем еще одно наблюдение ДК желудка с малигнизацией.
Больная Л., 77 лет, госпитализирована в Институт хирургии им. А.В. Вишневского 28.08.13 с направительным диагнозом: неорганная забрюшинная опухоль. При поступлении жалоб не предъявляла. Указала, что во время очередной диспансеризации при ультразвуковом исследовании, а затем и при компьютерной томографии органов брюшной полости выявлено кистозное опухолевидное образование диаметром 9 см, которое расценено как неорганная забрюшинная опухоль.
Общее состояние удовлетворительное. Кожный покров и слизистые чистые, обычной окраски. Органы дыхания и кровообращения в пределах возрастной нормы. Живот обычной формы, симметрично участвует в акте дыхания, при пальпации мягкий, безболезненный во всех отделах. Опухолевых образований не пальпируется. Физиологические отправления в норме.
Данные лабораторных методов исследования в пределах нормы. Анализ крови на наличие антител к эхинококку отрицательный. Онкомаркеры (СЕА, СА 19-9) в пределах нормы.
При эзофагогастродуоденоскопии и колоноскопии патологических изменений не выявлено.
При ультразвуковом исследовании в левом поддиафрагмальном пространстве обнаружено кистозное округлое образование диаметром 88 мм, прилежащее к передней поверхности поджелудочной железы. Капсула толщиной 2,5 мм, в режиме ЦДК аваскулярная. Содержимое образования неоднородное с наличие гиперэхогенной взвеси и тонких прослоек пузырьков газа по передней поверхности. Заключение: ультразвуковые признаки кистозного образования левого поддиафрагмального пространства. Ультразвуковая картина может соответствовать осложненной эхинококковой кисте.
Спиральная компьютерная томография брюшной полости с внутривенным контрастированием: в левом поддиафрагмальном пространстве, смещая желудок кпереди, левый надпочечник медиально, селезенку латерально, располагается объемное образование округлой формы с ровными, четкими контурами, размером 90×75×93 мм, однородной структуры, плотностью 22 ед.Н (соответствует густой жидкости). Капсула толщиной 2,5 мм, местами кальцинирована. Органная принадлежность не определяется. При контрастировании образование не накапливает контрастное вещество ни в одну из фаз исследования (рис. 1). Рисунок 1. Мультиспиральные компьютерные томограммыбрюшной полости. а - нативная фаза; б - артериальная фаза. Кистозное образование (стрелка). Заключение: КТ-картина соответствует неорганному забрюшинному кистозному образованию (нельзя исключить паразитарный характер поражения).
На основании клинического и лучевого обследования установлен диагноз неорганной забрюшинной опухоли. 28.08.13 больная оперирована с использованием роботического комплекса da Vinci. При ревизии брюшной полости обнаружено несмещаемое кистозное образование, располагающееся позади желудка в воротах селезенки. Рассечена желудочно-ободочная связка, после чего установлено, что образование исходит из задней стенки желудка, связи с остальными окружающими ее органами не имеет. Заподозрена ДК желудка. Просвет кисты вскрыт, аспирировано 300 мл густой жидкости желтого цвета. Произведена краевая атипичная резекция задней стенки желудка аппаратом endo-GIA 45 мм. Линия аппаратного шва интракорпорально перитонизирована однорядным непрерывным швом. Препарат удален в контейнере.
Макропрепарат: частично вскрытое кистозное образование диаметром 9 см. Наружная поверхность образования с инъецированными сосудами, гладкая, внутренняя - шероховатая с полиповидным образованием диаметром 1,5 см. На отдельных участках стенки кисты имеются кальцинаты. С наружной стороны к стенке кистозного образования интимно прилежит резецированная часть желудка. Макроскопически полость желудка и кисты не связана.
Гистологическое исследование: стенка кисты построена из фиброзной и гладкой мышечной ткани с поперечно и продольно ориентированными пучками волокон (рис. 2 на цв. вклейке). Рисунок 2. Микрофотографии. а - продольно и поперечно ориентированные пучки волокон гладкой мышечной ткани в стенке ДК желудка. Окраска гематоксилином и эозином, ув. 50; б - атрофичный однослойный однорядный эпителий, выстилающий внутреннюю поверхность ДК. Окраска гематоксилином и эозином, ув. 400; в - аденокарцинома кишечного типа. Окраска гематоксилином и эозином, ув. 100; г - аденокарцинома кишечного типа. Окраска гематоксилином и эозином, ув. 200; д - мембранная экспрессия пан-цитокератина (клон AE1/AE3) клетками опухоли. Иммунопероксидазный метод, DAB, гематоксилин. Ув. 200; е - экспрессия Ki-67 (клон MIB1) в клетках опухоли. Иммунопероксидазный метод, DAB, окраска гематоксилином. Ув. 200. Во всех слоях имеются очаговая лимфоцитарная инфильтрация и гиалиноз. Внутренняя поверхность кисты с субтотальной атрофией покровного эпителия, на отдельных участках представленного однослойным эпителием, на других - эпителием желудка. Полиповидное образование в средней части препарата имеет строение аденокарциномы кишечного типа, с начальными явлениями инвазии во внутренний мышечный слой кисты. В стенке прилежащего желудка элементов опухоли не обнаружено. При иммуногистохимическом исследовании клетки опухоли негативны к Synaptophysin (SY38), Chromogranin A (DAK-A3), CD56 (123C3) и экспрессируют пан-цитокератин (клон AE1/AE3). Количество пролиферирующих клеток опухолевого субстрата по экспрессии молекулы Ki-67 (клон MIB1) более 60%. Заключение: морфологическая картина дупликационной кисты желудка с малигнизацией.
Послеоперационный период протекал без осложнений. Выписана 03.09.
В нашем наблюдении ДК желудка большого размера имела экстраорганное расположение. В таких ситуациях дифференциальная диагностика должна проводиться с различными кистозными образованиями поджелудочной железы, селезенки, неорганной забрюшинной опухолью, паразитарной кистой.
У наблюдавшейся больной ввиду больших размеров кистозного образования и отсутствия данных о связи с соседними органами был установлен предоперационный диагноз неорганной забрюшинной опухоли. На основании этого в план предоперационного обследования не была включена эндосонография, которая помогла бы установить верный предоперационный диагноз. Однако, несмотря на операционную находку, это не повлияло на тактику хирургического лечения. В настоящем клиническом наблюдении опухоль не прорастала в прилежащую стенку желудка. Таким образом, данную ситуацию можно расценить как ранний рак желудка с кишечным типом аденокарциномы и выполненная атипичная робот-ассистированная резекция желудка, по нашему мнению, соответствует всем современным онкологическим стандартам лечения рака желудка [7].
Polokwane/Mankweng Hospital Complex. Pietersburg, Republic of South Africa
Дупликационная киста желудка у ребенка 3 лет
Журнал: Хирургия. Журнал им. Н.И. Пирогова. 2013;(9): 63‑66
-Х С., Пупышев М.Л., Рындин В.Д. Дупликационная киста желудка у ребенка 3 лет. Хирургия. Журнал им. Н.И. Пирогова. 2013;(9):63‑66.
-Kh S, Pupyshev ML, Ryndin VD. The duplicational gastric cyst in a 3 years old child. Pirogov Russian Journal of Surgery = Khirurgiya. Zurnal im. N.I. Pirogova. 2013;(9):63‑66. (In Russ.).
Удвоение желудка (далее в тексте УЖ) относится к категории очень редких заболеваний, что обусловливает определенные сложности в его диагностике. Мы наблюдали УЖ у ребенка 3 лет, оперированного одним из авторов в Южно-Африканской Республике.
Больная 3 лет поступила в клинику Mankweng Hospital Complex (Питецбург, ЮАР) с жалобами на увеличение объема живота в эпигастральной области, на периодические боли в этой области, а также периодически возникающую рвоту, не связанную с приемом пищи. Состояние ребенка при поступлении удовлетворительное. Ребенок от нормально протекавших беременности и родов. Антропометрические данные соответствуют возрастной норме. Аппетит хороший. При осмотре и пальпации определяется некоторое увеличение живота в эпигастральной области, там же пальпируется объемное образование эластической консистенции, смещаемое, безболезненное, размером 5×7×5 см.
Увеличение объема живота впервые было замечено за 6 мес до поступления в клинику. С тех пор отмечается хотя и незначительное, но постоянное увеличение живота в объеме, сопровождающееся неинтенсивными болями в животе.
Анализ крови, мочи и биохимическое исследование крови не выявили отклонений от возрастной нормы.
При ультразвуковом исследовании брюшной полости было обнаружено кистозное образование размером 57×55×56 мм, расположенное между левой долей печени и желудком, ориентированное в эпигастральную и параумбиликальную области, содержащее однородную жидкость.
На основании данных анамнеза, инструментальных и лабораторных методов исследования предположили наличие мезентериальной кисты. С учетом жалоб на периодические боли и увеличения в объеме образования, было решено выполнить операцию.

21.11.05 - операция. Доступ - верхняя поперечная лапаротомия. Брюшная полость без признаков воспаления. Обнаружено объемное образование, расположенное по большой кривизне желудка, интимно спаянное с желудком и имеющее с ним общую серозно-мышечную оболочку (рис. 2). Рисунок 2. Интраоперационная картина удвоения желудка. У основания раны нормально сформированный желудок (stomaсh), над которым определяется аномальный желудок (cyst).

Макропрепарат размером 57×11×56 мм, по структуре напоминает желудок (рис. 3). Рисунок 3. Макропрепарат. Удаленный аномальный желудок. Содержимое - серозная жидкость соломенного цвета, оболочки выстланы эпителием.
Морфологическое исследование: киста, выстланная кубовидными клетками. Стенка кисты с признаками хронического воспаления. Признаков малигнизации не обнаружено.
Послеоперационный диагноз: УЖ.
При осмотре через 6 лет после операции ребенок жалоб не предъявляет, растет и развивается соответственно возрасту.
УЖ относится к врожденной патологии, возникающей при нарушении сепарации производных «первичной кишки» на 3-5-й неделе гестации [1-3, 28]. M. Stringer и соавт. [28] на основании сводных данных литературы (455 больных) представили классификацию всех удвоений желудочно-кишечного тракта, в которой за основу взят принцип эмбриогенеза.
1. Удвоения, возникающие в процессе нарушения развития «первичной кишки» (Foregut duplication), - 36%. Эта группа в свою очередь подразделена на: а) удвоения пищевода - 19%, б) торакоабдоминальные удвоения - 4%, в) удвоения желудка - 9% и двенадцатиперстной кишки - 4%.
2. Удвоения, происходящие от средней кишки (Midgut duplication), - 50%.
3. Удвоения прямой кишки (Hindgut duplication) - 12%.
4. Смешанные (Miscellaneous duplication) - 2% (забрюшинные, позвоночные, ротоглоточные и билиарные).
В своей практике мы придерживаемся данной классификации, которая позволяет объяснить значительное разнообразие обнаруживаемых пороков развития. Так, A. Saggese и соавт. [25] описывают редкое сочетание пороков развития, когда удвоенный желудок был обнаружен внутри экстралобарного легочного секвестра. Это наблюдение в очередной раз указывает на общность эмбриопатогенеза таких нозологических форм заболевания, как удвоение пищевода, нейроэнтерогенные кисты, бронхогенные кисты, бронхоэнтерогенные кисты, секвестрации легкого, трахеопищеводные свищи и кистозно-аденоматозные мальформации легкого [1-4, 14]. Часть авторов склонны рассматривать эти патологические состояния изолированно. Другие указывают на связь между отдельными нозологиями [1-4, 27, 28].
Гистологическая картина при УЖ в отличие от бронхогенных кист очень разнообразна [1-4, 27, 28]. Нередко при гистологическом исследовании обнаруживают мерцательный цилиндрический эпителий, характерный для бронхогенных кист. Такие кисты ошибочно принимают за бронхогенные, несмотря на присутствие выраженных мышечных волокон [1-4, 28]. Именно наличие мышечных волокон свидетельствует об энтерогенном происхождении УЖ, так как бронхогенные кисты таковых не имеют.
J. Knight и соавт. [19] описали наблюдение, в котором предполагалось удвоение пищевода. Однако его структура напоминала структуру желудка. Для дифференциальной диагностики было выполнено радионуклидное исследование, результаты которого указали на желудочный характер эпителия, что явилось основанием для установления диагноза УЖ. Однако правомочность подобного диагноза имеет дискуссионный характер, так как удвоение пищевода выделено в самостоятельную нозологическую форму и нередко в аномально сформированном пищеводе наблюдается желудочный эпителий [1-4, 27].
В большинстве наблюдений УЖ обнаруживают в детском возрасте. Однако нередко УЖ выявляют у взрослых больных. Так, описаны УЖ у 35-летнего и даже у 83-летнего больных [18, 22]. В таких наблюдениях дифференциальную диагностику проводят прежде всего с онкологическими заболеваниями 1.
У 65% больных с УЖ имеются клинические проявления. 70% из них жалуются на дисфагию и/или респираторные нарушения, 20% - на чувство дискомфорта и боли в эпигастральной области и 10% - на загрудинную боль [2, 5, 8, 12, 17]. В нашем наблюдении УЖ проявлялось лишь периодическими болями в животе, обусловленными развитием воспаления стенок удвоенного желудка.
Следует отметить, что УЖ может сопровождаться и другими симптомами, такими как кровохарканье и периодический кашель. Описано два идентичных наблюдения, в которых удвоенный желудок был интимно сращен с нижней долей левого легкого. Клинически это проявлялось кровохарканьем и периодическим кашлем. Эти симптомы были купированы после резекции патологического желудка [5, 8].
Из других редких симптомов, характерных для УЖ, следует выделить желудочно-кишечное кровотечение. Оно возникает вследствие прорыва содержимого УЖ в нормально сформированный желудок [6, 23].
По мнению большинства авторов, основным методом диагностики УЖ остается рентгенологическое исследование [21]. Компьютерная и магнитно-резонансная томографии предоставляют более достоверную информацию, чем другие рентгенологические методы диагностики, позволяя определить точную локализацию и взаимоотношение удвоенного органа с другими анатомическими образованиями в зоне интереса [1, 2, 21]. В нашем наблюдении компьютерная томография позволила отчетливо визуализировать аномальный желудок и определить соотношение его с окружающими органами.
Рентгенография позвоночного столба необходима для диагностики возможных сочетаний УЖ с дефектом позвоночника при нейроэнтерических кистах [2, 7, 10, 27, 28].
Другим не менее информативным методом является ультразвуковое исследование, которое позволяет определить размеры, характер содержимого и показать (хотя и менее четко) взаимоотношения между удвоенным желудком и другими органами брюшной полости.
Сцинтиграфия с использованием технеция-99 в виде коллоида позволяет выявить наличие УЖ в случае, если стенки аномального органа выстланы желудочным эпителием [19, 21]. Но полученные при этом данные трудно интерпретировать, так как в зоне исследования находится нормально сформированный желудок, который также накапливает радиофармпрепарат.
В нашем наблюдении диагностика УЖ была осуществлена с использованием практически всех перечисленных методов исследования, которые в совокупности позволили предположить наличие доброкачественного объемного образования.
Дифференциальную диагностику УЖ следует проводить с объемными образованиями брюшной полости: липосаркомой, липомой и эхинококковой кистой этой области [1, 2, 28].
Лечение больных с УЖ только хирургическое. В последнее время для этого успешно используют лапароскопические операции [15, 20, 26]. Авторы отмечают, что лапароскопическое удаление кистозного образования не вызывало у них технических сложностей; кроме того, лапароскопию следует рассматривать как метод, позволяющий диагностировать природу данного заболевания [15]. В одном наблюдении УЖ было обнаружено антенатально, что позволило провести лапароскопическую резекцию аномального желудка у ребенка в возрасте 2 мес жизни [9]. В нашем наблюдении лапароскопия не была выполнена из-за отсутствия в данной клинике лапароскопического оборудования на момент выполнения операции.
Следует помнить, что УЖ можт стать причиной возникновения опухоли желудка. Так, описано наблюдение аденокарциномы, исходящей из эпителия удвоенного желудка [11]. Больному была выполнена гастрэктомия. В другом наблюдении был обнаружен карциноид в мышечной оболочке удвоенного желудка [16]. После его резекции уровень серотонина и гистамина нормализовался. В связи с этим авторы рекомендуют проводить скрупулезное морфологическое исследование стенок резецированного органа.
По мнению ряда авторов, при обнаружении объемного образования в брюшной полости в проекции желудка в план обследования необходимо включать компьютерную томографию органов грудной клетки и позвоночного столба, так как возможно сочетание УЖ с удвоением пищевода, легочной секвестрацией, с различного рода мальформацией позвоночного столба [1, 2, 5, 7, 10, 13]. Описано наблюдение, в котором после удаления удвоенного желудка в послеоперационном периоде при контрольной компьютерной томографии было выявлено удвоение пищевода, не диагностированное до операции. Это потребовало выполнения дополнительного хирургического вмешательства с положительным исходом [2]. Другое заслуживающее внимания наблюдение описано J. Milsom и соавт. [24], обнаруживших трипликацию пищевода в сочетании с полным УЖ. Во время операции удалось резецировать 2 добавочных пищевода и аномальный желудок; таким образом удалось полностью ликвидировать порок развития, восстановив нормальное строение желудочно-кишечного тракта.
Сравнительная редкость УЖ затрудняет установление правильного предоперационного диагноза, в том числе и в нашем наблюдении, так как перед операцией мы предполагали обнаружение мезентериальной кисты. Ретроспективный анализ позволил установить отличие удвоенного желудка от мезентериальной кисты - прежде всего это толщина стенок кистозного образования. В нашем наблюдении толщина стенки кисты составила 1,6 мм, так как она содержала серозный, мышечный слизистый и подслизистый слои, отсутствующие в стенке мезентериальных кист. Другим отличительным признаком является наличие персистирующего болевого синдрома, вызванного хроническим воспалением стенок удвоенного органа вследствие воздействия желудочного секрета. Тогда как в полости мезентериальной кисты отсутствует агрессивное желудочное содержимое, поэтому заболевание протекает более доброкачественно.
Читайте также:
