Рентгенограмма, МРТ, УЗИ при травме мышц живота
Добавил пользователь Владимир З. Обновлено: 22.11.2025
УЗИ мягких тканей живота - это распространенная диагностическая процедура, которая назначается для выявления различных патологических образований в этой области. Она позволяет получить объективные данные о состоянии кожных покровов, подкожно-жировой клетчатки, фасций и мышц.
У мужчин и женщин
Есть отличия в строении брюшной полости у мужчин и женщин. У первых она замкнутая, а у вторых сообщается с внешней средой посредством маточных труб. Методика проведения УЗИ живота, тем не менее, абсолютно одинаковая.
Как проводится
Специальная подготовка к УЗИ мягких тканей живота не требуется. Пациент ложится на кушетку и освобождает исследуемую область от одежды. Далее, врач наносит на кожу специальный гель и начинает водить по нему ультразвуковым датчиком в разных направлениях. При этом, на мониторе отображается изображение происходящего. Процедура комфортная, не занимает много времени, не сопровождается неприятными ощущениями.
Для данной методики используют высокочастотные датчики. У среднестатистического человека брюшная стенка небольшой толщины, поэтому исследование проводят поверхностно. Но встречаются и исключения - люди с избыточной массой тела. Чтобы провести исследование у таких пациентов, приходится брать низкочастотные датчики.
Показания
УЗИ мягких тканей проводят по отдельности с исследованием внутренних органов брюшной полости. Первое выполняется для обнаружения гематом, гемангиом, новообразований, диастаза прямых мышц живота, грыж и прочих патологий.
Существует несколько показаний к проведению данного обследования. Среди них:
- локализованные внутримышечные или подкожные уплотнения;
- подозрительные пигментные пятна;
- болезненные ощущения в эпигастральной области;
- травмы живота.
Если вас беспокоит какая-то проблема со здоровьем, запишитесь на диагностику. Успех лечения зависит от правильно поставленного диагноза.
Что показывает
На УЗИ мягких тканей живота можно различить мышцы, подкожный жировой слой, фасции, определить наличие или отсутствие патологических образований. Мышцы обладают меньшей эхогенностью, нежели оболочки, которые их окружают. Грыжи, опухоли и абсцессы выглядят как необычные участки, расположенные между мышечными слоями. Опухоли обычно имеют повышенную эхогенность. Гематомы представляют собой гипоэхогенные образования, имеющие неоднородную структуру. Абсцессы - это скопления жидкости с переменной эхогенностью.
Грыжи
Грыжа передней брюшной стенки представляет собой выход внутренних органов за ее пределы через отверстие, которое локализуется в пупочной области. Выпячивание образуется в тех местах, где мышцы ослаблены. Причиной патологии могут быть перенесенные операции или резкое похудение.
Чтобы поставить диагноз, обычно бывает достаточно клинического осмотра. Ультразвуковое исследование просто подтверждает факт наличия образования. Но есть случаи, когда УЗИ просто необходимо. Например, с помощью данной методики можно обнаружить грыжу даже, если кожное выпячивание отсутствует вовсе. Также, при сканировании определяются точные размеры и содержимое грыжевого мешка, грыжевые ворота. Это имеет большое значение для врачей, потому что позволяет подобрать оптимальный вариант терапии.
УЗИ живота позволяет обнаружить множество патологий на самом ранее этапе развития. Это значительно увеличивает шансы на скорейшее выздоровление.
Данная статья размещена исключительно в познавательных целях, не заменяет приема у врача и не может быть использована для самодиагностики.
МРТ мягких тканей что показывает

Клетки тела человека содержат определенное количество жидкости. Рыхлые структуры (мышцы, подкожно-жировая клетчатка, головной, спинной мозг и др.) в большей степени насыщены влагой, чем твердые образования.
Метод МР-диагностики основан на явлении резонанса атомов водорода в диполях воды под действием силового поля. Интенсивность ответной реакции напрямую зависит от насыщенности сканируемых органов жидкостью.
Магнитно-резонансная томография мягких тканей позволяет визуализировать состояние внутренних структур без инвазивных манипуляций. Преимуществами МРТ являются высокая информативность и отсутствие вредной лучевой нагрузки на организм пациента.

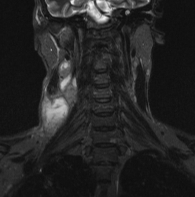
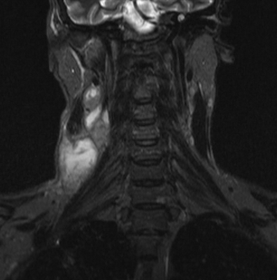
Результат МР-сканирования мягких тканей шеи
Для изучения строения кровеносной системы и диагностики онкологических патологий применяют магнитно-резонансную томографию с контрастным усилением. В качестве «окрашивающего» препарата используют раствор хелатов гадолиния. Вещество характеризуется низкой токсичностью и гипоаллергенностью. Контраст выводится из организма печенью и почками, время полного очищения составляет 24-72 часа.
Показания к МРТ мягких тканей
Магнитно-резонансную томографию проводят при недостаточной результативности других видов инструментальной диагностики. В некоторых случаях сканирование могут назначить при первичном обращении в лечебное учреждение. МРТ мягких тканей показывает малейшие структурные изменения, что облегчает диагностику патологических процессов.
Поводом для обследования служат:
болевой синдром без явных причин;
отеки, деформации мягких тканей в зоне интереса;
лимфаденопатия (увеличение узлов);
признаки онкологического процесса.
Клиническая картина поражения рыхлых структур зависит от локализации патологических явлений.

Магнитно-резонансная томография тазового пояса
МРТ мягких тканей шеи назначают при наличии следующих симптомов:
дисфункция слюнных желез;
нарушения мозгового кровообращения;
признаки заболеваний щитовидной железы;
гипертония неясной этиологии и пр.
Исследование рыхлых структур конечностей проводят в случае:
нарушений двигательной функции;
болевого синдрома неясной этиологии;
нарушения чувствительности, слабости в руках и ногах;
абсцессов, флегмон, других воспалительных процессов в области конечностей;
Мягкие ткани лица сканируют при следующих жалобах пациента:
боли в зоне интереса;
нарушение иннервации лицевых мышц;
нарушения процесса жевания, открывания рта.
Рыхлые структуры ягодичной области исследуют при возникновении:
выраженных болей в нижней части спины;
парестезии в зоне поясницы, крестца, ног;
застойных явлений, нарушений кровообращения в области малого таза и ягодиц.
МРТ мягких тканей используют в диагностике:
добро- и злокачественных новообразований;
дистрофических и дегенеративных заболеваний;
травматических повреждений мышц, связок;
ишемических, некротических явлений;
врожденных аномалий развития.
Метод позволяет уточнить расположение и размеры патологического очага, определить характер операции в случае хирургического лечения заболевания. В период реабилитации томографию назначают для контроля процессов восстановления.
Как делают МРТ мягких тканей?
Обследование проводят с помощью специального оборудования. Различают томографы двух типов:
открытые - состоят из кушетки и магнитной рамы;
тоннельные - представляют собой конструкцию из передвижного стола и трубы.
Сканирование на открытом устройстве повышает комфортность процедуры и подходит пациентам с выраженной клаустрофобией, избыточным весом, нестабильным психо-эмоциональным фоном. Минусом подобных аппаратов является малая мощность и недостаточно высокое разрешение изображений.

Процедура МРТ на тоннельном томографе Siemens
Закрытые устройства генерируют электромагнитный импульс напряженностью от 1,5 Тл, что позволяет получить четкие фотографии. Сканирование на высокопольных томографах дает возможность детального изучения анатомических структур.
Пациент ложится на стол лицом вверх, тело фиксируют валиками и специальными креплениями. Во время сеанса больному необходимо избегать случайных движений. Изменение положения тела спровоцирует появление артефактов на снимках. Для защиты от шума используют наушники.
Связь с обследуемым поддерживают с помощью переговорного устройства. Медицинский персонал во время МРТ находится в соседнем помещении, наблюдая за процедурой через прозрачную перегородку. Данная мера предупреждает случайное воздействие посторонних электромагнитных импульсов на силовое поле томографа.
Стол с пациентом перемещается в тоннель. Сканирование проводят в боковой, прямой и поперечной проекциях. При необходимости реконструируют 3D-модель изучаемой зоны.
Нативное сканирование занимает около 20 минут. Продолжительность МРТ с контрастом увеличивается до получаса. Процедуру с усилением проводят в два этапа: сначала делают несколько простых снимков, затем вводят раствор гадолиния. Для инъекции используют внутривенный катетер, соединенный с автоматическим устройством.
Сканирование продолжают после заполнения контрастным препаратом кровеносного русла и межклеточного пространства мягких тканей.
Нужна ли подготовка?
Перед МРТ мягких тканей необходимо предупредить врача о возможных противопоказаниях и сопутствующих заболеваниях. Следует сообщить о наличии кардиостимулятора, инсулиновой помпы, сосудистых клипс и других изделий медицинского назначения.

Саркома мягких тканей бедра на МРТ
Женщинам, предполагающим беременность, проводят дополнительное обследование с целью уточнения состояния. Нативная процедура противопоказана в первом триместре, контрастную МРТ в период гестации не назначают.
Кормящие мамы перед томографией с усилением сцеживают молоко для ребенка. После введения контраста в течение 6-12 часов запрещено прикладывать малыша к груди.
МРТ мягких тканей не требует соблюдения специальной диеты. Пациенту рекомендуют придерживаться обычного рациона. Ограничения распространяются на употребление алкогольных напитков: за 2-3 дня до процедуры спиртное исключают.
За час до контрастной МРТ нужно легко перекусить. Перед сканированием пациент снимает украшения, аксессуары, пирсинг из металла.
Что лучше: МРТ, КТ или УЗИ мягких тканей?
Аппаратная диагностика отличается высокой информативностью при изучении состояния внутренних структур
Особенности МРТ, КТ и УЗИ мягких тканей:
высокая информативность при отображении рыхлых образований;
возможность трехмерной реконструкции изучаемого участка;
визуализация состояния нервной ткани;
отсутствие вредного воздействия на здоровье пациента
наличие противопоказаний, связанных с физическими свойствами магнитного поля;
искажение картины исследования при случайных движениях больного
информативность в диагностике воспалительных процессов, новообразований, сосудистых заболеваний;
доступна для обследования пациентов с металлическими эндопротезами и вживленными электромагнитными устройствами;
возможность трехмерной реконструкции изучаемой области
наличие ионизирующей лучевой нагрузки;
информативность в отношении мягких тканей;
риск появления дефектов при сканировании глубоко расположенных структур;
ограничение области исследования ввиду неспособности костной тканипропускать ультразвуковые волны
Выбор диагностического метода зависит от зоны изучения, клинической картины, особенностей здоровья пациента. Лечащий врач учитывает результаты предыдущих обследований, анализов, наличие противопоказаний. В сложных случаях используют комплексный подход, что позволяет своевременно определить характер заболевания.

Туберкулезный лимфаденит на снимке МРТ
МРТ после рентгена

Инструментальная диагностика позволяет визуализировать состояние внутренних органов и тканей, определить патологические изменения и выявить патологические процессы. В некоторых случаях врачи рекомендуют пройти комплексное обследование, включающее несколько видов аппаратного сканирования. Магнитно-резонансная томография после рентгена позволяет уточнить характер заболевания, локализацию патологического очага. Но при назначении того или иного исследования необходимо учитывать особенности и побочные действия диагностической процедуры.

Снимок МРТ коленного сустава
Индукционное поле, используемое при МРТ, не несет лучевой нагрузки. Под действием магнита меняется положение молекул воды в клетках, возникает резонанс, считываемый чувствительными датчиками. Информация поступает на монитор компьютера в виде послойных фотографий сканируемой зоны.
Рентгенографию осуществляют с помощью ионизирующих потоков, которые проходят сквозь тело человека. Ткани организма обладают свойством поглощать излучение с интенсивностью, зависящей от плотности структур. В результате использования рентгена врач получает черно-белые изображения. Плотные ткани на снимках светлее, чем рыхлые.

Рентгенограмма плечевого сустава
Можно ли делать МРТ после рентгена?
Лучевая нагрузка при нарушении санитарно-гигиенических норм негативно влияет на здоровье человека. Обязательным является соблюдение допустимых значений мЗв (единицы измерения воздействия ионизирующих потоков на организм) на протяжении года. Присутствие лучевой нагрузки при рентгенографии, флюорографии, компьютерной томографии делает невозможным поочередное использование данных видов диагностики в течение короткого отрезка времени.
Преимуществом МРТ считают отсутствие патологического влияния на организм. Метод применяют в комплексном обследовании одновременно с рентгенографическим сканированием, что позволяет уточнить диагноз и визуализировать изменения мягкотканных структур.
Определить, можно ли делать МРТ после рентгена, должен лечащий врач. Важно учитывать состояние здоровья и самочувствие пациента. Болевой синдром может стать помехой для проведения процедур. В диагностике новообразований и сосудистых патологий используют МРТ с контрастным усилением, продолжительность которой около 40 минут. В этом случае потребуется подготовка к обследованию:
- не следует вводить контрастный раствор натощак, желательно перекусить за 30-60 минут до процедуры;
- при выраженном болевом синдроме стоит обсудить с лечащим врачом прием анальгетических средств;
- пациентам, испытывающим страх перед процедурой МРТ, следует принять седативные препараты (после консультации со специалистом).
Процедура безболезненна, дискомфортные ощущения могут возникнуть из-за длительного пребывания в одной позе.
МРТ после рентгена, когда можно делать?
Показанием к назначению магнитно-резонансной томографии служит необходимость визуализации рыхлых структур. Рентгенография информативнее при исследовании костной и хрящевой тканей, бронхов, легочных альвеол. Сканирование показывает нарушение целостности твердых структур, наличие инородных тел, патологические состояния суставов.
МРТ после рентгена назначают для уточнения состояния мышц, связок, подкожно-жировой клетчатки, церебрального вещества. Контрастная процедура позволяет изучить сосудистую систему, оценить характер кровоснабжения зоны интереса. При недостаточной результативности рентгенографии магнитно-резонансное сканирование можно провести в тот же день.
МРТ мягких тканей шеи
Комплексное обследование с одновременным применением названных методов используют в диагностике сочетанных травм. МРТ после рентгена помогает выявить новообразования костных элементов и окружающих тканей.
Противопоказания к МРТ после рентгена
Магнитно-резонансная томография является одним из наиболее безопасных видов инструментальной диагностики. Существующие ограничения связаны с физическими свойствами индукционного поля.
Противопоказаниями к назначению МРТ после рентгена служат:
- наличие у пациента в (на) теле металлических элементов (в том числе медицинского назначения);
- присутствие электронных вживленных устройств;
- татуировки, выполненные ферромагнитными красками.
В этих случаях для уточнения диагноза подбирают другой вид аппаратного исследования.
Относительным противопоказанием к проведению МРТ служит клаустрофобия. При перемещении стола с обследуемым в тоннель томографа может возникнуть паническая атака, предупредить которую позволит медикаментозная подготовка.
На аппарате закрытого типа не смогут пройти МРТ больные с весом свыше 120 кг и обхвате живота от 150 см).
Контрастное усиление не применяют людям с тяжелой формой почечной и печеночной недостаточности. Раствор выходит из организма с мочой и калом, что усиливает нагрузку на органы фильтрации.

Опухоль на томограмме головного мозга
Рентгенографию и контрастную МРТ не назначают беременным женщинам. Лактацию не считают противопоказанием, но кормящие мамы должны после каждого из исследований сцеживать грудь. Молоко для ребенка следует подготовить заранее.
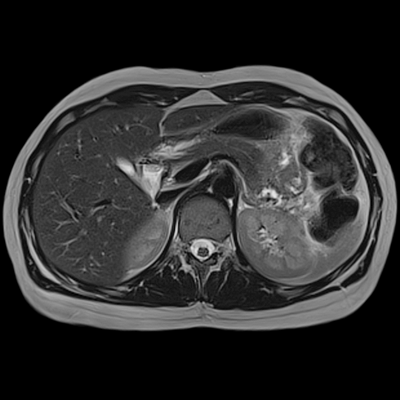
МРТ забрюшинного пространства, что показывает?

Магнитно-резонансная томограмма забрюшинного пространства
МРТ - неинвазивная высокоинформативная диагностическая процедура, позволяющая получить изображения с детальной трехмерной реконструкцией внутренних органов и структур человеческого тела. Исследование не подразумевает использования рентгеновских лучей и абсолютно безвредно для людей, не имеющих в организме металлических элементов. Физический принцип основан на регистрации энергии, выделяемой ионами водорода в молекулах воды под воздействием магнитного поля, и последующей компьютерной обработке данных. МРТ забрюшинного пространства не является диагностикой первой линии, проведение процедуры обосновано при малоинформативности прочих способов визуализации: УЗИ, экскреторной урографии, КТ, рентгенографии и др.
Для обеспечения максимальной контрастности патологического очага, изучения взаимоотношения последнего с соседними тканями, оценки сосудистого русла магнитно-резонансное исследование выполняют с усилением. Мера позволяет диагностировать злокачественные новообразования на доклинической стадии, когда выраженные симптомы отсутствуют. Преимущественно МРТ забрюшинного пространства назначают онкологическим пациентам и людям с противопоказаниями к использованию йодсодержащих препаратов.
Заболевания забрюшинного пространства

Магнитно-резонансное сканирование: киста правой почки (стрелка)
В данной анатомической области с помощью магнитного сканирования можно выявить множество патологий. Что показывает МРТ забрюшинного пространства:
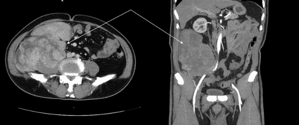
- Опухоли и кисты. Новообразования разделяют на исходящие из органов (почек, мочеточников, двенадцатиперстной кишки и др.) и свободных тканей (жировой клетчатки, мышц, фасций, нервных и лимфатических узлов, сосудов). Опухоли могут носить добро- или злокачественный характер, быть одиночными, множественными. Длительное время неопластический процесс протекает бессимптомно, жалобы появляются при компрессионном воздействии на близко расположенный орган. Объемное образование большого размера сдавливает сосудистые и лимфатические коллекторы, что приводит к застою крови в нижних конечностях, асциту (скоплению свободной жидкости в брюшной полости), расширению подкожных вен живота. Доброкачественная опухоль не вызывает раковой интоксикации, но может осложниться дисфункцией соседних органов. МРТ ретроперитонеального пространства показывает локализацию образования, позволяет предположить происхождение (в том числе - метастатическое), выполнить дифференциацию с абсцессом, гематомой, аневризмой брюшной части аорты. Окончательная диагностика невозможна без биопсии с последующим морфологическим исследованием. Из органных опухолей первое место занимают новообразования почек, второе - надпочечников.

Гигантская гематома на фоне приема гепариноподобных препаратов на МР-скане (вторичные кровоизлияния указаны черными стрелками)
- Травмы. Забрюшинная гематома формируется при прямом ударе в область поясницы или живота, дорожно-транспортном происшествии, падении с высоты. Часто сочетается с переломами костей и другими повреждениями. В экстренных ситуациях с выраженными клиническими проявлениями приоритетным исследованием остается компьютерная томография из-за быстроты получения результатов. КТ-сканы лучше в оценке кровотечений и переломов. МРТ может показать скрытые повреждения костей, связочного аппарата и пр.
- Изменения сосудов. При условии контрастирования на магнитно-резонансных томограммах видны аневризма, стеноз, атеросклеротические поражения, тромбообразование, аномалии развития и пр.
- Воспалительные процессы. Для неосложненных случаев достаточно УЗИ. Абсцессы и флегмоны рассматривают как осложнение воспаления органов с забрюшинной локализацией. С помощью магнитно-резонансного сканирования диагностируют параколит, паранефрит, перитонит, формирование свищевого хода. Исследование информативно для дифференциации хронического и острого панкреатита, пиелонефрита, гидронефротической трансформации, карбункула почки и пр.
МРТ ретроперитонеального пространства помогает установить причину патологических изменений, например, внешнее сдавление мочеточников опухолью и, как следствие, расширение чашечно-лоханочной системы. При выполнении контрастирования врач получает возможность судить о выделительной функции почек. Нефролитиаз и очаги кальцификации лучше оценивать при помощи КТ. Хроническое воспаление органов забрюшинного пространства может привести к развитию болезни Ормонда, характеризующейся избыточным продуцированием рубцовой ткани, что покажет магнитно-резонансная томография. Иногда фиброзный процесс является идиопатическим (без установления причины).
МРТ забрюшинного пространства, какие органы проверяют?
Данная анатомическая область является вместилищем жизненно важных систем. На МРТ забрюшинного пространства видны:
- надпочечники, почки, мочеточники (до вхождения в мочевой пузырь), паранефральная жировая клетчатка;
- дистальный отдел пищевода, нижняя часть двенадцатиперстной кишки, восходящая и нисходящая ободочная кишка;
- поджелудочная железа (кроме хвоста);
- брюшная аорта, нижняя полая вена и их ветви; сосуды почек, брыжейки, поджелудочной железы, мочевого пузыря и пр.;
- солнечное сплетение, симпатические стволы;
- лимфоидные структуры и др.
Подготовка к МРТ забрюшинного пространства

Не забудьте взять с собой на МРТ паспорт, результаты предыдущей диагностики, выписку из истории болезни, направление врача
Чтобы извлечь максимальную пользу от диагностической процедуры, не стоит игнорировать советы врачей. Очищение кишечника и уменьшение явлений метеоризма - основная задача, направленная на улучшение визуализации. Подготовка к МРТ забрюшинного пространства подразумевает переход за 2-3 суток до исследования на щадящий режим питания. Из рациона следует исключить продукты, способствующие вздутию живота и провоцирующие запоры:
- овощи и фрукты в сыром виде, особенно, капусту, горох, фасоль, кукурузу;
- свежую зелень;
- острые специи;
- молоко, сливки, простоквашу;
- жирные сорта мяса;
- черный хлеб;
- картофель;
- орехи, семечки;
- грибы;
- квас, газированные напитки, спиртное и пр.
Очистительная клизма или слабительное необходимы пациентам, страдающим хроническими запорами. Если акт дефекации происходит регулярно, соблюдения диеты и естественного опорожнения кишечника перед МРТ вполне достаточно.
За сутки предпочтительнее употреблять куриную или индюшачью грудку, рыбу, приготовленные с помощью отваривания, запекания, на пару. Разрешены ненасыщенные мясные бульоны, изделия из фарша, несладкие компоты, некрепкий чай или кофе. МРТ забрюшинного пространства проводят на пустой желудок, ужин должен быть не позднее, чем за 6 часов до диагностической процедуры. Если исследование запланировано на середину дня, с утра можно неплотно позавтракать.
При МР-сканировании с усилением у некоторых пациентов регистрируют вегетативные реакции: головокружение, тошноту, мелькание мушек перед глазами. Легкий перекус за 20 минут до выхода из дома нивелирует неприятные явления. Наполнения мочевого пузыря МРТ забрюшинного пространства не требует.
Во время диагностики придется около 45 минут лежать неподвижно на спине, поэтому наденьте одежду свободного кроя без металлических пуговиц и замков.
Пусть не будут неожиданностью вопросы врача о возможной беременности на ранних сроках, присутствии металла в теле или имплантированных приборах (кардиостимуляторе, помпе для подачи лекарств и пр.).- При данных условиях МРТ противопоказана. Контрастирование ограничивают: период гестации, аллергическая реакция на гадолиний, почечная недостаточность со снижением скорости клубочковой фильтрации (менее 30 мл/мин).
Женщинам в период лактации МРТ с усилением делать можно, но специалисты рекомендуют запастись грудным молоком на день: за это время хелаты гадолиния выводятся из организма естественным путем. При клаустрофобии исследование выполняют под седацией в стационаре.
Как делают МРТ забрюшинного пространства?

Усиливающие магнитные катушки обеспечивают лучшую детализацию внутренних органов и окружающих тканей
Диагностическая процедура включает несколько этапов:
- оформление медицинской документации и анкетирование для выявления противопоказаний;
- сдачу на хранение вещей с парамагнитными свойствами - сотового телефона, карт оплаты, монет, ключей, украшений из металла и пр.;
- укладку пациента на стол томографа; для предотвращения размытостей на пленках (из-за непроизвольных движений) конечности фиксируют валиками и ремнями;
- сканирование области интереса, если требуется контрастирование, препарат-усилитель вводят внутривенно после серии нативных снимков;
- описание и выдачу результатов.
МРТ забрюшинного пространства с контрастом
Введение усилителя необходимо для более четкой визуализации патологических процессов, локализованных в труднодоступных местах. При опухолях МРТ забрюшинного пространства с контрастом позволяет определить границы новообразования, степень инвазии в окружающие структуры, продемонстрировать изменения на фоне терапии, диагностировать рецидив. Оценку сосудов по данным магнитно-резонансного сканирования без усиления не проводят.
Препарат на основе хелатов гадолиния безопасен и переносится без серьезных побочных реакций. Дозировку рассчитывают индивидуально в зависимости от массы тела, что влияет на общую стоимость исследования. Контраст увеличивает интенсивность высвобождаемой протонами водорода энергии за счет уменьшения времени релаксации, поэтому патологически измененная ткань детализируется лучше.
МРТ, КТ или УЗИ забрюшинного пространства?

Гигантская опухоль забрюшинного пространства (стрелка) на КТ, сдавливающая правый мочеточник, наружные подвздошные артерии; умеренная гидронефротическая трансформация почки
Ультразвуковое и компьютерное сканирование позволяют поставить предварительный диагноз, магнитно-резонансную томографию назначают, если остались неразрешенные вопросы.
УЗИ малоинформативно в обнаружении опухолей менее 2-3 см и нечувствительно к мелким деталям, для надпочечников превышение указанных размеров с визуализацией зон некроза и очагов кальцификации рассматривают, как признак озлокачествления.
Перед планированием операции по поводу опухоли онколог назначает и КТ, и МР-сканирование ретроперитонеального пространства и брюшной полости как два взаимодополняющих способа обследования. Компьютерная томография лучше показывает метастазирование в кости скелета.

МРТ: ретроперитонеальная лимфангиома
КТ, МРТ, УЗИ, рентген - обзор методов исследования

В медицинских центрах СПб в арсенале у врачей есть несколько методов высокотехнологического обследования. Их принято разделять на инвазивные (с проникновением внутрь организма или подкожного покрова) и неинвазивные. КТ, МРТ, УЗИ, рентген относятся к основным неинвазивным видам диагностики. Однако принцип визуализации и физика процесса у каждого из этих способов сканирования разная, поэтому и зоны их приоритетного применения отличаются.
Что покажет рентген

Рентген - это самый широко доступный тип обследования. В Санкт-Петербурге его можно сделать быстро на платной или бесплатной основе как в частных, так и в государственных клиниках и больницах. Основная задача рентгенографии - дать общее представление об изменении структуры органов и костной ткани. С помощью рентген-аппарата врач может хорошо визуализировать:
- инородные тела;
- переломы;
- воспаление легких;
- рак молочной железы;
- туберкулез.
Основное преимущество рентгенографии заключается в том, что это быстрый и дешевый метод сканирования. Однако по точности и диагностической ценности он безусловно уступает как УЗИ, так и таким высокотехнологичным методам исследования, как МРТ и КТ.
В основе физики работы рентген-аппарата лежат просвечивающие способности рентгеновских лучей. Получение плоского двухмерного изображения основано на ослаблении рентгеновского излучения при его прохождении через различные ткани. При рентген-сканировании пучок излучения, проходя через ткани организма, которые обладают различной плотностью, рассеивается и тормозится. Таким образом, на пленке возникают изображения разной степени интенсивности. Лучевая нагрузка при рентгенографии небольшая, но она всегда есть и может составлять от 0,1 до 1 мЗв. Поэтому рентгенография запрещена для беременных женщин, а здоровому человеку рентген можно делать 1- 2 раза в год.
Кроме дозы облучения у рентгеновского сканирования есть один существенный диагностический недостаток - плоская картинка. Поскольку рентген изображения - это тень ткани на пленке, объемно оценить органы и структуры человеческого тела с помощью рентгена не получается.

ЗАПИСЬ НА ПРИЕМ
Что покажет компьютерная томография
КТ или компьютерная томография - это еще одно рентгенографическое обследование, но его диагностические способности существенно выше обычного рентгена. Достигается это за счет того, что датчик, излучающий рентген лучи, движется вокруг области обследования по 360-градусной траектории. Так получаются многочисленные снимки, которые компьютер томографа выстраивает в трехмерные изображения - томограммы обследуемой области. КТ хорошо показывает:
- опухоли;
- все костные ткани - кости, череп;
- лор-заболевания;
- причину почечной колики;
- инородные тела;
- повреждения органов из-за внешних травм;
- внутренние кровотечения;
- причины “острого живота”.
С помощью компьютерной томографии в медицинских центрах СПб проводят скрининг рака легких у курильщиков. Такая томография позволяет выявить в 2 раза больше опухолей на ранней стадии. Простая флюорография (на базе рентгена) рак легких не показывает, поскольку плоскостное изображение не видит маленькие очаги опухоли, а вот на КТ можно визуализировать новообразование до 1 мм величиной.
С появлением на рынке низкодозных компьютерных томографов стало возможным проводить пан-КТ- или КТ всего тела. Такое тотальное сканирование человека от макушки до пяток позволяет врачам сразу найти патологические области, особенно после автотравмы и множественных повреждений.
Основной недостаток КТ - это высокая лучевая нагрузка, которая при некоторых обследованиях может доходить до 15 мЗв. Поэтому, в отличие от МРТ и УЗИ, КТ следует делать только по показаниям и направлению врача. Здоровым пациентам компьютерную томографию не рекомендуется делать чаще, чем 1 раз в год. Его нельзя проводить беременным женщинам, а детям малого возраста по возможности КТ следует заменять безопасными УЗИ и МРТ.
Что показывает МРТ
Магнитно-резонансная томография или МРТ - это сфокусированный метод, который проводит очень детальное обследование. Диагностическая точность МРТ превышает УЗИ и во многих случаях КТ, за исключением сканирования полых органов (легких, желудка, кишечника) и костей. МРТ является золотым стандартом диагностики:
- заболеваний головного и спинного мозга;
- патологий суставов;
- межпозвоночных дисков;
- сердца и сосудов;
- болезней гинекологического, проктологического и урологического характера.
В отличие от быстрого КТ и УЗИ, магнитно-резонансное обследование требует времени - в среднем пациенту нужно лежать в томографе и соблюдать неподвижность 30-60 минут.
Принцип работы МРТ основан на эффекте ядерного магнитного резонанса. МР томограф в своей конструкции имеет мощный магнит, который создает магнитное поле, и датчик, который подает радиочастотные сигналы. В такой ситуации протоны атомов водорода начинают колебательные движения, выделяя при этом импульсы. Их улавливает компьютер томографа и преобразовывает в трехмерные изображения. Чем больше воды содержится в клетках ткани, тем детальней получается ее изображение. Поэтому на МРТ хорошо отображаются органы с большим содержанием воды: МРТ головного мозга, МРТ спинного мозга, МРТ глазных орбит, МРТ органов малого таза, МРТ позвоночника, МРТ суставов, и плохо визуализируются органы с большим содержанием воздуха МРТ органов грудной клетки или кости.
Основы преимуществом МРТ перед КТ и рентгеном является отсутствие в ходе сканирования какого-либо излучения. А вот недостатком этого метода диагностики будет ряд ограничений - наличие ферромагнитного металла в теле пациента и имплантированных в организм водителей ритма, несовместимых с МРТ.



Что покажет УЗИ
Ультразвуковое исследование или УЗИ - это широко распространенный вид обследования, активно применяемый в диагностических центрах СПб. В ходе данной процедуры диагностика проводится с помощью ультразвуковых волн. Проходя через границы тканей различной плотности, ультразвук по-разному отражается от них. Ультразвуковая установка имеет датчик, который посылает ультразвуковой сигнал, а затем фиксирует ответ и переводит его в графическое изображение. Таким способом врачи могут хорошо обследовать:
- органы малого таза;
- органы брюшной полости;
- лимфоузлы и молочные железы;
- мягкие ткани;
- сосудистую систему.
К сожалению, серьезным препятствием для ультразвука являются кости, через которые сигнал пробиться не может. Поэтому малоинформативным является
- УЗИ головного мозга
- УЗИ сердца
- УЗИ органов средостения
- УЗИ позвоночника.
Основным достоинством УЗИ является отсутствие каких-либо противопоказаний и ценовая доступность. По диагностической ценности и точности УЗИ безусловно уступает МРТ и КТ, однако является приоритетным профилактическим и скрининговым методом обследования для многих заболеваний, включая патологии мочеполовой системы у мужчин и женщин, рака молочных желез и органов брюшной полости, воспалений мягких тканей.
Можно ли делать МРТ и рентген в один день
МРТ и КТ, а также МРТ и рентген в один день делать можно. Магнитно-резонансная томография не несет в себе никакой лучевой нагрузки, поэтому ее можно совмещать с любым видом обследования, будь то рентгенография или ультразвуковое сканирование. Однако нельзя в один и тот же день делать несколько КТ или КТ и рентген. Каждый из этих видов обследования имеет лучевую нагрузку от 0,1 до 10 мЗв, которая суммируется как превышающая доза радиации при многократном исследовании.
Читайте также:
