Сесамовидные(добавочные), сверхкомплектные(дополнительные) кости стопы. Старение стопы
Добавил пользователь Евгений Кузнецов Обновлено: 28.12.2025
При формировании поперечного плоскостопия определяется четкий патогенез - механизм развития деформаций переднего отдела стопы. При определенной степени деформации возникает скольжение по плюсне-сесамовидным суставам головки первой плюсневой кости и формируется подвывих в этом сочленении. В результате этой ротации нарушается биомеханика опоры стопы, нарушается опора - нагрузка перераспределяется на наружный отдел стопы, которая при этом пронируется. Несмотря на то что существует около 400 способов коррекции данной деформации, только в последнее время стали обращать внимание на создание нормальной анатомии с учетом оценки степени ротации/пронации первой плюсневой кости. Имеются указания авторов, что нарушение контакта подошвенной поверхности стопы с горизонтальной ровной поверхностью уменьшает эффективность любой операции до 33%. Цель исследования. Разработать максимально простой способ определять ротацию первой плюсневой кости по рентгенограмме в прямой проекции. Материал и методы. В основу разработки способа ротации первой плюсневой кости взяты два способа: Патент РФ на изобретение № 2328980 и Патент РФ на изобретение № 2121298. Результаты и обсуждения. После выполнения операции с элементом деротации первой плюсневой кости результат по шкале AOFAS через 2,5 мес. с момента полной нагрузки составляет 72 балла. Выводы. Угол пронации/ротации первой плюсневой стопы по рентгенограмме стопы (с нагрузкой или без нагрузки) в прямой проекции можно выявлять по полученной формуле R = угол M1SS - const, где сonst = 8 град. Для достоверности определения результата эффекта операции «реконструкции переднего отдела стопы» необходимо измерять угол ротации/пронации до и после операции и в динамике.
1. Карандин А.С. Хирургическая коррекция вальгусного отклонения первого пальца гиперэластичной стопы: автореф. дис. …канд. мед. наук. Москва, 2016. 28 с.
2. Zlobin A.V., Fedorov V.G. Comparative evaluation of surgical meth-ods of treatment of transverse flattened flat feet on the AOFAS scale in Izhevsk. Fundamental and applied sciences today XIV: Proceedings of the Conference. North Charleston, 20-21.02.2018. Vol. 1. North Charleston, SC, USA: CreateSpace, 2018. Р. 25-32.
3. Минасов Б.Ш., Гутов С.П., Билялов А.Р. Эстетическая хирургия компенсированных деформаций переднего отдела стопы при деструктивно-дистрофических заболеваниях // Креативная хирургия и онкология. 2011. № 2. С. 10-13.
4. Шугалова А.Б. Рентгенологическая картина первого плюсне-сесамовидного сустава как показатель состояния переднего поперечного свода: автореф. дис. . канд. мед. наук. Томск, 2000. 22 с.
5. Федоров В.Г. Новое в биомеханогенезе формирования hallux valgus поперечно-распластанной деформации стопы и принципы оперативного лечения с учетом патогенеза // Современные проблемы науки и образования. 2017. № 2. [Электронный ресурс].
6. Maceira E., Monteagudo M. Transfer metatarsalgia post hallux valgus surgery. Foot Ankle Clin. 2014. Vol. 19 (2). P. 285-307.
8. Кавалерский Г.М., Дрогин А.Р., Кашурников Ю.М. Применение интраоперационного угломера-корректора в хирургическом лечении больных с наружным отклонением первого пальца при поперечном плоскостопии // Кафедра травматологии и ортопедии. 2012. № 2 (2). С. 26-28.
9. Кондрашова И.А., Давлетова Н.А., Кондрашов А.Н. Клинико-рентгенологические аспекты диагностики hallux valgus и поперечного плоскостопия. Original Researches. 2013. Vol. 14. no 4. P. 81-86.
11. Быстров С.В., Федерякин Д.В., Изотов И.А., Карасев В.А., Репп С.Т. Сравнительный анализ результатов оперативного лечения вальгусной деформации первого пальца стопы // Верхневолжский медицинский журнал. 2016. Т. 15. Вып. 3. С. 23-25.
15. Машков В.М., Несенюк Е.Л., Сорокин Е.П., Безродная Н.В., Шахматенко И.Е. Опыт хирургической коррекции вальгусного отклонения первого пальца стопы у пациентов с поперечным плоскостопием и деформирующим артрозом первого плюснефалангового сустава // Травматология и ортопедия России. 2013. № 1 (67). С. 72-78.
При формировании поперечного плоскостопия определяется четкий патогенез - механизм развития деформаций переднего отдела стопы. В настоящее время понятие поперечно-распластанной деформации включает в себя определенную последовательность патологических биомеханических процессов: увеличивается расстояние между головками первой (М1) и второй (М2) плюсневых костей и, как следствие, происходит увеличение угла между сочленением оснований М1 и М2, а при выраженной дисплазии соединительной ткани происходит расхождение между медиальной клиновидной (Cm) и промежуточной (Ci) клиновидными костями. Тем самым запускается процесс возникновения симптомокомплекса hallux valgus, т.е. наступает наружный подвывих основной фаланги первого пальца из-за анатомической особенности прикрепления мышц, приводящих первый палец стопы.
При прогрессировании процесса удерживаемые данными мышцами латеральная и медиальная сесамовидные кости остаются на своем месте. В процессе скольжения по плюсне-сесамовидным суставам происходит пронация М1 и формируется подвывих в этом сочленении. В результате разнонаправленного движения между головкой М1 комплекса, удерживаемого сухожилиями m. adductor hallucis (основание проксимальной фаланги первого пальца и сесамовидные кости), происходит дегенеративное удлинение внутренней боковой связки первого пястно-фалангового сустава и подвывих сесамовидных костей.

Рис. 1. Механизм пронации/ротации М1. Срез стопы (МРТ) на уровне головок плюсневых костей: а - головка М1, б - сесамовидные кости, в - m. adductor hallucis,
Г - схема пронации на примере зубчатого колеса
При этом головка М1 скользит по сесамовидным костям и, учитывая то, что на подошвенной поверхности головки М1 имеется гребень, разделяющий сесамовидные кости, разворачивается как на зубчатом колесе внутрь, т.е. пронируется (рисунок 1), а латеральная сесамовидная кость на прямой рентгенограмме визуализируется между М1 и М2 1. В результате этого разворота нарушается биомеханика опоры стопы, а именно: если в нормальных условиях опора на передний отдел стопы идет на область головки первой и пятой плюсневых костей, точнее, на две сесамовидные кости, находящиеся под головкой М1, то при распластывании переднего отдела - на одну сесамовидную кость при первых проявлениях и на внутреннюю поверхность головки при крайних степенях деформации [4; 5]. С клинической точки зрения при этом возникают боли при нагрузке и болезненность в области первого пальца стопы при пальпации. Нарушается опора - нагрузка перераспределяется на наружный отдел стопы. Чтобы избежать неприятных в начале движения или болезненных ощущений при длительной ходьбе, человек производит нагрузку на наружный отдел стопы; стопа при этом пронируется, компенсаторно усиливается гиперкератоз на подошвенной поверхности внутренней и наружной поверхности стопы.
Согласно литературным данным, публикуемым большинством авторов, в настоящее время существует не менее 400 способов коррекции поперечно-распластанной деформации переднего отдела стопы (по МКБ-10 М20.1). Исправление деформации начали лечить более 100 лет назад, но только в последние годы, накопив опыт предыдущих лет, проанализировав результаты лечения, абсолютное большинство хирургов-ортопедов при планировании оперативного лечения отмечают необходимость восстановления нормальных взаимоотношений в первом плюсне-сесамовидном сочленении (M1SS) [6; 7]. Создание нормальной анатомии во время операции часто бывает сложным процессом, особенно в сочленении M1SS, несмотря даже на то, что применяются интраоперационные угломеры [8], но и при этом данные динамического наблюдения в ближайшем послеоперационном периоде (в течение года) указывают на то, что угловые параметры, несмотря на различные способы лечения, изменяются в худшую сторону [9].
И все же разработанные и описанные в периодических изданиях последних 5 лет современные способы лечения поперечного плоскостопия не акцентируют внимания на сочленении M1SS 11, кроме публикации коллектива авторов [13; 14]. Однако авторы не оценивают степень ротации/пронации М1 и в выводах не обращают внимание на сочленение М1SS, хотя «вправление» сесамовидных костей в свое анатомическое место позволяет значительно улучшить функциональный результат.
В.М. Машков с соавторами указывает, что им удалось получить хорошие результаты в 59,6% случаев по шкале оценки AOFAS, показывающей клинико-функциональный результат «без учета результатов рентгенологического исследования». Однако при изучении результатов с учетом рентгенологических признаков (оценка по И.А. Пахомову, где «особое внимание уделяется нарушению контакта подошвенной поверхности стопы с горизонтальной ровной поверхностью») у тех же пациентов число хороших результатов уменьшилось до 33,3%. «Это произошло за счет неудовлетворительной рентгенологической картины даже при хорошем функциональном результате, а также из-за отсутствия полного контакта первого пальца оперированной стопы с горизонтальной поверхностью при стоянии, которое редко беспокоит пациента косметически, но отрицательно сказывается на функции переката стопы при ходьбе» [15]. Таким образом, можно утверждать, что смещение сесамовидных костей резко снижает опорную функцию головки М1. Из вышесказанного возникает необходимость при планировании операции оценивать угол пронации/ротации М1, как показателя нарушения взаимоотношений в сесамовидно-перво-плюсневом сочленении.
Цель - провести исследование, при помощи которого можно определять ротацию М1 наиболее дешевым и максимально простым способом.
Материал и методы исследования
Изучение литературы на предмет определения угла ротации показало, что имеются два патента на изобретение. Первый способ диагностики ротации первой плюсневой кости методом компьютерной визуализации [Патент РФ на изобретение № 2328980 от 20.07.2008] при помощи спиральной компьютерной томографии (СКТ) на уровне плюсне-сесамовидного сочленения (рисунок 1). Достаточно точный способ, но имеет следующие недостатки: способ не дешевый, при тяжелых степенях деформации, когда в плюсне-сесамовидном сочленении развивается артроз, межсесамовидный гребень (от которого идет отсчет угла) не виден и, соответственно, возникает вероятность погрешности измерения, и, наконец, для точного определения степени ротации необходимы исследования с нагрузкой, т.е. пациент должен стоять, что при применении компьютерной томографии невозможно.
Второй способ описан в диссертации А.Б. Шугаловой [4] [Патент РФ на изобретение № 2121298 от 10.11.1998]: используется подставка под пятки на необходимую высоту и производится рентгенограмма в аксиальной проекции, выполненной в положении стоя. По полученной рентгенограмме производится расчет угла ротации. Существенным недостатком данного способа являются сложность и погрешность расчетов, а также необходимость применения дополнительных приспособлений и фактического присутствия лечащего врача при установке стопы в необходимое положение. Кроме этого, данный способ в совокупности приведенных недостатков требует значительных затрат времени лечащего врача на одного пациента (установки пятки, расчерчивание углов).
Изучив имеющиеся на данный момент времени способы, мы пришли к заключению, что оптимальный способ определения ротации для применения в клинической практике травматолога-ортопеда, занимающегося проблемой распластанности переднего отдела стопы, должен быть простым и позволяющим определять угол ротации по рентгенограмме в прямой проекции в зависимости от расположения латеральной сесамовидной кости (с нагрузкой и без нагрузки).
Для решения поставленной цели мы взяли за аксиому:
1. Ротация первой плюсневой кости и, соответственно, подвывих или вывих сесамовидных костей взаимосвязаны.
2. Ротация не может быть больше определенных углов (по нашим расчетам, не более 35-40 градусов) (рисунок 2), т.к. степень ротации ограничивается анатомической особенностью: наружная сесамовидная кость удерживается мышцами m. adductor hallucis и m. flexor hallucis brevis, которые располагаются на подошвенной поверхности стопы.
Мы изучили 30 стоп пациентов с различной степенью плоскостопия на СКТ. При этом на СКТ брали два снимка одной стопы: первый - срез на уровне сесамовидных костей, второй - топограмму или 3D-реконструкции стопы (в зависимости от данных, имеющихся на CD-диске).

Рис. 2. Положение сесамовидных костей в норме (А) и при распластанности переднего отдела стопы (Б).
На рис. Б угол 35 град. - это сесамовидно-горизонтальный угол (СГУ)
Для понимания пространственной корреляции данных СКТ и снимка в прямой проекции мы ввели следующие углы:
на СКТ в аксиальной проекции - сесамовидно-горизонтальный угол (СГУ) стопы, образованный линией, проведенной через точки центра сесамовидных костей, и линией плоскости подошвы (рисунок 2Б);
на рентгенограмме в прямой проекции - сесамовидно-перво-плюсневой угол (M1SS), полученный в результате пересечения линий оси первой плюсневой кости и линии, проведенной от центра латеральной сесамовидной кости к середине основания первой плюсневой кости.
Методом сравнения СГУ и M1SS на серии СКТ и снимков в прямой проекции аналогичных стоп того же пациента в прямой проекции нами установлена зависимость показателей углов у пациентов с разными степенями поперечного плоскостопия (рисунок 3).

Рис. 3 а-д - стопы пациентов с различной степенью плоскостопия. Верхний ряд - СКТ на уровне сесамовидных костей (без нагрузки) и показаны углы СГУ. Нижний ряд - снимки в прямой проекции переднего отдела стоп (без нагрузки), на которых получены M1SS углы
На рисунке 3а у пациента, не имеющего поперечного плоскостопия или имеющего крайне незначительную степень ротации (т.к. на прямой рентгенограмме наружный край латеральной сесамовидной кости выступает за край плюсневой кости), СГУ стопы (на СКТ) не превышает 1-2 градусов: линия, проведенная через центры сесамовидных костей практически параллельна горизонтальной линии, угол M1SS равен при этом примерно 9 градусам. На рисунках 3 б-д с увеличением СГУ соответственно увеличивается и угол M1SS. На основании полученных данных, мы обнаружили прецизионную корреляцию между углом ротации сесамовидных костей на СКТ и углом вывихивания латеральной сесамовидной кости (в первый межпальцевой промежуток), полученным по прямой рентгенограмме. В каждом замере угол M1SS, определенный на прямой проекции рентгенограммы, меньше СГУ приблизительно на 8 градусов.
Результаты исследования и их обсуждение
На рисунке 4 представлен клинический пример определения пронации при планировании операции и через 5 мес. после реконструкции. Анамнез заболевания: деформация постепенно нарастала с 35-40-летнего возраста, к 50 годам отмечались почти постоянные боли при нагрузке в положении опоры на стопы. Ношение стандартной обуви стало затруднительным после 50 лет. При планировании операции, учитывая возраст пациентки, решено было выполнить операцию сначала на одной стопе, где болевой синдром (по визуально-аналоговой шкале (ВАШ) 7,0 см) был более выраженный.

Рис. 4. Пациентка Р., 65 лет: а) фото и рентгенограмма до операции на правой стопе, где истинная ротация равна 16 град.; б) фото оперированной правой стопы в сравнении с левой, не оперированной, и рентгенограмма до операции на правой стопе. После операции реконструкции переднего отдела стопы с использованием элемента деротации М1 истинный угол ротации равен 2 град.
В результате получена коррекция ротации на 14 град.
После операции полная нагрузка на стопу через 2,5 мес. Необходимо обратить внимание на фото стопы пациентки до и после операции с акцентом взора на первый палец. На фото а стрелка на первом пальце (ориентир по ногтю, деформированному ввиду давления на него обувью с образованием гребня на границе внутренней и наружной трети) указывает, что у пациентки произошла пронация пальца, т.е. разворот, а после операции, на фото б, палец и ноготь встали в правильное физиолого-анатомическое положение.
При сравнительном осмотре до операции оценка по ВАШ 6,2 см, после операции стопа при опоре в области сочленения М1SS практически не беспокоит (по ВАШ при глубокой пальпации 1,2 см), пациентка отмечает, что появляются неприятные ощущения в области головки М1 при длительном стоянии. Результат по шкале AOFAS после операции 72 балла.
1. Угол пронации/ротации R (rotatio - вращение) первой плюсневой стопы по рентгенограмме стопы (с нагрузкой или без нагрузки) в прямой проекции определяется по формуле: R = угол M1SS - const, где сonst = 8 град.
2. Для достоверности определения эффекта от операции «реконструкции переднего отдела стопы» необходимо измерять угол ротации/пронации до и после операции и в динамике.
Проблемы с сесамовидными костями
Сесамовидные кости в области переднего отдела стопы участвуют в распределении нагрузки, оказываемой весом тела при ходьбе, и участвуют в движениях 1 пальца. Как и другие кости, эти косточки могут подвергаться переломам.
Большинство костей в человеческом теле соединяются друг с другом посредством суставов. Однако есть и такие кости, которые напрямую не сочленяются с другими костями. Вместо этого они располагаются в толще мышц или сухожилий. Такие кости называются сесамовидными. Наиболее крупная из них — это надколенник (коленная чашечка). Две других, гораздо более мелких (размером с кукурузное зерно), располагаются на нижней поверхности переднего отдела стопы у основания 1 пальца, одна снаружи, другая — изнутри.
Сесамовидные кости выполняют роль блоков. Они образуют гладкую поверхность, вдоль которой скользит сухожилие, увеличивая момент силы, развиваемой соответствующей мышцей. Сесамовидные кости в области переднего отдела стопы также участвуют в распределении нагрузки, оказываемой весом тела при ходьбе, и участвуют в движениях 1 пальца. Как и другие кости, эти косточки могут подвергаться переломам. Кроме того, проблемы здесь могут возникать и с сухожилием, окружающим их. Такое состояние называется сесамоидитом и считается разновидностью тендинита. Его нередко можно встретить у артистов балета, бегунов и бейсбольных игроков.
- Боль, локализованная под 1 первым пальцем на подошвенной поверхности стопы. При сесамоидите боль может развиваться постепенно, тогда как при переломе боль возникает сразу же после травмы.
- Отек и кровоизлияния, которых может и не быть.
- Также вы можете испытывать болевые ощущения и сложности при сгибании и выпрямлении 1 пальца.
В ходе клинического осмотра врач прицельно обследует сесамовидные кости на предмет болезненности в этой зоне. Также доктор может аккуратно оценить движения 1 пальца и попросить вас согнут и выпрямить его. При тыльном сгибании 1 пальца вы можете отметить усиление болевых ощущений.
Для постановки диагноза доктор назначит вам рентгенографию. У многих людей сесамовидная кость, расположенная ближе к центру стопы (медиальная сесамовидная кость) состоит из двух частей. Края таких фрагментов сесамовидной кости обычно гладкие, тогда как края фрагментов при переломе острые, зазубренные, поэтому рентгенография обычно позволяет поставить правильный диагноз. Для сравнения архитектуры костей доктор также может назначить вам рентгенографию противоположной стопы. При отсутствии изменений на рентгенограммах доктор может назначить сцинтиграфию.
Лечение травм и заболеваний сесамовидных костей обычно консервативное. Однако если такое лечение оказывает неэффективным, вам может быть рекомендована операция, заключающаяся в удалении сесамовидной кости.
Добавочная ладьевидная кость
Добавочная ладьевидная кость — это небольшая косточка, расположенная рядом с проксимальным полюсом ладьевидной кости стопы.
У здоровых людей она встречается с частотой 1 на 10 человек. Это наиболее часто встречающаяся добавочная кость стопы. Она располагается в толще сухожилия задней большеберцовой мышцы, которое в свою очередь прикрепляется к бугристости ладьевидной кости.
Более подробная информация о ладьевидной кости и сухожилии задней большеберцовой мышцы представлена в разделе, посвященном анатомии стопы и голеностопного сустава.
Точная причина неизвестна, возможно формирование добавочной ладьевидной кости связано с генетическими факторами.
Большинство людей с добавочной ладьевидной костью никаких жалоб на этот счет не предъявляют и даже не подозревают о том, что она у них есть. Однако эта косточка может становиться источником проблем, особенно в подростковом возрасте. Косточка может сопровождаться развитием плоскостопия и в таких случаях, особенно когда плоскостопие носит односторонний характер, необходимо дополнительное обследование пациента.
Сочленение между ладьевидной и добавочной ладьевидной костями представляет собой синхондроз. Травмы и повторяющиеся перегрузки стопы могут привести к повреждению этого синхондроза или сухожилия задней большеберцовой мышцы, что приведет к изменению биомеханики стопы и болевому синдрому.
Типичная клиническая симптоматика включает:
- Боль в области внутреннего свода стопы
- Боль в области добавочной ладьевидной кости (глубокая ноющая, острая или тупая боль)
- Отек в области внутреннего края среднего отдела стопы
- Наличие костного выступа на внутренней поверхности стопы, подвергающегося постоянному давлению в обуви
- Сложность встать на носочки
- Плоскостопие
При первом вашем визите в клинику вам будет выполнена рентгенография стоп. Она поможет подтвердить диагноз, оценить тяжесть деформации и при необходимости спланировать хирургическое вмешательство.
Добавочная ладьевидная кость классифицируется в соответствии с рентгенологическими ее особенностями:
- Сесамовидная косточка в толще сухожилия задней большеберцовой мышцы в области его прикрепления к ладьевидной кости
- Добавочная ладьевидная кость, сочленяющаяся синхондрозом с ладьевидной костью
- Костный выступ ладьевидной кости


Рентгенограмма стопы при 1 типе добавочной ладьевидной кости


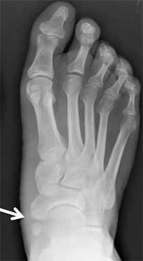
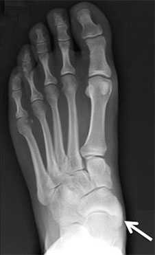
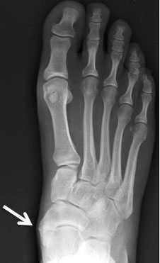
Рентгенограммы стоп: 3 тип добавочной ладьевидной кости
Иногда для оценки состояния сухожилия задней большеберцовой мышцы, синхондроза между добавочной и ладьевидной костями, исключения стрессового перелома может понадобиться МРТ.
Подавляющее большинство людей с добавочной ладьевидной костью каких-либо жалоб на этот счет не предъявляют. Проблемы могут появиться после перенесенной травмы или на фоне повторяющихся перегрузок.
Если вы отметите усиление болевых ощущений, невозможность заниматься спортом или заметите развитие деформации, вам имеет смысл обратиться за консультацией к ортопеду, занимающемуся патологией стопы и голеностопного сустава.
В задачи консервативного лечения входит купирование болевых ощущений и замедление прогрессирования деформации. Наиболее эффективно оно будет на ранних стадиях заболевания.
Консервативное лечение всегда должно быть первой линией терапии. Варианты его включают:
Модификация активности
Исключение на некоторое время занятий спортом и тяжелой физической нагрузки.
Подкладки в обувь
Мягкие подкладки, сделанные из гелеобразного или пенистого материала, используются вместе с обувью и позволяет предотвратить избыточное давление в обуви.
Стабилизация голеностопного сустава
Дополнительная поддержка голеностопного сустава, предотвращающая его подворачивание.
Ортопедические стельки
Индивидуально изготовленные ортопедические стельки обеспечивают поддержку внутреннего свода стопы и позволяют минимизировать нагрузку на сухожилие задней большеберцовой мышцы. Также они служат профилактикой «проваливания» внутреннего свода стопы.
Нестероидные противовоспалительные препараты
Нестероидные противовоспалительные препараты позволяют купировать боль и дискомфортные ощущения, связанные с воспалительными явлениями в области синхондроза.
Обувь
Ношение более просторной обуви, исключающей давление на костный выступ в области внутреннего края стопы. Также может быть эффективно использование обуви с жесткой подошвой.
Физиотерапия
Упражнения, направленные на растяжение икроножной мышцы, позволяют минимизировать влияние этой мышцы, стремящейся деформировать стопу. Упражнения, направленные укрепление задней большеберцовой мышцы.
Иммобилизация
Короткий период иммобилизации позволяет минимизировать выраженность клинической симптоматики.
Оперативное лечение показано пациентам, у которых оказалось неэффективным лечение консервативное.
Пациенты должны отдавать себе отчет в том, что выбор в пользу оперативного лечения должен быть тщательно обдуманным.
К любому варианту оперативного лечения необходимо подходить взвешенно, отдавая предпочтение в первую очередь менее инвазивным и травматичным вмешательствам.
Инъекционная терапия
Введение в области синхондроза ладьевидной кости лекарственных препаратов при острых воспалительных явлениях в этой области осуществляется под лучевым контролем и в условиях кратковременной общей анестезии. Оно помогает подтвердить диагноз и купировать воспалительные явления.
Такое лечение может на некоторое время уменьшить выраженность симптомов, а иногда полностью избавить от них пациента, однако оно никак не может повлиять на те или иные существующие деформации стопы.

Правильность положения иглы подтверждается введением рентгенконтрастного препарата
Хирургическая резекция (операция Киднера)
Операция заключается в иссечении добавочной ладьевидной кости с последующей реинсерцией сухожилия задней большеберцовой мышцы. Для фиксации сухожилия используются костные анкеры.
Операция не позволяет корригировать «провал» внутреннего свода стопы. Более подробная информация, касающаяся хирургической коррекции плоскостопия, представлена в соответствующем разделе.
Вы должны понимать, что осложнения того или иного заболевания могут развиваться как после, так и в отсутствие оперативного лечения.
Возможные осложнения консервативного лечения включают:
- Усиление болевых ощущений
- Усиление выраженности плоскостопия
- Формирование язв на внутренней поверхности стопы
- Инфицирование язв
Осложнения могут возникать при любых хирургических вмешательствах на стопе. Более подробно послеоперационные осложнения рассматриваются в соответствующем разделе.
Возможные осложнения любого хирургического вмешательства включают:
- Риски и осложнения анестезии
- Кровотечение
- Инфекция (поверхностная и глубокая)
- Тромбозы
- Необходимость повторных вмешательств
- Комплексный регионарный болевой синдром
- Повреждение нервов
- Проблемы с заживлением раны
Возможные специфические осложнения хирургического лечения добавочной ладьевидной кости включают:
- Болезненный послеоперационный рубец
- Длительно сохраняющийся болевой синдром
ПРИВЕДЕННЫЙ ВЫШЕ СПИСОК ОСЛОЖНЕНИЙ ДАЛЕКО НЕ ПОЛНЫЙ И ПРЕДСТАВЛЕН ЛИШЬ ДЛЯ ОЗНАКОМЛЕНИЯ
Ранний послеоперационный период
Практически все пациенты после операций по поводу разрывов ахиллова сухожилия выписываются из клиники в день операции.
В течение двух недель после операции голеностопный сустав будет фиксирован гипсовой или полимерной жесткой повязкой, подобной представленной на фото ниже.

Не снимайте гипс до следующей перевязки, которая состоится через 2 недели после операции.
В течение 2 недель после операции вам нельзя нагружать конечность. Перед выпиской домой вас проконсультирует физиотерапевт, который в т.ч. расскажет вам о том, как правильно пользоваться костылями.
В первые 2 недели после операции старайтесь придавать стопе возвышенное положение и держать ее в этом положении 95% времени.

Возвышенное положение стопы
У большинства людей дома конечно же нет функциональной кровати, как здесь на этом фото. Однако того же эффекта можно добиться и на обычной кровати или диване, подложив под стопу подушку. Не следует придавать возвышенное положение стопе, когда вы сидите на стуле. И еще раз советуем все первые две недели оставаться дома.
С тем, чтобы минимизировать риск инфекции, держите стопу в сухости и прохладе. Избегайте избыточной влажности и жары. Когда принимаете душ, надевайте на стопу герметичный мешок.
С целью профилактики тромбозов вен регулярно выполняйте движения в стопе и голеностопном суставе. Употребляйте достаточное количество жидкости. При наличии факторов риска тромбозов обязательно сообщите об этом своему лечащему врачу, при необходимости он может назначить вам антикоагулянты.
Две недели после операции
Вас осмотрит ваш лечащий врач и будет сделана перевязка. Если раны полностью зажили, то мы вам расскажем, как правильно массажировать ткани в области вмешательства. Мероприятия, направленные на снижение чувствительности рубца, начинаются только после полного заживления раны. С этой целью вы можете воспользоваться массажным кремом (например, Е45), который следует втирать в область рубца и вокруг него. Подвергать зону операции действию влаги и принимать душ можно только после полного заживления ран.
На данном этапе, если послеоперационный отек уже в значительной мере купируется, мы разрешим вам чаще опускать стопу вниз, но рекомендуем по возможности все еще держать ее б?льшую часть времени в горизонтальном положении.
Вам будет разрешено ненадолго садиться за руль, однако только в том случае, если оперирована левая нога и машина у вас с автоматической трансмиссией. Если оперирована правая нога, то садиться за руль мы советуем не раньше 6-8 недель после операции.
Шесть недель после операции
Если процесс заживления протекает хорошо, то к этому времени у вас уже практически исчезнут отек и кровоизлияния, однако некоторый отек может сохраняться до 3-4 месяцев после операции.
Вы сможете носить обычную обувь (если позволяет отек), однако мы рекомендуем пока носить обувь с жесткой подошвой. В течение ближайших 3-6 месяцев вам предстоят занятия лечебной физкультурой, которые позволят добиться наиболее оптимального результата проведенного хирургического вмешательства.
Три месяца после операции
Если вы удовлетворены результатом, то это ваш последний визит к врачу.
Когда мне можно сесть за руль?
Наши рекомендации по этом поводу представлены здесь. В конце концов, ответственность в этом вопросе полностью лежит на пациенте. Хороший способ понять, можно вам за руль или еще нет, — это поставить правую стопу на пол и сильно надавить, имитируя экстренное нажатие на педаль тормоза. Если вам страшно или больно, за руль лучше не садиться, это может быть небезопасно. Кроме того, при длительной езде ваша стопа долго будет находиться в вынужденном положении. Это может усилить послеоперационный отек.
Когда я могу вернуться к работе?
Каким должен быть окончательный результат?
Исчезновение болевых ощущений и «шишки» в области внутреннего края стопы. Возможность заниматься спортом через 6 месяцев. Иногда пациенты чувствуют, что их стопы стали «нормальными» и полностью зажили только через 1 год после операции.
Болезненная ладьевидная кость
Болезненная ладьевидная кость (Painful Accessory Navicular, os tibiale externum, сверхкомплектная ладьевидная кость.) является важным с точки зрения клинических проявлений костью из группы добавочных костей стопы.
Добавочная ладьевидная кость (Accessory Navicular Bone) является врожденной аномалией развития и встречается с частотой до 10 % населения. Она бывает часто двусторонней, располагается у внутреннего края ладьевидной кости, отмечается у женщин в 2 раза чаще, чем у мужчин.
У большинства пациентов добавочная ладьевидная кость не вызывает клинических проявлений и является случайной находкой при обследовании по другим поводам. Можно считать добавочную ладьевидную кость сопутствующим признаком продольно-поперечного плоскостопия.
Существуют три типа добавочной ладьевидной кости:
I тип представляет собой отдельную косточку в пределах ладьевидной кости и сухожилия задней большеберцовой мышцы.
II тип — добавочная косточка, которая соединена с ладьевидной костью посредством синхондроза;
III тип — добавочная косточка представляет собой отдельный фрагмент, плотно слившийся с ладьевидной костью
II и III тип являются наиболее значимыми при клинике «болезненной ладьевидной кости».
С клинической точки зрения данное заболевание имеет большое значение. Часто пациентам устанавливается ложный диагноз несуществующего перелома ладьевидной кости, когда специалист принимает сверхкомплектную ладьевидную кость за фрагмент. Нередка ситуация, когда проминирующий под кожу медиальный край ладьевидной кости приходит в контакт с компонентами обуви и приводит к формированию болезненной зоны, вплоть до гнойного бурсита в медиальной области стопы. Диагностика основана на оценке клинических данных, полученных врачом во время обследования стопы пациента, характерных жалобах и данных опроса больного. Основу диагностики составляют инструментальные методы исследования, рентгенография обеих стоп в прямой и боковой проекциях стоя в опоре.
Лечение. Начинается лечение с консервативных мероприятий, которые во многих случаях эффективны. При отсутствии эффекта от консервативного лечения, при сохранения болевого синдрома, присоединения деформации стопы, пациентам рекомендуют хирургическое лечение, о чем подробную информацию можно получить на амбулаторном приеме у специалиста по с проблемам стопы и голеностопного сустава.
Сесамовидные(добавочные), сверхкомплектные(дополнительные) кости стопы. Старение стопы
В статье изложены анатомо-физиологические особенности стопы как отдела нижней конечности, выполняющего многообразные функции, в частности, рессорную, толчковую, балансировочную, рефлексогенную. Нарушение строения стопы всегда сопровождается функциональными расстройствами, влекущими за собой медицинские и медико-социальные последствия. Особенно это актуально в группе лиц старшего возраста, когда патология стопы сочетается с полиморбидным фоном. Инволютивные изменения стопы сами по себе и приобретенные заболевания приводят к формированию стойких деформаций и других нарушений и развитию синдрома возрастной стопы - комплекса анатомо-функциональных изменений, развившихся с возрастом на фоне инволютивных и патологических изменений костей и суставов, периферических нервов и сосудов, кожи и мягких тканей, приводящих к нарушению основных функций стопы и ограничению передвижения.
1. Алетеа В.М. Атлас заболеваний стопы / В.М. Алетеа, Фостер, Майкл Е. Эдмондс / пер. с англ.; под ред. Г.Р. Галстяна. - М.: ГЭОТАР-Медиа, 2013.
2. Алехин Д.И. Новые возможности реваскуляризации конечностей при хронической ишемии - неоангиогенез, индуцированный воздействием высокоинтенсивного лазерного излучения / Д.И. Алехин // Ангиология и сосудистая хирургия. - 2003. - Т.9. - №4. - С. 25-30.
4. Букуп К. Клиническое исследование костей, суставов и мышц / К. Букуп. - М.: Медицинская литература, 2008. - 295 с.
5. Клинико-диагностические аспекты и возможности реабилитационных мероприятий при деформациях стоп у неврологических больных / Е.Б. Лаукарт, В.И. Шмырев, А.С. Васильев // Кремлевская медицина. Клинический вестник. - М., 2010. - С.65-69.
6. Клинико-диагностические аспекты деформаций стоп у неврологических больных / Е.Б. Лаукарт, В.А. Фролов: материалы Всероссийского форума «Развитие санаторно-курортной помощи, восстановительного лечения и медицинской реабилитации». - М., 2010. - С.254-257.
7. Система лечения мионейрогенных деформаций стоп у взрослых / И.С. Истомина, О.В. Оганесян, A.B. Левин // Вестник травматологии и ортопедии им. Н.Н. Приорова. - 2001. - №2. - С.81-86.
8. Харклесс Л.Б., Фелдер-Джонсон К. Секреты голеностопного сустава и стопы / пер. с англ. / Л.Б. Харклесс, К. Фелдер-Джонсон. - М.: БИНОМ, Лаборатория знаний, 2007. - 320 с.
9. Черкес-Заде Д.И., Каменев Ю.Ф. Хирургия стопы / Д.И. Черкес-Заде, Ю.Ф. Каменев. - М.: Медицина, 2002. - 328 с.
Актуальность изучения проблем, связанных со стопой, обусловлена высокой распространенностью ее патологии среди взрослого населения и развития синдрома возрастной стопы, который можно определить как комплекс анатомо-функциональных нарушений, развившихся с возрастом на фоне инволютивных и патологических изменений костей и суставов, периферических нервов и сосудов, кожи и мягких тканей, приводящих к нарушению основных функций стопы и ограничению передвижения.
Сложность патологических изменений во многом обусловлена анатомо-физиологическими особенностями стопы и многообразием ее функций.
Целью настоящего обзора является анализ анатомо-физиологических предпосылок и причин развития возрастной патологии стопы.
Задачи исследования:
- дать анатомо-функциональную характеристику стопы;
- провести анализ основных этиологических факторов развития синдрома возрастной стопы.
Материалы и методы исследования
Использовались общенаучные методы исследования. На основе системного подхода раскрыта сущность исследуемых вопросов.
Результаты исследования и их обсуждение
Стопа является дистальным отделом нижней конечности и на протяжении всей жизни выдерживает большие статические и динамические нагрузки. Сложность и индивидуальные различия строения стопы зависят от большого количества костей стопы и образованных ими сочленений, а также от архитектоники связочного аппарата, который обеспечивает в сочетании с мышцами надежную устойчивость и выносливость стопы к весу всего тела и нагрузок, приходящихся на него [1,3].
Стопа человека состоит из 26 прочно соединенных между собой костей, образующих малоподвижные суставы. Движения стопы и ее отделов осуществляются группой мышц, которые переходят из голени на стопу, и многочисленными мышцами в самой стопе. Мышцы стопы разделяют на мышцы тыльной и подошвенной поверхности стопы. Кроме мышц стопы, в обеспечении ее функции участвует также и подошвенный апоневроз (сухожильно-мышечная растяжка), прочно связан соединительнотканными пучками с кожей, поэтому кожа почти неподвижна. Подошвенный апоневроз имеет большое значение в поддержании свода стопы [1,2,3].
Хорошо известно, что состояние костного свода стопы во многом зависит от связочного аппарата и мышц, а состояние стопы в целом - от тех конкретных условий труда и быта, в которых находится человек. Приспособление к опорно-локомоторной функции сказалось своеобразия формы стопы человека. Это обеспечило большую ее прочность и высокие буферные свойства, необходимые при прямохождении. В положении стоя основными опорными точками стопы является пяточный бугор и головки плюсневых костей. При различных позициях тела в отдельные фазы движения эти точки меняются. При этом все пальцы стопы, особенно II-V, находятся в несколько разогнутом положении относительно плюсневых костей и едва касаются почвы подушечками дистальных фаланг. Они выполняют роль временных подпорок при балансировке тела [1,2,3].
Главной особенностью стопы человека является его дуговая конструкция, определенная формой и взаиморасположением костей. Форма и размеры свода стопы у человека могут меняться даже в течение одного дня под влиянием различных факторов, которые зависят от способности ее костей смещаться друг относительно друга. Во время стояния вследствие некоторого растяжения связок стопа может несколько сплющиваться, о чем свидетельствует ее удлинение (на несколько миллиметров) и расширения. Нормальной стопой считают такую, при которой плоскость опоры занимает 35-54 % общей плоскости стопы. Эта форма имеет два хорошо выраженных свода - внешний и внутренний. Внешний свод несет на себе основную массу тела, внутренний выполняет роль амортизатора. По своду стопы равномерно распределяется масса тела, что имеет большое значение при переносе тяжестей. Своды действует как пружина, смягчает толчки тела во время ходьбы [3].
Основными функциями стопы являются следующие.
Рессорная. Заключается в способности сводов стопы на 80 % гасить энергию удара, возникающего в момент касания стопы с опорой во время ходьбы, а также особенно во время прыжков и бега. Под действием нагрузки кости продольного и поперечного сводов стопы начинают распрямляться, в момент максимального давления они располагаются практически в одной плоскости параллельно плоскости опоры. Как только толчковая энергия начинает угасать и уменьшается нагрузка на стопу, начинает преобладать сила сокращения подошвенного апоневроза и других мощных сухожилий стопы. В результате кости свода мягко и быстро возвращаются в исходное положение. Рессорная функция стопы спасает суставы и кости всего тела человека, в том числе позвонки и кости черепа от постоянной микротравматизации и связанного с ней воспаления. Если рессорная функция стопы нарушается, это неизбежно приводит к быстрому развитию необратимых заболеваний голеностопных, коленных, тазобедренных и межпозвоночных суставов [1,3].
Толчковая. Кинетическая энергия, образующаяся при ходьбе, прыжке или беге, передаётся стопе в момент соприкосновения пятки с опорой, сохраняется в ней во время переката на носок и снова передаётся телу в момент отрыва стопы от опоры. Это позволяет человеку совершать дальнейшее поступательное движение в любом направлении [1,2,3].
Балансировочная. Благодаря способности суставов стопы смещаться во всех плоскостях, человек может сохранять заданную позу тела во время движения или в положении стоя при любых неровностях опоры [3,4,5].
Рефлексогенная. Обильная иннервация и взаимосвязь нервных окончаний рефлексогенных зон стопы с различными внутренними органами всего тела позволяют с помощью массажа, иглорефлексотерапии, тепловых и закаливающих процедур на область стоп воздействовать на весь организм человека.
Таким образом, при возможных нарушениях анатомических структур стопы, развитии ее возрастных инволютивных и патологических изменений могут быть тяжелые нарушения передвижения, в связи с чем увеличивается риск формирования гипомобильности, приводящей к тяжелым медико-социальным проблемам, одной из которых является синдром падений [3].
В гериатрической практике очень важным является правильный осмотр стопы с последующей оценкой ее анатомо-функциональных нарушений. Исходя из клинических рекомендаций, осмотр стопы проводят при свободно свисающем ее положении и под нагрузкой - при стоянии и ходьбе. Определяют осмотром сзади положение заднего отдела стопы, для чего через середину ахиллова сухожилия и центр бугра пяточной кости мысленно проводят линию - ось заднего отдела стопы. Отвесное расположение оси или наружное, вальгусное ее отклонение до угла 6° считают нормальным. Наружное отклонение свыше 6° является патологическим (pes valgus); внутреннее отклонение свыше 0° обусловливает варусную деформацию стопы (pes varus). Оценка формы переднего отдела стопы и пальцев позволяет выявить отклонение переднего отдела стопы в направлении большого пальца, т.е. приведенную стопу (pes adductus, metatarsus varus); отклонение в сторону мизинца - отведенную стопу (pes abductus) [5,6,8].
Относительная длина пальцев нормальной стопы у различных людей неодинакова. В соответствии с длиной пальцев различают: греческую форму стопы - 13>4>5, египетскую стопу - 1>2>3>4>5, промежуточную, прямоугольную стопу - 1=2>=3>=4>=5.
При обследовании пациентов старшей возрастной группы встречаются различные варианты деформаций стоп, сопровождающиеся ограничением подвижности в суставах. В данно м обзоре мы не будем подробно останавливаться на описании каждой формы. Но для лечения и реабилитации необходима оценка обратимости деформации, для чего прибегают обычно к попытке произвести ручную коррекцию всех имеющихся компонентов сложного искривления стопы, стараясь по возможности восстановить ее нормальную форму. В ранних стадиях приобретенных деформаций патологическая установка стопы бывает обычно обусловлена изменениями мягких тканей - кожи, связочного аппарата и мышц. Если изменения мягких тканей поддаются ручной коррекции, деформация стопы считается нестойкой. В поздних стадиях деформаций к изменениям мягких тканей присоединяются изменения формы костного скелета. Деформация делается стойкой [7,8].
Правильное представление о форме, взаимном расположении и структуре костей, о динамике изменений получают при традиционном рентгенологическом исследовании, когда снимки изготовлены в одинаковых проекционных условиях, требующих, чтобы стопа при каждом новом снимке находилась бы в том же самом положении. В зависимости от показаний снимки производят с нагрузкой или без нее. Общепринятой укладкой при проведении исследования является положение ноги на столе, стопа расслаблена. Для сравнения изготавливают передне-задний снимок одновременно с обоих голеностопных суставов. Для определения состояния межберцового сочленения делают рентгенографию каждой ноги отдельно [8].
Иногда делают снимок, сделанный под нагрузкой. Для этого изготовляют внутренние боковые снимки одного и другого суставов. Сравнение этого изображения с разгруженной стопой позволяет измерить осадку свода стопы [6].
Известно, что процесс старения наряду со всем организмом захватывает и ткани стопы. Последствия этих изменений могут существенно ограничивать подвижность пожилого человека в результате воспалительно-дистрофических процессов и выраженного болевого синдрома [6,7].
В данном обзоре мы предприняли попытку систематизировать основные причины развития синдрома возрастной стопы. Как показывают клинические наблюдения, возрастные изменения стоп развиваются вследствие нарушения кровообращения, которое может быть следствием облитерирующего атеросклероза, облитерирующего тромбангиита, а также диабетической ангиопатии нижних конечностей. При этом тяжелым осложнением сосудистого поражения стоп может быть развитие гангрены с последующей ампутацией конечности. Не менее частой причиной развития патологии стопы является поражение периферической нервной системы, которое может приводить к формированию стойких контрактур, деформаций и гипомобильности лиц старшей возрастной группы [1,5,6,7,9].
В целом, если говорить о причинах повреждений периферической нервной системы, то можно вспомнить классификацию заболеваний (ВОЗ, 1982г.) [6,7]:
- генетически обусловленные;
- приобретенные:
1. экзогенные яды и лекарственные средства;
2. связанные с метаболическими нарушениями (сахарный диабет, почечная и печеночная недостаточность, гипогликемия);
3. связанные с недостаточностью витаминов, белков и др.;
4. другие причины (злокачественные новообразования, старческие невропатии).
1. идиопатические, инфекционные или постинфекционные;
2. токсические (дифтерия, свинец и др.);
3. метаболические (сахарный диабет, диспротеинемия);
III. Другие типы:
- инфекционные (вирусы, лепра);
- ишемические (васкулиты, атеросклероз);
- механические;
- другие причины.
Классификация заболеваний периферической нервной системы (1982-1984 гг.).
I. Вертеброгенные поражения.
II. Поражение нервных корешков, чувствительных узлов, сплетений.
III. Множественные поражения корешков, нервов:
1. Инфекционно-аллергические полирадикулоневриты.
2. Инфекционные полиневриты.
- токсические (хронические бытовые и производственные интоксикации);
- токсикоинфекции (ботулизм, дифтерия);
- медикаментозные;
- бластоматозные;
- аллергические (вакцинальные, сывороточные, медикаментозные);
- дисметаболические;
- дисциркуляторные (васкулиты);
- идиопатические и наследственные.
IV. Поражение отдельных спинномозговых нервов.
Более 50% поражений стоп провоцирует травма обувью. Это еще раз подтверждает важность внедрения превентивных программ обучения и использования специальной ортопедической обуви и вкладных элементов для профилактики поражений стоп и их рецидивов [8].
Важно также отметить, что тяжелые поражения стоп развиваются при патологии костно-суставной системы (остеопороз, деформирующий остеоартроз, подагра, ревматоидный артрит и.т.д.), а также при соматической патологии (бластозах, отеках, системных заболеваниях соединительной ткани и др.). Утрата мышечной массы и тонуса сухожилий с возрастом приводит к уплощению свода стопы и уменьшению ее гибкости. Кроме того, стареющая кожа менее устойчива к разного рода травмам и инфекциям, что также может приводить к тяжелым последствиям [7,8].
Выводы
- Анатомические предпосылки и функциональное многообразие стопы приводят к тяжелым медико-социальным последствиям при ее патологии.
- Синдром возрастной стопы полиэтиологичен и развивается при нарушении кровообращения, иннервации, костно-суставной и мышечной патологии, а также при повреждении кожи и ее прозводных, что в конечном итоге приводит к гипомобильности и нарушению передвижения.
Рецензенты:
Иванова М.А., д.м.н., профессор, профессор-консультант многопрофильного клинического центра «Ваша клиника», г. Москва;
Прощаев К.И., д.м.н., профессор, директор АНО «НИМЦ «Геронтология», г. Москва.
Читайте также:
