Школьная незрелость - причины, симптомы, диагностика и лечение
Добавил пользователь Евгений Кузнецов Обновлено: 21.11.2025
Задержка психического развития (ЗПР) - это темповое отставание развития психических процессов и незрелость эмоционально-волевой сферы у детей, которые потенциально могут быть преодолены с помощью специально организованного обучения и воспитания. Задержка психического развития характеризуется недостаточным уровнем развития моторики, речи, внимания, памяти, мышления, регуляции и саморегуляции поведения, примитивностью и неустойчивостью эмоций, плохой успеваемостью в школе. Диагностика ЗПР проводится коллегиально комиссией в составе медицинских специалистов, педагогов и психологов. Дети с задержкой психического развития нуждаются в специально организованном коррекционно-развивающем обучении и медицинском сопровождении.
Общие сведения
Задержка психического развития (ЗПР) представляет собой обратимые нарушения интеллектуальной и эмоционально-волевой сферы, сопровождающиеся специфическими трудностями в обучении. Число лиц с задержкой психического развития достигает 15-16% в детской популяции. ЗПР является в большей степени психолого-педагогической категорией, однако в ее основе могут лежать органические нарушения, поэтому данное состояние также рассматривается медицинскими дисциплинами - прежде всего, педиатрией и детской неврологией.
Поскольку развитие различных психических функций у детей происходит неравномерно, обычно заключение «задержка психического развития» устанавливается детям-дошкольникам не ранее 4-5 лет, а на практике - чаще в процессе школьного обучения.
Причины ЗПР
Этиологическую основу ЗПР составляют биологические и социально-психологические факторы, приводящие к темповой задержке интеллектуального и эмоционального развития ребенка.
1. Биологические факторы (негрубые органические повреждения ЦНС локального характера и их остаточные явления) вызывают нарушение созревания различных отделов головного мозга, что сопровождается парциальными нарушениями психического развития и деятельности ребенка. Среди причин биологического характера, действующих в перинатальном периоде и вызывающих задержку психического развития, наибольшее значение имеют:
- патология беременности (тяжелые токсикозы, резус-конфликт, гипоксия плода и др.), внутриутробные инфекции, внутричерепные родовые травмы, недоношенность, ядерная желтуха новорожденных, ФАС и т. д., приводящие к так называемой перинатальной энцефалопатии.
- тяжелые соматические заболевания ребенка (гипотрофия, грипп, нейроинфекции, рахит), черепно-мозговые травмы, эпилепсия и эпилептическая энцефалопатия и др., возникающие в постнатальном периоде и раннем детском возрасте.
- ЗПР иногда имеет наследственную природу и в некоторых семьях диагностируется из поколения в поколение.
2. Социальные факторы. Задержка психического развития может возникать под влиянием средовых (социальных) факторов, что однако не исключает наличие первоначальной органической основы нарушения. Чаще всего дети с ЗПР растут в условиях гипоопеки (безнадзорности) или гиперопеки, авторитарного характера воспитания, социальной депривации, дефицита общения со сверстниками и взрослыми.
Задержка психического развития вторичного характера может развиваться при ранних нарушениях слуха и зрения, дефектах речи вследствие выраженного дефицита сенсорной информации и общения.
Классификация
Группа детей с задержкой психического развития неоднородна. В специальной психологии предложено множество классификаций задержки психического развития. Рассмотрим этиопатогенетическую классификацию, предложенную К. С. Лебединской, которая выделяет 4 клинических типа ЗПР.
- ЗПР конституционального генеза обусловлена замедлением созревания ЦНС. Характеризуется гармоническим психическим и психофизическим инфантилизмом. При психическом инфантилизме ребенок ведет себя, как более младший по возрасту; при психо-физическом инфантилизме страдает эмоционально-волевая сфера и физическое развитие. Антропометрические данные и поведение таких детей не соответствуют хронологическому возрасту. Они эмоционально лабильны, непосредственны, отличаются недостаточным объемом внимания и памяти. Даже в школьном возрасте у них преобладают игровые интересы.
- ЗПР соматогенного генеза обусловлена тяжелыми и длительными соматическими заболеваниями ребенка в раннем возрасте, неизбежно задерживающими созревание и развитие ЦНС. В анамнезе детей с соматогенной задержкой психического развития часто встречаются бронхиальная астма, хроническая диспепсия, сердечно-сосудистая и почечная недостаточность, пневмонии и др. Обычно такие дети долгое время лечатся в больницах, что вдобавок обусловливает еще и сенсорную депривацию. ЗПР соматогенного генеза проявляется астеническим синдромом, низкой работоспособностью ребенка, меньшим объемом памяти, поверхностным вниманием, плохой сформированностью навыков деятельности, гиперактивностью или заторможенностью при переутомлении.
- ЗПР психогенного генеза обусловлена неблагоприятными социальными условиями, в которых пребывает ребенок (безнадзорностью, гиперопекой, жестоким обращением). Дефицит внимания к ребенку формирует психическую неустойчивость, импульсивность, отставание в интеллектуальном развитии. Повышенная забота воспитывает в ребенке безынициативность, эгоцентризм, безволие, отсутствие целеустремленности.
- ЗПР церебрально-органического генеза встречается наиболее часто. Обусловлена первичным негрубым органическим поражением головного мозга. В этом случае нарушения могут затрагивать отдельные сферы психики либо мозаично проявляться в различных психических сферах. Задержка психического развития церебрально-органического генеза характеризуется несформированностью эмоционально-волевой сферы и познавательной деятельности: отсутствием живости и яркости эмоций, низким уровнем притязаний, выраженной внушаемостью, бедностью воображения, двигательной расторможенностью и т. п.
Характеристика детей с ЗПР
Интеллектуальная сфера
Нарушения интеллекта у детей с задержкой психического развития носят легкий характер, однако затрагивают все интеллектуальные процессы: восприятие, внимание, память, мышление, речь.
Восприятие у ребенка с ЗПР фрагментарно, замедленно, неточно. Отдельные анализаторы работают полноценно, однако ребенок испытывает трудности при формировании целостных образов окружающего мира. Лучше развито зрительное восприятие, хуже - слуховое, поэтому объяснение учебного материала детям с задержкой психического развития должно сочетаться с наглядной опорой.
Внимание у детей с задержкой психического развития неустойчиво, кратковременно, поверхностно. Любые посторонние стимулы отвлекают ребенка и переключают внимание. Ситуации, связанные с концентрацией, сосредоточенностью на чем-либо, вызывают затруднения. В условиях переутомления и повышенного напряжения обнаруживаются признаки синдрома гиперактивности и дефицита внимания.
Память у детей с задержкой психического развития характеризуется мозаичностью запоминания материала, слабой избирательностью, преобладанием наглядно-образной памяти над вербальной, низкой мыслительной активностью при воспроизведении информации.
У детей с задержкой психического развития более сохранно наглядно-действенное мышление; более нарушенным оказывается образное мышление ввиду неточности восприятия. Абстрактно-логическое мышление невозможно без помощи взрослого. Дети с ЗПР испытывают трудности с анализом и синтезом, сравнением, обобщением; не могут упорядочить события, построить умозаключение, сформулировать выводы.
Речевой статус
Специфика речи у детей с задержкой психического развития отличается искажением артикуляции многих звуков, нарушением слуховой дифференциации, резким ограничением словарного запаса, трудностью произвольного контроля за грамматическим оформлением речи, затруднениями построения связного высказывания, речевой инактивностью. Наиболее часто ЗПР сочетается с задержкой речевого развития, полиморфной дислалией, нарушениями письменной речи (дисграфией и дислексией).
Эмоциональная сфера
Личностная сфера у детей с задержкой психического развития характеризуется эмоциональной лабильностью, легкой сменой настроения, внушаемостью, безынициативностью, безволием, незрелостью личности в целом. Могут отмечаться аффективные реакции, агрессивность, конфликтность, повышенная тревожность. Дети с задержкой психического развития часто замкнуты, предпочитают играть в одиночку, не стремятся контактировать со сверстниками. Игровая деятельность детей с ЗПР отличается однообразием и стереотипностью, отсутствием развернутого сюжета, бедностью фантазии, несоблюдением игровых правил. Особенности моторики включают двигательную неловкость, недостаточную координацию, часто - гиперкинезы и тики.
Особенностью задержки психического развития является то, что компенсация и обратимость нарушений возможны только в условиях специального обучения и воспитания.
Диагностика
Задержка психического развития у может быть диагностирована только в результате всестороннего обследования ребенка психолого-медико-педагогической комиссией (ПМПК) в составе детского психолога, логопеда, дефектолога, педиатра, детского невролога, психиатра и др. При этом производится:
- сбор и изучение анамнеза, анализ условий жизни;
- нейропсихологическое тестирование;
- диагностическое обследование речи;
- изучение медицинской документации ребенка;
- беседа с ребенком, исследование интеллектуальных процессов и эмоционально-волевых качеств.
На основании сведений о развитии ребенка члены ПМПК выносят заключении о наличии задержки психического развития, дают рекомендации по организации воспитания и обучения ребенка в условиях специальных образовательных учреждений.
С целью выявления органического субстрата задержки психического развития ребенок нуждается в обследовании медицинских специалистов, прежде всего, педиатра и детского невролога. Инструментальная диагностика может включать проведение ЭЭГ, КТ и МРТ головного мозга ребенку и т. д. Дифференциальная диагностика задержки психического развития должна проводиться с олигофренией и аутизмом.
Коррекция задержки психического развития
Работа с детьми с ЗПР требует мультидисциплинарного подхода и активного участия педиатров, детских неврологов, детских психологов, психиатров, логопедов, дефектологов. Коррекция задержки психического развития должна начинаться с дошкольного возраста и проводиться длительно.
Дети с задержкой психического развития должны посещать специализированные ДОУ (или группы), школы VII вида или коррекционные классы общеобразовательных школ. К особенностям обучения детей с ЗПР относятся дозированность учебного материала, опора на наглядность, многократное повторение, частая смена видов деятельности, использование здоровьесберегающих технологий.
Особое внимание при работе с такими детьми уделяется развитию:
- познавательных процессов (восприятия, внимания, памяти, мышления);
- эмоциональной, сенсорной и моторной сферы с помощью игровой терапии, сказкотерапии, детской арт-терапии.
- коррекции нарушений речи в рамках индивидуальных и групповых логопедических занятий.
Совместно с преподавателями коррекционную работу по обучению учащихся с задержкой психического развития проводят педагоги-дефектологи, психологи, социальные педагоги. Медицинская помощь детям с задержкой психического развития включает медикаментозную терапию в соответствии с выявленными соматическими и церебрально-органическими нарушениями, физиотерапию, ЛФК, массаж, водолечение.
Прогноз и профилактика
Отставание темпа психического развития ребенка от возрастных норм может и должно быть преодолено. Дети с задержкой психического развития обучаемы и при правильно организованной коррекционной работе в их развитии наблюдается положительная динамика. С помощью педагогов они способны усвоить знания, умения и навыки, которые их нормально развивающиеся сверстники осваивают самостоятельно. После окончания школы они могут продолжить свое обучение в ПТУ, колледжах и даже ВУЗах.
Профилактика задержки психического развития у ребенка предполагает тщательное планирование беременности, избегание неблагоприятных воздействий на плод, профилактику инфекционных и соматических заболеваний у детей раннего возраста, обеспечение благоприятный условий для воспитания и развития. При отставании ребенка в психомоторном развитии необходимо немедленное обследование у специалистов и организация коррекционной работы.
Школьная незрелость
Школьная незрелость - это несоответствие уровня развития определенных мозговых структур, психических функций требованиям школьного обучения. Проявляется несформированностью зрительно-моторной координации, мелко-моторных движений, логического мышления, недостаточной произвольностью поведения и когнитивных процессов, социальной незрелостью, ориентацией на игровую деятельность. Диагностика проводится клиническими, психодиагностическими, нейропсихологическими методами. Лечение основано на коррекционных мероприятиях, дополняется медикаментозной терапией.
МКБ-10
Школьная незрелость определяется как недостаточная сформированность одного либо нескольких компонентов психологической подготовленности к школе. Ошибочно ассоциировать данное состояние с общим отставанием развития либо интеллектуальной недостаточностью. Психологическая готовность учиться включает в себя определенный уровень развития мыслительных функций, познавательного интереса, способности к произвольной регуляции собственных действий, понимания и принятия позиции школьника. Школьную незрелость называют низкой, недостаточной функциональной готовностью к школе. По различным данным, распространенность феномена среди первоклассников составляет 10-12%.
Причины
Психологическая неготовность к процессу обучения формируется на основе биологических и социальных факторов. Часто физиологически медленное созревание центральной нервной системы сочетается с неблагоприятными условиями среды. К причинам школьной незрелости относятся:
- Пренатальные и натальные осложнения. Тяжелый токсикоз, гипоксия плода, внутриутробные инфекции, интоксикации, травмы в период беременности и родов негативно сказываются на последующем развитии ребенка. Минимальная мозговая дисфункция проявляется в кризисный период - при поступлении в школу.
- Соматические заболевания. Длительные, хронически протекающие и тяжелые острые патологии замедляют процессы психического и физического развития. Соматически ослабленные дети испытывают трудности в усвоении новой информации, хуже адаптируются к изменениям окружающей среды.
- Педагогическая запущенность. Недостаточная функциональная готовность к обучению может являться результатом неблагоприятных материально-бытовых условий, асоциального образа жизни родителей, гипоопеки, неэффективной педагогической тактики. Отсутствие внешних стимулов к развитию замедляет созревание нервной системы.
Патогенез
В основе психологической неготовности к школе лежит недостаточная зрелость структур мозга. Как правило, функционально недоразвитыми являются лобные, теменные, височные области. Клинически это проявляется нарушением функций программирования и контроля деятельности, слухоречевого, пространственного восприятия, нестабильностью базовых эмоций. Незрелость нервной системы может быть вызвана биологическими и средовыми влияниями.
Наиболее уязвимым является переходный период от дошкольника к школьнику. Данный возрастной этап сенситивен к развитию высших функций психики, формированию социальных навыков, сочетается с повышенной стрессовой нагрузкой - поступлением в школу. С течением времени выраженность клинической картины уменьшается: ребенок постепенно адаптируется к учебному процессу, правилам поведения, параллельно происходит дозревание функциональных механизмов ЦНС.
Школьная незрелость состоит из ряда компонентов, согласно которым производится классификация. В зависимости от преобладающих клинических проявлений выделяют четыре ее типа:
- Социально-психологическая. Отличается низкой потребностью в общении, неумением сотрудничать, подчиняться нормам, правилам. Ребенок испытывает трудности установления контактов с учителями, сверстниками.
- Интеллектуальная. Отсутствуют начальные навыки, необходимые для учебной деятельности: ребенок не умеет держать карандаш, не ориентируется на пространстве листа, не концентрирует внимание на информации от учителя. Недостаточно развито наглядно-образное мышление, воображение, память, мелко-моторные движения.
- Личностная. Не сформировано положительное отношение к ученической деятельности, школе, учителям. Отсутствует восприятия себя как ученика. Ребенку трудно управлять своим поведением и эмоциями в соответствии с нормами, правилами школы.
- Мотивационная. Ребенок ориентирован на игру, учебные мотивы отсутствуют. Не развита способность ограничивать желания, преодолевать трудности. Нет понимания важности, необходимости учения.
Симптомы школьной незрелости
Школьники с низким уровнем функциональной готовности с трудом усваивают и выполняют предъявляемые требования, имеют плохую успеваемость, крайне недисциплинированны. Дети опаздывают на уроки, встают с места во время занятия, отвлекаются на разговоры, игры, рисование, часто «не слышат» учителя, на замечания реагируют агрессией, необоснованным смехом. Произвольное внимание неустойчиво, концентрация на задании непродолжительна. Затруднено понимание инструкций, условий задания.
Недостаточное развитие мелкой моторики, скоординированности движений руки и зрительного контроля, неумение следовать образцу проявляется трудностями формирования навыков чтения, письма. Дети долго осваивают правописание, допускают множество ошибок, почерк неаккуратный. В сочетании с недостаточным развитием произвольности, учебной мотивации это приводит к отказам от выполнения заданий, прогулам уроков, грубому отношению к учителям. Самостоятельная работа невозможна. Освоение учебной программы осуществляется при постоянной организующей и направляющей помощи взрослого.
Низкий уровень дисциплины, неумение устанавливать межличностные контакты способствуют формированию позиции изгоя. Дети со школьной незрелостью имеют мало друзей, так как большинство сверстников принимают социальную позицию школьника, стремятся быть прилежными, успевающими. Реакция на непринятие одноклассниками может стать пассивно-безучастной, негативно-протестной, демонстративно-протестной. Дети отгораживаются от окружающих, не участвуют в играх либо реагируют агрессивно - забирают игрушки, ломают карандаши, рвут листы тетрадей, учебников.
Осложнения
Школьная незрелость без специальной коррекции формирует учебную неуспеваемость. С одной стороны, этому способствует недостаточно развитая мелкая моторика, несформированный фонематический слух, отвлекаемость внимания, с другой - конфликты со сверстниками, учителями, нежелание следовать режиму учебного заведения. Эмоционально-поведенческая незрелость закрепляется через отношения с педагогами и сверстниками. Формируется позиция «двоечника», «прогульщика», «изгоя». К подростковому возрасту закрепляются черты демонстративного, возбудимого, неустойчивого типов характера. Формируется девиантное поведение, нарастает социальная дезадаптация - подростки употребляют алкоголь, наркотики, совершают преступные действия.
Диагностика школьной незрелости проводится клиническим психологом, нейропсихологом, врачом-психиатром. В случае неврологических и иных соматических заболеваний рекомендуется осмотр невролога, педиатра. Специфическое обследование включает ряд процедур:
- Клиническую беседу. Врач-психиатр проводит опрос жалоб родителя, собирает анамнез, выписки заключений узких специалистов (невролога, отоларинголога, окулиста). Беседуя с ребенком, оценивает уровень интеллектуального, эмоционально-личностного развития, социальную компетентность.
- Психодиагностику. Психологи используют комплексные тесты и диагностические программы, ориентированные на выявление различных компонентов школьной незрелости. Распространены следующие методики: «Экспресс-диагностика готовности к школьному обучению» («Генезис»), «Тест школьной зрелости Керна-Йирасека», «Способность к обучению в школе» (Г. Витцлак).
- Нейропсиходиагностику. Обследование выявляет первопричины проблемы - незрелость отдельных мозговых центров. Применяются нейропсихологические пробы различной направленности - на оценку пространственного гнозиса, праксиса, слухоречевого восприятия и других функций.
Важна дифференциальная диагностика с отставанием интеллектуального развития при умственной отсталости, деменциях, органических поражениях головного мозга, специфических расстройствах поведения. Основной признак психофизиологической неготовности - поведение и эмоции адекватны более раннему периоду развития (не патологические), недостаточность когнитивных функций легкая, поддается коррекции.
Лечение школьной незрелости
Основная задача терапии - скорректировать отставание интеллектуального, эмоционального, мотивационного, поведенческого, волевого, двигательного развития. Лечение включает:
- Психолого-педагогическую коррекцию. В образовательном учреждении создаются специальные условия, способствующие «дозреванию» школьника. Они оформляются как занятия со школьным психологом, логопедом, дополнительные занятия с классным учителем.
- Поведенческие тренинги. При доминирующем отставании социальной, мотивационной, личностной незрелости детям рекомендуется посещение групповых занятий с психотерапевтом. В форме игры, увлекательных упражнений происходит отработка навыков сотрудничества, коммуникации, «примерка» роли школьника.
- Нейропсихологическую коррекцию. Специалист составляет индивидуальную программу с учетом результатов обследования. Занятия нацелены на развитие, стимуляцию дозревания определенных отделов мозга.
- Прием медикаментов. Вопрос о необходимости применения лекарственных средств решается индивидуально с психиатром, неврологом. Назначаются ноотропы, аминокислоты, транквилизаторы.
Адекватная коррекционная программа, индивидуальный подход педагогов помогают устранить школьную незрелость в течение 1-2 лет. Прогноз наиболее благоприятный при отсутствии сопутствующих заболеваний. Профилактика основана на поддержании здоровья женщины в период беременности и ребенка в первые годы жизни, создании оптимальных условий для его умственного и физического развития. Важна демонстрация родителями положительного отношения к школе. Поступление в первый класс должно быть долгожданным, радостным событием, будущую позицию ребенка-школьника необходимо рассматривать как возможность получить новые знания, завести друзей.
Что такое школьная незрелость и как ее выявить?

7 лет — именно тот возраст, когда мозг ребенка готов к школьным нагрузкам. Однако, учителя считают, что при этом 10-15% учеников ежегодно оказываются не готовыми к школе. Проблемы у детей проявляются в письме, чтении, потере внимания или плохой ориентации в тетради. 60% этих проблем связаны со школьной незрелостью.
Школьная незрелость — неспособность ребенка принять нормы поведения в школе и роль ученика, плохая обучаемость, отсутствие внимания, как следствие — неуспеваемость. Ребенок не настроен учиться, он бывает медлительным или наоборот гиперактивным. Это связано с несоответствием развития определенных участков мозга.
Обычно школьную незрелость выявляют до школы — ее ставит под вопрос невролог и детский психолог. Именно врачи проводят диагностику, выявляют слабые стороны и назначают лечение и корректирующие упражнения. В некоторых случаях незрелость могут поставить уже в школе.
Признаки школьной незрелости
1. Слабо развита память и произвольное внимание. Ребенку тяжело надолго концентрироваться на задании, его внимание переключается с одного на другое, и он не может самостоятельно вернуться к началу.
2. Плохо развита мелкая моторика, координация, ребенок не ориентируется на листе бумаги, не может следовать образцу, со временем возникают сложности с чтением и письмом.
3. Ребенку сложно дается работа в коллективе, он не следит за ходом классной работы, за ответами других учеников, легко отвлекается на игру.
4. Общение. Ребенок не нуждается в общении с другими детьми, родители чаще видят его играющим самостоятельно. Из-за этого признака у детей со школьной незрелостью может появиться статус изгоя.
Школьная незрелость поддается лечению и корректировке в поведении. Врачи и учителя назначают ребенку занятия, упражнения и, в некоторых случаях, медикаментозное лечение. Игнорирование симптомов незрелости приводит не только к неуспеваемости, но и к тому, что ребенок находится в постоянном стрессе от учебы — это сказывается на его здоровье. В отдельных случаях психологи советуют отложить школу на год — если речь идет о детях 6 лет. За год мозг и нервная система дозревают, а с другими сложностями справляются задания и развивающие упражнения.
Упражнения для подготовки ребенка к школе
Для успешной учебы ребенок должен не только хорошо запоминать учебный материал, но и контролировать собственные эмоции — они влияют на самодисциплину при выполнении заданий.
Упражнения для развития эмоциональной сферы:
1. Посмотрите вместе с ребенком журнал или книгу с иллюстрациями, обратите его внимание на изображения персонажей. Попросите малыша описать — какие эмоции или чувства испытывает герой, какое у него настроение. Пусть ребенок пофантазирует — что именно вызвало такие эмоции. Это упражнение поможет ребенку не только научиться разбираться в чужих чувствах, но и легче понимать собственные.
2. Игра “Покажи эмоцию”. Предложите малышу по очереди изображать разные эмоции. Если ребенок уже умеет читать, напишите название эмоций на разных бумажках и сложите их в коробку, из которой и будете их вытаскивать.
3. Во время вечернего чтения книги спросите у ребенка, какие эмоции испытывает персонаж, о котором вы читаете.
Упражнения для развития памяти, внимания, мышления:
1. Зрительная память. Сложите из счетных палочек или спичек фигуру — начните с простой из 5-7 палочек: квадрат, домик, елочка. Предложите ребенку хорошо ее рассмотреть, а потом накройте ее листом и попросите малыша собрать такую же фигуру. Со временем усложняйте задания, используйте все большее количество палочек.
2. Кратковременная слуховая память: расскажите малышу небольшое стихотворение или четверостишие. Повторите еще раз и предложите повторить его вместе. Попросите ребенка самостоятельно повторить стишок, при необходимости подсказывая начало строк. С развитием памяти — усложняйте задание, увеличивая объем стихотворения.
3. Логическое мышление. Предложите ребенку составить узор под вашу диктовку, с определенной последовательностью и количеством фигур: синий квадрат, два красных треугольника, синий квадрат, два красных треугольника. Затем предложите ребенку продолжить узор самостоятельно. Со временем усложняйте задание с большим количеством фигур или повторений.
Логика, мышление, внимание и память в учебе — словно фундамент дома: если он крепкий, дом продержится много лет, если шаткий — он рухнет при малейшей непогоде.
На обучающей платформе Разумейкин есть блоки на развитие памяти, внимания, логики и мышления. Мы разработали задания в соответствии с возрастными нормами, поэтому вам будет легко подобрать подходящий учебный материал для каждого возраста.
Онлайн-занятия на сайте «Разумейкин»:
развивают внимание, память, мышление, речь — а именно это является основой для успешного обучения в школе;
помогают изучить буквы и цифры, научиться читать, считать, решать примеры и задачи, познакомиться с основами окружающего мира;
обеспечивают качественную подготовку ребёнка к школе;
позволяют ученикам начальных классов освоить и закрепить наиболее важные и сложные темы школьной программы;
расширяют кругозор детей и в доступной форме знакомят их с основами различных наук (биологии, географии, физики, химии).
Задержка речевого развития - симптомы и лечение
Что такое задержка речевого развития? Причины возникновения, диагностику и методы лечения разберем в статье доктора Гавриловой Татьяны Алексеевны, детского невролога со стажем в 21 год.
Над статьей доктора Гавриловой Татьяны Алексеевны работали литературный редактор Вера Васина , научный редактор Сергей Федосов и шеф-редактор Лада Родчанина
Определение болезни. Причины заболевания
Задержка речевого развития (ЗРР) — более позднее в сравнении с возрастными нормами овладение ребёнком устной речью [2] . Например, в среднем в два года дети уже объединяют слова в небольшие фразы, в три — строят предложения, а в четыре — соединяют их в рассказ.
Задержка речевого развития может сопровождать следующие нарушения:
- расстройство экспрессивной речи — ребёнок не произносит слова, не строит диалог;
- проблемы с рецептивной речью — не воспринимает речь;
- отклонение в речевой артикуляции — не произносит звуки;
- афазия при аутизме — не говорит и не понимает речь;
- умственная отсталость — нарушены интеллект и поведение, не развиты социально-бытовые навыки;
- глухота.
ЗРР могут вызывать причины, возникшие во время беременности. Основные из них:
- хроническая внутриутробная гипоксия плода;
- поражение центральной нервной системы из-за недостатка кислорода в органах и тканях;
- внутриутробное инфицирование; (избыток спинномозговой жидкости в полости черепа);
- генетические заболевания, в том числе синдром Дауна;
- недоношенность;
- родовая травма;
- аномалии развития, например волчья пасть, заячья губа, микрогнатия (недоразвитая нижняя челюсть), которые затрудняют работу органов артикуляции [2][4].

Факторы, приводящие к ЗРР после рождения:
- нейроинфекция, например менингит , менингоэнцефалит;
- снижение слуха после отита;
- дефицит общения;
- тяжёлая болезнь, госпитализация, сильный стресс — ребёнок может отставать в развитии после ожога, сильного испуга, потери близкого человека;
- генетическая предрасположенность — высокая чувствительность речевых зон мозга к повреждающим факторам [3][11].
Диагноз "задержка речевого развития" не ставят до двух лет, так как речь может спонтанно появиться без помощи специалистов. С двух до трёх лет ребёнку могут диагностировать "замедление темпов речевого развития". В таком случае ему желательно начать заниматься с логопедом.
Если в три года постановлен диагноз "задержка речевого развития", необходима комплексная медико-педагогическая реабилитация. Без лечения к пяти годам ребёнок начинает заметно отставать в психоречевом развитии. Это возникает из-за того, что он не общается с другими детьми и взрослыми, не задаёт вопросов, расширяющих кругозор. В дальнейшем это приводит стойкому речевому и интеллектуальному дефектам, и ребёнок сможет обучаться только в специальной коррекционной школе.
Таким образом, важно своевременно выявить задержку и начать развивать речь. Оптимальный возраст для педагогического и медицинского воздействия — 3-5 лет.
При обнаружении схожих симптомов проконсультируйтесь у врача. Не занимайтесь самолечением - это опасно для вашего здоровья!
Симптомы задержки речевого развития
Отставание в развитии проявляется различными симптомами [2] [8] [9] [11] :
- При задержке речевого развития (ЗРР) — ребёнок говорит, но словарный запас и построение фраз соответствуют более младшему возрасту. Например в три года он не составляет фразы, а использует единичные слова, как годовалые дети; у ребёнка нарушена дикция и его понимают только близкие родственники.
- При задержке психоречевого развития (ЗПРР) — дети воспринимают речь на бытовом уровне, но не понимают сложные предложения и не вступают в диалог. Игры примитивные, чаще подвижные или разрушительные без сложного ролевого компонента. С опозданием формируются бытовые навыки — ребёнок не умеет самостоятельно есть, одеваться, ходить в туалет.
- При моторной алалии — ребёнок понимает речь, выполняет просьбы и сложные задания педагога, но не говорит. Интеллект, как правило, сохранен, бытовые навыки сформированы.
- При сенсомоторной алалии— ребёнок слышит звуки, но не понимает речь. Отсутствует пассивный словарный запас: дети не запоминают названия предметов на слух. В результате нет и активного словарного запаса: ребёнок не произносит слова.
- При нарушении дикции(дизартрии)— у детей часто приоткрыт рот, нарушено звукопроизношение, усилено слюнотечение. Патология связана с повреждением отделов головного мозга: коры, мозжечка, стволовых и подкорковых структур, проводящих путей. При мозжечковой дизартрии нарушен темп речи (брадилалия — замедление темпа), ребёнок говорит тихим голосом, произносит слова по слогам. Это вызвано ослабленным речевым дыханием.
- При аутизме ребёнок может механически произносить слова и фразы (эхолалия), не понимать смысл сказанного, либо же понимать речь, но не отвечать на неё. Заболевание проявлено характерными чертами: стереотипными движениями и играми, аутоагрессией (ребёнок бьёт и кусает себя). Дети не смотрят в глаза, не обращаются с просьбами, избирательны в пище, избегают контакта с посторонними людьми.
Патогенез задержки речевого развития
Патогенез зависит от причины, которая привела к задержке речевого развития [2] [3] [4] :
- При перинатальном поражении головного мозга ( гипоксии, внутриутробном инфицировании, кровоизлиянии при родах) часть клеток головного мозга погибает, а оставшиеся повреждены и не формируют между собой новые связи. Взаимодействие между нейронами — необходимое условие для того, чтобы сформировались речевые навыки. В зависимости от пострадавших зон головного мозга, возникают различные нарушения. Например, если повреждена зона Вернике, то ребёнок не понимает речь и у него не формируется пассивный словарный запас — он не запоминает названия предметов и действий. Если пострадала зона Брока, то не пополняется активный словарный запас и ребёнок не произносит слова.
- При гидроцефалии повышенное внутричерепное давление приводит к расширению желудочковой системы с истончением белого вещества головного мозга. Происходит сдавление проводящих путей, которые связывают различные зоны мозга. Нарушается взаимодействие речевых зон, необходимое, например, для ответа на вопросы. Когда ребёнку задают вопрос — "понимает" его зона Вернике. Она связывается по проводящим путям с зоной Брока, которая "формирует" активный ответ, и ребёнок отвечает. Но если пострадали проводящие пути, то ребёнок не отвечают на вопросы, хотя понимает речь и спонтанно произносит слова. Если повреждены проводящие пути, обеспечивающие нервами речевую мускулатуру, то у ребёнка нарушается дикция.

- При внутриутробных аномалиях развития и генетических заболеваниях, например при синдроме Дауна, размеры языка часто не соответствуют нижней челюсти, что затрудняет произнесение звуков. Кроме того, у детей с синдромом Дауна мышцы губ, языка, челюсти расслабленные и вялые, поэтому ими труднее управлять.
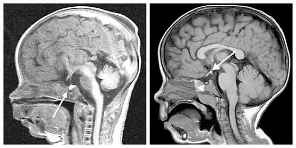
- При аномалиях развития мозжечка, таких как гипоплазия полушарий мозжечка (уменьшение его в размерах) или ретроцеребеллярная киста (новообразование в задней черепной ямке за мозжечком), ребёнок произносит слова тихим голосом по слогам. Это вызвано слабой воздушной струёй и происходит потому что киста сдавливает мозжечок и нарушает его работу.

Внешние факторы, сдерживающие речевое развитие [1] [8] :
- Недостаточная речевая среда, например вместо общения дети весь день смотрят мультфильмы;
- Постоянное использование соски в 2-3 года;
- Двуязычность в семье может усилить даже небольшие нарушения речи. Мозгу сложно "разобраться" в разных структурах языков.
Классификация и стадии развития задержки речевого развития
Педагоги и неврологи используют разные классификации. Неврологи выделяют:
1. Нарушения, вызванные органическим повреждением головного мозга:
- алалия — развивается при повреждении зон коры головного мозга до того, как сформировалась речь. Выделяют моторную алалию, при которой ребёнок не говорит, но понимает речь и сенсомоторную — не воспринимает речь и не говорит;
- афазия — ранее ребёнок разговаривал, но перестал из-за поражения корковых зон речи, например после менингита или сотрясения головного мозга.
- дизартрия — произнесение звуков нарушено из-за повреждения нервной системы и связанной с ней речевой мускулатуры;
2. Функциональные нарушения речи, например заикание .
3. Дефекты строения артикуляционного аппарата — заячья губа, расщелина верхнего нёба.

4. Задержка развития речи у недоношенных детей, ослабленных длительной болезнью или недостатком общения.
Педагоги применяют другую классификацию . Она помогает объединить детей в группы со схожим уровнем речевого развития [5] [15] :
- первый уровень общего недоразвития речи (ОНР) — это "безречевые дети", которые не говорят совсем либо произносят отдельные простые слова.
- второй уровень ОНР — в разговоре используют простые фразы.
- третий уровень ОНР — строят предложения, общаются, но в речи много ошибок (путают окончания, рода, числа, падежи, предлоги).
Занятия с логопедом-дефектологом развивают речь от первого уровня ОНР ко второму и третьему. При этом дикция может длительно оставаться нарушенной.
Осложнения задержки речевого развития
Речь — это основа интеллекта. Общаясь со сверстниками и взрослыми, дети познают окружающий мир, расширяют кругозор, учатся формулировать мысли. Если ребёнок не говорит, он всё сильнее отстаёт от сверстников и задержка развития усугубляется. До трёх лет это лишь отставание в темпе развития речи, в три-четыре года — задержка речевого развития, а в пять лет уже задержка психоречевого развития. Без комплексной медико-педагогической реабилитации у ребёнка нарушается память и внимание, появляются трудности в обучении. Такие дети с трудом учатся писать, читают медленно и с ошибками, испытывают проблемы с пониманием и пересказом прочитанного. Это приводит к тому, что ребёнок в дальнейшем может обучаться только в специальной корректирующей школе [1] [5] [8] [14] .
Диагностика задержки речевого развития
Задержку развития речи выявляют детский невролог и логопед-дефектолог [2] [3] [11] [15] .
Невролог уточняет у родителей, как протекали беременность и роды, в каком возрасте ребёнок начал говорить, строит ли он предложения, понимает ли простые и сложные фразы. При подозрении на умственную отсталость или аутизм невролог направляет ребёнка к психиатру. При снижении слуха — к сурдологу. Специалист определяет уровень нарушения и при необходимости подбирает слуховой аппарат.
Невролог может назначить следующие обследования:
- электроэнцефалография (ЭЭГ) — чтобы исследовать деятельность головного мозга;
- ультразвуковая доплерография (УЗДГ) — проверить состояние сосудов головного мозга;

- компьютерная томография (КТ) или магнитно-резонансная томография (МРТ) головного мозга — для выявления аномалий развития, повреждения коры или проводящих путей, гидроцефалию.

Все эти исследования необходимы, чтобы выявить причину нарушения. Для постановки диагноза "задержка речевого развития" достаточно установить отставание от возрастных норм развития речи [1] [2] [7] :
- В год — ребёнок произносит до 10 простых слов: мама, папа, дай, на, ням-ням, бибика или другие подобные слова.
- В два — речь усложняется, словарный запас расширяется до 50 слов и более. Дети соединяют слова между собой во фразы и задают вопросы, например: " Что это? " .
- В три — появляются предложения и много новых слов, ребёнка начинают понимать посторонние люди. Дети знают и называют свой пол, возраст, имена родителей.
- В четыре — ребёнок учится соединять предложения между собой по смыслу в маленький простой рассказ. Появляются вопросы: " Зачем? " и " Почему? " .
- В пять лет — описывает произошедшие события и выговаривает все звуки, кроме "Р".
Если ребёнок отстаёт от возрастной нормы более чем на полгода, то следует обратиться к врачу. Задержку речевого развития важно своевременно отличить от аутизма. При аутизме проблемы с речью осложнены специфическими симптомами: дети погружены в свой внутренний мир, не обращают внимание на сверстников, не смотрят в глаза. Они часто совершают стереотипные действия, механически повторяют слова, боятся перемен и всего нового. Такие дети любят выстраивать игрушки рядами, многократно смотреть один и тот же мультфильм, могут обладать феноменальной зрительной памятью. Они не откликаются на имя, не выполняют просьбы. Очень избирательны в пище: употребляют несколько продуктов, от других отказываются. Могут быть агрессивны, истеричны, гиперактивны.

При подозрении на аутизм лечение начинают немедленно, не дожидаясь 3-5 лет. В раннем детстве мозг пластичен и при своевременной реабилитации аутизм может сгладиться, а ребёнок в развитии догнать сверстников.
Лечение задержки речевого развития
Занятия с логопедом. Логопед проводит с ребёнком специальные уроки по запуску и развитию речи, помогает правильно строить предложения. Такие методики включают артикуляционную гимнастику, упражнения на постановку звуков, игровые техники, например пальчиковый кукольный театр. Если ребёнок понимают фразы, его интеллект сохранен, а речь запаздывает на полгода-год, то логопедических занятий бывает достаточно [1] [8] .
Занятия с логопедом-дефектологом отличаются от обычных логопедических занятий. Например, логопед-дефектолог умеет работать с детьми, которые плохо понимают речь, с грубыми задержками развития. На занятиях ребёнок изучает основные понятия (большое/маленькое, цвет, форма, размер), делает упражнения для улучшения мелкой моторики, заучивает названия предметов для формирования пассивного словарного запаса. После освоения базовых знаний логопед-дефектолог приступает к развитию экспрессивной речи [7] [12] [15] .
Комплексная медико-педагогическая реабилитация при задержке психоречевого развития. Если ребёнок плохо понимает речь, возбудим, у него не выработаны социально-бытовые навыки, то может потребоваться комплексная реабилитация. В таких случаях речь существенно отстаёт от возрастной нормы, грубо нарушена дикция, выражены другие неврологические симптомы [2] . Чтобы развить речь неврологи назначают ноотропные препараты: кортексин , когитум , цераксон . По заявлению производителей, препараты активизируют нейроны, улучшают передачу нервных импульсов и устраняют последствия гипоксии — нехватки кислорода. (Эффективность этих препаратов при задержке речевого развития не доказана в исследованиях, а в новых российских клинических рекомендациях по лечению аутизма группа экспертов уже описала ноотропы, как неэффективный метод лечения расстройства — прим. ред. "ПроБолезни"). Нормализовать работу нервной системы помогут и витамины группы В. Однако важно помнить, что назначает препараты только детский невролог с учётом особенностей ребёнка, так как лекарства способны вызывать перевозбуждение и аллергические реакции [2] [16] .
Микротоковая рефлексотерапия — метод лечения детей с задержками развития речи, разрешённый и рекомендованный Минздравом РФ. Заключается в выборочной активизации речевых зоны головного мозга:
- область Вернике (отвечает за понимание речи);
- область Брока (связана с активным словарным запасом и желанием разговаривать);
Кроме того, развития логическое мышление и сформировать бытовые навыки поможет воздействие на лобные доли. Лечение проводят под контролем электроэнцефалографии (ЭЭГ) [6] [13] [14] .
Логопедический массаж — это воздействие на артикуляционную мускулатуру: мышцы лица, языка, губ, мягкого нёба. Манипуляции проводят стерильными зондами. Цель массажа — нормализовать тонус мышц языка, круговой мышцы рта, улучшить кровоснабжение органов артикуляции. Метод необходим детям с чрезмерным слюнотечением, нарушенной дикцией. Процедуру назначают и неговорящим пациентам, поскольку речь может отсутствовать из-за неумения управлять органами артикуляции [10] [13] .
Прогноз. Профилактика
Если нет грубого органического поражения головного мозга, реабилитация начата до пяти лет и речь удалось развить до школы, то прогноз благоприятный [1] [2] [5] [7] .
При выраженной задержке психоречевого развития, органическом поражении головного мозга, серьёзных расстройствах речевых центров и без своевременного лечения нарушение сохраняется. Это приводит к тому, что ребёнок в дальнейшем испытывает существенные трудности в обучении и при социализации.
Для развития речи важно разговаривать с ребёнком с самого рождения, читать ему книжки вслух, объяснять, что происходит вокруг и показывать мультфильмы на родном языке.
Гипофизарный нанизм (карликовость) - симптомы и лечение
Что такое гипофизарный нанизм (карликовость)? Причины возникновения, диагностику и методы лечения разберем в статье доктора Скворцовой Ольги Викторовны, детского эндокринолога со стажем в 9 лет.
Над статьей доктора Скворцовой Ольги Викторовны работали литературный редактор Маргарита Тихонова , научный редактор Сергей Федосов и шеф-редактор Лада Родчанина
Гипофизарный нанизм, или гипопитуитаризм — это заболевание, при котором частично или полностью прекращается выработка гормона роста — соматотропина (соматотропного гормона) [1] . Оно сопровождается нарушением роста скелета, из-за чего мужчины не вырастают выше 130 см, а женщины — выше 120 см. В связи с этим характерным проявлением болезнь также называют карликовостью.

Наиболее частые причины гипофизарного нанизма:
- Наследственность — мутации в гене соматотропного гормона (GH1) или его рецепторах. Частота встречаемости врождённого гипопитуитаризма колеблется от 1:4000 до 1:10000 [5] .
- Дефекты развития гипоталамо-гипофизарной системы — области головного мозга, где вырабатывается соматотропный гормон:
- гипоплазия (недоразвитие) гипофиза;
- полное отсутствие гипофиза. При этом дефицит гормона роста сочетается с нехваткой других гормонов, которые вырабатываются в гипофизе. Такое состояние называется пангипопитуитаризмом. Оно проявляется надпочечниковой недостаточностью, ухудшением работы щитовидной железы (гипотиреозом), несахарным диабетом, гипогонадотропным гипогонадизмом (отсутствием полового развития и дефицитом гормона роста).
- Опухоли гипофиза:
- краниофарингиома — доброкачественная опухоль гипофизарной области, одна из самых распространённых в детском возрасте;
- гамартома — редкий вид доброкачественной опухоли;
- герминома — редкий вид опухоли, чаще всего бывает злокачественной — и др.
- Травмы головного мозга с повреждением гипофиза, возникшие до того, как человек достиг социально приемлемого роста — 155-170 см (например, родовая травма).
- Инфекционные заболевания — менингиты, энцефалиты и др.
- Облучение головы и шеи.
- Токсические последствия химиотерапии.
Теоретически, спровоцировать развитие гипофизарного нанизма может любое заболевание, которое будет затрагивать работу гипофиза.
Симптомы гипофизарного нанизма
Гипофизарный нанизм проявляется по-разному. Симптоматика зависит от причин дефицита гормона роста.
Основной симптом — отставание в темпах линейного роста [2] . Такие дети вырастают менее чем на 4 см в год. Нарушение динамики роста будет заметно уже в первые месяцы жизни ребёнка. Если повреждение гипоталамуса или гипофиза возникло в более позднем возрасте, то отставание в росте будет отмечаться позднее. Также для детей с гипофизарным нанизмом характерно отставание костного (биологического) возраста от паспортного (фактического) более чем на 2-3 года.

При нехватке гормонов роста телосложение остаётся пропорциональным. Это важный диагностический критерий: он позволяет исключить разные формы скелетных дисплазий [9] .

Симптомами врождённого гипофизарного нанизма у новорождённых являются:
- гипогликемия — низкий уровень глюкозы в крови натощак. Это физиологическое состояние может встречаться и у здоровых детей из-за незрелости поджелудочной железы. Дети с нанизмом сталкиваются с ним гораздо чаще, особенно на первом году жизни, поскольку гормон роста участвует в регуляции углеводного обмена;
- позднее закрытие большого родничка;
- задержка костного созревания;
- истончение кожи — может быть связано со снижением функции щитовидной железы;
- медленный рост ногтей и волос;
- высокий голос.
Часто у детей с гипопитуитаризмом встречается множественный кариес зубов. Это объясняется задержкой окостенения скелета и снижением обменных процессов в костной ткани.
Психоинтеллектуальное развитие у детей с гипофизарным нанизмом, как правило, не страдает, но возможны некоторые психологические проблемы: повышенная потребность в родительской опеке, снижение самооценки, трудности в общении со сверстниками.
Патогенез гипофизарного нанизма
В зависимости от причин дефицита соматотропного гормона есть несколько вариантов механизмов развития заболевания. При этом в основе патогенеза всегда будет лежать нарушение выработки гормона роста. В дальнейшем его нехватка станет причиной нарушения работы органов и систем, на которые он оказывает влияние: костной, мышечной и соединительной ткани, жирового углеводного обмена. В некоторых случаях первоначально будут развиваться гипоталамические нарушения, а недостаточность соматотропного гормона станет вторичным проявлением.

Молекулярной основой изолированного дефицита гормона роста является мутация определённого гена, которая не даёт организму синтезировать гормон. От видов генетических мутаций зависит, будет ли дефицит соматотропного гормона изолированным, или же он будет сочетаться с нехваткой других гормонов гипофиза, которые лежат в основе других патологий:
- дефицит тиреотропного гормона — вторичный гипотиреоз;
- дефицит пролактина — гипопролактинемия;
- дефицит гонадотропинов — аменорея и недоразвитие половых органов у женщин, снижение потенции и либидо у мужчин;
- дефицит АКТГ — вторичная недостаточность надпочечников;
- дефицит вазопрессина — несахарный диабет;
- дефицит кортизола — гипокортицизм.
У некоторых пациентов с мутацией конкретных генов выявляется гиперплазия передней доли гипофиза (аденогипофиза). В процессе жизни может произойти её атрофия вплоть до формирования синдрома "пустого турецкого седла" — недостаточности области головного мозга, где расположен гипофиз. Данный синдром приводит к внедрению мягкой мозговой оболочки в полость турецкого седла, сдавлению и уменьшению гипофиза, что нарушает или полностью прекращает его работу.

В подобных случаях дефицит гормона роста и других гормонов гипофиза будет возникать постепенно [3] .
Классификация и стадии развития гипофизарного нанизма
Единой, общепринятой классификации гипофизарного нанизма не существует. Наиболее удобной для практикующих врачей является классификация, основанная на причинах заболевания. Она выделяет две большие группы: врождённый и приобретённый гипопитуитаризм [4] .
Врождённый гипофизарный нанизм делится на три подгруппы:
- Наследственный:
- изолированный дефицит гормона роста: мутации гена самого гормона (GH1) или мутации гена рецептора к соматотропину (GHRHR);
- множественный дефицит гормонов передней доли гипофиза: мутации гена PIT-1 или гена PROP1.
- Идиопатический (незафисимый) дефицит СТГ-релизинг гормонов, которые стимулируют выработку гормонов передней доли гипофиза.
- Дефекты развития гипоталамо-гипофизарной системы:
- патология срединной трубки;
- нарушение развития гипофиза: врождённая аплазия (отсутствие гипофиза), гипоплазия (недоразвитие), эктопия (неправильное расположение).
Приобретённый гипофизарный нанизм включает в себя девять причин развития болезни:
- Опухоли гипоталамуса и гипофиза: краниофарингиома, гамартома, нейрофиброма, герминома, аденома гипофиза.
- Опухоли других отделов мозга: глиома зрительного перекреста.
- Травмы: черепно-мозговая, хирургическое повреждение ножки гипофиза.
- Инфекционные заболевания: вирусный, бактериальный энцефалит и менингит, неспецифический гипофизит (воспаление гипофиза).
- Супраселлярные арахноидальные кисты — полые опухоли, заполненные жидкостью (ликвором), которые распространяются в полость черепа.
- Сосудистые нарушения: аневризмы сосудов гипофиза, инфаркт гипофиза.
- Облучение головы и шеи по поводу лейкемии, медуллобластомы, ретинобластомы; общее облучение всего тела (при пересадке костного мозга).
- Токсические последствия химиотерапии.
- Инфильтративные болезни: саркоидоз, гистиоцитоз.
Осложнения гипофизарного нанизма
Осложнения заболевания связаны с утратой воздействия гормона роста на органы и системы. Они развиваются вследствие несвоевременной диагностики.
У новорождённого с дефицитом соматотропина относительную опасность может представлять гипогликемическое состояние, поскольку этот гормон играет важную роль в регуляции углеводного обмена. Клинически гипогликемия проявляется бледностью, потливостью, повышенным аппетитом, беспокойством ребёнка, иногда наблюдается судорожный синдром [5] .

Так как сомтатотропин усиливает синтез белка и тормозит его распад, у детей с дефицитом этого гормона может снизиться уровень общего белка в организме и его фракций. Это сказывается на общем физическом развитии: снижается иммунитет, повышается риск присоединения других гормональных сопутствующих нарушений.
Значительная часть эффектов гормона роста передаётся через ИПФР-I (инсулиноподобный фактор роста-I). Он вырабатывается в печени под действием соматотропина и стимулирует рост внутренних органов. Вследствие дефицита соматотропного гормона рост и своевременное развитие органов может частично нарушиться. Это приводит к нарушению работы печени, почек, сердечно-сосудистой системы. Такое осложнение встречается нечасто.
При дефиците гормона роста совместно с другими гормонами гипофиза (пангипопитуитаризме) будет развиваться недостаточность других эндокринных желёз — щитовидной железы, надпочечников, репродуктивной системы. Несвоевременная диагностика этих нарушений после рождения опасна для жизни, а также может стать причиной необратимым нарушений психического или интеллектуального развития.
Диагностика гипофизарного нанизма
Диагностика заболевания начинается с оценки линейного роста ребёнка и скорости прибавки в росте. Для этого врачи сравнивают фактические параметры ребёнка с предполагаемым ростом и среднестатистической скоростью роста. Подставив все данные в специальную формулу, они вычисляют коэффициент стандартного отклонения. Если у ребёнка отставание в росте больше двух сигмальных отклонений, плохая скорость прибавки роста, то проводится дальнейшее обследование.
Затем врачи определяют костный возраст. Сделать это можно с помощью рентгена или УЗИ запястья. В норме костный возраст может отставать или опережать паспортный на два года.

Также важно провести оценку гормонального профиля:
- уровень тиреотропного гормона (ТТГ) и свободного тироксина (Т4) — проверка работы щитовидной железы;
- уровень кортизола и АКТГ (кортикотропина) — исключение нарушений работы надпочечников [10] ;
- уровень лютеинизирующего гормона (ЛГ) и фоллитропина (ФСГ) — исключение гипогонадотропного гипогонадизма в возрасте, когда должно начаться половое созревание;
- инсулиноподобный фактор роста-I (ИПФР-I) — оценка уровня гормона роста.
Прямая оценка уровня соматотропина, как правило, не проводится. Гормон роста в течение суток выделяется в разном количестве, поэтому узнать его истинный уровень невозможно.
При необходимости проводится МРТ головного мозга и гипофиза с контрастированием [6] . Она позволяет исключить или подтвердить наличие объёмных образований области гипофиза и головного мозга.

Для дифференциальной диагностики задержки роста, не связанной с гормоном роста, исключают дефицит железа, дефицит витамина D, общего белка и другие дефицитные состояния, т. к. их наличие может отрицательно влиять на скорость линейного роста. Рентгенография черепа в данном случае не информативна.
Для исключения определённых генетических синдромов может потребоваться консультация генетика.
При подозрении на истинный дефицит гормона роста проводятся пробы на стимуляцию соматотропина. Эти провокационные тесты стимулируют выброс гормона роста при введении определённых препаратов. Они проводятся только после исключения других возможных причин низкорослости. На основании этих проб, при отсутствии должного выброса гормона роста, будет установлен диагноз "гипопитуитаризм".
Лечение гипофизарного нанизма
Лечение проводится рекомбинантным гормоном роста, который получают методом генной инженерии. Он назначается после исключения активных злокачественных новообразований и тяжёлых сопутствующих заболеваний (как физических, так и психических). Эти состояния являются противопоказанием к использованию данного препарата.
Если имеются другие дефициты гормонов гипофиза, то перед лечением их также нужно компенсировать. Иначе должного эффекта от применения гормона роста не будет.

Цели лечения:
- ускорить темп роста и нормализовать рост;
- стимулировать начало периода полового созревания с нормальным ростом;
- достичь генетически прогнозируемого роста ребёнка или опередить его;
- улучшить качество жизни;
- повысить минеральную плотность костей;
- снизить факторы риска сердечно-сосудистых заболеваний.
Противопоказания к назначению рекомбинантным гормоном роста:
- закрытые зоны роста, за счёт которых происходит линейный рост (при их закрытии человек перестаёт расти);
- активные злокачественные новообразования;
- прогрессирующий рост внутричерепных опухолей;
- аллергия на препарат.
Прекращают терапию гормоном роста при:
- закрытии зон роста;
- плохой скорости прибавки роста — менее 2 см в год;
- достижении социально приемлемого роста.
Крайне редко возможны побочные эффекты и осложнения при терапии гормоном роста:
- доброкачественная внутричерепная гипертензия — повышение внутричерепного давления;
- боли в суставах — обычно наблюдаются при значительном ускорении линейного роста;
- возможно усугубление заболеваний, связанных с недифференцированными дисплазиями соединительной ткани (сколиозов);
- отёки — связано с функцией гормона роста задерживать жидкости в организме;
- пубертатная гинекомастия — увеличение грудных желёз за счёт разрастания железистой ткани у мальчиков [7] .
Прогноз заболевания при своевременной диагностике и проведении должного лечения, как правило, благоприятный. Дети достигают своего генетически прогнозируемого роста и иногда даже опережают его.
Если дефицит гормона роста сочетается с дефицитом других гормонов гипофиза, то для достижения желаемого эффекта, профилактики ухудшения состояний и более лёгкой социальной адаптации ребёнка необходимо лечение других дефицитов.
Также очень важен чёткий и своевременный контроль во время лечения гормоном роста: оценка динамики линейного роста, гормонального статуса и костного возраста. Особое внимание необходимо уделять режиму лечения и своевременной коррекции дозы препарата с учётом прибавки в росте и весе. При применении соматотропного гормона доза препарата будет увеличиваться. При несвоевременной прибавке дозы динамика роста может ухудшится [8] .
Мониторинг детей, находящихся на лечении, проводится раз в полгода, при других сопутствующих дефицитах гормонов гипофиза — по показаниям.
Вопрос профилактики данного заболевания сложен, т. к. речь идёт о генетических нарушениях. В первую очередь важен ответственный подход будущих родителей к рождению ребёнка:
- своевременное обследование и лечение заболеваний;
- восполнение дефицитов при планировании беременности;
- отказ от вредных привычек.
Для профилактики дефицита гормона роста, который возникает вследствие другого заболевания (инфекции, опухоли, травмы), следует проводить профилактики первоисточника.
Читайте также:
- УЗИ, МРТ при артрогрипозе, фетальной акинезии у плода
- Неиммунологические пути активации комплемента. Образование гранулем при аллергическом альвеолите
- Гиперпигментация (меланоз) после ожога
- Программирование похудения. Пять психологических шагов к стройной фигуре
- Дифференциальная диагностика головокружения при болезни Меньера
